Abstract
Background: Panfolliculoma (PF) is a relative rare, benign follicular tumor comprised of all elements of the hair follicle, with a limited number of cases reported in the literature. Articles on the demographic and pathological analysis of this tumor are also lacking. Case presentation: In this report, we presented an unusual case of cystic PF on the back of a 14-year-old male, and we performed a thorough literature review and analysis of all previously reported cases. Conclusions: PF is a rare benign follicular neoplasm with characteristic differentiation toward all components of the hair follicle. In our analysis, PF occurred most frequently on the head region and was usually diagnosed in middle- to old-aged persons, with cystic PF being the most common histologic subtype. Since this tumor is rare and easily misdiagnosed as other tumors both clinically and pathologically, a thorough understanding of the histopathological manifestations and differential diagnosis of this tumor is necessary for both dermatologists and pathologists.
1. Introduction
Panfolliculoma (PF) is a benign follicular neoplasm with differentiation toward all components of the hair follicle, including both upper segment (infundibulum and isthmus) and lower segment (stem, bulb and hair matrix). To the best of our knowledge, since the first description by Ackerman et al. [1] in 1993, less than 50 cases of PF have been described in the medical literature [2,3,4,5,6,7,8,9,10,11,12,13,14,15,16,17,18,19].
Clinically, the tumor usually presents as a slow-growing nodule, resembling a basal cell carcinoma or cyst. Moreover, most of these cases occurred on the head region and were diagnosed after age 20. Based on the patterns on histopathology, Shan and Guo [11] classified PF into three subtypes: nodular, superficial and cystic. Additionally, a variant with endophytic architecture resembling a hair follicle was reported thereafter [15].
Here, we reported a rare case of cystic PF with unusual age at diagnosis, lesion size, clinical appearance and anatomic location. In addition to this case report, we also performed a comprehensive review of other reported cases of PF in an effort to summarize the characteristics of this tumor.
2. Case Report
A 14-year-old male, without personal or family history, visited our dermatologic clinic with a huge skin tumor on his middle back which had been present for a few months, which had become painful and swelling for one week prior to his visit. Physical examinations revealed a large subcutaneous tumor, measuring 6 × 4 cm, with two overlying protruding, crusted and erythematous nodules with umbilicus-like openings (Figure 1a). Discharge from these umbilicus-like openings was also noted. An inflamed follicular cyst was diagnosed at first. Incision with drainage was performed several times and the result of bacterial culture was staphylococcus aureus. Oral antibiotics (cephalexin, doxycycline and clindamycin) and topical antibiotics (gentamicin cream and spersin ointment) were prescribed during the following months. The swelling and pain of the lesion gradually improved. Total excision of the tumor was arranged 6 months later after the first visit.
Figure 1.
(a) A huge subcutaneous tumor with two overlying nodules and umbilicus-like openings on the back. (b) The well-circumscribed tumor showed a central keratin-filled cystic structure with opening to skin surface (H&E, 10×). (c) The cystic wall was composed of epithelial buddings of basaloid cells, hair-follicle-like structures (black arrows) and microcysts (white arrows) (H&E, 40×). (d) Microcysts lined by epithelial cells with granular layer and basket-wave corneocytes (black arrows); germinative cells with peripheral palisading (white arrows) (H&E, 200×). (e) Areas showing cells with eosinophilic trichohyalin granules (black arrows) and associated blue-gray corneocytes (white arrow heads); layers of clear cells (white arrows); eosinophilic shadow cells (black arrow heads) (H&E, 200×).
Microscopic examination revealed a well-circumscribed, dermal-based neoplasm, which showed one dilated, pore-like, keratin-filled cystic structure (Figure 1b) with emanating lobules of basaloid cells, hair-follicle-like structures (Figure 1c, black arrows) and occasional microcysts (Figure 1c, white arrows). Lobular dermal aggregates of basaloid cells with multiple connections to the epidermis were also noted (Figure 1b). The intervening stroma showed fibroblast-like cells and lymphocyte infiltrates (Figure 1c).
Within the wall of the main cystic structure, findings indicating differentiation into all the hair follicle components were detected: microcysts encircled by squamous epithelium with keratohyalin granules and corneocytes in a laminated and basket-weave array (Figure 1d, black arrows), representing infundibular differentiation; solid aggregates of follicular germinative cells with peripheral palisading (Figure 1d, white arrows); areas composed of cells with eosinophilic trichohyalin granules (Figure 1e, black arrows) and associated blue-gray corneocytes (Figure 1e, white arrow heads), indicating inner root sheath differentiation; cells with clear cytoplasm at the periphery of the trichohyalin-rich cells (Figure 1e, white arrows), resembling outer root sheath differentiation; and “shadow cells” resembling hair differentiation were also noted (Figure 1e, black arrow heads). Clefting artifact or myxoid stromal change were not evident.
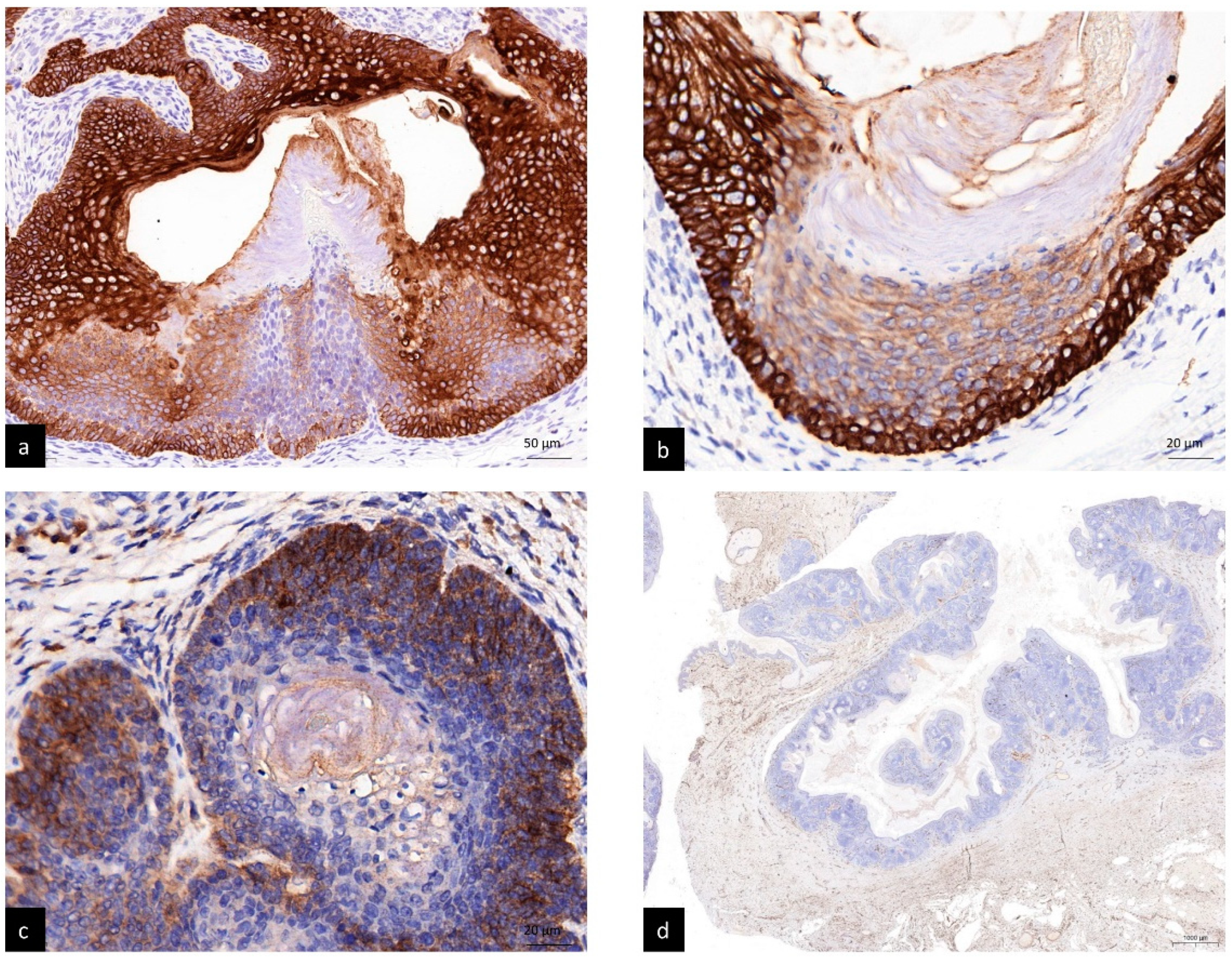
Immunohistochemical staining revealed that antibodies to 34βE12 (Figure 2a) and CK 5/6 (Figure 2b) stained most of the follicular structures in the tumor with infundibular, isthmus and outer root sheath differentiation, except for matrical cells, while BerEP4 staining highlighted germinative cells (Figure 2c). CD34 stained fibrotic stroma but not tumor cells (Figure 2d).
Figure 2.
(a) 34βE12 stained most of the follicular structures in the tumor with infundibular, isthmus and outer root sheath differentiation, except for matrical cells (200×). (b) CK5/6 stain revealed similar results to 34βE12 stain (400×). (c) BerEP4 stained germinative cells (400×). (d) CD34 stained fibrotic stroma but negative in tumor cells (10×).
3. Methods
A search of PubMed and Google Scholar was performed on 31 March 2022 using the keyword “panfolliculoma” to identify reported cases of PF. References were also reviewed for additional case reports not previously identified. Demographics, clinical impressions and accompanying histopathology were abstracted from the manuscripts. Empty data were excluded from the analysis.
Summative data analysis was performed with the inclusion of the aforementioned case reports or case series included in the dataset. Data are presented as mean± standard deviation.
4. Results
Review of the literature identified 18 manuscripts describing 43 individual cases of panfolliculoma, with the present case now accounting for a 44th patient (Table 1). Among these cases, one case reported in the manuscript by Schirren et al. in 1996 [2] had no clinical data and was excluded from our data analysis. Additionally, not all of the data points were possible to abstract from every case.
Table 1.
The Clinical and Histopathologic Parameters of 44 case of PF.
Among 43 cases of PF enrolled for data analysis, the ages of patients ranged from 14 years old to 88 years old. However, a predisposition to occurrence in two age groups, i.e., between 50 and 59 years old (11/43) and between 70 and 79 years old (10/43), was noted (Figure 3a). The mean patient age at diagnosis was 56.6 ± 19.2 years. There was slight male predominance (Male:female = 1.4:1). Most of the lesions were located on the scalp and face region (65%), followed by extremities (23%) and trunk (12%) (Figure 3b).
Figure 3.
(a) Patient age at diagnosis. (b) Involved region of the body. (c) Subtypes of panfolliculoma.
Clinically, these lesions typically presented as slow-growing nodules, with their sizes ranging from 0.3 cm to 6 cm in diameter. Among 40 reported cases with available clinical impressions data, these tumors were usually clinically diagnosed as other benign or malignant skin lesions, with cyst (16/40), basal cell carcinoma (14/40) and squamous cell carcinoma (7/40) being the most frequent diagnoses. Other rare clinical impressions included wart, nevus, seborrheic keratosis, actinic keratosis, foreign body, comedone, cylindroma, poroma, lipoma, atheroma, angiolymphoid hyperplasia with eosinophilia and amelanotic melanoma (Table 1).
Based on the microscopic findings of 42 cases (1 case was excluded due to microscopic description being unavailable [3]), 11 cases (26%) were nodular subtype (NPF), 12 cases (29%) were superficial subtype (SPF), 16 cases (38%) were cystic subtype (CPF), and 3 cases (7%) were another variant (endophytic) (Figure 3c).
5. Discussion
PF is a unique, rare, benign follicular neoplasm. It presents with differentiation toward all parts of the hair follicle (infundibulum, isthmus, stem, bulb and hair matrix). According to the data we collected from the literature review, since Ackerman [1] first described these tumors in 1993, there were only 44 cases reported to date. PF occurs in both sexes with slight male predominance. The age distribution is wide, but with a tendency to occurrence in middle- and old-aged patients. Incidentally, our patient is the youngest case (14 years old) of PF cases reported in the literature so far. The tumor can be located on any skin site of the body, with scalp and face being the most commonly affected regions. It usually presents as a slow-growing nodule or mass, which is frequently clinically diagnosed as a cyst, basal cell carcinoma or squamous cell carcinoma.
With respect to histopathological patterns, the classification of PF into three major subtypes was proposed by Shan and Guo [11]. These subtypes include nodular, superficial and cystic. Nodular PF (NPF) was defined as predominantly solid aggregates in the dermis; superficial PF (SPF) was defined as characteristic neoplastic aggregates within the epidermis and/or superficial dermis; and cystic PF (CPF) was defined as characteristic aggregates localized within or emanating from the cyst wall. We noticed that cystic subtype (43%) was the most common variant reported in the literature, which was followed by the superficial subtype (29%). This observation was different from that of the 19 cases reported by Shan and Guo [11], with superficial subtype (9/19) being the most common variant in their cases, followed by the cystic subtype (7/19).
As the histologic findings described in our case, CPF exhibits a cystic structure located in the dermis, with the cyst wall lined by stratified squamous epithelium and cellular aggregates within or emanating from the cystic structure. The aggregates were composed of all components of the hair follicle, including follicular germinative cells, matrical cells and shadow cells, indicative of hair differentiation; cells with trichohyalin granules, indicative of inner root differentiation; clear cells resembling outer root differentiation; and different types of corneocytes.
The histological differential diagnosis of CPF includes epidermal cyst, dilated pore of Winer, cystic trichoblastoma, pilomatricoma, pilar sheath acanthoma and trichofolliculoma. Among these skin lesions, trichofolliculoma is the main differential diagnosis of CPF. It also reveals differentiation toward all components of a hair follicle, but with more advanced and mature follicular differentiation than CPF.
Although not essential for the diagnosis of PF, immunohistochemical staining highlights different components of the hair follicle and provides better identification of follicular differentiation. The 34βE12 antibody stains the infundibular and isthmic keratinocytes, CK 5/6 stains the outer root sheath and BerEP4 highlights germinative cells, while CD 34 stains cells with trichilemmal keratinization and perifollicular fibrous tissue [4,5]. However, in our case, CD34 stained fibrous stroma but not the tumor cells. This might be explained by the research performed by Poblet et al. [20], which pointed out that, in the typical anagen human follicle, CD34 immunoreactivity was detected only at the outermost layer of the outer root sheath, below the bulge zone, whereas the outer root sheath above the attachment zone of the arrector pili muscle was CD34-negative stained. In other words, not all of the hair follicle cells with outer root sheath differentiation had CD34-positive staining.
Fukuyama et al. [18] conducted an immunohistochemical analysis using a panel of antibodies to assess the global distribution of different hair follicle components within CPF, and attempted to provide insight into the pathogenesis. Expression of cytokeratin (CK)10, CK13, CK14, CK15, AE 13 and EpCAM within the lesion supported the differentiation of all epithelial lineages of the hair follicle. Fibroblastic dermal cells were distributed preferentially near CK15-negative epithelium or CK13-positive hair follicle-like structures, suggesting a role for epithelial–mesenchymal interactions in CPF pathogenesis.
Even if the pathogenesis of PF has been proposed, we do not know enough about whether PF is hereditary. As in our case, most of the published cases of PF had no family history. However, Estrada-Castañón et al. [17] reported a female patient with similar lesions in the same location as her daughter. Further genetic studies should help us understand whether there is a genetic predisposition to the disease.
In conclusion, PF is a rare, benign follicular neoplasm with characteristic differentiation toward all components of the hair follicle. The tumor frequently occurs in the head region and is usually diagnosed in middle- and old-aged persons, with a slight male predominance. Among these tumors, cystic PF is the most common subtype. Immunohistochemical analysis of the tumor not only provides better identification of follicular differentiation, but also provides a hint about the pathogenesis of this unique tumor.
Author Contributions
Conceptualization, S.-J.J., K.-T.W. and F.-J.L.; methodology, S.-J.J.; validation, F.-J.L.; writing—original draft preparation, S.-J.J.; writing—review and editing, S.-J.J.; supervision, K.-T.W. and F.-J.L. All authors have read and agreed to the published version of the manuscript.
Funding
This research received no external funding.
Institutional Review Board Statement
The study was conducted in accordance with the Declaration of Helsinki, and approved by the Institutional Review Board of Chi Mei Medical Center (protocol code 11106-E02).
Informed Consent Statement
Informed consent was obtained from the patient involved in the study.
Conflicts of Interest
The authors declare no conflict of interest.
References
- Ackerman, A.B.; de Viragh, P.A.; Chongchitnant, N. Neoplasms with Follicular Differentiation; Lea & Febiger: London, UK, 1993. [Google Scholar]
- Schirren, C.G.; Rutten, A.; Plewig, G. Panfolliculoma. Clinical and immunohistochemical findings in 4 cases. Hautarzt 1996, 47, 610–615. (In German) [Google Scholar] [CrossRef] [PubMed]
- Marini, M.A.; Starck, F.; Duhm, G.; Baldrich, M.A.; Magariños, G. Panfolliculoma: Case presentation. Arch. Argent. Dermatol. 2006, 56, 71–73. (In Spanish) [Google Scholar]
- Hoang, M.P.; Levenson, B.M. Cystic panfolliculoma. Arch. Pathol. Lab. Med. 2006, 130, 389–392. [Google Scholar] [CrossRef] [PubMed]
- Huang, C.Y.; Wu, Y.H. Panfolliculoma: Report of two cases. Dermatol. Sín. 2010, 28, 73–76. [Google Scholar] [CrossRef]
- Harris, A.; Faulkner-Jones, B.; Zimarowski, M.J. Epidermal panfolliculoma: A report of 2 cases. Am. J. Dermatopathol. 2011, 33, e7–e10. [Google Scholar] [CrossRef] [PubMed]
- Ruiz-Villaverde, R.; Elosegui-Martinez, F.; Luque-Barona, R. Panfolliculoma, an unusual cutaneous adnexal neoplasm. Eur. J. Dermatol. 2011, 21, 450–451. [Google Scholar] [CrossRef] [PubMed]
- Kacerovska, D.; Michal, M.; Kazakov, D.V. Panfolliculoma with sebaceous differentiation: A case report. Am. J. Dermatopathol. 2012, 34, e90–e93. [Google Scholar] [CrossRef] [PubMed]
- Idriss, M.H.; Khalil, A.; Long, W.; Elston, D.M. Epidermal panfolliculoma: An adnexal proliferation with advanced follicular differentiation confined to the epidermis. J. Cutan. Pathol. 2013, 40, 409–412. [Google Scholar] [CrossRef] [PubMed]
- Alkhalidi, H.S.; Alhumaidy, A.A. Cystic panfolliculoma of the scalp: Report of a very rare case and brief review. Indian J. Pathol. Microbiol. 2013, 56, 437–439. [Google Scholar] [CrossRef] [PubMed]
- Shan, S.J.; Guo, Y. Panfolliculoma and histopathologic variants: A study of 19 cases. Am. J. Dermatopathol. 2014, 36, 965. [Google Scholar] [CrossRef] [PubMed]
- Patel, M.B.S.; Jacobson-Dunlop, E.; Elston, D.M. An unusual cystic lesion on the helix. Indian Dermatol. Online J. 2014, 5, 326–327. [Google Scholar] [PubMed]
- Neill, B.; Bingham, C.; Braudis, K.; Zurowski, S. A rare cutaneous adnexal neoplasm: Cystic panfolliculoma. J. Cutan. Pathol. 2016, 43, 1183–1185. [Google Scholar] [CrossRef] [PubMed]
- Nishikawa, S.; Hamasaki, Y.; Otani, T.; Izumi, M. A Case of Panfolliculoma. Nishi. Nihon. Hifuka. 2016, 78, 621–624. (In Japanese) [Google Scholar] [CrossRef]
- Terushkin, V.; Meehan, S.; Shahabi, L.; Brinster, N. Panfolliculoma with an endophytic architecture resembling a hair follicle: A report of three cases. Cutan. Pathol. 2016, 43, 1074–1076. [Google Scholar] [CrossRef] [PubMed]
- Parvinnejad, N.; Orr, C.; Wang, A.; Hurlbut, D. Panfolliculoma: Report of a rare cutaneous neoplasm and literature review. Cana. Dian. J. Pathol. 2017, 9 (Suppl. 9), 26. [Google Scholar]
- Estrada-Castañón, R.; Vega-Memije, M.E.; Cuevas-González, J.C.; Chávez-López, M.G. Panfolliculoma: A Clinical Case Report. Int. J. Trichol. 2017, 9, 187–189. [Google Scholar]
- Fukuyama, M.; Sato, Y.; Yamazaki, Y.; Ohyama, M. Immunohistochemical dissection of cystic panfolliculoma focusing on the ex pression of multiple hair follicle lineage markers with an insight into the pathogenesis. J. Cutan. Pathol. 2017, 44, 861–866. [Google Scholar] [CrossRef] [PubMed]
- Rivera, V.; Campos, M. Cystic panfolliculoma: Case report. Med. Leg. Costa Rica 2018, 35, n.2. (In Spanish) [Google Scholar]
- Poblet, E.; Jiménez, F.; Godínez, J.M.; Pascual-Martín, A.; Izeta, A. The immunohistochemical expression of CD34 in human hair follicles: A comparative study with the bulge marker CK15. Clin. Exp. Dermatol. 2006, 31, 807–812. [Google Scholar] [CrossRef] [PubMed]
Publisher’s Note: MDPI stays neutral with regard to jurisdictional claims in published maps and institutional affiliations. |
© 2022 by the authors. Licensee MDPI, Basel, Switzerland. This article is an open access article distributed under the terms and conditions of the Creative Commons Attribution (CC BY) license (https://creativecommons.org/licenses/by/4.0/).


