Simple Summary
Aelurostrongylus abstrusus is the most important parasitic nematode affecting cat airways worldwide. The adult nematodes live in the lungs and cause pneumonia with typical respiratory clinical signs such as cough, nasal and ocular discharge, and difficulties in breathing. The localization of adult A. abstrusus in other organs than lungs is not common. This report describes, for the first time, an unusual and fatal localization of A. abstrusus within the central nervous system of a kitten displaying neurological signs.
Abstract
The lungworm Aelurostrongylus abstrusus is one of the main causes of respiratory diseases in cats worldwide. This report describes the unusual case of a kitten infected with A. abstrusus and presented to a veterinary clinic in Brazil with lethargy, dysphagia, non-ambulatory tetraplegia, and pelvic limbs bilateral myoclonus. The clinical picture of the kitten worsened with generalized flaccid tetraplegia and death a few days after hospitalization. At necropsy, hemorrhagic necrosis and subarachnoid hemorrhages were detected in several areas of the central nervous system. Nematode stages were found at post-mortem histological examinations in lungs, cerebellum, subarachnoid space of the brain and spinal cord. Microscopic and molecular (PCRs-coupled-sequencing protocols) examination showed the presence of A. abstrusus in histological samples. This study describes the first neurological aelurostrongylosis due to ectopic localization of adult worms in the central nervous system of a cat, causing acute hemorrhagic multifocal meningoencephalomyelitis. Further studies are necessary to elucidate whether unusual localizations and the migration of A. abstrusus are more frequent than expected.
1. Introduction
Nematodes living in the airways are among the most important causes of respiratory diseases in cats, and, among them, the “cat lungworm” Aelurostrongylus abstrusus (Metastrongyloidea, Angiostrongylidae) is spread worldwide [1]. The lifecycle of A. abstrusus is indirect. The adults live in the alveoli, alveolar ducts, and bronchioles of domestic and sometimes wild felids [2,3,4]. After mating, females produce eggs that hatch in the airways and release first stage larvae (L1). The L1 reach the pharynx via the muco-ciliary escalator, are swallowed, and then excreted with faeces in the environment [5,6]. Various species of terrestrial gastropods act as intermediate hosts in which L1 develop to the second (L2) and third, infectious, larval stage (L3) [7,8]. Rodents, birds, and reptiles may act as paratenic hosts of A. abstrusus. Cats become infected by ingesting infected intermediate or, more frequently, paratenic hosts [4,9].
The clinical severity of feline aelurostrongylosis depends on the age of the cat, immune response, health status, and parasitic burden [1]. In many cases, aelurostrongylosis is mild/subclinical and/or self-limiting, though severe and potentially fatal clinical conditions may occur [1]. The most frequent clinical signs are cough, dyspnea, tachypnea, lethargy, weight loss, and anorexia [1,10]. The diagnosis relies on the identification of L1 in the faeces of infected cats whose identity can be confirmed with molecular methods. Recently, new serological assays have been developed for research purposes [11,12,13].
Though common for angiostrongylid nematodes [14,15,16], aberrant localizations of adult A. abstrusus have never been described. The present report describes the clinical implications and pathogenetic features of the first case of a fatal hemorrhagic multifocal meningoencephalomyelitis due to ectopic localization of A. abstrusus in the central nervous system (CNS) of a domestic cat.
2. Case Details
2.1. Clinical Case
A male domestic Brazilian short-haired kitten, approximately 3–4 months old, was adopted from the street in a peri-rural area and presented on the same day to a veterinary clinic in Barra do Piraí, Brazil. The main complaints were lethargy, ataxia, and dysphagia 3 days after adoption.
Clinical examination revealed dehydration, pale mucous membranes, distended abdomen, and wheezing and rhonchi were present at the pulmonary auscultation. Complete blood count showed normocytic, normochromic non-regenerative anemia, and thrombocytopenia. Serum biochemistry revealed hypoproteinemia and hypoalbuminemia. Detailed laboratory alterations are shown in Table 1. Serology for Feline Leukemia Virus (FeLV) was positive, while the animal was negative for Feline Immunodeficiency Virus (FIV) (ELISA SNAP test, IDEXX Laboratories Inc.). The kitten was then hospitalized and underwent supportive therapy with rehydration using Lactated Ringer’s solution (replacement volume of water deficit = 7% of body weight in 24 h).
Table 1.
Complete blood count and blood chemistry alterations of the kitten.
The neurological examination showed non-ambulatory tetraplegia and pelvic limbs bilateral myoclonus. Some superficial reflex was still present at spinal assessment. The day after, the kitten showed severe non-ambulatory tetraplegia (Figure 1), loss of nociception in the pelvic limbs, and trismus. Four days after the hospitalization, the clinical condition of the kitten dramatically worsened with generalized flaccid tetraplegia and the cat died in the clinic 9 days later.
Figure 1.
The kitten of the present study showing obtundation and non-ambulatory tetraplegia.
2.2. Necropsy and Histopathology
Necropsy was carried out at the Department of Pathological Anatomy of the Federal Rural University of Rio de Janeiro (SAP-UFRRJ) and showed areas of hemorrhagic necrosis in the left frontal telencephalic cortex, cerebellum, and brainstem (Figure 2). Subarachnoid hemorrhages were also present in the cervical and lumbar tract of the spinal cord (Figure 3).
Figure 2.
Macroscopic sections of the brain of the kitten. From left to right, hemorrhagic areas were present in the cerebral cortex, corona radiata, diencephalon, and cerebellum (arrows).
Figure 3.
Mild to moderate foci of subarachnoid hemorrhages in the cervical and lumbar tract of the spinal cord of the kitten.
Nematodes were also detected at the histological examination in the subarachnoid space of the brain and the spinal cord, which showed hemorrhages/congestion and cerebral lymphocytic, eosinophilic, and neutrophilic infiltrates (Figure 4A,B). In the CNS, cross-sections of adult nematodes measuring between 62 and 94 µm in width were found (Figure 4C). Thin cuticle, pseudocoelom, celomatic musculature, and structures representing the internal organs of the parasite were observed in some of the sections (Figure 4D).
Figure 4.
(A) Histological section of the brain stained with hematoxylin-eosin. Longitudinal aspect of nematodes (arrow) in the subarachnoid space of the diencephalon, associated with severe hemorrhage (arrowhead). (B) Histological section of the brain stained with hematoxylin-eosin. Transverse aspect of a nematode inside a vessel in the subarachnoid space of the diencephalon (arrow). A severe hemorrhage around the vessel is evident. (C) Histological section of the brain stained with hematoxylin-eosin. Transverse aspect of nematodes inside of telencephalic brain vessels (arrow). (D) Histological section of a vessel in the subarachnoid space of the cerebral cortex, stained with hematoxylin-eosin. Cross sections of nematode with a thin cuticle (arrow), pseudocoelom (asterisk), celomatic musculature (empty arrowhead) and structures representing the internal organs of the parasite (arrowheads).
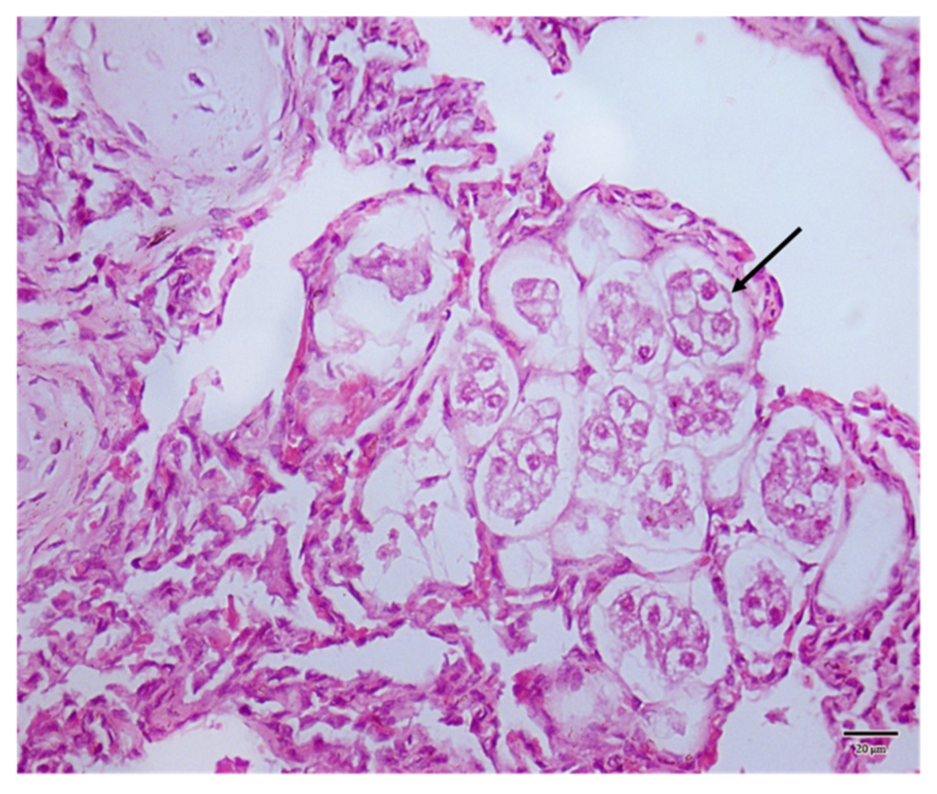
At lungs gross examination, nematodes were found in the airways and identified as A. abstrusus according to morphological keys [17]. During the histological examination of the lungs, marked atelectasis and severe interstitial inflammatory infiltrate with a predominance of lymphocytes and histiocytes were found. A typical appearance of the lung parenchyma compatible with aelurostrongylosis was observed [18], with the presence of eggs in a 3–8 cell stage in the alveolar lumen (Figure 5).
Figure 5.
Histological section of the lung stained with hematoxylin-eosin. Parasitic eggs that fill the alveolar lumens are visible (arrow).
2.3. Molecular Biology
Samples from the lung, cerebellum, and spinal cord were subjected to PCRs-coupled-sequencing protocols specific for four feline Metastrongyloidea nematodes belonging to the Angiostrongylidae (i.e., Gurltia paralysans, Angiostrongylus chabaudi and A. abstrusus) and Crenosomatidae (Troglostrongylus brevior) families [12,19]. All samples were positive for A. abstrusus at PCR, while no amplicons were generated for the other nematodes. The sequencing showed 100% identity with an A. abstrusus isolate from Colombia (Accession Number MH779453).
3. Discussion
This study describes the first report of multifocal meningoencephalomyelitis in a cat due to A. abstrusus. Measurements of nematodes found in the CNS of the kitten were compatible with adult stages of A. abstrusus, whose width ranges between 54 and 100 µm [5,17,20,21]. On the contrary, no parasitic structures compatible with A. abstrusus L1, L2, or L3 were found in the CNS in the present case, e.g., their width is 17.6 ± 2.6, 27.6 ± 4.5, and 26.7 ± 1.9 µm, respectively [22].
Such an ectopic localization of A. abstrusus adults in the CNS was totally unexpected, as neurological signs due to A. abstrusus have never been described before the present case. Thus, other feline parasites were initially suspected as the cause of disease in the referred kitten.
Initially, the clinical picture showed by the kitten of the present study led to the suspicion of infection by G. paralysans, as this poorly known angiostrongylid infects the vessels of the subarachnoid space of the spinal cord and parenchyma of felids in South America (including Brazil), and causes life-threatening neurological disorders [23,24].
Other than G. paralysans, nematodes of the genus Angiostrongylus could have been the cause of the here described neurological picture, as cases of ectopic localizations and aberrant migrations in vertebrates are known for these nematodes [14,15,16]. Adult Angiostrongylus vasorum affecting canids have been found in ectopic localizations, e.g., pericardial sac, spleen, kidneys, bladder, eye [14,25]; aberrant larval migrations in different organs and tissues, including the brain and spinal cord, have been described [14,15]. Thus, the closely related species A. chabaudi has been considered as a possible cause of the herein reported case, although this parasite has never been recorded thus far in South America. The pathogenic role of A. chabaudi for domestic cats is yet to be elucidated [26] and its ability to migrate in the central nervous system, as other species of Angiostrongylus, could not be excluded.
Troglostrongylus brevior is a crenosomatid parasite of the bronchi of domestic and wild felids. Despite the overlapping biology with that of Angiostrongylus spp. and A. abstrusus, this lungworm may be transmitted vertically from the queen to the litter [4,27]. This biological feature implies the ability of larvae to establish varying migration patterns throughout the body of a cat. Given that troglostrongylosis is frequent in kittens, T. brevior could have been included in the differential diagnosis though never recorded in felids of South America, but only in wild-caught gastropods from Colombia [28].
No evidence of gurltiosis, angiostrongylosis, or troglostrongylosis was found in the kitten at necropsy and microscopic and molecular tests.
Aelurostrongylus abstrusus was included in the molecular examinations because of the presence of compatible stages in the lung parenchyma of the kitten. The samples from the lungs and CNS produced PCR amplicons specific for ribosomal sequences of A. abstrusus, while none of them tested positive for G. paralysans, A. chabaudi, or T. brevior. This result is surprising as aelurostrongylosis is a typical respiratory disease and the involvement of other organs in the clinical disease has been described only in a single report in a kitten. In this latter case, the cat displayed a life-threatening pneumonia along with enteritis due to massive larval invasion in the intestinal mucosa [29]. Although it was unclear if these were L1 or L3, it was speculated that the phenomenon was due to a hyperinfection syndrome, most likely related to the exposure to a heavily infected intermediate or paratenic host [29]. Another report described the presence of L1 within colon crypts of two cats, with no detailed clinical information available; thus, these might have been incidental findings [30]. In general, it cannot be ruled out that the ingestion of a huge amount of L3 could lead to non-respiratory clinical signs and increase the chances of ectopic localizations. In the present report, an exceptional case of autoinfection could be ruled out as intermediate hosts are necessary for the development of infectious A. abstrusus L3. Therefore, it could be hypothesized that an inefficient immune response (e.g., the young age of the animal and/or FeLV positivity) could have triggered an aberrant migration after the ingestion of high amount of infectious L3.
4. Conclusions
In conclusion, this report adds new and unexpected knowledge on clinical feline aelurostrongylosis because it represents the first case ever described of an ectopic localization of A. abstrusus with a subsequent fatal neurological disease in a naturally infected cat. The kitten was seropositive for FeLV, which is considered to cause neurologic disease in cats [30]. The lack of immunohistochemical identification of the virus in the central nervous system is a limitation of this study as no correlation between the seropositivity and the neurological signs can be safely assumed [31]. However, the presence in the CNS of (i) multifocal hemorrhages, (ii) adult A. abstrusus, and (iii) neutrophilic/eosinophilic inflammation of the cerebral parenchyma and in the meninges, demonstrate a CNS aelurostrongylosis. Therefore, ectopic localizations of A. abstrusus may occur in kittens, and further studies are encouraged, especially in animals with concomitant diseases that may impair their immune system.
Author Contributions
Clinical case handling, necropsy, complementary examinations, F.V.T.; Conceptualization, investigation, data curation, writing—original draft preparation, formal analysis, S.M.; Necropsy, histopathological analyses, M.d.F.B., M.C.O., G.O.P.; Investigation, data curation, writing—review and editing, A.D.; writing—original draft preparation, review and editing, visualization, M.C.; writing—review and editing, visualization, validation, A.F.d.R.; conceptualization, supervision, data curation, writing—original draft and review and editing, D.T. All authors have read and agreed to the published version of the manuscript.
Funding
This research received no external funding.
Institutional Review Board Statement
All the procedures performed on the kitten included in this study were done in the framework of routine clinic veterinary care. Thus, ethical review and approval were not needed for this case report.
Informed Consent Statement
Informed consent was obtained from the owner of kitten.
Data Availability Statement
All study data are presented in the article.
Acknowledgments
The authors are grateful to Pedro Malafaia and Angela Di Cesare for their support in the organization of the study procedures, and to Raffaella Iorio for her support in the laboratory activities.
Conflicts of Interest
The authors declare no conflict of interest.
References
- Morelli, S.; Diakou, A.; Colombo, M.; Di Cesare, A.; Barlaam, A.; Dimzas, D.; Traversa, D. Cat respiratory nematodes: Current knowledge, novel data and warranted studies on clinical features, treatment and control. Pathogens 2021, 10, 454. [Google Scholar] [CrossRef] [PubMed]
- Stevanović, O.; Diakou, A.; Morelli, S.; Paraš, S.; Trbojević, I.; Nedić, D.; Sladojević, Ž.; Kasagić, D.; Di Cesare, A. Severe verminous pneumonia caused by natural mixed infection with Aelurostrongylus abstrusus and Angiostrongylus chabaudi in a European Wildcat from western balkan area. Acta Parasitol. 2019, 64, 411–417. [Google Scholar] [CrossRef] [PubMed]
- Diakou, A.; Dimzas, D.; Astaras, C.; Savvas, I.; Di Cesare, A.; Morelli, S.; Neofitos, Κ.; Migli, D.; Traversa, D. Clinical investigations and treatment outcome in a European wildcat (Felis silvestris silvestris) infected by cardio-pulmonary nematodes. Vet. Parasitol. Reg. Stud. Rep. 2020, 19, 100357. [Google Scholar] [CrossRef]
- Traversa, D.; Morelli, S.; Di Cesare, A.; Diakou, A. Felid cardiopulmonary nematodes: Dilemmas solved and new questions posed. Pathogens 2021, 10, 30. [Google Scholar] [CrossRef] [PubMed]
- Hobmaier, M.; Hobmaier, A. Mammalian phase of the lung-worm Aelurostrongylus abstrusus in the cat. J. Am. Vet. Med. A 1935, 87, 191–198. [Google Scholar]
- Elsheikha, H.M.; Schnyder, M.; Traversa, D.; Di Cesare, A.; Wright, I.; Lacher, D.W. Updates on feline aelurostrongylosis and research priorities for the next decade. Parasit. Vectors 2016, 9, 1–15. [Google Scholar] [CrossRef] [Green Version]
- Dimzas, D.; Morelli, S.; Traversa, D.; Di Cesare, A.; Van Bourgonie, Y.R.; Breugelmans, K.; Backeljau, T.; di Regalbono, A.F.; Diakou, A. Intermediate gastropod hosts of major feline cardiopulmonary nematodes in an area of wildcat and domestic cat sympatry in Greece. Parasit. Vectors 2020, 13, 345. [Google Scholar] [CrossRef]
- Morelli, S.; Colombo, M.; Diakou, A.; Traversa, D.; Grillini, M.; Frangipane di Regalbono, A.; Di Cesare, A. The influence of temperature on the larval development of Aelurostrongylus abstrusus in the land snail Cornu aspersum. Pathogens 2021, 10, 960. [Google Scholar] [CrossRef]
- Jeżewski, W.; Buńkowska-Gawlik, K.; Hildebrand, J.; Perec-Matysiak, A.; Laskowski, Z. Intermediate and paratenic hosts in the life cycle of Aelurostrongylus abstrusus in natural environment. Vet. Parasitol. 2013, 198, 401–405. [Google Scholar] [CrossRef]
- Schnyder, M.; Di Cesare, A.; Basso, W.; Guscetti, F.; Riond, B.; Glaus, T.; Crisi, P.; Deplazes, P. Clinical, laboratory and pathological findings in cats experimentally infected with Aelurostrongylus abstrusus. Parasitol. Res. 2014, 113, 1425–1433. [Google Scholar] [CrossRef]
- Traversa, D.; Iorio, R.; Otranto, D. Diagnostic and clinical implications of a nested PCR specific for ribosomal DNA of the feline lungworm Aelurostrongylus abstrusus (Nematoda, Strongylida). J. Clin. Microbiol. 2008, 46, 1811–1817. [Google Scholar] [CrossRef] [Green Version]
- Di Cesare, A.; Veronesi, F.; Frangipane di Regalbono, A.; Iorio, R.; Traversa, D. Novel molecular assay for simultaneous identification of neglected lungworms and heartworms affecting cats. J. Clin. Microbiol. 2015, 53, 3009–3013. [Google Scholar] [CrossRef] [PubMed] [Green Version]
- Raue, K.; Raue, J.; Hauck, D.; Söbbeler, F.; Morelli, S.; Traversa, D.; Schnyder, M.; Volk, H.; Strube, C. Do all roads lead to Rome? The potential of different approaches to diagnose Aelurostrongylus abstrusus infection in cats. Pathogens 2021, 14, 602. [Google Scholar] [CrossRef] [PubMed]
- Oliveira-Júnior, S.D.; Barçante, J.M.P.; Barçante, T.A.; Ribeiro, V.M.; Lima, W.S. Ectopic location of adult worms and first-stage larvae of Angiostrongylus vasorum in an infected dog. Vet. Parasitol. 2004, 121, 293–296. [Google Scholar] [CrossRef]
- Wessmann, A.; Lu, D.; Lamb, C.R.; Smyth, B.; Mantis, P.; Chandler, K.; Boag, A.; Cherubini, G.B.; Cappello, R. Brain and spinal cord haemorrhages associated with Angiostrongylus vasorum infection in four dogs. Vet. Rec. 2006, 158, 858–863. [Google Scholar] [CrossRef]
- Barratt, J.; Chan, D.; Sandaradura, I.; Malik, R.; Spielman, D.; Lee, R.; Marriott, D.; Harkness, J.; Ellis, J.; Stark, D. Angiostrongylus cantonensis: A review of its distribution, molecular biology and clinical significance as a human pathogen. Parasitology 2016, 143, 1087–1118. [Google Scholar] [CrossRef] [PubMed] [Green Version]
- Gerichter, C.B. Studies on the nematodes parasitic in the lungs of Felidae in Palestine. Parasitology 1949, 39, 251–262. [Google Scholar] [CrossRef] [PubMed]
- Stockdale, P.H. The pathogenesis of the lesions elicited by Aelurostrongylus abstrusus during its prepatent period. Pathol. Vet. 1970, 7, 102–115. [Google Scholar] [CrossRef]
- López-Contreras, F.; Rojas-Barón, L.; Gómez, M.; Morera, F.; Sepúlveda, P.; Moroni, M.; Muñoz, P.; Acosta-Jammett, G.; Mieres, M.; Hirzmann, J.; et al. Molecular Detection of Gurltia paralysans by Semi-Nested PCR in Cerebrospinal Fluid and Serum Samples from Domestic Cats (Felis catus). Animals 2020, 10, 1169. [Google Scholar] [CrossRef] [PubMed]
- Mackerras, J. Observations on the life history of the cat lungworm, Aelurostrongylus abstrusus. Aust. J. Zool. 1957, 5, 188–195. [Google Scholar] [CrossRef]
- Hamilton, J.M. Aelurostrongylus abstrusus infestation of the cat. Vet. Rec. 1963, 75, 417–422. [Google Scholar]
- Giannelli, A.; Ramos, R.A.; Annoscia, G.; Di Cesare, A.; Colella, V.; Brianti, E.; Dantas-Torres, F.; Mutafchiev, Y.; Otranto, D. Development of the feline lungworms Aelurostrongylus abstrusus and Troglostrongylus brevior in Helix aspersa snails. Parasitology 2014, 141, 563–569. [Google Scholar] [CrossRef]
- Muñoz, P.; Hirzmann, J.; Rodriguez, E.; Moroni, M.; Taubert, A.; Gibbons, L.; Hermosilla, C.; Gómez, M. Redescription and first molecular characterization of the little known feline neurotropic nematode Gurltia paralysans (Nematoda: Metastrongyloidea). Vet. Parasitol. Reg. Stud. Rep. 2017, 10, 119–125. [Google Scholar] [CrossRef]
- Dazzi, C.C.; Santos, A.D.; Machado, T.P.; Ataíde, M.W.; Rodriguez, R.; Pereira, A.M.; García, P.S.; Motta, A.C.D. First case report of nematode parasitic myelopathy in a wild feline in Brazil. Rev. Bras. Parasitol. Vet. 2020, 29, e014619. [Google Scholar] [CrossRef] [PubMed] [Green Version]
- Hurníková, Z.; Čabanová, V.; Karpjak, P.; Kasenčák, M.; Miterpáková, M. Rare case of Angiostrongylus vasorum intraocular infestation in an asymptomatic dog. Helminthologia 2019, 56, 319. [Google Scholar] [CrossRef] [PubMed] [Green Version]
- Di Cesare, A.; Morelli, S.; Colombo, M.; Simonato, G.; Veronesi, F.; Marcer, F.; Diakou, A.; D’Angelosante, R.; Pantchev, N.; Psaralexi, E.; et al. Is Angiostrongylosis a Realistic Threat for Domestic Cats? Front. Vet. Sci. 2020, 7, 195. [Google Scholar] [CrossRef] [PubMed]
- Giannetto, S.; Gaglio, G.; Napoli, E.; Falsone, L.; Giannetto, S.; Latrofa, M.S.; Giannelli, A.; Dantas-Torres, F.; Otranto, D. Evidence for direct transmission of the cat lungworm Troglostrongylus brevior (Strongylida:Crenosomatidae). Parasitology 2013, 140, 821–824. [Google Scholar]
- Penagos-Tabares, F.; Lange, M.K.; Vélez, J.; Hirzmann, J.; Gutiérrez-Arboleda, J.; Taubert, A.; Hermosilla, C.; Chaparro Gutiérrez, J.J. The invasive giant African snail Lissachatina fulica as natural intermediate host of Aelurostrongylus abstrusus, Angiostrongylus vasorum, Troglostrongylus brevior, and Crenosoma vulpis in Colombia. PLoS Negl. Trop. Dis. 2019, 13, e0007277. [Google Scholar] [CrossRef]
- Philbey, A.W.; Krause, S.; Jefferies, R. Verminous pneumonia and enteritis due to hyperinfection with Aelurostrongylus abstrusus in a kitten. J. Comp. Pathol. 2014, 150, 357–360. [Google Scholar] [CrossRef] [PubMed]
- Ellis, A.E.; Brown, C.A.; Yabsley, M.J. Aelurostrongylus abstrusus larvae in the colon of two cats. J. Vet. Diagn. Investig. 2010, 22, 652–655. [Google Scholar] [CrossRef] [Green Version]
- Hartmann, K. Clinical aspects of feline retroviruses: A review. Viruses 2012, 4, 2684–2710. [Google Scholar] [CrossRef] [PubMed] [Green Version]
Publisher’s Note: MDPI stays neutral with regard to jurisdictional claims in published maps and institutional affiliations. |
© 2022 by the authors. Licensee MDPI, Basel, Switzerland. This article is an open access article distributed under the terms and conditions of the Creative Commons Attribution (CC BY) license (https://creativecommons.org/licenses/by/4.0/).




