Diagnostic, Structured Classification and Therapeutic Approach in Cystic Pancreatic Lesions: Systematic Findings with Regard to the European Guidelines
Abstract
1. Introduction
2. Systematic Classification
- Unilocular cysts without solid parts, septa, or calcifications
- Macrocystic tumors, cysts usually > 1–2 cm (oligocystic or multicystic)
- Microcystic tumors, cysts usually < 1 cm
- Cystic tumors with solid parts
3. Most Frequent Tumor Entities
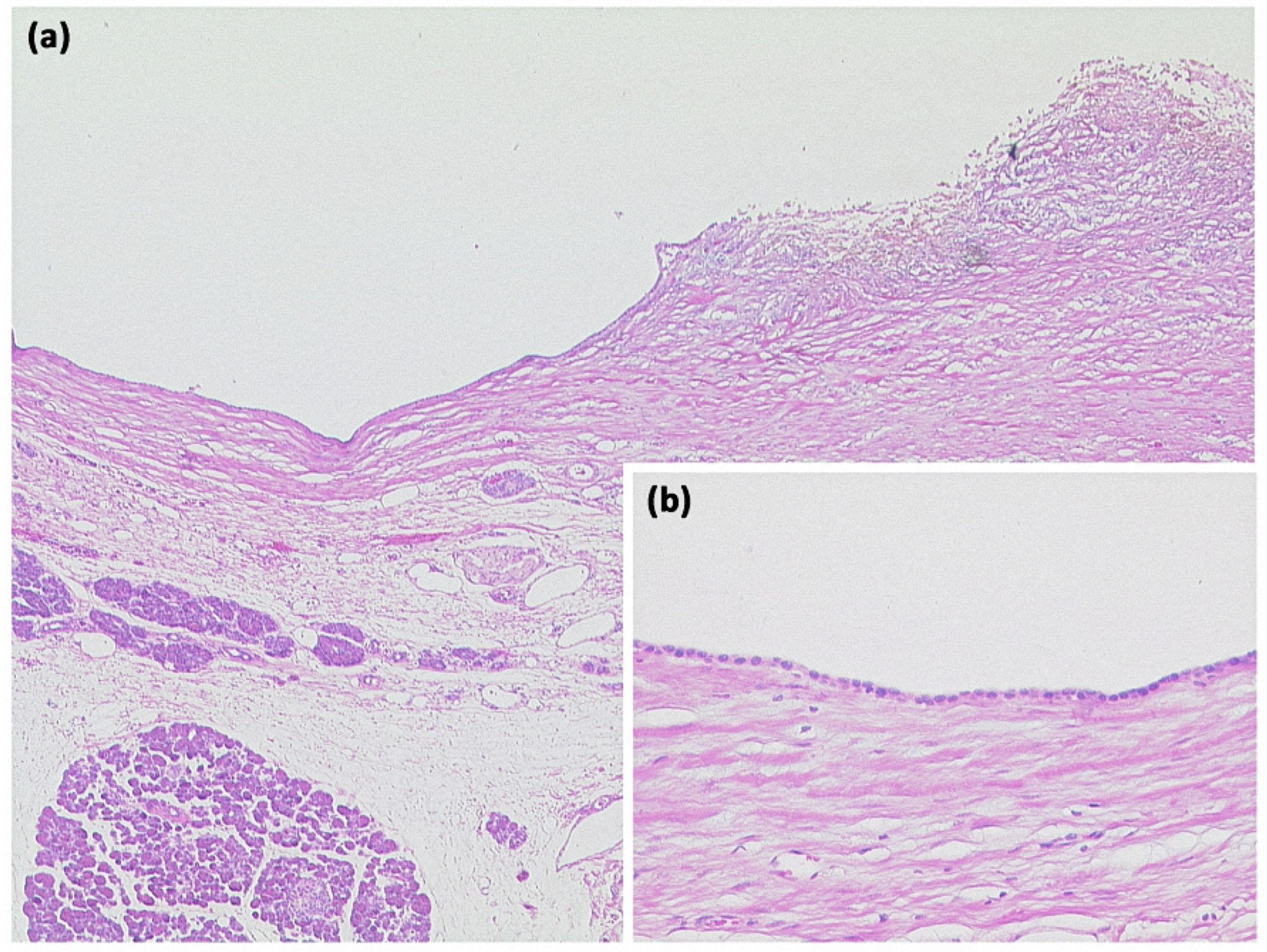
3.1. Unilocular Cystic Lesions
3.2. Macrocystic Tumors: Mucinous Cystic Neoplasms (MCN)
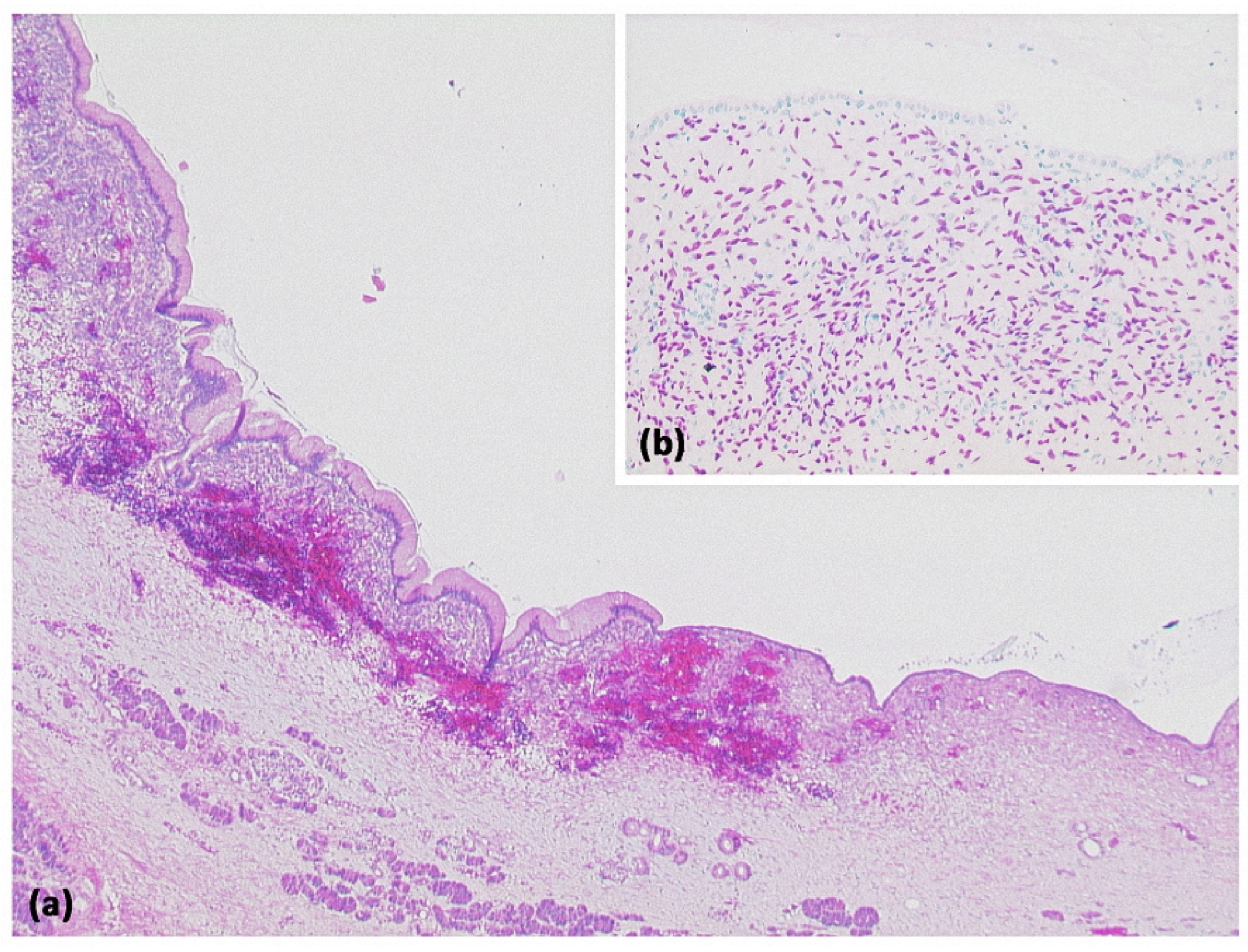
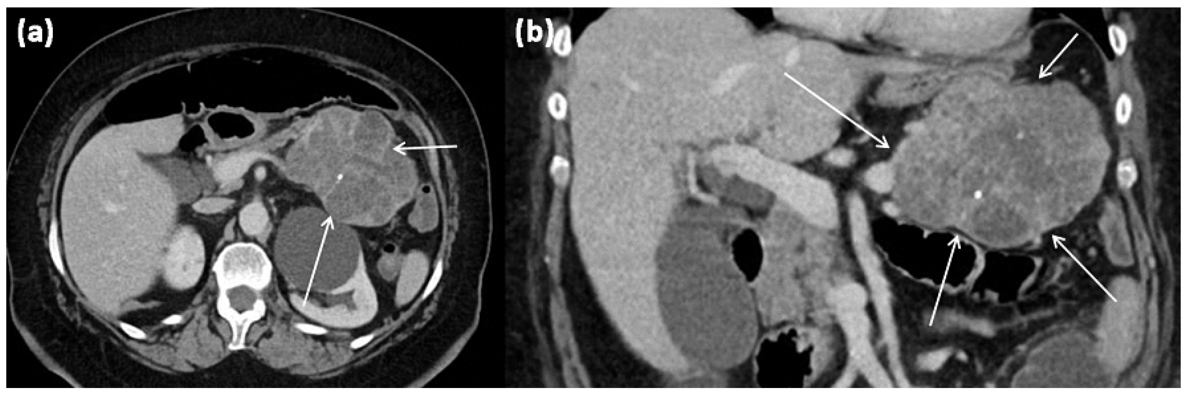
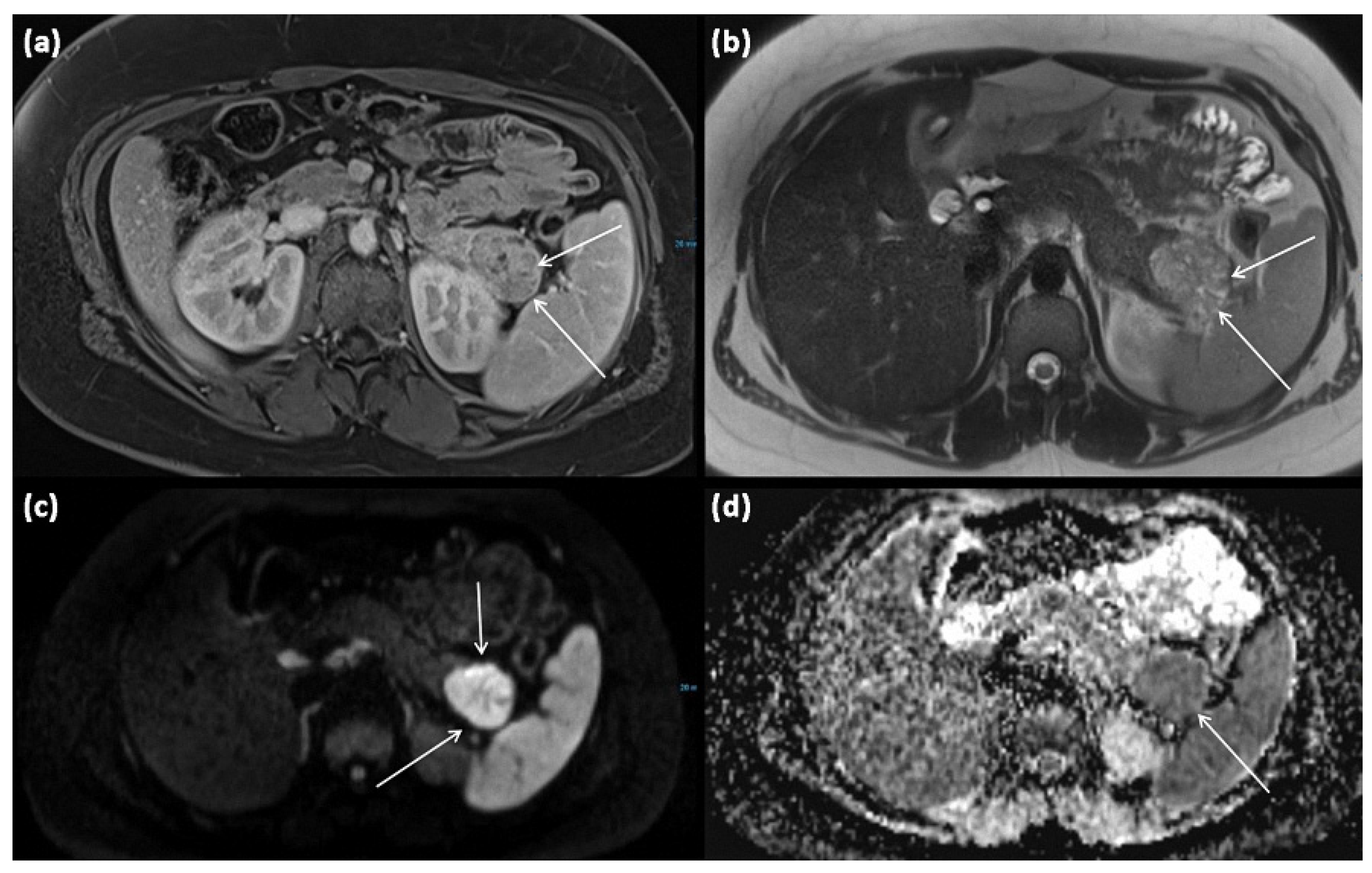
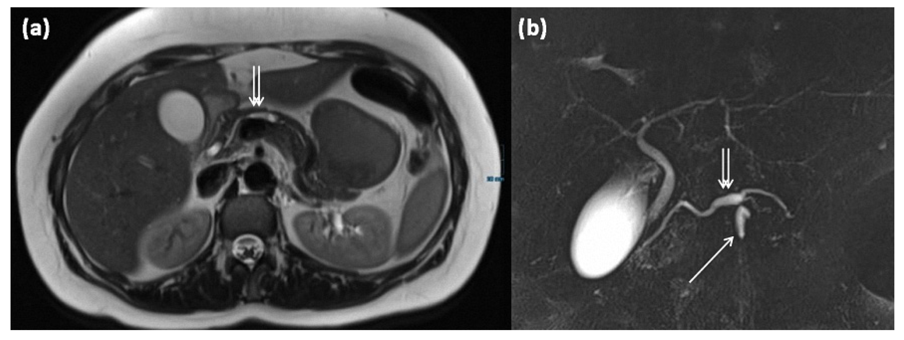
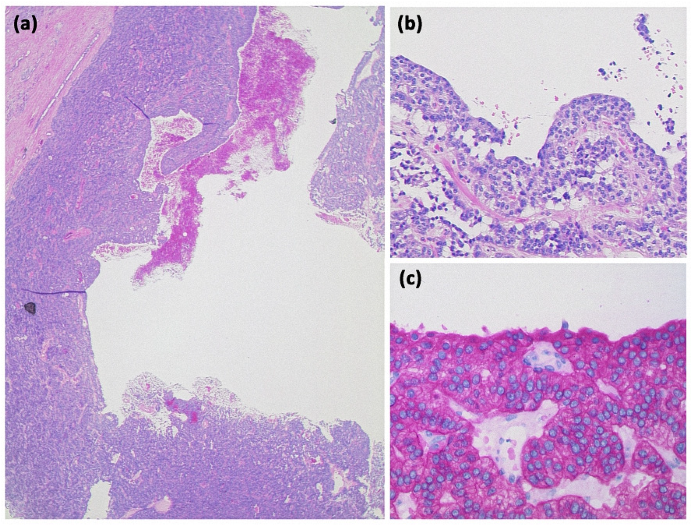
3.3. Microcystic Tumors: Serous Cystic Neoplasms (SCN)
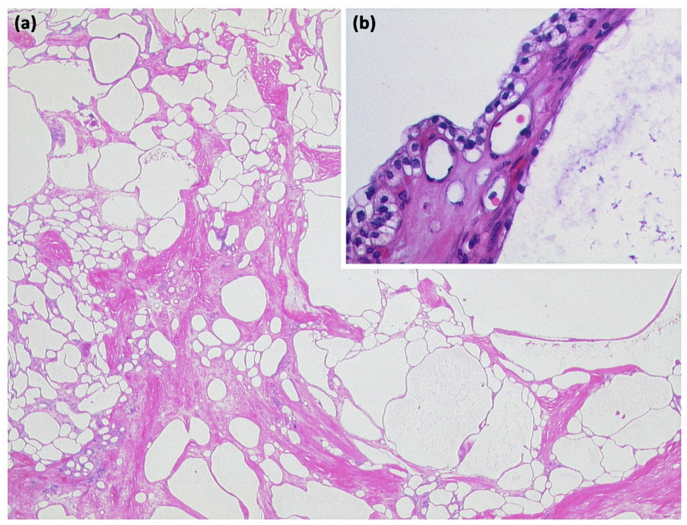
3.4. Cystic Tumors with Solid Portions: Solid Pseudopapillary Neoplasms (SPN)
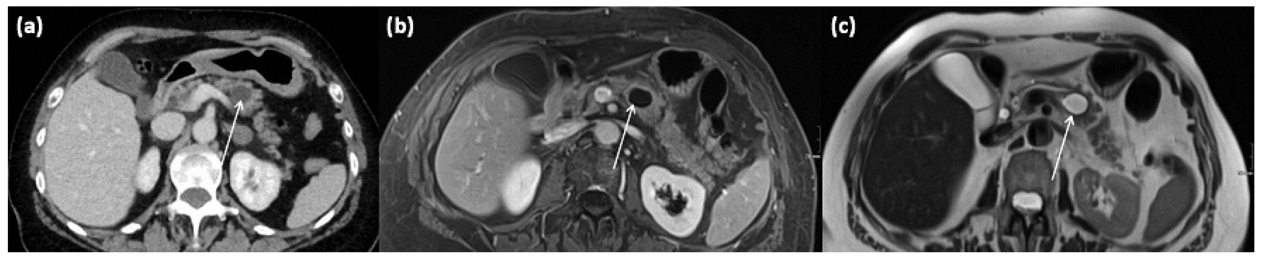
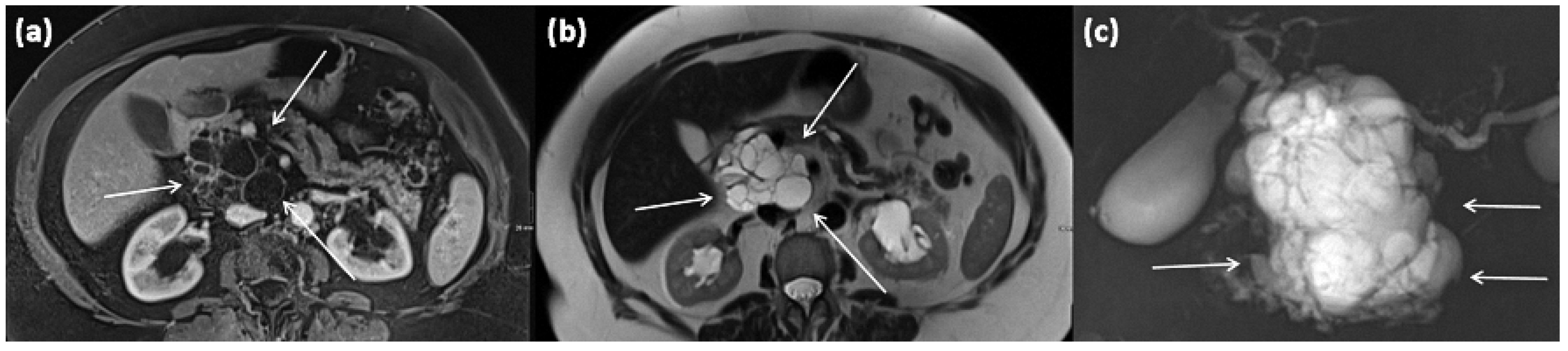
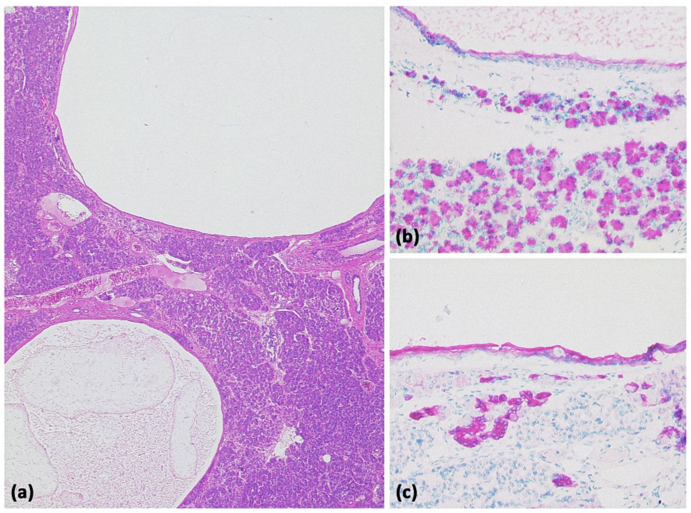
3.5. Intraductal Papillary Mucinous Neoplasms (IPMN)
3.5.1. Main Duct IPMN
3.5.2. Branch Duct IPMN
3.5.3. Mixed Type
4. Differential Diagnostic Difficulties, Special Types, and Advanced Diagnosis
5. Conclusions
Author Contributions
Funding
Institutional Review Board Statement
Informed Consent Statement
Data Availability Statement
Conflicts of Interest
References
- Pandey, P.; Pandey, A.; Varzaneh, F.N.; Ghasabeh, M.A.; Fouladi, D.; Khoshpouri, P.; Shao, N.; Zarghampour, M.; Hruban, R.H.; Canto, M.; et al. Are pancreatic IPMN volumes measured on MRI images more reproducible than diameters? An assessment in a large single-institution cohort. Eur. Radiol. 2018, 28, 2790–2800. [Google Scholar] [CrossRef] [PubMed]
- Girometti, R.; Intini, S.; Brondani, G.; Como, G.; Londero, F.; Bresadola, F.; Zuiani, C.; Bazzocchi, M. Incidental pancreatic cysts on 3D turbo spin echo magnetic resonance cholangiopancreatography: Prevalence and relation with clinical and imaging features. Abdom. Imaging 2011, 36, 196–205. [Google Scholar] [CrossRef] [PubMed]
- Rennert, J.; Stroszczynski, C. MRI of cystic pancreatic lesions. Magn. Reson. Imaging Clin. 2019, 19, 271–282. [Google Scholar]
- Laffan, T.A.; Horton, K.M.; Klein, A.P.; Berlanstein, B.; Siegelman, S.S.; Kawamoto, S.; Johnson, P.T.; Fishman, E.K.; Hruban, R.H. Prevalence of unsuspected pancreatic cysts on MDCT. AJR Am. J. Roentgenol. 2008, 191, 802–807. [Google Scholar] [CrossRef]
- Burk, K.S.; Knipp, D.; Sahani, D.V. Cystic Pancreatic Tumors. Magn. Reson. Imaging Clin. N. Am. 2018, 26, 405–420. [Google Scholar] [CrossRef]
- Pandey, P.; Pandey, A.; Luo, Y.; Aliyari Ghasabeh, M.; Khoshpouri, P.; Ameli, S.; O’Broin-Lennon, A.M.; Canto, M.; Hruban, R.H.; Goggins, M.S.; et al. Follow-up of Incidentally Detected Pancreatic Cystic Neoplasms: Do Baseline MRI and CT Features Predict Cyst Growth? Radiology 2019, 292, 647–654. [Google Scholar] [CrossRef]
- European Study Group on Cystic Tumours of the Pancreas. European evidence-based guidelines on pancreatic cystic neoplasms. Gut 2018, 67, 789–804. [Google Scholar] [CrossRef]
- Kim, Y.C.; Choi, J.Y.; Chung, Y.E.; Bang, S.; Kim, M.J.; Park, M.S.; Kim, K.W. Comparison of MRI and endoscopic ultrasound in the characterization of pancreatic cystic lesions. AJR Am. J. Roentgenol. 2010, 195, 947–952. [Google Scholar] [CrossRef]
- Goh, B.K.; Tan, Y.M.; Thng, C.H.; Cheow, P.C.; Chung, Y.F.; Chow, P.K.; Wong, W.K.; Ooi, L.L. How useful are clinical, biochemical, and cross-sectional imaging features in predicting potentially malignant or malignant cystic lesions of the pancreas? Results from a single institution experience with 220 surgically treated patients. J. Am. Coll. Surg. 2008, 206, 17–27. [Google Scholar] [CrossRef]
- Buerke, B.; Schulke, C. Cystic lesions of the pancreas. Radiologe 2015, 55, 145–156. [Google Scholar] [CrossRef]
- Persigehl, T.; Baumhauer, M.; Baessler, B.; Beyer, L.P.; Bludau, M.; Bruns, C.; Bunck, A.C.; Germer, C.T.; Grenacher, L.; Hacklander, T.; et al. Structured Reporting of Solid and Cystic Pancreatic Lesions in CT and MRI: Consensus-Based Structured Report Templates of the German Society of Radiology (DRG). Rofo 2020, 192, 641–656. [Google Scholar] [CrossRef]
- Berland, L.L.; Silverman, S.G.; Gore, R.M.; Mayo-Smith, W.W.; Megibow, A.J.; Yee, J.; Brink, J.A.; Baker, M.E.; Federle, M.P.; Foley, W.D.; et al. Managing incidental findings on abdominal CT: White paper of the ACR incidental findings committee. J. Am. Coll. Radiol. 2010, 7, 754–773. [Google Scholar] [CrossRef]
- Grenacher, L.; Klauss, M. Computed tomography of pancreatic tumors. Radiologe 2009, 49, 107–123. [Google Scholar] [CrossRef]
- Sahani, D.V.; Kadavigere, R.; Saokar, A.; Fernandez-del Castillo, C.; Brugge, W.R.; Hahn, P.F. Cystic pancreatic lesions: A simple imaging-based classification system for guiding management. Radiographics 2005, 25, 1471–1484. [Google Scholar] [CrossRef]
- Berger, A.W.; Seufferlein, T.; Kleger, A. Cystic pancreatic tumors: Diagnostics and new biomarkers. Chirurg 2017, 88, 905–912. [Google Scholar] [CrossRef]
- WHO. WHO Classification of Tumours: Digestive System Tumours, 5th ed.; WHO: Geneva, Switzerland, 2019. [Google Scholar]
- Nagtegaal, I.D.; Odze, R.D.; Klimstra, D.; Paradis, V.; Rugge, M.; Schirmacher, P.; Washington, K.M.; Carneiro, F.; Cree, I.A.; WHO Classification of Tumours Editorial Board. The 2019 WHO classification of tumours of the digestive system. Histopathology 2020, 76, 182–188. [Google Scholar] [CrossRef]
- Morana, G.; Ciet, P.; Venturini, S. Cystic pancreatic lesions: MR imaging findings and management. Insights Imaging 2021, 12, 115. [Google Scholar] [CrossRef]
- Hruban, R.; Kloeppel, G.; Boffetta, P.; Maitra, A.; Hiraoka, N.; Offerhaus, G.J.A. Tumours of the pancreas. In WHO Classification of Tumours of the Digestive System; Bosman, T., Carneiro, F., Hruban, R., Theise, N.D., Eds.; World Health Organization: Geneva, Switzerland, 2010; pp. 280–330. [Google Scholar]
- Kosmahl, M.; Pauser, U.; Anlauf, M.; Sipos, B.; Peters, K.; Luttges, J.; Kloppel, G. Cystic pancreas tumors and their classification: Features old and new. Der. Pathol. 2005, 26, 22–30. [Google Scholar] [CrossRef]
- Buerke, B.; Heindel, W.; Wessling, J. Differential diagnosis and radiological management of cystic pancreatic lesions. Rofo 2010, 182, 852–860. [Google Scholar] [CrossRef]
- Campbell, F.; Azadeh, B. Cystic neoplasms of the exocrine pancreas. Histopathology 2008, 52, 539–551. [Google Scholar] [CrossRef]
- Brambs, H.J.; Juchems, M. Radiologische Diagnostik zystischer Pankreastumoren. Visc. Med. 2011, 27, 205–213. [Google Scholar] [CrossRef]
- Tanaka, M.; Fernandez-del Castillo, C.; Adsay, V.; Chari, S.; Falconi, M.; Jang, J.Y.; Kimura, W.; Levy, P.; Pitman, M.B.; Schmidt, C.M.; et al. International consensus guidelines 2012 for the management of IPMN and MCN of the pancreas. Pancreatology 2012, 12, 183–197. [Google Scholar] [CrossRef] [PubMed]
- Lundstedt, C.; Dawiskiba, S. Serous and mucinous cystadenoma/cystadenocarcinoma of the pancreas. Abdom. Imaging 2000, 25, 201–206. [Google Scholar] [CrossRef] [PubMed]
- Nougaret, S.; Mannelli, L.; Pierredon, M.A.; Schembri, V.; Guiu, B. Cystic pancreatic lesions: From increased diagnosis rate to new dilemmas. Diagn. Interv. Imaging 2016, 97, 1275–1285. [Google Scholar] [CrossRef] [PubMed]
- Kopelman, Y.; Groissman, G.; Fireman, Z. Cystic lesion of the pancreas. Gastrointest. Endosc. 2007, 65, 1074–1075; discussion 1075. [Google Scholar] [CrossRef]
- Scheiman, J.M. Cystic lesion of the pancreas. Gastroenterology 2005, 128, 463–469. [Google Scholar] [CrossRef]
- Esposito, I.; Schlitter, A.M.; Sipos, B.; Kloppel, G. Classification and malignant potential of pancreatic cystic tumors. Der. Pathol. 2015, 36, 99–114; quiz 113–114. [Google Scholar] [CrossRef]
- Kalb, B.; Sarmiento, J.M.; Kooby, D.A.; Adsay, N.V.; Martin, D.R. MR imaging of cystic lesions of the pancreas. Radiographics 2009, 29, 1749–1765. [Google Scholar] [CrossRef]
- Ishigami, K.; Nishie, A.; Asayama, Y.; Ushijima, Y.; Takayama, Y.; Fujita, N.; Takahata, S.; Ohtsuka, T.; Ito, T.; Igarashi, H.; et al. Imaging pitfalls of pancreatic serous cystic neoplasm and its potential mimickers. World J. Radiol. 2014, 6, 36–47. [Google Scholar] [CrossRef]
- Goh, B.K.; Tan, Y.M.; Yap, W.M.; Cheow, P.C.; Chow, P.K.; Chung, Y.F.; Wong, W.K.; Ooi, L.L. Pancreatic serous oligocystic adenomas: Clinicopathologic features and a comparison with serous microcystic adenomas and mucinous cystic neoplasms. World J. Surg. 2006, 30, 1553–1559. [Google Scholar] [CrossRef]
- Sun, H.Y.; Kim, S.H.; Kim, M.A.; Lee, J.Y.; Han, J.K.; Choi, B.I. CT imaging spectrum of pancreatic serous tumors: Based on new pathologic classification. Eur. J. Radiol. 2010, 75, e45–e55. [Google Scholar] [CrossRef]
- Matsubayashi, H.; Uesaka, K.; Kanemoto, H.; Sugiura, T.; Mizuno, T.; Sasaki, K.; Ono, H.; Hruban, R. Multiple endocrine neoplasms and serous cysts of the pancreas in a patient with von Hippel-Lindau disease. J. Gastrointest. Cancer 2010, 41, 197–202. [Google Scholar] [CrossRef]
- Agarwal, N.; Kumar, S.; Dass, J.; Arora, V.K.; Rathi, V. Diffuse pancreatic serous cystadenoma associated with neuroendocrine carcinoma: A case report and review of literature. JOP 2009, 10, 55–58. [Google Scholar]
- Kloth, C.; Beck, A.; Wittau, M.; Thaiss, W.M.; Vogele, D.; Beer, M.; Schmidt, S.A. Rare case of a pancreatic neoplasm in an older patient. Radiologe 2020, 60, 1066–1068. [Google Scholar] [CrossRef]
- Wojciak, M.; Gozdowska, J.; Pacholczyk, M.; Lisik, W.; Kosieradzki, M.; Cichocki, A.; Tronina, O.; Durlik, M. Liver Transplantation for a Metastatic Pancreatic Solid-Pseudopapillary Tumor (Frantz Tumor): A Case Report. Ann. Transpl. 2018, 23, 520–523. [Google Scholar] [CrossRef]
- Branco, C.; Vilaca, S.; Falcao, J. Solid pseudopapillary neoplasm-Case report of a rare pancreatic tumor. Int. J. Surg. Case Rep. 2017, 33, 148–150. [Google Scholar] [CrossRef]
- Cai, Y.; Ran, X.; Xie, S.; Wang, X.; Peng, B.; Mai, G.; Liu, X. Surgical management and long-term follow-up of solid pseudopapillary tumor of pancreas: A large series from a single institution. J. Gastrointest. Surg. 2014, 18, 935–940. [Google Scholar] [CrossRef]
- Tanaka, M.; Fernandez-Del Castillo, C.; Kamisawa, T.; Jang, J.Y.; Levy, P.; Ohtsuka, T.; Salvia, R.; Shimizu, Y.; Tada, M.; Wolfgang, C.L. Revisions of international consensus Fukuoka guidelines for the management of IPMN of the pancreas. Pancreatology 2017, 17, 738–753. [Google Scholar] [CrossRef]
- Adsay, N.V.; Conlon, K.C.; Zee, S.Y.; Brennan, M.F.; Klimstra, D.S. Intraductal papillary-mucinous neoplasms of the pancreas: An analysis of in situ and invasive carcinomas in 28 patients. Cancer 2002, 94, 62–77. [Google Scholar] [CrossRef]
- Megibow, A.J.; Baker, M.E.; Morgan, D.E.; Kamel, I.R.; Sahani, D.V.; Newman, E.; Brugge, W.R.; Berland, L.L.; Pandharipande, P.V. Management of Incidental Pancreatic Cysts: A White Paper of the ACR Incidental Findings Committee. J. Am. Coll. Radiol. 2017, 14, 911–923. [Google Scholar] [CrossRef]
- Fonseca, A.L.; Kirkwood, K.; Kim, M.P.; Maitra, A.; Koay, E.J. Intraductal Papillary Mucinous Neoplasms of the Pancreas: Current Understanding and Future Directions for Stratification of Malignancy Risk. Pancreas 2018, 47, 272–279. [Google Scholar] [CrossRef] [PubMed]
- Grutzmann, R.; Post, S.; Saeger, H.D.; Niedergethmann, M. Intraductal papillary mucinous neoplasia (IPMN) of the pancreas: Its diagnosis, treatment, and prognosis. Dtsch. Arztebl. Int. 2011, 108, 788–794. [Google Scholar] [CrossRef] [PubMed]
- Jang, J.Y.; Park, T.; Lee, S.; Kim, Y.; Lee, S.Y.; Kim, S.W.; Kim, S.C.; Song, K.B.; Yamamoto, M.; Hatori, T.; et al. Proposed Nomogram Predicting the Individual Risk of Malignancy in the Patients With Branch Duct Type Intraductal Papillary Mucinous Neoplasms of the Pancreas. Ann. Surg. 2017, 266, 1062–1068. [Google Scholar] [CrossRef] [PubMed]
- Wang, W.; Zhang, L.; Chen, L.; Wei, J.; Sun, Q.; Xie, Q.; Zhou, X.; Zhou, D.; Huang, P.; Yang, Q.; et al. Serum carcinoembryonic antigen and carbohydrate antigen 19-9 for prediction of malignancy and invasiveness in intraductal papillary mucinous neoplasms of the pancreas: A meta-analysis. Biomed. Rep. 2015, 3, 43–50. [Google Scholar] [CrossRef] [PubMed]
- Kim, J.R.; Jang, J.Y.; Kang, M.J.; Park, T.; Lee, S.Y.; Jung, W.; Chang, J.; Shin, Y.; Han, Y.; Kim, S.W. Clinical implication of serum carcinoembryonic antigen and carbohydrate antigen 19-9 for the prediction of malignancy in intraductal papillary mucinous neoplasm of pancreas. J. Hepatobiliary Pancreat. Sci. 2015, 22, 699–707. [Google Scholar] [CrossRef]
- Yamaguchi, H.; Ishigami, K.; Inoue, T.; Eguchi, T.; Nagata, S.; Kuroda, Y.; Nishihara, Y.; Yamaguchi, K.; Tanaka, M.; Tsuneyoshi, M. Three cases of serous oligocystic adenomas of the pancreas; evaluation of cyst wall thickness for preoperative differentiation from mucinous cystic neoplasms. J. Gastrointest. Cancer 2007, 38, 52–58. [Google Scholar] [CrossRef]
- Adsay, N.V.; Hasteh, F.; Cheng, J.D.; Bejarano, P.A.; Lauwers, G.Y.; Batts, K.P.; Kloppel, G.; Klimstra, D.S. Lymphoepithelial cysts of the pancreas: A report of 12 cases and a review of the literature. Mod. Pathol. 2002, 15, 492–501. [Google Scholar] [CrossRef]
- Abdelkader, A.; Hunt, B.; Hartley, C.P.; Panarelli, N.C.; Giorgadze, T. Cystic Lesions of the Pancreas: Differential Diagnosis and Cytologic-Histologic Correlation. Arch. Pathol. Lab. Med. 2020, 144, 47–61. [Google Scholar] [CrossRef]
- Bihari, C.; Rastogi, A.; Rajesh, S.; Arora, A.; Arora, A.; Kumar, N. Cystic Lymphangioma of Pancreas. Indian J. Surg. Oncol. 2016, 7, 106–109. [Google Scholar] [CrossRef]
- Bergmann, F. Pancreatic acinar neoplasms: Comparative molecular characterization. Der. Pathol. 2016, 37, 191–195. [Google Scholar] [CrossRef]
- Lisotti, A.; Napoleon, B.; Facciorusso, A.; Cominardi, A.; Crino, S.F.; Brighi, N.; Gincul, R.; Kitano, M.; Yamashita, Y.; Marchegiani, G.; et al. Contrast-enhanced EUS for the characterization of mural nodules within pancreatic cystic neoplasms: Systematic review and meta-analysis. Gastrointest. Endosc. 2021, 94, 881–889.e885. [Google Scholar] [CrossRef]
- Facciorusso, A.; Kovacevic, B.; Yang, D.; Vilas-Boas, F.; Martinez-Moreno, B.; Stigliano, S.; Rizzatti, G.; Sacco, M.; Arevalo-Mora, M.; Villarreal-Sanchez, L.; et al. Predictors of adverse events after endoscopic ultrasound-guided through-the-needle biopsy of pancreatic cysts: A recursive partitioning analysis. Endoscopy 2022, 54, 1158–1168. [Google Scholar] [CrossRef]





















| Group | Tumors | 
|---|---|
| Epithelial neoplastic | Mucinous • Intraductal papillary neoplasms • Mucinous neoplasms Non-mucinous • Serous cystadenoma • Serous cystadenocarcinoma • Cystic neuroendocrine tumors • Acinar cell carcinoma with cystic degeneration • Cystic ductal adenocarcinoma • Solid-pseudopapillary neoplasia • Cystic hamartoma • Cystic teratoma | 
| Epithelial non-neoplastic | • Simple cyst • Congenital cyst • Lymphoepithelial cyst • Simple mucinous cyst • Retention cyst • Acinar-cystic transformation | 
| Non-epithelial neoplastic | • Lymphangioma • Sarcoma | 
| Non-epithelial non-neoplastic | • Pseudocyst • Parasitic cyst • Walled-of necrosis | 
| Disclaimer/Publisher’s Note: The statements, opinions and data contained in all publications are solely those of the individual author(s) and contributor(s) and not of MDPI and/or the editor(s). MDPI and/or the editor(s) disclaim responsibility for any injury to people or property resulting from any ideas, methods, instructions or products referred to in the content. | 
© 2023 by the authors. Licensee MDPI, Basel, Switzerland. This article is an open access article distributed under the terms and conditions of the Creative Commons Attribution (CC BY) license (https://creativecommons.org/licenses/by/4.0/).
Share and Cite
Kloth, C.; Haggenmüller, B.; Beck, A.; Wagner, M.; Kornmann, M.; Steinacker, J.P.; Steinacker-Stanescu, N.; Vogele, D.; Beer, M.; Juchems, M.S.; et al. Diagnostic, Structured Classification and Therapeutic Approach in Cystic Pancreatic Lesions: Systematic Findings with Regard to the European Guidelines. Diagnostics 2023, 13, 454. https://doi.org/10.3390/diagnostics13030454
Kloth C, Haggenmüller B, Beck A, Wagner M, Kornmann M, Steinacker JP, Steinacker-Stanescu N, Vogele D, Beer M, Juchems MS, et al. Diagnostic, Structured Classification and Therapeutic Approach in Cystic Pancreatic Lesions: Systematic Findings with Regard to the European Guidelines. Diagnostics. 2023; 13(3):454. https://doi.org/10.3390/diagnostics13030454
Chicago/Turabian StyleKloth, Christopher, Benedikt Haggenmüller, Annika Beck, Martin Wagner, Marko Kornmann, Jochen P. Steinacker, Nora Steinacker-Stanescu, Daniel Vogele, Meinrad Beer, Markus S. Juchems, and et al. 2023. "Diagnostic, Structured Classification and Therapeutic Approach in Cystic Pancreatic Lesions: Systematic Findings with Regard to the European Guidelines" Diagnostics 13, no. 3: 454. https://doi.org/10.3390/diagnostics13030454
APA StyleKloth, C., Haggenmüller, B., Beck, A., Wagner, M., Kornmann, M., Steinacker, J. P., Steinacker-Stanescu, N., Vogele, D., Beer, M., Juchems, M. S., & Schmidt, S. A. (2023). Diagnostic, Structured Classification and Therapeutic Approach in Cystic Pancreatic Lesions: Systematic Findings with Regard to the European Guidelines. Diagnostics, 13(3), 454. https://doi.org/10.3390/diagnostics13030454
 
        




 
       