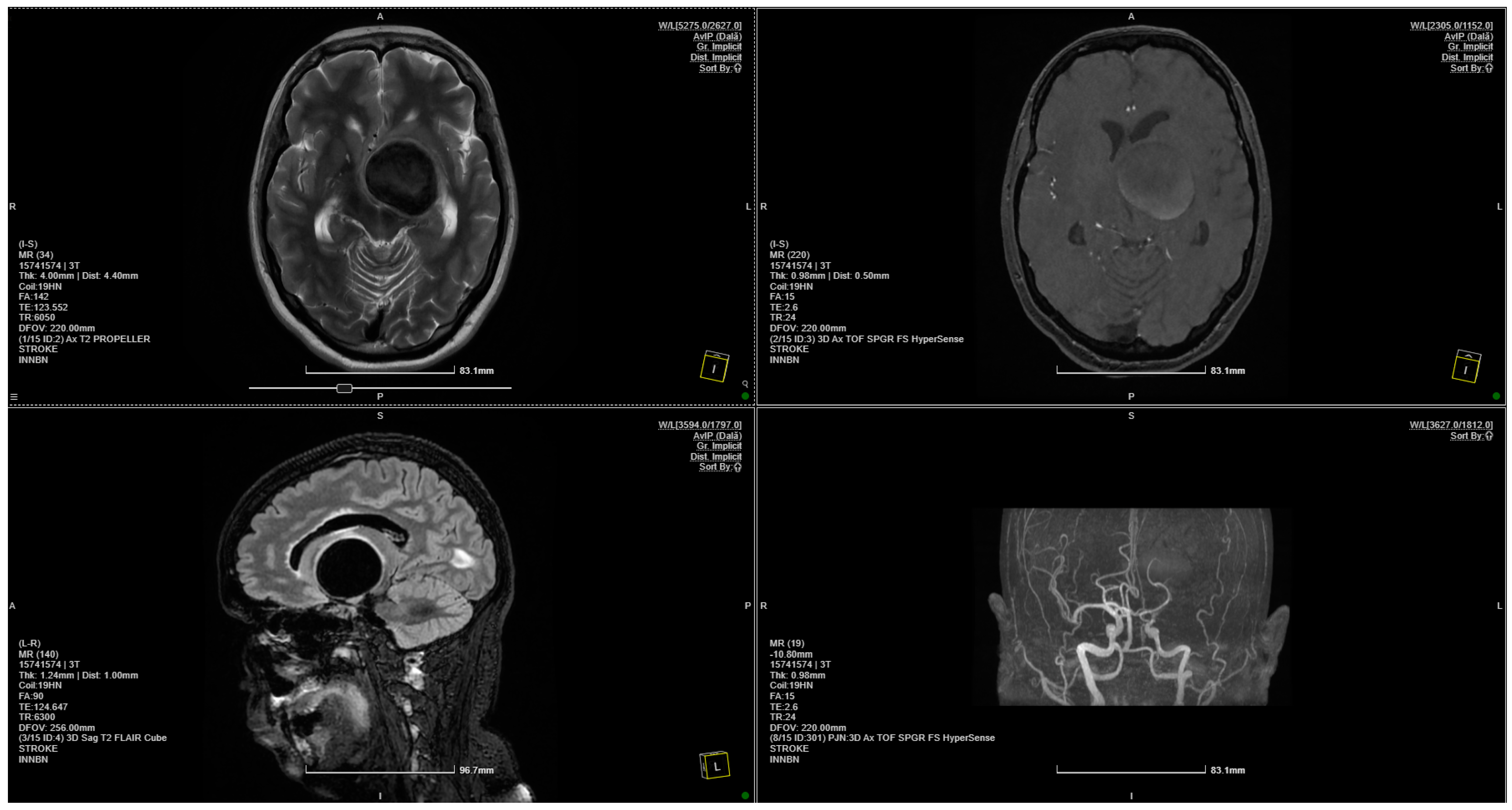
Coanda Effect Displayed in a Giant Intracranial Aneurysm
Abstract
Author Contributions
Funding
Conflicts of Interest
References
- Pitton, G.; Quaini, A.; Rozza, G. Computational reduction strategies for the detection of steady bifurcations in incompressible fluid-dynamics: Applications to Coanda effect in cardiology. J. Comput. Phys. 2017, 344, 534–557. [Google Scholar] [CrossRef]
- Saceleanu, V.-M.; Covache-Busuioc, R.-A.; Glavan, L.-A.; Corlatescu, A.-D.; Ciurea, A.V. Perspectives and Implications of Coanda Effect in Aneurysms. Brain Sci. 2023, 13, 966. [Google Scholar] [CrossRef] [PubMed]
- Ginghină, C. The Coandă effect in cardiology. J. Cardiovasc. Med. 2007, 8, 411–413. [Google Scholar] [CrossRef] [PubMed]




Disclaimer/Publisher’s Note: The statements, opinions and data contained in all publications are solely those of the individual author(s) and contributor(s) and not of MDPI and/or the editor(s). MDPI and/or the editor(s) disclaim responsibility for any injury to people or property resulting from any ideas, methods, instructions or products referred to in the content. |
© 2024 by the authors. Licensee MDPI, Basel, Switzerland. This article is an open access article distributed under the terms and conditions of the Creative Commons Attribution (CC BY) license (https://creativecommons.org/licenses/by/4.0/).
Share and Cite
Toader, C.; Rădoi, P.M.; Aljboor, G.S.R.; Glavan, L.-A.; Covache-Busuioc, R.-A.; Ilie, M.-M.; Ciurea, A.V. Coanda Effect Displayed in a Giant Intracranial Aneurysm. Brain Sci. 2024, 14, 897. https://doi.org/10.3390/brainsci14090897
Toader C, Rădoi PM, Aljboor GSR, Glavan L-A, Covache-Busuioc R-A, Ilie M-M, Ciurea AV. Coanda Effect Displayed in a Giant Intracranial Aneurysm. Brain Sciences. 2024; 14(9):897. https://doi.org/10.3390/brainsci14090897
Chicago/Turabian StyleToader, Corneliu, Petrinel Mugurel Rădoi, Ghaith Saleh R. Aljboor, Luca-Andrei Glavan, Razvan-Adrian Covache-Busuioc, Milena-Monica Ilie, and Alexandru Vlad Ciurea. 2024. "Coanda Effect Displayed in a Giant Intracranial Aneurysm" Brain Sciences 14, no. 9: 897. https://doi.org/10.3390/brainsci14090897
APA StyleToader, C., Rădoi, P. M., Aljboor, G. S. R., Glavan, L.-A., Covache-Busuioc, R.-A., Ilie, M.-M., & Ciurea, A. V. (2024). Coanda Effect Displayed in a Giant Intracranial Aneurysm. Brain Sciences, 14(9), 897. https://doi.org/10.3390/brainsci14090897

