Percutaneous Thermal Ablation Therapy of Hepatocellular Carcinoma (HCC): Microwave Ablation (MWA) versus Laser-Induced Thermotherapy (LITT)
Abstract
:1. Introduction
2. Materials and Methods
2.1. Ethical Statement
2.2. Patient and Tumor Characteristics
2.3. Thermal Ablation Protocol
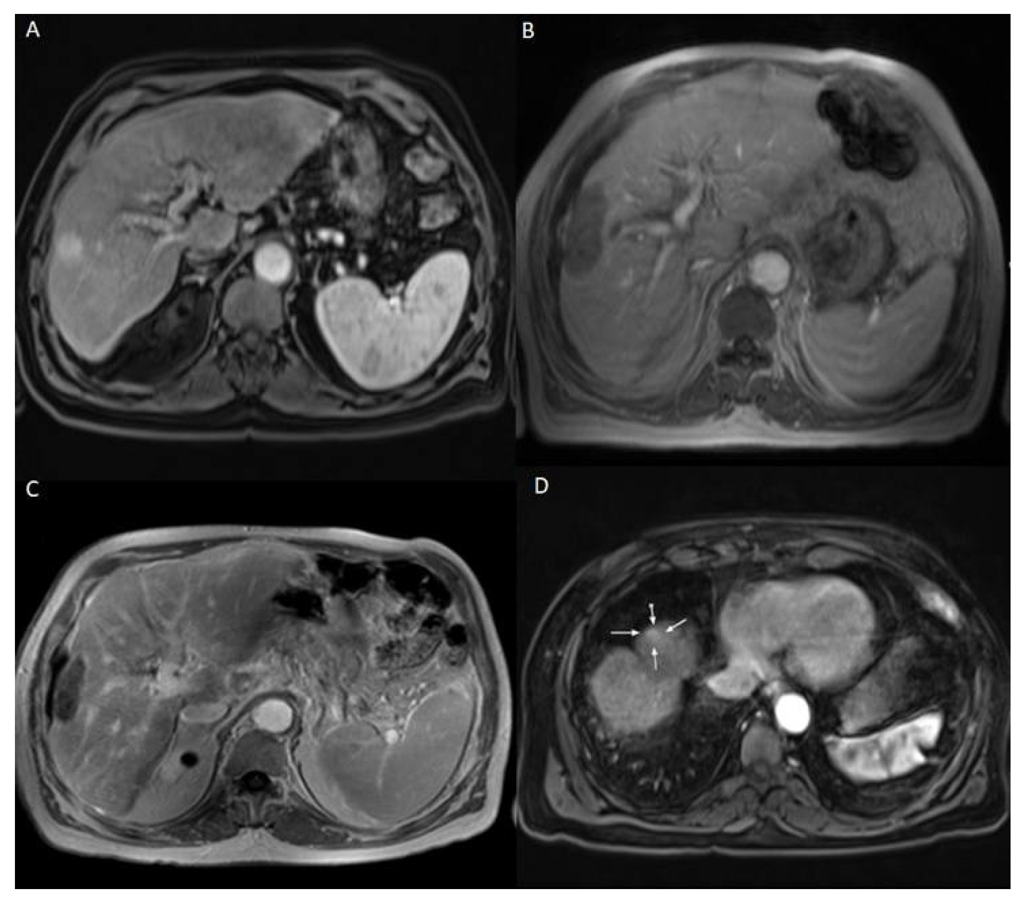
2.4. MWA Procedure
2.5. LITT Procedure
2.6. Follow-Up Protocol
2.7. Data and Statistical Analysis
3. Results
3.1. Indices of Tumors and Ablation Area
3.2. Duration of Ablation
3.3. Technical Success and Complete Ablation Rate
3.4. Therapy Response
3.5. Survival Rates
3.6. Complications
4. Discussion
5. Conclusions
Author Contributions
Funding
Institutional Review Board Statement
Informed Consent Statement
Data Availability Statement
Conflicts of Interest
References
- Dimitroulis, D.; Damaskos, C.; Valsami, S.; Davakis, S.; Garmpis, N.; Spartalis, E.; Athanasiou, A.; Moris, D.; Sakellariou, S.; Kykalos, S.; et al. From Diagnosis to Treatment of Hepatocellular Carcinoma: An Epidemic Problem for both Developed and Developing World. World J. Gastroenterol. 2017, 23, 5282–5294. [Google Scholar] [CrossRef] [PubMed]
- Park, H.J.; Choi, B.I.; Lee, E.S.; Park, S.B.; Lee, J.B. How to Differentiate Borderline Hepatic Nodules in Hepatocarcinogenesis: Emphasis on Imaging Diagnosis. Liver Cancer 2017, 6, 189–203. [Google Scholar] [CrossRef] [PubMed]
- Siddiqui, M.A.; Siddiqui, H.H.; Mishra, A.; Usmani, A. Epidemiology of hepatocellular carcinoma. Int. J. Pharm. Sci. Res. 2018, 9, 5050–5059. [Google Scholar]
- Raza, A. Hepatocellular Carcinoma Review: Current Treatment, and Evidence-Based Medicine. World J. Gastroenterol. 2014, 20, 4115. [Google Scholar] [CrossRef]
- Hennedige, T.; Venkatesh, S.K. Imaging of Hepatocellular Carcinoma: Diagnosis, Staging and Treatment Monitoring. Cancer Imaging 2012, 12, 530–547. [Google Scholar] [CrossRef] [Green Version]
- Vogl, T.; Zangos, S.; Balzer, J.; Nabil, M.; Rao, P.; Eichler, K.; Bechstein, W.; Zeuzem, S.; Abdelkader, A. Transarterielle Chemoembolisation (TACE) Des Hepatozellulären Karzinoms: Technik, Indikationsstellung Und Ergebnisse. RöFo 2007, 179, 1113–1126. [Google Scholar] [CrossRef]
- Sartori, S.; Di Vece, F.; Ermili, F.; Tombesi, P. Laser Ablation of Liver Tumors: An Ancillary Technique, or an Alternative to Radiofrequency and Microwave? World J. Radiol. 2017, 9, 91–96. [Google Scholar] [CrossRef]
- Sacks, D.; McClenny, T.E.; Cardella, J.F.; Lewis, C.A. Society of Interventional Radiology Clinical Practice Guidelines. J. Vasc. Interv. Radiol. 2003, 14, S199–S202. [Google Scholar] [CrossRef] [Green Version]
- Ding, J.; Jing, X.; Liu, J.; Wang, Y.; Wang, F.; Wang, Y.; Du, Z. Comparison of Two Different Thermal Techniques for the Treatment of Hepatocellular Carcinoma. Eur. J. Radiol. 2013, 82, 1379–1384. [Google Scholar] [CrossRef]
- Giorgio, A.; Gatti, P.; Montesarchio, L.; Merola, M.G.; Amendola, F.; Calvanese, A.; Iaquinto, G.; Fontana, M.; Ciracì, E.; Semeraro, S.; et al. Microwave Ablation in Intermediate Hepatocellular Carcinoma in Cirrhosis: An Italian Multicenter Prospective Study. J. Clin. Transl. Hepatol. 2018, 6, 251–257. [Google Scholar] [CrossRef] [Green Version]
- Xu, Y.; Shen, Q.; Liu, P.; Xu, Z.; Wu, P.; Lu, Z.; Chen, Y.; Huang, B.; Qian, G. Microwave Ablation for the Treatment of Hepatocellular Carcinoma That Met Up-To-Seven Criteria: Feasibility, Local Efficacy and Long-Term Outcomes. Eur. Radiol. 2017, 27, 3877–3887. [Google Scholar] [CrossRef] [PubMed]
- Zhang, N.N.; Lu, W.; Cheng, X.J.; Liu, J.Y.; Zhou, Y.H.; Li, F. High-Powered Microwave Ablation of Larger Hepatocellular Carcinoma: Evaluation of Recurrence Rate and Factors Related to Recurrence. Clin. Radiol. 2015, 70, 1237–1243. [Google Scholar] [CrossRef] [PubMed]
- Zhang, L.; Wang, N.; Shen, Q.; Cheng, W.; Qian, G.-J. Therapeutic Efficacy of Percutaneous Radiofrequency Ablation versus Microwave Ablation for Hepatocellular Carcinoma. PLoS ONE 2013, 8, e76119. [Google Scholar] [CrossRef] [PubMed]
- Potretzke, T.A.; Ziemlewicz, T.J.; Hinshaw, J.L.; Lubner, M.G.; Wells, S.A.; Brace, C.L.; Agarwal, P.; Lee, F.T. Microwave versus Radiofrequency Ablation Treatment for Hepatocellular Carcinoma: A Comparison of Efficacy at a Single Center. J. Vasc. Interv. Radiol. 2016, 27, 631–638. [Google Scholar] [CrossRef] [PubMed] [Green Version]
- Biondetti, P.; Fumarola, E.M.; Ierardi, A.M.; Coppola, A.; Gorga, G.; Maggi, L.; Valconi, E.; Angileri, S.A.; Carrafiello, G. Percutaneous US-Guided MWA of Small Liver HCC: Predictors of Outcome and Risk Factors for Complications from a Single Center Experience. Med. Oncol. 2020, 37, 39. [Google Scholar] [CrossRef] [PubMed]
- Ierardi, A.M.; Giorlando, F.; Piacentino, F.; Fontana, F.; Novario, R.; Angileri, S.A.; Duka, E.; Carrafiello, G. Factors Predicting Outcomes of Microwave Ablation of Small Hepatocellular Carcinoma. Radiol. Med. 2017, 122, 81–87. [Google Scholar] [CrossRef] [PubMed]
- Eichler, K.; Zangos, S.; Gruber-Rouh, T.; Vogl, T.J.; Mack, M.G. Magnetic Resonance-Guided Laser-Induced Thermotherapy in Patients with Oligonodular Hepatocellular Carcinoma: Long-Term Results over a 15-Year Period. J. Clin. Gastroenterol. 2012, 46, 796–801. [Google Scholar] [CrossRef]
- Pacella, C.M.; Bizzarri, G.; Magnolfi, F.; Cecconi, P.; Caspani, B.; Anelli, V.; Bianchini, A.; Valle, D.; Pacella, S.; Manenti, G.; et al. Laser Thermal Ablation in the Treatment of Small Hepatocellular Carcinoma: Results in 74 Patients. Radiology 2001, 221, 712–720. [Google Scholar] [CrossRef] [Green Version]
- Morisco, F.; Camera, S.; Guarino, M.; Tortora, R.; Cossiga, V.; Vitiello, A.; Cordone, G.; Caporaso, N.; Di Costanzo, G.G.; Italian Liver Cancer (ITA.LI.CA) Group. Laser Ablation Is Superior to TACE in Large-Sized Hepatocellular Carcinoma: A Pilot Case-Control Study. Oncotarget 2018, 9, 17483–17490. [Google Scholar] [CrossRef] [Green Version]
- Wang, T.; Lu, X.-J.; Chi, J.-C.; Ding, M.; Zhang, Y.; Tang, X.-Y.; Li, P.; Zhang, L.; Zhang, X.-Y.; Zhai, B. Microwave Ablation of Hepatocellular Carcinoma as First-Line Treatment: Long Term Outcomes and Prognostic Factors in 221 Patients. Sci. Rep. 2016, 6, 32728. [Google Scholar] [CrossRef]
- Sun, A.-X. Clinical Outcome of Medium-Sized Hepatocellular Carcinoma Treated with Microwave Ablation. World J. Gastroenterol. 2015, 21, 2997. [Google Scholar] [CrossRef] [PubMed]
- Ferrari, F.S.; Megliola, A.; Scorzelli, A.; Stella, A.; Vigni, F.; Drudi, F.M.; Venezia, D. Treatment of Small HCC through Radiofrequency Ablation and Laser Ablation. Comparison of Techniques and Long-Term Results. Radiol. Med. 2007, 112, 377–393. [Google Scholar] [CrossRef] [PubMed]
- Orlacchio, A.; Bolacchi, F.; Chegai, F.; Bergamini, A.; Costanzo, E.; Del Giudice, C.; Angelico, M.; Simonetti, G. Comparative Evaluation of Percutaneous Laser and Radiofrequency Ablation in Patients with HCC Smaller than 4 Cm. Radiol. Med. 2014, 119, 298–308. [Google Scholar] [CrossRef] [PubMed]
- Arienti, V.; Pretolani, S.; Pacella, C.M.; Magnolfi, F.; Caspani, B.; Francica, G.; Megna, A.S.; Regine, R.; Sponza, M.; Antico, E.; et al. Complications of Laser Ablation for Hepatocellular Carcinoma: A Multicenter Study. Radiology 2008, 246, 947–955. [Google Scholar] [CrossRef]
- Pusceddu, C.; Melis, L.; Ballicu, N.; Sotgia, B.; Melis, M.; Sanna, V.; Meloni, G.B.; Porcu, A.; Fancellu, A. Percutaneous Microwave Ablation under CT Guidance for Hepatocellular Carcinoma: A Single Institutional Experience. J. Gastrointest. Cancer 2018, 49, 295–301. [Google Scholar] [CrossRef]
- Chong, C.C.N.; Lee, K.-F.; Chu, C.-M.; Chan, A.W.H.; Wong, J.; Chan, S.L.; Lok, H.-T.; Fung, A.K.Y.; Fong, A.K.W.; Cheung, Y.S.; et al. Microwave Ablation Provides Better Survival than Liver Resection for Hepatocellular Carcinoma in Patients with Borderline Liver Function: Application of ALBI Score to Patient Selection. HPB 2018, 20, 546–554. [Google Scholar] [CrossRef] [Green Version]
- Sun, Q.; Shi, J.; Ren, C.; Du, Z.; Shu, G.; Wang, Y. Survival Analysis Following Microwave Ablation or Surgical Resection in Patients with Hepatocellular Carcinoma Conforming to the Milan Criteria. Oncol. Lett. 2020, 19, 4066–4076. [Google Scholar] [CrossRef] [Green Version]
- Di Costanzo, G.G.; Tortora, R.; D’Adamo, G.; De Luca, M.; Lampasi, F.; Addario, L.; Galeota Lanza, A.; Picciotto, F.P.; Tartaglione, M.T.; Cordone, G.; et al. Radiofrequency Ablation versus Laser Ablation for the Treatment of Small Hepatocellular Carcinoma in Cirrhosis: A Randomized Trial. J. Gastroenterol. Hepatol. 2015, 30, 559–565. [Google Scholar] [CrossRef]
- Pacella, C.M.; Francica, G.; Di Lascio, F.M.L.; Arienti, V.; Antico, E.; Caspani, B.; Magnolfi, F.; Megna, A.S.; Pretolani, S.; Regine, R.; et al. Long-Term Outcome of Cirrhotic Patients with Early Hepatocellular Carcinoma Treated with Ultrasound-Guided Percutaneous Laser Ablation: A Retrospective Analysis. J. Clin. Oncol. 2009, 27, 2615–2621. [Google Scholar] [CrossRef]
- Yang, W. Radiofrequency Ablation of Hepatocellular Carcinoma in Difficult Locations: Strategies and Long-Term Outcomes. World J. Gastroenterol. 2015, 21, 1554–1566. [Google Scholar] [CrossRef]
- Vogl, T.J.; Naguib, N.N.N.; Lehnert, T.; Nour-Eldin, N.-E.A. Radiofrequency, Microwave and Laser Ablation of Pulmonary Neoplasms: Clinical Studies and Technical Considerations—Review Article. Eur. J. Radiol. 2011, 77, 346–357. [Google Scholar] [CrossRef] [PubMed]





| Parameter | MWA | LITT | p-Value | 
|---|---|---|---|
| Number of patients | 250 | 53 | |
| Mean age | 66 ± 10 yrs. | 67.5 ± 8 yrs. | 0.432 | 
| Gender (W:M) | 52:198 | 12:41 | 0.91 | 
| Number of tumors | 435 | 75 | |
| Mean diameter of tumor | 2.2 ± 0.92 cm | 2.4 ± 0.94 cm | |
| Patients with solitary tumor | 56% (140/250) | 68% (36/53) | 0.148 | 
| Patients with two tumors or more | 44% (110/250) | 32% (17/53) | |
| Tumors ≤2 cm | 53.8% (234/435) | 41.3% (31/75) | 0.061 | 
| Tumors >2 cm | 46.2% (201/435) | 58.7% (44/75) | |
| Caudate lobe | 1.6% (7/435) | 0% (0/75) | |
| Right lobe | 64% (278/435) | 72% (54/75) | |
| Left lobe | 31% (135/435) | 26.7% (20/75) | |
| Bilobar | 3.4% (15/435) | 1.3% (1/75) | 
| Parameter | MWA | LITT | p-Value | 
|---|---|---|---|
| Mean diameter of ablation area | 4.4 ± 1 cm | 5.3 ± 1.8 cm | 0.0001 | 
| Number of sessions | 445 | 76 | |
| Technical success | 100% (445/445) | 100% (76/76) | |
| Initial complete ablation | 97.7% (425/435) | 98.7% (74/75) | >0.99 | 
| Mean ablation time | 10.5 ± 5.3 min | 16.7 ± 7.4 min | <0.001 | 
| LTP | 6% (15/250) | 3.8% (2/53) | |
| IDR | 46% (115/250) | 64.2% (34/53) | 
| Parameter | MWA | LITT | p-Value | 
|---|---|---|---|
| Overall Complication rate | 2.9% (13/445) | 7.9% (6/76) | 0.045 | 
| Major complications | 0.2% (1/445) | 0.0% | >0.99 | 
| Minor complications | 2.7% (12/445) | 7.9% (6/76) | 0.034 | 
| Mild hemorrhage | 1.35% (6/445) | 2.6% (2/76) | |
| Pleural effusion | 1.35% (6/445) | 5.3% (4/76) | |
| Pericardial effusion | 0.2% (1/445) | 0.0% | 
| Publisher’s Note: MDPI stays neutral with regard to jurisdictional claims in published maps and institutional affiliations. | 
© 2022 by the authors. Licensee MDPI, Basel, Switzerland. This article is an open access article distributed under the terms and conditions of the Creative Commons Attribution (CC BY) license (https://creativecommons.org/licenses/by/4.0/).
Share and Cite
Adwan, H.; Vogl, T.J.; Balaban, Ü.; Nour-Eldin, N.-E.A. Percutaneous Thermal Ablation Therapy of Hepatocellular Carcinoma (HCC): Microwave Ablation (MWA) versus Laser-Induced Thermotherapy (LITT). Diagnostics 2022, 12, 564. https://doi.org/10.3390/diagnostics12030564
Adwan H, Vogl TJ, Balaban Ü, Nour-Eldin N-EA. Percutaneous Thermal Ablation Therapy of Hepatocellular Carcinoma (HCC): Microwave Ablation (MWA) versus Laser-Induced Thermotherapy (LITT). Diagnostics. 2022; 12(3):564. https://doi.org/10.3390/diagnostics12030564
Chicago/Turabian StyleAdwan, Hamzah, Thomas J. Vogl, Ümniye Balaban, and Nour-Eldin Abdelrehim Nour-Eldin. 2022. "Percutaneous Thermal Ablation Therapy of Hepatocellular Carcinoma (HCC): Microwave Ablation (MWA) versus Laser-Induced Thermotherapy (LITT)" Diagnostics 12, no. 3: 564. https://doi.org/10.3390/diagnostics12030564
APA StyleAdwan, H., Vogl, T. J., Balaban, Ü., & Nour-Eldin, N.-E. A. (2022). Percutaneous Thermal Ablation Therapy of Hepatocellular Carcinoma (HCC): Microwave Ablation (MWA) versus Laser-Induced Thermotherapy (LITT). Diagnostics, 12(3), 564. https://doi.org/10.3390/diagnostics12030564
 
         
                                                




 
       