Imaging Features of Intratumoral Injection of NBTXR3 for Head and Neck Squamous Cell Carcinoma Lymph Node Metastases
Abstract
:1. Introduction
2. Methods
3. Results
4. Discussion
5. Conclusions
Author Contributions
Funding
Institutional Review Board Statement
Informed Consent Statement
Data Availability Statement
Conflicts of Interest
References
- Hoffmann, C.; Calugaru, V.; Borcoman, E.; Moreno, V.; Calvo, E.; Liem, X.; Salas, S.; Doger, B.; Jouffroy, T.; Mirabel, X.; et al. Phase I dose-escalation study of NBTXR3 activated by intensity-modulated radiation therapy in elderly patients with locally advanced squamous cell carcinoma of the oral cavity or oropharynx. Eur. J. Cancer 2021, 146, 135–144. [Google Scholar] [PubMed]
- Bonvalot, S.; Rutkowski, P.L.; Thariat, J.; Carrère, S.; Ducassou, A.; Sunyach, M.P.; Agoston, P.; Hong, A.; Mervoyer, A.; Rastrelli, M.; et al. NBTXR3, a first-in-class radioenhancer hafnium oxide nanoparticle, plus radiotherapy versus radiotherapy alone in patients with locally advanced soft-tissue sarcoma (Act.In.Sarc): A multicentre, phase 2-3, randomised, controlled trial. Lancet Oncol. 2019, 20, 1148–1159. [Google Scholar] [PubMed]
- Bonvalot, S.; Le Pechoux, C.; De Baere, T.; Kantor, G.; Buy, X.; Stoeckle, E.; Terrier, P.; Sargos, P.; Coindre, J.M.; Lassau, N.; et al. First-in-Human Study Testing a New Radioenhancer Using Nanoparticles (NBTXR3) Activated by Radiation Therapy in Patients with Locally Advanced Soft Tissue Sarcomas. Clin. Cancer Res. 2017, 23, 908–917. [Google Scholar] [PubMed] [Green Version]
| Case | Age | Gender | Primary Cancer Site |
|---|---|---|---|
| 1 | 70 | Male | Tonsil |
| 2 | 51 | Male | Larynx |
| 3 | 67 | Female | Larynx |
| 4 | 67 | Female | Hypopharynx |
| Figure | Quartile of Tumor Volume Injected (%) | Attenuation (HU) | Pre-Injection Imaging | Post-Injection CT |
|---|---|---|---|---|
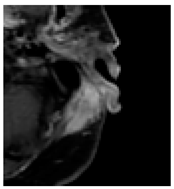
| 1 | 75–100 | 860 | ![]() Axial post-contrast fat-suppressed T1-weighted MRI shows a solidly enhancing left retroarticular tumor. | ![]() Axial CT image obtained 1 day after injection shows the NBTXR3 nanoparticles (arrows) in the tumor with leakage into the surrounding soft tissues. |
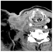
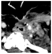
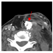
| 2 | 0–25 | 1564 | ![]() Axial CT image shows a partly necrotic tumor in the right neck. | ![]() Axial CT image obtained 18 days after injection shows the NBTXR3 nanoparticles (arrows) in the tumor. |
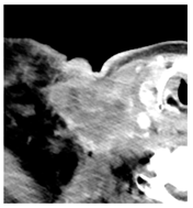
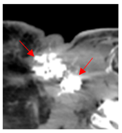
| 3 | 25–50 | 1716 | ![]() Axial CT image shows a mostly necrotic tumor in the right neck. | ![]() Axial CT image obtained 1 day after injection shows the NBTXR3 nanoparticles (arrows) in the tumor with a small amount of leakage into the surrounding soft tissues. |
| 4 | 0–25 | 1923 | ![]() Axial CT image shows a mostly necrotic tumor in the left neck. | ![]() Axial CT image obtained 1 day after injection shows the NBTXR3 nanoparticles (arrows) in the tumor. |
Publisher’s Note: MDPI stays neutral with regard to jurisdictional claims in published maps and institutional affiliations. |
© 2022 by the authors. Licensee MDPI, Basel, Switzerland. This article is an open access article distributed under the terms and conditions of the Creative Commons Attribution (CC BY) license (https://creativecommons.org/licenses/by/4.0/).
Share and Cite
Ginat, D.T.; Juloori, A.; Vivar, O.I.; Farber, L.A.; Gooi, Z.; Rosenberg, A.J. Imaging Features of Intratumoral Injection of NBTXR3 for Head and Neck Squamous Cell Carcinoma Lymph Node Metastases. Diagnostics 2022, 12, 2156. https://doi.org/10.3390/diagnostics12092156
Ginat DT, Juloori A, Vivar OI, Farber LA, Gooi Z, Rosenberg AJ. Imaging Features of Intratumoral Injection of NBTXR3 for Head and Neck Squamous Cell Carcinoma Lymph Node Metastases. Diagnostics. 2022; 12(9):2156. https://doi.org/10.3390/diagnostics12092156
Chicago/Turabian StyleGinat, Daniel Thomas, Aditya Juloori, Omar I. Vivar, Leonard A. Farber, Zhen Gooi, and Ari J. Rosenberg. 2022. "Imaging Features of Intratumoral Injection of NBTXR3 for Head and Neck Squamous Cell Carcinoma Lymph Node Metastases" Diagnostics 12, no. 9: 2156. https://doi.org/10.3390/diagnostics12092156
APA StyleGinat, D. T., Juloori, A., Vivar, O. I., Farber, L. A., Gooi, Z., & Rosenberg, A. J. (2022). Imaging Features of Intratumoral Injection of NBTXR3 for Head and Neck Squamous Cell Carcinoma Lymph Node Metastases. Diagnostics, 12(9), 2156. https://doi.org/10.3390/diagnostics12092156









