Abstract
Lelliottia amnigena is a Gram-negative facultative anaerobic bacillus identified from water sources and later from food (onions, cream, unpasteurized milk, and Spanish pork sausages), which, under certain circumstances, can cause infections in humans, especially in immunocompromised patients. Few cases of human infections have been reported in the literature, such as endophthalmitis, urinary tract infection, pyonephrosis, and sepsis. We describe the case of a 69-year-old Caucasian male patient who lives in an urban environment and presents himself to the emergency department with chills, fever, myalgias, marked physical asthenia, dry cough, dyspnea, symptoms for which he is tested and confirmed with SARS-CoV-2 infection using real-time reverse transcriptase–polymerase chain reaction (RT-PCR) from nasal and pharyngeal swabs, after being admitted the same day (25 May 2023) to the Infectious Diseases Clinic from the County Clinical Emergency Hospital Sibiu, Romania. At the time of admission, a pulmonary computerized tomography (CT) scan was performed, which revealed a severity score of 10 out of 25. In the second week of the disease, the patient presents with hemoptysis, from which bacteriological examinations are carried out, and Pseudomonas putida and Lelliottia amnigena are identified. The evolution was slowly favorable under antiviral treatment, corticotherapy, antibiotic therapy (in the absence of the identified etiology, initially meropenem was administered in association with linezolid, and then ceftazidime-avibactam), voriconazole, anakinra, salbutamol inhaler, inhalation corticosteroids, with slow reduction in oxygen requirement, the patient continued oxygen therapy at home after discharge with a flow rate of 5 L/minute. During the third harvesting of sputum samples, P. putida was isolated along with L. amnigena, both strains of low-virulence species, and maintained susceptibility to antibiotics. In the context of an immunosuppressed patient with previous pulmonary surgery for actinomycosis, chronic obstructive pulmonary disease, and bronchiectasis, all these conditions are favorable for biofilm formation. L. amnigena remains a pathogen rarely isolated in human pathology, but we should pay more attention, especially in the immunosuppressed patient, where it can be responsible for an extremely serious clinical picture.
1. Introduction
Lelliottia amnigena, originally named Enterobacter amnigenus in 1981 [1], subsequently from 2013 known as L. amnigena after Brady et al. [2], is a Gram-negative, facultative anaerobic bacillus identified from water sources and later from food (onions, cream, unpasteurized milk, and Spanish pork sausages) [3], which, under certain circumstances, can cause infections in humans. Few cases of human infections have been reported in the literature, such as endophthalmitis [4], urinary tract infection [5], pyonephrosis [6], and sepsis [7], which occur particularly in immunocompromised patients [5].
Identifying new cases can provide additional information on the real incidence of bacteria with low pathogenicity and provide data on their antibiotic susceptibility test results, with different hypotheses being issued regarding their resistance to beta-lactams.
2. Case Report
We describe the case of a 69-year-old Caucasian male patient who lives in an urban environment and presents himself to the emergency department with chills, fever, myalgias, marked physical asthenia, dry cough, dyspnea, symptoms for which he is tested and confirmed with SARS-CoV-2 infection using real-time reverse transcriptase–polymerase chain reaction (RT-PCR) from nasal and pharyngeal swabs, after being admitted the same day (25 May 2023) to the Infectious Diseases Clinic from the County Clinical Emergency Hospital Sibiu, Romania. Based on the past medical history of the patient, we report a case of type 2 diabetes mellites under treatment with oral antidiabetic agents, high blood pressure, ischemic heart disease, chronic obstructive pulmonary disease, right pulmonary upper lobe-operated actinomycosis, hepatic steatosis, operated pyloric stenosis, recent right facial paresis, and otitis externa with Candida parapsilosis. In terms of COVID-19 immunizations, the patient was vaccinated with three doses of a messenger RNA vaccine.
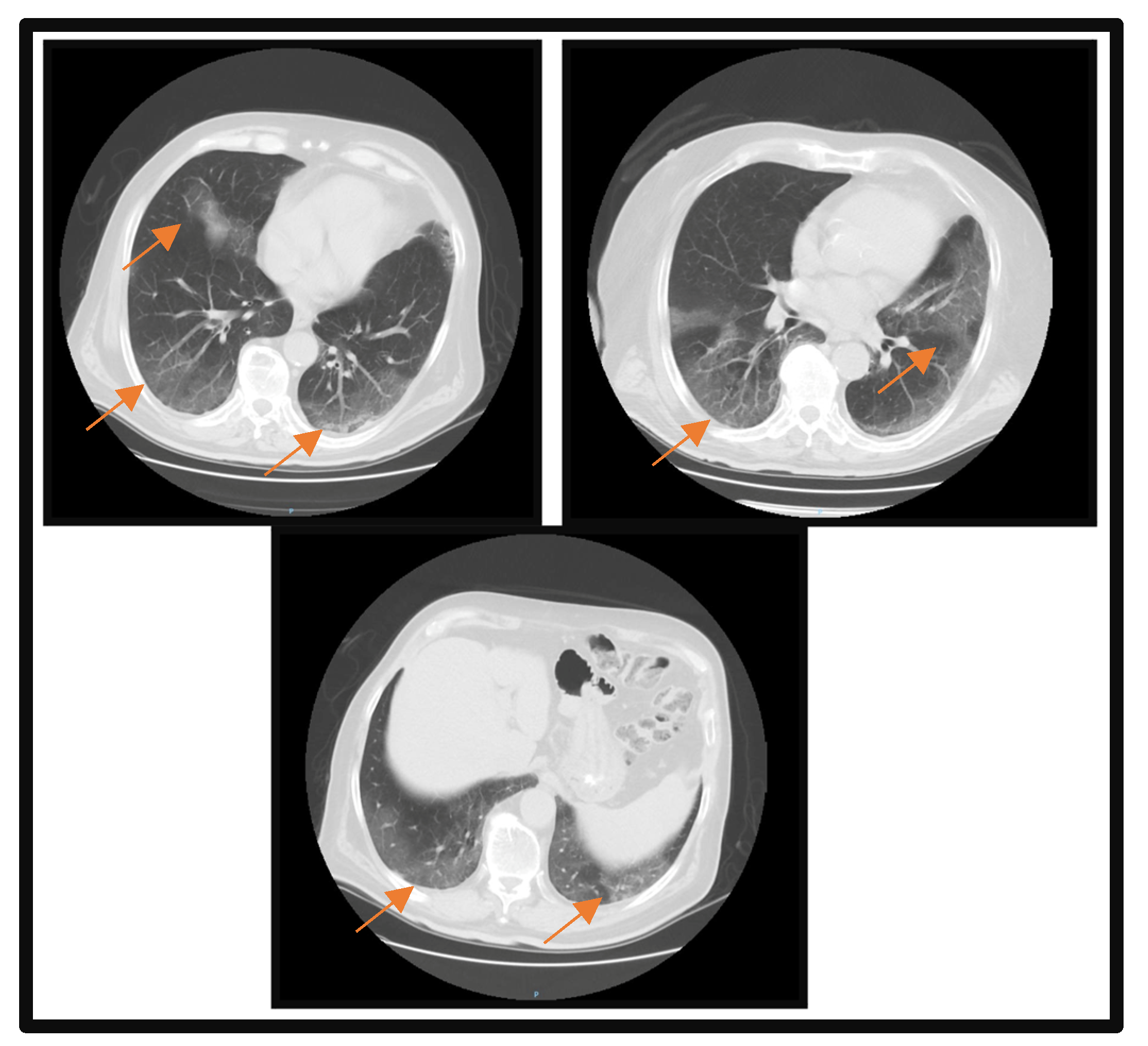
At the time of admission, a pulmonary computerized tomography (CT) scan was performed, which revealed multiple areas of condensation in the matt glass aspect disseminated bilaterally with fine left posterobasal interlobular septal thickening. A severity score of 10 out of 25 was reported; the lesions involved 5–25% of the right superior lobe, between 5 and 25% of the left middle lobe, 5 and 25% of the right lower lobe, 5 and 25% of the left superior lobe, and 5 and 25% of the left lower lobe (Figure 1). The severity score proposed by Francone M et al. was used to assess lung impairment [8]. Focal changes in centrilobular, panlobular, and paraseptal bilateral superior lobe emphysema, bilateral infrahilar bronchial ectasia, hiatal hernia of 33 × 28 mm, reduced stomach body size, more likely postoperative, with the appearance of a gastro-enteric anastomosis, and arranged paramedian left epigastric are also reported.
Figure 1.
Pulmonary CT scan at the time of admission. Orange arrows highlight the lesion areas of condensation in the matt glass aspect.
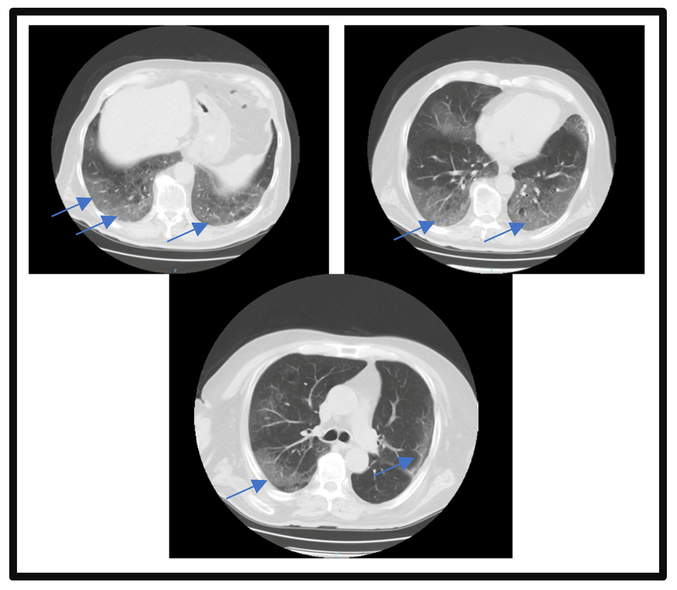
The patient presented with acute respiratory failure, which required oxygen therapy with a simple face mask with a flow rate of 5 L/minute and peripheral oxygen saturation of 96%. The patient required high-flow nasal oxygen therapy (with a flow rate of 60 L/minute) to manage the acute hypoxemic respiratory failure exacerbation during the first night of admission. On the third day of admission, a pulmonary CT scan re-evaluation was performed, which confirmed the aggravation of lung impairment (a severity score of 14 out of 25 was reported), which was also maintained at the last assessment on the fourteenth day of hospitalization (Figure 2).
Figure 2.
Pulmonary CT scan on the 3rd day of admission. Blue arrows highlight the lesion areas of condensation in the matt glass aspect.
During the first week of hospitalization, two bacteriological examinations of the specimens obtained from the lower respiratory tract (sputum) were performed, but all cultures were negative.
In the second week of the disease (day seven), the patient presented with hemoptysis. After this episode, another bacteriological examination of the specimens obtained from the lower respiratory tract (sputum) was performed. An assessment of the sputum quality was performed as a routine to estimate the amount of oropharyngeal contamination, an examination that is performed via microscopic examination of the cellular components in a stained smear under low power field magnification. A reduced number of squamous epithelial cells and the presence of more than 25 leukocytes per low-power field suggested that the samples were derived from the site of an active infection. Also, previous examinations of the two samples collected during the first week of hospitalization were harvested in the same process after the patient was instructed on how to collect the sputum. All samples were collected in the morning under the supervision of a nurse, also the patient was not using antiseptic mouthwash and did not have a meal prior to sampling. From the sputum cultures that were carried out (2 cultures from 2 samples), Pseudomonas putida and Lelliottia amnigena were identified from both samples after three days. The isolated bacteria were identified using a VITEK 2 Compact analyzer (bioMérieux, Marcy-l’Étoile, France). Minimum inhibitory concentrations were assessed according to the Clinical and Laboratory Standards Institute (CLSI) MIC breakpoints (CLSI M100 32nd edition) [9].
The Pseudomonas putida strain was sensitive to amikacin, cefepime, ceftazidime, ciprofloxacin, gentamicin, imipenem, pefloxacin, piperacillin, piperacillin/tazobactam, and tobramycin, and resistant to ticarcillin, ticarcillin/clavulanic acid, and trimethoprim/sulfamethoxazole. Lelliottia amnigena strain was sensitive to amikacin, cefepime, ceftazidime, ceftriaxone, ciprofloxacin, gentamicin, piperacillin, tobramycin, trimethoprim/sulfamethoxazole, levofloxacin, ertapenem, and meropenem.
The main laboratory examinations performed during the admission are presented in Table 1.
Table 1.
Laboratory examinations during hospitalization.
The evolution was slowly favorable under antiviral treatment (remdesivir with a loading dose of 200 mg intravenously on the first day of admission, followed by 100 mg daily for the following 5 days), glucocorticoid medication (initially, the patient received dexamethasone 8 mg twice daily for 7 days followed by methylprednisolone 500 mg daily for 7 days), antibiotic therapy (initially, meropenem 4 g was administered daily for 10 days in the absence of the identified etiology in combination with linezolid 600 mg twice daily, and then ceftazidime-avibactam 2 g/0.5 g was administered three times daily for 7 days), voriconazole 200 mg twice daily for 14 days, anakinra 150 mg/mL with a loading dose of 2 ampoules daily for three days, followed by 1 ampoule daily for the following 7 days, with salbutamol inhaler 100 mcg per dose, corticosteroid inhaler budesonide/formoterol 160 mcg/4.5 mcg, and a slow reduction in oxygen requirement. The patient continued oxygen therapy at home after discharge with a flow rate of 5 L/minute; the patient was discharged after 28 days after his admission into the hospital. The patient’s evolution is summarized in Figure 3.
Figure 3.
Case report flow diagram.
3. Discussion
Lelliottia amnigena is included in phylum Pseudomonadota, class Gammaproteobacteria, family Enterobacteriaceae, genus Lelliotia together with L. nimipressuralis (initially known as Erwinia nimipressuralis and then reclassified as Enterobacter nimipressuralis), and a new species L. jeotgali, which is associated with traditional Korean fermented clam [10]. Virulence factors are represented by pectinase, protease, pectin lyase, and cellulase [11].
L. amnigena, as previously mentioned, was reported in a few case reports of infections in humans, e.g., unilateral posttraumatic endophthalmitis in an immunocompetent patient [4], which was a case of urinary tract infection in a patient immunosuppressed known to have prostatic and colorectal adenocarcinoma, with obesity, nephrolithiasis, and nephrostomy [5]; a case of pyonephrosis [6], involving an infection in a heart transplant recipient [12]; and sepsis in a case report from Ethiopia [7].
The isolation of L. amnigena from sputum, blood, or stool is not always considered pathogenic and can be a matter of colonization [13]. Therefore, the diagnosis must be supported by clinical, paraclinical elements (imaging and laboratory studies), and bacteriological examination of samples. In our reported case, the patient presented with a febrile croup, hemoptysis (associated with an increasing rate of flow of the high-flow nasal oxygen therapy (a flow rate of 60 L/minute)), exacerbation of the acute respiratory failure (increasing CT scan severity score), increased lung lesions, and exacerbation of the inflammatory syndrome. Bacteriological examinations from the sputum at the time of admission and during evolution were negative. During the third harvesting of sputum samples, a sample that was derived from the site of an active infection based on the data from the microscopic examination of the sputum, P. putida was isolated along with L. amnigena, both of which are strains of low-virulence species and maintain susceptibility to antibiotics. In the context of an immunosuppressed patient with previous pulmonary surgery for actinomycosis, chronic obstructive pulmonary disease, and bronchiectasis, all these conditions are favorable for biofilm formation.
Biofilm-related infections (BRI) can take on many forms, ranging from catheter-associated urinary tract infections (which are still the most common type of BRI) to central line-associated bloodstream infections, cystic fibrosis, fracture-related infections, BRI associated with the use of fixed braces, and periprosthetic joint infections [14]. Although there is still no universally agreed upon definition of a biofilm, biofilms are defined as “a coherent cluster of bacterial cells imbedded in a biopolymer matrix, which, compared with planktonic cells, shows increased tolerance to antimicrobials and resists the antimicrobial properties of the host defence” [15]. P. putida is a Gram-negative bacteria belonging to the genus Pseudomonas, which is known to be associated with plant growth. P. putida strains are frequently isolated from the rhizosphere of plants and are known for their environmental involvement (capacity to degrade pollutants). It has previously been reported that P. putida has the ability to form bacterial biofilms and cell-to-cell communication systems [16]. C-di-GMP is a main regulator factor of biofilm formation for P. putida strains, which is also involved in the regulator’s mechanisms of the LapA adhesion protein on the cell surface. LapA adhesion protein seems to be one of the most important biofilm matrix structures for biofilm formation by P. putida. AHL-based LuxIR-type cell-to-cell communication system signaling is functional in P. putida biofilms, although the true expression of a quorum sensing mechanism depends on the strain [17].
In terms of the antibiotic susceptibility test results, L. amnigena is considered to be naturally resistant to first-generation cephalosporins and cefoxitin. The resistance to ampicillin is reported in over 83% of isolates strains and to amoxicillin/clavulanic acid in over 33% of isolates [18]. Other authors also describe resistance to doxycycline, gentamicin, and beta-lactam/beta-lactamase inhibitors [19], but also decreased sensitivity to cefixime, cefpodoxime, and ceftibuten [20]. In our case, we found no resistance to other antibiotics except the one described as natural resistance in the isolated strain identified by us.
4. Conclusions
L. amnigena is a pathogenic microorganism that exhibits relatively weak virulence. It is infrequently encountered in human infections, mostly with compromised immune systems, and has been isolated from bodily fluids such as sputum, blood, and urine. However, it should be noted that L. amnigena is not always the primary causative agent of the infection but rather a potential colonizer. The simultaneous presence of another pathogenic bacteria with low virulence can increase L.amnigena virulence, causing a polymicrobial infection in circumstances similar to our case report, involving an infection related to biofilm. Identifying specific pathogens via routine methods in microbiology laboratories can pose a challenge. Moreover, the susceptibility to third-generation cephalosporins may be compromised when dealing with a limited number of isolates. L. amnigena remains a pathogen rarely isolated in human pathology, even if there are concerns among some readers if L. amnigena is a colonizer or an actual infection in this clinical setting. Still, we should pay more attention, especially to immunosuppressed patients, where it can be responsible for a dire clinical picture.
Author Contributions
Conceptualization, V.B. and E.S.D.; methodology, R.-M.B. and V.B.; software, R.-M.B.; validation, R.-M.B. and V.B.; formal analysis, R.-M.B. and V.B.; investigation, V.B. and E.S.D.; resources, E.S.D. and V.B.; data curation, R.-M.B. and E.S.D.; writing—original draft preparation, V.B.; writing—review and editing, R.-M.B.; visualization, E.S.D., R.-M.B. and V.B.; supervision, V.B. All authors have read and agreed to the published version of the manuscript.
Funding
This research received no external funding.
Institutional Review Board Statement
This study was conducted according to the guidelines of the Declaration of Helsinki. This study was accepted by the Ethics Committee of the Emergency Clinical County Hospital Sibiu, Romania and they encouraged publishing the article (ID: 16636/10.07.2023). All methods were carried out following relevant guidelines and regulations.
Informed Consent Statement
Informed consent was obtained from the patient for publication of the case report and any accompanying images. A copy of the written consent is available for review by the Editor-in-Chief of this journal.
Data Availability Statement
All data generated or analyzed during this study are included in this published article.
Conflicts of Interest
The authors declare no conflict of interest.
References
- Izard, D.; Gavini, F.; Trinel, P.A.; Leclerc, H. Deoxyribonucleic Acid Relatedness Between Enterobacter cloacae and Enterobacter amnigenus sp. nov. Int. J. Syst. Evol. Microbiol. 1981, 31, 35–42. [Google Scholar] [CrossRef]
- Brady, C.; Cleenwerck, I.; Venter, S.; Coutinho, T.; De Vos, P. Taxonomic evaluation of the genus Enterobacter based on multilocus sequence analysis (MLSA): Proposal to reclassify E. nimipressuralis and E. amnigenus into Lelliottia gen. nov. as Lelliottia nimipressuralis comb. nov. and Lelliottia amnigena comb. nov., respectively, E. gergoviae and E. pyrinus into Pluralibacter gen. nov. as Pluralibacter gergoviae comb. nov. and Pluralibacter pyrinus comb. nov., respectively, E. cowanii, E. radicincitans, E. oryzae and E. arachidis into Kosakonia gen. nov. as Kosakonia cowanii comb. nov., Kosakonia radicincitans comb. nov., Kosakonia oryzae comb. nov. and Kosakonia arachidis comb. nov., respectively, and E. turicensis, E. helveticus and E. pulveris into Cronobacter as Cronobacter zurichensis nom. nov., Cronobacter helveticus comb. nov. and Cronobacter pulveris comb. nov., respectively, and emended description of the genera Enterobacter and Cronobacter. Syst. Appl. Microbiol. 2013, 36, 309–319. [Google Scholar] [CrossRef] [PubMed]
- Garciafontan, M.; Lorenzo, J.M.; Parada, A.; Franco, I.; Carballo, J. Microbiological characteristics of “androlla”, a Spanish traditional pork sausage. Food Microbiol. 2007, 24, 52–58. [Google Scholar] [CrossRef] [PubMed]
- Westerfeld, C.; Papaliodis, G.N.; Behlau, I.; Durand, M.L.; Sobrin, L. Enterobacter Amnigenus Endophthalmitis. Retin. Cases Brief Rep. 2009, 3, 409–411. [Google Scholar] [CrossRef] [PubMed]
- Leal-Negredo, A.; Castelló-Abieta, C.; Leiva, P.S.; Fernández, J. Infección urinaria por Lelliottia amnigena (Enterobacter amnige-nus): Un patógeno infrecuente [Urinary tract infection by Lelliottia amnigena (Enterobacter amnigenus): An uncommon pathogen]. Rev. Esp. Quimioter. 2017, 30, 483–484. (In Spanish) [Google Scholar] [PubMed]
- Guerra, J.M.M.; Asenjo, M.M.; Gutiérrez, C.J.D. Pionefrosis por Lelliottia amnigena. Med. Clin. 2018, 151, 419–420. [Google Scholar] [CrossRef] [PubMed]
- Legese, M.H.; Asrat, D.; Swedberg, G.; Hasan, B.; Mekasha, A.; Getahun, T.; Worku, M.; Shimber, E.T.; Getahun, S.; Ayalew, T.; et al. Sepsis: Emerging pathogens and antimicrobial resistance in Ethiopian referral hospitals. Antimicrob. Resist. Infect. Control. 2022, 11, 83. [Google Scholar] [CrossRef] [PubMed]
- Francone, M.; Iafrate, F.; Masci, G.M.; Coco, S.; Cilia, F.; Manganaro, L.; Panebianco, V.; Andreoli, C.; Colaiacomo, M.C.; Zingaropoli, M.A.; et al. Chest CT score in COVID-19 patients: Correlation with disease severity and short-term prognosis. Eur. Radiol. 2020, 30, 6808–6817. [Google Scholar] [CrossRef]
- CLSI. Performance Standards for Antimicrobial Susceptibility Testing, 32nd ed.; CLSI Supplement M100; Clinical and Laboratory Standards Institute: Wayne, PA, USA, 2019. [Google Scholar]
- Yuk, K.-J.; Kim, Y.-T.; Huh, C.-S.; Lee, J.-H. Lelliottia jeotgali sp. nov., isolated from a traditional Korean fermented clam. Int. J. Syst. Evol. Microbiol. 2018, 68, 1725–1731. [Google Scholar] [CrossRef]
- Osei, R.; Yang, C.; Wei, L.; Jin, M.; Boamah, S. Effects of Combined Application of Salicylic Acid and Proline on the Defense Response of Potato Tubers to Newly Emerging Soft Rot Bacteria (Lelliottia amnigena) Infection. Sustainability 2022, 14, 8870. [Google Scholar] [CrossRef]
- Bollet, C.; Elkouby, A.; Pietri, P.; Micco, P. Isolation of Enterobacter amnigenus from a heart transplant recipient. Eur. J. Clin. Microbiol. Infect. Dis. 1991, 10, 1071–1073. [Google Scholar] [CrossRef] [PubMed]
- Murray, P.R. Enterobacteriaceae: Opportunistic pathogens. In Manual of Clinical Microbiology, 6th ed.; Murray, P.R., Baron, E.J., Pfaller, M., Tenover, F., Yolken, R., Eds.; American Society for Microbiology: Washington, DC, USA, 1995; pp. 460–461. [Google Scholar]
- Roman, M.D.; Bocea, B.-A.; Ion, N.-I.; Vorovenci, A.E.; Dragomirescu, D.; Birlutiu, R.-M.; Birlutiu, V.; Fleaca, S.R. Are There Any Changes in the Causative Microorganisms Isolated in the Last Years from Hip and Knee Periprosthetic Joint Infections? Antimicrobial Susceptibility Test Results Analysis. Microorganisms 2023, 11, 116. [Google Scholar] [CrossRef]
- Burmølle, M.; Thomsen, T.R.; Fazli, M.; Dige, I.; Christensen, L.; Homøe, P.; Tvede, M.; Nyvad, B.; Tolker-Nielsen, T.; Givskov, M.; et al. Biofilms in chronic infections—A matter of opportunity—Monospecies biofilms in multispecies infections. FEMS Immunol. Med. Microbiol. 2010, 59, 324–336. [Google Scholar] [CrossRef] [PubMed]
- Arevalo-Ferro, C.; Reil, G.; Görg, A.; Eberl, L.; Riedel, K. Biofilm formation of Pseudomonas putida IsoF: The role of quorum sensing as assessed by proteomics. Syst. Appl. Microbiol. 2005, 28, 87–114. [Google Scholar] [CrossRef] [PubMed]
- Fazli, M.; Almblad, H.; Rybtke, M.L.; Givskov, M.; Eberl, L.; Tolker-Nielsen, T. Regulation of biofilm formation in Pseudomonas and Burkholderia species. Environ. Microbiol. 2014, 16, 1961–1981. [Google Scholar] [CrossRef] [PubMed]
- Capdevila, J.A.; Bisbe, V.; Gasser, I.; Zuazu, J.; Olivé, T.; Fernández, F.; Pahissa Berga, A. Enterobacter amnigenus. Un patógeno hu-mano inusual [Enterobacter amnigenus. An unusual human pathogen]. Enfermedades Infecc. Y Microbiol. Clínica 1998, 16, 364–366. [Google Scholar]
- Fadare, F.T.; Okoh, A.I. Distribution and molecular characterization of ESBL, pAmpC β-lactamases, and non-β-lactam encoding genes in Enterobacteriaceae isolated from hospital wastewater in Eastern Cape Province, South Africa. PLoS ONE 2021, 16, e0254753. [Google Scholar] [CrossRef] [PubMed]
- Stock, I.; Wiedemann, B. Natural antibiotic susceptibility of Enterobacter amnigenus, Enterobacter cancerogenus, Enterobacter gergoviae and Enterobacter sakazakii strains. Clin. Microbiol. Infect. 2002, 8, 564–578. [Google Scholar] [CrossRef] [PubMed][Green Version]
Disclaimer/Publisher’s Note: The statements, opinions and data contained in all publications are solely those of the individual author(s) and contributor(s) and not of MDPI and/or the editor(s). MDPI and/or the editor(s) disclaim responsibility for any injury to people or property resulting from any ideas, methods, instructions or products referred to in the content. |
© 2023 by the authors. Licensee MDPI, Basel, Switzerland. This article is an open access article distributed under the terms and conditions of the Creative Commons Attribution (CC BY) license (https://creativecommons.org/licenses/by/4.0/).


