Simple Summary
Primary liver tumors impose significant patient morbidity and mortality with overall poor prognosis. To date, conventional therapies have provided only modest survival benefit to patients. Developments in genomics, molecular biomarkers, and artificial intelligence are introducing novel patient-centered approaches to treat primary liver tumors to improve patient survival. Recent FDA-approved immune checkpoint inhibitors Atezolizumab–Bevacizumab and Durvalumab–Tremelimumab have demonstrated improved survival outcomes and in many cases disease downstaging to curative resection. Clinical trials investigating combined immunotherapy and locoregional therapy in advanced liver disease are ongoing with promising preliminary results. Future directions in liver cancer management will likely incorporate treatment algorithms based on individualized patient molecular biomarkers.
Abstract
Primary liver cancer is the sixth most common cancer worldwide and the third leading cause of cancer-related death. Conventional therapies offer limited survival benefit despite improvements in locoregional liver-directed therapies, which highlights the underlying complexity of liver cancers. This review explores the latest research in primary liver cancer therapies, focusing on developments in genomics, molecular biomarkers, and artificial intelligence. Attention is also given to ongoing research and future directions of immunotherapy and locoregional therapies of primary liver cancers.
1. Introduction
Primary liver cancer is the sixth most common cancer worldwide and the third leading cause of cancer-related death [1]. Hepatocellular carcinoma (HCC) and cholangiocarcinoma (CCA) comprise almost all liver cancers (75–85% and 10–15%, respectively). Early detection of liver cancers is limited, contributing to an overall poor prognosis of both HCC and CCA. Incidence and mortality are two to three times higher in men globally [1]. The highest incidence is found in southeastern Asia, where it accounts for the leading cause of death in men and women. In 2020, there were 905,677 new cases (9.5 per 100,000) and 830,180 deaths (8.7 per 100,000) globally [1]. In the United States in 2020, the overall 5-year survival for liver cancer was 29.4%. Consequently, liver cancer generates significant individual morbidity and mortality and contributes to rising global healthcare expenditure. This review explores the latest research in primary liver cancer therapies, focusing on developments in genomics, molecular biomarkers, and artificial intelligence. Attention is also given to ongoing research and future directions of immunotherapy and locoregional therapies of primary liver cancers.
1.1. Hepatocellular Carcinoma
The main risk factors for the development of HCC include cirrhosis, chronic hepatitis B virus (HBV), hepatitis C virus (HCV), alcohol consumption, smoking, obesity, type 2 diabetes, and consumption of aflatoxin-contaminated foods [1]. Staging and prognosis is commonly based on the Barcelona Clinical Liver Cancer (BCLC) [2]. Despite screening efforts in patients with cirrhosis, most HCC is diagnosed at advanced-stage unresectable disease. Conventional treatment options in advanced HCC include systemic and locoregional therapies, which have provided only modest survival benefit [3]. A paradigm shift in HCC management is currently underway involving target immunotherapies, which reflects advancements in comprehensive genomic profiling (CGP) and artificial intelligence (AI).
1.2. Cholangiocarcinoma
Although CCA is rare compared to HCC, data show that the incidence and mortality of CCA is increasing worldwide [4]. CCA is often asymptomatic in early stages, and consequently, most patients are diagnosed with advanced unresectable disease burden. The 5-year survival of unresectable CCA is 5% [5]. Risk factors include HBV and HCV infections, hepatolithiasis, nitrosamine compounds, history of primary sclerosing cholangitis and inflammatory bowel disease, and geographic risk factors such as liver fluke infections in southeastern Asia [1].
CCA tumor location impacts diagnosis and dictates treatment options. Extrahepatic CCA (eCCA) accounts for 90% of total CCA and is classified into perihilar (50%) and distal (40%) subtypes. Intrahepatic CCA (ICC) accounts for only 10% of total CCA yet is attributed to higher morbidity and mortality relative to eCCA [6]. The Liver Cancer Study Group of Japan (LCSTJ) categorizes ICC into three patterns: mass forming, periductal infiltrating and intraductal [7]. ICC remains clinically asymptomatic until advanced disease, as intrahepatic lesions are less likely to cause obstructive jaundice compared to eCCA [8]. Surgical resection of early-stage ICC is potentially curative, yet disease recurrence is prevalent [4]. The high incidence of genetic alternations in ICC pathophysiology contributes to overall poor survival. Advances in CGP and AI have uncovered potential biomarkers for targeted immunotherapy with several phase II and III clinical trials currently underway. Current studies are also evaluating combination liver-directed therapy and targeted immunotherapy with promising early results [9,10,11,12].
2. Pathophysiology, Genomics and Biomarkers
CGP has contributed to significant advancements in the diagnosis, management, and prognosis of liver disease. Alterations in DNA repair pathways are major precursors to oncogenesis, including deficient mismatch repair (dMMR) and high microsatellite instability (MSI-H) genes implicated in HCC and biliary tract cancers (BTCs) [13,14]. The precise mechanisms of oncogensis, disease progression and metastasis, drug resistance, and disease recurrence are complex and multifactorial. The following overview aims to characterize the molecular basis of HCC and ICC to highlight relevant factors contributing to current therapy. It is not a complete analysis of liver tumor molecular genomics and will only focus on biomarkers pertaining to the tumor microenviroment.
2.1. Hepatocellular Carcinoma
Liver physiology and function includes a complex immune regulatory microenvironment controlled by hepatic stellate cells (HSCs), Kupffer cells and liver sinusoidal endothelial cells (LSECs). Chronic liver injury triggers pro-inflammatory cytokine-induced tissue remodeling, increased collagen deposition, and expanded extracellular matrix, which cumulatively lead to progressive liver fibrosis and eventual cirrhosis [15]. Chronic liver injury induces HSCs and LSECs to express high levels of transforming growth factor-ß (TGF-ß), which is the most potent stimulator of fibrogenesis [15]. Similarly hepatic injury triggers HSC trans-differentiation into myofibroblast-like cells, which further promotes fibrogenesis. These myofibroblast-like cells also release α-smooth muscle actin (α-SMA) that suppresses normal T-cell immune response, contributing to hepatic immunosuppression and pro-oncogenesis [16]. Elevated alpha-SMA is a negative prognostic biomarker in HCC [17]. Through the continued release of pro-inflammatory cytokines and upregulation of growth factors, including TGF-ß, vascular endothelial growth factor (VEGF), and platelet-derived growth factor (PDGF), myofibroblasts transform into carcinoma-associated fibroblasts (CAFs) [18,19]. The translation of CAF into HCC is mediated through hepatocyte proliferation and migration, neo-angiogenesis, and inhibition of cellular apoptosis [20,21,22,23], including the upregulation of IL-6/progranulin/mTOR signaling cascade, increased expression of co-inhibitory molecules programmed cell death-1 (PD-1), programmed cell death ligand-1 (PD-L1) and cytotoxic T-lymphocyte associated antigen-4 (CTLA-4) [24,25]. This altered HCC tumor microenvironment (TME) subsequently downregulates regulatory immune checkpoints promoting immunosuppression and HCC evasion from normal tumor surveillance mechanisms [25,26,27,28,29,30]. The Golgi membrane protein-1 (GOLM1) also promotes HCC TME immune escape via upregulation of the EGFR/PD-L1 pathway and is a biomarker of HCC progression and metastasis [23,31]. Additional biomarkers associated with disease progression and poor prognosis include decreased levels of tumor necrosis factors-α (TNF-α), elevated fibrosis-4 (FIB-4), low CD8+ T-cell infiltration, and elevated infiltration of regulatory T cells (Tregs) [22,28,32].
Alpha-fetoprotein (AFP) is a 70 kD glycoprotein normally produced in the fetal liver and yolk sac that is elevated in HCC in addition to other benign and malignant processes [33]. Serum AFP has been clinically recognized for decades as a biomarker of HCC, with numerous studies investigating the utility of serum AFP in the diagnosis, treatment response, and surveillance of HCC.
Several phase I and II studies are currently investigating therapeutic agents to mitigate the progression of liver fibrosis to prevent cirrhosis and circumnavigate the development of HCC, yet no treatments are available to date [34].
An additional feature of the HCC TME is chronic diffusion-limited hypoxia. Fibrotic architectural distortion of the liver combined with neoplastic cellular hypermetabolism results in cellular oxygen demand larger than hepatic artery oxygen supply [35]. A common finding in HCC is central tumor necrosis, which is implicated in 97% of large hepatic tumors [36]. The hypoxic TME upregulates hypoxia genes, notably hypoxia-inducible factor 1 (HIF-1), which influences gene expression in glucose metabolism, growth factor expression, cellular proliferation, angiogenesis and apoptosis [37]. Barriers to effective HCC management are rooted in the complex hypoxic TME. Bristow and Hill (2008) developed a hypoxia scoring system accounting for hypoxia gene signatures that retrospectively supported an early model for HCC risk stratification [38].
Early imaging evaluation of tissue oxygenation focused on radiolabeled biomarkers, including nitroimidazoles and nucleosides that are preferentially taken up by hypoxic cells and subsequently imaged on positron emission tomography (PET) [39,40,41,42,43]. Some studies utilized these PET tissue oxygenation biomarkers to guide radiation field and dosage in radiation therapy planning [44,45]. Newer studies have implemented functional MRI mapping to quantify tissue oxygenation. Jin et al. (2010) evaluated carbogen gas-challenge blood oxygen level-dependent (CG-BOLD) MRI in rats and found an inverse correlation between tissue oxygenation and progression of liver fibrosis (r = −0.773, p < 0.001) [46]. Guo et al. (2012) evaluated angiogenesis and hepatic tumor size in rats using CG-BOLD MRI, demonstrating a positive correlation between ΔR2* and tumor microvsessel density (r = 0.798, p = 0.01) and a negative correlation between ΔR2* and tumor size (r = −0.84, p < 0.001) [47]. In 2015, Zhang et al. employed the first CG-BOLD MRI in patients with HCC pre- and post-TACE demonstrating variability in T2* and R2* outcome parameters, which was attributed to HCC microenvironment complexity [48]. This preliminary study did, however, show a decrease in overall HCC oxygenation post-TACE, which the authors suggested could be used to monitor treatment response. More recently, Gordon et al. (2021) used GC-BOLD MRI in a rabbit model of HCC to evaluate tumor hypoxia in Y90 radioembolization, finding a correlation between baseline ΔR2* and tumor size post-Y90 (r = 0.798, p = 0.002), suggesting baseline tumor hypoxia may predict Y90 treatment response [49]. Tumor oxygenation has been proposed as a non-invasive radiologic biomarker in HCC; however, methods to standardize and quantify tumor hypoxia have yet to be clinically validated. Ongoing research is focused on radiologic imaging modalities to non-invasively evaluate tissue oxygenation.
2.2. Cholangiocarcinoma
The pathogenesis, disease progression, and treatment resistance of ICC is mediated by a complex and diverse network of genetic alternations, which are complicated by ICC subtype heterogeneity with different molecular mechanisms of cholangiocarcinogenesis [50]. Several oncogenic pathways have been investigated reflecting variability in progenitor cells, TME, epigenetic alterations, and carcinogen exposure [51,52,53]. All ICC subtypes arise from peribiliary gland (PBG) progenitor cells in the canals of Hering with the development of mucin-producing cholangiocytes [53,54]. Integrative genomic analysis of patients with ICC identified divergent inflammatory and proliferative classes of ICC based on gene expression profiles [55]. The authors proposed that inflammatory ICC is characterized by the overexpression of STAT3 causing an upregulation of pro-inflammatory cytokines IL-4 and IL-10, whereas proliferative ICC triggers Ras–MAPK pathway activation associated with worse prognosis and lower OS (24.3 vs. 47.2 months, p < 0.05). Several additional genes alternations in ICC pathogenesis have been investigated including intermediate filaments (CK-7,-17,-19,-20), markers of pancreaticobiliary and gastrointestinal origin (CA19-9, mCEA, and CA125), mucins (MUC2 and MUC5AC) and tumor suppressor protein SMAD4 [56]. Several genes involved in HCC oncogenesis have also been associated with ICC including TGF-ß/Wnt and α-fetoprotein [55,57,58].
Many solid organ tumors involve dMMR gene upregulation that imparts high tumor mutational burden (TMB-H), which has been implicated in 2–10% of advanced-stage biliary tract cancers (BTC) [13,14]. Given the rarity of ICC, most research groups ICC with general BTC isocitrate dehydrogenase 1 (IDH1) mutations have been linked to 15–30% of ICC with poor prognosis [59,60]. Other well-established oncogenic mutations in treatment-resistant BTC include tumor protein 53 (TP53, 17%), cyclin-dependent kinase inhibitor 2A (CDKN2A; 15%), fibroblast growth factor receptor 2 (FGFR2, 7.4%), and human epidermal growth factor receptor (HER), which are all associated with advanced BTC and poor overall survival [61,62,63,64]. CDKN2A-positive ICC tumors are also implicated in poor prognosis with no survival benefit following curative resection over systemic chemotherapy [62]. Similarly, other studies have demonstrated a negative predictive value and worse overall prognosis in BTC associated with IDH1, BRCA1-associated protein 1 (BAP1) and polybromo 1 (PBRM1) mutations [60,62]. Lowery et al. (2018) implemented MSK-IMPACT, a targeted CGP assay, to identify associations between genetic mutations and clinical manifestations in ICC [65]. The authors found that mutations in CDKN2A and ERBB2 conferred shorter time to progression and reduced overall survival in patients receiving systemic chemotherapy for advanced ICC. Recently, ferroptosis-related gene (FRG) upregulation has been implicated in advanced ICC [50], and a novel FRG signature model was proposed to predict ICC risk stratification and prognosis [66]. Ongoing research is underway to identify ICC prognostic biomarkers; however, no definite prognostic biomarkers in ICC have not yet been clinically validated. These data suggest that the TME is poorly described and/or of weak interest in CCA.
3. Artificial Intelligence
Continual advances in artificial intelligence (AI), particularly involving machine-learning (ML) and deep-learning (DL) paradigms, have been utilized to aid in the diagnosis, risk stratification, and prognosis of liver cancers, particularly focused on clinical data, histopathology, and radiology imaging. When discussing ML, this refers to the development of computer systems that can “learn” from patterns in data to extrapolate finding, without requiring instructions, but rather by using algorithms and statistical models. When discussing DL, this refers to a type of ML that is able to gather more intricate higher levels of data by utilizing processing layers. The utilization of AI models in the diagnosis and treatment of HCC and ICC will ideally contribute to tailored therapeutic approaches reflecting individual patient biomarkers and genetics to improve survival. The following overview of ML and DL paradigms is focused on current applications in liver disease to date. It is not a complete analysis or characterization of ML or DL, which is beyond the scope of this review.
3.1. Hepatocellular Carcinoma
AI algorithms have been designed to aid in the diagnosis of HCC. Sato et al. (2019) developed a novel ML system predictive model for HCC diagnosis using patient clinical datapoints, including alpha-fetoprotein and Des-gamma carboxyprothrombin, which demonstrated 87.34% predictive accuracy and area under the curve of 0.940 [67]. Similarly, Ksiazek et al. (2019) developed a support vector machine and genetic optimizer training ML model incorporating qualitative and quantitative criteria, including patient demographics, laboratory datapoints, and disease comorbidities, to predict the development of HCC with 88.5% yield accuracy [68].
A relatively new application of AI is focused on predictive models of HCC recurrence and survival based on several factors, including HCC genomic expression, histological features, and radiological biomarkers. Chaudhary et al. (2018) built a DL model to differentiate survival in HCC subpopulations utilizing RNA sequencing data from the Cancer Genome Atlas [69]. Their model determined that HCC subtypes with worse prognosis and lower survival are associated with TP53 mutations, elevated KRT19 and EPCAM stemness expression, BIRC5 tumor marker, and activated Wnt and Akt signal pathways.
Several studies have demonstrated the accuracy of AI histopathology models in the diagnosis of non-alcoholic hepatic steatosis (NASH) and non-alcoholic fatty liver disease (NAFLD) [70,71]. An early study by Vanderbeck et al. (2014) showed a support vector machine (SVM) algorithm to quantify hepatic steatosis with 89% accuracy [72]. More recently, Forlano et al. (2020) employed an ML quantification of liver morphology to calculate a NASH score with 80% accuracy [73]. Similarly, Gawrieh et al. (2020) developed a ML model to classify patterns of liver fibrosis with area under the curve (AUC) between 0.77 and 0.95 [74]. A landmark study by Taylor-Weiner et al. (2021) developed an ML model to quantify fibrosis and predict the progression of NASH (C-index up to 0.73) [75].
AI histopathology models have also been developed to diagnose HCC and predict survival following HCC resection. Aatresh et al. (2021) created a DL model titled LiverNet for the automatic diagnosis of HCC subtypes with 90.9% accuracy [76]. Additionally, several studies have developed DL algorithms to grade HCC by hepatic nuclei features [77,78]. Sailard et al. (2020) employed a DL model using whole-slide digitized histological slides following HCC surgical resection to predict survival [79]. This model determined that HCC tumors involving vascular spaces, macrotrabecular architectural pattern and lack of immune infiltration were most predictive of poor survival outcome (C-index up to 0.78). Another ML model using digital histopathology predicted early HCC recurrence following surgical resection with 90% accuracy [80].
Two categories of AI have been utilized in the imaging of liver disease. Radiomics uses supervised ML algorithms to quantify imaging features into relevant datapoints, and convolutional neural networks (CNNs) employ automated DL systems to extract pertinent imaging parameters [81]. Both AI tools have been devised to detect liver lesions, classify lesion severity, and predict survival outcomes.
Early work by Christ et al. (2016) used DL model CNNs to map liver morphology and identify focal liver lesions on CT [82]. Hasan et al. (2017) employed DL stacked sparse auto-encoding in ultrasound to classify liver lesions as cysts, hemangiomas, or HCC by highest probability with 97.2% accuracy [83]. DL systems have also been used in an ultrasound to categorize focal liver lesions as benign or malignant with a mean receiver operating characteristic of 0.916 [84] and accuracy, sensitivity, and specificity of 93%, 91%, and 97%, respectively [85]. Additional AI systems employing CT and MR modalities to identify and categorize focal liver lesions have yielded similar results [86,87,88,89]. Traditional computer-aided diagnostic systems relied on manual data acquisition from imaging features including texture and contour segmentation to characterize and classify tumors. These models provided similar high accuracy in tumor detection to current DL and ML models, yet they relied on supervised rather than automated data acquisition and longer processing times [82,84,86].
Microvascular invasion (MVI) is a major predictor of tumor recurrence post HCC resection, yet no clinically validated predictive parameters of MVI have been widely implemented into routine patient management. Several studies have reported promising early results, including Dong et al. (2020), who developed a radiomic AI algorithm using grayscale ultrasound to predict pre-operative HCC MVI [90]. The model quantified US radiomic signatures of gross-tumoral region (GTR), peri-tumoral region (PTR), and gross peri-tumoral region (GPTR), which combined with clinical datapoints classified pre-operative HCC patients into low-risk MVI and high-risk MVI groups with up to 81% accuracy. Similarly, Ji et al. (2019) used an ML algorithm of contrast-enhanced CT to develop three radiomic signatures to predict HCC recurrence in combination with clinical datapoints, which demonstrated promising prognostic probability for HCC recurrence (C-index of 0.733–0.801 and integrated Brier score of 0.147–0.165; p < 0.05) relative to prior non-radiomics models including the Early Recurrence After Surgery for Liver (ERASL) model (C-index of 0.622; p < 0.001) [91]. A similar multiphase-CT DL model was developed by Wang et al. (2019) yielding an area under the curve of 0.825 [92]. A recent study by He et al. (2021) used a DL model to incorporate MRI radiomics, histopathology, and clinical datapoints to predict HCC recurrence post-liver transplant with promising results (AUC 0.87) [93].
AI models have also been developed to predict response to liver-directed therapy. Abajian et al. (2018) developed an ML model based on MRI radiomics and clinical datapoints to predict treatment response to TACE with 78% accuracy and 88.5% negative predictive value [94]. The model determined that the strongest predictors of post-TACE treatment response were the presence of cirrhosis with elevated relative tumor signal intensity. Similar results were obtained evaluating treatment response following radiofrequency ablation [95]. Morshid et al. (2019) predicted post-TACE response using a DL model combining CT radiomics with BCLC score, which demonstrated higher accuracy relative to BCLC stage alone (74.2% and 62.9%, respectively) [96]. Several DL models have also successfully predicted post-TACE response using pre-treatment CT radiomics, RECIST criteria and MVI [97,98].
3.2. Cholangiocarcinoma
ICC is a rare disease with complex genetic alterations that affect disease progression and treatment resistance. Most studies rely on pooled data using all BTC subtypes to evaluate a treatment regimen. To date, there is no standardized staging or treatment algorithm to identify patients who will benefit from conventional systemic therapy, immunotherapy, locoregional therapy, or combination therapy [99]. Consequently, AI models are being developed to assist in identifying ICC risk factors, diagnosing, and staging of disease and predicting survival outcomes based on genetic markers [100].
Ji et al. (2022) developed a gradient boosting machine learning (GBM) model to predict the likelihood of cancer-specific survival following ICC surgical resection [100]. The performance of the GBM model was compared to the prior prognostic score and staging systems for ICC that have shown only modest prognostic accuracy [92,101]. The multifocality, extrahepatic extension, grade, nodal status, and age (MEGNA) staging system and the American Joint Committee on Cancer (AJCC) ICC staging manual both rely on data acquired following post-operative hepatectomy and are restricted by qualifiers that preclude modification in the assessment tool. The GBM model was trained using data from an international cohort of over 1000 patients with ICC. The authors reported that the GBM model outperformed both the AJCC and MEGNA models in identifying low-risk and early-stage ICC patients [100]. The GBM model also established a risk stratification tool for cancer-specific-death based on low, intermediate, and high-risk groups.
Zhou et al. (2022) similarly developed an ML model to establish a clinically relevant support tool to predict outcomes in patients with ICC [102]. The ML model was developed by harvesting data from over 4000 patients from the surveillance, epidemiology, and end results (SEER) database. The authors report that the ML model successfully predicted short-term prognosis in ICC patients following treatment based on clinical parameters, surgery, systemic therapy, and TNM staging.
The incorporation of AI applications in healthcare is rapidly evolving and will likely become a significant contributor to the diagnosis, risk stratification, and treatment of liver disease and beyond. Ideally, AI will help contribute to tailored therapeutic approaches in HCC and ICC reflecting individual patient biomarkers and genetics.
4. Treatment
4.1. Hepatocellular Carcinoma
Patients with localized and early-stage HCC may undergo curative surgical resection or locoregional therapy, but advanced disease is treated with systemic therapy. Despite the wide availability of conventional therapies for HCC, overall survival rates remain poor due to treatment resistance, high disease recurrence and metastasis [103], including an estimated 70–80% disease recurrence in early-stage HCC following curative resection or ablation [104].
Early systemic first-line treatment of advanced HCC was Sorafenib, an anti-VEGF/anti-PDGFR tyrosine kinase inhibitor, which in the SHARP trial demonstrated superior OS relative to placebo (median OS 10.7 vs. 7.9 months) [105]. The REFLECT phase III trial in Japan subsequently demonstrated that Lenvatinib increased survival compared to Sorafenib (median OS 13.6 vs. 12.3 months, HR = 0.92, 95% CI: 0.79–1.06) [106]. More recently, studies have investigated the efficacy of immune checkpoint inhibitors (ICIs). Pembrolizumab (anti-PD-1 mAb) was FDA approved for the treatment of unresectable or metastatic MSI-H/dMMR solid tumors including as second-line treatment of advanced HCC following results from the KEYNOTE-240 phase III trial that demonstrated a trend toward improved median PFS and median OS despite not reaching statistical significance [107]. Similarly, the CHECKMATE 459 randomized, multicenter, open-label phase III trial reported no significant difference in overall survival between Nivolumab and Sorafenib, yet Nivolumab has potential for treatment in patients with contraindications to Sorafenib. Furthermore, grade 3 or 4 adverse events were reported in 22% for Nivolumab compared to 49% in Sorefenib [108]. A list of completed and ongoing trials is summarized in Table 1.
Table 1.
Clinical trials involving immunotherapy for hepatocellular carcinoma treatment.
The IMBRAVE150 global, open-label, phase III trial demonstrated that the combination of Atezolizumab (Anti-PD-L1 mAb) and Bevacizumab (anti-VEGF) relative to Sorafenib resulted in superior overall survival (median OS 67.2% vs. 54.6%) and improved median PFS of 6.8 months vs. 4.3 months (HR = 0.59, 95% CI: 0.47–0.76, p < 0.001) [107]. In 2021, the IMBRAVE150 update with an additional 12-month follow-up confirmed survival benefit with a median OS 19.2 vs. 13.4 months (HR 0.66, 95% CI 0.52–0.85, p < 0.001) and updated ORR of 29.8% (per RECIST 1.1 criteria) including complete response in 7.7% of patients [109]. Atezolizumab–Bevacizumab subsequently became first-line treatment for unresectable HCC. Additionally, a second drug combination was recently FDA-approved: Durvalumab/Tremelimumab (DT) immunotherapy following results from the HIMALAYA phase III trial which demonstrated significantly increased survival relative to Sorafenib with a median OS of 16.4 months vs. 13.8 months (HR 0.78, 95% CI 0.66–0.92, p = 0.0035), median PFS of 3.8 months (95% CI: 3.7–5.3) vs. 4.1 months (95% CI: 3.7–5.5) and ORR of 20.1% (95% CI: 16.3–24.4) vs. 5.1% (95% CI: 3.2–7.8) [110].
Liver-direct locoregional therapies (LRTs) utilize intra-arterial embolization and percutaneous ablative techniques to treat HCC for bridge to transplant or curative intent in early-stage disease, for downstaging to resection or transplantation in intermediate-stage disease, and for palliation in advanced-stage disease. The effect of LRTs on HCC is twofold: via direct damage of tumor cells and by immunomodulation of the TME. Induced tumor necrosis following LRT triggers a local and systemic immune response, which has been shown to enhance the anti-tumor response but paradoxically may also stimulate oncogenesis via pro-inflammatory triggers, overexpression of hypoxia-induced factors (HIFs), VEGF upregulation of angiogenesis, and tumor cell metastasis [103,111,112,113]. Studies have reported HCC tumor progression, disease recurrence, and overall worse outcomes in both thermal and non-thermal liver-directed LRTs [35,103,112,113,114,115,116]. Immunomodulation following LRTs has also demonstrated improved overall survival via the activation of intratumoral infiltrates including tumor-specific CD8+ T-cells [117,118,119,120,121,122,123]. Combination LRT and targeted immunotherapy studies to evaluate potential synergistic anti-tumor responses are currently underway.
Radiofrequency ablation (RFA) is the first-line ablative therapy used for early-stage HCC in tumors < 5 cm with high efficacy and low risk of complications [103,124,125], but it has been associated with tumor progression and recurrence when used as monotherapy [124], possibly reflecting incomplete ablation zones [126], resulting in elevated HIF-1 and VEGF levels that have been associated with worse prognosis following RFA [127]. However, the incorporation of volumetric ablative margin registration software following RFA significantly improved assessment of HCC ablation zone completeness with better predictive value for local tumor progression and lower tumor recurrence [128,129,130,131]. RFA-induced local and systemic immunomodulation also increases tumor-specific CD8+ T cells [117,121] and decreases pro-oncogenic factors TGF-ß, IL-10, and Tregs [123,132,133]. Increased infiltrating CD45RO+ memory T cells following RFA is a biomarker for improved clinical outcomes in solid tumors [134]. Several studies have investigated combination RFA and targeted immunotherapy in HCC with preliminary results showing improved anti-tumor T cell response, reduced risk of HCC recurrence and improved PFS [135,136,137,138,139]. Recently published interim data from the IMBRAVE050 phase III, multicenter, randomized, open-label clinical trial demonstrated adjuvant Atezolizumab–Bevacizumab therapy following early-stage HCC curative resection or ablation (RFA or MWA) significantly improved recurrence-free survival relative to active surveillance [104].
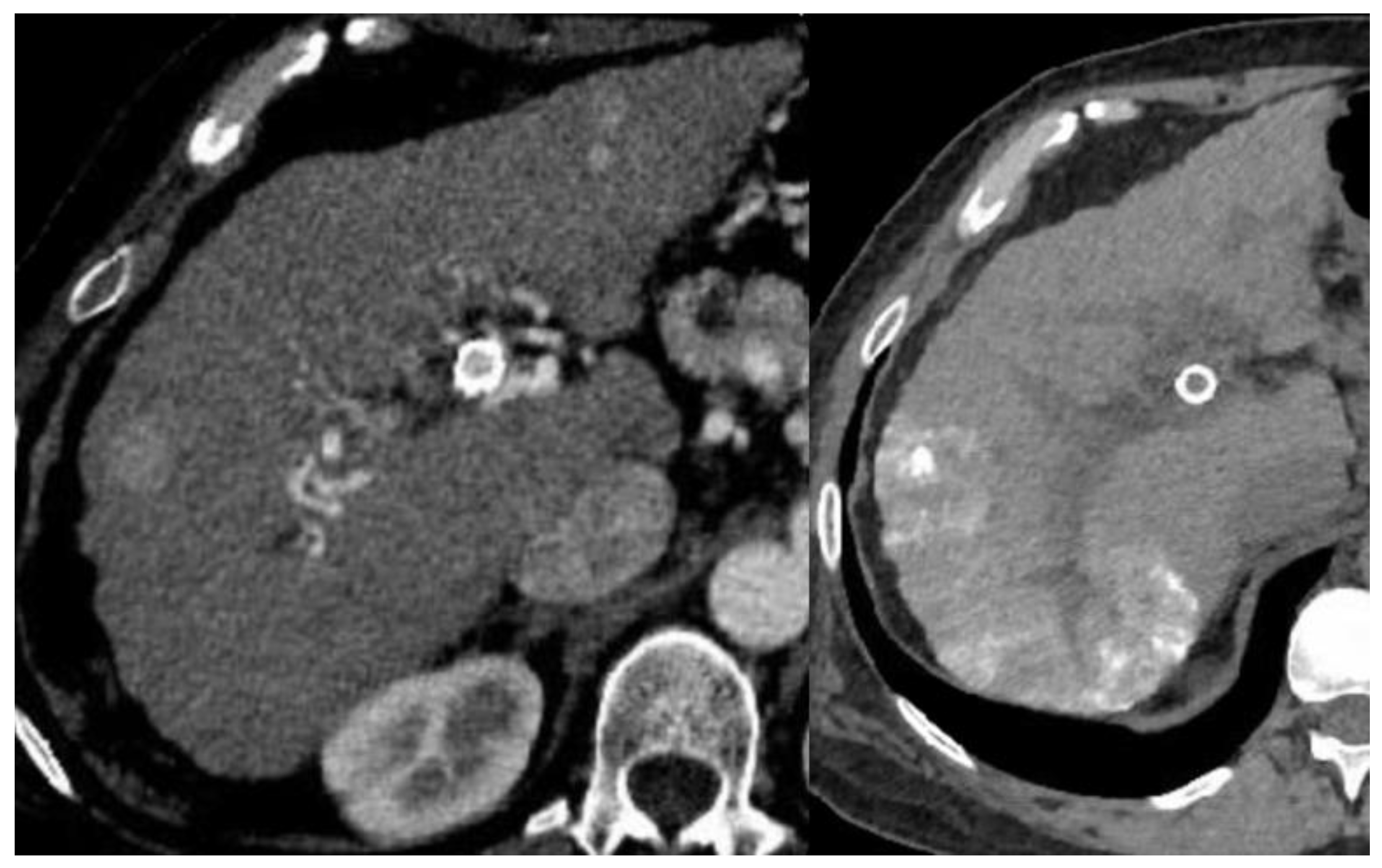
TACE is the standard treatment for a subset of patients with intermediate-stage HCC reflecting the recent 2022 Barcelona Clinic Liver Cancer (BCLC) update indicating well-defined multinodular HCC with patent portal vein and preserved liver function [2,103] (see Figure 1). TACE causes local tumor cell destruction and induces a systemic immunomodulating response leading to elevated CD4+/CD8+ ratio, increased NK cells, decreased Treg, and decreased CD8+ T cells [140,141,142]. Similarly to RFA, studies have shown that post-TACE elevation in HIF-1 and VEGR is associated with poor prognosis [103,143]. Patients with advanced-stage HCC have limited treatment options. TARE is used to for tumor downstaging to transplant or resection or for palliation [144]. TARE similarly activates a strong systemic immune response with elevation in infiltrating CD8+ T cells, NK cells, and TNF-α [145,146]. A meta-analysis by Zhang et al. (2015) comparing outcomes of TACE and TARE in unresectable HCC showed that TARE was associated with less HIF-1 and VEGF upregulation and improved overall survival [147]. Several current studies are evaluating the effect of IAT combined with ICI with preliminary data suggesting an augmented immunological response leading to improved survival outcomes. An open-label, Phase I study that evaluated TARE and Nivolumab reported an 82% disease control rate and that 46% of patients had decreased circulating AFP levels [148]. A phase II trial of TARE followed by Nivolumab demonstrated improved outcomes with ORR 30.6% (95% CI: 16.4–48.1). The NASIR-HCC phase II trial of Nivolumab and TARE reported ORR of 41.5% (95% CI: 26.3–57.9%) and mean OS of 20.9 months (95% CI: 17.7–24.1) with four patients downstaged to resection [149]. Additional trials investigating Nivolumab with DEB-TACE and Pembrolizumab with TACE are underway [150,151].
Figure 1.
Hepatocellular carcinoma pre- and post-TACE.
The image of a contrast-enhanced CT on the left shows a cirrhotic liver with arterial phase hyperenhancing segment 7 mass, corresponding to a known HCC. A non-contrast CT image on the right is post-TACE showing residual lipiodol in the right hepatic lobe.
4.2. Cholangiocarcinoma
Systemic therapy is the only available treatment for patients with unresectable and recurrent ICC. First-line treatment with combination gemcitabine and cisplatin (GC) was based on the benchmark ABC-02 phase III trial by Valle et al. (2010) that demonstrated a 36% reduced risk of disease progression relative to gemcitabine alone (hazard ratio = 0.65, p < 0.001); however, OS remained dismal at 11.7 months [152]. Similar results were obtained in the Japanese BT22 phase II study [153]. Subsequent studies provided clinical validation for CG treatment in advanced biliary tract cancers and are considered standard of care despite only modest survival benefit [154]. Furthermore, not all patients with ICC respond to CG combination therapy. Argarwal et al. (2016) found that patients with poor performance status (PS > 2), elevated CEA (>3) and advanced disease (Stage IVb) at baseline were negative prognostic predictors of poor response to GC therapy [154]. Research into neoadjuvant chemotherapy regimens for ICC is ongoing, including the SWOG-1815 phase III trial investigating triple therapy gemcitabine, cisplatin and nab-paclitaxel, with promising results from its phase II trial showing 11.8 month progression-free survival (95% CI: 6.0 to 15.6 months) and overall survival 19.5 months (95% CI: 10.0 months to non-estimable) [155]. The authors also reported that 20% of subjects achieved downgraded disease burden and underwent curative resection.
The IDH1 inhibitor ivosidenib was recently evaluated in the ClarIDHY phase III multicenter, randomized, double-blind study, which compared ivosidenib to placebo in IDH1-mutant ICC demonstrating significantly improved progression-free survival (2.7 months vs. 1.4 months; HR = 0.37, p < 0.001) and median overall survival (10.3 months vs. 5.1 months; HR = 0.49, p < 0.001) [156,157]. Several studies have demonstrated mixed results evaluating the efficacy of EGFR inhibitors, which block the effect of ERBB2 mutations in ICC, including monotherapy with erlotinib and cetuximab, in addition to combination therapy of EGRF inhibitors with gemcitabine–cisplatin [158,159,160]. FGFR inhibitors have been evaluated in phase II trials for advanced ICC [161,162,163]. The FIGHT-202 phase II trial demonstrated improved clinical benefit from pemigatinib with ORR 35.5% (95% CI: 26.5–45.4) and it is currently approved for advanced BTCs in many countries for patients with FGFR2 fusion or rearrangement [63].
Molecular biomarkers identified from ICC genetic sequencing data have been used as targets of immunotherapy in advanced ICC, including a list of completed and ongoing trials summarized in Table 2. Monotherapy with PD-1 and PD-L1 inhibitors has demonstrated only a modest benefit in patients with advanced BTCs with objective response rates (ORRs) between 3 and 7% in the largest clinical trials [164,165]. A KEYNOTE-158 Phase II trial evaluating Pembrolizumab (anti-PD-L1) in treatment-resistant advanced BTC demonstrated median PFS 2.0 months (CI 1.9–2.1) and median OS 7.4 months (CI 5.5–9.6) [164]. In the study, 64% of the 95 patients had PD-L1 tumor expression with an objective response rate (ORR) by RECIST to Pembrolizumab of 6.6% (CI 1.8–15.9) in PD-L1 positive patients compared to 2.9% (CI 0.1–15.3) in PD-L1 negative patients. Of note, none of the patient had MSI-H mutations. Few patients experienced grade 3 adverse events (13%), and no grade 4 or 5 adverse events were reported. Subsequently, Pembrolizumab was FDA approved for the treatment of unresectable solid tumors with MSI-H or dMMR based on data accumulated from five KEYNOTE clinical trials [166]. Therefore, the result of immunotherapies is disappointing and far worse than those reported with TACE and TARE when used in isolation. This has led to trials evaluating combination therapies.
Table 2.
Clinical trials involving immunotherapy for biliary tract cancers.
Several newer studies have reported a cumulative benefit from combination therapy. Feng et al. (2020) conducted a phase II trial and reported that 1st-line CG systemic chemotherapy combined with Nivolumab immunotherapy led to a median PFS of 6.1 months, median OS of 8.5 months and a 33% 12-month OS rate [167]. Klein et al. (2020) demonstrated an ORR of 23% with Nivolumab combined with anti-CTLA-4 drug Ipilimumab [168]. Combined anti-MEK (Cobimetinib) and anti-PD-L1 (Atezolizumab) immunotherapy in a phase II trial of BTC found that a reduction in platelet-derived growth factor B (PDGF-BB) was associated with increased overall PFS yet was negatively correlated with OS [169]. Research has also focused on the combined effects of Durvalumab (anti-PD-1/PD-L1 mAb) with Tremelimumab (anti-CTLA-4 mAb) (DT) and conventional GC therapies. A phase I trial by Doki et al. (2022) compared DT to Durvalumab alone in advanced BTC demonstrating greater benefit with combination DT therapy (ORR 10.8% vs. 4.8%) [170]. An active open-label, single-center, phase II trial by Oh et al. (2022) is evaluating the efficacy of GC with DT compared to GC with Durvalumab alone in patients with advanced BTC, with initial results showing improved response rates relative to GC alone (ORR 72%, 70%, and 50%, respectively) [171]. The TOPAZ-1 double-blind, placebo-controlled, phase III trial reported that GC with Durvalumab significantly improves survival relative to GC alone with OS 24.9% (95% CI 17.9–32.5) vs. 10.4% (95% CI 4.7–18.8; p + 0.001), and ORR 26.7% vs. 18.7% [172], and it has become the standard first-line treatment for unresectable BTC.
Unresectable ICC treated with palliative systemic chemotherapy and radiotherapy confers high levels of toxicity. Alternatively, locoregional liver-directed therapies have demonstrated survival benefit in unresectable ICC with fewer toxicities and with the potential for downstaging to curative resection [11,173,174,175]. Numerous studies and meta-analyses have demonstrated improved survival benefit in unresectable ICC following TACE with comparable results in conventional TACE (cTACE) and drug-eluting bead TACE (DEB-TACE) [173,176,177,178]. An early retrospective study by Vogl et al. (2012) demonstrated increased median OS of 13 months and survival rates of 52%, 29%, and 10% at 1, 2, and 3 years, respectively [176]. Another early retrospective study showed improved overall survival following cTACE relative to supportive care (12.2 months vs. 3.3 months, p < 0.001) [179]. Meta-analyses have similarly demonstrated a significant survival benefit post-TACE relative to systemic chemotherapy with fewer adverse events and drug toxicities [177,178]. ICC tumor downstaging following TACE has also been reported in a small percentage of patients [175,180].
Other studies have evaluated the benefit of TARE in unresectable ICC, demonstrating prolonged survival [101,181,182]. Mouli et al. (2013) reported improved overall survival and disease downstaging following TARE, with 11% of patients downstaged to surgical resection with 100% survival at 2.5-year follow-up [183]. The authors also showed a stratified survival benefit dependent on disease burden, comparing multifocal and solitary tumors (14.6 vs. 5.7 months), infiltrative (6.1 vs. 15.6 months), and bilobed disease (10.9 vs. 11.7 months). A systematic review of 12 studies showed a mean OS of 17.7 months TARE with 10% of patients downstaged to surgical resection [184]. In 2021, a systematic review and meta-analysis of 31 studies by Mosconi et al. demonstrated comparable overall survival benefit between TARE and TACE (mean OS 13.5 vs. 14.2 months) with fewer toxicities following TARE [178].
Newer research has focused on the benefit of combined locoregional and systemic therapies to treat unresectable ICC, reflecting radiosensitizing chemotherapeutic amplification of TARE [185]. An early study by Rayar et al. (2015) showed promising results of increased median disease-free survival of 19.1 months following a combination of systemic chemotherapy (gemcitabine and/or platinum salts) followed by TARE, albeit results were limited by a small sample size [10]. More recently, a small phase Ib study of eight patients with unresectable ICC (n = 5) and hepatic metastasis from pancreatic cancer (n = 3) received gemcitabine followed by TARE demonstrated a median hepatic PFS of 20.7 months for ICC patients [9]. The MISPHEC phase II trial evaluated systemic gemcitabine and cisplatin chemotherapy with concomitant Y-90 radioembolization in unresectable ICC. The results showed a median PFS of 14 months and median OS of 22 months, with 22% of patients downgraded to surgical intervention [11]. These results demonstrated an OS was doubled compared to results of systemic therapy alone in the ABC-02 trial. Currently, a phase II trial is evaluating combination Durvalumab/Tremelimumab with concomitant radiation therapy with promising preliminary results [186].
5. Conclusions
Primary liver cancers continue to impose significant morbidity and mortality worldwide with overall poor prognosis. Conventional systemic and locoregional therapies for advanced-stage disease have provided only modest survival benefit. A paradigm shift in liver cancer management is currently underway, reflecting molecular biomarker-targeted immunotherapy based on advancements in comprehensive genomic profiling and artificial intelligence. Recent FDA-approved immune checkpoint inhibitors Atezolizumab–Bevacizumab and Durvalumab–Tremelimumab have demonstrated improved survival outcomes and in many cases disease downstaging to curative resection. Clinical trials investigating combined immunotherapy and locoregional therapy in advanced liver disease are ongoing with promising preliminary results. Future directions in liver cancer management will likely incorporate treatment algorithms based on individualized patient molecular biomarkers.
Author Contributions
Conceptualization, J.M. and S.B.W.; Formal Analysis, J.M. and S.B.W.; Writing—Original Draft Preparation, J.M.; Writing—Review and Editing, J.M., S.B.W., J.T. and B.G.; Supervision, S.B.W. All authors have read and agreed to the published version of the manuscript.
Funding
This research received no external funding.
Conflicts of Interest
The authors declare no conflict of interest.
References
- Worldwide Cancer Data|World Cancer Research Fund International. WCRF International. Available online: https://www.wcrf.org/cancer-trends/worldwide-cancer-data/ (accessed on 14 April 2023).
- Reig, M.; Forner, A.; Rimola, J.; Ferrer-Fàbrega, J.; Burrel, M.; Garcia-Criado, Á.; Kelley, R.K.; Galle, P.R.; Mazzaferro, V.; Salem, R.; et al. BCLC strategy for prognosis prediction and treatment recommendation Barcelona Clinic Liver Cancer (BCLC) staging system: The 2022 update. J. Hepatol. 2022, 76, 681–693. [Google Scholar] [CrossRef] [PubMed]
- Llovet, J.M.; Kelley, R.K.; Villanueva, A. Hepatocellular carcinoma. Nat. Rev. Dis. Prim. 2021, 7, 6. [Google Scholar] [CrossRef] [PubMed]
- Doussot, A.; Groot-Koerkamp, B.; Wiggers, J.K.; Chou, J.; Gonen, M.; DeMatteo, R.P.; Allen, P.J.; Kingham, P.T.; D’angelica, M.I.; Jarnagin, W.R. Outcomes after Resection of Intrahepatic Cholangiocarcinoma: External Validation and Comparison of Prognostic Models. J. Am. Coll. Surg. 2015, 221, 452–461. [Google Scholar] [CrossRef] [PubMed]
- Zechlinski, J.J.; Rilling, W.S. Transarterial Therapies for the Treatment of Intrahepatic Cholangiocarcinoma. Semin. Interv. Radiol. 2013, 30, 21–27. [Google Scholar] [CrossRef]
- Shimada, K.; Sano, T.; Sakamoto, Y.; Esaki, M.; Kosuge, T.; Ojima, H. Surgical Outcomes of the Mass-Forming plus Periductal Infiltrating Types of Intrahepatic Cholangiocarcinoma: A Comparative Study with the Typical Mass-Forming Type of Intrahepatic Cholangiocarcinoma. World J. Surg. 2007, 31, 2016–2022. [Google Scholar] [CrossRef]
- Yamasaki, S. Intrahepatic cholangiocarcinoma: Macroscopic type and stage classification. J. Hepato-Biliary-Pancreat. Surg. 2003, 10, 288–291. [Google Scholar] [CrossRef] [PubMed]
- Blechacz, B.; Gores, G.J. Cholangiocarcinoma: Advances in pathogenesis, diagnosis, and treatment. Hepatology 2008, 48, 308–321. [Google Scholar] [CrossRef]
- Nezami, N.; Camacho, J.C.; Kokabi, N.; El-Rayes, B.F.; Kim, H.S. Phase Ib trial of gemcitabine with yttrium-90 in patients with hepatic metastasis of pancreatobiliary origin. J. Gastrointest. Oncol. 2019, 10, 944–956. [Google Scholar] [CrossRef]
- Rayar, M.; Sulpice, L.; Edeline, J.; Garin, E.; Sandri, G.B.L.; Meunier, B.; Boucher, E.; Boudjema, K. Intra-arterial Yttrium-90 Radioembolization Combined with Systemic Chemotherapy is a Promising Method for Downstaging Unresectable Huge Intrahepatic Cholangiocarcinoma to Surgical Treatment. Ann. Surg. Oncol. 2015, 22, 3102–3108. [Google Scholar] [CrossRef]
- Edeline, J.; Touchefeu, Y.; Guiu, B.; Farge, O.; Tougeron, D.; Baumgaertner, I.; Ayav, A.; Campillo-Gimenez, B.; Beuzit, L.; Pracht, M.; et al. Radioembolization Plus Chemotherapy for First-line Treatment of Locally Advanced Intrahepatic Cholangiocarcinoma: A phase 2 clinical trial. JAMA Oncol. 2020, 6, 51–59. [Google Scholar] [CrossRef]
- Hong, T.S.; Goyal, L.; Parikh, A.R.; Yeap, B.Y.; Ulysse, C.A.; Drapek, L.C.; Allen, J.N.; Clark, J.W.; Christopher, B.; Bolton, C.; et al. A pilot study of durvalumab/tremelimumab (durva/treme) and radiation (XRT) for metastatic biliary tract cancer (mBTC): Preliminary safety and efficacy. J. Clin. Oncol. 2020, 38, 547. [Google Scholar] [CrossRef]
- Lee, V.; Murphy, A.; Le, D.T.; Diaz, L.A. Mismatch Repair Deficiency and Response to Immune Checkpoint Blockade. Oncologist 2016, 21, 1200–1211. [Google Scholar] [CrossRef] [PubMed]
- Akagi, K.; Oki, E.; Taniguchi, H.; Nakatani, K.; Aoki, D.; Kuwata, T.; Yoshino, T. Real-world data on microsatellite instability status in various unresectable or metastatic solid tumors. Cancer Sci. 2021, 112, 1105–1113. [Google Scholar] [CrossRef] [PubMed]
- Lee, U.E.; Friedman, S.L. Mechanisms of hepatic fibrogenesis. Best Pract. Res. Clin. Gastroenterol. 2011, 25, 195–206. [Google Scholar] [CrossRef]
- Kuang, P.; Zhao, W.; Su, W.; Zhang, Z.; Zhang, L.; Liu, J.; Ren, G.; Yin, Z.; Wang, X. 18β-glycyrrhetinic acid inhibits hepatocellular carcinoma development by reversing hepatic stellate cell-mediated immunosuppression in mice. Int. J. Cancer 2013, 132, 1831–1841. [Google Scholar] [CrossRef] [PubMed]
- Parikh, J.G.; Kulkarni, A.; Johns, C. α-smooth muscle actin-positive fibroblasts correlate with poor survival in hepatocellular carcinoma. Oncol. Lett. 2014, 7, 573–575. [Google Scholar] [CrossRef]
- Török, N.J. Recent advances in the pathogenesis and diagnosis of liver fibrosis. J. Gastroenterol. 2008, 43, 315–321. [Google Scholar] [CrossRef]
- Tacke, F.; Luedde, T.; Trautwein, C. Inflammatory Pathways in Liver Homeostasis and Liver Injury. Clin. Rev. Allergy Immunol. 2009, 36, 4–12. [Google Scholar] [CrossRef]
- Efimova, E.; Glanemann, M.; Liu, L.; Schumacher, G.; Settmacher, U.; Jonas, S.; Langrehr, J.; Neuhaus, P.; Nüssler, A. Effects of Human Hepatocyte Growth Factor on the Proliferation of Human Hepatocytes and Hepatocellular Carcinoma Cell Lines. Eur. Surg. Res. 2004, 36, 300–307. [Google Scholar] [CrossRef]
- El-Serag, H.B. Hepatocellular carcinoma. N. Engl. J. Med. 2011, 365, 1118–1127. [Google Scholar] [CrossRef]
- Monvoisin, A.; Neaud, V.; De Lédinghen, V.; Dubuisson, L.; Balabaud, C.; Bioulac-Sage, P.; Desmoulière, A.; Rosenbaum, J. Direct evidence that hepatocyte growth factor-induced invasion of hepatocellular carcinoma cells is mediated by urokinase. J. Hepatol. 1999, 30, 511–518. [Google Scholar] [CrossRef]
- Song, T.; Dou, C.; Jia, Y.; Tu, K.; Zheng, X. TIMP-1 activated carcinoma-associated fibroblasts inhibit tumor apoptosis by activating SDF1/CXCR4 signaling in hepatocellular carcinoma. Oncotarget 2015, 6, 12061–12079. [Google Scholar] [CrossRef] [PubMed]
- Liu, F.; Zhang, W.; Yang, F.; Feng, T.; Zhou, M.; Yu, Y.; Yu, X.; Zhao, W.; Yi, F.; Tang, W.; et al. Interleukin-6-stimulated progranulin expression contributes to the malignancy of hepatocellular carcinoma cells by activating mTOR signaling. Sci. Rep. 2016, 6, 21260. [Google Scholar] [CrossRef] [PubMed]
- Zhang, L.; Ding, J.; Li, H.-Y.; Wang, Z.-H.; Wu, J. Immunotherapy for advanced hepatocellular carcinoma, where are we? Biochim. Biophys. Acta Rev. Cancer 2020, 1874, 188441. [Google Scholar] [CrossRef] [PubMed]
- Ghavimi, S.; Apfel, T.; Azimi, H.; Persaud, A.; Pyrsopoulos, N.T. Management and Treatment of Hepatocellular Carcinoma with Immunotherapy: A Review of Current and Future Options. J. Clin. Transl. Hepatol. 2020, 8, 168–176. [Google Scholar] [CrossRef]
- Okrah, K.; Tarighat, S.; Liu, B.; Koeppen, H.; Wagle, M.C.; Cheng, G.; Sun, C.; Dey, A.; Chang, M.T.; Sumiyoshi, T.; et al. Transcriptomic analysis of hepatocellular carcinoma reveals molecular features of disease progression and tumor immune biology. NPJ Precis. Oncol. 2018, 2, 25. [Google Scholar] [CrossRef]
- Nishida, N.; Kudo, M. Immune checkpoint blockade for the treatment of human hepatocellular carcinoma. Hepatol. Res. 2018, 48, 622–634. [Google Scholar] [CrossRef]
- Tang, X.; Shu, Z.; Zhang, W.; Cheng, L.; Yu, J.; Zhang, M.; Zheng, S. Clinical significance of the immune cell landscape in hepatocellular carcinoma patients with different degrees of fibrosis. Ann. Transl. Med. 2019, 7, 528. [Google Scholar] [CrossRef]
- Ozer, M.; George, A.; Goksu, S.Y.; George, T.J.; Sahin, I. The Role of Immune Checkpoint Blockade in the Hepatocellular Carcinoma: A Review of Clinical Trials. Front. Oncol. 2021, 11, 801379. [Google Scholar] [CrossRef]
- Chen, J.; Lin, Z.; Liu, L.; Zhang, R.; Geng, Y.; Fan, M.; Zhu, W.; Lu, M.; Jia, H.; Zhang, J.; et al. GOLM1 exacerbates CD8+ T cell suppression in hepatocellular carcinoma by promoting exosomal PD-L1 transport into tumor-associated macrophages. Signal Transduct. Target. Ther. 2021, 6, 397. [Google Scholar] [CrossRef]
- Ke, M.-Y.; Xu, T.; Fang, Y.; Ye, Y.-P.; Li, Z.-J.; Ren, F.-G.; Lu, S.-Y.; Zhang, X.-F.; Wu, R.-Q.; Lv, Y.; et al. Liver fibrosis promotes immune escape in hepatocellular carcinoma via GOLM1-mediated PD-L1 upregulation. Cancer Lett. 2021, 513, 14–25. [Google Scholar] [CrossRef] [PubMed]
- Piñero, F.; Dirchwolf, M.; Pessôa, M.G. Biomarkers in Hepatocellular Carcinoma: Diagnosis, Prognosis and Treatment Response Assessment. Cells 2020, 9, 1370. [Google Scholar] [CrossRef]
- Chang, Y.; Li, H. Hepatic Antifibrotic Pharmacotherapy: Are We Approaching Success? J. Clin. Transl. Hepatol. 2020, 8, 222–229. [Google Scholar] [CrossRef]
- Sin, S.Q.; Mohan, C.D.; Goh, R.M.W.-J.; You, M.; Nayak, S.C.; Chen, L.; Sethi, G.; Rangappa, K.S.; Wang, L. Hypoxia signaling in hepatocellular carcinoma: Challenges and therapeutic opportunities. Cancer Metastasis Rev. 2022, 1–24. [Google Scholar] [CrossRef] [PubMed]
- Brancatelli, G.; Federle, M.P.; Grazioli, L.; Carr, B. Hepatocellular Carcinoma in Noncirrhotic Liver: CT, Clinical, and Pathologic Findings in 39 U.S. Residents. Radiology 2002, 222, 89–94. [Google Scholar] [CrossRef] [PubMed]
- Semenza, G.L. Targeting HIF-1 for cancer therapy. Nat. Rev. Cancer 2003, 3, 721–732. [Google Scholar] [CrossRef]
- Bristow, R.G.; Hill, R.P. Hypoxia, DNA repair and genetic instability. Nat. Rev. Cancer 2008, 8, 180–192. [Google Scholar] [CrossRef] [PubMed]
- Nordsmark, M.; Alsner, J.; Keller, J.; Nielsen, O.S.; Jensen, O.M.; Horsman, M.R.; Overgaard, J. Hypoxia in human soft tissue sarcomas: Adverse impact on survival and no association with p53 mutations. Br. J. Cancer 2001, 84, 1070–1075. [Google Scholar] [CrossRef]
- Rischin, D.; Hicks, R.J.; Fisher, R.; Binns, D.; Corry, J.; Porceddu, S.; Peters, L.J. Prognostic Significance of [18F]-Misonidazole Positron Emission Tomography–Detected Tumor Hypoxia in Patients with Advanced Head and Neck Cancer Randomly Assigned to Chemoradiation With or Without Tirapazamine: A Substudy of Trans-Tasman Radiation Oncology Group Study 98.02. J. Clin. Oncol. 2006, 24, 2098–2104. [Google Scholar]
- Riedl, C.C.; Brader, P.; Zanzonico, P.; Reid, V.; Woo, Y.; Wen, B.; Ling, C.C.; Hricak, H.; Fong, Y.; Humm, J.L. Tumor hypoxia imaging in orthotopic liver tumors and peritoneal metastasis: A comparative study featuring dynamic 18F-MISO and 124I-IAZG PET in the same study cohort. Eur. J. Nucl. Med. Mol. Imaging 2008, 35, 39–46. [Google Scholar] [CrossRef]
- Harrison, L.B.; Chadha, M.; Hill, R.J.; Hu, K.; Shasha, D. Impact of Tumor Hypoxia and Anemia on Radiation Therapy Outcomes. Oncologist 2002, 7, 492–508. [Google Scholar] [CrossRef] [PubMed]
- Ziemer, L.; Evans, S.; Kachur, A.; Shuman, A.; Cardi, C.; Jenkins, W.; Karp, J.; Alavi, A.; Dolbier, W.; Koch, C. Noninvasive imaging of tumor hypoxia in rats using the 2-nitroimidazole 18F-EF5. Eur. J. Nucl. Med. Mol. Imaging 2003, 30, 259–266. [Google Scholar] [CrossRef] [PubMed]
- Chao, K.; Bosch, W.R.; Mutic, S.; Lewis, J.S.; Dehdashti, F.; Mintun, M.A.; Dempsey, J.F.; Perez, C.A.; Purdy, J.A.; Welch, M.J. A novel approach to overcome hypoxic tumor resistance: Cu-ATSM-guided intensity-modulated radiation therapy. Int. J. Radiat. Oncol. Biol. Phys. 2001, 49, 1171–1182. [Google Scholar] [CrossRef]
- Rajendran, J.; Hendrickson, K.; Spence, A.; Muzi, M.; Krohn, K.; Mankoff, D. Hypoxia imaging-directed radiation treatment planning. Eur. J. Nucl. Med. Mol. Imaging 2006, 33 (Suppl. S1), 44–53. [Google Scholar] [CrossRef] [PubMed]
- Jin, N.; Deng, J.; Chadashvili, T.; Zhang, Y.; Guo, Y.; Zhang, Z.; Yang, G.-Y.; Omary, R.A.; Larson, A.C. Carbogen Gas–Challenge BOLD MR Imaging in a Rat Model of Diethylnitrosamine-induced Liver Fibrosis. Radiology 2010, 254, 129–137. [Google Scholar] [CrossRef]
- Guo, Y.; Jin, N.; Klein, R.; Nicolai, J.; Yang, G.-Y.; Omary, R.A.; Larson, A.C. Gas challenge–blood oxygen level-dependent (GC-BOLD) MRI in the rat Novikoff hepatoma model. Magn. Reson. Imaging 2012, 30, 133–138. [Google Scholar] [CrossRef]
- Zhang, L.J.; Zhang, Z.; Xu, J.; Jin, N.; Luo, S.; Larson, A.C.; Lu, G.M. Carbogen gas-challenge blood oxygen level-dependent magnetic resonance imaging in hepatocellular carcinoma: Initial results. Oncol. Lett. 2015, 10, 2009–2014. [Google Scholar] [CrossRef][Green Version]
- Gordon, A.C.; White, S.B.; Gates, V.L.; Procissi, D.; Harris, K.R.; Yang, Y.; Zhang, Z.; Li, W.; Lyu, T.; Huang, X.; et al. Yttrium-90 Radioembolization and Tumor Hypoxia: Gas-challenge BOLD Imaging in the VX2 Rabbit Model of Hepatocellular Carcinoma. Acad. Radiol. 2021, 28, 849–858. [Google Scholar] [CrossRef]
- Casini, A.; Leone, S.; Vaccaro, R.; Vivacqua, G.; Ceci, L.; Pannarale, L.; Franchitto, A.; Onori, P.; Gaudio, E.; Mancinelli, R. The Emerging Role of Ferroptosis in Liver Cancers. Life 2022, 12, 2128. [Google Scholar] [CrossRef]
- Jain, A.; Kwong, L.N.; Javle, M. Genomic Profiling of Biliary Tract Cancers and Implications for Clinical Practice. Curr. Treat. Options Oncol. 2016, 17, 58. [Google Scholar] [CrossRef]
- Serafini, F.M.; Radvinsky, D. The pathways of genetic transformation in cholangiocarcinogenesis. Cancer Genet. 2016, 209, 554–558. [Google Scholar] [CrossRef] [PubMed]
- Rizvi, S.; Khan, S.A.; Hallemeier, C.L.; Kelley, R.K.; Gores, G.J. Cholangiocarcinoma—Evolving concepts and therapeutic strategies. Nat. Rev. Clin. Oncol. 2018, 15, 95–111. [Google Scholar] [CrossRef]
- Nakanuma, Y.; Tsutsui, A.; Ren, X.S.; Harada, K.; Sato, Y.; Sasaki, M. What are the precursor and early lesions of peripheral intrahepatic cholangiocarcinoma? Int. J. Hepatol. 2014, 2014, 805973. [Google Scholar] [CrossRef]
- Sia, D.; Hoshida, Y.; Villanueva, A.; Roayaie, S.; Ferrer, J.; Tabak, B.; Peix, J.; Sole, M.; Tovar, V.; Alsinet, C.; et al. Integrative Molecular Analysis of Intrahepatic Cholangiocarcinoma Reveals 2 Classes That Have Different Outcomes. Gastroenterology 2013, 144, 829–840. [Google Scholar] [CrossRef] [PubMed]
- Fernández Moro, C.; Fernandez-Woodbridge, A.; Alistair D’Souza, M.; Zhang, Q.; Bozoky, B.; Kandaswamy, S.V.; Catalano, P.; Heuchel, R.; Shtembari, S.; Del Chiaro, M.; et al. Immunohistochemical Typing of Adenocarcinomas of the Pancreatobiliary System Improves Diagnosis and Prognostic Stratification. PLoS ONE 2016, 11, e0166067. [Google Scholar] [CrossRef]
- Razumilava, N.; Gores, G.J. Cholangiocarcinoma. Lancet 2014, 383, 2168–2179. [Google Scholar] [CrossRef]
- Montal, R.; Sia, D.; Montironi, C.; Leow, W.Q.; Esteban-Fabró, R.; Pinyol, R.; Torres-Martin, M.; Bassaganyas, L.; Moeini, A.; Peix, J.; et al. Molecular classification and therapeutic targets in extrahepatic cholangiocarcinoma. J. Hepatol. 2020, 73, 315–327. [Google Scholar] [CrossRef]
- Boscoe, A.N.; Rolland, C.; Kelley, R.K. Frequency and prognostic significance of isocitrate dehydrogenase 1 mutations in cholangiocarcinoma: A systematic literature review. J. Gastrointest. Oncol. 2019, 10, 751–765. [Google Scholar] [CrossRef] [PubMed]
- Mody, K.; Jain, P.; El-Refai, S.M.; Azad, N.S.; Zabransky, D.J.; Baretti, M.; Shroff, R.T.; Kelley, R.K.; El-Khouiery, A.B.; Hockenberry, A.J.; et al. Clinical, Genomic, and Transcriptomic Data Profiling of Biliary Tract Cancer Reveals Subtype-Specific Immune Signatures. JCO Precis. Oncol. 2022, 6, e2100510. [Google Scholar] [CrossRef]
- Boerner, T.; Drill, E.; Pak, L.M.; Nguyen, B.; Sigel, C.S.; Doussot, A.; Shin, P.; Goldman, D.A.; Gonen, M.; Allen, P.J.; et al. Genetic Determinants of Outcome in Intrahepatic Cholangiocarcinoma. Hepatology 2021, 74, 1429–1444. [Google Scholar] [CrossRef]
- Churi, C.R.; Shroff, R.; Wang, Y.; Rashid, A.; Kang, H.; Weatherly, J.; Zuo, M.; Zinner, R.; Hong, D.; Meric-Bernstam, F.; et al. Mutation Profiling in Cholangiocarcinoma: Prognostic and Therapeutic Implications. PLoS ONE 2014, 9, e115383. [Google Scholar] [CrossRef] [PubMed]
- Sasaki, T.; Takeda, T.; Okamoto, T.; Ozaka, M.; Sasahira, N. Chemotherapy for Biliary Tract Cancer in 2021. J. Clin. Med. 2021, 10, 3108. [Google Scholar] [CrossRef] [PubMed]
- Maruki, Y.; Morizane, C.; Arai, Y.; Ikeda, M.; Ueno, M.; Ioka, T.; Naganuma, A.; Furukawa, M.; Mizuno, N.; Uwagawa, T.; et al. Molecular detection and clinicopathological characteristics of advanced/recurrent biliary tract carcinomas harboring the FGFR2 rearrangements: A prospective observational study (PRELUDE Study). J. Gastroenterol. 2021, 56, 250–260. [Google Scholar] [CrossRef] [PubMed]
- Lowery, M.A.; Ptashkin, R.; Jordan, E.; Berger, M.F.; Zehir, A.; Capanu, M.; Kemeny, N.E.; O’Reilly, E.M.; El-Dika, I.; Jarnagin, W.R.; et al. Comprehensive Molecular Profiling of Intrahepatic and Extrahepatic Cholangiocarcinomas: Potential Targets for Intervention. Clin. Cancer Res. 2018, 24, 4154–4161. [Google Scholar] [CrossRef]
- Sae-Fung, A.; Mutirangura, A.; Jitkaew, S. Identification and validation of a novel ferroptosis-related gene signature for prognosis and potential therapeutic target prediction in cholangiocarcinoma. Front. Immunol. 2022, 13, 1051273. [Google Scholar] [CrossRef]
- Sato, M.; Morimoto, K.; Kajihara, S.; Tateishi, R.; Shiina, S.; Koike, K.; Yatomi, Y. Machine-learning Approach for the Development of a Novel Predictive Model for the Diagnosis of Hepatocellular Carcinoma. Sci. Rep. 2019, 9, 7704. [Google Scholar] [CrossRef]
- Książek, W.; Abdar, M.; Acharya, U.R.; Pławiak, P. A novel machine learning approach for early detection of hepatocellular carcinoma patients. Cogn. Syst. Res. 2018, 54, 116–127. [Google Scholar] [CrossRef]
- Chaudhary, K.; Poirion, O.B.; Lu, L.; Garmire, L.X. Deep Learning–Based Multi-Omics Integration Robustly Predicts Survival in Liver Cancer. Clin. Cancer Res. 2019, 24, 1248–1259. [Google Scholar] [CrossRef]
- Han, A.; Byra, M.; Heba, E.; Andre, M.P.; Erdman, J.W.; Loomba, R.; Sirlin, C.B.; O’brien, W.D. Noninvasive Diagnosis of Nonalcoholic Fatty Liver Disease and Quantification of Liver Fat with Radiofrequency Ultrasound Data Using One-dimensional Convolutional Neural Networks. Radiology 2020, 295, 342–350. [Google Scholar] [CrossRef]
- Byra, M.; Styczynski, G.; Szmigielski, C.; Kalinowski, P.; Michałowski, Ł.; Paluszkiewicz, R.; Ziarkiewicz-Wróblewska, B.; Zieniewicz, K.; Sobieraj, P.; Nowicki, A. Transfer learning with deep convolutional neural network for liver steatosis assessment in ultrasound images. Int. J. Comput. Assist. Radiol. Surg. 2018, 13, 1895–1903. [Google Scholar] [CrossRef]
- Vanderbeck, S.; Bockhorst, J.; Komorowski, R.; Kleiner, D.E.; Gawrieh, S. Automatic classification of white regions in liver biopsies by supervised machine learning. Hum. Pathol. 2014, 45, 785–792. [Google Scholar] [CrossRef]
- Forlano, R.; Mullish, B.H.; Giannakeas, N.; Maurice, J.B.; Angkathunyakul, N.; Lloyd, J.; Tzallas, A.T.; Tsipouras, M.; Yee, M.; Thursz, M.R.; et al. High-Throughput, Machine Learning–Based Quantification of Steatosis, Inflammation, Ballooning, and Fibrosis in Biopsies from Patients With Nonalcoholic Fatty Liver Disease. Clin. Gastroenterol. Hepatol. 2020, 18, 2081–2090.e9. [Google Scholar] [CrossRef]
- Gawrieh, S.; Sethunath, D.; Cummings, O.W.; Kleiner, D.E.; Vuppalanchi, R.; Chalasani, N.; Tuceryan, M. Automated quantification and architectural pattern detection of hepatic fibrosis in NAFLD. Ann. Diagn. Pathol. 2020, 47, 151518. [Google Scholar] [CrossRef] [PubMed]
- Taylor-Weiner, A.; Pokkalla, H.; Han, L.; Jia, C.; Huss, R.; Chung, C.; Elliott, H.; Glass, B.; Pethia, K.; Carrasco-Zevallos, O.; et al. A Machine Learning Approach Enables Quantitative Measurement of Liver Histology and Disease Monitoring in NASH. Hepatology 2021, 74, 133–147. [Google Scholar] [CrossRef] [PubMed]
- Aatresh, A.A.; Alabhya, K.; Lal, S.; Kini, J.; Saxena, P.P. LiverNet: Efficient and robust deep learning model for automatic diagnosis of sub-types of liver hepatocellular carcinoma cancer from H&E stained liver histopathology images. Int. J. Comput. Assist. Radiol. Surg. 2021, 16, 1549–1563. [Google Scholar]
- Lal, S.; Das, D.; Alabhya, K.; Kanfade, A.; Kumar, A.; Kini, J. NucleiSegNet: Robust deep learning architecture for the nuclei segmentation of liver cancer histopathology images. Comput. Biol. Med. 2021, 128, 104075. [Google Scholar] [CrossRef] [PubMed]
- Li, S.; Jiang, H.; Pang, W. Joint multiple fully connected convolutional neural network with extreme learning machine for hepatocellular carcinoma nuclei grading. Comput. Biol. Med. 2017, 84, 156–167. [Google Scholar] [CrossRef]
- Saillard, C.; Schmauch, B.; Laifa, O.; Moarii, M.; Toldo, S.; Zaslavskiy, M.; Pronier, E.; Laurent, A.; Amaddeo, G.; Regnault, H.; et al. Predicting survival after hepatocellular carcinoma resection using deep-learning on histological slides. Hepatology 2020, 72, 2000–2013. [Google Scholar] [CrossRef]
- Saito, A.; Toyoda, H.; Kobayashi, M.; Koiwa, Y.; Fujii, H.; Fujita, K.; Maeda, A.; Kaneoka, Y.; Hazama, S.; Nagano, H.; et al. Prediction of early recurrence of hepatocellular carcinoma after resection using digital pathology images assessed by machine learning. Mod. Pathol. 2020, 34, 417–425. [Google Scholar] [CrossRef]
- Nam, D.; Chapiro, J.; Paradis, V.; Seraphin, T.P.; Kather, J.N. Artificial intelligence in liver diseases: Improving diagnostics, prognostics and response prediction. JHEP Rep. 2022, 4, 100443. [Google Scholar] [CrossRef]
- Christ, P.F.; Elshaer, M.E.A.; Ettlinger, F.; Tatavarty, S.; Bickel, M.; Bilic, P.; Rempfler, M.; Armbruster, M.; Hofmann, F.; D’Anastasi, M.; et al. Automatic Liver and Lesion Segmentation in CT Using Cascaded Fully Convolutional Neural Networks and 3D Conditional Random Fields. In Medical Image Computing and Computer-Assisted Intervention—MICCAI 2016; Ourselin, S., Joskowicz, L., Sabuncu, M.R., Unal, G., Wells, W., Eds.; Springer International Publishing: Berlin/Heidelberg, Germany, 2016; pp. 415–423. [Google Scholar] [CrossRef]
- Hassan, T.M.; Elmogy, M.; Sallam, E.-S. Diagnosis of Focal Liver Diseases Based on Deep Learning Technique for Ultrasound Images. Arab. J. Sci. Eng. 2017, 42, 3127–3140. [Google Scholar] [CrossRef]
- Schmauch, B.; Herent, P.; Jehanno, P.; Dehaene, O.; Saillard, C.; Aubé, C.; Luciani, A.; Lassau, N.; Jégou, S. Diagnosis of focal liver lesions from ultrasound using deep learning. Diagn. Interv. Imaging 2019, 100, 227–233. [Google Scholar] [CrossRef] [PubMed]
- Acharya, U.R.; Koh, J.E.W.; Hagiwara, Y.; Tan, J.H.; Gertych, A.; Vijayananthan, A.; Yaakup, N.A.; Abdullah, B.J.J.; Fabell, M.K.B.M.; Yeong, C.H. Automated diagnosis of focal liver lesions using bidirectional empirical mode decomposition features. Comput. Biol. Med. 2018, 94, 11–18. [Google Scholar] [CrossRef]
- Yasaka, K.; Akai, H.; Abe, O.; Kiryu, S. Deep Learning with Convolutional Neural Network for Differentiation of Liver Masses at Dynamic Contrast-enhanced CT: A Preliminary Study. Radiology 2018, 286, 887–896. [Google Scholar] [CrossRef] [PubMed]
- Jansen, M.J.A.; Kuijf, H.J.; Veldhuis, W.B.; Wessels, F.J.; Viergever, M.A.; Pluim, J.P.W. Automatic classification of focal liver lesions based on MRI and risk factors. PLoS ONE 2019, 14, e0217053. [Google Scholar] [CrossRef]
- Zhou, B.; Augenfeld, Z.; Chapiro, J.; Zhou, S.K.; Liu, C.; Duncan, J.S. Anatomy-guided multimodal registration by learning segmentation without ground truth: Application to intraprocedural CBCT/MR liver segmentation and registration. Med. Image Anal. 2021, 71, 102041. [Google Scholar] [CrossRef]
- Oestmann, P.M.; Wang, C.J.; Savic, L.J.; Hamm, C.A.; Stark, S.; Schobert, I.; Gebauer, B.; Schlachter, T.; Lin, M.; Weinreb, J.C.; et al. Deep learning–assisted differentiation of pathologically proven atypical and typical hepatocellular carcinoma (HCC) versus non-HCC on contrast-enhanced MRI of the liver. Eur. Radiol. 2021, 31, 4981–4990. [Google Scholar] [CrossRef]
- Dong, Y.; Zhou, L.; Xia, W.; Zhao, X.-Y.; Zhang, Q.; Jian, J.-M.; Gao, X.; Wang, W.-P. Preoperative Prediction of Microvascular Invasion in Hepatocellular Carcinoma: Initial Application of a Radiomic Algorithm Based on Grayscale Ultrasound Images. Front. Oncol. 2020, 10, 353. [Google Scholar] [CrossRef]
- Ji, G.-W.; Zhu, F.-P.; Xu, Q.; Wang, K.; Wu, M.-Y.; Tang, W.-W.; Li, X.-C.; Wang, X.-H. Machine-learning analysis of contrast-enhanced CT radiomics predicts recurrence of hepatocellular carcinoma after resection: A multi-institutional study. Ebiomedicine 2019, 50, 156–165. [Google Scholar] [CrossRef]
- Wang, W.; Chen, Q.; Iwamoto, Y.; Han, X.; Zhang, Q.; Hu, H.; Lin, L.; Chen, Y.-W. Deep Learning-Based Radiomics Models for Early Recurrence Prediction of Hepatocellular Carcinoma with Multi-phase CT Images and Clinical Data. Annu. Int. Conf. IEEE Eng. Med. Biol. Soc. 2019, 2019, 4881–4884. [Google Scholar]
- He, T.; Fong, J.N.; Moore, L.W.; Ezeana, C.F.; Victor, D.; Divatia, M.; Vasquez, M.; Ghobrial, R.M.; Wong, S.T. An imageomics and multi-network based deep learning model for risk assessment of liver transplantation for hepatocellular cancer. Comput. Med. Imaging Graph. 2021, 89, 101894. [Google Scholar] [CrossRef] [PubMed]
- Abajian, A.; Murali, N.; Savic, L.J.; Laage-Gaupp, F.M.; Nezami, N.; Duncan, J.S.; Schlachter, T.; Lin, M.; Geschwind, J.-F.; Chapiro, J. Predicting Treatment Response to Intra-arterial Therapies for Hepatocellular Carcinoma with the Use of Supervised Machine Learning—An Artificial Intelligence Concept. J. Vasc. Interv. Radiol. 2018, 29, 850–857.e1. [Google Scholar] [CrossRef] [PubMed]
- Xu, Y.; Shen, Q.; Wang, N.; Wu, P.-P.; Huang, B.; Kuang, M.; Qian, G.-J. Microwave ablation is as effective as radiofrequency ablation for very-early-stage hepatocellular carcinoma. Chin. J. Cancer 2017, 36, 14. [Google Scholar] [CrossRef] [PubMed]
- Morshid, A.; Elsayes, K.M.; Khalaf, A.M.; Elmohr, M.M.; Yu, J.; Kaseb, A.O.; Hassan, M.; Mahvash, A.; Wang, Z.; Hazle, J.D.; et al. A Machine Learning Model to Predict Hepatocellular Carcinoma Response to Transcatheter Arterial Chemoembolization. Radiol. Artif. Intell. 2019, 1, e180021. [Google Scholar] [CrossRef] [PubMed]
- Peng, J.; Kang, S.; Ning, Z.; Deng, H.; Shen, J.; Xu, Y.; Zhang, J.; Zhao, W.; Li, X.; Gong, W.; et al. Residual convolutional neural network for predicting response of transarterial chemoembolization in hepatocellular carcinoma from CT imaging. Eur. Radiol. 2020, 30, 413–424. [Google Scholar] [CrossRef]
- Jin, Z.; Chen, L.; Zhong, B.; Zhou, H.; Zhu, H.; Zhou, H.; Song, J.; Guo, J.; Zhu, X.; Ji, J.; et al. Machine-learning analysis of contrast-enhanced computed tomography radiomics predicts patients with hepatocellular carcinoma who are unsuitable for initial transarterial chemoembolization monotherapy: A multicenter study. Transl. Oncol. 2021, 14, 101034. [Google Scholar] [CrossRef]
- Valle, J.W.; Kelley, R.K.; Nervi, B.; Oh, D.-Y.; Zhu, A.X. Biliary tract cancer. Lancet 2021, 397, 428–444. [Google Scholar] [CrossRef]
- Ji, G.-W.; Jiao, C.-Y.; Xu, Z.-G.; Li, X.-C.; Wang, K.; Wang, X.-H. Development and validation of a gradient boosting machine to predict prognosis after liver resection for intrahepatic cholangiocarcinoma. BMC Cancer 2022, 22, 258. [Google Scholar] [CrossRef]
- Buettner, S.; Braat, A.J.; Margonis, G.A.; Brown, D.B.; Taylor, K.B.; Borgmann, A.J.; Kappadath, S.C.; Mahvash, A.; Ijzermans, J.N.; Weiss, M.J.; et al. Yttrium-90 Radioembolization in Intrahepatic Cholangiocarcinoma: A Multicenter Retrospective Analysis. J. Vasc. Interv. Radiol. 2020, 31, 1035–1043.e2. [Google Scholar] [CrossRef]
- Zhou, S.-N.; Jv, D.-W.; Meng, X.-F.; Zhang, J.-J.; Liu, C.; Wu, Z.-Y.; Hong, N.; Lu, Y.-Y.; Zhang, N. Feasibility of machine learning-based modeling and prediction using multiple centers data to assess intrahepatic cholangiocarcinoma outcomes. Ann. Med. 2023, 55, 215–223. [Google Scholar] [CrossRef]
- Biondetti, P.; Saggiante, L.; Ierardi, A.M.; Iavarone, M.; Sangiovanni, A.; Pesapane, F.; Fumarola, E.M.; Lampertico, P.; Carrafiello, G. Interventional Radiology Image-Guided Locoregional Therapies (LRTs) and Immunotherapy for the Treatment of HCC. Cancers 2021, 13, 5797. [Google Scholar] [CrossRef] [PubMed]
- Hack, S.P.; Spahn, J.; Chen, M.; Cheng, A.-L.; Kaseb, A.; Kudo, M.; Lee, H.C.; Yopp, A.; Chow, P.; Qin, S. IMbrave 050: A Phase III trial of atezolizumab plus bevacizumab in high-risk hepatocellular carcinoma after curative resection or ablation. Futur. Oncol. 2020, 16, 975–989. [Google Scholar] [CrossRef]
- Llovet, J.M.; Ricci, S.; Mazzaferro, V.; Hilgard, P.; Gane, E.; Blanc, J.F.; De Oliveira, A.C.; Santoro, A.; Raoul, J.L.; Forner, A.; et al. Sorafenib in advanced hepatocellular carcinoma. N. Engl. J. Med. 2008, 359, 378–390. [Google Scholar] [CrossRef] [PubMed]
- Yamashita, T.; Kudo, M.; Ikeda, K.; Izumi, N.; Tateishi, R.; Ikeda, M.; Aikata, H.; Kawaguchi, Y.; Wada, Y.; Numata, K.; et al. REFLECT—A phase 3 trial comparing efficacy and safety of lenvatinib to sorafenib for the treatment of unresectable hepatocellular carcinoma: An analysis of Japanese subset. J. Gastroenterol. 2020, 55, 113–122. [Google Scholar] [CrossRef] [PubMed]
- Finn, R.S.; Qin, S.; Ikeda, M.; Galle, P.R.; Ducreux, M.; Kim, T.-Y.; Kudo, M.; Breder, V.; Merle, P.; Kaseb, A.O.; et al. Atezolizumab plus Bevacizumab in Unresectable Hepatocellular Carcinoma. N. Engl. J. Med. 2020, 382, 1894–1905. [Google Scholar] [CrossRef]
- Yau, T.; Park, J.-W.; Finn, R.S.; Cheng, A.-L.; Mathurin, P.; Edeline, J.; Kudo, M.; Harding, J.J.; Merle, P.; Rosmorduc, O.; et al. Nivolumab versus sorafenib in advanced hepatocellular carcinoma (CheckMate 459): A randomised, multicentre, open-label, phase 3 trial. Lancet Oncol. 2022, 23, 77–90. [Google Scholar] [CrossRef] [PubMed]
- Finn, R.S.; Qin, S.; Ikeda, M.; Galle, P.R.; Ducreux, M.; Kim, T.-Y.; Lim, H.Y.; Kudo, M.; Breder, V.V.; Merle, P.; et al. IMbrave150: Updated overall survival (OS) data from a global, randomized, open-label phase III study of atezolizumab (atezo) + bevacizumab (bev) versus sorafenib (sor) in patients (pts) with unresectable hepatocellular carcinoma (HCC). J. Clin. Oncol. 2021, 39, 267. [Google Scholar] [CrossRef]
- AstraZeneca. A Randomized, Open-Label, Multi-Center Phase III Study of Durvalumab and Tremelimumab as First-Line Treatment in Patients with Advanced Hepatocellular Carcinoma. Available online: https://clinicaltrials.gov/ct2/show/NCT03298451 (accessed on 14 April 2023).
- Tanis, E.; Nordlinger, B.; Mauer, M.; Sorbye, H.; van Coevorden, F.; Gruenberger, T.; Schlag, P.; Punt, C.; Ledermann, J.; Ruers, T. Local recurrence rates after radiofrequency ablation or resection of colorectal liver metastases. Analysis of the European Organisation for Research and Treatment of Cancer #40004 and #40983. Eur. J. Cancer 2014, 50, 912–919. [Google Scholar]
- Rozenblum, N.; Zeira, E.; Scaiewicz, V.; Bulvik, B.; Gourevitch, S.; Yotvat, H.; Galun, E.; Goldberg, S.N. Oncogenesis: An “Off-Target” Effect of Radiofrequency Ablation. Radiology 2015, 276, 426–432. [Google Scholar] [CrossRef]
- Ahmed, M.; Kumar, G.; Moussa, M.; Wang, Y.; Rozenblum, N.; Galun, E.; Goldberg, S.N. Hepatic Radiofrequency Ablation–induced Stimulation of Distant Tumor Growth Is Suppressed by c-Met Inhibition. Radiology 2016, 279, 103–117. [Google Scholar] [CrossRef]
- Hinz, S.; Tepel, J.; Röder, C.; Kalthoff, H.; Becker, T. Profile of serum factors and disseminated tumor cells before and after radiofrequency ablation compared to resection of colorectal liver metastases—A pilot study. Anticancer Res. 2015, 35, 2961–2967. [Google Scholar] [PubMed]
- Kang, T.W.; Kim, J.M.; Rhim, H.; Lee, M.W.; Kim, Y.-S.; Lim, H.K.; Choi, D.; Song, K.D.; Kwon, C.H.D.; Joh, J.-W.; et al. Small Hepatocellular Carcinoma: Radiofrequency Ablation versus Nonanatomic Resection—Propensity Score Analyses of Long-term Outcomes. Radiology 2015, 275, 908–919. [Google Scholar] [CrossRef]
- Kabakov, A.E.; Yakimova, A.O. Hypoxia-Induced Cancer Cell Responses Driving Radioresistance of Hypoxic Tumors: Approaches to Targeting and Radiosensitizing. Cancers 2021, 13, 1102. [Google Scholar] [CrossRef] [PubMed]
- Wissniowski, T.T.; Hansler, J.; Neureiter, D.; Frieser, M.; Schaber, S.; Esslinger, B.; Voll, R.; Strobel, D.; Hahn, E.G.; Schuppan, D. Activation of tumor-specific T lymphocytes by radio-frequency ablation of the VX2 hepatoma in rabbits. Cancer Res. 2003, 63, 6496–6500. [Google Scholar]
- Nikfarjam, M.; Muralidharan, V.; Christophi, C. Mechanisms of Focal Heat Destruction of Liver Tumors. J. Surg. Res. 2005, 127, 208–223. [Google Scholar] [CrossRef]
- Dromi, S.A.; Walsh, M.P.; Herby, S.; Traughber, B.; Xie, J.; Sharma, K.V.; Sekhar, K.P.; Luk, A.; Liewehr, D.J.; Dreher, M.R.; et al. Radiofrequency Ablation Induces Antigen-presenting Cell Infiltration and Amplification of Weak Tumor-induced Immunity. Radiology 2009, 251, 58–66. [Google Scholar] [CrossRef]
- Zerbini, A.; Pilli, M.; Laccabue, D.; Pelosi, G.; Molinari, A.; Negri, E.; Cerioni, S.; Fagnoni, F.; Soliani, P.; Ferrari, C.; et al. Radiofrequency Thermal Ablation for Hepatocellular Carcinoma Stimulates Autologous NK-Cell Response. Gastroenterology 2010, 138, 1931–1942.e2. [Google Scholar] [CrossRef]
- Hiroishi, K.; Eguchi, J.; Baba, T.; Shimazaki, T.; Ishii, S.; Hiraide, A.; Sakaki, M.; Doi, H.; Uozumi, S.; Omori, R.; et al. Strong CD8+ T-cell responses against tumor-associated antigens prolong the recurrence-free interval after tumor treatment in patients with hepatocellular carcinoma. J. Gastroenterol. 2010, 45, 451–458. [Google Scholar] [CrossRef]
- Li, L.; Wang, W.; Pan, H.; Ma, G.; Shi, X.; Xie, H.; Liu, X.; Ding, Q.; Zhou, W.; Wang, S. Microwave ablation combined with OK-432 induces Th1-type response and specific antitumor immunity in a murine model of breast cancer. J. Transl. Med. 2017, 15, 23. [Google Scholar] [CrossRef] [PubMed]
- Huang, K.W.; Jayant, K.; Lee, P.-H.; Yang, P.-C.; Hsiao, C.-Y.; Habib, N.; Sodergren, M.H. Positive Immuno-Modulation Following Radiofrequency Assisted Liver Resection in Hepatocellular Carcinoma. J. Clin. Med. 2019, 8, 385. [Google Scholar] [CrossRef] [PubMed]
- Chen, L.; Sun, J.; Yang, X. Radiofrequency ablation-combined multimodel therapies for hepatocellular carcinoma: Current status. Cancer Lett. 2016, 370, 78–84. [Google Scholar] [CrossRef] [PubMed]
- Forner, A.; Reig, M.; Bruix, J. Hepatocellular carcinoma. Lancet 2018, 391, 1301–1314. [Google Scholar] [CrossRef]
- Kong, J.; Kong, J.; Pan, B.; Ke, S.; Dong, S.; Li, X.; Zhou, A.; Zheng, L.; Sun, W.B. Insufficient radiofrequency ablation promotes angiogenesis of residual hepatocellular carcinoma via HIF-1α/VEGFA. PLoS ONE 2012, 7, e37266. [Google Scholar] [CrossRef] [PubMed]
- Guan, Q.; Gu, J.; Zhang, H.; Ren, W.; Ji, W.; Fan, Y. Correlation between vascular endothelial growth factor levels and prognosis of hepatocellular carcinoma patients receiving radiofrequency ablation. Biotechnol. Biotechnol. Equip. 2015, 29, 119–123. [Google Scholar] [CrossRef] [PubMed]
- Yoon, J.H.; Lee, J.M.; Klotz, E.; Woo, H.; Yu, M.H.; Joo, I.; Lee, E.S.; Han, J.K. Prediction of Local Tumor Progression after Radiofrequency Ablation (RFA) of Hepatocellular Carcinoma by Assessment of Ablative Margin Using Pre-RFA MRI and Post-RFA CT Registration. Korean J. Radiol. 2018, 19, 1053–1065. [Google Scholar] [CrossRef]
- Solbiati, M.; Muglia, R.; Goldberg, S.N.; Ierace, T.; Rotilio, A.; Passera, K.M.; Marre, I.; Solbiati, L. A novel software platform for volumetric assessment of ablation completeness. Int. J. Hyperth. 2019, 36, 337–343. [Google Scholar] [CrossRef]
- Kamarinos, N.V.; Gonen, M.; Sotirchos, V.; Kaye, E.; Petre, E.N.; Solomon, S.B.; Erinjeri, J.P.; Ziv, E.; Kirov, A.; Sofocleous, C.T. 3D margin assessment predicts local tumor progression after ablation of colorectal cancer liver metastases. Int. J. Hyperth. 2022, 39, 880–887. [Google Scholar] [CrossRef]
- Hoffer, E.K.; Borsic, A.; Patel, S.D. Validation of Software for Patient-Specific Real-Time Simulation of Hepatic Radiofrequency Ablation. Acad. Radiol. 2022, 29, e219–e227. [Google Scholar] [CrossRef]
- Fietta, A.M.; Morosini, M.; Passadore, I.; Cascina, A.; Draghi, P.; Dore, R.; Rossi, S.; Pozzi, E.; Meloni, F. Systemic inflammatory response and downmodulation of peripheral CD25+Foxp3+ T-regulatory cells in patients undergoing radiofrequency thermal ablation for lung cancer. Hum. Immunol. 2009, 70, 477–486. [Google Scholar] [CrossRef]
- Widenmeyer, M.; Shebzukhov, Y.; Haen, S.; Schmidt, D.; Clasen, S.; Boss, A.; Kuprash, D.; Nedospasov, S.A.; Stenzl, A.; Aebert, H.; et al. Analysis of tumor antigen-specific T cells and antibodies in cancer patients treated with radiofrequency ablation. Int. J. Cancer 2011, 128, 2653–2662. [Google Scholar] [CrossRef]
- Hu, G.; Wang, S. Tumor-infiltrating CD45RO+ Memory T Lymphocytes Predict Favorable Clinical Outcome in Solid Tumors. Sci. Rep. 2017, 7, 10376. [Google Scholar] [CrossRef] [PubMed]
- Cui, J.; Wang, N.; Zhao, H.; Jin, H.; Wang, G.; Niu, C.; Terunuma, H.; He, H.; Li, W. Combination of radiofrequency ablation and sequential cellular immunotherapy improves progression-free survival for patients with hepatocellular carcinoma. Int. J. Cancer 2014, 134, 342–351. [Google Scholar] [CrossRef]
- Nakagawa, H.; Mizukoshi, E.; Iida, N.; Terashima, T.; Kitahara, M.; Marukawa, Y.; Kitamura, K.; Nakamoto, Y.; Hiroishi, K.; Imawari, M.; et al. In vivo immunological antitumor effect of OK-432-stimulated dendritic cell transfer after radiofrequency ablation. Cancer Immunol. Immunother. 2014, 63, 347–356. [Google Scholar] [CrossRef] [PubMed]
- Behm, B.; Di Fazio, P.; Michl, P.; Neureiter, D.; Kemmerling, R.; Hahn, E.G.; Strobel, D.; Gress, T.; Schuppan, D.; Wissniowski, T.T. Additive antitumour response to the rabbit VX2 hepatoma by combined radio frequency ablation and toll like receptor 9 stimulation. Gut 2016, 65, 134–143. [Google Scholar] [CrossRef]
- Duffy, A.G.; Ulahannan, S.V.; Makorova-Rusher, O.; Rahma, O.; Wedemeyer, H.; Pratt, D.; Davis, J.L.; Hughes, M.S.; Heller, T.; ElGindi, M.; et al. Tremelimumab in combination with ablation in patients with advanced hepatocellular carcinoma. J. Hepatol. 2017, 66, 545–551. [Google Scholar] [CrossRef] [PubMed]
- Huang, K.-W.; Tan, C.P.; Reebye, V.; Chee, C.E.; Zacharoulis, D.; Habib, R.; Blakey, D.C.; Rossi, J.J.; Habib, N.; Sodergren, M.H. MTL-CEBPA Combined with Immunotherapy or RFA Enhances Immunological Anti-Tumor Response in Preclinical Models. Int. J. Mol. Sci. 2021, 22, 9168. [Google Scholar] [CrossRef] [PubMed]
- Kohles, N.; Nagel, D.; Jüngst, D.; Stieber, P.; Holdenrieder, S. Predictive value of immunogenic cell death biomarkers HMGB1, sRAGE, and DNase in liver cancer patients receiving transarterial chemoembolization therapy. Tumor Biol. 2012, 33, 2401–2409. [Google Scholar] [CrossRef]
- Greten, T.F.; Mauda-Havakuk, M.; Heinrich, B.; Korangy, F.; Wood, B.J. Combined locoregional-immunotherapy for liver cancer. J. Hepatol. 2019, 70, 999–1007. [Google Scholar] [CrossRef]
- Park, H.; Jung, J.H.; Jung, M.K.; Shin, E.-C.; Ro, S.W.; Park, J.H.; Kim, D.Y.; Park, J.Y.; Han, K.-H. Effects of transarterial chemoembolization on regulatory T cell and its subpopulations in patients with hepatocellular carcinoma. Hepatol. Int. 2020, 14, 249–258. [Google Scholar] [CrossRef]
- Namur, J.; Pascale, F.; Maeda, N.; Sterba, M.; Ghegediban, S.H.; Verret, V.; Paci, A.; Seck, A.; Osuga, K.; Wassef, M.; et al. Safety and Efficacy Compared between Irinotecan-Loaded Microspheres HepaSphere and DC Bead in a Model of VX2 Liver Metastases in the Rabbit. J. Vasc. Interv. Radiol. 2015, 26, 1067–1075.e3. [Google Scholar] [CrossRef] [PubMed]
- Tong, A.K.T.; Kao, Y.H.; Too, C.W.; Chin, K.F.W.; Ng, D.C.E.; Chow, P.K.H. Yttrium-90 hepatic radioembolization: Clinical review and current techniques in interventional radiology and personalized dosimetry. Br. J. Radiol. 2016, 89, 20150943. [Google Scholar] [CrossRef] [PubMed]
- Seidensticker, M.; Powerski, M.; Seidensticker, R.; Damm, R.; Mohnike, K.; Garlipp, B.; Klopffleisch, M.; Amthauer, H.; Ricke, J.; Pech, M. Cytokines and 90Y-Radioembolization: Relation to Liver Function and Overall Survival. Cardiovasc. Interv. Radiol. 2017, 40, 1185–1195. [Google Scholar] [CrossRef] [PubMed]
- Chew, V.; Lee, Y.H.; Pan, L.; Nasir, N.J.M.; Lim, C.J.; Chua, C.; Lai, L.; Hazirah, S.N.; Lim, T.K.H.; Goh, B.K.P.; et al. Immune activation underlies a sustained clinical response to Yttrium-90 radioembolisation in hepatocellular carcinoma. Gut 2019, 68, 335–346. [Google Scholar] [CrossRef]
- Zhang, Y.; Li, Y.; Ji, H.; Zhao, X.; Lu, H. Transarterial Y90 radioembolization versus chemoembolization for patients with hepatocellular carcinoma: A meta-analysis. Biosci. Trends 2015, 9, 289–298. [Google Scholar] [CrossRef] [PubMed]
- Fenton, S.E.; Kircher, S.M.; Mulcahy, M.F.; Mahalingam, D.; Salem, R.; Lewandowski, R.; Kulik, L.; Benson, A.B.; Kalyan, A. A phase I study of nivolumab (NIVO) in combination with TheraSphere (Yttrium-90) in patients with advanced hepatocellular cancer. J. Clin. Oncol. 2021, 39, e16183. [Google Scholar] [CrossRef]
- de la Torre-Aláez, M.; Matilla, A.; Varela, M.; Iñarrairaegui, M.; Reig, M.; Lledó, J.L.; Arenas, J.I.; Lorente, S.; Testillano, M.; Márquez, L.; et al. Nivolumab after selective internal radiation therapy for the treatment of hepatocellular carcinoma: A phase 2, single-arm study. J. Immunother. Cancer 2022, 10, e005457. [Google Scholar] [CrossRef]
- Memorial Sloan Kettering Cancer Center. A Multicenter Pilot Study of Nivolumab with Drug Eluting Bead Transarterial Chemoembolization in Patients with Advanced Hepatocellular Carcinoma. Available online: https://clinicaltrials.gov/ct2/show/NCT03143270 (accessed on 14 April 2023).
- Imperial College London. A Phase Ib Study of Pembrolizumab Following Trans-Arterial Chemoembolization in Primary Liver Carcinoma. Available online: https://clinicaltrials.gov/ct2/show/NCT03397654 (accessed on 14 April 2023).
- Valle, J.; Wasan, H.; Palmer, D.H.; Cunningham, D.; Anthoney, A.; Maraveyas, A.; Madhusudan, S.; Iveson, T.; Hughes, S.; Pereira, S.P.; et al. Cisplatin plus Gemcitabine versus Gemcitabine for Biliary Tract Cancer. N. Engl. J. Med. 2010, 362, 1273–1281. [Google Scholar] [CrossRef]
- Okusaka, T.; Nakachi, K.; Fukutomi, A.; Mizuno, N.; Ohkawa, S.; Funakoshi, A.; Nagino, M.; Kondo, S.; Nagaoka, S.; Funai, J.; et al. Gemcitabine alone or in combination with cisplatin in patients with biliary tract cancer: A comparative multicentre study in Japan. Br. J. Cancer 2010, 103, 469–474. [Google Scholar] [CrossRef]
- Agarwal, R.; Sendilnathan, A.; Siddiqi, N.I.; Gulati, S.; Ghose, A.; Xie, C.; Olowokure, O.O. Advanced biliary tract cancer: Clinical outcomes with ABC-02 regimen and analysis of prognostic factors in a tertiary care center in the United States. J. Gastrointest. Oncol. 2016, 7, 996–1003. [Google Scholar] [CrossRef] [PubMed]
- Shroff, R.T.; Javle, M.M.; Xiao, L.; Kaseb, A.O.; Varadhachary, G.R.; Wolff, R.A.; Raghav, K.P.; Iwasaki, M.; Masci, P.; Ramanathan, R.K.; et al. Gemcitabine, Cisplatin, and nab-Paclitaxel for the Treatment of Advanced Biliary Tract Cancers: A Phase 2 Clinical Trial. JAMA Oncol. 2019, 5, 824–830. [Google Scholar] [CrossRef] [PubMed]
- Abou-Alfa, G.K.; Macarulla, T.; Javle, M.M.; Kelley, R.K.; Lubner, S.J.; Adeva, J.; Cleary, J.M.; Catenacci, D.V.; Borad, M.J.; Bridgewater, J.; et al. Ivosidenib in IDH1-mutant, chemotherapy-refractory cholangiocarcinoma (ClarIDHy): A multicentre, randomised, double-blind, placebo-controlled, phase 3 study. Lancet Oncol. 2020, 21, 796–807. [Google Scholar] [CrossRef] [PubMed]
- Zhu, A.X.; Macarulla, T.; Javle, M.M.; Kelley, R.K.; Lubner, S.J.; Adeva, J.; Cleary, J.M.; Catenacci, D.V.T.; Borad, M.J.; Bridgewater, J.A.; et al. Final Overall Survival Efficacy Results of Ivosidenib for Patients with Advanced Cholangiocarcinoma with IDH1 Mutation: The Phase 3 Randomized Clinical ClarIDHy Trial. JAMA Oncol. 2021, 7, 1669–1677. [Google Scholar] [CrossRef]
- Philip, P.A.; Mahoney, M.R.; Allmer, C.; Thomas, J.; Pitot, H.C.; Kim, G.; Donehower, R.C.; Fitch, T.; Picus, J.; Erlichman, C. Phase II Study of Erlotinib in Patients with Advanced Biliary Cancer. J. Clin. Oncol. 2006, 24, 3069–3074. [Google Scholar] [CrossRef]
- Gruenberger, B.; Schueller, J.; Heubrandtner, U.; Wrba, F.; Tamandl, D.; Kaczirek, K.; Roka, R.; Freimann-Pircher, S.; Gruenberger, T. Cetuximab, gemcitabine, and oxaliplatin in patients with unresectable advanced or metastatic biliary tract cancer: A phase 2 study. Lancet Oncol. 2010, 11, 1142–1148. [Google Scholar] [CrossRef] [PubMed]
- Malka, D.; Cervera, P.; Foulon, S.; Trarbach, T.; de la Fouchardière, C.; Boucher, E.; Fartoux, L.; Faivre, S.; Blanc, J.-F.; Viret, F.; et al. Gemcitabine and oxaliplatin with or without cetuximab in advanced biliary-tract cancer (BINGO): A randomised, open-label, non-comparative phase 2 trial. Lancet Oncol. 2014, 15, 819–828. [Google Scholar] [CrossRef]
- Abou-Alfa, G.K.; Sahai, V.; Hollebecque, A.; Vaccaro, G.; Melisi, D.; Al-Rajabi, R.; Paulson, A.S.; Borad, M.J.; Gallinson, D.; Murphy, A.G.; et al. Pemigatinib for previously treated, locally advanced or metastatic cholangiocarcinoma: A multicentre, open-label, phase 2 study. Lancet Oncol. 2020, 21, 671–684. [Google Scholar] [CrossRef] [PubMed]
- Mazzaferro, V.; El-Rayes, B.F.; Droz Dit Busset, M.; Cotsoglou, C.; Harris, W.P.; Damjanov, N.; Masi, G.; Rimassa, L.; Personeni, N.; Braiteh, F.; et al. Derazantinib (ARQ 087) in advanced or inoperable FGFR2 gene fusion-positive intrahepatic cholangiocarcinoma. Br. J. Cancer 2018, 120, 165–171. [Google Scholar] [CrossRef]
- Goyal, L.; Meric-Bernstam, F.; Hollebecque, A.; Morizane, C.; Valle, J.W.; Karasic, T.B.; Abrams, T.A.; Kelley, R.K.; Cassier, P.; Furuse, J.; et al. Abstract CT010: Primary results of phase 2 FOENIX-CCA2: The irreversible FGFR1-4 inhibitor futibatinib in intrahepatic cholangiocarcinoma (iCCA) with FGFR2 fusions/rearrangements. Cancer Res. 2021, 81, CT010. [Google Scholar] [CrossRef]
- Ueno, M.; Chung, H.; Nagrial, A.; Marabelle, A.; Kelley, R.; Xu, L.; Mahoney, J.; Pruitt, S.; Oh, D.-Y. Pembrolizumab for advanced biliary adenocarcinoma: Results from the multicohort, phase II KEYNOTE-158 study. Ann. Oncol. 2018, 29, viii210. [Google Scholar] [CrossRef]
- Yarchoan, M.; Cope, L.; Ruggieri, A.N.; Anders, R.A.; Noonan, A.M.; Goff, L.W.; Goyal, L.; Lacy, J.; Li, D.; Patel, A.K.; et al. Multicenter randomized phase II trial of atezolizumab with or without cobimetinib in biliary tract cancers. J. Clin. Investig. 2021, 131, e152670. [Google Scholar] [CrossRef]
- Prasad, V.; Kaestner, V.; Mailankody, S. Cancer Drugs Approved Based on Biomarkers and Not Tumor Type—FDA Approval of Pembrolizumab for Mismatch Repair-Deficient Solid Cancers. JAMA Oncol. 2018, 4, 157–158. [Google Scholar] [CrossRef] [PubMed]
- Feng, K.; Liu, Y.; Zhao, Y.; Yang, Q.; Dong, L.; Liu, J.; Li, X.; Zhao, Z.; Mei, Q.; Han, W. Efficacy and biomarker analysis of nivolumab plus gemcitabine and cisplatin in patients with unresectable or metastatic biliary tract cancers: Results from a phase II study. J. Immunother. Cancer 2019, 8, e000367. [Google Scholar] [CrossRef]
- Klein, O.; Kee, D.; Nagrial, A.; Markman, B.; Underhill, C.; Michael, M.; Jackett, L.; Lum, C.; Behren, A.; Palmer, J.; et al. Evaluation of Combination Nivolumab and Ipilimumab Immunotherapy in Patients with Advanced Biliary Tract Cancers. JAMA Oncol. 2020, 6, 1405–1409. [Google Scholar] [CrossRef]
- Ruggieri, A.N.; Yarchoan, M.; Goyal, S.; Liu, Y.; Sharon, E.; Chen, H.X.; Olson, B.M.; Paulos, C.M.; El-Rayes, B.F.; Maithel, S.K.; et al. Combined MEK/PD-L1 inhibition alters peripheral cytokines and lymphocyte populations correlating with improved clinical outcomes in advanced biliary tract cancer. Clin. Cancer Res. 2022, 28, 4336–4345. [Google Scholar] [CrossRef] [PubMed]
- Doki, Y.; Ueno, M.; Hsu, C.; Oh, D.; Park, K.; Yamamoto, N.; Ioka, T.; Hara, H.; Hayama, M.; Nii, M.; et al. Tolerability and efficacy of durvalumab, either as monotherapy or in combination with tremelimumab, in patients from Asia with advanced biliary tract, esophageal, or head-and-neck cancer. Cancer Med. 2022, 11, 2550–2560. [Google Scholar] [CrossRef]
- Oh, D.-Y.; Lee, K.-H.; Lee, D.-W.; Yoon, J.; Kim, T.-Y.; Bang, J.-H.; Nam, A.-R.; Oh, K.-S.; Kim, J.-M.; Lee, Y.; et al. Gemcitabine and cisplatin plus durvalumab with or without tremelimumab in chemotherapy-naive patients with advanced biliary tract cancer: An open-label, single-centre, phase 2 study. Lancet Gastroenterol. Hepatol. 2022, 7, 522–532. [Google Scholar] [CrossRef] [PubMed]
- Oh, D.-Y.; He, A.R.; Qin, S.; Chen, L.-T.; Okusaka, T.; Vogel, A.; Kim, J.W.; Suksombooncharoen, T.; Lee, M.A.; Kitano, M.; et al. Durvalumab plus Gemcitabine and Cisplatin in Advanced Biliary Tract Cancer. NEJM Évid. 2022, 1, EVIDoa2200015. [Google Scholar] [CrossRef]
- Boehm, L.M.; Jayakrishnan, T.T.; Miura, J.T.; Zacharias, A.J.; Johnston, F.; Turaga, K.; Gamblin, T.C. Comparative effectiveness of hepatic artery based therapies for unresectable intrahepatic cholangiocarcinoma. J. Surg. Oncol. 2015, 111, 213–220. [Google Scholar] [CrossRef]
- Sommer, C.M.; Kauczor, H.U.; Pereira, P.L. Locoregional Therapies of Cholangiocarcinoma. Visc. Med. 2016, 32, 414–420. [Google Scholar] [CrossRef]
- Hare, A.E.; Makary, M.S. Locoregional Approaches in Cholangiocarcinoma Treatment. Cancers 2022, 14, 5853. [Google Scholar] [CrossRef]
- Vogl, T.J.; Naguib, N.N.; Nour-Eldin, N.-E.A.; Bechstein, W.O.; Zeuzem, S.; Trojan, J.; Gruber-Rouh, T. Transarterial chemoembolization in the treatment of patients with unresectable cholangiocarcinoma: Results and prognostic factors governing treatment success. Int. J. Cancer 2012, 131, 733–740. [Google Scholar] [CrossRef]
- Ray, C.E., Jr.; Edwards, A.; Smith, M.T.; Leong, S.; Kondo, K.; Gipson, M.; Rochon, P.J.; Gupta, R.; Messersmith, W.; Purcell, T.; et al. Metaanalysis of Survival, Complications, and Imaging Response following Chemotherapy-based Transarterial Therapy in Patients with Unresectable Intrahepatic Cholangiocarcinoma. J. Vasc. Interv. Radiol. 2013, 24, 1218–1226. [Google Scholar] [CrossRef]
- Mosconi, C.; Solaini, L.; Vara, G.; Brandi, N.; Cappelli, A.; Modestino, F.; Cucchetti, A.; Golfieri, R. Transarterial Chemoembolization and Radioembolization for Unresectable Intrahepatic Cholangiocarcinoma—A Systemic Review and Meta-Analysis. Cardiovasc. Interv. Radiol. 2021, 44, 728–738. [Google Scholar] [CrossRef] [PubMed]
- Park, S.-Y.; Kim, J.; Yoon, H.-J.; Lee, I.-S.; Yoon, H.K.; Kim, K.-P. Transarterial chemoembolization versus supportive therapy in the palliative treatment of unresectable intrahepatic cholangiocarcinoma. Clin. Radiol. 2011, 66, 322–328. [Google Scholar] [CrossRef] [PubMed]
- Burger, I.; Hong, K.; Schulick, R.; Georgiades, C.; Thuluvath, P.; Choti, M.; Kamel, I.; Geschwind, J.-F.H. Transcatheter Arterial Chemoembolization in Unresectable Cholangiocarcinoma: Initial Experience in a Single Institution. J. Vasc. Interv. Radiol. 2005, 16, 353–361. [Google Scholar] [CrossRef] [PubMed]
- Najran, P.; Lamarca, A.; Mullan, D.; McNamara, M.G.; Westwood, T.; Hubner, R.A.; Lawrence, J.; Manoharan, P.; Bell, J.; Valle, J.W. Update on Treatment Options for Advanced Bile Duct Tumours: Radioembolisation for Advanced Cholangiocarcinoma. Curr. Oncol. Rep. 2017, 19, 50. [Google Scholar] [CrossRef] [PubMed]
- Camacho, J.C.; Kokabi, N.; Xing, M.; Prajapati, H.J.; El-Rayes, B.; Kim, H.S. Modified Response Evaluation Criteria in Solid Tumors and European Association for the Study of the Liver Criteria Using Delayed-Phase Imaging at an Early Time Point Predict Survival in Patients with Unresectable Intrahepatic Cholangiocarcinoma following Yttrium-90 Radioembolization. J. Vasc. Interv. Radiol. 2014, 25, 256–265. [Google Scholar]
- Mouli, S.; Memon, K.; Baker, T.; Benson, A.B., 3rd; Mulcahy, M.F.; Gupta, R.; Ryu, R.K.; Salem, R.; Lewandowski, R.J. Yttrium-90 radioembolization for intrahepatic cholangiocarcinoma: Safety, response, and survival analysis. J. Vasc. Interv. Radiol. 2013, 24, 1227–1234. [Google Scholar] [CrossRef]
- Al-Adra, D.P.; Gill, R.S.; Axford, S.J.; Shi, X.; Kneteman, N.; Liau, S.-S. Treatment of unresectable intrahepatic cholangiocarcinoma with yttrium-90 radioembolization: A systematic review and pooled analysis. Eur. J. Surg. Oncol. 2014, 41, 120–127. [Google Scholar] [CrossRef]
- Gong, L.; Zhang, Y.; Liu, C.; Zhang, M.; Han, S. Application of Radiosensitizers in Cancer Radiotherapy. Int. J. Nanomed. 2021, 16, 1083–1102. [Google Scholar] [CrossRef]
- Hong, T.S. A Phase II Trial of Durvalumab (MEDI4736) and Tremelimumab and Radiation Therapy in Hepatocellular Carcinoma and Biliary Tract Cancer. Available online: https://clinicaltrials.gov/ct2/show/NCT03482102 (accessed on 14 April 2023).
Disclaimer/Publisher’s Note: The statements, opinions and data contained in all publications are solely those of the individual author(s) and contributor(s) and not of MDPI and/or the editor(s). MDPI and/or the editor(s) disclaim responsibility for any injury to people or property resulting from any ideas, methods, instructions or products referred to in the content. |
© 2023 by the authors. Licensee MDPI, Basel, Switzerland. This article is an open access article distributed under the terms and conditions of the Creative Commons Attribution (CC BY) license (https://creativecommons.org/licenses/by/4.0/).
