Biomechanical Study of the Eye with Keratoconus-Type Corneal Ectasia Using a 3D Geometric Model
Abstract
:1. Introduction
2. Materials and Methods
2.1. Pentacam®
2.2. Point Cloud
2.3. Rhinoceros®
2.4. Abaqus®: Undeformed Geometry and Finite Elements Analysis
- The IOP was applied to the internal surface of the cornea.
- The resulting deformation was subtracted from the physiological state, thus creating a new set of coordinates.
- The new set of coordinates was compared to its predecessor by the magnitude of the difference in their sequential coordinates.
- The first three steps were iterated until the magnitude was smaller than the defined tolerance (5% of the minimum thickness of that cornea).
- The obtained undeformed geometry was used to conduct further simulations.
3. Results
3.1. Results for a Model with Deformation Parameter
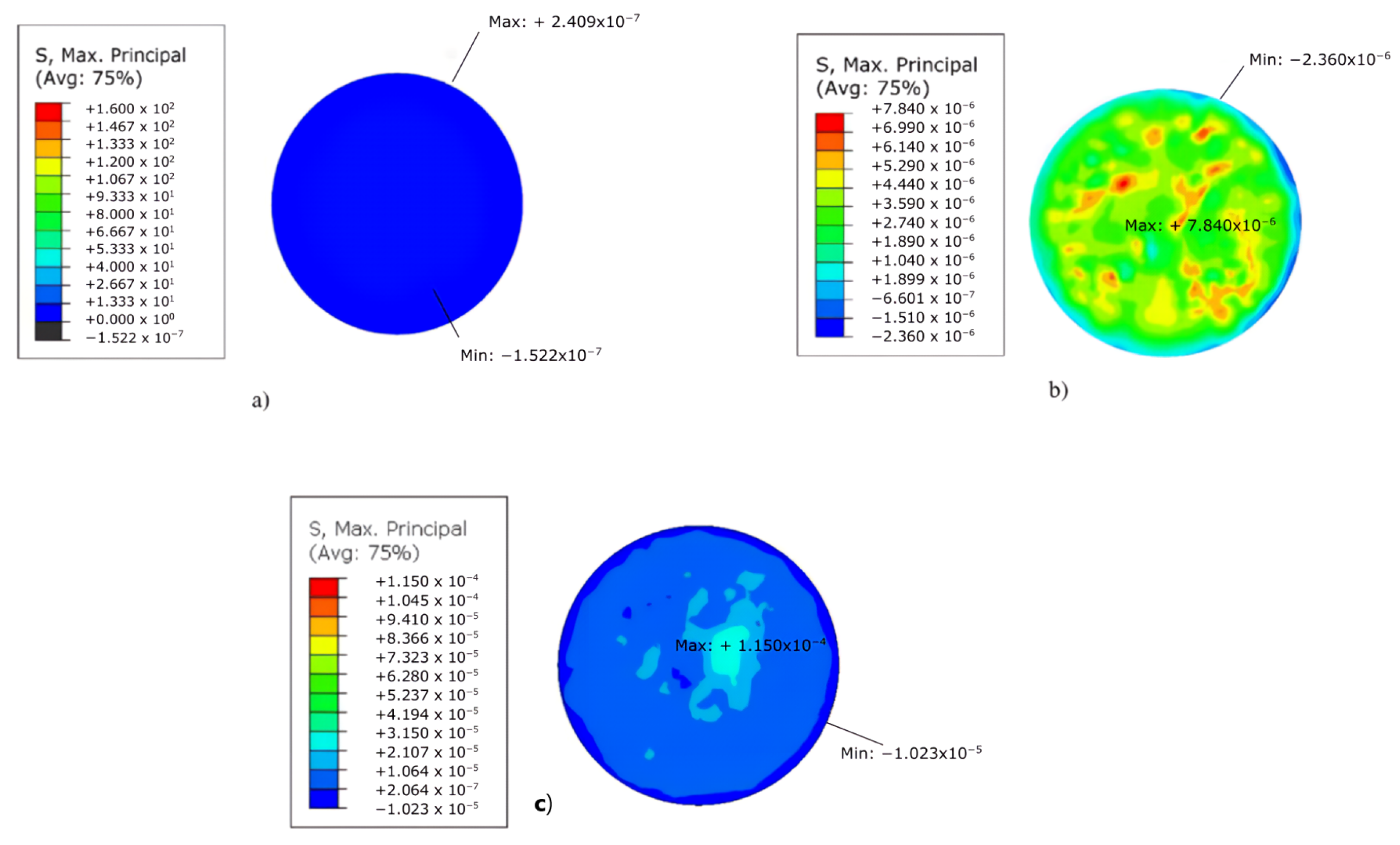
3.2. Results for a Model with Maximum Principal Stress Parameters
3.3. Results for Model with Variation in Corneal Curve
4. Discussion
5. Conclusions
Author Contributions
Funding
Institutional Review Board Statement
Informed Consent Statement
Data Availability Statement
Acknowledgments
Conflicts of Interest
References
- Meek, K.M.; Knupp, C. Corneal structure and transparency. Prog. Retin. Eye Res. 2015, 49, 1–16. [Google Scholar] [CrossRef]
- Collar, C.V.; González-Méijome, J.M. El queratocono y su tratamiento. Gac. Ópt. 2009, 435, 16–22. [Google Scholar]
- Rodríguez, E.M.; Vega, O.S.; Garcél, B.R.B.; Ramírez, S.D.; Mograbe, J.Á.S. Caracterización de pacientes con queratocono. Medisan 2011, 15, 1698–1704. [Google Scholar]
- Gualsaquí, M.G.; Delgado, A.S.; González, L.L.; Vaca, G.F.; Almeida-Galárraga, D.A.; Salum, G.M.; Cadena-Morejón, C.; Tirado-Espín, A.; Villalba-Meneses, F. Convolutional neural network for imagine movement classification for neurorehabilitation of upper extremities using low-frequency EEG signals for spinal cord injury. In Smart Technologies, Systems and Applications; Springer International Publishing: Berlin/Heidelberg, Germany, 2022; pp. 272–287. [Google Scholar]
- Herrera-Romero, B.; Almeida-Galárraga, D.; Salum, G.M.; Villalba-Meneses, F.; Gudiño-Gomezjurado, M.E. GUSignal: An Informatics Tool to Analyze Glucuronidase Gene Expression in Arabidopsis Thaliana Roots. IEEE/ACM Trans. Comput. Biol. Bioinform. 2023, 20, 1073–1080. [Google Scholar] [CrossRef]
- Comínches, G.D.; Ronda, A.C.; Cepeda, R.J.; Peláez, R.N. Características epidemiológicas en pacientes portadores de queratocono. Rev. Cuba. Oftalmol. 1999, 12, 1. [Google Scholar]
- Suquilanda-Pesántez, J.D.; Zambonino-Soria, M.C.; López-Ramos, D.E.; Pineda-Molina, M.G.; Milán, N.S.; Muñoz, M.C.; Villalba-Meneses, G.F.; Almeida-Galárraga, D. Prediction of Parkinson’s disease severity based on gait signals using a neural network and the fast Fourier transform. In Artificial Intelligence, Computer and Software Engineering Advances; Springer International Publishing: Berlin/Heidelberg, Germany, 2021; pp. 3–18. [Google Scholar]
- Basu, S.; Vazirani, J. Keratoconus: Current perspectives. Clin. Ophthalmol. 2013, 7, 2019–2030. [Google Scholar] [CrossRef] [PubMed]
- Martínez, F.C. Modelado Geométrico Personalizado de la Córnea Humana y su Aplicación a la Detección de Ectasias Corneales. Ph.D. Thesis, Universidad Politecnica de Cartagena, Cartagena, Spain, 2018. [Google Scholar]
- Vásquez-Ucho, P.A.; Villalba-Meneses, G.F.; Pila-Varela, K.O.; Villalba-Meneses, C.P.; Iglesias, I.; Almeida-Galárraga, D.A. Analysis and evaluation of the systems used for the assessment of the cervical spine function: A systematic review. J. Med. Eng. Technol. 2021, 45, 380–393. [Google Scholar] [CrossRef] [PubMed]
- Cavas-Martínez, F.; Fernández-Pacheco, D.G.; De la Cruz-Sánchez, E.; Nieto Martínez, J.; Fernández Cañavate, F.J.; Vega-Estrada, A.; Plaza-Puche, A.B.; Alió, J.L. Geometrical custom modeling of human cornea in vivo and its use for the diagnosis of corneal ectasia. PLoS ONE 2014, 9, e110249. [Google Scholar] [CrossRef] [PubMed]
- Aguiar-Salazar, E.; Villalba-Meneses, F.; Tirado-Espín, A.; Amaguaña-Marmol, D.; Almeida-Galárraga, D. Rapid detection of cardiac pathologies by neural networks using ECG signals (1D) and sECG images (3D). Computation 2022, 10, 112. [Google Scholar] [CrossRef]
- Misra, S.; Craig, J.P.; McGhee, C.N.J.; Patel, D.V. A prospective study of pterygium excision and conjunctival autograft with human fibrin tissue adhesive: Effects on vision, refraction, and corneal topography. Asia Pac. J. Ophthalmol. 2014, 3, 202–206. [Google Scholar] [CrossRef]
- Shetty, R.; Arora, V.; Jayadev, C.; Nuijts, R.M.; Kumar, M.; Puttaiah, N.K.; Kummelil, M.K. Repeatability and agreement of three scheimpflug-based imaging systems for measuring anterior segment parameters in keratoconus. Investig. Ophthalmol. Vis. Sci. 2014, 55, 5263. [Google Scholar] [CrossRef] [PubMed]
- Villavicencio, O.F.; Gilani, F.; Henriquez, M.A.; Izquierdo, L.; Ambrósio, R.R. Independent Population Validation of the Belin/Ambrósio Enhanced Ectasia Display: Implications for Keratoconus Studies and Screening. Int. J. Keratoconus Ectatic Corneal Dis. 2014, 3, 1–8. [Google Scholar] [CrossRef]
- Steinberg, J.; Ahmadiyar, M.; Rost, A.; Frings, A.; Filev, F.; Katz, T.; Linke, S.J. Anterior and Posterior Corneal Changes after Crosslinking for Keratoconus. Optom. Vis. Sci. 2014, 91, 178–186. [Google Scholar] [CrossRef] [PubMed]
- Kanellopoulos, A.J.; Asimellis, G. Keratoconus Management: Long-term Stability of Topography-guided Normalization Combined with High-fluence CXL Stabilization (the Athens Protocol). J. Refract. Surg. 2014, 30, 88–93. [Google Scholar] [CrossRef]
- Giannaccare, G.; Murano, G.; Carnevali, A.; Yu, A.C.; Vaccaro, S.; Scuteri, G.; Maltese, L.; Scorcia, V. Comparison of Amsler—Krumeich and Sandali classifications for staging eyes with keratoconus. Appl. Sci. 2021, 11, 4007. [Google Scholar] [CrossRef]
- Motlagh, M.N.; Moshirfar, M.; Murri, M.S.; Skanchy, D.F.; Momeni-Moghaddam, H.; Ronquillo, Y.C.; Hoopes, P.C. Pentacam® corneal tomography for screening of refractive surgery candidates: A review of the literature, part I. Med. Hypothesis Discov. Innov. Ophthalmol. 2019, 8, 177–203. [Google Scholar]
- Ariza-Gracia, M.Á.; Flecha-Lescún, J.; Büchler, P.; Calvo, B. Corneal biomechanics after intrastromal ring surgery: Optomechanical in silico assessment. Transl. Vis. Sci. Technol. 2020, 9, 26. [Google Scholar] [CrossRef]
- Albán-Cadena, A.C.; Villalba-Meneses, F.; Pila-Varela, K.O.; Moreno-Calvo, A.; Villalba-Meneses, C.P.; Almeida-Galárraga, D.A. Wearable sensors in the diagnosis and study of Parkinson’s disease symptoms: A systematic review. J. Med. Eng. Technol. 2021, 45, 532–545. [Google Scholar] [CrossRef]
- Nejad, T.M.; Foster, C.; Gongal, D. Finite element modelling of cornea mechanics: A review. Arq. Bras. Oftalmol. 2014, 77, 60–65. [Google Scholar] [CrossRef]
- Kling, S.; Bekesi, N.; Dorronsoro, C.; Pascual, D.; Marcos, S. Corneal viscoelastic properties from finite-element analysis of in vivo air-puff deformation. PLoS ONE 2014, 9, e104904. [Google Scholar] [CrossRef]
- Lago, M.A.; Rupérez, M.J.; Monserrat, C.; Martínez-Martínez, F.; Martinez-Sanchis, S.; Larra, E.; Díez-Ajenjo, M.A.; Peris-Martínez, C. Patient-specific simulation of the intrastromal ring segment implantation in corneas with keratoconus. J. Mech. Behav. Biomed. Mater. 2015, 51, 260–268. [Google Scholar] [CrossRef] [PubMed]
- Pandolfi, A.; Manganiello, F. A model for the human cornea: Constitutive formulation and numerical analysis. Biomech. Model. Mechanobiol. 2006, 5, 237–246. [Google Scholar] [CrossRef] [PubMed]
- Pandolfi, A. Cornea modelling. Eye Vis. 2020, 7, 2. [Google Scholar] [CrossRef] [PubMed]
- Whitford, C.; Movchan, N.V.; Studer, H.; Elsheikh, A. A viscoelastic anisotropic hyperelastic constitutive model of the human cornea. Biomech. Model. Mechanobiol. 2018, 17, 19–29. [Google Scholar] [CrossRef] [PubMed]
- Jaén-Díaz, J.I.; Cordero-García, B.; de Castro, F.L.; De-Castro-Mesa, C.; Castilla-López-Madridejos, F.; Berciano-Martínez, F. Variabilidad diurna de la presión intraocular. Arch. Soc. Esp. Oftalmol. 2007, 82, 675–679. [Google Scholar] [CrossRef]
- Aguiar Salazar, E.D.; Alcivar Carmigniani, A.S.; Aldaz Luna, B.P.; Clavijo Calderón, D.F.; Echeverría Ortíz, P.P.; Madrid Pérez, M.A.; Villalba-Meneses, G.F.; Almeida-Galárraga, D. Design of a glove controlled by electromyographic signals for the rehabilitation of patients with rheumatoid arthritis. In Information and Communication Technologies; Springer International Publishing: Berlin/Heidelberg, Germany, 2020; pp. 3–11. [Google Scholar]
- Otuna-Hernández, D.; Espinoza-Castro, L.; Yánez-Contreras, P.; Villalba-Meneses, F.; Cadena-Morejón, C.; Guevara, C.; Cruz-Varela, J.; Tirado-Espín, A.; Almeida-Galárraga, D. Diagnosis and degree of evolution in a keratoconus-type corneal ectasia from image processing. In Smart Technologies, Systems and Applications; Springer: Cham, Switzerland, 2023; pp. 284–297. [Google Scholar]
- Ashofteh Yazdi, A.; Melchor, J.; Torres, J.; Faris, I.; Callejas, A.; Gonzalez-Andrades, M.; Rus, G. Characterization of non-linear mechanical behavior of the cornea. Sci. Rep. 2020, 10, 11549. [Google Scholar] [CrossRef]
- Jain, R.; Grewal, S.P.S. Pentacam: Principle and Clinical Applications. J. Curr. Glaucoma Pract. 2009, 3, 20–32. [Google Scholar] [CrossRef]
- Falgayrettes, N.; Patoor, E.; Cleymand, F.; Zevering, Y.; Perone, J.M. Biomechanics of keratoconus: Two numerical studies. PLoS ONE 2023, 18, e0278455. [Google Scholar] [CrossRef]
- Feizi, S.; Jafarinasab, M.R.; Karimian, F.; Hasanpour, H.; Masudi, A. Central and peripheral corneal thickness measurement in normal and keratoconic eyes using three corneal pachymeters. J. Ophthalmic Vis. Res. 2014, 9, 296–304. [Google Scholar]
- Wallang, B.S.; Das, S. Keratoglobus. EYE 2013, 27, 1004–1012. [Google Scholar] [CrossRef]
- Weaver, A.A.; Stitzel, S.M.; Stitzel, J.D. Injury risk prediction from computational simulations of ocular blast loading. Biomech. Model. Mechanobiol. 2017, 16, 463–477. [Google Scholar] [CrossRef] [PubMed]
- Velasco, J.G.V. Radios de curvatura corneal encontrados en diferentes condiciones corneales de carácter hereditario, genético o iatrogénico. Cienc. Tecnol. Para Salud Vis. Ocul. 2009, 7, 109–118. [Google Scholar]
- Pacific, E.O. Corrección del queratocono con microlentes de alta excentricidad. Rev. Cuba. Oftalmol. 2018, 31, 54–60. [Google Scholar]
- Aguiar-Salazar, E.; Cerón-Andrade, B.; Valenzuela-Guerra, A.; Negrete-Bolagay, D.; Fiallos-Ayala, X.; Suntaxi-Dominguez, D.; Villalba-Meneses, F.; Tirado-Espín, A.; Almeida-Galárraga, D. Intelligent electromyograph for early detection of myopathy and neuropathy using EMG signals and neural network model. In Information and Communication Technologies; Springer International Publishing: Berlin/Heidelberg, Germany, 2022; pp. 32–45. [Google Scholar]
- Li, X.; Luo, S.; Wang, Z.; Miao, Y.; Zhu, M.; Zheng, X.; Luo, G.; Bao, F.; Chen, S.; Wang, J. Dynamic topography analysis of the cornea and its application to the diagnosis of keratoconus. Comput. Biol. Med. 2023, 158, 106800. [Google Scholar] [CrossRef] [PubMed]
- Almaguer, M.G.; Díaz, T.C.; Suárez, R.G.P.; Izquierdo, D.C.; Fernández, E.M.; Chavarría, J.A.G. Crosslinking en la cirugía refractiva. Rev. Cuba. Oftalmol. 2018, 31, 1–7. [Google Scholar]
- Zhang, X.; Munir, S.Z.; Karim, S.A.S.; Munir, W.M. A review of imaging modalities for detecting early keratoconus. EYE 2021, 35, 173–187. [Google Scholar] [CrossRef]
- Ramírez, M.E.M.; Parra, Z.P.; Leyva, E.E.; Díaz, L.O.; Hernández, S.M.L.; Villalón, S.M. Estudio comparativo de variables corneales entre ojos normales con sospecha de queratocono y con diagnóstico de queratocono. Rev. Cuba. Oftalmol. 2014, 27, 540–548. [Google Scholar]
- Moreno, N.R.; Srur, A.M.; Nieme, B.C. Cirugía refractiva: Indicaciones, técnicas y resultados. Rev. Méd. Clín. Condes 2010, 21, 901–910. [Google Scholar] [CrossRef]
- Suquilanda-Pesántez, J.D.; Salazar, E.D.A.; Almeida-Galárraga, D.; Salum, G.; Villalba-Meneses, F.; Gomezjurado, M.E.G. NIFtHool: An informatics program for identification of NifH proteins using deep neural networks. F1000Research 2022, 11, 164. [Google Scholar] [CrossRef]
- Tene-Hurtado, D.; Almeida-Galárraga, D.A.; Villalba-Meneses, G. Brain tumor segmentation based on 2D U-net using MRI multi-modalities brain images. In Smart Technologies, Systems and Applications; Springer International Publishing: Berlin/Heidelberg, Germany, 2022; pp. 345–359. [Google Scholar]











| Disease Severity | Mean Deformation (m) |
|---|---|
| Normal | |
| Keratoconus | |
| Keratoglobus |
| Disease Severity | Mean Max. Principal Stress (GPa) |
|---|---|
| Normal | |
| Keratoconus | |
| Keratoglobus |
| Disease Severity | Corneal Curvature Maximum (m) | Corneal Curvature Minimum (m) |
|---|---|---|
| Normal | 900 | 593 |
| Keratoconus | 703 | 361 |
| Keratoconus | 500 | 137 |
| Authors | Clinical Symptoms | Diagnostic Process | Treatment Modalities | Outcomes | Ref. |
|---|---|---|---|---|---|
| Falgayrette (2023) | Healthy patient. In vivo test. Pachymetry of 500 m, corneal height of 3.4 mm, vertical diameter 10.7 mm and horizontal diameter of 11.8 mm. | It was used in Abaqus to simulate finger-eyelid contact over the cornea in the study. | A photooxidative collagen crosslinking treatment was performed. | Normal IOP of 34 m, corneal weakening of 97 mm. Thicknesses in 516 and 453 m in healthy corneas and 297–494 in keratoconus. | [33] |
| Feizi (2014) | TCC and PCT were measured in 88 mm eyes of 88 mm candidates for refractive surgery and 128 mm eyes of 69 mm keratoconic patients with pachymetry. | The same analyses were used to assess the agreement between Galilei and Orbscan II for PCT measurement. | - | In the normal group, the mean TCC was 551.0 ± 39.4, 566.9 ± 33.5 and 565.5 ± 40.9 m measured by ultrasonic pachymetry. | [34] |
| Wallang (2013) | Patients with clear corneas and dropsy, high myopia, irregular astigmatism poor vision and difficult corrective treatment. | Keratoglobus begins at birth, while keratoconus develops around puberty and can progress into age 40. | The use of contact lenses has been described, but non-invasive techniques are still being sought due to possible risks. | Keratoplasty of 16% by this technique. Details about a on a case-by-case basis, as in the single case of Keratoglobus, not reported. | [35] |
| Ours (2023) | Patients in anonymous conditions, their year of birth is known, no gender information or more data can be obtained. However, POIs of (normal = −1.8 mmHg; keratoconus = 7.1 mmHg; keratoglobus = 13.9 mmHg) are obtained. | The diagnostic process was carried out with 3D modeling, with a subsequent finite element analysis. | Normal eye maintains light care. Keratoconus may be appropriate for the use of rigid contact lenses or perhaps surgery. Finally, there is no cure for keratoglobus, but there may be a treatment. | The results were as follows in terms of deformation: (Normal: , Keratoconus: , Keratoglobus: . While in max main stress was obtained (Normal: , Keratoconus: , Keratoglobus: ). | - |
Disclaimer/Publisher’s Note: The statements, opinions and data contained in all publications are solely those of the individual author(s) and contributor(s) and not of MDPI and/or the editor(s). MDPI and/or the editor(s) disclaim responsibility for any injury to people or property resulting from any ideas, methods, instructions or products referred to in the content. |
© 2023 by the authors. Licensee MDPI, Basel, Switzerland. This article is an open access article distributed under the terms and conditions of the Creative Commons Attribution (CC BY) license (https://creativecommons.org/licenses/by/4.0/).
Share and Cite
Sánchez-Real, E.; Otuna-Hernández, D.; Fajardo-Cabrera, A.; Davies-Alcívar, R.; Madrid-Pérez, M.; Cadena-Morejón, C.; Almeida-Galárraga, D.; Guevara, C.; Tirado-Espín, A.; Villalba-Meneses, F. Biomechanical Study of the Eye with Keratoconus-Type Corneal Ectasia Using a 3D Geometric Model. Appl. Sci. 2023, 13, 12308. https://doi.org/10.3390/app132212308
Sánchez-Real E, Otuna-Hernández D, Fajardo-Cabrera A, Davies-Alcívar R, Madrid-Pérez M, Cadena-Morejón C, Almeida-Galárraga D, Guevara C, Tirado-Espín A, Villalba-Meneses F. Biomechanical Study of the Eye with Keratoconus-Type Corneal Ectasia Using a 3D Geometric Model. Applied Sciences. 2023; 13(22):12308. https://doi.org/10.3390/app132212308
Chicago/Turabian StyleSánchez-Real, Emily, Diego Otuna-Hernández, Alisson Fajardo-Cabrera, Rosemary Davies-Alcívar, Mario Madrid-Pérez, Carolina Cadena-Morejón, Diego Almeida-Galárraga, Cesar Guevara, Andrés Tirado-Espín, and Fernando Villalba-Meneses. 2023. "Biomechanical Study of the Eye with Keratoconus-Type Corneal Ectasia Using a 3D Geometric Model" Applied Sciences 13, no. 22: 12308. https://doi.org/10.3390/app132212308
APA StyleSánchez-Real, E., Otuna-Hernández, D., Fajardo-Cabrera, A., Davies-Alcívar, R., Madrid-Pérez, M., Cadena-Morejón, C., Almeida-Galárraga, D., Guevara, C., Tirado-Espín, A., & Villalba-Meneses, F. (2023). Biomechanical Study of the Eye with Keratoconus-Type Corneal Ectasia Using a 3D Geometric Model. Applied Sciences, 13(22), 12308. https://doi.org/10.3390/app132212308

