Abstract
Radiology plays a crucial role for the diagnosis and management of COVID-19 patients during the different stages of the disease, allowing for early detection of manifestations and complications of COVID-19 in the different organs. Lungs are the most common organs involved by SARS-CoV-2 and chest computed tomography (CT) represents a reliable imaging-based tool in acute, subacute, and chronic settings for diagnosis, prognosis, and management of lung disease and the evaluation of acute and chronic complications. Cardiac involvement can be evaluated by using cardiac computed tomography angiography (CCTA), considered as the best choice to solve the differential diagnosis between the most common cardiac conditions: acute coronary syndrome, myocarditis, and cardiac dysrhythmia. By using compressive ultrasound it’s possible to study the peripheral arteries and veins and to exclude the deep vein thrombosis, directly linked to the onset of pulmonary embolism. Moreover, CT and especially MRI can help to evaluate the gastrointestinal involvement and assess hepatic function, pancreas involvement, and exclude causes of lymphocytopenia, thrombocytopenia, and leukopenia, typical of COVID-19 patients. Finally, radiology plays a crucial role in the early identification of renal damage in COVID-19 patients, by using both CT and US. This narrative review aims to provide a comprehensive radiological analysis of commonly involved organs in patients with COVID-19 disease.
1. Introduction
Since SARS-CoV-2 has been declared a pandemic by the World Health Organization in March 2020, global attention and strength were shifted to know, understand, and fight the virus. The effort was unanimous in every sector of science, technology, and health care institution, enforcing the medical treatment and organization, reconverting the workforce, developing Artificial Intelligence (AI) tools to help medical decisions, collaborating to carry on the expertise in every field of normal life, enhancing the best management possible of COVID-19 outbreak.
In this setting, considering the wide manifestation of SARS-CoV-2 in the whole body, diagnostic imaging plays a crucial role in the early detection of manifestations and complications of COVID-19 [1].
The primum movens pathological factor responsible for COVID-19 disease is the angiotensin-converting enzyme 2 (ACE2) receptor, widely expressed in different mammalian cells and human organs, including lung, cardiac, brain, and renal tissues. The viral protein of SARS-CoV-2 binds to the ACE2 receptor and enters different cells, causing various and different clinical scenarios [2].
It is now known that one hallmark of the disease is acute respiratory distress syndrome (ARDS), which was the driving focus of research and treatment, because it is the most common and severe feature, accounting for about 20% of recovered patients during the first wave of pandemic [3]. Chest X-rays and Computed Tomography (CT) are sensitive and effective techniques to identify, follow, and quantify the lung involvement and to drive the clinical decision, such as the need for mechanical ventilation and intensive care unit (ICU) recovery, and forecast or confirm doubt RT-PCR test [4,5].
The expression of ACE2 receptor in cardiomyocytes and the systemic inflammatory response syndrome can lead to cardiovascular involvement, including acute coronary syndrome, myocarditis, cardiac dysrhythmia [6], and thrombotic manifestations [7], which can be diagnosticated with CT and ultrasound (US).
Moreover, a growing incidence of a wide range of neurological manifestations confirms the hypothesis of COVID-19 neuro-invasion, and Magnetic Resonance Imaging (MRI) should be considered the reference standard in these scenarios [8].
Finally, COVID-19 infection may cause involvement of abdominal organs due to direct viral infection, thromboembolic complications, or indirect drug-induced complications [9,10,11]. In these settings, US and CT should be performed to support the final diagnosis and decide the best management.
On these bases, this narrative review aims to illustrate pearls and pitfalls of radiological techniques, to suggest how to investigate the different manifestations of the disease, to depict common and uncommon whole-body radiological findings (Figure 1).
Figure 1.
Schematic representation of the role of diagnostic radiology: confirm clinical suspicion in case of non-diagnostic polymerase chain reaction test, help solving the differential diagnosis, identify and follow the progression of possible complications and, finally, perform a risk stratification of patients affected with SARS-CoV-2.
2. Lung Involvement
2.1. The Usefulness of Chest CT
Chest CT represents a reliable imaging-based tool in acute, subacute, and chronic settings for diagnosis, prognosis, and management of lung disease and the evaluation of acute and chronic complications of patients with COVID-19 infection [4,5].
According to the European Society of Radiology and European Society of Thoracic Imaging (ESR/ESTI) advice paper and recommendations of the French Society of Thoracic Imaging, unenhanced chest CT during the first wave of the pandemic was indicated for patients presenting with dyspnea, polypnea, or desaturation, pending RT-PCR results [12].
A recent meta-analysis, reported a chest CT pooled sensitivity of 94.6% and a pooled specificity of 46% in the detection of COVID-19; however, 10.6% of symptomatic patients with RT-PCR test-proved COVID 19 have normal chest CT findings suggesting a significant number of false-negative [13].
CT examination could also lead to a high number of false positives due to overlapping imaging features with a wide spectrum of other diseases, such as other viral pneumonia [14].
Even if CT is not the reference standard for the diagnosis of COVID-19, the Fleischner Society published a consensus statement on the use of chest imaging, underlying that it is not indicated as a screening test in asymptomatic patients or patients with mild respiratory symptoms [15].
On the other hand, chest CT represents a useful technique along the course of the disease, especially to stratify the severity of lung involvement and to predict outcomes in COVID-19 helping to a proper triaging of patients and allocation of resources [16].
2.2. Typical CT Findings
The typical pulmonary histologic damage in COVID-19 pneumonia includes acute and organizing diffuse alveolar damage [17].
The primary and most frequent findings on CT, reported in more than 70% of RT-PCR test-proven COVID-19 cases, include ground-glass opacities (GGOs), crazy paving appearance, air space consolidations, broncho-vascular thickening, and vascular enlargement within pneumonia areas [18,19]. Among them, the most typical CT features of COVID-19 pneumonia are bilateral and multifocal GGOs which are predominantly distributed in the peripheral, posterior, and lower zones [20].
According to literature, in the early phase of the disease, the GGOs may present as a unifocal lesion, most commonly located in the inferior lobe of the right lung [21].
Pulmonary artery branch dilatation has been proposed as an early predictor of lung impairment; indeed, it usually occurs in locations where lung abnormalities will likely develop in the short term [22].
Chest CT anomalies with a low incidence (<10%) in patients with COVID-19 infection include pleural effusion (5.2%), lymphadenopathy (5.1%), tree-in-bud sign (4.1%), central lesion distribution (3.6%), pericardial effusion (2.7%), and cavitating lung lesions (0.7%) [17].
2.3. CT Findings Evolution
Knowledge of the natural temporal evolution of lung abnormalities in patients with COVID-19 pneumonia is necessary for the radiologist to better evaluate the prognosis and the risk of complications [5,12,13,16,17,18,19].
Four stages on CT have been described [23,24]: early/initial (0–4 days) characterized by normal CT or GGO only; progressive (5–8 days) with increased GGOs and crazy paving appearance; peak (9–13 days) characterized by lung consolidation and absorption stage (>14 days) with the appearance of fibrotic changes (Figure 2).
Figure 2.
Axial chest CT images with windowing and leveling for the evaluation of lung parenchyma in patients affected by SARS-CoV-2 according to the different stages of the disease. (A). Early or initial stage (0–4 days): normal CT or sporadic ground-glass opacities (white arrow). (B). Progressive stage (5–8 days): ground-glass opacities are widely distributed, and crazy paving appearance can be evident (white arrowhead). (C). Peak stage (9–13 days): lung consolidations (black arrow) appear nearby the ground-glass opacities. (D). Absorption stage (>14 days): consolidations and ground-glass opacities slowly disappear while fibrotic findings can be evident, especially in the peripheral and lower zones (black arrowhead).
Lung damage is maximal at around day 10 and then generally decreases progressively in size and attenuation value [25].
Lung abnormalities on CT may persist beyond one month in up to 98% of patients, particularly in those with initial severe lung disease at baseline [24]. Nevertheless, the long-term sequelae of COVID-19 and the associated lung abnormalities remain uncertain.
2.4. Disease Severity
The density of pulmonary lesions, pleural effusion, early architectural distortion, bronchial dilatations, and consolidations in upper lobes on initial CT seem to be associated with poor outcomes [26,27,28].
Several studies have proposed CT-based semi-quantitative scores to evaluate the extent of lung involvement in COVID-19 pneumonia [28,29,30], to predict outcome and choose the correct management.
The Radiological Society of North America (RSNA) has published a Chest CT classification system for reporting COVID-19 pneumonia, based on lung involvement percentage by scoring the percentage of each lobe involvement individually [31]. The cut-off value for identifying severe cases of COVID-19 of CT score was reported as “17”, with 80.0% and 82.8% sensitivity and specificity, respectively [31].
Moreover, the use of a semi-automated CT algorithm for segmentation and quantification of the ventilated lung correlates with disease severity, laboratory parameters, and outcome, as well as the need for invasive ventilation [32].
The RSNA has provided a guidance document for reporting chest CT imaging findings in typical, indeterminate, atypical, and negative (Table 1) [33].
Table 1.
Proposed CT classification for patients with suspected involvement by SARS-CoV-2.
A study evaluating the RSNA chest CT classification system for COVID-19 against RT-PCR results found moderate to a substantial inter-observer agreement [29].
2.5. Complications
In patients with clinical worsening, chest imaging is suggested also to progression or complications. About 15–30% of hospitalized patients progress to ARDS, which is the main cause of mortality [34].
It has been reported that COVID-19 related ARDS can develop 8–12 days after symptoms onset [34] which is longer than the 1-week onset limit according to Berlin definition.
Barotrauma, including pneumothorax, pneumomediastinum, and pneumopericardium, have been reported in intubated patients [31]. Longer hospital length of stay and younger age were associated with a higher incidence of barotrauma events [34].
In COVID-19 patients there is an exacerbated systemic inflammatory response leading to a hypercoagulability state with a marked increase of D-dimer serum level, that may result in pulmonary embolism in about 17% and 35% of cases with an average time to diagnosis of around 16 days after symptoms onset [35].
2.6. The Usefulness of Chest X-ray
Although CT has good sensitivity and specificity for the diagnosis of COVID-19 pneumonia, the adoption of chest X-ray (CXR) during pandemic peaks and slumps may help to reduce the spread of the virus, avoid the overload of CT room and have a quick glaze of lung involvement. Nevertheless, only a few studies assessed the role of CXR for COVID-19 pneumonia [36].
Similar to chest CT, the most common and typical CXR findings are GGOs and consolidations, especially with a bilateral, lower, and peripheral zones distribution, with an overall sensitivity of 67% [37].
During pandemics peaks, CXR may help at admission in the emergency department, to prompt a quick triage and evaluate the lung involvement [38].
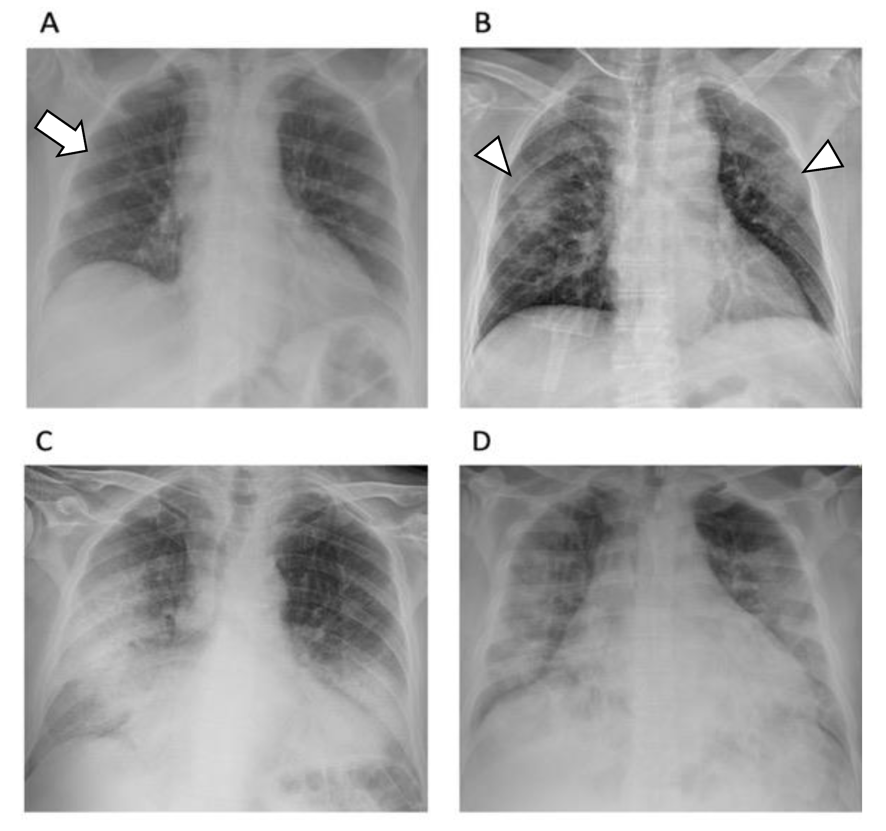
The CXR severity score is associated with the risk of intubation and hospitalization time [39]. Moreover, together with clinical data, CXR may help in predicting mortality and the need for ventilatory support [40]. Based on the American College of Radiology recommendations [41], CXR should be considered as a first diagnostic tool during pandemic peaks to obtain a quick, cheap, safe, and reproducible evaluation of lung involvement (Figure 3), although diagnostic accuracy is limited.
Figure 3.
Chest X-ray of patients affected by SARS-CoV-2 according to the extent of lung abnormalities involvement. (A). Lung involvement ≤ 25% (arrow). (B). Lung involvement 25–50% (arrowheads). (C). Lung involvement 50–75%. (D). Lung involvement ≥ 75%.
2.7. The Usefulness of Lung Ultrasound (LUS)
Lung ultrasound is a non-invasive bedside technique used to diagnose interstitial lung syndrome through evaluation and quantitation of the number of B-lines, pleural irregularities and nodules or consolidations, especially useful in patients admitted to the intensive care unit [42]. Moreover, the presence of inhomogeneous bilateral pattern of multiple B-lines and white lung, with scattered areas, characterizes ARDS.
In patients with COVID-19 pneumonia, LUS can reveal a typical pattern of diffuse interstitial lung syndrome, characterized by multiple bilateral B-lines with spared areas, thickening and irregularity of the pleural line and, sometimes, peripheral consolidations. All these findings are similar to the abovementioned features typical of CT [43].
A recently published meta-analysis by Jari et al. [44], by including 16 eligible studies, demonstrated that the pooled sensitivity and specificity were 86.9% and 62.4%, respectively, compared with 93.5% and 72.6%, respectively, for CT. The authors demonstrated that LUS reported an acceptable sensitivity at the cost of low specificity in the diagnosis of SARS-CoV-2 lung involvement.
3. Cardiovascular Involvement
3.1. Cardiac Involvement
Cardiac involvement in SARS-CoV-2 infection has been reported and it is likely related to either direct or indirect damage [45]. The direct damage is related to the presence of the ACE2 receptor in cardiomyocytes [46,47], while the indirect one is probably caused by the systemic inflammatory response syndrome including cytokine storm, dysregulated immunocytes, and uncontrolled inflammation [25], driving endothelial cell dysregulation with the consequent pro-thrombotic phenotype [48], inducing acute coronary syndrome.
Although SARS-CoV-2 cardiac involvement is defined as an increase of troponin above the 99th percentile of the upper reference limit during the disease, troponin levels are not accurate [49]. Therefore, myocardial involvement needs a global evaluation, including imaging in selected cases, based on the European Society of Cardiovascular Radiology (ESCR) recommendations [50].
The most common cardiac conditions occurring in COVID-19 patients are acute coronary syndrome (ACS) (4–25%) [51], myocarditis (8–12%), and cardiac dysrhythmia (6–17%) [6].
3.2. The Usefulness of Cardiac Imaging
As ESCR recommended, Cardiac Computed Tomography Angiography (CCTA) is the best choice to study patients with COVID-19 disease with suspicious cardiac involvement [50]. CCTA is preferred to transesophageal echocardiography in the evaluation of left atrial appendage thrombus in patients with arrhythmia or the study of valve endocarditis, for the safety of operators and patients [50]. CCTA may help for the evaluation of coronary arteries for excluding the presence of suspicious ACS, to avoid unnecessary angiographic catheterization [50].
Overall, CT is a valid tool to identify pneumonia, obstructive coronary artery disease, and pulmonary embolism, with the advantage of a triple rule out [6,50,51].
3.3. Peripheral Vascular Involvement
Vascular involvement by SARS-CoV-2 has been well established in recent literature. The biochemical mechanisms leading to endothelial attachment and subsequent inflammation and dysfunctions, often with thrombotic manifestations, have been investigated [7].
3.4. Peripheral Vein Thrombosis
Lower and upper extremity Doppler ultrasound is the first-line imaging modality for diagnosis of peripheral venous thrombosis [52]: it is rapid, cost-effective, and can be performed at the bedside. In a systematic review of observational studies reporting the incidence of venous or arterial thromboembolism by Boonyawat et al. [53] based on compression ultrasound (CUS) screening, COVID-19 patients had a high incidence of deep vein thrombosis (DVT), particularly if hospitalized in ICUs.
Another multicenter prospective study including 227 consecutive patients with moderate-severe COVID-19 pneumonia showed a relevant incidence of DVT in acutely ill patients with COVID-19 pneumonia, mostly asymptomatic [54]. Based on the results, these studies recommend a surveillance protocol by serial CUS of the lower limbs to timely identify DVT.
3.5. Peripheral Arterial Thrombosis
Cases of atypical presentation of COVID-19 with thrombosis at multiple sites, involving peripheral arteries in the upper or lower limbs have been reported [55]: the diagnosis was achieved through total-body CT angiography or CT angiography for upper or lower extremities. The retrospective study by Goldman et al. [56] witnessed an elevated positivity rate (100% patients had at least one lower extremity clot) amongst CT angiographic studies performed for claudication symptoms in COVID-19 patients with a higher clot burden and worse prognosis (higher incidence of amputation or death) in test population when compared with the control group. Considering the risk of thromboembolic events, low molecular weight heparin (LMWH) at prophylactic dose is considered as an option in bedridden patients with acute COVID-19 infection, as thrombotic processes in the vessels induced by the inflammatory cascade is described [57]. Post-thrombotic sequelae have been less widely considered in recent literature, as the long-term effects of the infection are not yet clear [58].
4. Central Nervous System Involvement
ACE2 receptor is expressed also in glial cells and neurons of the mammalian brain, in particular on the membrane of brainstem nuclei involved in cardiopulmonary function [59]. According to this evidence, SARS-CoV-2 is considered to have potential neuro-invasiveness that might lead to acute brain disorders within his replication and infection of CNS cells [60].
The hypothesis of COVID-19 neuro-invasion is confirmed by a growing incidence of a wide range of neurological manifestations [8]. During the various waves of the 2020 crisis, it was increasingly evident that SARS-CoV-2 can contribute to several neurological manifestations including anosmia, seizures, stroke, confusion, encephalopathy, and total paralysis [61].
The reference standard imaging technique for patients with suspected COVID-19 neurological involvement is brain MRI [62].
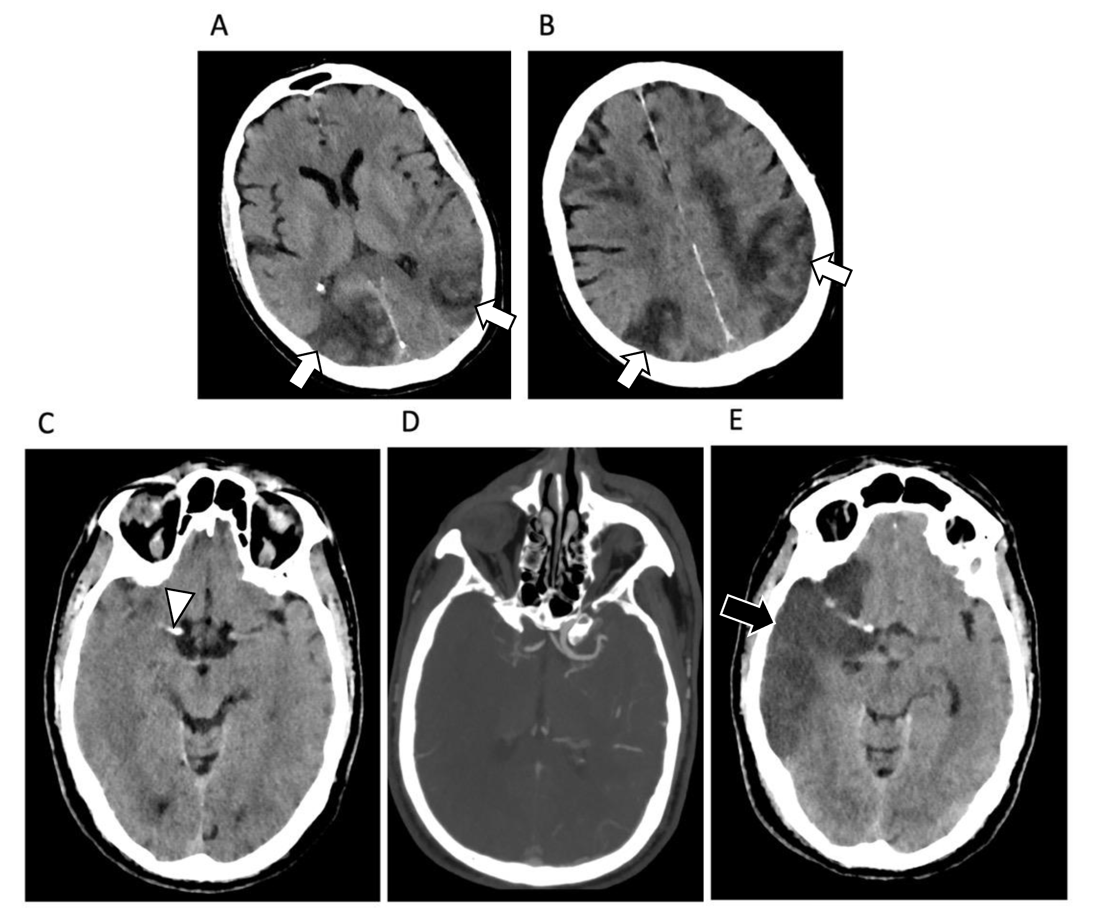
Egbert et al. [63] collected data from 361 patients with COVID neurological symptoms and, in this court, brain abnormalities suggestive of COVID-19 etiology were present in 34%. The most common brain lesions were: white matter (WM) hyperintensities, microhemorrhages, infarct, edema, ischemia, hematoma, and smaller olfactory bulb (Figure 4).
Figure 4.
Brain findings in COVID-19 patients. (A,B) Axial brain CT images of a 56-year-old man affected by SARS-CoV-2-related pneumonia showing multiple hypoattenuating areas located in the cortical junction bilaterally, with a predominant extension in the parietal and occipital lobes, due to ischemia (white arrows). (C) Axial brain CT images of a 71-year-old woman affected by SARS-CoV-2-related pneumonia showing hyperdense artery sign in the right middle cerebral artery (white arrowhead), due to acute thrombosis. This finding was confirmed by brain CT angiography (D) showing a complete thrombosis of the middle cerebral artery. After 15 days brain CT images (E) show a large hypoattenuating area in the fronto-parietal lobe (black arrow) due to the brain ischemia.
WM hyperintensities, which together accounted for 76% of affected cases were bilateral. Changes were also registered in the insular cortex, cingulate gyri, cerebral peduncle and internal capsule and basal ganglia, splenium of the corpus callosum, olfactory nerves/bulb, and gyrus rectus or described as diffuse [64].
Microhemorrhages in WM were noted in about 13% with a bilateral diffuse presentation, in corpus callosum and putamen, bilateral juxtacortical WM, and internal capsule [64]. However, Dixon et al. [65] associate the presence of micro-bleeds in COVID-19 patients with severe hypoxia and not with SARS-CoV-2 neuro-invasion.
Brain stroke was reported in about 10% of cases, mainly with involvement of bilateral anterior and posterior circulation territories. Hemorrhages were noted in about 6% of cases with multiple and various locations, more commonly with bilateral involvement, usually of posterior parieto-occipital lobes and corpus callosum, frontal, occipital, and temporal areas including Sylvian fissure or with lateral ventricles involvement [66,67].
Nonspecific edema was reported in 3% of cases in bilateral WM with a diffuse presentation [68].
The likely association of COVID-19 with cerebrovascular disease may reflect an increased risk of secondary vessel thrombosis [69].
Gulko et al. [70], analyzed other 126 patients with brain MRI and classified neuro-COVID patients according to the most common interpretation of MRI abnormalities and not only on the type of lesions. The most commons diagnoses were acute or subacute infarcts (25.3%), posterior reversible encephalopathy syndrome (PRES), hemorrhagic lesions (3%), dural venous sinus thrombosis (1.5%), demyelinating lesions (2.3%), acute hemorrhagic necrotizing encephalopathy (0.07%), and hypoxic-ischemic encephalopathy (0.07%).
Even though brain radiological features in CNS involvement are still nonspecific and not strictly related to the clinical symptoms, literature underlines the importance of MRI to better evaluate SARS-CoV-2 brain infection [71].
5. Abdominal Organs Involvement
COVID-19 infection may cause involvement of abdominal parenchymal organs and the gastrointestinal (GI) tract. The causative mechanisms include direct viral infection, indirect thromboembolic complications, or indirect drug-induced complications [9,10,11].
Interestingly, patients with severe COVID-19 have significantly higher rates of abdominal pain [odds ratio (OR) = 7.10] compared with those with non-severe disease [72]. The occurrence of abdominal imaging manifestation in COVID-19 patients may be incidental in some cases and it may be difficult to understand if COVID-19 infection is the causative mechanism [73,74]. US should be the first imaging technique to assess the hepatobiliary system, the spleen and the genitourinary involvement, while abdominal x-ray may be used to exclude the suspicion of bowel obstruction or perforation. If ultrasound or x-ray are doubtful, abdominal CT should be then performed. In case of suspicion of vascular involvement of spleen, kidney or gastrointestinal which may lead to ischemia, abdominal CT should be performed as first imaging technique. The assessment of pancreas is doable but usually difficult on ultrasound, which means that in most cases abdominal CT is indicated; however, it is worth mentioning that in case of suspicion of pancreatitis, abdominal CT should be performed after 3 to 5 days after symptom onset to best assess if edematous or necrotic and complications.
5.1. Hepatobiliary System
Baseline laboratory investigations performed on the suspicion of COVID-19 infection at hospital admission usually include the assessment of hepatic function [5]. Abnormal liver function at hospital admission is encountered in more than one-third of patients with SARS-CoV-2 infection [75] and is associated with systemic inflammation, longer means hospital stays, organ dysfunction, and admission to ICU or even death [75,76].
A retrospective study including COVID-19 patients who performed abdominal imaging examinations demonstrated that about half of the patients had findings of gallbladder bile stasis, which is however common in critically ill patients [77]. Interestingly, less than 3% of patients who performed CT in this study had signs of liver injury [78]. There are several reports of acute acalculous cholecystitis and it is not clear whether this is associated directly with ACE2 receptor expression in the gallbladder wall or with prolonged parenteral nutrition [79,80].
5.2. Pancreas
Abnormality in amylase or lipase values has been encountered in about 12–17% of COVID-19 patients [81]. However, the causes of high levels of amylase or lipase may be not related to pancreatic injury itself [82], and rarely result in acute pancreatitis [83]. Pancreatic involvement in COVID-19 infection is theoretically likely due to the presence of ACE2 receptors in the pancreas [84].
Overall, about 3% of COVID-19 patients with abdominal CT scans show findings of pancreatitis [77]. Funt et al. [74] found a similar rate (about 11%) of pancreatitis on CT in COVID-19 and non-COVID-19 patients who underwent abdominal CT in the emergency department in the same timeframe. In a study by Dirweesh et al. [85] the occurrence of acute pancreatitis was similar in COVID-19 and non-COVID-19 patients, but patients with COVID-19 had a higher Charlson Comorbidity Index and Bedside Index of Severity in Acute Pancreatitis scores on presentation. Interestingly, in two studies comparing non-severe and severe COVID-19 patients, there were no laboratory or imaging signs of pancreatitis in patients within the former group while pancreatitis was detected in 7.5–32.5% of patients with severe COVID-19 disease [85,86].
5.3. Spleen
Baseline laboratory investigations performed on the suspicion of COVID-19 infection at hospital admission oftentimes show lymphocytopenia, thrombocytopenia, and leukopenia [87].
Splenic involvement in COVID-19 infection has been reported in a few cases at imaging. Imaging findings of splenic involvement in COVID-19 include spleen size increase in the early stages [88], splenic infarction [77,89] as well as atraumatic splenic rupture, and arterial thrombosis [90].
5.4. Gastrointestinal Tract
Digestive symptoms occur in about 15% of COVID-19 patients with nausea or vomiting, diarrhea, and loss of appetite being the three most common symptoms [72].
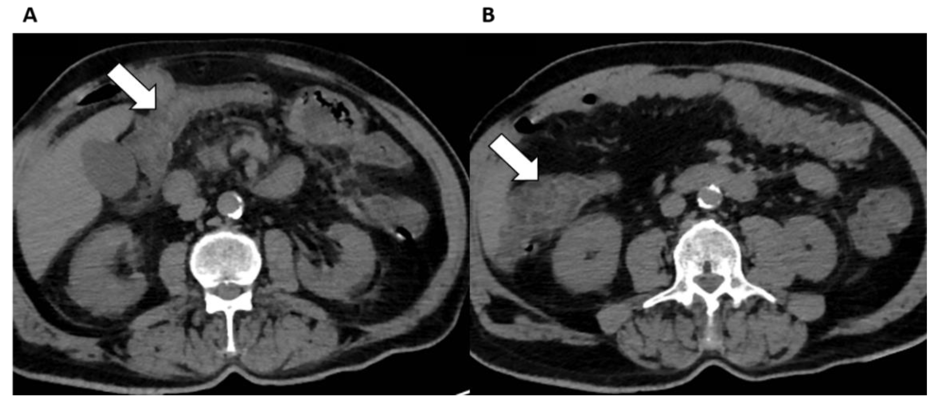
Abdominal CT scans performed in hospitalized patients with COVID-19 showed abnormalities in the bowel wall or fluid-filled colon in 18–31% and 43% of patients, respectively, with a significantly higher occurrence of these findings in ICU patients as compared to patients not in the ICU [78]. Bowel abnormalities (Figure 5) on CT include findings of inflammation, ischemia, obstruction, diverticulitis, and, even, perforation [74,78]. Macrovascular arterial or venous thrombosis is identified in almost half of COVID-19 patients with bowel ischemia [91]. Interestingly, abnormalities in the bowel seem to occur independently of severity of pulmonary involvement, other clinical and laboratory features [92].
Figure 5.
Intestinal findings in a COVID-19 patient admitted to the Emergency Department for abdominal pain. (A,B) Unenhanced axial abdominal CT images show bowel wall thickening in the transvers colon (arrows) with adjacent fat stranding consistent with intestinal involvement with ischemic lesions.
6. Genitourinary Involvement
In the genitourinary system, the kidneys are the most affected organ in patients with COVID-19. Renal injury most commonly manifests with increased serum creatinine, proteinuria, hematuria, and low glomerular filtration rate. Renal insufficiency is a serious complication in critically ill patients with COVID-19 and it may occur at any time in the course of the disease [93]. Acute kidney injury has been reported in up to 16–55% of hospitalized COVID-19 patients and it has been strictly associated with the severity of the pulmonary disease and older patients’ age [94,95]. Moreover, impaired renal function is a poor prognostic factor in hospitalized patients, being associated with longer hospitalization length stay, high in-hospital mortality, and subsequent chronic kidney disease in survivors, with the need of a kidney replacement therapy [96,97].
The pathophysiological mechanisms of renal damage during COVID-19 infection are still debated. Several causes have been postulated including direct cellular injury due to the expression of ACE2 in tubular cells, inflammatory and immune over-reaction with glomerular cells injury, a pro-coagulant state with microvascular thrombosis, as well as secondary damage due to hemodynamic instability (i.e., systemic hypotension or reduced cardiac output) and nephrotoxic drugs in critically ill patients [98,99].
Involvement of other urogenital organs, such as the urinary bladder, is rare in COVID-19 patients, and bladder wall thickening or hemorrhage has been occasionally described [100].
Kidneys
Radiologists play a crucial role in the early identification of renal damage in COVID-19 patients. US should be considered as the first-line modality at the time of admission in patients with impaired renal function and for renal imaging in critically ill patients, as it can be performed in the intensive care unit at the bedside and can be repeated for close patient’s follow-up. US provides a quick and non-invasive assessment of renal morphology and echogenicity, vascular patency of the main renal vessels, and renal resistive index on color Doppler to detect potential renal microcirculation damage. Increased echogenicity of the renal cortex and loss of corticomedullary differentiation can be observed in patients with acute kidney injury [100]. Moreover, ultrasound can rule out other causes of renal damage not related to COVID-19, such as obstructive nephropathy.
Abdominal CT may be performed at the time of admission for the initial workup of critically ill patients with abdominal symptoms. On unenhanced CT images, decreased parenchymal density and perinephric fat stranding were associated with impaired renal function in COVID-19 patients [101].
Radiologists’ evaluation of kidneys should pay particular attention to the patency of main renal vessels due to the known risk of thromboembolic complications in COVID-19 [10]. The kidney is the second most common site of abdominal ischemia after the bowel, with a reported incidence of renal infarct of 3–19% in patients undergoing contrast-enhanced CT. Renal artery thrombosis can be secondary to embolic phenomena or due to local thrombus development. Contrast-enhanced CT findings include occlusion of the renal artery or its branches with ipsilateral parenchymal infarct characterized by wedge shape hypointensity of the renal cortex [102]. Global renal infarct can occur in case of complete thrombosis of the main renal artery, while bilateral infarcts have been occasionally described in patients with COVID-19 [102]. Renal vein thrombosis has also been reported in COVID-19 patients with concomitant pulmonary embolism [102]. Other renal complications such as pyelonephritis are less commonly observed in COVID-19 patients [103].
7. Conclusions
Although COVID-19 is reported as a disease that primarily affects the lungs, it can involve and damage several other organs, increasing the risk of both acute and long-term health problems. Moreover, even if clinical manifestations of SARS-CoV-2 are nowadays mild in comparison to the first wave, it is important to remember all the different and ambiguous clinical scenarios that we can face in everyday practice, due to the wide expression of ACE2 receptor. For this reason, it is paramount that radiologists increase the awareness of SARS-CoV-2 whole-body involvement, to help solve the differential diagnosis, quickly identify possible complications, and guarantee the best management possible.
Funding
This research received no external funding.
Informed Consent Statement
Not applicable.
Data Availability Statement
Not applicable.
Conflicts of Interest
The authors declare no conflict of interest for this study. Roberto Cannella has the following disclosure, not related to this work: received support from Bracco to attend a meeting. Federica Vernuccio has the following disclosure, not related to this work: received support from GE Healthcare to attend a meeting and from Guerbet for a lecture.
References
- Carpenter, C.R.; Mudd, P.A.; West, C.P.; Wilber, E.; Wilber, S.T. Diagnosing COVID-19 in the Emergency Department: A Scoping Review of Clinical Examinations, Laboratory Tests, Imaging Accuracy, and Biases. Acad. Emerg. Med. 2020, 27, 653–670. [Google Scholar] [CrossRef] [PubMed]
- Bourgonje, A.R.; Abdulle, A.E.; Timens, W.; Hillebrands, J.L.; Navis, G.J.; Gordijn, S.J.; Bolling, M.C.; Dijkstra, G.; Voors, A.A.; Osterhaus, A.D.; et al. Angiotensin-converting enzyme 2 (ACE2), SARS-CoV-2 and the pathophysiology of coronavirus disease 2019 (COVID-19). J. Pathol. 2020, 251, 228–248. [Google Scholar] [CrossRef] [PubMed]
- Tzotzos, S.J.; Fischer, B.; Fischer, H.; Zeitlinger, M. Incidence of ARDS and outcomes in hospitalized patients with COVID-19: A global literature survey. Crit. Care 2020, 24, 1–4. [Google Scholar] [CrossRef] [PubMed]
- Ippolito, D.; Maino, C.; Pecorelli, A.; Allegranza, P.; Cangiotti, C.; Capodaglio, C.; Mariani, I.; Giandola, T.; Gandola, D.; Bianco, I.; et al. Chest X-ray features of SARS-CoV-2 in the emergency department: A multicenter experience from northern Italian hospitals. Respir. Med. 2020, 170, 106036. [Google Scholar] [CrossRef] [PubMed]
- Lo Bianco, G.; Di Pietro, S.; Mazzuca, E.; Imburgia, A.; Tarantino, L.; Accurso, G.; Benenati, V.; Vernuccio, F.; Bucolo, C.; Salomone, S.; et al. Multidisciplinary Approach to the Diagnosis and In-Hospital Management of COVID-19 Infection: A Narrative Review. Front. Pharmacol. 2020, 11, 572168. [Google Scholar] [CrossRef] [PubMed]
- Manolis, A.S.; Manolis, T.A.; Apostolopoulos, E.J.; Papatheou, D.; Melita, H. COVID-19 infection and cardiac arrhythmias. Trends Cardiovasc. Med. 2020, 30, 451–460. [Google Scholar] [CrossRef]
- Becker, R.C. COVID-19-associated vasculitis and vasculopathy. J. Thromb. Thrombolysis 2020, 50, 499–511. [Google Scholar] [CrossRef]
- Helms, J.; Kremer, S.; Merdji, H.; Clere-Jehl, R.; Schenck, M.; Kummerlen, C.; Collange, O.; Boulay, C.; Fafi-Kremer, S.; Ohana, M.; et al. Neurologic Features in Severe SARS-CoV-2 Infection. N. Engl. J. Med. 2020, 382, 2268–2270. [Google Scholar] [CrossRef]
- Shaukat, I.; Khan, R.; Diwakar, L.; Kemp, T.; Bodasing, N. Atraumatic splenic rupture due to covid-19 infection. Clin. Infect. Prac. 2020, 10, 100042. [Google Scholar] [CrossRef]
- Wang, W.; Xu, Y.; Gao, R.; Lu, R.; Han, K.; Wu, G.; Tan, W. Detection of SARS-CoV-2 in Different Types of Clinical Specimens. JAMA 2020, 323, 1843–1844. [Google Scholar] [CrossRef] [Green Version]
- Vernuccio, F.; Lombardo, F.; Cannella, R.; Panzuto, F.; Giambelluca, D.; Arzanauskaite, M.; Midiri, M.; Cabassa, P. Thromboembolic complications of COVID-19: The combined effect of a pro-coagulant pattern and an endothelial thrombo-inflammatory syndrome. Clin. Radiol. 2020, 75, 804–810. [Google Scholar] [CrossRef] [PubMed]
- Revel, M.-P.; Parkar, A.P.; Prosch, H.; Silva, M.; Sverzellati, N.; Gleeson, F.; Brady, A.; European Society of Radiology (ESR) and the European Society of Thoracic Imaging (ESTI). COVID-19 patients and the radiology department—Advice from the European Society of Radiology (ESR) and the European Society of Thoracic Imaging (ESTI). Eur. Radiol. 2020, 30, 4903–4909. [Google Scholar] [CrossRef] [PubMed] [Green Version]
- Adams, H.J.A.; Kwee, T.C.; Yakar, D.; Hope, M.D.; Kwee, R.M. Systematic Review and Meta-Analysis on the Value of Chest CT in the Diagnosis of Coronavirus Disease (COVID-19): Sol Scientiae, Illustra Nos. Am. J. Roentgenol. 2020, 215, 1342–1350. [Google Scholar] [CrossRef] [PubMed]
- Franquet, T. Imaging of Pulmonary Viral Pneumonia. Radiology 2011, 260, 18–39. [Google Scholar] [CrossRef] [PubMed]
- Rubin, G.D.; Ryerson, C.J.; Haramati, L.B.; Sverzellati, N.; Kanne, J.P.; Raoof, S.; Schluger, N.W.; Volpi, A.; Yim, J.-J.; Martin, I.B.; et al. The Role of Chest Imaging in Patient Management During the COVID-19 Pandemic. Chest 2020, 158, 106–116. [Google Scholar] [CrossRef] [PubMed]
- Machnicki, S.; Patel, D.; Singh, A.; Talwar, A.; Mina, B.; Oks, M.; Makkar, P.; Naidich, D.; Mehta, A.; Hill, N.S.; et al. The Usefulness of Chest CT Imaging in Patients with Suspected or Diagnosed COVID-19. Chest 2021, 160, 652–670. [Google Scholar] [CrossRef] [PubMed]
- Adams, H.J.; Kwee, T.C.; Yakar, D.; Hope, M.D.; Kwee, R.M. Chest CT Imaging Signature of Coronavirus Disease 2019 Infection. Chest 2020, 158, 1885–1895. [Google Scholar] [CrossRef]
- Pan, F.; Ye, T.; Sun, P.; Gui, S.; Liang, B.; Li, L.; Zheng, D.; Wang, J.; Hesketh, R.L.; Yang, L.; et al. Time Course of Lung Changes at Chest CT during Recovery from Coronavirus Disease 2019 (COVID-19). Radiology 2020, 295, 715–721. [Google Scholar] [CrossRef] [Green Version]
- Bernheim, A.; Mei, X.; Huang, M.; Yang, Y.; Fayad, Z.A.; Zhang, N.; Diao, K.; Lin, B.; Zhu, X.; Li, K.; et al. Chest CT Findings in Coronavirus Disease-19 (COVID-19): Relationship to Duration of Infection. Radiology 2020, 295, 200463. [Google Scholar] [CrossRef] [Green Version]
- Zhou, S.; Wang, Y.; Zhu, T.; Xia, L. CT Features of Coronavirus Disease 2019 (COVID-19) Pneumonia in 62 Patients in Wuhan, China. Am. J. Roentgenol. 2020, 214, 1287–1294. [Google Scholar] [CrossRef]
- Lv, H.; Chen, T.; Pan, Y.; Wang, H.; Chen, L.; Lu, Y. Pulmonary vascular enlargement on thoracic CT for diagnosis and differential diagnosis of COVID-19: A systematic review and meta-analysis. Ann. Transl. Med. 2020, 8, 878. [Google Scholar] [CrossRef] [PubMed]
- Bai, H.X.; Hsieh, B.; Xiong, Z.; Halsey, K.; Choi, J.W.; Tran, T.M.L.; Pan, I.; Shi, L.-B.; Wang, D.-C.; Mei, J.; et al. Performance of Radiologists in Differentiating COVID-19 from Non-COVID-19 Viral Pneumonia at Chest CT. Radiology 2020, 296, 200823. [Google Scholar] [CrossRef] [PubMed]
- Pan, Y.; Guan, H.; Zhou, S.; Wang, Y.; Li, Q.; Zhu, T.; Hu, Q.; Xia, L. Initial CT findings and temporal changes in patients with the novel coronavirus pneumonia (2019-nCoV): A study of 63 patients in Wuhan, China. Eur. Radiol. 2020, 30, 3306–3309. [Google Scholar] [CrossRef] [PubMed] [Green Version]
- Vernuccio, F.; Giambelluca, D.; Cannella, R.; Lombardo, F.P.; Panzuto, F.; Midiri, M.; Cabassa, P. Radiographic and chest CT imaging presentation and follow-up of COVID-19 pneumonia: A multicenter experience from an endemic area. Emerg. Radiol. 2020, 27, 623–632. [Google Scholar] [CrossRef] [PubMed]
- Cosyns, B.; Lochy, S.; Luchian, M.L.; Gimelli, A.; Pontone, G.; Allard, S.D.; De Mey, J.; Rosseel, P.; Dweck, M.E.; Petersen, S.; et al. The role of cardiovascular imaging for myocardial injury in hospitalized COVID-19 patients. Eur. Heart J. Cardiovasc. Imaging 2020, 21, 709–714. [Google Scholar] [CrossRef] [PubMed]
- Ding, X.; Xu, J.; Zhou, J.; Long, Q. Chest CT findings of COVID-19 pneumonia by duration of symptoms. Eur. J. Radiol. 2020, 127, 109009. [Google Scholar] [CrossRef] [PubMed]
- Hosseini, E.S.; Kashani, N.R.; Nikzad, H.; Azadbakht, J.; Bafrani, H.H.; Kashani, H.H. The novel coronavirus Disease-2019 (COVID-19): Mechanism of action, detection and recent therapeutic strategies. Virology 2020, 551, 1–9. [Google Scholar] [CrossRef]
- Francone, M.; Iafrate, F.; Masci, G.M.; Coco, S.; Cilia, F.; Manganaro, L.; Panebianco, V.; Andreoli, C.; Colaiacomo, M.C.; Zingaropoli, M.A.; et al. Chest CT score in COVID-19 patients: Correlation with disease severity and short-term prognosis. Eur. Radiol. 2020, 30, 6808–6817. [Google Scholar] [CrossRef]
- De Jaegere, T.M.H.; Krdzalic, J.; Fasen, B.A.C.M.; Kwee, R.M.; COVID-19 CT Investigators South-East Netherlands (CISEN) study group. Radiological Society of North America Chest CT Classification System for Reporting COVID-19 Pneumonia: Interobserver Variability and Correlation with Reverse-Transcription Polymerase Chain Reaction. Radiol. Cardiothorac. Imaging 2020, 2, e200213. [Google Scholar] [CrossRef]
- Lieveld, A.W.E.; Azijli, K.; Teunissen, B.P.; van Haaften, R.M.; Kootte, R.S.; Van Den Berk, I.A.H.; van der Horst, S.F.B.; de Gans, C.; van de Ven, P.M.; Nanayakkara, P.W.B. Chest CT in COVID-19 at the ED: Validation of the COVID-19 Reporting and Data System (CO-RADS) and CT Severity Score. Chest 2021, 159, 1126–1135. [Google Scholar] [CrossRef]
- Li, K.; Wu, J.; Wu, F.; Guo, D.; Chen, L.; Fang, Z.; Li, C. The Clinical and Chest CT Features Associated with Severe and Critical COVID-19 Pneumonia. Investig. Radiol. 2020, 55, 327–331. [Google Scholar] [CrossRef] [PubMed]
- Ippolito, D.; Ragusi, M.; Gandola, D.; Maino, C.; Pecorelli, A.; Terrani, S.; Peroni, M.; Giandola, T.; Porta, M.; Franzesi, C.T.; et al. Computed tomography semi-automated lung volume quantification in SARS-CoV-2-related pneumonia. Eur. Radiol. 2021, 31, 2726–2736. [Google Scholar] [CrossRef] [PubMed]
- Simpson, S.; Kay, F.U.; Abbara, S.; Bhalla, S.; Chung, J.H.; Chung, M.; Henry, T.S.; Kanne, J.P.; Kligerman, S.; Ko, J.P.; et al. Radiological Society of North America Expert Consensus Document on Reporting Chest CT Findings Related to COVID-19: Endorsed by the Society of Thoracic Radiology, the American College of Radiology, and RSNA. Radiol. Cardiothorac. Imaging 2020, 2, e200152. [Google Scholar] [CrossRef] [PubMed] [Green Version]
- Huang, C.; Wang, Y.; Li, X.; Ren, L.; Zhao, J.; Hu, Y.; Zhang, L.; Fan, G.; Xu, J.; Gu, X.; et al. Clinical features of patients infected with 2019 novel coronavirus in Wuhan, China. Lancet 2020, 395, 497–506. [Google Scholar] [CrossRef] [Green Version]
- Léonard-Lorant, I.; Delabranche, X.; Séverac, F.; Helms, J.; Pauzet, C.; Collange, O.; Schneider, F.; Labani, A.; Bilbault, P.; Molière, S.; et al. Acute Pulmonary Embolism in Patients with COVID-19 at CT Angiography and Relationship to d-Dimer Levels. Radiology 2020, 296, E189–E191. [Google Scholar] [CrossRef] [Green Version]
- Jacobi, A.; Chung, M.; Bernheim, A.; Eber, C. Portable chest X-ray in coronavirus disease-19 (COVID-19): A pictorial review. Clin. Imaging 2020, 64, 35–42. [Google Scholar] [CrossRef]
- Wong, H.Y.F.; Lam, H.Y.S.; Fong, A.H.-T.; Leung, S.T.; Chin, T.W.-Y.; Lo, C.S.Y.; Lui, M.M.-S.; Lee, J.C.Y.; Chiu, K.W.-H.; Chung, T.W.-H.; et al. Frequency and Distribution of Chest Radiographic Findings in Patients Positive for COVID-19. Radiology 2020, 296, E72–E78. [Google Scholar] [CrossRef] [Green Version]
- Schiaffino, S.; Tritella, S.; Cozzi, A.; Carriero, S.; Blandi, L.; Ferraris, L.; Sardanelli, F. Diagnostic Performance of Chest X-Ray for COVID-19 Pneumonia During the SARS-CoV-2 Pandemic in Lombardy, Italy. J. Thorac. Imaging 2020, 35, W105–W106. [Google Scholar] [CrossRef]
- Kim, H.W.; Capaccione, K.M.; Li, G.; Luk, L.; Widemon, R.S.; Rahman, O.; Beylergil, V.; Mitchell, R.; D’Souza, B.M.; Leb, J.S.; et al. The role of initial chest X-ray in triaging patients with suspected COVID-19 during the pandemic. Emerg. Radiol. 2020, 27, 617–621. [Google Scholar] [CrossRef]
- Balbi, M.; Caroli, A.; Corsi, A.; Milanese, G.; Surace, A.; Di Marco, F.; Novelli, L.; Silva, M.; Lorini, F.L.; Duca, A.; et al. Chest X-ray for predicting mortality and the need for ventilatory support in COVID-19 patients presenting to the emergency department. Eur. Radiol. 2020, 31, 1999–2012. [Google Scholar] [CrossRef]
- ACR—American College of Radiology. ACR Recommendations for the Use of Chest Radiography and Computed Tomography (CT) for Suspected COVID-19 Infection; American College of Radiology: Reston, VA, USA, 2020. [Google Scholar]
- Allinovi, M.; Parise, A.; Giacalone, M.; Amerio, A.; Delsante, M.; Odone, A.; Franci, A.; Gigliotti, F.; Amadasi, S.; Delmonte, D.; et al. Lung Ultrasound May Support Diagnosis and Monitoring of COVID-19 Pneumonia. Ultrasound Med. Biol. 2020, 46, 2908–2917. [Google Scholar] [CrossRef] [PubMed]
- Volpicelli, G.; Gargani, L.; Perlini, S.; Spinelli, S.; Barbieri, G.; Lanotte, A.; Casasola, G.G.; Nogué-Bou, R.; Lamorte, A.; Agricola, E.; et al. Lung ultrasound for the early diagnosis of COVID-19 pneumonia: An international multicenter study. Intensiv. Care Med. 2021, 47, 444–454. [Google Scholar] [CrossRef] [PubMed]
- Jari, R.; Alfuraih, A.M.; McLaughlan, J.R. The diagnostic performance of lung ultrasound for detecting COVID -19 in emergency departments: A systematic review and meta-analysis. J. Clin. Ultrasound 2022. [Google Scholar] [CrossRef] [PubMed]
- Magadum, A.; Kishore, R. Cardiovascular Manifestations of COVID-19 Infection. Cells 2020, 9, 2508. [Google Scholar] [CrossRef] [PubMed]
- Wevers, B.A.; van der Hoek, L. Renin–angiotensin system in human coronavirus pathogenesis. Futur. Virol. 2010, 5, 145–161. [Google Scholar] [CrossRef] [PubMed] [Green Version]
- Nicin, L.; Abplanalp, W.T.; Mellentin, H.; Kattih, B.; Tombor, L.; John, D.; Schmitto, J.D.; Heineke, J.; Emrich, F.; Arsalan, M.; et al. Cell type-specific expression of the putative SARS-CoV-2 receptor ACE2 in human hearts. Eur. Heart J. 2020, 41, 1804–1806. [Google Scholar] [CrossRef] [Green Version]
- Evans, P.C.; Rainger, G.E.; Mason, J.C.; Guzik, T.J.; Osto, E.; Stamataki, Z.; Neil, D.; Hoefer, I.E.; Fragiadaki, M.; Waltenberger, J.; et al. Endothelial dysfunction in COVID-19: A position paper of the ESC Working Group for Atherosclerosis and Vascular Biology, and the ESC Council of Basic Cardiovascular Science. Cardiovasc. Res. 2020, 116, 2177–2184. [Google Scholar] [CrossRef]
- Landoni, G.; Turi, S.; Nardelli, P. Anticoagulants and immunosuppressants in COVID-19: Bullets to Defeat MicroCLOTS. Ann. Card. Anaesth. 2020, 23, 258. [Google Scholar] [CrossRef]
- Executive Committee of the European Society of Cardiovascular Radiology (ESCR); Beitzke, D.; Salgado, R.; Francone, M.; Kreitner, K.-F.; Natale, L.; Bremerich, J.; Gutberlet, M.; Mousseaux, E.; Nikolaou, K.; et al. Cardiac imaging procedures and the COVID-19 pandemic: Recommendations of the European Society of Cardiovascular Radiology (ESCR). Int. J. Cardiovasc. Imaging 2020, 36, 1801–1810. [Google Scholar] [CrossRef]
- Giustino, G.; Pinney, S.P.; Lala, A.; Reddy, V.Y.; Johnston-Cox, H.A.; Mechanick, J.I.; Halperin, J.L.; Fuster, V. Coronavirus and Cardiovascular Disease, Myocardial Injury, and Arrhythmia. J. Am. Coll. Cardiol. 2020, 76, 2011–2023. [Google Scholar] [CrossRef]
- Revzin, M.V.; Raza, S.; Warshawsky, R.; D’Agostino, C.; Srivastava, N.C.; Bader, A.S.; Malhotra, A.; Patel, R.D.; Chen, K.; Kyriakakos, C.; et al. Multisystem Imaging Manifestations of COVID-19, Part 1: Viral Pathogenesis and Pulmonary and Vascular System Complications. RadioGraphics 2020, 40, 1574–1599. [Google Scholar] [CrossRef] [PubMed]
- Boonyawat, K.; Chantrathammachart, P.; Numthavaj, P.; Nanthatanti, N.; Phusanti, S.; Phuphuakrat, A.; Niparuck, P.; Angchaisuksiri, P. Incidence of thromboembolism in patients with COVID-19: A systematic review and meta-analysis. Thromb. J. 2020, 18, 34. [Google Scholar] [CrossRef] [PubMed]
- Pieralli, F.; Pomero, F.; Giampieri, M.; Marcucci, R.; Prisco, D.; Luise, F.; Mancini, A.; Milia, A.; Sammicheli, L.; Tassinari, I.; et al. Incidence of deep vein thrombosis through an ultrasound surveillance protocol in patients with COVID-19 pneumonia in non-ICU setting: A multicenter prospective study. PLoS ONE 2021, 16, e0251966. [Google Scholar] [CrossRef] [PubMed]
- Ogawa, M.; Doo, F.X.; Somwaru, A.S.; Roudenko, A.; Kamath, A.; Friedman, B. Peripheral arterial occlusion due to COVID-19: CT angiography findings of nine patients. Clin. Imaging 2020, 73, 43–47. [Google Scholar] [CrossRef]
- Goldman, I.A.; Ye, K.; Scheinfeld, M.H. Lower-extremity Arterial Thrombosis Associated with COVID-19 Is Characterized by Greater Thrombus Burden and Increased Rate of Amputation and Death. Radiology 2020, 297, E263–E269. [Google Scholar] [CrossRef]
- Lopes, N.; Vernuccio, F.; Costantino, C.; Imburgia, C.; Gregoretti, C.; Salomone, S.; Drago, F.; Bianco, G.L. An Italian Guidance Model for the Management of Suspected or Confirmed COVID-19 Patients in the Primary Care Setting. Front. Public Health 2020, 8, 572042. [Google Scholar] [CrossRef]
- Dhawan, R.T.; Gopalan, D.; Howard, L.; Vicente, A.; Park, M.; Manalan, K.; Wallner, I.; Marsden, P.; Dave, S.; Branley, H.; et al. Beyond the clot: Perfusion imaging of the pulmonary vasculature after COVID-19. Lancet Respir. Med. 2020, 9, 107–116. [Google Scholar] [CrossRef]
- Xia, H.; Lazartigues, E. Angiotensin-converting enzyme 2 in the brain: Properties and future directions. J. Neurochem. 2008, 107, 1482–1494. [Google Scholar] [CrossRef] [Green Version]
- Mao, L.; Jin, H.; Wang, M.; Hu, Y.; Chen, S.; He, Q.; Chang, J.; Hong, C.; Zhou, Y.; Wang, D.; et al. Neurologic Manifestations of Hospitalized Patients with Coronavirus Disease 2019 in Wuhan, China. JAMA Neurol. 2020, 77, 683. [Google Scholar] [CrossRef] [PubMed] [Green Version]
- Meng, X.; Deng, Y.; Dai, Z.; Meng, Z. COVID-19 and anosmia: A review based on up-to-date knowledge. Am. J. Otolaryngol. 2020, 41, 102581. [Google Scholar] [CrossRef]
- Kremer, S.; Lersy, F.; De Sèze, J.; Ferré, J.-C.; Maamar, A.; Carsin-Nicol, B.; Collange, O.; Bonneville, F.; Adam, G.; Martin-Blondel, G.; et al. Brain MRI Findings in Severe COVID-19: A Retrospective Observational Study. Radiology 2020, 297, E242–E251. [Google Scholar] [CrossRef] [PubMed]
- Egbert, A.R.; Cankurtaran, S.; Karpiak, S. Brain abnormalities in COVID-19 acute/subacute phase: A rapid systematic review. Brain Behav. Immun. 2020, 89, 543–554. [Google Scholar] [CrossRef] [PubMed]
- De Stefano, P.; Nencha, U.; De Stefano, L.; Mégevand, P.; Seeck, M. Focal EEG changes indicating critical illness associated cerebral microbleeds in a Covid-19 patient. Clin. Neurophysiol. Prac. 2020, 5, 125–129. [Google Scholar] [CrossRef] [PubMed]
- Dixon, L.; McNamara, C.; Gaur, P.; Mallon, D.; Coughlan, C.; Tona, F.; Jan, W.; Wilson, M.; Jones, B. Cerebral microhaemorrhage in COVID-19: A critical illness related phenomenon? Stroke Vasc. Neurol. 2020, 5, e000652. [Google Scholar] [CrossRef] [PubMed]
- Li, Y.; Li, M.; Wang, M.; Zhou, Y.; Chang, J.; Xian, Y.; Wang, D.; Mao, L.; Jin, H.; Hu, B. Acute cerebrovascular disease following COVID-19: A single center, retrospective, observational study. Stroke Vasc. Neurol. 2020, 5, 279–284. [Google Scholar] [CrossRef] [PubMed]
- Franceschi, A.; Ahmed, O.; Giliberto, L.; Castillo, M. Hemorrhagic Posterior Reversible Encephalopathy Syndrome as a Manifestation of COVID-19 Infection. Am. J. Neuroradiol. 2020, 41, 1173–1176. [Google Scholar] [CrossRef]
- Kadono, Y.; Nakamura, Y.; Ogawa, Y.; Yamamoto, S.; Kajikawa, R.; Nakajima, Y.; Matsumoto, M.; Kishima, H. A case of COVID-19 infection presenting with a seizure following severe brain edema. Seizure 2020, 80, 53–55. [Google Scholar] [CrossRef]
- Hughes, C.; Nichols, T.; Pike, M.; Subbe, C.; Elghenzai, S. Cerebral Venous Sinus Thrombosis as a Presentation of COVID-19. Eur. J. Case Rep. Intern. Med. 2020, 7, 001691. [Google Scholar] [CrossRef]
- Gulko, E.; Oleksk, M.; Gomes, W.; Ali, S.; Mehta, H.; Overby, P.; Al-Mufti, F.; Rozenshtein, A. MRI Brain Findings in 126 Patients with COVID-19: Initial Observations from a Descriptive Literature Review. Am. J. Neuroradiol. 2020, 41, 2199–2203. [Google Scholar] [CrossRef]
- Najt, P.; Richards, H.L.; Fortune, D.G. Brain imaging in patients with COVID-19: A systematic review. Brain Behav. Immun. Health 2021, 16, 100290. [Google Scholar] [CrossRef]
- Mao, R.; Qiu, Y.; He, J.-S.; Tan, J.-Y.; Li, X.-H.; Liang, J.; Shen, J.; Zhu, L.-R.; Chen, Y.; Iacucci, M.; et al. Manifestations and prognosis of gastrointestinal and liver involvement in patients with COVID-19: A systematic review and meta-analysis. Lancet Gastroenterol. Hepatol. 2020, 5, 667–678. [Google Scholar] [CrossRef]
- Yu, X. COVID-19 and Novel Coronavirus Cholecystitis. J. Clin. Gastroenterol. 2020, 55, 368. [Google Scholar] [CrossRef] [PubMed]
- Funt, S.A.; Cohen, S.L.; Wang, J.J.; Sanelli, P.C.; Barish, M.A. Abdominal pelvic CT findings compared between COVID-19 positive and COVID-19 negative patients in the emergency department setting. Abdom. Radiol. 2020, 46, 1498–1505. [Google Scholar] [CrossRef] [PubMed]
- Fan, Z.; Chen, L.; Li, J.; Cheng, X.; Yang, J.; Tian, C.; Zhang, Y.; Huang, S.; Liu, Z.; Cheng, J. Clinical Features of COVID-19-Related Liver Functional Abnormality. Clin. Gastroenterol. Hepatol. 2020, 18, 1561–1566. [Google Scholar] [CrossRef] [PubMed]
- Piano, S.; Dalbeni, A.; Vettore, E.; Benfaremo, D.; Mattioli, M.; Gambino, C.G.; Framba, V.; Cerruti, L.; Mantovani, A.; Martini, A.; et al. Abnormal liver function tests predict transfer to intensive care unit and death in COVID-19. Liver Int. 2020, 40, 2394–2406. [Google Scholar] [CrossRef]
- Molenat, F.; Boussuges, A.; Valantin, V.; Sainty, J.M. Gallbladder abnormalities in medical ICU patients: An ultrasonographic study. Intensiv. Care Med. 1996, 22, 356–358. [Google Scholar] [CrossRef]
- Bhayana, R.; Som, A.; Li, M.D.; Carey, D.E.; Anderson, M.A.; Blake, M.A.; Catalano, O.; Gee, M.S.; Hahn, P.F.; Harisinghani, M.; et al. Abdominal Imaging Findings in COVID-19: Preliminary Observations. Radiology 2020, 297, E207–E215. [Google Scholar] [CrossRef]
- Mattone, E.; Sofia, M.; Schembari, E.; Palumbo, V.; Bonaccorso, R.; Randazzo, V.; La Greca, G.; Iacobello, C.; Russello, D.; Latteri, S. Acute acalculous cholecystitis on a COVID-19 patient: A case report. Ann. Med. Surg. 2020, 58, 73–75. [Google Scholar] [CrossRef]
- Roy, J.; Sahu, N.; Golamari, R.; Vunnam, R. Acute Acalculous Cholecystitis in a Patient with COVID-19 and a LVAD. J. Card. Fail. 2020, 26, 639. [Google Scholar] [CrossRef]
- Wang, F.; Wang, H.; Fan, J.; Zhang, Y.; Wang, H.; Zhao, Q. Pancreatic Injury Patterns in Patients with Coronavirus Disease 19 Pneumonia. Gastroenterology 2020, 159, 367–370. [Google Scholar] [CrossRef]
- McNabb-Baltar, J.; Jin, D.X.; Grover, A.S.; Redd, W.D.; Zhou, J.C.; Hathorn, K.E.; McCarty, T.R.; Bazarbashi, A.N.; Shen, L.; Chan, W.W. Lipase Elevation in Patients with COVID-19. Am. J. Gastroenterol. 2020, 115, 1286–1288. [Google Scholar] [CrossRef] [PubMed]
- De-Madaria, E.; Siau, K.; Cárdenas-Jaén, K. Increased Amylase and Lipase in Patients with COVID-19 Pneumonia: Don’t Blame the Pancreas Just Yet! Gastroenterology 2021, 160, 1871. [Google Scholar] [CrossRef] [PubMed]
- Liu, F.; Long, X.; Zhang, B.; Zhang, W.; Chen, X.; Zhang, Z. ACE2 Expression in Pancreas May Cause Pancreatic Damage After SARS-CoV-2 Infection. Clin. Gastroenterol. Hepatol. 2020, 18, 2128–2130. [Google Scholar] [CrossRef] [PubMed]
- Dirweesh, A.; Li, Y.; Trikudanathan, G.; Mallery, J.S.; Freeman, M.L.; Amateau, S.K. Clinical Outcomes of Acute Pancreatitis in Patients with Coronavirus Disease 2019. Gastroenterology 2020, 159, 1972–1974. [Google Scholar] [CrossRef] [PubMed]
- Akarsu, C.; Karabulut, M.; Aydin, H.; Sahbaz, N.A.; Dural, A.C.; Yegul, D.; Peker, K.D.; Ferahman, S.; Bulut, S.; Dönmez, T.; et al. Association between Acute Pancreatitis and COVID-19: Could Pancreatitis Be the Missing Piece of the Puzzle about Increased Mortality Rates? J. Investig. Surg. 2020, 35, 119–125. [Google Scholar] [CrossRef] [PubMed]
- Yue, H.; Bai, X.; Wang, J.; Yu, Q.; Liu, W.; Pu, J.; Wang, X.; Hu, J.; Xu, D.; Li, X.; et al. Clinical characteristics of coronavirus disease 2019 in Gansu province, China. Ann. Palliat. Med. 2020, 9, 1404–1412. [Google Scholar] [CrossRef]
- Tahtabasi, M.; Hosbul, T.; Karaman, E.; Akın, Y.; Konukoglu, O.; Sahiner, F. Does COVID-19 cause an increase in spleen dimensions? Possible effects of immune activation, hematopoietic suppression and microthrombosis. Clin. Imaging 2021, 79, 104–109. [Google Scholar] [CrossRef]
- Castro, G.R.A.; Collaço, I.A.; Bosco, C.L.B.D.; Corrêa, G.G.; Bosco, G.B.D.; Corrêa, G.L. Splenic infarction as a complication of covid-19 in a patient without respiratory symptoms: A case report and literature review. IDCases 2021, 24, e01062. [Google Scholar] [CrossRef]
- de Roquetaillade, C.; Chousterman, B.; Tomasoni, D.; Zeitouni, M.; Houdart, E.; Guedon, A.; Reiner, P.; Bordier, R.; Gayat, E.; Montalescot, G.; et al. Unusual arterial thrombotic events in Covid-19 patients. Int. J. Cardiol. 2020, 323, 281–284. [Google Scholar] [CrossRef]
- Keshavarz, P.; Rafiee, F.; Kavandi, H.; Goudarzi, S.; Heidari, F.; Gholamrezanezhad, A. Ischemic gastrointestinal complications of COVID-19: A systematic review on imaging presentation. Clin. Imaging 2020, 73, 86–95. [Google Scholar] [CrossRef]
- Tirumani, S.H.; Rahnemai-Azar, A.A.; Pierce, J.D.; Parikh, K.D.; Martin, S.S.; Gilkeson, R.; Ramaiya, N.H. Are asymptomatic gastrointestinal findings on imaging more common in COVID-19 infection? Study to determine frequency of abdominal findings of COVID-19 infection in patients with and without abdominal symptoms and in patients with chest-only CT scans. Abdom. Radiol. 2021, 46, 2407–2414. [Google Scholar] [CrossRef] [PubMed]
- Lanzani, C.; Bio Angels for COVID-BioB Study Group; Simonini, M.; Arcidiacono, T.; Messaggio, E.; Bucci, R.; Betti, P.; Avino, M.; Magni, G.; Maggioni, C.; et al. Role of blood pressure dysregulation on kidney and mortality outcomes in COVID-19. Kidney, blood pressure and mortality in SARS-CoV-2 infection. J. Nephrol. 2021, 34, 305–314. [Google Scholar] [CrossRef] [PubMed]
- Lin, L.; Wang, X.; Ren, J.; Sun, Y.; Yu, R.; Li, K.; Zheng, L.; Yang, J. Risk factors and prognosis for COVID-19-induced acute kidney injury: A meta-analysis. BMJ Open 2020, 10, e042573. [Google Scholar] [CrossRef] [PubMed]
- Chan, K.W.; Yu, K.Y.; Lee, P.W.; Lai, K.N.; Tang, S.C.-W. Global REnal Involvement of CORonavirus Disease 2019 (RECORD): A Systematic Review and Meta-Analysis of Incidence, Risk Factors, and Clinical Outcomes. Front. Med. 2021, 8, 678200. [Google Scholar] [CrossRef] [PubMed]
- Ghosn, M.; Attallah, N.; Badr, M.; Abdallah, K.; De Oliveira, B.; Nadeem, A.; Varghese, Y.; Munde, D.; Salam, S.; Abduljawad, B.; et al. Severe Acute Kidney Injury in Critically Ill Patients with COVID-19 Admitted to ICU: Incidence, Risk Factors, and Outcomes. J. Clin. Med. 2021, 10, 1217. [Google Scholar] [CrossRef]
- Gasparini, M.; Khan, S.; Patel, J.M.; Parekh, D.; Bangash, M.N.; Stϋmpfle, R.; Shah, A.; Baharlo, B.; Soni, S.; Brett, S.; et al. Renal impairment and its impact on clinical outcomes in patients who are critically ill with COVID-19: A multicentre observational study. Anaesthesia 2020, 76, 320–326. [Google Scholar] [CrossRef]
- Soliman, N.A. COVID-19 Infection and the Kidneys: Learning the Lesson. J. Infect. Public Health 2021, 14, 922–926. [Google Scholar] [CrossRef]
- Wang, M.; Xiong, H.; Chen, H.; Li, Q.; Ruan, X.Z. Renal Injury by SARS-CoV-2 Infection: A Systematic Review. Kidney Dis. 2020, 7, 100–110. [Google Scholar] [CrossRef]
- Revzin, M.V.; Raza, S.; Srivastava, N.C.; Warshawsky, R.; D’Agostino, C.; Malhotra, A.; Bader, A.S.; Patel, R.D.; Chen, K.; Kyriakakos, C.; et al. Multisystem Imaging Manifestations of COVID-19, Part 2: From Cardiac Complications to Pediatric Manifestations. RadioGraphics 2020, 40, 1866–1892. [Google Scholar] [CrossRef]
- Huang, Q.; Li, J.; Lyu, S.; Liang, W.; Yang, R.; Zhang, R.; Xiao, W.; Liu, J.; Yan, S.; Zheng, L.; et al. COVID-19 associated kidney impairment in adult: Qualitative and quantitative analyses with non-enhanced CT on admission. Eur. J. Radiol. 2020, 131, 109240. [Google Scholar] [CrossRef]
- Añazco, P.H.; Balta, F.M.; Córdova-Cueva, L. Bilateral renal infarction in a patient with severe COVID-19 infection. J. Bras. Nefrol. 2021, 43, 127–131. [Google Scholar] [CrossRef] [PubMed]
- Mui, L.W.; Lau, J.F.; Lee, H.K. Thromboembolic complications of COVID-19. Emerg. Radiol. 2020, 28, 423–429. [Google Scholar] [CrossRef] [PubMed]
Publisher’s Note: MDPI stays neutral with regard to jurisdictional claims in published maps and institutional affiliations. |
© 2022 by the authors. Licensee MDPI, Basel, Switzerland. This article is an open access article distributed under the terms and conditions of the Creative Commons Attribution (CC BY) license (https://creativecommons.org/licenses/by/4.0/).




