Simple Summary
Parasitic infections are a silent enemy that can crucially affect wildlife, causing severe organic damages whose effects go beyond the most visibly external symptoms. The Cephenemyia stimulator is one example of this. In European roe deer, it leads to nasopharyngeal myiasis caused by larvae that inhabit the upper respiratory tract of the deer, resulting in considerable tissue damage over time. The aim of our research was to delve into the extent of this damage and its repercussions on roe deer health and behavior. Our findings reveal significant inflammation, tissue changes, and degradation in the nasal area, potentially impairing the roe deer’s sense of smell. This olfactory ability is pivotal for their social bonding, reproductive success, finding food, avoiding predators, and adjusting to their environment. By shedding light on this condition, we contribute to the efforts in wildlife management and the conservation of these animals, ensuring their survival. Highlighting the need to safeguard roe deer populations from such diseases underscores the role of health in their survival and adaptive strategies.
Abstract
Nasopharyngeal myiasis in European roe deer (Capreolus capreolus) is a pathological condition caused by the larval stages of Cephenemyia stimulator, a fly from the Oestridae family. These larvae reside in the host’s upper respiratory tract for months, inducing significant tissue damage and clinical symptoms. The lifecycle of Cephenemyia stimulator is complex, involving three larval stages before maturation into adult flies, with each stage contributing to the progressive pathology observed in the host. Despite their prevalence, the histopathological effects of these larvae in the nasal and nasopharyngeal cavities have been understudied. Our study fills this knowledge gap by providing a detailed histopathological analysis of the affected tissues, using various staining techniques to reveal the extent and nature of the damage caused by these parasitic larvae. This histopathological examination reveals significant alterations within the nasopharyngeal mucosa and nasal cavity, including erythematous changes, mucosal metaplasia, fibrosis, and tissue necrosis. Parasitic cysts and eosinophilic infiltration further characterize the impact of the infestation, compromising not only the mucosal integrity but also potentially the olfactory function of the affected animals. This research is crucial for understanding the impact of myiasis on both the health and olfactory capabilities of roe deer populations and could have significant implications for wildlife management and conservation.
1. Introduction
Nasopharyngeal myiasis in ruminants is caused by three genera of flies from the Oestridae family: Pharyngomya, Oestrus, and Cephenemyia. Of the eight species of the genus Cephenemyia that cause myiasis, Cephenemyia stimulator is particularly notable in roe deer. The adults are short-lived flying insects, whereas the larvae spend several months in the upper respiratory tract of the host, responsible for the lesions and symptoms observed. The Cephenemyia stimulator undergoes complete metamorphosis through three larval stages (L1, L2, L3), each with size increase and morphological changes. The L3 larva leaves the host and falls to the ground to become a pupa, a phase characterized by a chitinous, thick, and dark cuticle that allows it to survive buried. The adult emerges from the pupa and has a brief lifespan dedicated to reproduction, although this period can be extended under adverse climatic conditions through diapause. Sugár (1974) [1] described how the first-stage larvae found in the nasal mucosa are immobile in the ethmoid turbinates. The second-stage larvae were found in the nasal turbinates as well as in the pharyngeal recesses, while the third-stage larvae were located in the pharyngeal recesses, in the nasal turbinates, and in the larynx.
The pharyngeal recesses are greatly enlarged—five to six times or even more than the normal size—although the specific mechanism causing this distension is unknown [1,2]. After the death of the animal, some L1 larvae may move towards the oropharynx and deeper locations of the respiratory system, in the same way that the L3 larvae leave their location to move outward through the nostrils or towards the trachea or esophagus [3].
The larvae feed primarily on mucus and respiratory secretions, obtained thanks to the irritating effect of the numerous spicules present in their cuticle. The mouth hooks, which allow them to cling to the mucosa, further injure and irritate it. They feed through a mechanism of extracorporeal digestion, in which they release their digestive enzymes into the environment and also excrete the waste products of their metabolism, causing irritation to an already injured mucosa [1,2]. As a result of the foregoing, the presence of the larvae causes catarrhal inflammation of the nasopharyngeal mucosa, although macroscopically ulcerative or bleeding lesions are not observed [4,5,6]. The infestation results in a clinical picture of behavioral alterations, deterioration of body condition and antler development, respiratory symptoms, loss of the ability to flee from predators, and a higher predisposition to other concomitant diseases [3].
This specific parasitosis in European roe deer was first described in 1970 in Poland, and it quickly spread to other regions; currently, it is known to affect at least 12 countries [7,8,9]. However, considering it may have been understudied at that time, other potential origins for the parasitosis cannot be ruled out. The distribution of Cephenemyia stimulator is widespread and exclusive across Europe, notably overlapping with the range of the roe deer. In Spain, this disease was first described in 2001 [10]. However, the earliest complete data on its incidence and distribution in Spain are from 2013 [11]. Research on the prevalence of this parasitism in roe deer is scarce and often refers to a limited number of specimens, affecting the quality of the results. A prominent study in Hungary, with a large number of deer examined (956), showed an incidence of 34.6%; indicating younger animals are most vulnerable to infestation, followed by adult males and finally adult females [12].
Despite the time that infestations have been impacting European roe deer populations, to our knowledge, there is not any histopathological study that captures the effects of the lesions in both the pharyngeal and nasal cavities. To fill this gap, we carried out a histopathological examination of samples from six parasitized individuals, which confirmed the extent of macroscopic damage in both the olfactory and pharyngeal mucosae, as well as identified the primary histopathological alterations induced by the myiasis using various histological staining techniques.
2. Materials and Methods
2.1. Samples
For the study, the sample size consisted of 6 roe deer individuals infested with larvae of Cephenemyia stimulator, and 2 healthy deer, free from the disease, collected during the years 2021 and 2022. The deer originated from the official wildlife recovery centers of Galicia (northwest Spain) and from legally authorized hunting activities. Immediately after the death of the animal, the head was collected and transported refrigerated to be processed within 8 h postmortem.
2.2. Pathological Study
A thorough postmortem investigation was performed on all the samples received. Representative tissues from the nasal cavity and the pharynx mucosa were preserved in Bouin’s fluid for 24 h before transferring them to 70% ethanol.
Fixed tissues were dehydrated through baths in graded alcohol and xylene, followed by embedding in paraffin; 6-μm-thick sections of the paraffin-embedded tissues were rehydrated and stained with Hematoxylin and Eosin, PAS, and Alcian Blue stains [13]. PAS staining was used to highlight polysaccharides and mucosubstances in tissues. The protocol involves oxidizing the tissue section with 1% periodic acid for 30 min, which converts the polysaccharides into aldehydes. These aldehydes then react with Schiff’s reagent, resulting in a magenta color. The tissue is then counterstained with Hematoxylin to highlight the nuclei. Alcian Blue staining was employed to detect acidic mucopolysaccharides and glycosaminoglycans in tissues. The protocol involved applying 1% Alcian Blue dye, which binds to the acidic components of the mucosubstances. After staining, the sections were washed and counterstained with Hematoxylin to provide contrast and enhance the visualization of cell structures.
Digital photographs were taken using a digital camera from Karl Zeiss, model MRc5 Axiocam, connected to a microscope of the same brand, model Axiophot. The Adobe Photoshop CS4 v.11.0 software (Adobe Systems, San Jose, CA, USA) was used for those images that required digital enhancement of brightness, contrast, and white balance. However, no enhancements, additions, or relocations of the image features were made.
For the identification of the larvae, the description provided in Fritz Zumpt’s book was followed [14].
3. Results
The nasal and nasopharyngeal cavities were the primary focus of the histological investigation of the Cephenemyia infestation since it was there that the parasite’s larvae in various developmental stages were found. The nasal turbinates of the nasal cavity and the mucosa lining the pharyngeal pouch of the nasopharynx were the particular sites injured.
3.1. Macroscopic Study (Figure 1 and Figure 2)
The localization of Cephenemyia stimulator larvae was concentrated in the recess formed by the pharyngeal pouch or pharyngeal recess (also known as Rosenmüller’s fossa in human medicine). This consists of a tiny epithelial pouch located in the caudodorsal part of the medial mucosa of the nasopharynx.
It has a direct topographical relationship with the pharyngeal opening of the auditory tube—the communication between the middle ear and the nasopharynx. The appearance and color of the mucosa was reddish, with moderate mucosity, stemming from the secretory activity of the mucous glands present in its own lamina.
During parasitic infestation, the larvae of Cephenemyia occupy the cavity of the pouch, causing a notable distension of the mucosa, which was accompanied by a thickening of the wall, the formation of edema, and an extensive secretion of mucus (Figure 2).
Figure 1.
Nasopharynx mucosa of the roe deer. Dissection of the medial mucosa of the nasopharynx shows the topographic relationships of the pharyngeal recess and the pharyngeal opening of the auditory tube.
Figure 1.
Nasopharynx mucosa of the roe deer. Dissection of the medial mucosa of the nasopharynx shows the topographic relationships of the pharyngeal recess and the pharyngeal opening of the auditory tube.

Figure 2.
Macroscopic images of the pharyngeal pouch in situations of maximum infestation by Cephenemyia stimulator larvae. The inflammatory reaction is superficially reflected in a thickening of the mucous lining and the production of an abundant mucous secretion. (A,C) Image of the pharyngeal pouch following larval extraction, both in situ (A) and after dissection for histological processing (C). (B,D) Image of larvae inside the pharyngeal pouches of two different individuals.
Figure 2.
Macroscopic images of the pharyngeal pouch in situations of maximum infestation by Cephenemyia stimulator larvae. The inflammatory reaction is superficially reflected in a thickening of the mucous lining and the production of an abundant mucous secretion. (A,C) Image of the pharyngeal pouch following larval extraction, both in situ (A) and after dissection for histological processing (C). (B,D) Image of larvae inside the pharyngeal pouches of two different individuals.

3.2. Histopathology of the Nasopharynx (Figure 3, Figure 4, Figure 5, Figure 6 and Figure 7)
In healthy animals, the nasopharyngeal mucosa had an intense reddish-brown coloration and a smooth, slippery surface covered with a transparent mucus (Figure 3A). Microscopically (Figure 3B), the mucosa was characterized by the integrity of its strata and the normal appearance of the epithelial cells that formed the mucosal lining (Figure 3C). Likewise, the lamina propria showed a remarkable development of collagen fibers, smooth muscle fibers, and extensive glandular accumulations that were characterized by being both PAS-positive (Figure 3C,D) and Alcian Blue-positive (Figure 3E).
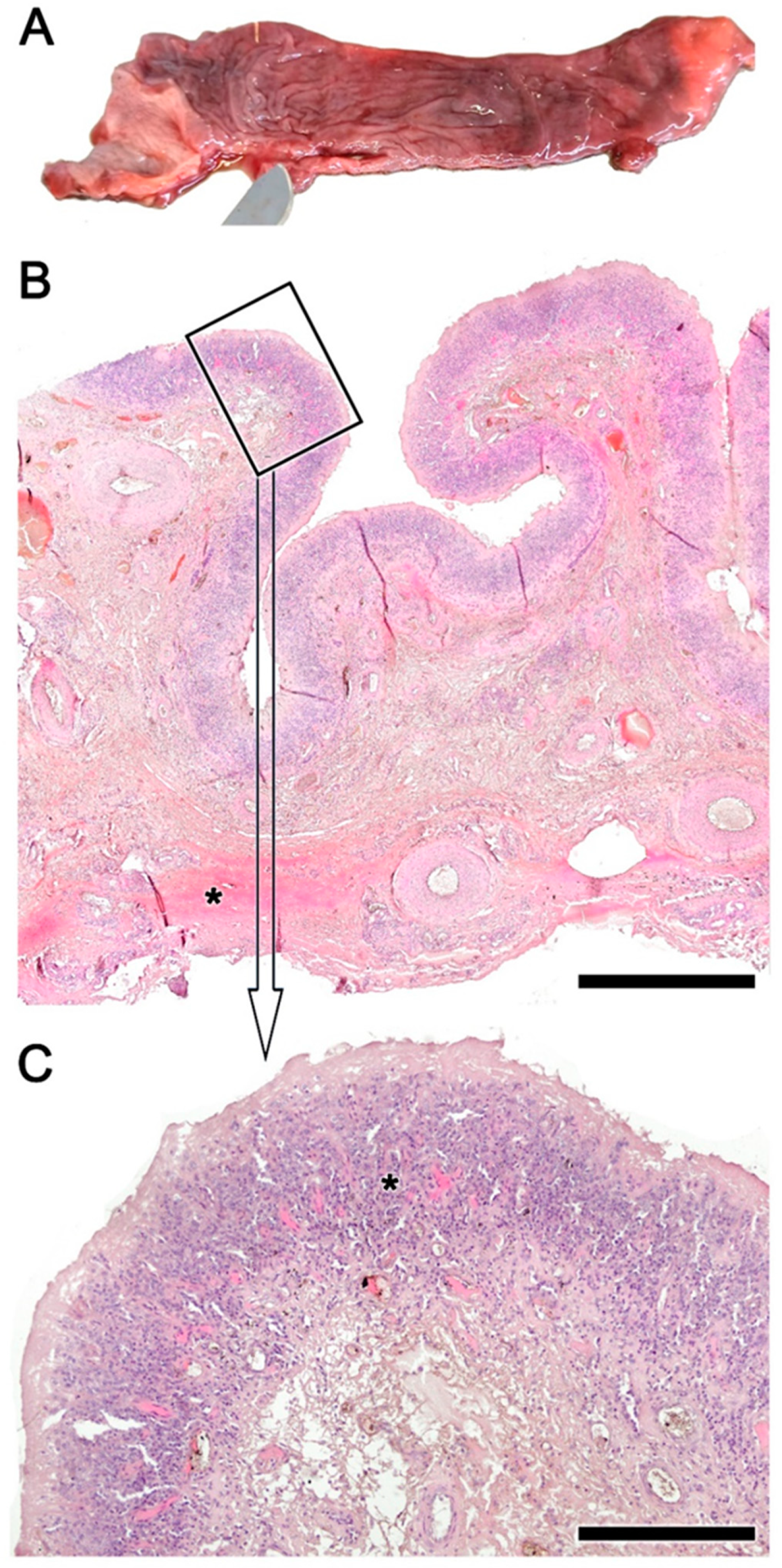
In infested animals, the mucosa presented a more erythematous appearance, with hemorrhagic areas, abundant folds and pits, and less mucus (Figure 4A). Histologically (Figure 4B,C), severe mucosal injury was observed, with a loss of epithelial and glandular cells and replacement of the lamina propria by a dense infiltrate of metaplastic cells, in a fibrous connective tissue matrix. The deeper layers showed tissue necrosis.
PAS staining allowed for the recognition of the high degree of mucosal fibrosis and identification of broad bands of necrosis in the submucosa (Figure 5A). At higher magnification, it was observed how the fibrous tissue formed a trabecular network that encompassed metaplastic cells (Figure 5B). In the arteries supplying the mucosa, there was a prominent subintimal fibrosis with unfolding of the elastic fibers (Figure 5C).
Figure 3.
Normal anatomy and histology of the nasopharynx mucosa of the roe deer. (A) Macroscopic anatomy of the nasopharyngeal mucosa shows normal intense reddish-brown coloration and a smooth and uniform surface, devoid of folds. (B) Microscopically, the mucosa is characterized by the integrity of its strata and the normal appearance of the epithelial cells that form the mucosal lining. 1, Mucosal epithelium; 2, basal stratum; 3, collagen fibers; 4, adipose tissue. (C) The thickness of the epithelial covering (1) is variable depending on the area considered. The lamina propria shows a remarkable development of smooth muscle fibers (2), glandular accumulations (3), nerves (4), and arteries (5). (D,E) Glandular acini PAS and Alcian Blue-positive, respectively. Staining: Hematoxylin–Eosin (B); PAS (C,E); and Alcian Blue: (D). Scale bars: (C) 1 mm; (D,E) 500 μm; and (B) 100 μm.
Figure 3.
Normal anatomy and histology of the nasopharynx mucosa of the roe deer. (A) Macroscopic anatomy of the nasopharyngeal mucosa shows normal intense reddish-brown coloration and a smooth and uniform surface, devoid of folds. (B) Microscopically, the mucosa is characterized by the integrity of its strata and the normal appearance of the epithelial cells that form the mucosal lining. 1, Mucosal epithelium; 2, basal stratum; 3, collagen fibers; 4, adipose tissue. (C) The thickness of the epithelial covering (1) is variable depending on the area considered. The lamina propria shows a remarkable development of smooth muscle fibers (2), glandular accumulations (3), nerves (4), and arteries (5). (D,E) Glandular acini PAS and Alcian Blue-positive, respectively. Staining: Hematoxylin–Eosin (B); PAS (C,E); and Alcian Blue: (D). Scale bars: (C) 1 mm; (D,E) 500 μm; and (B) 100 μm.

Figure 4.
Anatomical and histopathological findings in the nasopharynx mucosa of the roe deer infested by Cephenemyia stimulator. (A) The mucosa of infested animals presents an erythematous appearance, with hemorrhagic areas, abundant folds and pits, and less mucus. (B) Microscopically, a severe mucosal injury is observed, with a loss of epithelial and glandular cells and replacement. The deeper layers show tissue necrosis (asterisk). (C) Higher magnification of the inset in B shows in the lamina propria a dense infiltrate of metaplastic cells, in a fibrous connective tissue matrix (asterisk). Staining: Hematoxylin–Eosin. Scale bars: (B) 1 mm; and (C) 250 μm.
Figure 4.
Anatomical and histopathological findings in the nasopharynx mucosa of the roe deer infested by Cephenemyia stimulator. (A) The mucosa of infested animals presents an erythematous appearance, with hemorrhagic areas, abundant folds and pits, and less mucus. (B) Microscopically, a severe mucosal injury is observed, with a loss of epithelial and glandular cells and replacement. The deeper layers show tissue necrosis (asterisk). (C) Higher magnification of the inset in B shows in the lamina propria a dense infiltrate of metaplastic cells, in a fibrous connective tissue matrix (asterisk). Staining: Hematoxylin–Eosin. Scale bars: (B) 1 mm; and (C) 250 μm.

Figure 5.
Histopathological findings in the nasopharynx mucosa of the roe deer infested by Cephenemyia stimulator. (A) There is a high degree of mucosal fibrosis and broad bands of necrosis in the submucosa: 1, mucosal epithelium; 2, lamina propria; 3, submucosa; 4, muscular layer. (B) The fibrous tissue forms a trabecular network that encompasses metaplastic cells. (C) The arteries supplying the mucosa present a prominent subintimal fibrosis with unfolding of the elastic fibers. Staining: PAS. Scale bars: (A) 1 mm; (B) 250 μm; and (C) 100 μm.
Figure 5.
Histopathological findings in the nasopharynx mucosa of the roe deer infested by Cephenemyia stimulator. (A) There is a high degree of mucosal fibrosis and broad bands of necrosis in the submucosa: 1, mucosal epithelium; 2, lamina propria; 3, submucosa; 4, muscular layer. (B) The fibrous tissue forms a trabecular network that encompasses metaplastic cells. (C) The arteries supplying the mucosa present a prominent subintimal fibrosis with unfolding of the elastic fibers. Staining: PAS. Scale bars: (A) 1 mm; (B) 250 μm; and (C) 100 μm.

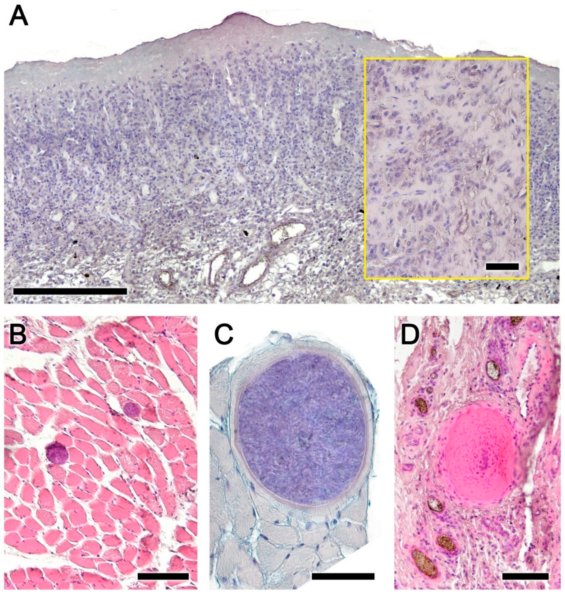
Figure 6.
Histopathological findings in the nasopharynx mucosa of the roe deer infested by Cephenemyia stimulator. (A) Alcian Blue staining reveals the undifferentiated nature of the metaplastic cells, and at higher magnification in the box. (B) Parasitic cysts in the muscle fibers. (C) One cyst at higher magnification and stained with Alcian Blue. (D) Local foci of necrosis are also common findings. Staining: (A,C) Alcian Blue; and (B,D) Hematoxylin–Eosin. Scale bars: (A) 250 μm; (B–D) 100 μm; and ((A) inset) 50 μm.
Figure 6.
Histopathological findings in the nasopharynx mucosa of the roe deer infested by Cephenemyia stimulator. (A) Alcian Blue staining reveals the undifferentiated nature of the metaplastic cells, and at higher magnification in the box. (B) Parasitic cysts in the muscle fibers. (C) One cyst at higher magnification and stained with Alcian Blue. (D) Local foci of necrosis are also common findings. Staining: (A,C) Alcian Blue; and (B,D) Hematoxylin–Eosin. Scale bars: (A) 250 μm; (B–D) 100 μm; and ((A) inset) 50 μm.

Figure 7.
Histopathological findings in a high degree of infestation by Cephenemyia stimulator of the nasopharynx mucosa of the roe deer. (A) The high quantity of larvae causes an extreme distension of the pharyngeal pouch. (B) In these cases, the metaplastic transformation in the mucosa is very intense. (C,D) With both Hematoxylin-Eosin and PAS stainings, degeneration and atrophy of muscle fibers, fibrosis in the lamina propria, and intense metaplasia and fibrosis in the superficial layer are observed. Staining: (B,D) PAS; and (C) Hematoxylin–Eosin. Scale bars: (B) 500 μm; (C) 250 μm; and (D) 100 μm.
Figure 7.
Histopathological findings in a high degree of infestation by Cephenemyia stimulator of the nasopharynx mucosa of the roe deer. (A) The high quantity of larvae causes an extreme distension of the pharyngeal pouch. (B) In these cases, the metaplastic transformation in the mucosa is very intense. (C,D) With both Hematoxylin-Eosin and PAS stainings, degeneration and atrophy of muscle fibers, fibrosis in the lamina propria, and intense metaplasia and fibrosis in the superficial layer are observed. Staining: (B,D) PAS; and (C) Hematoxylin–Eosin. Scale bars: (B) 500 μm; (C) 250 μm; and (D) 100 μm.

Alcian Blue staining revealed the undifferentiated nature of the metaplastic cells (Figure 6A). Parasitic cysts in the muscle fibers, presumably Sarcocystis spp. (Figure 6B,C), and local foci of necrosis (Figure 6D) were common findings.
It was common for a high degree of infestation (Figure 7A) to cause extensive distension of the pharyngeal pouch, which accentuates the mucosal lesion resulting in intense mucosal metaplastic transformation (Figure 7B). Degeneration and atrophy of muscle fibers, fibrosis in the lamina propria, and intense metaplasia and fibrosis in the superficial zone were also observable (Figure 7C,D).
3.3. Histopathology of the Nasal Cavity (Figure 8 and Figure 9)
The lesions in the nasal mucosa of roe deer were also severe, compromising the animal’s olfactory function. A macroscopic example of the sampled areas is shown in Figure 8. Both the olfactory mucosa (Figure 9A–D) and the respiratory mucosa (Figure 9E,F) showed vacuolization and epithelial degeneration, with a loss of epithelial layering and a conspicuous eosinophilic infiltration. In the respiratory mucosa, significant vacuolization was also observed; however, the cellular profiles were not as altered as in the olfactory mucosa.
Figure 8.
Transverse section of the nasal cavity of the roe deer: 1, dorsal meatus, 2, middle meatus, 3, common meatus, and 4, ventral meatus.
Figure 8.
Transverse section of the nasal cavity of the roe deer: 1, dorsal meatus, 2, middle meatus, 3, common meatus, and 4, ventral meatus.

Figure 9.
Histopathological findings in the olfactory and respiratory mucosa of the nasal cavity in the roe deer infested by Cephenemyia. (A,C) General view of the olfactory mucosa in transverse sections at the level of the dorsal and ventral turbinates. The boxes, magnified in (B,D) show vacuolization and epithelial degeneration, with a loss of epithelial layering and a conspicuous eosinophilic infiltration. (E,F) In the respiratory mucosa, vacuolization is also observed; however, the cellular profiles are not so altered as in the olfactory mucosa. Staining: Hematoxylin–Eosin. Scale bars: (A,C,F) 100 μm; and (E,F) 50 μm.
Figure 9.
Histopathological findings in the olfactory and respiratory mucosa of the nasal cavity in the roe deer infested by Cephenemyia. (A,C) General view of the olfactory mucosa in transverse sections at the level of the dorsal and ventral turbinates. The boxes, magnified in (B,D) show vacuolization and epithelial degeneration, with a loss of epithelial layering and a conspicuous eosinophilic infiltration. (E,F) In the respiratory mucosa, vacuolization is also observed; however, the cellular profiles are not so altered as in the olfactory mucosa. Staining: Hematoxylin–Eosin. Scale bars: (A,C,F) 100 μm; and (E,F) 50 μm.

4. Discussion
Currently, there is significant concern regarding the rapid spread and impact on wild roe deer populations of infestations by Cephenemyia stimulator larvae. This phenomenon, emerging and consolidating recently, has not been extensively studied, particularly in terms of its morphological and histopathological consequences. To our knowledge, beyond the work by Thomas Cogley (1987) [2] who describes the pathologic changes induced by larvae of Cepheneniyia within the retropharyngea recesses of black-tailed deer (Odocoileus hemionus columbianus), there are no studies addressing the histopathology of the infestation. Such studies are critical to objectively assess the severity and implications of these infestations. Consequently, as we embark on this discussion, it is important to note the limited body of work available for comparison and validation of the data we have gathered.
From a macroscopic point of view, the lesions we observed in the pharyngeal pouches of the roe deer are consistent with those described by Cogley in the black-tailed deer. Whereas under normal conditions the pharyngeal pouch corresponds to a small elliptical slit, infestation by Cephenemyia stimulator results in large circular dilations which contain dozens of larvae. In healthy specimens of roe deer, the mucosa exhibits robust anatomical features, such as well-defined epithelial layers and a well-vascularized lamina propria with dense collagenous and glandular structures. However, infestation precipitates drastic transformations. The normally reddish-brown, smooth nasopharyngeal mucosa becomes erythematous, hemorrhagic, and irregular in infested deer, accompanied by a notable increase in mucus production.
Histologically, we have found in the roe deer how the nasopharyngeal cavity, specifically the nasal turbinates and the mucosa lining the pharyngeal pouch, endured pronounced histological changes due to Cephenemyia stimulator infestation. The degree of alteration we found in the pharyngeal mucosa of our specimens was much more severe than observed by Cogley in the pharyngeal pouch the black-tailed deer. Regarding the nasal turbinates, they were not included in Cogley’s study.
This morphological disruption caused by Cephenemyia stimulator infestation correlates with severe histological damage observed microscopically. A marked decrease in epithelial and glandular cell integrity, and a consequential replacement with fibrous connective tissue, underscores a pronounced inflammatory response. The application of PAS staining highlighted extensive mucosal fibrosis and submucosal necrosis, revealing a fibrous trabecular network engulfing metaplastic cells and suggesting a deep-seated tissue remodeling. Concurrently, arterial changes, including subintimal fibrosis, indicated a compromised blood supply, potentially exacerbating the local tissue distress. Alcian Blue staining confirmed the presence of undifferentiated metaplastic cells, suggesting a loss of specific cellular function and further supporting the observed degenerative changes. Additionally, the discovery of parasitic cysts intermingled within the muscle fibers provided evidence of secondary parasitic involvement, potentially exacerbating the myiasis-induced lesions.
These lesions are more severe than those observed by Cogley in the black-tailed deer, who describes cellular desquamation with loss of the mucosal epithelium and inflammatory infiltration in the lamina propria, and glandular degeneration in the superficial area. In both cases, we agree on not finding purulent inflammation as well as the absence of neutrophils.
The nasal cavity lesions were equally severe, with evident vacuolization and degeneration of both the olfactory and respiratory mucosa, indicative of the larval invasion’s impact on sensory and respiratory functions. These findings corroborate the clinical observations of behavioral changes and compromised body condition in the infested deer [3], which could be partly due to disrupted olfactory cues affecting foraging and predator avoidance behaviors.
These lesions in the olfactory mucosa have not, to our knowledge, been previously described in infestations with Cephenemyia stimulator. However, there is documented information on similar lesions caused by other flies belonging to the Oestridae family, specifically Cephalopina titillator, also known as the camel nasal bot fly. This species shows similarities in its morphological characteristics and reproductive strategies with Cephenemya stimulator. The infestation by C. titillator larvae was studied in camels from the Xinjiang region in China, where it infested the posterior pharyngeal pouch and nasal mucosa, causing a series of chronic lesions [15]. The histopathological alterations aligned with the desquamation of epithelial cells and infiltration of various types of leukocytes in the inflamed areas. The nasopharyngeal mucosal membrane of the infested camel was swollen, edematous, and occasionally associated with liquefaction necrosis, containing large amounts of dark-colored inflammatory exudates, similar to our observations in C. stimulator. The extent of injury in the affected region mainly depended on the level and number of larvae. In some severe cases, ulcer-like injuries and dark-brown or black nodules containing pus were observed in the mucous membrane, representing the lesions to which the larvae had previously attached [15]. Similar lesions caused by C. titillator were described in Iranian camels, with degenerative changes, necrosis, and ulceration [16]. The pharyngeal mucosa exhibited scattered areas of hyperpigmentation and melanophages. In the submucosa, infiltration of inflammatory cells composed of lymphocytes, plasma cells, and macrophages was noted, closely resembling our findings in Cephenemya stimulator, which severely impaired the camel’s breathing. Infected animals display symptoms such as sneezing, coughing, and violent head shaking, which can often lead to anorexia and significant weight loss, resulting in a significant reduction in meat production [16]. Finally, an additional study on camels in the Rasfanjan region showed various degrees of mucosal damage, hyperemia, necrotic debris, ulceration, lymphoid hyperplasia, accumulation of inflammatory cells, and fibrotic tissue formation [17].
None of these studies provide pathological images detailing the degree of damage to the nasal turbinates, so we are unable to compare them with our findings in Cephenemya, which clearly affect olfactory functions. However, it seems likely the level of infestation and the gravity of the lesions in the nasopharyngeal mucosa would lead to comparable impairments.
5. Conclusions
Collectively, our results underscore the profound histopathological impact of Cephenemyia stimulator infestation on the European roe deer. The extensive mucosal and submucosal alterations, including metaplastic and fibrotic changes, tissue necrosis, and secondary parasitic infections, delineate a severe condition that could have substantial implications for the health and survival of affected roe deer populations. These findings highlight the need for integrated pest management strategies and further research into the pathophysiological mechanisms underlying nasopharyngeal myiasis in wildlife.
Author Contributions
Conceptualization, I.O.-L., M.V.T., P.S.-Q. and L.F.; methodology, I.O.-L., M.V.T., A.L.-B., P.S.-Q. and L.F.; investigation, I.O.-L., M.V.T., A.L.-B., P.S.-Q. and L.F.; resources, A.L.-B., P.S.-Q. and L.F.; writing—original draft preparation, I.O.-L. and P.S.-Q.; writing—review and editing, I.O.-L., M.V.T., A.L.-B., P.S.-Q. and L.F.; supervision, P.S.-Q. and L.F. All authors have read and agreed to the published version of the manuscript.
Funding
This research received no external funding.
Institutional Review Board Statement
Not applicable, as all the animals employed in this study died by natural causes.
Informed Consent Statement
Not applicable, as this research did not involve any humans.
Data Availability Statement
All relevant data are within the manuscript, and are fully available without restriction.
Acknowledgments
The authors wish to thank to the wildlife recovery centers from Galicia, and to Dirección Xeral de Patrimonio Natural (Consellería de Medio Ambiente e Ordenación do Territorio, Xunta de Galicia), for having authorized and facilitated the sampling of the animals.
Conflicts of Interest
The authors declare no conflicts of interest.
References
- Sugár, L. The Occurence of Nasal Throat Bot Flies (Oestridae) in Wild Ruminants in Hungary. Parasitol. Hung. 1974, 7, 181–189. [Google Scholar]
- Cogley, T.P. Effects of Cephenemyia spp. (diptera: Oestridae) on the nasopharynx of black-tailed deer (Odocoileus hemionus columbianus). J. Wildl. Dis. 1987, 23, 596–605. [Google Scholar] [CrossRef] [PubMed]
- Sugár, L. Nasopharyngeal Bot Infestation of Wild Ruminants (Oestridosis). In Diseases of Wildlife; Mezőgazdasági Kiadó: Budapest, Hungary, 1978; pp. 156–158. [Google Scholar]
- Tabouret, G.; Vouldoukis, I.; Duranton, C.; Prevot, F.; Bergeaud, J.P.; Dorchies, P.; Mazier, D.; Jacquiet, P. Oestrus ovis (Diptera: Oestridae): Effects of Larval Excretory/Secretory Products on Nitric Oxide Production by Murine RAW 264·7 Macrophages. Parasite Immunol. 2001, 23, 111–119. [Google Scholar] [CrossRef] [PubMed]
- Tabouret, G.; Bret-Bennis, L.; Dorchies, P.; Jacquiet, P. Serine Protease Activity in Excretory–Secretory Products of Oestrus Ovis (Diptera: Oestridae) Larvae. Vet. Parasitol. 2003, 114, 305–314. [Google Scholar] [CrossRef] [PubMed]
- Angulo-Valadez, C.E.; Scholl, P.J.; Cepeda-Palacios, R.; Jacquiet, P.; Dorchies, P. Nasal Bots… a Fascinating World! Vet. Parasitol. 2010, 174, 19–25. [Google Scholar] [CrossRef] [PubMed]
- Kusak, J.; Špičić, S.; Slijepčević, V.; Bosnić, S.; Rajković Janje, R.; Duvnjak, S.; Sindičić, M.; Majnarić, D.; Cvetnić, Ž.; Huber, Đ. Health Status of Red Deer and Roe Deer in Gorski Kotar, Croatia. Vet. Arh. 2012, 82, 59–73. [Google Scholar]
- Žele Vengušt, D.; Kuhar, U.; Jerina, K.; Vengušt, G. Twenty Years of Passive Disease Surveillance of Roe Deer (Capreolus capreolus) in Slovenia. Animals 2021, 11, 407. [Google Scholar] [CrossRef] [PubMed]
- Flis, M.; Rataj, B.; Grela, E.R. Occurrence of Cephenemyia stimulator Larvae in Male Roe Deer (Capreolus capreolus L.) in the Lublin Upland, Poland, and Their Impact on Particular Animal Health Indicators. J. Vet. Res. 2021, 65, 287–292. [Google Scholar] [CrossRef] [PubMed]
- Notario, A.; Castresana, L. Contribution to the Knowledge of Cephenemyia Stimulator Clark, 1815 (Diptera, Oestridae) in Spain. Folia Venatoria 2001, 30–31, 325–326. [Google Scholar]
- Fidalgo, L.E.; López, A.M.; Pérez, J.M.; Martínez, C. Bases Epidemiológicas Para El Control de Cephenemyia Stimulator En Corzos En España; Universidade de Santiago de Compostela & Fundación FEDENCA: Galicia, Spain, 2013. [Google Scholar]
- Király, I.; Egri, B. Epidemiological Characteristics of Cephenemyia stimulator (Clark, 1815) Larval Infestation in European Roe Deer (Capreolus capreolus) in Hungary. Acta Zool. Acad. Sci. Hung. 2007, 53, 271–279. [Google Scholar]
- Ortiz-Leal, I.; Torres, M.V.; Villamayor, P.R.; López-Beceiro, A.; Sanchez-Quinteiro, P. The Vomeronasal Organ of Wild Canids: The Fox (Vulpes Vulpes) as a Model. J. Anat. 2020, 237, 890–906. [Google Scholar] [CrossRef] [PubMed]
- Zumpt, F. Myiasis in Man and Animals in the Old World: A Textbook for Physicians, Veterinarians and Zoologists; Butterworths: London, UK, 1965. [Google Scholar]
- Yao, H.; Liu, M.; Ma, W.; Yue, H.; Su, Z.; Song, R.; Ma, Q.; Li, L.; Wu, Z.; Ma, Y.; et al. Prevalence and Pathology of Cephalopina Titillator Infestation in Camelus Bactrianus from Xinjiang, China. BMC Vet. Res. 2022, 18, 360. [Google Scholar] [CrossRef]
- Shamsi, E.; Radfar, M.H.; Nourollahifard, S.R.; Bamorovat, M.; Nasibi, S.; Fotoohi, S.; Hakimi Parizi, M.; Kheirandish, R. Nasopharyngeal Myiasis Due to Cephalopina Titillator in Southeastern Iran: A Prevalence, Histopathological, and Molecular Assessment. J. Parasit. Dis. 2023, 47, 369–375. [Google Scholar] [CrossRef] [PubMed]
- Azizi, H.; Kojouri, G.; Pirali, Y.; Maghami, M.; Zahirabadi, M.B. Clinical, Pathological and Epidemiological Aspects of Cephalopina Titillator Larval, Exciter in Camelus Dromedaris from the Rafsanjan Region, Iran. Asian Res. J. Agric. 2024, 17, 28–35. [Google Scholar] [CrossRef]
Disclaimer/Publisher’s Note: The statements, opinions and data contained in all publications are solely those of the individual author(s) and contributor(s) and not of MDPI and/or the editor(s). MDPI and/or the editor(s) disclaim responsibility for any injury to people or property resulting from any ideas, methods, instructions or products referred to in the content. |
© 2024 by the authors. Licensee MDPI, Basel, Switzerland. This article is an open access article distributed under the terms and conditions of the Creative Commons Attribution (CC BY) license (https://creativecommons.org/licenses/by/4.0/).