Swine Influenza Viruses Isolated from 2019 to 2022 in Shandong Province, China, Exemplify the Dominant Genotype
Abstract
1. Introduction
2. Materials and Methods
2.1. Ethics Statement
2.2. Sample Collection and Treatment
2.3. Nucleotide Sequencing
2.4. Analysis of Viral Sequencing
2.5. Virus Titer
2.6. Infection Studies in Mice
3. Results
3.1. Virus Isolation and Identification
3.2. Phylogenetic Analysis
3.3. EA H1N1 SIV Genotypes
3.4. Molecular Characterization
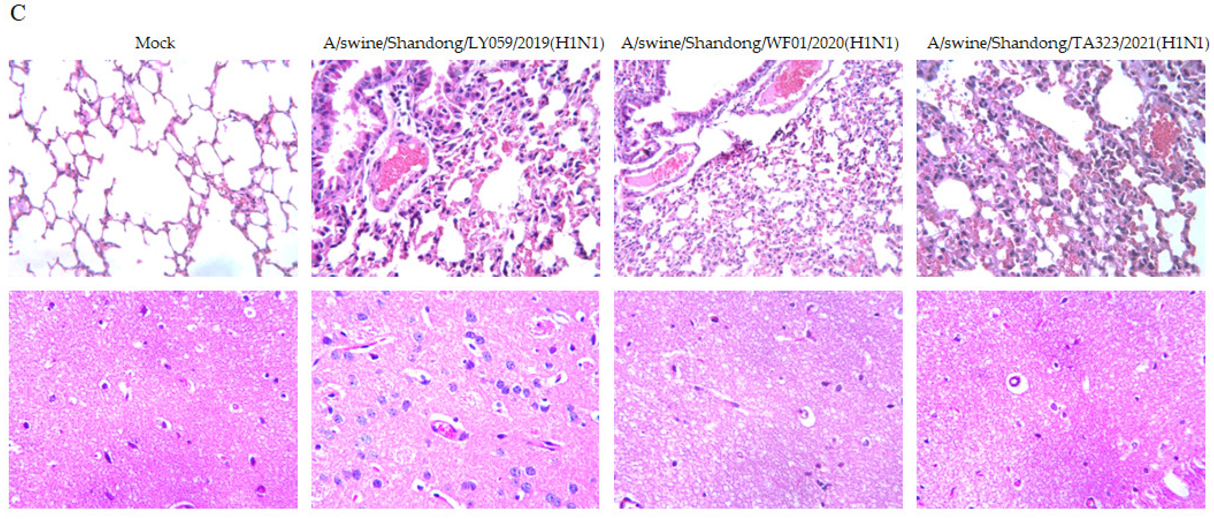
3.5. Mouse Experiments
4. Discussion
5. Conclusions
Author Contributions
Funding
Institutional Review Board Statement
Informed Consent Statement
Data Availability Statement
Acknowledgments
Conflicts of Interest
References
- Morens, D.M.; Taubenberger, J.K. Historical thoughts on influenza viral ecosystems, or behold a pale horse, dead dogs, failing fowl, and sick swine. Influenza Other Respir. Viruses 2010, 4, 327–337. [Google Scholar] [CrossRef] [PubMed]
- Nelson, M.I.; Worobey, M. Origins of the 1918 Pandemic: Revisiting the Swine “Mixing Vessel” Hypothesis. Am. J. Epidemiol. 2018, 187, 2498–2502. [Google Scholar] [CrossRef]
- Kawaoka, Y.; Krauss, S.; Webster, R.G. Avian-to-human transmission of the PB1 gene of influenza A viruses in the 1957 and 1968 pandemics. J. Virol. 1989, 63, 4603–4608. [Google Scholar] [CrossRef] [PubMed]
- Goff, P.H.; Hayashi, T.; Martínez-Gil, L.; Corr, M.; Crain, B.; Yao, S.; Cottam, H.B.; Chan, M.; Ramos, I.; Eggink, D.; et al. Synthetic Toll-like receptor 4 (TLR4) and TLR7 ligands as influenza virus vaccine adjuvants induce rapid, sustained, and broadly protective responses. J. Virol. 2015, 89, 3221–3235. [Google Scholar] [CrossRef] [PubMed]
- Smith, G.J.; Vijaykrishna, D.; Bahl, J.; Lycett, S.J.; Worobey, M.; Pybus, O.G.; Ma, S.K.; Cheung, C.L.; Raghwani, J.; Bhatt, S.; et al. Origins and evolutionary genomics of the 2009 swine-origin H1N1 influenza A epidemic. Nature 2009, 459, 1122–1125. [Google Scholar] [CrossRef] [PubMed]
- Kong, W.L.; Huang, Y.M.; Cao, N.; Qi, H.T.; Huang, L.Z.; Zhao, M.M.; Guan, S.S.; Wang, W.H.; Zhao, F.R.; Qi, W.B.; et al. Isolation and Phylogenetic Analysis of H1N1 Swine Influenza Virus from Sick Pigs in Southern China. Indian J. Virol. 2011, 22, 66–71. [Google Scholar] [CrossRef] [PubMed]
- Cai, M.; Huang, J.; Bu, D.; Yu, Z.; Fu, X.; Ji, C.; Zhou, P.; Zhang, G. Molecular evolution of H1N1 swine influenza in Guangdong, China, 2016–2017. Infect. Genet. Evol. 2018, 60, 103–108. [Google Scholar] [CrossRef]
- Jang, Y.; Seo, T.; Seo, S.H. Higher virulence of swine H1N2 influenza viruses containing avian-origin HA and 2009 pandemic PA and NP in pigs and mice. Arch. Virol. 2020, 165, 1141–1150. [Google Scholar] [CrossRef]
- Bowman, A.S.; Walia, R.R.; Nolting, J.M.; Vincent, A.L.; Killian, M.L.; Zentkovich, M.M.; Lorbach, J.N.; Lauterbach, S.E.; Anderson, T.K.; Davis, C.T.; et al. Influenza A(H3N2) Virus in Swine at Agricultural Fairs and Transmission to Humans, Michigan and Ohio, USA, 2016. Emerg. Infect. Dis. 2017, 23, 1551–1555. [Google Scholar] [CrossRef]
- Lekcharoensuk, P.; Lager, K.M.; Vemulapalli, R.; Woodruff, M.; Vincent, A.L.; Richt, J.A. Novel swine influenza virus subtype H3N1, United States. Emerg. Infect. Dis. 2006, 12, 787–794. [Google Scholar] [CrossRef]
- Wu, H.; Yang, F.; Lu, R.; Xu, L.; Liu, F.; Peng, X.; Wu, N. Isolation and molecular characterization of an H5N1 swine influenza virus in China in 2015. Arch. Virol. 2018, 163, 701–705. [Google Scholar] [CrossRef] [PubMed]
- Zhao, G.; Chen, C.; Huang, J.; Wang, Y.; Peng, D.; Liu, X. Characterisation of one H6N6 influenza virus isolated from swine in China. Res. Vet. Sci. 2013, 95, 434–436. [Google Scholar] [CrossRef] [PubMed]
- Xu, C.; Fan, W.; Wei, R.; Zhao, H. Isolation and identification of swine influenza recombinant A/Swine/Shandong/1/2003(H9N2) virus. Microbes Infect. 2004, 6, 919–925. [Google Scholar] [CrossRef] [PubMed]
- Fu, X.; Huang, Y.; Fang, B.; Liu, Y.; Cai, M.; Zhong, R.; Huang, J.; Wenbao, Q.; Tian, Y.; Zhang, G. Evidence of H10N8 influenza virus infection among swine in southern China and its infectivity and transmissibility in swine. Emerg. Microbes Infect. 2020, 9, 88–94. [Google Scholar] [CrossRef] [PubMed]
- Vijaykrishna, D.; Smith, G.J.; Pybus, O.G.; Zhu, H.; Bhatt, S.; Poon, L.L.; Riley, S.; Bahl, J.; Ma, S.K.; Cheung, C.L.; et al. Long-term evolution and transmission dynamics of swine influenza A virus. Nature 2011, 473, 519–522. [Google Scholar] [CrossRef] [PubMed]
- Wen, F.; Yu, H.; Yang, F.R.; Huang, M.; Yang, S.; Zhou, Y.J.; Li, Z.J.; Tong, G.Z. Efficacy of a high-growth reassortant H1N1 influenza virus vaccine against the classical swine H1N1 subtype influenza virus in mice and pigs. Arch. Virol. 2014, 159, 2957–2967. [Google Scholar] [CrossRef] [PubMed]
- Ma, W.; Lager, K.M.; Lekcharoensuk, P.; Ulery, E.S.; Janke, B.H.; Solórzano, A.; Webby, R.J.; García-Sastre, A.; Richt, J.A. Viral reassortment and transmission after co-infection of pigs with classical H1N1 and triple-reassortant H3N2 swine influenza viruses. J. Gen. Virol. 2010, 91, 2314–2321. [Google Scholar] [CrossRef] [PubMed]
- Sobolev, I.; Kurskaya, O.; Leonov, S.; Kabilov, M.; Alikina, T.; Alekseev, A.; Yushkov, Y.; Saito, T.; Uchida, Y.; Mine, J.; et al. Novel reassortant of H1N1 swine influenza virus detected in pig population in Russia. Emerg. Microbes Infect. 2019, 8, 1456–1464. [Google Scholar] [CrossRef] [PubMed]
- Myers, K.P.; Olsen, C.W.; Gray, G.C. Cases of swine influenza in humans: A review of the literature. Clin. Infect. Dis. 2007, 44, 1084–1088. [Google Scholar] [CrossRef]
- Shu, B.; Garten, R.; Emery, S.; Balish, A.; Cooper, L.; Sessions, W.; Deyde, V.; Smith, C.; Berman, L.; Klimov, A.; et al. Genetic analysis and antigenic characterization of swine origin influenza viruses isolated from humans in the United States, 1990–2010. Virology 2012, 422, 151–160. [Google Scholar] [CrossRef]
- Gaydos, J.C.; Top, F.H., Jr.; Hodder, R.A.; Russell, P.K. Swine influenza a outbreak, Fort Dix, New Jersey, 1976. Emerg. Infect. Dis. 2006, 12, 23–28. [Google Scholar] [CrossRef] [PubMed]
- Krueger, W.S.; Gray, G.C. Swine influenza virus infections in man. Curr. Top. Microbiol. Immunol. 2013, 370, 201–225. [Google Scholar]
- Xie, J.F.; Zhang, Y.H.; Zhao, L.; Xiu, W.Q.; Chen, H.B.; Lin, Q.; Weng, Y.W.; Zheng, K.C. Emergence of Eurasian Avian-Like Swine Influenza A (H1N1) Virus from an Adult Case in Fujian Province, China. Virol. Sin. 2018, 33, 282–286. [Google Scholar] [CrossRef] [PubMed]
- Li, X.; Guo, L.; Liu, C.; Cheng, Y.; Kong, M.; Yang, L.; Zhuang, Z.; Liu, J.; Zou, M.; Dong, X.; et al. Human infection with a novel reassortant Eurasian-avian lineage swine H1N1 virus in northern China. Emerg. Microbes Infect. 2019, 8, 1535–1545. [Google Scholar] [CrossRef] [PubMed]
- Liu, J.; Li, Z.; Cui, Y.; Yang, H.; Shan, H.; Zhang, C. Emergence of an Eurasian avian-like swine influenza A (H1N1) virus from mink in China. Vet. Microbiol. 2020, 240, 108509. [Google Scholar] [CrossRef]
- Chen, Y.; Trovão, N.S.; Wang, G.; Zhao, W.; He, P.; Zhou, H.; Mo, Y.; Wei, Z.; Ouyang, K.; Huang, W.; et al. Emergence and Evolution of Novel Reassortant Influenza A Viruses in Canines in Southern China. mBio 2018, 9, e00909-18. [Google Scholar] [CrossRef] [PubMed]
- Sun, H.; Xiao, Y.; Liu, J.; Wang, D.; Li, F.; Wang, C.; Li, C.; Zhu, J.; Song, J.; Sun, H.; et al. Prevalent Eurasian avian-like H1N1 swine influenza virus with 2009 pandemic viral genes facilitating human infection. Proc. Natl. Acad. Sci. USA 2020, 117, 17204–17210. [Google Scholar] [CrossRef] [PubMed]
- Glaser, L.; Stevens, J.; Zamarin, D.; Wilson, I.A.; García-Sastre, A.; Tumpey, T.M.; Basler, C.F.; Taubenberger, J.K.; Palese, P. A single amino acid substitution in 1918 influenza virus hemagglutinin changes receptor binding specificity. J. Virol. 2005, 79, 11533–11536. [Google Scholar] [CrossRef] [PubMed]
- Pearce, M.B.; Jayaraman, A.; Pappas, C.; Belser, J.A.; Zeng, H.; Gustin, K.M.; Maines, T.R.; Sun, X.; Raman, R.; Cox, N.J.; et al. Pathogenesis and transmission of swine origin A(H3N2)v influenza viruses in ferrets. Proc. Natl. Acad. Sci. USA 2012, 109, 3944–3949. [Google Scholar] [CrossRef]
- Wang, Z.; Yang, H.; Chen, Y.; Tao, S.; Liu, L.; Kong, H.; Ma, S.; Meng, F.; Suzuki, Y.; Qiao, C.; et al. A Single-Amino-Acid Substitution at Position 225 in Hemagglutinin Alters the Transmissibility of Eurasian Avian-Like H1N1 Swine Influenza Virus in Guinea Pigs. J. Virol. 2017, 91, e00800-17. [Google Scholar] [CrossRef]
- Wang, Z.; Chen, Y.; Chen, H.; Meng, F.; Tao, S.; Ma, S.; Qiao, C.; Chen, H.; Yang, H. A single amino acid at position 158 in haemagglutinin affects the antigenic property of Eurasian avian-like H1N1 swine influenza viruses. Transbound. Emerg. Dis. 2022, 69, e236–e243. [Google Scholar] [CrossRef] [PubMed]
- Hu, J.; Hu, Z.; Wei, Y.; Zhang, M.; Wang, S.; Tong, Q.; Sun, H.; Pu, J.; Liu, J.; Sun, Y. Mutations in PB2 and HA are crucial for the increased virulence and transmissibility of H1N1 swine influenza virus in mammalian models. Vet. Microbiol. 2022, 265, 109314. [Google Scholar] [CrossRef] [PubMed]
- Liu, Q.; Qiao, C.; Marjuki, H.; Bawa, B.; Ma, J.; Guillossou, S.; Webby, R.J.; Richt, J.A.; Ma, W. Combination of PB2 271A and SR polymorphism at positions 590/591 is critical for viral replication and virulence of swine influenza virus in cultured cells and in vivo. J. Virol. 2012, 86, 1233–1237. [Google Scholar] [CrossRef]
- Cai, M.; Zhong, R.; Qin, C.; Yu, Z.; Wen, X.; Xian, J.; Chen, Y.; Cai, Y.; Yi, H.; Gong, L.; et al. The R251K Substitution in Viral Protein PB2 Increases Viral Replication and Pathogenicity of Eurasian Avian-like H1N1 Swine Influenza Viruses. Viruses 2020, 12, 52. [Google Scholar] [CrossRef]
- Xu, C.; Xu, B.; Wu, Y.; Yang, S.; Jia, Y.; Liang, W.; Yang, D.; He, L.; Zhu, W.; Chen, Y.; et al. A Single Amino Acid at Position 431 of the PB2 Protein Determines the Virulence of H1N1 Swine Influenza Viruses in Mice. J. Virol. 2020, 94, e01930-19. [Google Scholar] [CrossRef] [PubMed]
- Gong, X.Q.; Ruan, B.Y.; Liu, X.M.; Zhang, P.; Wang, X.H.; Wang, Q.; Shan, T.L.; Tong, W.; Zhou, Y.J. The PB2-K627E mutation attenuates H3N2 swine influenza virus in cultured cells and in mice. Res. Vet. Sci. 2018, 117, 54–56. [Google Scholar] [CrossRef] [PubMed]
- Liu, S.; Zhu, W.; Feng, Z.; Gao, R.; Guo, J.; Li, X.; Liu, J.; Wang, D.; Shu, Y. Substitution of D701N in the PB2 protein could enhance the viral replication and pathogenicity of Eurasian avian-like H1N1 swine influenza viruses. Emerg. Microbes Infect. 2018, 7, 75. [Google Scholar] [CrossRef]
- Almond, J.W. A single gene determines the host range of influenza virus. Nature 1977, 270, 617–618. [Google Scholar] [CrossRef]
- Meng, F.; Yang, H.; Qu, Z.; Chen, Y.; Zhang, Y.; Zhang, Y.; Liu, L.; Zeng, X.; Li, C.; Kawaoka, Y.; et al. A Eurasian avian-like H1N1 swine influenza reassortant virus became pathogenic and highly transmissible due to mutations in its PA gene. Proc. Natl. Acad. Sci. USA 2022, 119, e2203919119. [Google Scholar] [CrossRef]
- Hussain, M.; Galvin, H.D.; Haw, T.Y.; Nutsford, A.N.; Husain, M. Drug resistance in influenza A virus: The epidemiology and management. Infect. Drug Resist. 2017, 10, 121–134. [Google Scholar] [CrossRef]
- He, G.; Qiao, J.; Dong, C.; He, C.; Zhao, L.; Tian, Y. Amantadine-resistance among H5N1 avian influenza viruses isolated in Northern China. Antiviral. Res. 2008, 77, 72–76. [Google Scholar] [CrossRef] [PubMed]
- Dornfeld, D.; Petric, P.P.; Hassan, E.; Zell, R.; Schwemmle, M. Eurasian Avian-Like Swine Influenza A Viruses Escape Human MxA Restriction through Distinct Mutations in Their Nucleoprotein. J. Virol. 2019, 93, e00997-18. [Google Scholar] [CrossRef] [PubMed]
- Zhu, W.; Feng, Z.; Chen, Y.; Yang, L.; Liu, J.; Li, X.; Liu, S.; Zhou, L.; Wei, H.; Gao, R.; et al. Mammalian-adaptive mutation NP-Q357K in Eurasian H1N1 Swine Influenza viruses determines the virulence phenotype in mice. Emerg. Microbes Infect. 2019, 8, 989–999. [Google Scholar] [CrossRef] [PubMed]
- Xu, C.; Zhang, N.; Yang, Y.; Liang, W.; Zhang, Y.; Wang, J.; Suzuki, Y.; Wu, Y.; Chen, Y.; Yang, H.; et al. Immune Escape Adaptive Mutations in Hemagglutinin Are Responsible for the Antigenic Drift of Eurasian Avian-Like H1N1 Swine Influenza Viruses. J. Virol. 2022, 96, e0097122. [Google Scholar] [CrossRef] [PubMed]
- Liu, J.; Bi, Y.; Qin, K.; Fu, G.; Yang, J.; Peng, J.; Ma, G.; Liu, Q.; Pu, J.; Tian, F. Emergence of European avian influenza virus-like H1N1 swine influenza A viruses in China. J. Clin. Microbiol. 2009, 47, 2643–2646. [Google Scholar] [CrossRef]
- Wang, S.Y.; Wen, F.; Yu, L.X.; Wang, J.; Wang, M.Z.; Yan, J.C.; Zhou, Y.J.; Tong, W.; Shan, T.L.; Li, G.X.; et al. Potential Threats to Human Health from Eurasian Avian-Like Swine Influenza A(H1N1) Virus and Its Reassortants. Emerg. Infect. Dis. 2022, 28, 1489–1493. [Google Scholar] [CrossRef]
- Qin, L.; Zhang, J.J.; Chen, B.; Wang, S.F.; Yu, P.B. Genetic characteristics of the first human infection with the G4 genotype eurasian avian-like H1N1 swine influenza virus in Shaanxi Province, China. Zhonghua Yu Fang Yi Xue Za Zhi Chin. J. Prev. Med. 2023, 57, 1434–1439. [Google Scholar]
- Peng, X.; Wu, H.; Xu, L.; Peng, X.; Cheng, L.; Jin, C.; Xie, T.; Lu, X.; Wu, N. Molecular characterization of a novel reassortant H1N2 influenza virus containing genes from the 2009 pandemic human H1N1 virus in swine from eastern China. Virus Genes 2016, 52, 405–410. [Google Scholar] [CrossRef]



| Strain Name | Subtype | Date | Cities | HA Titer | Clinical Signs |
|---|---|---|---|---|---|
| A/swine/Shandong/LY059/2019 | H1N1 | 01/2019 | Linyi | 27 | Fever, coughing, sneezing |
| A/swine/Shandong/TA002/2019 | H1N1 | 02/2019 | Taian | 27 | NO |
| A/swine/Shandong/TA003/2019 | H1N1 | 02/2019 | Taian | 27 | NO |
| A/swine/Shandong/TA004/2019 | H1N1 | 02/2019 | Taian | 27 | NO |
| A/swine/Shandong/TA005/2019 | H1N1 | 02/2019 | Taian | 27 | Fever, coughing |
| A/swine/Shandong/TA006/2019 | H1N1 | 11/2019 | Taian | 26 | NO |
| A/swine/Shandong/TA008/2019 | H1N1 | 11/2019 | Taian | 26 | NO |
| A/swine/Shandong/LW020/2019 | H1N1 | 11/2019 | Jinan | 26 | Coughing, sneezing |
| A/swine/Shandong/WF01/2020 | H1N1 | 05/2020 | Weifang | 28 | Coughing, sneezing |
| A/swine/Shandong/DZ01/2020 | H1N1 | 05/2020 | Dezhou | 26 | NO |
| A/swine/Shandong/TA153/2020 | H1N1 | 11/2020 | Taian | 26 | NO |
| A/swine/Shandong/HZ1766/2020 | H1N1 | 11/2020 | Heze | 28 | NO |
| A/swine/Shandong/TA2065/2020 | H1N1 | 12/2020 | Taian | 28 | NO |
| A/swine/Shandong/TA3812/2020 | H1N1 | 12/2020 | Taian | 26 | NO |
| A/swine/Shandong/LY4407/2021 | H1N1 | 01/2021 | Linyi | 27 | NO |
| A/swine/Shandong/TA4500/2021 | H1N1 | 03/2021 | Taian | 27 | Fever, coughing, sneezing |
| A/swine/Shandong/TA323/2021 | H1N1 | 12/2021 | Taian | 27 | Fever, coughing, sneezing |
| A/swine/Shandong/TA6274/2021 | H1N1 | 12/2021 | Taian | 27 | NO |
| A/swine/Shandong/TA6303/2022 | H1N1 | 03/2022 | Taian | 27 | NO |
| A/swine/Shandong/TA6417/2022 | H1N1 | 04/2022 | Taian | 27 | NO |
| A/swine/Shandong/TA6902/2022 | H1N1 | 12/2022 | Taian | 26 | NO |
| Strain Name | Genotype | Lineage Assigned to Gene Segments | |||||||
|---|---|---|---|---|---|---|---|---|---|
| PB2 | PB1 | PA | HA | NP | NA | M | NS | ||
| A/swine/Shandong/101/2008 | A | ||||||||
| A/swine/Shandong/275/2009 | |||||||||
| A/swine/Shandong/327/2009 | |||||||||
| A/swine/Shandong/436/2012 | |||||||||
| A/swine/Shandong/39/2013 | |||||||||
| A/swine/Shandong/862/2013 | |||||||||
| A/swine/Shandong/S93/2014 | B | ||||||||
| A/swine/Shandong/S113/2014 | |||||||||
| A/swine/Shandong/S153/2014 | |||||||||
| A/swine/Shandong/S269/2014 | |||||||||
| A/swine/Zhucheng/90/2014 | |||||||||
| A/swine/Shandong/573/2014 | |||||||||
| A/swine/Shandong/414/2014 | |||||||||
| A/swine/Shandong/807/2014 | |||||||||
| A/swine/Shandong/POS136/2015 | |||||||||
| A/swine/Shandong/POS2499/2015 | |||||||||
| A/swine/Shandong/POS2500/2015 | |||||||||
| A/swine/Shandong/POS2545/2015 | |||||||||
| A/swine/Taian/23/2017 | |||||||||
| A/swine/Shandong/123/2018 | |||||||||
| A/swine/Shandong/75/2018 | |||||||||
| A/swine/Shandong/60/2019 | |||||||||
| A/swine/Shandong/633/2019 | |||||||||
| A/swine/Shandong/1203/2016 | C | ||||||||
| A/swine/Shandong/1207/2016 | |||||||||
| A/swine/Shandong/16/2016 | |||||||||
| A/swine/Shandong/36/2016 | |||||||||
| A/swine/Shandong/9/2016 | |||||||||
| A/swine/Shandong/JM78/2017 | |||||||||
| A/swine/Shandong/LY142/2017 | |||||||||
| A/swine/Laiwu/16/2017 | |||||||||
| A/swine/Shandong/0334/2017 | |||||||||
| A/swine/Shandong/0336/2017 | |||||||||
| A/swine/Shandong/0337/2017 | |||||||||
| A/swine/Shandong/10/2017 | |||||||||
| A/swine/Shandong/13/2017 | |||||||||
| A/swine/Shandong/209/2017 | |||||||||
| A/swine/Shandong/363/2017 | |||||||||
| A/swine/Shandong/451/2017 | |||||||||
| A/swine/Shandong/540/2017 | |||||||||
| A/swine/Shandong/612/2017 | |||||||||
| A/swine/Taian/95/2017 | |||||||||
| A/swine/Taian/97/2017 | |||||||||
| A/swine/China/Qingdao/2018 | |||||||||
| A/swine/Shandong/LY059/2019 | |||||||||
| A/swine/Shandong/TA002/2019 | |||||||||
| A/swine/Shandong/TA003/2019 | |||||||||
| A/swine/Shandong/TA004/2019 | |||||||||
| A/swine/Shandong/TA005/2019 | |||||||||
| A/swine/Shandong/TA006/2019 | |||||||||
| A/swine/Shandong/TA008/2019 | |||||||||
| A/swine/Shandong/LW020/2019 | |||||||||
| A/swine/Shandong/WF01/2020 | |||||||||
| A/swine/Shandong/DZ01/2020 | |||||||||
| A/swine/Shandong/TA153/2020 | |||||||||
| A/swine/Shandong/TA1766/2020 | |||||||||
| A/swine/Shandong/TA2065/2020 | |||||||||
| A/swine/Shandong/TA3812/2020 | |||||||||
| A/swine/Shandong/LY4407/2021 | |||||||||
| A/swine/Shandong/TA4500/2021 | |||||||||
| A/swine/Shandong/TA5208/2021 | |||||||||
| A/swine/Shandong/TA6274/2021 | |||||||||
| A/swine/Shandong/TA6303/2022 | |||||||||
| A/swine/Shandong/TA6417/2022 | |||||||||
| A/swine/Shandong/TA6902/2022 | |||||||||
![]() | |||||||||
| Gene Segments | Amino Acid Mutations | 21 H1N1 Isolates |
|---|---|---|
| HA a | ||
| Allows efficient binding to human α2–6 sialic acid receptors | 190D, 225D/E [28,29] | 190D (10), 190V (9),190N (2); 225G (6), 225E (14), 225K (1) |
| Increased the transmissibility of EA H1N1 SIV in guinea pigs | D225E [30] | 225E (14), 225G (6), 225K (1) |
| Influences the antigenic properties of EA H1N1 SIV | E158G [31] | 158G (21) |
| Increased the replication and pathogenicity of SIV in mice | L425M [32] | 425N (21) |
| PB2 | ||
| A combination of 271A with the 590/591 SR polymorphism is critical for SIVs for efficient replication and adaptation in mammals | T271A-A590S-A591R [33] | 271A (21)-590S (21)-591R (21) |
| Increased viral replication and pathogenicity of the EA H1N1 SIV | R251K [34] | 251R (18), 251K (3) |
| Increased the virulence of EA H1N1 SIV in mice and contributed to high polymerase activity and viral genome transcription and replication | T431M [35] | 431M (21) |
| Influences the host range and virulence of influenza viruses | 627K, 701N [36,37,38] | 627E (21), 701D (21) |
| Increased the replication and pathogenicity of SIVs in mice | D309N [32] | 309D (21) |
| PA | ||
| Increases the pathogenicity and transmission of EA H1N1 SIV | 100I, 321K, 330V, 639T [39] | 100V (21), 321N (21), 330I (21), 639A (21) |
| NA b | ||
| Acquired resistance to neuraminidase | I222V, H274Y, R292K, N294S [40] | 222I (21), 274H (21), 292R (21), 294N (21) |
| M2 | ||
| Resistance to amantadine-based drugs | A26F, V27A, A30T/V, S31N, G34E [41] | 26L (21), 27V (20)/27I (1), 30A (21), 31N (21), 34G (21) |
| NP | ||
| Escape Human MxA Restriction | 48Q, 98K, 99K [42] | 48K (21), 98R (21), 99R (21) |
| Determines the virulence phenotype in mice | Q357K [43] | 357K (21) |
Disclaimer/Publisher’s Note: The statements, opinions and data contained in all publications are solely those of the individual author(s) and contributor(s) and not of MDPI and/or the editor(s). MDPI and/or the editor(s) disclaim responsibility for any injury to people or property resulting from any ideas, methods, instructions or products referred to in the content. |
© 2024 by the authors. Licensee MDPI, Basel, Switzerland. This article is an open access article distributed under the terms and conditions of the Creative Commons Attribution (CC BY) license (https://creativecommons.org/licenses/by/4.0/).
Share and Cite
Zhao, Y.; Han, L.; Sang, H.; Liu, S.; Yang, P.; Hou, Y.; Xiao, Y. Swine Influenza Viruses Isolated from 2019 to 2022 in Shandong Province, China, Exemplify the Dominant Genotype. Genes 2024, 15, 849. https://doi.org/10.3390/genes15070849
Zhao Y, Han L, Sang H, Liu S, Yang P, Hou Y, Xiao Y. Swine Influenza Viruses Isolated from 2019 to 2022 in Shandong Province, China, Exemplify the Dominant Genotype. Genes. 2024; 15(7):849. https://doi.org/10.3390/genes15070849
Chicago/Turabian StyleZhao, Yuzhong, Lebin Han, Haotian Sang, Sidang Liu, Pingping Yang, Yanmeng Hou, and Yihong Xiao. 2024. "Swine Influenza Viruses Isolated from 2019 to 2022 in Shandong Province, China, Exemplify the Dominant Genotype" Genes 15, no. 7: 849. https://doi.org/10.3390/genes15070849
APA StyleZhao, Y., Han, L., Sang, H., Liu, S., Yang, P., Hou, Y., & Xiao, Y. (2024). Swine Influenza Viruses Isolated from 2019 to 2022 in Shandong Province, China, Exemplify the Dominant Genotype. Genes, 15(7), 849. https://doi.org/10.3390/genes15070849




