Simple Summary
Covert mortality nodavirus (CMNV) is a newly discovered aquatic animal virus in recent years. Here, we detected CMNV positive in farmed giant freshwater prawn (Macrobrachium rosenbergii) from Jiangsu, China by TaqMan RT-qPCR. Meanwhile, in situ hybridization and histological analysis indicated that the intestine, gill, hepatopancreas and ovary of giant freshwater prawn were the target organs of CMNV. In addition, a large number of CMNV-like particles were observed in the hepatopancreas and gill tissues under transmission electron microscopy. Overall, our study confirms that giant freshwater prawn is a susceptible host of CMNV, further expands the known host range of CMNV, and provided a new direction for further investigation and exploration of multiple pathogenic factors of giant freshwater prawn disease.
Abstract
Covert mortality nodavirus (CMNV), from the Nodaviridae family, is characterized by its unique cross-species transmission and wide epidemic distribution features. In this study, Macrobrachium rosenbergii was proved to be infected naturally by CMNV, which further expand the known host range of CMNV. Here, 61.9% (70/113) of the M. rosenbergii samples collected from Jiangsu Province were CMNV positive in the TaqMan RT-qPCR assay, which indicated the high prevalence of CMNV in M. rosenbergii. Meanwhile, the sequences of CMNV RdRp gene cloned from M. rosenbergii were highly identical to that of the original CMNV isolate from Penaeus vannamei. In situ hybridization (ISH) and histology analysis indicated that the intestine, gill, hepatopancreas and ovary were the targeted organs of CMNV infection in M. rosenbergii, and obvious histopathological damage including vacuolation and karyopyknosis were occurred in the above organs. Notably, the presence of CMNV in gonad alerted its potential risk of vertical transmission in M. rosenbergii. Additionally, numerous CMNV-like particles could be observed in tissues of hepatopancreas and gill under transmission electron microscopy. Collectively, our results call for concern of the potential negative impact of the spread and prevalence of CMNV in M. rosenbergii on its aquaculture, as well as providing a renewed orientation for further investigation and exploration of the diverse pathogenic factors causing M. rosenbergii diseases.
1. Introduction
Aquatic products are widely demanded and their production represents a part of economic growth, but their economic value will be reduced by aquaculture diseases. Diseases of aquatic products, such as viral infections of aquatic animals, have become more problematic and caused significant economic losses to the aquaculture industry [1]. Covert mortality nodavirus (CMNV), a shrimp pathogenic agent from the Nodaviridae family, has proved to possess a unique cross-species transmission feature [2,3]. While the vast majority of known viruses possess strong host specificity [4,5], owing to a variety of epidemiological, ecological and genetic variation factors, several emerging viruses occasionally conquer the bottleneck of the interspecies barriers and infect new hosts [6,7,8]. Furthermore, cross-species transmission of RNA viruses more easily occurred as their own internal instability and easy variation [9,10]. As a single-stranded RNA virus isolated from shrimp [2], CMNV had been proved that its host range performed extremely broad [11]. In addition to shrimp, it could also naturally infect other crustaceans (such as a hermit crab Diogenes edwardsii, a ghost crab Lepidopa benedicti and a fiddler crab Tubuca arcuata) [12] and several teleostean fishes, including goldfish Carassius auratus [13], Japanese flounder Paralichthys olivaceus [14], gobiid fish Mugilogobius abei [15], zebrafish Danio rerio [16], and small yellow croaker Larimichthys polyactis [17]. Moreover, sea cucumber (Apostichopus japonicus), a species of Echinodermata, has been confirmed as one of the susceptive hosts of CMNV [3,11]. Despite these advances in CMNV’s host range, facing such extraordinary capacity of cross-host transmission of CMNV, its host spectrum still needs our further investigation to extend our understanding of the potential risks of aquaculture caused by CMNV.
Macrobrachium rosenbergii, also named the giant freshwater prawn, is one of the vital species in many freshwater ecosystems, and also a valuable crustacean species possessing high economic value in Asian aquaculture [18,19,20]. Some viruses emerged that cause serious economic losses in the intensified aquacultured M. rosenbergii [21]. For instance, Macrobrachium rosenbergii nodavirus (MrNV) along with extra small virus (XSV), decapod iridescent virus 1 (DIV1), and white spot syndrome virus (WSSV) could all infect M. rosenbergii and cause serious diseases [18,22]. M. rosenbergii was once suspected to be one of susceptive hosts of CMNV when it was detected as CMNV positive in the RT-LAMP assay [23]. Up to now, evidence of natural infection of CMNV in M. rosenbergii, or whether it can be infected by CMNV or not is still needed for further investigation.
Here, the present study was designed to accurately investigate the infection and prevalence of CMNV in M. rosenbergii and analyzed the histopathological changes caused by CMNV using TaqMan RT-qPCR, histopathology, in situ hybridization (ISH) and ultrastructural observation assays. The results will be helpful for the farmers to strength the prevention and control of CMNV infection in M. rosenbergii and to avoid the potential huge economic losses caused by the widespread prevalence of CMNV.
2. Materials and Methods
2.1. Sample Collection
A total of 113 live M. rosenbergii samples (body length 12–14 cm) were collected from local farmed ponds in Gaoyou, Jiangsu Province at the time periods of 26 June, 17–25 September, and 18–19 October 2021. Additionally, the samples collected on 26 June 2021 exhibited disease signs such as abnormal swimming, empty intestine and shell softening. In the progress of sampling, the hepatopancreas, intestine, gill and gonad tissues of these prawns were sampled and cut into three parts: one part was fixed in 2.5% glutaraldehyde solution (Solarbio, Beijing, China) for transmission electron microscopic (TEM) examination; the second part was fixed in 4% paraformaldehyde solution (Sinopharm, Beijing, China) for ISH detection and histopathological analysis; the third part was chopped up and kept in RNAstore solution (Tiangen, Beijing, China) and 95% ethanol (Sinopharm, Beijing, China) for molecular pathogen identification.
2.2. Total RNA and DNA Purification
Total RNA was prepared from RNAstore-preserved M. rosenbergii tissues (approximately 50 mg) using the commercial RNA extraction kit (Takara, Dalian, China) following the manufacturer’s instructions. The detailed protocols of the extraction of the tissue RNA were performed as previously described [11].
Total DNA was extracted from M. rosenbergii tissues (approximately 50 mg) preserved in 95% ethanol using the TIANamp Marine Animal DNA Kit (Tiangen Biotechnology, Beijing, China) according to the manufacturer’s instructions.
2.3. Detection of Pathogens in M. rosenbergii Samples
The extracted total RNAs or DNAs of M. rosenbergii were used as PCR detection templates to detect the nine common pathogens, including white spot syndrome virus (WSSV), infectious hypodermal and hematopoietic necrosis virus (IHHNV), Enterocytozoon hepatopenaei (EHP), acute hepatopancreatic necrosis disease causing Vibrio (VpAHPND), decapod iridescent virus 1 (DIV1), Taura syndrome virus (TSV), yellow head virus 1 (YHV-1), infectious myonecrosis virus (IMNV), and covert mortality nodavirus (CMNV), according to the OIE Manual and previous reported methods [18,24]. Eyestalks, gills, heart, gonads, intestines, muscles and appendages were assayed for CMNV load in tissues of M. rosenbergii by TaqMan RT-qPCR. The above PCR primer sequences, probe sequences and procedures for CMNV are listed in Tables S1 and S2.
2.4. Sequencing of CMNV Amplicons and Their Phylogenetic Analysis
RNA1 of CMNV was amplified and cloned by using the PCR primers in Table S3. The amplified products were sequenced at commercial sequencing company of Sangon Biological Engineering (Shanghai, China) Co. Ltd. Subsequently, sequences were aligned with those of 26 relevant RdRp sequences of Nodavirus species obtained from the GenBank database (Table 1) by BLAST. Finally, the phylogenetic tree was constructed by using the MEGA 6.0 [25] via default settings, and then edited by using the online tool Interactive Tree of Life (iTOL) (https://itol.embl.de/, accessed on 23 October 2021).
Table 1.
Names and abbreviations of Nodaviridae species used in phylogenetic tree.
2.5. Analysis of ISH and Histopathology of CMNV-Positive M. rosenbergii Individuals
Tissue samples of intestine, hepatopancreas, gill and gonad from partial CMNV-positive M. rosenbergii individuals which had been fixed in 4% PFA for 24 h, are dehydrated in a graded series of 70%, 85%, 90%, 95% and absolute ethanol, then processed and embedded in paraffin [26]. Two pieces of paraffin slices (3 µm) from each tissue samples were prepared using a rotary microtome (Leica, Wetzlar, Germany): one section was used for ISH detection [3,14,23]; another was stained with hematoxylin and eosin (H&E) as descripted elsewhere [27] for histopathological analysis. All slides of ISH and H&E were digitized with the whole-slide Pannoramic MIDI scanner (3DHISTECH Ltd., Budapest, Hungary) at 40× magnification.
2.6. Observation of CMNV by Transmission Electron Microscopy (TEM)
We performed the TEM observation of CMNV positive individuals detected by ISH. The tissue blocks (volume approximately 1 mm3) preserved in 2.5% glutaraldehyde were fixed for 2 h with 1% osmium tetroxide, then embedded in epoxy resin [28,29]. Next, the ultra-thin sections (50 nm) were prepared according to previous reports by an ultramicrotome (Leica EM UC7) and stained with uranyl acetate [30,31]. Finally, the samples were carried on copper grids and examined using TEM (HT7700, Hitachi, Tokyo, Japan) at 100 kV.
3. Results
3.1. Molecular Detection of CMNV in M. rosenbergii
All samples of 27 M. rosenbergii samples, showing typical symptoms such as abnormal swimming, empty intestine and shell softening, sampling on 26 June 2021, were tested to be negative for WSSV, IHHNV, EHP, VpAHPND, DIV1, TSV, YHV, and IMNV, but to be positive for CMNV (Table S4). According the TaqMan RT-qPCR assay, 70 out of 113 M. rosenbergii individuals were CMNV positive, and 44 out of 50 individuals were CMNV positive through ISH detection (Table 2). Meanwhile, CMNV load was detected in 42 RNAs from 6 CMNV-positive M. rosenbergii (Table 3). The CMNV load in gonad of M. rosenbergii samples with typical clinical syndromes was the highest compared to the other seven tissues tested averaged 104.41 ± 0.23 Copies/µg. CMNV loads were also high in intestines and muscles samples, both exceeding 103.7 copies/µg. The CMNV loads in appendages, gills, heart and eyestalks were almost identical averaging 102.86 ± 0.28, 102.68 ± 0.76, 102.43 ± 0.81 and 102.27 ± 0.50, respectively.
Table 2.
Detection of CMNV of M. rosenbergii samples collected from shrimp ponds in Gaoyou.
Table 3.
CMNV copies in different tissues detected in CMNV-positive M. rosenbergii.
3.2. Phylogenetic Analysis of CMNV in M. rosenbergii
The sequence (3228 bp, GenBank no. ON209169) of RNA1 amplification product of CMNV derived from M. rosenbergii shared 98.8% identity with the RdRp gene (GenBank no. QQP17176.1) of the initial CMNV isolate. Analysis of phylogenetic tree showed that the RdRp-deduced amino acids sequence of CMNV-Gaoyou isolated from M. rosenbergii were assigned into the branch that has the CMNV original-sequence, which belonged to the Alphanodavirus that was phylogenetically different from the Betanodavirus members (Figure 1).
Figure 1.
Phylogenetic tree analysis of the RdRp amino acid sequences of both covert mortality nodavirus (CMNV) isolated from Macrobrachium rosenbergii samples and other Nodavirus species (Table 1). CMNV isolate of M. rosenbergii sampled from Gaoyou, Jiangsu province is marked by red font. Species of Alphanodavirus and Betanodavirus are shown in blue and orange background, respectively. The phylogenetic tree was built using the MEGA 6.0 program based on the neighbor-joining method. The scale bar is 0.5. The bootstrap value was 1000 replicates, and the larger the bootstrap value, the higher the confidence of the branch.
3.3. Detection of Sites of CMNV Natural Infection in M. rosenbergii Tissues Using ISH Assay
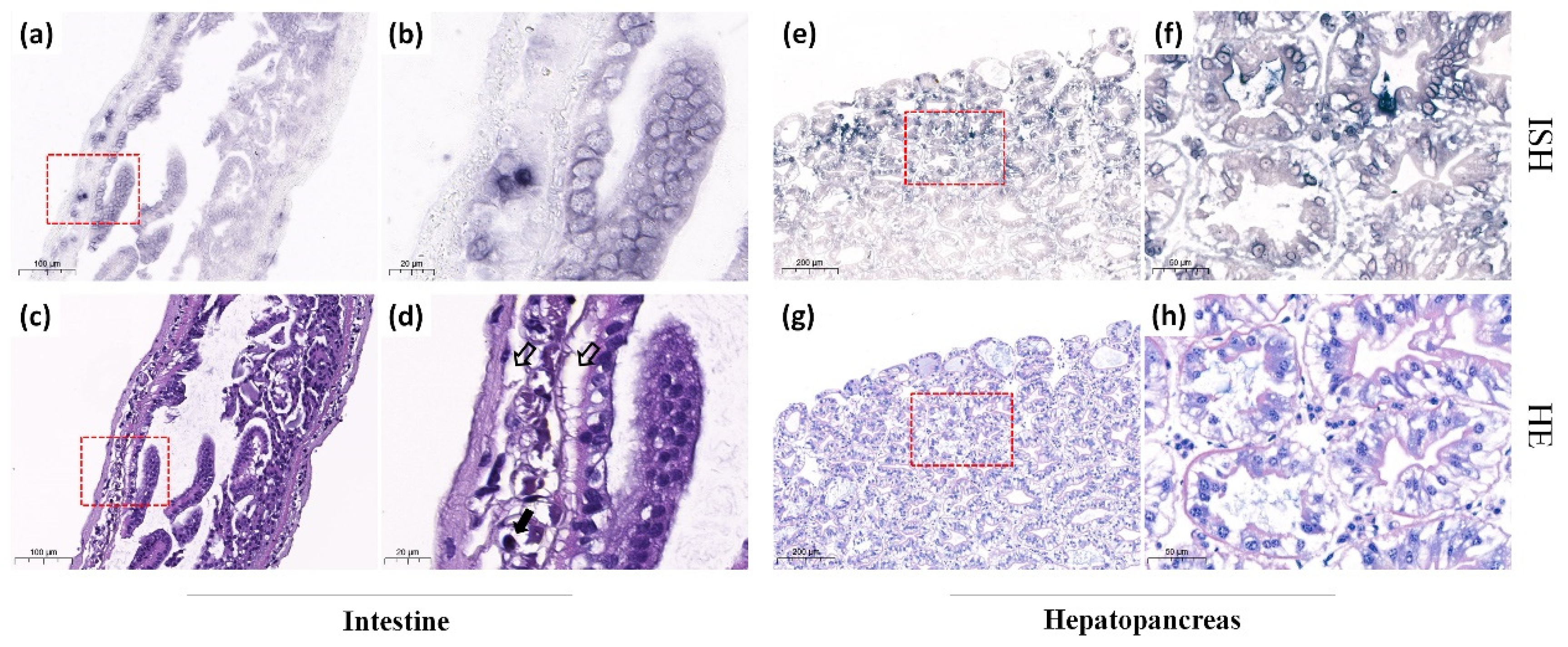
The ISH analysis was performed on M. rosenbergii that were determined to be CMNV-positive using TaqMan RT-qPCR. The ISH results revealed that widespread bluish-purple CMNV-positive hybridization signals in the intestine (Figure 2a,b) and hepatopancreas (Figure 2e,f). Additionally, the CMNV-positive signals could also be present in gill (Figure 3a,b) and ovary (Figure 3e,f) tissues.
Figure 2.
Micrographs of histopathological and in situ hybridization (ISH) assays for the intestine and hepatopancreas from Macrobrachium rosenbergii naturally infected by covert mortality nodavirus (CMNV). (a) ISH micrographs of intestine. (b) Magnified views of the red-framed areas of (a). Note the bluish-purple hybridization signals of CMNV probe. (c) H&E staining micrographs of intestine histological section. (d) Magnified views of the red-framed areas of (c). Karyopyknosis (thick black arrows) and extensive vacuolation (hollow arrows) were observed in the intestinal muscle layer. (e) ISH micrographs of hepatopancreas. (f) Magnified views of the red-framed areas of (e). Note the bluish-purple CMNV positive hybridization signals. (g) H&E staining micrographs of hepatopancreas histology section. (h) Magnified views of the red-framed areas of (g). Note the necrosis and slightly exfoliated hepatopancreatic tubular epithelium cells. Scale bars: (a,c) 100 µm, (b,d) 20 µm. (e,g) 200 µm, (f,h) 50 µm.
Figure 3.
Micrographs of histopathological and in situ hybridization (ISH) assays for the gill and gonad from Macrobrachium rosenbergii naturally infected by covert mortality nodavirus (CMNV). (a) ISH micrographs of gill. (b) Magnified view of the red-framed areas of (a). Note the bluish-purple hybridization signals of CMNV probe. (c) H&E staining micrographs of gill histological section. (d) Magnified view of the red-framed areas of (c). Note the gill tissue edema, extensive vacuolation (hollow arrows) and karyopyknosis (thick black arrows). (e) ISH micrographs of gonad histological section. (f) Magnified view of the red-framed areas of (e). Note the bluish-purple CMNV positive hybridization signals. (g) H&E staining micrographs of gonad histological section. (h) Magnified view of the red-framed areas of (g). Karyopyknosis (thick black arrows) and hemocytes infiltration could be observed in ovary. Scale bars: (a,c,e,g) 200 µm, (b,d,f,h) 50 µm.
3.4. Histopathological Analysis of CMNV-Positive Individuals in ISH Assay
The results of histological examination revealed that serious pathological changes occurred in tissues of CMNV ISH positive individuals. Extensive vacuolation as well as karyopyknosis could be observed in epithelial cells of intestine (Figure 2c,d) where the CMNV ISH positive signals presented. Moreover, the exfoliated hepatopancreatic tubular epithelium cells could also be noted in hepatopancreas tissue (Figure 2g,h). The gill exhibited abnormal histopathological changes, such as the severely edematous gill filament, vacuolation and karyopyknosis (Figure 3c,d). Notably, ovary sections showed some pathological changes including hemocytes infiltration and karyopyknosis (Figure 3g,h).
3.5. Detection of CMNV Infection in M. rosenbergii by TEM Assay
In order to further confirmation CMNV infection status in M. rosenbergii samples determined to be CMNV positive by TaqMan RT-qPCR and ISH, ultrathin sections of these samples were examined. The result showed that obvious inclusion bodies were present both in hepatopancreas and gill tissues of M. rosenbergii sample and abundant CMNV-like particles (about 28–32 nm in diameter) could be observed clearly in the inclusions of hepatopancreas and gill (Figure 4).
Figure 4.
Transmission electron microscope (TEM) micrographs of hepatopancreas and gill ultrathin section of Macrobrachium rosenbergii naturally infected with covert mortality nodavirus (CMNV). (a–c) show the TEM micrographs of hepatopancreas ultrathin section; (d–f) show the TEM micrographs of gill ultrathin section. (b,c) and (e,f) show magnified micrographs in the yellow-framed areas of (a,b) and (d,e), respectively. Note the high number of CMNV-like virus particles in (c,f).
4. Discussion
In the past decades, Aquaculture is considered among the fastest-growing sector producing animal protein in the world, and contributes significantly to global food security [32,33]. The market demand for marine and freshwater aquacultured shrimp is also increasing [18]. M. rosenbergii has been regarded as one of the major species of farming freshwater prawns both in China and the Southeast Asia countries. This increasing market demand for M. rosenbergii supported the continuous expansion and development of high breeding densities farming of M. rosenbergii, leading to the increased occurrence of diseases of M. rosenbergii and significant economic losses to a large extent [20]. Two viral diseases had been reported in M. rosenbergii [20] including white tail disease (WTD) and “white head” disease, which are caused by M. rosenbergii nodavirus (MrNV) and decapod iridescent virus 1 (DIV1) [18], respectively. Lethargy, obvious muscle whiteness of post-larvae prawn and pale hematopoietic organ are typical clinical symptoms of the WTD and white head diseases, respectively [18,34,35]. However, in this research, the diseased M. rosenbergii samples obtained from Jiangsu province showed disease signs such as abnormal swimming, empty intestine and shell softening, which were very similar to the clinical signs of CMNV infection in Penaeus vannamei [2,3]. So far, there are no reports of CMNV infection in M. rosenbergii. Meanwhile, combined with the previous RT-LAMP positive results of CMNV in M. rosenbergii [23], it drove us to further investigate the prevalence of this virus in the farmed M. rosenbergii, as well as to reveal histopathological changes caused by CMNV.
The TaqMan RT-qPCR detection results showed that among all the 113 M. rosenbergii samples collected from Gaoyou, Jiangsu Province, 61.9% (70/113) of individuals were found to be CMNV positive. Meanwhile, the sequences of the sub-genomic RNA1 fragment (RdRp gene) of the CMNV isolates from the M. rosenbergii samples were highly identical to the CMNV original RdRp gene, which supplied further evidence that M. rosenbergii of this study indeed infected with CMNV. Additionally, 50 CMNV positive samples determined by TaqMan RT-qPCR were randomly selected for CMNV ISH assay, and 88.0% (44/50) samples were also tested to be CMNV positive in the ISH assay. The reason for the inconsistency between ISH and TaqMan RT-qPCR results might be caused by the different detection sensitivity of these two assays. As we know, the CMNV detection sensitivity of the TaqMan RT-qPCR, which can detect viral single copy, possesses much higher detection sensitivity than ISH. This is the first report that proved CMNV naturally infects the aquaculture M. rosenbergii, and the high infection rate of CMNV in these samples revealed the potential risk of this virus causing outbreaks of disease in farmed M. rosenbergii.
To further explore the targeted organs of CMNV infection in M. rosenbergii, more tissues of CMNV-positive M. rosenbergii were selected to be analyzed by ISH and H&E staining in this study. CMNV-positive signals were detected in intestine, gill, hepatopancreas and ovary tissues. Simultaneously, obvious histopathological lesions were presented in the same sites where hybridization signals occurred, including karyopyknosis and vacuolation in intestinal muscle layer, gill and ovary, as well as the exfoliated hepatopancreatic tubular epithelium cells. Furthermore, a large number of CMNV-like virus particles were observed in the hepatopancreas and gill tissues under the TEM. All these results provided evidence of the broad range tissue tropism of CMNV infection in M. rosenbergii, and the results revealed that CMNV infection can lead to severe pathological damage to most of the target tissues. Weakening resistance of M. rosenbergii and insufficient biosecurity measures implemented in M. rosenbergii farming may reduce the capacity of adaptation to environment and increase the pathogens exposing risks, which might be the reason of the rising viral diseases in M. rosenbergii aquaculture industry in recent years. Certainly, mortality and perniciousness of M. rosenbergii disease caused by CMNV is worthy of further investigation.
This study also revealed CMNV infection in ovary tissues, indicating that CMNV may be transmitted vertically in M. rosenbergii. It was previously reported that CMNV could be vertically transmitted from the male or female parent to the offspring in Exopalaemon carinicauda [36]. Moreover, CMNV infection also presented in gonad of zebrafish, sea cucumber and small yellow croaker [3,16,17]. Therefore, the natural CMNV infection in the ovary of M. rosenbergii may increase the risk of CMNV spread through larva in farmed M. rosenbergii. CMNV infection of gonadal tissue in E. carinicauda will lead to difficulty in hatching fertilized eggs and reduced survival rate of larvae [36]. Therefore, in the future, more attention should be paid to the impact of CMNV infection on the reproductive performance and seed production of M. rosenbergii, so as to provide the theoretical basis for eliminating CMNV hazards in the aquaculture industry of M. rosenbergii.
5. Conclusions
This study showed that M. rosenbergii is a new sensitive host of CMNV, and CMNV displayed an extremely broad range tissue tropism in this new host. The result of pathology suggested that CMNV might be a potential pathogen causing diseases in farmed M. rosenbergii. Since CMNV-like virus particles were observed in the gonads, it is suspected that CMNV might be transmitted vertically in M. rosenbergii. Meanwhile, considering the high natural infection rate of CMNV in M. rosenbergii demonstrated in this research, more attention should be paid to the potential negative impact of CMNV spread and prevalence in M. rosenbergii in aquaculture systems. Taken together, this study supports a renewed orientation for further investigation and exploration of the diversity of pathogenic agents in farming M. rosenbergii.
Supplementary Materials
The following supporting information can be downloaded at: https://www.mdpi.com/article/10.3390/ani12111370/s1, Table S1: Primers and the TaqMan probe for CMNV RT-qPCR; Table S2: The program for TaqMan RT-qPCR of CMNV; Table S3: PCR primer’s sequence used to amplify RNA1 of CMNV; Table S4: Common pathogens test results of Macrobrachium rosenbergii samples collected at 26 June 2021; Figure S1: The negative control picture for ISH assay.
Author Contributions
Q.Z. and G.Y. designed the assays. W.W. and W.Z. helped finish the TaqMan RT-qPCR detection of CMNV. J.X., L.Y., C.W., T.J. and X.Y. assisted in the sample collection. Q.Z. conducted the transmission electron microscopy assay. J.X. completed the experiments and organized the data. G.Y. suppled the M. rosenbergii samples. J.X. and C.W. wrote the manuscript, Q.Z. and G.Y. revised the manuscript. All authors have read and agreed to the published version of the manuscript.
Funding
This research was supported by National Natural Science Foundation of China (32073016), Central Public-interest Scientific Institution Basal Research Fund, CAFS (NO. 2020TD39; 2021XT0602), Projects of marine fishery biological resources collection and preservation, Ministry of Agriculture and Rural Affairs of China, China Agriculture Research System of MARA (CARS-48), and Central Public-interest Scientific Institution Basal Research Fund, YSFRI, CAFS (NO. 20603022022024).
Institutional Review Board Statement
This study was approved by the Institutional animal care and use committee, CAFS YSFRI-2020004.
Informed Consent Statement
Not applicable.
Data Availability Statement
Data available on request from the authors.
Conflicts of Interest
The authors have no conflict of interest.
References
- Gotesman, M.; Menanteau-Ledouble, S.; Saleh, M.; Bergmann, S.M.; El-Matbouli, M. A new age in AquaMedicine: Unconventional approach in studying aquatic diseases. BMC Vet. Res. 2018, 14, 178. [Google Scholar] [CrossRef] [PubMed]
- Zhang, Q.L.; Liu, Q.; Liu, S.; Yang, H.L.; Liu, S.; Zhu, L.L.; Yang, B.; Jin, J.T.; Ding, L.X.; Wang, X.H.; et al. A new nodavirus is associated with covert mortality disease of shrimp. J. Gen. Virol. 2014, 95, 2700–2709. [Google Scholar] [CrossRef] [PubMed] [Green Version]
- Wang, C.; Wang, W.; Yao, L.; Sang, S.W.; Li, C.H.; Zhang, Q.L. Histopathological study of covert mortality nodavirus infection in sea cucumber (Apostichopus japonicus). Aquaculture 2021, 545, 737161. [Google Scholar] [CrossRef]
- Schneider-Schaulies, J. Cellular receptors for viruses: Links to tropism and pathogenesis. J. Gen. Virol. 2000, 81, 1413–1429. [Google Scholar] [CrossRef] [PubMed]
- Kuiken, T.; Holmes, E.C.; McCauley, J.; Rimmelzwaan, G.F.; Williams, C.S.; Grenfell, B.T. Host species barriers to influenza virus infections. Science 2006, 312, 394–397. [Google Scholar] [CrossRef] [PubMed] [Green Version]
- Leopardi, S.; Holmes, E.C.; Gastaldelli, M.; Tassoni, L.; Priori, P.; Scaravelli, D.; Zamperin, G.; De Benedictis, P. Interplay between co-divergence and cross-species transmission in the evolutionary history of bat coronaviruses. Infect. Genet. Evol. 2018, 58, 279–289. [Google Scholar] [CrossRef]
- Parrish, C.R.; Holmes, E.C.; Morens, D.M.; Park, E.C.; Burke, D.S.; Calisher, C.H.; Laughlin, C.A.; Saif, L.J.; Daszak, P. Cross-species virus transmission and the emergence of new epidemic diseases. Microbiol. Mol. Biol. Rev. 2008, 72, 457–470. [Google Scholar] [CrossRef] [Green Version]
- Johnson, C.K.; Hitchens, P.L.; Evans, T.S.; Goldstein, T.; Thomas, K.; Clements, A.; Joly, D.O.; Wolfe, N.D.; Daszak, P.; Karesh, W.B.; et al. Spillover and pandemic properties of zoonotic viruses with high host plasticity. Sci. Rep. 2015, 5, vex007. [Google Scholar] [CrossRef] [Green Version]
- Bourret, V.; Lyall, J.; Frost, S.D.W.; Teillaud, A.; Smith, C.A.; Leclaire, S.; Fu, J.; Gandon, S.; Guerin, J.L.; Tiley, L.S. Adaptation of avian influenza virus to a swine host. Virus Evol. 2017, 3, 79–89. [Google Scholar] [CrossRef]
- Wang, L.F.; Anderson, D.E. Viruses in bats and potential spillover to animals and humans. Curr. Opin. Virol. 2019, 34, 79–89. [Google Scholar] [CrossRef]
- Wang, C.; Yao, L.; Wang, W.; Sang, S.W.; Hao, J.W.; Li, C.H.; Zhang, Q.L. First report on natural infection of Nodavirus in an Echinodermata, sea cucumber (Apostichopus japonicas). Viruses 2021, 13, 636. [Google Scholar] [CrossRef] [PubMed]
- Liu, S.; Wang, X.H.; Xu, T.T.; Li, X.P.; Du, L.C.; Zhang, Q.L. Vectors and reservoir hosts of covert mortality nodavirus (CMNV) in shrimp ponds. J. Invertebr. Pathol. 2018, 154, 29–36. [Google Scholar] [CrossRef] [PubMed]
- Wang, C.; Wang, X.H.; Liu, S.; Sang, S.W.; Zhang, Q.L. Preliminary study on the natural infection of Carassius auratus with covert mortality nodavirus (CMNV). Prog. Fish. Sci. 2019, 40, 25–32. [Google Scholar]
- Wang, C.; Liu, S.; Li, X.P.; Hao, J.W.; Tang, K.F.J.; Zhang, Q.L. Infection of covert mortality nodavirus in Japanese flounder reveals host jump of the emerging alphanodavirus. J. Gen. Virol. 2019, 100, 166–175. [Google Scholar] [CrossRef]
- Zhang, Q.L.; Liu, S.; Li, J.; Xu, T.T.; Wang, X.H.; Fu, G.M.; Li, X.P.; Sang, S.W.; Bian, X.D.; Hao, J.W. Evidence for cross-species transmission of covert mortality nodavirus to new host of Mugilogobius abei. Front. Microbiol. 2018, 9, 1447. [Google Scholar] [CrossRef]
- Wang, C.; Liu, S.; Tang, K.F.J.; Zhang, Q. Natural infection of covert mortality nodavirus affects Zebrafish (Danio rerio). J. Fish Dis. 2021, 44, 1315–1324. [Google Scholar] [CrossRef]
- Xu, T.T.; Li, Y.X.; Shan, X.J.; Hao, J.W.; Wu, Q.; Tang, K.F.J.; Zhang, Q.L.; Yao, C.L. Natural infection of covert mortality nodavirus in small yellow croaker in coastal water. Front. Mar. Sci. 2021, 8, 670831. [Google Scholar] [CrossRef]
- Qiu, L.; Chen, X.; Zhao, R.H.; Li, C.; Gao, W.; Zhang, Q.L.; Huang, J. Description of a natural infection with Decapod iridescent virus 1 in farmed giant freshwater prawn, Macrobrachium rosenbergii. Viruses 2019, 11, 354. [Google Scholar] [CrossRef] [Green Version]
- Rao, R.; Bhassu, S.; Bing, R.Z.; Alinejad, T.; Hassan, S.S.; Wang, J. A transcriptome study on Macrobrachium rosenbergii hepatopancreas experimentally challenged with white spot syndrome virus (WSSV). J. Invertebr. Pathol. 2016, 136, 10–22. [Google Scholar] [CrossRef]
- Huang, Y.; Ren, Q. Innate immune responses against viral pathogens in Macrobrachium. Dev. Comp. Immunol. 2021, 117, 103966. [Google Scholar] [CrossRef]
- Low, C.F.; Md Yusoff, M.R.; Kuppusamy, G.; Ahmad Nadzri, N.F. Molecular biology of Macrobrachium rosenbergii nodavirus infection in giant freshwater prawn. J. Fish Dis. 2018, 41, 1771–1781. [Google Scholar] [CrossRef] [PubMed]
- Sahul Hameed, A.S.; Bonami, J.R. White tail disease of freshwater prawn, Macrobrachium rosenbergii. Indian J. Virol. 2012, 23, 134–140. [Google Scholar] [CrossRef] [PubMed] [Green Version]
- Zhang, Q.L.; Xu, T.T.; Wan, X.Y.; Liu, S.; Wang, X.H.; Li, X.P.; Dong, X.; Yang, B.; Huang, J. Prevalence and distribution of covert mortality nodavirus (CMNV) in cultured crustacean. Virus Res. 2017, 233, 113–119. [Google Scholar] [CrossRef] [PubMed]
- OIE. Manual of Diagnostic Tests for Aquatic Animals; World Organisation for Animal Health: Paris, France, 2021. [Google Scholar]
- Tamura, K.; Stecher, G.; Peterson, D.; Filipski, A.; Kumar, S. MEGA6: Molecular Evolutionary Genetics Analysis Version 6.0. Mol. Biol. Evol. 2013, 30, 2725–2729. [Google Scholar] [CrossRef] [PubMed] [Green Version]
- Bell, T.A.; Lightner, D.V. A Handbook of Normal Penaeid Shrimp Histology; World Aquaculture Society: Baton Rouge, LA, USA, 1988; 114p. [Google Scholar]
- Lightner, D.V. A Handbook of Shrimp Pathology and Diagnostic Procedures for Diseases of Cultured Penaeid Shrimp; World Aquaculture Society: Baton Rouge, LA, USA, 1996. [Google Scholar]
- Fortunato, T.M.; Beltrami, C.; Emanueli, C.; De Bank, P.A.; Pula, G. Platelet lysate gel and endothelial progenitors stimulate microvascular network formation in vitro: Tissue engineering implications. Sci. Rep. 2016, 6, 25326. [Google Scholar] [CrossRef] [Green Version]
- Zechmann, B.; Zellnig, G. Rapid diagnosis of plant virus diseases by transmission electron microscopy. J. Virol. Methods 2009, 162, 163–169. [Google Scholar] [CrossRef]
- Graham, L.; Orenstein, J.M. Processing tissue and cells for transmission electron microscopy in diagnostic pathology and research. Nat. Protoc. 2007, 2, 2439–2450. [Google Scholar] [CrossRef]
- Panphut, W.; Senapin, S.; Sriurairatana, S.; Withyachumnarnkul, B.; Flegel, T.W. A novel integrase-containing element may interact with Laem-Singh virus (LSNV) to cause slow growth in giant tiger shrimp. BMC Vet. Res. 2011, 7, 18. [Google Scholar] [CrossRef] [Green Version]
- Kibenge, F.S. Emerging viruses in aquaculture. Curr. Opin. Virol. 2019, 34, 97–103. [Google Scholar] [CrossRef]
- FAO. The State of World Fisheries and Aquaculture 2020; Sustainability in action; FAO: Rome, Italy, 2020. [Google Scholar]
- Takahashi, Y.; Itami, T.; Kondo, M.; Maeda, M.; Fujii, R.; Tomonaga, S.; Supamattaya, K.; Boonyaratpalin, S. Electron-microscopic evidence of bacilliform virus-infection in Kuruma shrimp (Penaeus-Japonicus). Fish Pathol. 1994, 29, 121–125. [Google Scholar] [CrossRef] [Green Version]
- Somrit, M.; Yu, S.Y.; Le Pendu, J.; Breiman, A.; Guerardel, Y.; Weerachatyanukul, W.; Watthammawut, A. Macrobrachium rosenbergii nodavirus virus-like particles attach to fucosylated glycans in the gills of the giant freshwater prawn. Cell Microbiol. 2020, 22, e13258. [Google Scholar] [CrossRef] [PubMed]
- Liu, S.; Li, J.T.; Tian, Y.; Wang, C.; Li, X.P.; Xu, T.T.; Li, J.; Zhang, Q.L. Experimental vertical transmission of covert mortality nodavirus in Exopalaemon carinicauda. J. Gen. Virol. 2017, 98, 652–661. [Google Scholar] [CrossRef] [PubMed]
Publisher’s Note: MDPI stays neutral with regard to jurisdictional claims in published maps and institutional affiliations. |
© 2022 by the authors. Licensee MDPI, Basel, Switzerland. This article is an open access article distributed under the terms and conditions of the Creative Commons Attribution (CC BY) license (https://creativecommons.org/licenses/by/4.0/).



