Abstract
The study aimed to evaluate the metabolism and resistance to the gastrointestinal tract conditions of Bacillus pumilus UAMX (BP-UAMX) isolated from overweight individuals using genomic tools. Specifically, we assessed its ability to metabolize various carbon sources, its resistance to low pH exposure, and its growth in the presence of bile salts. The genomic and bioinformatic analyses included the prediction of gene and protein metabolic functions, a pan-genome and phylogenomic analysis. BP-UAMX survived at pH 3, while bile salts (0.2–0.3% w/v) increased its growth rate. Moreover, it showed the ability to metabolize simple and complex carbon sources (glucose, starch, carboxymethyl-cellulose, inulin, and tributyrin), showing a differentiated electrophoretic profile. Genome was assembled into a single contig, with a high percentage of genes and proteins associated with the metabolism of amino acids, carbohydrates, and lipids. Antibiotic resistance genes were detected, but only one beta-Lactam resistance protein related to the inhibition of peptidoglycan biosynthesis was identified. The pan-genome of BP-UAMX is still open with phylogenetic similarities with other Bacillus of human origin. Therefore, BP-UAMX seems to be adapted to the intestinal environment, with physiological and genomic analyses demonstrating the ability to metabolize complex carbon sources, the strain has an open pan-genome with continuous evolution and adaptation.
1. Introduction
Gram-positive Bacillus pumilus are spore-forming bacteria that grow under aerobic or anaerobic conditions. These bacteria have been reported to be found in soil, water, air (spores), fermented foods, decomposing plant and animal tissues, and the human gastrointestinal tract (GIT). The Bacillus genus is not considered as part of the normal microbiota composition in the human gut. However, recent studies have shown that Bacillus may be present in the GIT in high amounts when associated with food intake [1,2,3,4], which is related to the identification of B. pumilus, B. licheniformis, B. clausii, B. subtilis, B. megaterium, B. mediterraneensis, and B. thuringiensis from the human GIT [1,5,6]. However, the environmental and nutritional conditions that vary throughout the GIT and the presence of other microorganisms can restrict Bacillus colonization. Their survival depends on the availability of specific carbon sources (provided by the diet of the individual) and on the activity of the various enzymes that are present in saliva and throughout the GIT. In addition, pH variation also affects the availability of the carbon source. For example, the stomach is an acidic environment (pH 1–3) owing to the presence of gastric acid. However, the small intestine (pH close to 7–8) and the colon (pH 7–9) present more alkaline conditions [7,8]. Bacteria from the Bacillus genus (such as B. pumilus) can produce spores that may be responsible for its survival in the acidic gastric barrier [2,9,10,11]. The resistance of some Bacillus strain to the GIT conditions has led to their consideration and application as probiotics [12,13]. Several Bacillus strains have a long history of safe use in fermented foods, and well known for their ability to secrete proteins, enzymes, antimicrobial compounds, and vitamins, which make this group a candidate to be used as probiotic bacteria in the food and pharmaceutical industries [14]. In particular, the Bacillus group produces food grade degrading enzymes, and have been employed for the production of nutraceuticals, including riboflavin, cobalamin, carotenoids as supplements for human consumption [15]. Moreover, it has been reported that the Bacillus species had a broader activity against various cancer cells in the mammary gland, colon, and liver [16,17], and are capable of producing inhibitory compounds against Helicobacter pylori, fungi, and Gram-positive bacteria [14,18]. While B. pumilus among other Bacillus can produce enzymes that hydrolyze gluten to non-immunogenic peptides that protect the intestinal mucosa and gamma-aminobutyric acid [16,19]. Recently, the protease activity of this genera has been related to the production of protein compounds that alleviate the progression and aggravation of Parkinson Disease, and have more beneficial effects for human health, including antioxidant activity and the regulation of the redox balance [20]. Furthermore, Bacillus have the capacity of producing short-chain fatty acids (SCFA), such as acetic and propionic acid, and mainly butyric acid which can reduce appetite and significantly reduce body weight in obese individuals [21]. However, an unbalance in the GUT microbial population has been related to the development of obesity, diabetes, and liver diseases, derived from the monosaccharides and FA within the GIT that provides additionally energy to the host, and the increased intestinal permeability due to the production lipopolysaccharides in response to the consumption of high-fat diets [22,23]. Nonetheless, few members of the Bacillus spp. group such as B. cereus and B. thuringensis are related to food borne intoxications. Therefore, the use of genotypic and phenotypic tools has a great relevance for the selection of individual Bacillus strains and to evaluate their beneficial functionality as potential probiotics [15].
Fakhry and Leser et al. proposed that the resistance of Bacillus spores and vegetative cells to simulated gastric conditions could result from differential gene expression as a means of adaption to the GIT environment [1,14].
Omic technologies such as PacBio genome sequencing allow the analysis of the gene expression variation which can provide information in a shorter time frame [24,25,26,27,28,29,30]. Genomic sequencing provides a complete catalog of the expressed genes in the microorganism and the identification of its virulence factors. Furthermore, genome sequencing allows for a comparative phylogenetic analysis, where encoded proteins are rationally classified according to the Clusters of Orthologous Groups (COGs) database, in order to assess their functionality and evolution [28,29,30,31,32]. In addition, the study of metabolic networks through online databases, such as the KEGG Automatic Annotation Server (KAAS) [33], allows the reconstruction of metabolic pathways based on sequence homology, bidirectional information, and heuristics with a high degree of accuracy [34,35]. Finally, these tools also offer other elements that contribute to the study of gene functionality in bacteria, such as pan-genome analysis. In some species, it has been shown that new genes could be discovered even after the genome was fully sequenced. Therefore, the pan-genome analysis can estimate the number of additional complete genome sequences that are required to characterize the entire genomic diversity [36,37,38].
2. Materials and Methods
2.1. Strain Propagation
BP-UAMX was previously isolated by Mayorga [4] from fecal samples of overweight individuals (body max index: 27.17 ± 0.51 kg/m2). Prior to the analysis, the isolates were propagated in culture media (2.2 g/L NaCl, 10 g/L (NH4)2SO4, 0.4 g/L CaCl2, 0.4 g/L MgSO4, 0.72 g/L K2HPO4, 0.2 g/L yeast extract, and 10 g/L glucose) under continuous agitation (180 rpm), at 37 °C. All reagents were acquired from Sigma Chemical Co. (St. Louis, MO, USA).
2.2. GenBank Accession Number for the Studied Strain
The entire genome of the studied strain was sequenced and deposited in GenBank (NCBI) with the assigned accession number: “Bacillus pumilus str. UAMX isolate”: CP058951 (https://www.ncbi.nlm.nih.gov/nuccore/CP058951.1/).
2.3. Resistance Assessment to Simulated GIT Physiological Conditions
The resistance of BP-UAMX to GIT physiological conditions was determined following the procedure described by Hernández-Alcántara [39]. Briefly, growth kinetics assays were performed after exposing the cultured bacteria to different pHs (2, 3, and 7 as ontrol) and bile salts concentrations (0.2 and 0.3% w/v), for 12 min and 3 h.
2.4. Growth Ability in Different Carbon Sources
To evaluate the effect of the carbon source on the metabolism of BP-UAMX, growth kinetics assays were performed in the presence of 0.2% starch (J.T. Baker, Phillipsburg, NJ, USA), inulin (Campos Azules, Guadalajara, Jalisco, Mexico), carboxymethyl-cellulose or CMC (J. T. Baker, Phillipsburg, NJ, USA), and tributyrin (Sigma-Aldrich, St. Louis, MO, USA). The control assay was performed with 1% glucose (BD Bioxon, Cuautitlán Izcalli, Mex, Mexico). Bacteria were cultivated in microtiter plates (37 °C for 40 h) and the optical density at 600 nm was monitored using a Synergy HT microplate reader (BioTek Instruments Inc., Winooski, VT, USA). The growth kinetics data were adjusted to the Verhulst-Pearl logistic model [40] (vegetative cell growth) and an inverted exponential growth model (death phase). Following this, kinetic parameters were calculated and statistically validated with NCSS 2007, using the one-way variance analysis (p ≤ 0.05) [41].
2.5. Electrophoretic Analysis of BP-UAMX Cultured with Different Carbon Sources
The SDS-PAGE analysis was performed to compare the soluble protein content of BP-UAMX cultured using different carbon sources. Culture samples were collected at the late logarithmic phase and centrifuged at 11,000 rpm (4 °C) for 10 min (Eppendorf 5810R, Hamburg, Germany), with consecutive washes using cold phosphate-buffered saline (PBS, pH 7.2). Following this, the cell pellets were re-suspended in 291 μL PBS (pH 7.2) and 9 μL 10% SDS. Cell rupture was performed using a 750 W Ultrasonic Homogenizer (Cole-Parmer, Vernon Hills, IL, USA) with 25 cycles of 45 s, followed by another centrifugation step (11,000 rpm for 20 min, at 4 °C). The soluble cytosolic protein fraction was recovered and quantified using the Bradford method [42]. Finally, SDS-PAGE was performed using 12% Tris-glycine-polyacrylamide gels and a MiniProtean 3 electrophoresis chamber (BioRad, Hercules, CA, USA), as described by Laemmli [43].
2.6. Proteomic Profiling Analysis for BP-UAMX
The proteomic analysis for the control culture of BP-UAMX growth in 1% glucose was performed as reported by Pérez-Acosta et al. [44]. Briefly, electrophorectic gels were excised and subjected to reduction (20 µL DTT 10 mM, NH4HCO3 50 mM, for 45 min at 56 °C), alkylation (20 µL yodoacetamide 100 mM, NH4HCO3 50 mM, 30 min), and digestion with trypsin (12.5 ng/μL Trypsin Gold; Promega, Madison, WI, USA, 16 h, 37 °C). After digestion and desalting, the peptides were analyzed in a nano-LC-MS/MS in a Orbitrap FusoinTM TribidTM mass spectrometer (Thermo-Fisher Scientific, San Jose, CA, USA) coupled with a UltiMate 3000 RSLC system (Dionex, Sunnyvale, CA, USA) and set with an EASY-Spray nano ion source (Thermo-Fisher San Jose, CA, USA). Each reconstitued sample (5 μL, formic acid 1%) was loaded into a nanoviper C18 trap column (3 μm, 75 μm × 2 cm, Dionex) at a 3 μL/min flow rate and separated on an EASY spray C18 RSLC column (2 µm, 75 µm × 25 cm), using a 100 min gradient with a flow rate of 300 nL/min, using set Solvent A (0.1% formic acid in LC-MS grade water) and Solvent B (0.1% formic acid in 90% acetonitrile). The gradient was as as follows: Solvent A for 10 min, 5–20% of Solvent B for 20 min, 25–95% of Solvent B for 5 min, 95% of Solvent B for 10 min, 95–5% of Solvent B for 5 min, and 8 min of Solvent A.
The mass spectrometer was operated in the positive ion mode with a nanospray voltage set at 3.5 kV and a source temperature at 280 °C. External calibrants included caffeine, Met-Arg-Phe-Ala (MRFA), and Ultramark 1621. Full MS scans were carried with 120,000 of resolution (FWHM), scan range of 350–1500 m/z and 10 ppm, and 0.2 Da mass tolerance. For MS2, the most abundant MS 1 were isolated with charge rates set between 2–5 with a mass range of 650–1200 m/z. Data acquisition was done using the software Xcalibur v4.0.27.10 (Thermo-Fisher Scientific). Raw data were procesed with Proteome Discovery v2.1 (PD, Thermo Fisher Scientific Inc.); then a subsequent search was carried with the Marcot search (v2.4.1, Matrix Science, Boston, MA, USA) within the revised data set Uniprot Viridiplantae (http://www.uniprot.org/proteomes/?query=viridiplantae+&sort=score, accessed on 12 March 2020) for Bacillus pumilus. Search parameteers included full-tryptic protease specificity and two missed cleavages. Fixed modifications included carbamidomethylation of cysteine and iTRAQ 4-plex N.terminal/lysine residues (+57.021 Da). Varibable modifications include methionine oxidaction (+15,995 Da) and deamidation in asparagine/glutamine (+0.984 Da). For the MS2 method, in which identification was performed at a high resolution in the Orbitrap, precursor ion tolerances and fragments of ±10 ppm and ±0.2 Da were applied.
Finnaly, the obtained proteins were also annotated using the COG-NCBI database for their grouping by function (http://www.ncbi.nlm.nih.gov/COG, accessed on 6 May 2021) [45]. Moreover, for the Kyoto Encyclopedia of Genes and Genomes (KASS-KEGG) to obtain the KEGG Ontology (the KO number sequence), the complete list was used for KEGG Maped to reconstruct the preducted pathways associated. (https://www.genome.jp/kegg/, accessed on 6 May 2021) [33,34,35,45,46].
2.7. Sequencing and Total Genome Assembly
Total DNA extraction was performed using a commercial kit (Promega, Woods Hollow Road, Madison, WI, USA), following the manufacturer’s specifications. The presence and integrity of DNA was confirmed using 0.8% agarose gel electrophoresis in a 10 mM tris-acetate buffer (pH 8) with 1 mM EDTA. DNA samples were also quantified, ensuring a concentration greater than 80 ng. The BP-UAMX genome was sequenced by Macrogen Inc., Seoul, Korea, using PacBio RS II technology, which generated libraries of 20 Kb [38].
De novo genome assembly was performed using three bioinformatic tools: Canu 1.8 [47], SMRTools 5.0.1, and Unicycler GPLv3 [48]. The quality of the assembly was evaluated using QUAST 5.0 [49]. Gene annotation was performed with Prokka GPLv3 [50]. Finally, the assembled genome was analyzed using the NCBI database.
2.8. Gene Grouping by Function and Metabolic Pathway Prediction
Gene groups were classified using the NCBI COGs database (http://www.ncbi.nlm.nih.gov/COG, accessed on 12 April 2021) [45], which was created for the phylogenetic classification of proteins obtained from complete genomes [45]. The metabolic pathway prediction was performed using the KEGG database (https://www.genome.jp/kegg/, accessed on 12 April 2021) [33,34,35,45,46].
2.9. Pan-Genome Analysis
The pan-genome was obtained using the software GET_HOMOLOGUES [51] and GET_PHYLOMARKERS [52]. First, 38 complete genomes of B. pumilus were randomly selected from the NCBI database. Following this, a pan-genome tree was built using 30 genomes of B. subtilis (phylogenetically related to B. pumilus) and 25 genomes of Lysinibacillus (an unrelated genus).
2.10. Statistical Analysis
All the experiments were performed in triplicate, results were expressed as the mean ± standard deviation. The significant differences were calculated using the Student’s t test, and the one-way analysis of variance (ANOVA) using the Tukey’s-test (p ≤ 0.05). All the calculations were determined using the NCSS 2007® software [53].
3. Results and Discussion
3.1. Resistance to Gastrointestinal Conditions
A combination of in vitro and in vivo studies is highly recommended for a better comprehension of GIT microbiota. However, in vitro studies are fully reproducible, rapid, less expensive, and do not involve ethical restrictions. Nonetheless, a variation in the experimental conditions may restrict data comparison within researchers [54,55,56]. Still, in vitro models are recommended for metabolic and biochemical experiments [57]. Therefore, this study was undertaken using an in vitro model based on the ability of B. pumilus UAMX (BP-UAMX) to survive at low pH or in the presence of bile salts that are related to the gastrointestinal transit from the gastric to the enteric sections, since the studied strain was previously isolated from the gut of overweight individuals. BP-UAMX isolates were cultivated after being exposed to bile salts (0.2 and 0.3% w/v) or to low pHs (2 and 3), according to the methodologies reported by Kristoffersen and Dressman et al., respectively [58,59]. The addition of bile salts induced an increase in microbial growth as shown in Figure 1a for the kinetic parameters ODmax (control: 0.222 ± 0.01; 0.2% w/v bile salts: 0.364 ± 0.02; 0.3% w/v bile salts: 0.517 ± 0.024) and microbial growth rate μmax (control: 0.773 ± 0.0114 h−1; 0.2% w/v bile salts: 0.563 ± 0.018 h−1; 0.3% w/v bile salts: 0.567 ± 0.029 h−1). Therefore, not only did BP-UAMX resist exposure to bile salts, as reported by Berthold-Pluta et al. [60], but also, its growth was stimulated under such conditions. Alternatively, we observed variations in acid tolerance response as an adaptive mechanism for bacterial protection. Upon exposure to low pH, BP-UAMX microbial growth was significantly reduced. Exposure to pH 3 for 2 h led to a decrease in microbial growth (Figure 1b), as indicated by the lower kinetic descriptors ODmax (0.180 ± 0.009) and μmax (0.433 ± 0.029 h−1), while 1 h of exposure to pH 2 induced total growth inhibition. Similar findings were reported by Berthold-Pluta for B. cereus [60]. However, Bacillus strains have shown higher survival response than other Bifidobacterium and Lactobacillus probiotic strains in simulated GIT conditions as reported by Soares et al. [61]. The data suggest the resistance of the studied strain to the GIT transit, but further studies need to be conducted as this simplified in vitro model has several restrictions in comparison to the in vivo conditions, where factors such as the GIT human physiology and peristaltic movements; the presence of gastric and pancreatic enzymes (proteases, amylases, and lipases), salts and hormones; as well as, the microbial capability for adhesion to the intestinal epithelium and their ability to proliferate in the presence of other microorganisms, are not considered [54,55,56].
Figure 1.
Kinetic growth for B. pumilus UAMX in the presence of (a) bile salts 0, 0.2 or 0.3% and (b) after exposure to pH (2, 3 and 7) for up to 2 h. Data were adjusted as indicated by the experimental procedures.
3.2. Analysis of Growth Kinetics Using Different Carbon Sources
The growth kinetics of BP-UAMX was analyzed using different carbon sources: Glucose, starch, inulin, carboxymethyl cellulose (CMC), and tributyrin. The collected data were adjusted to the Verhulst-Pearl logistic model (Equation (1)) for vegetative cell growth, while an inverted exponential growth model (Equation (2)) was used to adjust the death phase data. The adjustment correlation coefficients were greater than 0.95.
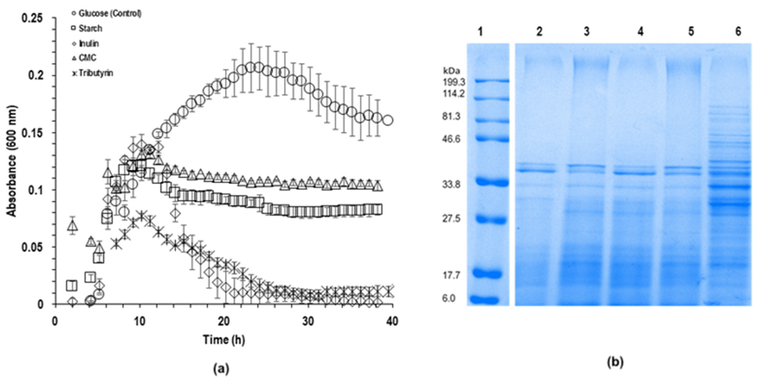
BP-UAMX was able to metabolize all the carbon sources, as demonstrated by the growth curves in Figure 2a. The highest biomass was achieved in the presence of glucose (ODmax = 0.201 ± 0.019), which could be explained by this carbon source being easier to metabolize. Cultivation in the presence of complex carbon sources such as CMC (ODmax = 0.172 ± 0.01), starch (ODmax = 0.140 ± 0.01) or inulin (ODmax = 0.137 ± 0.006) resulted in lower biomass yields. In addition, the stationary phase lasted up to 40 h when CMC and starch were used as carbon sources. However, the addition of tributyrin led to a reduction in microbial growth (ODmax = 0.07 ± 0.001), even though lipolytic activity was reported in strains of B. subtilis [62,63,64]. Both inulin and tributyrin induced rapid cellular differentiation after 10 h of cultivation. Mallozzi and Handtke et al. reported similar findings and claimed that variations in the carbon source type and concentration might affect sporulation and biomass yield [65,66]. Cell lysis has also been associated with the production of esterases by Bacillus strains with lipolytic activity [59,60,61,62]. Therefore, while observing the death of vegetative cells after 10 h of cultivation in the presence of inulin and tributyrin, the sporulation process is likely to be initiated as a survival response [1,14,67]. Furthermore, Mallozzi and Handtke et al. stated that sporulation is an alternative mechanism for B. pumilus cells to cope with exposure to non-glycolytic carbon sources and stress, which could be attributed to an adaptation process [62,63,65]. Mukhopadhya et al. claimed that spore formation could be a critical factor that explained the occurrence of highly specialized bacteria in the gut microbiota, such as the starch metabolizing Ruminicoccu brommi [68]. Therefore, the growth of BP-UAMX in the presence of tributyrin may be associated with an adaptation process, since the strain was isolated from the microbiota of individuals that are prone to consuming a diet rich in sugar and fat [4]. In addition, Ferrer et al. reported that the phylum Firmicutes was more abundant than Bacteroidetes in the gut microbiota of obese adolescents when compared to lean individuals of the same age group [69].
Figure 2.
Influence of the carbon source on growth and protein expression. (a) Kinetic growth for B. pumilus UAMX under different carbon sources; (b) tris-glicine SDS-PAGE 12% for soluble cytosolic protein fraction of B. pumilus UAMX [line 1 (Broad Range MW standard, BioRad, Hercules, CA, USA), line 2 (glucose), line 3 (starch), line 4 (inuline), line 5 (CMC), and line 6 (tributyrin)].
3.3. Electrophoretic Analysis of BP-UAMX Cultured with Different Carbon Sources
For each carbon source, a BP-UAMX culture sample was collected at the late logarithmic phase, followed by total protein extraction. The SDS-PAGE profiles of cultures grown in the presence of glucose, starch, CMC, and inulin showed a similar pattern (Figure 2b, lines 2–5).
The electrophoretic profiles were mainly composed of protein bands with a molecular weight lower than 46.6 kDa, with a variation in intensity. However, the protein profile of the culture grown in the presence of tributyrin (Figure 2b, line 6) was quite different, showing protein bands up to 114.2 kDa. This could be explained by a differential protein expression derived from various processes such as membrane fluidity, lysis, and sporulation encouraged under stressing conditions, which were more evident in the presence of tributyrin, since the source of fatty acids is an important effector within the metabolism regulation and adaptation [70,71,72,73]. The increase in expressed proteins associated with fatty acid metabolism may provide access to alternative carbon sources when glucose or other comparable carbohydrates are not available [70,71]. Therefore, exposing BP-UAMX to non-glycolytic carbon sources results in new alternatives that should be addressed in the future.
A total of 334 proteins were identified and grouped by biological process functionality and cellular location, 195 proteins were related to the cytosol and 272 related to the membrane. Table 1 shows the ontology of proteins expressed by Bacillus pumilus UAMX growth on the glucose carbon source control media. The list of proteins and KEGG-PATHWAY database can be found in the Supplementary File. Most identified functional proteins were associated with the transport of carbohydrates, energy production, as well as to metabolic and structural intermediaries for the increase of cellular biomass, that could be associated with the observed growth and cell production rates in Figure 2a. It is well known that the Bacillus genus produces several enzymes of industrial interest, but lipases are produced in small amounts that coincide with the obtained proteomic approach of few proteins associated with the lipid metabolism [72]. Lipids play a role as a source of energy and membrane fluidity for the optimal growth, sporulation, and survival of Bacillus.
Table 1.
Ontology of proteins expressed by Bacillus pumilus UAMX *.
The fatty acid biosynthesis is an energy consumer and highly regulated process that allows maintaining an exact membrane composition that varies with the physiological cell state and with the lipid source as a response to the environmental conditions, including the growth media, temperature, oxygen, and pH [73]. The Bacillus membrane has a high content of branched (12–17 carbons), unsaturated, and complex fatty acids and their biosinthesys is vital. For instance, Bacillus cereus is capable of integrating exogenous free fatty acids into the cell membrane as an adaptation response to low temperatures and anaerobiosis. Conversely, some exogenous lipids such as monoglycerides, linolenic, palmitic, and stearic acids can also inhibit the growth of vegetative cells by decreasing the intracellular ATP level. Therefore, exogenous lipids can induce a positive or negative effect on vegetative cells and spore germination [73,74,75,76]. Thus, the reduction of BP-UAMX vegetative cells after 10 h of cultivation in the presence of inulin and tributyrin, may be related to the initiation of the sporulation or as an adaptation response. Furthermore, the microbiota bioactivity and bioavailability of nutrients are also correlated to the interaction within the GIT microbiota pattern to support their physiological functions, which was not considered under this experimental model [75].
3.4. Genome Sequencing and Assembly
The entire genome of BP-UAMX was sequenced (https://www.ncbi.nlm.nih.gov/nuccore/CP058951.1/ accessed 12 April 2021), obtaining a read quality of 0.85, an N50 value greater than 19,050 and a library size of 982 Mb. Following this, genome assembly was performed using Canu, SMRTools, and Unicycler, which are software tools that are commonly used in single molecule real-time sequencing technologies (SMRT). The best assembly was obtained with Canu, which allowed us to close the whole genome of BP-UAMX in a single contig of 3.85 Mb (N50: 3.85 Mb). A total of 3192 coding sequences (CDS) were identified (24 rRNA, 81 tRNA, and 1 tmRNA), with a GC content of 42%. In particular, the GC content may vary between species and strains due to factors such as genome size, mutations, and environmental conditions including temperature, aerobiosis, and nitrogen availability [76,77,78,79,80,81].
3.5. Pan-Genome Analysis
Pan-genome includes the core and variable (or dispensable) genomes. The latter is comprised of genes shared by some strains of the same species as well as strain-specific genes. The BP-UAMX pan-genome (Figure 3a) showed a continuous increment (in genomes and gene families) as other B. pumilus genomes were incorporated, thereby indicating that the genome was still open.
Figure 3.
Plot of the estimation of pan- and core-genome sizes of Bacillus pumilus UAMX fitted with Tettelin function. (a) Pan-genome; (b) core-genome estimates; (c) Venn diagrams of core-genomes generated by BDBH, COG, and OMCL strategies.
An open pan-genome corresponds to a continuous increase in the number of genomes and gene families. In contrast, the core genomes diminished with the additional B. pumilus genomes (2104 essential genes, Figure 3b), which reflected the ability of the bacteria to obtain genetic material from other microorganisms of the same community, with the premise of global dispersibility [82]. Therefore, the open nature of BP-UAMX pan-genome is consistent with the hypothesis that bacterial species that inhabit a wide range of environments tend to possess an open pan-genome [61]. To the best of our knowledge, this was the first pan-genome analysis of a B. pumilus strain in which the core genomes were examined using BDBH, COGs, and OMCL strategies. The 2104 identified genes (Figure 3c) could thus represent the minimal set of critical genes that are essential for the survival of all B. pumilus analyzed in this study. Additionally, phylogenetic tree analysis (Figure 4) showed that BP-UAMX belonged to the B. pumilus group and was closely related to other strains isolated from human tissues, such as B. pumilus Bonn (Accession Number: LNCN00000000).
Figure 4.
Pangenome tree for B. pumilus UAMX. Built with the closed genomes of B. cereus, B. pumilus, and genus Lysinibacillus strains.
3.6. Gene Grouping by Function and Metabolic Pathway Prediction
Gene grouping according to the NCBI Clusters of Orthologous Groups (COGs) database (Table 2) indicated that a high percentage of genes were associated with general function prediction (8.81%) and metabolic function, such as amino acid metabolism and transport (9.8%), transcription (8.88%), translation, ribosomal structure, and biogenesis (7.25%), carbohydrate transport and metabolism (7.92%), and cell wall/membrane (5.76%). The predicted metabolic pathways were obtained using the Kyoto Encyclopedia of Genes and Genomes (KEGG) database. In general, most genes were associated with starch and sucrose metabolism, gluconeogenesis, tricarboxylic acid cycle, the pentose phosphate pathway, and pyruvate metabolism. Moreover, we identified genes that were associated with fatty acid degradation pathways, which agreed with the growth kinetics and protein profile results using tributyrin as a carbon source. Thus, BP-UAMX possesses genes encoding enzymes that allow the strain to metabolize alternative carbon sources to which it might be exposed in the GIT. Additionally, genes associated with the antibiotic resistance for vancomycin (vanR-A, vanR-F, vanR-G, vanR-I) and other antibiotics (blaBPU, cat86, fosB, parY, sfrG, and suI4) were identified using the Comprehensive Antibiotic Resistance database, even though only one beta-Lactam resistance protein related to the inhibition of peptidoglycan biosynthesis was detected in the proteomic approach (Table 1 and Supplementary Materials).
Table 2.
Average COG categories and proteins of Bacillus pumilus UAMX.
4. Conclusions
BP-UAMX isolated from the gastrointestinal tract of overweight individuals showed an adaptability to simulated GIT conditions, indicating that this strain of B. pumilus could survive in the gut. These findings reinforce the hypothesis that BP-UAMX could be a member of the GIT colonizing microbiota. Data from the growth kinetics, protein profile, gene grouping, and metabolic pathway prediction revealed that BP-UAMX could metabolize alternative carbon sources, such as starch, CMC, and lipids, that could be of great importance in the study of the GIT microbiota, which may be related to the effects of high-fat diets, since the production of monosaccharides and short chain fatty acids (SCFA) derived from the metabolism of GUT microbiota can provide additional energy to the host. Moreover, the host has benefits such as appetite and body mass control, which is provided by butyric acid.
This study represented a first approach to understanding the physiology of BP-UAMX. Although the purpose of this study was to assess the resistance of BP-UAMX to simulated gastric conditions, the genomic sequencing and bioinformatic analysis revealed alternative metabolic pathways in the UAMX strain that require further study.
Supplementary Materials
The following are available online at https://www.mdpi.com/article/10.3390/microorganisms9051076/s1, Table S1: Ontology KASS KEGG analysis of Bacillus pumilus UAMX.
Author Contributions
Conceptualization, E.P.-A. and A.A.-E.; methodology, J.L.R.-C.; software and bioinformatic analysis, L.L.-A.; formal analysis, J.L.R.-C.; writing—original draft preparation, J.L.R.-C.; writing—review and editing, J.L.R.-C., A.A.-E., L.L.-A. and E.P.-A.; project administration, E.P.-A. All authors have read and agreed to the published version of the manuscript.
Funding
This research received no external funding apart from Universidad Autónoma Metropolitana.
Institutional Review Board Statement
The study was conducted in accordance with the Declaration of Helsinki, and the project CEI 038.18 was approved in July 2018 by the Ethics Committee, Division of Biological and Health Sciences from de Universidad Autónoma Metropolitana.
Informed Consent Statement
Informed consent was obtained from all subjects involved in the study.
Data Availability Statement
All data associated with this manuscript are given in the manuscript such as in the Supplementary Material the entire genome of BP-UAMX was sequenced and deposited in GenBank (NCBI) with the assigned accession number: “Bacillus pumilus str. UAMX isolate”: CP058951 (https://www.ncbi.nlm.nih.gov/nuccore/CP058951.1/, accessed on 12 April 2021).
Acknowledgments
We acknowledge Alejandro Azaola (Departamento de Sistemas Biológicos, UAM-X) for providing the studied strain, the Unidad de Análisis Bioinformáticos del Centro de Ciencias Genómicas, UNAM for the bioinformatic support, and Eliel Ruiz-May for the proteomic analysis (Red de Estudios Moleculares Avanzados, Instituto de Ecología A.C., Cluster Científico y Tecnológico BioMimic®, Xalapa, Mexico). In addition, Jose Luis Reyes Cortes thanks CONACyT, Mexico, for the scholarship grant for doctoral studies (Doctorado en Biotecnología, UAM).
Conflicts of Interest
The authors declare no conflict of interest.
References
- Fakhry, S.; Sorrentini, I.; Ricca, E.; De Felice, M.; Baccigalupi, L. Characterization of spore forming Bacilli isolated from the human gastrointestinal tract. J. Appl. Microbiol. 2008, 105, 2178–2186. [Google Scholar] [CrossRef]
- Hong, H.A.; To, E.; Fakhry, S.; Baccigalupi, L.; Ricca, E.; Cutting, S.M. Defining the natural habitat of Bacillus spore-formers. Res. Microbiol. 2009, 160, 375–379. [Google Scholar] [CrossRef]
- Rajilić-Stojanović, M.; De Vos, W.M. The first 1000 cultured species of the human gastrointestinal microbiota. FEMS Microbiol. Rev. 2014, 38, 996–1047. [Google Scholar] [CrossRef]
- Reyes, L.M.; Vázquez, R.G.; Arroyo, S.M.C.; Avalos, A.M.; Castillo, P.A.R.; Pérez, D.A.C.; Terrones, I.R.; Ibáñez, N.R.; Magallanes, M.M.R.; Langella, P.; et al. Correlation between diet and gut bacteria in a population of young adults. Int. J. Food Sci. Nutr. 2016, 67, 470–478. [Google Scholar] [CrossRef]
- Alou, M.T.; Fournier, P.-E.; Raoult, D. “Bacillus mediterraneensis”, a new bacterial species isolated from human gut microbiota. New Microbes New Infect. 2016, 12, 86–87. [Google Scholar] [CrossRef] [PubMed]
- Lopetuso, L.R.; Scaldaferri, F.; Franceschi, F.; Gasbarrini, A. Bacillus clausii and gut homeostasis: State of the art and future perspectives. Expert Rev. Gastroenterol. Hepatol. 2016, 10, 943–948. [Google Scholar] [CrossRef]
- Allen, A. Structure and function of gastrointestinal mucus. In Physiology of the Gastrointestinal Tract; Johnson, L.R., Ed.; Raven Press: New York, NY, USA, 1981; Chapter 22. [Google Scholar] [CrossRef]
- Charteris, W.P.; Kelly, P.M.; Morelli, L.; Collins, J.K. Development and application of an In Vitro methodology to determine the transit tolerance of potentially probiotic Lactobacillus and Bifidobacterium species in the upper human gastrointestinal tract. J. Appl. Microbiol. 1998, 84, 759–768. [Google Scholar] [CrossRef]
- Tam, N.K.M.; Uyen, N.Q.; Hong, H.A.; Duc, L.H.; Hoa, T.T.; Serra, C.R.; Henriques, A.O.; Cutting, S.M. The Intestinal Life Cycle of Bacillus subtilis and Close Relatives. J. Bacteriol. 2006, 188, 2692–2700. [Google Scholar] [CrossRef]
- Ghelardi, E.; Celandroni, F.; Salvetti, S.; Gueye, S.; Lupetti, A.; Senesi, S. Survival and persistence of Bacillus clausii in the human gastrointestinal tract following oral administration as spore-based probiotic formulation. J. Appl. Microbiol. 2015, 119, 552–559. [Google Scholar] [CrossRef]
- Mingmongkolchai, S.; Panbangred, W. Bacillusprobiotics: An alternative to antibiotics for livestock production. J. Appl. Microbiol. 2018, 124, 1334–1346. [Google Scholar] [CrossRef]
- Marzorati, M.; Abbeele, P.V.D.; Bubeck, S.S.; Bayne, T.; Krishnan, K.; Young, A.; Mehta, D.; DeSouza, A. Bacillus subtilis HU58 and Bacillus coagulans SC208 Probiotics Reduced the Effects of Antibiotic-Induced Gut Microbiome Dysbiosis in An M-SHIME® Model. Microorganisms 2020, 8, 1028. [Google Scholar] [CrossRef] [PubMed]
- Sun, W.-S.; Lee, Y.-J.; Tsai, K.-N.; Ho, Y.-H.; Fang, S.-B. Probiotic Cocktail Identified by Microbial Network Analysis Inhibits Growth, Virulence Gene Expression, and Host Cell Colonization of Vancomycin-Resistant Enterococci. Microorganisms 2020, 8, 816. [Google Scholar] [CrossRef]
- Lee, N.-K.; Kim, W.-S.; Paik, H.-D. Bacillus strains as human probiotics: Characterization, safety, microbiome, and probiotic carrier. Food Sci. Biotechnol. 2019, 28, 1297–1305. [Google Scholar] [CrossRef]
- Elshaghabee, F.M.F.; Rokana, N.; Gulhane, R.D.; Sharma, C.; Panwar, H. Bacillus As Potential Probiotics: Status, Concerns, and Future Perspectives. Front. Microbiol. 2017, 8, 1490. [Google Scholar] [CrossRef]
- Vo, T.T.-T.; Park, J.-H. Characteristics of Potential Gamma-Aminobutyric Acid-Producing Bacteria Isolated from Korean and Vietnamese Fermented Fish Products. J. Microbiol. Biotechnol. 2019, 29, 209–221. [Google Scholar] [CrossRef]
- Lee, N.-K.; Son, S.-H.; Jeon, E.B.; Jung, G.H.; Lee, J.-Y.; Paik, H.-D. The prophylactic effect of probiotic Bacillus polyfermenticus KU3 against cancer cells. J. Funct. Foods 2015, 14, 513–518. [Google Scholar] [CrossRef]
- Nannan, C.; Vu, H.Q.; Gillis, A.; Caulier, S.; Nguyen, T.T.T.; Mahillon, J. Bacilysin within the Bacillus subtilis group: Gene prevalence versus antagonistic activity against Gram-negative foodborne pathogens. J. Biotechnol. 2021, 327, 28–35. [Google Scholar] [CrossRef] [PubMed]
- De Angelis, M.; Siragusa, S.; Vacca, M.; Di Cagno, R.; Cristofori, F.; Schwarm, M.; Pelzer, S.; Flügel, M.; Speckmann, B.; Francavilla, R.; et al. Selection of Gut-Resistant Bacteria and Construction of Microbial Consortia for Improving Gluten Digestion under Simulated Gastrointestinal Conditions. Nutrients 2021, 13, 992. [Google Scholar] [CrossRef]
- Jang, C.; Oh, J.; Lim, J.; Kim, H.; Kim, J.-S. Fermented Soy Products: Beneficial Potential in Neurodegenerative Diseases. Foods 2021, 10, 636. [Google Scholar] [CrossRef]
- Bai, L.; Gao, M.; Cheng, X.; Kang, G.; Cao, X.; Huang, H. Engineered butyrate-producing bacteria prevents high fat diet-induced obesity in mice. Microb. Cell Fact. 2020, 19, 94. [Google Scholar] [CrossRef]
- Turnbaugh, P.J.; Ley, R.E.; Mahowald, M.A.; Magrini, V.; Mardis, E.R.; Gordon, J.I. An obesity-associated gut microbiome with increased capacity for energy harvest. Nat. Cell Biol. 2006, 444, 1027–1031. [Google Scholar] [CrossRef]
- Blaut, M. Gut microbiota and energy balance: Role in obesity. Proc. Nutr. Soc. 2015, 74, 227–234. [Google Scholar] [CrossRef]
- Leser, T.; Knarreborg, A.; Worm, J. Germination and outgrowth of Bacillus subtilis and Bacillus licheniformis spores in the gastrointestinal tract of pigs. J. Appl. Microbiol. 2008, 104, 1025–1033. [Google Scholar] [CrossRef] [PubMed]
- Pop, M. Genome assembly reborn: Recent computational challenges. Brief. Bioinform. 2009, 10, 354–366. [Google Scholar] [CrossRef] [PubMed]
- Marchesi, J.R. Human distal gut microbiome. Environ. Microbiol. 2011, 13, 3088–3102. [Google Scholar] [CrossRef] [PubMed]
- Narzisi, G.; Mishra, B. Comparing De Novo Genome Assembly: The Long and Short of It. PLoS ONE 2011, 6, e19175. [Google Scholar] [CrossRef]
- Rodríguez-Santiago, B.; Armengol, L. Tecnologías de secuenciación de nueva generación en diagnóstico genético pre-y postnatal. Diagn. Prenat. 2012, 23, 56–66. [Google Scholar] [CrossRef]
- Aguilar-Bultet, L.; Falquet, L. Secuenciación y ensamblaje de novo de genomas bacterianos: Una alternativa para el estudio de nuevos patógenos. Rev. Salud. Anim. 2015, 37, 125–132. [Google Scholar]
- Rhoads, A.; Au, K.F. PacBio Sequencing and Its Applications. Genom. Proteom. Bioinform. 2015, 13, 278–289. [Google Scholar] [CrossRef]
- Tatusov, R.L.; Natale, D.A.; Garkavtsev, I.V.; Tatusova, T.A.; Shankavaram, U.T.; Rao, B.S.; Kiryutin, B.; Galperin, M.Y.; Fedorova, N.D.; Koonin, E.V. The COG database: New developments in phylogenetic classification of proteins from complete genomes. Nucleic Acids Res. 2001, 29, 22–28. [Google Scholar] [CrossRef]
- Li, L.; Stoeckert, C.J.; Roos, D.S. OrthoMCL: Identification of Ortholog Groups for Eukaryotic Genomes. Genome Res. 2003, 13, 2178–2189. [Google Scholar] [CrossRef] [PubMed]
- KAAS-KEGG Automatic Annotation Server. Available online: https://www.genome.jp/kegg/kaas/ (accessed on 6 May 2021).
- Moriya, Y.; Itoh, M.; Okuda, S.; Yoshizawa, A.C.; Kanehisa, M. KAAS: An automatic genome annotation and pathway reconstruction server. Nucleic Acids Res. 2007, 35, W182–W185. [Google Scholar] [CrossRef]
- Tokimatsu, T.; Kotera, M.; Goto, S.; Kanehisa, M. KEGG and GenomeNet Resources for Predicting Protein Function from Omics Data Including KEGG PLANT Resource. In Protein Function Prediction for Omics Era; Springer: Dordrecht, The Netherlands, 2011; pp. 271–288. [Google Scholar] [CrossRef]
- Medini, D.; Donati, C.; Tettelin, H.; Masignani, V.; Rappuoli, R. The microbial pan-genome. Curr. Opin. Genet. Dev. 2005, 15, 589–594. [Google Scholar] [CrossRef]
- Page, A.J.; Cummins, C.A.; Hunt, M.; Wong, V.K.; Reuter, S.; Holden, M.T.G.; Fookes, M.; Falush, D.; Keane, J.A.; Parkhill, J. Roary: Rapid large-scale prokaryote pan genome analysis. Bioinformatics 2015, 31, 3691–3693. [Google Scholar] [CrossRef] [PubMed]
- Vernikos, G.; Medini, D.; Riley, D.R.; Tettelin, H. Ten years of pan-genome analyses. Curr. Opin. Microbiol. 2015, 23, 148–154. [Google Scholar] [CrossRef]
- Hernández-Alcántara, A.M.; Wacher, C.; Llamas, M.G.; López, P.; Pérez-Chabela, M.L. Probiotic properties and stress response of thermotolerant lactic acid bacteria isolated from cooked meat products. Int. Food Res. J. 2018, 91, 249–257. [Google Scholar] [CrossRef]
- Gatto, M.; Muratori, S.; Rinaldi, S. A functional interpretation of the logistic equation. Ecol. Model. 1988, 42, 155–159. [Google Scholar] [CrossRef]
- Hintze, J.L. User’s Guide V. Available online: https://www.ncss.com/wp-content/uploads/2012/09/NCSSUG5.pdf (accessed on 12 April 2021).
- Bradford, M.M. A rapid and sensitive method for the quantitation of microgram quantities of protein utilizing the principle of protein-Dye binding. Anal. Biochem. 1976, 72, 248–254. [Google Scholar] [CrossRef]
- Laemmli, U.K. Cleavage of structural proteins during the assembly of the head of bacteriophage T4. Nature 1970, 227, 680–685. [Google Scholar] [CrossRef]
- Pérez-Acosta, J.A.; Martínez-Porchas, M.; Elizalde-Contreras, J.M.; Leyva, J.M.; Ruiz-May, E.; Gollas-Galván, T.; Martínez-Córdova, L.R.; Huerta-Ocampo, J.Á. Proteomic profiling of integral membrane proteins. Microbiol. Immunol. 2018, 62, 14–23. [Google Scholar] [CrossRef]
- Tatusov, R.L.; Galperin, M.Y.; Natale, D.A.; Koonin, E.V. The COG database: A tool for genome-scale analysis of protein functions and evolution. Nucleic Acids Res. 2000, 28, 33–36. [Google Scholar] [CrossRef]
- Aoki-Kinoshita, K.F. Overview of KEGG applications to omics-related research. J. Pestic. Sci. 2006, 31, 296–299. [Google Scholar] [CrossRef][Green Version]
- Koren, S.; Walenz, B.P.; Berlin, K.; Miller, J.R.; Bergman, N.H.; Phillippy, A.M. Canu: Scalable and accurate long-read assembly via adaptive k-mer weighting and repeat separation. Genome Res. 2017, 27, 722–736. [Google Scholar] [CrossRef] [PubMed]
- Wick, R.R.; Judd, L.M.; Gorrie, C.L.; Holt, K.E. Unicycler: Resolving bacterial genome assemblies from short and long sequencing reads. PLoS Comput. Biol. 2017, 13, e1005595. [Google Scholar] [CrossRef] [PubMed]
- Gurevich, A.; Saveliev, V.; Vyahhi, N.; Tesler, G. QUAST: Quality assessment tool for genome assemblies. Bioinformatics 2013, 29, 1072–1075. [Google Scholar] [CrossRef] [PubMed]
- Seemann, T. Prokka: Rapid Prokaryotic Genome Annotation. Bioinformatics 2014, 30, 2068–2069. [Google Scholar] [CrossRef]
- Contreras-Moreira, B.; Vinuesa, P. GET_HOMOLOGUES, a Versatile Software Package for Scalable and Robust Microbial Pangenome Analysis. Appl. Environ. Microbiol. 2013, 79, 7696–7701. [Google Scholar] [CrossRef]
- Vinuesa, P.; Ochoa-Sánchez, L.E.; Contreras-Moreira, B. GET_PHYLOMARKERS, a Software Package to Select Optimal Orthologous Clusters for Phylogenomics and Inferring Pan-Genome Phylogenies, Used for a Critical Geno-Taxonomic Revision of the Genus Stenotrophomonas. Front. Microbiol. 2018, 9, 771. [Google Scholar] [CrossRef]
- NCSS 2007 Update (Version 1). Available online: https://www.ncss.com/download/ncss/updates/ncss-2007-v1/ (accessed on 17 January 2021).
- Villarreal, M.L.M.; Padilha, M.; Vieira, A.D.S.; Franco, B.D.G.D.M.; Martinez, R.C.R.; Saad, S.M.I. Advantageous Direct Quantification of Viable Closely Related Probiotics in Petit-Suisse Cheeses under In Vitro Gastrointestinal Conditions by Propidium Monoazide-qPCR. PLoS ONE 2013, 8, e82102. [Google Scholar] [CrossRef]
- Li, C.; Yu, W.; Wu, P.; Chen, X.D. Current in vitro digestion systems for understanding food digestion in human upper gastrointestinal tract. Trends Food Sci. Technol. 2020, 96, 114–126. [Google Scholar] [CrossRef]
- Stasiak-Różańska, L.; Berthold-Pluta, A.; Pluta, A.; Dasiewicz, K.; Garbowska, M. Effect of Simulated Gastrointestinal Tract Conditions on Survivability of Probiotic Bacteria Present in Commercial Preparations. Int. J. Environ. Res. Public Health 2021, 18, 1108. [Google Scholar] [CrossRef]
- Veisseire, P.; Bonnet, M.; Saraoui, T.; Poupet, C.; Camarès, O.; Gachinat, M.; Callon, C.; Febvre, G.; Chassard, C.; Bornes, S. Investigation into In Vitro and In Vivo Caenorhabditis elegans Models to Select Cheese Yeasts as Probiotic Candidates for their Preventive Effects against Salmonella Typhimurium. Microorganisms 2020, 8, 922. [Google Scholar] [CrossRef]
- Kristoffersen, S.M.; Ravnum, S.; Tourasse, N.J.; Økstad, O.A.; Kolstø, A.B.; Davies, W. Low concentrations of bile salts induce stress responses and reduce motility in Bacillus cereus ATCC 14570. J. Bacteriol. 2007, 189, 5302–5313. [Google Scholar] [CrossRef]
- Dressman, J.B.; Berardi, R.R.; Dermentzoglou, L.C.; Russell, T.L.; Schmaltz, S.P.; Barnett, J.L.; Jarvenpaa, K.M. Upper Gastrointestinal (GI) pH in Young, Healthy Men and Women. Pharm. Res. 1990, 7, 756–761. [Google Scholar] [CrossRef]
- Berthold-Pluta, A.; Pluta, A.; Garbowska, M. The effect of selected factors on the survival of Bacillus cereus in the human gastrointestinal tract. Microb. Pathog. 2015, 82, 7–14. [Google Scholar] [CrossRef] [PubMed]
- Soares, M.B.; Martinez, R.C.; Pereira, E.P.; Balthazar, C.F.; Cruz, A.G.; Ranadheera, C.S.; Sant’Ana, A.S. The resistance of Bacillus, Bifidobacterium, and Lactobacillus strains with claimed probiotic properties in different food matrices exposed to simulated gastrointestinal tract conditions. Food Res. Int. 2019, 125, 108542. [Google Scholar] [CrossRef] [PubMed]
- Dartois, V.; Coppée, J.Y.; Colson, C.; Baulard, A. Genetic analysis and overexpression of lipolytic activity in Bacillus subtilis. Appl. Environ. Microbiol. 1994, 60, 1670–1673. [Google Scholar] [CrossRef] [PubMed]
- Eggert, T.; Van Pouderoyen, G.; Dijkstra, B.W.; Jaeger, K.-E. Lipolytic enzymes LipA and LipB from Bacillus subtilis differ in regulation of gene expression, biochemical properties, and three-dimensional structure. FEBS Lett. 2001, 502, 89–92. [Google Scholar] [CrossRef]
- Ertuğrul, S.; Dönmez, G.; Takaç, S. Isolation of lipase producing Bacillus sp. from olive mill wastewater and improving its enzyme activity. J. Hazard. Mater. 2007, 149, 720–724. [Google Scholar] [CrossRef]
- Mallozzi, M.; Viswanathan, V.; Vedantam, G. Spore-forming Bacilli and Clostridia in human disease. Future Microbiol. 2010, 5, 1109–1123. [Google Scholar] [CrossRef]
- Handtke, S.; Albrecht, D.; Otto, A.; Becher, D.; Hecker, M.; Voigt, B. The Proteomic Response of Bacillus pumilus Cells to Glucose Starvation. Proteomics 2018, 18, 1700109. [Google Scholar] [CrossRef]
- Lima-Pérez, J.; López-Pérez, M.; Viniegra-González, G.; Loera, O. Solid-state fermentation of Bacillus thuringiensis var kurstaki HD-73 maintains higher biomass and spore yields as compared to submerged fermentation using the same media. Bioprocess Biosyst. Eng. 2019, 42, 1527–1535. [Google Scholar] [CrossRef] [PubMed]
- Mukhopadhya, I.; Moraïs, S.; Laverde-Gomez, J.; Sheridan, P.O.; Walker, A.W.; Kelly, W.; Klieve, A.V.; Ouwerkerk, D.; Duncan, S.H.; Louis, P.; et al. Sporulation capability and amylosome conservation among diverse human colonic and rumen isolates of the keystone starch-degrader Ruminococcus bromii. Environ. Microbiol. 2018, 20, 324–336. [Google Scholar] [CrossRef] [PubMed]
- Ferrer, M.; Ruiz, A.; Lanza, F.; Haange, S.-B.; Oberbach, A.; Till, H.; Bargiela, R.; Campoy, C.; Segura, M.T.; Richter, M.; et al. Microbiota from the distal guts of lean and obese adolescents exhibit partial functional redundancy besides clear differences in community structure. Environ. Microbiol. 2013, 15, 211–226. [Google Scholar] [CrossRef]
- Koburger, T.; Weibezahn, J.; Bernhardt, J.; Homuth, G.; Hecker, M. Genome-wide mRNA profiling in glucose starved Bacillus subtilis cells. Mol. Genet. Genom. 2005, 274, 1–12. [Google Scholar] [CrossRef]
- Voigt, B.; Hoi, L.T.; Jürgen, B.; Albrecht, D.; Ehrenreich, A.; Veith, B.; Evers, S.; Maurer, K.-H.; Hecker, M.; Schweder, T. The glucose and nitrogen starvation response of Bacillus licheniformis. Proteomics 2007, 7, 413–423. [Google Scholar] [CrossRef] [PubMed]
- Song, P.; Chen, C.; Tian, Q.; Lin, M.; Huang, H.; Li, S. Two-stage oxygen supply strategy for enhanced lipase production by Bacillus subtilis based on metabolic flux analysis. Biochem. Eng. J. 2013, 71, 1–10. [Google Scholar] [CrossRef]
- Diomandã, S.; Nguyen-The, C.; Guinebretiã, M.H.; Broussolle, V.; Brillard, J. Role of fatty acids in Bacillus environmental adaptation. Front. Microbiol. 2015, 6, 813. [Google Scholar] [CrossRef]
- Lee, J.-Y.; Kim, Y.-S.; Shin, D.-H. Antimicrobial Synergistic Effect of Linolenic Acid and Monoglyceride against Bacillus cereus and Staphylococcus aureus. J. Agric. Food Chem. 2002, 50, 2193–2199. [Google Scholar] [CrossRef]
- Vamanu, E.; Gatea, F. Correlations between Microbiota Bioactivity and Bioavailability of Functional Compounds: A Mini-Review. Biomedicines 2020, 8, 39. [Google Scholar] [CrossRef]
- McEwan, C.E.A.; Gatherer, D.; McEwan, N.R. Nitrogen-fixing aerobic bacteria have higher genomic GC content than non-fixing species within the same genus. Hereditas 2004, 128, 173–178. [Google Scholar] [CrossRef]
- Rocha, E.P.; Danchin, A. Base composition bias might result from competition for metabolic resources. Trends Genet. 2002, 18, 291–294. [Google Scholar] [CrossRef]
- Woolfit, M.; Bromham, L. Increased Rates of Sequence Evolution in Endosymbiotic Bacteria and Fungi with Small Effective Population Sizes. Mol. Biol. Evol. 2003, 20, 1545–1555. [Google Scholar] [CrossRef] [PubMed]
- Bentley, S.D.; Parkhill, J. Comparative Genomic Structure of Prokaryotes. Annu. Rev. Genet. 2004, 38, 771–791. [Google Scholar] [CrossRef]
- Foerstner, K.U.; Von Mering, C.; Hooper, S.D.; Bork, P. Environments shape the nucleotide composition of genomes. EMBO Rep. 2005, 6, 1208–1213. [Google Scholar] [CrossRef]
- Musto, H.; Naya, H.; Zavala, A.; Romero, H.; Alvarez-Valin, F.; Bernardi, G. Genomic GC level, optimal growth temperature, and genome size in prokaryotes. Biochem. Biophys. Res. Commun. 2006, 347, 1. [Google Scholar] [CrossRef] [PubMed]
- Tettelin, H.; Riley, D.; Cattuto, C.; Medini, D. Comparative genomics: The bacterial pan-genome. Curr. Opin. Microbiol. 2008, 11, 472–477. [Google Scholar] [CrossRef]
Publisher’s Note: MDPI stays neutral with regard to jurisdictional claims in published maps and institutional affiliations. |
© 2021 by the authors. Licensee MDPI, Basel, Switzerland. This article is an open access article distributed under the terms and conditions of the Creative Commons Attribution (CC BY) license (https://creativecommons.org/licenses/by/4.0/).



