A Pathological Assessment of the Microvasculature of Biliary Tract Neoplasms Referring to Pre-Existing Blood Vessels and Vessel Co-Option
Simple Summary
Abstract
1. Introduction
2. Microvasculature of Neoplasms Arising in Large Bile Ducts and Gallbladder Referring to Pre-Existing Vessels and Vessel Co-Option
2.1. Non-Neoplastic Pattern of Microvasculature
2.2. Neoplastic Pattern Microvasculature
2.2.1. Microvasculature of Invasive LD-iCCA, p/dCCA, and GBC
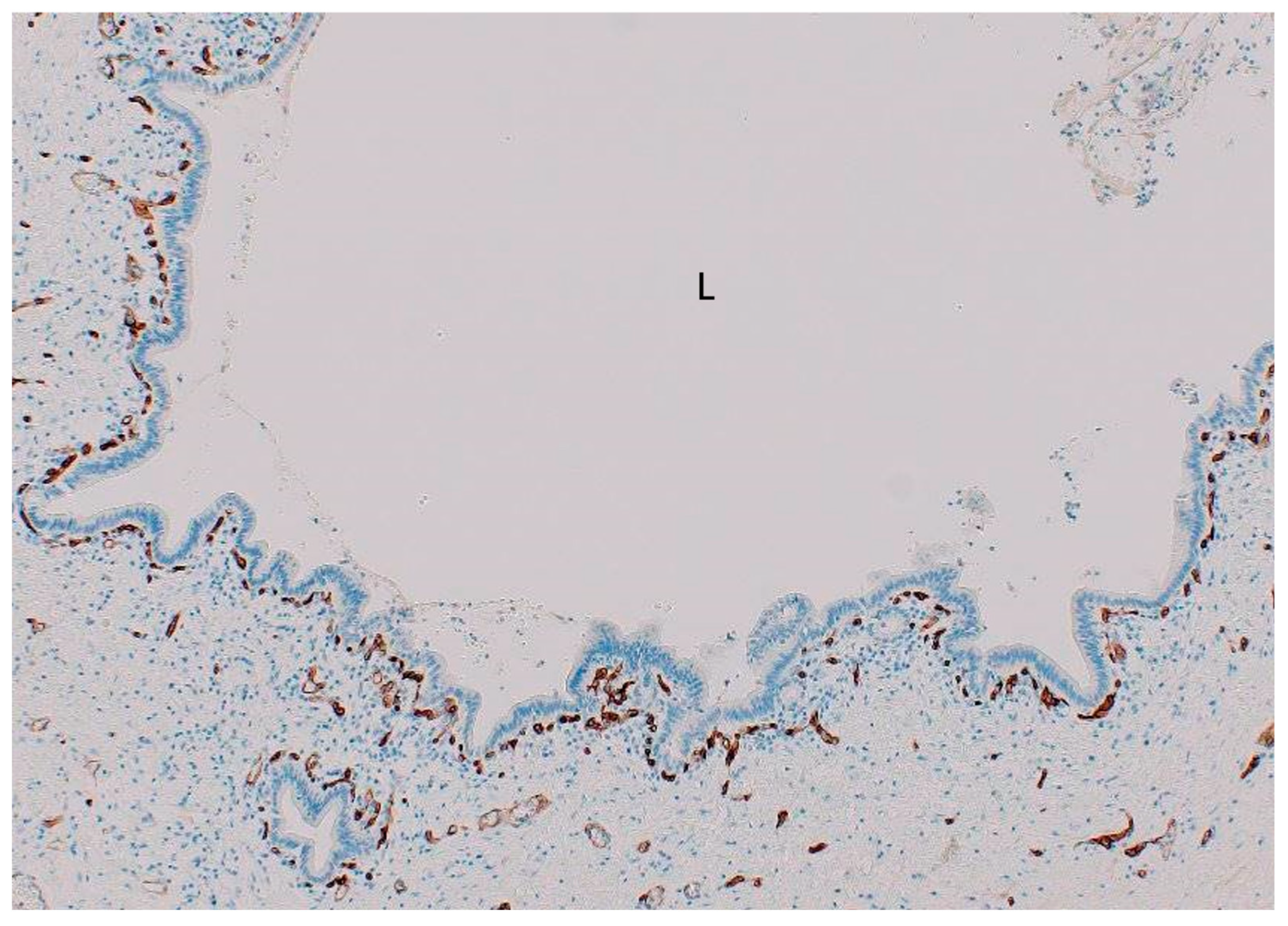
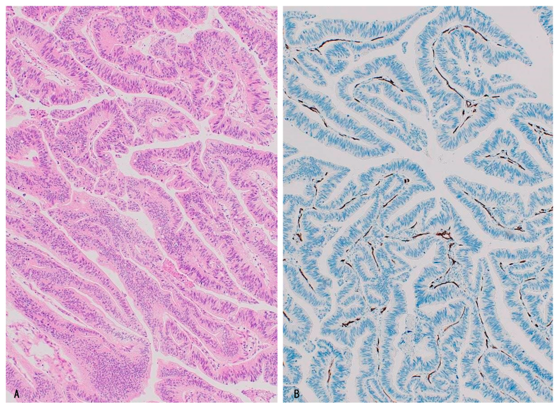
2.2.2. Microvasculature of Precursors (High-Grade BilIN and IPNB, ICPN, and PGA)
High-Grade BilIN
IPNB, ICPN and PGA
- 1.
- Regular and dense capillary pattern
- 2.
- Sparse capillary pattern
- 3.
- Vessel co-option of and sparse capillaries in intraluminal components of IPNB and ICPN
2.2.3. Neoplastic Growth in the Walls of the Biliary Tract (Large Bile Ducts and Gallbladder) Associated with High-Grade BilIN, IPNB, and ICPN Referring to Microvasculatures
Intraepithelial Involvement of Non-Neoplastic Glands
Invasive Carcinoma
Progression of Precursors into Invasive Carcinoma
Significance
2.2.4. Practical Application of Neoplastic Patterns of Microvascualtures in Histopathologic Diagnosis of LD-iCCA and eCCA and GBC
Differentiation of Glandular Involvement from Invasion
T-Category in TNM Classification of LD-iCCA and eCCA and GBC Referring to Glandular Involvement
3. Invasion of iCCA into the Hepatic Parenchyma Referring to Vessel Co-Option and Pre-Existing Sinusoids
3.1. Non-Neoplastic Hepatic Vascular Pattern and Neoplastic Vascular Pattern in HCC and Metastatic Carcinoma
3.2. Microvascular Pattern in iCCA with Correlation to Growth Pattern
3.2.1. Three Growth Patterns of iCCA Against the Hepatic Parenchyma
3.2.2. Replacing Growth Pattern and Vessel Co-Option
3.2.3. Histologies of Subtypes of iCCA Showing Three Growth Pattern
3.2.4. Microvasculatures of Precursors of SD-iCCA
4. Conclusions
Author Contributions
Funding
Conflicts of Interest
References
- Latacz, E.; Caspani, E.; Barnhill, R.; Lugassy, C.; Verhoef, C.; Grünhagen, D.; Van Laere, S.; Fernández Moro, C.; Gerling, M.; Dirix, M.; et al. Pathological features of vessel co-option versus sprouting angiogenesis. Angiogenesis 2020, 23, 43–54. [Google Scholar] [CrossRef] [PubMed]
- Latacz, E.; Höppener, D.; Bohlok, A.; Leduc, S.; Tabariès, S.; Fernández Moro, C.; Lugassy, C.; Nyström, H.; Bozóky, B.; Floris, G.; et al. Histopathological growth patterns of liver metastasis: Updated consensus guidelines for pattern scoring, perspectives and recent mechanistic insights. Br. J. Cancer 2022, 127, 988–1013. [Google Scholar] [CrossRef] [PubMed]
- Gaudio, E.; Franchitto, A.; Pannarale, L.; Carpino, G.; Alpini, G.; Francis, H.; Glaser, S.; Alvaro, D.; Onori, P. Cholangiocytes and blood supply. World J. Gastroenterol. 2006, 14, 3546–3552. [Google Scholar] [CrossRef] [PubMed]
- Sirica, A.E.; Gores, G.J. Desmoplastic stroma and cholangiocarcinoma: Clinical implications and therapeutic targeting. Hepatology 2014, 59, 2397–2402. [Google Scholar] [CrossRef]
- Hosein, A.N.; Brekken, R.A.; Maitra, A. Pancreatic cancer stroma: An update on therapeutic targeting strategies. Nat. Rev. Gastroenterol. Hepatol. 2017, 17, 487–505. [Google Scholar] [CrossRef]
- Bhat, S.M.; Badiger, V.A.; Vasishta, S.; Chakraborty, J.; Prasad, S.; Ghosh, S.; Joshi, M.B. 3D tumor angiogenesis models: Recent advances and challenges. J. Cancer Res. Clin. Oncol. 2021, 147, 3477–3494. [Google Scholar] [CrossRef]
- Yang, D.; Dang, S.; Wang, Z.; Xie, M.; Li, X.; Ding, X. Vessel co-option: A unique vascular-immune niche in liver cancer. Front. Oncol. 2024, 14, 1386772. [Google Scholar] [CrossRef]
- WHO; Classification of Tumours Editorial Board. Digestive System Tumours, 5th ed.; International Agency for Research on Cancer: Lyon, France, 2019. [Google Scholar]
- Nakanuma, Y.; Kakuda, Y.; Sugino, T.; Sato, Y.; Fukumura, Y. Pathologies of precursor lesions of biliary tract carcinoma. Cancers 2022, 14, 5358. [Google Scholar] [CrossRef]
- Li, Z.; Nguyen, H.; Takahashi, K.; Le Thanh, D.; Nguyen Thi, Q.; Yang, R.; Yoshimura, K.; Sato, Y.; Nguyen Thi, K.; Nakata, H.; et al. Histopathological growth pattern and vessel co-option in intrahepatic cholangiocarcinoma. Med. Mol. Morphol. 2024, in press. [Google Scholar] [CrossRef]
- Nakanuma, Y.; Kakuda, Y.; Sato, Y.; Fukushima, M.; Sugino, T. Pathologic significance of peribiliary capillary plexus in gallbladder neoplasm. Hum. Pathol. 2024, 146, 86–94. [Google Scholar] [CrossRef]
- Nakanuma, Y.; Kakuda, Y.; Canh, H.N.; Sasaki, M.; Harada, K.; Sugino, T. Pathologic characterization of precursors and cholangiocarcinoma referring to peribiliary capillary plexus: A new pathologic approach to bile duct neoplasm. Virchows Arch. 2024, in press. [Google Scholar] [CrossRef]
- Cho, K.J.; Lunderquist, A. The peribiliary vascular plexus: The microvascular architecture of the bile duct in the rabbit and in clinical cases. Radiology 1983, 147, 357–364. [Google Scholar] [CrossRef] [PubMed]
- Crawford, J.M.; Bioulac-Sage, P.; Hytiroglou, P. Structure, function and response to the injury. In Pathology of the Liver, 8th ed; MacSween, R.N.M., Burt, A.D., Ferrel, L.D., Eds.; Chrchill Livingstone: London, UK, 2024; pp. 1–96. [Google Scholar]
- Nakashima, O.; Sugihara, S.; Kage, M.; Kojiro, M. Pathomorphologic characteristics of small hepatocellular carcinoma: A special reference to small hepatocellular carcinoma with indistinct margins. Hepatology 1995, 22, 101–105. [Google Scholar] [PubMed]
- Kono, N.; Nakanuma, Y. Ultrastructural and immunohistochemical studies of the intrahepatic peribiliary capillary plexus in normal livers and extrahepatic biliary obstruction in human beings. Hepatology 1992, 15, 411–418. [Google Scholar] [CrossRef] [PubMed]
- Gaudio, E.; Barbaro, B.; Alvaro, D.; Glaser, S.; Francis, H.; Franchitto, A.; Onori, P.; Ueno, Y.; Marzioni, M.; Fava, G.; et al. Administration of r-VEGF-A prevents hepatic artery ligation-induced bile duct damage in bile duct ligated rats. Am. J. Physiol. Gastrointest. Liver Physiol. 2006, 291, G307–G317. [Google Scholar] [CrossRef]
- Glaser, S.S.; Gaudio, E.; Alpini, G. Vascular factors, angiogenesis and biliary tract disease. Curr. Opin. Gastroenterol. 2010, 26, 246–250. [Google Scholar] [CrossRef]
- Nakanuma, Y.; Sudo, Y. Biliary tumors with pancreatic counterparts. Semin. Diagn. Pathol. 2017, 34, 167–175. [Google Scholar] [CrossRef]
- Kubota, K.; Jang, J.Y.; Nakanuma, Y.; Jang, K.T.; Haruyama, Y.; Fukushima, N.; Furukawa, T.; Hong, S.M.; Sakuraoka, Y.; Kim, H.; et al. Clinicopathological characteristics of intraductal papillary neoplasm of the bile duct: A Japan-Korea collaborative study. J. Hepatobiliary Pancreat. Sci. 2020, 27, 581–597. [Google Scholar] [CrossRef]
- Nakanuma, Y.; Uesaka, K.; Okamura, Y.; Terada, T.; Fukumura, Y.; Kakuda, Y.; Sugino, T.; Sato, Y.; Take, J.K.; Park, Y.N. Reappraisal of pathological features of intraductal papillary neoplasm of bile duct with respect to the type 1 and 2 subclassifications. Hum. Pathol. 2021, 111, 21–35. [Google Scholar] [CrossRef]
- Kuczynski, E.A.; Vermeulen, P.B.; Pezzella, F.; Kerbel, R.S.; Reynolds, A.R. Vessel co-option in cancer. Nat. Rev. Clin. Oncol. 2019, 16, 469–493. [Google Scholar] [CrossRef]
- Fujikura, K.; Hutchings, D.; Braxton, A.M.; Zhu, Q.; Laheru, D.A.; Hruban, R.H.; Thompson, E.D.; Wood, L.D. Intraductal pancreatic cancer is less responsive than cancer in the stroma to neoadjuvant chemotherapy. Mod. Pathol. 2020, 33, 2026–2034. [Google Scholar] [CrossRef] [PubMed]
- Brierley, J.D.; Gospodarowicz, M.K.; Wittekind, C. TNM Classificastion of Malignant Tumours, 8th ed; UICC Wiley Blackwell: Hoboken, NJ, USA, 2017. [Google Scholar]
- Albores-Saavedra, J.; Shukla, D.; Carrick, K.; Henson, D.E. In situ and invasive adenocarcinomas of the gallbladder extending into or arising from Rokitansky-Aschoff sinuses: A clinicopathologic study of 49 cases. Am. J. Surg. Pathol. 2004, 28, 621–628. [Google Scholar] [CrossRef] [PubMed]
- Albores-Saavedra, J.; Henson, D.E.; Klimstra, D.S. Tumors of the Gallbladder, Extrahepatic Bile Ducts, and Vaterian System; American Registry of Pathology: Washington, DC, USA, 2015. [Google Scholar]
- Matsumoto, K.; Yoshitomi, H.; Rossant, J.; Zaret, K.S. Liver organogenesis promoted by endothelial cells prior to vascular function. Science 2001, 294, 559–563. [Google Scholar] [CrossRef] [PubMed]
- Dezső, K.; Papp, V.; Bugyik, E.; Hegyesi, H.; Sáfrány, G.; Bödör, C.; Nagy, P.; Paku, S. Structural analysis of oval-cell-mediated liver regeneration in rats. Hepatology 2012, 56, 1457–1467. [Google Scholar] [CrossRef]
- Hoehme, S.; Brulport, M.; Bauer, A.; Bedawy, E.; Schormann, W.; Hermes, M.; Puppe, V.; Gebhardt, R.; Zellmer, S.; Schwarz, M.; et al. Prediction and validation of cell alignment along microvessels as order principle to restore tissue architecture in liver regeneration. Proc. Natl. Acad. Sci. USA 2010, 107, 10371–10376. [Google Scholar] [CrossRef]
- Vermeulen, P.B.; Colpaert, C.; Salgado, R.; Royers, R.; Hellemans, H.; Van Den Heuvel, E.; Goovaerts, G.; Dirix, L.Y.; Van Marck, E. Liver metastases from colorectal adenocarcinomas grow in three patterns with different angiogenesis and desmoplasia. J. Pathol. 2001, 195, 336–342. [Google Scholar] [CrossRef]
- Stessels, F.; Van den Eynden, G.; Van der Auwera, I.; Salgado, R.; Van den Heuvel, E.; Harris, A.L.; Jackson, D.G.; Colpaert, C.G.; van Marck, E.A.; Dirix, L.Y.; et al. Breast adenocarcinoma liver metastases, in contrast to colorectal cancer liver metastases, display a non-angiogenic growth pattern that preserves the stroma and lacks hypoxia. Br. J. Cancer. 2004, 90, 1429–1436. [Google Scholar] [CrossRef]
- Bhuria, V.; Xing, J.; Scholta, T.; Bui, K.C.; Nguyen, M.L.T.; Malek, N.P.; Bozko, P.; Plentz, R.R. Hypoxia induced Sonic Hedgehog signaling regulates cancer stemness, epithelial-to-mesenchymal transition and invasion in cholangiocarcinoma. Exp. Cell Res. 2019, 385, 111671. [Google Scholar] [CrossRef]
- Tabariès, S.; Dupuy, F.; Dong, Z.; Monast, A.; Annis, M.G.; Spicer, J.; Ferri, L.E.; Omeroglu, A.; Basik, M.; Amir, E.; et al. Claudin-2 promotes breast cancer liver metastasis by facilitating tumor cell interactions with hepatocytes. Mol. Cell Biol. 2012, 32, 2979–2991. [Google Scholar] [CrossRef]
- Horst, A.K.; Neumann, K.; Diehl, L.; Tiegs, G. Modulation of liver tolerance by conventional and nonconventional antigen-presenting cells and regulatory immune cells. Cell Mol. Immunol. 2016, 13, 277–292. [Google Scholar] [CrossRef]
- Balitzer, D.; Joseph, N.M.; Ferrell, L.; Shafizadeh, N.; Jain, D.; Zhang, X.; Yeh, M.; di Tommaso, L.; Kakar, S. Immunohistochemical and molecular features of cholangiolocellular carcinoma are similar to well-differentiated intrahepatic cholangiocarcinoma. Mod. Pathol. 2019, 32, 1486–1494. [Google Scholar] [CrossRef]








| Anatomical Location | Intrahepatic Large and Extrahepatic Bile Duct and Gallbladder | Hepatic Lobules |
|---|---|---|
| Structural units |
|
|
| Supplying from |
|
|
| Draining into |
|
|
| Function |
|
|
| Vessels | Neoplasms | Blood Supply |
|---|---|---|
| Vessel co-option of pre-existing PCP |
| Hypervascular Hypervascular Hypervascular Hypervascular |
| Sparse capillaries |
| Hypovascular Hypovascular |
| Neoangiogenesis as a component of TME |
| Hypovascular Hypovascular |
| Neoplasm | Surrounding Capillaries | Fibrous Stroma (TME) with Neo-Angiogenesis | Significance of Microvasculatures |
|---|---|---|---|
| High-grade BilIN | Regular and dense | Absent | Pre-existing PCP is used as co-opted vessels |
| Associated invasive carcinoma | Absent | Present | Neoangiogenesis with fibrous stroma (TME) |
| IPNB Type 1 | Regular and dense | Absent | Pre-existing PCP is used as co-opted vessels |
| Type 2 | Sparse | Absent | Poor vascularity and no neoangiogenesis |
| Associated invasive carcinoma | Absent | Present | Neoangiogenesis with fibrous stroma (TME) |
| ICPN Type 1 | Regular and dense | Absent | Pre-existing PCP is used as co-opted vessels |
| Type 2 | Sparse | Absent | Poor vascularity and no eoangiogenesis |
| Associated invasive carcinoma | Absent | Present | Neoangiogenesis with fibrous stroma (TME) |
| LD-iCCA, eCCA | Absent | Present | Neoangiogenesis with fibrous stroma (TME) |
| GBC | Absent | Present | Neoangiogenesis with fibrous stroma (TME) |
| Neoplastic Glands Surrounded by Regular and Dense Capillaries | Neoplastic Glands Not Surrounded by Capillaries | |
|---|---|---|
| Pathology |
• Occasionally found • Close and continuous to non-neoplastic peribiliary glands and conduits • Well differentiation |
• Majority of neoplastic glands • Frequently associated with desmoplastic reaction (neoangiogenesis) • Variable differentiation |
| Significance |
• Peribiliary glands and RAS involved intraepithelially by precursors (pseudoinvasion) |
|
| T-category | pTis | >pT1a depending on the location of neoplasms |
| Preinvasive Neoplastic Glands * | Invasive Neoplastic Glands ** | |
|---|---|---|
| Histologic differentiation | Well-differentiated | Well- to poorly differentiated |
| Could be present | Absent |
| Could be present | Absent |
| Absent | Not infrequent |
| Could be present | Unrelated |
| Could be present | Absent |
| Similar to intraluminal preinvasive components | Could be different from intraluminal preinvasive components |
| Could be present | Absent |
| Present | Absent |
| Absent | Could be present |
| Absent | Could be present |
| Absent | Could be present |
| Replacing Growth | Pushing Growth | Desmoplastic Growth | |
|---|---|---|---|
| Direct contact of tumor cells with non-neoplastic hepatocytes in hepatocytic cords | + | + | - |
| Vessel co-option of sinusoids | + | - | - |
| Original hepatic lobular pattern | Reserved | Not found | Not found |
| Entrapment of intact portal tracts | + | - | - |
| Desmoplastic capsule | - | - | + |
Disclaimer/Publisher’s Note: The statements, opinions and data contained in all publications are solely those of the individual author(s) and contributor(s) and not of MDPI and/or the editor(s). MDPI and/or the editor(s) disclaim responsibility for any injury to people or property resulting from any ideas, methods, instructions or products referred to in the content. |
© 2024 by the authors. Licensee MDPI, Basel, Switzerland. This article is an open access article distributed under the terms and conditions of the Creative Commons Attribution (CC BY) license (https://creativecommons.org/licenses/by/4.0/).
Share and Cite
Nakanuma, Y.; Li, Z.; Sato, Y.; Sasaki, M.; Harada, K.; Kakuda, Y.; Sugino, T. A Pathological Assessment of the Microvasculature of Biliary Tract Neoplasms Referring to Pre-Existing Blood Vessels and Vessel Co-Option. Cancers 2024, 16, 3869. https://doi.org/10.3390/cancers16223869
Nakanuma Y, Li Z, Sato Y, Sasaki M, Harada K, Kakuda Y, Sugino T. A Pathological Assessment of the Microvasculature of Biliary Tract Neoplasms Referring to Pre-Existing Blood Vessels and Vessel Co-Option. Cancers. 2024; 16(22):3869. https://doi.org/10.3390/cancers16223869
Chicago/Turabian StyleNakanuma, Yasuni, Zihan Li, Yasunori Sato, Motoko Sasaki, Kenichi Harada, Yuko Kakuda, and Takashi Sugino. 2024. "A Pathological Assessment of the Microvasculature of Biliary Tract Neoplasms Referring to Pre-Existing Blood Vessels and Vessel Co-Option" Cancers 16, no. 22: 3869. https://doi.org/10.3390/cancers16223869
APA StyleNakanuma, Y., Li, Z., Sato, Y., Sasaki, M., Harada, K., Kakuda, Y., & Sugino, T. (2024). A Pathological Assessment of the Microvasculature of Biliary Tract Neoplasms Referring to Pre-Existing Blood Vessels and Vessel Co-Option. Cancers, 16(22), 3869. https://doi.org/10.3390/cancers16223869

