Clinical Feasibility of 5.0 T MRI/MRCP in Characterizing Pancreatic Cystic Lesions: Comparison with 3.0 T and MDCT
Abstract
1. Introduction
2. Patients and Methods
2.1. Patients
2.2. 5.0 T MRI Protocol
2.3. Electromagnetic Simulations and Validation of B1 Filed
2.4. 3.0 T MRI Protocol
2.5. MDCT Protocol
2.6. Image Analysis
2.7. Statistical Analysis
3. Results
3.1. Patient Characteristics
3.2. Image Quality and Interobserver Agreement: 5.0 T MRI vs. 3.0 T MRI
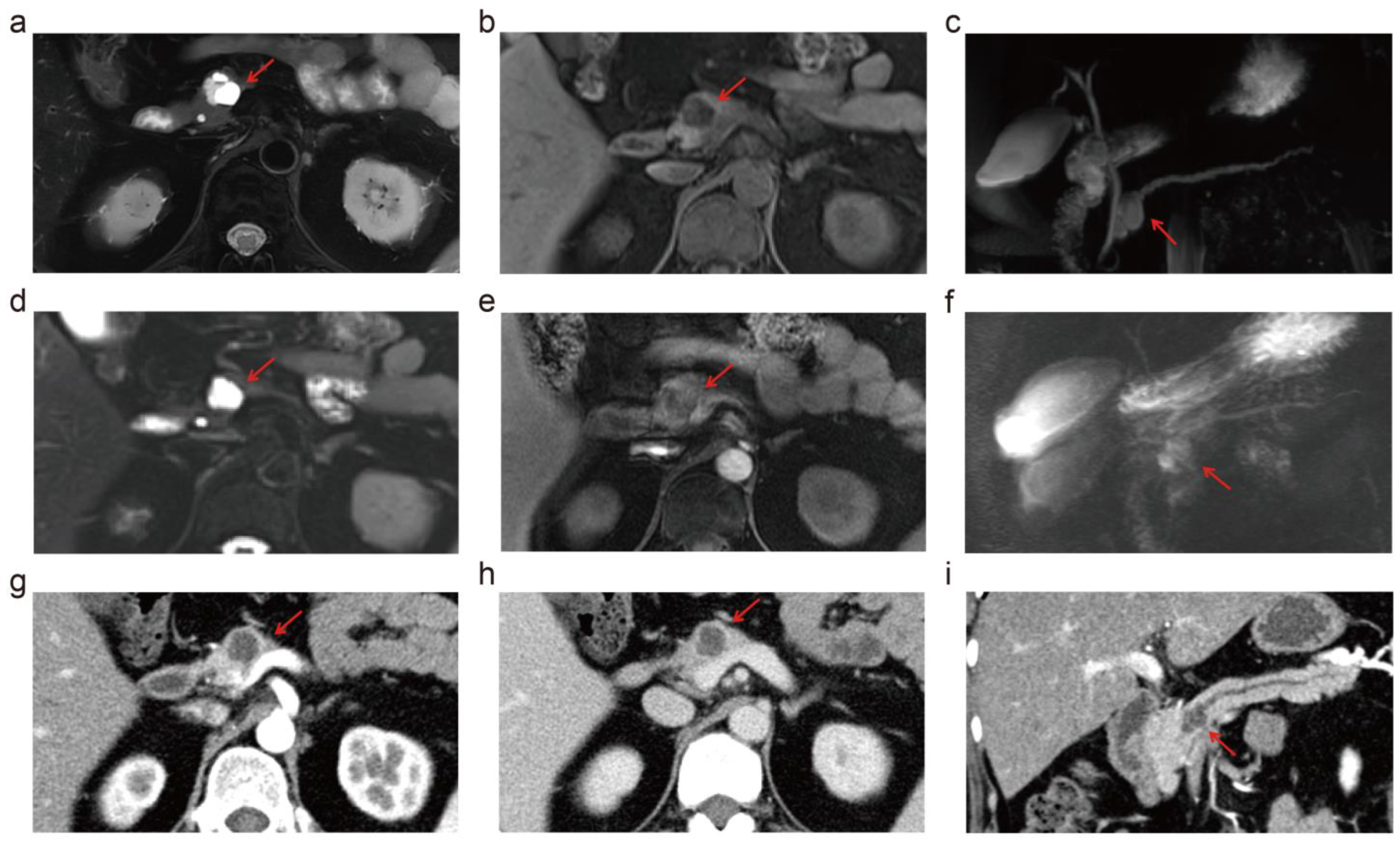
3.3. Depiction of PCL Imaging Features: 5.0 T vs. 3.0 T vs. MDCT
3.4. Diagnostic Performance of PCL Characterization: 5.0 T MRI vs. 3.0 T MRI vs. MDCT
4. Discussion
5. Conclusions
Supplementary Materials
Author Contributions
Funding
Institutional Review Board Statement
Informed Consent Statement
Data Availability Statement
Conflicts of Interest
Correction Statement
References
- Ardeshna, D.R.; Cao, T.; Rodgers, B.; Onongaya, C.; Jones, D.; Chen, W.; Koay, E.; Krishna, S.G. Recent advances in the diagnostic evaluation of pancreatic cystic lesions. World Gastroenterol. 2022, 28, 624–634. [Google Scholar] [CrossRef] [PubMed]
 - Kromrey, M.L.; Bülow, R.; Hübner, J.; Paperlein, C.; Lerch, M.M.; Ittermann, T.; Völzke, H.; Mayerle, J.; Kühn, J.P. Prospective study on the incidence, prevalence and 5-year pancreatic-related mortality of pancreatic cysts in a population-based study. Gut 2018, 67, 138–145. [Google Scholar] [CrossRef] [PubMed]
 - Aziz, H.; Acher, A.W.; Krishna, S.G.; Cloyd, J.M.; Pawlik, T.M. Comparison of Society Guidelines for the Management and Surveillance of Pancreatic Cysts: A Review. JAMA Surg. 2022, 157, 723–730. [Google Scholar] [CrossRef]
 - Cheng, S.; Shi, H.; Lu, M.; Wang, C.; Duan, S.; Xu, Q.; Shi, H. Radiomics Analysis for Predicting Malignant Potential of Intraductal Papillary Mucinous Neoplasms of the Pancreas: Comparison of CT and MRI. Acad. Radiol. 2022, 29, 367–375. [Google Scholar] [CrossRef] [PubMed]
 - Choi, S.H.; Kim, Y.B.; Paek, S.H.; Cho, Z.H. Papez Circuit Observed by In Vivo Human Brain with 7.0 T MRI Super-Resolution Track Density Imaging and Trac.k Tracing. Front. Neuroanat. 2019, 13, 17. [Google Scholar] [CrossRef] [PubMed]
 - Anderson, S.W.; Soto, J.A.; Milch, H.N.; Ozonoff, A.; O′Brien, M.; Hamilton, J.; Jara, H. Effect of disease progression on liver apparent diffusion coefficient values in a murine model of NASH at 11.7 Tesla MRI. J. Magn. Reson. Imaging 2011, 33, 882–888. [Google Scholar] [CrossRef]
 - Winter, L.; Özerdem, C.; Hoffmann, W.; Santoro, D.; Müller, A.; Waiczies, H.; Seemann, R.; Graessl, A.; Wust, P.; Niendorf, T. Design and evaluation of a hybrid radiofrequency applicator for magnetic resonance imaging and RF induced hyperthermia: Electromagnetic field simulations up to 14.0 Tesla and proof-of-concept at 7.0 Tesla. PLoS ONE 2013, 8, e61661. [Google Scholar] [CrossRef]
 - Scalera, J.E.; Soto, J.A.; Jara, H.; Ozonoff, A.; O′Brien, M.; Anderson, S.W. Multiexponential T (2) analyses in a murine model of hepatic fibrosis at 11.7 T MRI. NMR Biomed. 2013, 26, 83–90. [Google Scholar] [CrossRef]
 - Zhang, Y.; Yang, C.; Liang, L.; Shi, Z.; Zhu, S.; Chen, C.; Dai, Y.; Zeng, M. Preliminary Experience of 5.0 T Higher Field Abdominal Diffusion-Weighted MRI: Agreement of Apparent Diffusion Coefficient with 3.0 T Imaging. J. Magn. Reson. Imaging 2022, 56, 1009–1017. [Google Scholar] [CrossRef]
 - Zheng, L.; Yang, C.; Liang, L.; Rao, S.; Dai, Y.; Zeng, M. T2-weighted MRI and reduced-FOV diffusion-weighted imaging of the human pancreas at 5 T: A comparison study with 3 T. Med. Phys. 2023, 50, 344–353. [Google Scholar] [CrossRef]
 - Lee, H.J.; Kim, M.J.; Choi, J.Y.; Hong, H.S.; Kim, K.A. Relative accuracy of CT and MRI in the differentiation of benign from malignant pancreatic cystic lesions. Clin. Radiol. 2011, 66, 315–321. [Google Scholar] [CrossRef] [PubMed]
 - Tanaka, M.; Fernández-Del Castillo, C.; Kamisawa, T.; Jang, J.Y.; Levy, P.; Ohtsuka, T.; Salvia, R.; Shimizu, Y.; Tada, M.; Wolfgang, C.L. Revisions of international consensus Fukuoka guidelines for the management of IPMN of the pancreas. Pancreatology 2017, 17, 738–753. [Google Scholar] [CrossRef] [PubMed]
 - Setsompop, K.; Wald, L.L.; Alagappan, V.; Gagoski, B.A.; Adalsteinsson, E. Magnitude least squares optimization for parallel radio frequency excitation design demonstrated at 7 Tesla with eight channels. Magn. Reason. Med. 2008, 59, 908–915. [Google Scholar] [CrossRef] [PubMed]
 - Gosselin, M.C.; Neufeld, E.; Moser, H.; Huber, E.; Farcito, S.; Gerber, L.; Jedensjö, M.; Hilber, I.; Di Gennaro, F.; Lloyd, B.; et al. Development of a new generation of high-resolution anatomical models for medical device evaluation: The Virtual Population 3.0. Phys. Med. Biol. 2014, 59, 5287–5303. [Google Scholar] [CrossRef]
 - Chung, S.; Kim, D.; Breton, E.; Axel, L. Rapid B1+ mapping using a preconditioning RF pulse with TurboFLASH readout. Magn. Reason. Med. 2010, 64, 439–446. [Google Scholar] [CrossRef]
 - Mandrekar, J.N. Measures of interrater agreement. J. Thorac. Oncol. 2011, 6, 6–7. [Google Scholar] [CrossRef] [PubMed]
 - Ladd, M.E.; Bachert, P.; Meyerspeer, M.; Moser, E.; Nagel, A.M.; Norris, D.G.; Schmitter, S.; Speck, O.; Straub, S.; Zaiss, M. Pros and cons of ultra-high-field MRI/MRS for human application. Prog. Nucl. Magn. Reason. Spectrosc. 2018, 109, 1–50. [Google Scholar] [CrossRef] [PubMed]
 - Jordan, C.D.; Saranathan, M.; Bangerter, N.K.; Hargreaves, B.A.; Gold, G.E. Musculoskeletal MRI at 3.0 T and 7.0 T: A comparison of relaxation times and image contrast. Eur. J. Radiol. 2013, 82, 734–739. [Google Scholar] [CrossRef]
 - Kraff, O.; Quick, H.H. 7 T: Physics, safety, and potential clinical applications. J. Magn. Reason. Imaging 2017, 46, 1573–1589. [Google Scholar] [CrossRef]
 - Ren H, Mori N, Hirasawa M, et al. Abnormal Findings on "T1WI or DWI or MRCP:" An Effective Boolean Interpretation Model in Discriminating Small Pancreatic Ductal Adenocarcinoma from Control Group. J. Clin. Imaging Sci. 2021, 11, 54. [Google Scholar] [CrossRef]
 - Boekestijn, B.; Feshtali, S.; Vasen, H.; van Leerdam, M.E.; Bonsing, B.A.; Mieog, J.S.D.; Wasser, M.N. Screening for pancreatic cancer in high-risk individuals using MRI: Optimization of scan techniques to detect small lesions. Fam. Cancer 2024, 23, 295–308. [Google Scholar] [CrossRef] [PubMed]
 - Cui, M.; Hu, Y.; You, L.; Liu, Q.; Lita, A.; Wu, W.; Liao, Q.; Zhao, Y. A bibliometric study on pancreatic cystic disease research. J. Pancreatol. 2019, 2, 43–47. [Google Scholar] [CrossRef]
 - Okasha, H.H.; Awad, A.; El-Meligui, A.; Ezzat, R.; Aboubakr, A.; AbouElenin, S.; El-Husseiny, R.; Alzamzamy, A. Cystic pancreatic lesions, the endless dilemma. World J. Gastroenterol. 2021, 27, 2664–2680. [Google Scholar] [CrossRef] [PubMed]
 - Crippa, S.; Salvia, R.; Warshaw, A.L.; Domínguez, I.; Bassi, C.; Falconi, M.; Thayer, S.P.; Zamboni, G.; Lauwers, G.Y.; Mino-Kenudson, M.; et al. Mucinous cystic neoplasm of the pancreas is not an aggressive entity: Lessons from 163 resected patients. Ann. Surg. 2008, 247, 571–579. [Google Scholar] [CrossRef]
 





| Parameter | 5.0 T (uMR Jupiter) | 3.0 T (MAGNETOM Skyra ) | 3.0 T (GE Discovery MR 750) | 3.0 T (Ingenia CX ) | |
|---|---|---|---|---|---|
| T1WI | TR * (ms) | ~4.28 | 4.11 | 4.2 | 3.3 | 
| TE (ms) | 1.78 | 1.31–2.54 | 2.6 | 1.56 | |
| FA (degrees) | 10 | 12 | 15 | 12 | |
| FOV | 300 × 400 | 380 × 380 | 260 × 330 | 300 × 420 | |
| Matrix (mm) | 250 × 416 | 320 × 320 | 224 × 384 | 250 × 304 | |
| Total acquisition time (s) | 17 | 18 | 17 | 17 | |
| T2WI | TR (ms) | ~5454 | 2390 | 2800 | 2000 | 
| TE (ms) | 83.2 | 81 | 90 | 80 | |
| FA (degrees) | 130 | 90 | 90 | 90 | |
| FOV | 300 × 380 | 400 × 400 | 340 × 340 | 380 × 380 | |
| Matrix (mm) | 204 × 304 | 256 × 256 | 224 × 320 | 304 × 304 | |
| Total acquisition time (s) | 260 | 250 | 275 | 240 | |
| DWI | TR (ms) | ~5302 | 3000 | 4865 | 5000 | 
| TE (ms) | 64.3 | 53 | 70 | 63 | |
| FA (degrees) | 90 | 90 | 90 | 90 | |
| FOV | 120 × 280 | 400 × 400 | 400 × 400 | 300 × 380 | |
| Matrix (mm) | 123 × 288 | 128 × 128 | 128 × 128 | 128 × 128 | |
| Total acquisition time (s) | 397 | 210 | 160 | 270 | |
| MRCP | TR (ms) | ~5454 | 2400 | 3045 | 1190 | 
| TE (ms) | 697.08 | 700 | 1300 | 600 | |
| FA (degrees) | 100 | 100 | 90 | 90 | |
| FOV | 352 × 352 | 384 × 384 | 320 × 340 | 260 × 360 | |
| Matrix (mm) | 264 × 352 | 256 × 256 | 224 × 384 | 260 × 240 | |
| Total acquisition time (s) | 238 | 205 | 210 | 245 | |
| Characteristic | Data | |
|---|---|---|
| Age (y) * | 57.11 (28–87) | |
| Sex | ||
| Male | 12 (34.29) | |
| Female | 23 (65.71) | |
| Diagnosis | ||
| IPMN | 18 (51.43) | |
| MD-IPMN | 0 | |
| BD-IPMN | 13 (37.14) | |
| MT-IPMN | 5 (14.28) | |
| SCN | 7 (20.00) | |
| MCN | 4 (11.43) | |
| SPN | 2 (5.71) | |
| PP | 2 (5.71) | |
| IOPN | 1 (2.86) | |
| pNET | 1 (2.86) | |
| Location | ||
| Head | 17 (48.57) | |
| Body | 4 (11.43) | |
| Tail | 8 (22.86) | |
| Multiple sites | 6 (17.14) | |
| Treatment | ||
| Regular follow-up | 20 (57.14) | |
| Pancreaticoduodenectomy | 4 (11.43) | |
| Distal pancreatectomy | 8 (22.86) | |
| Other | 3 (8.57) | |
| Observer 1 | Observer 2 | ICC | p * | p # | |||
|---|---|---|---|---|---|---|---|
| Image Quality Score | T1WI | 3.0 T | 4.14 ± 0.57 | 4.24 ± 0.62 | 0.596 | 0.002 | <0.001 | 
| 5.0 T | 4.73 ± 0.46 | 4.8 ± 0.41 | 0.825 | <0.001 | |||
| T2WI | 3.0 T | 4.48 ± 0.6 | 4.52 ± 0.51 | 0.603 | 0.001 | 0.16 | |
| 5.0 T | 4.62 ± 0.59 | 4.71 ± 0.46 | 0.839 | <0.001 | |||
| DWI | 3.0 T | 4.52 ± 0.75 | 4.43 ± 0.75 | 0.919 | <0.001 | 0.053 | |
| 5.0 T | 4.76 ± 0.44 | 4.71 ± 0.46 | 0.882 | <0.001 | |||
| MRCP | 3.0 T | 4.54 ± 0.66 | 4.62 ± 0.65 | 0.910 | <0.001 | 0.354 | |
| 5.0 T | 4.65 ± 0.59 | 4.75 ± 0.55 | 0.854 | <0.001 | |||
| Signal-to-Noise Ratio | T1WI | 3.0 T | 5.97 ± 2.99 | 6.35 ± 2.91 | 0.954 | <0.001 | 0.008 | 
| 5.0 T | 8.97 ± 5.09 | 8.42 ± 3.76 | 0.884 | <0.001 | |||
| T2WI | 3.0 T | 47.67 ± 27.35 | 48.27 ± 25.74 | 0.788 | <0.001 | 0.552 | |
| 5.0 T | 44.54 ± 17.08 | 47 ± 19.02 | 0.935 | <0.001 | |||
| Contrast–Noise Ratio | T1WI | 3.0 T | 9.31 ± 4.69 | 9.42 ± 3.76 | 0.792 | <0.001 | 0.269 | 
| 5.0 T | 7.65 ± 2.89 | 6.08 ± 3.11 | 0.801 | <0.001 | |||
| T2WI | 3.0 T | 34.65 ± 21.97 | 35.37 ± 22.51 | 0.792 | <0.001 | 0.269 | |
| 5.0 T | 30.65 ± 14.31 | 32.82 ± 16.11 | 0.955 | <0.001 | 
| Morphologic Finding | Number of Lesions (21 Patients) | Number of Lesions (33 Patients) | |||
|---|---|---|---|---|---|
| 3.0 T MRI | 5.0 T MRI | MDCT | 5.0 T MRI | ||
| Location | Head | 20 | 21 | 22 | 31 | 
| Body | 7 | 10 | 15 | 25 | |
| Tail | 5 | 9 | 19 | 26 | |
| Total | 32 | 40 | 56 | 82 | |
| Extent of MPD dilation | |||||
| Head | 0 | 1 (4.76) | 0 | 1 (3.03) | |
| Body and tail | 3 (14.29) | 2 (9.52) | 3 (9.09) | 3 (9.09) | |
| Diffuse | 7 (33.33) | 7 (33.33) | 4 (12.12) | 9 (27.27) | |
| Septa | 15 (71.4) | 15 (71.4) | 15 (45.45) | 23 (69.69) | |
| Mural nodules | 7 (33.33) | 3 (14.29) | 7 (21.21) | 9 (27.27) | |
| Communication with MPD | 12 (57.14) | 14 (66.66) | 17 (51.51) | 18 (54.55) | |
| Peripancreatic infiltration | 3 (14.29) | 2 (9.52) | 3 (9.09) | 3 (9.09) | |
| Intracystic fluid | 1 (4.76) | 3 (14.29) | 1 (3.03) | 7 (21.21) | |
| Sensitivity (%) | Specificity (%) | Positive Predictive Value (%) | Negative Predictive Value (%) | Accuracy (%) | |
|---|---|---|---|---|---|
| MDCT | 27.3 | 86.4 | 50 | 70.4 | 66.7 | 
| 3.0 T MRI | 50 | 93.3 | 75 | 82.4 | 81 | 
| 5.0 T MRI | 75 | 100 | 100 | 88.5 | 91.4 | 
Disclaimer/Publisher’s Note: The statements, opinions and data contained in all publications are solely those of the individual author(s) and contributor(s) and not of MDPI and/or the editor(s). MDPI and/or the editor(s) disclaim responsibility for any injury to people or property resulting from any ideas, methods, instructions or products referred to in the content.  | 
© 2024 by the authors. Licensee MDPI, Basel, Switzerland. This article is an open access article distributed under the terms and conditions of the Creative Commons Attribution (CC BY) license (https://creativecommons.org/licenses/by/4.0/).
Share and Cite
Zhao, H.; Xu, Q.; Gao, R.; Yin, B.; Sun, G.; Xue, K.; Yang, Y.; Li, E.; Zhu, L.; Feng, F.; et al. Clinical Feasibility of 5.0 T MRI/MRCP in Characterizing Pancreatic Cystic Lesions: Comparison with 3.0 T and MDCT. Diagnostics 2024, 14, 2457. https://doi.org/10.3390/diagnostics14212457
Zhao H, Xu Q, Gao R, Yin B, Sun G, Xue K, Yang Y, Li E, Zhu L, Feng F, et al. Clinical Feasibility of 5.0 T MRI/MRCP in Characterizing Pancreatic Cystic Lesions: Comparison with 3.0 T and MDCT. Diagnostics. 2024; 14(21):2457. https://doi.org/10.3390/diagnostics14212457
Chicago/Turabian StyleZhao, Huijia, Qiang Xu, Ruichen Gao, Bohui Yin, Gan Sun, Ke Xue, Yuxin Yang, Enhui Li, Liang Zhu, Feng Feng, and et al. 2024. "Clinical Feasibility of 5.0 T MRI/MRCP in Characterizing Pancreatic Cystic Lesions: Comparison with 3.0 T and MDCT" Diagnostics 14, no. 21: 2457. https://doi.org/10.3390/diagnostics14212457
APA StyleZhao, H., Xu, Q., Gao, R., Yin, B., Sun, G., Xue, K., Yang, Y., Li, E., Zhu, L., Feng, F., & Wu, W. (2024). Clinical Feasibility of 5.0 T MRI/MRCP in Characterizing Pancreatic Cystic Lesions: Comparison with 3.0 T and MDCT. Diagnostics, 14(21), 2457. https://doi.org/10.3390/diagnostics14212457
        
