Multimodal MRI and 1H-MRS for Preoperative Stratification of High-Risk Molecular Subtype in Adult-Type Diffuse Gliomas
Abstract
1. Introduction
2. Materials and Methods
2.1. Study Patients
2.2. Imaging Acquisition
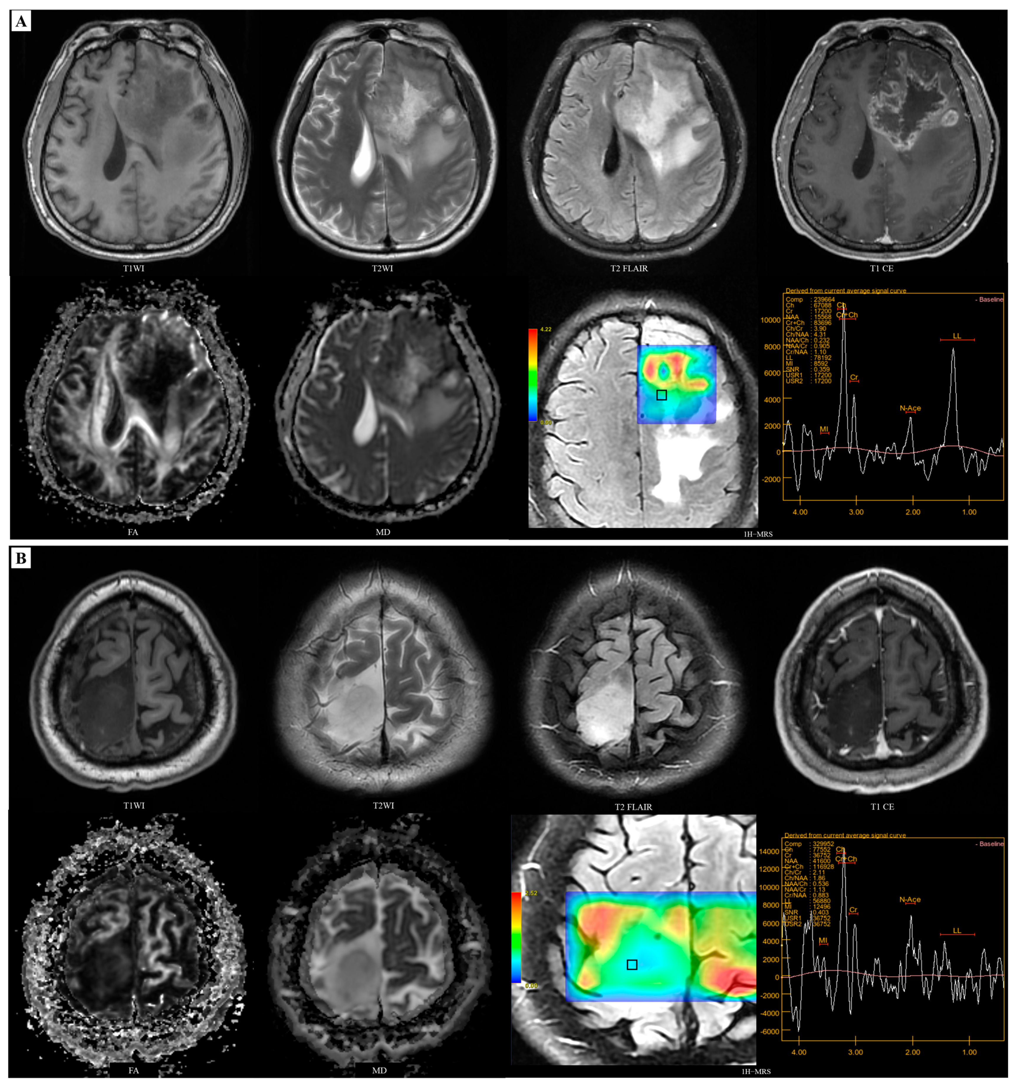
2.3. Imaging Analysis
2.4. Pathological Histological and Molecular Analysis
2.5. Models Establishment and Statistical Analyses
3. Results
3.1. Clinicopathological Characteristics
3.2. Models Development for Predicting IDH
3.3. Models Development for Predicting MGMT
3.4. Performance of Prediction Models
4. Discussion
5. Conclusions
Supplementary Materials
Author Contributions
Funding
Institutional Review Board Statement
Informed Consent Statement
Data Availability Statement
Acknowledgments
Conflicts of Interest
References
- Louis, D.N.; Perry, A.; Wesseling, P.; Brat, D.J.; Cree, I.A.; Figarella-Branger, D.; Hawkins, C.; Ng, H.K.; Pfister, S.M.; Reifenberger, G.; et al. The 2021 WHO Classification of Tumors of the Central Nervous System: A Summary. Neuro Oncol. 2021, 23, 1231–1251. [Google Scholar] [CrossRef] [PubMed]
- Ostrom, Q.T.; Price, M.; Neff, C.; Cioffi, G.; Waite, K.A.; Kruchko, C.; Barnholtz-Sloan, J.S. CBTRUS Statistical Report: Primary Brain and Other Central Nervous System Tumors Diagnosed in the United States in 2015-2019. Neuro Oncol. 2022, 24, v1–v95. [Google Scholar] [CrossRef] [PubMed]
- Waitkus, M.S.; Diplas, B.H.; Yan, H. Biological Role and Therapeutic Potential of IDH Mutations in Cancer. Cancer Cell 2018, 34, 186–195. [Google Scholar] [CrossRef] [PubMed]
- Wong, Q.H.-W.; Li, K.K.-W.; Wang, W.-W.; Malta, T.M.; Noushmehr, H.; Grabovska, Y.; Jones, C.; Chan, A.K.-Y.; Kwan, J.S.-H.; Huang, Q.J.-Q.; et al. Molecular Landscape of IDH-Mutant Primary Astrocytoma Grade IV/Glioblastomas. Mod. Pathol. 2021, 34, 1245–1260. [Google Scholar] [CrossRef] [PubMed]
- Neumaier, F.; Zlatopolskiy, B.D.; Neumaier, B. Mutated Isocitrate Dehydrogenase (mIDH) as Target for PET Imaging in Gliomas. Molecules 2023, 28, 2890. [Google Scholar] [CrossRef] [PubMed]
- Mansouri, A.; Hachem, L.D.; Mansouri, S.; Nassiri, F.; Laperriere, N.J.; Xia, D.; Lindeman, N.I.; Wen, P.Y.; Chakravarti, A.; Mehta, M.P.; et al. MGMT Promoter Methylation Status Testing to Guide Therapy for Glioblastoma: Refining the Approach Based on Emerging Evidence and Current Challenges. Neuro Oncol. 2019, 21, 167–178. [Google Scholar] [CrossRef]
- Szylberg, M.; Sokal, P.; Śledzińska, P.; Bebyn, M.; Krajewski, S.; Szylberg, Ł.; Szylberg, A.; Szylberg, T.; Krystkiewicz, K.; Birski, M.; et al. MGMT Promoter Methylation as a Prognostic Factor in Primary Glioblastoma: A Single-Institution Observational Study. Biomedicines 2022, 10, 2030. [Google Scholar] [CrossRef]
- Sahm, F.; Brandner, S.; Bertero, L.; Capper, D.; French, P.J.; Figarella-Branger, D.; Giangaspero, F.; Haberler, C.; Hegi, M.E.; Kristensen, B.W.; et al. Molecular Diagnostic Tools for the World Health Organization (WHO) 2021 Classification of Gliomas, Glioneuronal and Neuronal Tumors; an EANO Guideline. Neuro Oncol. 2023, 25, 1731–1749. [Google Scholar] [CrossRef]
- Riche, M.; Amelot, A.; Peyre, M.; Capelle, L.; Carpentier, A.; Mathon, B. Complications after Frame-Based Stereotactic Brain Biopsy: A Systematic Review. Neurosurg. Rev. 2021, 44, 301–307. [Google Scholar] [CrossRef]
- Sahu, A.; Patnam, N.G.; Goda, J.S.; Epari, S.; Sahay, A.; Mathew, R.; Choudhari, A.K.; Desai, S.M.; Dasgupta, A.; Chatterjee, A.; et al. Multiparametric Magnetic Resonance Imaging Correlates of Isocitrate Dehydrogenase Mutation in WHO High-Grade Astrocytomas. J. Pers. Med. 2022, 13, 72. [Google Scholar] [CrossRef]
- Setyawan, N.H.; Choridah, L.; Nugroho, H.A.; Malueka, R.G.; Dwianingsih, E.K. Beyond Invasive Biopsies: Using VASARI MRI Features to Predict Grade and Molecular Parameters in Gliomas. Cancer Imaging Off. Publ. Int. Cancer Imaging Soc. 2024, 24, 3. [Google Scholar] [CrossRef] [PubMed]
- Hu, X.; Xue, M.; Sun, S.; Zou, Y.; Li, J.; Wang, X.; Liu, X.; Ma, H. Combined Application of MRS and DWI Can Effectively Predict Cell Proliferation and Assess the Grade of Glioma: A Prospective Study. J. Clin. Neurosci. 2021, 83, 56–63. [Google Scholar] [CrossRef] [PubMed]
- Pyka, T.; Krzyzanowska, I.; Rominger, A.; Delbridge, C.; Meyer, B.; Boeckh-Behrens, T.; Zimmer, C.; Gempt, J. Multiparametric Characterization of Intracranial Gliomas Using Dynamic [18F]FET-PET and Magnetic Resonance Spectroscopy. Diagnostics 2022, 12, 2331. [Google Scholar] [CrossRef]
- Hu, Y.; Zhang, K. Noninvasive Assessment of Ki-67 Labeling Index in Glioma Patients Based on Multi-Parameters Derived from Advanced MR Imaging. Front. Oncol. 2024, 14, 1362990. [Google Scholar] [CrossRef]
- Zhao, J.; Wang, Y.; Li, X.; Hu, M.; Li, Z.; Song, Y.; Wang, J.; Tian, Y.; Liu, D.; Yan, X.; et al. Comparative Analysis of the Diffusion Kurtosis Imaging and Diffusion Tensor Imaging in Grading Gliomas, Predicting Tumour Cell Proliferation and IDH-1 Gene Mutation Status. J. Neuro-Oncol. 2019, 141, 195–203. [Google Scholar] [CrossRef]
- Sha, Z.; Schijven, D.; Fisher, S.E.; Francks, C. Genetic Architecture of the White Matter Connectome of the Human Brain. Sci. Adv. 2023, 9, eadd2870. [Google Scholar] [CrossRef]
- Jiang, L.; Xiao, C.-Y.; Xu, Q.; Sun, J.; Chen, H.; Chen, Y.-C.; Yin, X. Analysis of DTI-Derived Tensor Metrics in Differential Diagnosis between Low-Grade and High-Grade Gliomas. Front. Aging Neurosci. 2017, 9, 271. [Google Scholar] [CrossRef]
- Gao, A.; Zhang, H.; Yan, X.; Wang, S.; Chen, Q.; Gao, E.; Qi, J.; Bai, J.; Zhang, Y.; Cheng, J. Whole-Tumor Histogram Analysis of Multiple Diffusion Metrics for Glioma Genotyping. Radiology 2022, 302, 652–661. [Google Scholar] [CrossRef]
- Park, Y.W.; Han, K.; Ahn, S.S.; Choi, Y.S.; Chang, J.H.; Kim, S.H.; Kang, S.-G.; Kim, E.H.; Lee, S.-K. Whole-Tumor Histogram and Texture Analyses of DTI for Evaluation of IDH1-Mutation and 1p/19q-Codeletion Status in World Health Organization Grade II Gliomas. AJNR Am. J. Neuroradiol. 2018, 39, 693–698. [Google Scholar] [CrossRef]
- Fudaba, H.; Shimomura, T.; Abe, T.; Matsuta, H.; Momii, Y.; Sugita, K.; Ooba, H.; Kamida, T.; Hikawa, T.; Fujiki, M. Comparison of Multiple Parameters Obtained on 3T Pulsed Arterial Spin-Labeling, Diffusion Tensor Imaging, and MRS and the Ki-67 Labeling Index in Evaluating Glioma Grading. AJNR Am. J. Neuroradiol. 2014, 35, 2091–2098. [Google Scholar] [CrossRef]
- Xiong, J.; Tan, W.; Wen, J.; Pan, J.; Wang, Y.; Zhang, J.; Geng, D. Combination of Diffusion Tensor Imaging and Conventional MRI Correlates with Isocitrate Dehydrogenase 1/2 Mutations but Not 1p/19q Genotyping in Oligodendroglial Tumours. Eur. Radiol. 2016, 26, 1705–1715. [Google Scholar] [CrossRef] [PubMed]
- Choi, Y.S.; Ahn, S.S.; Kim, D.W.; Chang, J.H.; Kang, S.-G.; Kim, E.H.; Kim, S.H.; Rim, T.H.; Lee, S.-K. Incremental Prognostic Value of ADC Histogram Analysis over MGMT Promoter Methylation Status in Patients with Glioblastoma. Radiology 2016, 281, 175–184. [Google Scholar] [CrossRef] [PubMed]
- Huang, W.-Y.; Wen, L.-H.; Wu, G.; Pang, P.-P.; Ogbuji, R.; Zhang, C.-C.; Chen, F.; Zhao, J.-N. Radiological Model Based on the Standard Magnetic Resonance Sequences for Detecting Methylguanine Methyltransferase Methylation in Glioma Using Texture Analysis. Cancer Sci. 2021, 112, 2835–2844. [Google Scholar] [CrossRef] [PubMed]
- Ahn, S.S.; Shin, N.-Y.; Chang, J.H.; Kim, S.H.; Kim, E.H.; Kim, D.W.; Lee, S.-K. Prediction of Methylguanine Methyltransferase Promoter Methylation in Glioblastoma Using Dynamic Contrast-Enhanced Magnetic Resonance and Diffusion Tensor Imaging. J. Neurosurg. 2014, 121, 367–373. [Google Scholar] [CrossRef] [PubMed]
- Augelli, R.; Ciceri, E.; Ghimenton, C.; Zoccatelli, G.; Bucci, A.; Nicolato, A.; Beltramello, A.; Pinna, G.; Ricciardi, G.K. Magnetic Resonance Diffusion-Tensor Imaging Metrics in High Grade Gliomas: Correlation with IDH1 Gene Status in WHO 2016 Era. Eur. J. Radiol. 2019, 116, 174–179. [Google Scholar] [CrossRef]
- Zhang, J.; Peng, H.; Wang, Y.-L.; Xiao, H.-F.; Cui, Y.-Y.; Bian, X.-B.; Zhang, D.-K.; Ma, L. Predictive Role of the Apparent Diffusion Coefficient and MRI Morphologic Features on IDH Status in Patients with Diffuse Glioma: A Retrospective Cross-Sectional Study. Front. Oncol. 2021, 11, 640738. [Google Scholar] [CrossRef]
- Corr, F.; Grimm, D.; Saß, B.; Pojskić, M.; Bartsch, J.W.; Carl, B.; Nimsky, C.; Bopp, M.H.A. Radiogenomic Predictors of Recurrence in Glioblastoma-A Systematic Review. J. Pers. Med. 2022, 12, 402. [Google Scholar] [CrossRef]
- Wang, K.; Wang, Y.; Fan, X.; Wang, J.; Li, G.; Ma, J.; Ma, J.; Jiang, T.; Dai, J. Radiological Features Combined with IDH1 Status for Predicting the Survival Outcome of Glioblastoma Patients. Neuro Oncol. 2016, 18, 589–597. [Google Scholar] [CrossRef]
- Li, Y.; Zhang, W. Quantitative Evaluation of Diffusion Tensor Imaging for Clinical Management of Glioma. Neurosurg. Rev. 2020, 43, 881–891. [Google Scholar] [CrossRef]
- Cindil, E.; Sendur, H.N.; Cerit, M.N.; Erdogan, N.; Celebi, F.; Dag, N.; Celtikci, E.; Inan, A.; Oner, Y.; Tali, T. Prediction of IDH Mutation Status in High-Grade Gliomas Using DWI and High T1-Weight DSC-MRI. Acad. Radiol. 2022, 29 (Suppl. S3), S52–S62. [Google Scholar] [CrossRef]
- Huang, Z.; Lu, C.; Li, G.; Li, Z.; Sun, S.; Zhang, Y.; Hou, Z.; Xie, J. Prediction of Lower Grade Insular Glioma Molecular Pathology Using Diffusion Tensor Imaging Metric-Based Histogram Parameters. Front. Oncol. 2021, 11, 627202. [Google Scholar] [CrossRef] [PubMed]
- Ryu, Y.J.; Choi, S.H.; Park, S.J.; Yun, T.J.; Kim, J.-H.; Sohn, C.-H. Glioma: Application of Whole-Tumor Texture Analysis of Diffusion-Weighted Imaging for the Evaluation of Tumor Heterogeneity. PLoS ONE 2014, 9, e108335. [Google Scholar] [CrossRef] [PubMed]
- Gao, E.; Gao, A.; Kit Kung, W.; Shi, L.; Bai, J.; Zhao, G.; Cheng, J. Histogram Analysis Based on Diffusion Kurtosis Imaging: Differentiating Glioblastoma Multiforme from Single Brain Metastasis and Comparing the Diagnostic Performance of Two Region of Interest Placements. Eur. J. Radiol. 2022, 147, 110104. [Google Scholar] [CrossRef] [PubMed]
- de Godoy, L.L.; Lim, K.C.; Rajan, A.; Verma, G.; Hanaoka, M.; O’Rourke, D.M.; Lee, J.Y.K.; Desai, A.; Chawla, S.; Mohan, S. Non-Invasive Assessment of Isocitrate Dehydrogenase-Mutant Gliomas Using Optimized Proton Magnetic Resonance Spectroscopy on a Routine Clinical 3-Tesla MRI. Cancers 2023, 15, 4453. [Google Scholar] [CrossRef]
- Li, X.; Strasser, B.; Jafari-Khouzani, K.; Thapa, B.; Small, J.; Cahill, D.P.; Dietrich, J.; Batchelor, T.T.; Andronesi, O.C. Super-Resolution Whole-Brain 3D MR Spectroscopic Imaging for Mapping D-2-Hydroxyglutarate and Tumor Metabolism in Isocitrate Dehydrogenase 1-Mutated Human Gliomas. Radiology 2020, 294, 589–597. [Google Scholar] [CrossRef]
- Nguyen, T.B.; Melkus, G.; Taccone, M.; Moldovan, I.D.; Ghinda, D.; Gotfrit, R.; Torres, C.H.; Zakhari, N.; Chakraborty, S.; Woulfe, J.; et al. Preoperative Determination of Isocitrate Dehydrogenase Mutation in Gliomas Using Spectral Editing MRS: A Prospective Study. J. Magn. Reson. Imaging 2021, 53, 416–426. [Google Scholar] [CrossRef]
- Bumes, E.; Wirtz, F.-P.; Fellner, C.; Grosse, J.; Hellwig, D.; Oefner, P.J.; Häckl, M.; Linker, R.; Proescholdt, M.; Schmidt, N.O.; et al. Non-Invasive Prediction of IDH Mutation in Patients with Glioma WHO II/III/IV Based on F-18-FET PET-Guided In Vivo 1H-Magnetic Resonance Spectroscopy and Machine Learning. Cancers 2020, 12, 3406. [Google Scholar] [CrossRef]
- de la Fuente, M.I.; Young, R.J.; Rubel, J.; Rosenblum, M.; Tisnado, J.; Briggs, S.; Arevalo-Perez, J.; Cross, J.R.; Campos, C.; Straley, K.; et al. Integration of 2-Hydroxyglutarate-Proton Magnetic Resonance Spectroscopy into Clinical Practice for Disease Monitoring in Isocitrate Dehydrogenase-Mutant Glioma. Neuro Oncol. 2016, 18, 283–290. [Google Scholar] [CrossRef]
- Lin, K.; Gueble, S.E.; Sundaram, R.K.; Huseman, E.D.; Bindra, R.S.; Herzon, S.B. Mechanism-Based Design of Agents That Selectively Target Drug-Resistant Glioma. Science 2022, 377, 502–511. [Google Scholar] [CrossRef]
- Della Monica, R.; Cuomo, M.; Buonaiuto, M.; Costabile, D.; Franca, R.A.; Del Basso De Caro, M.; Catapano, G.; Chiariotti, L.; Visconti, R. MGMT and Whole-Genome DNA Methylation Impacts on Diagnosis, Prognosis and Therapy of Glioblastoma Multiforme. Int. J. Mol. Sci. 2022, 23, 7148. [Google Scholar] [CrossRef]
- Xing, Z.; Huang, W.; Su, Y.; Yang, X.; Zhou, X.; Cao, D. Non-Invasive Prediction of P53 and Ki-67 Labelling Indices and O-6-Methylguanine-DNA Methyltransferase Promoter Methylation Status in Adult Patients with Isocitrate Dehydrogenase Wild-Type Glioblastomas Using Diffusion-Weighted Imaging and Dynamic Susceptibility Contrast-Enhanced Perfusion-Weighted Imaging Combined with Conventional MRI. Clin. Radiol. 2022, 77, e576–e584. [Google Scholar] [CrossRef] [PubMed]
- Cui, Y.; Zeng, W.; Jiang, H.; Ren, X.; Lin, S.; Fan, Y.; Liu, Y.; Zhao, J. Higher Cho/NAA Ratio in Postoperative Peritumoral Edema Zone Is Associated With Earlier Recurrence of Glioblastoma. Front. Neurol. 2020, 11, 592155. [Google Scholar] [CrossRef] [PubMed]
- Doniselli, F.M.; Pascuzzo, R.; Mazzi, F.; Padelli, F.; Moscatelli, M.; Akinci D’Antonoli, T.; Cuocolo, R.; Aquino, D.; Cuccarini, V.; Sconfienza, L.M. Quality Assessment of the MRI-Radiomics Studies for MGMT Promoter Methylation Prediction in Glioma: A Systematic Review and Meta-Analysis. Eur. Radiol. 2024, 34, 5802–5815. [Google Scholar] [CrossRef]






| Characteristic | N = 116 |
|---|---|
| Sex, n (%) | |
| female | 55 (47.41%) |
| male | 61 (52.59%) |
| Age, years (median [IQR]) | 51.5 (37, 62) |
| WHO Grade, n (%) | |
| 2 | 35 (30.17%) |
| 3 | 11 (9.48%) |
| 4 | 70 (60.34%) |
| IDH-status, n (%) | |
| mutant | 56( 48.28%) |
| wildtype | 60 (51.72%) |
| GBM-MGMT, n (%) | |
| methylated | 37 (68.52%) |
| unmethylated | 17 (31.48%) |
| Variable | OR with CI | SE | Wald | p Value | |
|---|---|---|---|---|---|
| Conventional MRI | enhancement degree | 4.298 (1.962–9.412) | 0.4 | 13.287 | <0.001 |
| necrosis/cyst | 5.381 (1.476–19.622) | 0.66 | 6.5 | 0.011 | |
| 1H-MRS | NAA/Cr | 0.497 (0.258–0.957) | 0.334 | 4.369 | 0.037 |
| DTI histogram | FA-Skewness | 0.497 (0.261–0.946) | 0.329 | 4.527 | 0.033 |
| MD-Skewness | 1.849 (1.046–3.27) | 0.291 | 4.469 | 0.035 | |
| Conventional DTI | FAmean | 1.924 (1.002–3.695) | 0.753 | 3.861 | 0.049 |
| Variable | IDH-Mutant N = 56 | IDH-Wildtype N = 60 | Z/t/χ2 | p Value | |
|---|---|---|---|---|---|
| Conventional MRI | enhancement degree, n (%) | 43.58 | <0.001 | ||
| marked | 14 (25.0%) | 46 (76.6%) | |||
| mild | 6 (10.7%) | 10 (16.7%) | |||
| no | 36 (64.2%) | 4 (6.67%) | |||
| necrosis or cyst, n (%) | 33.58 | <0.001 | |||
| no | 38 (67.8%) | 9 (15.0%) | |||
| yes | 18 (32.1%) | 51 (85.0%) | |||
| 1H-MRS | NAA/Cr (median [IQR]) | 1.36 (1.058, 1.75) | 0.93 (0.576, 1.195) | −4.818 | <0.001 |
| DTI histogram | FA-Skewness (median [IQR]) | 1.38 (0.96, 1.86) | 0.92 (0.69, 1.31) | −3.90 | <0.001 |
| MD-Skewness (median [IQR]) | 0.451 (−0.202, 0.662) | 0.725 (0.308, 1.249) | −3.193 | 0.001 | |
| Conventional DTI | FAmean (median [IQR]) | 0.10 (0.08, 0.13) | 0.18 (0.14, 0.22) | −5.39 | <0.001 |
| Variable | Univariate | Multivariate | ||
|---|---|---|---|---|
| OR with CI | p Value | OR with CI | p Value | |
| NAA/Cr | 0.17 (0.03–0.95) | 0.043 | 0.10 (0.02–0.56) | 0.009 |
| FA-Median | 0.38 (0.17–0.83) | 0.015 | 0.22 (0.08–0.64) | 0.006 |
| Models | IDH-Status | MGMT-Methylation Status | ||||||
|---|---|---|---|---|---|---|---|---|
| AUC | SEN | SPE | ACC | AUC | SEN | SPE | ACC | |
| Conventional MRI | 0.820 | 83.3% | 80.5% | 81.9% | - | - | - | - |
| 1H-MRS | 0.756 | 76.7% | 76.7% | 76.7% | 0.695 | 90.5% | 65.0% | 74.4% |
| DTI histogram | 0.730 | 71.7% | 78.2% | 74.9% | 0.684 | 90.0% | 65.4% | 72.2% |
| Conventional DTI | 0.852 | 92.7% | 78.4% | 85.6% | - | - | - | - |
| Combined model | 0.890 | 93.3% | 84.1% | 88.9% | 0.847 | 88.3% | 86.4% | 86.9% |
Disclaimer/Publisher’s Note: The statements, opinions and data contained in all publications are solely those of the individual author(s) and contributor(s) and not of MDPI and/or the editor(s). MDPI and/or the editor(s) disclaim responsibility for any injury to people or property resulting from any ideas, methods, instructions or products referred to in the content. |
© 2024 by the authors. Licensee MDPI, Basel, Switzerland. This article is an open access article distributed under the terms and conditions of the Creative Commons Attribution (CC BY) license (https://creativecommons.org/licenses/by/4.0/).
Share and Cite
Han, X.; Xiao, K.; Bai, J.; Li, F.; Cui, B.; Cheng, Y.; Liu, H.; Lu, J. Multimodal MRI and 1H-MRS for Preoperative Stratification of High-Risk Molecular Subtype in Adult-Type Diffuse Gliomas. Diagnostics 2024, 14, 2569. https://doi.org/10.3390/diagnostics14222569
Han X, Xiao K, Bai J, Li F, Cui B, Cheng Y, Liu H, Lu J. Multimodal MRI and 1H-MRS for Preoperative Stratification of High-Risk Molecular Subtype in Adult-Type Diffuse Gliomas. Diagnostics. 2024; 14(22):2569. https://doi.org/10.3390/diagnostics14222569
Chicago/Turabian StyleHan, Xin, Kai Xiao, Jie Bai, Fengqi Li, Bixiao Cui, Ye Cheng, Huawei Liu, and Jie Lu. 2024. "Multimodal MRI and 1H-MRS for Preoperative Stratification of High-Risk Molecular Subtype in Adult-Type Diffuse Gliomas" Diagnostics 14, no. 22: 2569. https://doi.org/10.3390/diagnostics14222569
APA StyleHan, X., Xiao, K., Bai, J., Li, F., Cui, B., Cheng, Y., Liu, H., & Lu, J. (2024). Multimodal MRI and 1H-MRS for Preoperative Stratification of High-Risk Molecular Subtype in Adult-Type Diffuse Gliomas. Diagnostics, 14(22), 2569. https://doi.org/10.3390/diagnostics14222569

