Sodium Tetraborate Induces Systemic Resistance in Watermelon against Stagonosporopsis cucurbitacearum
Abstract
1. Introduction
2. Materials and Methods
2.1. Plants and Pathogen
2.2. Cultivation of Plants and Fungi and Plant Inoculation
2.3. Disease Scoring
2.4. In Vitro Test of Antifungal Effect of Na2B4O7 on Stagonosporopsis cucurbitacearum
2.5. Test of Na2B4O7 for Systemic Protection against Foliar Infection
2.6. Ability of 1 mM Na2B4O7 to Protect Detached Watermelon Leaves
2.7. Ability of Na2B4O7 to Protect Watermelon Systemically under Greenhouse Conditions
2.8. Infection Biology of S. cucurbitacearum in Watermelon Plants Treated with Na2B4O7
2.9. Peroxidase Activity and Native PAGE for Detection of Peroxidase Isozymes
2.10. Experimental Design and Statistical Analysis of Data
3. Results
3.1. In Vitro Tests
3.2. Systemic Protection of Watermelon after Seed Priming with Na2B4O7
3.3. Ability of 1 mM Na2B4O7 to Protect Detached Watermelon Leaves
3.4. Ability of 1 mM Na2B4O7 to Protect Watermelon under Greenhouse Conditions
3.5. Infection Biology of S. cucurbitacearum in Watermelon Plants Treated with Na2B4O7
3.6. Peroxidase Activity
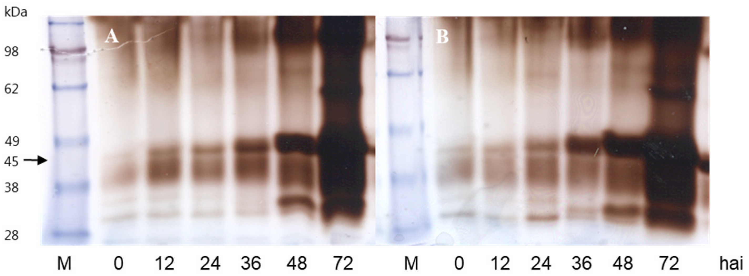
3.7. Native PAGE for Detection of Peroxidase Isozymes
4. Discussion
5. Conclusions
Author Contributions
Funding
Data Availability Statement
Acknowledgments
Conflicts of Interest
References
- Punithalingam, E.; Holliday, P. Didymella bryoniae. CMI Descriptions of Pathogenic Fungi and Bacteria; No. 332; Commonwealth Mycological Institute: Kew, UK, 1972. [Google Scholar]
- Keinath, A.P.; Zitter, T.A. Resistance to benomyl and thiophanate-methyl in Didymella bryoniae from South Carolina and New York. Plant Dis. 1998, 82, 479–484. [Google Scholar] [CrossRef]
- Seblani, R.; Keinath, A.P.; Munkvold, G. Gummy stem blight: One disease, three pathogens. Mol. Plant Pathol. 2023, 24, 825–837. [Google Scholar] [CrossRef]
- Thinggaard, K. Attack of Didymella bryoniae on roots of cucumber. J. Phytopathol. 1987, 120, 372–375. [Google Scholar] [CrossRef]
- Sherf, A.F.; MacNab, A.A. Vegetable Diseases and Their Control; John Wiley & Sons: New York, NY, USA, 1986. [Google Scholar]
- Keinath, A.P. Effect of protectant fungicide application schedules on gummy stem blight epidemics and marketable yield of watermelon. Plant Dis. 2000, 84, 254–260. [Google Scholar] [CrossRef]
- Huyen, N.T.Q.; Hoa, T.D.; Huyen, T.T.; Nam, C.G.; Phuong, T.T.X. Situation of watermelon (Citrullus lanatus Thumb.) production in Phu Yen province. Hue Univ. J. Sci. Agric. Rural Dev. 2023, 132, 31–43. [Google Scholar]
- Gusmini, G.; Song, R.; Wehner, T.C. New sources of resistance to gummy stem blight in watermelon. Crop Sci. 2005, 45, 582–588. [Google Scholar] [CrossRef]
- Ren, R.; Xu, J.; Zhang, M.; Liu, G.; Yao, X.; Zhu, L.; Hou, Q. Identification and molecular mapping of a gummy stem blight resistance gene in wild watermelon (Citrullus amarus) germplasm PI 189225. Plant Dis. 2020, 104, 16–24. [Google Scholar] [CrossRef]
- Lee, E.S.; Kim, D.-S.; Kim, S.G.; Huh, Y.-C.; Back, C.-G.; Lee, Y.-R.; Siddique, M.I.; Han, K.; Lee, H.-E.; Lee, J. QTL mapping for gummy stem blight resistance in watermelon (Citrullus spp.). Plants 2021, 10, 500. [Google Scholar] [CrossRef]
- Hong, J.-E.; Hossain, M.R.; Jung, H.-J.; Nou, I.-S. QTL associated with gummy stem blight (GSB) resistance in watermelon. BMC Genom. 2022, 23, 632. [Google Scholar] [CrossRef]
- Mahapatra, S.; Rao, E.S.; Hebbar, S.S.; Rao, V.K.; Pitchaimuthu, M.; Sriram, S. Evaluation of rootstocks resistant to gummy stem blight and their effect on the fruit yield and quality traits of grafted watermelon (Citrullus lanatus (Thunb.) Matsum. & Nakai). J. Hortic. Sci. Biotechnol. 2023, 98, 635–648. [Google Scholar] [CrossRef]
- Gimode, W.; Bao, K.; Fei, Z.; McGregor, C. QTL associated with gummy stem blight resistance in watermelon. Theor. Appl. Genet. 2021, 134, 573–584. [Google Scholar] [CrossRef]
- Kong, Z.; Zhang, Y.; Zhuang, C.; Mao, C.; Zhang, C. Detection and characterization of difenoconazole resistance in Stagonosporopsis citrulli from watermelon and muskmelon in Zhejiang Province of China. Phytopathol. Res. 2023, 5, 1. [Google Scholar] [CrossRef]
- Li, H.-X.; Nuckols, T.A.; Harris, D.; Stevenson, K.L.; Brewer, M.T. Differences in fungicide resistance profiles and multiple resistance to a quinone-outside inhibitor (QoI), two succinate dehydrogenase inhibitors (SDHI), and a demethylation inhibitor (DMI) for two Stagonosporopsis species causing gummy stem blight of cucurbits. Pest Manag. Sci. 2019, 75, 3093–3101. [Google Scholar] [CrossRef]
- Thomas, A.; Langston, D.B., Jr.; Stevenson, K.L. Baseline sensitivity and cross-resistance to succinate-dehydrogenase-inhibiting and demethylation-inhibiting fungicides in Didymella bryoniae. Plant Dis. 2012, 96, 979–984. [Google Scholar] [CrossRef]
- Vallad, G.E.; Goodman, R.M. Systemic acquired resistance and induced systemic resistance in conventional agriculture. Crop Sci. 2004, 44, 1920–1934. [Google Scholar] [CrossRef]
- Walters, D.R.; Ratsep, J.; Havis, N.D. Controlling crop diseases using induced resistance: Challenges for the future. J. Exp. Bot. 2013, 64, 1263–1280. [Google Scholar] [CrossRef]
- Reglinski, T.; Havis, N.; Rees, H.J.; de Jong, H. The practical role of induced resistance for crop protection. Phytopathology 2023, 113, 719–731. [Google Scholar] [CrossRef]
- Kloepper, J.W.; Tuzun, S.; Kuć, J.A. Proposed definitions related to induced disease resistance. Biocontrol Sci. Technol. 1992, 2, 349–351. [Google Scholar] [CrossRef]
- van Loon, L.C. Systemic induced resistance. In Mechanisms of Resistance to Plant Diseases; Slusarenko, A.J., Fraser, R.S.S., van Loon, L.C., Eds.; Kluwer Academic Publishers: Dordrecht, The Netherlands, 2000; pp. 521–574. [Google Scholar] [CrossRef]
- De Kesel, J.; Conrath, U.; Flors, V.; Luna, E.; Mageroy, M.H.; Mauch-Mani, B.; Pastor, V.; Pozo, M.J.; Pieterse, C.M.J.; Ton, J.; et al. The induced resistance lexicon: Do’s and don’ts. Trends Plant Sci. 2021, 26, 685–691. [Google Scholar] [CrossRef]
- Kováts, K.; Binder, A.; Hohl, H.R. Cytology of induced systemic resistance of cucumber to Colletotrichum lagenarium. Planta 1991, 183, 484–490. [Google Scholar] [CrossRef]
- Reuveni, M.; Agapov, V.; Reuveni, R. A foliar spray of micronutrient solutions induces local and systemic protection against powdery mildew (Sphaerotheca fuliginia) in cucumber plants. Eur. J. Plant Pathol. 1997, 103, 581–588. [Google Scholar] [CrossRef]
- Jeun, Y.C.; Park, K.S.; Kim, C.H.; Fowler, W.D.; Kloepper, J.W. Cytological observations of cucumber plants during induced resistance elicited by rhizobacteria. Biol. Control 2004, 29, 34–42. [Google Scholar] [CrossRef]
- Irving, H.R.; Kuć, J.A. Local and systemic induction of peroxidase, chitinase and resistance in cucumber plants by K2HPO4. Physiol. Mol. Plant Pathol. 1990, 37, 355–366. [Google Scholar] [CrossRef]
- Orober, M.; Siegrist, J.; Buchenauer, H. Mechanisms of phosphate-induced disease resistance in cucumber. Eur. J. Plant Pathol. 2002, 108, 345–353. [Google Scholar] [CrossRef]
- Descalzo, R.C.; Rahe, J.E.; Mauza, B. Comparative efficacy of induced resistance for selected diseases of greenhouse cucumber. Can. J. Plant Pathol. 1990, 12, 16–24. [Google Scholar] [CrossRef]
- Buzi, A.; Chilosi, G.; De Sillo, D.; Magro, P. Induction of resistance in melon to Didymella bryoniae and Sclerotinia sclerotiorum by seed treatments with acibenzolar-S-methyl and methyl jasmonate but not with salicylic acid. J. Phytopathol. 2004, 152, 34–42. [Google Scholar] [CrossRef]
- Mahadevaswamy, S.G.; De Britto, S.; Ali, D.; Sasaki, K.; Jogaiah, S.; Amruthesh, K.N. Rhizobial elicitor molecule signaling muskmelon defense against gummy stem blight disease involving innate immune response. Physiol. Mol. Plant Pathol. 2023, 128, 102150. [Google Scholar] [CrossRef]
- Nga, N.T.T.; Giau, N.T.; Long, N.T.; Lübeck, M.; Shetty, N.P.; de Neergaard, E.; Thuy, T.T.T.; Kim, P.V.; Jørgensen, H.J.L. Rhizobacterially induced protection of watermelon against Didymella bryoniae. J. Appl. Microbiol. 2010, 109, 567–582. [Google Scholar] [CrossRef]
- Fawe, A.; Abou-Zaid, M.; Menzies, J.G.; Bélanger, R.R. Silicon-mediated accumulation of flavonoid phytoalexins in cucumber. Phytopathology 1998, 88, 396–401. [Google Scholar] [CrossRef] [PubMed]
- Ongena, M.; Daayf, F.; Jacques, P.; Thonart, P.; Benhamou, N.; Paulitz, T.C.; Bélanger, R.R. Systemic induction of phytoalexins in cucumber in response to treatments with fluorescent pseudomonads. Plant Pathol. 2000, 49, 523–530. [Google Scholar] [CrossRef]
- Schmele, I.; Kauss, H. Enhanced activity of the plasma membrane localized callose synthase in cucumber leaves with induced resistance. Physiol. Mol. Plant Pathol. 1990, 37, 221–228. [Google Scholar] [CrossRef]
- Stumm, D.; Gessler, C. Role of papillae in the induced systemic resistance of cucumbers against Colletotrichum lagenarium. Physiol. Mol. Plant Pathol. 1986, 29, 405–410. [Google Scholar] [CrossRef]
- Hammerschmidt, R.; Nuckles, E.M.; Kuć, J. Association of enhanced peroxidase activity with induced systemic resistance of cucumber to Colletotrichum lagenarium. Physiol. Plant Pathol. 1982, 20, 73–82. [Google Scholar] [CrossRef]
- Jogaiah, S.; Satapute, P.; De Britto, S.; Konappa, N.; Udayashankar, A.C. Exogenous priming of chitosan induces upregulation of phytohormones and resistance against cucumber powdery mildew disease is correlated with localized biosynthesis of defense enzymes. Int. J. Biol. Macromol. 2020, 162, 1825–1838. [Google Scholar] [CrossRef]
- Schneider, S.; Ullrich, W.R. Differential induction of resistance and enhanced enzyme activities in cucumber and tobacco caused by treatment with various abiotic and biotic inducers. Physiol. Mol. Plant Pathol. 1994, 45, 291–304. [Google Scholar] [CrossRef]
- Dalisay, R.F.; Kuć, J.A. Persistence of induced resistance and enhanced peroxidase and chitinase activities in cucumber plants. Physiol. Mol. Plant Pathol. 1995, 47, 315–327. [Google Scholar] [CrossRef]
- Roby, D.; Toppan, A.; Esquerré-Tugayé, M.-T. Systemic induction of chitinase activity and resistance in melon plants upon fungal infection or elicitor treatment. Physiol. Mol. Plant Pathol. 1988, 33, 409–417. [Google Scholar] [CrossRef]
- Nga, N.T.T.; de Neergaard, E.; Jørgensen, H.J.L. Infection biology of Stagonosporopsis cucurbitacearum in watermelon and defence responses in the host. Agriculture 2024, 14, 380. [Google Scholar] [CrossRef]
- Chen, C.; Bélanger, R.R.; Benhamou, N.; Paulitz, T.C. Defense enzymes induced in cucumber roots by treatment with plant growth-promoting rhizobacteria (PGPR) and Pythium aphanidermatum. Physiol. Mol. Plant Pathol. 2000, 56, 13–23. [Google Scholar] [CrossRef]
- Liang, Y.C.; Sun, W.C.; Si, J.; Römheld, V. Effects of foliar- and root-applied silicon on the enhancement of induced resistance to powdery mildew in Cucumis sativus. Plant Pathol. 2005, 54, 678–685. [Google Scholar] [CrossRef]
- Brdar-Jokanović, M. Boron toxicity and deficiency in agricultural plants. Int. J. Mol. Sci. 2020, 21, 1424. [Google Scholar] [CrossRef]
- Camacho-Cristóbal, J.J.; Rexach, J.; González-Fontes, A. Boron in plants: Deficiency and toxicity. J. Integr. Plant Biol. 2008, 50, 1247–1255. [Google Scholar] [CrossRef]
- Saleem, M.; Yusop, M.K.; Ishak, F.; Samsuri, A.W.; Hafeez, B. Boron fertilizers borax and colemanite application on rice and their residual effect on the following crop cycle. Soil Sci. Plant Nutr. 2011, 57, 403–410. [Google Scholar] [CrossRef]
- Bernard, C.E.; Harrass, M.C.; Manning, M.J. Boric acid and inorganic borate pesticides. In Hayes’ Handbook of Pesticide Toxicology, 3rd ed.; Krieger, R., Ed.; Academic Press: New York, NY, USA, 2010; pp. 2033–2053. [Google Scholar] [CrossRef]
- Du, P.v.; Bich, T.t.N.; Cuong, N.D.; Kim, P.V. Measurement of localized and systemic resistance of rice plant to Pyricularia grisea by foliar spray of chemical inducers. OmonRice 2001, 9, 87–95. [Google Scholar]
- Du, P.v.; Sau, N.B.; Bich, T.N.; Kim, P.v. Induced resistance of rice plant to blast (Pyricularia grisea) by seed treatment using natri tetraborate (Na2B4O7) under field condition. OmonRice 2001, 9, 96–101. [Google Scholar]
- Deora, A.; Gossen, B.D.; Walley, F.; McDonald, M.R. Boron reduces development of clubroot in canola. Can. J. Plant Pathol. 2011, 33, 475–484. [Google Scholar] [CrossRef]
- Kaya, M.D.; Ergin, N. Boron seed treatments induce germination and seedling growth by reducing seed-borne pathogens in safflower (Carthamus tinctorius L.). J. Plant Prot. Res. 2023, 63, 481–487. [Google Scholar] [CrossRef]
- Tsutsumi, C.Y.; da Silva, N. Screening of melon populations for resistance to Didymella bryoniae in greenhouse and plastic tunnel conditions. Braz. Arch. Biol. Technol. 2004, 47, 171–177. [Google Scholar] [CrossRef]
- Bradford, M.M. A rapid and sensitive method for the quantitation of microgram quantities of protein utilizing the principle of protein-dye binding. Anal. Biochem. 1976, 72, 248–254. [Google Scholar] [CrossRef]
- Biondi, A.; Zappalà, L.; Stark, J.D.; Desneux, N. Do biopesticides affect the demographic traits of a parasitoid wasp and its biocontrol services through sublethal effects? PLoS ONE 2013, 8, e76548. [Google Scholar] [CrossRef]
- Wen, X.; Stoffolano, J.G., Jr.; Greamo, B.; Salemme, V.; Piñero, J.C. Effects of diluted Concord grape juice laced with sodium chloride and selected boron-containing compounds on attraction, consumption, crop muscle contractions, and mortality of adult Drosophila suzukii Matsumura (Diptera: Drosophilidae). Pest Manag. Sci. 2022, 78, 703–710. [Google Scholar] [CrossRef]
- Uysal, A. Control of Monilinia blossom and twig blight (Monilinia laxa) by boron, pyroligneous acid and boscalid. J. Plant Pathol. 2024, 106, 211–223. [Google Scholar] [CrossRef]
- Jensen, B.; Lübeck, P.S.; Jørgensen, H.J.L. Clonostachys rosea reduces spot blotch in barley by inhibiting prepenetration growth and sporulation of Bipolaris sorokiniana without inducing resistance. Pest Manag. Sci. 2016, 72, 2231–2239. [Google Scholar] [CrossRef]
- Shetty, R.; Jensen, B.; Shelton, D.; Jørgensen, K.; Pedas, P.; Jørgensen, H.J.L. Site-specific, silicon-induced structural and molecular defence responses against powdery mildew infection in roses. Pest Manag. Sci. 2021, 77, 4545–4554. [Google Scholar] [CrossRef]
- Thuy, T.T.T.; Lübeck, M.; Smedegaard-Petersen, V.; de Neergaard, E.; Jørgensen, H.J.L. Infection biology of Bipolaris oryzae in rice and defence responses in compatible and less compatible interactions. Agronomy 2023, 13, 231. [Google Scholar] [CrossRef]
- Thordal-Christensen, H.; Zhang, Z.; Wei, Y.; Collinge, D.B. Subcellular localization of H2O2 in plants. H2O2 accumulation in papillae and hypersensitive response during the barley-powdery mildew interaction. Plant J. 1997, 11, 1187–1194. [Google Scholar] [CrossRef]
- Lamb, C.; Dixon, R.A. The oxidative burst in plant disease resistance. Annu. Rev. Plant Physiol. Plant Mol. Biol. 1997, 48, 251–275. [Google Scholar] [CrossRef]
- Greenberg, J.T. Programmed cell death in plant-pathogen interactions. Annu. Rev. Plant Physiol. Plant Mol. Biol. 1997, 48, 525–545. [Google Scholar] [CrossRef]
- Huysmans, M.; Lema, A.S.; Coll, N.S.; Nowack, M.K. Dying two deaths-programmed cell death regulation in development and disease. Curr. Opin. Plant Biol. 2017, 35, 37–44. [Google Scholar] [CrossRef]
- Narusaka, Y.; Narusaka, M.; Park, P.; Kubo, Y.; Hirayama, T.; Seki, M.; Shiraishi, T.; Ishida, J.; Nakashima, M.; Enju, A.; et al. RCH1, a Locus in Arabidopsis that confers resistance to the hemibiotrophic fungal pathogen Colletotrichum higginsianum. Mol. Plant-Microbe Interact. 2004, 17, 749–762. [Google Scholar] [CrossRef]
- Shetty, N.P.; Jørgensen, H.J.L.; Jensen, J.D.; Collinge, D.B.; Shetty, H.S. Roles of reactive oxygen species in interactions between plants and pathogens. Eur. J. Plant Pathol. 2008, 121, 267–280. [Google Scholar] [CrossRef]
- Jørgensen, H.J.L.; Lübeck, P.S.; Thordal-Christensen, H.; de Neergaard, E.; Smedegaard-Petersen, V. Mechanisms of induced resistance in barley against Drechslera teres. Phytopathology 1998, 88, 698–707. [Google Scholar] [CrossRef]
- Kawano, T. Roles of the reactive oxygen species-generating peroxidase reactions in plant defense and growth induction. Plant Cell Rep. 2003, 21, 829–837. [Google Scholar] [CrossRef]
- Pandey, V.P.; Awasthi, M.; Singh, S.; Tiwari, S.; Dwivedi, U.N. A comprehensive review on function and application of plant peroxidases. Biochem. Anal. Biochem. 2017, 6, 308. [Google Scholar] [CrossRef]
- Smith, J.A.; Hammerschmidt, R. Comparative study of acidic peroxidases associated with induced resistance in cucumber, muskmelon and watermelon. Physiol. Mol. Plant Pathol. 1988, 33, 255–261. [Google Scholar] [CrossRef]
- Shetty, N.P.; Kristensen, B.K.; Newman, M.-A.; Møller, K.; Gregersen, P.L.; Jørgensen, H.J.L. Association of hydrogen peroxide with restriction of Septoria tritici in resistant wheat. Physiol. Mol. Plant Pathol. 2003, 62, 333–346. [Google Scholar] [CrossRef]
- Hänsch, R.; Mendel, R.R. Physiological functions of mineral micronutrients (Cu, Zn, Mn, Fe, Ni, Mo, B, Cl). Curr. Opin. Plant Biol. 2009, 12, 259–266. [Google Scholar] [CrossRef]
- Fageria, N.K.; Baligar, V.C.; Clark, R.B. Micronutrients in Crop Production. Adv. Agron. 2002, 77, 185–268. [Google Scholar] [CrossRef]
- Dubey, P.; Thakur, V.; Chattopadhyay, M. Role of minerals and trace elements in diabetes and insulin resistance. Nutrients 2020, 12, 1864. [Google Scholar] [CrossRef]
- Alak, G.; Parlak, V.; Yeltekin, A.Ç.; Ucar, A.; Çomaklı, S.; Topal, A.; Atamanalp, M.; Özkaraca, M.; Türkez, H. The protective effect exerted by dietary borax on toxicity metabolism in rainbow trout (Oncorhynchus mykiss) tissues. Comp. Biochem. Physiol. Part C Toxicol. Pharmacol. 2019, 216, 82–92. [Google Scholar] [CrossRef]
- Ince, S.; Kucukkurt, I.; Cigerci, I.H.; Fatih Fidan, A.; Eryavuz, A. The effects of dietary boric acid and borax supplementation on lipid peroxidation, antioxidant activity, and DNA damage in rats. J. Trace Elem. Med. Biol. 2010, 24, 161–164. [Google Scholar] [CrossRef]
- Hadrup, N.; Frederiksen, M.; Sharma, A.K. Toxicity of boric acid, borax and other boron containing compounds: A review. Regul. Toxicol. Pharmacol. 2021, 121, 104873. [Google Scholar] [CrossRef]
- Bolt, H.M.; Başaran, N.; Duydu, Y. Effects of boron compounds on human reproduction. Arch. Toxicol. 2020, 94, 717–724. [Google Scholar] [CrossRef]





| Treatment | Colony Diameter (mm) | ||||
|---|---|---|---|---|---|
| Conc. (mM) | 2 dai | 3 dai | 4 dai | 5 dai | |
| Water (control) | 0 | 2.3 | 3.6 | 4.9 | 6.2 |
| Na2B4O7 | 0.25 | 2.4 | 3.8 | 5.2 | 6.5 |
| Na2B4O7 | 0.5 | 2.4 | 3.8 | 5.2 | 6.4 |
| Na2B4O7 | 1 | 2.3 | 3.7 | 5.1 | 6.3 |
| Na2B4O7 | 2 | 2.2 | 3.6 | 4.9 | 6.1 |
| Na2B4O7 | 5 | 1.9 | 3.2 | 4.3 | 5.5 |
| Na2B4O7 | 10 | 1.4 | 2.1 | 2.9 | 3.8 |
| LSD | 0.1 | 0.1 | 0.1 | 0.1 | |
| p-value | <0.0001 | <0.0001 | <0.0001 | <0.0001 | |
| Percent Infected Leaf Area | |||
|---|---|---|---|
| Treatment | Conc. (mM) | First Leaf | Second Leaf |
| Water (control) | 0 | 71.4 | 68.1 |
| Na2B4O7 | 0.5 | 9.7 | 10.8 |
| Na2B4O7 | 1 | 0.9 | 0.4 |
| Na2B4O7 | 2 | 2.7 | 20.3 |
| LSD | 24.8 | 27.6 | |
| p-value | <0.0001 | 0.0134 | |
| Lesion Diameter (mm) | |||||
|---|---|---|---|---|---|
| First True Leaf | Second True Leaf | ||||
| Accession PI189225 | 3 dai | 4 dai | 3 dai | 4 dai | |
| Water (control) | 0 mM | 11.2 | 28.7 | 13.3 | 28.9 |
| Na2B4O7 | 1 mM | 4.4 | 12.8 | 13.0 | 26.5 |
| LSD | 6.4 | 10.4 | ns | ns | |
| p-value | 0.0404 | 0.0051 | 0.9232 | 0.5804 | |
| Accession 232-0125/B | 2 dai | 3 dai | 2 dai | 3 dai | |
| Control | 0 mM | 20.5 | 43.6 | 14.1 | 45.4 |
| Na2B4O7 | 1 mM | 17.8 | 42.7 | 10.5 | 30.1 |
| LSD | ns | ns | ns | 13.5 | |
| p-value | 0.1595 | 0.7552 | 0.2174 | 0.0314 | |
| Accession and Treatment | Percent Infected Leaf Area (7 dai) | Percent Protection | Infection According to 0–5 Scale (7 dai) | |
|---|---|---|---|---|
| Water (control) | 0 mM | 9.0 | 32.2 | 2.7 |
| Na2B4O7 | 1 mM | 6.1 | 2.1 | |
| LSD | ns | 0.5 | ||
| p-value | 0.3963 | 0.0171 | ||
| Accession 232-0125/B | 4 dai | 4 dai | ||
| Control | 0 mM | 46.9 | 76.8 | 3.5 |
| Na2B4O7 | 1 mM | 10.9 | 1.9 | |
| LSD | 18.2 | 0.7 | ||
| p-value | 0.0008 | 0.0003 | ||
| Percentage of | Time after Inoculation with Stagonosporopsis cucurbitacearum | |||||||||||
|---|---|---|---|---|---|---|---|---|---|---|---|---|
| 17 hai | 24 hai | 40 hai | 48 hai | |||||||||
| NaB | C | NaB | C | NaB | C | NaB | C | |||||
| spores germinated | 42.0 | 37.0 | ns | 43.0 | 40.0 | ns | 100.0 | 100.0 | ns | 100.0 | 100.0 | ns |
| spores causing penetration | 0.0 | 0.0 | ns | 0.0 | 0.0 | ns | 28.0 | 58.0 | ** | 13.3 | 18.0 | ns |
| spores with penetration causing single HR | - a | - a | - | - a | - a | - | 25.8 | 10.4 | ns | 44.0 | 17.5 | * |
| spores with penetration causing multiple HR | - a | - a | - | - a | - a | - | 42.4 | 21.0 | ns | 33.3 | 24.2 | ns |
| Percentage of | Time after Inoculation with Stagonosporopsis cucurbitacearum | |||||||||||
|---|---|---|---|---|---|---|---|---|---|---|---|---|
| 17 hai | 24 hai | 40 hai | 48 hai | |||||||||
| NaB | C | NaB | C | NaB | C | NaB | C | |||||
| spores germinated | 58.0 | 69.0 | ns | 69.0 | 73.0 | ns | 100.0 | 100.0 | ns | 100.0 | 100.0 | ns |
| spores causing penetration | 1.0 | 12.0 | *** | 5.0 | 5.0 | ns | 55.0 | 53.3 | ns | 48.7 | 92.5 | ns |
| spores with penetration causing single HR | - a | - a | - | 20.0 | 0.0 | ns | 28.2 | 23.0 | ns | 20.2 | 20.1 | ns |
| spores with penetration causing multiple HR | - a | - a | - | 20.2 | 0.0 | ns | 15.6 | 4.3 | ns | 31.3 | 10.1 | ns |
Disclaimer/Publisher’s Note: The statements, opinions and data contained in all publications are solely those of the individual author(s) and contributor(s) and not of MDPI and/or the editor(s). MDPI and/or the editor(s) disclaim responsibility for any injury to people or property resulting from any ideas, methods, instructions or products referred to in the content. |
© 2024 by the authors. Licensee MDPI, Basel, Switzerland. This article is an open access article distributed under the terms and conditions of the Creative Commons Attribution (CC BY) license (https://creativecommons.org/licenses/by/4.0/).
Share and Cite
Nga, N.T.T.; de Neergaard, E.; Shetty, H.S.; Thuy, T.T.T.; Kim, P.V.; Jørgensen, H.J.L. Sodium Tetraborate Induces Systemic Resistance in Watermelon against Stagonosporopsis cucurbitacearum. Agronomy 2024, 14, 979. https://doi.org/10.3390/agronomy14050979
Nga NTT, de Neergaard E, Shetty HS, Thuy TTT, Kim PV, Jørgensen HJL. Sodium Tetraborate Induces Systemic Resistance in Watermelon against Stagonosporopsis cucurbitacearum. Agronomy. 2024; 14(5):979. https://doi.org/10.3390/agronomy14050979
Chicago/Turabian StyleNga, Nguyen Thi Thu, Eigil de Neergaard, Hunthrike Shekar Shetty, Tran Thi Thu Thuy, Pham Van Kim, and Hans Jørgen Lyngs Jørgensen. 2024. "Sodium Tetraborate Induces Systemic Resistance in Watermelon against Stagonosporopsis cucurbitacearum" Agronomy 14, no. 5: 979. https://doi.org/10.3390/agronomy14050979
APA StyleNga, N. T. T., de Neergaard, E., Shetty, H. S., Thuy, T. T. T., Kim, P. V., & Jørgensen, H. J. L. (2024). Sodium Tetraborate Induces Systemic Resistance in Watermelon against Stagonosporopsis cucurbitacearum. Agronomy, 14(5), 979. https://doi.org/10.3390/agronomy14050979

