Occlusal Splint Therapy Followed by Orthodontic Molar Intrusion as an Effective Treatment Method to Treat Patients with Temporomandibular Disorder: A Retrospective Study
Abstract
:1. Introduction
2. Materials and Methods
2.1. Subjects
2.2. Model Analysis
2.3. Centric Relation Registrations
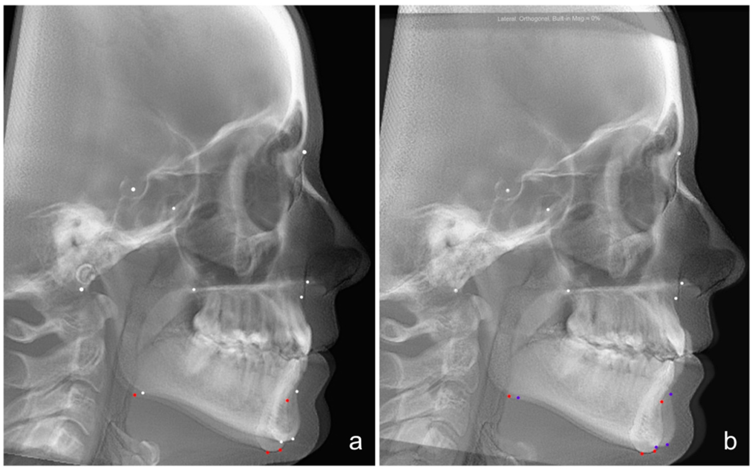
2.4. Cepahlometric Measurements
2.5. Condylar Morphological Evaluation Using Bilateral CBCT Scans of TMJ
- 1.
- Flattening of the articular surface- loss of an even convexity of the joint (Figure 2a–d)
- 2.
- Surface erosion (decreased density of the cortical and adjacent bone) and/or condylar surface irregularity (loss of continuity of condylar cortex) (Figure 2b)
- 3.
- Absence of condylar anterosuperior position and/or apparent irregular TMJ joint space (Figure 2c)
- 4.
- Sclerosis (increased density of cortical bone extending into the bone marrow) (Figure 2d)
2.6. Statistical Analysis
3. Results
4. Discussion
5. Conclusions
Author Contributions
Funding
Institutional Review Board Statement
Informed Consent Statement
Data Availability Statement
Conflicts of Interest
References
- Alexander, S.R.; Moore, R.N.; DuBois, L.M. Mandibular condyle position: Comparison of articulator mountings and magnetic resonance imaging. Am. J. Orthod Dentofac. Orthop. 1993, 104, 230–239. [Google Scholar] [CrossRef]
- Dawson, P.E. Centric relation. Its effect on occluso-muscle harmony. Dent. Clin. N. Am. 1979, 23, 169–180. [Google Scholar]
- He, S.S.; Deng, X.; Wamalwa, P.; Chen, S. Correlation between centric relation-maximum intercuspation discrepancy and temporomandibular joint dysfunction. Acta. Odontol. Scand 2010, 68, 368–376. [Google Scholar] [CrossRef] [PubMed]
- Roth, R.H. Functional occlusion for the orthodontist. J. Clin. Orthod. 1981, 15, 174–199. [Google Scholar] [PubMed]
- Crawford, S.D. Condylar axis position, as determined by the occlusion and measured by the CPI instrument, and signs and symptoms of temporomandibular dysfunction. Angle Orthod. 1999, 69, 103–115. [Google Scholar] [PubMed]
- Dawson, P.E. Functional Occlusion: From TMJ to Smile Design; Mosby: St Louis, MO, USA, 2007. [Google Scholar]
- Okeson, J.P. Evolution of occlusion and temporomandibular disorder in orthodontics: Past, present, and future. Am. J. Orthod. Dentofac. Orthop. 2015, 147, S216–S223. [Google Scholar] [CrossRef] [PubMed]
- Iwasa, A.; Horiuchi, S.; Kinouchi, N.; Izawa, T.; Hiasa, M.; Kawai, N.; Yasue, A.; Hassan, A.H.; Tanaka, E. Skeletal anchorage for intrusion of bimaxillary molars in a patient with skeletal open bite and temporomandibular disorders. J. Orthod. Sci. 2017, 6, 152–158. [Google Scholar]
- Magdaleno, F.; Ginestal, E. Side effects of stabilization occlusal splints: A report of three cases and literature review. CRANIO 2010, 28, 128–135. [Google Scholar] [CrossRef]
- Oh, J.W.; Ahn, Y.W.; Jeong, S.H.; Ju, H.M.; Song, B.S.; Ok, S.M. Prediction of anterior open-bite development after stabilization splint treatment in patients with temporomandibular disorder. CRANIO 2020, 12, 1–10. [Google Scholar] [CrossRef]
- Kassem, H.E.; Marzouk, E.S. Prediction of changes due to mandibular autorotation following miniplate-anchored intrusion of maxillary posterior teeth in open bite cases. Prog. Orthod. 2018, 19, 1–7. [Google Scholar] [CrossRef]
- Dellinger, E.L.; Dellinger, E.L. Active vertical corrector treatment-long-term follow-up of anterior open bite treated by the intrusion of posterior teeth. Am. J. Orthod. Dentofac. Orthop. 1996, 110, 145–154. [Google Scholar] [CrossRef]
- Closs, L.; Pangrazio Kulbersh, V. Combination of bionator and high-pull headgear therapy in a skeletal open bite case. Am. J. Orthod. Dentofac. Orthop. 1996, 109, 341–347. [Google Scholar] [CrossRef]
- Shellhart, W.C.; Moawad, M.; Lake, P. Case report: Implants as anchorage for molar uprighting and intrusion. Angle Orthod. 1996, 66, 169–172. [Google Scholar]
- Melsen, B.; Fiorelli, G. Upper molar intrusion. J. Clin. Orthod. 1996, 30, 91–96. [Google Scholar]
- Melsen, B.; Agerbaek, N.; Eriksen, J.; Terp, S. New attachment through periodontal treatment and orthodontic intrusion. Am. J. Orthod. Dentofac. Orthop. 1988, 94, 104–116. [Google Scholar] [CrossRef]
- da Silva, V.C.; Cirelli, C.C.; Ribeiro, F.S.; Leite, F.R.; Benatti Neto, C.; Marcantonio, R.A.; Cirelli, J.A. Intrusion of teeth with class III furcation: A clinical, histologic and histometric study in dogs. J. Clin. Periodontol 2008, 35, 807–816. [Google Scholar] [CrossRef]
- Bayani, S.; Heravi, F.; Radvar, M.; Anbiaee, N.; Madani, A.S. Periodontal changes following molar intrusion with miniscrews. Dent. Res. J. 2015, 12, 379–385. [Google Scholar] [CrossRef] [PubMed]
- Carrillo, R.; Rossouw, P.E.; Franco, P.F.; Opperman, L.A.; Buschang, P.H. Intrusion of multiradicular teeth and related root resorption with mini-screw implant anchorage: A radiographic evaluation. Am. J. Orthod. Dentofac. Orthop. 2007, 132, 647–655. [Google Scholar] [CrossRef] [PubMed]
- Sugawara, J.; Baik, U.B.; Umemori, M.; Takahashi, I.; Nagasaka, H.; Kawamura, H.; Mitani, H. Treatment and posttreatment dentoalveolar changes following intrusion of mandibular molars with application of a skeletal anchorage system (SAS) for open bite correction. Int. J. Adult Orthodon. Orthognath. Surg. 2002, 17, 243–253. [Google Scholar] [PubMed]
- Kuroda, S.; Sakai, Y.; Tamamura, N.; Deguchi, T.; Takano-Yamamoto, T. Treatment of severe anterior open bite with skeletal anchorage in adults: Comparison with orthognathic surgery outcomes. Am. J. Orthod. Dentofac. Orthop. 2007, 132, 599–605. [Google Scholar] [CrossRef]
- Erverdi, N.; Usumez, S.; Solak, A.; Koldas, T. Noncompliance open-bite treatment with zygomatic anchorage. Angle Orthod. 2007, 77, 986–990. [Google Scholar] [CrossRef] [PubMed]
- Akan, S.; Kocadereli, I.; Aktas, A.; Tasar, F. Effects of maxillary molar intrusion with zygomatic anchorage on the stomatognathic system in anterior open bite patients. Eur. J. Orthod. 2013, 35, 93–102. [Google Scholar] [CrossRef] [Green Version]
- Deguchi, T.; Kurosaka, H.; Oikawa, H.; Kuroda, S.; Takahashi, I.; Yamashiro, T.; Takano-Yamamoto, T. Comparison of orthodontic treatment outcomes in adults with skeletal open bite between conventional edgewise treatment and implant-anchored orthodontics. Am. J. Orthod. Dentofac. Orthop. 2011, 139, S60–S68. [Google Scholar] [CrossRef] [PubMed]
- Buschang, P.H.; Carrillo, R.; Rossouw, P.E. Orthopedic correction of growing hyperdivergent, retrognathic patients with miniscrew implants. J. Oral. Maxillofac. Surg. 2011, 69, 754–762. [Google Scholar] [CrossRef] [Green Version]
- Talaat, W.; Al Bayatti, S.; Al Kawas, S. CBCT analysis of bony changes associated with temporomandibular disorders. CRANIO 2016, 34, 88–94. [Google Scholar] [CrossRef] [PubMed]
- Shahidi, S.; Salehi, P.; Abedi, P.; Dehbozorgi, M.; Hamedani, S.; Berahman, N. Comparison of the Bony Changes of TMJ in Patients With and Without TMD Complaints Using CBCT. J. Dent. 2018, 19, 142–149. [Google Scholar]
- Song, F.; He, S.; Chen, S. Temporomandibular disorders with skeletal open bite treated with stabilization splint and zygomatic miniplate anchorage: A case report. Angle Orthod. 2015, 85, 335–347. [Google Scholar] [CrossRef]
- Tanne, K.; Tanaka, E.; Sakuda, M. Association between malocclusion and temporomandibular disorders in orthodontic patients before treatment. J. Orofac. Pain 1993, 7, 156–162. [Google Scholar]
- Tanaka, E.; Yamano, E.; Inubushi, T.; Kuroda, S. Management of acquired open bite associated with temporomandibular joint osteoarthritis using miniscrew anchorage. Korean J. Orthod. 2012, 42, 144–154. [Google Scholar] [CrossRef] [Green Version]
- Fricton, J.R. Recent advances in orofacial pain and temporomandibular disorders. J. Back Musculoskelet. Rehabil. 1996, 6, 99–112. [Google Scholar] [CrossRef]
- de Wijer, A.; Steenks, M.H.; de Leeuw, J.R.; Bosman, F.; Helders, P.J. Symptoms of the cervical spine in temporomandibular and cervical spine disorders. J. Oral. Rehabil. 1996, 23, 742–750. [Google Scholar] [CrossRef] [PubMed]
- Alanen, P.; Kuttila, M.; Le Bell, Y. Fluctuation of temporomandibular disorders in accordance with two classifications: The Helkimo dysfunction index and treatment need grouping. Acta. Odontol. Scand. 1997, 55, 14–17. [Google Scholar] [CrossRef] [PubMed]
- Ekberg, E.; Nilner, M. Treatment outcome of appliance therapy in temporomandibular disorder patients with myofascial pain after 6 and 12 months. Acta. Odontol. Scand. 2004, 62, 343–349. [Google Scholar] [CrossRef]
- Mohlin, B.; Ingervall, B.; Thilander, B. Relation between malocclusion and mandibular dysfunction in Swedish men. Eur. J. Orthod. 1980, 2, 229–238. [Google Scholar] [CrossRef]
- Williamson, E.H. Occlusion: Understanding or misunderstanding. Angle. Orthod. 1976, 46, 86–93. [Google Scholar]
- Cordray, F.E. Centric relation treatment and articulator mountings in orthodontics. Angle. Orthod. 1996, 66, 153–158. [Google Scholar] [PubMed]
- Pullinger, A.G.; Seligman, D.A.; Solberg, W.K. Temporomandibular disorders. Part II: Occlusal factors associated with temporomandibular joint tenderness and dysfunction. J. Prosthet. Dent. 1988, 59, 363–367. [Google Scholar] [CrossRef]
- Seligman, D.A.; Pullinger, A.G.; Solberg, W.K. Temporomandibular disorders. Part III: Occlusal and articular factors associated with muscle tenderness. J. Prosthet. Dent. 1988, 59, 483–489. [Google Scholar] [CrossRef]
- McNamara, J.J.A.; Seligman, D.A.; Okeson, J.P. Occlusion, Orthodontic treatment, and temporomandibular disorders: A review. J. Orofac. Pain 1995, 9, 73–90. [Google Scholar]
- Roth, R.H. Temporomandibular pain-dysfunction and occlusal relationships. Angle Orthod. 1973, 43, 136–153. [Google Scholar]
- Parker, W.S. Centric relation and centric occlusion--an orthodontic responsibility. Am. J. Orthod. 1978, 74, 481–500. [Google Scholar] [CrossRef]
- Slavicek, R. Clinical and instrumental functional analysis and treatment planning. Part 4. Instrumental analysis of mandibular casts using the mandibular position indicator. J. Clin. Orthod. 1988, 22, 566–575. [Google Scholar]
- Magnusson, T.; Adiels, A.M.; Nilsson, H.L.; Helkimo, M. Treatment effect on signs and symptoms of temporomandibular disorders-comparison between stabilisation splint and a new type of splint (NTI). A pilot study. Swed. Dent. J. 2004, 28, 11–20. [Google Scholar]
- Okeson, J. Management of Temporomandibular Disorders and Occlusion; Elsevier: Amsterdam, The Netherlands, 2020. [Google Scholar]
- Moccia, S.; Nucci, L.; Spagnuolo, C.; d’Apuzzo, F.; Piancino, M.G.; Minervini, G. Polyphenols as Potential Agents in the Management of Temporomandibular Disorders. Appl. Sci. 2020, 10, 305. [Google Scholar] [CrossRef]
- Al-Moraissi, E.A.; Farea, R.; Qasem, K.A.; Al-Wadeai, M.S.; Al-Sabahi, M.E.; Al-Iryani, G.M. Effectiveness of occlusal splint therapy in the management of temporomandibular disorders: Network meta-analysis of randomized controlled trials. Int. J. Oral. Maxillofac. Surg. 2020, 49, 1042–1056. [Google Scholar] [CrossRef]
- McLaughlin, R.P. Malocclusion and the temporomandibular joint-an historical perspective. Angle Orthod. 1988, 58, 185–191. [Google Scholar] [PubMed]
- Alsafadi, A.S.; Alabdullah, M.M.; Saltaji, H.; Abdo, A.; Youssef, M. Effect of molar intrusion with temporary anchorage devices in patients with anterior open bite: A systematic review. Prog. Orthod. 2016, 17, 1–13. [Google Scholar] [CrossRef] [PubMed] [Green Version]
- Ramirez-Echave, J.I.; Buschang, P.H.; Carrillo, R.; Rossouw, P.E.; Nagy, W.W.; Opperman, L.A. Histologic evaluation of root response to intrusion in mandibular teeth in beagle dogs. Am. J. Orthod. Dentofac. Orthop. 2011, 139, 60–69. [Google Scholar] [CrossRef] [PubMed]
- Daimaruya, T.; Takahashi, I.; Nagasaka, H.; Umemori, M.; Sugawara, J.; Mitani, H. Effects of maxillary molar intrusion on the nasal floor and tooth root using the skeletal anchorage system in dogs. Angle Orthod. 2003, 73, 158–166. [Google Scholar]
- Vela-Hernandez, A.; Lopez-Garcia, R.; Garcia-Sanz, V.; Paredes-Gallardo, V.; Lasagabaster-Latorre, F. Nonsurgical treatment of skeletal anterior open bite in adult patients: Posterior build-ups. Angle Orthod. 2017, 87, 33–40. [Google Scholar] [CrossRef] [Green Version]
- Hart, T.R.; Cousley, R.R.; Fishman, L.S.; Tallents, R.H. Dentoskeletal changes following mini-implant molar intrusion in anterior open bite patients. Angle Orthod. 2015, 85, 941–948. [Google Scholar] [CrossRef] [Green Version]
- Crow, H.C.; Parks, E.; Campbell, J.H.; Stucki, D.S.; Daggy, J. The utility of panoramic radiography in temporomandibular joint assessment. Dentomaxillofac. Radiol. 2005, 34, 91–95. [Google Scholar] [CrossRef] [PubMed]
- d’Apuzzo, F.; Minervini, G.; Grassia, V.; Rotolo, R.P.; Perillo, L.; Nucci, L. Mandibular Coronoid Process Hypertrophy: Diagnosis and 20-Year Follow-Up with CBCT, MRI and EMG Evaluations. Appl. Sci. 2021, 11, 504. [Google Scholar] [CrossRef]
- Barghan, S.; Tetradis, S.; Mallya, S. Application of cone beam computed tomography for assessment of the temporomandibular joints. Aust. Dent. J. 2012, 57 (Suppl. S1), 109–118. [Google Scholar] [CrossRef] [PubMed]
- Molinari, F.; Manicone, P.F.; Raffaelli, L.; Raffaelli, R.; Pirronti, T.; Bonomo, L. Temporomandibular joint soft-tissue pathology, I: Disc abnormalities. Semin. Ultrasound CT MRI 2007, 28, 192–204. [Google Scholar] [CrossRef] [PubMed]
- Hilgenberg-Sydney, P.B.; Bonotto, D.V.; Stechman-Neto, J.; Zwir, L.F.; Pachêco-Pereira, C.; Canto, G.L.; Porporatti, A.L. Diagnostic validity of CT to assess degenerative temporomandibular joint disease: A systematic review. Dentomaxillofac. Radiol. 2018, 47, 20170389. [Google Scholar] [CrossRef] [PubMed]
Gender | ||
---|---|---|
Men | Women | |
Number of subjects | 18 | 29 |
Mean age (years) | 35.42 | 35.27 |
Age range (years) | ||
10–20 | 0 | 2 |
21–30 | 8 | 8 |
31–40 | 6 | 12 |
41–50 | 2 | 3 |
51–60 | 0 | 3 |
61–70 | 2 | 1 |
Measurement | Definition |
---|---|
ANB angle | A point–Nasion–B point angle |
Palatal plane–Mandibular plane angle | Angle between Posterior nasal spine–Anterior nasal spine and Gonion-Menton |
Facial Axis angle by Ricketts | Angle between Nasion-Basion and the facial axis (Pterygomaxillare-Gnathion) |
Mean | CI.l | CI.u | p Value | ||
---|---|---|---|---|---|
OB | T0MI vs. T0CR | −1.3333 | −2.2082 | −0.4585 | 0.0005 * |
T0MI vs. T1 | −3.1389 | −4.0137 | −2.2641 | 0.0000 * | |
T1 vs. T2 | 4.0278 | 3.1529 | 4.9026 | 0.0000 * | |
OJ | T0MI vs. T0CR | 1.2222 | 0.3367 | 2.1078 | 0.0022 * |
T0MI vs. T1 | 2.5833 | 1.6978 | 3.4689 | 0.0000 * | |
T1 vs. T2 | −2.0556 | −2.9411 | −1.1700 | 0.0000 * |
Mean | CI.l | CI.u | p Value | ||
---|---|---|---|---|---|
Mandibular plane– Palatal plane angle | T0 vs. T1 | 2.5778 | 1.776 | 3.3800 | 0.0000 * |
T1 vs. T2 | −2.8333 | −3.635 | −2.0311 | 0.0000 * | |
Facial axis angle by Ricketts | T0 vs. T1 | −1.6667 | −2.684 | −0.649 | 0.0004 * |
T1 vs. T2 | 2.3333 | 1.316 | 3.351 | 0.0000 * | |
ANB angle | T0 vs. T1 | 1.4722 | 0.8474 | 2.0971 | 0.0000 * |
T1 vs. T2 | −1.6667 | −2.2915 | −1.0418 | 0.0000 * |
Morphological Signs | Pretreatment Right | Posttreatment Right | p Value | Pretreatment Left | Posttreatment Left | p Value |
---|---|---|---|---|---|---|
Flattening | 61.11% | 27.78% | 0.0412 * | 72.22% | 38.89% | 0.0412 * |
Surface erosion, surface irregularities | 72.22% | 22.22% | 0.0077 * | 55.56% | 22.22% | 0.0412 * |
Irregular TMJ space | 66.67% | 16.67% | 0.0077 * | 61.11% | 16.67% | 0.0133 * |
Sclerosis | 22.22% | 22.22% | 1 | 11.11% | 11.11% | 1 |
Publisher’s Note: MDPI stays neutral with regard to jurisdictional claims in published maps and institutional affiliations. |
© 2021 by the authors. Licensee MDPI, Basel, Switzerland. This article is an open access article distributed under the terms and conditions of the Creative Commons Attribution (CC BY) license (https://creativecommons.org/licenses/by/4.0/).
Share and Cite
Nemes, B.; Frank, D.; Puigdollers, A.; Martín, D. Occlusal Splint Therapy Followed by Orthodontic Molar Intrusion as an Effective Treatment Method to Treat Patients with Temporomandibular Disorder: A Retrospective Study. Appl. Sci. 2021, 11, 7249. https://doi.org/10.3390/app11167249
Nemes B, Frank D, Puigdollers A, Martín D. Occlusal Splint Therapy Followed by Orthodontic Molar Intrusion as an Effective Treatment Method to Treat Patients with Temporomandibular Disorder: A Retrospective Study. Applied Sciences. 2021; 11(16):7249. https://doi.org/10.3390/app11167249
Chicago/Turabian StyleNemes, Bálint, Dorottya Frank, Andreu Puigdollers, and Domingo Martín. 2021. "Occlusal Splint Therapy Followed by Orthodontic Molar Intrusion as an Effective Treatment Method to Treat Patients with Temporomandibular Disorder: A Retrospective Study" Applied Sciences 11, no. 16: 7249. https://doi.org/10.3390/app11167249
APA StyleNemes, B., Frank, D., Puigdollers, A., & Martín, D. (2021). Occlusal Splint Therapy Followed by Orthodontic Molar Intrusion as an Effective Treatment Method to Treat Patients with Temporomandibular Disorder: A Retrospective Study. Applied Sciences, 11(16), 7249. https://doi.org/10.3390/app11167249