Efficacy and Low Toxicity of Normo-Fractionated Re-Irradiation with Combined Chemotherapy for Recurrent Glioblastoma—An Analysis of Treatment Response and Failure
Simple Summary
Abstract
1. Introduction
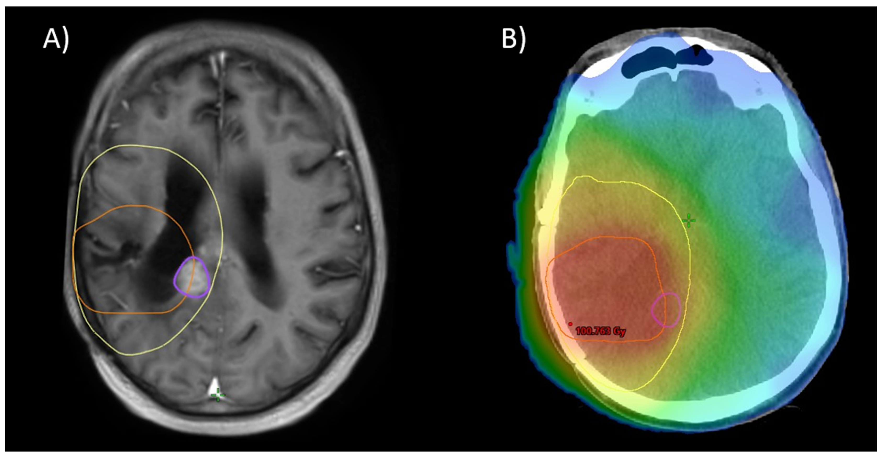
2. Materials and Methods
- a.
- Patient selection
- b.
- Chemoradiotherapy
- c.
- Treatment toxicity and follow-up
3. Results
- a.
- Patients and demographics
- b.
- Radiotherapy, systemic therapy, and monitoring
- c.
- Follow-Up and survival analysis
4. Discussion
- A trimodal approach to recurrent GBM with re-resection, re-RT, and concurrent chemotherapy offers favorable survival rates.
- Normo-fractionated re-irradiation is safe, revealing low rates of radionecrosis, even in cases of large target volumes.
- Concurrent systemic therapy is tolerated well and improves survival.
- A combination of CCNU and temozolomide seems to improve outcomes compared to single-agent therapy.
- Patterns of relapse indicate no impact of second-line therapy regarding location of recurrence but show a trend towards less in-field progression after first-line treatment for patients receiving TMZ + CCNU.
- What target volume should be treated and what dose is appropriate?
- 2.
- Do patients benefit from multimodal treatment?
- 3.
- Who should be considered for re-treatment?
5. Conclusions
Author Contributions
Funding
Institutional Review Board Statement
Informed Consent Statement
Data Availability Statement
Conflicts of Interest
Appendix A
| TMZ + CCNU (n = 13) | TMZ (n = 34) | CCNU (n = 33) | None (n = 21) | |
|---|---|---|---|---|
| Sex | ||||
| 64% | 50% | 76% | 60% |
| 36% | 50% | 24% | 40% |
| Initial systemic therapy | ||||
| 14% | 20% | 0% | 10% |
| 86% | 71% | 100% | 85% |
| 0% | 9% | 0% | 5% |
| Mean PFS initial RT to re-RT [months] | 32.0 | 26.3 | 11.1 | 12.8 |
| Age ≥ 50 years | 71% | 88% | 73% | 85% |
| ECOG ≥ 2 | 36% | 41% | 27% | 55% |
| MGMT | ||||
| 100% | 88% | 30% | 50% |
| 0% | 12% | 70% | 50% |
| IDH | ||||
| 21% | 6% | 6% | 15% |
| 79% | 94% | 94% | 85% |
| PTV size > 47 mL | 71% | 79% | 76% | 80% |
| Boost applied | 28% | 18% | 9% | 5% |
| GTV-PTV margins | ||||
| ≤5 mm | 14% | 9% | 6% | 5% |
| 5–10 mm | 43% | 47% | 48% | 40% |
| 10–15 mm | 29% | 38% | 22% | 40% |
| ≥15 mm | 14% | 6% | 24% | 15% |
| No re-resection performed | 29% | 47% | 30% | 50% |
| DKTK-ROG score | ||||
| 0–1 points | 0% | 0% | 0% | 0% |
| 2–3 points | 0% | 3% | 3% | 5% |
| 4–5 points | 71% | 76% | 58% | 45% |
| 6–7 points | 29% | 21% | 39% | 50% |
| RRRS | ||||
| ≤−0.2 (“good”) | 14% | 0% | 3% | 0% |
| −0.2–0.5 (“intermediate”) | 57% | 59% | 70% | 45% |
| ≥0.5 (“poor”) | 29% | 41% | 27% | 55% |
| TMZ + CCNU | TMZ | CCNU | None | |
|---|---|---|---|---|
| Leukopenia | ||||
| Grade 1–2 | 46% | 38% | 42% | 28% |
| Grade 3–4 | 0% | 0% | 9% | 14% |
| Neutropenia | ||||
| Grade 1–2 | 23% | 6% | 12% | 9% |
| Grade 3–4 | 0% | 0% | 9% | 9% |
| Thrombopenia | ||||
| Grade 1–2 | 61% | 70% | 66% | 38% |
| Grade 3–4 | 23% | 0% | 6% | 5% |
| Elevated liver enzymes | ||||
| Grade 1–2 | 53% | 44% | 33% | 24% |
| Grade 3–4 | 0% | 3% | 3% | 0% |
References
- Minniti, G.; Niyazi, M.; Alongi, F.; Navarria, P.; Belka, C. Current Status and Recent Advances in Reirradiation of Glioblastoma. Radiat. Oncol. 2021, 16, 36. [Google Scholar] [CrossRef] [PubMed]
- Henriksson, R.; Asklund, T.; Poulsen, H.S. Impact of Therapy on Quality of Life, Neurocognitive Function and Their Correlates in Glioblastoma Multiforme: A Review. J. Neuro-Oncol. 2011, 104, 639–646. [Google Scholar] [CrossRef] [PubMed]
- Rooney, A.G.; McNamara, S.; MacKinnon, M.; Fraser, M.; Rampling, R.; Carson, A.; Grant, R. The Frequency, Longitudinal Course, Clinical Associations, and Causes of Emotional Distress during Primary Treatment of Cerebral Glioma. Neuro-Oncology 2013, 15, 635–643. [Google Scholar] [CrossRef] [PubMed]
- Stummer, W.; Pichlmeier, U.; Meinel, T.; Wiestler, O.D.; Zanella, F.; Reulen, H.-J. Fluorescence-Guided Surgery with 5-Aminolevulinic Acid for Resection of Malignant Glioma: A Randomised Controlled Multicentre Phase III Trial. Lancet Oncol. 2006, 7, 392–401. [Google Scholar] [CrossRef] [PubMed]
- Niyazi, M.; Andratschke, N.; Bendszus, M.; Chalmers, A.J.; Erridge, S.C.; Galldiks, N.; Lagerwaard, F.J.; Navarria, P.; Munck Af Rosenschöld, P.; Ricardi, U.; et al. ESTRO-EANO Guideline on Target Delineation and Radiotherapy Details for Glioblastoma. Radiother. Oncol. 2023, 184, 109663. [Google Scholar] [CrossRef]
- Horbinski, C.; Nabors, L.B.; Portnow, J.; Baehring, J.; Bhatia, A.; Bloch, O.; Brem, S.; Butowski, N.; Cannon, D.M.; Chao, S.; et al. NCCN Guidelines® Insights: Central Nervous System Cancers, Version 2.2022: Featured Updates to the NCCN Guidelines. J. Natl. Compr. Cancer Netw. 2023, 21, 12–20. [Google Scholar] [CrossRef]
- Stupp, R.; Mason, W.P.; Van Den Bent, M.J.; Weller, M.; Fisher, B.; Taphoorn, M.J.B.; Belanger, K.; Brandes, A.A.; Marosi, C.; Bogdahn, U.; et al. Radiotherapy plus Concomitant and Adjuvant Temozolomide for Glioblastoma. N. Engl. J. Med. 2005, 352, 987–996. [Google Scholar] [CrossRef]
- Herrlinger, U.; Tzaridis, T.; Mack, F.; Steinbach, J.P.; Schlegel, U.; Sabel, M.; Hau, P.; Kortmann, R.-D.; Krex, D.; Grauer, O.; et al. Lomustine-Temozolomide Combination Therapy versus Standard Temozolomide Therapy in Patients with Newly Diagnosed Glioblastoma with Methylated MGMT Promoter (CeTeG/NOA-09): A Randomised, Open-Label, Phase 3 Trial. Lancet 2019, 393, 678–688. [Google Scholar] [CrossRef]
- Lazaridis, L.; Bumes, E.; Cäcilia Spille, D.; Schulz, T.; Heider, S.; Agkatsev, S.; Schmidt, T.; Blau, T.; Oster, C.; Feldheim, J.; et al. First Multicentric Real-Life Experience with the Combination of CCNU and Temozolomide in Newly Diagnosed MGMT Promoter Methylated IDH Wildtype Glioblastoma. Neuro-Oncol. Adv. 2022, 4, vdac137. [Google Scholar] [CrossRef]
- Stupp, R.; Taillibert, S.; Kanner, A.; Read, W.; Steinberg, D.M.; Lhermitte, B.; Toms, S.; Idbaih, A.; Ahluwalia, M.S.; Fink, K.; et al. Effect of Tumor-Treating Fields Plus Maintenance Temozolomide vs Maintenance Temozolomide Alone on Survival in Patients with Glioblastoma: A Randomized Clinical Trial. JAMA 2017, 318, 2306–2316. [Google Scholar] [CrossRef]
- Langhans, M.; Popp, I.; Grosu, A.L.; Shusharina, N.; Binder, H.; Baltas, D.; Bortfeld, T. Recurrence Analysis of Glioblastoma Cases Based on Distance and Dose Information. Radiother. Oncol. 2023, 183, 109600. [Google Scholar] [CrossRef] [PubMed]
- Tsien, C.I.; Pugh, S.L.; Dicker, A.P.; Raizer, J.J.; Matuszak, M.M.; Lallana, E.C.; Huang, J.; Algan, O.; Deb, N.; Portelance, L.; et al. NRG Oncology/RTOG1205: A Randomized Phase II Trial of Concurrent Bevacizumab and Reirradiation versus Bevacizumab Alone as Treatment for Recurrent Glioblastoma. JCO 2023, 41, 1285–1295. [Google Scholar] [CrossRef] [PubMed]
- Wen, P.Y.; Macdonald, D.R.; Reardon, D.A.; Cloughesy, T.F.; Sorensen, A.G.; Galanis, E.; DeGroot, J.; Wick, W.; Gilbert, M.R.; Lassman, A.B.; et al. Updated Response Assessment Criteria for High-Grade Gliomas: Response Assessment in Neuro-Oncology Working Group. JCO 2010, 28, 1963–1972. [Google Scholar] [CrossRef] [PubMed]
- Buglione, M.; Pedretti, S.; Poliani, P.L.; Liserre, R.; Gipponi, S.; Spena, G.; Borghetti, P.; Pegurri, L.; Saiani, F.; Spiazzi, L.; et al. Pattern of Relapse of Glioblastoma Multiforme Treated with Radical Radio-Chemotherapy: Could a Margin Reduction Be Proposed? J. Neuro-Oncol. 2016, 128, 303–312. [Google Scholar] [CrossRef]
- Andratschke, N.; Willmann, J.; Appelt, A.L.; Alyamani, N.; Balermpas, P.; Baumert, B.G.; Hurkmans, C.; Høyer, M.; Langendijk, J.A.; Kaidar-Person, O.; et al. European Society for Radiotherapy and Oncology and European Organisation for Research and Treatment of Cancer Consensus on Re-Irradiation: Definition, Reporting, and Clinical Decision Making. Lancet Oncol. 2022, 23, e469–e478. [Google Scholar] [CrossRef]
- Niyazi, M.; Adeberg, S.; Kaul, D.; Boulesteix, A.-L.; Bougatf, N.; Fleischmann, D.F.; Grün, A.; Krämer, A.; Rödel, C.; Eckert, F.; et al. Independent Validation of a New Reirradiation Risk Score (RRRS) for Glioma Patients Predicting Post-Recurrence Survival: A Multicenter DKTK/ROG Analysis. Radiother. Oncol. 2018, 127, 121–127. [Google Scholar] [CrossRef]
- Kessel, K.A.; Hesse, J.; Straube, C.; Zimmer, C.; Schmidt-Graf, F.; Schlegel, J.; Meyer, B.; Combs, S.E. Modification and Optimization of an Established Prognostic Score after Re-Irradiation of Recurrent Glioma. PLoS ONE 2017, 12, e0180457. [Google Scholar] [CrossRef]
- Fleischmann, D.F.; Jenn, J.; Corradini, S.; Ruf, V.; Herms, J.; Forbrig, R.; Unterrainer, M.; Thon, N.; Kreth, F.W.; Belka, C.; et al. Bevacizumab Reduces Toxicity of Reirradiation in Recurrent High-Grade Glioma. Radiother. Oncol. 2019, 138, 99–105. [Google Scholar] [CrossRef]
- McBain, C.; Lawrie, T.A.; Rogozińska, E.; Kernohan, A.; Robinson, T.; Jefferies, S. Treatment Options for Progression or Recurrence of Glioblastoma: A Network Meta-Analysis. Cochrane Database Syst. Rev. 2021, 2021, CD013579. [Google Scholar] [CrossRef]
- Stiefel, I.; Schröder, C.; Tanadini-Lang, S.; Pytko, I.; Vu, E.; Klement, R.J.; Guckenberger, M.; Andratschke, N. High-Dose Re-Irradiation of Intracranial Lesions—Efficacy and Safety Including Dosimetric Analysis Based on Accumulated EQD2Gy Dose Calculation. Clin. Transl. Radiat. Oncol. 2021, 27, 132–138. [Google Scholar] [CrossRef]
- Imber, B.S.; Kanungo, I.; Braunstein, S.; Barani, I.J.; Fogh, S.E.; Nakamura, J.L.; Berger, M.S.; Chang, E.F.; Molinaro, A.M.; Cabrera, J.R.; et al. Indications and Efficacy of Gamma Knife Stereotactic Radiosurgery for Recurrent Glioblastoma: 2 Decades of Institutional Experience. Neurosurgery 2017, 80, 129–139. [Google Scholar] [CrossRef] [PubMed]
- Pinzi, V.; Orsi, C.; Marchetti, M.; Milanesi, I.M.; Bianchi, L.C.; DiMeco, F.; Cuccarini, V.; Farinotti, M.; Ferroli, P.; Finocchiaro, G.; et al. Radiosurgery Reirradiation for High-Grade Glioma Recurrence: A Retrospective Analysis. Neurol. Sci. 2015, 36, 1431–1440. [Google Scholar] [CrossRef] [PubMed]
- Fleischmann, D.F.; Unterrainer, M.; Schön, R.; Corradini, S.; Maihöfer, C.; Bartenstein, P.; Belka, C.; Albert, N.L.; Niyazi, M. Margin Reduction in Radiotherapy for Glioblastoma through 18F-Fluoroethyltyrosine PET?—A Recurrence Pattern Analysis. Radiother. Oncol. 2020, 145, 49–55. [Google Scholar] [CrossRef] [PubMed]
- Straube, C.; Scherb, H.; Gempt, J.; Kirschke, J.; Zimmer, C.; Schmidt-Graf, F.; Meyer, B.; Combs, S.E. Adjuvant Stereotactic Fractionated Radiotherapy to the Resection Cavity in Recurrent Glioblastoma—The GlioCave Study (NOA 17—ARO 2016/3—DKTK ROG Trial). BMC Cancer 2018, 18, 15. [Google Scholar] [CrossRef] [PubMed]
- Oehlke, O.; Mix, M.; Graf, E.; Schimek-Jasch, T.; Nestle, U.; Götz, I.; Schneider-Fuchs, S.; Weyerbrock, A.; Mader, I.; Baumert, B.G.; et al. Amino-Acid PET versus MRI Guided Re-Irradiation in Patients with Recurrent Glioblastoma Multiforme (GLIAA)—Protocol of a Randomized Phase II Trial (NOA 10/ARO 2013-1). BMC Cancer 2016, 16, 769. [Google Scholar] [CrossRef] [PubMed]
- Zhou, L.; Shen, Y.; Huang, T.; Sun, Y.; Alolga, R.N.; Zhang, G.; Ge, Y. The Prognostic Effect of Dexamethasone on Patients with Glioblastoma: A Systematic Review and Meta-Analysis. Front. Pharmacol. 2021, 12, 727707. [Google Scholar] [CrossRef]
- Cullison, K.; Samimi, K.; Bell, J.B.; Maziero, D.; Valderrama, A.; Breto, A.L.; Jones, K.; De La Fuente, M.I.; Kubicek, G.; Meshman, J.; et al. Dynamics of Daily Glioblastoma Evolution during Chemoradiation Therapy on the 0.35T Magnetic Resonance Imaging-Linear Accelerator. Int. J. Radiat. Oncol. Biol. Phys. 2024, in press. [Google Scholar] [CrossRef]
- Salvestrini, V.; Greco, C.; Guerini, A.E.; Longo, S.; Nardone, V.; Boldrini, L.; Desideri, I.; De Felice, F. The Role of Feature-Based Radiomics for Predicting Response and Radiation Injury after Stereotactic Radiation Therapy for Brain Metastases: A Critical Review by the Young Group of the Italian Association of Radiotherapy and Clinical Oncology (yAIRO). Transl. Oncol. 2022, 15, 101275. [Google Scholar] [CrossRef]
- Hennessy, M.A.; Coyne, Z.L.; O’Halloran, P.J.; Mullally, W.; Dablouk, M.; MacNally, S.; Morris, P.G. Prognostic Factors Influencing Survival Following Re-Resection for Isocitrate Dehydrogenase (IDH) -Wildtype Glioblastoma Multiforme—Data from a National Neuro-Oncology Registry. J. Clin. Neurosci. 2022, 95, 142–150. [Google Scholar] [CrossRef]
- Mandl, E.S.; Dirven, C.M.F.; Buis, D.R.; Postma, T.J.; Vandertop, W.P. Repeated Surgery for Glioblastoma Multiforme: Only in Combination with Other Salvage Therapy. Surg. Neurol. 2008, 69, 506–509. [Google Scholar] [CrossRef]
- Niyazi, M.; Siefert, A.; Schwarz, S.B.; Ganswindt, U.; Kreth, F.-W.; Tonn, J.-C.; Belka, C. Therapeutic Options for Recurrent Malignant Glioma. Radiother. Oncol. 2011, 98, 1–14. [Google Scholar] [CrossRef] [PubMed]
- Karschnia, P.; Dono, A.; Young, J.S.; Juenger, S.T.; Teske, N.; Häni, L.; Sciortino, T.; Mau, C.Y.; Bruno, F.; Nunez, L.; et al. Prognostic Evaluation of Re-Resection for Recurrent Glioblastoma Using the Novel RANO Classification for Extent of Resection: A Report of the RANO Resect Group. Neuro-Oncology 2023, 25, 1672–1685. [Google Scholar] [CrossRef] [PubMed]
- Stummer, W.; Beck, T.; Beyer, W.; Mehrkens, J.H.; Obermeier, A.; Etminan, N.; Stepp, H.; Tonn, J.-C.; Baumgartner, R.; Herms, J.; et al. Long-Sustaining Response in a Patient with Non-Resectable, Distant Recurrence of Glioblastoma Multiforme Treated by Interstitial Photodynamic Therapy Using 5-ALA: Case Report. J. Neuro-Oncol. 2008, 87, 103–109. [Google Scholar] [CrossRef] [PubMed]
- Schipmann, S.; Müther, M.; Stögbauer, L.; Zimmer, S.; Brokinkel, B.; Holling, M.; Grauer, O.; Suero Molina, E.; Warneke, N.; Stummer, W. Combination of ALA-Induced Fluorescence-Guided Resection and Intraoperative Open Photodynamic Therapy for Recurrent Glioblastoma: Case Series on a Promising Dual Strategy for Local Tumor Control. J. Neurosurg. 2021, 134, 426–436. [Google Scholar] [CrossRef]
- Baehr, A.; Trog, D.; Oertel, M.; Welsch, S.; Kröger, K.; Grauer, O.; Haverkamp, U.; Eich, H.T. Re-Irradiation for Recurrent Glioblastoma Multiforme: A Critical Comparison of Different Concepts. Strahlenther. Onkol. 2020, 196, 457–464. [Google Scholar] [CrossRef]
- Weller, M.; Le Rhun, E. How Did Lomustine Become Standard of Care in Recurrent Glioblastoma? Cancer Treat. Rev. 2020, 87, 102029. [Google Scholar] [CrossRef]
- Weller, M.; Tabatabai, G.; Kästner, B.; Felsberg, J.; Steinbach, J.P.; Wick, A.; Schnell, O.; Hau, P.; Herrlinger, U.; Sabel, M.C.; et al. MGMT Promoter Methylation Is a Strong Prognostic Biomarker for Benefit from Dose-Intensified Temozolomide Rechallenge in Progressive Glioblastoma: The DIRECTOR Trial. Clin. Cancer Res. 2015, 21, 2057–2064. [Google Scholar] [CrossRef]
- Fleischmann, D.F.; Gajdi, L.; Corradini, S.; Schönecker, S.; Marschner, S.; Bodensohn, R.; Hofmaier, J.; Garny, S.; Forbrig, R.; Thon, N.; et al. Re-Irradiation Treatment Regimens for Patients with Recurrent Glioma—Evaluation of the Optimal Dose and Best Concurrent Therapy. Radiother. Oncol. 2024, 199, 110437. [Google Scholar] [CrossRef]
- Palmer, J.D.; Bhamidipati, D.; Song, A.; Eldredge-Hindy, H.B.; Siglin, J.; Dan, T.D.; Champ, C.E.; Zhang, I.; Bar-Ad, V.; Kim, L.; et al. Bevacizumab and Re-Irradiation for Recurrent High Grade Gliomas: Does Sequence Matter? J. Neuro-Oncol. 2018, 140, 623–628. [Google Scholar] [CrossRef]
- Gregucci, F.; Di Guglielmo, F.C.; Surgo, A.; Carbonara, R.; Laera, L.; Ciliberti, M.P.; Gentile, M.A.; Calbi, R.; Caliandro, M.; Sasso, N.; et al. Reirradiation with Radiosurgery or Stereotactic Fractionated Radiotherapy in Association with Regorafenib in Recurrent Glioblastoma. Strahlenther. Onkol. 2024, 200, 751–759. [Google Scholar] [CrossRef]
- Lombardi, G.; De Salvo, G.L.; Brandes, A.A.; Eoli, M.; Rudà, R.; Faedi, M.; Lolli, I.; Pace, A.; Daniele, B.; Pasqualetti, F.; et al. Regorafenib Compared with Lomustine in Patients with Relapsed Glioblastoma (REGOMA): A Multicentre, Open-Label, Randomised, Controlled, Phase 2 Trial. Lancet Oncol. 2019, 20, 110–119. [Google Scholar] [CrossRef] [PubMed]
- Wen, P.; Alexander, B.; Berry, D.; Buxton, M.; Cavenee, W.; Colman, H.; De Groot, J.; Ellingson, B.; Gordon, G.; Hyddmark, E.; et al. CTNI-85. Gbm Agile Platform Trial for Newly Diagnosed and Recurrent Gbm: Results of First Experimental Arm, Regorafenib. Neuro-Oncology 2023, 25, v97–v98. [Google Scholar] [CrossRef]
- Lassman, A.; Alexander, B.; Berry, D.; Buxton, M.; Cavenee, W.; Colman, H.; De Groot, J.; Ellingson, B.; Gordon, G.; Hyddmark, E.M.V.; et al. OS09.7.A Gbm Agile Platform Trial for Newly Diagnosed and Recurrent Gbm: Results of First Experimental Arm, Regorafenib. Neuro-Oncology 2024, 26, v26–v27. [Google Scholar] [CrossRef]
- Kebir, S.; Rauschenbach, L.; Radbruch, A.; Lazaridis, L.; Schmidt, T.; Stoppek, A.-K.; Pierscianek, D.; Stuschke, M.; Forsting, M.; Sure, U.; et al. Regorafenib in Patients with Recurrent High-Grade Astrocytoma. J. Cancer Res. Clin. Oncol. 2019, 145, 1037–1042. [Google Scholar] [CrossRef] [PubMed]
- Wick, W.; Dettmer, S.; Berberich, A.; Kessler, T.; Karapanagiotou-Schenkel, I.; Wick, A.; Winkler, F.; Pfaff, E.; Brors, B.; Debus, J.; et al. N2M2 (NOA-20) Phase I/II Trial of Molecularly Matched Targeted Therapies plus Radiotherapy in Patients with Newly Diagnosed Non-MGMT Hypermethylated Glioblastoma. Neuro-Oncology 2019, 21, 95–105. [Google Scholar] [CrossRef]
- Guberina, N.; Pöttgen, C.; Kebir, S.; Lazaridis, L.; Scharmberg, C.; Lübcke, W.; Niessen, M.; Guberina, M.; Scheffler, B.; Jendrossek, V.; et al. Combined Radiotherapy and Concurrent Tumor Treating Fields (TTFields) for Glioblastoma: Dosimetric Consequences on Non-Coplanar IMRT as Initial Results from a Phase I Trial. Radiat. Oncol. 2020, 15, 83. [Google Scholar] [CrossRef]
- Pepper, N.B.; Stummer, W.; Eich, H.T. The Use of Radiosensitizing Agents in the Therapy of Glioblastoma Multiforme—A Comprehensive Review. Strahlenther. Onkol. 2022, 198, 507–526. [Google Scholar] [CrossRef]
- Giordano, F.A.; Layer, J.P.; Leonardelli, S.; Friker, L.L.; Turiello, R.; Corvino, D.; Zeyen, T.; Schaub, C.; Mueller, W.; Sperk, E.; et al. Potential Predictive Biomarker for Response to Radiotherapy and CXCL12 Inhibition in Glioblastoma in the Phase I/II GLORIA Trial. JCO 2023, 41, 2048. [Google Scholar] [CrossRef]
- Pepper, N.B.; Eich, H.T.; Müther, M.; Oertel, M.; Rehn, S.; Spille, D.C.; Stummer, W. ALA-RDT in GBM: Protocol of the Phase I/II Dose Escalation Trial of Radiodynamic Therapy with 5-Aminolevulinic Acid in Patients with Recurrent Glioblastoma. Radiat. Oncol. 2024, 19, 11. [Google Scholar] [CrossRef]
- Glas, M.; Ballo, M.T.; Bomzon, Z.; Urman, N.; Levi, S.; Lavy-Shahaf, G.; Jeyapalan, S.; Sio, T.T.; DeRose, P.M.; Misch, M.; et al. The Impact of Tumor Treating Fields on Glioblastoma Progression Patterns. Int. J. Radiat. Oncol. Biol. Phys. 2022, 112, 1269–1278. [Google Scholar] [CrossRef]
- Combs, S.E.; Niyazi, M.; Adeberg, S.; Bougatf, N.; Kaul, D.; Fleischmann, D.F.; Gruen, A.; Fokas, E.; Rödel, C.M.; Eckert, F.; et al. Re-irradiation of Recurrent Gliomas: Pooled Analysis and Validation of an Established Prognostic Score—Report of the Radiation Oncology Group (ROG) of the German Cancer Consortium (DKTK). Cancer Med. 2018, 7, 1742–1749. [Google Scholar] [CrossRef] [PubMed]
- Troschel, F.M.; Troschel, B.O.; Kloss, M.; Troschel, A.S.; Pepper, N.B.; Wiewrodt, R.G.; Stummer, W.; Wiewrodt, D.; Eich, H.T. Cervical Body Composition on Radiotherapy Planning Computed Tomography Scans Predicts Overall Survival in Glioblastoma Patients. Clin. Transl. Radiat. Oncol. 2023, 40, 100621. [Google Scholar] [CrossRef] [PubMed]
- Olson, R.A.; Brastianos, P.K.; Palma, D.A. Prognostic and Predictive Value of Epigenetic Silencing of MGMT in Patients with High Grade Gliomas: A Systematic Review and Meta-Analysis. J. Neuro-Oncol. 2011, 105, 325–335. [Google Scholar] [CrossRef] [PubMed]
- Wick, W.; Meisner, C.; Hentschel, B.; Platten, M.; Schilling, A.; Wiestler, B.; Sabel, M.C.; Koeppen, S.; Ketter, R.; Weiler, M.; et al. Prognostic or Predictive Value of MGMT Promoter Methylation in Gliomas Depends on IDH1 Mutation. Neurology 2013, 81, 1515–1522. [Google Scholar] [CrossRef] [PubMed]
- Wick, W.; Platten, M.; Meisner, C.; Felsberg, J.; Tabatabai, G.; Simon, M.; Nikkhah, G.; Papsdorf, K.; Steinbach, J.P.; Sabel, M.; et al. Temozolomide Chemotherapy Alone versus Radiotherapy Alone for Malignant Astrocytoma in the Elderly: The NOA-08 Randomised, Phase 3 Trial. Lancet Oncol. 2012, 13, 707–715. [Google Scholar] [CrossRef]
- Fogh, S.E.; Andrews, D.W.; Glass, J.; Curran, W.; Glass, C.; Champ, C.; Evans, J.J.; Hyslop, T.; Pequignot, E.; Downes, B.; et al. Hypofractionated Stereotactic Radiation Therapy: An Effective Therapy for Recurrent High-Grade Gliomas. JCO 2010, 28, 3048–3053. [Google Scholar] [CrossRef]
- Navarria, P.; Minniti, G.; Clerici, E.; Tomatis, S.; Pinzi, V.; Ciammella, P.; Galaverni, M.; Amelio, D.; Scartoni, D.; Scoccianti, S.; et al. Re-Irradiation for Recurrent Glioma: Outcome Evaluation, Toxicity and Prognostic Factors Assessment. A Multicenter Study of the Radiation Oncology Italian Association (AIRO). J. Neuro-Oncol. 2019, 142, 59–67. [Google Scholar] [CrossRef]






| Sex | Male | n = 63 (62%) |
| Female | n = 38 (38%) | |
| IDH | Wildtype | n = 91 (90%) |
| Mutated | n = 10 (10%) | |
| MGMT | Methylated | n = 62 (61%) |
| Non-methylated | n = 39 (39%) | |
| Initial systemic treatment | TMZ (EORTC) | n = 86 (85%) |
| TMZ + CCNU (CeTeG) | n = 11 (11%) | |
| Study | n = 4 (4%) | |
| Additional adjuvant treatment | TTFields | n =8 (8%) |
| Surgical intervention preceding re-RT | GTR | n = 22 (22%) |
| STR | n = 40 (39%) | |
| Biopsy | n = 15 (15%) | |
| None | n = 24 (24%) | |
| ECOG pre re-RT | ≥2 | n = 39 (39%) |
| <2 | n = 62 (61%) | |
| Corticosteroid dose (Dexa) pre-re-RT | None | n = 76 (75%) |
| ≤4 mg | n = 17 (17%) | |
| >4 mg | n = 8 (8%) | |
| Age at recurrence | Median | 58.0 years |
| 95%-CI | 55.8–60.2 | |
| PFS from end of initial RT to initiation of re-RT | Mean | 19.4 months |
| Median | 12 months | |
| 95%-CI | 15.9–22.9 |
| GTV size [cm3] | Median | 13.4 |
| Min | 0.3 | |
| Max | 143.7 | |
| 95%-CI | 19.6–30.6 | |
| PTV size [cm3] | Median | 88.1 |
| Min | 21.5 | |
| Max | 405.7 | |
| 95%-CI | 96.2–129.2 | |
| GTV-to-PTV margin [mm] | Mean | 11 |
| Min | 5 | |
| Max | 20 | |
| 95%-CI | 10.2–11.9 | |
| Recurrent GTV covered by iPTV of initial RT [%] | Mean | 75 |
| Min | 0 | |
| Max | 100 | |
| 95%-CI | 67–84 | |
| Classification of recurrence (following Buglione et al. [14]) | In-field | n = 58 (57%) |
| Marginal | n = 11 (11%) | |
| Out-field | n = 14 (14%) | |
| unknown | n = 18 (18%) | |
| Prescription dose | ≤40 Gy | n = 81 |
| >40 Gy | n = 20 | |
| Boost applied | Yes | n = 16 |
| No | n = 85 |
| Concomitant systemic therapy | TMZ + CCNU | n = 13 |
| TMZ | n = 34 | |
| CCNU | n = 33 | |
| None | n = 21 | |
| Toxicity assessment | ||
| Decreased blood work parameters | Grade 1 | n = 70 |
| Grade 2 | n = 6 | |
| Grade 3 | n = 11 | |
| Grade 4 | n = 4 | |
| Increased liver enzymes | Grade 1 | n = 37 |
| Grade 2 | n = 6 | |
| Grade 3 | n = 3 | |
| Grade 4 | n = 0 | |
| Dynamic of steroid intake during re-RT (Dexamethasone equivalent) | Increase | n = 32 |
| Decrease | n = 9 | |
| Stable | n = 2 | |
| None | n = 58 |
| TMZ + CCNU | TMZ | CCNU | None | All | |
|---|---|---|---|---|---|
| MRI with further progression available | 46% | 53% | 70% | 45% | 100% |
| Relapse analysis following Buglione et al. [14]: | |||||
| 50% | 55% | 43% | 70% | 49% |
| 50% | 45% | 43% | 30% | 46% |
| 0% | 0% | 13% | 0% | 5% |
| Mean relapse volume covered by re-RT PTV [%] | 80.7 | 71.8 | 60 | 85.9 | 74.6 |
| PFS after re-RT | |||||
| 12.6 | 11.8 | 4.7 | 7.1 | 9.7 |
| 5.7–19.5 | 3.1–20.4 | 3.7–5.7 | 3.1–11.1 | 5.8–13.6 |
Disclaimer/Publisher’s Note: The statements, opinions and data contained in all publications are solely those of the individual author(s) and contributor(s) and not of MDPI and/or the editor(s). MDPI and/or the editor(s) disclaim responsibility for any injury to people or property resulting from any ideas, methods, instructions or products referred to in the content. |
© 2024 by the authors. Licensee MDPI, Basel, Switzerland. This article is an open access article distributed under the terms and conditions of the Creative Commons Attribution (CC BY) license (https://creativecommons.org/licenses/by/4.0/).
Share and Cite
Pepper, N.B.; Prange, N.G.; Troschel, F.M.; Kröger, K.; Oertel, M.; Kuhlmann, T.; Müther, M.; Grauer, O.; Stummer, W.; Eich, H.T. Efficacy and Low Toxicity of Normo-Fractionated Re-Irradiation with Combined Chemotherapy for Recurrent Glioblastoma—An Analysis of Treatment Response and Failure. Cancers 2024, 16, 3652. https://doi.org/10.3390/cancers16213652
Pepper NB, Prange NG, Troschel FM, Kröger K, Oertel M, Kuhlmann T, Müther M, Grauer O, Stummer W, Eich HT. Efficacy and Low Toxicity of Normo-Fractionated Re-Irradiation with Combined Chemotherapy for Recurrent Glioblastoma—An Analysis of Treatment Response and Failure. Cancers. 2024; 16(21):3652. https://doi.org/10.3390/cancers16213652
Chicago/Turabian StylePepper, Niklas Benedikt, Nicholas Grischa Prange, Fabian Martin Troschel, Kai Kröger, Michael Oertel, Tanja Kuhlmann, Michael Müther, Oliver Grauer, Walter Stummer, and Hans Theodor Eich. 2024. "Efficacy and Low Toxicity of Normo-Fractionated Re-Irradiation with Combined Chemotherapy for Recurrent Glioblastoma—An Analysis of Treatment Response and Failure" Cancers 16, no. 21: 3652. https://doi.org/10.3390/cancers16213652
APA StylePepper, N. B., Prange, N. G., Troschel, F. M., Kröger, K., Oertel, M., Kuhlmann, T., Müther, M., Grauer, O., Stummer, W., & Eich, H. T. (2024). Efficacy and Low Toxicity of Normo-Fractionated Re-Irradiation with Combined Chemotherapy for Recurrent Glioblastoma—An Analysis of Treatment Response and Failure. Cancers, 16(21), 3652. https://doi.org/10.3390/cancers16213652

