A Biochemical and Histological Assessment of Postmortem Changes to the Eyes of Domestic Pigs: A Preliminary Study
Abstract
Simple Summary
Abstract
1. Introduction
2. Materials and Methods
2.1. Animal Sampling
2.2. Tissue Sampling
2.3. Blood Sampling
2.4. Sampling the Vitreous Humor
2.5. Fixation and Histological Specimen Preparation—Categorical Analysis
2.6. Statistical Data Analysis
3. Results
3.1. The Results of the Biochemical Analysis of Serum
3.2. The results of the Biochemical Analysis of the Vitreous Humor of the Eye
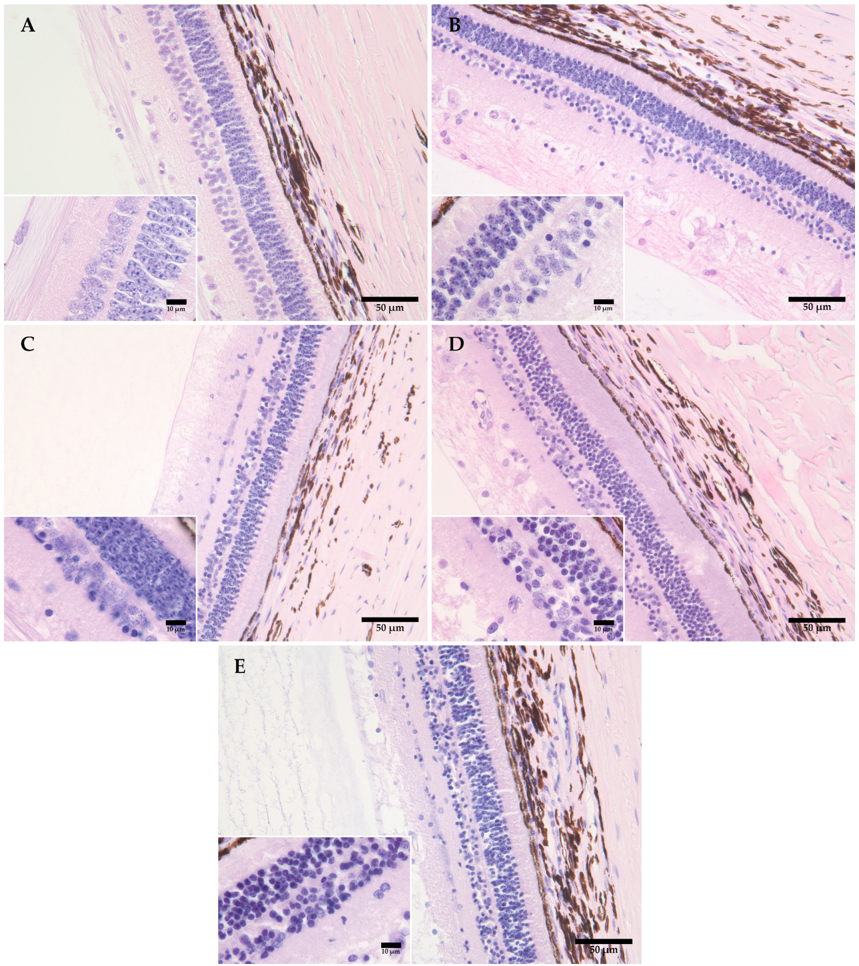
3.3. The Histological Analysis of the Retina
4. Discussion
5. Conclusions
Author Contributions
Funding
Institutional Review Board Statement
Informed Consent Statement
Data Availability Statement
Acknowledgments
Conflicts of Interest
References
- Osborne, N.N.; Casson, R.J.; Wood, J.P.M.; Chidlow, G.; Graham, M.; Melena, J. Retinal ischemia: Mechanisms of damage and potential therapeutic strategies. Prog. Retin. Eye Res. 2004, 23, 91–147. [Google Scholar] [CrossRef] [PubMed]
- Wenzlow, N.; Neal, D.; Stern, A.W.; Prakoso, D.; Liu, J.J.; Delcambre, G.H.; Beachboard, S.; Long, M.Z. Feasibility of using tissue autolysis to estimate the postmortem interval in horses. J. Vet. Diagn. Investig. 2021, 33, 825–833. [Google Scholar] [CrossRef] [PubMed]
- Payne-James, J.; Jones, R. (Eds.) The appearance of the body after death and Medicolegal aspects of death in Simpson’s forensic medicine. In Simpson’s Forensic Medicine, 14th ed.; CRC Press: Boca Raton, FL, USA, 2020; pp. 55–68. [Google Scholar]
- Madea, B. Is there recent progress in the estimation of the postmortem interval by means of thanatochemistry? Forensic Sci. Int. 2005, 151, 139–149. [Google Scholar] [CrossRef] [PubMed]
- Brooks, J.W. Postmortem Changes in Animal Carcasses and Estimation of the Postmortem Interval. Vet. Pathol. 2016, 53, 929–940. [Google Scholar] [CrossRef]
- Baniak, N.; Campos-Baniak, G.; Mulla, A.; Kalra, J. Vitreous humor: A short review on post-mortem applications. J. Clin. Exp. Pathol. 2015, 5, 199. [Google Scholar]
- Jawahar, K.; Mulla, A.; Kopargaonkar, A. Diagnostic value of vitreous humor in postmortem analysis. J. Clin. Pathol. 2016, 1, 1005. [Google Scholar]
- Zelenstova, A.E.; Yanshole, L.V.; Melnikov, A.D.; Kudryavstev, I.S.; Novoselov, V.P.; Tsentalovich, Y.P. Post-mortem changes in metabolomic profiles of human serum, aqueous humor and vitreous humor. J. Metabolomics 2020, 16, 80. [Google Scholar] [CrossRef]
- Madea, B.; Kreuser, C.; Banaschak, S. Postmortem biochemical examination of synovial fluid—A preliminary study. Forensic Sci. Int. 2001, 118, 29–35. [Google Scholar] [CrossRef] [PubMed]
- Yahia, D.; Abd El- Hakiem, M.A.H. Biochemical analysis of synovial fluid, cerebrospinal fluid and vitreous humor at early postmortem interval in donkeys. J. Adv. Vet. Res. 2014, 4, 6–11. [Google Scholar]
- Pigaiani, N.; Bertaso, A.; De Palo, E.F.; Bortolotti, F.; Tagliaro, F. Vitreous humor endogenous compounds analysis for postmortem forensic investigation. Forensic Sci. Int. 2020, 310, 110235. [Google Scholar] [CrossRef]
- Garg, V.; Oberoi, S.S.; Gorea, R.K.; Kaur, K. Changes in the levels of vitreous potassium with increasing time since death. J. Indian Acad. Forensic Med. 2004, 26, 4. [Google Scholar]
- Jashnani, D.K.; Kale, S.A.; Rupani, A.B. Vitreous humor: Biochemical Constituents in Estimation of Postmortem Interval. J. Forensic Sci. 2010, 55, 1523–1527. [Google Scholar] [CrossRef] [PubMed]
- Mihailović, Z.; Popović, V.; Durmić, T.; Milošević, M.B.; Soldatović, I.; Radnić, B.; Atanasijević, T. The significance of post-mortem vitreous calcium concentration in forensic practice. Leg. Med. 2020, 47, 101779. [Google Scholar] [CrossRef]
- Mulla, A.; Massey, K.L.; Kalra, J. Vitreous Humor Biochemical Constituents Evaluation of Between-Eye Differences. Am. J. Forensic Med. Pathol. 2005, 26, 146–149. [Google Scholar] [CrossRef] [PubMed]
- Rognum, O.T.; Homlen, S.; Stray-Pedersen, A.; Saugstad, O.D. Estimation of time since death by vitreous humor hypoxanthine, potassium, and ambient temperature. Forensic Sci. Int. 2016, 262, 160–165. [Google Scholar] [CrossRef]
- Zilg, B.; Alkass, K.; Berg, S.; Druid, H. Interpretation of postmortem vitreous concentrations of sodium and chloride. Forensic Sci. Int. 2016, 263, 107–113. [Google Scholar] [CrossRef] [PubMed]
- McLaughlin, B.G.; McLaughlin, G.P.S. Equine Vitreous Humor Chemical Concentrations: Correlation with Serum Concentrations, and Postmortem Changes with Time and Temperature. Can. J. Vet. Res. 1988, 52, 476–480. [Google Scholar] [PubMed]
- Chavhan, S.G.; Balachandrra, C.; Nambi, A.P.; Dhinakar Raj, G.; Vairamuthu, S.A. study on vitreous humor between-eye differences and baseline values of potassium, calcium, sodium and glucose immediately after death in dogs. Ind. J. Vet. Anim. Sci. Res. 2014, 43, 372–375. [Google Scholar]
- Hanna, P.E.; Bellamy, J.E.; Donald, A. Postmortem eyefluid analysis in dogs, cats and cattle as an estimate of antemortem serum chemistry profiles. Can. J. Vet. Res. 1990, 54, 487–494. [Google Scholar]
- Stern, A.W.; Roig, D.; Valerio, C.; Denagamage, T. Postmortem Analysis of Vitreous Urea Nitrogen, Creatinine, and Maganesium of Renal and Post-Renal Disease in Cats. Toxics 2023, 11, 685. [Google Scholar] [CrossRef]
- Brzeziñski, P.M.; Godlewski, A. Assessment of potassium and sodium ion concentrations in the vitreous humour of swine isolated eyeballs after organism death. Rocz. Akad. Med. Bialymst. 2004, 49, 161–163. [Google Scholar]
- Drolet, R.; Allaire, S.D.; Chagnon, M. The evaluation of postmortem ocular fluid analysis as a diagnostic aid in sows. J. Vet. Diagn. Investig. 1990, 2, 9–13. [Google Scholar] [CrossRef]
- McLaughlin, P.S.; McLaughlin, B.G. Chemical analysis of bovine and porcine vitreous humors: Correlation of normal values with serum chemical values and changes with time and temperature. Am. J. Vet. Res. 1987, 48, 467–473. [Google Scholar]
- McCoy, M.A. Hypomagnesaemia and new data on vitreous humour magnesium concentration as a post-mortem marker in ruminants. Magnes. Res. 2004, 17, 137–145. [Google Scholar]
- Yang, M.; Huijun, L.; Ttiantong, Y.; Zijiao, D.; Shifan, W.; Xingang, Q.; Qian, L.A. A study on the estimation of postmortem interval based on environmental temperature and concentrations of substance in vitreous humor. J. Forensic Sci. 2017, 63, 745–751. [Google Scholar] [CrossRef]
- Severin, K.; Džaja, P.; Šperanda, M.; Đidara, M.; Konjević, D.; Šatrović, E.; Starčević, K. Estimation of red deer (Cervus elaphus) post mortal interval based on the biochemical parameters of vitreous fluid using linear regression analyses. Vet. Arhiv 2018, 88, 511–519. [Google Scholar] [CrossRef]
- Zilg, B.; Bernard, S.; Alkass, K.; Berg, S.; Druid, H.A. new model for the estimation of time of death from vitreous, potassium levels corrected for age an temperature. Forensic Sci. Int. 2015, 254, 158–166. [Google Scholar] [CrossRef]
- Hall, E.J.; Hall, M.E. (Eds.) Funkcijska organizacija ljudskog tijela i kontrola “unutarnjeg okoliša”. In Guyton i Hall Medicinska Fiziologija, 14th ed.; Medicinska Naklada: Zagreb, Hrvatska, 2022; pp. 3–7. [Google Scholar]
- Tumrama, N.K.; Bardale, R.V.; Dongre, A.P. Postmortem analysis of synovial fluid and vitreous humour for determination of death interval: A comparative study. Forensic Sci. Int. 2011, 204, 186–190. [Google Scholar] [CrossRef]
- Boulagnon, C.; Garnotel, R.; Fornes, P.; Gillery, P. Post-mortem biochemistry of vitreous humor and glucose metabolism: An update. Clin. Chem. Lab. Med. 2011, 49, 1265–1270. [Google Scholar] [CrossRef] [PubMed]
- Cala, A.D.; Vilain, R.; Tse, R. Elevated postmortem vitreous sodium and chloride levels distinguish saltwater drowning (SWD) deaths from immersion deaths not related to drowning but recovered from saltwater (DNRD). Am. J. Forensic Med. Pathol. 2013, 34, 133–138. [Google Scholar] [CrossRef] [PubMed]
- Chandrakanth, H.V.; Kanchan, T.; Balaraj, B.M.; Virupaksha, H.S.; Chandrashekar, T.N. Postmortem vitreous chemistry—An evaluation of sodium, potassium and chloride levels in estimation of time since death (during the first 36 h after death). J. Forensic Leg. Med. 2013, 20, 211–216. [Google Scholar] [CrossRef]
- Coe, I.J. Postmortem chemistry Update, emphasis on forensic application. Am. J. Forensic Med. Pathol. 1993, 14, 91–116. [Google Scholar] [CrossRef]
- Li, W.; Chang, Y.; Cheng, Z.; Ling, J.; Han, L.; Li, X.; Ding, M.Y. Vitreous humor: A review of biochemical constituens in postmortem interval estimation. J. Forensic Sci. Med. 2018, 4, 85–90. [Google Scholar]
- O’Brien, R.C.; Forbes, S.L.; Meyer, J.; Dadour, I.R. A preliminary investigation into the scavenging activity on pig carcasses in Western Australia. Forensic Sci. Med. Pathol. 2007, 3, 194–199. [Google Scholar] [CrossRef]
- Pascali, J.P.; Viel, G.; Cecchetto, G.; Pigaiani, N.; Vanin, N.S.; Montisci, M.; Fais, P. The red swamp crayfish Procambarus clarkia (the Louisiana Crayfish) as a particular scavenger on a human corpse. J. Forensic. Sci. 2020, 65, 323–326. [Google Scholar] [CrossRef]
- Schmidt, M.; Waldauf, P.; Krbec, M.; František, D. Perimortem dynamics of blood potassium concentration in patients dying in intensive care unit: A prospective nested cohort study. J. Forensic Sci. 2022, 67, 1550–1556. [Google Scholar] [CrossRef]
- König, H.E.; Liebich, H.G. Osjetilni sustav. In Anatomija Domaćih Sisavaca; Zobundžija, M., Babić, K., Gjurčević, K.V., Eds.; Naklada Slap: Zagreb, Hrvatska, 2009; pp. 593–616. [Google Scholar]
- Casson, J.R.; Chidlow, G.; Crowston, J.G.; Williams, P.A.; Wood, J.P.M. Retinal energy metabolism in health and glaucoma. Prog. Retin. Eye Res. 2021, 81, 100881. [Google Scholar] [CrossRef]
- Country, M.W. Retinal metabolism: A comparative look at energetics in the retina. Brain Res. 2017, 1672, 50–57. [Google Scholar] [CrossRef]
- Finnie, J.; Manavis, J.; Chidlow, G.; Casson, R.; Blumbergs, P. Temporal sequence of post-mortem autolysis in the mouse retina. J. Comp. Path. 2021, 187, 17–26. [Google Scholar] [CrossRef]
- Bentmann, A.; Schmidt, M.; Reuss, S.; Wolfrum, U.; Hankeln, T.; Burmester, T. Divergent distribution in vascular and avascular mammalian retinae links neuroglobin to cellular respiration. J. Biol. Chem. 2005, 280, 20660–20665. [Google Scholar] [CrossRef]
- Burmester, T.; Hankeln, T. What is the function of neuroglobin? Eur. J. Exp. Biol. 2009, 212, 1423–1428. [Google Scholar] [CrossRef]
- Schmidt, M.; Giessl, A.; Laufs, T.; Hankeln, T.; Wolfrum, U.; Burmester, T. How does the eye breathe? Evidence for neuroglobin-mediated oxygen supply in the mammalian retina. J. Biol. Chem. 2003, 278, 1932–1935. [Google Scholar] [CrossRef]
- Wong-Riley, M. Energy metabolism of the visual system. Eye Brain 2010, 2, 99–116. [Google Scholar] [CrossRef]
- Chan, A.S.Y.; Saraswathy, S.; Rehak, M.; Ueki, M.; Rao, N.A. Neuroglobin protection in retinal ischemia. Investig. Ophthalmol. Vis. Sci. 2012, 53, 704–711. [Google Scholar] [CrossRef]





| Serum Results | Vitreous Humor Results | ||||
|---|---|---|---|---|---|
| M (n = 10) | SD | M (n = 10) | SD | p | |
| Sodium (mmol/L) | 146.40 | ±2.91 | 143.70 | ±2.06 | 0.028 * |
| Potassium (mmol/L) | 7.29 | ±0.41 | 5.76 | ±0.62 | 0.000 * |
| Chloride (mmol/L) | 105.40 | ±2.22 | 123.80 | ±1.93 | 0.000 * |
| Glucose (mmol/L) | 5.74 | ±5.74 | 2.20 | ±0.29 | 0.000 * |
| Histological Changes | Histological Scoring of Changes to the Retina in Time Intervals | p | ||||
|---|---|---|---|---|---|---|
| 0 (n = 3) | 12 (n = 3) | 24 (n = 3) | 48 (n = 3) | 120 (n = 3) | ||
| Homogenization of the layer of cones and rods | 0 | 2 | 2 | 2 | 2 | 0.010 * |
| Detachment of the neuroretina from the RPE | 0 | 0 | 0 | 0 | 0 | 0.500 |
| Pyknosis of the outer nuclear layer | 0 | 1 | 1 | 2 | 3 | 0.000 * |
| Homogenization of the outer plexiform layer | 1 | 2 | 2 | 2 | 3 | 0.000 * |
| Pyknosis of the inner nuclear layer | 0 | 2 | 2 | 2 | 3 | 0.000 * |
| Homogenization of the inner plexiform layer | 1 | 1.5 | 2 | 2 | 2 | 0.043 * |
| Pyknosis of the ganglion cell layer | 0 | 1 | 1 | 2 | 3 | 0.000 * |
Disclaimer/Publisher’s Note: The statements, opinions and data contained in all publications are solely those of the individual author(s) and contributor(s) and not of MDPI and/or the editor(s). MDPI and/or the editor(s) disclaim responsibility for any injury to people or property resulting from any ideas, methods, instructions or products referred to in the content. |
© 2024 by the authors. Licensee MDPI, Basel, Switzerland. This article is an open access article distributed under the terms and conditions of the Creative Commons Attribution (CC BY) license (https://creativecommons.org/licenses/by/4.0/).
Share and Cite
Palić, M.; Šoštarić Zuckermann, I.-C.; Džaja, P.; Ljubić, B.B.; Severin, K. A Biochemical and Histological Assessment of Postmortem Changes to the Eyes of Domestic Pigs: A Preliminary Study. Animals 2024, 14, 1190. https://doi.org/10.3390/ani14081190
Palić M, Šoštarić Zuckermann I-C, Džaja P, Ljubić BB, Severin K. A Biochemical and Histological Assessment of Postmortem Changes to the Eyes of Domestic Pigs: A Preliminary Study. Animals. 2024; 14(8):1190. https://doi.org/10.3390/ani14081190
Chicago/Turabian StylePalić, Magdalena, Ivan-Conrado Šoštarić Zuckermann, Petar Džaja, Blanka Beer Ljubić, and Krešimir Severin. 2024. "A Biochemical and Histological Assessment of Postmortem Changes to the Eyes of Domestic Pigs: A Preliminary Study" Animals 14, no. 8: 1190. https://doi.org/10.3390/ani14081190
APA StylePalić, M., Šoštarić Zuckermann, I.-C., Džaja, P., Ljubić, B. B., & Severin, K. (2024). A Biochemical and Histological Assessment of Postmortem Changes to the Eyes of Domestic Pigs: A Preliminary Study. Animals, 14(8), 1190. https://doi.org/10.3390/ani14081190

