Liver Histopathological and Immunohistochemical Evaluation from Fasciola hepatica Experimentally Infected and Reinfected Sheep
Abstract
Simple Summary
Abstract
1. Introduction
2. Materials and Methods
2.1. Experimental Design
2.2. Necropsy, Sample Processing and Fluke Burdens
2.3. Histopathological Study
2.4. Immunohistochemical Study
2.5. Cell Counting
2.6. Statistical Analysis
3. Results
3.1. Fluke Burdens
3.2. Histopathological Evaluation in Primoinfected Sheep
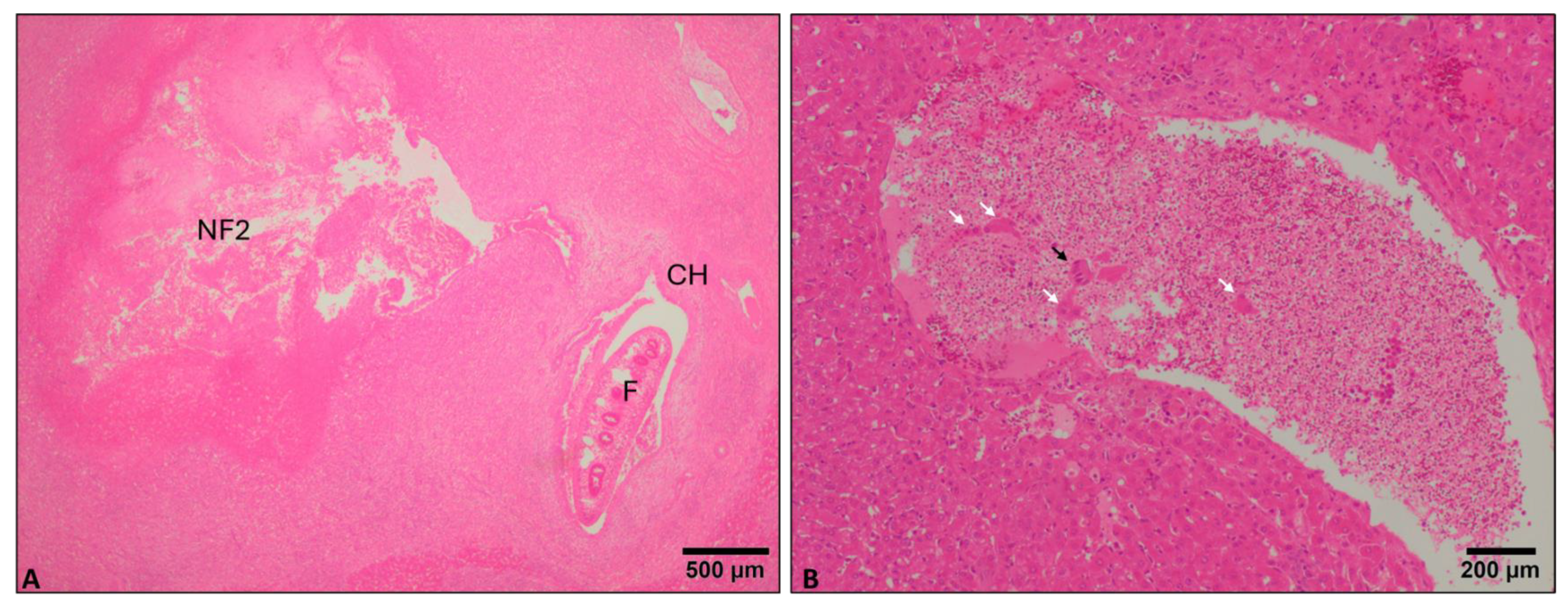
3.3. Histopathological Evaluation in Reinfected Sheep
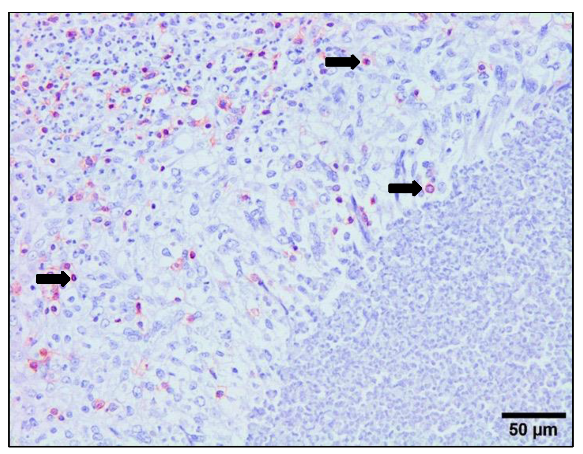
3.4. Immunohistochemical Study
4. Discussion
5. Conclusions
Author Contributions
Funding
Institutional Review Board Statement
Informed Consent Statement
Data Availability Statement
Conflicts of Interest
References
- Mehmood, K.; Zhang, H.; Sabir, A.J.; Abbas, R.Z.; Ijaz, M.; Durrani, A.Z.; Saleem, M.H.; Rehman, M.U.; Iqbal, M.K.; Wang, Y.; et al. A review on epidemiology, global prevalence and economical losses of fasciolosis in ruminants. Microb. Pathog. 2017, 109, 253–262. [Google Scholar] [CrossRef] [PubMed]
- Charlier, J.; Rinaldi, L.; Musella, V.; Ploeger, H.W.; Chartier, C.; Vineer, H.R.; Hinney, B.; von Samson-Himmelstjerna, G.; Bacescu, B.; Mickiewicz, M.; et al. Initial assessment of the economic burden of major parasitic helminth infections to the ruminant livestock industry in Europe. Prev. Vet. Med. 2020, 182, 105103. [Google Scholar] [CrossRef] [PubMed]
- Fairweather, I.; Brennan, G.P.; Hanna, R.E.B.; Robinson, M.W.; Skuce, P.J. Drug resistance in liver flukes. Int. J. Parasitol. 2020, 12, 39–59. [Google Scholar] [CrossRef] [PubMed]
- Claridge, J.; Diggle, P.; McCann, C.M.; Mulcahy, G.; Flynn, R.; McNair, J.; Strain, S.; Welsh, M.; Baylis, M.; Williams, D.J.L. Fasciola hepatica is associated with the failure to detect bovine tuberculosis in dairy cattle. Nat. Commun. 2012, 3, 853. [Google Scholar] [CrossRef] [PubMed]
- Spithill, T.W.; Toet, H.; Rathinasamy, V.; Zerna, G.; Swan, J.; Cameron, T.; Smooker, P.M.; Piedrafita, D.M.; Dempster, R.; Beddoe, T. Vaccines for Fasciola: New thinking for an old problem. In Fasciolosis, 2nd ed.; Dalton, J.P., Ed.; CABI Publishing: Wallingford, UK, 2022; pp. 379–422. [Google Scholar] [CrossRef]
- Flores-Velázquez, L.M.; Ruiz-Campillo, M.T.; Herrera-Torres, G.; Martínez-Moreno, A.; Martínez-Moreno, F.J.; Zafra, R.; Buffoni, L.; Rufino-Moya, P.J.; Molina-Hernández, V.; Pérez, J. Fasciolosis: Pathogenesis, host-parasite interactions, and implication in vaccine development. Front. Vet. Sci. 2023, 10, 1270064. [Google Scholar] [CrossRef] [PubMed]
- Dalton, J.P.; Robinson, M.W.; Mulcahy, G.; O’Neill, S.; Donnelly, S. Immunomodulatory molecules of Fasciola hepatica: Candidates for both vaccine and immunotherapeutic development. Vet. Parasitol. 2013, 195, 272–285. [Google Scholar] [CrossRef] [PubMed]
- Ryan, S.; Shiels, J.; Taggart, C.C.; Dalton, J.P.; Weldon, S. Fasciola hepatica-derived molecules as regulators of the host immune response. Front. Immunol. 2020, 11, 2182. [Google Scholar] [CrossRef]
- Corral-Ruiz, G.M.; Sánchez-Torres, L.E. Fasciola hepatica-derived molecules as potential immunomodulators. Acta Trop. 2020, 210, 105548. [Google Scholar] [CrossRef]
- Escamilla, A.; Zafra, R.; McNeilly, T.N.; Pacheco, I.L.; Buffoni, L.; Martínez-Moreno, F.J.; Molina-Hernández, V.; Martínez-Moreno, A. Distribution of Foxp3+ T cells in the liver and hepatic lymph nodes of goats and sheep experimentally infected with Fasciola hepatica. Vet. Parasitol. 2016, 230, 14–19. [Google Scholar] [CrossRef]
- Pacheco, I.L.; Abril, N.; Zafra, R.; Molina-Hernández, V.; Morales-Prieto, N.; Bautista, M.J.; Ruiz-Campillo, M.T.; Pérez-Caballero, R.; Martínez-Moreno, A.; Pérez, J. Fasciola hepatica induces Foxp3 T cell, proinflammatory and regulatory cytokine overexpression in liver from infected sheep during early stages of infection. Vet. Res. 2018, 49, 56. [Google Scholar] [CrossRef]
- Donnelly, S.; O’Neill, S.M.; Sekiya, M.; Mulcahy, G.; Dalton, J.P. Thioredoxin perixodase secreted by Fasciola hepatica induces the alternative activation of macrophages. Infect. Immun. 2005, 73, 166–173. [Google Scholar] [CrossRef]
- Flynn, R.J.; Irwin, J.A.; Olivier, M.; Sekiya, M.; Dalton, J.P.; Mulcahy, G. Alternative activation of ruminant macrophages by Fasciola hepatica. Vet. Immunol. Immunopathol. 2007, 120, 31–40. [Google Scholar] [CrossRef]
- Ruiz-Campillo, M.T.; Molina-Hernández, V.; Pérez, J.; Pacheco, I.L.; Pérez, R.; Escamilla, A.; Martínez-Moreno, F.J.; Martínez-Moreno, A.; Zafra, R. Study of peritoneal macrophage immunophenotype in sheep experimentally infected with Fasciola hepatica. Vet. Parasitol. 2018, 257, 34–39. [Google Scholar] [CrossRef]
- Beesley, N.J.; Caminade, C.; Charlier, J.; Flynn, R.F.; Hodgkinson, J.E.; Martínez-Moreno, A.; Martínez-Valladares, M.; Pérez, J.; Rinaldi, L.; Williams, D.J.L. Fasciola and fasciolosis in ruminants in Europe: Identifying research needs. Transbound. Emerg. Dis. 2018, 65, 199–216. [Google Scholar] [CrossRef] [PubMed]
- Cwiklinski, K.; Dalton, J.P. Omics tools enabling vaccine discovery against fasciolosis. Trends Parasitol. 2022, 38, 1068–1079. [Google Scholar] [CrossRef] [PubMed]
- Tanabe, M.B.; Caravedo, M.A.; White Jr, A.C.; Cabada, M.M. An update on the pathogenesis of fascioliasis: What do we know? Res. Rep. Trop. Med. 2024, 15, 13–24. [Google Scholar] [CrossRef] [PubMed]
- Zafra, R.; Buffoni, L.; Pérez-Caballero, R.; Molina-Hernández, V.; Ruiz-Campillo, M.T.; Pérez, J.; Martínez-Moreno, A.; Martínez-Moreno, F.J. Efficacy of a multivalent vaccine against Fasciola hepatica infection in sheep. Vet. Res. 2021, 52, 13. [Google Scholar] [CrossRef] [PubMed]
- Molina-Hernández, V.; Ruiz-Campillo, M.T.; Martínez-Moreno, F.J.; Buffoni, L.; Martínez-Moreno, A.; Zafra, R.; Bautista, M.J.; Escamilla, A.; Pérez-Caballero, R.; Pérez, J. A partially protective vaccine for Fasciola hepatica induced degeneration of adult flukes associated to a severe granulomatous reaction in sheep. Animals 2021, 11, 2869. [Google Scholar] [CrossRef]
- Ruiz-Campillo, M.T.; Molina-Hernández, V.; Bautista, M.J.; Pacheco, I.L.; Zafra, R.; Buffoni, L.; Martínez-Moreno, F.J.; Martínez-Moreno, A.; Pérez, J. Characterization of dendritic cells and follicular dendritic cells in the hepatic lymph nodes and liver of sheep experimentally infected with Fasciola hepatica. Vet. Res. 2020, 51, 33. [Google Scholar] [CrossRef]
- Dow, C.; Ross, J.G.; Todd, J.R. The pathology of experimental fascioliasis in calves. J. Comp. Pathol. 1967, 77, 377–385. [Google Scholar] [CrossRef]
- Rahko, T. The pathology of natural Fasciola hepatica infection in cattle. Pathol. Vet. 1969, 6, 244–256. [Google Scholar] [CrossRef] [PubMed]
- Rushton, B. Ovine fascioliasis following reinfection. Res. Vet. Sci. 1977, 22, 133–134. [Google Scholar] [CrossRef]
- Rushton, B.; Murray, M. Hepatic pathology of a primary experimental infection of Fasciola hepatica in sheep. J. Comp. Pathol. 1977, 87, 459–470. [Google Scholar] [CrossRef] [PubMed]
- Meeusen, E.; Lee, C.S.; Rickard, M.D.; Brandon, M.R. Cellular responses during liver fluke infection in sheep and its evasion by the parasite. Parasite Immunol. 1995, 17, 37–45. [Google Scholar] [CrossRef] [PubMed]
- Martínez-Moreno, A.; Jiménez-Luque, V.; Moreno, T.; Redondo, E.S.; de las Mulas, J.M.; Pérez, J. Liver pathology and immune response in experimental Fasciola hepatica infection of goats. Vet. Parasitol. 1999, 82, 19–33. [Google Scholar] [CrossRef] [PubMed]
- Pérez, J.; Ortega, J.; Moreno, T.; Morrondo, P.; López-Sández, C.; Martínez-Moreno, A. Pathological and immunohistochemical study of the liver and hepatic lymph nodes of sheep chronically reinfected with Fasciola hepatica, with or without triclanbendazole treatment. J. Comp. Pathol. 2002, 127, 30–36. [Google Scholar] [CrossRef]
- Zafra, R.; Pérez-Écija, R.A.; Buffoni, L.; Moreno, P.; Bautista, M.J.; Martínez-Moreno, A.; Mulcahy, G.; Dalton, J.P.; Pérez, J. Early and late peritoneal and hepatic changes in goats immunized with recombinant cathepsin L1 and infected with Fasciola hepatica. J. Comp. Pathol. 2013, 148, 373–384. [Google Scholar] [CrossRef] [PubMed]
- Sinclair, K.B. The anemia in fascioliasis: Experiments with Cr51 labelled red cells. Vet. Rec. 1967, 80, 363. [Google Scholar] [CrossRef] [PubMed]
- McGonigle, L.; Mousley, A.; Marks, N.J.; Brennan, G.P.; Dalton, J.P.; Spithill, T.W.; Day, T.A.; Maule, A.G. The silencing of cysteine proteases in Fasciola hepatica newly excysted juveniles using RNA interference reduces gut penetration. Int. J. Parasitol. 2008, 38, 149–155. [Google Scholar] [CrossRef]
- Berasaín, P.; Goñi, F.; McGonigle, S.; Dowd, A.; Dalton, J.P.; Frangione, B.; Carmona, C. Proteinases secreted by Fasciola hepatica degrade extracellular matrix and basement membrane components. J. Parasitol. 1997, 83, 1–5. [Google Scholar] [CrossRef]
- Zafra, R.; Pérez, J.; Buffoni, L.; Martínez-Moreno, F.J.; Acosta, I.; Mozos, E.; Martínez-Moreno, A. Peripheral blood lymphocyte subsets in Fasciola hepatica infected and immunised goats. Vet. Immunol. Immunopathol. 2013, 155, 135–138. [Google Scholar] [CrossRef]
- Sangster, N.C.; Martínez-Moreno, A.; Pérez, J. Pathology pathophysiology and clinical aspects. In Fasciolosis, 2nd ed.; Dalton, J.P., Ed.; CABI Publishing: Wallingford, UK, 2022; pp. 145–179. [Google Scholar] [CrossRef]
- Dow, C.; Ross, J.G.; Todd, J.R. The histopathology of Fasciola hepatica infections in sheep. Parasitology 1968, 58, 129–135. [Google Scholar] [CrossRef] [PubMed]
- Cullen, J.M.; Stalker, M.J. Liver and Biliary System. In Pathology of Domestic Animals, 6th ed.; Jubb, K.V.F., Kennedy, P.C., Palmer, N., Eds.; Academic Press: Cambridge, MA, USA, 2016; pp. 258–352. [Google Scholar]
- Chauvin, A.; Boulard, C. Local immune response to experimental Fasciola hepatica infection in sheep. Parasite 1996, 3, 209–215. [Google Scholar] [CrossRef] [PubMed][Green Version]
- Donnelly, S.; Stack, C.M.; O’Neill, S.M.; Sayed, A.A.; Williams, D.L.; Dalton, J.P. Helminth 2-Cys peroxiredoxin drives responses through a mechanism involving alternatively activated macrophages. FASEB J. 2008, 22, 4022. [Google Scholar] [CrossRef] [PubMed]
- Frigerio, S.; da Costa, V.; Costa, M.; Festari, M.F.; Landeira, M.; Rodríguez-Zraquia, S.A.; Härtel, S.; Toledo, J.; Freire, T. Eosinophils control liver damage by modulating immune responses against Fasciola hepatica. Front. Immunol. 2020, 11, 579801. [Google Scholar] [CrossRef]
- Ashoor, S.J.; Wakid, M.H. Prevalence and hepatic histopathological findings of fascioliasis in sheep slaughtered in Jeddah, Saudi Arabia. Sci. Rep. 2023, 13, 6609. [Google Scholar] [CrossRef] [PubMed]
- Costa, M.; Saravia, A.; Ubios, D.; Lores, P.; da Costa, V.; Festari, M.F.; Landeira, M.; Rodríguez Zraquia, S.A.; Banchero, G.; Freire, T. Liver function markers and haematological dynamics during acute and chronic phases of experimental Fasciola hepatica infection in cattle treated with triclabendazole. Exp. Parasitol. 2022, 238, 108285. [Google Scholar] [CrossRef] [PubMed]
- Pérez, J.; de las Mulas, J.M.; De Lara, F.C.; Gutierrez-Palomino, P.N.; Becerra-Martel, C.; Martínez-Moreno, A. Immunohistochemical study of the local immune response to Fasciola hepatica in primarily and secondarily infected goats. Vet. Immunol. Immunopathol. 1998, 64, 337–348. [Google Scholar] [CrossRef] [PubMed]
- Prowse, R.K.; Chaplin, P.; Robinson, H.C.; Spithill, T.W. Fasciola hepatica cathepsin L suppresses sheep lymphocyte proliferation in vitro and modulates surface CD4 expression on human and ovine T cells. Parasite Immunol. 2002, 24, 57–66. [Google Scholar]
- Van Gorp, H.; Delputte, P.L.; Nauwynck, H.J. Scavenger receptor CD163, a Jack-of-all-trades and potential target for cell-directed therapy. Mol. Immunol. 2010, 47, 1650–1660. [Google Scholar] [CrossRef]
- Verreck, F.A.W.; de Boer, T.; Langenberg, D.M.L.; van der Zanden, L.; Ottenhoff, T.H.M. Phenotypic and functional profiling of human proinflammatory type-1 and anti-inflammatory type-2 macrophages in response to microbial antigens and IFN-γ- and CD40L-mediated costimulation. J. Leukoc. Biol. 2006, 79, 285–293. [Google Scholar] [CrossRef] [PubMed]
- Barros, M.H.M.; Hauck, F.; Dreyer, J.H.; Kempkes, B.; Niedobitek, G. Macrophage polarisation: An immunohistochemical approach for identifying M1 and M2 macrophages. PLoS ONE 2013, 8, e80908. [Google Scholar] [CrossRef] [PubMed]
- Melzi, E.; Rocchi, M.S.; Entrican, G.; Caporale, M.; Palmarini, M. Immunophenotyping of sheep paraffin-embedded peripheral lymph nodes. Front. Immunol. 2018, 9, 2892. [Google Scholar] [CrossRef] [PubMed]
- Fernández, M.; Benavides, J.; Castaño, P.; Elguezabal, N.; Fuertes, M.; Muñoz, M.; Royo, M.; Ferreras, M.C.; Pérez, V. Macrophage subsets within granulomatous intestinal lesions in bovine paratuberculosis. Vet. Pathol. 2017, 54, 82–93. [Google Scholar] [CrossRef] [PubMed]
- Golbar, H.M.; Izawa, T.; Juniantito, V.; Ichikawa, C.; Tanaka, M.; Kuwamura, M.; Yamata, J. Immunohistochemical characterization of macrophages and myofibroblasts in fibrotic liver lesions due to Fasciola infection in cattle. J. Vet. Med. Sci. 2013, 75, 857–865. [Google Scholar] [CrossRef]
- Wang, H.; Yu, Q.; Wang, M.; Hou, J.; Wang, M.; Kang, X.; Hou, X.; Li, D.; Rousu, Z.; Jiang, T.; et al. Hepatic macrophages play critical roles in the establishment and growth of hydatid cysts in the liver during Echinococcus granulosus sensu stricto infection. PLoS Negl. Trop. Dis. 2023, 17, e0011746. [Google Scholar] [CrossRef] [PubMed]
- Zhang, Y.; Mei, X.; Liang, Y.; Zhu, B.; Sheng, Z.; Shi, W.; Wang, D.; Huang, W. Newly excysted juveniles (NEJs) of Fasciola gigantica induce mice liver fibrosis and M2 macrophage-like phenotype in vivo. Microb. Pathog. 2020, 139, 103909. [Google Scholar] [CrossRef]
- Wang, H.; Zhang, C.S.; Fang, B.B.; Hou, J.; Li, W.D.; Li, Z.D.; Li, L.; Bi, X.J.; Li, L.; Abulizi, A.; et al. Dual role of hepatic macrophages in the establishment of the Echinococcus multilocularis metacestode in mice. Front. Immunol. 2021, 11, 600635. [Google Scholar] [CrossRef]








| Antibody | Dilution | Type | Clone/Producto Code | Source |
|---|---|---|---|---|
| CD3 | 1:100 | Rabbit anti-human pAb | CD3 pAb/A0452 | Dako® (Sigma: St. Louis, MI, USA) |
| Foxp3 | 1:100 | Rat anti-human mAb | FOXP3 mAb/fjk-16s | eBiosciences® (San Diego, CA, USA) |
| CD163 | 1:300 | Mouse anti-human mAb | CD163 mAb/EdHu-1 | BioRad® (Hercules, CA, USA) |
| iNOS | 1:100 | Rabbit anti-human pAb | iNOS pAb/ABN26 | EMD Millipore® (Burlington, MA, USA) |
Disclaimer/Publisher’s Note: The statements, opinions and data contained in all publications are solely those of the individual author(s) and contributor(s) and not of MDPI and/or the editor(s). MDPI and/or the editor(s) disclaim responsibility for any injury to people or property resulting from any ideas, methods, instructions or products referred to in the content. |
© 2024 by the authors. Licensee MDPI, Basel, Switzerland. This article is an open access article distributed under the terms and conditions of the Creative Commons Attribution (CC BY) license (https://creativecommons.org/licenses/by/4.0/).
Share and Cite
Herrera-Torres, G.; Ruiz-Campillo, M.T.; Bautista, M.J.; Martínez-Moreno, F.J.; Zafra, R.; Buffoni, L.; Rufino-Moya, P.J.; Martínez-Moreno, Á.; Molina-Hernández, V.; Pérez, J. Liver Histopathological and Immunohistochemical Evaluation from Fasciola hepatica Experimentally Infected and Reinfected Sheep. Animals 2024, 14, 1833. https://doi.org/10.3390/ani14121833
Herrera-Torres G, Ruiz-Campillo MT, Bautista MJ, Martínez-Moreno FJ, Zafra R, Buffoni L, Rufino-Moya PJ, Martínez-Moreno Á, Molina-Hernández V, Pérez J. Liver Histopathological and Immunohistochemical Evaluation from Fasciola hepatica Experimentally Infected and Reinfected Sheep. Animals. 2024; 14(12):1833. https://doi.org/10.3390/ani14121833
Chicago/Turabian StyleHerrera-Torres, Guillem, María T. Ruiz-Campillo, María J. Bautista, Francisco J. Martínez-Moreno, Rafael Zafra, Leandro Buffoni, Pablo J. Rufino-Moya, Álvaro Martínez-Moreno, Verónica Molina-Hernández, and José Pérez. 2024. "Liver Histopathological and Immunohistochemical Evaluation from Fasciola hepatica Experimentally Infected and Reinfected Sheep" Animals 14, no. 12: 1833. https://doi.org/10.3390/ani14121833
APA StyleHerrera-Torres, G., Ruiz-Campillo, M. T., Bautista, M. J., Martínez-Moreno, F. J., Zafra, R., Buffoni, L., Rufino-Moya, P. J., Martínez-Moreno, Á., Molina-Hernández, V., & Pérez, J. (2024). Liver Histopathological and Immunohistochemical Evaluation from Fasciola hepatica Experimentally Infected and Reinfected Sheep. Animals, 14(12), 1833. https://doi.org/10.3390/ani14121833

