Abstract
Mouthwash contains chlorhexidine, triclosan, cetylpyridinium chloride, benzethonium chloride, and fluoride. However, continuous use of these chemical substance affects both pathogenic and nonpathogenic oral bacteria and causes an imbalance in the oral environment, which is known to affect not only oral diseases but also systemic diseases. Therefore, in this study, we observed the possibility of replacing the composition of chemical compound mouthwash with a natural extract. Platycodon grandiflorum (PG), Chaenomeles sinensis Koehne (CSK), and Siraitia grosvenorii (SG) were used as natural extracts, and a mixture of enzyme salt, xylitol, mint, green tea, lemon, and propolis were used as the natural extract mixture series (M1–M5). The natural extracts and natural mixture series were evaluated for the antibacterial effect, anti-inflammatory effect, cell viability, and nitric oxide (NO) assay using eleven types of pathogenic oral bacteria, two types of nonpathogenic oral bacteria, and macrophages RAW 264.7 cells. Cell viability was measured as about 35.9–46.7% for the control group (GA and LIS), about 36.3–57.7% for the natural extract group (PG, CSK, SG), and about 95.8–97.9% for the natural extract mixture series group (M1–M5). In the NO assay tested with lipopolysaccharide (LPS)-stimulated inflammatory responses, the control group was measured at about 89%, the natural extracts group were measured at 84–88%, and the natural extract mixture series group at about 54–82%. It was observed that some natural extracts (PG, SG) and natural extract mixtures (M4, M5) inhibited LPS-induced NO production, which meant that natural extracts had anti-inflammation potential. In conclusion, it was observed that natural extracts mixed in proper proportions affect pathogenic oral bacteria and not nonpathogenic oral bacteria. It is considered that appropriately formulated natural extracts can maintain a healthy oral environment and further replace commercial mouthwash based on chemical compound mixtures.
1. Introduction
In modern times, since health includes more than just disease-free conditions, it has become essential to emphasize the maintenance of oral health in general health conditions and relationships [1]. Removal of dental plaque which causes oral diseases leads to effective oral health care. Brushing teeth is most efficient for removing dental plaque, but as it is difficult to manage oral health only by brushing, use of appropriate oral hygiene products for each individual could effectively manage dental plaque [2]. Despite the proven effectiveness and necessity of oral hygiene products other than toothbrushes, many people use them less frequently and often use products that are not suitable for an individual’s oral condition. For effective oral care, it is desirable to select brushing methods, toothpaste, and oral hygiene aids according to the personal conditions of individuals, including age and oral health status [3].
Mouthwash used to clean bacteria in the mouth are known to prevent microorganisms in the oral cavity from attaching to the dental pellicle or the surface of the teeth and act as a bacteriostatic agent to suppress buildup of dental plague [4]. The ingredients of mouthwash include chlorohexidine (CHX), cetylpyridinium chloride (CPC), benzethonium chloride, benzydamin hydrochloride, and fluoride. Especially, chlorohexidine is known as a plaque control substance that inhibits the adhesion of microbes in the oral cavity and the surface of the teeth [5]. If these components are used in high concentrations, it may cause discoloration and pigmentation of teeth and buildup of calculus [6]. Long-term use of chemical compound mouthwash is not safe, and criticism has been raised for its widespread use. Chemical compound mouthwash contains preservatives, artificial colors, flavoring agents, and other various chemicals. Its short-term use can be effective in wound healing, oral ulcers, gingivitis, and periodontitis, but long-term use has been reported to lead to taste disorders, staining of hard and soft tissues, allergic reactions, and oral cancer [7]. According to a retrospective study on the role and other factors of mouthwash in oral cancer, an excessive risk was observed in women who used mouthwash daily, but no excessive risk was observed in men, and it was also dangerous to use mouthwash daily even for women who did not smoke or drink alcohol [8]. Moreover, daily use of chemical compound mouthwash can negatively affect the oral mucosa [9], and it can damage the cheek cell membrane and destroy the double helix, causing DNA damage [10]. Particularly, in the case of mouthwash-contained chemical substances that require prescription, long-term use of mouthwash develops resistance due to various kinds of antibiotics contained for effective inhibition of oral microbes [11]. Moreover, NO is involved in a wide range of physiological processes in almost all organs and tissues [12]. However, it was considered that the use of mouthwash may lead to extinction of oral bacteria, and this may lead to disturbances in the enterosalivary nitrate-nitrite-NO pathway. It had been reported that this could lead to defects in NO bioavailability and promote the development of cardiovascular diseases and sepsis [13].
More than 600 kinds of bacteria reside in the human oral cavity, which is known to suffer from dental caries and periodontal diseases, which are representative oral diseases [14]. Streptococcus constellatus preferentially inhabits subgingival dental plaque biofilms intraorally on interproximal tooth surfaces in patients with untreated periodontitis [15]. Streptococcus sanguinis is known to form biofilms on implant surfaces [16,17], and it is reported that the incidence of peri-implant complications increases significantly in patients with periodontitis [18]. Streptococcus mutans is one of the most common acid producers and has important influence in affecting most caries [19]. It is associated with subacute bacterial endocarditis and extraoral pathologies such as cerebral microbleeding, IgA nephropathy, and severe atherosclerosis [20]. Along with S.mutans, Streptococcus sobrinus is often observed in carious lesions, but S. mutans mainly uses pellicle-directed and specific surface antigens, while S. sobrinus mainly uses glucans [21]. Eikenella corrodens causes periodontal disease with severe alveolar bone loss [22]. It has been shown to cause head and neck infection, sinusitis, lung infection, arthritis, endocarditis, intraperitoneal infection, pancreatic abscess, cranial infection, and vertebral osteomyelitis [23,24]. Fusobacterium nucleatum periodically activates inflammatory cytokines, causing periodontal stiffness and tissue damage [25] and is related to periodontitis and periodontal disease. Aggregatibacter actinomycetemcomitans is a periodontal pathogen known to be involved in the development of aggressive periodontitis [26]. Porphyromonas gingivalis is known to be involved in the onset of periodontitis, an inflammatory disease that can lead to tooth loss by destroying the tissues that support teeth [27]. Prevotella nigrescens and Prevotella intermedia are the most frequently found oral bacteria in subgingival plaque [28]. While P. intermedia is a member of the subgingival microbial group related to periodontitis, P. nigrescens is known to be observed in children, active periodontal disease sites, and root canal infections [29]. Streptococcus salivarius inhibits respiratory pathogens and, similarly to S. mutans, S. sobrinus and Streptococcus pyogenes [30], it has also been reported as an antagonist of pathogens related to tooth decay, pharyngitis, and periodontitis [31]. Lactobacillus salivarius inhibits growth and expression of glucosyltransferases (Gtfs) for synthesis of exopolysaccharides (EPS) involved in early plague adhesion, colonization, and accumulation [32], and reduces S. mutans biofilm formation in a contact-independent manner [33]. Additionally, L. salivarius has been shown to have strong antibacterial activity against oral pathogens [34].
Periodontitis (PT) is a chronic inflammatory disease determined by certain periodontal pathogens which, due to an inflammatory host response, can result in periodontal tissue destruction, alveolar bone resorption, and tooth loss [35]. PT has been correlated with certain systemic disorders, such as cardiovascular diseases [36], diabetes (Pedroso et al., 2019), metabolic syndrome (Kim et al., 2018), and coronary heart disease (CHD) [37]. One of the main problems of PT is the occurrence of vascular-related diseases, which may be related to oxidative stress and relative vasospasm. This, in turn, determines endothelial injury, damage of vascular endothelial cells, and, finally, periodontal tissue destruction [38]. In this regard, recent evidence suggests that the host response mediated by IL-6 may accelerate PT and endothelial damage through a specific inflammatory reaction mediated by a specific oxidative stress pathway [39]. Galectins are a family of beta-galactoside-binding proteins physiologically expressed in fibroblasts, epithelial cells, and during active stages of inflammation [40]. Among these, galectin-3 was reported to be implicated during cell adhesion, inflammatory response, tissue fibrosis, and first immune response [41]. Galectin- 3 is systemically released from fibroblasts and macrophages on active inflammation sites and is implicated during the early stages of certain systemic diseases such as endothelial dysfunction, CHD, and heart failure [42]. Some studies evaluating concentrations of galectins at different gingival conditions showed that patients with gingivitis and chronic periodontitis had lower gingival crevicular fluid (GCF) concentrations of galectin-1 compared to healthy individuals [43], and that plasma galectin-3 was demonstrated to have a moderate prognostic accuracy in acute CHD patients [44]. For these reasons, there is growing interest in analyzing the effects of galectin-3 in patients with PT and CHD.
Recently, as part of efforts to remove pathogens while keeping oral health, the need for oral cleansers using natural extracts has emerged [45,46]. As human nontoxic or highly stable mouthwash development is required, research on plant extract for use as natural oral material is being conducted. Extracts such as chrysanthemum, barberry root, pine needles, Schisandra chinensis, and Nelumbo nucifera are reported to be effective in suppression of oral pathogen growth and elimination of bad breath [47,48]. Platycodon grandiflorum (PG) is known to have sedative, antipyretic, and analgesic effects, and Siraitia grosvenorii (SG) contains calcium-rich alkaline compounds, is a medicinal plant known to be effective against bronchial asthma and pneumonia and has been reported to strengthen the immune system and relieve inflammation [49]. Chaenomeles sinensis Koehne (CSK) has been traditionally used to treat human diseases in Asia, and its medicinal properties have been validated through the identification of bioactive components related to its pharmacological applications [50,51].
This study was performed to confirm whether a mixture of PG, CSK, SG and various natural extracts was effective in inhibiting pathogenic oral bacteria and was harmless to nonpathogenic oral bacteria. The natural extract mixture series was produced by mixing PG, CSK, SG and other natural extracts in various ratios. Using natural extracts (PG, CSK, SG) and natural extract mixtures (M1–M5), the effect of natural extracts on pathogenic/nonpathogenic oral bacteria was confirmed through bacterial and macrophage culture processes in a laboratory. We aimed to compare and evaluate expected substances that can replace chemical compound mouthwash and stably maintain the oral environment. This study aimed to find out whether natural extracts and natural extract mixtures can maintain a healthy oral environment and replace commercially available mouthwash based on compound mixtures.
2. Materials and Methods
2.1. Raw Material and Extraction Process
The biological resources used in this research were distributed from Korean Collection for Oral Microbiology (KCOM, Gwangju, Korea) and Korean Collection for Type Culture (KCTC, Jeongeup, Korea) (Table 1). The control group was Listerine Cool Mint Antiseptic™ (LIS, IDS Manufacturing Ltd., Bangkok, Thailand), which is used as a therapeutic toothpaste solution among commercially available mouthwash, and Garglin Original™ (GA, Dong-A pharmaceutical Co., Ltd., Seoul, Korea), which is used as a commercial chemical compound mouthwash. The extracts used in this study were samples provided by the company to select an appropriate material formulation before product launch. The vendor suggested the formulation of the natural extract mixture series materials within the minimum rage (Table S1). The natural extract (PG, CSK, SG), and material for natural extract mixtures used in this study were produced by Barun Ltd. (Chuncheon, Korea) according to their recipe (Table 2). The natural extracts mixture series (M1, M2, M3, M4, M5) were mixtures of enzyme salt, xylitol, PG, CSK, SG, mint, lemon, green tea, and propolis, and to the natural extracts mixture series were added silicon dioxide and magnesium stearate, which are food additives that act as binders and absorbents to be produced in tablet forms (refer to Table S1 of the supplement provided for the extraction ratio of the natural extracts mixture series M1–M5). PG, CSK, SG, mint, green tea, and lemon were extracted with hot water, and propolis was an alcohol extract, which were natural extracts added to M1–M5. Mint, green tea, lemon, and propolis were extracted using fruits and leaves, and xylitol was prepared by mixing sea salt and fermented plant mixture liquid for enzyme salt (Table 3, Table S2).
Table 1.
Pathogenic and nonpathogenic oral bacteria. Eleven types of pathogenic oral bacteria used in antibacterial testing and two types of nonpathogenic oral bacteria used in antibacterial testing. * The sources of KCOM 1039 and KCOM 1314 were maxillary sinusitis and parotiditis, respectively.
Table 2.
Major components of the materials.
Table 3.
Ingredients contained in the natural mixture series (M1~M5).
2.2. Strain Culture
All bacteria were cultured and activated at 37 ℃, 5 % CO2 aerobic conditions in liquid LB broth (244620, BD DIFCO, Franklin Lakes, NJ, USA). The activated strain was added to each replacement medium. The pathogenic and nonpathogenic bacteria were placed in 5 mL liquid LB broth and cultured in a shaking incubator (VS-8480SF, VISION scientific Co., Ltd., Daejeon, Korea) at 36.5 ℃, 145 rpm for 48 h. Harmful and beneficial bacteria (100 CFU) were smeared in a 60 Ø culture dish, and the dish was cultured in an incubator at conditions of 37 ℃, 5 % CO2.
2.3. pH Value
The acidity and basicity of each sample were measured using a pH meter (Starter 3100, OHAUS, Seoul, Korea). The electrodes of the pH meter were calibrated with standard buffer, and all samples were measured in triplicate using an existing known method [52].
2.4. Measurement of Antibacterial Activity
After culturing 13 types of oral microorganisms by the method reported in Strain culture, sterilized disc paper (8 mm, ADVANTEC, CA, USA) was prepared on the strains, which were evenly distributed on solid medium. Control groups (GA, LIS) and experimental groups (PG, CSK, SG, and M1–M5) were dropped, 100 µL each, on disc paper prepared for all oral microorganisms, and then placed with the flat part facing down. Antibacterial activity was evaluated by measuring the size of the clear zone. It was evaluated according to the black/white threshold value using ImageJ software version 1.52a (NIH, Bethesda, MD, USA) [53]. Oral microorganisms were cultured in 100 Ø culture dishes, and 4-disc papers were applied per dish. Six dishes were used for all oral microorganisms for each sample, and the experiment was repeated three times in total.
2.5. Macrophage Cell Culture
RAW 264.7 cells, a murine monocyte/macrophage cell line used in this experiment, were distributed from Korean Cell Line Bank (KCLB; Korean Cell Line Bank, Seoul, Korea). RAW 264.7 cells of 1 × 104 cells/mL (27 passage) were seeded on DMEM (Bulbecco’s Modified Eagle Medium 11965-118, Gibco, MD, USA) medium containing 10% FBS (Gibco, MD, USA) in a T75 flask (Thermo Fisher Scientific, Seoul, Korea), in an incubator at 37 °C, 5% CO2 environment. After 80% of cell growth, it was washed with 1% phosphate-buffered saline (PBS) and subcultured using a cell scraper (SPL, Pocheon, Korea). The medium was changed every 24 h.
2.6. Measurement of Cell Viability
RAW 264.7 cells were stabilized through subculture three times and cultured on a 96-well culture plate at 1 × 104 cells/mL for two hours. After treating with 1 µg/mL lipopolysaccharides and culturing for 24 h, 100 µL was added to each sample and cultured for 24 h. To observe cell viability, an MTT assay kit (Cell Counting Kit-8, Dojindo, MD, USA) was added into each well and recultured in a 37 ℃, 5% CO2 incubator for 2 h. The cell viability test was repeated three times in total, and all experiments were analyzed using the Gen5 2.01 (BioTek, VT, USA) program after reading at 450 nm absorbance using Synergy H1 Hybrid Reader (BioTek, Winooski, VT, USA) [54].
2.7. Measurement of Nitric Oxide Production
Nitric oxide (NO) assay was observed in the same culturing condition as the cell viability evaluation. One hundred microliters of media were collected from each well and moved to 96-well culture plate to use NO assay kit (Nitrate colorimetric assay kit No.780001, Cayman Chemical, Ann Arbor, MI, USA). This experiment was repeated three times, and all experiments were measured at 540–550 nm absorbance using Synergy H1 Hybrid Reader (BioTek, VT, USA), and the dose was measured using Gen5 2.01 (BioTek, VT, USA) [55].
2.8. Statistical Analysis
All data was processed using SigmaPlot 14 statistical program, expressed as mean ± standard deviation. It was evaluated by one-way ANOVA and verified by Student–Newman–Keuls. It was considered significant when the p-value was less than 0.05 for all statistics. The statistical values were converted to percentages (%) and displayed as tables and graphs.
3. Results
3.1. pH Measurement
Before investigating the antibacterial/anti-inflammatory efficacy of the mouthwash samples, their pH was measured. M2, M3, M4, M5, GA, LIS, and PG were weak acids (pH 4.1–4.7), CSK and M1 were acids (pH 3.0–3.4), and SG was alkaline (pH 8.0) (Figure 1).
Figure 1.
pH statistical quantitative value. All experimental groups were compared to Garglin Original™ (GA) and Listerine Cool Mint Antiseptic™ (LIS). (a) Schematic drawing for each group’s pH range; (b) Bar graph. ** vs. GA p < 0.001, ## vs. LIS p < 0.001.
3.2. The Antibacterial Effect
To observe the degree of bacterial growth inhibition by each natural extract and natural extract mixture series, the antibacterial effect was observed using pathogenic oral bacteria and nonpathogenic oral bacteria, and black/white threshold was measured with ImageJ. Each natural extract and natural extract mixture series were tested on pathogenic oral bacterial and nonpathogenic oral bacterial, and the formation of the clear zone was observed. As a result, it was observed that the natural extracts (PG, CSK, SG) and the natural extract mixture series (M1–M5) inhibited pathogenic oral bacterial by 62.5–99.9%, and chemical compound mouthwashes (GA, LIS) inhibited pathogenic oral bacterial by 88.8–99.9% (Table 4, Figure 2).
Table 4.
The antibacterial effect on pathogenic and nonpathogenic oral bacteria. The antibacterial effect on microorganisms of each sample was measured, and the antibacterial ability of each result value was compared and observed with a chemical mixture mouthwash (GA, LIS). Each number represents a percentage. * vs. GA p < 0.05, ** vs. GA p < 0.001, # vs. LIS p < 0.05, ## vs. LIS p < 0.001.
Figure 2.
Representative photography for pathogenic and nonpathogenic bacterial culture on the natural extracts mixture series (M2). Pathogenic bacteria: (A) S. constellatus (A,B) S. sanguinis, (C) S. mutans, (D) S. constellatus (B,E) E. corroden, (F) F. nucleatum, (G) S. sobrinus, (H) A. actinomycetemcomitans, (I) P. gingivalis, (J) P. nigrescens, (K) P. intermedia and nonpathogenic bacteria: (L) L. salivarius, (M) S. salivarius.
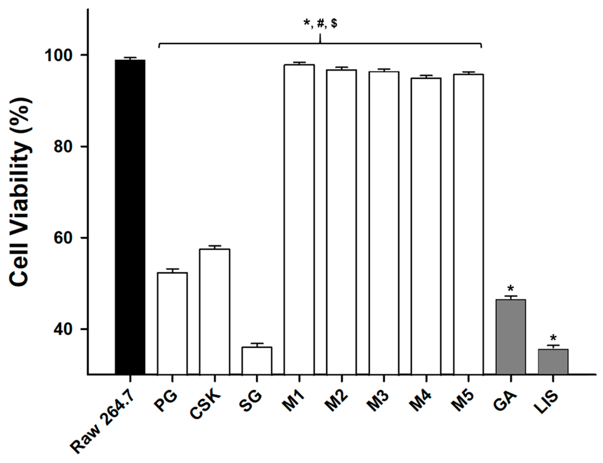
3.3. Cell Survival
The cell safety of the natural extracts and their mixtures was observed, and a cell survival experiment was conducted. As a result, the cell viability rate of RAW 264.7 cells was 100%, and that of the natural extract mixture series (M1–M5) was observed as 95–97.9%, but cell viability rate of the natural extracts (PG, CSK, SG) was observed as 36.3–57.5%, and of the chemical compound mouthwashes (GA, LIS) were observed as 35.9–46.9% (Figure 3).
Figure 3.
MTT assay statistical graph: xell viability. All experimental groups were compared with GA, LIS, and RAW 264.7 cell (control). * vs. Con. p < 0.01, # vs. GA. p < 0.01, $ vs. LIS. p < 0.01.
3.4. Anti-Inflammatory Effect
In macrophage inflammatory reaction, the concentration of proinflammatory intermediates such as NO, cyclo-oxygenase (COX-2), prostaglandin E2 (PGE2), tumor necrosis factor-α (TNF-α), interleukin (IL)-6, and IL-1β increase [56]. When macrophages are stimulated with LPS, inducible nitric oxide synthase (iNOS) is expressed, producing excessive NO, and the produced NO is known to induce tissue damage by promoting inflammatory response [57]. To confirm whether natural extract and its mixtures inhibit inflammatory mediators, an NO assay was performed. As a result, the NO value before LPS treatment was 0.15 ± 0.02 µM in RAW 264.7 cells, 0.08 ± 0.0001, 0.10 ± 0.0001, and 0.11 ± 0.0004 in natural extracts (PG, CSK, and SG, respectively), 0.14 ± 0.02, 0.09 ± 0.0002, 0.11 ± 0.01, 0.09 ± 0.0003, and 0.09 ± 0.0001 in natural extract mixture series (M1–M5, respectively), and 0.11 ± 0.01 and 0.10 ± 0.0003 µM in chemical compound mouthwashes, GA and LIS, respectively (Figure 4a). On the other hand, the NO value after LPS treatment was 0.95 ± 0.06 µM in RAW 264.7 cells, 0.12 ± 0.01, 0.15 ± 0.05, and 0.11 ± 0.0001 µM in natural extracts (PG, CSK, and SG, respectively), 0.29 ± 0.02, 0.43 ± 0.04, 0.36 ± 0.06, 0.16 ± 0.01, and 0.18 ± 0.08 µM in natural extract mixture series (M1–M5, respectively), and 0.10 ± 0.0002 and 0.10 ± 0.0001 µM in chemical compound mouthwashes (GA and LIS, respectively) (Figure 4b). Based on the NO assay results, it was confirmed that natural extracts (PG, CSK, SG), M4, M5, GA, and LIS inhibited NO production in LPS induction.
Figure 4.
Nitric oxide (NO) assay ELISA statistical graph. (a) Non- lipopolysaccharide (LPS) treatment; (b) LPS treatment. All experimental groups were compared to the negative controls, GA and LIS, and the positive control RAW 264.7 cells. * vs. Con. p < 0.5, *** vs. Con. p < 0.001, # vs. GA. p < 0.5, ## vs. GA. p < 0.01, ### vs. GA. p < 0.001, $ vs. LIS. p < 0.5, $$ vs. LIS. p < 0.01, $$$ vs. LIS. p < 0.001.
4. Discussion
This study was performed to test the antibacterial and anti-inflammatory potential of mouthwash composition based on natural extracts for oral healthcare.
Mouthwash can be used for a variety of purposes such as sterilization and disinfection of the mouth and throat, antiseptic effect, deodorant effect, cold prevention, sore throat, tonsillitis, other periodontitis, stomatitis, halitosis, tooth extraction, disinfection and sterilization after implant surgery, and prevention of caries. For its advantage of being easy to use by individuals, its use is increasing significantly. Most mouthwash is reported as generally acidic with a pH of 3.45–6.75 [58]. The pH efficacy may vary depending on the ingredients of the mouthwash [59]. It was confirmed in previous in situ results that mouthwash with a low pH of 4.0 or less may cause dental erosion [60], and mouthwash with a low pH of 3.45 was found to decrease the microhardness of teeth [58]. According to the experimental results of this study, using M2, M3, M4, M5, GA, LIS, PG (pH 4.0–4.7), and SG (pH 8.0) as mouthwash had a low impact on enamel corrosion, and CSK and M1, which were below pH 4.0, were considered to have a high possibility of causing dental erosion due to pH action.
Phytochemicals are responsible for the biological activity of plants, and the major constituents of plants, such as flavonoids, terpenes, and phenolic acids, could be effective for oral antibacterial action. Examples of mouthwashes containing natural extracts include Cannabis sativa L. and the spirulina plant. Cannabinoid is a naturally occurring compound found in Cannabis sativa L. and is known to exhibit bactericidal efficacy similar to 0.2% of chlorhexidine, even though it does not contain any kind of fluorine or alcohol [61]. Arthrospira platensis (spirulina plant) is a dietary supplement that is gaining popularity as a source of protein, vitamins, micro- and macronutrients, but it was reported that spirulina supplements contained high levels of fluoride [62].
Gaetano Isola et al. (2021) found that patients with periodontitis had higher levels of IL-6 in saliva than healthy subjects, and that a proportional increase in IL-6 was also related to PT and tooth loss [63]. It was suggested that unbalanced IL-6 levels can accurately predict the early appearance of PT and that serum IL-6 levels may be helpful in assessing the severity of PT [64]. In addition, it was reported that the serum and saliva galectin-3 levels of patients with periodontitis and periodontitis + CHD were higher compared to those of CHD patients and healthy controls [65]. The results of the present study indicated that patients who had PT presented higher salivary IL-6 compared to healthy subjects. Furthermore, the proportional increase of salivary IL-6 was associated with the extent of PT and tooth loss [63]. Some preliminary evidence described that patients with periodontitis had increased GCF and salivary galectin-1 levels [66], through a pathway arranged also by soluble urokinase plasminogen activator receptor (suPAR) and tumor necrosis factor-α (TNF-α). More specifically, it has been shown that galectin-1 and -3 could interfere with PT progression through a signaling mediated by β1-integrin in the lipopolysaccharides of certain periodontal pathogens such as Porphyromonas gingivalis [67], and could also induce the upregulation of IL-1, matrix metalloproteinases, and some growth factors [68]. As a natural extract mouthwash, it had been reported to have various antibacterial, antioxidant, anti-inflammatory, and antifungal properties with low toxicity and minimal side effects, although effective in reducing plaque and gingivitis [69].
To replace chemical compounds in mouthwash, various studies are being progressed on natural extracts and their effects in oral diseases, including anticancer effect in oral epithelial cell cancer [70], oral disease suppression effect of Galla Rhois extract [71], and oral mucosal wound healing effect of Aucuba japonica extract [72]. A mouthwash that maintains an ideal oral environment has a selective antibacterial effect against bacteria that cause oral diseases and bad breath and has no toxicity to human body and oral tissue [73]. Therefore, our study observed the effect of natural extracts-based mouthwash on oral pathogenic bacteria/nonpathogenic bacteria. The targets were S. constellatus, S. sanguinis, S. mutants, E. corrodens, F. nucleatum, S. sobrinus, A. actinomycetemcomitans, P. gingivalis, P. nigrescens, and P. intermedia. To observe the safety of each mouthwash, the experiment targeted S. salivarius and L. salivarius, which are beneficial bacteria in the oral cavity. As a result of measuring black/white threshold ratio in CSK (S. sanguinis, F. nucleatum, P. nigrescens), M1 (S. constellatus (A), S. constellatus (B)), M3 (E. corrodens), M5 (P. intermedia), GA (A. actinomycetemcomitans, P. gingivalis), and LIS (S. mutans, S. sobrinus), the extinction concentration was significant at about 99.9%, and PG, SG, M2, and M4 effects on oral microorganisms were observed to be insignificant.
The paper disc assay results of PG, CSK, SG, and natural extracts mixture series on two types of beneficial bacteria in the oral cavity showed no growth inhibition. It was considered that it did not affect the beneficial bacterial in the oral cavity, and it was suggested that it could be used as a safe material for mouthwash. This is considered to be a result of not using an appropriate concentration for cell survival of PG, CSK and SG, unlike natural extracts mixture series, which were mixed with other natural extracts in various ratios.
The comparison of before and after LPS treatment in the NO assay showed that each mouthwash suppressed NO concentration after inducing inflammation by LPS. However, the reason why M1 and M2 had lower NO inhibition than other mouthwash was considered to be due to the difference in mixing ratio of each natural extract.
Mint, such as Mentha piperita, has been reported to have antibacterial and anti-inflammatory effects [73]. The natural extract mixtures, M1–M5, contained mint extract powder. The mint extract powder we used is a food additive made from 80% dextrin, 10% mint oil (oils, peppermint), and 10% gum Arabic, and serves as a supplement in the product. It was added to give palatability and a refreshing sensation to the oral cavity due to the unique fragrance and taste of mint.
With the antibacterial effect, cell survival, and anti-inflammatory effect put together, the chemical compound mouthwash inhibited growth of all pathogenic/nonpathogenic oral bacteria, but natural extracts and natural extract mixtures inhibited pathogenic oral bacterial only. It is considered that CHX, CPC, benzethonium chloride, and fluoride, which are the components of chemical compound mouthwash, prevent the oral environment from being balanced [4] and also affect symbiotic bacteria. When cell viability was observed considering the oral environment, the results of natural extracts (PG, CSK, SG) were similar to those of chemical compound mouthwashes (GA, LIS), which confirmed that proper mixing of natural extracts induced high cell viability. As a similar tendency was observed when inflammation was induced, it was confirmed that an appropriate ratio of natural extracts maintains a healthy oral environment, which suggested the possibility of antibacterial and anti-inflammatory effects against pathogenic bacterial in the oral cavity.
The mouthwashes (natural extracts, mixtures of natural extracts, chemical mixtures) used in this study are not drugs that target specific diseases. However, the natural extracts we have used are reported as medicinal plants, most of which are known to have a stable effect on the body. Based on these references to the natural extracts we used, it was estimated that it had antimicrobial activity against pathogens but did not affect natural microorganisms. Additionally, the composition ratio of the extracts used in this experiment was a preliminary experiment for the soluble ratio of the extract based on the ease of manufacture. However, the natural products constituting the natural extract mixture (M1–M5) were the result of combining the composition ratio based on each characteristic in individual experiments. It was observed that these natural extract mixtures had antibacterial effects and were effective in anti-inflammatory effects compared to the natural extracts or chemical mixture mouthwash. This was presumed to be the result of well-combined features of each natural product. However, we consider further experiments to be essential to clarify that for each extract’s composition ratio.
This study observed whether natural extracts and mixed products of natural extracts could suppress pathogenic oral microorganisms by replacing commercially available mouthwashes, but there was no evidence of the relationship between each natural extract and oral microorganisms included in the mixed products. Our plan is to observe the mechanisms for the death and survival of oral microbes in each of the natural extracts that make up the natural extract products through further research and to confirm the efficacy in detail.
5. Conclusions
This study observed cell viability, antibacterial and anti-inflammatory effects of natural extracts and natural extract mixtures on pathogenic oral bacterial and observed degree of inflammatory inhibition of each sample by NO assay.
- Each natural extract and their mixture series were observed to affect some of the eleven types of oral pathogenic bacteria. Among them, PG, SG, M2, and M4 were observed to have no effect on the eleven types of oral pathogenic bacteria. All samples were observed to have no effect on the nonpathogenic bacteria. However, it was observed that M1, GA, and LIS had a high effect of about 77–90% compared to the other samples.
- The natural extract mixtures, M1–M5, showed a level of cell viability similar to the control group, which was RAW 264.7 cells, but those of the natural extracts (PG, CSK, SG) were similar to those of the chemical mixture mouthwash (GA and LIS). This suggests that natural extract mixtures offered more cell stability than natural extracts.
- The anti-inflammatory effects of PG, CSK, SG, M4, M5, GA and LIS were confirmed through NO assay.
As a result of synthesizing cell viability, antibacterial and anti-inflammatory effects, it was observed that M5 was the most effective among the natural extracts and the natural extract mixture series. The natural extracts and the natural extract mixture series are thought to show potential as mouthwashes.
Supplementary Materials
The following are available online at https://www.mdpi.com/article/10.3390/app11094227/s1, Table S1: Ingredient information (%), Table S2: Ferment plant mixture liquid.
Author Contributions
Conceptualization, H.-S.K. and B.-J.K.; methodology, S.-H.L., M.-S.L., W.-H.K., and Y.-J.J.; software, S.-H.L. and K.-W.J.; validation, J.-H.L. and H.-S.K.; formal analysis, S.-H.L. and W.-H.K.; investigation, Y.-J.J. and B.-J.K.; data curation, M.-S.L., J.-H.L.; writing—original draft preparation, S.-H.L., W.-H.K. and K.-W.J.; writing—review and editing, Y.-J.J. and B.-J.K.; supervision, B.-J.K. All authors have read and agreed to the published version of the manuscript.
Funding
This research was supported by a grant from the Korea Health Technology R&D Project through Korea Health Industry Development Institute (KHIDI), funded by the Ministry of Health and Welfare, Republic of Korea, Grant number: HI20C2114 and the KRICT project (KS2141-20) from the Korea Research Institute of Chemical Technology (KRICT).
Institutional Review Board Statement
Not applicable.
Informed Consent Statement
Not applicable.
Data Availability Statement
The data presented in this study are available on request from the corresponding author.
Conflicts of Interest
The authors declare no conflict of interest.
References
- Lee, E.-J.; Lee, M.-O. Analysis on the Effect of the Dental Health Characteristics of Adult on the Status of Recognition and Practical Application of Dental Hygiene Devices. J. Dent. Hyg. Sci. 2010, 10, 241–250. [Google Scholar]
- Oliveira, L.M.; Pazinatto, J.; Zanatta, F.B. Are oral hygiene instructions with aid of plaque-disclosing methods effective in improving self-performed dental plaque control? A systematic review of randomized controlled trials. Int. J. Dent. Hyg. 2021, 1–16. [Google Scholar] [CrossRef]
- Lee, Y.H.; Moon, H.S.; Paik, D.I.; Kim, J.B. A Survey on Family Dental Health Behavior in Seoul Capital City. J. Korean Acad. Oral Health 2000, 24, 239–254. [Google Scholar]
- Stanley, A.; Wilson, M.; Newman, H.N. The in Vitro Effects of Chlorhexidine on Subgingival Plaque Bacteria. J. Clin. Periodontol. 1989, 16, 259–264. [Google Scholar] [CrossRef]
- Pratten, J.; Smith, A.W.; Wilson, M. Response of Single Species Biofilms and Microcosm Dental Plaques to Pulsing with Chlorhexidine. J. Antimicrob. Chemoth. 1998, 42, 453–459. [Google Scholar] [CrossRef]
- Holbeche, J.D.; Ruljancich, M.K.; Reade, P.C. A Clinical Trial of the Efficacy of a Cetylpyridinium Chloride-based Mouth Wash*: 1. Effect on Plaque Accumulation and Gingival Condition. Aust. Dent. J. 1975, 20, 397–404. [Google Scholar] [CrossRef]
- McCullough, M.; Farah, C. The Role of Alcohol in Oral Carcinogenesis with Particular Reference to Alcohol-containing Mouthwashes. Aust. Dent. J. 2008, 53, 302–305. [Google Scholar] [CrossRef] [PubMed]
- Wynder, E.L.; Kabat, G.; Rosenberg, S.; Levenstein, M. Oral Cancer and Mouthwash Use. JNCI J. Natl. Cancer Inst. 1983. [Google Scholar] [CrossRef]
- Kuyama, K.; Yamamoto, H. A Study of Effects of Mouthwash on the Human Oral Mucosae: With Special References to Sites, Sex Differences and Smoking. J. Nihon Univ. Sch. Dent. 1997, 39, 202–210. [Google Scholar] [CrossRef] [PubMed][Green Version]
- Jahangir, G.Z.; Ashraf, D.S.; Nasir, I.A.; Sadiq, M.; Shahzad, S.; Naz, F.; Iqbal, M.; Saeed, A. The Myth of Oral Hygiene Using Synthetic Mouthwash Products. Springerplus 2016, 5, 1481. [Google Scholar] [CrossRef] [PubMed][Green Version]
- Saleem, H.G.M.; Seers, C.A.; Sabri, A.N.; Reynolds, E.C. Dental Plaque Bacteria with Reduced Susceptibility to Chlorhexidine Are Multidrug Resistant. BMC Microbiol. 2016, 16, 214. [Google Scholar] [CrossRef]
- Carnovale, C.E.; Ronco, M.T. Role of Nitric Oxide in Liver Regeneration. Ann. Hepatol. 2012, 11, 636–647. [Google Scholar] [CrossRef]
- Blot, S. Antiseptic Mouthwash, the Nitrate–Nitrite–Nitric Oxide Pathway, and Hospital Mortality: A Hypothesis Generating Review. Intensive Care Med. 2021, 47, 28–38. [Google Scholar] [CrossRef]
- Aas, J.A.; Paster, B.J.; Stokes, L.N.; Olsen, I.; Dewhirst, F.E. Defining the Normal Bacterial Flora of the Oral Cavity. J. Clin. Microbiol. 2005, 43, 5721–5732. [Google Scholar] [CrossRef]
- Colombo, A.P.V.; Teles, R.P.; Torres, M.C.; Souto, R.; Rosalém, W.; Mendes, M.C.S.; Uzeda, M. Subgingival Microbiota of Brazilian Subjects with Untreated Chronic Periodontitis. J. Periodontol. 2002, 73, 360–369. [Google Scholar] [CrossRef]
- Lee, J.-H.; Jeong, W.-S.; Seo, S.-J.; Kim, H.-W.; Kim, K.-N.; Choi, E.-H.; Kim, K.-M. Non-Thermal Atmospheric Pressure Plasma Functionalized Dental Implant for Enhancement of Bacterial Resistance and Osseointegration. Dent. Mater. 2017, 33, 257–270. [Google Scholar] [CrossRef]
- Pita, P.P.C.; Rodrigues, J.A.; Ota-Tsuzuki, C.; Miato, T.F.; Zenobio, E.G.; Giro, G.; Figueiredo, L.C.; Gonçalves, C.; Gehrke, S.A.; Cassoni, A.; et al. Oral Streptococci Biofilm Formation on Different Implant Surface Topographies. Biomed. Res. Int. 2015, 2015, 1–6. [Google Scholar] [CrossRef] [PubMed]
- Smith, M.M.; Knight, E.T.; Al-Harthi, L.; Leichter, J.W. Chronic Periodontitis and Implant Dentistry. Periodontology 2000 2017, 74, 63–73. [Google Scholar] [CrossRef] [PubMed]
- Gross, E.L.; Beall, C.J.; Kutsch, S.R.; Firestone, N.D.; Leys, E.J.; Griffen, A.L. Beyond Streptococcus Mutans: Dental Caries Onset Linked to Multiple Species by 16S RRNA Community Analysis. PLoS ONE 2012, 7, e47722. [Google Scholar] [CrossRef]
- Lemos, J.A.; Palmer, S.R.; Zeng, L.; Wen, Z.T.; Kajfasz, J.K.; Freires, I.A.; Abranches, J.; Brady, L.J. The Biology of Streptococcus Mutans. Microbiol. Spectr. 2019, 7. [Google Scholar] [CrossRef] [PubMed]
- Conrads, G.; de Soet, J.J.; Song, L.; Henne, K.; Sztajer, H.; Wagner-Döbler, I.; Zeng, A.-P. Comparing the Cariogenic Species Streptococcus Sobrinus and S. Mutans on Whole Genome Level. J. Oral Microbiol. 2014, 6, 26189. [Google Scholar] [CrossRef]
- Listgrarten, M.A.; Johnson, D.; Nowotny, A.; Tanner, A.C.R.; Socransky, S.S. Histopathology of Periodontal Disease in Gnotobiotic Rats Monoinfected with Eikenella Corrodens. J. Periodontal Res. 1978, 13, 134–148. [Google Scholar] [CrossRef]
- Arana, E.; Vallcanera, A.; Santamaría, J.A.; Sanguesa, C.; Cortina, H. Eikenella Corrodens Skull Infection: A Case Report with Review of the Literature. Surg. Neurol. 1997, 47, 389–391. [Google Scholar] [CrossRef]
- Olopoenia, L.A.; Mody, V.; Reynolds, M. Eikenella Corrodens Endocarditis in an Intravenous Drug User: Case Report and Literature Review. J. Natl. Med. Assoc. 1994, 86, 313–315. [Google Scholar] [PubMed]
- Baqui, A.A.; Meiller, T.F.; Chon, J.J.; Turng, B.F.; Falkler, W.A. Granulocyte-Macrophage Colony-Stimulating Factor Amplification of Interleukin-1beta and Tumor Necrosis Factor Alpha Production in THP-1 Human Monocytic Cells Stimulated with Lipopolysaccharide of Oral Microorganisms. Clin. Diagn. Lab. Immun. 1998, 5, 341–347. [Google Scholar] [CrossRef]
- Henderson, B.; Ward, J.M.; Ready, D. Aggregatibacter (Actinobacillus) Actinomycetemcomitans: A Triple A* Periodontopathogen? Periodontology 2000 2010, 54, 78–105. [Google Scholar] [CrossRef] [PubMed]
- Mysak, J.; Podzimek, S.; Sommerova, P.; Lyuya-Mi, Y.; Bartova, J.; Janatova, T.; Prochazkova, J.; Duskova, J. Porphyromonas Gingivalis: Major Periodontopathic Pathogen Overview. J. Immunol. Res. 2014, 2014, 1–8. [Google Scholar] [CrossRef]
- Kamma, J.J.; Nakou, M.; Gmür, R.; Baehni, P.C. Microbiological Profile of Early Onset/Aggressive Periodontitis Patients. Oral Microbiol. Immun. 2004, 19, 314–321. [Google Scholar] [CrossRef]
- Teanpaisan, R.; Douglas, C.W.I.; Walsh, T.F. Characterisation of Black-pigmented Anaerobes Isolated from Diseased and Healthy Periodontal Sites. J. Periodontal Res. 1995, 30, 245–251. [Google Scholar] [CrossRef]
- Tanzer, J.M.; Kurasz, A.B.; Clive, J. Competitive Displacement of Mutans Streptococci and Inhibition of Tooth Decay by Streptococcus Salivarius TOVE-R. Infect. Immun. 1985, 48, 44–50. [Google Scholar] [CrossRef]
- Hoogmoed, C.G.V.; Geertsema-doornbusch, G.I.; Teughels, W.; Quirynen, M.; Busscher, H.J.; Mei, H.C.V. der Reduction of Periodontal Pathogens Adhesion by Antagonistic Strains. Oral Microbiol. Immun. 2008, 23, 43–48. [Google Scholar] [CrossRef]
- Koo, H.; Falsetta, M.L.; Klein, M.I. The Exopolysaccharide Matrix. J. Dent. Res. 2013, 92, 1065–1073. [Google Scholar] [CrossRef] [PubMed]
- del Carmen Ahumada Ostengo, M.; Wiese, B.; Nader-Macias, M.E. Inhibitory Effect of Sodium Fluoride and Chlorhexidine on the Growth of Oral Lactobacilli. Can. J. Microbiol. 2005, 51, 133–140. [Google Scholar] [CrossRef] [PubMed]
- Kõll-Klais, P.; Mändar, R.; Leibur, E.; Marcotte, H.; Hammarström, L.; Mikelsaar, M. Oral Lactobacilli in Chronic Periodontitis and Periodontal Health: Species Composition and Antimicrobial Activity. Oral Microbiol. Immun. 2005, 20, 354–361. [Google Scholar] [CrossRef] [PubMed]
- Shinjo, T.; Ishikado, A.; Hasturk, H.; Pober, D.M.; Paniagua, S.M.; Shah, H.; Wu, I.; Tinsley, L.J.; Matsumoto, M.; Keenan, H.A.; et al. Characterization of Periodontitis in People with Type 1 Diabetes of 50 Years or Longer Duration. J. Periodontol. 2019, 90, 565–575. [Google Scholar] [CrossRef]
- Isola, G.; Polizzi, A.; Alibrandi, A.; Williams, R.C.; Leonardi, R. Independent Impact of Periodontitis and Cardiovascular Disease on Elevated Soluble Urokinase-type Plasminogen Activator Receptor (SuPAR) Levels. J. Periodontol. 2020. [Google Scholar] [CrossRef]
- Aoyama, N.; Kobayashi, N.; Hanatani, T.; Ashigaki, N.; Yoshida, A.; Shiheido, Y.; Sato, H.; Takamura, C.; Yoshikawa, S.; Matsuo, K.; et al. Periodontal Condition in Japanese Coronary Heart Disease Patients: A Comparison between Coronary and Non-coronary Heart Diseases. J. Periodontal Res. 2019, 54, 259–265. [Google Scholar] [CrossRef]
- Bhattarai, G.; Min, C.; Jeon, Y.; Bashyal, R.; Poudel, S.B.; Kook, S.; Lee, J. Oral Supplementation with P-coumaric Acid Protects Mice against Diabetes-associated Spontaneous Destruction of Periodontal Tissue. J. Periodontal Res. 2019, 54, 690–701. [Google Scholar] [CrossRef] [PubMed]
- Zhang, N.; Lv, H.; Shi, B.-H.; Hou, X.; Xu, X. Inhibition of IL-6 and IL-8 Production in LPS-Stimulated Human Gingival Fibroblasts by Glycyrrhizin via Activating LXRα. Microb. Pathogenesis. 2017, 110, 135–139. [Google Scholar] [CrossRef]
- Liu, F.; Rabinovich, G.A. Galectins: Regulators of Acute and Chronic Inflammation. Ann. N. Y. Acad. Sci. 2010, 1183, 158–182. [Google Scholar] [CrossRef] [PubMed]
- Loimaranta, V.; Hepojoki, J.; Laaksoaho, O.; Pulliainen, A.T. Galectin-3-binding Protein: A Multitask Glycoprotein with Innate Immunity Functions in Viral and Bacterial Infections. J. Leukoc. Biol. 2018, 104, 777–786. [Google Scholar] [CrossRef]
- Agnello, L.; Bivona, G.; Sasso, B.L.; Scazzone, C.; Bazan, V.; Bellia, C.; Ciaccio, M. Galectin-3 in Acute Coronary Syndrome. Clin. Biochem. 2017, 50, 797–803. [Google Scholar] [CrossRef] [PubMed]
- Taşdemir, İ.; Yılmaz, H.E.; Narin, F.; Sağlam, M. Assessment of Saliva and Gingival Crevicular Fluid Soluble Urokinase Plasminogen Activator Receptor (SuPAR), Galectin-1, and TNF-α Levels in Periodontal Health and Disease. J. Periodontal Res. 2020, 55, 622–630. [Google Scholar] [CrossRef]
- Obeid, S.; Yousif, N.; Davies, A.; Loretz, R.; Saleh, L.; Niederseer, D.; Noor, H.A.; Amin, H.; Mach, F.; Gencer, B.; et al. Prognostic Role of Plasma Galectin-3 Levels in Acute Coronary Syndrome. Eur. Heart J. Acute Cardiovasc. Care 2020, 9, 869–878. [Google Scholar] [CrossRef] [PubMed]
- Joshipura, K.; Muñoz-Torres, F.; Fernández-Santiago, J.; Patel, R.P.; Lopez-Candales, A. Over-the-Counter Mouthwash Use, Nitric Oxide and Hypertension Risk. Blood Press. 2019, 29, 1–10. [Google Scholar] [CrossRef]
- Jae, M.-H.; Chang, K.-W.; Ma, D.-S. The Effects of Origanum Oil, Red Ginseng Extract, and Green Tea Extract on Oral Microorganisms and Volatile Sulfur Compounds. J. Korean Acad. Oral Health 2011, 35, 396–404. [Google Scholar]
- Cowan, M.M. Plant Products as Antimicrobial Agents. Clin. Microbiol. Rev. 1999, 12, 564–582. [Google Scholar] [CrossRef] [PubMed]
- Heo, N.S.; Choi, H.J.; Hwang, S.M.; Choi, Y.W.; Lee, Y.G.; Joo, W.H. Antimicrobial and Anti-Oral Malodor Efficacy of Schizandra Chinensis Extracts against Oral Pathogens. J. Life Sci. 2013, 23, 443–447. [Google Scholar] [CrossRef]
- Lee, S.-J.; Bang, W.-S.; Hong, J.-Y.; Kwon, O.-J.; Shin, S.-R.; Yoon, K.-Y. Antioxidant and Antimicrobial Activities of Black Doraji (Platycodon Grandiflorum). Korean J. Food Preserv. 2013, 20, 510–517. [Google Scholar] [CrossRef]
- Sawai, R.; Kuroda, K.; Shibata, T.; Gomyou, R.; Osawa, K.; Shimizu, K. Anti-Influenza Virus Activity of Chaenomeles Sinensis. J. Ethnopharmacol. 2008, 118, 108–112. [Google Scholar] [CrossRef] [PubMed]
- Lussi, A.; Portmann, P.; Burhop, B. Erosion on Abraded Dental Hard Tissues by Acid Lozenges: An in Situ Study. Clin. Oral Investig. 1998, 1, 191–194. [Google Scholar] [CrossRef]
- Grishagin, I.V. Automatic Cell Counting with ImageJ. Anal. Biochem. 2015, 473, 63–65. [Google Scholar] [CrossRef]
- Chen, Y.; Zhao, Q.; Sun, Y.; Jin, Y.; Zhang, J.; Wu, J. Melatonin Induces Anti-Inflammatory Effects via Endoplasmic Reticulum Stress in RAW264.7 Macrophages. Mol. Med. Rep. 2018, 17, 6122–6129. [Google Scholar] [CrossRef] [PubMed]
- Choo, G.-S.; Lim, D.-P.; Kim, S.-M.; Yoo, E.-S.; Kim, S.-H.; Kim, C.-H.; Woo, J.-S.; Kim, H.-J.; Jung, J.-Y. Anti-Inflammatory Effects of Dendropanax Morbifera in Lipopolysaccharide-Stimulated RAW264.7 Macrophages and in an Animal Model of Atopic Dermatitis. Mol. Med. Rep. 2019, 19, 2087–2096. [Google Scholar] [CrossRef]
- WEISZ, A.; CICATIELLO, L.; ESUMI, H. Regulation of the Mouse Inducible-Type Nitric Oxide Synthase Gene Promoter by Interferon-γ, Bacterial Lipopolysaccharide and NG-Monomethyl-l-Arginine. Biochem. J. 1996, 316, 209–215. [Google Scholar] [CrossRef]
- Zhang, H.; Zhang, B.; Zhang, X.; Wang, X.; Wu, K.; Guan, Q. Effects of Cathelicidin-Derived Peptide from Reptiles on Lipopolysaccharide-Induced Intestinal Inflammation in Weaned Piglets. Vet. Immunol. Immunop. 2017, 192, 41–53. [Google Scholar] [CrossRef]
- Choi, H.-J.; Lee, H.-J.; Jeong, S.-S.; Choi, C.-H.; Hong, S.-J. Effect of Mouthrinse with Low PH on the Surface Microhardness of Artificial Carious Enamel. J. Korean Acad. Oral Health 2012, 36, 161–166. [Google Scholar]
- Peter, H. Plaque Control and Oral Hygiene Methods. J. Irish Dent. Assoc. 2017, 63, 151–156. [Google Scholar]
- Pontefract, H.; Hughes, J.; Kemp, K.; Yates, R.; Newcombe, R.G.; Addy, M. The Erosive Effects of Some Mouthrinses on Enamel. J. Clin. Periodontol. 2001, 28, 319–324. [Google Scholar] [CrossRef] [PubMed]
- Vasudevan, K.; Stahl, V. Cannabinoids Infused Mouthwash Products Are as Effective as Chlorhexidine on Inhibition of Total-Culturable Bacterial Content in Dental Plaque Samples. J. Cannabis. Res. 2020, 2, 20. [Google Scholar] [CrossRef] [PubMed]
- Kałduńska, J.; Jakubczak, K.; Gutowska, I.; Dalewski, B.; Janda, K. Fluoride content in dietary supplements of spirulina (Arthrospira spp.) from conventional and organic cultivation. Fluoride 2020, 5, 469–476. [Google Scholar]
- Maniyar, R.; Umashankar, G.K. Effectiveness of Spirulina Mouthwash on Reduction of Dental Plaque and Gingivitis: A Clinical Study. Int. J. Pharm. Pharm. Sci. 2017, 9, 136–139. [Google Scholar] [CrossRef]
- Isola, G.; Giudice, A.L.; Polizzi, A.; Alibrandi, A.; Murabito, P.; Indelicato, F. Identification of the Different Salivary Interleukin-6 Profiles in Patients with Periodontitis: A Cross-Sectional Study. Arch. Oral Biol. 2021, 122, 104997. [Google Scholar] [CrossRef]
- Isola, G.; Polizzi, A.; Patini, R.; Ferlito, S.; Alibrandi, A.; Palazzo, G. Association among Serum and Salivary A. Actinomycetemcomitans Specific Immunoglobulin Antibodies and Periodontitis. BMC Oral Health 2020, 20, 283. [Google Scholar] [CrossRef] [PubMed]
- Isola, G.; Polizzi, A.; Alibrandi, A.; Williams, R.C.; Giudice, A.L. Analysis of Galectin-3 Levels as a Source of Coronary Heart Disease Risk during Periodontitis. J. Periodontal Res. 2021. [Google Scholar] [CrossRef]
- Skottrup, P.D.; Dahlén, G.; Baelum, V.; Lopez, R. Soluble Urokinase-type Plasminogen Activator Receptor Is Associated with Signs of Periodontitis in Adolescents. Eur. J. Oral Sci. 2018, 126, 292–299. [Google Scholar] [CrossRef]
- Shoji, M.; Nakayama, K. Glycobiology of the Oral Pathogen Porphyromonas Gingivalis and Related Species. Microb. Pathog. 2016, 94, 35–41. [Google Scholar] [CrossRef] [PubMed]
- Nishikawa, M.; Yamaguchi, Y.; Yoshitake, K.; Saeki, Y. Effects of TNFα and Prostaglandin E2 on the Expression of MMPs in Human Periodontal Ligament Fibroblasts. J. Periodontal Res. 2002, 37, 167–176. [Google Scholar] [CrossRef] [PubMed]
- Kim, J.-H.; Hyun, J.-W.; Kim, Y.-G. Anticancer Effects of Natural Medicinal Plant Extracts on Oral Carcinoma Cells. J. Appl. Pharm. 1999, 7, 153–157. [Google Scholar]
- Park, H.-R.; Hong, S.-J. Research on Natural Medicine for Wellness and Oral Health. J. Digit. Converg. 2015, 13, 357–363. [Google Scholar] [CrossRef]
- Shim, K.-M.; Kim, S.-E.; Choi, J.-Y.; Choi, J.-C.; Jeong, S.-J.; Lee, J.-Y.; Bae, C.-S.; Park, D.-H.; Kim, D.-M.; Jeong, M.-J.; et al. Effects of Aucuba Japonica Extract on Oral Wound Healing. Korean Soc. Vet. Clin. 2006, 23, 55–60. [Google Scholar]
- Kim, J.-H.; Ji, C.-S.; Jung, B.-M.; Kim, B.-O.; Yu, S.-J. Effect of Mouthwash Containing Sun-Dried Salt on Gingivitis and Halitosis. Oral Biol. Res. 2015, 39, 120. [Google Scholar] [CrossRef]
- Brahmi, F.; Nury, T.; Debbabi, M.; Hadj-Ahmed, S.; Zarrouk, A.; Prost, M.; Madani, K.; Boulekbache-Makhlouf, L.; Lizard, G. Evaluation of Antioxidant, Anti-Inflammatory and Cytoprotective Properties of Ethanolic Mint Extracts from Algeria on 7-Ketocholesterol-Treated Murine RAW 264.7 Macrophages. Antioxidants 2018, 7, 184. [Google Scholar] [CrossRef] [PubMed]
Publisher’s Note: MDPI stays neutral with regard to jurisdictional claims in published maps and institutional affiliations. |
© 2021 by the authors. Licensee MDPI, Basel, Switzerland. This article is an open access article distributed under the terms and conditions of the Creative Commons Attribution (CC BY) license (https://creativecommons.org/licenses/by/4.0/).



