Programmed Cell Death-Ligand 1 (PD-L1) Immunohistochemical Expression in Equine Melanocytic Tumors
Abstract
Simple Summary
Abstract
1. Introduction
2. Materials and Methods
2.1. Tissue Samples
2.2. Clinical Information
2.3. Histopathological Evaluation
2.4. Immunohistochemistry
2.5. Immunohistochemical Evaluation
2.6. Statistical Analysis
3. Results
3.1. Clinical Information
3.2. Histopathologic Results
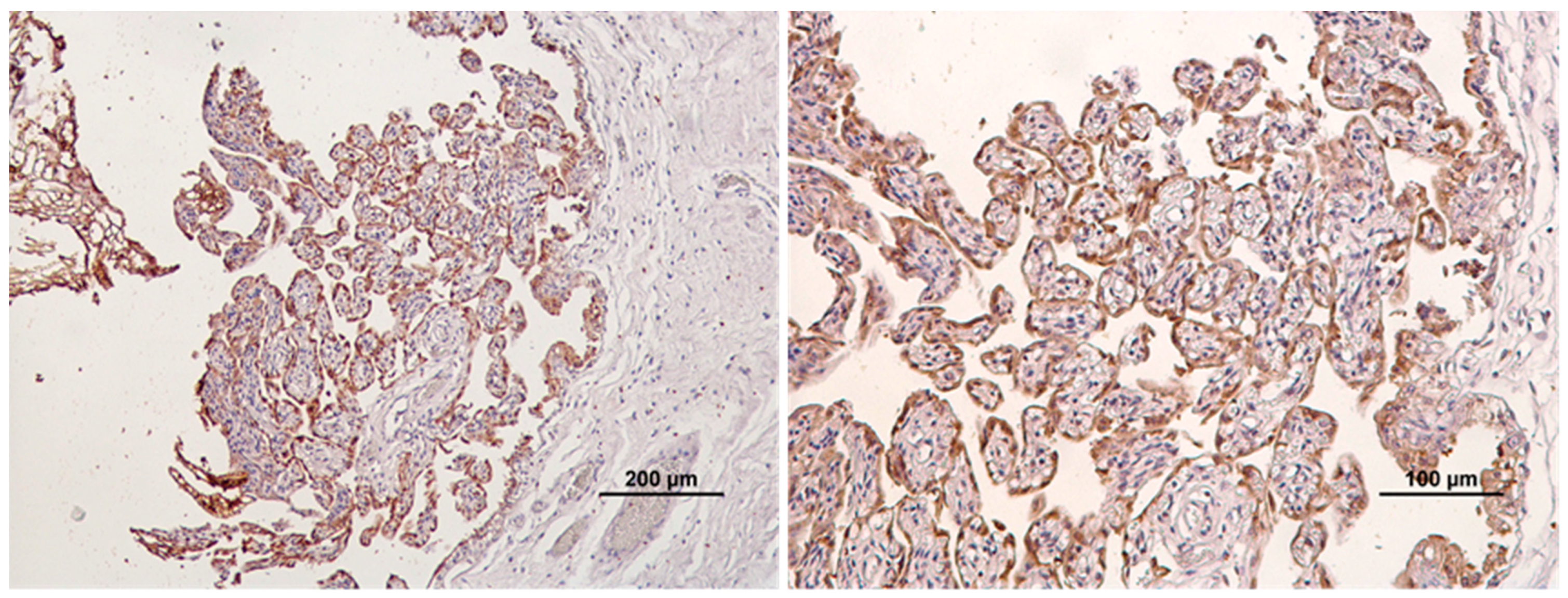
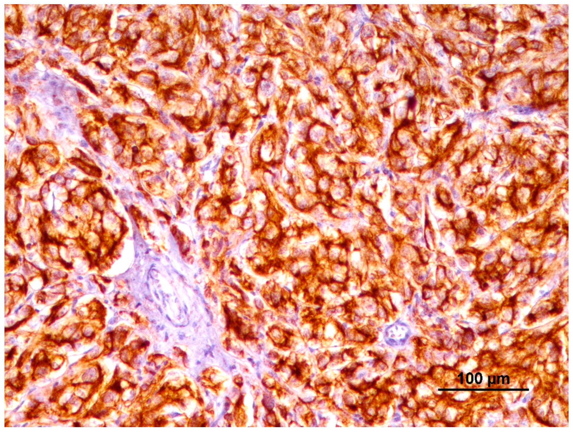
3.3. Immunohistochemical Results
4. Discussion
5. Conclusions
Author Contributions
Funding
Institutional Review Board Statement
Informed Consent Statement
Data Availability Statement
Conflicts of Interest
References
- Phillips, J.C.; Lembcke, L.M. Equine Melanocytic Tumors. Vet. Clin. N. Am. Equine Pract. 2013, 29, 673–687. [Google Scholar] [CrossRef] [PubMed]
- Knottenbelt, D.C.; Patterson-Kane, J.C.; Snalune, K.L. Tumours of the Skin. In Clinical Equine Oncology; Elsevier: Amsterdam, The Netherlands, 2015; pp. 544–584. ISBN 978-0-7020-4266-9. [Google Scholar]
- Sundström, E.; Imsland, F.; Mikko, S.; Wade, C.; Sigurdsson, S.; Rosengren Pielberg, G.; Golovko, A.; Curik, I.; Seltenhammer, M.H.; Sölkner, J.; et al. Copy Number Expansion of the STX17 Duplication in Melanoma Tissue from Grey Horses. BMC Genom. 2012, 13, 365. [Google Scholar] [CrossRef] [PubMed]
- Nowacka-Woszuk, J.; Mackowski, M.; Stefaniuk-Szmukier, M.; Cieslak, J. The Equine Graying with Age Mutation of the STX17 Gene: A Copy Number Study Using Droplet Digital PCR Reveals a New Pattern. Anim. Genet. 2021, 52, 223–227. [Google Scholar] [CrossRef] [PubMed]
- Rieder, S.; Stricker, C.; Joerg, H.; Dummer, R.; Stranzinger, G. A Comparative Genetic Approach for the Investigation of Ageing Grey Horse Melanoma. J. Anim. Breed. Genet. 2000, 117, 73–82. [Google Scholar] [CrossRef]
- Knottenbelt, D.C.; Patterson-Kane, J.C.; Snalune, K.L. Melanocytic Neoplasms. In Clinical Equine Oncology; Elsevier: Amsterdam, The Netherlands, 2015; pp. 237–246. ISBN 978-0-7020-4266-9. [Google Scholar]
- Seltenhammer, M.H.; Simhofer, H.; Scherzer, S.; Zechner, P.; Curik, I.; Sölkner, J.; Brandt, S.M.; Jansen, B.; Pehamberger, H.; Eisenmenger, E. Equine Melanoma in a Population of 296 Grey Lipizzaner Horses. Equine Vet. J. 2003, 35, 153–157. [Google Scholar] [CrossRef] [PubMed]
- Cavalleri, J.M.V.; Mählmann, K.; Steinig, P.; Feige, K. Aetiology, Clinical Presentation and Current Treatment Options of Equine Malignant Melanoma—A Review of the Literature. Pferdeheilkunde 2014, 30, 455–460. [Google Scholar] [CrossRef]
- Moore, J.S.; Shaw, C.; Shaw, E.; Buechner-Maxwell, V.; Scarratt, W.K.; Crisman, M.; Furr, M.; Robertson, J. Melanoma in Horses: Current Perspectives. Equine Vet. Educ. 2013, 25, 144–151. [Google Scholar] [CrossRef]
- Pilsworth, R.C.; Knottenbelt, D. Skin Diseases Refresher Melanoma. Equine Vet. Educ. 2006, 25, 296–340. [Google Scholar]
- Wong, K.; van der Weyden, L.; Schott, C.R.; Foote, A.; Constantino-Casas, F.; Smith, S.; Dobson, J.M.; Murchison, E.P.; Wu, H.; Yeh, I.; et al. Cross-Species Genomic Landscape Comparison of Human Mucosal Melanoma with Canine Oral and Equine Melanoma. Nat. Commun. 2019, 10, 353. [Google Scholar] [CrossRef]
- Deleon, M. Cutaneous Melanoma: A Comparative Study between Gray Horses, Canines, and Humans. 2021. Available online: https://dr.lib.iastate.edu/home (accessed on 11 July 2022).
- Pimenta, J.; Prada, J.; Cotovio, M. Equine Melanocytic Tumors: A Narrative Review. Animals 2023, 13, 247. [Google Scholar] [CrossRef]
- Strauss, R.A.; Allbaugh, R.A.; Haynes, J.; Ben-Shlomo, G. Primary Corneal Malignant Melanoma in a Horse. Equine Vet. Educ. 2019, 31, 403–409. [Google Scholar] [CrossRef]
- Honnas, C.M.; Liskey, C.C.; Meagher, D.M.; Luck, E.E. Malignant Melanoma in the Foot of a Horse. J. Am. Vet. Med. Assoc. 1990, 197, 756–758. [Google Scholar] [PubMed]
- Kunze, D.J.; Monticello, T.M.; Jakob, T.P.; Crane, S. Malignant Melanoma of the Coronary Band in a Horse. J. Am. Vet. Med. Assoc. 1986, 188, 297–298. [Google Scholar] [PubMed]
- Caston, S.S.; Fales-Williams, A. Primary Malignant Melanoma in the Oesophagus of a Foal. Equine Vet. Educ. 2010, 22, 387–390. [Google Scholar] [CrossRef]
- Albanese, V.; Newton, J.C.; Waguespack, R.W. Malignant Melanoma of the Third Eyelid in a Horse. Equine Vet. Educ. 2015, 27, e15–e19. [Google Scholar] [CrossRef]
- Valentine, B.A.; Calderwood Mays, M.B.; Cheramie, H.S. Anaplastic Malignant Melanoma of the Tail in Non-Grey Horses. Equine Vet. Educ. 2014, 26, 156–158. [Google Scholar] [CrossRef]
- Seltenhammer, M.H.; Heere-Ress, E.; Brandt, S.; Druml, T.; Jansen, B.; Pehamberger, H.; Niebauer, G.W. Comparative Histopathology of Grey-Horse-Melanoma and Human Malignant Melanoma. Pigment. Cell Res. 2004, 17, 674–681. [Google Scholar] [CrossRef]
- Va Metcalfe, L.; O’brien, P.J.; Papakonstantinou, S.; Cahalan, S.D.; Mcallister, H.; Duggan, V.E. Malignant Melanoma in a Grey Horse: Case Presentation and Review of Equine Melanoma Treatment Options. Ir. Vet. J. 2013, 66, 22. [Google Scholar] [CrossRef][Green Version]
- Yi, Z.; Gao, Y.; Yu, F.; Zhu, Y.; Liu, H.; Li, J.; Murua Escobar, H. Interventions for Treatment of Cutaneous Melanoma in Horses: A Structured Literature Review. Vet. Res. Commun. 2023, 47, 347–360. [Google Scholar] [CrossRef]
- MacKay, R.J. Treatment Options for Melanoma of Gray Horses. Vet. Clin. N. Am. Equine Pract. 2019, 35, 311–325. [Google Scholar] [CrossRef]
- Hewes, C.A.; Sullins, K.E. Review of the Treatment of Equine Cutaneous Neoplasia; AAEP Proceedings: Albuquerque, NM, USA, 2009. [Google Scholar]
- Groom, L.M.; Sullins, K.E. Surgical Excision of Large Melanocytic Tumours in Grey Horses: 38 Cases (2001–2013). Equine Vet. Educ. 2018, 30, 438–443. [Google Scholar] [CrossRef]
- Billi, T.; Karadima, V.; Tyrnenopoulou, P.; Apostolopoulou, E.P.; Brellou, G.D.; Diakakis, N. Surgical Excision of a Malignant Metastatic Melanoma Located in a Skeletal Muscle of the Lateral Thorax of a Horse. Vet. Med. Sci. 2021, 7, 297–302. [Google Scholar] [CrossRef] [PubMed]
- Rowe, E.L.; Sullins, K.E. Excision as Treatment of Dermal Melanomatosisin Horses: 11 Cases (1994–2000). J. Am. Vet. Med. Assoc. 2004, 225, 94–96. [Google Scholar] [CrossRef] [PubMed]
- Théon, A.P.; Wilson, W.D.; Magdesian, K.G.; Pusterla, N.; Snyder, J.R.G.L.D. Long-Term Outcome Associated with Intratumoral Chemotherapy with Cisplatin for Cutaneous Tumors in Equidae: 573 Cases (1995–2004). J. Am. Vet. Med. Assoc. 2007, 230, 1506–1513. [Google Scholar] [CrossRef] [PubMed]
- Hewes, C.A.; Kenneth, E. Use of Cisplatin-Containing Biodegradable Beadsfor Treatment of Cutaneous Neoplasia in Equidae: 59 Cases (2000–2004). J. Am. Vet. Med. Assoc. 2006, 229, 1617–1622. [Google Scholar] [CrossRef]
- Lembcke Perez Prieto, L.M. Safety and Immunoreactivity of a Xenogeneic DNA Plasmid Vaccine Expressing Human Tyrosinase in Tumor-Bearing Horses. Ph.D. Thesis, University of Tennessee, Knoxville, TN, USA, 2013. [Google Scholar]
- Müller, J.M.V.; Feige, K.; Wunderlin, P.; Hödl, A.; Meli, M.L.; Seltenhammer, M.; Grest, P.; Nicolson, L.; Schelling, C.; Heinzerling, L.M. Double-Blind Placebo-Controlled Study with Interleukin-18 and Interleukin-12-Encoding Plasmid DNA Shows Antitumor Effect in Metastatic Melanoma in Gray Horses. J. Immunother. 2011, 34, 58–64. [Google Scholar] [CrossRef] [PubMed]
- Heinzerling, L.M.; Feige, K.; Rieder, S.; Akens, M.K.; Dummer, R.; Stranzinger, G.; Moelling, K. Tumor Regression Induced by Intratumoral Injection of DNA Coding for Human Interleukin 12 into Melanoma Metastases in Gray Horses. J. Mol. Med. 2001, 78, 692–702. [Google Scholar] [CrossRef]
- Finocchiaro, L.M.E.; Riveros, M.D.; Glikin, G.C. Cytokine-Enhanced Vaccine and Suicide Gene Therapy as Adjuvant Treatments of Metastatic Melanoma in a Horse. Vet. Rec. 2009, 164, 278–279. [Google Scholar] [CrossRef]
- Lichtenstein, F.; Iqbal, A.; de Lima Will, S.E.A.; Bosch, R.V.; DeOcesano-Pereira, C.; Goldfeder, M.B.; Chammas, R.; Trufen, C.E.M.; Morais, K.L.P.; de Souza, J.G.; et al. Modulation of Stress and Immune Response by Amblyomin-X Results in Tumor Cell Death in a Horse Melanoma Model. Sci. Rep. 2020, 10, 6388. [Google Scholar] [CrossRef]
- Mählmann, K.; Feige, K.; Juhls, C.; Endmann, A.; Schuberth, H.J.; Oswald, D.; Hellige, M.; Doherr, M.; Cavalleri, J.M.V. Local and Systemic Effect of Transfection-Reagent Formulated DNA Vectors on Equine Melanoma. BMC Vet. Res. 2015, 11, 132. [Google Scholar] [CrossRef]
- Tamzali, Y.; Kemp-Symonds, J. Principles of Oncological Therapy. In Clinical Equine Oncology; Elsevier: Amsterdam, The Netherlands, 2015; pp. 118–197. ISBN 978-0-7020-4266-9. [Google Scholar]
- Helle, N.M. Effectiveness of Cimetidine on the Size of Melanomas of 40 Grey Horses; University of Utrecht: Utrecht, The Neterlands, 2012. [Google Scholar]
- Laus, F.; Cerquetella, M.; Paggi, E.; Ippedico, G.; Argentieri, M.; Castellano, G.; Spaterna, A.; Tesei, B. Evaluation of Cimetidine as a Therapy for Dermal Melanomatosis in Grey Horse. Isr. J. Vet. Med. 2010, 65, 48–52. [Google Scholar]
- Halliwell, E.; Carslake, H.; Malalana, F. Vaccination with Human Tyrosinase as a Therapy for Equine Intraocular Melanoma—4 Cases: 2016–2021. Equine Vet. Educ. 2023, 35, E234–E240. [Google Scholar] [CrossRef]
- Tarone, L.; Giacobino, D.; Camerino, M.; Ferrone, S.; Buracco, P.; Cavallo, F.; Riccardo, F. Canine Melanoma Immunology and Immunotherapy: Relevance of Translational Research. Front. Vet. Sci. 2022, 9, 803093. [Google Scholar] [CrossRef] [PubMed]
- Kythreotou, A.; Siddique, A.; Mauri, F.A.; Bower, M.; Pinato, D.J. PD-L1. J. Clin. Pathol. 2018, 71, 189–194. [Google Scholar] [CrossRef] [PubMed]
- Stevenson, V.; Klahn, S.; LeRoith, T.; Huckle, W. Canine Melanoma: A Review of Diagnostics and Comparative Mechanisms of Disease and Immunotolerance in the Era of the Immunotherapies. Front. Vet. Sci. 2023, 9, 1046636. [Google Scholar] [CrossRef] [PubMed]
- Stevenson, V.B.; Perry, S.N.; Todd, M.; Huckle, W.R.; LeRoith, T. PD-1, PD-L1, and PD-L2 Gene Expression and Tumor Infiltrating Lymphocytes in Canine Melanoma. Vet. Pathol. 2021, 58, 692–698. [Google Scholar] [CrossRef]
- Shosu, K.; Sakurai, M.; Inoue, K.; Nakagawa, T.; Sakai, H.; Morimoto, M.; Okuda, M.; Noguchi, S.; Mizuno, T. Programmed Cell Death Ligand 1 Expression in Canine Cancer. In Vivo 2016, 30, 195–204. [Google Scholar]
- Maekawa, N.; Konnai, S.; Okagawa, T.; Nishimori, A.; Ikebuchi, R.; Izumi, Y.; Takagi, S.; Kagawa, Y.; Nakajima, C.; Suzuki, Y.; et al. Immunohistochemical Analysis of PD-L1 Expression in Canine Malignant Cancers and PD-1 Expression on Lymphocytes in Canine Oral Melanoma. PLoS ONE 2016, 11, e0157176. [Google Scholar] [CrossRef]
- Patel, S.P.; Kurzrock, R. PD-L1 Expression as a Predictive Biomarker in Cancer Immunotherapy. Mol. Cancer Ther. 2015, 14, 847–856. [Google Scholar] [CrossRef]
- Pantelyushin, S.; Ranninger, E.; Guerrera, D.; Hutter, G.; Maake, C.; Markkanen, E.; Bettschart-Wolfensberger, R.; Bley, C.R.; Läubli, H.; Vom Berg, J. Cross-Reactivity and Functionality of Approved Human Immune Checkpoint Blockers in Dogs. Cancers 2021, 13, 785. [Google Scholar] [CrossRef]
- Maekawa, N.; Konnai, S.; Takagi, S.; Kagawa, Y.; Okagawa, T.; Nishimori, A.; Ikebuchi, R.; Izumi, Y.; Deguchi, T.; Nakajima, C.; et al. A Canine Chimeric Monoclonal Antibody Targeting PD-L1 and Its Clinical Efficacy in Canine Oral Malignant Melanoma or Undifferentiated Sarcoma. Sci. Rep. 2017, 7, 8951. [Google Scholar] [CrossRef] [PubMed]
- Almela, R.M.; Ansón, A. A Review of Immunotherapeutic Strategies in Canine Malignant Melanoma. Vet. Sci. 2019, 6, 15. [Google Scholar] [CrossRef] [PubMed]
- Igase, M.; Nemoto, Y.; Itamoto, K.; Tani, K.; Nakaichi, M.; Sakurai, M.; Sakai, Y.; Noguchi, S.; Kato, M.; Tsukui, T.; et al. A Pilot Clinical Study of the Therapeutic Antibody against Canine PD-1 for Advanced Spontaneous Cancers in Dogs. Sci. Rep. 2020, 10, 18311. [Google Scholar] [CrossRef] [PubMed]
- Maekawa, N.; Konnai, S.; Nishimura, M.; Kagawa, Y.; Takagi, S.; Hosoya, K.; Ohta, H.; Kim, S.; Okagawa, T.; Izumi, Y.; et al. PD-L1 Immunohistochemistry for Canine Cancers and Clinical Benefit of Anti-PD-L1 Antibody in Dogs with Pulmonary Metastatic Oral Malignant Melanoma. NPJ Precis. Oncol. 2021, 5, 10. [Google Scholar] [CrossRef] [PubMed]
- Maekawa, N.; Konnai, S.; Ikebuchi, R.; Okagawa, T.; Adachi, M.; Takagi, S.; Kagawa, Y.; Nakajima, C.; Suzuki, Y.; Murata, S.; et al. Expression of PD-L1 on Canine Tumor Cells and Enhancement of IFN-γ Production from Tumor-Infiltrating Cells by PD-L1 Blockade. PLoS ONE 2014, 9, e98415. [Google Scholar] [CrossRef] [PubMed]
- Benvegnen, J.; De Breuyn, B.; Gerber, V.; Rottenberg, S.; Koch, C. Immunohistochemical Analysis of Programmed Death-Ligand 1 Expression in Equine Sarcoids. J. Equine Vet. Sci. 2021, 97, 103338. [Google Scholar] [CrossRef]
- Ganbaatar, O.; Konnai, S.; Okagawa, T.; Nojima, Y.; Maekawa, N.; Minato, E.; Kobayashi, A.; Ando, R.; Sasaki, N.; Miyakoshi, D.; et al. PD-L1 Expression in Equine Malignant Melanoma and Functional Effects of PD-L1 Blockade. PLoS ONE 2020, 15, e0234218. [Google Scholar] [CrossRef]
- Porcellato, I.; Mecocci, S.; Brachelente, C.; Cappelli, K.; Armando, F.; Tognoloni, A.; Chiaradia, E.; Stefanetti, V.; Mechelli, L.; Pepe, M.; et al. Pd-L1/Pd-1 and Ctla-4 Expression in Equine Penile Squamous Cell Carcinomas. Animals 2021, 11, 2121. [Google Scholar] [CrossRef]
- Pires, I.; Gomes, J.; Prada, J.; Pereira, D.; Queiroga, F.L. MMP-2 and MMP-9 Expression in Canine Cutaneous Melanocytic Tumours: Evidence of a Relationship with Tumoural Malignancy; InTech: London, UK, 2013. [Google Scholar] [CrossRef]
- Campagne, C.; Julé, S.; Bernex, F.; Estrada, M.; Aubin-Houzelstein, G.; Panthier, J.; Egidy, G. RACK1, a Clue to the Diagnosis of Cutaneous Melanomas in Horses. BMC Vet. Res. 2012, 8, 95. [Google Scholar] [CrossRef]
- Hartley, G.; Faulhaber, E.; Caldwell, A.; Coy, J.; Kurihara, J.; Guth, A.; Regan, D.; Dow, S. Immune Regulation of Canine Tumour and Macrophage PD-L1 Expression. Vet. Comp. Oncol. 2017, 15, 534–549. [Google Scholar] [CrossRef]
- Coy, J.; Caldwell, A.; Chow, L.; Guth, A.; Dow, S. PD-1 Expression by Canine T Cells and Functional Effects of PD-1 Blockade. Vet. Comp. Oncol. 2017, 15, 1487–1502. [Google Scholar] [CrossRef] [PubMed]
- Botti, G.; Fratangelo, F.; Cerrone, M.; Liguori, G.; Cantile, M.; Anniciello, A.M.; Scala, S.; D’Alterio, C.; Trimarco, C.; Ianaro, A.; et al. COX-2 Expression Positively Correlates with PD-L1 Expression in Human Melanoma Cells. J. Transl. Med. 2017, 15, 46. [Google Scholar] [CrossRef] [PubMed]
- Kaunitz, G.J.; Cottrell, T.R.; Lilo, M.; Muthappan, V.; Esandrio, J.; Berry, S.; Xu, H.; Ogurtsova, A.; Anders, R.A.; Fischer, A.H.; et al. Melanoma Subtypes Demonstrate Distinct PD-L1 Expression Profiles. Lab. Investig. 2017, 97, 1063–1071. [Google Scholar] [CrossRef] [PubMed]
- Madore, J.; Vilain, R.E.; Menzies, A.M.; Kakavand, H.; Wilmott, J.S.; Hyman, J.; Yearley, J.H.; Kefford, R.F.; Thompson, J.F.; Long, G.V.; et al. PD-L1 Expression in Melanoma Shows Marked Heterogeneity within and between Patients: Implications for Anti-PD-1/PD-L1 Clinical Trials. Pigment. Cell Melanoma Res. 2015, 28, 245–253. [Google Scholar] [CrossRef] [PubMed]
- Burden, K. Melanomas and Their Effect on the Grey Horse. Young Sci. J. 2011, 4, 75. [Google Scholar] [CrossRef]
- Curik, I.; Druml, T.; Seltenhammer, M.; Sundström, E.; Pielberg, G.R.; Andersson, L.; Sölkner, J. Complex Inheritance of Melanoma and Pigmentation of Coat and Skin in Grey Horses. PLoS Genet. 2013, 9, e1003248. [Google Scholar] [CrossRef] [PubMed]
- Resende, L.; Moreira, J.; Prada, J.; Queiroga, F.L.; Pires, I. Current Insights Into Canine Cutaneous Melanocytic Tumours Diagnosis. In Melanoma—Current Clinical Management and Future Therapeutics; Intech: London, UK, 2015. [Google Scholar]
- Chen, S.; McMiller, T.; Sankaran, P.; Kampta, K.; Topalian, S. The COX-2 Pathway as a Mediator of Resistance to Anti-PD-1 Therapy. J. Immunother. Cancer 2021, 9, A312. [Google Scholar] [CrossRef]
- Maekawa, N.; Konnai, S.; Asano, Y.; Sajiki, Y.; Deguchi, T.; Okagawa, T.; Watari, K.; Takeuchi, H.; Takagi, S.; Hosoya, K.; et al. Exploration of Serum Biomarkers in Dogs with Malignant Melanoma Receiving Anti-PD-L1 Therapy and Potential of COX-2 Inhibition for Combination Therapy. Sci. Rep. 2022, 12, 9265. [Google Scholar] [CrossRef]
- Shen, X.; Zhao, B. Efficacy of PD-1 or PD-L1 Inhibitors and PD-L1 Expression Status in Cancer: Meta-Analysis. BMJ 2018, 362, k3529. [Google Scholar] [CrossRef]
- Chen, X.J.; Yuan, S.Q.; Duan, J.L.; Chen, Y.M.; Chen, S.; Wang, Y.; Li, Y.F. The Value of PD-L1 Expression in Predicting the Efficacy of Anti-PD-1 or Anti-PD-L1 Therapy in Patients with Cancer: A Systematic Review and Meta-Analysis. Dis. Markers 2020, 2020, 6717912. [Google Scholar] [CrossRef]
- Yi, M.; Jiao, D.; Xu, H.; Liu, Q.; Zhao, W.; Han, X.; Wu, K. Biomarkers for Predicting Efficacy of PD-1/PD-L1 Inhibitors. Mol. Cancer 2018, 17, 129. [Google Scholar] [CrossRef] [PubMed]
- Shields, B.D.; Mahmoud, F.; Taylor, E.M.; Byrum, S.D.; Sengupta, D.; Koss, B.; Baldini, G.; Ransom, S.; Cline, K.; Mackintosh, S.G.; et al. Indicators of Responsiveness to Immune Checkpoint Inhibitors. Sci. Rep. 2017, 7, 807. [Google Scholar] [CrossRef] [PubMed]
- Akhtar, M.; Rashid, S.; Al-Bozom, I.A. PD−L1 Immunostaining: What Pathologists Need to Know. Diagn. Pathol. 2021, 16, 94. [Google Scholar] [CrossRef] [PubMed]
- Hanks, B.A. The “Inside” Story on Tumor-Expressed PD-L1. Cancer Res. 2022, 82, 2069–2071. [Google Scholar] [CrossRef]
- Muscatello, L.V.; Gobbo, F.; Avallone, G.; Innao, M.; Benazzi, C.; D’Annunzio, G.; Romaniello, D.; Orioles, M.; Lauriola, M.; Sarli, G. PDL1 Immunohistochemistry in Canine Neoplasms: Validation of Commercial Antibodies, Standardization of Evaluation, and Scoring Systems. Vet. Pathol. 2023. [Google Scholar] [CrossRef]






| Histological Classification | Nuclear Grade | Mitotic Count | Tumor Vascular Emboli | |||||
|---|---|---|---|---|---|---|---|---|
| I | II | III | 0 | <10 | >10 | Absent | Present | |
| Benign | 35 | 4 | 0 | 39 | 0 | 0 | 39 | 0 |
| Malignant | 0 | 7 | 31 | 25 | 3 | 10 | 11 | 27 |
| Immunohistochemistry | Benign (n = 39) | Malignant (n = 38) | Total (n = 77) | |
|---|---|---|---|---|
| Extension | 0 (negative cells) | 3 | 0 | 3 |
| 1 (<10% cells) | 2 | 1 | 3 | |
| 2 (10–25% cells) | 3 | 0 | 3 | |
| 3 (25–50% cells) | 9 | 13 | 22 | |
| 4 (>50% cells) | 22 | 24 | 46 | |
| Immunohistochemistry | Cutaneous (n = 36) | Mucocutaneous (n = 30) | |
|---|---|---|---|
| Extension | 0 (negative cells) | 2 | 0 |
| 1 (<10% cells) | 1 | 0 | |
| 2 (10–25% cells) | 1 | 1 | |
| 3 (25–50% cells) | 10 | 9 | |
| 4 (>50% cells) | 22 | 20 | |
Disclaimer/Publisher’s Note: The statements, opinions and data contained in all publications are solely those of the individual author(s) and contributor(s) and not of MDPI and/or the editor(s). MDPI and/or the editor(s) disclaim responsibility for any injury to people or property resulting from any ideas, methods, instructions or products referred to in the content. |
© 2023 by the authors. Licensee MDPI, Basel, Switzerland. This article is an open access article distributed under the terms and conditions of the Creative Commons Attribution (CC BY) license (https://creativecommons.org/licenses/by/4.0/).
Share and Cite
Pimenta, J.; Prada, J.; Pires, I.; Cotovio, M. Programmed Cell Death-Ligand 1 (PD-L1) Immunohistochemical Expression in Equine Melanocytic Tumors. Animals 2024, 14, 48. https://doi.org/10.3390/ani14010048
Pimenta J, Prada J, Pires I, Cotovio M. Programmed Cell Death-Ligand 1 (PD-L1) Immunohistochemical Expression in Equine Melanocytic Tumors. Animals. 2024; 14(1):48. https://doi.org/10.3390/ani14010048
Chicago/Turabian StylePimenta, José, Justina Prada, Isabel Pires, and Mário Cotovio. 2024. "Programmed Cell Death-Ligand 1 (PD-L1) Immunohistochemical Expression in Equine Melanocytic Tumors" Animals 14, no. 1: 48. https://doi.org/10.3390/ani14010048
APA StylePimenta, J., Prada, J., Pires, I., & Cotovio, M. (2024). Programmed Cell Death-Ligand 1 (PD-L1) Immunohistochemical Expression in Equine Melanocytic Tumors. Animals, 14(1), 48. https://doi.org/10.3390/ani14010048

