Abstract
Powdery mildew (PM) is a fungal disease occurring in both field and greenhouse conditions worldwide. It infects many plant species and reduces both the productivity and quality of crops. Melon (Cucumis melo L.) is an economically important crop. In order to develop a molecular marker that can be used more conveniently in the development of PM-resistant melon using MR-1 melon resources, the previously reported cleaved amplified polymorphic sequence (CAPS) marker was improved with a length polymorphism PCR marker. Two cleaved CAPS markers—BSA12-LI3ECORI and BSA12-LI4HINFI—associated with BPm12.1, a major quantitative trait locus (QTL) corresponding to the PM resistance of MR-1, have been reported. In this study, we found that in the BSA12-LI3ECORI CAPS marker specifically, a 41 bp deletion was present in the PCR DNA region of the MR-1 melon genome. A new marker capable of distinguishing polymerase chain reaction (PCR) length polymorphism was produced using insertion-deletion (InDel) information in this region. This PCR-based InDel marker distinguished the genotypes of PM-resistant MR-1, PM-susceptible Top Mark, and their F1 progeny. These results suggest that this InDel marker could be used to develop PM-resistant melon varieties based on MR-1.
1. Introduction
Melon (Cucumis melo L., Cucurbitaceae) is an economically important crop with a worldwide production of more than 29 million tons per year [1]. However, powdery mildew (PM) reduces the productivity of all Cucurbitaceae crops worldwide. Two typical fungal pathogens reported in melon are Podosphaera xanthii and Golovinomyces cichoracearum [2,3,4,5,6,7].
Identification of molecular markers associated with PM resistance from PM-resistant melon resources is a prerequisite for the development of PM-resistant melons by molecular breeding [8,9]. Molecular markers used for breeding are primarily aimed at a single gene associated with the target trait [10,11,12,13,14]. Genetic linkage analysis is mainly applied using quantitative trait loci (QTL) derived from between two parents with a contrasting phenotype. With this method, DNA markers for phenotypic data with characteristics of interest are identified based on variations in DNA sequences in segregation generations. In marker-assisted selection (MAS), DNA markers map DNA regions closely related to the target trait in donor lines. Subsequently, the targeted gene region is introduced into an agriculturally superior elite line using crosses, and used as an association marker until the target trait gene is stably inherited in the elite plant [15].
To date, a total of 12 resistant loci have been reported for P. xanthii race from the melon lines Edisto47 [16], PI414723 [17,18,19], TGR-1551 [20], Ano2 [21], PI124112 [22], melon K7-1 [23], and VA435 [24]. Among the melon resources, MR-1 is derived from PI124111 and exhibits nonspecific tolerance to powdery mildew [25]. However, the resistance gene of MR-1 has never been reported. Recently, Li et al. [26] conducted next-generation sequencing (NGS)-based bulked segregant analysis (BSA) on 346 F2 progeny individuals derived from crossing MR-1 resistant and susceptible Top Mark to P. xanthii race 1. As a result, a single nucleotide polymorphism (SNP) was analyzed for all genomic sequences in two bulk DNA samples, to find QTL BPm12.1 between BSA12-LI3ECOR1 and BSA12-LI4HIFI, cleaved amplified polymorphic sequence (CAPS) markers associated with PM resistance to MR-1. In this study, we developed a PCR-based InDel marker that can discriminate MR-1 resistance more efficiently by using information from BSA12-LI3ECOR1 and BSA12-LI4HIFI, which are CAPS markers associated with BPm12.1 QTL, associated with MR-1 PM resistance.
2. Materials and Methods
2.1. Melon Genetic Resources
Melon lines resistant to PM—MR-1 (Ames8578), Edisto47 (NSL34600), PMR5 (Ames26809), PMR6 (Ames26810), PMR45 (NSL113039), PMR45 (Ames26811), TGR1151 (PI482420), VIR5682 (PI313970), VIR5682 (NS12002), 2563 (PI124111), 2564 (PI12412), LJ90234 (PI414723), D-2 Resistant (Ames18738), and a susceptible Top Mark melon—were obtained from the US National Plant Germplasm Center (https://npgsweb.ars-grin.gov/gringlobal/search.aspx?). The susceptible IranH melon seed was obtained from the Center for Genetic Resources (http://genebank.rda.go.kr/) of the Rural Development Administration, Republic of Korea.
2.2. Genomic DNA Isolation
Melon genomic DNA was isolated from young plants grown from seeds of thirteen resistant and two susceptible lines. The protocol described in web (https://www.pharm.auth.gr/plant-biotech/en/protocols.html) was modified and used as follows. Genomic DNA was extracted using a DNA extraction buffer (50 mM Tris-HCl, 20 mM EDTA). One hundred milligrams of sampled leaves were ground with liquid nitrogen. One milliliter of extraction buffer and 66 μL of 10% SDS were added to a sample contained in a 2 mL tube, and then mixed at 65 °C for 30 min. After adding 300 μL of 3M sodium acetate (pH 5.2), the tube containing the mixture was left on ice for 50 min, and centrifuged at 9330× g for 20 min using a high-speed centrifuge. Eight hundred microliters of the supernatant were transferred to a new 2 mL tube and the same volume of isopropanol (IPA) was added. The tube containing the mixture was frozen at −80 °C for 10 min; after centrifugation, the pellet was separated and the supernatant was discarded. The pellet was rinsed twice using 700 μL of 70% EtOH, and, finally, the pellet was dissolved in sterile distilled water to obtain genomic DNA.
2.3. PCR Analysis for CAPS Marker, Restriction Endonuclease Treatment, and DNA Sequencing
Two CAPS markers—BSA12_LI3ECORI, and BSA12-LI4HINFI linked with BPm12.1, a PM-resistant locus for MR-1—were used for PCR analysis of melon lines. Forward primer (5′-TGCCTTTAGTGGGAGTAGTTCAT-3′) and reverse primer (5′-TGTAGTGCTCCAACACATTTAG-3′) for BSA12_LI3ECORI, forward primer (5′-TGCCTTTAGTGGGAGTAGTTCAT-3′) and reverse primer (5′-TCAAGGCGAAGATATTGAGCAA-3′) for BSA12-LI4HINFI (Figure 1B) were synthesized using the nucleotide sequence information reported in Li et al. [26]. Genomic DNA-PCR was performed on 100 ng of melon DNA using mixture of 0.75 μM pairs of CAPS markers, 250 μM dNTPs, and 1× reaction buffer with 5-unit NEXpro™ e Taq DNA polymerase (Focus Bioscience, St Lucia, Australia). PCR was performed under the following conditions: 95 °C for 5 min, 30 cycles of 95 °C for 30 s, 56 °C for 30 s, 72 °C for 1 min, and 72 °C for 10 min. Five microliters of the PCR product was treated with EcoRI or Hinf1 restriction enzyme for 3 h and then subjected to agarose gel electrophoresis to determine whether there was a difference between PM resistance and susceptibility melon lines. In addition, PCR bands were eluted from agarose gel, and DNA sequences were determined by Sanger DNA sequencing.
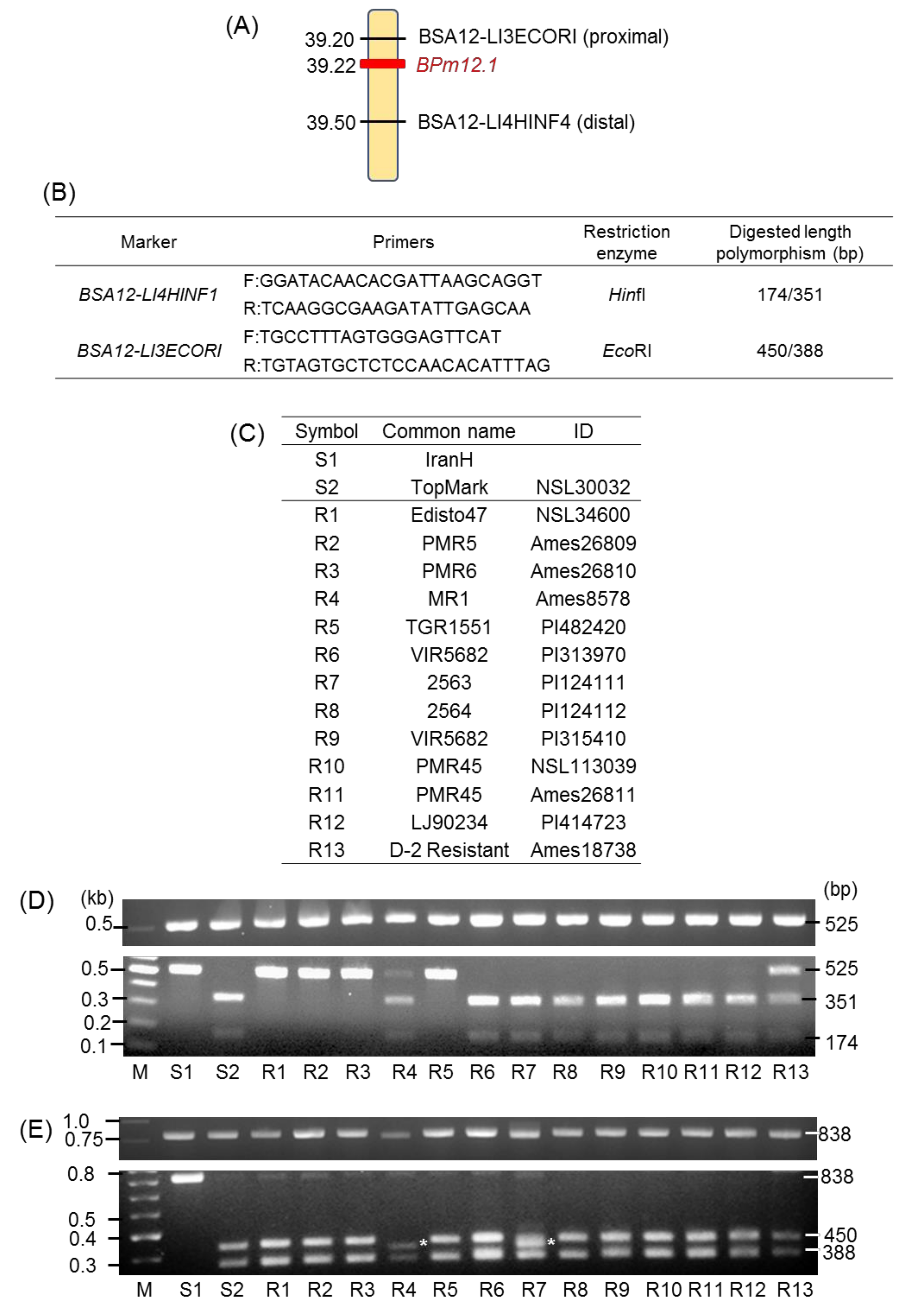
Figure 1.
Cleaved amplified polymorphic sequence (CAPS) marker assay associated with BPm12.1, a major quantitative trait locus (QTL) of the MR-1 line, a powdery mildew-resistant melon. (A) Two BSA12-LI3ECORI and BSA12-LI4HINF4 CAPS marker positions associated with BPm12.1 QTL (citing the results from Li et al. 2017). (B) Primer sequence information of BSA12-LI3ECORI and BSA12-LI4HINF4 CAPS markers (using Li et al. 2017 information). (C) Melon resource list susceptible (symbol: S) and resistant (symbol: R) to powdery mildew used in this study. (D) Electrophoresis of polymerase chain reaction (PCR) products using BSA12-LI4HINF1 CAPS marker and PCR products treated with Hinf1 restriction enzyme. (E) Electrophoresis of PCR products using BSA12-LI3ECORI CAPS marker and PCR product treated with EcoRI restriction enzyme. Left line number (kb): molecular marker (M) size, right line number (bp): PCR bands molecular size, asterisk: band smaller than 450bp.
2.4. Design of InDel Marker and PCR Analysis
The InDel marker primers were constructed based on the nucleotide sequences of the PCR products generated by the BSA12_LI3ECORI CAPS marker. The forward primer is 5′-AATCTATCCCAAATCAAAGTC-3′, and the reverse primer is 5′-AAACTTCTAGACCAATATAACTT-3′ (Figure 2B). The genomic DNA PCR reaction mixture consisted of 100 ng of melon DNA with 0.5 μM primers, 250 μM dNTP, 1x reaction buffer and 5-unit NEXpro™ e Taq DNA (Focus Bioscience, St Lucia, Australia). The PCR reaction of this mixture was carried out at 95 °C for 5 min, 30 cycles of 95 °C for 30 s, 49 °C for 30 s, 72 °C for 30 s, and 72 °C for 5 min, and 5 μL of PCR product out of a total of 20 μL of products was subjected to agarose gel electrophoresis to confirm the band.
Figure 2.
Development of MR-1-specific PCR markers associated with powdery mildew resistance. (A) Comparison of nucleotide sequences in PCR products of the BSA12-LI3ECORI CAPS marker between two powdery mildew susceptible and 13 resistant lines. Arrows indicate the primer sequence region of the InDel PCR marker. Green box indicates EcoRI recognition site. (B) Primer sequence information for the MR-1-specific InDel PCR marker. (C) MR-1 line-specific selection using PCR markers. A 303 bp PCR band is identified only in the MR-1 line R4, and a 330 bp band is observed in the rest of the melon lines.
2.5. F1 Generation between MR-1 and Top Mark and Powdery Mildew Disease Test
F1 hybrid seeds were harvested from pollination between MR-1 as the father, and Top Mark as the mother. F1 seeds were germinated and grown under the same conditions as MR-1 and Top Mark. In the summer of 2019, MR-1 and Top Mark parents and F1 seedlings were grown in plastic greenhouses conditioned with 25–30 °C and 60–70% relative humidity to induce spontaneous powdery mildew, and the symptoms of powdery mildew were investigated. The level of infection of powdery mildew was classified on a scale of 1–5 based on previously reported criteria [27]. Class 1 has no symptoms (0%); classes 2, 3, and 4 are low (10%), medium (10–25%), and severe infections (25–50%), respectively; and class 5 is where the entire leaf (50–100%) is infected (Figure 3C).
Figure 3.
Determination of powdery mildew resistance and susceptibility using MR-1-specific PCR markers. (A) Test for the difference in the size of PCR bands amplified by MR-1 PCR marker for the powdery mildew resistant line MR-1, sensitive line Top Mark, and F1 hybridized between them. ACTIN used as PCR control. (B) Powdery mildew resistance and sensitivity test for the MR-1 susceptible line, Top Mark, and their F1 progeny. (C) The degree of infection with Powdery Mildew is indicated as Classes 1–5, with percentage indicating coverage of infection as follows: 1: 0%, 2: 0–10%, 3: 10–25%, 4: 25–50%, and 5: 50–100%.
3. Results and Discussion
3.1. PCR Polymorphism Analysis of CAPS Markers BSA12-L13ECOR1 and BSA12-L14HINF1 in Various Melon Resources
Li et al. [26] reported that BPm12.1, the major QTL of PM resistance of MR-1, is located between the CAPS markers BSA12-LI3ECORI and BSA12-LI4HINF1, at 0.02 cM and 0.28 cM intervals, respectively (Figure 1A). Using the forward and reverse primers of CAPS markers BSA12-LI3ECORI and BSA12-LI4HINF1 (Figure 1B), two PM-sensitive melon resources—IranH and Top Mark—and 13 powdery mildew-resistant lines (Edisto47, PMR5, PMR6, MR-1, TGR1551, VIR5682, 2563, 2564, VIR5682, PMR45 [NSL113039], PMR45 [Ames26811], LJ9-234, and D2 Resistant) (Figure 1C) were compared for PCR product size (Figure 1D,E). For PCR products of BSA12-LI3ECORI and BA12-LI4HINF1, length polymorphism was compared using EcoRI and Hinf1 restriction enzyme treatments, respectively (Figure 1D,E).
Using the BSA12-LI4HINF1 CAPS marker, a PCR band of about 525 bp was amplified in all 15 lines (Figure 1D upper). In Hinf1 treatment, S1 (IranH), R1 (Edisto47), R2 (PMR5), R3 (PMR6), and R5 (TGR1551) were not cut. With the exception of these, 10 lines were cut with Hinf1, which all showed the same 351 bp and 174 bp bands (Figure 1D lower). These results show that the BAS12-LI4HINF1 CAPS marker does not exhibit specific polymorphism between PM resistance and susceptible lines, and against MR-1. Using the BSA12-LI3ECORI CAPS marker, PCR bands corresponding to about 840 bp were amplified in all 15 lines (Figure 1E upper). As a result of cutting the EcoR1 restriction enzyme, IranH was not cut and the remaining 14 lines were cut and divided into a 388 bp band and a 450 bp band. Among the 13 resistive lines, R4 (MR-1) and R7 (2563) lines showed the same size polymorphism band, smaller than 450 bp. Since R7 corresponds to the parent of R4—the MR-1 line—it showed the same pattern (Figure 1E lower). These results suggest that the BSA12-LI3ECORI CAPS marker is specific for MR-1. In addition, since it is close to the BPm12.1 powdery mildew resistance QTL at 0.2 cM [26], it is expected that the BSA12-LI3ECORI CAPS marker itself can be used as a BPm12.1 resistance marker.
3.2. Nucleotide Sequence Analysis of PCR Product of BSA12-L13ECOR1 CAPS Marker
DNA isolated from two PM-susceptible and 13 -resistant melon lines was amplified via PCR, using the BSA12_LI3ECORI CAPS primers. Resultantly, the nucleotide sequence information corresponding to 680bp of the PCR product was determined (Figure 2A, Data S1). The nucleotide sequence of this region is an AT-rich region that is highly conserved on melon DNA and is a noncoding sequence without an open reading frame (ORF) coding region. In the R4 (MR-1) and the R7 (parent of MR-1), a total of 36–37 bp was deleted in three areas. Eight nucleotides of “AATAATTT” from 116 bp to 124 bp, 20 nucleotides of “GT(C/T)AATATTT(C/T)AAGTCCATA” from 238 bp to 257 bp, and 8 or 9 nucleotides of “ (A/-)CTTGATTA” from 504 bp to 512 bp were deleted. The EcoRI recognition sequence “GAATTC” was present at 384 bp to 390 bp in all lines of PCR products except for the S1 (IranH) line (Figure 2A). Again, with the exception of the IranH line, the BSA12_LI3ECORI CAPS primer PCR product appeared in two bands at the EcoRI site (Figure 1E lower). Based on EcoRI, the band corresponding to the upstream part was indicated as 362 bp by a 28 bp deletion in MR-1, and a 390 bp band, in which 28 bp existed in the remaining lines except IranH. In conclusion, we found that the MR-1 BSA12_LI3ECORI CAPS marker region has specific deletions that are not found in other PM-susceptible and -resistant lines.
The phylogenetic tree constructed by the nucleotide sequences of the BSA12_LI3ECORI CAPS marker region divided 15 melon resources into three clades (Figure S1). Clade I included PM-sensitive lines (S1 (IranH) and S2 (Top Mark)) and PM-resistant lines (R10 (PMR45_NSL113039), R11 (PMR45_Ames26811), (R13) D-2 Resistant, and (R12) LJ90234). Top Mark (a PM-sensitive line) and PMR45 (a resistant line) showed very high genetic similarities. Clade II included the PM-resistant lines R2 (PMR5), R3 (PMR6), R6 (VIR5682), R5 (TGR1151), and R8 (2564_PI12412). Clade III included R4 (MR-1) and R7 (2563), the parent of MR-1. Phylogenetic analysis suggests that the BPm12.1 locus, the PM resistance QTL of MR1, diverged from the genes of other PM-resistant melon resources at the beginning of evolution.
Among the 13 PM-resistant melon resources in the phylogenetic tree, PMR45, Edisto47, PMR5, PI12412, and MR-1 are used for powdery mildew race identification [27,28,29]. These melons show differences in resistance and susceptibility for eight Podosphaera xanthii races: 1, N1, N2, 5 A, S, O, and N5, respectively [29]. PMR45 is susceptible to races N2, 5, S, O, and N5. Edisto47 is susceptible to races 5, O, and N5. PMR5 and PI122412 are only susceptible to race O out of eight races. MR-1 is resistant to these all eight races, but only moderately resistant to races S and O (Table S1). Taken together, lineage differentiation by the nucleotide sequence of the BSA12-LI3ECOR1 CAPS marker region shows a similar tendency to specific resistance to PM races.
3.3. Redesign of BSA12-L13ECOR1-Based InDel PCR Marker and Its Validation
Instead of the BSA12-L13ECOR1 CAPS marker associated with PM resistance of MR-1, an InDel PCR marker was developed that can more easily discriminate polymorphisms through differences in PCR product size. In the case of the MR-1 line, a total of 28 bp deletions exist specifically in the upstream region based on the EcoR1 site; so, a PCR primer pair capable of distinguishing the size of this part was prepared (Figure 2B). When PCR was performed on a total of 14 melon lines using this PCR primer pair, only the MR-1 line specifically identified a band with a small size of 303 bp, while the rest of the powdery mildew sensitivity and resistance lines showed a larger 330 bp PCR band (Figure 2C). These results suggest that the newly designed InDel PCR primer pair can replace the BSA12-L13ECOR1 CAPS marker. Indeed, the InDel PCR markers showed a 303 bp band in PM-resistant MR-1, and a 330 bp band in PM-sensitive Top Mark. F1 obtained by crossing the two showed two bands of 330 and 303 bp (Figure 3A). As a result of the test using naturally occurring PM, MR-1 was Class 1 (resistant to PM), and Top Mark was Class 5 (sensitive to PM). However, F1 showed moderate resistance to PM, Classes 2–4 (Figure 3B). Moderate resistance in F1 suggests the possibility that race S or O occurred simultaneously with other races in spontaneous occurrence. These results suggest that the InDel PCR marker is associated with MR-1 PM resistance and that the BPm12.1 PM resistance gene is present near the marker.
The InDel PCR marker developed in this study is 0.2 cM to the left from the BPm12.1 position, a PM-resistant QTL locus. There are 78 kb between the BSA12-LI3ECOR1 and BSA12-LI4HINFI CAPS marker regions, and 12 genes are present in Cucumis melo L. cv. DHL92, the melon reference genome [30] (Figure S2). In the future, it remains to find the BPm12.1 locus among 12 candidate genes in the MR-1 melon.
4. Conclusions
It was found that there was an MR-1-specific sequence deletion in the BSA12-L13ECOR1 CAPS marker region, 0.2 cM away from BPm12.1, a major QTL related to PM resistance of MR-1 melon. InDel PCR markers that are more convenient to use than CAPS markers were constructed using the MR-1 deletion polymorphism. Correlations were confirmed between PCR product polymorphism and PM-resistance in MR-1, PM-susceptible Top Mark, and F1 progeny. The newly designed InDel PCR marker used in this study can be used to discriminately introduce a MR-1 PM resistance gene for the development of PM-resistant melon varieties.
Supplementary Materials
The following are available online at https://www.mdpi.com/2073-4395/10/9/1274/s1. Data S1. Sequence information of PCR product from CAPS marker, BSA12-LIECORI. Table S1. Symptomatic response to eight races of Podosphaera xanthii in five melon lines. Figure S1. The phylogenetic tree of 15 melon resources. Figure S2. Genes between BSA12-L13ECORI and BSA12-LI4HINFI in Cucumis melo L. cv. DHL92.
Author Contributions
Y.-R.C., J.Y.L., and H.U.K. performed the experiments; S.H. and H.U.K. analyzed the data; and H.U.K. wrote the paper. All authors have read and agreed to the published version of the manuscript.
Funding
This work was supported by grants from the Mid-Career Researcher Program of the National Research Foundation of Korea (NRF-2020R1A2C2008175); the New Breeding Technologies Development Program (Project No. PJ01532401), Rural Development Administration, Korea; and the Korea Institute of Planning and Evaluation for Technology in Food, Agriculture, Forestry, and Fisheries (IPET) (319107-4), Republic of Korea.
Conflicts of Interest
The authors declare no conflict of interest.
References
- FAO. Statistics Division of Food and Agriculture Organization of the United Nations; FAOSTAT: Rome, Italy, 2017; Available online: http://faostat.fao.org/ (accessed on 30 May 2017).
- Hong, Y.J.; Hossain, M.R.; Kim, H.T.; Park, J.I.; Nou, I.S. Identification of two new races of Podosphaera xanthii causing powdery mildew in melon in South Korea. Plant Pathol. J. 2018, 34, 182–190. [Google Scholar]
- Kasiamdari, R.S.; Riefani, M.K.; Daryono, B.S. The Occurrence and Identification of Powdery Mildew on Melon in Java, Indonesia. In AIP Conference Proceedings; AIP Publishing: Melville, NY, USA, 2016; Volume 1744, p. 020050. [Google Scholar]
- Křístková, E.; Lebeda, A.; Sedláková, B. Species spectra, distribution and host range of cucurbit powdery mildews in the Czech Republic, and in some other European and Middle Eastern countries. Phytoparasitica 2009, 37, 337–350. [Google Scholar] [CrossRef]
- Kuzuya, M.; Yashiro, K.; Tomita, K.; Ezura, H. Powdery mildew (Podosphaera xanthii) resistance in melon is categorized into two types based on inhibition of the infection processes. J. Exp. Bot. 2006, 57, 2093–2100. [Google Scholar] [CrossRef] [PubMed]
- Cohen, R.; Burger, Y.; Katzir, N. Monitoring physiological races of Podosphaera xanthii (syn. Sphaerotheca fuliginea), the causal agent of powdery mildew in cucurbits: Factors affecting race identification and the importance for research and commerce. Phytoparasitica 2004, 32, 174–183. [Google Scholar] [CrossRef]
- Jahn, M.; Munger, H.M.; McCreight, J.D. The Powdery Mildews: A Comprehensive Treatise. In Breeding Cucurbit Crops for Powdery Mildew Resistance. Phytopathological Society; APS Press: St. Paul, MN, USA, 2002; pp. 239–248. [Google Scholar]
- He, X.; Li, Y.; Pandey, S.; Yandell, B.S.; Pathak, M.; Weng, Y. QTL mapping of powdery mildew resistance in WI 2757 cucumber (Cucumis sativus L.). Theor. Appl. Genet. 2013, 126, 2149–2161. [Google Scholar] [CrossRef] [PubMed]
- Fukino, N.; Ohara, T.; Monforte, A.J.; Sugiyama, M.; Sakata, Y.; Kunihisa, M.; Matsumoto, S. Identification of QTLs for resistance to powdery mildew and SSR markers diagnostic for powdery mildew resistance genes in melon (Cucumis melo L.). Theor. Appl. Genet. 2008, 118, 165–175. [Google Scholar] [CrossRef] [PubMed]
- Liu, P.N.; Miao, H.; Lu, H.W.; Cui, J.Y.; Tian, G.L.; Wehner, T.C.; Gu, X.F.; Zhang, S.P. Molecular mapping and candidate gene analysis for resistance to powdery mildew in Cucumis sativus stem. Genet. Mol. Res. 2017, 16. [Google Scholar] [CrossRef]
- Xu, Q.; Xu, X.; Shi, Y.; Qi, X.; Chen, X. Elucidation of the molecular responses of a cucumber segment substitution line carrying Pm5.1 and its recurrent parent triggered by powdery mildew by comparative transcriptome profiling. BMC Genom. 2017, 18, 21. [Google Scholar] [CrossRef]
- Holdsworth, W.L.; LaPlant, K.E.; Bell, D.C.; Jahn, M.M.; Mazourek, M. Cultivar-based introgression mapping reveals wild species-derived Pm-0, the major pPowdery mildew resistance locus in squash. PLoS ONE 2016, 11, e0167715. [Google Scholar] [CrossRef]
- Wu, Z.; Zhang, T.; Li, L.; Xu, J.; Qin, X.; Zhang, T.; Cui, L.; Lou, Q.; Li, J.; Chen, J. Identification of a stable major-effect QTL (Parth 2.1) controlling parthenocarpy in cucumber and associated candidate gene analysis via whole genome re-sequencing. BMC Plant Biol. 2016, 16, 182. [Google Scholar] [CrossRef]
- Zhang, S.; Liu, S.; Miao, H.; Wang, M.; Liu, P.; Wehner, T.C.; Gu, X. Molecular mapping and candidate gene analysis for numerous spines on the fruit of cucumber. J. Hered. 2016, 107, 471–477. [Google Scholar] [CrossRef] [PubMed]
- Ashikari, M.; Matsuoka, M. Identification, isolation and pyramiding of quantitative trait loci for rice breeding. Trends Plant Sci. 2006, 11, 344–350. [Google Scholar] [CrossRef] [PubMed]
- Ning, X.; Wang, X.; Gao, X.; Zhang, Z.; Zhang, L.; Yan, W.; Guan, L. Inheritances and location of powdery mildew resistance gene in melon Edisto47. Euphytica 2014, 195, 1–9. [Google Scholar] [CrossRef]
- Pitrat, M. 2006 gene list for melon. Cucurbit Genet. Coop. Rep. 2006, 28–29, 142–163. [Google Scholar]
- Fazza, A.C.; Dallagnol, L.J.; Fazza, A.C.; Monteiro, C.C.; Lima, B.M.D.; Wassano, D.T.; Camargo, L.E.A. Mapping of resistance genes to races 1, 3 and 5 of Podosphaera xanthii in melon PI 414723. Crop Breed. Appl. Biotechnol. 2013, 13, 349–355. [Google Scholar] [CrossRef]
- Pitrat, M. Linkage Groups in Cucumis melo L. Cucurbit Genet. Coop. Rep. 1990, 82, 406–411. [Google Scholar] [CrossRef]
- Yuste-Lisbona, F.J.; Capel, C.; Sarria, E.; Torreblanca, R.; Gómez-Guillamón, M.L.; Capel, J.; Lozano, R.; López-Sesé, A.I. Genetic linkage map of melon (Cucumis melo L.) and localization of a major QTL for powdery mildew resistance. Mol. Breed. 2011, 27, 181–192. [Google Scholar] [CrossRef]
- Wang, X.; Li, G.; Gao, X.; Xiong, L.; Wang, W.; Han, R. Powdery mildew resistance gene (Pm-AN) located in a segregation distortion region of melon LGV. Euphytica 2011, 180, 421–428. [Google Scholar] [CrossRef]
- Perchepied, L.; Bardin, M.; Dogimont, C.; Pitrat, M. Relationship between Loci conferring downy mildew and powdery mildew resistance in melon assessed by quantitative trait Loci mapping. Phytopathology 2005, 95, 556–565. [Google Scholar] [CrossRef]
- Zhang, C.; Ren, Y.; Guo, S.; Zhang, H.; Gong, G.; Du, Y.; Xu, Y. Application of comparative genomics in developing markers tightly linked to the Pm-2F gene for powdery mildew resistance in melon (Cucumis melo L.). Euphytica 2012, 190, 157–168. [Google Scholar] [CrossRef]
- Périn, C.; Hagen, L.; Conto, V.D.; Katzir, N.; Danin-Poleg, Y.; Portnoy, V.; BaudraccoArnas, S.; Chadoeuf, J.; Dogimont, C.; Pitrat, M. A reference map of Cucumis melo based on two recombinant inbred line populations. Theor. Appl. Genet. 2002, 104, 1017–1034. [Google Scholar] [CrossRef] [PubMed]
- Cohen, Y.; Eyal, H. Downy mildew-, powdery mildew- and fusarium wilt-resistant muskmelon breeding line PI-124111F. Phytoparasitica 1987, 15, 187–195. [Google Scholar] [CrossRef]
- Li, B.; Zhao, Y.; Zhu, Q.; Zhang, Z.; Fan, C.; Amanullah, S.; Gao, P.; Luan, F. Mapping of powdery mildew resistance genes in melon (Cucumis melo L.) by bulked segregant analysis. Sci. Hortic. 2017, 220, 160–167. [Google Scholar] [CrossRef]
- Bardin, M.; Dogimont, C.; Nicot, P.; Pitrat, M. Genetic analysis of resistance of melon line PI 124112 to Sphaerotheca Fuliginea and Erysiphe Cichoracearum studied in recombinant inbred lines. Acta Hortic. 1999, 492, 163–168. [Google Scholar] [CrossRef]
- Hosoya, K.; Narisawa, K.; Pitrat, M.; Ezura, H. Race identification in powdery mildew (Sphaerotheca fuliginea) on melon (Cucumis melo L.) in Japan. Plant Breed. 1999, 118, 259–262. [Google Scholar] [CrossRef]
- Kim, H.-T.; Park, J.-I.; Robin, A.H.K.; Ishikawa, T.; Kuzuya, M.; Horri, M.; Yashiro, K.; Nou, I.S. Identification of a new race and development of DNA markers associated with powdery mildew in melon. Plant Breed. Biotech. 2016, 4, 225–233. [Google Scholar] [CrossRef][Green Version]
- Garcia-Mas, J.; Benjak, A.; Sanseverino, W.; Bourgeois, M.; Mir, G.; González, V.M.; Hénaff, E.; Câmara, F.; Cozzuto, L.; Lowy, E.; et al. The genome of melon (Cucumis melo L.). Proc. Natl. Acad. Sci. USA 2012, 109, 11872–11877. [Google Scholar] [CrossRef]
© 2020 by the authors. Licensee MDPI, Basel, Switzerland. This article is an open access article distributed under the terms and conditions of the Creative Commons Attribution (CC BY) license (http://creativecommons.org/licenses/by/4.0/).


