Abstract
Prebiotics and probiotics have gained much attention in the pursuit of a healthy life. Recently, postbiotics have been spotlighted as next-generation compounds that can improve health. Postbiotics are designated into non-viable, inactivated, and ghost probiotics, and linked to several health benefits for the gut, immune system, and various other aspects of health. This study investigated the anti-proliferation effects of postbiotics against HT-29 cells, a colon cancer cell line. The postbiotics were produced by the ultrasonication method from two Lactobacillus strains (Lactobacillus sp. La1, and La2) and designated to Pobt-La1 and Pobt-La2, respectively, and non-viability was confirmed on the plate media. The anti-proliferation effect was concentration-dependent. The HT-29 cells showed viabilities of 39% and 49% when treated with 300 µL/mL of Pobt-La1 and Pobt-La2, respectively. During observation of the morphological changes of HT-29 cells when treated with IC50, a cell nucleus was not observed but cell condensation was observed. Moreover, in comparison with the control group, a reduced number of cells were observed. Based on these results, it considered that the postbiotic compounds from Lactobacillus La1 and La2 could provide crucial information in the development of anticancer research. Through further research, it would be beneficial to investigate the possibility of using these postbiotics (Pobt-La1 and -La2) as an anticancer drug.
1. Introduction
Eating habits and lifestyles can cause various diseases such as cancers, diabetes, and mental illness. Furthermore, the incidence of chronic diseases has been increasing [1]. Many types of cancers exist, and some cancers are susceptible to metastasis. For the treatment of cancers, chemotherapy and surgical cure are generally performed. However, anticancer drugs and surgical removal have side effects and risks of recurrence. To reduce the risk of recurrence, many studies have been conducted to develop treatments. In particular, the incidence of colorectal cancer is so high that it ranks first among many countries; in Korea (12.5%), it is the third most common cancer after thyroid and stomach cancer. Representative causes include family history, inflammatory bowel disease, excessive fat intake, insufficient dietary fiber intake, and lifestyles such as smoking and drinking, and obesity. Representative treatments include radical resection, chemotherapy, and radiation therapy. However, 20–50% of patients recur within four years after surgery [2,3]. For this reason, it is necessary to develop effective anticancer drugs with low side effects and risks, and the development of functional foods and pharmaceuticals through the search for physiologically active substances has been actively studied and conducted.
There are many microorganisms in the gut of humans, animals, and insects. The intestinal environment is most stable when harmful and beneficial bacteria are in equilibrium, and when beneficial bacteria are reduced, diseases such as allergy and diarrhea are the result. In the case of human intestinal flora, the intestinal environment can be improved through the effects of ingested food [4]. Living microorganisms that have beneficial effects on health by improving the ability of the host’s intestinal flora are designated as ‘probiotics’. Lactic acid bacteria (LAB) such as Lactobacillus, Bifidobacterium, Lactococcus, Leuconostoc, Bacillus, and Propionibacterium are widely used for the preparation of probiotics [5]. Probiotics can survive under appropriate intestinal conditions (acidic pH, enzymes, biliary salts, etc.). To affect the human body, sufficient amounts of probiotics must reach the gut [6]. In recent studies on probiotics, tumor-suppressing activity was confirmed in the preparation of Bifidobacterium bifidum BGN4 [7]. In addition, several other studies have identified the physiologically active function in the fractions obtained from various probiotics. Cell-free extracts or cell metabolites have a beneficial effect similar to live probiotics, and are named as bacteria ‘paraprobiotics’ or ‘postbiotics’ [8]. Postbiotics are referred to as ‘non-viable inactivated probiotics’, or ‘ghost probiotics’. Studies on the safety of postbiotics have been conducted in various ways, and a study of 1740 children reported that there were no side effects when postbiotics were administered, but rather showed a therapeutic effect on irritable bowel disease [9]. Postbiotics were prepared by various methods including ultrasonication, heat-killed, freeze-drying, ohmic heating, supercritical CO2, pulsed electric field, and irradiation methods [10].
Postbiotics are in the spotlight as next-generation probiotics. However, in comparison with probiotics, the research on their manufacturing methods and investigation of their functional aspects are still insufficient. In this study, postbiotic substances were extracted in various ways from lactic acid bacteria with antioxidant activity isolated from kimchi and newborn infant feces [11], and their anti-proliferation effect against HT-29 cells was investigated.
2. Materials and Methods
2.1. Bacterial Strains
Previous studies were conducted using strains with antioxidant activity (La1, 2, 3, 4 and Le1, 2, 3, and 4) secured by these researchers, and two strains (La1 and La2) with good activity were selected and subsequently studied. The lactic acid bacterial strains, Lactobacillus sp. (La1 and La2), used in these studies were obtained from kimchi and newborn infant feces [11]. The strains were cultured at 30 °C for 24 h in MRS (De Man, Rogosa, Sharpe) broth.
2.2. Preparation of Postbiotics
Postbiotics were produced by the sonication cell-death method. An overnight cultivation of Lactobacillus cells was harvested by centrifugation (3500× g, 30 min, 4 °C), washed with 1× PBS buffer, and collected by centrifugation (3500× g, 30 min, 4 °C). After centrifugation, the supernatant was discarded and 1× PBS buffer added. Sonication was performed under conditions of 20 rounds, 1 min/round, 70% amplitude, and 50W. After centrifugation, only the supernatant was filtered and diluted to reach 300, 150, 75, and 37.5 µL/mL concentrations with dimethyl sulfoxide (DMSO). The diluent was used in the study. Serial dilutions of BSA were used to create an absorption-concentration standard curve. The concentrations for Pobt-La1 and La2 were approximately 300 µL/mL.
2.3. Cell Culture
The HT-29 cells (human colon cancer cell line) and CCD-18Co (colon normal cell line) cells were used. All cell lines were purchased from Korean Cell Line Bank (Seoul, Korea). McCoy’s 5A medium containing 10% fetal bovine serum (FBS) was used for HT-29 cells, and Dulbecco’s modified Eagle’s medium (DMEM) containing 10% FBS was used for CCD-18Co cells. All cell lines were cultured under conditions of 37 °C, 5% CO2. After the cells were sufficiently adapted to the culture environment, when the cell density was about 70~80% saturation, the cells were passaged using 0.05% trypsin–EDTA.
2.4. Cytotoxicity Assay
The proliferative inhibition rate of each cell line coursed by treating concentration was measured by a 4-[3-(4-iodophenyl)-2-(4-nitrophenyl)-2H-5-tetrazolio]-1,3-benzene disulfonate (WST-1) assay. The WST-1 assay is one of the colorimetric methods. The basic principle is that the tetrazolium salt produces formazan when reduction occurs by dehydrogenase. The number of living cells is proportional to the absorbance at 450 nm. A total of 5 × 105 cells was added into the well plate and stabilized for 24 h. Each sample was treated with an IC50 concentration and then incubated at 37 °C, 5% CO2 for 18 h, and the absorbance at 450 nm was measured through a microplate reader.
2.5. Apoptosis Associated Gene Expression Analysis
The reverse-phase-polymerase chain reaction (RT-PCR) was performed to confirm the growth-suppressing and apoptosis-inducing effects of the Pobt-La1 and La2 on HT-29 cells at the mRNA level. Twelve-well plates were seeded at a density of 5 × 105 cells/well, and samples were treated with IC50 for 48 h. After washing with DPBS, cells were collected with trypsin–EDTA. RNA was extracted from the collected cells using an AccuPrep Universal RNA Extraction kit (Bioneer, Korea). The concentration of the extracted RNA was measured at OD260 nm. Before synthesizing cDNA, the extracted RNA’s concentration was controlled for in the same manner. The cDNA synthesis condition as followed: 42 °C—60 min; and 95 °C—5 min (using the Bioneer cDNA synthesis kit). To investigate the apoptosis association, the PCR was performed using apoptosis-associated genes (bax, caspase-3, caspase-8). Primers used for PCR was summarized in Table 1.
Table 1.
Primer set used for PCR amplification.
2.6. Western Blot Analysis
HT-29 cells (2 × 106/ml) treated with Pobt-La1 and La2 were pelleted by centrifugation (1000× g, 5 min, 4 °C) and washed with cold PBS. HT-29 cells were resuspended in CLB (cell lysis buffer) and incubated for 30 min on ice. The supernatant was separated by centrifugation (13,200 rpm, 20 min, 4 °C). Protein concentrations were measured for Western blots using the Bradford method. After electrophoresis using an 8% stacking and 12% running acrylamide gel, the gel was transferred to a nitrocellulose membrane. After blocking with 5% bovine serum albumin (BSA) for 1 h, the primary antibody was added at 4 °C for 16 h, and then the secondary antibody was added for 1 h. An enhanced chemiluminescence solution was used for observation using the gel-imaging system.
3. Results
3.1. Inhibitory Effect of Cell Proliferation
Cell metabolites were prepared from the lactic acid bacteria (Lactobacillus sp. La1 and La2), using the ultrasonication method, and named as Pobt-La1 and Pobt-La2. The cell proliferation inhibitory effect of the prepared postbiotics (Pobt-La1 and Pobt-La2) on HT-29 cells was measured by WST-1 assay. First, CCD-18Co cells, a normal cell line, were treated with the highest concentration of Pobt-La1 and La2 to check whether the sample was toxic to cells. CCD-18Co cells showed a higher growth rate in the test group than in the control group not treated with Pobt-La1, La2 (Figure 1a). The increase in cell viability observed in Pobt-La1 and La2 is considered a side result of the cell activity and immunity increase among the various physiological activity functions of probiotics. The results of the WST-1 assays measuring the cell viability of HT-29 cells are shown in Figure 2, and the viability of HT-29 cells according to the concentrations of postbiotics is summarized in Table 2. As a result of treating HT-29 cells with Pobt-La1 and La2 at different concentrations, we were able to confirm that the cell proliferation inhibitory effect appeared in a concentration-dependent manner (Figure 1b). In the case of treatment with Pobt-La1, an inhibition effect was shown at a maximum of 80% to a minimum of 39%. However, in the case of Pobt-La2, the inhibition effect appeared in the range of 68% to 49%. Subsequent experiments had been conducted to obtain the IC50 concentration, which shows a 50% survival rate of cancer cells, and the IC50 values were 176.6 µL/mL for Pobt-La1, and 158.1 µL/mL for Pobt-La2, respectively.
Figure 1.
WST-1 assay for cell viability. (a) CCD-18Co and (b) HT-29 cells.
Figure 2.
Morphological change of HT-29 cells by postbiotics.
Table 2.
Viability of HT-29 cells according to the concentration of postbiotics.
3.2. Morphological Change of HT-29 Cells
The morphological changes when Pobt-La1 and La2 were added to HT-29 cells were observed under a microscope. Each sample was treated at the concentration of IC50 and incubated at 24 h and 48 h. In the control groups, the shape of the nucleus was clear, and the morphology of the cells was also constant. Normal proliferation occurred and the number of cells increased over the incubation time. However, in the experimental groups, a cell nucleus was not observed, the morphology of the cells was irregular, and the number of cells did not change over time. In addition, floating and condensed cells which were not properly attached to the plate were observed (Figure 2).
3.3. Apoptosis-Associated Gene Expression Analysis
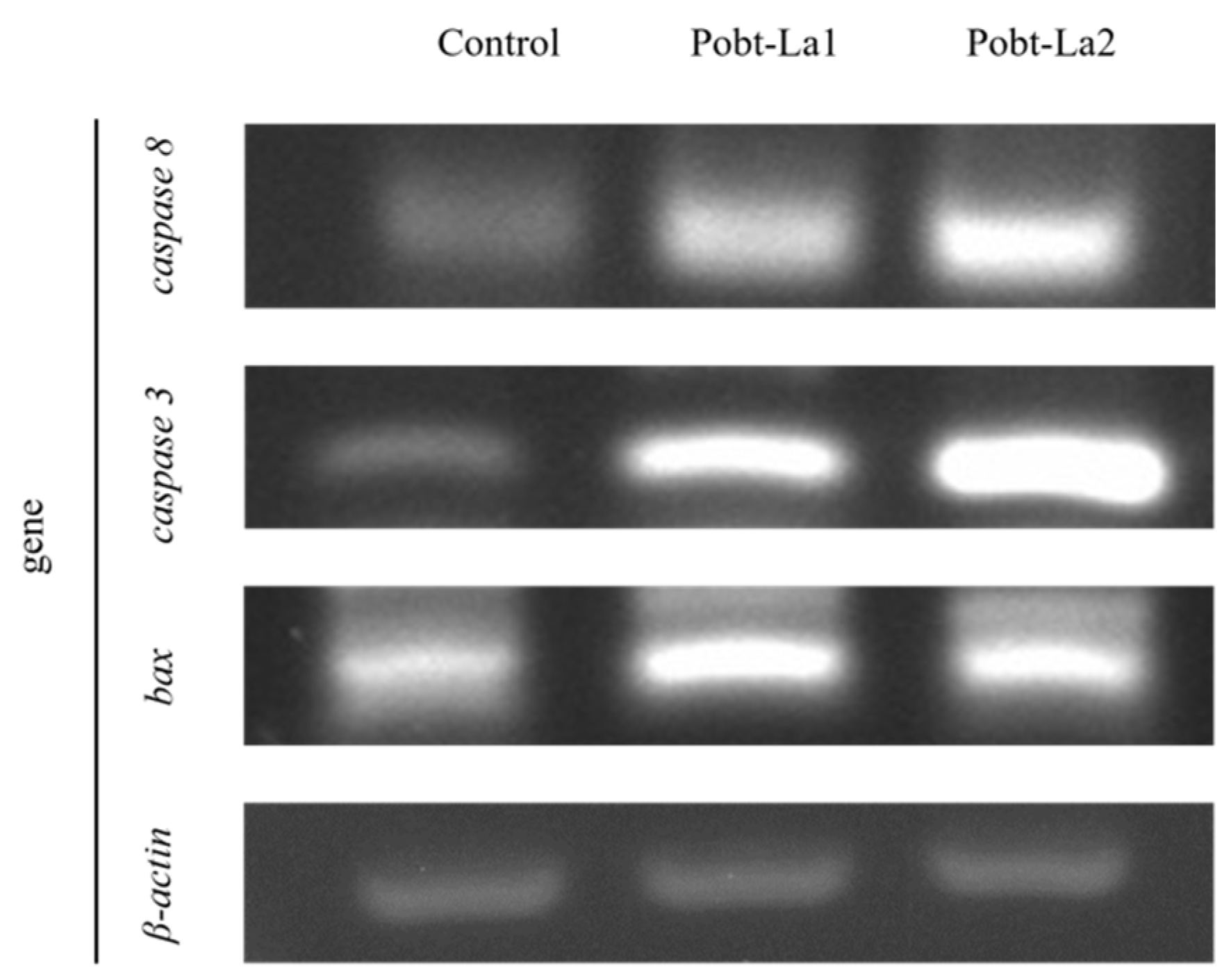
The expression levels of the apoptosis-associated genes induced by Pobt-La1 and La2 were analyzed using RT-PCR. This confirmed that the gene of β-actin (housekeeping gene) was constantly expressed in both the test and control groups. However, bax (a pro-apoptotic gene) was more highly expressed in the experimental group. Additionally, caspase-3 (an apoptosis execution gene) and caspase-8 (an apoptosis initiator gene) were more highly expressed in the experimental group. Figure 3 shows that both caspase-3 and caspase-8 expressions were increased in the test group. However, β-actin, a housekeeping gene, was expressed identically in the control and test groups. Bax (Bcl-2-associated x) is a representative pro-apoptotic protein. Bax is a protein that inhibits cell proliferation and promotes apoptosis, in which it plays a crucial role [12].
Figure 3.
RT-PCR results of apoptosis associated gene expression.
3.4. Western Blot Analysis
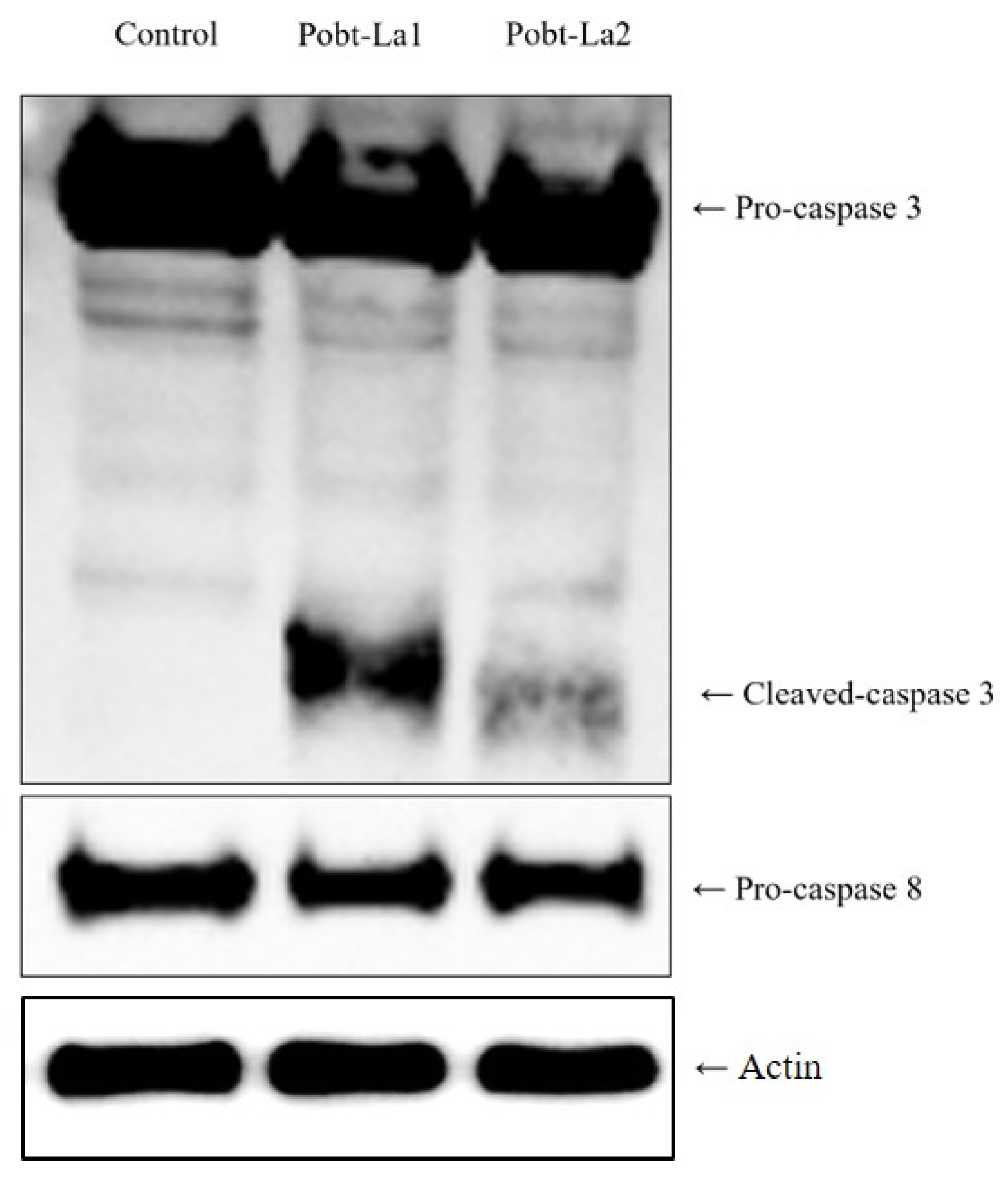
The expression levels of caspase factors were confirmed by Western blot analysis. As shown in Figure 4, in the case of caspase-3, two expressed protein bands were observed. The upper band indicates the amount of expressed pro-caspase-3 which was not in an active form, while the lower level indicates the expression of the cleaved protein in the activated form. In the control group, the inactive form of a caspase-3 was more highly expressed and the cleaved protein (active form) was rarely expressed in comparison with the test groups treated with Pobt-La1 and La2. In the test groups treated with Pobt-La1 and La2, the active caspase-3 were more highly expressed (Figure 4). In the case of caspase-8, a band in the form of pro-caspase-8 was observed and expressed more highly compared to the control group (Figure 4).
Figure 4.
Expression of caspase-3 and 8 proteins in HT-29 cells treated with Pobt-La.
4. Discussion
Postbiotics have beneficial effects such as anti-pathogenicity, anti-diabetic, anti-inflammatory, anticancer, anti-allergic, and angiogenic activities. However, to achieve these beneficial effects, postbiotics must be able to survive and adapt under intestinal conditions such as acidic pH, enzymes, biliary salts, and heat. The term postbiotics, the so-called fourth-generation LAB (lactic acid bacteria), indicates the cell metabolites rather than living cells. Therefore, they are not toxic to the human body and not affected by intestinal conditions [6,13]. In addition, postbiotics must have various beneficial effects and nutritional components for human health. Recently, postbiotics have been spotlighted as next-generation compounds that could improve human health.
This study was performed to investigate the effects of postbiotics against colorectal cancer cells. Two probiotic strains (Lactobacillus sp. La1 and La2) were prepared by the sonication cell-death method. The WST-1 assay was performed to confirm the effect of Pobt-La1 and La2 on the proliferation of HT-29 cells. Tiptir-Kourpeti reported that 200 µg/ml of Lactobacillus casei postbiotics (heat-killed and sonicated) have a 40% or less inhibition rate against HT-29 cells [14]. In the present study, we observed an inhibition rate of 41% for Post-La1 and 46% for Post-La2 when treated at 150 µL/mL. Thus, the postbiotics used in this research gave the very same effective levels of inhibitory activity compared to the previous report which used postbiotics prepared from Lactobacillus casei. Moreover, it was verified that low concentrations of Pobt-La1 and La2 effectively inhibit the HT-29 cells.
Morphological changes in HT-29 cells were observed under a microscope depending on the times of treatment with Pobt-La1 and La2. In the control group, the number of cells was increased by the incubation time, showing that normal cell proliferation was clearly observed, and the cell nuclei showed a normal shape. However, in the case of the test groups, there was no change in the number of cells with the incubation time, the morphology of the cells was irregular, and cell nuclei were not observed. In addition, suspended and condensed cells were observed which were not properly attached to the culture plate. Apoptosis causes chromatin condensation in cells, blisters on the plasma membrane, and cell division in the membrane-encapsulated body. In addition, lamellipodia and filopodia—which play important roles in cell migration—are lost, resulting in a loss of adhesion [15]. For this reason, irregular morphology, condensation, and suspended cells appeared to be observed in the cells treated with Pobt-La1 and La2.
The gene expression associated with apoptosis was analyzed through RT-PCR. Apoptosis occurs by two different major pathways. One pathway is the induced release of cytochrome c from the mitochondrial transmembrane, in which caspase-9 is involved. This is called the intrinsic pathway. The other pathway is death-receptor ligation, which involves caspase-8. This is called the extrinsic pathway. Both caspase-9 and caspase-8 are initiator caspases capable of activating caspase-3, an initiator of apoptosis [16]. As a result of the present study, the expression of bax was also increased in the test group. From these results, it seems that Pobt-La suppresses the apoptosis of HT-29 cells, which is a case of the extrinsic pathway.
The expression level of caspase factors, which plays a key role in the occurrence of apoptosis, was confirmed by Western blot analysis. Caspase exists in an inactive form in the outer membrane of the nucleus and mitochondria, and is activated by stimuli that induce apoptosis [17]. That is, the activation of caspase can act as further evidence of the occurrence of apoptosis. In caspase-3 and -8, the inactive form of pro-caspase is cleaved and converted into the activated protein form (cleaved-caspase). Therefore, when the expression of the activated form of caspase-3 is increased, the expression of the inactive form (pro-caspase-3) is relatively decreased [18]. As shown in Figure 4, the activated form of caspase-3 was much more highly expressed. The upper band expressed the intact form of caspase-3 (inactive form) and the lower band showed the cleaved form (activated form) of caspase-3. In the control group, the upper band was more highly expressed. However, in the test groups which were treated with Pobt-La1 and La2, the lower band representing the expression of the activated caspase-3 was greatly intensified, meaning that the activated protein was expressed much more strongly in the test group. The expression patterns of caspase-8 are shown in Figure 4. In the case of caspase-8, unlike caspase-3, the cleaved forms of the expressed proteins were not observed. However, a higher expression of caspase-8 was detected in the control group, showing a higher expression in the upper band than the expression level of caspase-8 in the tested groups. For caspase-8 to be effective, the Fas protein must be trimmed and activated by FasL or the agonist anti-Fas antibody, and the FADD (Fas-associated protein with death domain) protein must bind to the intracellular DED (dead effector domain) site to form DISC (the death-inducing signaling complex) [19,20]. The activation of caspase-8 is associated with extrinsic apoptosis. The results obtained from the current study combining RT-PCR and Western blot analysis confirmed that caspase-3 was activated by caspase-8, indicating that the proliferation of HT-29 cells was inhibited through extrinsic apoptosis. Karimi et al. reported that the heat-killed probiotics were effective on HT-29 cells. Intrinsic apoptosis occurred as indicated by bax, caspase-3, and caspase-9 expression at the mRNA level [21]. Song et al. also confirmed the effect of heat-killed probiotics on HT-29 cells, showing that the expression of caspase-3 and caspase-8 was observed at the protein level. Extrinsic apoptosis with an increased expression of cleaved-caspase-3 and cleaved-caspase-8 was shown with the same patterns [22].
The proliferation inhibitory effects of the specific fraction prepared from Lactobacillus sp. were confirmed on various carcinoma cell lines by several research groups [23,24,25]. In the present study regarding the use of the postbiotics Pobt-La1 and La2, the proliferation inhibitory effect against colon cancer cell was confirmed [26,27]. From the results obtained in the current study, it is expected that the anticancer effect will appear in specific components of probiotics La1 and La2. The postbiotics compared for Pobt-La1 and La2 could provide crucial information for developing anticancer research. According to studies by Kvakova et al., the activity that appears may vary depending on what kind of postbiotics are applied [28]. Therefore, if different types of postbiotics are extracted from the strains used in this study, the possibility of additional activity or better activity cannot be ruled out.
5. Conclusions
This study verified the activity reported in previous studies of probiotics strains that have already been reported. Postbiotic substances were extracted from probiotics whose activity was verified, and the anticancer activity of the extract was revealed. Through this study, new substances for inhibiting the growth of colon cancer cells were discovered, and it is believed that useful information can be provided in the field of anticancer research.
Author Contributions
Conceptualization, Y.K., H.J.K. and K.J.; methodology, Y.K. and K.J.; validation, Y.K. and K.J.; formal analysis, K.J.; investigation, Y.K. and K.J.; writing—original draft preparation, Y.K. and H.J.K.; writing—review and editing, H.J.K. and K.J.; visualization, Y.K. and H.J.K.; supervision, K.J.; project administration, K.J. All authors have read and agreed to the published version of the manuscript.
Funding
This research received no external funding.
Conflicts of Interest
The authors declare no conflict of interest.
References
- Kim, J.-Y.; Jung, E.-J.; Won, Y.-S.; Lee, J.-H.; Shin, D.-Y.; Seo, K.-I. Cultivated Orostachys japonicus induces apoptosis in human colon cancer cells. Korean J. Food Sci. Technol. 2012, 44, 317–323. [Google Scholar] [CrossRef]
- Lim, S.O.; Jun, S. Factors influencing the improvement in lifestyle among patients with colorectal cancer. Korean J. Adult Nurs. 2019, 31, 325–336. [Google Scholar] [CrossRef]
- Kang, H.-T.; Bahk, H.J.; Shim, J.-Y.; Kim, N.K. Management of longterm colorectal cancer survivors in Korea. J. Korean Med. Assoc. 2016, 59, 276–286. [Google Scholar] [CrossRef]
- Bang, M.; Lee, S.D.; Oh, S. Probiotics and intestinal health. J. Dairy Sci. Biotechnol. 2012, 30, 139–143. [Google Scholar]
- Seo, J.-H.; Lee, H. Characteristics and immunomodulating activity of lactic acid bacteria for the potential probiotics. Korean J. Food Sci. Technol. 2007, 39, 681–687. [Google Scholar]
- Plaza-Diaz, J.; Ruiz-Ojeda, F.J.; Gil-Campos, M.; Gil, A. Mechanisms of action of probiotics. Adv. Nutr. 2019, 10, S49–S66. [Google Scholar] [CrossRef]
- Lee, M.-J.; Zang, Z.-L.; Choi, E.-Y.; Shin, H.-K.; Ji, G.-E. Cytoskeleton reorganization and cytokine production of macrophages by bifidobacterial cells and cell-free extracts. J. Microbiol. Biotechnol. 2002, 12, 398–405. [Google Scholar]
- Aguilar-Toalá, J.; Garcia-Varela, R.; Garcia, H.; Mata-Haro, V.; González-Córdova, A.; Vallejo-Cordoba, B.; Hernández-Mendoza, A. Postbiotics: An evolving term within the functional foods field. Trends Food Sci. Technol. 2018, 75, 105–114. [Google Scholar] [CrossRef]
- Kim, S.; Kim, G.-H.; Cho, H. Postbiotics for cancer prevention and treatment. Microbiol. Soc. Korea 2021, 57, 142–153. [Google Scholar]
- Barros, C.P.; Pires, R.P.; Guimarães, J.T.; Abud, Y.K.; Almada, C.N.; Pimentel, T.C.; Sant’Anna, C.; De-Melo, L.D.B.; Duarte, M.C.K.; Silva, M.C. Ohmic heating as a method of obtaining paraprobiotics: Impacts on cell structure and viability by flow cytometry. Food Res. Int. 2021, 140, 110061. [Google Scholar] [CrossRef]
- Ji, K.-H.; Jang, N.-Y.; Kim, Y.-T. Isolation of Lactic Acid Bacteria Showing Antioxidative and Probiotic Activities from Kimchi and Infant Feces. J. Microbiol. Biotechnol. 2015, 25, 1568–1577. [Google Scholar] [CrossRef] [PubMed]
- Cho, Y.; Choi, M.-Y. Inhibitory Effects of Flavonoids on growth of HT-29 human colon cancer cells. J. Korean Soc. Food Sci. Nutr. 2015, 44, 338–346. [Google Scholar] [CrossRef]
- Kerry, R.G.; Patra, J.K.; Gouda, S.; Park, Y.; Shin, H.-S.; Das, G. Benefaction of probiotics for human health: A review. J. Food Drug Anal. 2018, 26, 927–939. [Google Scholar] [CrossRef] [PubMed]
- Tiptiri-Kourpeti, A.; Spyridopoulou, K.; Santarmaki, V.; Aindelis, G.; Tompoulidou, E.; Lamprianidou, E.E.; Saxami, G.; Ypsilantis, P.; Lampri, E.S.; Simopoulos, C. Lactobacillus casei exerts anti-proliferative effects accompanied by apoptotic cell death and up-regulation of TRAIL in colon carcinoma cells. PLoS ONE 2016, 11, e0147960. [Google Scholar] [CrossRef]
- GunHe, N.; KyungJo, J.; HyeWon, K.; JiHyang, W.; JuHwan, K.; JiHun, K.; YoungMin, K. Anti-cancer effect of Cinnamomum camphora ethanol extract by double induction of apoptotic and autophagic cell death in HCT 116 and HT-29 human colon cancer cell through the mTOR signaling pathway. Korean Soc. Biotechnol. Bioeng. J. 2019, 34, 114–119. [Google Scholar]
- Liu, J.-J.; Nilsson, Å.; Oredsson, S.; Badmaev, V.; Zhao, W.-Z.; Duan, R.-D. Boswellic acids trigger apoptosis via a pathway dependent on caspase-8 activation but independent on Fas/Fas ligand interaction in colon cancer HT-29 cells. Carcinogenesis 2002, 23, 2087–2093. [Google Scholar] [CrossRef]
- Schulze-Osthoff, K.; Ferrari, D.; Los, M.; Wesselborg, S.; Peter, M.E. Apoptosis signaling by death receptors. Eur. J. Biochem. 1998, 254, 439–459. [Google Scholar] [CrossRef] [PubMed]
- Kim, C.-I.; Shin, S.-S.; Park, S.-S. Growth inhibition and induction of apoptosis in human bladder cancer cells induced by fermented citrus Kombucha. J. Korean Soc. Food Sci. Nutr. 2016, 45, 1422–1429. [Google Scholar] [CrossRef]
- Barry, M.A.; Behnke, C.A.; Eastman, A. Activation of programmed cell death (apoptosis) by cisplatin, other anticancer drugs, toxins and hyperthermia. Biochem. Pharmacol. 1990, 40, 2353–2362. [Google Scholar] [CrossRef]
- Boldin, M.P.; Goncharov, T.M.; Goltseve, Y.V.; Wallach, D. Involvement of MACH, a novel MORT1/FADD-interacting protease, in Fas/APO-1-and TNF receptor–induced cell death. Cell 1996, 85, 803–815. [Google Scholar] [CrossRef]
- Karimi Ardestani, S.; Tafvizi, F.; Tajabadi Ebrahimi, M. Heat-killed probiotic bacteria induce apoptosis of HT-29 human colon adenocarcinoma cell line via the regulation of Bax/Bcl2 and caspases pathway. Hum. Exp. Toxicol. 2019, 38, 1069–1081. [Google Scholar] [CrossRef] [PubMed]
- Song, S.; Oh, S.; Lim, K. The proteins (12 and 15 kDa) isolated from heat-killed Lactobacillus plantarum L67 induces apoptosis in HT-29 cells. Cell Biochem. Funct. 2015, 33, 89–96. [Google Scholar] [CrossRef] [PubMed]
- Kahouli, I.; Malhotra, M.; Tomaro-Duchesneau, C.; Rodes, L.S.; Aloui-Jamali, M.A.; Prakash, S. Identification of lactobacillus fermentum strains with potential against colorectal cancer by characterizing short chain fatty acids production, anti-proliferative activity and survival in an intestinal fluid: In vitro analysis. J. Bioanal. Biomed. 2015, 7, 104. [Google Scholar]
- Kim, J.Y.; Woo, H.J.; Kim, Y.-S.; Lee, H.J. Screening for antiproliferative effects of cellular components from lactic acid bacteria against human cancer cell lines. Biotechnol. Lett. 2002, 24, 1431–1436. [Google Scholar] [CrossRef]
- Wang, S.; Han, X.; Zhang, L.; Zhang, Y.; Li, H.; Jiao, Y. Whole peptidoglycan extracts from the lactobacillus paracasei subsp. Paracasei M5 strain exert anticancer activity in vitro. BioMed Res. Int. 2018, 2018, 2871710. [Google Scholar]
- Chen, D.; Jin, D.; Huang, S.; Wu, J.; Xu, M.; Liu, T.; Dong, W.; Liu, X.; Wang, S.; Zhong, W. Clostridium butyricum, a butyrate-producing probiotic, inhibits intestinal tumor development through modulating Wnt signaling and gut microbiota. Cancer Lett. 2020, 469, 456–467. [Google Scholar] [CrossRef]
- Lan, A.; Lagadic-Gossmann, D.; Lemaire, C.; Brenner, C.; Jan, G. Acidic extracellular pH shifts colorectal cancer cell death from apoptosis to necrosis upon exposure to propionate and acetate, major end-products of the human probiotic propionibacteria. Apoptosis 2007, 12, 573–591. [Google Scholar] [CrossRef]
- Kvakova, M.; Kamlarova, A.; Stofilova, J.; Benetinova, V.; Bertkova, I. Probiotics and postbiotics in colorectal cancer: Prevention and complementary therapy. World J. Gastroenterol. 2022, 28, 3370. [Google Scholar] [CrossRef]
Publisher’s Note: MDPI stays neutral with regard to jurisdictional claims in published maps and institutional affiliations. |
© 2022 by the authors. Licensee MDPI, Basel, Switzerland. This article is an open access article distributed under the terms and conditions of the Creative Commons Attribution (CC BY) license (https://creativecommons.org/licenses/by/4.0/).



