Simple Summary
The present study identified cellular pathways and genes co-expressed with HER2 in colorectal cancer using whole transcriptomic analysis on colorectal cancer patients and cell lines. A comparison of the genes and pathways between patients and cell lines identified the Wnt signaling pathway and the homeobox gene NKX2-5 to be significant. This study sheds new light on the role of HER2 in colorectal cancer pathogenesis.
Abstract
Colorectal cancer (CRC) remains the third most common cause of cancer mortality worldwide. Precision medicine using OMICs guided by transcriptomic profiling has improved disease diagnosis and prognosis by identifying many CRC targets. One such target that has been actively pursued is an erbb2 receptor tyrosine kinase 2 (ERBB2) (Human Epidermal Growth Factor Receptor 2 (HER2)), which is overexpressed in around 3–5% of patients with CRC worldwide. Despite targeted therapies against HER2 showing significant improvement in disease outcomes in multiple clinical trials, to date, no HER2-based treatment has been clinically approved for CRC. In this study we performed whole transcriptome ribonucleic acid (RNA) sequencing on 11 HER2+ and 3 HER2− CRC patients with advanced stages II, III and IV of the disease. In addition, transcriptomic profiling was carried out on CRC cell lines (HCT116 and HT29) and normal colon cell lines (CCD841 and CCD33), ectopically overexpressing ERBB2. Our analysis revealed transcriptomic changes involving many genes in both CRC cell lines overexpressing ERBB2 and in HER2+ patients, compared to normal colon cell lines and HER2− patients, respectively. Gene Set Enrichment Analysis indicated a role for HER2 in regulating CRC pathogenesis, with Wnt/β-catenin signaling being mediated via a HER2-dependent regulatory pathway impacting expression of the homeobox gene NK2 homeobox 5 (NKX2-5). Results from this study thus identified putative targets that are co-expressed with HER2 in CRC warranting further investigation into their role in CRC pathogenesis.
Keywords:
ERBB2; HER2; colorectal cancer; RNA-seq; whole transcriptomic analysis; NKX2-5; Wnt signaling 1. Introduction
Despite improvements in early detection and treatment methods during the last two decades, colorectal cancer (CRC) remains the 3rd most common cause of cancer-related death worldwide with approximately 150,000 new CRC cases diagnosed in the United States annually [1]. Among them, approximately 20% of patients will have distant metastasis, and around 30% of patients with stage II and III disease will develop metastasis [2]. The five-year survival rate of CRC patients with distant metastasis is less than 15% [2]. The incidence of CRC in men and women under the age of 50 has steadily increased in the past two decades [1,2]. For patients with metastatic CRC (mCRC), chemotherapy remains the mainstay of treatment, but eventually, all patients develop resistance to therapy and experience treatment failure due to the intra-tumoral heterogeneity of CRC [3].
Precision medicine guided by tumor genomic profiling has transformed the cancer diagnosis, prognosis, and treatment paradigm over the past two decades. However, recent estimates suggest that fewer than 10% of cancer patients benefit from this approach [4,5]. The primary issues facing genomic profiling include firstly, actionable genomic alterations are not detected in a vast majority of cases [6], and even when they are, secondly, a significant proportion of patients fail to experience an antitumor response to the indicated targeted therapy [7].
One such target is the amplification of ERBB2 (HER2), which occurs in approximately 3% of patients with metastatic CRC (mCRC) and 5% of patients with wild-type NRAS and KRAS tumors [8,9]. Several ERBB2-targeted therapies are either in different phases of clinical trials or approved for use in patients with ERBB2-positive breast and gastric and gastroesophageal tumors [8]. However, despite recommendations of the National Comprehensive Cancer Network guidelines and clinical evidence from phase II trials that anti-ERBB2 therapies improve disease outcomes in ERBB2-positive mCRC patients, no ERBB2-directed approved therapies for patients with CRC are currently approved for clinical use [8,9,10].
The role of HER2 in carcinogenesis is most well-characterized in breast cancer [11,12]. HER2+ breast cancer is a historically aggressive subtype of breast cancer with a five-year survival rate of 30% [11,13,14]. The discovery that amplification or overexpression of ERBB2 was associated with extremely poor survival in breast cancer led to efforts that resulted in the development of a monoclonal antibody (mAb) to HER2, trastuzumab [14,15]. However, whether ERBB2 overexpression-mediated carcinogenesis follows similar mechanisms in breast and colon tissue is unknown.
Thus far, the majority of the studies related to ERBB2 in cancers have focused on identifying the landscape of genomic amplification in ERBB2 and defining therapeutic regimens to target these amplifications [8]. Our earlier study has shown that ERBB2 mRNA and protein overexpression correlates with more aggressive colorectal cancer in the North African population [16]. However, the effect of the overexpression of ERBB2 on the global transcriptomic profiles within CRC patients is not known. Therefore, the objective of the current study is to characterize whole transcriptomic changes associated with ERBB2 overexpression in CRC cell lines and patient samples with a view to gain a deeper understanding of the role of ERBB2 in CRC pathogenesis.
2. Materials and Methods
2.1. Patients and Tissue Specimens
Ethical approval for the study was provided by the Research and Ethics Committee (REC) of University Hospital Sharjah (UHS-HERC-055-25022019). All methods were performed in accordance with the relevant guidelines based on the Declaration of Helsinki and the Belmont Report. We obtained written informed consent from all study participants. This is a retrospective study of 14 patients with primary CRC. Patients with secondary cancers were excluded, whilst all primary CRC patients were included, regardless of age, gender, or tumor stage. The initial diagnosis was performed prior to and independently of our study to determine the Tumor, lymph Nodes, and Metastasis (TNM) score. Tissues were sectioned from formalin-fixed, paraffin-embedded (FFPE) biopsies for molecular and immunohistochemical analysis.
2.2. Immunohistochemistry
To begin with, 3 μm sections from the FFPE of 14 CRC patients’ biopsies were immunohistochemically stained using the rabbit monoclonal antibody for HER2 (1:4000 dilution; ab214275, Abcam, Waltham, MA, USA) according to the manufacturer’s instructions. An experienced pathologist (R.H.) scored the stained slides, following the consensus recommendations for HER2 scoring for CRC [17,18]. Briefly, scoring was performed on a 4-point scale—0, 1+, 2+, 3+ focusing on intensity and extent according to the Allred scoring system [19]. In this study, 0 and 1+ intensity were taken to be negative for HER2 expression and the study focused on the assessment of membranous HER2 expression.
2.3. Cell Culture
The CRC cell lines HT29 and HCT116, and two normal colon cell lines: CCD33 and CCD841, were obtained from Bio Medical Scientific Services (BIOMSS, Al Ain, United Arab Emirates), and cultured in Dulbecco’s Modified Eagle’s Medium (DMEM) supplemented with 10% fetal bovine serum (Sigma Aldrich, St. Louis, MO, USA), 1% Penicillin/Streptomycin (Sigma) and 20 mM L-Glutamine (Sigma) at 37 °C in 5% CO2 incubator.
2.4. Transfection
The wild-type ERBB2 expression construct was a gift from Mien-Chie Hung (Addgene plasmid #16257; https://www.addgene.org/16257, accessed on 15 December 2020) [20]. The cell lines were transfected with 5µg of pcDNA3-ERBB2 plasmid construct using Lipofectamine 3000 reagent (ThermoFisher Scientific, Cambridge, MA, USA) according to the manufacturer’s instructions. Cells transfected with the empty pcDNA3 vector served as the experimental control. The ERBB2 expression level was checked 24 h post-transfection at the mRNA and protein levels using qRT-PCR and Western blotting, respectively.
2.5. RNA Isolation
RNA extraction was carried out from three sequential (3 µm) sections from the same FFPE block. A needle macrodissection was carried out to enrich the tumor’s content. This was carried out by marking the tumor areas on the slides and carefully removing the unmarked non-tumor areas using a sterile needle, following which the marked areas were collected for molecular analysis. RNA was extracted using the RNA RecoverAll kit (ThermoFisher Scientific, Cambridge, MA, USA) according to the manufacturer’s instructions. Genomic DNA removal was ensured by treating the RNA with Turbo DNase (ThermoFisher Scientific). For RNA extraction from cell lines, cells were pelleted at 12 × 103 g for 5 min and rinsed thrice with ice-cold 1X sterile PBS. RNA was extracted from the cell pellet as described above using the RNA RecoverAll kit, followed by genomic DNA removal using Turbo DNase. All RNA samples were stored at −800 °C until further use.
2.6. Quantitative Reverse Transcriptase-PCR (qRT-PCR)
qRT-PCR was performed using the Superscript First-strand Synthesis system (ThermoFisher Scientific). Real-time qPCR was performed in triplicates, using SYBR green (Solis BioDyne, Tartu, Estonia), on Quant Studio 3 (Applied Biosystem, Waltham, MA, USA). ERBB2 and the reference genes (18S ribosomal RNA) were pre-amplified using the following primer sets [18]. ERBB2_sense: 5′-ACATGCTCCGCCACCTCTACCA-3′; ERBB2 Antisense: 5′-GGATCTGCCTCACTTGGTTGTG-3′; 18SrRNA_sense: 5′-TGACTCAACACGGGAAACC-3′; 18SrRNA_antisense: 5′-TCGCTCCACCAACTAAGAAC-3′. A total of 40 PCR cycles were performed consisting of 15 s denaturation at 95 °C and a combined annealing and extension cycle of 10 min at 60 °C. The threshold cycle value (Ct) was normalized against the Ct value of internal control 18 s RNA.
2.7. Cell Lysis and Western Blot
Cell lysis and Western blot were performed as described previously [21]. Anti-HER2 (1:1000; Abcam) was used to probe the blots. All blots were subsequently stripped and re-probed for β-Actin (1:5000; Abcam, Waltham, MA, USA) to confirm equal loading.
2.8. Next-Generation RNA Sequencing
RNA sequencing was carried out on the indicated samples using a targeted AmpliSeq Transcriptome panel on Ion S5 XL System (ThermoFisher Scientific, Cambridge, MA, USA). In brief, ~30 ng of Turbo DNase treated RNA was used for cDNA synthesis using a SuperScript VILO cDNA Synthesis kit (ThermoFisher Scientific) followed by amplification using Ion AmpliSeq gene expression core panel primers. The enzymatic shearing was performed using FuPa reagent to obtain amplicons of ~200 bp and the sheared amplicons were ligated with the adapter and the unique barcodes. The prepared library was purified using Agencourt AMPure XP Beads (Beckman Coulter, Indianapolis, IN, USA) and the purified library was quantified using an Ion Library TaqMan™ Quantitation Kit (Applied Biosystems, Waltham, MA, USA). The libraries were further diluted to 100 pM and pooled equally with four individual samples per pool. The pooled libraries were amplified using emulsion PCR on Ion OneTouch™ 2 instrument (OT2) and the enrichment was performed on Ion OneTouch™ ES following the manufacturer’s instructions. Thus, prepared template libraries were then sequenced with Ion S5 XL Semiconductor sequencer (ThermoFisher Scientific, Cambridge, MA, USA) using the Ion 540™ Chip.
2.9. Bioinformatics Analyses
RNA-seq data were analyzed using Ion Torrent Software Suite version 5.4 and the alignment was carried out using the Torrent Mapping Alignment Program (TMAP). TMAP is optimized for aligning the raw sequencing reads against the reference sequence derived from the hg19 (GRCh37) assembly, and the specificity and sensitivity were maintained by implementing a two-stage mapping approach by employing BWA-short, BWA-long, SSAHA [22], Super-maximal Exact Matching [23] and the Smith–Waterman algorithm [24] for optimal mapping. Raw read counts of the targeted genes were performed using Samtools (Samtools view–c–F 4–L bed_file bam_file) and the number of expressed transcripts was confirmed after Fragments Per Kilobase Million (FPKM) normalization. For technical variations, code-set content normalization was performed with the geometric median for all genes. Principal component analysis (PCA) was performed using the indicated samples with R statistical software. Differentially expressed gene (DEG) analysis was performed using R/Bioconductor package DESeq2 with raw read counts from the RNA sequencing data [25,26]. Genes with less than ten normalized read counts were excluded from further analysis. A fold change of 2 was set as the cutoff for differentially expressed gene identification. p < 0.05 was considered statistically significant. The DEGs were then subjected to Gene Set Enrichment Analysis (GSEA).
2.10. Analyses of Publicly Available Transcriptomic Data Sets for Breast Cancer
In order to compare the biological pathways and differentially expressed genes between the ERBB2 over-represented in breast cancer (BC) and CRC, transcriptomic data sets of BC were searched and retrieved from the GEO (Gene Expression Omnibus) database (https://www.ncbi.nlm.nih.gov/geo/, accessed on 3 October 2022). The datasets were searched based on “Breast cancer” and “ERBB2” keywords. Then, datasets including BC patients with variable ERBB2 expression based on the same platform Affymetrix Human Genome U133 Plus 2.0 Array were considered. Sixteen well-matched datasets were available, out of which fourteen were excluded for further analysis. Exclusion criteria were datasets performed in vitro cancer cell lines or in vivo study models using non-human species, repeated samples in super-series, and datasets exhibiting poor ERBB2 expression values uncharacteristic of HER2+/HER2−. Two datasets that met the criteria were selected, including GSE29431 and GSE48391 (Supplementary Figure S1). The raw data and the probe annotation files were downloaded for further analysis.
2.11. Breast Cancer Microarray Data Analysis
A total of 65 BC patients were selected in our analysis including 48 samples with low ERBB2 and 17 samples with high ERBB2 expression. The Affymetrix microarray represents more than 54,000 probes where each gene is represented with different probes. The raw data were processed and normalized using in-house R script as previously described [27]. For normalization and adaptive filtering, Affymetrix Microarray Suite 5 (MAS5) and Gene Chip Robust Multiarray Averaging (GCRMA) packages in Bioconductor/R software were applied. Probes with a MAS5 value > 50 and coefficient of variation (CV) 10–100% in GCRMA among all samples of each dataset were identified to get only common variant probes. The filtered probes were then annotated and collapsed into the gene names list based on the maximum expression of probes for each gene. The unchanged probes, positive control probes, and unassigned probes were excluded from the downstream analysis. The mapped gene expression lists were subjected to Gene Set Enrichment Analysis (GSEA) to identify the activated and enriched biological pathways between high and low ERBB2-BC patients.
2.12. GSEA
GSEA was carried out separately for all resulting gene sets from the above different transcriptomic analyses including CRC patients, CRC cell lines, normal colon cell lines, and BC patients. First, the absolute GSEA was performed to identify the significantly enriched pathways among sets related to the C2: curated gene sets; C5: ontology gene sets including molecular function (MF) and biological process (BP); C6: oncogenic signature gene sets; and C7: immunologic signature gene sets. The results of the GSEA were ranked and selected according to the p < 0.05 as described previously [27,28]. Next, the selected significant pathways were further analyzed to identify the differentially enriched genes and the leading edge genes in each pathway. In order to further reduce the set of resulting genes, a systematic cross-reference of each gene enriched within statistically significant pathways was carried out. Finally, the genes with the highest frequency across the multiple significant pathways enriched between the HER2 positive and HER2 negative samples were identified.
2.13. Statistical Analysis
Functional data are presented as mean ± SD, except where otherwise stated. When two groups were compared, the student’s t-test was used unless otherwise indicated. p < 0.05 was considered as statistically significant.
3. Results
3.1. Overexpression of ERBB2 Induces Distinct Transcriptional Profiles in the CRC Cell Lines HT29 and HCT116
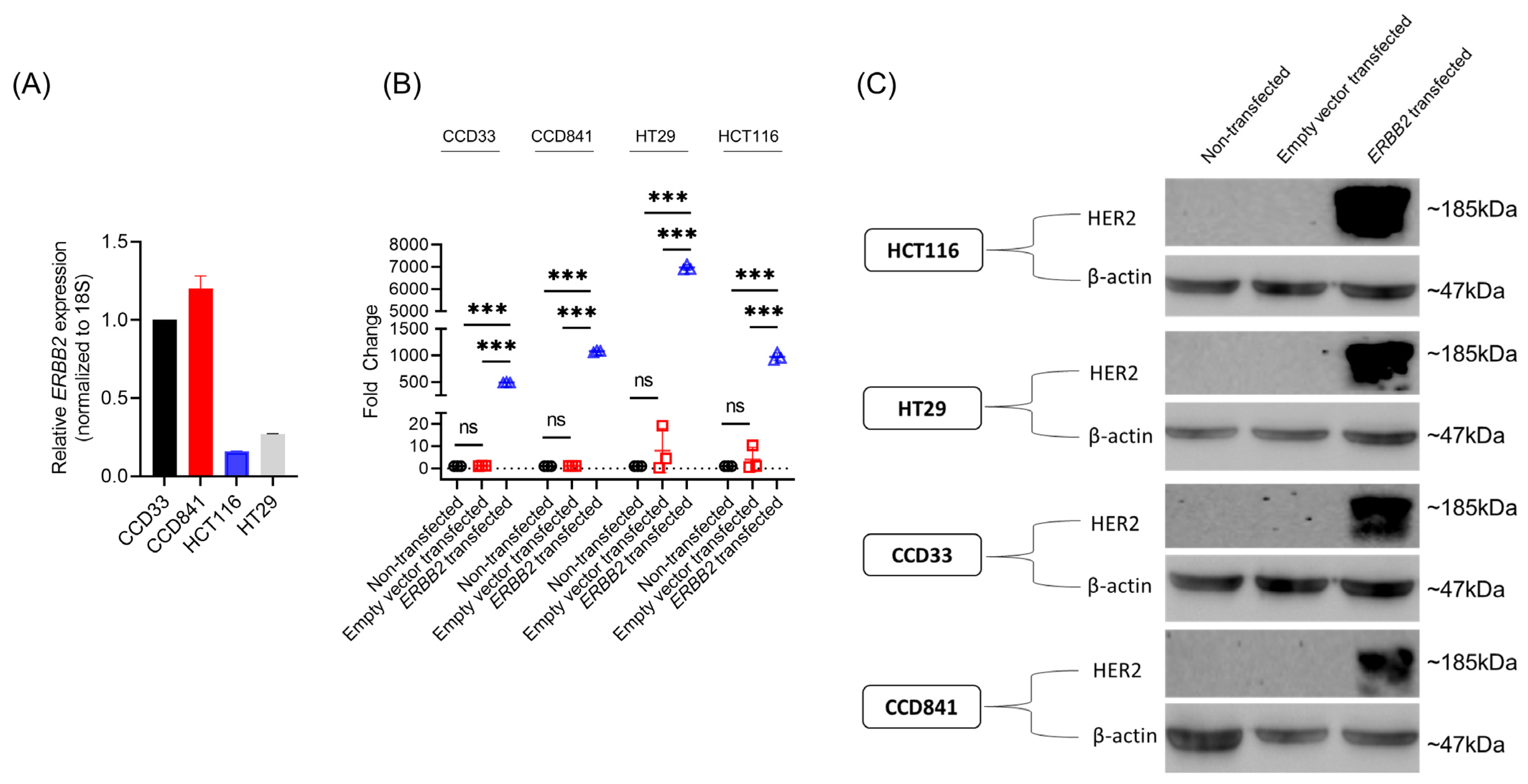
We wanted to determine if ectopic overexpression of ERBB2 in CRC cell lines induces genome-wide transcriptional changes. Hence, we screened different CRC cell lines to identify cell lines with low endogenous ERBB2 expression. We initially determined the steady-state expression of ERBB2 mRNA in the normal colon cell lines, CCD33 and CCD841, as well as the CRC adenoma cell lines HCT116 and HT29 using qRT-PCR. Compared to CCD33 and CCD841 cells, ERBB2 expression was 6.28 ± 0.003 folds and 7.56 ± 1.54 folds less in HCT116 and 3.71 ± 0.01 4.43 ± 0.02 folds less in HT29, respectively (Figure 1A).
Figure 1.
Validation of successful ectopic overexpression of ERBB2 in the CRC (HCT116 and HT29) and normal colon (CCD33 and CCD841) cell lines. (A) Relative ERBB2 expression in the normal colon cell lines CCD33 and CCD841 and the CRC cell lines HT29 and HCT116 as determined by qRT-PCR. Data were normalized to the expression of the internal control 18S rRNA gene and fold expressions were plotted relative to expression in the CCD33 cells. Data represent the mean ± SD of three independent experiments. (B) Relative ERBB2 expression in non-transfected and either empty pcDNA3 vector or pcDNA3-ERBB2 transfected HCT116, HT29, CCD33, and CCD841 cells as determined by qRT-PCR. Data were normalized to the expression of the internal control 18S rRNA gene and fold expressions were plotted relative to expression in the non-transfected cells. Data represent the mean ± SD of three independent experiments. *** p < 0.001; ns: not significant. (C) Same as B, but relative HER2 protein expression was determined in the different experimental conditions. Blots were re-probed with anti-β-Actin antibody to confirm equal loading across the lanes. The representative blots from three independent experiments are shown.
The CRC cell lines HT29 and HCT116 and normal colon cell lines CCD33 and CCD841 were transiently transfected with either an empty pcDNA3 vector or ERBB2 expression construct. Successful transfection was confirmed by both qRT-PCR (Figure 1B), and Western blot analyses (Figure 1C).
RNA isolated from HCT116, HT29, CCD33, and CCD841 cells expressing an empty pcDNA3 vector (control) and those expressing ectopic ERBB2 (ERBB2) were then subjected to RNA-seq in biological replicas. Multidimensional scaling using PCA was performed. Clusters distinguished by ERBB2 expression levels in HCT116 and CCD841 cells were observed, confirming the reproducibility of the replicates and the unique transcriptomic profile associated with the ectopic expression of ERBB2; whereas samples were more staggered for the HT29 and CCD33 cells (Supplementary Figure S2A–D). The volcano plot of these data exhibited robust ERBB2 whole transcriptomic changes in the CRC cell lines; HCT116 (1774 DEGs—730 upregulated and 1044 downregulated) and HT29 (1289 DEGs—430 upregulated and 859 downregulated) compared to the normal colon cell lines CCD33 (160 DEGs) and CCD841 (312 DEGs), (Supplementary Figure S3). In addition, the unsupervised hierarchical clustering analysis using the DEGs from each comparison exhibited clear subgroups of ERBB2 transfected and control cell lines, for HCT116, HT29, CCD33, and CCD841 (Figure 2 and Figures S4–S6). The DEGs lists resulting from comparing ERBB2 overexpression and control samples of HCT116, HT29, CCD33, and CCD841 are listed in Supplementary Table S1.
Figure 2.
Heatmap of the differentially expressed genes in CRC (HCT116 and HT29) and normal colon (CCD33 and CCD841) cell lines transfected with empty vector or ERBB2, either clustered based on expression (A) or grouped based on transfection and phenotype (B).
3.2. Global Transcriptional Profiling in CRC Patients Based on HER2 Differential Expression
Given that cell lines exhibit a homogenous system, and a 2-D culture might not be a true replicate of an actual tumor, we next determined the genome-wide transcriptional patterns in CRC patients with varying HER2 protein expression. Of the 14 patients that were recruited, there were 8 females and 4 males with ages ranging from 37 to 86 years (mean ± SD, 63.15 ± 15.02 years). Histopathological examination identified most cases as adenocarcinomas.
Following the HER2 diagnostic criteria, 0 and 1+ staining scores were considered negative [29]. Among the CRC cases tested, 78.57% (11/14) of the cases were positive for HER2 (Score ≥ 2+; Figure 3A) whereas 21.43% (3/14) were negative for HER2 (≤1+; Figure 3B). All clinicopathological data are shown in Supplementary Table S2. No difference in classification and staging was observed with respect to gender, age, or HER2 expression.
Figure 3.
HER2 protein expression was detected by IHC staining in the 14 (P#1 to P#14) included patient samples. Images are representative IHC staining images of the 11 HER2+ (A) and 3 HER2− (B) patient samples. Scale bar, 100 µm.
RNA isolated from the 3 HER2− and 11 HER2+ biopsies were then subjected to whole RNA sequencing. Multidimensional scaling using PCA revealed clusters distinguished by ERBB2 expression levels, confirming the unique transcriptomic profile associated with differential ERBB2 expression (Figure 4A). The volcano plot of these data identified groups of differentially expressed genes, showing that 2701 were differentially expressed in HER2+ compared to HER2− CRC-patients of which 1344 were upregulated and 1357 were downregulated (Figure 4B). Additionally, the unsupervised hierarchical clustering analysis based on the total DEGs showed that HER2+ and HER2− CRC-patients are, respectively, clustered as a single branch, further confirming the distinct transcriptional profiling between HER2+ and HER2− CRC-patients (Figure 4C, Supplementary Figure S7A). The differential HER2 protein expression in the 14 patient biopsies was further confirmed by the relative ERBB2 gene expression in these samples (Supplementary Figure S7B). The DEGs between HER2+ and HER2− CRC patients are listed in Supplementary Table S3.
Figure 4.
Genome-wide gene expression changes between ERBB2+ and ERBB2− CRC patients. (A) Principal component analysis (PCA) was performed to determine batch effects among the 14 patients’ samples. Comparison of PC1 and PC2 variation sequestered the samples based on ERBB2 expression. (B) Volcano plot of differentially expressed genes between ERBB2- and ERBB2+ patients’ samples from input RNA-seq. Genes that are expressed significantly higher and lower based on log2 fold change in HER2+ samples are highlighted by green and blue dots, respectively. Unchanged transcripts are demarcated as grey circles (p > 0.05). (C) Heatmap of the top 100 differentially expressed genes.
3.3. GSEA of DEGs Revealed Distinctive ERBB2-Mediated Activation of Various Cellular Pathways Including Wnt Signaling and Regulation of Cellular Differentiation
To perform a functional interpretation of our transcriptomic analyses, the DEGs genes resulting from each comparison between HER2+ and HER2− CRC patients, HER2+ and control CRC cell lines, and HER2+ and normal colon cell lines were initially used as the input for the GSEA to identify the significantly enriched pathways (p < 0.05) among gene sets related to the following: C2, C5 (BP and MF), C6, and C7 collections. Given that the aim of the study was to define the putative role of HER2 in CRC pathogenesis, we chose the gene sets that contain functional pathways linked to cancer hallmarks and immune response. The results identified 98 significantly differentially activated pathways in HER2− compared to HER2− CRC patients (Supplementary Tables S4 and S5). The most significant pathways included the Wnt signaling pathway, T cell receptor signaling pathway, cell cycle, and cell differentiation pathways. Likewise, in HCT116 and HT29 CRC cell lines, the GSEA results showed, respectively, about 15 and 89 significant molecular functions and biological processes ontology gene sets (Supplementary Tables S4 and S5). Pathways related to cell signaling and leukocyte differentiation and migration were enriched in the HER2+ CRC cell lines. However, as expected, only a few significant activated cellular pathways were enriched in HER2+ compared to control normal colon cell lines (Supplementary Tables S4 and S5). Moreover, by overlapping the enriched pathways in CRC patients and cell lines, the results showed that the regulation of ion transport, cell–cell signaling, and cell proliferation were overexpressed between the two CRC systems.
An analysis of the leading-edge genes of the significant gene sets within the patients revealed that many were consistently represented by counting the number of times a gene occurs (gene frequency) across all the different pathways, suggesting that these genes strongly influenced the HER2-mediated expression pattern. The top 20 genes based on the gene frequency in the significantly activated cellular pathways between HER2+ and HER2− CRC patients showed key genes, including NKX2-5, NKX6-1, WNT3A, WNT5A, NOG, SOX9, SOX18 (Figure 5A). The functional annotation of the top leading-edge genes showed highly significant enrichment of categories related to the regulation of cell differentiation, canonical Wnt signaling, cell development and maturation, and regulation of epithelial cell differentiation (Figure 5B).
Figure 5.
GSEA revealed significant enrichment of pathways related to cell differentiation and Wnt signaling. (A) The top 20 leading genes across the different enriched pathways based on frequency in HER2− vs. HER2+ CRC patients, and (B) the related pathways are shown.
3.4. Comparison of Cellular Pathways Revealed ERBB2-Mediated Enrichment of Pathways Related to Stem Cell Differentiation, Regulation of Wnt Signaling, and Immune Activation in Both Colorectal and Breast Cancers
Given the well-characterized role of ERBB2 in breast cancer pathogenesis, we next analyzed breast cancer datasets available within the GEO database to determine if there are any similarities in the ERBB2-mediated enrichment of pathways in breast and colon cancer patients. Two independent datasets from different populations were selected: GSE29431 Caucasian/Spanish and GSE48391 Asian/Chinese (Supplementary Figure S1). These two datasets did not include the IHC scores for HER2. When comparing our transcriptomics data with the HER2 IHC, we found them to correlate if we take the average transcriptomics expression of the ERBB2 mRNA. Therefore, we attempted to perform the stratification of HER2 from publicly available resources in a similar manner to the way we did with our patients’ cohort from the mRNA transcriptome data, by taking the average HER2 expression from each group and stratifying them as HER2+ and HER2− accordingly. Therefore, followed by a quality control assessment based on HER2 expression in a particular patient compared to average HER2 expression in all patients within each cohort, 13 HER2− and 8 HER2+ were selected from the GSE29431 dataset and 35 HER2− and 9 HER2+ were selected from the GSE48391 dataset (Supplementary Table S6).
The GSEA was carried out to identify the significantly enriched pathways between HER2+ and HER2− breast cancer (BC) patients amongst gene sets related to the following: C2, C5 BP and MF, C6, and C7. Different significantly activated pathways and ontology gene sets were identified between HER2+ and HER2− BC patients (Supplementary Table S5). A comprehensive comparison between the significantly enriched pathways in HER2+/− BC and CRC patients was performed. The most significantly enriched pathways that are unique to BC patients include the VEGF signaling pathway, regulation of kinase activity MAPK pathway, and regulation of steroid metabolic process. On the other hand, twenty-six common activated pathways were observed between HER2+/HER2− breast cancer and CRC patients (Supplementary Table S7). This included pathways related to stem cell differentiation, regulation of Wnt signaling, and 17 related to immunological signature subsets including predominantly T cells, macrophages, and NK activation as depicted in Figure 6. In addition, the enrichment analysis identified unique immune-related pathways including macrophage activation and T-cell response, as shown in Supplementary Table S7. Analysis of the leading-edge genes underlying the enrichment of each gene set within the BC and CRC patient datasets (Figure 7A) revealed great resemblance in both lists of top genes (7 out of the top 20 genes) involved in the 26 common activated pathways of HER2+ vs. HER2− patients, and the top 20 frequent genes in activated cellular pathways between HER2+ and HER2− CRC patients (Figure 7B). The functional annotation of the top 20 genes between both colorectal and breast cancers revealed significant enrichment of categories related to the regulation of stem cell differentiation, protein catabolic process, regulation of peptidase and hydrolase activity, and regulation of Wnt signaling (Figure 7C). Moreover, by comparing the different enriched pathways between HER2+/− CRC patients, HER2+/− BC patients and cell lines, we noticed that, importantly, the response to calcium ions is a common enriched biological pathway between CRC patients, BC patients and CRC cell lines but absent in normal colon cell lines.
Figure 6.
GSEA analysis of HER2+ and HER2− breast cancer and CRC patients revealed significant enrichment of common pathways. The figure shows the 26 significant pathways among CRC and BC in HER2+ vs. HER2− patients. Immuno, Immunologic Signature; Onco, Oncogenic Signature; BP GO, Biological Process; Chem, Chemical and Genetic Perturbations.
Figure 7.
Top genes involved in the activated pathways of CRC and BC HER2+ vs. HER2− patients revealed a significant resemblance. (A) Venn diagram representing the overlap of genes overrepresented in enriched pathways in CRC and breast cancer patients. (B) Table showing the top 20 enriched genes in breast cancer and CRC patients. Genes shown in red were common in both CRC and breast cancer patients. (C) Related pathways of the top 20 enriched genes are shown. Representation is based on frequency in HER2− vs. HER2+ CRC patients.
4. Discussion
Our earlier work has shown that HER2 overexpression is correlated with more aggressive disease in CRC patients [16], indicating that stratification of patients according to HER2 status might be beneficial in the early detection and subsequent therapeutic management of patients with metastatic CRC. The results from the current study reveal that HER2 overexpression is associated with distinct global transcriptomic profiling, the characterization of which might lead to the identification of putative diagnostic and prognostic biomarkers.
In our study, there were fewer up and downregulated genes in HT29 compared to HCT116, indicating that the transcriptomics perturbation post-HER2-overexpression was less in HT29 in comparison to HCT116. The expression levels of APC, GSK3B, and CTNNB1 were not significant, which indicates that perhaps there may be a link between ERBB2 expression and TP53 mutational status (rather than APC), since HT29 harbors TP53 mutation.
About half of the top 100 differentially expressed genes between HER2+ and HER2− CRC patients exhibited a more prominent difference in expression and were overexpressed in the HER2+ samples. A vast majority of them were non-coding RNA (small nucleolar RNAs, snoRNAs) that are normally involved in the biogenesis of other RNAs. That they were among the top differentially expressed genes indicates that expression of the snoRNAs may be regulated by HER2 and that they might be involved in the CRC pathogenesis in HER2+ patients. Indeed, it has been reported that numerous snoRNAs, including tumor-promoting and tumor-suppressing snoRNAs, are not only dysregulated in tumors but also show associations with clinical prognosis [30]. In addition, aberrant expression of snoRNAs has been reported in cell transformation, tumorigenesis, and metastasis, indicating that snoRNAs may be considered as biomarkers and/or therapeutic targets of cancer [31]. Even CRC associations between snoRNAs and CRC development have been reported [32,33,34]. For example, SNORA21 promotes CRC cell proliferation by regulating cancer-associated pathways such as Hippo and Wnt signaling pathways, and overexpression of SNORA21 has been reported to be associated with distant metastasis in CRC [35].
Colorectal cancer demonstrates hyperactivation of the Wnt pathway, which is involved in tumorigenesis, stemness, and metastatic progression [36,37]. One of the enriched pathways in our analysis was the regulation of stem cell differentiation. HER2-overexpression in gastric cancer cells results in increased stemness and invasiveness [38]. Furthermore, this increased HER2-mediated stemness is regulated by Wnt/β-catenin signaling [39]. Our analysis also revealed significant enrichment of pathways related to positive and negative regulation of Wnt signaling and the enrichment of the Wnt signaling pathway genes WNT3A and WNT5A. These results would thus indicate that HER2 overexpression in CRC cells might result in poorly differentiated tumors that are more invasive.
One of the leading-edge genes that were differentially expressed between HER2+ and HER2− patients and cell lines was a homeobox gene of the NKL subclass, cardiac transcription factor NKX2-5. NKX2-5 is one of the earliest known transcription factors required for cardiac cell specification and proliferation [40,41,42].
NKX2-5 is expressed in several types of tumors [43,44,45,46], but its precise role in tumorigenesis is unknown. Another family member of the NKL, NKX2-1, has been reported to mediate p53-induced tumor suppression [47,48,49,50], Indeed, in the context of CRC, NKX2-5 functions as a conditional tumor suppressor gene via activating the p53-mediated p21WAF1/CIP1 expression [51]. It has been predicted via bioinformatic analysis and confirmed by chromatin immunoprecipitation analysis that in hepatocellular carcinoma cells the promoter of ERBB2 binds to the transcription factor NKX2-5, resulting in a negative regulatory effect [52]. Interestingly, promoter hypermethylation of NKX2-6 has been identified as a candidate biomarker associated with differential methylation in HER2+ breast cancer and breast carcinogenesis [53]. Whether a similar mechanism is operant for the HER2-mediated downregulation of NKX2-5 remains to be determined.
During cardiogenesis, NKX2-5 potentiates Wnt signaling by regulating the expression of the R-spondin3 [54]. In the current study, we also saw the enrichment of pathways related to positive and negative regulation of Wnt signaling. Analysis of the RNAseq data showed significantly more NKX2-5 expression in HER2− patients compared to HER2+ patients (Supplementary Table S3). Whether HER2 overexpression drives negative regulation of NKX2-5-mediated Wnt signaling, ultimately resulting in well-differentiated less invasive tumors in CRC, remains to be determined.
It is important to note that the transcriptomic analysis in CRC cell lines was conducted post-transient transfection in CRC cell lines. It is highly plausible that short-term transfection (to an unphysiological expression level) in the CRC cell lines will induce transcriptomic changes that will be different from those observed in cell lines that have evolved under HER2-overexpression selective pressure. Hence, comparing our data to gene expression changes observed in HER2-amplified or HER2-mutant cell lines would indeed be informative in this context. However, this shortcoming is potentially offset to a large extent by three facts—(a) our analysis also involved HER2− and HER2+ patient samples, which are a better model compared to any of the homogeneous cell line models; (b) our usage of two different CRC cell lines and two normal colon cell lines; and (c) our observation that similar pathways were being enriched when the patient samples and the HER2-overexpressing cell lines were compared.
Despite the current study having inherent weaknesses in low sample size and lack of validation in a wider population, the results do highlight the importance of transcriptional profiling of HER2+ and HER2− CRC patients in identifying potential biomarkers that play a role in CRC pathogenesis. Additional studies are warranted in different population cohorts as the incidence of HER2+ CRC patients varies widely based on geographical location. It would be intricate and intriguing to investigate whether and how HER2 regulates NKX2-5 in wild-type and p53 mutant CRC and their subsequent effects on Wnt signaling and CRC invasives.
5. Conclusions
The study identified genes and pathways related to HER2 expression in colorectal cancer in both patients and colorectal cancer cell lines. Comparison of whole transcriptome RNA sequencing analysis in patients with HER2+ and HER2− identified unique immune-related pathways including macrophage activation, and T-cell response as well as cancer-related pathways including Wnt signaling and MYC-related pathways. The Wnt signaling pathway was also significant in the two different colorectal cell lines (HCT116 and HT29) when compared with normal colon cell lines (CCD841 and CCD33), ectopically overexpressing ERBB2. Differential gene expression analysis identified many Wnt signaling pathway genes including WNT5A, WNT9A, WNT3A, WNT16, and WNT10A. Gene Set Enrichment Analysis indicated a role for HER2 in regulating CRC pathogenesis, with Wnt/β-catenin signaling being mediated via a HER2-dependent regulatory pathway impacting expression of the homeobox gene NKX2-5. Results from this study thus identified putative targets that are co-expressed with HER2 in colorectal cancer, which are different from HER2 in breast cancer, warranting further investigation into their role in colorectal cancer pathogenesis.
Supplementary Materials
The following supporting information can be downloaded at https://www.mdpi.com/article/10.3390/cancers15010130/s1, Table S1: Differentially expressed genes from the whole transcriptomic analysis of the CRC cell lines; Table S2: Clinicopathological characteristics of the patients. Table S3: Differentially expressed genes from the whole transcriptomic analysis of the patient samples; Table S4: Summary of the total activated cellular pathways identified by GSEA in HER2+ vs. HER2− colorectal cancer (CRC) patients, CRC cell lines HCT116 and HT29, normal colon cell lines CCD33 and CCD841, and breast cancer patients (p < 0.05); Table S5: Summary of the total activated cellular pathways identified by GSEA in ERBB2+ vs. ERBB2− colorectal cancer (CRC) patients, CRC cell lines HCT116 and HT29, normal colon cell lines CCD33 and CCD841, and breast cancer (BC) patients (p < 0.05); Table S6: Details of breast cancer datasets analyzed to determine correlation of ERBB2-mediated enrichment of pathways in breast and colon cancer patients. N, total number of breast cancer patients; Table S7: The 26 common activated pathways among CRC and BC HER2+ vs. HER2− patients obtained from Gene Set Enrichment Analysis; Figure S1: Schematic representation of the process used to select the HER2− and HER2+ breast cancer patient datasets; Figure S2: Principal component analysis (PCA) in different cell lines; Figure S3: Volcano plot of differentially expressed genes between control (empty vector) and ERBB2 overexpressing cells; Figure S4: Heat map of the differentially expressed genes between control (empty vector) and ERBB2 overexpressing normal colon cell lines; Figure S5: Heat map of the differentially expressed genes between control (empty vector) and ERBB2 overexpressing CRC cell line HCT116; Figure S6: Heat map of the differentially expressed genes between control (empty vector) and ERBB2 overexpressing CRC cell line HT29; Figure S7: Heat map of the differentially expressed genes between ERBB2 negative and positive CRC patients and relative ERBB2 expressions in the patient samples.
Author Contributions
Conceptualization, E.A.A.R., R.H. and R.B.; methodology, E.A.A.R., K.B., R.H. and R.B.; validation, E.A.A.R., K.B. and A.B.; formal analysis, E.A.A.R., A.B. and R.H.; investigation, E.A.A.R., K.B., N.A., R.H. and R.B.; resources, R.H. and R.B.; data curation, E.A.A.R., N.A. and A.B.; writing—original draft preparation, E.A.A.R., R.H. and R.B.; writing—review and editing, E.A.A.R., K.B., A.B., R.H. and R.B.; supervision, R.H. and R.B.; project administration, R.H. and R.B.; funding acquisition, R.B. All authors have read and agreed to the published version of the manuscript.
Funding
R.B. and R.H. are funded by Al-Jalila Foundation (grant code: AJF2018112). R.H. is funded by the University of Sharjah (grant code: 22010902103).
Institutional Review Board Statement
Ethical approval for the study was provided by the Research and Ethics Committee (REC) of University Hospital Sharjah (UHS-HERC-055-25022019). All methods were performed in accordance with the relevant guidelines based on the Declaration of Helsinki and the Belmont Report.
Informed Consent Statement
Written informed consent was obtained from all subjects involved in the in vivo validation of the study.
Data Availability Statement
The RNA sequencing data generated in this work have been deposited in figshare and can be obtained from the following link: https://doi.org/10.6084/m9.figshare.21578763, accessed on 17 November 2022. The breast cancer datasets used in the manuscript are deposited in Gene Expression Omnibus (https://www.ncbi.nlm.nih.gov/geo, accessed on 3 October 2022) and are accessible through GEO Series accession numbers GSE29431 and GSE48391. All other supporting data of this study are either included in the manuscript or available on request from the corresponding author.
Acknowledgments
The authors would like to thank the Al Jalila Foundation and University Hospital Sharjah for their support in this study.
Conflicts of Interest
The authors declare no conflict of interest.
References
- Torre, L.A.; Siegel, R.L.; Ward, E.M.; Jemal, A. Global Cancer Incidence and Mortality Rates and Trends—An Update. Cancer Epidemiol. Biomarkers. Prev. 2016, 25, 16–27. [Google Scholar] [CrossRef]
- Siegel, R.L.; Miller, K.D.; Fuchs, H.E.; Jemal, A. Cancer statistics, 2022. CA Cancer J. Clin. 2022, 72, 7–33. [Google Scholar] [CrossRef]
- Meyerhardt, J.A.; Mayer, R.J. Systemic therapy for colorectal cancer. N. Engl. J. Med. 2005, 352, 476–487. [Google Scholar] [CrossRef] [PubMed]
- Marquart, J.; Chen, E.Y.; Prasad, V. Estimation of the Percentage of US Patients With Cancer Who Benefit From Genome-Driven Oncology. JAMA Oncol. 2018, 4, 1093–1098. [Google Scholar] [CrossRef] [PubMed]
- Prasad, V. Perspective: The precision-oncology illusion. Nature 2016, 537, S63. [Google Scholar] [CrossRef]
- Meric-Bernstam, F.; Brusco, L.; Shaw, K.; Horombe, C.; Kopetz, S.; Davies, M.A.; Routbort, M.; Piha-Paul, S.A.; Janku, F.; Ueno, N.; et al. Feasibility of Large-Scale Genomic Testing to Facilitate Enrollment Onto Genomically Matched Clinical Trials. J. Clin. Oncol. 2015, 33, 2753–2762. [Google Scholar] [CrossRef] [PubMed]
- Schwaederle, M.; Zhao, M.; Lee, J.J.; Lazar, V.; Leyland-Jones, B.; Schilsky, R.L.; Mendelsohn, J.; Kurzrock, R. Association of Biomarker-Based Treatment Strategies With Response Rates and Progression-Free Survival in Refractory Malignant Neoplasms: A Meta-analysis. JAMA Oncol. 2016, 2, 1452–1459. [Google Scholar] [CrossRef] [PubMed]
- Nowak, J.A. HER2 in Colorectal Carcinoma: Are We There yet? Surg. Pathol. Clin. 2020, 13, 485–502. [Google Scholar] [CrossRef]
- Strickler, J.H.; Yoshino, T.; Graham, R.P.; Siena, S.; Bekaii-Saab, T. Diagnosis and Treatment of ERBB2-Positive Metastatic Colorectal Cancer: A Review. JAMA Oncol. 2022, 8, 760–769. [Google Scholar] [CrossRef]
- May, M.; Raufi, A.G.; Sadeghi, S.; Chen, K.; Iuga, A.; Sun, Y.; Ahmed, F.; Bates, S.; Manji, G.A. Prolonged Response to HER2-Directed Therapy in Three Patients with HER2-Amplified Metastatic Carcinoma of the Biliary System: Case Study and Review of the Literature. Oncologist 2021, 26, 640–646. [Google Scholar] [CrossRef]
- Harari, D.; Yarden, Y. Molecular mechanisms underlying ERBB2/HER2 action in breast cancer. Oncogene 2000, 19, 6102–6114. [Google Scholar] [CrossRef] [PubMed]
- Schechter, A.L.; Stern, D.F.; Vaidyanathan, L.; Decker, S.J.; Drebin, J.A.; Greene, M.I.; Weinberg, R.A. The neu oncogene: An erb-B-related gene encoding a 185,000-Mr tumour antigen. Nature 1984, 312, 513–516. [Google Scholar] [CrossRef]
- Slamon, D.J.; Clark, G.M.; Wong, S.G.; Levin, W.J.; Ullrich, A.; McGuire, W.L. Human breast cancer: Correlation of relapse and survival with amplification of the HER-2/neu oncogene. Science 1987, 235, 177–182. [Google Scholar] [CrossRef]
- Swain, S.M.; Shastry, M.; Hamilton, E. Targeting HER2-positive breast cancer: Advances and future directions. Nat. Rev. Drug. Discov. 2022, 1–26. [Google Scholar] [CrossRef]
- Ng, C.K.; Martelotto, L.G.; Gauthier, A.; Wen, H.C.; Piscuoglio, S.; Lim, R.S.; Cowell, C.F.; Wilkerson, P.M.; Wai, P.; Rodrigues, D.N.; et al. Intra-tumor genetic heterogeneity and alternative driver genetic alterations in breast cancers with heterogeneous HER2 gene amplification. Genome Biol. 2015, 16, 107. [Google Scholar] [CrossRef]
- Abdul Razzaq, E.A.; Venkatachalam, T.; Bajbouj, K.; Rahmani, M.; Mahdami, A.; Rawat, S.; Mansuri, N.; Alhashemi, H.; Hamoudi, R.A.; Bendardaf, R. HER2 overexpression is a putative diagnostic and prognostic biomarker for late-stage colorectal cancer in North African patients. Libyan J. Med. 2021, 16, 1955462. [Google Scholar] [CrossRef] [PubMed]
- Owen, D.R.; Wong, H.L.; Bonakdar, M.; Jones, M.; Hughes, C.S.; Morin, G.B.; Jones, S.J.M.; Renouf, D.J.; Lim, H.; Laskin, J.; et al. Molecular characterization of ERBB2-amplified colorectal cancer identifies potential mechanisms of resistance to targeted therapies: A report of two instructive cases. Cold Spring Harb. Mol. Case Stud. 2018, 4, a002535. [Google Scholar] [CrossRef]
- Pye, H.; Butt, M.A.; Funnell, L.; Reinert, H.W.; Puccio, I.; Rehman Khan, S.U.; Saouros, S.; Marklew, J.S.; Stamati, I.; Qurashi, M.; et al. Using antibody directed phototherapy to target oesophageal adenocarcinoma with heterogeneous HER2 expression. Oncotarget 2018, 9, 22945–22959. [Google Scholar] [CrossRef] [PubMed][Green Version]
- Choudhury, K.R.; Yagle, K.J.; Swanson, P.E.; Krohn, K.A.; Rajendran, J.G. A robust automated measure of average antibody staining in immunohistochemistry images. J. Histochem. Cytochem. 2010, 58, 95–107. [Google Scholar] [CrossRef]
- Li, Y.M.; Pan, Y.; Wei, Y.; Cheng, X.; Zhou, B.P.; Tan, M.; Zhou, X.; Xia, W.; Hortobagyi, G.N.; Yu, D.; et al. Upregulation of CXCR4 is essential for HER2-mediated tumor metastasis. Cancer Cell 2004, 6, 459–469. [Google Scholar] [CrossRef]
- Chaudhury, A.; Hussey, G.S.; Ray, P.S.; Jin, G.; Fox, P.L.; Howe, P.H. TGF-beta-mediated phosphorylation of hnRNP E1 induces EMT via transcript-selective translational induction of Dab2 and ILEI. Nat. Cell Biol. 2010, 12, 286–293. [Google Scholar] [CrossRef]
- Ning, Z.; Cox, A.J.; Mullikin, J.C. SSAHA: A fast search method for large DNA databases. Genome Res. 2001, 11, 1725–1729. [Google Scholar] [CrossRef]
- Li, H. Exploring single-sample SNP and INDEL calling with whole-genome de novo assembly. Bioinformatics 2012, 28, 1838–1844. [Google Scholar] [CrossRef] [PubMed]
- Smith, T.F.; Waterman, M.S.; Fitch, W.M. Comparative biosequence metrics. J. Mol. Evol. 1981, 18, 38–46. [Google Scholar] [CrossRef] [PubMed]
- Love, M.I.; Huber, W.; Anders, S. Moderated estimation of fold change and dispersion for RNA-seq data with DESeq2. Genome Biol. 2014, 15, 550. [Google Scholar] [CrossRef] [PubMed]
- Ritchie, M.E.; Phipson, B.; Wu, D.; Hu, Y.; Law, C.W.; Shi, W.; Smyth, G.K. limma powers differential expression analyses for RNA-sequencing and microarray studies. Nucleic Acids Res. 2015, 43, e47. [Google Scholar] [CrossRef]
- Hamoudi, R.A.; Appert, A.; Ye, H.; Ruskone-Fourmestraux, A.; Streubel, B.; Chott, A.; Raderer, M.; Gong, L.; Wlodarska, I.; De Wolf-Peeters, C.; et al. Differential expression of NF-kappaB target genes in MALT lymphoma with and without chromosome translocation: Insights into molecular mechanism. Leukemia 2010, 24, 1487–1497. [Google Scholar] [CrossRef]
- Subramanian, A.; Tamayo, P.; Mootha, V.K.; Mukherjee, S.; Ebert, B.L.; Gillette, M.A.; Paulovich, A.; Pomeroy, S.L.; Golub, T.R.; Lander, E.S.; et al. Gene set enrichment analysis: A knowledge-based approach for interpreting genome-wide expression profiles. Proc. Natl. Acad. Sci. USA 2005, 102, 15545–15550. [Google Scholar] [CrossRef]
- Liu, F.; Ren, C.; Jin, Y.; Xi, S.; He, C.; Wang, F.; Wang, Z.; Xu, R.H.; Wang, F. Assessment of two different HER2 scoring systems and clinical relevance for colorectal cancer. Virchows. Arch 2020, 476, 391–398. [Google Scholar] [CrossRef]
- Huang, Z.H.; Du, Y.P.; Wen, J.T.; Lu, B.F.; Zhao, Y. snoRNAs: Functions and mechanisms in biological processes, and roles in tumor pathophysiology. Cell Death Discov. 2022, 8, 259. [Google Scholar] [CrossRef]
- Liang, J.; Wen, J.; Huang, Z.; Chen, X.P.; Zhang, B.X.; Chu, L. Small Nucleolar RNAs: Insight Into Their Function in Cancer. Front. Oncol. 2019, 9, 587. [Google Scholar] [CrossRef] [PubMed]
- Fang, X.; Yang, D.; Luo, H.; Wu, S.; Dong, W.; Xiao, J.; Yuan, S.; Ni, A.; Zhang, K.J.; Liu, X.Y.; et al. SNORD126 promotes HCC and CRC cell growth by activating the PI3K-AKT pathway through FGFR2. J. Mol. Cell Biol. 2017, 9, 243–255. [Google Scholar] [CrossRef] [PubMed]
- Liu, Y.; Zhao, C.; Wang, G.; Chen, J.; Ju, S.; Huang, J.; Wang, X. SNORD1C maintains stemness and 5-FU resistance by activation of Wnt signaling pathway in colorectal cancer. Cell Death Discov. 2022, 8, 200. [Google Scholar] [CrossRef] [PubMed]
- Wu, H.; Qin, W.; Lu, S.; Wang, X.; Zhang, J.; Sun, T.; Hu, X.; Li, Y.; Chen, Q.; Wang, Y.; et al. Long noncoding RNA ZFAS1 promoting small nucleolar RNA-mediated 2’-O-methylation via NOP58 recruitment in colorectal cancer. Mol. Cancer 2020, 19, 95. [Google Scholar] [CrossRef]
- Yoshida, K.; Toden, S.; Weng, W.; Shigeyasu, K.; Miyoshi, J.; Turner, J.; Nagasaka, T.; Ma, Y.; Takayama, T.; Fujiwara, T.; et al. SNORA21—An Oncogenic Small Nucleolar RNA, with a Prognostic Biomarker Potential in Human Colorectal Cancer. EBioMedicine 2017, 22, 68–77. [Google Scholar] [CrossRef]
- Schatoff, E.M.; Leach, B.I.; Dow, L.E. Wnt Signaling and Colorectal Cancer. Curr. Colorectal. Cancer Rep. 2017, 13, 101–110. [Google Scholar] [CrossRef]
- Zhao, H.; Ming, T.; Tang, S.; Ren, S.; Yang, H.; Liu, M.; Tao, Q.; Xu, H. Wnt signaling in colorectal cancer: Pathogenic role and therapeutic target. Mol. Cancer 2022, 21, 144. [Google Scholar] [CrossRef]
- de Sousa, E.M.; Vermeulen, L.; Richel, D.; Medema, J.P. Targeting Wnt signaling in colon cancer stem cells. Clin. Cancer Res. 2011, 17, 647–653. [Google Scholar] [CrossRef]
- Jung, D.H.; Bae, Y.J.; Kim, J.H.; Shin, Y.K.; Jeung, H.C. HER2 Regulates Cancer Stem Cell Activities via the Wnt Signaling Pathway in Gastric Cancer Cells. Oncology 2019, 97, 311–318. [Google Scholar] [CrossRef]
- Chung, I.M.; Rajakumar, G. Genetics of Congenital Heart Defects: The NKX2-5 Gene, a Key Player. Genes 2016, 7, 6. [Google Scholar] [CrossRef]
- Lyons, I.; Parsons, L.M.; Hartley, L.; Li, R.; Andrews, J.E.; Robb, L.; Harvey, R.P. Myogenic and morphogenetic defects in the heart tubes of murine embryos lacking the homeo box gene Nkx2-5. Genes Dev. 1995, 9, 1654–1666. [Google Scholar] [CrossRef] [PubMed]
- Tanaka, M.; Chen, Z.; Bartunkova, S.; Yamasaki, N.; Izumo, S. The cardiac homeobox gene Csx/Nkx2.5 lies genetically upstream of multiple genes essential for heart development. Development 1999, 126, 1269–1280. [Google Scholar] [CrossRef]
- Hwang, C.; Jang, S.; Choi, D.K.; Kim, S.; Lee, J.H.; Lee, Y.; Kim, C.D.; Lee, J.H. The role of nkx2.5 in keratinocyte differentiation. Ann. Dermatol. 2009, 21, 376–381. [Google Scholar] [CrossRef]
- Nagel, S.; Kaufmann, M.; Drexler, H.G.; MacLeod, R.A. The cardiac homeobox gene NKX2-5 is deregulated by juxtaposition with BCL11B in pediatric T-ALL cell lines via a novel t(5;14)(q35.1;q32.2). Cancer Res. 2003, 63, 5329–5334. [Google Scholar]
- Penha, R.C.C.; Buexm, L.A.; Rodrigues, F.R.; de Castro, T.P.; Santos, M.C.S.; Fortunato, R.S.; Carvalho, D.P.; Cardoso-Weide, L.C.; Ferreira, A.C.F. NKX2.5 is expressed in papillary thyroid carcinomas and regulates differentiation in thyroid cells. BMC Cancer 2018, 18, 498. [Google Scholar] [CrossRef]
- Shibata, K.; Kajiyama, H.; Yamamoto, E.; Terauchi, M.; Ino, K.; Nawa, A.; Kikkawa, F. Establishment and characterization of an ovarian yolk sac tumor cell line reveals possible involvement of Nkx2.5 in tumor development. Oncology 2008, 74, 104–111. [Google Scholar] [CrossRef]
- Chen, M.J.; Chen, P.M.; Wang, L.; Shen, C.J.; Chen, C.Y.; Lee, H. Cisplatin sensitivity mediated by NKX2-1 in lung adenocarcinoma is dependent on p53 mutational status via modulating TNFSF10 expression. Am. J. Cancer Res. 2020, 10, 1229–1237. [Google Scholar] [PubMed]
- Chen, P.M.; Wu, T.C.; Cheng, Y.W.; Chen, C.Y.; Lee, H. NKX2-1-mediated p53 expression modulates lung adenocarcinoma progression via modulating IKKbeta/NF-kappaB activation. Oncotarget 2015, 6, 14274–14289. [Google Scholar] [CrossRef][Green Version]
- Tsai, L.H.; Chen, P.M.; Cheng, Y.W.; Chen, C.Y.; Sheu, G.T.; Wu, T.C.; Lee, H. LKB1 loss by alteration of the NKX2-1/p53 pathway promotes tumor malignancy and predicts poor survival and relapse in lung adenocarcinomas. Oncogene 2014, 33, 3851–3860. [Google Scholar] [CrossRef][Green Version]
- Winslow, M.M.; Dayton, T.L.; Verhaak, R.G.; Kim-Kiselak, C.; Snyder, E.L.; Feldser, D.M.; Hubbard, D.D.; DuPage, M.J.; Whittaker, C.A.; Hoersch, S.; et al. Suppression of lung adenocarcinoma progression by Nkx2-1. Nature 2011, 473, 101–104. [Google Scholar] [CrossRef]
- Li, H.; Wang, J.; Huang, K.; Zhang, T.; Gao, L.; Yang, S.; Yi, W.; Niu, Y.; Liu, H.; Wang, Z.; et al. Nkx2.5 Functions as a Conditional Tumor Suppressor Gene in Colorectal Cancer Cells via Acting as a Transcriptional Coactivator in p53-Mediated p21 Expression. Front. Oncol. 2021, 11, 648045. [Google Scholar] [CrossRef]
- Chen, G.; Jiang, J.; Wang, X.; Feng, K.; Ma, K. lncENST Suppress the Warburg Effect Regulating the Tumor Progress by the Nkx2-5/ERBB2 Axis in Hepatocellular Carcinoma. Comput. Math. Methods Med. 2021, 2021, 6959557. [Google Scholar] [CrossRef]
- Lindqvist, B.M.; Wingren, S.; Motlagh, P.B.; Nilsson, T.K. Whole genome DNA methylation signature of HER2-positive breast cancer. Epigenetics 2014, 9, 1149–1162. [Google Scholar] [CrossRef]
- Cambier, L.; Plate, M.; Sucov, H.M.; Pashmforoush, M. Nkx2-5 regulates cardiac growth through modulation of Wnt signaling by R-spondin3. Development 2014, 141, 2959–2971. [Google Scholar] [CrossRef]
Disclaimer/Publisher’s Note: The statements, opinions and data contained in all publications are solely those of the individual author(s) and contributor(s) and not of MDPI and/or the editor(s). MDPI and/or the editor(s) disclaim responsibility for any injury to people or property resulting from any ideas, methods, instructions or products referred to in the content. |
© 2022 by the authors. Licensee MDPI, Basel, Switzerland. This article is an open access article distributed under the terms and conditions of the Creative Commons Attribution (CC BY) license (https://creativecommons.org/licenses/by/4.0/).






