Abstract
This study assessed the possible pharmacological effects of Chlorella vulgaris (Cg), Spirulina platensis (St), and silymarin (Sl) against thioacetamide (TA)-induced cardiotoxicity in rats, with a focus on their antioxidant, cardioprotective, and anti-inflammatory properties. The following is the random grouping of sixty male rats into six groups of ten animals each: the control (negative control), TA-intoxicated group (positive control; 300 mg/kg body weight (BW)), Sl + TA group (100 mg Sl/kg BW + TA), St + TA group (400 mg St/kg BW + TA), Cg + TA (400 mg Cg/kg BW + TA), and St + Cg + TA group (400 St + 400 Cg mg/kg BW + TA) were all administered for 30 days. At the start of the study, groups 2 through 6 were administered TA intraperitoneally at a dosage of 300 mg/kg BW for two consecutive days, with a 24 h gap between each dose, to induce cardiac damage. Blood samples were obtained to measure hematological parameters and perform biochemical assays, including lipid profiles and cardiac enzymes. For histopathology and immunohistochemistry determination, tissue samples were acquired. The current findings showed that TA injection caused hematological alterations and cardiac injury, as evidenced by greater serum levels of troponin I, creatine kinase-MB, and total creatine kinase (p < 0.05), as well as significantly elevated serum malondialdehyde and decreased serum total antioxidant capacity (p < 0.05) concentrations. Moreover, an increase in blood low-density lipoprotein and total cholesterol concentration (p < 0.05) was recorded in the TA group. There were alterations in the heart tissue’s histological structure of the TA group compared to the control ones. These alterations were characterized by vacuolar degeneration of myocytes, loss of cross striation, coagulative necrosis, and fibrosis of interstitial tissue, which was ameliorated by the supplementation of SI, St, and Cg. The TA-intoxicated group showed weak expression of B-cell lymphoma protein 2 (p < 0.05) and strong immunoreactivity of tumor necrosis factor-α and B-cell lymphoma protein 2-associated X (p < 0.05). However, the groups receiving Sl, St, and Cg experienced the opposite. The administration of Sl, St, Cg, and St + Cg along with TA significantly improved and restored (p < 0.05) erythrogram indices, including RBCs, hemoglobin, total leukocytic count, lymphocytes, and monocyte, to the normal control values. The administration of Sl, St, and Cg alleviated the cardiotoxicity caused by TA via reducing oxidative stress, inflammatory markers, and apoptosis in heart tissue. In summary, the current findings suggest that the treatment with Sl, St, and Cg was beneficial in ameliorating and reducing the cardiotoxicity induced by TA in rats.
1. Introduction
Acute and long-term exposure to hazardous chemicals has been associated with higher rates of significant harm to many organs [1]. Thioacetamide (TA) has been widely used in many industrial sectors as an organic solvent as well as in the manufacture of catalysts, stabilizers, polymerization inhibitors, electroplating additives, photographic agents, insecticides, crosslinking agents, rubber auxiliaries, and more [2]. TA has potential use in drug production in addition to its industrial and environmental uses. Interestingly, TA plays an important part in antithrombotic medications, including thiazole, a non-steroidal anti-inflammatory medicine, and nizatidine, a histamine antagonist [3]. Although TA is well known for its severe hepatotoxicity, experimental research has shown that animals exposed to TA also exhibit brain dysfunction and renal epithelial damage [2,3]. Likewise, previous findings have shown that exposure to TA can have various harmful consequences on the heart, bones, bone marrow, and digestive system [3]. Studies have demonstrated that short-term TA injections cause negligible cardiac injury in experimental animals [4]. The concentration of TA and the body’s metabolic systems’ neutralization of harmful metabolites are two possible explanations for this phenomenon. Nonetheless, more recent studies have shown that giving experimental animals larger doses of TA over longer periods might cause cardiovascular injury [2]. Because of the role played by gut microbiome Toll-like receptor (TLR) signaling, there is a strong association between the activation of vascular endothelial cells and the development of acute liver failure brought on by TA [5]. This complex interaction emphasizes how important vascular endothelial cell activation is to the pathophysiology of acute liver failure [5]. Additionally, lipid peroxidation, production of reactive oxygen species (ROS), and detrimental effects on the antioxidant–oxidant system are the hallmarks of heart injury [2,3]. Certain studies indicate that oxidative stress plays a major role in the toxicity induced by TA [2,3]. Therefore, several antioxidant therapies have been suggested to reduce oxidative stress [6,7]. Recently, plant-based remedies have gained importance alongside more contemporary techniques. Technology’s advancement and the harmful side effects of pharmaceutical drugs used in medical treatment have raised interest in nutraceuticals and made it possible to study the bioactive substances of these plants.
One of the novel approaches to treating and preventing cardiovascular disease is including algae supplements in foods [8]. Algae is a significant source of novel therapeutic medicinal compounds. Cardio-protective substances are among the main and well-established uses of algae components. Microalgae are one of the best sources of polysaccharides, proteins, vitamins, phycobiliproteins, carotenoids, and sterols [9]. Chlorella vulgaris (Cg) contains 45% protein, 20% fat, 20% carbohydrates, 10% minerals and vitamins, and 5% fiber [10]. In addition to protein, fat, minerals, and other vitamins, Cg is a rich source of antioxidants, including vitamins C and E, polyphenols, omega-3 and 6, docosahexaenoic acids, eicosatetraenoic, lycopene, lutein, and carotenoids [9,10]. As a result, there is growing interest in using this supplement to control the lipid profile, blood sugar level, inflammation, and oxidative stress. Certain studies suggest that administrating Cg may help reduce inflammation and oxidative damage [10]. Supplemental Cg has immune-modulating, antioxidant, and lowering effects on blood sugar and cholesterol levels; thus, it has been suggested to have cardioprotective effects [10,11]. The cardioprotective effect of cg was documented to be owing to its antihypertensive properties through the modulation of endothelial function, noradrenalin, nitric oxide release, and anti-inflammatory and antioxidant properties [11].
St is a naturally occurring blue-green spiral filamentous alga that has been shown to have a high nutritional value and elevated antioxidant capacity [12]. Numerous investigations have shown that St offers therapeutic benefits, including anti-inflammatory, hypolipidemic, antioxidant, antidiabetic, and brain-protective properties [13,14,15,16]. Remarkably, several studies revealed that St contains various natural pigments, including C-phycocyanin, diadinoxanthin, diatoxanthin, and β-carotene, that have strong scavenging activity [13,14,15]. The benefits of Spirulina on a range of cardiovascular and cerebrovascular diseases are ascribed to its capacity to avert or mitigate cardiovascular risk factors, including hypertension, hyperglycemia, and hyperlipidemia [15], because of its antioxidant potential. The antioxidant activity of St could be due to its high quantity of phenolic hydroxyl groups, which is responsible for its capacity to scavenge radicals. Antioxidants, including polyphenols, have redox properties that allow them to quench singlet and triplet oxygen, reduce proxygene, and absorb and neutralize free radicals [16]. Additionally, supplementing with Spirulina has led to a reduction in endothelial damage markers, as well as an increase in glutathione peroxidase activity and levels of oxidized glutathione, indicating that Spirulina has the potential to improve endothelial function and that its antioxidant merits may help reduce cardiovascular problems [15].
Silymarin (Sl), Silybum marianum L. Herb, known in English as Mariendistel and Mary Thistle, is a unique herb found in Germany [17]. Silymarin consists of a mixture of four flavonolignans, silibinin (silybin A, B, and iso silybin A and B), isosilichristine, silychristine, silydianine, and one flavonoid, taxifolin, and silymarin, which are among the five main compounds of Sl. Silybin is the main component, approximately 60% to 70%, and it is believed to have the utmost biological activity. Sl has hepatoprotective and antioxidant activities since it can prevent the production of free radicals when toxic compounds are metabolized [18]. It has been observed that Sl shields rat cardiac tissues from oxidative stress and myocardial infarction brought on by ischemia–reperfusion through a variety of mechanisms, including anti-inflammatory, enhanced antioxidant defense systems, free radical scavenging, membrane stabilization, iron-chelating action, and prevention of apoptosis [19], thereby preventing the loss of membrane integrity and maintaining the membrane’s stability.
Hence, our study aimed to evaluate the cardioprotective effect of Sl, St, and Cg on TA-induced cardiotoxicity in male rats by determining changes in cardiac histopathology, cardiac enzymes, blood biochemical analyses, and immunohistochemistry of inflammatory markers. We hypothesized that these nutraceuticals could induce cardioprotective effects through their antioxidant and anti-inflammatory properties.
2. Materials and Methods
2.1. Materials
Thioacetamide (TA) was provided by The SDFCL company, India (CASR NO (62-55-5), with a purity of 99%. The sample SOP number for this product was SDFCL-TAR-SWP-GEN-007. Silymarin (Silybum marianum L.) was obtained from the Faculty of Pharmacy, Tanta University, Egypt. The phytochemical composition of Sl is presented in Table 1. St and Cg were obtained as a pure powder from the Algal Biotechnology Unit, National Research Centre (Giza, Egypt). The phytochemical composition of Cg was recently published by El-Gendy et al. [20]. The phytochemical composition of St is shown in Table 2. The required daily dose of algae is dissolved in water to obtain a suspension form on the day of administration to rats using an ultrasonic homogenizer (Biologics Inc., Manassas, VA, USA) according to El-Gendy et al. [20]. The total phenolic and flavonoid contents of St and Cg were accomplished following the Folin–Ciocalteu method [21] and the method of Kim et al. [22], respectively. Phenolic and flavonoid compounds of St and Cg extract were performed using an HPLC apparatus (Agilent Series 1100, Agilent, VA, USA) according to the methods of Lin et al. [23] and Kuntic et al. [24]. The HPLC system comprised two LC-pumps (series 1100), an auto-sampling injector, a solvent degasser, a UV/Vis detector (tuned at 250 nm for phenolic acids and 360 nm for flavonoids), and ChemStation software (version 11). C18 column (125 mm × 4.60 mm, 5 µm particle size) was used for the study. Using a gradient mobile phase consisting of two solvents, Solvent A (methanol) and Solvent B (acetic acid in water; 1:25), phenolic acids were separated. For the first three minutes of the gradient program, 100% B was the concentration. Eluent A was then added at a rate of 50% for the next five minutes. Then, for the next two minutes, the concentration of A was raised to 80%, and for the next five minutes, the detection wavelength was set at 250 nm. Using an isocratic elution (70:30) procedure, flavonoids were separated using a mobile phase consisting of two solvents: acetonitrile (A) and 0.2% (v/v) aqueous formic acid (B). The separation was carried out at a temperature of 25 °C with a solvent flow rate of 1 mL/min. There were 25 μL injection volumes.
Table 1.
HPLC fractions of phenolic and flavonoid contents of Sl.
Table 2.
HPLC fractions of phenolic and flavonoid contents of St.
2.2. Rats and Trial Design
Sixty male albino Wistar rats, weighing 156.7 g ± 3.4 g (mean ± SE), were acquired from the Laboratory Animal Colony (Giza, Egypt). Rats received an appropriate meal (AL Majd Company, Egypt) and ad libitum water and were kept in basic sanitary conditions in polypropylene cages during the trial. The temperature was maintained at 20–25 °C with a 12 h light/dark cycle and regular ventilation. Animals were acclimated for two weeks before the start of the study. All experimental procedures and methods were approved by the Research Ethics Committee of the Faculty of Veterinary Medicine, University of Sadat City, Egypt. Animal care complied with the guidelines and followed the Animal Care House’s rules (VUSC-018-1-24). Animals were randomly allocated into 6 groups of 10 rats each, as shown in Table 3. The experimental duration was 30 days.
Table 3.
The experimental design.
Group 1, the control negative group, received distilled water orally for 30 days and normal saline at a dose of 1 mL intraperitoneally (IP) on the first two days of the experiment. Group 2, the TA group, a control positive group, was intoxicated with TA in a dose of 300 mg/kg body weight (BW) during the first two days of the experiment [25]. Group 3, the Sl + TA group, received Sl orally in a dose of 100 mg/kg BW for 30 days and TA IP in a dose of 300 mg/kg BW during the first two days of the experiment [26]. Group 4, the St + TA group, was given St in a dose of 400 mg/kg BW for 30 days and received TA IP at a dose of 300 mg/kg BW during the first two days of the experiment [27]. Group 5, the Cg + TA group, received Cg orally at a dose of 400 mg/kg BW per day for 30 days and TA IP in a dose of 300 mg/kg BW in the first two days of the experiment [28]. Group 6, the St + Cg + TA group, received St and Cg orally at doses of 400 + 400 mg/kg BW for 30 days and TA IP at a dose of 300 mg/kg BW in the first two days of the experiment.
2.3. Sampling
In this experiment, a weight measuring scale was used to weigh the rats before the start of the trial and on the day of scarification. The body gain was calculated from the difference between the body weight at the beginning and the end of the experiment. Rats were starved for an entire night after the end of the trial to obtain blood samples. Five randomly chosen rats were given light ether anesthesia (Sigma Chemical Co., St. Louis, MO, USA), and blood samples were obtained from retro-orbital bleeding. Each blood sample was divided into three portions. The first portion was collected for hematological tests in a tiny, clean, labeled vial that contained EDTA. After the second portion of blood was collected, it was centrifuged at 3000 rpm for 15 min to separate the sera in plain, dry, sterile, and non-heparinized centrifuge tubes. The tubes were then allowed to clot. Before being subjected to biochemical analysis, the acquired sera samples were collected and stored individually in dry, clean bottles in a deep freezer at −20 °C. Once blood samples were taken, rats decapitated their necks to obtain a heart sample, and the heart samples were then preserved in 10% neutral formalin solution for immunohistochemical and histological investigations.
2.4. Hematological Analysis
Using an automated hematology analyzer and blood cell counter (Sysmex F-800, Tokyo, Japan), the whole blood samples were used immediately upon collection to estimate the following hematological parameters, including hemoglobin (Hb) concentration, red blood cells (RBCs), hematocrit value (PCV%), total leucocyte count (TLC), platelet counts (Plt), and differential leukocyte counts [29].
2.5. Biochemical Assay
The biochemical parameters of cardiac tissue indicators were determined in the collected serum samples following the manufacturer’s guidelines. Total creatine kinase (CK) and creatine kinase MB (CK-MB) for myocardial muscle (CK- MB, ThermoFisher Scientific, Waltham, MA, USA, Elisa Kit) were assessed according to Aujla and Patel [30]. Troponin I was estimated according to Jiang et al. [31] using an available commercial kit (Troponin, ThermoFisher Scientific, Waltham, MA, USA, Elisa Kit) and following the kit manufacturer’s instructions. Lipid profile, including total cholesterol (TC), triglyceride (TG), high-density cholesterol (HDL), and low-density cholesterol (LDL), was determined following Rahmani et al.’s [32] protocols.
2.6. Evaluation of Oxidant/Antioxidant Biomarkers
Oxidative stress is revealed by measuring total antioxidant capacity (TAC) using commercial kits (TA2513, ELISA kit, Biodiagnostic Co., Giza, Egypt), as described by Koracevic et al. [33]. Malondialdehyde (MDA), a marker of lipid peroxidation, was assessed using commercial kits (Cat No. ab118970, Abcam Co., Cambridge, UK) following the manufacturer’s instructions.
2.7. Histopathological Examination
Heart tissue samples were taken from the experimental groups, preserved in 10% neutral-buffered formalin, cleaned, dried, and embedded in paraffin. Hematoxylin and Eosin (H&E) were used to stain the paraffin-embedded blocks after they were sectioned at a thickness of five microns [34]. Cardiac tissue lesions were graded as having no changes (0), mild changes (1), moderate changes (2), and severe alterations (3). The grading was then calculated as a percentage as follows: mild changes, moderate changes, and severe changes [35].
2.8. Immunohistochemistry
The immunohistochemistry procedure was performed using the guidelines provided by Shaaban et al. [36]. After being deparaffinized in xylene, tissue pieces were rehydrated in various alcohol grades. The sections were pretreated with a pH 6 citrate buffer for 20 min to retrieve the antigen. Rabbit polyclonal anti-Bcl-2 antibody at a concentration of 1:50 (ab59348; Abcam, Cambridge, UK), rabbit monoclonal anti-Bax antibody [E63] at a concentration of 1:250 (ab32503; Abcam, Cambridge, UK), and anti-TNF-α (ab270264; 1:100 dilution rate, Abcam, Cambridge, UK) were incubated on sections for two hours in a humidified chamber. Goat anti-rabbit IgG H&L (HRP; ab205718; Abcam, Cambridge, UK) was employed as the chromogen for the sections’ incubation, and 3,3′-diaminobenzidine tetrahydrochloride (DAB, Sigma) was the source of the antibody. The slides were then mounted with DPX and counterstained with hematoxylin. To make the negative control slides, PBS was used to replace the primary antibodies. Each group’s five tissue slices had five different Bax, Bcl-2, and TNF-α quantitative immunoreactivities assessed. Using a high-power microscopic field (X 400), immunoreactivity was examined in ten microscopical fields per section. Color deconvolution picture J 1.52 p software (Wayne Rasband, National Institutes of Health, Bethesda, MD, USA) was used to estimate the percentage of positively stained cells (%) [37].
2.9. Statistical Analysis
Data were checked for normality by the Kolmogorov–Smirnov and Levene’s tests before statistical analysis. Data were subjected to a one-way ANOVA using IBM SPSS software version 21, and Duncan’s multiple comparison tests determined significant variations between the treatment groups (p < 0.05). The experimental unit was the rat for all measurements. Statistical significance was defined at a probability of p < 0.05, and values were presented as means ± standard error (SE).
3. Results
3.1. Animals Health Condition, Body Weight, and Weight Gain
Rats of the control, Sl-, St-, and Cg-treated groups did not show any clinical manifestations. Conversely, dullness, depression, reduced feed intake, lethargy, rough hair coat, and dehydration were the observed signs of the TA-treated group. BW and body gain showed a significant decrease in the TA-treated group (p < 0.05) in comparison to the control and the other treatment groups (Sl + TA, St + TA, Cg + TA, and St + Cg + TA) (Figure 1 and Figure 2).
Figure 1.
Effect of TA, Sl, St, and Cg on final body weight (g) of the experimental rats. Values are represented as means ± SE, n = 10. Different letters (a, b, c) indicate statistical significance at p < 0.05. TA, thoiacetamide; Sl, silymarin; St, Spirulina platensis; Cg, Chlorella vulgaris.
Figure 2.
Effect of TA, Sl, St, and Cg on body weight gain (g) of the experimental rats. Values are represented as means ± SE, n = 10. Different letters (a, b, c) indicate statistical significance at p < 0.05. TA, thoiacetamide; Sl, silymarin; St, Spirulina platensis; Cg, Chlorella vulgaris.
3.2. Blood Indices
The effects of the administration of Sl, St, Cg, and St + Cg with TA toxicity on erythrogram indicators are presented in Table 4. In contrast to the TA group, the supplementary groups could return the RBC and Hb levels to normal values (p < 0.001). On the other hand, there was a non-significant difference in PCV, MCV, MCHC, MCH, and PLTs among the treatment groups. Rats given TA had significantly lower erythrogram indices (p < 0.001) than the control group. Additionally, the TA-treated group had significantly higher neutrophil and monocyte counts than the other groups’ mean values (p < 0.05). In contrast, the control positive group had lower lymphocyte counts than the other groups’ mean values (p < 0.05). There were significant increases (p < 0.01) in TLCs and lymphocyte levels between the Sl, St, Cg, and St + Cg with TA toxicity groups and the TA group. However, rats intoxicated with TA exhibited a significant increase (p < 0.05) in N/L ratio compared to those of the control group and other groups (p < 0.05).
Table 4.
Hematological parameters (hemogram and leukogram) of male rats.
3.3. Cardiac Enzymes
The estimated concentrations of the three cardiac enzymes (total CK, CK-MB, and troponin I) in the experimental groups are displayed in Table 5. When comparing the TA-intoxicated group to the control group, there was a substantial (p < 0.05) increase in serum total CK, CK-MB, and troponin I activity. The total CK, CK-MB, and troponin I activity decreased to nearly normal levels in the Sl-, St-, Cg-, and St + Cg-treated groups compared to the control group.
Table 5.
The valued quantities of cardiac enzymes in the experimental groups.
3.4. Serum Lipid Profile
The effect of the administration of Sl, St, Cg, and St + Cg with TA toxicity rats on the serum lipid profile is presented in Table 6. There was a substantial rise in total cholesterol and LDL in the TA-intoxicated group compared to the control and other treatment groups (p < 0.05). In contrast, there was no difference in the treatment groups’ serum concentrations of triglycerides or total lipids. The TA-intoxicated group showed a significant decrease (p < 0.05) in the HDL level compared to the control and other treatment groups. Serum HDL concentrations were decreased in all treatment groups (p < 0.001) compared to the control group, with the TA-treated group exhibiting a more marked decline.
Table 6.
Serum lipid profile of experimental rats.
3.5. Serum Protein Levels
The effect of Sl, St, Cg, and St + Cg administration with TA toxicity on the serum protein profile of rats is shown in Table 7. Although there was a significant increase in total protein and globulin in the Sl-, St-, and Cg-treated groups when compared with the control and TA groups, there was a decrease in total protein, albumin, globulin, and A/G ratio in the TA-intoxicated group when compared with the control group. Additionally, the Sl-, St-, and Cg-treated groups had a lower A/G ratio compared with the control group (p < 0.01).
Table 7.
Serum protein parameters.
3.6. Serum Oxidant/Antioxidant Biomarkers
Table 8 shows the effects of Sl, St, Cg, and St + Cg treatment on serum oxidant/antioxidant indicators in rats exposed to TA toxicity. Serum TAC dramatically dropped in the TA-intoxicated group even though their MDA concentration was greater than that of the control and other treatment groups. The Sl-, St-, and Cg-treated groups showed a significant increase in TAC and a significant decrease in MDA (p < 0.05) in comparison to the TA-intoxicated group.
Table 8.
Serum oxidant/antioxidant biomarkers.
3.7. Histopathological Findings
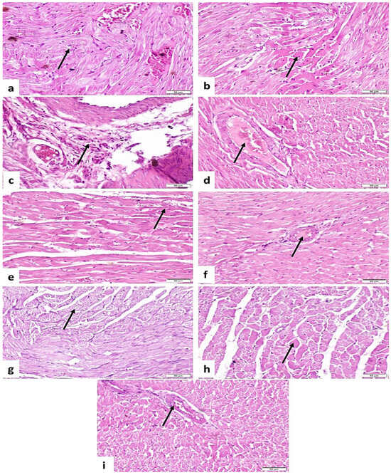
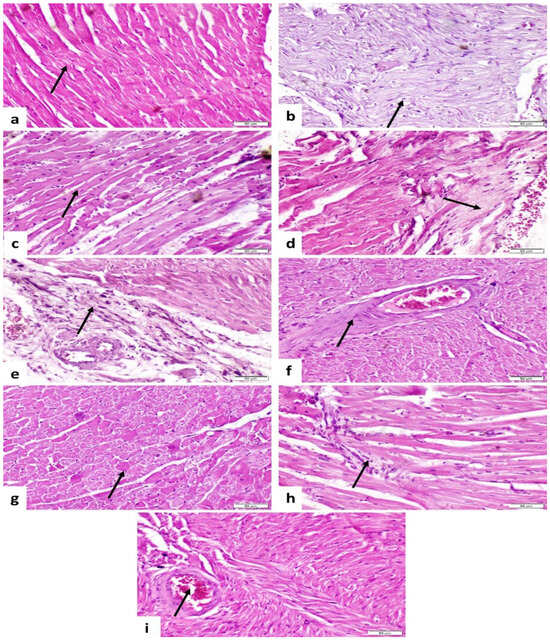
Concerning the control group, the heart showed normal histological structure (Figure 3a). The group treated with TA showed vacuolar degeneration of myocytes (Figure 3b) and also revealed Zenker’s necrosis of myocytes (loss of cross striation and sarcoplasm was more eosinophilic) (Figure 3c), fibrosis of interstitial tissue (Figure 3d), perivascular fibrosis and mononuclear inflammatory cells infiltration (Figure 3e), and thickening and hypertrophy of tunica media of interstitial blood vessels (Figure 3f). The SI + TA group showed necrosis of a few myocytes (Figure 3g), mild fibrosis, inflammatory cell infiltration (Figure 3h), and normal interstitial blood vessels (Figure 3i). The St + TA group showed mild improvement as vacuolar degeneration and necrosis of myocytes were moderate (Figure 4a,b); also, there was perivascular fibrosis, mononuclear inflammatory cells infiltration (Figure 4c), and mild thickness of interstitial blood vessels (Figure 4d). The Cg + TA group revealed necrosis of a few myocytes (Figure 4e) and nearly normal interstitial blood vessel thickness (Figure 4f). The St + Cg + TA group showed a noticeable amelioration, vacuolar degeneration, and mild necrosis (Figure 4g,h) with a normal vascular thickness (Figure 4i). Lesions in heart tissue were recorded and scored according to severity as shown in Table 9.
Figure 3.
Photomicrograph of rat heart (H&E-stained sections, scale bar 50 µm): (a) the control group showed normal histological structure of myocytes (arrow). (b) The group treated with TA showed vacuolar degeneration of myocytes (arrow). (c) The group treated with TA showed loss of cross striation and sarcoplasm was more eosinophilic (arrow). (d) The group treated with TA showed fibrosis of interstitial tissue (arrow). (e) The group treated with TA showed perivascular fibrosis and inflammatory cell infiltration. (f) The group treated with TA showed hypertrophy of the tunica media of blood vessels. (g) The SI + TA group showing necrosis of few myocytes (arrow); (h) the SI + TA group showing mild fibrosis and inflammatory cells infiltration (arrow); (i) the SI + TA group showing normal interstitial blood vessel (arrow).
Figure 4.
Photomicrograph of rat heart (H&E-stained sections, scale bar 50 µm): (a) the St + TA group had vacuolar degeneration of myocytes (arrow). (b) The St + TA group showed necrosis of myocytes (arrow). (c) The St + TA group showed perivascular fibrosis and inflammatory cell infiltration (arrow). (d) The St + TA group showed a mild thickness of interstitial blood vessels (arrow). (e) The Cg + TA group had a necrosis of a few myocytes (arrow). (f) The Cg + TA group had normal blood vessel thickness (arrow). (g) The St + Cg + TA group had mild vacuolar degeneration (arrow); (h) the St + Cg + TA group showed mild necrosis (arrow); (i) the St + Cg + TA group showed normal vascular thickness (arrow).
Table 9.
Histopathological lesion scoring in the heart of experimental groups.
3.8. Immunohistochemical Findings of Bax, Bcl-2, and TNF-α in Heart
The immunostaining expression of Bax, Bcl-2, and TNF-α area % in the heart tissue and Bax/Bcl-2 ratio are presented in Figure 5. The control group showed feeble immune expression of Bax and TNF-α and strong expression of Bcl-2 (Figure 6a) compared to other groups. The TA group showed strong immunoreactivity of Bax and TNF-α and weak expression of Bcl-2 (p < 0.05) compared to the control and other treatment groups (Figure 6b). The Sl + TA group showed weak expression of Bax and TNF-α and strong expression of Bcl-2 (Figure 6c). The St + TA group showed moderate expression of Bax, Bcl-2, and TNF-α (Figure 6d). The Cg + TA and St + Cg + TA groups showed mild expression of Bax and TNF-α and strong expression of Bcl-2 (Figure 6e,f).
Figure 5.
(a) Immunostaining area expression % of BAX protein in the heart of different groups. (b) Immunostaining area expression % of Bcl-2 protein in the heart of different groups. (c) Immunostaining area expression % of TNF-α in the heart of different groups. (d) BAX/Bcl-2 ratio in experimental groups. Data were expressed as mean ±SE, with different letters indicating significant differences at p < 0.05.
Figure 6.
Photomicrograph of rat heart (Bax-, Bcl-2-, and TNF-α-stained sections, scale bar 50 µm): (a) the control group showed weak immune expression of Bax and TNF-α and strong expression of Bcl-2. (b) The TA group showed strong immunoreactivity of Bax and TNF-α and weak expression of Bcl-2. (c) The SI + TA group showed weak expression of Bax and TNF-α and strong expression of Bcl-2. (d) The St + TA group showed moderate expression of Bax, Bcl-2, and TNF-α. (e) The Cg + TA had mild expression of Bax and TNF-α and strong expression of Bcl-2. (f) The St + Cg + TA group had mild expression of Bax and TNF-α and strong expression of Bcl-2.
4. Discussion
The basis for the toxic effect of TA on tissues, including the liver, the heart, the kidney, and the brain, is the initiation of oxidative stress, ROS production, and inflammation [2,3]. Our study investigated the cardioprotective benefits of Sl, St, and Cg against TA-induced cardiotoxicity via modulating the antioxidant, anti-inflammatory, and immunological activities of Sl, St, and Cg.
Our findings revealed a decline in BW and weight gain of rats who received TA, which may be due to the direct toxic influences of TA. The observed decrease in BW and weight gain in rats given TA was most likely caused by malnutrition brought on by the reduction in appetite, food intake and absorption, and gastrointestinal toxicity [38,39]. Also, it could be accredited to renal damage causing much loss of water, proteins, and salts, which results in weight loss and dehydration [40]. In this study, Sl, St, and Cg improved BW and weight gain that TA induced; these results are in line with those of Abd El-Ghany [38] who reported that Sl increased BW due to an enhanced gastrointestinal health condition. On the other hand, St + TA treatment reduced BW and weight gain compared to the control group, but it performed better than the TA-intoxicated group. Our results are consistent with those of DiNicolantonio et al. [40] and Sanayei et al. [41], who found that St and Cg decreased BW and weight gain because of a decrease in body fat mass and lipid profile, respectively.
The reduction in RBCs count in the TA rats may be ascribed to the action of TA on a hematopoietic approach, which is damaged through contact with TA and reduction in Hb concentration that results in an elevated demolition of RBCs or drop off in the expanse of RBCs synthesis. IP injection of TA induced acute cardiac injury with a decrease in the values of Hb, RBCs, and PCV [42]. Neutrophilia and lymphocytopenia were observed in the TA-treated group [43]. This might be explained by a weakening of the immune system brought on by tissue damage and acute toxicity that could be linked to TA exposure. The results of the current trial revealed that Sl, St, and Cg supplementation lessened the changes in hematological parameters caused by TA toxicity. These findings were consistent with Karagül et al. [44], who found that Sl improved blood parameters. Sl is rich in Vit. C and iron, which increase immunity and hematopoiesis levels, as reported by Khazaei et al. [45]. Furthermore, Abdel-Aziz et al. [46] reported that oral administration of St and Cg increased Hb, RBCs, PCV, and platelet values. This may allude to the possibility that St plays a significant role in erythropoiesis [46]. Furthermore, Cg has been shown to improve hemato-biochemical parameters [47]; this may be related to the proteinaceous components it has in its constituents, which can improve red blood cells. St and Cg are rich sources of nutrients, especially protein and essential amino acids [48], and are considered ironic plants, which have been documented to boost blood parameter levels [49].
In the present study, TA-treated rats showed a significant decrease in TP, albumin, and globulin levels with an increase in the A/G ratio compared to the other treatment groups. This finding is in line with Megahed et al. [50], who reported that TA resulted in a significant decline in TP, albumin, and globulin because oxidative stress and ROS produced by TA attack proteins, lipids, and DNA. This leads to hepatocyte damage, thus reducing TP and albumin production from hepatocytes [51]. Conversely, Sl, St, and Cg supplementation significantly improved TP, globulin, and albumin with a significant decrease in the A/G ratio when compared with those of the TA-treated group. Similarly, Eid et al. [52] found that Sl improved the levels of TP, globulin, and albumin in laying hens due to the fact that Sl improved liver health condition to produce TP. Ouedraogo et al. [53] stated that St resulted in an increase in TP and globulin with significant decreases in the A/G ratio and albumin. Also, Rahman et al. [54] reported that St significantly improved TP, globulin, and albumin with a reduction in the A/G ratio in catfish because St had a hepatoprotective effect and improved the health state of hepatocytes. In addition, Cg enhanced TP, albumin, and globulin in Tilapia fish due to improved liver function [55].
Compared to the liver, heart tissue is more susceptible to injury from ROS because it has a lower antioxidant defense and a greater rate of oxidative metabolism [19]. Moreover, given the role played by gut microbiome TLR signaling, there is a strong relationship between the stimulation of vascular endothelial cells and the development of acute liver failure brought on by TA [5]. This complex interaction highlights how important vascular endothelial cell activation is to the pathophysiology of acute liver failure [5]. TA induced cardiac and multi-organ damage, which is characterized by elevated TBARS levels and raised ROS production, which in turn are detrimental to cellular components such as proteins, lipids, and DNA. It can also affect the structure and functionality of cells [2,25]. In the current trial, TA administration caused a substantial elevation in serum cardiac enzyme (total CK, CK-MB, and troponin I) activities and MDA concentration but decreased serum TAC. These results are consistent with those reported by Kundu et al. [56], and they attributed these effects to the toxic organo-sulfur material of TA which is quickly converted to reactive components and ROS [25]. On the other hand, St, Cg, and Sl reduced serum levels of cardiac enzymes and MDA to nearly the normal values while increasing TAC levels. Singh et al. [57] found that Sl decreased cardiac enzymes such as troponin I, CK-MB, and total CK, which were elevated as a result of doxorubicin administration, suggesting the cardioprotective and antioxidant effect of Sl. Mirzaei et al. [58] observed that Sl improved Thiol and TAC, markers of antioxidant capacity, and decreased the MDA serum level. Phytochemicals of Sl were reported to neutralize the cytotoxic free radicals produced during ischemia–reperfusion injury, and Sl can preserve and stabilize the membrane, preventing it from losing its integrity [59], thereby shielding myocytes from oxidative damage. Sl contains flavonolignans (silybin A, B, silychristin, isosilybin A, B, silydianin, isosilychristin, and the flavonoids quercetin, taxifolin, and kaempferol) as its main ingredients, which have antioxidant capabilities [60].
Furthermore, St improved cardiac tissue and decreased cardiac enzymes such as troponin I and CK-MB in rats, as reported by Albtoosh et al. [61], because St guards the reliability of cardiac myocytes after being handled by TA. Attia et al. [62] found that St enhanced the level of TAC; in contrast, the level of MDA was decreased. St is a unique and concentrated source of nutrients that includes minerals, γ-linolenic acid, phycocyanin, vitamin E, β-carotene, proteins, and B-complex vitamins. Most of these elements have extremely high antioxidant potential and radical scavenging abilities, providing a defense against oxidative stress [63]. Consequently, Spirulina’s micronutrients and antioxidant components help to mitigate the oxidative stress brought on by TA toxicity. Abdelbaky et al. [10] and Barghchia et al. [11] stated that the cardioprotective effect of Cg may be owing to its anti-inflammatory and antioxidant effects. Moreover, Farag et al. [64] reported that Cg enhanced the TAC level but decreased the MDA concentration. Cg is a rich source of antioxidants that was reported to improve heart health status [11]. The antioxidant gift of Cg has been conveyed to its phenolic constituents identified with other functioning phytoconstituents, including lutein, catechins, caffeic acid, carotenoids, gallic acid, benzoic acid, rutin, and chlorogenic acid [11]. In the present study, the TA-treated rats showed a significant increase in TC and LDL and a significant decrease in HDL; these results are in line with Ebaid et al. [65], who reported that TA increased TC and TG in rats. Blood lipid markers aid in monitoring cardiovascular health. Greater levels of LDL have been correlated with an excessive risk of atherosclerosis, while a raised level of HDL is associated with a decreased incidence of cardiovascular diseases [66]. In the present study, we noticed that Sl, St, and Cg supplementation improved the lipid profile with a decrease in TC and LDL levels and an increase in HDL levels. These findings are consistent with those of Mohammadi et al. [67], who found that Sl reduced TG, TC, and LDL and increased HDL to lower the risk of atherosclerosis and heart disease. Sl can influence lipid metabolism by diminishing hepatic cholesterol synthesis and restricting its absorption from the gastrointestinal tract [68]. Moreover, silybin found in Sl was reported to have hypolipidemic activity and its hypolipidemic property could be due to augmented endogenous cholesterol conversion to bile acids [69]. Rostami et al. [70] reported that St reduced LDL, TC, and TG, indicating the hypolipidemic effect of St because it contains γ-linolenic acid, necessary for prostaglandin production, which is beneficial and may influence several body activities, including the control of cholesterol synthesis. Karima and Sarto [71] claimed that Cg increased HDL levels while it decreased those of TC, TG, and LDL; this may be because Cg contains an omega-3 fatty acid, which completely compensates for the HDL shortage. Conversely, Cg was found to reduce LDL and TC levels while having no discernible effect on HDL or TG levels [72]. Furthermore, according to Deng and Chow [73], the antioxidant properties of St and Cg bioactive components may reduce the concentration of blood lipids because they lower pancreatic lipase activity, which sequentially reduces hepatic fatty acid synthesis. They may also lessen intestinal cholesterol absorption or synthesis [74]. However, the mechanism underlying these effects needs further research.
In support of the current biochemical findings, there were histopathological alterations, and lesion scores were promoted in cardiac tissues. TA-induced oxidative stress altered the architecture of the cardiac tissue, as confirmed by histopathological examinations and increased lesion scores. TA intoxication caused vacuolar degeneration of myocytes; it also revealed Zenker’s necrosis of myocytes, fibrosis of interstitial tissue, perivascular fibrosis, and mononuclear inflammatory cells infiltration and thickening, as well as the hypertrophy of the tunica media of interstitial blood vessels in rat cardiac tissues. As a result of heart injury, the altered permeability of the membrane causes the enzymes within the cells to be released into circulation, which damages the cardiac cells, as shown by the abnormally high level of serum cardio-specific enzymes. Our results agreed with previous studies [2,25]. On the other hand, administration of Sl, St, and Cg to rats intoxicated with TA reduced oxidative stress, which was evident in the histological alterations brought on by TA. This led to the recovery of the heart tissues’ original architecture and showed notable advancements in the reversal of these histological alterations. This result implies that one of the potential pathways in the pathophysiology of TA-induced heart tissue damage is thought to be the oxidative stress caused by the free radicals that are produced.
The immunohistochemical results, which showed overexpression of cardiac immunoreactivity of Bax and TNF-α and weak expression of Bcl-2 in TA-treated rats, were consistent with the current biochemical and histological results. However, the opposite of these histochemical markers was correctly noted in the Sl-, St-, and Cg-treated groups. Oxidative stress, caused by the increased production of ROS, is thought to be a key risk factor in the development of heart disease [75]. Production of a large quantity of ROS owing to TA can beat the antioxidant defense mechanism and distrust cellular components. TNF-α is a proinflammatory cytokine that is rapidly produced in response to tissue damage from macrophages. The histological evidence of myocardial necrosis has been closely associated with an increase in TNF-α immune expression. TNF-α worsens heart failure by disrupting the mechanism that preserves homeostasis, leading to imbalance and suppressing anti-inflammatory responses.
This investigation demonstrated a noteworthy rise in TNF-α immune expression after TA administration. Treatment with Sl reduced these modifications, suggesting that Sl either promotes or inhibits TNF-α degradation or secretion [60]. The active component of the main flavonolignans, silybins A and B, silychristin, isosilybins A and B, and silydianin, is typically linked to Sl’s anti-inflammatory properties. Therefore, it aids in the suppression of inflammation [76]. Chen et al. [77] observed that St and its active constituent, C-phycocyanin, lowered interleukin-6, Cyclooxygenase-2, TNF-α, and nitric oxide synthase, as well as reduced TNF-α release. According to Farag et al. [64], Cg inhibits the release of TNF-α, which may be explained by its antioxidant properties and ability to reduce reactive oxygen species (ROS), which are known to increase the levels of TNF-α and IL-1β.
Apoptosis pathways may be categorized into two paths: the intrinsic pathway, which is directed by mitochondria, and the extrinsic pathway, which is directed by death receptors [78]. Bcl-2 is a major protein tangled in the intrinsic pathway, amongst which Bax apoptosomes and activates caspase-3 to make apoptosis a pro-apoptotic protein when its expression level is elevated. Alternatively, as an anti-apoptotic protein, Bcl-2 inhibits Bax to stop apoptosis from progressing [79]. Eraky et al. [80] reported that TA increased the expression of Bax and caspase-8. The current trial proved a significant increase in Bax and a decrease in Bcl-2 and the Bax/Bcl-2 ratio after TA administration. These alterations were attenuated by Sl, St, and Cg supplementation, as previously reported [81,82,83]. The reason behind this effect might be the existence of polyphenols such as genistein, quercetin, and ellagic acid, which can significantly inhibit a variety of molecular targets, including apoptotic markers caspases, NF-κB, and Bcl and Bax [84]. However, the mechanism underlying these effects remains unclear and prompts further investigation.
5. Conclusions
In the current trial, TA injection caused hematological damage and cardiac injury, as evidenced by greater serum levels of troponin I, CK-MB, and total CK, as well as elevated serum MDA and decreased serum TAC concentrations. Moreover, an increase in blood LDL and TC concentration was recorded in the TA group. There were alterations in the heart tissue’s histological structure of the TA group compared to the control ones. These alterations were characterized by the vacuolar degeneration of myocytes, loss of cross striation, coagulative necrosis, and fibrosis of interstitial tissue, which was ameliorated by the supplementation of SI, St, and Cg. The TA-intoxicated group showed weak expression of Bcl-2 and strong immunoreactivity of TNF-α and Bax. However, the groups receiving SI, St, and Cg experienced the opposite. The administration of Sl, St, Cg, and St + Cg along with TA significantly improved and restored erythrogram indices, including RBCs, hemoglobin, total leukocytic count, lymphocytes, and monocyte, to the normal control values. The administration of Sl, St, and Cg alleviated the cardiotoxicity caused by TA by reducing oxidative stress, inflammatory markers, and apoptosis in heart tissue. The current findings suggested that supplementing with Sl, St, and Cg was advantageous in ameliorating cardiotoxicity caused by TA in rats. An in-depth analysis of alterations in the liver and gut microbiota should be assessed to investigate the hepato-cardiac axis, and the underlying molecular mechanism upon the beneficial effects of Sl, St, and Cg supplementation should be further evaluated.
Author Contributions
Conceptualization, H.F.E.-G., S.R.M. and H.K.K.; methodology, H.F.E.-G., S.R.M., S.S., E.H. and H.K.K.; software, H.F.E.-G., S.R.M., H.K.K., S.S., R.A.A., A.A., A.O. and R.M.S.K.; validation, H.F.E.-G., S.R.M. and H.K.K., formal analysis, H.F.E.-G., S.R.M., H.K.K., S.S., E.H., A.A., A.O. and R.M.S.K.; investigation H.F.E.-G., S.R.M. and H.K.K., resources, H.F.E.-G., R.A.A., A.A., E.H. and S.R.M.; data curation, H.F.E.-G., S.R.M., H.K.K., S.S., A.A., E.H., A.O., R.A.A. and R.M.S.K.; writing—original draft preparation H.F.E.-G.; writing—review and editing, H.F.E.-G., S.R.M., H.K.K., S.S., E.H., A.O., R.A.A., A.A. and R.M.S.K. All authors have read and agreed to the published version of the manuscript.
Funding
This research work was funded by Researchers Supporting Project number (RSPD2024R581), King Saud University, Riyadh, Saudi Arabia.
Institutional Review Board Statement
The trial was permitted by the Institutional Animal Care and Use Committee of the Faculty of Veterinary Medicine, University of Sadat City, Egypt (Ethical approval number is VUSC--018-1-24; 3.11.2023).
Informed Consent Statement
Not applicable.
Data Availability Statement
The data presented in this study are available on request from the corresponding author.
Conflicts of Interest
The authors declare no conflicts of interest.
References
- Scott, N.B.; Pocock, N.S. The health impacts of hazardous chemical exposures among child labourers in low- and middle-income countries. Int. J. Environ. Res. Public Health 2021, 18, 5496. [Google Scholar] [CrossRef] [PubMed]
- Türkmen, N.B.; Yüce, H.; Taşlidere, A.; Şahin, Y.; Çiftçi, O. The ameliorate effects of nerolidol on thioacetamide-induced oxidative damage in heart and kidney tissue. Turk. J. Pharm Sci. 2022, 19, 1–8. [Google Scholar] [CrossRef] [PubMed]
- Zhang, H.; Xu, J. Unveiling thioacetamide-induced toxicity: Multi-organ damage and omitted bone toxicity. Hum. Exp. Toxicol. 2024, 43, 1–15. [Google Scholar] [CrossRef] [PubMed]
- Schyman, P.; Printz, R.L.; Estes, S.K.; Boyd, K.L.; Shiota, M.; Wallqvist, A. Identification of the toxicity pathways associated with thioacetamide-induced injuries in rat liver and kidney. Front. Pharmacol. 2018, 9, 1272. [Google Scholar] [CrossRef]
- Kolodziejczyk, A.A.; Federici, S.; Zmora, N.; Mohapatra, G.; Dori-Bachash, M.; Hornstein, S.; Leshem, A.; Reuveni, D.; Zigmond, E.; Tobar, A.; et al. Acute liver failure is regulated by MYC- and microbiome-dependent programs. Nat. Med. 2020, 26, 1899–1911. [Google Scholar] [CrossRef] [PubMed]
- Saad, H.M.; Oda, S.S.; Sedeek, E.K. Protective effect of Lactéol® forte against thioacetamide-induced hepatic injury in male albino rats. Alex. J. Vet. Sci. 2020, 67, 92–98. [Google Scholar] [CrossRef]
- Osman, A.; El-Hadary, A.; Korish, A.A.; AlNafea, H.M.; Alhakbany, M.A.; Awad, A.A.; Abdel-Hamid, M. Angiotensin-I converting enzyme inhibition and antioxidant activity of papain-hydrolyzed camel whey protein and its hepato-renal protective effects in thioacetamide-induced toxicity. Foods 2021, 10, 468. [Google Scholar] [CrossRef]
- Lorenzatti, A.J.; Servato, M.L. New evidence on the role of inflammation in CVD risk. Curr. Opin. Cardiol. 2019, 34, 418–423. [Google Scholar] [CrossRef]
- Verni, M.; Demarinis, C.; Rizzello, C.G.; Pontonio, E. Bioprocessing to Preserve and Improve Microalgae Nutritional and Functional Potential: Novel Insight and Perspectives. Foods 2023, 12, 983. [Google Scholar] [CrossRef]
- Abdelbaky, S.A.; Zaky, Z.M.; Yahia, D.; Kotob, M.H.; Ali, M.A.; Aufy, M.; Sayed, A.H. Impact of Chlorella vulgaris bioremediation and selenium on genotoxicity, nephrotoxicity and oxidative/antioxidant imbalance induced by polystyrene nanoplastics in African Catfish (Clarias gariepinus). Fishes 2024, 9, 76. [Google Scholar] [CrossRef]
- Barghchi, H.; Dehnavi, Z.; Nattagh-Eshtivani, E.; Alwaily, E.R.; Almulla, A.F.; Kareem, A.K.; Barati, M.; Ranjbar, G.; Mohammadzadeh, A.; Rahimi, P.; et al. The effects of Chlorella vulgaris on cardiovascular risk factors: A comprehensive review on putative molecular mechanisms. Biomed. Pharmacother. 2023, 162, 114624. [Google Scholar] [CrossRef] [PubMed]
- Matos, J.; Cardoso, C.L.; Falé, P.; Afonso, C.M.; Bandarra, N.M. Investigation of nutraceutical potential of the microalgae Chlorella vulgaris and Arthrospira platensis. Int. J. Food Sci. Technol. 2020, 55, 303–312. [Google Scholar] [CrossRef]
- Abozaid, H.; Elnady, A.S.E.; Aboelhassan, D.M.; Mansour, H.; Abedo, A.; Abdelrahman, H.M.; Ghaly, I.S.; Radwan, H.A.; Abbas, W.T.; Farag, I.M. Impact of Spirulina platensis as a dietary supplement on growth performance, blood biochemical parameters, and expression of growth-related genes in Nile Tilapia (Oreochromis niloticus). Egypt. J. Vet. Sci. 2023, 54, 1265–1277. [Google Scholar] [CrossRef]
- Selim, S.; Abdel-Megeid, N.S.; Alhotan, R.A.; Ebrahim, A.; Hussein, E. Nutraceuticals vs. antibiotic growth promoters: Differential impacts on performance, meat quality, blood lipids, cecal microbiota, and organ histomorphology of broiler chicken. Poult. Sci. 2024, 103, 103971. [Google Scholar] [CrossRef]
- Prete, V.; Abate, A.C.; Di Pietro, P.; De Lucia, M.; Vecchione, C.; Carrizzo, A. Beneficial effects of spirulina supplementation in the management of cardiovascular diseases. Nutrients 2024, 16, 642. [Google Scholar] [CrossRef]
- Kumar, A.; Ramamoorthy, D.; Verma, D.K.; Kumar, A.; Kumar, N.; Kanak, K.; Marwein, B.M.; Mohan, K. Antioxidant and phytonutrient activities of Spirulina platensis. Energy Nexus 2022, 6, 100070. [Google Scholar] [CrossRef]
- Emadi, S.A.; Rahbardar, M.G.; Mehri, S.; Hosseinzadeh, H.A. review of therapeutic potentials of milk thistle (Silybum marianum L.) and its main constituent, silymarin, on cancer, and their related patents. Iran J. Basic Med.Sci. 2022, 25, 1166–1176. [Google Scholar]
- Zalat, Z.A.; Kohaf, N.A.; El-Din, M.A.A.; Elewa, H.A.; Abdel-Latif, M.M. Silymarin: A promising cardioprotective agent. Azhar Int. J. Pharm. Med. Sci. 2021, 1, 13–21. [Google Scholar]
- Okiljević, B.; Martić-Govedarica, S.; Višnjić, B.A.; Bosanac, M.; Baljak, J.; Pavlić, B.; Milanović, I.; Rašković, A. Cardioprotective and hepatoprotective potential of silymarin in paracetamol-induced oxidative stress. Pharmaceutics 2024, 16, 520. [Google Scholar] [CrossRef]
- El-Gendy, H.F.; El-Bahrawy, A.; Mansour, D.A.; Sheraiba, N.I.; Abdel-Megeid, N.S.; Selim, S.; Alhotan, R.A.; Ayyoub, A.; El Hanbally, S. Unraveling the potential of Saccharum officinarum and Chlorella vulgaris towards 5-fluorouracil-induced nephrotoxicity in rats. Pharmaceuticals 2024, 17, 885. [Google Scholar] [CrossRef]
- Al-Farsi, M.; Alasalvar, C.; Morris, A.; Baron, M.; Shahidi, F. Comparison of antioxidant activity, anthocyanins, carotenoids, and phenolics of three native fresh and sun-dried date (Phoenix dactylifera L.) varieties grown in Oman. J. Agric. Food Chem. 2005, 53, 7592–7599. [Google Scholar] [CrossRef] [PubMed]
- Kim, D.O.; Jeong, S.W.; Lee, C.Y. Antioxidant capacity of phenolic phytochemicals from various cultivars of plums. Food Chem. 2003, 81, 321–326. [Google Scholar] [CrossRef]
- Lin, Y.L.; Chen, Y.L.; Liang, Y.C.; Lin, J.K. Composition of polyphenols in fresh tea leaves and associations of their oxygen radical absorbing capacity with antiproliferative actions in fibroblast cells. J. Agri. Food Chem. 1996, 44, 1387–1394. [Google Scholar] [CrossRef]
- Kuntic, V.; Pejic, N.; Ivkovic, B. Isocratic RP-HPLC method for rutin determination in solid oral dosage forms. J. Pharm. Biomed. Anal. 2007, 43, 718–721. [Google Scholar] [CrossRef] [PubMed]
- Omar, S.; Abd ElAziz, M.M.; Mady, M.M. Protective role of quercetin in preventing thioacetamide induced heart and lung injury in adult male Albino rat. Egypt. J. Histol. 2023, 46, 1746–1837. [Google Scholar] [CrossRef]
- Şahin, Y.; Alçığır, M.E.; Atıcı, E.G.; Ateş, F.B.; Yıldırım, E.; Ekici, H.; Karahan, S. Protective effect of silymarin and boric acid against isoproterenol-induced myocardial infarction in mice. Etlik Vet. Mikrobiyol. Derg. 2022, 33, 26–33. [Google Scholar] [CrossRef]
- Amir, M.; Agustini, N.W.S.; Malau, A.P.H.; Gautama, A. Antioxidant effect of Spirulina platensis in lowering heart mda levels of white rats (Rattus norvegicus). IOP Conf. Ser. Earth Environ. Sci. 2023, 1271, 012079. [Google Scholar] [CrossRef]
- Sikiru, A.B.; Arangasamy, A.; Alemede, I.C.; Selvaraju, S.; Egena, S.S.A.; Binsila, B.K.; Reddy, I.J.; Bhatta, R. Dietary Chlorella vulgaris supplementation improves reproductive index of female rabbits and protect their progeny against oxidative stress. Free Radic. Antioxid. 2022, 12, 55–62. [Google Scholar] [CrossRef]
- Buttarello, M. Quality specification in hematology: The automated blood cell count. Clin. Chim. Acta 2004, 346, 45–54. [Google Scholar] [CrossRef]
- Aujla, R.S.; Patel, R. Creatine Phosphokinase. National Library Med. 2022. In StatPearls; StatPearls Publishing: Treasure Island, FL, USA, 2024. Available online: https://www.ncbi.nlm.nih.gov/books/NBK546624/ (accessed on 27 February 2024).
- Jiang, H.; Zhu, J.; Liu, W.; Cao, F. High-sensitivity cardiac troponins I sandwich assay by immunomagnetic microparticle and quantum dots. Front. Lab. Med. 2017, 1, 107–113. [Google Scholar] [CrossRef]
- Rahmani, M.; Jeddi, S.; Ghanbari, M.; Momenan, A.A.; Azizi, F. Reference values for serum lipid profiles in Iranian adults: Tehran lipid and glucose study. Arch. Iran Med. 2019, 22, 24–31. [Google Scholar] [PubMed]
- Koracevic, D.; Koracevic, G.; Djordjevic, V.; Andrejevic, S.; Cosic, V. Method for the measurement of antioxidant activity in human fluids. J. Clin. Pathol. 2001, 54, 356–361. [Google Scholar] [CrossRef] [PubMed]
- Bancroft, J.D.; Gamble, M. (Eds.) Theory and Practice of Histological Techniques; Elsevier Health Sciences: Amsterdam, The Netherlands, 2008. [Google Scholar]
- Shamseldean, M.S.M.; Attia, M.M.; Korany, R.M.S.; Othamn, N.A.; Allam, S.F.M. Insecticidal efficacy of nanomaterials used to control mosquito, Culex quinquefasciatus Say, 1823 with special reference to their hepatotoxicity in rats. Biosci. Rep. 2022, 42, BSR20220630. [Google Scholar] [CrossRef]
- Shaaban, M.T.; Abdel-Hamid, M.S.; Orabi, S.H.; Korany, R.M.S.; Elbawab, R.H. Assessment of the antibacterial efficacy of silver nanoparticles-based Artemisia annua against methicillin-resistant Staphylococcus aureus-infected lung tissues in albino rats. J. Anal. Sci. Technol. 2024, 15, 25. [Google Scholar] [CrossRef]
- Zaki, N.F.; Orabi, S.H.; Abdel-Bar, H.M.; Elbaz, H.T.; Korany, R.M.S.; Ismail, A.K.; Daoush, W.M.; Abduljabbar, M.H.; Alosaimi, M.E.; Alnemari, R.M.; et al. Zinc oxide resveratrol nanoparticles ameliorate testicular dysfunction due to levofloxacin-induced oxidative stress in rats. Sci. Rep. 2024, 14, 2752. [Google Scholar] [CrossRef]
- Abd El-Ghany, W.A. The potential uses of silymarin, a milk thistle (Silybum marianum) derivative in poultry production system. Online J. Anim. Feed Res. 2022, 12, 46–52. [Google Scholar] [CrossRef]
- Ibrahim, M.Y.; Alamri, Z.Z.; Juma, A.S.M.; Hamood, S.A.; Shareef, S.H.; Abdulla, M.A.; Jayash, S.N. Hepatoprotective effects of biochanin a on thioacetamide-induced liver cirrhosis in experimental rats. Molecules 2023, 28, 7608. [Google Scholar] [CrossRef] [PubMed]
- DiNicolantonio, J.J.; Barroso-Arranda, J.; McCarty, M. Ivermectin may be a clinically useful anti-inflammatory agent for late-stage COVID-19. Open Heart 2020, 7, e001350. [Google Scholar] [CrossRef] [PubMed]
- Sanayei, M.; Kalejahi, P.; Mahinkazemi, M.; Fathifar, Z.; Barzegar, A. The effect of Chlorella vulgaris on obesity related metabolic disorders: A systematic review of randomized controlled trials. J. Complement. Integr. Med. 2022, 19, 833–842. [Google Scholar] [CrossRef]
- AL-Attar, A.M. Hematological and biochemical investigations on the effect of curcumin and thymoquinone in male mice exposed to thioacetamide. Saudi J. Biol. Sci. 2022, 29, 660–665. [Google Scholar] [CrossRef]
- Abbasi, M.H.; Akhtar, T.; Malik, I.A.; Fatima, S.; Khawar, B.; Abdul Mujeeb, K.; Mustafa, G.; Hussain, S.; Iqbal, J.; Sheikh, N. Acute and chronic toxicity of thioacetamide and alterations in blood cell indices in rats. J. Cancer Ther. 2013, 4, 251–259. [Google Scholar] [CrossRef][Green Version]
- Karagül, H.; Pekcana, M.; Kurtdede, E. Effects of silymarin on blood and tissue parameters in sodium fluoride-induced hepatotoxicity and oxidative stress in rats. Turk. Klin. J. Vet. Sci. 2020, 11, 53–59. [Google Scholar] [CrossRef]
- Khazaei, R.; Seidavi, A.; Bouyeh, M. A review on the mechanisms of the effect of silymarin in milk thistle (Silybum marianum) on some laboratory animals. Vet. Med. Sci. 2022, 8, 289–301. [Google Scholar] [CrossRef]
- Abdel-Aziz, N.; Badawy, A.; El-Gamal, A.; El-Belely, E.; Hammad, A.; Zakaria, A. The possible impact of Spirulina and Chlorella on some hematological and biochemical aspects in irradiated rats. Arab J. Nuc. Sci. Appl. 2022, 55, 130–137. [Google Scholar] [CrossRef]
- Abdel-Khalek, A.E.; El-Maghraby, M.M.; Elbialy, Z.I.; Al Wakeel, R.A.; Almadaly, E.A.; Shukry, M.; El-Badawy, A.A.; Zaghloul, H.K.; Assar, D.H. Mitigation of endogenous oxidative stress and improving growth, hemato-biochemical parameters, and reproductive performance of Zaraibi goat bucks by dietary supplementation with Chlorella vulgaris or/and vitamin C. Trop. Anim. Health Prod. 2023, 55, 267. [Google Scholar] [CrossRef]
- Alagawany, M.; Taha, A.E.; Noreldin, A.; El-Tarabily, K.A.; Abd El-Hack, M.E. Nutritional applications of species of Spirulina and Chlorella in farmed fish: A review. Aquaculture 2021, 542, 736841. [Google Scholar] [CrossRef]
- Gao, F.; Guo, W.; Zeng, M.; Feng, Y.; Feng, G. Effect of microalgae as iron supplements on iron-deficiency anemia in rats. Food Funct. 2019, 10, 723–732. [Google Scholar] [CrossRef]
- Megahed, A.; Gadalla, H.; Abdelhamid, F.M.; Almehmadi, S.J.; Khan, A.A.; Albukhari, T.A.; Risha, E.F. Vitamin D Ameliorates the Hepatic Oxidative Damage and Fibrotic Effect Caused by Thioacetamide in Rats. Biomedicines 2023, 11, 424. [Google Scholar] [CrossRef]
- Eissa, L.A.; Kenawy, H.I.; El-Karef, A.; Elsherbiny, N.M.; El-Mihi, K.A. Antioxidant and anti-inflammatory activities of berberine attenuate hepatic fibrosis induced by thioacetamide injection in rats. Chem. Biol. Interact. 2018, 294, 91–100. [Google Scholar] [CrossRef]
- Eid, Y.Z.; Amber, K.A.; Hassan, M.S.; Hassan, R.A.; Abo-ouf, A.M. The protective role of silymarin to ameliorate the adverse effects of ochratoxin-a in laying hens on productive performance, blood biochemistry, hematological and antioxidants status. Braz. J. Poult. Sci. 2021, 24, 1–8. [Google Scholar] [CrossRef]
- Ouedraogo, M.; Goze, B.N.G.; Bleyere, M.N.; Yapo, P.A. Spirulina and biochemical blood parameters of Wistar rats (Rattus Norvegicus) in growth. EAS J. Nutr. Food Sci. 2020, 2, 90–100. [Google Scholar]
- Rahman, M.; Al Mamun, A.; Rathore, S.S.; Nandi, S.K.; Abdul Kari, Z.; Wei, L.S.; Tahiluddin, A.B.; Rahman, M.; Manjappa, N.K.; Hossain, A.; et al. Effects of dietary supplementation of natural Spirulina on growth performance, hemato-biochemical indices, gut health, and disease resistance to Aeromonas hydrophila of Stinging catfish (Heteropneustes fossilis) fingerling. Aqua.Rep. 2023, 32, 101727. [Google Scholar] [CrossRef]
- Abbas, N.; El-Shafei, R.A.; Zahran, E.; Amer, M.S. Some pharmacological studies on Chlorella vulgaris in tilapia fish. KVMJ 2020, 18, 6–9. [Google Scholar] [CrossRef]
- Kundu, A.; Gali, S.; Sharma, S.; Kacew, S.; Yoon, S.; Jeong, H.G.; Kwak, J.H.; Kim, H.S. Dendropanoxide Alleviates Thioacetamide-induced Hepatic Fibrosis via Inhibition of ROS Production and Inflammation in BALB/C Mice. Int. J. Biol Sci. 2023, 19, 2630–2647. [Google Scholar] [CrossRef]
- Singh, M.; Kadhim, M.M.; Jalil, A.T.; Oudah, S.K.; Aminov, Z.; Alsaikhan, F.; Jawhar, Z.H.; Ramírez-Coronel, A.A.; Farhood, B. A systematic review of the protective effects of silymarin/silibinin against doxorubicin-induced cardiotoxicity. Cancer Cell Inter. 2023, 23, 88. [Google Scholar] [CrossRef]
- Mirzaei, E.; Sabetian, G.; Masjedi, M.; Heidari, R.; Mirjalili, M.; Dehghanian, A.; Vazin, A. The effect of silymarin on liver enzymes and antioxidant status in trauma patients in the intensive care unit: A randomized double blinded placebo-controlled clinical trial. Clin. Exp. Hepatol. 2021, 7, 149–155. [Google Scholar] [CrossRef]
- Rao, P.R.; Viswanath, R.K. Cardioprotective activity of silymarin in ischemia-reperfusion-induced myocardial infarction in albino rats. Exp. Clin. Cardiol. 2007, 12, 179–187. [Google Scholar]
- Surai, P.F.; Surai, A.; Earle-Payne, K. Silymarin and inflammation: Food for thoughts. Antioxidants 2024, 13, 98. [Google Scholar] [CrossRef]
- Albtoosh, A.; Karawya, F.; Al-Naymat, W.; Al-Qaitat, A. Potential protective effect of Spirulina platensis on sodium arsenite induced cardiotoxicity in male rats. Tissue Barriers 2022, 10, 1983330. [Google Scholar] [CrossRef]
- Attia, Y.A.; Hassan, R.A.; Addeo, N.F.; Bovera, F.; Alhotan, R.A.; Al-qurashi, A.D.; Al-Baadani, H.H.; Al-Banoby, M.A.; Khafaga, A.F.; Eisenreich, W.; et al. Effects of Spirulina platensis and/or Allium sativum on antioxidant status, immune response, gut morphology, and intestinal Lactobacilli and Coliforms of heat-stressed broiler chicken. Vet. Sci. 2023, 10, 678. [Google Scholar] [CrossRef]
- Almukainzi, M.; El-Masry, T.A.; Ibrahim, H.A.; Saad, H.M.; El Zahaby, E.I.; Saleh, A.; El-Nagar, M.M.F. New insights into the potential cardioprotective effects of telmisartan and nanoformulated extract of Spirulina platensis via regulation of oxidative stress, apoptosis, and autophagy in an experimental model. Front. Pharmacol. 2024, 15, 1380057. [Google Scholar] [CrossRef]
- Farag, M.R.; Alagawany, M.; Mahdy, E.A.A.; El-Hady, E.; Abou-Zeid, S.A.; Mawed, S.A.; Azzam, M.M.; Crescenzo, G.; Abo-Elmaaty, A.M.A. Benefits of Chlorella vulgaris against Cadmium Chloride-Induced Hepatic and Renal Toxicities via Restoring the Cellular Redox Homeostasis and Modulating Nrf2 and NF-KB Pathways in Male Rats. Biomedicines 2023, 11, 2414. [Google Scholar] [CrossRef] [PubMed]
- Ebaid, H.; Bashandy, S.A.E.; Morsy, F.A.; Al-Tamimi, J.; Hassan, I.; Alhazza, I.M. Protective effect of gallic acid against thioacetamide-induced metabolic dysfunction of lipids in hepatic and renal toxicity. J. King Saud Univer. Sci. 2023, 35, 102531. [Google Scholar] [CrossRef]
- Al-Attar, A.M.; Alsulami, M.B.; Alomar, M.Y. Effect of almond oil on lipid profile in male rats exposed to thioacetamide. World App. Sci. J. 2020, 38, 365–374. [Google Scholar]
- Mohammadi, H.; Hadi, A.; Arab, A.; Moradi, S.; Rouhani, M.H. Effects of silymarin supplementation on blood lipids: A systematic review and meta-analysis of clinical trials. Phytother. Res. 2019, 33, 871–880. [Google Scholar] [CrossRef]
- Škottová, N.; Kazdová, L.; Oliyarnyk, O.; Vecera, R.; Sobolová, L.; Ulrichová, J. Phenolics-rich extracts from Silybum marianum and Prunella vulgaris reduce a high-sucrose diet induced oxidative stress in hereditary hypertriglyceridemic rats. Pharmacol. Res. 2004, 50, 123–130. [Google Scholar] [CrossRef]
- Gobalakrishnan, S.; Asirvatham, S.S.; Janarthanam, V. Effect of silybin on lipid profile in hypercholesterolaemic rats. J. Clin. Diag. Res. 2016, 10, 1–5. [Google Scholar] [CrossRef] [PubMed]
- Rostami, H.A.A.; Marjani, A.; Mojerloo, M.; Rahimi, B.; Marjani, M. Effect of Spirulina on lipid profile, glucose and malondialdehyde levels in type 2 diabetic patients. Braz. J. Pharm. Sci. 2022, 58, e191140. [Google Scholar] [CrossRef]
- Karima, F.N.; Sarto, M. The Effect of Chlorella vulgaris on lipid profile Wistar strain rats (Rattus norvegicus Berkenhout, 1769) under induced stress. Biog. J. Ilm. Biol. 2019, 7, 44–53. [Google Scholar] [CrossRef]
- Sherafati, N.; Bideshki, M.V.; Behzadi, M.; Mobarak, S.; Asadi, M.; Sadeghi, O. Effect of supplementation with Chlorella vulgaris on lipid profile in adults: A systematic review and dose-response meta-analysis of randomized controlled trials. Complement. Ther. Med. 2022, 66, 102822. [Google Scholar] [CrossRef]
- Deng, R.; Chow, T.J. Hypolipidemic, antioxidant, and antiinflammatory activities of microalgae Spirulina. Cardiovasc. Ther. 2010, 28, e33–e45. [Google Scholar] [CrossRef] [PubMed]
- Yao, Y.; Liu, Y.; Li, C.; Huang, X.; Zhang, X.; Deng, P.; Jiang, G.; Dai, Q. Effects of rosemary extract supplementation in feed on growth performance, meat quality, serum biochemistry, antioxidant capacity, and immune function of meat ducks. Poult. Sci. 2023, 102, 102357. [Google Scholar] [CrossRef] [PubMed]
- Münzel, T.; Camici, G.G.; Maack, C.; Bonetti, N.R.; Fuster, V.; Kovacic, J.C. Impact of oxidative stress on the heart and vasculature: Part 2 of a 3-part series. J. Am. Coll. Cardiol. 2017, 70, 212–229. [Google Scholar] [CrossRef] [PubMed]
- DuBreuil, D.M.; Lai, X.; Zhu, K.; Chahyadinata, G.; Perner, C.; Chiang, B.M.; Battenberg, A.; Sokol, C.L.; Wainger, B.J. Phenotypic screen identifies the natural product silymarin as a novel anti-inflammatory analgesic. Mol. Pain 2023, 19, 17448069221148351. [Google Scholar] [CrossRef]
- Chen, J.C.; Liu, K.S.; Yang, T.J.; Hwang, J.H.; Chan, Y.C.; Lee, I.T. Spirulina and C-phycocyanin reduce cytotoxicity and inflammation-related genes expression of microglial cells. Nutr. Neurosci. 2012, 15, 252. [Google Scholar] [CrossRef]
- Tummers, B.; Green, D.R. Caspase-8: Regulating life and death. Immunol. Rev. 2017, 277, 76–89. [Google Scholar] [CrossRef]
- Qian, S.; Wei, Z.; Yang, W.; Huang, J.; Yang, Y.; Wang, J. The role of BCL-2 family proteins in regulating apoptosis and cancer therapy. Front. Oncol. 2022, 12, 985363. [Google Scholar] [CrossRef]
- Eraky, S.M.; El-Kashef, D.H.; El-Sherbiny, M.; El-Magd, N.F. Neringenin mitigates thioacetamide-induced hepatic encephalopathy in rats: Targeting JNK/Bax/caspase-8 apoptotic pathway. Food Funct. 2023, 14, 1248–1258. [Google Scholar] [CrossRef]
- Wadhwa, K.; Pahwa, R.; Kumar, M.; Kumar, S.; Sharma, P.C.; Singh, G.; Verma, R.; Mittal, V.; Singh, I.; Kaushik, D.; et al. Mechanistic insights into the pharmacological significance of silymarin. Molecules 2022, 27, 5327. [Google Scholar] [CrossRef]
- Behairy, A.; Elkomy, A.; Elsayed, F.; Gaballa, M.M.S.; Soliman, A.; Aboubakr, M. Antioxidant and anti-inflammatory potential of spirulina and thymoquinone mitigate the methotrexate-induced neurotoxicity. Naunyn-Schmiedeberg’s Arch. Pharmacol. 2024, 397, 1875–1888. [Google Scholar] [CrossRef]
- Abu-Zeid, E.H.; El-Hady, E.W.; Ahmed, G.A.; Abd-Elhakim, Y.M.; Ibrahim, D.; Abd-Allah, N.A.; Arisha, A.H.; Sobh, M.S.; Abo-Elmaaty, A.M.A. Nicotine exacerbates liver damage in a mice model of Ehrlich ascites carcinoma through shifting SOD/NF-κB/caspase-3 pathways: Ameliorating role of Chlorella vulgaris. Naunyn Schmiedebergs Arch. Pharmacol. 2024, 397, 7767–7783. [Google Scholar] [CrossRef] [PubMed]
- Tuli, H.S.; Tuorkey, M.J.; Thakral, F.; Sak, K.; Kumar, M.; Sharma, A.K.; Sharma, U.; Jain, A.; Aggarwal, V.; Bishayee, A. Molecular mechanisms of action of genistein in cancer: Recent advances. Front. Pharmacol. 2019, 10, 1336. [Google Scholar] [CrossRef] [PubMed]
Disclaimer/Publisher’s Note: The statements, opinions and data contained in all publications are solely those of the individual author(s) and contributor(s) and not of MDPI and/or the editor(s). MDPI and/or the editor(s) disclaim responsibility for any injury to people or property resulting from any ideas, methods, instructions or products referred to in the content. |
© 2024 by the authors. Licensee MDPI, Basel, Switzerland. This article is an open access article distributed under the terms and conditions of the Creative Commons Attribution (CC BY) license (https://creativecommons.org/licenses/by/4.0/).





