Machine Learning CT-Based Automatic Nodal Segmentation and PET Semi-Quantification of Intraoperative 68Ga-PSMA-11 PET/CT Images in High-Risk Prostate Cancer: A Pilot Study
Abstract
:1. Introduction
2. Materials and Methods
2.1. Radiopharmaceutical Synthesis and Surgical Procedure
2.2. Intraoperative PET/CT Imaging
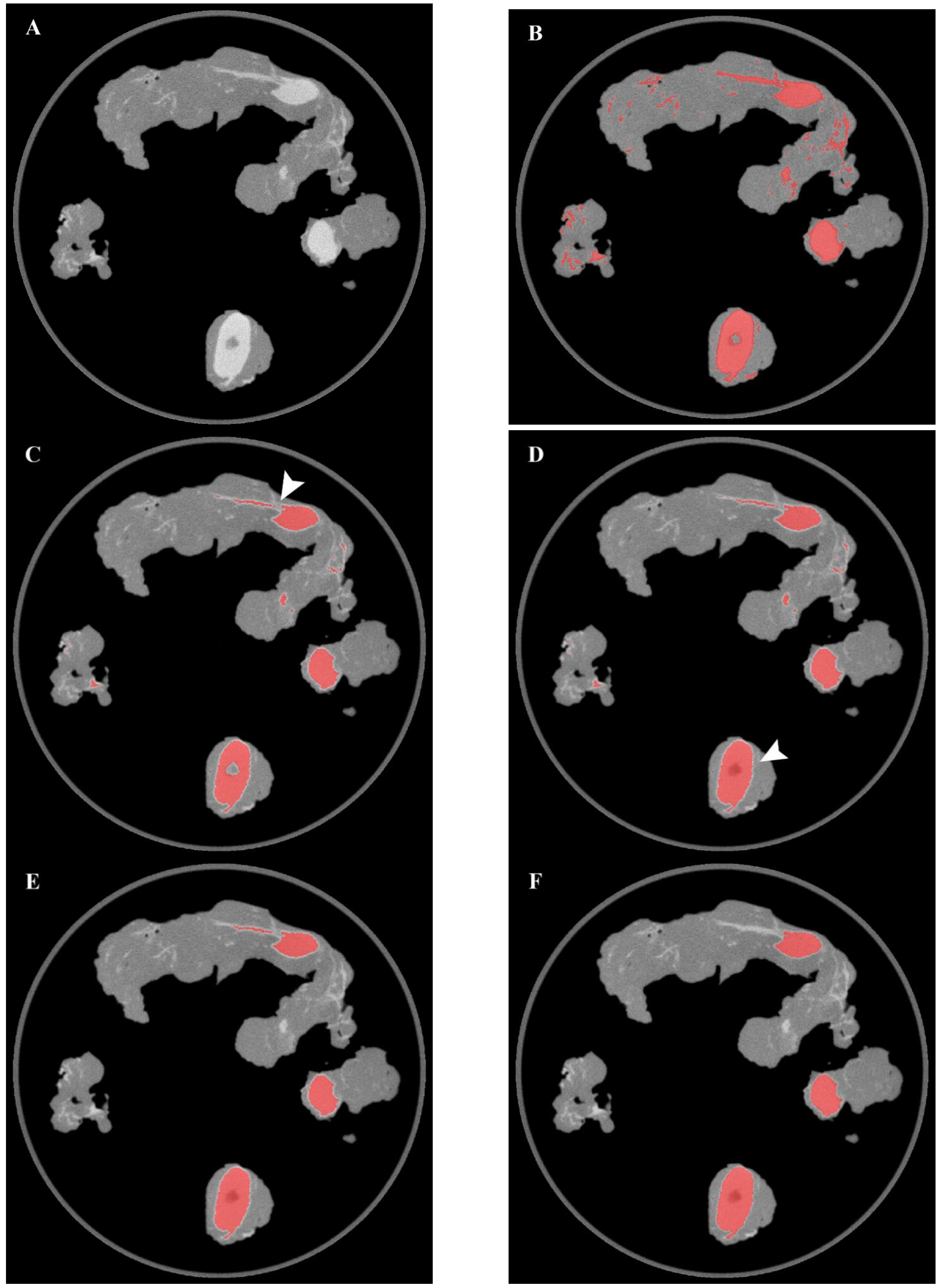
2.3. PET/CT Image Analysis: Automatic and Manual Segmentation
- Accuracy: (TP + TN)/(TP + TN + FP + FN)
- Precision (Positive predictive value): TP/(TP + FP)
- Recall (Sensitivity): TP/(TP + FN)
- Dice coefficient (F1 Score): 2TP/(2TP + FP + FN)
- Jaccard index (Intersection-Over-Union)
3. Results
4. Discussion
Limitations
5. Conclusions
Supplementary Materials
Author Contributions
Funding
Institutional Review Board Statement
Informed Consent Statement
Data Availability Statement
Conflicts of Interest
References
- Mottet, N.; Cornford, P.; van den Bergh, R.C.N.; Briers, E.; De Santis, M.; Gillessen, S.; Grummet, J.; Henry, A.M.; van der Kwast, T.H.; Mason, M.D.; et al. European Association of Urology Guidelines. In Proceedings of the the EAU Annual Congress, Milan, Italy, 10–13 March 2023. [Google Scholar]
- Fendler, W.P.; Calais, J.; Eiber, M.; Flavell, R.R.; Mishoe, A.; Feng, F.Y.; Nguyen, H.G.; Reiter, R.E.; Rettig, M.B.; Okamoto, S.; et al. Assessment of 68Ga-PSMA-11 PET Accuracy in Localizing Recurrent Prostate Cancer: A Prospective Single-Arm Clinical Trial. JAMA Oncol. 2019, 5, 856–863. [Google Scholar] [CrossRef] [PubMed]
- Ceci, F.; Rovera, G.; Iorio, G.C.; Guarneri, A.; Chiofalo, V.; Passera, R.; Oderda, M.; Dall’Armellina, S.; Liberini, V.; Grimaldi, S.; et al. Event-Free Survival after 68 Ga-PSMA-11 PET/CT in Recurrent Hormone-Sensitive Prostate Cancer (HSPC) Patients Eligible for Salvage Therapy. Eur. J. Nucl. Med. Mol. Imaging 2022, 49, 3257–3268. [Google Scholar] [CrossRef] [PubMed]
- Rovera, G.; Grimaldi, S.; Dall’Armellina, S.; Passera, R.; Oderda, M.; Iorio, G.C.; Guarneri, A.; Gontero, P.; Ricardi, U.; Deandreis, D. Predictors of Bone Metastases at 68Ga-PSMA-11 PET/CT in Hormone-Sensitive Prostate Cancer (HSPC) Patients with Early Biochemical Recurrence or Persistence. Diagnostics 2022, 12, 1309. [Google Scholar] [CrossRef] [PubMed]
- Farolfi, A.; Gafita, A.; Calais, J.; Eiber, M.; Afshar-Oromieh, A.; Spohn, F.; Barbato, F.; Weber, M.; Ilhan, H.; Cervati, V.; et al. 68Ga-PSMA-11 Positron Emission Tomography Detects Residual Prostate Cancer after Prostatectomy in a Multicenter Retrospective Study. J. Urol. 2019, 202, 1174–1181. [Google Scholar] [CrossRef] [PubMed]
- Morris, M.J.; Rowe, S.P.; Gorin, M.A.; Saperstein, L.; Pouliot, F.; Josephson, D.; Wong, J.Y.C.; Pantel, A.R.; Cho, S.Y.; Gage, K.L.; et al. Diagnostic Performance of 18F-DCFPyL-PET/CT in Men with Biochemically Recurrent Prostate Cancer: Results from the CONDOR Phase III, Multicenter Study. Clin. Cancer Res. 2021, 27, 3674–3682. [Google Scholar] [CrossRef] [PubMed]
- Morigi, J.J.; Stricker, P.D.; van Leeuwen, P.J.; Tang, R.; Ho, B.; Nguyen, Q.; Hruby, G.; Fogarty, G.; Jagavkar, R.; Kneebone, A.; et al. Prospective Comparison of 18F-Fluoromethylcholine Versus 68Ga-PSMA PET/CT in Prostate Cancer Patients Who Have Rising PSA after Curative Treatment and Are Being Considered for Targeted Therapy. J. Nucl. Med. 2015, 56, 1185–1190. [Google Scholar] [CrossRef] [PubMed]
- Calais, J.; Ceci, F.; Eiber, M.; Hope, T.A.; Hofman, M.S.; Rischpler, C.; Bach-Gansmo, T.; Nanni, C.; Savir-Baruch, B.; Elashoff, D.; et al. 18F-Fluciclovine PET-CT and 68Ga-PSMA-11 PET-CT in Patients with Early Biochemical Recurrence after Prostatectomy: A Prospective, Single-Centre, Single-Arm, Comparative Imaging Trial. Lancet Oncol. 2019, 20, 1286–1294. [Google Scholar] [CrossRef] [PubMed]
- Fendler, W.P.; Ferdinandus, J.; Czernin, J.; Eiber, M.; Flavell, R.R.; Behr, S.C.; Wu, I.-W.K.; Lawhn-Heath, C.; Pampaloni, M.H.; Reiter, R.E.; et al. Impact of 68Ga-PSMA-11 PET on the Management of Recurrent Prostate Cancer in a Prospective Single-Arm Clinical Trial. J. Nucl. Med. 2020, 61, 1793–1799. [Google Scholar] [CrossRef]
- Hofman, M.S.; Lawrentschuk, N.; Francis, R.J.; Tang, C.; Vela, I.; Thomas, P.; Rutherford, N.; Martin, J.M.; Frydenberg, M.; Shakher, R.; et al. Prostate-Specific Membrane Antigen PET-CT in Patients with High-Risk Prostate Cancer before Curative-Intent Surgery or Radiotherapy (ProPSMA): A Prospective, Randomised, Multicentre Study. Lancet 2020, 395, 1208–1216. [Google Scholar] [CrossRef]
- Emmett, L.; Buteau, J.; Papa, N.; Moon, D.; Thompson, J.; Roberts, M.J.; Rasiah, K.; Pattison, D.A.; Yaxley, J.; Thomas, P.; et al. The Additive Diagnostic Value of Prostate-Specific Membrane Antigen Positron Emission Tomography Computed Tomography to Multiparametric Magnetic Resonance Imaging Triage in the Diagnosis of Prostate Cancer (PRIMARY): A Prospective Multicentre Study. Eur. Urol. 2021, 80, 682–689. [Google Scholar] [CrossRef]
- Hope, T.A.; Eiber, M.; Armstrong, W.R.; Juarez, R.; Murthy, V.; Lawhn-Heath, C.; Behr, S.C.; Zhang, L.; Barbato, F.; Ceci, F.; et al. Diagnostic Accuracy of 68Ga-PSMA-11 PET for Pelvic Nodal Metastasis Detection Prior to Radical Prostatectomy and Pelvic Lymph Node Dissection: A Multicenter Prospective Phase 3 Imaging Trial. JAMA Oncol. 2021, 7, 1635–1642. [Google Scholar] [CrossRef] [PubMed]
- Pienta, K.J.; Gorin, M.A.; Rowe, S.P.; Carroll, P.R.; Pouliot, F.; Probst, S.; Saperstein, L.; Preston, M.A.; Alva, A.S.; Patnaik, A.; et al. A Phase 2/3 Prospective Multicenter Study of the Diagnostic Accuracy of Prostate Specific Membrane Antigen PET/CT with 18F-DCFPyL in Prostate Cancer Patients (OSPREY). J. Urol. 2021, 206, 52–61. [Google Scholar] [CrossRef] [PubMed]
- Calais, J.; Zhu, S.; Hirmas, N.; Eiber, M.; Hadaschik, B.; Stuschke, M.; Herrmann, K.; Czernin, J.; Kishan, A.U.; Nickols, N.G.; et al. Phase 3 Multicenter Randomized Trial of PSMA PET/CT Prior to Definitive Radiation Therapy for Unfavorable Intermediate-Risk or High-Risk Prostate Cancer [PSMA DRT]: Study Protocol. BMC Cancer 2021, 21, 512. [Google Scholar] [CrossRef] [PubMed]
- Maurer, T.; Gschwend, J.E.; Rauscher, I.; Souvatzoglou, M.; Haller, B.; Weirich, G.; Wester, H.-J.; Heck, M.; Kübler, H.; Beer, A.J.; et al. Diagnostic Efficacy of (68)Gallium-PSMA Positron Emission Tomography Compared to Conventional Imaging for Lymph Node Staging of 130 Consecutive Patients with Intermediate to High Risk Prostate Cancer. J. Urol. 2016, 195, 1436–1443. [Google Scholar] [CrossRef]
- Jansen, B.H.E.; Bodar, Y.J.L.; Zwezerijnen, G.J.C.; Meijer, D.; van der Voorn, J.P.; Nieuwenhuijzen, J.A.; Wondergem, M.; Roeleveld, T.A.; Boellaard, R.; Hoekstra, O.S.; et al. Pelvic Lymph-Node Staging with 18F-DCFPyL PET/CT Prior to Extended Pelvic Lymph-Node Dissection in Primary Prostate Cancer—The SALT Trial. Eur. J. Nucl. Med. Mol. Imaging 2021, 48, 509–520. [Google Scholar] [CrossRef] [PubMed]
- Göker, M.; Marcinkowski, R.; Van Bockstal, M.; Keereman, V.; Van Holen, R.; Van Dorpe, J.; Vandenberghe, S.; Brans, B.; Depypere, H.; Van den Broecke, R. 18F-FDG Micro-PET/CT for Intra-Operative Margin Assessment during Breast-Conserving Surgery. Acta Chir. Belg. 2020, 120, 366–374. [Google Scholar] [CrossRef] [PubMed]
- Debacker, J.M.; Schelfhout, V.; Brochez, L.; Creytens, D.; D’Asseler, Y.; Deron, P.; Keereman, V.; Van de Vijver, K.; Vanhove, C.; Huvenne, W. High-Resolution 18F-FDG PET/CT for Assessing Three-Dimensional Intraoperative Margins Status in Malignancies of the Head and Neck, a Proof-of-Concept. J. Clin. Med. 2021, 10, 3737. [Google Scholar] [CrossRef] [PubMed]
- Maris, L.; Man, K.D.; Gryspeerdt, F.; Hoorens, A.; Keereman, V.; Kiekens, A.; den Broeck, B.V.; de Sande, L.V.; Vanhove, C.; Berrevoet, F. 18F-FDG-PET-CT Specimen Imaging for Perioperative Visualization of Pancreatic Adenocarcinoma: A Proof-of-Concept Study. Eur. J. Surg. Oncol. 2023, 49, e159. [Google Scholar] [CrossRef]
- Muraglia, L.; Mattana, F.; Travaini, L.L.; Musi, G.; Bertani, E.; Renne, G.; Pisa, E.; Ferrari, M.E.; Fumagalli Romario, U.; De Cobelli, O.; et al. First Live-Experience Session with PET/CT Specimen Imager: A Pilot Analysis in Prostate Cancer and Neuroendocrine Tumor. Biomedicines 2023, 11, 645. [Google Scholar] [CrossRef]
- Darr, C.; Costa, P.F.; Kahl, T.; Moraitis, A.; Engel, J.; Al-Nader, M.; Reis, H.; Köllermann, J.; Kesch, C.; Krafft, U.; et al. Intraoperative Molecular Positron Emission Tomography Imaging for Intraoperative Assessment of Radical Prostatectomy Specimens. Eur. Urol. Open Sci. 2023, 54, 28–32. [Google Scholar] [CrossRef]
- Shiyam Sundar, L.K.; Yu, J.; Muzik, O.; Kulterer, O.C.; Fueger, B.; Kifjak, D.; Nakuz, T.; Shin, H.M.; Sima, A.K.; Kitzmantl, D.; et al. Fully Automated, Semantic Segmentation of Whole-Body 18F-FDG PET/CT Images Based on Data-Centric Artificial Intelligence. J. Nucl. Med. 2022, 63, 1941–1948. [Google Scholar] [CrossRef]
- Blanc-Durand, P.; Jégou, S.; Kanoun, S.; Berriolo-Riedinger, A.; Bodet-Milin, C.; Kraeber-Bodéré, F.; Carlier, T.; Le Gouill, S.; Casasnovas, R.-O.; Meignan, M.; et al. Fully Automatic Segmentation of Diffuse Large B Cell Lymphoma Lesions on 3D FDG-PET/CT for Total Metabolic Tumour Volume Prediction Using a Convolutional Neural Network. Eur. J. Nucl. Med. Mol. Imaging 2021, 48, 1362–1370. [Google Scholar] [CrossRef] [PubMed]
- Park, J.; Kang, S.K.; Hwang, D.; Choi, H.; Ha, S.; Seo, J.M.; Eo, J.S.; Lee, J.S. Automatic Lung Cancer Segmentation in [18F]FDG PET/CT Using a Two-Stage Deep Learning Approach. Nucl. Med. Mol. Imaging 2023, 57, 86–93. [Google Scholar] [CrossRef] [PubMed]
- Constantino, C.S.; Leocádio, S.; Oliveira, F.P.M.; Silva, M.; Oliveira, C.; Castanheira, J.C.; Silva, Â.; Vaz, S.; Teixeira, R.; Neves, M.; et al. Evaluation of Semiautomatic and Deep Learning-Based Fully Automatic Segmentation Methods on [18F]FDG PET/CT Images from Patients with Lymphoma: Influence on Tumor Characterization. J. Digit. Imaging 2023, 36, 1864–1876. [Google Scholar] [CrossRef] [PubMed]
- Ghezzo, S.; Mongardi, S.; Bezzi, C.; Samanes Gajate, A.M.; Preza, E.; Gotuzzo, I.; Baldassi, F.; Jonghi-Lavarini, L.; Neri, I.; Russo, T.; et al. External Validation of a Convolutional Neural Network for the Automatic Segmentation of Intraprostatic Tumor Lesions on 68Ga-PSMA PET Images. Front. Med. 2023, 10, 1133269. [Google Scholar] [CrossRef] [PubMed]
- Xu, Y.; Klyuzhin, I.; Harsini, S.; Ortiz, A.; Zhang, S.; Bénard, F.; Dodhia, R.; Uribe, C.F.; Rahmim, A.; Lavista Ferres, J. Automatic Segmentation of Prostate Cancer Metastases in PSMA PET/CT Images Using Deep Neural Networks with Weighted Batch-Wise Dice Loss. Comput. Biol. Med. 2023, 158, 106882. [Google Scholar] [CrossRef] [PubMed]
- Alongi, P.; Rovera, G.; Stracuzzi, F.; Popescu, C.E.; Minutoli, F.; Arnone, G.; Baldari, S.; Deandreis, D.; Caobelli, F. Artificial Intelligence in Breast Cancer: A Systematic Review on PET Imaging Clinical Applications. Curr. Med. Imaging 2023, 19, 832–843. [Google Scholar] [CrossRef]
- Groendahl, A.R.; Skjei Knudtsen, I.; Huynh, B.N.; Mulstad, M.; Moe, Y.M.; Knuth, F.; Tomic, O.; Indahl, U.G.; Torheim, T.; Dale, E.; et al. A Comparison of Methods for Fully Automatic Segmentation of Tumors and Involved Nodes in PET/CT of Head and Neck Cancers. Phys. Med. Biol. 2021, 66, 065012. [Google Scholar] [CrossRef]
- Santilli, A.; Panyam, P.; Autz, A.; Wray, R.; Philip, J.; Elnajjar, P.; Swinburne, N.; Mayerhoefer, M. Automated Full Body Tumor Segmentation in DOTATATE PET/CT for Neuroendocrine Cancer Patients. Int. J. Comput. Assist. Radiol. Surg. 2023, 1–8. [Google Scholar] [CrossRef]
- Fendler, W.P.; Eiber, M.; Beheshti, M.; Bomanji, J.; Calais, J.; Ceci, F.; Cho, S.Y.; Fanti, S.; Giesel, F.L.; Goffin, K.; et al. PSMA PET/CT: Joint EANM Procedure Guideline/SNMMI Procedure Standard for Prostate Cancer Imaging 2.0. Eur. J. Nucl. Med. Mol. Imaging 2023, 50, 1466–1486. [Google Scholar] [CrossRef]
- Deandreis, D.; Guarneri, A.; Ceci, F.; Lillaz, B.; Bartoncini, S.; Oderda, M.; Nicolotti, D.G.; Pilati, E.; Passera, R.; Zitella, A.; et al. 68Ga-PSMA-11 PET/CT in Recurrent Hormone-Sensitive Prostate Cancer (HSPC): A Prospective Single-Centre Study in Patients Eligible for Salvage Therapy. Eur. J. Nucl. Med. Mol. Imaging 2020, 47, 2804–2815. [Google Scholar] [CrossRef] [PubMed]
- Eder, M.; Neels, O.; Müller, M.; Bauder-Wüst, U.; Remde, Y.; Schäfer, M.; Hennrich, U.; Eisenhut, M.; Afshar-Oromieh, A.; Haberkorn, U.; et al. Novel Preclinical and Radiopharmaceutical Aspects of [68Ga]Ga-PSMA-HBED-CC: A New PET Tracer for Imaging of Prostate Cancer. Pharmaceuticals 2014, 7, 779–796. [Google Scholar] [CrossRef] [PubMed]
- Oderda, M.; Grimaldi, S.; Rovera, G.; Delsedime, L.; D’Agate, D.; Lavagno, F.; Marquis, A.; Marra, G.; Molinaro, L.; Deandreis, D.; et al. Robot-Assisted PSMA-Radioguided Surgery to Assess Surgical Margins and Nodal Metastases in Prostate Cancer Patients: Report on Three Cases Using an Intraoperative PET-CT Specimen Imager. Urology 2023, in press. [Google Scholar] [CrossRef] [PubMed]
- Jemaa, S.; Fredrickson, J.; Carano, R.A.D.; Nielsen, T.; de Crespigny, A.; Bengtsson, T. Tumor Segmentation and Feature Extraction from Whole-Body FDG-PET/CT Using Cascaded 2D and 3D Convolutional Neural Networks. J. Digit. Imaging 2020, 33, 888–894. [Google Scholar] [CrossRef] [PubMed]
- Sollini, M.; Bartoli, F.; Marciano, A.; Zanca, R.; Slart, R.H.J.A.; Erba, P.A. Artificial Intelligence and Hybrid Imaging: The Best Match for Personalized Medicine in Oncology. Eur. J. Hybrid. Imaging 2020, 4, 24. [Google Scholar] [CrossRef] [PubMed]
- Iantsen, A.; Ferreira, M.; Lucia, F.; Jaouen, V.; Reinhold, C.; Bonaffini, P.; Alfieri, J.; Rovira, R.; Masson, I.; Robin, P.; et al. Convolutional Neural Networks for PET Functional Volume Fully Automatic Segmentation: Development and Validation in a Multi-Center Setting. Eur. J. Nucl. Med. Mol. Imaging 2021, 48, 3444–3456. [Google Scholar] [CrossRef] [PubMed]
- Hatt, M.; Laurent, B.; Ouahabi, A.; Fayad, H.; Tan, S.; Li, L.; Lu, W.; Jaouen, V.; Tauber, C.; Czakon, J.; et al. The First MICCAI Challenge on PET Tumor Segmentation. Med. Image Anal. 2018, 44, 177–195. [Google Scholar] [CrossRef]
- Lucia, F.; Visvikis, D.; Vallières, M.; Desseroit, M.-C.; Miranda, O.; Robin, P.; Bonaffini, P.A.; Alfieri, J.; Masson, I.; Mervoyer, A.; et al. External Validation of a Combined PET and MRI Radiomics Model for Prediction of Recurrence in Cervical Cancer Patients Treated with Chemoradiotherapy. Eur. J. Nucl. Med. Mol. Imaging 2019, 46, 864–877. [Google Scholar] [CrossRef]
- Desseroit, M.-C.; Visvikis, D.; Tixier, F.; Majdoub, M.; Perdrisot, R.; Guillevin, R.; Cheze Le Rest, C.; Hatt, M. Development of a Nomogram Combining Clinical Staging with (18)F-FDG PET/CT Image Features in Non-Small-Cell Lung Cancer Stage I-III. Eur. J. Nucl. Med. Mol. Imaging 2016, 43, 1477–1485. [Google Scholar] [CrossRef]
- Hatt, M.; Laurent, B.; Fayad, H.; Jaouen, V.; Visvikis, D.; Le Rest, C.C. Tumour Functional Sphericity from PET Images: Prognostic Value in NSCLC and Impact of Delineation Method. Eur. J. Nucl. Med. Mol. Imaging 2018, 45, 630–641. [Google Scholar] [CrossRef]
- Pfaehler, E.; Beukinga, R.J.; de Jong, J.R.; Slart, R.H.J.A.; Slump, C.H.; Dierckx, R.A.J.O.; Boellaard, R. Repeatability of 18 F-FDG PET Radiomic Features: A Phantom Study to Explore Sensitivity to Image Reconstruction Settings, Noise, and Delineation Method. Med. Phys. 2019, 46, 665–678. [Google Scholar] [CrossRef] [PubMed]




| Specimens | Precision | Recall | Dice Coefficient | Jaccard Index |
| Left proximal external iliac | 0.98 | 0.78 | 0.87 | 0.77 |
| Left obturator (1) | 0.98 | 0.84 | 0.90 | 0.82 |
| Left obturator (2) | 0.95 | 0.82 | 0.88 | 0.79 |
| Average metrics | Precision | Recall | Dice Coefficient | Jaccard Index |
| Micro average | 0.97 | 0.81 | 0.88 | 0.79 |
| Macro average | 0.97 | 0.81 | 0.88 | 0.79 |
| Weighted average | 0.97 | 0.81 | 0.88 | 0.79 |
| Specimens | Precision | Recall | Dice Coefficient | Jaccard Index |
| Right distal external iliac | 0.99 | 0.72 | 0.83 | 0.71 |
| Right proximal external iliac | 0.99 | 0.64 | 0.78 | 0.64 |
| Right obturator | 1.00 | 0.72 | 0.84 | 0.72 |
| Average metrics | Precision | Recall | Dice Coefficient | Jaccard Index |
| Micro average | 0.99 | 0.68 | 0.81 | 0.67 |
| Macro average | 0.99 | 0.69 | 0.81 | 0.69 |
| Weighted average | 0.99 | 0.68 | 0.80 | 0.67 |
| Left Pelvic Lymph Nodes | SUVmax | Target-to-Background Ratio (TBR) | Lymph Node Histopathology |
| Left proximal external iliac | 5.9 | 3.5 | Negative |
| Left obturator (1) | 6.2 | 3.7 | Negative |
| Left obturator (2) | 9.0 | 5.3 | Negative |
| Right pelvic lymph nodes | SUVmax | Target-to-background Ratio (TBR) | Lymph node histopathology |
| Right distal external iliac | 7.8 | 4.2 | Negative |
| Right proximal external iliac | 4.4 | 2.4 | Negative |
| Right obturator | 7.0 | 3.8 | Negative |
Disclaimer/Publisher’s Note: The statements, opinions and data contained in all publications are solely those of the individual author(s) and contributor(s) and not of MDPI and/or the editor(s). MDPI and/or the editor(s) disclaim responsibility for any injury to people or property resulting from any ideas, methods, instructions or products referred to in the content. |
© 2023 by the authors. Licensee MDPI, Basel, Switzerland. This article is an open access article distributed under the terms and conditions of the Creative Commons Attribution (CC BY) license (https://creativecommons.org/licenses/by/4.0/).
Share and Cite
Rovera, G.; Grimaldi, S.; Oderda, M.; Finessi, M.; Giannini, V.; Passera, R.; Gontero, P.; Deandreis, D. Machine Learning CT-Based Automatic Nodal Segmentation and PET Semi-Quantification of Intraoperative 68Ga-PSMA-11 PET/CT Images in High-Risk Prostate Cancer: A Pilot Study. Diagnostics 2023, 13, 3013. https://doi.org/10.3390/diagnostics13183013
Rovera G, Grimaldi S, Oderda M, Finessi M, Giannini V, Passera R, Gontero P, Deandreis D. Machine Learning CT-Based Automatic Nodal Segmentation and PET Semi-Quantification of Intraoperative 68Ga-PSMA-11 PET/CT Images in High-Risk Prostate Cancer: A Pilot Study. Diagnostics. 2023; 13(18):3013. https://doi.org/10.3390/diagnostics13183013
Chicago/Turabian StyleRovera, Guido, Serena Grimaldi, Marco Oderda, Monica Finessi, Valentina Giannini, Roberto Passera, Paolo Gontero, and Désirée Deandreis. 2023. "Machine Learning CT-Based Automatic Nodal Segmentation and PET Semi-Quantification of Intraoperative 68Ga-PSMA-11 PET/CT Images in High-Risk Prostate Cancer: A Pilot Study" Diagnostics 13, no. 18: 3013. https://doi.org/10.3390/diagnostics13183013
APA StyleRovera, G., Grimaldi, S., Oderda, M., Finessi, M., Giannini, V., Passera, R., Gontero, P., & Deandreis, D. (2023). Machine Learning CT-Based Automatic Nodal Segmentation and PET Semi-Quantification of Intraoperative 68Ga-PSMA-11 PET/CT Images in High-Risk Prostate Cancer: A Pilot Study. Diagnostics, 13(18), 3013. https://doi.org/10.3390/diagnostics13183013

