Prognostic Potential of Cancer-Associated Fibroblast Surface Markers and Their Specific DNA Methylation in Prostate Cancer
Abstract
1. Introduction
2. Materials and Methods
2.1. General Information
2.2. Immunohistochemical Analysis
2.3. DNA Isolation and Processing
2.4. Methylation-Specific Polymerase Chain Reaction
2.5. Statistical Analysis
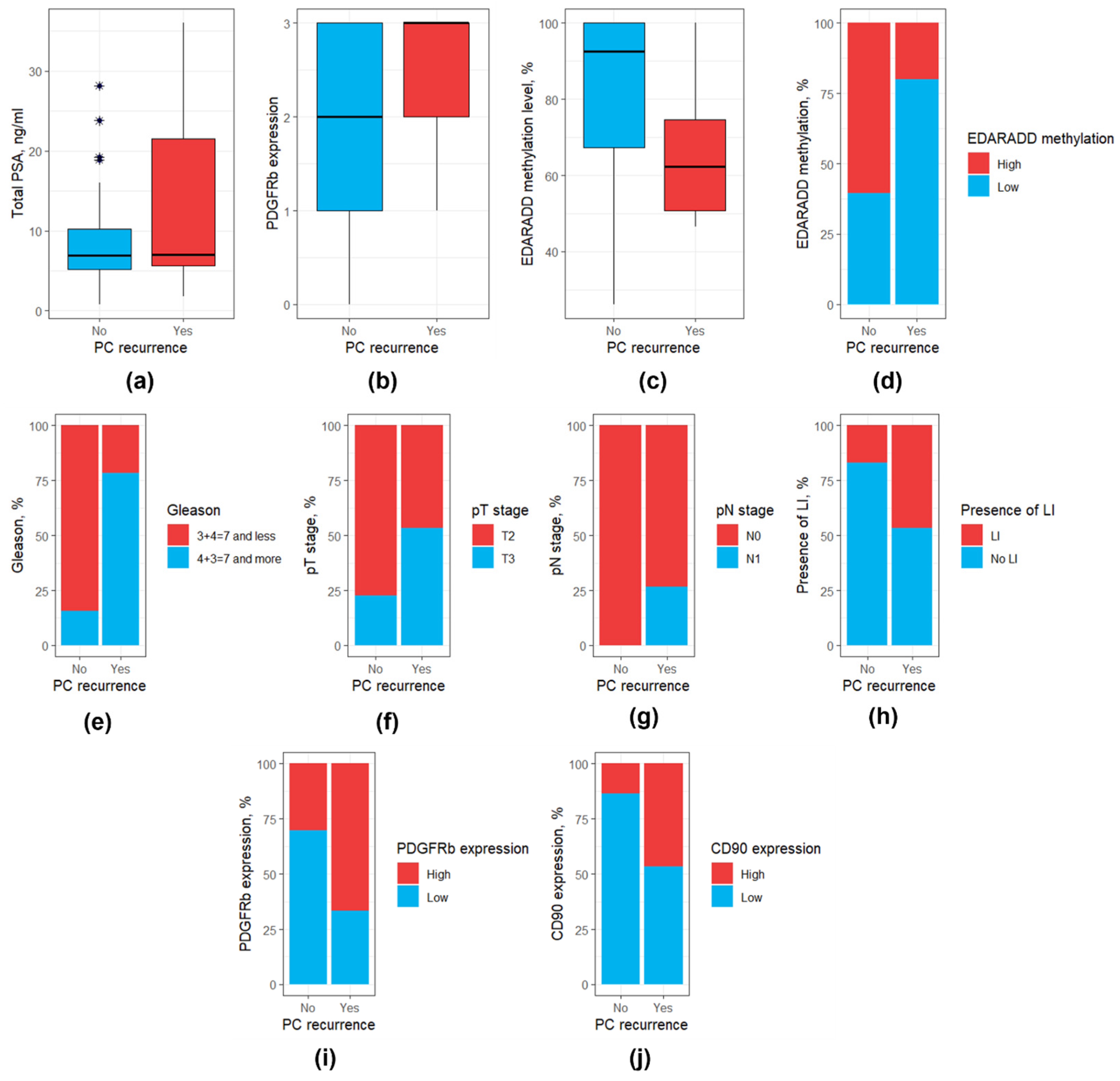
3. Results
3.1. CAF Markers: Immunohistochemistry
3.2. Association of CAF Markers with Clinical and Morphological Features of Prostate Cancer
3.3. Association of DNA Methylation Profiles with Clinical and Morphological Features
3.4. Prediction of Prostate Cancer Recurrence
4. Discussion
5. Conclusions
Supplementary Materials
Author Contributions
Funding
Institutional Review Board Statement
Informed Consent Statement
Data Availability Statement
Conflicts of Interest
Abbreviations
| AIC | Akaike information criterion |
| AUC | Are under curve |
| BMI | Body mass index |
| CAF | Cancer-associated fibroblast |
| CI | Confidence interval |
| ddPCR | Digital droplet polymerase chain reaction |
| HR | Hazards ratio |
| LI | Perilymphatic invasion |
| MRI | Magnetic resonance imaging |
| PCa | Prostate cancer |
| PSA | Prostate-specific antigen |
| qPCR | Quantitative polymerase chain reaction |
| ROC | Receiver operating characteristic |
| TME | Tumor microenvironment |
References
- Bray, F.; Laversanne, M.; Sung, H.; Ferlay, J.; Siegel, R.L.; Soerjomataram, I.; Jemal, A. Global Cancer Statistics 2022: GLOBOCAN Estimates of Incidence and Mortality Worldwide for 36 Cancers in 185 Countries. CA Cancer J. Clin. 2024, 74, 229–263. [Google Scholar] [CrossRef]
- James, N.D.; Tannock, I.; N’Dow, J.; Feng, F.; Gillessen, S.; Ali, S.A.; Trujillo, B.; Al-Lazikani, B.; Attard, G.; Bray, F.; et al. The Lancet Commission on Prostate Cancer: Planning for the Surge in Cases. Lancet 2024, 403, 1683–1722. [Google Scholar] [CrossRef]
- Rozhok, A.I.; DeGregori, J. The Evolution of Lifespan and Age-Dependent Cancer Risk. Trends Cancer 2016, 2, 552. [Google Scholar] [CrossRef]
- García, N.G.; Fernández-Díaz, N.; Freijido-Álvarez, P.; Fernández-Reino, C.; Giráldez-Martínez, M.; Ruíz-Bañobre, J.; León-Mateos, L.; Anido-Herranz, U. Prostate Cancer. Medicine 2024, 14, 1541–1551. [Google Scholar] [CrossRef]
- De Barros, H.A.; Remmers, S.; Luiting, H.B.; van Leenders, G.J.L.H.; Roobol, M.J.; Bekers, E.M.; Amin, A.; Haynes, A.M.; Delprado, W.; Stricker, P.D.; et al. Predictive Value of Cribriform and Intraductal Carcinoma for the Nomogram-Based Selection of Prostate Cancer Patients for Pelvic Lymph Node Dissection. Urology 2022, 168, 156–164. [Google Scholar] [CrossRef] [PubMed]
- Ondracek, R.P.; Kattan, M.W.; Murekeyisoni, C.; Yu, C.; Kauffman, E.C.; Marshall, J.R.; Mohler, J.L. Validation of the Kattan Nomogram for Prostate Cancer Recurrence after Radical Prostatectomy. J. Natl. Compr. Cancer Netw. 2016, 14, 1395–1401. [Google Scholar] [CrossRef]
- Kania, E.; Janica, M.; Nesterowicz, M.; Modzelewski, W.; Cybulski, M.; Janica, J. Advances and Challenges in Prostate Cancer Diagnosis: A Comprehensive Review. Cancers 2025, 17, 2137. [Google Scholar] [CrossRef]
- Conteduca, V.; Hess, J.; Yamada, Y.; Ku, S.Y.; Beltran, H. Epigenetics in Prostate Cancer: Clinical Implications. Transl. Androl. Urol. 2021, 10, 3104. [Google Scholar] [CrossRef]
- Ionescu, F.; Zhang, J.; Wang, L. Clinical Applications of Liquid Biopsy in Prostate Cancer: From Screening to Predictive Biomarker. Cancers 2022, 14, 1728. [Google Scholar] [CrossRef]
- Ageeli, W.; Zhang, X.; Ogbonnaya, C.N.; Bray, S.E.; Kernohan, N.M.; Wilson, J.; Li, C.; Nabi, G. Multimodality Characterization of Cancer-Associated Fibroblasts in Tumor Microenvironment and Its Correlation with Ultrasound Shear Wave-Measured Tissue Stiffness in Localized Prostate Cancer. Front. Oncol. 2022, 12, 822476. [Google Scholar] [CrossRef] [PubMed]
- Anderson, N.M.; Simon, M.C. The Tumor Microenvironment. Curr. Biol. 2020, 30, R921–R925. [Google Scholar] [CrossRef] [PubMed]
- Wang, Q.; Shao, X.; Zhang, Y.; Zhu, M.; Wang, F.X.C.; Mu, J.; Li, J.; Yao, H.; Chen, K. Role of Tumor Microenvironment in Cancer Progression and Therapeutic Strategy. Cancer Med. 2023, 12, 11149. [Google Scholar] [CrossRef]
- Barron, D.A.; Rowley, D.R. The Reactive Stroma Microenvironment and Prostate Cancer Progression. Endocr. Relat. Cancer 2012, 19. [Google Scholar] [CrossRef]
- Gascard, P.; Tlsty, T.D. Carcinoma-Associated Fibroblasts: Orchestrating the Composition of Malignancy. Genes Dev. 2016, 30, 1002–1019. [Google Scholar] [CrossRef]
- Yang, D.; Liu, J.; Qian, H.; Zhuang, Q. Cancer-Associated Fibroblasts: From Basic Science to Anticancer Therapy. Exp. Mol. Med. 2023, 55, 1322–1332. [Google Scholar] [CrossRef]
- Fotsitzoudis, C.; Koulouridi, A.; Messaritakis, I.; Konstantinidis, T.; Gouvas, N.; Tsiaoussis, J.; Souglakos, J. Cancer-Associated Fibroblasts: The Origin, Biological Characteristics and Role in Cancer—A Glance on Colorectal Cancer. Cancers 2022, 14, 4394. [Google Scholar] [CrossRef]
- Papavassiliou, K.A.; Sofianidi, A.A.; Gogou, V.A.; Papavassiliou, A.G. Targeting Epigenetic Alterations Linked to Cancer-Associated Fibroblast Phenotypes in Lung Cancer. Cancers 2024, 16, 3976. [Google Scholar] [CrossRef]
- Kehrberg, R.J.; Bhyravbhatla, N.; Batra, S.K.; Kumar, S. Epigenetic Regulation of Cancer-Associated Fibroblast Heterogeneity. Biochim. Biophys. Acta Rev. Cancer 2023, 1878, 188901. [Google Scholar] [CrossRef]
- Lawrence, M.G.; Pidsley, R.; Niranjan, B.; Papargiris, M.; Pereira, B.A.; Richards, M.; Teng, L.; Norden, S.; Ryan, A.; Frydenberg, M.; et al. Alterations in the Methylome of the Stromal Tumour Microenvironment Signal the Presence and Severity of Prostate Cancer. Clin. Epigenetics 2020, 12, 48. [Google Scholar] [CrossRef] [PubMed]
- Lam, D.; Clark, S.; Stirzaker, C.; Pidsley, R. Advances in Prognostic Methylation Biomarkers for Prostate Cancer. Cancers 2020, 12, 2993. [Google Scholar] [CrossRef] [PubMed]
- Crimi, S.; Falzone, L.; Gattuso, G.; Grillo, C.M.; Candido, S.; Bianchi, A.; Libra, M. Droplet Digital PCR Analysis of Liquid Biopsy Samples Unveils the Diagnostic Role of Hsa-MiR-133a-3p and Hsa-MiR-375-3p in Oral Cancer. Biology 2020, 9, 379. [Google Scholar] [CrossRef]
- Demaree, B.; Weisgerber, D.; Dolatmoradi, A.; Hatori, M.; Abate, A.R. Direct Quantification of EGFR Variant Allele Frequency in Cell-Free DNA Using a Microfluidic-Free Digital Droplet PCR Assay. Methods Cell Biol. 2018, 148, 119–131. [Google Scholar] [CrossRef]
- Porco, D.; Hermant, S.; Purnomo, C.A.; Horn, M.; Marson, G.; Colling, G. Getting Rid of ‘Rain’ and ‘Stars’: Mitigating Inhibition Effects on DdPCR Data Analysis, the Case Study of the Invasive Crayfish Pacifastacus Leniusculus in the Streams of Luxembourg. PLoS ONE 2022, 17, e0275363. [Google Scholar] [CrossRef]
- Hou, M.; Chen, J.; Jiang, Y.; Liu, C.; Wang, X.; Liu, E.; Zong, Y.; Gu, M.; Meng, Z.; Wang, S.; et al. Single-Cell Analysis Reveals CD34+CD90+ Endothelial Cells Promote Tumor Metastasis in Gallbladder Cancer. Npj Precis. Oncol. 2025, 9, 242. [Google Scholar] [CrossRef]
- Zhang, M.; Chen, Z.; Wang, Y.; Zhao, H.; Du, Y. The Role of Cancer-Associated Fibroblasts in Ovarian Cancer. Cancers 2022, 14, 2637. [Google Scholar] [CrossRef] [PubMed]
- Akinjiyan, F.A.; Dave, R.M.; Alpert, E.; Longmore, G.D.; Fuh, K.C. DDR2 Expression in Cancer-Associated Fibroblasts Promotes Ovarian Cancer Tumor Invasion and Metastasis through Periostin-ITGB1. Cancers 2022, 14, 3482. [Google Scholar] [CrossRef] [PubMed]
- Shah, R.; Johnson, K.A.; Lippert, A.E.L.; Kraus, S.G.; Emmerich, P.B.; Pasch, C.A.; Zhang, W.; Matkowskyj, K.A.; LeBeau, A.M.; Deming, D.A. Cancer-Associated Fibroblast Proteins as Potential Targets against Colorectal Cancers. Cancers 2024, 16, 3158. [Google Scholar] [CrossRef] [PubMed]
- Sha, M.; Shen, C.; Jeong, S.; Xu, N.; Chen, C.; Hang, H.; Tong, Y.; Cao, J. Novel Discovery of PDPN-Positive CAFs Contributing to Tumor-Associated Lymphangiogenesis through Mesenchymal to Lymphatic Endothelial Transition in Intrahepatic Cholangiocarcinoma. Genes Dis. 2023, 10, 2226–2228. [Google Scholar] [CrossRef]
- Zheng, H.; An, M.; Luo, Y.; Diao, X.; Zhong, W.; Pang, M.; Lin, Y.; Chen, J.; Li, Y.; Kong, Y.; et al. PDGFRα+ITGA11+ Fibroblasts Foster Early-Stage Cancer Lymphovascular Invasion and Lymphatic Metastasis via ITGA11-SELE Interplay. Cancer Cell 2024, 42, 682–700.e12. [Google Scholar] [CrossRef]
- Wu, Z.; Shi, J.; Lai, C.; Li, K.; Li, K.; Li, Z.; Tang, Z.; Liu, C.; Xu, K. Clinicopathological Significance and Prognostic Value of Cancer-Associated Fibroblasts in Prostate Cancer Patients. Urol. Oncol. Semin. Orig. Investig. 2021, 39, 433.e17–433.e23. [Google Scholar] [CrossRef]
- Linxweiler, J.; Hajili, T.; Körbel, C.; Berchem, C.; Zeuschner, P.; Müller, A.; Stöckle, M.; Menger, M.D.; Junker, K.; Saar, M. Cancer-Associated Fibroblasts Stimulate Primary Tumor Growth and Metastatic Spread in an Orthotopic Prostate Cancer Xenograft Model. Sci. Rep. 2020, 10, 12575. [Google Scholar] [CrossRef]
- Shen, T.; Li, Y.; Wang, D.; Su, Y.; Li, G.; Shang, Z.; Niu, Y.; Tan, X. YAP1-TEAD1 Mediates the Perineural Invasion of Prostate Cancer Cells Induced by Cancer-Associated Fibroblasts. Biochim. Biophys. Acta Mol. Basis Dis. 2022, 1868, 166540. [Google Scholar] [CrossRef]
- Sun, D.Y.; Wu, J.Q.; He, Z.H.; He, M.F.; Sun, H. Bin Cancer-Associated Fibroblast Regulate Proliferation and Migration of Prostate Cancer Cells through TGF-β Signaling Pathway. Life Sci. 2019, 235, 116791. [Google Scholar] [CrossRef] [PubMed]
- Bedeschi, M.; Marino, N.; Cavassi, E.; Piccinini, F.; Tesei, A. Cancer-Associated Fibroblast: Role in Prostate Cancer Progression to Metastatic Disease and Therapeutic Resistance. Cells 2023, 12, 802. [Google Scholar] [CrossRef]
- Talia, M.; Cesario, E.; Cirillo, F.; Scordamaglia, D.; Di Dio, M.; Zicarelli, A.; Mondino, A.A.; Occhiuzzi, M.A.; De Francesco, E.M.; Belfiore, A.; et al. Cancer-Associated Fibroblasts (CAFs) Gene Signatures Predict Outcomes in Breast and Prostate Tumor Patients. J. Transl. Med. 2024, 22, 597. [Google Scholar] [CrossRef]
- Vitale, G.; Caraglia, M.; Jung, V.; Kamradt, J.; Gentilini, D.; Di Martino, M.T.; Dicitore, A.; Abate, M.; Tagliaferri, P.; Itro, A.; et al. Molecular Characterization of Cancer Associated Fibroblasts in Prostate Cancer. Cancers 2022, 14, 2943. [Google Scholar] [CrossRef] [PubMed]
- Orr, B.; Grace, O.C.; Brown, P.; Riddick, A.C.P.; Stewart, G.D.; Franco, O.E.; Hayward, S.W.; Thomson, A.A. Reduction of Pro-Tumorigenic Activity of Human Prostate Cancer-Associated Fibroblasts Using Dlk1 or SCUBE1. Dis. Models Mech. 2013, 6, 530–536. [Google Scholar] [CrossRef]
- Kakarla, M.; Challasivakanaka, S.; Dufficy, M.F.; Gil, V.; Filipovich, Y.; Vickman, R.; Crawford, S.E.; Hayward, S.W.; Franco, O.E. Ephrin B Activate Src Family Kinases in Fibroblasts Inducing Stromal Remodeling in Prostate Cancer. Cancers 2022, 14, 2336. [Google Scholar] [CrossRef]
- Sonar, S.; Nyahatkar, S.; Kalele, K.; Adhikari, M.D. Role of DNA Methylation in Cancer Development and Its Clinical Applications. Clin. Transl. Discov. 2024, 4, e279. [Google Scholar] [CrossRef]
- Pidsley, R.; Lam, D.; Qu, W.; Peters, T.J.; Luu, P.-L.; Korbie, D.; Stirzaker, C.; Daly, R.J.; Stricker, P.; Kench, J.G.; et al. Comprehensive Methylome Sequencing Reveals Prognostic Epigenetic Biomarkers for Prostate Cancer Mortality. Clin. Transl. Med. 2022, 12, e1030. [Google Scholar] [CrossRef]
- Barletta, F.; Bandini, M.; Cirulli, G.O.; Zaurito, P.; Lucianò, R.; Giannese, F.; Scotti, G.M.; Oneto, C.; Tenace, N.; Scarfò, F.; et al. DNA Methylation Alterations in Prostate Cancer: From Diagnosis to Treatment. Transl. Androl. Urol. 2025, 14, 454–462. [Google Scholar] [CrossRef]
- Bernatz, S.; Reddin, I.G.; Fenton, T.R.; Vogl, T.J.; Wild, P.J.; Köllermann, J.; Mandel, P.; Wenzel, M.; Hoeh, B.; Mahmoudi, S.; et al. Epigenetic Profiling of Prostate Cancer Reveals Potential Prognostic Signatures. J. Cancer Res. Clin. Oncol. 2024, 150, 396. [Google Scholar] [CrossRef]
- Van Wesenbeeck, L.; Janssens, L.; Meeuws, H.; Lagatie, O.; Stuyver, L. Droplet Digital PCR Is an Accurate Method to Assess Methylation Status on FFPE Samples. Epigenetics 2018, 13, 207–213. [Google Scholar] [CrossRef]
- Anisimova, M.; Jain, M.; Shcherbakova, L.; Aminova, L.; Bugerenko, A.; Novitskaya, N.; Samokhodskaya, L.; Kokarev, V.; Inokenteva, V.; Panina, O. Detection of CADM1, MAL, and PAX1 Methylation by DdPCR for Triage of HPV-Positive Cervical Lesions. Biomedicines 2025, 13, 1450. [Google Scholar] [CrossRef] [PubMed]
- Wiencke, J.K.; Bracci, P.M.; Hsuang, G.; Zheng, S.; Hansen, H.; Wrensch, M.R.; Rice, T.; Eliot, M.; Kelsey, K.T. A Comparison of DNA Methylation Specific Droplet Digital PCR (DdPCR) and Real Time QPCR with Flow Cytometry in Characterizing Human T Cells in Peripheral Blood. Epigenetics 2014, 9, 1360. [Google Scholar] [CrossRef] [PubMed]
- Shin, H.J.; Hua, J.T.; Li, H. Recent Advances in Understanding DNA Methylation of Prostate Cancer. Front. Oncol. 2023, 13, 1182727. [Google Scholar] [CrossRef] [PubMed]
- Muletier, R.; Bourgne, C.; Guy, L.; Dougé, A. DNA Methylation in Prostate Cancer: Clinical Implications and Potential Applications. Cancer Med. 2025, 14, e70528. [Google Scholar] [CrossRef]
- Jiang, Q.; Xie, M.; He, M.; Yan, F.; Chen, M.; Xu, S.; Zhang, X.; Shen, P. PITX2 Methylation: A Novel and Effective Biomarker for Monitoring Biochemical Recurrence Risk of Prostate Cancer. Medicine 2019, 98, e13820. [Google Scholar] [CrossRef]
- Guo, H.; Vuille, J.A.; Wittner, B.S.; Lachtara, E.M.; Hou, Y.; Lin, M.; Zhao, T.; Raman, A.T.; Russell, H.C.; Reeves, B.A.; et al. DNA Hypomethylation Silences Antitumor Immune Genes in Early Prostate Cancer and CTCs. Cell 2023, 186, 2765. [Google Scholar] [CrossRef]
- Stopsack, K.H.; Nandakumar, S.; Arora, K.; Nguyen, B.; Vasselman, S.E.; Nweji, B.; McBride, S.M.; Morris, M.J.; Rathkopf, D.E.; Slovin, S.F.; et al. Differences in Prostate Cancer Genomes by Self-reported Race: Contributions of Genetic Ancestry, Modifiable Cancer Risk Factors, and Clinical Factors. Clin. Cancer Res. 2022, 28, 318–326. [Google Scholar] [CrossRef]
- Song, H.; Weinstein, H.N.W.; Allegakoen, P.; Wadsworth, M.H.; Xie, J.; Yang, H.; Castro, E.A.; Lu, K.L.; Stohr, B.A.; Feng, F.Y.; et al. Single-Cell Analysis of Human Primary Prostate Cancer Reveals the Heterogeneity of Tumor-Associated Epithelial Cell States. Nat. Commun. 2022, 13, 141. [Google Scholar] [CrossRef]
- Schayek, H.; Bentov, I.; Jacob-Hirsch, J.; Yeung, C.; Khanna, C.; Helman, L.J.; Plymate, S.R.; Werner, H. Global Methylation Analysis Identifies PITX2 as an Upstream Regulator of the Androgen Receptor and IGF-I Receptor Genes in Prostate Cancer. Horm. Metab. Res. 2012, 44, 511–519. [Google Scholar] [CrossRef]
- Schmidt, M.; Maié, T.; Cramer, T.; Costa, I.G.; Wagner, W. Cancer-Associated Fibroblasts Reveal Aberrant DNA Methylation across Different Types of Cancer. Clin. Epigenetics 2024, 16, 164. [Google Scholar] [CrossRef] [PubMed]
- Vizoso, M.; Puig, M.; Carmona, F.J.; Maqueda, M.; Velásquez, A.; Gómez, A.; Labernadie, A.; Lugo, R.; Gabasa, M.; Rigat-Brugarolas, L.G.; et al. Aberrant DNA Methylation in Non-Small Cell Lung Cancer-Associated Fibroblasts. Carcinogenesis 2015, 36, 1453. [Google Scholar] [CrossRef] [PubMed]
- Shahabi, A.; Lewinger, J.P.; Ren, J.; April, C.; Sherrod, A.E.; Hacia, J.G.; Daneshmand, S.; Gill, I.; Pinski, J.K.; Fan, J.B.; et al. Novel Gene Expression Signature Predictive of Clinical Recurrence After Radical Prostatectomy in Early Stage Prostate Cancer Patients. Prostate 2016, 76, 1239–1256. [Google Scholar] [CrossRef] [PubMed]
- Yang, J.; Liao, Y.; Wang, B.; Cui, L.; Yu, X.; Wu, F.; Zhang, Y.; Liu, R.; Yao, Y. EDARADD Promotes Colon Cancer Progression by Suppressing E3 Ligase Trim21-Mediated Ubiquitination and Degradation of Snail. Cancer Lett. 2023, 577, 216427. [Google Scholar] [CrossRef]
- Sadier, A.; Viriot, L.; Pantalacci, S.; Laudet, V. The Ectodysplasin Pathway: From Diseases to Adaptations. Trends Genet. 2014, 30, 24–31. [Google Scholar] [CrossRef]
- Hong, X.; Cao, H.; Cao, W.; Lv, J.; Yu, C.; Huang, T.; Sun, D.; Liao, C.; Pang, Y.; Hu, R.; et al. Trends of Genetic Contributions on Epigenetic Clocks and Related Methylation Sites with Aging: A Population-Based Adult Twin Study. Aging Cell 2025, 24, e14403. [Google Scholar] [CrossRef]
- Varga, B.; Kerepesi, C. CpGeneAge: Multi-Omics Aging Clocks Associated with Nf-ΚB Signaling Pathway in Aging. bioRxiv 2025. [Google Scholar] [CrossRef]
- Gensous, N.; Sala, C.; Pirazzini, C.; Ravaioli, F.; Milazzo, M.; Kwiatkowska, K.M.; Marasco, E.; De Fanti, S.; Giuliani, C.; Pellegrini, C.; et al. A Targeted Epigenetic Clock for the Prediction of Biological Age. Cells 2022, 11, 4044. [Google Scholar] [CrossRef]










| Characteristics | n = 88 |
|---|---|
| Age, median (Q1–Q3) | 64.0 (60.0–68.5) |
| BMI, kg/m2, median (Q1–Q3) | 27.2 (25.4–29.8) |
| PSA, ng/mL, median (Q1–Q3) | 7.1 (5.2–13.6) |
| MRI lesion, % (n) | 84.1% (74) |
| Prostate volume, cm3, median (Q1–Q3) | 36.1 (30.0–51.5) |
| Gleason | |
| 3 + 3 = 6 | 21.2% (18) |
| 3 + 4 = 7 | 45.9% (39) |
| 3 + 5 = 8 | 1.2% (1) |
| 4 + 3 = 7 | 17.6% (15) |
| 4 + 4 = 8 | 9.4% (8) |
| 4 + 5 = 9 | 3.5% (3) |
| 5 + 4 = 9 | 1.2% (1) |
| Androgen-deprivation therapy | 3.4% (3) |
| pT stage | |
| pT2, % (n) | 68.2% (60) |
| pT3, % (n) | 31.8% (28) |
| pN stage, % (n) | |
| 0, % (n) | 91.9% (79) |
| 1, % (n) | 8.1% (7) |
| Biochemical recurrence, % (n) 1 | 21.7% (15) 2 |
| Scale | PDGFRb | FAP | POST | CD90 |
|---|---|---|---|---|
| 0 (negative) | 10 (11.4%) | 18 (52.9%) | 10 (11.4%) | 53 (61.6%) |
| 1 (mild) | 25 (28.4%) | 9 (26.5%) | 21 (23.9%) | 13 (15.1%) |
| 2 (moderate) | 22 (25.0%) | 6 (17.7%) | 20 (22.7%) | 7 (8.2%) |
| 3 (strong) | 31 (35.2%) | 1 (2.9%) | 37 (42.0%) | 13 (15.1%) |
| Total | 88 | 34 * | 88 | 86 * |
| FAP | PDGFRb | POST | CD90 | ||
|---|---|---|---|---|---|
| Negative | 18 (52.9%) | Low expression | 57 (64.8%) | 31 (35.2%) | 66 (76.7%) |
| Positive | 16 (47.1%) | High expression | 31 (35.2%) | 57 (64.8%) | 20 (23.3%) |
| Total | 34 * | 88 | 88 | 86 * |
| Parameter | No Recurrence n = 53 | Recurrence n = 15 | p |
|---|---|---|---|
| Age, years, median (Q1–Q3) | 65.0 (60.0–68.0) | 64.0 (60.5–68.0) | 0.999 |
| BMI, kg/m2, median (Q1–Q3) | 27.1 (25.1–29.8) | 26.4 (25.3–27.4) | 0.546 |
| PSA, ng/mL, median (Q1–Q3) | 6.9 (5.2–10.3) | 7.0 (5.7–21.5) | 0.009 * |
| MRI lesion, % (n) | 83.0% (44) | 80.0% (12) | 0.719 |
| Prostate volume, cm3, median (Q1–Q3) | 36.0 (28.3–59.0) | 36.0 (30.0–43.0) | 0.464 |
| Gleason | <0.001 * | ||
| 3 + 4 = 7 and less, % (n) | 84.3% (43) | 21.4% (3) | |
| 4 + 3 = 7 and more, % (n) | 15.7% (8) | 78.6% (11) | |
| pT stage | 0.029 * | ||
| pT2, % (n) | 77.4% (41) | 46.7% (7) | |
| pT3, % (n) | 22.6% (12) | 53.3% (8) | |
| pN stage, % (n) | 0.002 * | ||
| 0, % (n) | 100.0% (51) | 73.3% (11) | |
| 1, % (n) | 0.0% (0) | 26.7% (4) | |
| Pn, % (n) | 84.9% (45) | 80.0% (12) | 0.696 |
| LI, % (n) | 17.0% (9) | 46.7% (7) | 0.034 * |
| PITX2 methylation level, median (Q1–Q3) | 3.8 (1.7–7.8) | 7.5 (3.5–10.3) | 0.098 |
| PITX2 methylation level | 0.154 | ||
| Low, % (n) | 52.1% (25) | 26.7% (4) | |
| High, % (n) | 47.9% (23) | 73.3% (11) | |
| EDARADD methylation level, median (Q1–Q3) | 92.6 (67.3–100.0) | 62.4 (50.8–74.6) | 0.004 * |
| EDARADD methylation level | 0.015 * | ||
| Low, % (n) | 39.6% (19) | 80.0% (12) | |
| High, % (n) | 60.4% (29) | 20.0% (3) | |
| GATA6 methylation level, median (Q1–Q3) | 70.5 (40.3–79.9) | 82.0 (73.0–86.3) | 0.064 |
| GATA6 methylation level | 0.163 | ||
| Low, % (n) | 58.3% (28) | 33.3% (5) | |
| High, % (n) | 41.7% (20) | 66.7% (10) | |
| PDGFRb, median (Q1–Q3) | 2.0 (1.0–3.0) | 3.0 (2.0–3.0) | 0.005 * |
| PDGFRb | 0.023 * | ||
| Low, % (n) | 69.8% (37) | 33.3% (5) | |
| High, % (n) | 30.2% (16) | 66.7% (10) | |
| FAP, median (Q1–Q3) | 0.0 (0.0–0.8) | 1.0 (0.3–1.8) | 0.084 |
| FAP | 0.179 | ||
| No, % (n) | 70.0% (10) | 30.0% (3) | |
| Yes, % (n) | 30.0% (3) | 70.0% (7) | |
| POST, median (Q1–Q3) | 3.0 (1.0–3.0) | 2.0 (1.0–2.0) | 0.113 |
| POST | 0.745 | ||
| Low, % (n) | 26.4% (14) | 33.3% (5) | |
| High, % (n) | 73.6% (39) | 66.7% (10) | |
| CD90, median (Q1–Q3) | 0.0 (0.0–1.0) | 0.0 (0.0–1.0) | 0.404 |
| CD90 | 0.010 * | ||
| Low, % (n) | 86.5% (45) | 53.3% (8) | |
| High, % (n) | 13.5% (7) | 46.7% (7) |
| Factors | HR (95% CI) | p | HR (95% CI) | p |
|---|---|---|---|---|
| Univariate | Multivariate | |||
| Clinical and morphological predictors | Model 1 (AIC = 94.6) | |||
| Total PSA, ng/mL | 1.067 (1.014–1.123) | 0.012 * | - | |
| Gleason | ||||
| 3 + 4 = 7 and less | Reference | Reference | ||
| 4 + 3 = 7 and more | 10.907 (3.033–39.222) | <0.001 * | 8.013 (2.069–31.041) | 0.003 * |
| pT stage | - | |||
| pT2 | Reference | |||
| pT3 | 2.870 (1.037–7.940) | 0.042 * | ||
| pN stage | ||||
| 0 | Reference | Reference | ||
| 1 | 9.916 (3.065–32.081) | <0.001 * | 3.371 (0.964–11.787) | 0.057 |
| LI | 3.043 (1.102–8.401) | 0.032 * | - | |
| New predictors | Model 2 (AIC = 103.1) | |||
| EDARADD methylation level | 0.968 (0.956–0.989) | 0.004 * | 0.963 (0.939–0.987) | 0.003 * |
| EDARADD methylation level | ||||
| Low | 5.225 (1.471–18.558) | 0.011 * | - | |
| High | Reference | |||
| PDGFRb expression | 2.384 (1.243–4.571) | 0.009 * | 2.571 (1.340–4.935) | 0.005 * |
| PDGFRb expression | ||||
| Low | Reference | - | ||
| High | 3.889 (1.325–11.421) | 0.013 * | ||
| CD90 expression | 0.015 * | - | ||
| Low | Reference | |||
| High | 3.526 (1.277–9.739) | |||
| Model 3 (AIC = 87.0) | ||
|---|---|---|
| Factors | HR (95% CI) | p |
| Gleason | ||
| 3 + 4 = 7 and less | Reference | |
| 4 + 3 = 7 and more | 6.247 (1.627–23.988) | 0.008 * |
| EDARADD methylation level | 0.961 (0.931–0.991) | 0.013 * |
| PDGFRb expression | 2.313 (1.054–5.088) | 0.036 * |
Disclaimer/Publisher’s Note: The statements, opinions and data contained in all publications are solely those of the individual author(s) and contributor(s) and not of MDPI and/or the editor(s). MDPI and/or the editor(s) disclaim responsibility for any injury to people or property resulting from any ideas, methods, instructions or products referred to in the content. |
© 2025 by the authors. Licensee MDPI, Basel, Switzerland. This article is an open access article distributed under the terms and conditions of the Creative Commons Attribution (CC BY) license (https://creativecommons.org/licenses/by/4.0/).
Share and Cite
Jain, M.; Nesterova, O.; Varentsov, M.; Oleynikova, N.; Vasiukova, A.; Navruzova, S.; Golubin, G.; Samokhodskaya, L.; Malkov, P.; Kamalov, A. Prognostic Potential of Cancer-Associated Fibroblast Surface Markers and Their Specific DNA Methylation in Prostate Cancer. Diagnostics 2025, 15, 2434. https://doi.org/10.3390/diagnostics15192434
Jain M, Nesterova O, Varentsov M, Oleynikova N, Vasiukova A, Navruzova S, Golubin G, Samokhodskaya L, Malkov P, Kamalov A. Prognostic Potential of Cancer-Associated Fibroblast Surface Markers and Their Specific DNA Methylation in Prostate Cancer. Diagnostics. 2025; 15(19):2434. https://doi.org/10.3390/diagnostics15192434
Chicago/Turabian StyleJain, Mark, Olga Nesterova, Mikhail Varentsov, Nina Oleynikova, Aleksandra Vasiukova, Sofia Navruzova, German Golubin, Larisa Samokhodskaya, Pavel Malkov, and Armais Kamalov. 2025. "Prognostic Potential of Cancer-Associated Fibroblast Surface Markers and Their Specific DNA Methylation in Prostate Cancer" Diagnostics 15, no. 19: 2434. https://doi.org/10.3390/diagnostics15192434
APA StyleJain, M., Nesterova, O., Varentsov, M., Oleynikova, N., Vasiukova, A., Navruzova, S., Golubin, G., Samokhodskaya, L., Malkov, P., & Kamalov, A. (2025). Prognostic Potential of Cancer-Associated Fibroblast Surface Markers and Their Specific DNA Methylation in Prostate Cancer. Diagnostics, 15(19), 2434. https://doi.org/10.3390/diagnostics15192434

