Principles and Applications of Dual-Layer Spectral CT in Gastrointestinal Imaging
Abstract
1. Introduction
1.1. Dual-Layer Detector Dual-Energy CT Technology
1.2. Dual-Layer CT Post-Processing
1.3. Radiation Dose
2. Clinical Applications
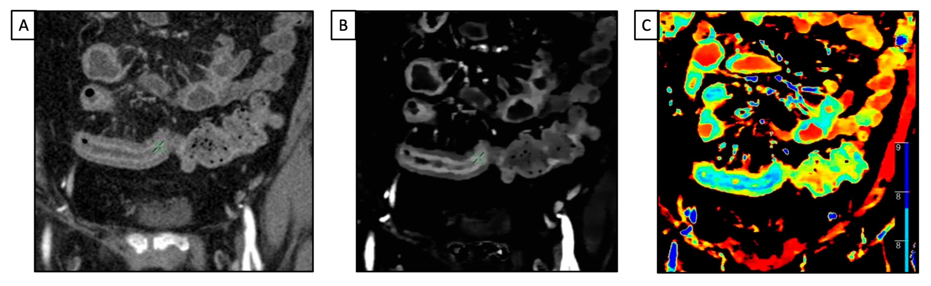
2.1. Liver
2.2. Gallbladder and Biliary Tree
2.3. Pancreas
2.4. Gastrointestinal Tract
3. Conclusions
Author Contributions
Funding
Institutional Review Board Statement
Informed Consent Statement
Data Availability Statement
Conflicts of Interest
References
- Forghani, R.; De Man, B.; Gupta, R. Dual-Energy Computed Tomography: Physical Principles, Approaches to Scanning, Usage, and Implementation: Part 1. Neuroimaging Clin. N. Am. 2017, 27, 371–384. [Google Scholar] [CrossRef] [PubMed]
- Yoshizumi, T. Dual Energy CT in Clinical Practice. Med. Phys. 2011, 38, 6346. [Google Scholar] [CrossRef]
- McCollough, C.H.; Leng, S.; Yu, L.; Fletcher, J.G. Dual- and Multi-Energy CT: Principles, Technical Approaches, and Clinical Applications. Radiology 2015, 276, 637–653. [Google Scholar] [CrossRef]
- Rajiah, P.; Parakh, A.; Kay, F.; Baruah, D.; Kambadakone, A.R.; Leng, S. Update on Multienergy CT: Physics, Principles, and Applications. Radiographics 2020, 40, 1284–1308. [Google Scholar] [CrossRef] [PubMed]
- Rassouli, N.; Etesami, M.; Dhanantwari, A.; Rajiah, P. Detector-Based Spectral CT with a Novel Dual-Layer Technology: Principles and Applications. Insights Imaging 2017, 8, 589–598. [Google Scholar] [CrossRef]
- Große Hokamp, N.; Maintz, D.; Shapira, N.; Chang, D.H.; Noël, P.B. Technical Background of a Novel Detector-Based Approach to Dual-Energy Computed Tomography. Diagn. Interv. Radiol. 2020, 26, 68–71. [Google Scholar] [CrossRef] [PubMed]
- Demirler Simsir, B.; Danse, E.; Coche, E. Benefit of Dual-Layer Spectral CT in Emergency Imaging of Different Organ Systems. Clin. Radiol. 2020, 75, 886–902. [Google Scholar] [CrossRef]
- Siegel, M.J.; Kaza, R.K.; Bolus, D.N.; Boll, D.T.; Rofsky, N.M.; De Cecco, C.N.; Foley, W.D.; Morgan, D.E.; Schoepf, U.J.; Sahani, D.V.; et al. White Paper of the Society of Computed Body Tomography and Magnetic Resonance on Dual-Energy CT, Part 1: Technology and Terminology. J. Comput. Assist. Tomogr. 2016, 40, 841–845. [Google Scholar] [CrossRef]
- Tawfik, A.M.; Kerl, J.M.; Razek, A.A.; Bauer, R.W.; Nour-Eldin, N.E.; Vogl, T.J.; Mack, M.G. Image Quality and Radiation Dose of Dual-Energy CT of the Head and Neck Compared with a Standard 120-KVp Acquisition. AJNR Am. J. Neuroradiol. 2011, 32, 1994–1999. [Google Scholar] [CrossRef] [PubMed]
- Grajo, J.R.; Sahani, D.V. Dual-Energy CT of the Abdomen and Pelvis: Radiation Dose Considerations. J. Am. Coll. Radiol. 2018, 15, 1128–1132. [Google Scholar] [CrossRef]
- Duan, X.; Ananthakrishnan, L.; Guild, J.B.; Xi, Y.; Rajiah, P. Radiation Doses and Image Quality of Abdominal CT Scans at Different Patient Sizes Using Spectral Detector CT Scanner: A Phantom and Clinical Study. Abdom. Radiol. 2020, 45, 3361–3368. [Google Scholar] [CrossRef] [PubMed]
- Dubourg, B.; Caudron, J.; Lestrat, J.-P.; Bubenheim, M.; Lefebvre, V.; Godin, M.; Tron, C.; Eltchaninoff, H.; Bauer, F.; Dacher, J.-N. Single-Source Dual-Energy CT Angiography with Reduced Iodine Load in Patients Referred for Aortoiliofemoral Evaluation before Transcatheter Aortic Valve Implantation: Impact on Image Quality and Radiation Dose. Eur. Radiol. 2014, 24, 2659–2668. [Google Scholar] [CrossRef] [PubMed]
- Zhang, X.; Zhang, G.; Xu, L.; Bai, X.; Lu, X.; Yu, S.; Sun, H.; Jin, Z. Utilisation of Virtual Non-Contrast Images and Virtual Mono-Energetic Images Acquired from Dual-Layer Spectral CT for Renal Cell Carcinoma: Image Quality and Radiation Dose. Insights Imaging 2022, 13, 12. [Google Scholar] [CrossRef] [PubMed]
- Husarik, D.B.; Gordic, S.; Desbiolles, L.; Krauss, B.; Leschka, S.; Wildermuth, S.; Alkadhi, H. Advanced Virtual Monoenergetic Computed Tomography of Hyperattenuating and Hypoattenuating Liver Lesions: Ex-Vivo and Patient Experience in Various Body Sizes. Investig. Radiol. 2015, 50, 695–702. [Google Scholar] [CrossRef]
- Lv, P.; Lin, X.Z.; Chen, K.; Gao, J. Spectral CT in Patients with Small HCC: Investigation of Image Quality and Diagnostic Accuracy. Eur. Radiol. 2012, 22, 2117–2124. [Google Scholar] [CrossRef]
- Große Hokamp, N.; Höink, A.J.; Doerner, J.; Jordan, D.W.; Pahn, G.; Persigehl, T.; Maintz, D.; Haneder, S. Assessment of Arterially Hyper-Enhancing Liver Lesions Using Virtual Monoenergetic Images from Spectral Detector CT: Phantom and Patient Experience. Abdom. Radiol. 2018, 43, 2066–2074. [Google Scholar] [CrossRef]
- Reimer, R.P.; Große Hokamp, N.; Fehrmann Efferoth, A.; Krauskopf, A.; Zopfs, D.; Kröger, J.R.; Persigehl, T.; Maintz, D.; Bunck, A.C. Virtual Monoenergetic Images from Spectral Detector Computed Tomography Facilitate Washout Assessment in Arterially Hyper-Enhancing Liver Lesions. Eur. Radiol. 2021, 31, 3468–3477. [Google Scholar] [CrossRef]
- Nagayama, Y.; Iyama, A.; Oda, S.; Taguchi, N.; Nakaura, T.; Utsunomiya, D.; Kikuchi, Y.; Yamashita, Y. Dual-Layer Dual-Energy Computed Tomography for the Assessment of Hypovascular Hepatic Metastases: Impact of Closing k-Edge on Image Quality and Lesion Detectability. Eur. Radiol. 2019, 29, 2837–2847. [Google Scholar] [CrossRef]
- Horowitz, J.M.; Venkatesh, S.K.; Ehman, R.L.; Jhaveri, K.; Kamath, P.; Ohliger, M.A.; Samir, A.E.; Silva, A.C.; Taouli, B.; Torbenson, M.S.; et al. Evaluation of Hepatic Fibrosis: A Review from the Society of Abdominal Radiology Disease Focus Panel. Abdom. Radiol. 2017, 42, 2037–2053. [Google Scholar] [CrossRef]
- Sofue, K.; Tsurusaki, M.; Mileto, A.; Hyodo, T.; Sasaki, K.; Nishii, T.; Chikugo, T.; Yada, N.; Kudo, M.; Sugimura, K.; et al. Dual-Energy Computed Tomography for Non-Invasive Staging of Liver Fibrosis: Accuracy of Iodine Density Measurements from Contrast-Enhanced Data. Hepatol. Res. 2018, 48, 1008–1019. [Google Scholar] [CrossRef]
- Bak, S.; Kim, J.E.; Bae, K.; Cho, J.M.; Choi, H.C.; Park, M.J.; Choi, H.Y.; Shin, H.S.; Lee, S.M.; Kim, H.O. Quantification of Liver Extracellular Volume Using Dual-Energy CT: Utility for Prediction of Liver-Related Events in Cirrhosis. Eur. Radiol. 2020, 30, 5317–5326. [Google Scholar] [CrossRef] [PubMed]
- Lamb, P.; Sahani, D.V.; Fuentes-Orrego, J.M.; Patino, M.; Ghosh, A.; Mendonça, P.R.S. Stratification of Patients with Liver Fibrosis Using Dual-Energy CT. IEEE Trans. Med. Imaging 2015, 34, 807–815. [Google Scholar] [CrossRef] [PubMed]
- Morita, K.; Nishie, A.; Ushijima, Y.; Takayama, Y.; Fujita, N.; Kubo, Y.; Ishimatsu, K.; Yoshizumi, T.; Maehara, J.; Ishigami, K. Noninvasive Assessment of Liver Fibrosis by Dual-Layer Spectral Detector CT. Eur. J. Radiol. 2021, 136, 109575. [Google Scholar] [CrossRef] [PubMed]
- Ma, Q.; Hu, J.; Yang, W.; Hou, Y. Dual-Layer Detector Spectral CT versus Magnetic Resonance Imaging for the Assessment of Iron Overload in Myelodysplastic Syndromes and Aplastic Anemia. Jpn. J. Radiol. 2020, 38, 374–381. [Google Scholar] [CrossRef] [PubMed]
- Choi, M.H.; Lee, Y.J.; Choi, Y.J.; Pak, S. Dual-Energy CT of the Liver: True Noncontrast vs. Virtual Noncontrast Images Derived from Multiple Phases for the Diagnosis of Fatty Liver. Eur. J. Radiol. 2021, 140, 109741. [Google Scholar] [CrossRef] [PubMed]
- Xu, J.J.; Boesen, M.R.; Hansen, S.L.; Ulriksen, P.S.; Holm, S.; Lönn, L.; Hansen, K.L. Assessment of Liver Fat: Dual-Energy CT versus Conventional CT with and without Contrast. Diagnostics 2022, 12, 708. [Google Scholar] [CrossRef]
- Laukamp, K.R.; Ho, V.; Obmann, V.C.; Herrmann, K.; Gupta, A.; Borggrefe, J.; Lennartz, S.; Große Hokamp, N.; Ramaiya, N. Virtual Non-Contrast for Evaluation of Liver Parenchyma and Vessels: Results from 25 Patients Using Multi-Phase Spectral-Detector CT. Acta Radiol. 2020, 61, 1143–1152. [Google Scholar] [CrossRef]
- Laukamp, K.R.; Lennartz, S.; Ho, V.; Große Hokamp, N.; Zopfs, D.; Gupta, A.; Graner, F.P.; Borggrefe, J.; Gilkeson, R.; Ramaiya, N. Evaluation of the Liver with Virtual Non-Contrast: Single Institution Study in 149 Patients Undergoing TAVR Planning. Br. J. Radiol. 2020, 93, 20190701. [Google Scholar] [CrossRef]
- Grosu, S.; Wang, Z.J.; Obmann, M.M.; Sugi, M.D.; Sun, Y.; Yeh, B.M. Reduction of Peristalsis-Related Streak Artifacts on the Liver with Dual-Layer Spectral CT. Diagnostics 2022, 12, 782. [Google Scholar] [CrossRef]
- Gandhi, D.; Ojili, V.; Nepal, P.; Nagar, A.; Hernandez-Delima, F.J.; Bajaj, D.; Choudhary, G.; Gupta, N.; Sharma, P. A Pictorial Review of Gall Stones and Its Associated Complications. Clin. Imaging 2020, 60, 228–236. [Google Scholar] [CrossRef]
- Kim, C.W.; Chang, J.H.; Lim, Y.S.; Kim, T.H.; Lee, I.S.; Han, S.W. Common Bile Duct Stones on Multidetector Computed Tomography: Attenuation Patterns and Detectability. World J. Gastroenterol. 2013, 19, 1788–1796. [Google Scholar] [CrossRef]
- Saito, H.; Noda, K.; Ogasawara, K.; Atsuji, S.; Takaoka, H.; Kajihara, H.; Nasu, J.; Morishita, S.; Matsushita, I.; Katahira, K. Usefulness and Limitations of Dual-Layer Spectral Detector Computed Tomography for Diagnosing Biliary Stones Not Detected by Conventional Computed Tomography: A Report of Three Cases. Clin. J. Gastroenterol. 2018, 11, 172–177. [Google Scholar] [CrossRef] [PubMed]
- Soesbe, T.C.; Lewis, M.A.; Xi, Y.; Browning, T.; Ananthakrishnan, L.; Fielding, J.R.; Lenkinski, R.E.; Leyendecker, J.R. A Technique to Identify Isoattenuating Gallstones with Dual-Layer Spectral CT: An Ex Vivo Phantom Study. Radiology 2019, 292, 400–406. [Google Scholar] [CrossRef]
- Huda, F.; LeBedis, C.A.; Qureshi, M.M.; Anderson, S.W.; Gupta, A. Acute Cholecystitis: Diagnostic Value of Dual-Energy CT-Derived Iodine Map and Low-KeV Virtual Monoenergetic Images. Abdom. Radiol. 2021, 46, 5125–5133. [Google Scholar] [CrossRef] [PubMed]
- Ishigami, K.; Yoshimitsu, K.; Irie, H.; Tajima, T.; Asayama, Y.; Nishie, A.; Hirakawa, M.; Ushijima, Y.; Okamoto, D.; Nagata, S.; et al. Diagnostic Value of the Delayed Phase Image for Iso-Attenuating Pancreatic Carcinomas in the Pancreatic Parenchymal Phase on Multidetector Computed Tomography. Eur. J. Radiol. 2009, 69, 139–146. [Google Scholar] [CrossRef]
- Macari, M.; Spieler, B.; Kim, D.; Graser, A.; Megibow, A.J.; Babb, J.; Chandarana, H. Dual-Source Dual-Energy MDCT of Pancreatic Adenocarcinoma: Initial Observations with Data Generated at 80 KVp and at Simulated Weighted-Average 120 KVp. AJR Am. J. Roentgenol. 2010, 194, W27–W32. [Google Scholar] [CrossRef]
- Bhosale, P.; Le, O.; Balachandran, A.; Fox, P.; Paulson, E.; Tamm, E. Quantitative and Qualitative Comparison of Single-Source Dual-Energy Computed Tomography and 120-KVp Computed Tomography for the Assessment of Pancreatic Ductal Adenocarcinoma. J. Comput. Assist. Tomogr. 2015, 39, 907–913. [Google Scholar] [CrossRef]
- El Kayal, N.; Lennartz, S.; Ekdawi, S.; Holz, J.; Slebocki, K.; Haneder, S.; Wybranski, C.; Mohallel, A.; Eid, M.; Grüll, H.; et al. Value of Spectral Detector Computed Tomography for Assessment of Pancreatic Lesions. Eur. J. Radiol. 2019, 118, 215–222. [Google Scholar] [CrossRef] [PubMed]
- Nagayama, Y.; Tanoue, S.; Inoue, T.; Oda, S.; Nakaura, T.; Utsunomiya, D.; Yamashita, Y. Dual-Layer Spectral CT Improves Image Quality of Multiphasic Pancreas CT in Patients with Pancreatic Ductal Adenocarcinoma. Eur. Radiol. 2020, 30, 394–403. [Google Scholar] [CrossRef]
- Han, Y.E.; Park, B.J.; Sung, D.J.; Kim, M.J.; Han, N.Y.; Sim, K.C.; Cho, Y.; Kim, H. Dual-Layer Spectral CT of Pancreas Ductal Adenocarcinoma: Can Virtual Monoenergetic Images of the Portal Venous Phase Be an Alternative to the Pancreatic-Phase Scan? J. Belg. Soc. Radiol. 2022, 106, 83. [Google Scholar] [CrossRef]
- Wang, Y.; Hu, X.; Shi, S.; Song, C.; Wang, L.; Yuan, J.; Lin, Z.; Cai, H.; Feng, S.-T.; Luo, Y. Utility of Quantitative Metrics From Dual-Layer Spectral-Detector CT for Differentiation of Pancreatic Neuroendocrine Tumor and Neuroendocrine Carcinoma. AJR Am. J. Roentgenol. 2022, 218, 999–1009. [Google Scholar] [CrossRef] [PubMed]
- Firetto, M.C.; Lemos, A.A.; Marini, A.; Avesani, E.C.; Biondetti, P.R. Acute Bowel Ischemia: Analysis of Diagnostic Error by Overlooked Findings at MDCT Angiography. Emerg. Radiol. 2013, 20, 139–147. [Google Scholar] [CrossRef]
- Potretzke, T.A.; Brace, C.L.; Lubner, M.G.; Sampson, L.A.; Willey, B.J.; Lee, F.T. Early Small-Bowel Ischemia: Dual-Energy CT Improves Conspicuity Compared with Conventional CT in a Swine Model. Radiology 2015, 275, 119–126. [Google Scholar] [CrossRef] [PubMed]
- Lourenco, P.D.M.; Rawski, R.; Mohammed, M.F.; Khosa, F.; Nicolaou, S.; McLaughlin, P. Dual-Energy CT Iodine Mapping and 40-KeV Monoenergetic Applications in the Diagnosis of Acute Bowel Ischemia. Am. J. Roentgenol. 2018, 211, 564–570. [Google Scholar] [CrossRef] [PubMed]
- Oda, S.; Nakaura, T.; Utsunomiya, D.; Funama, Y.; Taguchi, N.; Imuta, M.; Nagayama, Y.; Yamashita, Y. Clinical Potential of Retrospective On-Demand Spectral Analysis Using Dual-Layer Spectral Detector-Computed Tomography in Ischemia Complicating Small-Bowel Obstruction. Emerg. Radiol. 2017, 24, 431–434. [Google Scholar] [CrossRef] [PubMed]
- Chen, C.-Y.; Hsu, J.-S.; Jaw, T.-S.; Wu, D.-C.; Shih, M.-C.P.; Lee, C.-H.; Kuo, C.-H.; Chen, Y.-T.; Lai, M.-L.; Liu, G.-C. Utility of the Iodine Overlay Technique and Virtual Nonenhanced Images for the Preoperative T Staging of Colorectal Cancer by Dual-Energy CT with Tin Filter Technology. PLoS ONE 2014, 9, e113589. [Google Scholar] [CrossRef]
- Chen, W.; Ye, Y.; Zhang, D.; Mao, L.; Guo, L.; Zhang, H.; Du, X.; Deng, W.; Liu, B.; Liu, X. Utility of Dual-Layer Spectral-Detector CT Imaging for Predicting Pathological Tumor Stages and Histologic Grades of Colorectal Adenocarcinoma. Front. Oncol. 2022, 12, 1002592. [Google Scholar] [CrossRef]
- Wang, G.; Fang, Y.; Wang, Z.; Jin, Z. Quantitative Assessment of Radiologically Indeterminate Local Colonic Wall Thickening on Iodine Density Images Using Dual-Layer Spectral Detector CT. Acad. Radiol. 2021, 28, 1368–1374. [Google Scholar] [CrossRef] [PubMed]
- Peng, J.C.; Feng, Q.; Zhu, J.; Shen, J.; Qiao, Y.Q.; Xu, J.R.; Ran, Z.H. Usefulness of Spectral Computed Tomography for Evaluation of Intestinal Activity and Severity in Ileocolonic Crohn’s Disease. Therap. Adv. Gastroenterol. 2016, 9, 795–805. [Google Scholar] [CrossRef]
- Taguchi, N.; Oda, S.; Kobayashi, T.; Naoe, H.; Sasaki, Y.; Imuta, M.; Nakaura, T.; Yamashita, Y. Advanced Parametric Imaging for Evaluation of Crohn’s Disease Using Dual-Energy Computed Tomography Enterography. Radiol. Case Rep. 2018, 13, 709–712. [Google Scholar] [CrossRef]
- Dane, B.; Sarkar, S.; Nazarian, M.; Galitzer, H.; O’Donnell, T.; Remzi, F.; Chang, S.; Megibow, A. Crohn Disease Active Inflammation Assessment with Iodine Density from Dual-Energy CT Enterography: Comparison with Histopathologic Analysis. Radiology 2021, 301, 144–151. [Google Scholar] [CrossRef] [PubMed]
- Kim, Y.S.; Kim, S.H.; Ryu, H.S.; Han, J.K. Iodine Quantification on Spectral Detector-Based Dual-Energy CT Enterography: Correlation with Crohn’s Disease Activity Index and External Validation. Korean J. Radiol. 2018, 19, 1077. [Google Scholar] [CrossRef] [PubMed]
- Lee, S.M.; Kim, S.H.; Ahn, S.J.; Kang, H.-J.; Kang, J.H.; Han, J.K. Virtual Monoenergetic Dual-Layer, Dual-Energy CT Enterography: Optimization of KeV Settings and Its Added Value for Crohn’s Disease. Eur. Radiol. 2018, 28, 2525–2534. [Google Scholar] [CrossRef] [PubMed]
- Cai, W.; Zhang, D.; Lee, J.-G.; Shirai, Y.; Kim, S.H.; Yoshida, H. Dual-Energy Index Value of Luminal Air in Fecal-Tagging Computed Tomography Colonography: Findings and Impact on Electronic Cleansing. J. Comput. Assist. Tomogr. 2013, 37, 183–194. [Google Scholar] [CrossRef]
- Taguchi, N.; Oda, S.; Imuta, M.; Yamamura, S.; Yokota, Y.; Nakaura, T.; Nagayama, Y.; Kidoh, M.; Utsunomiya, D.; Funama, Y.; et al. Dual-Energy Computed Tomography Colonography Using Dual-Layer Spectral Detector Computed Tomography: Utility of Virtual Monochromatic Imaging for Electronic Cleansing. Eur. J. Radiol. 2018, 108, 7–12. [Google Scholar] [CrossRef]
- Obmann, M.M.; An, C.; Schaefer, A.; Sun, Y.; Wang, Z.J.; Yee, J.; Yeh, B.M. Improved Sensitivity and Reader Confidence in CT Colonography Using Dual-Layer Spectral CT: A Phantom Study. Radiology 2020, 297, 99–107. [Google Scholar] [CrossRef] [PubMed]




| Author | Year | Country | Study Nature | Pathology | Number of Subjects |
|---|---|---|---|---|---|
| Liver | |||||
| GroßeHokamp | 2018 | Germany | Retrospective | Arterially hyper-enhancing liver lesions | 20 |
| Reimer | 2021 | Germany | Retrospective | Arterially hyper-enhancing liver lesions | 31 |
| Nagayama | 2019 | Japan | Retrospective | Hypovascular liver metastases | 81 |
| Morita | 2021 | Japan | Retrospective | Liver fibrosis | 68 |
| Ma | 2020 | China | Prospective | Liver iron overload | 31 |
| Gallbladder and biliary tree | |||||
| Saito | 2018 | Japan | Retrospective | Iso-dense biliary gallstones | 3 |
| Soesbe | 2019 | USA | Prospective | Iso-dense biliary gallstones | 105 |
| Huda | 2021 | USA | Retrospective | Acute cholecystitis | 57 |
| Pancreas | |||||
| El Kayal | 2019 | Germany | Retrospective | Pancreatic lesions (PDAC, cyst lesions, IPMN, MCN, NET, lymphomas, metastasis, chronic pancreatitis) | 61 |
| Nagayama | 2019 | Japan | Retrospective | PDAC | 48 |
| Wang | 2022 | China | Retrospective | Neuroendocrine neoplasms | 104 |
| Gastrointestinal tract | |||||
| Chen | 2022 | China | Retrospective | Colorectal cancer | 131 |
| Wang | 2021 | China | Retrospective | Colonic wall thickening | 80 |
| Lee | 2018 | Korea | Retrospective | Crohn’s disease | 76 |
| Kim | 2018 | Korea | Retrospective | Crohn’s disease | 39 |
| Taguchi | 2018 | Japan | Retrospective | Electronic cleansing | 35 |
Disclaimer/Publisher’s Note: The statements, opinions and data contained in all publications are solely those of the individual author(s) and contributor(s) and not of MDPI and/or the editor(s). MDPI and/or the editor(s) disclaim responsibility for any injury to people or property resulting from any ideas, methods, instructions or products referred to in the content. |
© 2023 by the authors. Licensee MDPI, Basel, Switzerland. This article is an open access article distributed under the terms and conditions of the Creative Commons Attribution (CC BY) license (https://creativecommons.org/licenses/by/4.0/).
Share and Cite
Franco, P.N.; Spasiano, C.M.; Maino, C.; De Ponti, E.; Ragusi, M.; Giandola, T.; Terrani, S.; Peroni, M.; Corso, R.; Ippolito, D. Principles and Applications of Dual-Layer Spectral CT in Gastrointestinal Imaging. Diagnostics 2023, 13, 1740. https://doi.org/10.3390/diagnostics13101740
Franco PN, Spasiano CM, Maino C, De Ponti E, Ragusi M, Giandola T, Terrani S, Peroni M, Corso R, Ippolito D. Principles and Applications of Dual-Layer Spectral CT in Gastrointestinal Imaging. Diagnostics. 2023; 13(10):1740. https://doi.org/10.3390/diagnostics13101740
Chicago/Turabian StyleFranco, Paolo Niccolò, Chiara Maria Spasiano, Cesare Maino, Elena De Ponti, Maria Ragusi, Teresa Giandola, Simone Terrani, Marta Peroni, Rocco Corso, and Davide Ippolito. 2023. "Principles and Applications of Dual-Layer Spectral CT in Gastrointestinal Imaging" Diagnostics 13, no. 10: 1740. https://doi.org/10.3390/diagnostics13101740
APA StyleFranco, P. N., Spasiano, C. M., Maino, C., De Ponti, E., Ragusi, M., Giandola, T., Terrani, S., Peroni, M., Corso, R., & Ippolito, D. (2023). Principles and Applications of Dual-Layer Spectral CT in Gastrointestinal Imaging. Diagnostics, 13(10), 1740. https://doi.org/10.3390/diagnostics13101740

