Error in Figure
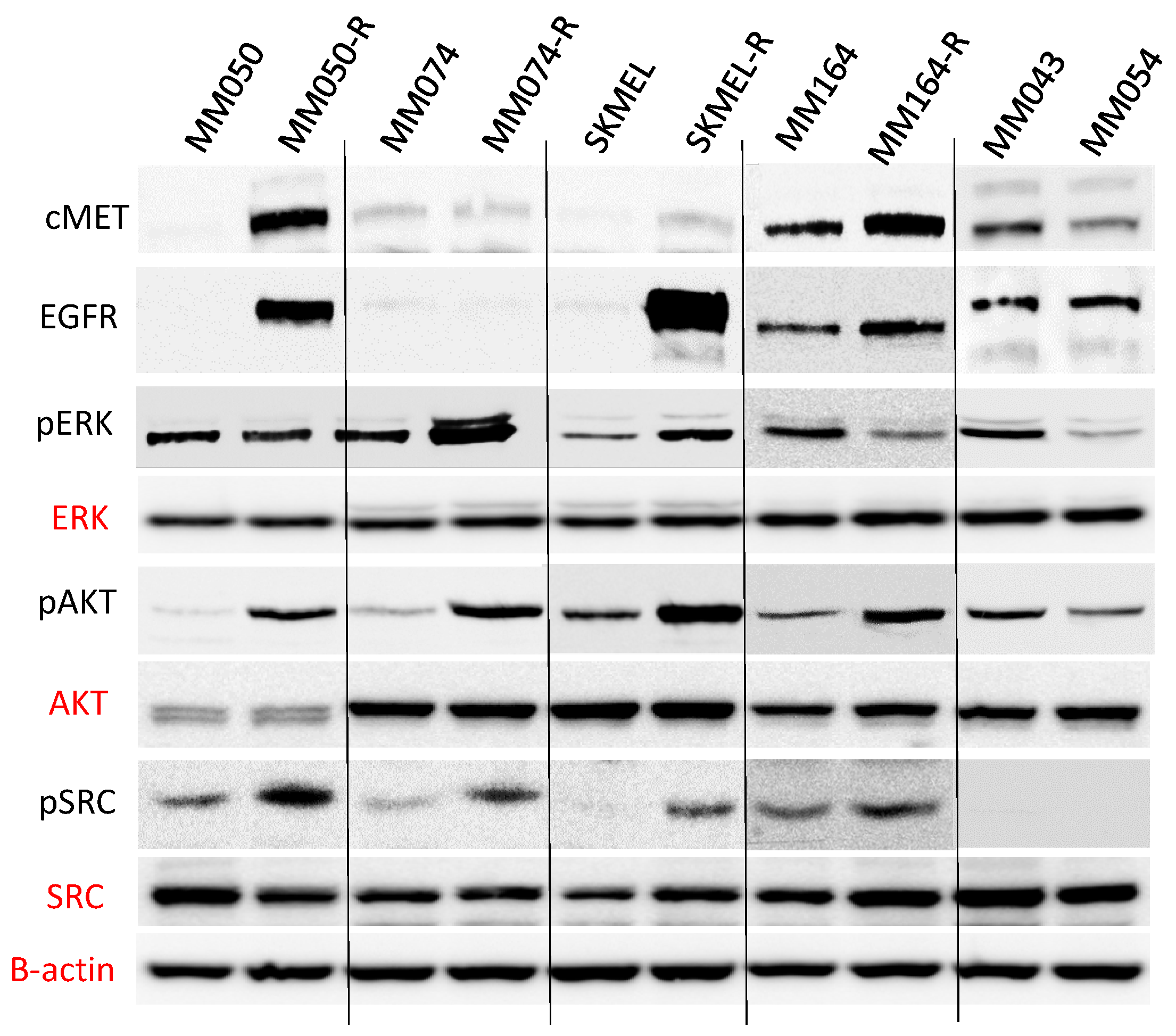
In the original article [1], there was a mistake in Figure 3C as published. The ERK, AKT, and SRC blots in our publication in Cancers (Figure 3C) were flipped when resizing the images. Note that this mistake does not change or alter the content and conclusions of our paper. The mistake indeed concerns control experiments, which were reproduced very easily. The corrected Erratum Figure 3C appears below.
Figure 3.
(C) Western Blot analysis of key targeted protein in MAPK, PI3K/AKT and SRC signalling pathways in four BRAFi sensitive, and six cell lines with intrinsic (MM043 and MM054) and acquired resistance to vemurafenib, (R refers to acquired resistant cells compared to parental sensitive cells).
The pERK that appears on the third line for the conditions MM074 and MM074-R is correct, and the error came from another paper published in Oncotarget (https://doi.org/10.18632/oncotarget.25879) that was retracted.
In the original article, the first author's name is missing an m, and the correct version is Mohammad Krayem.
The authors apologize for any inconvenience caused and state that the scientific conclusions are unaffected. This correction was approved by the Academic Editor. The original publication has also been updated.
Reference
- Krayem, M.; Aftimos, P.; Najem, A.; van den Hooven, T.; van den Berg, A.; Hovestad-Bijl, L.; de Wijn, R.; Hilhorst, R.; Ruijtenbeek, R.; Sabbah, M.; et al. Kinome Profiling to Predict Sensitivity to MAPK Inhibition in Melanoma and to Provide New Insights into Intrinsic and Acquired Mechanism of Resistance. Cancers 2020, 12, 512. [Google Scholar] [CrossRef] [PubMed]
Disclaimer/Publisher’s Note: The statements, opinions and data contained in all publications are solely those of the individual author(s) and contributor(s) and not of MDPI and/or the editor(s). MDPI and/or the editor(s) disclaim responsibility for any injury to people or property resulting from any ideas, methods, instructions or products referred to in the content. |
© 2024 by the authors. Licensee MDPI, Basel, Switzerland. This article is an open access article distributed under the terms and conditions of the Creative Commons Attribution (CC BY) license (https://creativecommons.org/licenses/by/4.0/).
