Abstract
Rapeseed oil-extracted expeller cake mostly contains protein. Various approaches have been used to isolate, detect and measure proteins in rapeseeds, with a particular focus on seed storage proteins (SSPs). To maximize the protein yield and minimize hazardous chemical use, isolation costs and the loss of seed material, optimization of the extraction method is pivotal. For some studies, it is also necessary to minimize or avoid seed-to-seed cross-contamination for phenotyping and single-tissue type analysis to know the exact amount of any bioactive component in a single seed, rather than a mixture of multiple seeds. However, a simple and robust method for single rapeseed seed protein extraction (SRPE) is unavailable. To establish a strategy for optimizing SRPE for downstream gel-based protein analysis, yielding the highest amount of SSPs in the most economical and rapid way, a variety of different approaches were tested, including variations to the seed pulverization steps, changes to the compositions of solvents and reagents and adjustments to the protein recovery steps. Following SRPE, 1D-SDS-PAGE was used to assess the quality and amount of proteins extracted. A standardized SRPE procedure was developed and then tested for yield and reproducibility. The highest protein yield and quality were obtained using a ball grinder with stainless steel beads in Safe-Lock microcentrifuge tubes with methanol as the solvent, providing a highly efficient, economic and effective method. The usefulness of this SRPE was validated by applying the procedure to extract protein from different Brassica oilseeds and for screening an ethyl methane sulfonate (EMS) mutant population of Brassica rapa R-0-18. The outcomes provide useful methodology for identifying and characterizing the SSPs in the SRPE.
1. Introduction
Seeds of rapeseed species Brassica rapa, B. napus and B. juncea are utilized primarily for oil production. This globally important agronomic and bioeconomic crop is the second-largest cultivated oilseed around the world, supplying about 15% of the global consumption of edible vegetable oils [1,2]. In addition to oil production, Brassica crop species are consumed as edible leafy vegetables, stems, roots, buds, flowers and seeds, including B. rapa (rapeseed, European turnip, turnip rape, field mustard, Chinese cabbage and mizuna), B. oleracea (broccoli, cabbage, Chinese kale, kale rape, cauliflower and kohlrabi), B. nigra (black or brown mustard), B. napus (winter oilseed, kohlrabi, cauliflower, broccoli and Chinese kale), B. juncea (Asian mustard) and Sinapis alba L. (white mustard) [3,4,5,6]. Demographic and lineage analyses suggested that these species might have evolved from a common ancestor and have similar seed morphologies [4]. The proteins constitute up to 50% of the seed and remain in the seed meal following oil extraction as a waste stream product [7]. These proteins contain high levels of sulfur-containing amino acids (40–49 mg/g of protein) [6,8,9,10,11,12,13,14], and their balanced amino acid profiles make them as nutritionally rich as those of animal proteins [15]. The nutritional attributes of this abundant natural resource from residual press cakes make them particularly valued for use in livestock feed, but these proteins could also potentially be used in human food products, helping to meet the global demands for nutritious proteins in vegetarian, flexitarian or vegan diets [16,17]. Moreover, the potential beneficial functional properties of these proteins, such as high solubility, water and fat binding, foaming, film forming and gelling abilities, make them sought after in the food processing industry [12,15,16].
The major proteins in the Brassica seed are the 2S albumins (napins), 12S globulins (cruciferins) and the recently confirmed 7S vicilins, which together constitute around 80–90% of the total protein in the seed [18,19,20]. There is much interest in being able to manipulate seed storage proteins and elevate the overall content of proteins in the seeds, but also to adjust the ratio of napins/cruciferins. Reduction in the amount of napin in the seed is desired as this protein has been linked directly to allergenic responses and shown to account for the high incidence of allergies to mustard condiments [21,22,23].
Genetic manipulation of seed phenotypic traits, such as the amount of napin protein, are relatively straightforward with today’s technology, including the use of ethyl methane sulfonate (EMS) mutant populations, antisense RNA [24], reverse genetics by Targeting Induced Local Lesions in Genomes (TILLING) [25,26,27] or CRISPR-Cas9-targeted mutagenesis [28]. These approaches would require screening mutant populations for alterations in protein levels and, unless seeds have gone through multiple generations, they would still be segregated for traits of interest. It is not until the F6 generation that each seed on the resulting panicle can be considered nearly genetically identical [29]. Therefore, it is essential to develop protein extraction methods that allow for the analysis of individual seeds, rather than pooling populations of seeds where there could be a mixing of traits.
The nutritional values of rapeseed proteins were explored over the last few decades, and the major seed storage proteins of cruciferin and napin were first identified and characterized physicochemically about twenty years back [30,31,32,33]. Vicilins have only recently been confirmed to be present in the seeds of rapeseed [19,20]. Being cheaper than soybean with a well-balanced essential and sulfur-containing amino acid ratio, and having equivalent nutritional value to milk, eggs and some animal proteins, rapeseed proteins could be an effective alternative to soybean in the food industry for human use [34]. Various approaches have been used to isolate, detect and measure proteins in seeds, with a particular focus on seed storage proteins. To maximize the yield of protein and minimize the use of hazardous chemicals, isolation costs and loss of seed material, optimization of the extraction method is pivotal. For some studies, like phenotyping and single-tissue type analysis, it is also important to minimize or avoid seed-to-seed cross-contamination in order to know the exact amount of any bioactive component in a single seed. This is the particular case for pilot-scale field experiments, green house and growth chamber experiments, analysis of small and endangered seed species and proteome profiling of seeds where the sample size is very low and/or the analysis of high-abundance storage proteins in individual seeds is crucial [35,36,37]. In plant breeding approaches, single seed analysis is always desired, with minimal sample preparation because of limited seed availability [38,39]. Consequently, it becomes necessary to extract material from a single seed rather than a mixture of multiple seeds.
In this study, a practical, robust, efficient and inexpensive high-throughput single-seed extraction protocol was developed and applied to a forward genetic screening approach of the M3 progeny of an EMS-generated TILLING population in B. rapa genotype R-o-18 [26] for mutants which had alterations in their seed protein profiles.
2. Materials and Methods
2.1. Seed Materials and Mutant Screening
To establish an effective and widely applicable method to extract and analyze protein from individual Brassica seeds, four commercially grown Brassica species, namely Brassica fruticulosa, B. juncea (GK120054, Canadian Forge), B. nigra and B. rapa, were collected from the Southern Cross Plant Science seed repository. At the initial stage of the method development, single-seed extraction of protein was compared to extraction from either a pool of two or five seeds to determine feasibility and protein yield. Following the establishment of a method, two biological replicates of single seeds were sampled from each of 2192 accession packages of the B. rapa genotype R-o-18 mutant TILLING population [26], obtained from the non-genetically modified M3 line of an M0 line that was chemically mutated with EMS, collected in the summer of 2010 at the University of Nottingham, Sutton Bonington campus, United Kingdom. This population had an estimated mutation density of 1 per 60 kb, a number sufficient to ensure a mutation in every gene. These genotypes were chosen due to their similar developmental ontogeny to a rapeseed crop, making them well suited for studying traits with relevance to the yield and quality of rapeseed [26] and because of the availability of the B. rapa genome (The Brassica rapa Genome Sequencing Project Consortium [40]). Using this mutant population, a forward genetic screen to identify mutants with altered seed storage protein compositions was carried out. Single-seed weight was measured using an OHAUS analytical balance (Ohaus Corporation, Parsippany, NJ, USA).
2.2. Maceration of Seeds
Pre-weighed seeds (1, 2 or 5) were placed into 2.0 mL or 1.5 mL microcentrifuge tubes (LabCo Tube Micro 1.5 mL, Code: 650550320, LabCo, Germany; QSP 509-GRD-Q; 1.5 mL Graduated Microcentrifuge Tube, Lot 16450048, Thermo Fisher Scientific, Waltham, MA, USA; LabCo Tube Micro 2 mL, Code 650550335, LabCo, Germany; Reaction Tube, 2 mL, PP, graduated, Catalogue: 623201, Greiner Bio-one, Germany; 1.5 mL conical screw cap microtube, Catalogue# 514-Q, QSP, USA; DNA LoBind 1.5 mL tube, Catalogue: 022431021, Eppendorf, Germany; and Safe-Lock Tubes 2.0 mL, Catalogue: 0030120094, Eppendorf, Germany) in the presence of either a 3 mm tungsten carbide bead, (Qiagen GmbH, D-40724, Hilden, Cat. No. 69997) or a 5 mm stainless steel bead (Qiagen GmbH, D-40724, Hilden, Cat. No. 69989). Pre-chilled (4 °C) MilliQ water, methanol or 10% TCA (w/v) in 10 mL of acetone were added prior to grinding in different volumes (50, 100, 150 and 200 µL), and results were compared to seeds macerated in the absence of liquid. A ball grinder (TissueLyser Qiagen, Retsch GmbH, Germany) was used to grind the seeds at a frequency of 20 oscillations per second for two min with an interval of one min, using a pre-chilled tube adaptor. Extracted samples were centrifuged at 10,000× g for 20 min (Sigma Laboratory Centrifuge 4K15, Osterode, Germany).
2.3. Preparation of Protein Extracts and 1D-SDS-PAGE
The supernatant was evaporated from the tubes using an Eppendorf vacuum concentrator (model 5301) set to 30 °C. The samples in tubes containing powdered ground seed were resuspended in either a 1X or 2X concentrated Laemmli buffer (65.8 mM Tris-HCl, pH 6.8, 2.1% SDS, 26.3% (w/v) glycerol, 0.01% bromophenol blue and 5% β-mercaptoethanol) or a urea buffer (5 M urea, 2 M thiourea, 2% CHAPS (w/v), 2% amidosulfo-betain-14 detergent (ASB-14)-3-10 (w/v), 40 mM Tris and 0.5% ampholytes, pH 3–10 (Bio-Lyte, Bio-Rad) to solubilize the sample (Figure 1).
Figure 1.
Schematic representation of the experimental design.
The weight of a single seed used in this optimization study ranged from 1.2 mg to 5.5 mg. It was observed that 10 µl of a sample extracted from a 2.0 mg seed produced a reasonable banding pattern for all proteins present in seed protein extracts. Considering this loading volume as a standard, the volumes for other seed protein extracts were calculated and normalized to this, based on seed weight.
Resuspended samples were heated at 60 °C for 2 min and centrifuged at 13,000× g for 20 min (Biofuge pico, Heraeus, Germany) prior to being loaded onto gels. Samples were loaded onto either Mini-Protean Tris-Glycine or Tris-Tricine precast gels (Bio-Rad Laboratories Inc., Hercules, CA, USA). The gels were run in a Bio-Rad Mini Protean Tetra Cell system at a 100–180 constant voltage at room temperature for approximately 45–90 min in the appropriate running buffer for the gel type.
The gels were stained overnight in a Bio–Safe™ Coomassie Stain (Bio-Rad cat #161-0786) on a reciprocal platform shaker (MaxQ 2508, Thermo Scientific, Waltham, USA) and de-stained with MilliQ water. Gel imaging was carried out using the Gel Doc XR imaging system (Bio-Rad) with Image Lab Software (v.6.0.1).
2.4. Densitometric Analysis of Stained Gels
Densitometric quantification of the protein bands on the stained gels was carried out with digitized images using Image Lab software (Image Lab 6.0.1, Bio-Rad) and normalized to the quantity of the closest protein molecular weight standards on the gel.
2.5. Western Blot Analysis
The presence of 2S albumin-type napins and 12S globulin-type cruciferins in the protein extracts separated by 1D-SDS-PAGE were confirmed by western blotting [41]. Following SDS-PAGE, proteins were transferred electrophoretically onto prewetted polyvinylidene difluoride (PVDF) membranes (BioRad Lab. Inc., Hercules, FL, USA) using a Trans-Blot® Turbo™ Transfer System (BioRad Lab Inc. Hercules, FL, USA) at 2.5 A and 25 V for 3 min in turbo mode.
After transferring, the membrane was rapidly stained with Ponceau S stain (1% Ponceau S (w/v) (P 3504-10G, Bio-Rad, Hercules, FL, USA) in 5% acetic acid) on an orbital shaker for 1 min, then washed with MilliQ water to ensure the correct transfer of the proteins. The membranes were then blocked with 5% skim milk in Tris-buffered saline, (TBS) solution for 2 h on a shaker and then incubated in a blocking solution containing a primary antibody overnight at room temperature. Primary antibodies against either cruciferin or napin [42,43] were used at dilutions of 1/50,000 and 1/10,000, respectively. After incubation with the primary antibody, the blots were washed 3 times (TBS, TBS + 0.1% Tween 20 and TBS) for 15 min and then incubated in horse-radish peroxidase (HRP) goat anti-rabbit IgG (H&L) HRP-conjugated secondary antibody (WesternSure HRP Goat Anti-Rabbit IgG—Cat-926-8011, Lot-C4110701, LiCOR®, Lincoln, USA). Chemiluminescent detection was performed using the WesternSure Chemiluminence kit (LiCOR®, Catalog No. 1 520 709) according to the manufacturer’s specifications. The membrane was then scanned and digitized using a LiCOR® C-Digit scanner (LI-COR Biotechnology) coupled with Image Studio v. 4 software.
3. Results and Discussions
A single-seed protein extraction protocol was developed and optimized for the extraction of protein from B. rapa seeds to provide sufficient high-quality samples for downstream analysis. Optimization involved varying the microcentrifuge tube type, bead type and seed number and testing a range of common extraction buffers, then comparing their protein solubilizations in the presence of either an SDS sample buffer or a urea buffer. The extracted proteins were then separated by SDS-PAGE using either a Tris-Glycine or Tris-Tricine gel buffer system. This optimized method is robust, reproducible, efficient and inexpensive, allowing high-throughput single-seed extraction for the agronomically important crop of rapeseed.
3.1. Optimization of the Extraction Method
A range of common microcentrifuge tubes were tested for their ability to withstand the high mechanical force required to grind the seeds (Figure 1). The best-performing tubes were the 2.0 mL Safe-Lock tubes with rounded bottoms and hinged lock lids, as these could withstand the high shaking force and rotation of the grinder with no mechanical damage, and there was no unintended opening during grinding. Other conventional and screwcap tubes were either unable to withstand the grinding force, resulting in cracks or breakage or, in some cases, the lids opened during the process.
Seed grinding was carried out in the presence of either 3 mm tungsten carbide beads or 5 mm stainless steel beads, with one bead per tube. The 5 mm stainless steel beads were found to effectively pulverize the seed, resulting in a uniform, fine, floury particulate. In contrast, the 3 mm tungsten carbide beads were too small and did not effectively grind the seed material in the tip of the tube, resulting in large unground particles. It was also observed that the smooth and polished surface of the stainless-steel bead generated a lower static coefficient of friction [44].
Analysis of the protein profiles on 1D-SDS-PAGE gels indicated that an optimal banding pattern, especially in the low molecular weight range below 60 kDa, where monomers of seed storage proteins were expected to separate, was observed for single-seed protein extracts as compared with multiple seed extracts (Figure 2A). The weight of a single seed ranged from 1.2 mg to 5.5 mg, and it was found that a single seed within that weight range contained sufficient protein to detect clear and defined bands when separated by SDS-PAGE. However, the use of seeds with weights below 1.2 mg resulted in faint protein banding (data not shown). Increasing the seed number per tube resulted in difficulty solubilizing the extracted material, most likely due to increased oil release causing pasting, and a larger particle size of the sample due to poor grinding, as a result of a lack of space in the tube. This resulted in streaking or aggregates of proteins in the lanes when the samples were separated by SDS-PAGE (Figure 2A). The use of different extraction buffers also gave varying results, with seeds ground in the presence of methanol providing an efficient and economical option, producing a fine, powdery particulate that was easy to resuspend and evaporated quickly during the drying process. Seed disruption using methanol as the solvent also produced clean, clear, well-resolved protein bands on the gel (Figure 2B), with little difference to those observed for either of the other extraction buffers that involved more complex preparation with several additional steps and were more costly.
Figure 2.
Effect of seed number, extraction buffer, sample buffer and gel type on rapeseed protein extraction. (A) 1-D-SDS PAGE electrophoretic banding pattern of B. rapa protein extracts from seeds (one, two and five). (B) 1-D-SDS PAGE electrophoretic banding pattern of B. rapa protein extracts using different sample buffers of different strengths (1X and 2X SDS). The red arrow indicates the position of the napin proteins. (C) 1-D-SDS PAGE electrophoretic banding pattern of B. rapa protein extracts using different gel buffer systems (either Tris-Glycine or Tris-Tricine). The blue arrow shows the Tris-Glycine buffer system provided optimal separation for proteins in the range of 25–120 kDa, while the red arrow indicates the Tris-Tricine buffer system allowed resolution of low molecular weight proteins in the range of 2–25 kDa. The Tris-Tricine gels gave much better resolution of the low molecular weight napin proteins (red arrow). Composed gel images are representative of three biological replicates.
The solubilization buffer used to resuspend the ground seed protein extracts prior to SDS-PAGE also proved to be important for obtaining clear protein banding and well-defined separation of the napin and cruciferin proteins (Figure 2B). The sample buffer containing SDS resulted in better resolution of the napin proteins than that observed using the sample buffer containing urea (red arrow). This may indicate that SDS is better able to denature napin proteins than urea. Urea interacts mainly with aromatic and nonpolar amino acid residues and, less frequently with polar charged amino acids [45], which may be a key factor in reducing napin, which is highly water soluble.
As expected, the gel buffer system also influenced the resolution of proteins on the gels (Figure 2C). Tris-Glycine provided optimal separation for proteins in the range of 25–120 kDa (blue arrow), while the Tris-Tricine buffer system allowed for the resolution of low molecular weight proteins in the range of 2–25 kDa (red arrow) [46]. In Figure 2C, the seed protein extracts separated on Tris-Tricine gels gave a much better resolution of the low molecular weight napin proteins (red arrow).
3.2. Use of the Single-Seed Protein Extraction Method in Seeds of Other Brassica Species
In order to determine the versatility of the method developed for protein extraction from single seeds of B. rapa, the method was applied to analyze the protein content of other Brassica oilseeds, including Brassica fruticulosa, B. juncea, and B. nigra (Figure 3). In all cases, the protein extracts showed clear and well-resolved bands, the characteristic two triplets for cruciferin and a single doublet for napin, highlighting the usefulness of the method across a range of species differing in pigmentation and oil content [23].
Figure 3.
Protein extracted from different Brassicaceae seeds. Protein was extracted from seeds of Brassica fruticulosa, B. juncea, B. nigra and B. rapa, solubilized in SDS sample buffer and separated by 1D-SDS-PAGE using a Tris-Glycine buffer system, and the gels were stained with Bio–Safe™ Coomassie G-250 Stain. In all species tested, the characteristic two triplets for cruciferin and a single doublet for napin were observed.
3.3. Confirmation of the Identity of Napin and Cruciferin Proteins by Western Blotting
In order to confirm the identity of the 2S albumin-type napins and 12S globulin-type cruciferins in the gels, western blot analysis was performed using anti-cruciferin and anti-napin polyclonal antibodies directed against gel-purified Arabidopsis proteins [47,48,49]. In this optimized single seed method, it was found that both the large and small subunits of napin reacted with the antibody, as well as a higher molecular weight protein, which may correspond to the preprocessed protein (Figure 4) [50], while the anti-cruciferin antibody reacted with a triplet of proteins in the range of 27–32 kD, corresponding to the alpha subunits [43].
Figure 4.
Western blot analysis of rapeseed 2S albumin-type napins and 12S globulin-type cruciferins using antibodies against Arabidopsis proteins. Antibodies were used at a dilution of 1/10,000 or 1/50,000, respectively. AB = antibody.
3.4. Application of Single-Seed Protein Extraction Method to Identify Seed Storage Protein Mutants in Brassica rapa
A proof of principle strategy was developed to show the effectiveness and relevance of the single-seed protein extraction protocol for screening mutagenized M3 populations of B. rapa seeds to identify changes in seed storage proteins by 1D-SDS-PAGE, with a particular focus on cruciferin and napin proteins. Screening can be accomplished by a simple process, due to the high abundance of those proteins in the seed extracts and their characteristic protein profiles: two triplets for cruciferin between 15–32 kDa, and a single doublet for napin between 5–10 kDa following gel electrophoresis [23]. Alterations to the seed storage protein abundance or ratio through the use of mutational technologies has been carried out in several crops, where changes in gene expression resulted in changes in protein abundance [51,52,53,54,55].
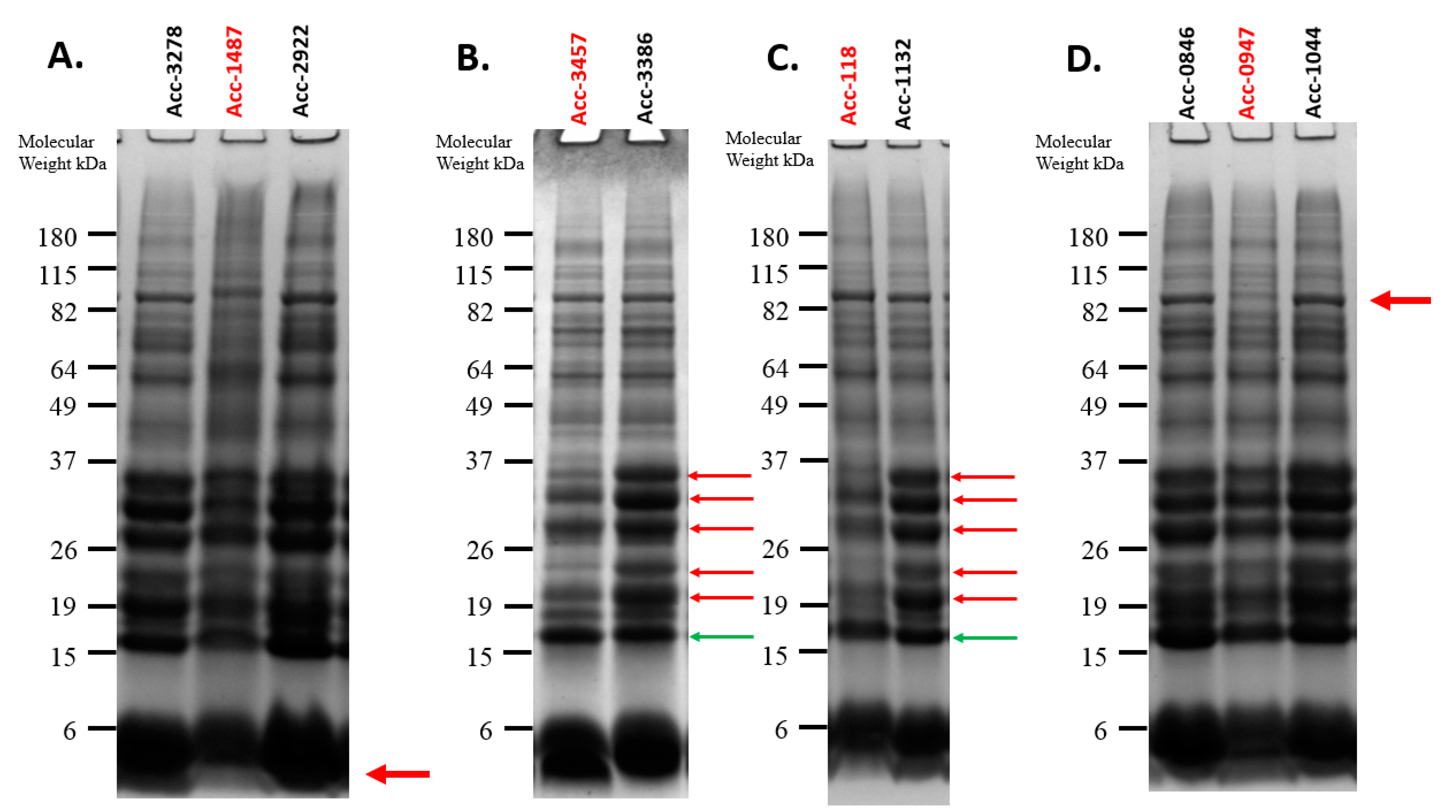
In this study, single-seed protein extracts, corresponding to single accessions from the mutant population, were obtained, and the protein was separated by 1D-SDS-PAGE. The protein profile was directly compared to extracts obtained from wild-type seeds or other accessions separated on the same gels. Observation of the gels identified several extracts which exhibited some alterations in the characteristic protein profile. These included two accessions which showed changes in the abundance of cruciferins, one accession that had alterations in napin content and an additional accession that showed reduced amounts of a high molecular weight (85–90 kDa) protein (Figure 5). Accession numbers for each seed extract were marked on the tops of the gels. The accession numbers for the mutant lines with altered protein profiles were indicated with red text.
Figure 5.
1D-SDS PAGE of seed protein extracts obtained from accessions of the ethyl methane sulfonate (EMS) mutant population. Accession numbers for each seed extract were marked on the tops of the gels. (A), accession 1487 compared to accessions 3278 and 2922. (B), accession 3457 compared to accession 3386. (C), accession 118 compared to accession 1132 and (D), accession 0947 compared to accessinos 0846 and 1044. The accession numbers of mutant lines with altered protein profiles are indicated by red text. They were directly compared to extracts obtained from wild-type seeds or other accessions separated on the same gels.
Accession 1487 showed an absence of the lower napin band in the doublet at 5 kDa (Figure 5A, red). Both accessions 3457 and 118 showed clear alterations in the protein bands associated with cruciferins. A reduced abundance of all three cruciferin proteins in the top triplet, corresponding to the three alpha chain proteins [47], was observed, and the two higher molecular weight proteins of the beta chain proteins [47,56,57] also decreased in abundance (Figure 5B,C, red arrows). Interestingly, there was no change in abundance of the cruciferin protein corresponding to the lowest molecular weight beta 3 protein (Figure 5B,C, green arrow) [58]. Accession 0947 showed reduced amounts of a high molecular weight protein of 90 kDa (Figure 5D, red arrow) whose function is unknown.
Screening of individual seeds from M3 mutant lines could allow for the selection of mutant segregants (Figure 6). Two single M3 seeds were selected randomly for protein extraction from the seed packets of Accession 0947 for protein extraction, which had been identified as showing alterations in the protein profile compared with the other accessions separated on the same gels (Figure 5D). In another instance, only one of the two seeds showed the mutant phenotype (Figure 6). A protein band of approximately 90 kDa with an unknown identity and function was missing from one of the two accessions, specifically Accession 208B (red arrow). This demonstrates the importance of not pooling seed extracts when working with segregating lines, as these changes would be masked if seeds were combined, and any alterations would be more difficult to identify. Mutants identified in this study using the single-seed approach will require validation by a map-based cloning approach.
Figure 6.
1D-SDS-PAGE of Accession 208, showing segregation of the seeds. The accession number is provided at the top of each lane. Alterations in the characteristic protein profile are demonstrated using arrows. The protein was separated on a Tris-Glycine gel.
In all cases of mutants reported in this study, there appeared to be no obvious compensation for the reduced expression of protein, in that no other proteins in the extracts appeared to be increased. Similar results were observed for an Arabidopsis seed mutant with reduced cruciferin, which showed an overall reduction in protein filling in the seed [51]. However, the mutants of barley seed storage protein C-hordein showed increased levels of D-hordein, indicating compensation of seed protein amounts to maintain protein filling of the seed [59]. Similarly, soybean mutants lacking the α′ and α subunits of β-conglycinin and G1, G2, G4 and G5 glycinin showed preferential accumulation of the β-subunit of β-conglycinin and an overall increase in the abundance of several other proteins, suggesting maintenance of the overall nitrogen content of the seed [60]. A reduction in the amount of napin caused an increase in the content of cruciferin in Canola-grade rapeseed (B. napus) [36,60], as well as a lower accumulation of amino acid cysteine and lysine [24,61,62,63,64]. The results of this study also validate the use of TILLING to generate and identify specific mutations in the target gene encoding a particular protein or proteins of crop genomes, including B. rapa [25]. Further work will determine if the lack of seed storage proteins in the B. rapa mutants identified in this study would decrease the seed germination efficiency or seedling establishment. The availability of B. rapa seed storage mutants will provide a valuable tool to develop lines that show altered cruciferin/napin ratios, which can be utilized to deliver an optimized protein source to increase the value of the seed meal waste. It remains to be determined if there are alterations in the oil content in these lines.
4. Conclusions
To be able to efficiently characterize the protein of a single seed extract and, at the same time, achieve the maximum protein yield from large cohorts of samples in a high throughput screening, a reproducible method has been optimized by varying multiple factors governing the extraction. The results suggest that sufficient protein could be obtained from a single seed for use in downstream gel-based protein separation techniques. The key benefits of this protocol are its high yield, high quality and cost effectiveness. Moreover, the samples can be used directly in multiple downstream analyses, including for mass spectrometry. The study offers a protocol to obtain protein from a single seed for the first time, providing a means to screen and identify seed protein mutants with altered protein profiles. This method will aid in the understanding of the biological mechanisms which determine the synthesis, regulation, trafficking and deposition of seed storage proteins in a seed.
Author Contributions
M.R. and B.J.B. carried out the experiments and collected data based on the experiments conceptualized by B.J.B. and M.R.; M.R., L.L. and B.J.B. analyzed data; M.R. wrote the manuscript; B.J.B. and L.L. critically revised the writing. All authors have read and agreed to the published version of the manuscript.
Funding
This research received no external funding.
Institutional Review Board Statement
Not applicable.
Informed Consent Statement
Not applicable.
Data Availability Statement
Any further data pertaining to the findings of this study are available by contacting the corresponding author, upon reasonable request.
Acknowledgments
The mutant seeds used in this study were generated by Martin Broadley, University of Nottingham, and Lars Ostergaard, John Innes Centre, United Kingdom and were generously provided by Graham King, Southern Cross Plant Science, Southern Cross University, Lismore, NSW, Australia. This work was undertaken as part of the first author’s PhD study, which was financially supported from an International Postgraduate Research Scholarship (IPRS) and Australian Postgraduate Award (APA) scholarship, from February 2016 to July 2019, funded by the Australian Government.
Conflicts of Interest
All the authors declare that the study was performed in the absence of any commercial or financial associations that might be taken as a potential competing interest. The scholarship provider to the first author had no role in the design of the study; in the collection, analysis, or interpretation of data; in the writing of the manuscript, or in the decision to publish the results.
References
- Chmielewska, A.; Kozłowska, M.; Rachwał, D.; Wnukowski, P.; Amarowicz, R.; Nebesny, E.; Rosicka-Kaczmarek, J. Canola/rapeseed protein–nutritional value, functionality and food application: A review. Crit. Rev. Food Sci. Nutr. 2020, 1–21. [Google Scholar] [CrossRef] [PubMed]
- Raymer, P.L. Canola: An emerging oilseed crop. Trends New Crop. New Uses 2002, 1, 122–126. [Google Scholar]
- Lee, Y.-R.; Lim, C.-Y.; Lim, S.; Park, S.R.; Hong, J.-P.; Kim, J.; Lee, H.-E.; Ko, K.; Kim, D.-S. Expression of Colorectal Cancer Antigenic Protein Fused to IgM Fc in Chinese Cabbage (Brassica rapa). Plants 2020, 9, 1466. [Google Scholar] [CrossRef] [PubMed]
- Lu, K.; Wei, L.; Li, X.; Wang, Y.; Wu, J.; Liu, M.; Zhang, C.; Chen, Z.; Xiao, Z.; Jian, H. Whole-genome resequencing reveals Brassica napus origin and genetic loci involved in its improvement. Nat. Commun. 2019, 10, 1–12. [Google Scholar] [CrossRef] [PubMed]
- Park, C.H.; Bong, S.J.; Lim, C.J.; Kim, J.K.; Park, S.U. Transcriptome analysis and metabolic profiling of green and red mizuna (Brassica rapa L. var. japonica). Foods 2020, 9, 1079. [Google Scholar] [CrossRef] [PubMed]
- Rahman, M.; Khatun, A.; Liu, L.; Barkla, B.J. Brassicaceae mustards: Traditional and agronomic uses in Australia and New Zealand. Molecules 2018, 23, 231. [Google Scholar] [CrossRef]
- Aider, M.; Barbana, C. Canola proteins: Composition, extraction, functional properties, bioactivity, applications as a food ingredient and allergenicity–A practical and critical review. Trends Food Sci. Technol. 2011, 22, 21–39. [Google Scholar] [CrossRef]
- Bell, J.; Keith, M. A survey of variation in the chemical composition of commercial canola meal produced in Western Canadian crushing plants. Can. J. Anim. Sci. 1991, 71, 469–480. [Google Scholar] [CrossRef]
- Grala, W.; Verstegen, M.; Van Leeuwen, P.; Huisman, J.; Jansman, A.; Tamminga, S. Nitrogen balance of pigs as affected by feedstuffs causing different endogenous nitrogen flow at the terminal ileum. Livest. Prod. Sci. 1997, 48, 143–155. [Google Scholar] [CrossRef]
- Borpatragohain, P.; Rose, T.J.; Liu, L.; Barkla, B.J.; Raymond, C.A.; King, G.J. Remobilization and fate of sulphur in mustard. Ann. Bot. 2019, 124, 471–480. [Google Scholar] [CrossRef] [PubMed]
- Bos, C.; Airinei, G.; Mariotti, F.; Benamouzig, R.; Bérot, S.; Evrard, J.; Fénart, E.; Tomé, D.; Gaudichon, C. The poor digestibility of rapeseed protein is balanced by its very high metabolic utilization in humans. J. Nutr. 2007, 137, 594–600. [Google Scholar] [CrossRef] [PubMed]
- Tan, S.H.; Mailer, R.J.; Blanchard, C.L.; Agboola, S.O. Canola proteins for human consumption: Extraction, profile, and functional properties. J. Food Sci. 2011, 76, R16–R28. [Google Scholar] [CrossRef] [PubMed]
- Rahman, M. Characterising Brassica Seed Storage Protein Mutants to Enhance the Nutritional Value of the Seed; Submitted to Southern Cross Plant Science; Southern Cross University for the Confirmation of Candidature: Lismore, Australia, 2017. [Google Scholar]
- Rahman, M.; Liu, L.; King, G.J.; Barkla, B.J. Characterizing Brassica seed storage protein mutants to enhance the nutritional value of oilseed. In Proceedings of the Brassica Conference, Melbourne, Australia, 3–6 October 2016. [Google Scholar]
- Ohlson, R.; Anjou, K. Rapeseed protein products. J. Am. Oil Chem. Soc. 1979, 56, 431–437. [Google Scholar] [CrossRef] [PubMed]
- Fetzer, A.; Müller, K.; Schmid, M.; Eisner, P. Rapeseed proteins for technical applications: Processing, isolation, modification and functional properties–A review. Ind. Crop. Prod. 2020, 158, 112986. [Google Scholar] [CrossRef]
- Von Der Haar, D.; Müller, K.; Bader-Mittermaier, S.; Eisner, P. Rapeseed proteins–Production methods and possible application ranges. OCL 2014, 21, D104. [Google Scholar] [CrossRef]
- Fahs, A.; Louarn, G. Plant protein interactions studied using AFM force spectroscopy: Nanomechanical and adhesion properties. Phys. Chem. Chem. Phys. 2013, 15, 11339–11348. [Google Scholar] [CrossRef]
- Rahman, M. Identification, Molecular and Proteomic Characterisation of Brassica rapa Seed Storage Proteins with Allergenic and Antimicrobial Potential; Southern Cross University: Lismore, Australia, 2020; (Under review). [Google Scholar]
- Rahman, M.; Guo, Q.; Khartun, A.; Baten, A.; Mauleon, R.; Liu, L.; Barkla, B.J. Shotgun proteomics of Brassica rapa seed proteins identifies vicilin as a major seed storage protein in the mature seed. Submitted 2021. (Under review). [Google Scholar]
- Fiocchi, A.; Dahdah, L.; Riccardi, C.; Mazzina, O.; Fierro, V. Preacutionary labelling of cross-reactive foods: The case of rapeseed. Asthma Res. Pract. 2016, 2, 8. [Google Scholar] [CrossRef]
- Puumalainen, T.J.; Puustinen, A.; Poikonen, S.; Turjanmaa, K.; Palosuo, T.; Vaali, K. Proteomic identification of allergenic seed proteins, napin and cruciferin, from cold-pressed rapeseed oils. Food Chem. 2015, 175, 381–385. [Google Scholar] [CrossRef]
- Rahman, M.; Baten, A.; Mauleon, R.; King, G.J.; Liu, L.; Barkla, B.J. Identification, characterization and epitope mapping of proteins encoded by putative allergenic napin genes from Brassica rapa. Clin. Exp. Allergy 2020, 50, 848–868. [Google Scholar] [CrossRef]
- Kohno-Murase, J.; Murase, M.; Ichikawa, H.; Imamura, J. Effects of an antisense napin gene on seed storage compounds in transgenic Brassica napus seeds. Plant Mol. Biol. 1994, 26, 1115–1124. [Google Scholar] [CrossRef] [PubMed]
- Lochlainn, S.Ó.; Amoah, S.; Graham, N.S.; Alamer, K.; Rios, J.J.; Kurup, S.; Stoute, A.; Hammond, J.P.; Østergaard, L.; King, G.J.; et al. High Resolution Melt (HRM) analysis is an efficient tool to genotype EMS mutants in complex crop genomes. Plant Methods 2011, 7, 9. [Google Scholar] [CrossRef] [PubMed]
- Stephenson, P.; Baker, D.; Girin, T.; Perez, A.; Amoah, S.; King, G.J.; Østergaard, L. A rich TILLING resource for studying gene function in Brassica rapa. BMC Plant Biol. 2010, 10, 62. [Google Scholar] [CrossRef] [PubMed]
- Tadele, Z. Mutagenesis and TILLING to dissect gene function in plants. Curr. Genom. 2016, 17, 499–508. [Google Scholar] [CrossRef] [PubMed]
- Braatz, J.; Harloff, H.-J.; Mascher, M.; Stein, N.; Himmelbach, A.; Jung, C. CRISPR-Cas9 targeted mutagenesis leads to simultaneous modification of different homoeologous gene copies in polyploid oilseed rape (Brassica napus). Plant Physiol. 2017, 174, 935–942. [Google Scholar] [CrossRef] [PubMed]
- Arbelaez, J.D.; Tandayu, E.; Reveche, M.Y.; Jarana, A.; Van Rogen, P.; Sandager, L.; Stolt, P.; Ng, E.; Varshney, R.K.; Kretzschmar, T. Methodology: Ssb-MASS: A single seed-based sampling strategy for marker-assisted selection in rice. Plant Methods 2019, 15, 11. [Google Scholar] [CrossRef]
- Palomares, O.; Cuesta-Herranz, J.; Rodríguez, R.; Villalba, M. A recombinant precursor of the mustard allergen Sin a 1 retains the biochemical and immunological features of the heterodimeric native protein. Int. Arch. Allergy Immunol. 2005, 137, 18–26. [Google Scholar] [CrossRef]
- Palomares, O.; Cuesta-Herranz, J.; Vereda, A.; Sirvent, S.; Villalba, M.; Rodríguez, R. Isolation and identification of an 11S globulin as a new major allergen in mustard seeds. Ann. Allergyasthma Immunol. 2005, 94, 586–592. [Google Scholar] [CrossRef]
- Palomares, O.; Monsalve, R.I.; Rodríguez, R.; Villalba, M. Recombinant pronapin precursor produced in Pichia pastoris displays structural and immunologic equivalent properties to its mature product isolated from rapeseed. FEBS J. 2002, 269, 2538–2545. [Google Scholar]
- Palomares, O.; Vereda, A.; Cuesta-Herranz, J.; Villalba, M.; Rodríguez, R. Cloning, sequencing, and recombinant production of Sin a 2, an allergenic 11S globulin from yellow mustard seeds. J. Allergy Clin. Immunol. 2007, 119, 1189–1196. [Google Scholar] [CrossRef]
- Campbell, L.; Rempel, C.B.; Wanasundara, J.P. Canola/Rapeseed Protein: Future Opportunities and Directions—Workshop Proceedings of IRC 2015; Multidisciplinary Digital Publishing Institute: Basel, Switzerland, 2016. [Google Scholar]
- Han, C.; Yin, X.; He, D.; Yang, P. Analysis of proteome profile in germinating soybean seed, and its comparison with rice showing the styles of reserves mobilization in different crops. PLoS ONE 2013, 8, e56947. [Google Scholar] [CrossRef] [PubMed]
- Schatzki, J.; Ecke, W.; Becker, H.C.; Möllers, C. Mapping of QTL for the seed storage proteins cruciferin and napin in a winter oilseed rape doubled haploid population and their inheritance in relation to other seed traits. Theor. Appl. Genet. 2014, 127, 1213–1222. [Google Scholar] [CrossRef] [PubMed]
- Xiong, E.; Wu, X.; Yang, L.; Gong, F.; Tai, F.; Wang, W. Chloroform-Assisted Phenol Extraction Improving Proteome Profiling of Maize Embryos through Selective Depletion of High-Abundance Storage Proteins. PLoS ONE 2014, 9, e112724. [Google Scholar] [CrossRef] [PubMed]
- Sidhu, H. Non-Destructive Analysis of Single Plant Canola (Brassica napus) Seeds Using Near Infra-Red Spectroscopy; American Society of Agricultural and Biological Engineers: Fargo, ND, USA, 2012. [Google Scholar]
- Downey, R.K.; Harvey, B.L. Methods of breeding for oil quality in rape. Can. J. Plant Sci. 1963, 43, 271–275. [Google Scholar] [CrossRef]
- Baten, A.; Mauleon, R.; King, G. Re-sequencing and comparative analysis of the Brassica rapa ssp.-trilocularis (R-o-18) genome. 2020. (in preparation). [Google Scholar]
- Barkla, B.J.; Vera-Estrella, R.; Pantoja, O.; Kirch, H.-H.; Bohnert, H.J. Aquaporin localization–how valid are the TIP and PIP labels? Trends Plant Sci. 1999, 4, 86–88. [Google Scholar] [CrossRef]
- Shimada, T.; Fuji, K.; Tamura, K.; Kondo, M.; Nishimura, M.; Hara-Nishimura, I. Vacuolar sorting receptor for seed storage proteins in Arabidopsis thaliana. Proc. Natl. Acad. Sci. USA 2003, 100, 16095–16100. [Google Scholar] [CrossRef]
- Shimada, T.; Yamada, K.; Kataoka, M.; Nakaune, S.; Koumoto, Y.; Kuroyanagi, M.; Tabata, S.; Kato, T.; Shinozaki, K.; Seki, M.; et al. Vacuolar processing enzymes are essential for proper processing of seed storage proteins in Arabidopsis thaliana. J. Biol. Chem. 2003, 278, 32292–32299. [Google Scholar] [CrossRef]
- Izli, N.; Unal, H.; Sincik, M. Physical and mechanical properties of rapeseed at different moisture content. Int. Agrophysics 2009, 23, 137–145. [Google Scholar]
- Stumpe, M.C.; Grubmüller, H. Interaction of urea with amino acids: Implications for urea-induced protein denaturation. J. Am. Chem. Soc. 2007, 129, 16126–16131. [Google Scholar] [CrossRef]
- Haider, S.R.; Sharp, B.L.; Reid, H.J. A comparison of Tris-glycine and Tris-tricine buffers for the electrophoretic separation of major serum proteins. J. Sep. Sci. 2011, 34, 2463–2467. [Google Scholar] [CrossRef]
- Nietzel, T.; Dudkina, N.V.; Haase, C.; Denolf, P.; Semchonok, D.A.; Boekema, E.J.; Braun, H.-P.; Sunderhaus, S. The native structure and composition of the cruciferin complex in Brassica napus. J. Biol. Chem. 2013, 288, 2238–2245. [Google Scholar] [CrossRef] [PubMed]
- Rolletschek, H.; Schwender, J.; König, C.; Chapman, K.D.; Romsdahl, T.; Lorenz, C.; Braun, H.-P.; Denolf, P.; Audenhove, K.v.; Munz, E.; et al. Cellular Plasticity in Response to Suppression of Storage Proteins in the Brassica napus Embryo. Plant Cell 2020. [Google Scholar] [CrossRef] [PubMed]
- Wan, L.; Ross, A.R.; Yang, J.; Hegedus, D.D.; Kermode, A.R. Phosphorylation of the 12 S globulin cruciferin in wild-type and abi1-1 mutant Arabidopsis thaliana (thale cress) seeds. Biochem. J. 2007, 404, 247–256. [Google Scholar] [CrossRef] [PubMed]
- Ericson, M.; Rödin, J.; Lenman, M.; Glimelius, K.; Josefsson, L.-G.; Rask, L. Structure of the rapeseed 1.7 S storage protein, napin, and its precursor. J. Biol. Chem. 1986, 261, 14576–14581. [Google Scholar] [CrossRef]
- Lin, Y.; Pajak, A.; Marsolais, F.; McCourt, P.; Riggs, C.D. Characterization of a cruciferin deficient mutant of Arabidopsis and its utility for overexpression of foreign proteins in plants. PLoS ONE 2013, 8, e64980. [Google Scholar] [CrossRef]
- Rödin, J.; Rask, L. The relationship between mature chains and their precursors of cruciferin, the 12S storage protein of Brassica napus. Plant Sci. 1990, 70, 57–63. [Google Scholar] [CrossRef]
- Frizzi, A.; Caldo, R.A.; Morrell, J.A.; Wang, M.; Lutfiyya, L.L.; Brown, W.E.; Malvar, T.M.; Huang, S. Compositional and transcriptional analyses of reduced zein kernels derived from the opaque2 mutation and RNAi suppression. Plant Mol. Biol. 2010, 73, 569–585. [Google Scholar] [CrossRef]
- Segal, G.; Song, R.; Messing, J. A new opaque variant of maize by a single dominant RNA-interference-inducing transgene. Genetics 2003, 165, 387–397. [Google Scholar]
- Lyzenga, W.J.; Harrington, M.; Bekkaoui, D.; Wigness, M.; Hegedus, D.D.; Rozwadowski, K.L. CRISPR/Cas9 editing of three CRUCIFERIN C homoeologues alters the seed protein profile in Camelina sativa. BMC Plant Biol. 2019, 19, 292. [Google Scholar] [CrossRef]
- Perera, S.P.; McIntosh, T.C.; Wanasundara, J.P. Structural properties of cruciferin and napin of Brassica napus (Canola) show distinct responses to changes in pH and temperature. Plants 2016, 5, 36. [Google Scholar] [CrossRef]
- Bérot, S.; Compoint, J.; Larré, C.; Malabat, C.; Guéguen, J. Large scale purification of rapeseed proteins (Brassica napus L.). J. Chromatogr. B 2005, 818, 35–42. [Google Scholar]
- Hansen, M.; Lange, M.; Friis, C.; Dionisio, G.; Holm, P.B.; Vincze, E. Antisense-mediated suppression of C-hordein biosynthesis in the barley grain results in correlated changes in the transcriptome, protein profile, and amino acid composition. J. Exp. Bot. 2007, 58, 3987–3995. [Google Scholar] [CrossRef] [PubMed]
- Wei, X.; Kim, W.-S.; Song, B.; Oehrle, N.W.; Liu, S.; Krishnan, H.B. Soybean Mutants Lacking Abundant Seed Storage Proteins Are Impaired in Mobilization of Storage Reserves and Germination. ACS Omega 2020, 5, 8065–8075. [Google Scholar] [CrossRef] [PubMed]
- Malabat, C.; Atterby, H.; Chaudhry, Q.; Renard, M.; Guéguen, J. Genetic variability of rapeseed protein composition. In Proceedings of the 11th International Rapeseed Congress; Royal Veterinary and Agricultural University: Frederiksberg, Denmark, 2003. [Google Scholar]
- Gacek, K.; Bartkowiak-Broda, I.; Batley, J. Genetic and Molecular Regulation of Seed Storage Proteins (SSPs) to Improve Protein Nutritional Value of Oilseed Rape (Brassica napus L.) Seeds. Front. Plant Sci. 2018, 9, 890. [Google Scholar] [CrossRef]
- Guerche, P.; Tire, C.; De Sa, F.G.; De Clercq, A.; Van Montagu, M.; Krebbers, E. Differential expression of the Arabidopsis 2S albumin genes and the effect of increasing gene family size. Plant Cell 1990, 2, 469–478. [Google Scholar] [CrossRef][Green Version]
- Kohno-Murase, J.; Murase, M.; Ichikawa, H.; Imamura, J. Improvement in the quality of seed storage protein by transformation of Brassica napus with an antisense gene for cruciferin. Theor. Appl. Genet. 1995, 91, 627–631. [Google Scholar] [CrossRef]
- Rahman, M.; Baten, A.; Khatun, A.; Mauleon, R.; Liu, L.; Barkla, B.J. Identification, characterization and epitope mapping of proteins encoded by putative allergenic 12S globulin like cruciferin proteins from Brassica rapa. Clin. Exp. Allergy 2021. (Under review). [Google Scholar]
Publisher’s Note: MDPI stays neutral with regard to jurisdictional claims in published maps and institutional affiliations. |
© 2021 by the authors. Licensee MDPI, Basel, Switzerland. This article is an open access article distributed under the terms and conditions of the Creative Commons Attribution (CC BY) license (http://creativecommons.org/licenses/by/4.0/).





