Odontogenic Orbital Cellulitis at the Crossroads of Surgeries: Multidisciplinary Management and Review
Abstract
1. Introduction
1.1. Ethyology
1.2. The Chandler Classification
- Stage I involves inflammation before the orbital septum, affecting the eyelids, known as preseptal cellulitis;
- Stage II is characterized by inflammation beyond the orbital septum, classified as orbital cellulitis;
- Stage III involves an infectious fluid collection between the orbital bones and their contents, termed a subperiosteal abscess;
- Stage IV is marked by an intraorbital infectious fluid collection, known as an orbital abscess;
- Stage V is characterized by phlebitis extending to the cavernous sinus, leading to bilateral eye symptoms and often severe systemic symptoms, described as cavernous sinus thrombosis.
1.3. Diagnosis
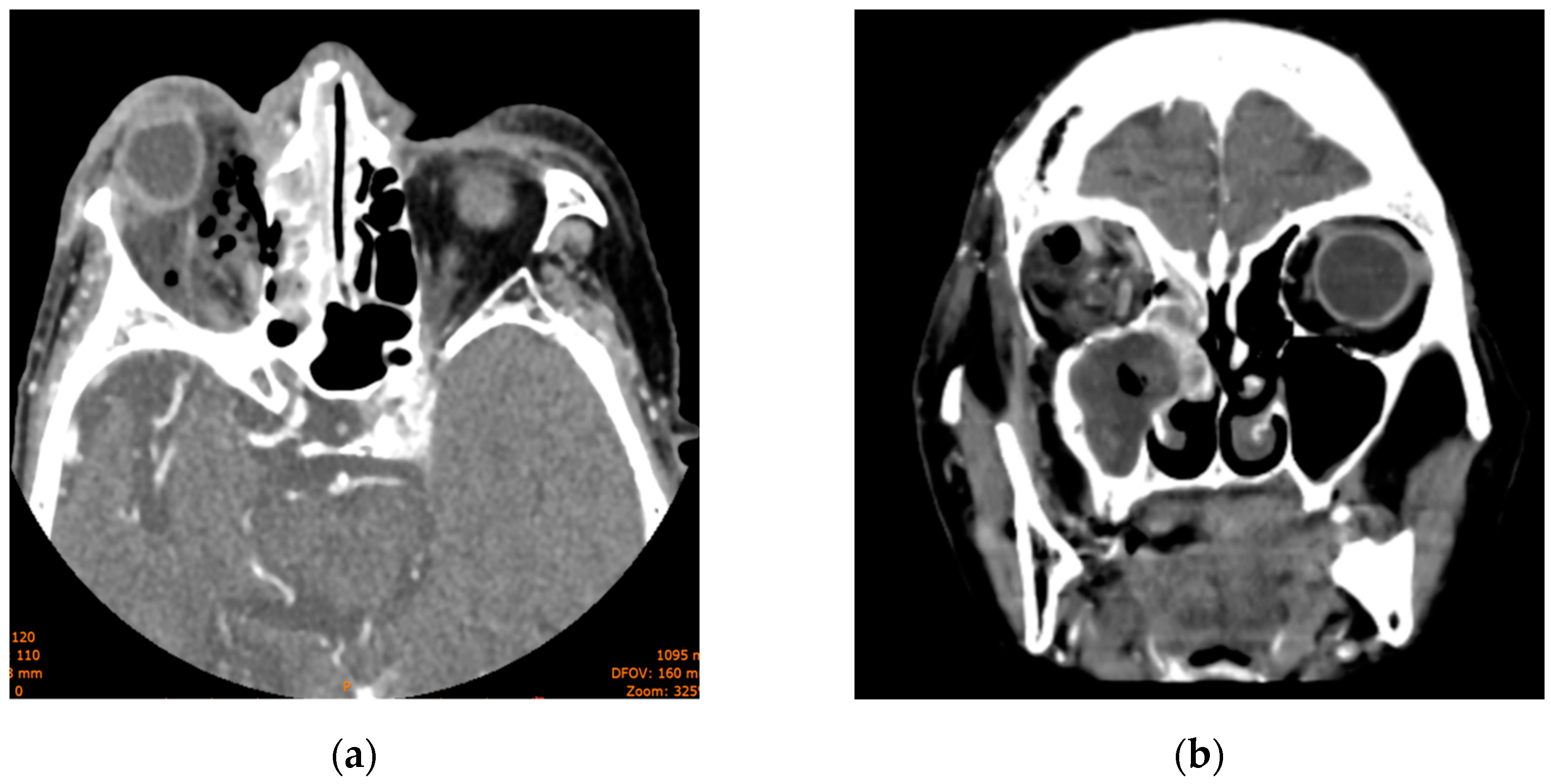
2. Case 1
3. Case 2
4. Discussion
5. Conclusions
Supplementary Materials
Author Contributions
Funding
Institutional Review Board Statement
Informed Consent Statement
Data Availability Statement
Conflicts of Interest
References
- Yen, M.T.; Johnson, T.E. Orbital Cellulitis and Periorbital Infections; Springer: Berlin/Heidelberg, Germany, 2017. [Google Scholar]
- Youssef, O.H.; Stefanyszyn, M.A.; Bilyk, J.R. Odontogenic Orbital Cellulitis. Ophthalmic Plast. Reconstr. Surg. 2008, 24, 29–35. [Google Scholar] [CrossRef]
- Harris, G.J. Age as a Factor in the Bacteriology and Response to Treatment of Subperiosteal Abscess of the Orbit. Trans. Am. Ophthalmol. Soc. 1993, 91, 441. [Google Scholar]
- Procacci, P.; Zangani, A.; Rossetto, A.; Rizzini, A.; Zanette, G.; Albanese, M. Odontogenic Orbital Abscess: A Case Report and Review of Literature. Oral Maxillofac. Surg. 2017, 21, 271–279. [Google Scholar] [CrossRef]
- El-Sayed, Y. Orbital Involvement in Sinonasal Disease. Saudi J. Ophthalmol. 1995, 9, 29–37. [Google Scholar]
- Nageswaran, S.; Woods, C.R.; Benjamin Jr, D.K.; Givner, L.B.; Shetty, A.K. Orbital Cellulitis in Children. Pediatr. Infect. Dis. J. 2006, 25, 695–699. [Google Scholar] [CrossRef]
- Guichaoua, C.; Genest-Beucher, S.; Boisrame, S. Odontogenic Orbital Cellulitis: Literature Review. J. Oral Med. Oral Surg. 2024, 30, 4. [Google Scholar] [CrossRef]
- Sharma, A.; Ingole, S.; Deshpande, M.; Ranadive, P.; Sharma, S.; Chavan, A. An Insight on Management of Odontogenic Orbital Infections: Report of Two Cases. J. Oral Med. Oral Surg. 2021, 27, 41. [Google Scholar] [CrossRef]
- Mehra, P.; CAIAZZO, A.; BESTGEN, S. Odontogenic Sinusitis Causing Orbital Cellulitis. J. Am. Dent. Assoc. 1999, 130, 1086–1092. [Google Scholar] [CrossRef]
- Muñoz-Guerra, M.F.; González-García, R.; Capote, A.L.; Escorial, V.; Gías, L.N. Subperiosteal Abscess of the Orbit: An Unusual Complication of the Third Molar Surgery. Oral Surg. Oral Med. Oral Pathol. Oral Radiol. Endod. 2006, 102, e9–e13. [Google Scholar] [CrossRef]
- Poon, T.L.; Lee, W.Y.; Ho, W.S.; Pang, K.Y.; Wong, C.K. Odontogenic Subperiosteal Abscess of Orbit: A Case Report. J. Clin. Neurosci. 2001, 8, 469–471. [Google Scholar] [CrossRef]
- de Medeiros, E.H.P.; Pepato, A.O.; Sverzut, C.E.; Trivellato, A.E. Orbital Abscess during Endodontic Treatment: A Case Report. J. Endod. 2012, 38, 1541–1543. [Google Scholar] [CrossRef]
- Harris, G.J. Subperiosteal Abscess of the Orbit. Arch. Ophthalmol. 1983, 101, 751–757. [Google Scholar] [CrossRef]
- Hubert, L. Orbital Infections Due to Nasal Sinusitis. NY State J. Med. 1937, 37, 1559–1564. [Google Scholar]
- Chandler, J.R.; Langenbrunner, D.J.; Stevens, E.R. The Pathogenesis of Orbital Complications in Acute Sinusitis. Laryngoscope 1970, 80, 1414–1428. [Google Scholar] [CrossRef]
- Hamedani, M.; Ameline-audelan, V.; Morax, S. Affections Inflammatoires de l’orbite. Encycl. Med. Chir. (Ed. Sci. Médicale Elsevier) Opthalmologie 2002, 21–620. [Google Scholar] [CrossRef]
- Hong, E.S.; Allen, R.C. Orbital Cellulitis in a Child. 2010. Available online: https://webeye.ophth.uiowa.edu/eyeforum/cases/103-Pediatric-Orbital-Cellulitis.htm (accessed on 12 January 2010).
- Meara, D.J. Sinonasal Disease and Orbital Cellulitis in Children. Oral Maxillofac. Surg. Clin. 2012, 24, 487–496. [Google Scholar] [CrossRef]
- Houle, A.N.; Pham, C.; Valikodath, N.; Elmowitz, J.S.; Callahan, N. Odontogenic Subperiosteal Abscess of the Lateral Orbit: Timely Recognition and Management. Eur. J. Dent. 2021, 15, 802–805. [Google Scholar] [CrossRef]
- STüBINGER, S.; Leiggener, C.; Sader, R.; Kunz, C. Intraorbital Abscess: A Rare Complication after Maxillary Molar Extraction. J. Am. Dent. Assoc. 2005, 136, 921–925. [Google Scholar] [CrossRef]
- Stefanopoulos, P.K.; Kolokotronis, A.E. The Clinical Significance of Anaerobic Bacteria in Acute Orofacial Odontogenic Infections. Oral Surg. Oral Med. Oral Pathol. Oral Radiol. Endod. 2004, 98, 398–408. [Google Scholar] [CrossRef]
- Thakar, A.; Tandon, D.A.; Thakar, M.D.; Nivsarkar, S. Orbital Cellulitis Revisited. Indian J. Otolaryngol. Head Neck Surg. 2000, 52, 235–242. [Google Scholar] [CrossRef]
- Shaikh, M.R.; Baqir, S.M.; Zakir, N. Orbital Cellulitis Masquerading as Cavernous Sinus Thrombosis: A Case Report. J. Pak. Med. Assoc. 2004, 54, 280–282. [Google Scholar]
- Bedwell, J.; Bauman, N.M. Management of Pediatric Orbital Cellulitis and Abscess. Curr. Opin. Otolaryngol. Head Neck Surg. 2011, 19, 467–473. [Google Scholar] [CrossRef]
- Gehanno, P.; Beauvillain, C.; Bobin, S.; Chobaut, J.-C.; Desaulty, A.; Dubreuil, C.; Klossek, J.-M.; Pessey, J.-J.; Peyramond, D.; Strunski, A. Short Therapy with Amoxicillin-Clavulanate and Corticosteroids in Acute Sinusitis: Results of a Multicentre Study in Adults. Scand. J. Infect. Dis. 2000, 32, 679–684. [Google Scholar]
- Bertino Jr, J.S. Impact of Antibiotic Resistance in the Management of Ocular Infections: The Role of Current and Future Antibiotics. Clin. Ophthalmol. 2009, 3, 507–521. [Google Scholar] [CrossRef]
- Seltz, L.B.; Smith, J.; Durairaj, V.D.; Enzenauer, R.; Todd, J. Microbiology and Antibiotic Management of Orbital Cellulitis. Pediatrics 2011, 127, e566–e572. [Google Scholar] [CrossRef]
- Ramadan, H.H. Corticosteroid Therapy during Endoscopic Sinus Surgery in Children: Is There a Need for a Second Look? Arch. Otolaryngol. Head Neck Surg. 2001, 127, 188–192. [Google Scholar] [CrossRef][Green Version]
- Pushker, N.; Tejwani, L.K.; Bajaj, M.S.; Khurana, S.; Velpandian, T.; Chandra, M. Role of Oral Corticosteroids in Orbital Cellulitis. Am. J. Ophthalmol. 2013, 156, 178–183. [Google Scholar] [CrossRef]
- Jain, A.; Rubin, P.A.D. Orbital Cellulitis in Children. Int. Ophthalmol. Clin. 2001, 41, 71–86. [Google Scholar] [CrossRef]
- Henry, C.H.; Hughes, C.V.; Larned, D.C. Odontogenic Infection of the Orbit: Report of a Case. J. Oral Maxillofac. Surg. 1992, 50, 172–178. [Google Scholar] [CrossRef]
- Smith, J.M.; Bratton, E.M.; DeWitt, P.; Davies, B.W.; Hink, E.M.; Durairaj, V.D. Predicting the Need for Surgical Intervention in Pediatric Orbital Cellulitis. Am. J. Ophthalmol. 2014, 158, 387–394. [Google Scholar] [CrossRef]
- Garcia, G.H.; Harris, G.J. Criteria for Nonsurgical Management of Subperiosteal Abscess of the Orbit: Analysis of Outcomes 1988–1998. Ophthalmology 2000, 107, 1454–1456. [Google Scholar] [CrossRef] [PubMed]
- Manning, S.C. Endoscopic Management of Medial Subperiosteal Orbital Abscess. Arch. Otolaryngol. Head Neck Surg. 1993, 119, 789–791. [Google Scholar] [CrossRef] [PubMed]
- Wolf, G.; Anderhuber, W.; Kuhn, F. Development of the Paranasal Sinuses in Children: Implications for Paranasal Sinus Surgery. Ann. Otol. Rhinol. Laryngol. 1993, 102, 705–711. [Google Scholar] [CrossRef]
- Rahbar, R.; Robson, C.D.; Petersen, R.A.; DiCanzio, J.; Rosbe, K.W.; McGill, T.J.; Healy, G.B. Management of Orbital Subperiosteal Abscess in Children. Arch. Otolaryngol. Head Neck Surg. 2001, 127, 281–286. [Google Scholar] [CrossRef]












Disclaimer/Publisher’s Note: The statements, opinions and data contained in all publications are solely those of the individual author(s) and contributor(s) and not of MDPI and/or the editor(s). MDPI and/or the editor(s) disclaim responsibility for any injury to people or property resulting from any ideas, methods, instructions or products referred to in the content. |
© 2024 by the authors. Licensee MDPI, Basel, Switzerland. This article is an open access article distributed under the terms and conditions of the Creative Commons Attribution (CC BY) license (https://creativecommons.org/licenses/by/4.0/).
Share and Cite
Pirvulescu, R.A.; Vasile, V.A.; Romanitan, M.O.; Zemba, M.; Ciulei, O.C.; Geamanu, A.; Anton, N.; Popa Cherecheanu, M. Odontogenic Orbital Cellulitis at the Crossroads of Surgeries: Multidisciplinary Management and Review. Diagnostics 2024, 14, 1391. https://doi.org/10.3390/diagnostics14131391
Pirvulescu RA, Vasile VA, Romanitan MO, Zemba M, Ciulei OC, Geamanu A, Anton N, Popa Cherecheanu M. Odontogenic Orbital Cellulitis at the Crossroads of Surgeries: Multidisciplinary Management and Review. Diagnostics. 2024; 14(13):1391. https://doi.org/10.3390/diagnostics14131391
Chicago/Turabian StylePirvulescu, Ruxandra A., Victor A. Vasile, Mihaela O. Romanitan, Mihail Zemba, Oana C. Ciulei, Aida Geamanu, Nicoleta Anton, and Matei Popa Cherecheanu. 2024. "Odontogenic Orbital Cellulitis at the Crossroads of Surgeries: Multidisciplinary Management and Review" Diagnostics 14, no. 13: 1391. https://doi.org/10.3390/diagnostics14131391
APA StylePirvulescu, R. A., Vasile, V. A., Romanitan, M. O., Zemba, M., Ciulei, O. C., Geamanu, A., Anton, N., & Popa Cherecheanu, M. (2024). Odontogenic Orbital Cellulitis at the Crossroads of Surgeries: Multidisciplinary Management and Review. Diagnostics, 14(13), 1391. https://doi.org/10.3390/diagnostics14131391

