Abstract
1. Background: Peri-implantitis affects a high percentage of patients treated with dental implants. Among the risk factors that can cause this pathology, limited evidence exists regarding the absence of keratinized mucosa. The main objective of this study was to compare the amount of keratinized mucosa around healthy implants versus implants in patients with peri-implantitis, in order to analyze its influence on esthetics and the development of this pathology, and to study the possible influence of keratinized mucosa on various clinical parameters. 2. Methods: A retrospective case-control study was carried out in which 203 implants were evaluated, 103 of which presented a healthy peri-implant state, versus 100 which had peri-implantitis. The following elements were recorded: keratinized mucosa, recession, plaque index, bleeding, suppuration, probing depth, and bone level. 3. Results: Keratinized mucosa was present in 51% of the peri-implantitis group versus 97.1% of the healthy implants. In implants without keratinized mucosa, both recession and plaque index, bleeding on probing (96.2%), suppuration (57.7%), mean probing depth and bone level were higher. Implants without keratinized mucosa presented worse esthetics. 4. Conclusions: Absence of Keratinized mucosa around dental implants seems to be associated with the appearance of peri-implantitis modifying certain clinical parameters: there is a greater probability of recession, bleeding, suppuration, deficient hygiene, greater probing depth and greater bone loss in implants without keratinized mucosa.
1. Introduction
Peri-implantitis is a pathology characterized by the inflammation of the peri-implant mucosa accompanied by a progressive loss of supporting bone around dental implants [1]. Its onset is directly related to the accumulation of periodontal pathogens in the same way it happens in gingivitis and periodontitis [2].
Peri-implantitis affects a high percentage of patients with implants, having become one of the pathologies we face daily in the dental office. Zitzmann and Berglundh estimated the occurrence of mucositis in 80% of patients and peri-implantitis in 28–56% of implant carriers [3].
The clinical signs that characterize peri-implantitis are redness, gingival edema, bleeding on probing with or without suppuration, increased probing depth and radiographic bone loss [1].
Among the risk factors that can cause this pathology, there is ample scientific evidence in the following: a history of periodontitis, tobacco consumption, diabetes, poor plaque control, and the absence of a regular maintenance. Other factors such as the absence of keratinized mucosa (KM), genetic factors, systemic conditions or iatrogenic factors have been considered, although with more limited evidence [1,4,5].
KM is absent when there is no band of keratinized tissue around implants and it is considered one of the most controversial issues. Numerous studies suggest that less than 2 mm of KM confers the patient brushing discomfort. These areas have poorer plaque control and greater inflammation [2,6]. However, other authors consider that there is no evidence that the absence of KM is a factor that initiates or influences the progression of peri-implantitis [7,8]. There is limited evidence to consider it as a stable risk factor for peri-implantitis, as the 2017 World Workshop on the Classification of Periodontal and Peri-Implant Diseases and Conditions points out [1].
Therefore, the main objective of this study was to compare the amount of KM around healthy implants versus implants in patients with peri-implantitis and to analyze its influence on the development of such pathology and its aesthetics. As secondary objectives, the possible influence of KM on parameters such as recession, plaque index, bleeding on probing, suppuration, and bone loss were also analyzed.
The following working hypothesis was stated: Patients whose implants are not surrounded by keratinized mucosa have further complications in the peri-implant tissues.
2. Method and Materials
2.1. Design
A retrospective case-control study was performed evaluating implants placed in the Prosthodontics and Occlusion Teaching Unit of the University of Valencia. A consecutive sample was taken over a period of one year. All implants were Biomet 3i with internal connection (certain), treated surface, and both conical and parallel-walled. Dimensions ranged from 8 to 13 mm in length and from 3.25 to 5 mm in diameter. The prosthesis was screw-retained, and single implants and larger sectors were analyzed.
2.2. Setting and Participants
A total of 203 implants in 60 patients were analyzed. One hundred implants in 25 patients were diagnosed with peri-implantitis during a routine implant control visit (peri-implantitis group) and one hundred and three with a healthy peri-implant state in 35 patients were included to conform a control group with a homogeneous number of implants. The implant placement protocol performed consisted of a delayed implantation and a prosthetic phase, once the osseointegration period had ended.
The following inclusion criteria were considered: participants aged over 18, implants mandatorily loaded with their final prosthesis for at least one year enabling contact with microorganisms from the oral cavity, all patients periodontally stabilized with supportive periodontal treatment visits every 6 months (optimal plaque control, no bleeding on probing, pocket depths of ≤5 mm, and no bone loss) [9] and without immunosuppressive pathologies, including diabetes (since its association as a risk factor of peri-implantitis has been scientifically proven and its presence could have influence the final results). Furthermore, implants with peri-implantitis were evaluated following the 2017 World Workshop indications: those with redness, gingival edema, bleeding and radiographic bone loss [1], peri-implant mucositis as an inflammatory lesion of the peri-implant mucosa without marginal bone loss and peri-implant health with no inflammation signs [10]. Only implants with the aforementioned characteristics were selected.
2.3. Study Variables
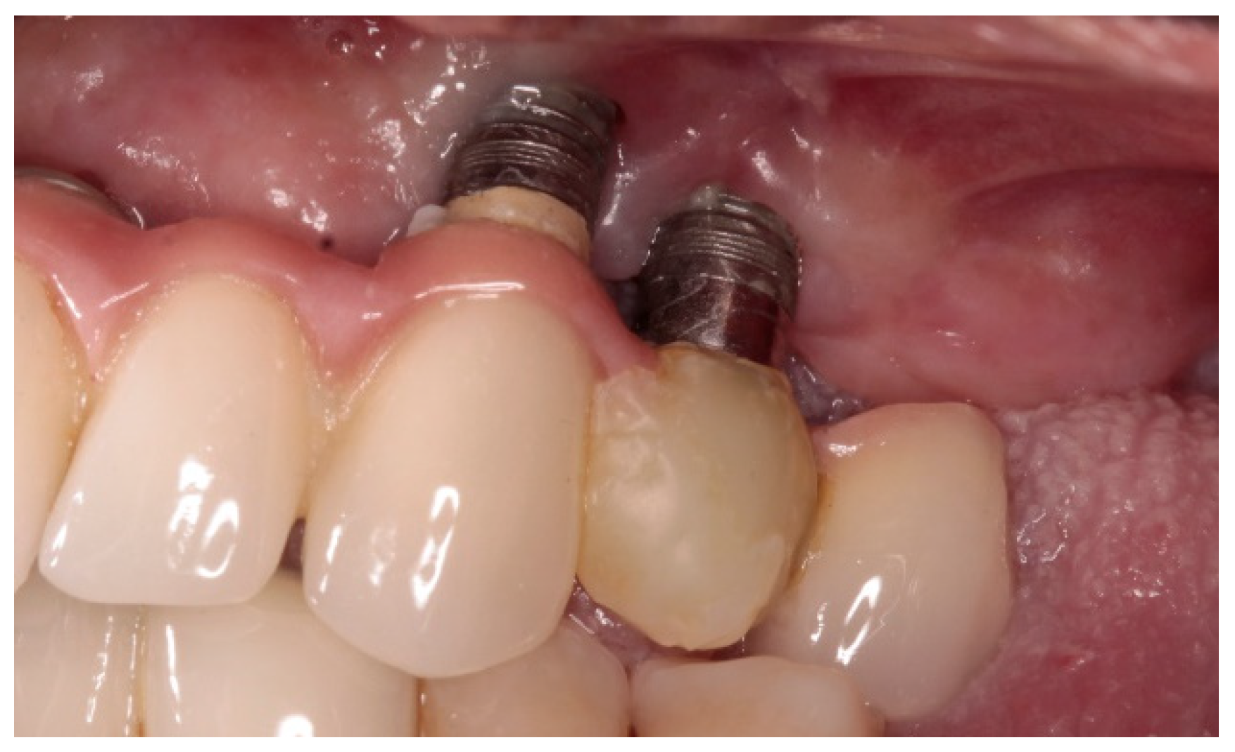
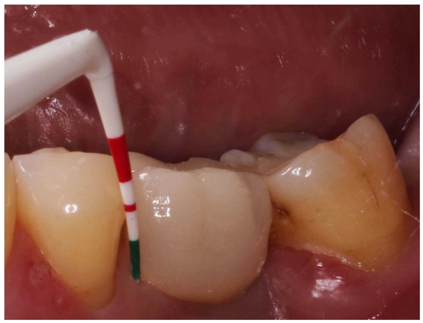
Variables related to the subject were collected; such as age, gender, tobacco consumption and history of periodontitis, as well as variables related to the implants. The main parameter was the presence of keratinized mucosa (KM), as well as the width of KM measured in millimeters in the mid-buccal surface of the implants with a periodontal probe CP 15 from Hu-friedy® (Frankfurt, Germany). The absence of KM was considered when there was non-keratinized mucosa at the gingival margin of the implant (Figure 1). Recession (the apical migration of the gingival margin) was measured in the mid-buccal surface from the cervical margin of the crown, where the gingival margin was located at the time of prosthesis placement. Other parameters were: Silness and Löe plaque index (Figure 2); probing depth using a plastic periodontal probe (Premier®) (at six points: mesiobuccal, buccal, distobuccal, mesiopalatal, palatal and distopalatal) (Figure 3); bleeding (its presence or absence was measured); suppuration (its presence or absence was measured); and bone level (distance, in mm, between the implant shoulder and the base of the defect) using Rhinoceros® software (Robert Mcneel & Associates, Seattle, WA, USA) on the parallelized radiographs. Bone loss due to peri-implantitis was considered when a crater-shaped image was observed surrounding the implant (taking as reference the most apical area of the crater) (Figure 4), accompanied by clinical signs such as bleeding or suppuration. The years since prosthesis placement were also noted. All data were collected by a single operator who visually analyzed the esthetics of the peri-implant tissues.
Figure 1.
Absence of keratinized mucosa implant 2.3.
Figure 2.
Silness and Löe plaque index (PI = 3 in 2.3 and 2.4, PI = 2 in 1.3 and 2.1).
Figure 3.
Probing depth using a plastic periodontal probe.
Figure 4.
Bone loss.
2.4. Ethical and Legal Considerations
The study was approved by the Human Research Ethics Committee of the University of Valencia with procedure number 1,517,341. All implants diagnosed with peri-implantitis received their corresponding treatment.
2.5. Statistical Analysis
A statistical analysis was performed using simple binary logistic regression models with generalized estimating equations (GEE) to explain the probability of peri-implantitis as a function of the presence/quantity of KM and each and every one of the remaining research variables. Confidence intervals at 95% were estimated based on Wald Chi2 statistic. Once the relevant variables (p < 0.1) were detected in the simple models, they were included in a multiple logistic model, also estimated by GEE, to obtain adjusted ORs. The significance level used in the analysis was 5% (α = 0.05), obtaining a power of 80.4%. The statistical software used was SPSS 15.0 (New York, NY, USA).
3. Results
A total of 203 implants in 60 patients (19 men and 31 women) were analyzed, of which 100 implants in 25 patients presented peri-implantitis (peri-implantitis group) and 103 implants in 35 patients presented peri-implant health (control group). Fifteen patients were excluded after not meeting these inclusion criteria. Ten of them presented active periodontitis and were not receiving their periodontal support therapy, three had systemic diseases that affected their immune system, and two had not completed the year since the prosthesis placement. The analysis of individual characteristics (gender, age, tobacco consumption) did not reveal any significant differences between the two groups. The mean time from implant placement was 6.7 years in the control group. However, it went up to 12.3 years in the peri-implantitis group, a statistically significant difference (p = 0.001). Most of the implants sampled in this study belonged to patients with multiple implants in their oral cavity. 82% in the peri-implantitis group and 66% in the control group, but the difference between them was not statistically significant. The main characteristics of the patients are enlisted in Table 1. The most common pathologies presented by the patients in both groups were hypertension and hypercholesterolemia, but their influence is not described in the literature.
Table 1.
Individual characteristics of the patients.
Table 2 presents the descriptive and statistical results which help evaluate whether there is an association between the peri-implantitis and control groups and the variables analyzed.
Table 2.
Implant clinical and radiographic characteristics and parameters according to diagnostic group (control/peri-implantitis): mean ± sd or n (%). Results of simple logistic regression models using generalized estimating equations (GEE), unadjusted odds ratio (OR) and 95% confidence interval. KM (keratinized mucosa), BOP (bleeding on probing), PD (probing depth), BL (bone level).
From the total sample (203 implants), 151 implants (74.4%) presented KM. The mean KM value was 2.14 ± 1.68 mm, with a range of 0 to 8 mm. Among the implants in the peri-implantitis group, the presence of KM was detected in 51% vs. 97.1% of the implants in the control group. Therefore, the presence of KM seems to significantly reduce the risk of peri-implantitis (OR = 0.03; p < 0.001). Regarding the amount of peri-implant mucosa, for every 1 mm of KM, the risk of peri-implantitis is reduced by 44% as can be seen in Figure 5 and Figure 6.
Figure 5.
Presence rate (%) and quantity (mm) of keratinized mucosa by Groups. PI (peri-implantitis).
Figure 6.
Decreased probability of peri-implantitis in terms of mm of keratinized mucosa. PI (peri-implantitis), KM (keratinized mucosa).
Thirty-two percent of the implants presented recession, with the mean recession value being 0.85 ± 1.56 mm, with a range of 0 to 8 mm. The mean recession was 1.7 mm in the peri-implantitis group and 0.1 mm in the control group. Fifty-nine percent of those diagnosed with peri-implantitis presented recessions, whereas this figure was reduced to only 5.8% in the healthy implants. Consequently, the presence of recession was significantly associated to peri-implantitis (OR = 23.3; p < 0.001). When the relation between recession and KM was analyzed, in the absence of KM, 73.1% of the implants presented recession. Nevertheless, in the presence of KM the existence of recession appeared only in 17.9% of the implants.
The mean plaque index was 1.16 ± 0.96, being 1.7 in the peri-implantitis group and 0.6 in the control group. A statistically significant association between the plaque index and the peri-implant diagnosis was confirmed (OR = 6.24; p < 0.001). For each additional degree in the index, the risk of peri-implantitis was more than six times greater. In addition, it was observed that patients whose implants were surrounded by KM had a lower plaque index than those whose implants were not.
The mean probing depth was 3.76 ± 1.43 mm. There is a significant association between probing depth and KM. The mean probing depth was 5.1 mm when there was no KM and 3.3 mm in the presence of KM, being this difference statistically significant.
Of all implants, 59.6% showed bleeding on probing. All the implants in the peri-implantitis group presented bleeding on probing compared to 20.4% of those considered healthy. Of all the implants analyzed, 47% of the implants with KM bled on probing compared to 96.2% in the absence of KM.
Regarding suppuration, 27.1% showed suppuration; 55% of the implants in the peri-implantitis group suppurated versus 0% suppuration in the controls. Considering the variable KM, 16.6% of the implants with KM suppurated versus 57.7% when there was no KM. This difference was statistically significant (p < 0.001).
The mean bone loss was 2.2 ± 2.3 mm, ranging from 0 to 9.9 mm and it was significantly higher in patients with peri-implantitis (3.8 ± 2.1 mm), since the reduced bone loss in healthy implants (0.5 ± 0.6 mm) was attributed to the physiological remodeling produced after implant loading. Interestingly, there was a 1.6 mm mean difference in bone loss in implants with KM (3.1 mm) and without KM (4.7 mm), reaching a statistical significance (p < 0.001). Implants without KM had lost more bone.
When associating the variable of history of periodontitis, 84% of the patients diagnosed with peri-implantitis had a history of periodontitis versus 43.7% in the control group. The diagnosis of previous periodontitis significantly increases the risk (7 times higher risk) of peri-implantitis (OR = 6.77; p = 0.011). When the history of periodontitis was related to the presence or absence of KM, 51.8% of patients with a history of periodontitis had KM and 48.2% did not, the distribution being very similar.
In the visual analysis of the peri-implant esthetics, it was observed that the implants without KM presented a darker color compared to the gingiva of the adjacent teeth. This was due to the transparency of the tissues and a greater tendency to recession.
4. Discussion
In view of the controversy found in the literature about the role of KM in the development of periodontitis, this study attempts to provide data to help clarify its role in the development of peri-implant diseases.
Warrer and Schoroeder already pointed out in their studies in the 1980s and 1990s that the absence of KM increased the risk of peri-implantitis in areas with bacterial plaque accumulation, and that the clinical success of the implant depended on the presence of KM and a good plaque control [11,12].
Proper hygiene is essential for the maintenance of peri-implant health and many authors point out that in the absence of KM, proper hygiene is complicated and plaque retention is highly favored [13,14]. Schrott et al. [15] observed that in patients with proper oral hygiene who received regular implant maintenance therapy, implants with reduced KM (<2 mm) were more prone to plaque accumulation and bleeding, as well as recession.
Chung et al. [16] associated an inadequate amount of KM with increased plaque accumulation and gingival inflammation, but not with a higher mean annual bone loss, regardless of implant surface configuration.
In a study of 200 implants carried out by Bouri et al. [17], it was observed that the increased width of KM around implants was associated with lower mean alveolar bone loss and improved soft tissue health indices.
In the meta-analysis by Lin et al. [5], a relation was established between KM and plaque index, gingival index, gingival recession, and clinical attachment loss. However, no significant differences were found with respect to bleeding on probing, probing depth, and radiographic bone loss.
Rocuzzo et al. [18] conducted a 10-year prospective study and observed that implants that were not surrounded by KM were more prone to plaque accumulation and gingival recession, even in patients with good oral hygiene, receiving periodontal supportive therapy. The lack of keratinized mucosa around dental implants was significantly associated with more plaque accumulation, mucosa recession, interproximal bone level ≥ 3 mm and peri-implantitis. There are even authors who point to KM as an indicator of risk for peri-implant disease even if there is no history of periodontitis in those patients [19,20].
All these studies coincide to some extent with the results of the present study, where a strong association between the absence of KM and peri-implantitis was observed. The results in this study point out that in the peri-implantitis group there is a higher percentage of absence of KM (49%) than in the control group (2.9%). When relating KM to other clinical parameters, a statistically significant association was observed. Greater gingival recession was observed in implants without KM (1.7 mm in the peri-implantitis group and 0.1 mm in the control group). Therefore, it could be suggested that the presence of KM prevents the recession of peri-implant tissues. The absence of KM is related to a higher plaque index, increased bleeding and suppuration on probing. Hygiene seems to be better in the presence of KM and this is directly related to bleeding on probing and suppuration. In addition, the percentage of multiple implants was higher in the peri-implantitis group, which could complicate hygiene, although these differences were not statistically significant. The better the hygiene, the better the gingival health and the less inflammation.
During the study, a series of limitations were encountered. One of them was the heterogeneous nature of the length of time since implant placement, being significantly longer in the test group than in the control group. This indicates that the longer the time since implant placement, the greater the risk of developing peri-implantitis. This is probably due to the prolonged effect of external risk factors which would be related to the results of Wang et al., who concluded that the longer the follow-up period, the higher the risk of implants presenting inadequate KM [21]. Limitations were also experienced in the collection of initial data since there was no information on parameters such as gingival biotype, millimeters of KM in the area of implant placement, bone conditions or post treatment recommendations that limited the analysis of the evolution of these implants.
Other authors, however, did not reach conclusive results on the protective benefit of KM. In the 1990s it became a very controversial issue. Many authors found no difference in plaque control, degree of inflammation or depth of bone defects when comparing implants with and without adequate KM width [14,22,23,24,25]. These data were supported by further studies, such as that of Wennström et al., who could not find in their review the evidence for the need of keratinized tissues around implants to maintain health [26] or Ladwein et al. [27], who pointed out that KM did not seem to have an influence on the peri-implant bone level.
In their 2019 literature review, Fiorellini et al. [28] point out that the absence of KM is a risk factor for the development of peri-implant mucositis although there is some disagreement on the subject. The authors pointed out that there is further inflammation when the KM band is less than 2 mm and the absence of KM is associated with plaque accumulation, inflammation and bone loss support. The results of the present study also associate the absence of KM with deeper pockets (5.1 mm with no KM and 3.3 mm with KM) and a higher percentage of bone loss (39.2% ± 21.5 vs. 5.4% ± 6.5).
Tavelli et al. [29] pointed out that mucosal thickness plays a major role in the esthetic outcome and peri-implant health. Peri-implant keratinized mucosa has been linked to lower patient esthetic satisfaction and a thicker mucosa can prevent mucosal recession and promote greater stability of interproximal marginal bone levels. Gharpure et al. [30] concluded that thin gingival phenotype and inadequate keratinized mucosa width (<2 mm) could be risk indicators for peri-implant disease and pain/discomfort during brushing.
The association between peri-implantitis and KM has been considered for decades. Although it has not been free of controversy, the most current studies seem to indicate that the absence of KM is one of the causes that favors the development of peri-implantitis. In conducting the present study, a series of limitations related to the different hygiene habits of the patients were encountered. As this was a retrospective study, each patient had different hygiene habits and techniques. Nevertheless, a scarce plaque control in the absence of KM was observed. The present results indicate that the absence of KM is related to the clinical signs associated with peri-implantitis and, therefore, the data obtained support the initial working hypothesis. The amount of keratinized mucosa should be regarded in implant treatment planning just as bone availability is considered.
5. Conclusions
- The presence of KM around the implants seems to have been associated with peri-implantitis and with a transparency of the peri-implant tissues.
- The absence of KM appears to have an impact on certain clinical parameters: Recession is augmented in implants with absence of KM; hygiene is facilitated when implants are surrounded by KM, therefore the plaque index is lower; probing depth tends to increase in implants without KM; bleeding and suppuration are reduced in the presence of KM and bone level tends to be lower in implants without KM.
- Further research is needed in this field to clarify the relationship between KM and peri-implantitis.
Author Contributions
L.F.-E. and A.F.-F. conceived the ideas; C.F.-B. and C.L.-R. collected the data; R.A.-P. and M.F.S.-R. analyzed the data; and C.F.-B. and A.R.-V. led the writing. All authors have read and agreed to the published version of the manuscript.
Funding
This research received no external funding.
Institutional Review Board Statement
The study was conducted in accordance with the Declaration of Helsinki, and approved by or Ethics Committee) of University of Valencia (protocol code 1,517,341 in 1 July 2021).
Informed Consent Statement
Informed consent was obtained from all subjects involved in the study.
Conflicts of Interest
The authors declare no conflict of interest.
Abbreviations
| KM | keratinized mucosa |
| GEE | generalized estimating equations |
| OR | odds ratio |
| BOP | bleeding on probing |
| PD | probing depth |
| BL | bone level |
| PI | peri-implantitis |
References
- Schwarz, F.; Derks, J.; Monje, A.; Wang, H.L. Peri-implantitis. J. Clin. Periodontol. 2018, 45 (Suppl. S20), S246–S266. [Google Scholar] [CrossRef] [PubMed]
- Berglundh, T.; Armitage, G.; Araujo, M.G.; Avila-Ortiz, G.; Blanco, J.; Camargo, P.M. Peri-implant diseases and conditions: Consensus report of workgroup 4 of the 2017 World Workshop on the Classification of Periodontal and PeriImplant Diseases and Conditions. J. Periodontol. 2018, 89 (Suppl. S1), S313–S318. [Google Scholar] [CrossRef] [PubMed]
- Zitzmann, N.U.; Berglundh, T. Definition and prevalence of peri-implant diseases. J. Clin. Periodontol. 2008, 35 (Suppl. S8), 286–291. [Google Scholar] [CrossRef] [PubMed]
- Heitz-Mayfield, L.J.A. Peri-implant diseases: Diagnosis and risk indicators. J. Clin. Periodontol. 2008, 35 (Suppl. S8), 292–304. [Google Scholar] [CrossRef] [PubMed]
- Lin, G.H.; Chan, H.L.; Wang, H.L. The Significance of Keratinized Mucosa on Implant Health: A Systematic Review. J. Periodontol. 2013, 84, 1755–1767. [Google Scholar] [CrossRef] [PubMed]
- Perussolo, J.; Souza, A.B.; Matarazzo, F.; Oliveira, R.P.; Araújo, M.G. Influence of the keratinized mucosa on the stability of peri-implant tissues and brushing discomfort: A 4-year follow-up study. Clin. Oral Implant. Res. 2018, 29, 1177–1185. [Google Scholar] [CrossRef]
- Bonino, F.; Steffensen, B.; Natto, Z.; Hur, Y.; Holtzman, L.P.; Weber, H.P. Prospective study of the impact of peri-implant soft tissue properties on patient-reported and clinically assessed outcomes. J. Periodontol. 2018, 89, 1025–1032. [Google Scholar] [CrossRef]
- Ravidà, A.; Saleh, I.; Siqueira, R.; Garaicoa-Pazmiño, C.; Saleh, M.H.A.; Monje, A.; Wang, H.L. Influence of keratinized mucosa on the surgical therapeutical outcomes of peri-implantitis. J. Clin. Periodontol. 2020, 47, 529–539. [Google Scholar] [CrossRef]
- McCracken, G.; Asuni, A.; Ritchie, M.; Vernazza, C.; Heasman, P. Failing to meet the goals of periodontal recall programs. What next? Periodontology 2000 2017, 75, 330–352. [Google Scholar] [CrossRef]
- Araujo, M.G.; Lindhe, J. Peri-implant health. J. Periodontol. 2018, 89 (Suppl. S1), S249–S256. [Google Scholar] [CrossRef]
- Warrer, K.; Buser, D.; Lang, N.P.; Karring, T. Plaque-induced peri-implantitis in the presence or absence of keratinized mucosa. An experimental study in monkeys. Clin. Oral Implant. Res. 1995, 6, 131–138. [Google Scholar] [CrossRef] [PubMed]
- Schroeder, A.; Van der Zypen, E.; Stich, H.; Sutter, F. The reactions of bone, connective tissue, and epithelium to endosteal implants with titanium-sprayed surfaces. J. Maxillofac. Surg. 1981, 9, 15–25. [Google Scholar] [CrossRef]
- Yeung, S.C.H. Biological basis for soft tissue management in implant dentistry. Aust. Dent. J. 2008, 53 (Suppl. S1), S39–S42. [Google Scholar] [CrossRef] [PubMed]
- Cairo, F.; Pagliaro, U.; Nieri, M. Soft tissue management at implant sites. J. Clin. Periodontol. 2008, 35 (Suppl. S8), 163–167. [Google Scholar] [CrossRef] [PubMed]
- Schrott, A.R.; Jimenez, M.; Hwang, J.W.; Fiorellini, J.; Weber, H.P. Five-year evaluation of the influence of keratinized mucosa on peri-implant soft-tissue health and stability around implants supporting full-arch mandibular fixed prostheses. Clin. Oral Implant. Res. 2009, 20, 1170–1177. [Google Scholar] [CrossRef]
- Chung, D.M.; Oh, T.J.; Shotwell, J.L.; Misch, C.E.; Wang, H.L. Significance of keratinized mucosa in maintenance of dental implants with different surfaces. J. Periodontol. 2006, 77, 1410–1420. [Google Scholar] [CrossRef]
- Bouri, A.; Bissada, N.; Al-Zahrani, M.; Faddoul, F.; Nouneh, I. Width of keratinized gingiva and the health status of the supporting tissues around dental implants. Int. J. Oral Maxillofac. Implant. 2008, 23, 323–326. [Google Scholar]
- Roccuzzo, M.; Grasso, G.; Dalmasso, P. Keratinized mucosa around implants in partially edentulous posterior mandible: 10-year results of a prospective comparative study. Clin. Oral Implant. Res. 2016, 27, 491–496. [Google Scholar] [CrossRef]
- Kungsadalpipob, K.; Supanimitkul, K.; Manopattanasoontorn, S.; Sophon, N.; Tangsathian, T.; Arunyanak, S.P. The lack of keratinized mucosa is associated with poor peri-implant tissue health: A cross-sectional study. Int. J. Implant. Dent. 2020, 6, 28. [Google Scholar] [CrossRef]
- Kabir, L.; Stiesch, M.; Grischke, J. The effect of keratinized mucosa on the severity of peri-implant mucositis differs between periodontally healthy subjects and the general population: A cross-sectional study. Clin. Oral Investig. 2020, 25, 1183–1193. [Google Scholar] [CrossRef]
- Wang, Q.; Tang, Z.; Han, J.; Meng, H. The width of keratinized mucosa around dental implants and its influencing factors. Clin. Implant. Dent. Relat. Res. 2020, 22, 359–365. [Google Scholar] [CrossRef] [PubMed]
- Wennstrom, J.L.; Bengazi, F.; Lekholm, U. The influence of the masticatory mucosa on the peri-implant soft tissue condition. Clin. Oral Implant. Res. 1994, 5, 1–8. [Google Scholar] [CrossRef] [PubMed]
- Bragger, U.; Burgin, W.B.; Hammerle, C.H.; Lang, N.P. Associations between clinical parameters assessed around implants and teeth. Clin. Oral Implant. Res. 1997, 8, 412–421. [Google Scholar] [CrossRef] [PubMed]
- Hanisch, O.; Cortella, C.A.; Boskovic, M.M.; James, R.A.; Slots, J.; Wikesjo, U.M. Experimental peri-implant tissue breakdown around hydroxyapatite-coated implants. J. Periodontol. 1997, 68, 59–66. [Google Scholar] [CrossRef] [PubMed]
- Francetti, L.; Chioatto, M.; Craveri, D. Importance of the masticatory mucosa in the maintenance of healthy peri-implant soft tissues. Review of the literature. Minerva Stomatol. 1997, 46, 399–405. [Google Scholar]
- Wennström, J.; Derks, J. Is there a need for keratinized mucosa around implants to maintain health and tissue stability? Clin. Oral Implant. Res. 2012, 23 (Suppl. S6), 136–146. [Google Scholar] [CrossRef]
- Ladwein, C.; Schmelzeisen, R.; Nelson, K. Is the presence of keratinized mucosa associated with periimplant tissue health? A clinical cross-sectional analysis. Int J. Implant. Dent. 2015, 1, 11. [Google Scholar] [CrossRef]
- Fiorellini, J.P.; Luan, K.W.; Chang, Y.C.; Kim, D.M.; Sarmiento, H.L. Peri-implant Mucosal Tissues and Inflammation: Clinical Implications. Int J. Oral Maxilofac. Implant. 2019, 34, S25–S33. [Google Scholar] [CrossRef]
- Tavelli, L.; Barootchi, S.; Avila-Ortiz, G.; Urban, I.A.; Giannobile, W.V.; Wang, H.L. Peri-implant soft tissue phenotype modification and its impact on peri-implant health: A systematic review and network meta-analysis. J. Periodontol. 2021, 92, 21–44. [Google Scholar] [CrossRef]
- Gharpure, A.S.; Latimer, J.M.; Aljofi, F.E.; Kahng, J.H.; Daubert, D.M. Role of thin gingival phenotype and inadequate keratinized mucosa width (<2 mm) as risk indicators for peri-implantitis and peri-implant mucositis. J. Periodontol. 2021, 92, 1687–1696. [Google Scholar] [CrossRef]
Publisher’s Note: MDPI stays neutral with regard to jurisdictional claims in published maps and institutional affiliations. |
© 2022 by the authors. Licensee MDPI, Basel, Switzerland. This article is an open access article distributed under the terms and conditions of the Creative Commons Attribution (CC BY) license (https://creativecommons.org/licenses/by/4.0/).





