Surgery First and Aligners: A Case Report Combining In-House Surgical Guides and Pre-Adapted Titanium Plates
Abstract
1. Introduction
2. Methods
2.1. Diagnosis and Individual Treatment Planning
2.2. Clinical Preparations
2.3. Le Fort 1 Osteotomy
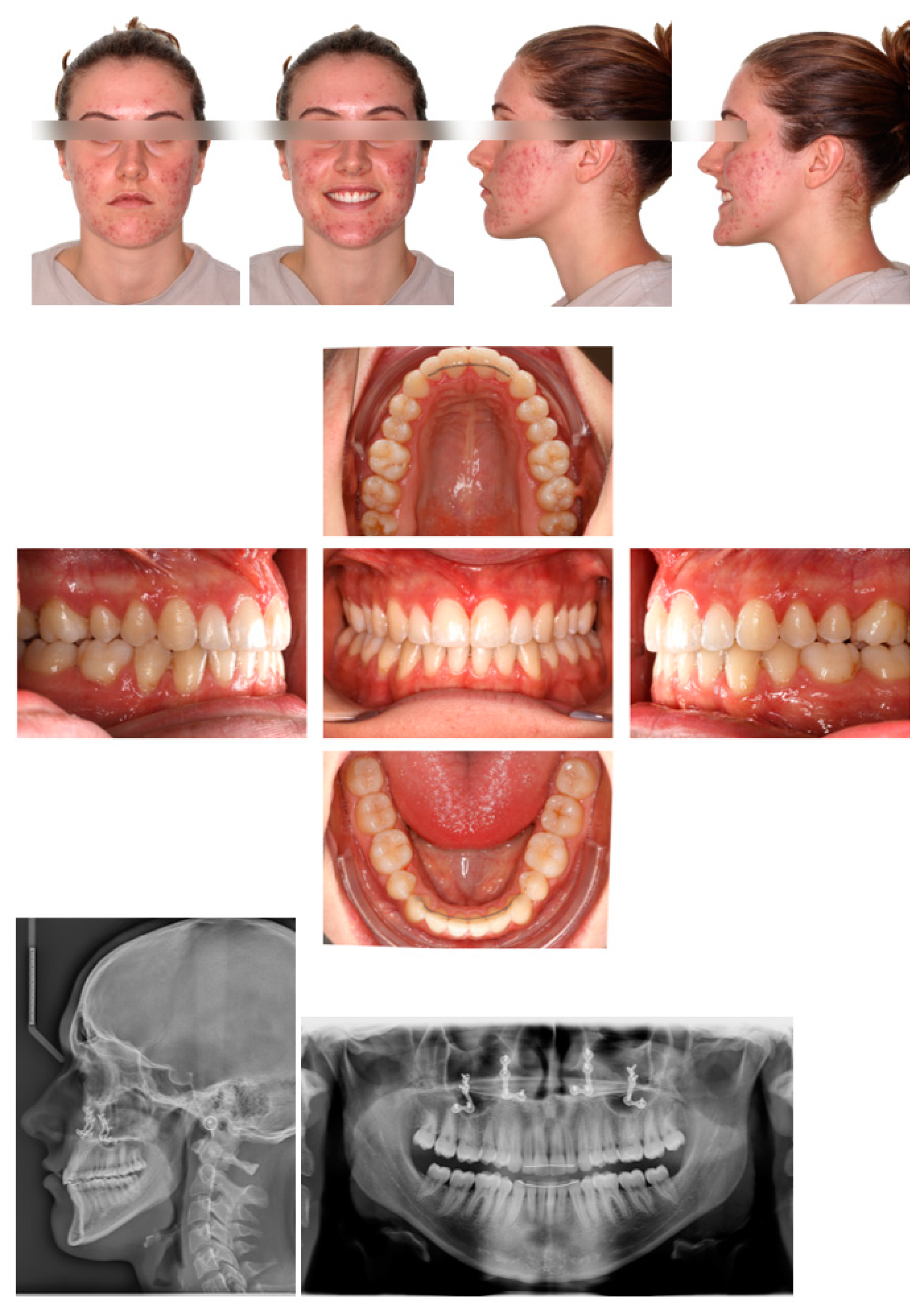
2.4. Post-Operative Orthodontic Phase
3. Objective Assessment and Quality of Life Evaluation
4. Discussion
Author Contributions
Funding
Institutional Review Board Statement
Informed Consent Statement
Data Availability Statement
Acknowledgments
Conflicts of Interest
Abbreviations
| CAT | Clear Aligner Therapy |
| SFOA | Surgery-First Orthognathic Approach |
| OHIP-14 | Oral Health-Related Quality of Life-14 |
| OQLQ | Orthognathic Quality of Life Questionnaire |
| PAR | Peer Assessment Rating |
| TMJ | Temporomandibular Joint |
| RAP | Regional Acceleratory Phenomenon |
| SAP | Systemic Acceleratory Phenomenon |
| VSP | Virtual Surgical Plan |
| CBCT | Cone Beam Computed Tomography |
| TAD | Temporary Anchoring Device |
| IMF | Intermaxillary Fixation |
| CAD/CAM | Computer Aided Design/Computer Aided Manufacture |
References
- Proffit, W.R.; White, R.P., Jr. Combined surgical-orthodontic treatment: How did it evolve and what are the best practices now? Am. J. Orthod. Dentofacial Orthop. 2015, 147, S205–S215. [Google Scholar] [CrossRef] [PubMed]
- Thitiyuk, C.; Patchanee, S.; Klaisiri, A.; Chaiprakit, N. Comparison of “Orthodontic First” and “Surgery First” Approaches to Quality of Life in Orthognathic Surgery Patients: A Prospective Cohort Study. Appl. Sci. 2022, 12, 12137. [Google Scholar] [CrossRef]
- Zheng, Y.; Liao, N.; Mo, S.; Huang, X.; Zhou, N. Effect of surgery-first approach on quality of life and mental health of orthognathic patients: A systematic review and meta-analysis. Heliyon 2024, 10, e23285. [Google Scholar] [CrossRef]
- Nagasaka, H.; Sugawara, J.; Kawamura, H.; Nanda, R. “Surgery first” skeletal Class III correction using the Skeletal Anchorage System. J. Clin. Orthod. JCO 2009, 43, 97–105. [Google Scholar]
- Pelo, S.; Gasparini, G.; Garagiola, U.; Cordaro, M.; Di Nardo, F.; Staderini, E.; Patini, R.; de Angelis, P.; D’Amato, G.; Saponaro, G.; et al. Surgery-first orthognathic approach vs traditional orthognathic approach: Oral health-related quality of life assessed with 2 questionnaires. Am. J. Orthod. Dentofac. Orthop. 2017, 152, 250–254. [Google Scholar] [CrossRef] [PubMed]
- Sugawara, J.; Aymach, Z.; Nagasaka, D.H.; Kawamura, H.; Nanda, R. “Surgery first” orthognathics to correct a skeletal class II malocclusion with an impinging bite. J. Clin. Orthod. 2010, 44, 429–438. [Google Scholar]
- Hernández-Alfaro, F.; Guijarro-Martínez, R.; Peiró-Guijarro, M.A. Surgery first in orthognathic surgery: What have we learned? A comprehensive workflow based on 45 consecutive cases. J. Oral Maxillofac. Surg. 2014, 72, 376–390. [Google Scholar] [CrossRef]
- Slade, G.D. Derivation and validation of a short-form oral health impact profile. Community Dent. Oral Epidemiol. 1997, 25, 284–290. [Google Scholar] [CrossRef]
- Cunningham, S.J.; Garratt, A.M.; Hunt, N.P. Development of a condition-specific quality of life measure for patients with dentofacial deformity: I. Reliability of the instrument. Community Dent. Oral Epidemiol. 2000, 28, 195–201. [Google Scholar] [CrossRef]
- Richmond, S.; Shaw, W.C.; Roberts, C.T.; Andrews, M. The PAR Index (Peer Assessment Rating): Methods to determine outcome of orthodontic treatment in terms of improvement and standards. Eur. J. Orthod. 1992, 14, 180–187. [Google Scholar] [CrossRef]
- Frost, H.M. The regional acceleratory phenomenon: A review. Henry Ford. Hosp. Med. J. 1983, 31, 3–9. [Google Scholar] [PubMed]
- Abe, Y.; Chiba, M.; Yaklai, S.; Pechayco, R.S.; Suzuki, H.; Takahashi, T. Increase in bone metabolic markers and circulating osteoblast-lineage cells after orthognathic surgery. Sci. Rep. 2019, 9, 20106. [Google Scholar] [CrossRef]
- Liou, E.J.; Chen, P.H.; Wang, Y.C.; Yu, C.C.; Huang, C.S.; Chen, Y.R. Surgery-first accelerated orthognathic surgery: Orthodontic guidelines and setup for model surgery. J. Oral Maxillofac. Surg. 2011, 69, 771–780. [Google Scholar] [CrossRef] [PubMed]
- Walton, D.K.; Fields, H.W.; Johnston, W.M.; Rosenstiel, S.F.; Firestone, A.R.; Christensen, J.C. Orthodontic appliance preferences of children and adolescents. Am. J. Orthod. Dentofac. Orthop. 2010, 138, e691–e698. [Google Scholar] [CrossRef] [PubMed]
- Rosvall, M.D.; Fields, H.W.; Ziuchkovski, J.; Rosenstiel, S.F.; Johnston, W.M. Attractiveness, acceptability, and value of orthodontic appliances. Am. J. Orthod. Dentofac. Orthop. 2009, 135, 276.e1–276.e12. [Google Scholar] [CrossRef]
- Ziuchkovski, J.P.; Fields, H.W.; Johnston, W.M.; Lindsey, D.T. Assessment of perceived orthodontic appliance attractiveness. Am. J. Orthod. Dentofac. Orthop. 2008, 133, S68–S78. [Google Scholar] [CrossRef]
- Cunningham, S.J.; Hunt, N.P. Quality of life and its importance in orthodontics. J. Orthod. 2001, 28, 152–158. [Google Scholar] [CrossRef]
- Fujiyama, K.; Honjo, T.; Suzuki, M.; Matsuoka, S.; Deguchi, T. Analysis of pain level in cases treated with Invisalign aligner: Comparison with fixed edgewise appliance therapy. Prog. Orthod. 2014, 15, 64. [Google Scholar] [CrossRef]
- Miller, K.B.; McGorray, S.P.; Womack, R.; Quintero, J.C.; Perelmuter, M.; Gibson, J.; Dolan, T.A.; Wheeler, T.T. A comparison of treatment impacts between Invisalign aligner and fixed appliance therapy during the first week of treatment. Am. J. Orthod. Dentofac. Orthop. 2007, 131, e301–e309. [Google Scholar] [CrossRef]
- Gu, J.; Tang, J.S.; Skulski, B.; Fields, H.W., Jr.; Beck, F.M.; Firestone, A.R.; Kim, D.G.; Deguchi, T. Evaluation of Invisalign treatment effectiveness and efficiency compared with conventional fixed appliances using the Peer Assessment Rating index. Am. J. Orthod. Dentofac. Orthop. 2017, 151, 259–266. [Google Scholar] [CrossRef]
- Tai, S. Clear Aligner Technique; Quintessence Publishing Company, Incorporated: Berlin, Germany, 2018. [Google Scholar]
- Lou, T.; Caminiti, M. Orthognathic Surgery Combined with Clear Aligner Therapy. J. Clin. Orthod. 2021, 55, 44–58. [Google Scholar] [PubMed]
- Chang, J.; Steinbacher, D.; Nanda, R.; Uribe, F. “Surgery-First” Approach with Invisalign Therapy to Correct a Class II Malocclusion and Severe Mandibular Retrognathism. J. Clin. Orthod. 2019, 53, 397–404. [Google Scholar] [PubMed]
- Amodeo, G.; Meuli, S.; Carboni, A.; Brugnami, F.; Marrocco, S.; Orsini, R.; Scopelliti, D. Surgery First and Invisalign System: Combined Digital Approach. J. Craniofac Surg. 2020, 31, 1681–1686. [Google Scholar] [CrossRef]
- Meuli, S.; Amodeo, G.; Marrocco, S.; Brugnami, F.; Scopelliti, D. Surgery First and Clear Aligners on Relapsed Condylar Hyperplasia. J. Craniofacial Surg. 2021, 33, e60–e65. [Google Scholar] [CrossRef]
- de Leyva, P.; Eslava, J.M.; Pezzi, M.; Sánchez-Jáuregui, E.; Haddad, A.; Baranda, E.; Bueno, A.; Hernández-Alfaro, F.; Acero, J. Clear aligners versus fixed orthodontic appliances in surgery first orthognathic surgery. Int. J. Oral Maxillofac. Surg. 2019, 48, 107. [Google Scholar] [CrossRef]
- Sabouni, W.; Gandedkar, N.H.; Vaid, N.R. Clinical application of Clear Aligner Treatment (CAT) in the Surgery-First Orthognathic Approach (SFOA). Semin. Orthod. 2022, 28, 334–346. [Google Scholar] [CrossRef]
- Sefidroodi, M.; Shino, I.L.; Vassis, S.; Kristensen, K.D.; Buhl, J.; Nørholt, S.E.; Pedersen, T.K. Guidelines for surgery-first approach using Dolphin imaging software and the Invisalign system. AJO-DO Clin. Companion 2024, 4, 182–187. [Google Scholar] [CrossRef]
- Border, M.; Strait, R.; Vega, L. Clear Aligner Orthognathic Splints (CAOS) and Custom Maxillary Fixation Plates for Surgery-First or Surgery-Only Cases. J. Oral Maxillofac. Surg. 2021, 79, e6–e11. [Google Scholar] [CrossRef]
- Kraeima, J.; Schepers, R.H.; Spijkervet, F.K.L.; Maal, T.J.J.; Baan, F.; Witjes, M.J.H.; Jansma, J. Splintless surgery using patient-specific osteosynthesis in Le Fort I osteotomies: A randomized controlled multi-centre trial. Int. J. Oral Maxillofac. Surg. 2020, 49, 454–460. [Google Scholar] [CrossRef]
- Kuc, A.E.; Kulgawczyk, M.; Sulewska, M.E.; Kuc, N.; Kawala, B.; Lis, J.; Sarul, M.; Kotuła, J. The Effect of Corticotomy-Assisted Orthodontic Therapy (CAOT) or Periodontally Accelerated Osteogenic Orthodontics (PAOO) on Bone Remodeling and the Health of Periodontium: A Systematic Review of Systematic Reviews. J. Clin. Med. 2024, 13, 5726. [Google Scholar] [CrossRef]
- Moshiri, M. Considerations for treatment of patients undergoing orthognathic surgery using clear aligners. AJO-DO Clin. Companion 2022, 2, 229–239. [Google Scholar] [CrossRef]








| Timeline | Objectives |
|---|---|
| 1.5–2 months pre op | Consultation with the patient. |
| Patient signed consent papers and answered the OHIP-14 and OQOL questionnaires. | |
| Intraoral scan was made. | |
| Clincheck created and passive aligners and attachment template ordered. | |
| Extraoral and intraoral records were taken. | |
| 1 month pre op | Invisalign attachments placed, any fixed orthodontic retainers removed and passive aligners were given to the patient. |
| Clinical registrations were performed. | |
| Additional intraoral scan sent to the ClinCheck | |
| 1 week pre op | Buttons were placed on the planned teeth and fixated together with a steel ligature wire. |
| Surgery | Tads and corticotomies performed during the orthognathic surgical procedure. |
| 1 week post op | Buttons removed and patient instructed in using active aligners. |
Disclaimer/Publisher’s Note: The statements, opinions and data contained in all publications are solely those of the individual author(s) and contributor(s) and not of MDPI and/or the editor(s). MDPI and/or the editor(s) disclaim responsibility for any injury to people or property resulting from any ideas, methods, instructions or products referred to in the content. |
© 2024 by the authors. Licensee MDPI, Basel, Switzerland. This article is an open access article distributed under the terms and conditions of the Creative Commons Attribution (CC BY) license (https://creativecommons.org/licenses/by/4.0/).
Share and Cite
Sefidroodi, M.; Shino, I.L.; Vassis, S.; Hammer, K.E.; Kristensen, K.D.; Pedersen, T.K.; Nørholt, S.E.; Buhl, J. Surgery First and Aligners: A Case Report Combining In-House Surgical Guides and Pre-Adapted Titanium Plates. Appl. Sci. 2024, 14, 10374. https://doi.org/10.3390/app142210374
Sefidroodi M, Shino IL, Vassis S, Hammer KE, Kristensen KD, Pedersen TK, Nørholt SE, Buhl J. Surgery First and Aligners: A Case Report Combining In-House Surgical Guides and Pre-Adapted Titanium Plates. Applied Sciences. 2024; 14(22):10374. https://doi.org/10.3390/app142210374
Chicago/Turabian StyleSefidroodi, Mohammedreza, Inleel Lundgård Shino, Stratos Vassis, Karen Eich Hammer, Kasper Dahl Kristensen, Thomas Klit Pedersen, Sven Erik Nørholt, and Jytte Buhl. 2024. "Surgery First and Aligners: A Case Report Combining In-House Surgical Guides and Pre-Adapted Titanium Plates" Applied Sciences 14, no. 22: 10374. https://doi.org/10.3390/app142210374
APA StyleSefidroodi, M., Shino, I. L., Vassis, S., Hammer, K. E., Kristensen, K. D., Pedersen, T. K., Nørholt, S. E., & Buhl, J. (2024). Surgery First and Aligners: A Case Report Combining In-House Surgical Guides and Pre-Adapted Titanium Plates. Applied Sciences, 14(22), 10374. https://doi.org/10.3390/app142210374

