Abstract
Background: Streptococcus suis (S. suis) is a Gram-positive bacterium that causes substantial disease in pigs. S. suis is also an emerging zoonoses in humans, primarily in Asia, through the consumption of undercooked pork and the handling of infected pig meat as well as carcasses. The complexity of S. suis epidemiology, characterized by the presence of multiple bacterial serotypes and strains with diverse sequence types, identifies a critical need for a universal vaccine with the ability to confer cross-protective immunity. Highly conserved immunogenic proteins are generally considered good candidate antigens for subunit universal vaccines. Methods: In this study, the cross-protection of the sugar ABC transporter substrate-binding protein (S-ABC), a surface-associated immunogenic protein of S. suis, was examined in mice for evaluation as a universal vaccine candidate. Results: S-ABC was shown to be highly conserved, with 97% amino acid sequence identity across 31 S. suis strains deposited in GenBank. Recombinantly expressed S-ABC (rS-ABC) was recognized via rabbit sera specific to S. suis serotype 2. The immunization of mice with rS-ABC induced antigen-specific antibody responses, as well as IFN-γ and IL-4, in multiple organs, including the lungs. rS-ABC immunization conferred high (87.5% and 100%) protection against challenges with S. suis serotypes 2 and 9, demonstrating high cross-protection against these serotypes. Protection, albeit lower (50%), was also observed in mice challenged with S. suis serotype 7. Conclusions: These data identify S-ABC as a promising antigenic target within a universal subunit vaccine against S. suis.
1. Introduction
Streptococcus suis (S. suis) is a pathogenic encapsulated Gram-positive bacterium that commonly resides within the upper respiratory tract of pigs. The bacterium can cause meningitis, arthritis, endocarditis, and other pathologies in a proportion of animals [1,2]. S. suis is also a zoonotic agent. Sporadic infection occurs in people through the consumption of undercooked pork and contact with S. suis-infected pigs or pork-derived products [3,4]. Currently, at least 29 different S. suis serotypes have been described based on the antigenicity of the bacterial capsular polysaccharides. These serotypes are distributed widely through pig herds, but not all serotypes or all strains within a serotype have the potential to cause disease. Worldwide, the predominant S. suis serotypes isolated from pigs include serotypes 1/2, 2, 3, 7, and 9 [5], with serotype 2 being the dominant serotype in pigs and most commonly associated with zoonotic disease [6].
Several strategies are used to control S. suis infection in pig herds. Antibiotic treatments are currently the mostly commonly used strategy; however, the emergence of drug-resistant strains and restrictions on the prophylactic use of antimicrobials in livestock production have increased interest in alternative strategies, primarily vaccination. Autogenous vaccines comprised of inactivated whole-bacteria (bacterin) S. suis are increasingly available for use in the field [6]; however, as these vaccines are ‘matched’ to S suis strains circulating in individual farms, they are serotype- or strain-specific and unable to provide cross-protection [6,7,8]. Multiple serotypes and divergent strains are present in pig herds [9], further complicating S. suis control and management by existing vaccines. Together, this complicated landscape has increased interest in multivalent or universal vaccines that can provide a stronger degree of cross-protection.
Host protection against S. suis infection is believed to be mediated primarily through opsonophagocytosis [6] by antibodies specific to bacterial surface components [10,11]. Commensurate with this mechanism of immunological control, surface-associated immunogenic proteins that are well conserved in multiple serotypes of S. suis are attractive targets for the development of universal subunit vaccines. In the past decade, a number of surface-associated immunogenic proteins of S. suis have been identified and evaluated as potential universal subunit vaccine candidates [6,12]. There are several proteins, such as muramidase-released protein (MRP), extracellular protein factors, parvulin-like peptidyl-prolyl isomerases (PrsA), phosphate ABC transporter ATP-binding protein (PstB), enolase, and Sao, have all been evaluated in mouse and pig models for the induction of protective immunity against homologous as well as heterologous strains of S. suis [13,14,15,16,17,18].
Sugar ABC transporter substrate-binding protein (S-ABC; alternatively called ABC transporter substrate-binding protein—maltose/maltodextrin or extracellular solute-binding protein) is a surface-associated immunogenic protein that was previously identified from the S. suis serotype 2 ZYS strain via immunoproteomic analysis [19]. In our current study, we examined the conservation and prevalence of S-ABC in different S. suis strains and evaluated the protective capacity of recombinant S-ABC (rS-ABC) against challenges of S. suis serotypes 2, 7, and 9 in mice. We show that the immunization of mice with rS-ABC induced antigen-specific antibody responses, as well as IFN-γ and IL-4 production, in multiple organs, and conferred protection against challenges with S. suis serotypes 2, 7, and 9.
2. Materials and Methods
2.1. Ethics Statement
All animal experiments were approved by the Institutional Animal Care and Use Committee of the Shanghai Veterinary Research Institute, China (IACUC No: SHVRI-SZ-2019070603), and performed in compliance with the Guidelines on the Humane Treatment of Laboratory Animals (Ministry of Science and Technology of the People’s Republic of China, Policy No. 2006 398).
2.2. Expression and Purification of Recombinant Proteins
Primers (5′-CGGAATTCATGAAACACAATCTCCTTAA-3′ and 5′-GCAAGCTTCTAGTTGCTGTGTTTTTGAG-3′) for cloning the S-ABC gene were designed based on the S-ABC sequence of the S. suis 05ZYH33 strain (GenBank: CP000407.1). The coding region of the S-ABC gene was amplified from the S. suis serotype 2 ZY05719 strain via a polymerase chain reaction (PCR) with the primers and inserted into a prokaryotic express vector, pET-28a, to generate a plasmid expressing His-tagged rS-ABC. A DNA construct encoding B cell epitopes of S-ABC linked by glycine (GGGG) linkers was chemically synthetized (Shanghai Personalbio Technology Co., Ltd., Shanghai, China) and inserted into the pET-28a vector to generate a plasmid expressing a His-tagged recombinant fusion construct comprised of B cell epitopes of S-ABC (rS-ABC-epitopes). All recombinant plasmids were confirmed via DNA sequencing. The rS-ABC and rS-ABC-epitope constructs were expressed in Escherichia coli BL21 (DE3) cells. Isopropyl-β-D-thiogalactopyranoside (IPTG) was used for induction, followed by Ni–NTA column purification according to the manufacturer’s protocol (SMART, Changzhou, China). Purified rS-ABC and rS-ABC-epitope proteins were then enriched using a 10 kDa cut-off Amicon Ultra Centrifugal (AUC) unit (EMD Millipore Billerica, MA, USA), followed by desalting with a 3 kDa cut-off unit. Centrifugation at 3000× g at 4 °C for 15 min was used in both cases. The resulting recombinant proteins were visualized by SDS-PAGE, quantified using an enhanced BCA protein assay kit (Beyotime biotechnology, Shanghai, China), and stored at −80 °C.
2.3. Multiple Sequence Alignment
Amino acid sequences of S-ABC from 31 S. suis strains were downloaded from GenBank. Multiple sequence alignment was performed using ClustalW software 2.1 (https://www.genome.jp/tools-bin/clustalw (accessed on 30 June 2021)) and visualized using ESPript software 3.0 (https://espript.ibcp.fr/ESPript/cgi-bin/ESPript.cgi (accessed on 30 June 2021)).
2.4. Prediction of Linear B Cell Epitopes
ABCpred (http://crdd.osdd.net/raghava/abcpred/ABC_submission.html (accessed on 21 July 2021)) and IEDB (http://tools.iedb.org/main/bcell/ (accessed on 21 July 2021)) bioinformatics software were used to predict linear epitopes within S-ABC. Based on these predictions, putative epitopes were analyzed for their immunogenicity and protective capacity.
2.5. Screening for Immunodominant Linear B Cell Epitopes with an Enzyme-Linked Immunosorbent Assay (ELISA)
Putative S-ABC B cell epitopes were chemically synthesized (Shanghai Apeptide Co., Ltd., Shanghai, China). Peptides were then screened using S. suis-specific sera with an ELISA. Briefly, peptides were coated onto ELISA plates at a concentration of 1 μg/mL, 5 μg/mL, and 10 μg/mL at 4 °C overnight. Plates were then blocked with 5% bovine serum albumin, followed by incubation with rabbit sera specific to S. suis serotype 2 (1:500 dilution) at 37 °C for 1 h. Antibodies bound to the peptides were detected via incubation with horseradish peroxidase-conjugated goat anti-rabbit IgG (Santa Cruz Biotechnology, Santa Cruz, CA, USA), and subsequently with 3,3′,5,5′-tetramethylbenzidine substrate. The optical density (OD450nm) of each well coated with the peptides was measured and normalized to the value of control wells. A relative OD450nm value of >2.1 was considered positive.
2.6. Western Blot Analysis
Western blot for the detection of rS-ABC and rS-ABC-epitope proteins was performed with anti-His antibodies (Abcam, Shanghai, China) and rabbit sera specific to S. suis serotype 2, respectively, as described previously [20]. The rabbit sera specific to S. suis serotype 2 were obtained from convalescent rabbits experimentally infected with S. suis serotype 2.
2.7. Immunization and Protection Assay
Three-week-old BALB/c strain mice, purchased from Shanghai SLAC Laboratory Animal Co. Ltd. (Shanghai, China), were randomly divided into immunized and control groups (8 mice per group). Mice were vaccinated as indicated with 50 μg of purified rS-ABC or rS-ABC-epitope proteins emulsified in Freund’s complete adjuvant, administered subcutaneously. At 14 days, mice were boosted with 50 μg of an identical protein inoculum, but emulsified in Freund’s incomplete adjuvant. The control group was injected with phosphate-buffered saline (PBS) emulsified in Freund’s adjuvant. Depending on the study, groups were challenged intraperitoneally with an 8 × 50% lethal dose (LD50) of either the S. suis serotype 2 ZY05719 strain, the serotype 7 SH04815 strain, or the serotype 9 SH26 strain, at 10 days post-booster immunization and monitored for 7 days.
2.8. Detection of Antibodies with an ELISA
Blood samples were collected from mice at times indicated for the analysis of antibodies against the recombinant S-ABC proteins with an ELISA, as described previously [13]. Briefly, purified rS-ABC or rS-ABC-epitope proteins were coated onto ELISA plates at 1 μg per well and incubated at 4 °C overnight. The plates were blocked with 5% bovine serum albumin and then incubated with the sera collected from the immunized mice at 1:800 dilution. Antibodies bound to the recombinant proteins were detected via incubation with horseradish peroxidase-conjugated goat anti-mouse IgG (Santa Cruz Biotechnology) and subsequently with 3,3′,5,5′-tetramethylbenzidine substrate. The optical density (OD450nm) of each well was measured at 450 nm.
2.9. Detection of IL-4 and IFN-γ
At 10 days post-boost (24 days post-primary immunization), tissue samples (blood, lungs, and spleen) were collected. Levels of IL-4 and IFN-γ in tissues were quantified using corresponding ELISA kits (Boster, Wuhan, China) according to the manufacturer’s protocol.
2.10. Statistical Analysis
Measured values are presented as the means ± standard deviations (SDs). The significance of the results was determined by using Student’s t-tests. A value of p < 0.05 was considered statistically significant.
3. Results
3.1. Conservation and Prevalence of S-ABC across S. suis Serotypes
Although there is geographic variation, S. suis serotype 2 followed by 7 and 9 are predominant serotypes associated with disease in pig herds [6,9,21]. Amino acid sequences of S-ABC from 31 S. suis strains, including 24 serotype 2, 2 serotype 7, and 5 serotype 9, available in GenBank were downloaded and aligned, followed by a conservation analysis. Multiple sequence alignments detected a total of 15 amino acid variations across the entire 419-amino-acid-residue S-ABC protein, representing 97% sequence identity among the S. suis strains (Supplementary Figure S1). These data suggest that S-ABC is highly conserved across clinically important S. suis serotypes and strains.
3.2. Immunodominant Linear B Cell Epitopes of S-ABC
S-ABC was previously identified via an immunoproteomic analysis with swine sera specific to S. suis serotype 2, indicating expression and exposure of the protein to the immune system during the natural infection of pigs [19]. The 419-amino-acid S-ABC protein is primarily a hydrophilic protein without a transmembrane domain. Results from a predictive antigenicity analysis using Protean software version 7.1 and VaxiJen version 2.0 ere consistent with the observed immunogenicity of the S-ABC protein (Supplementary Figure S2) [22]. The S-ABC sequence was then analyzed using ABCpred and IEDB bioinformatic tools to predict potential linear B cell epitopes. Results from this analysis, which identified five putative B cell epitopes, are shown in Figure 1A and Table 1.
Figure 1.
Predicted linear B cell epitopes of S-ABC. (A) Linear B cell epitopes of S-ABC were predicted using the bioinformatics software ABCpred and IEDB. The predicted B cell epitope sequences are boxed. (B) Screening for immunodominant linear B cell epitopes. The predicted B cell epitope peptides (EP1-5) were coated onto ELISA plates and incubated with rabbit sera specific to S. suis serotype 2. The OD450nm value of each well coated with peptide was normalized to the value of control wells and plotted. A relative OD450nm value of >2.1 was considered positive.
Table 1.
Predicted linear B cell epitopes of S-ABC.
As with PtsB [13], peptides representing the five predicted linear B cell epitopes of S-ABC were chemically synthesized in order to identify the immunodominant linear B cell epitopes. The peptides were coated onto ELISA plates and reactivity was analyzed using hyperimmune rabbit sera specific to S. suis serotype 2. Of the five predicted B cell epitopes, peptide EP1 (SLDNQSGSAPDVMMAPY) and EP5 (ANTEAREYAVSKKDEL) were shown to be recognized by the rabbit sera (Table 1 and Figure 1B). Based on this result, EP1 and EP5 were considered immunodominant, and used for the analysis of immunogenicity and protective capacity in mice.
3.3. Preparation of rS-ABC and rS-ABC-Epitope Proteins
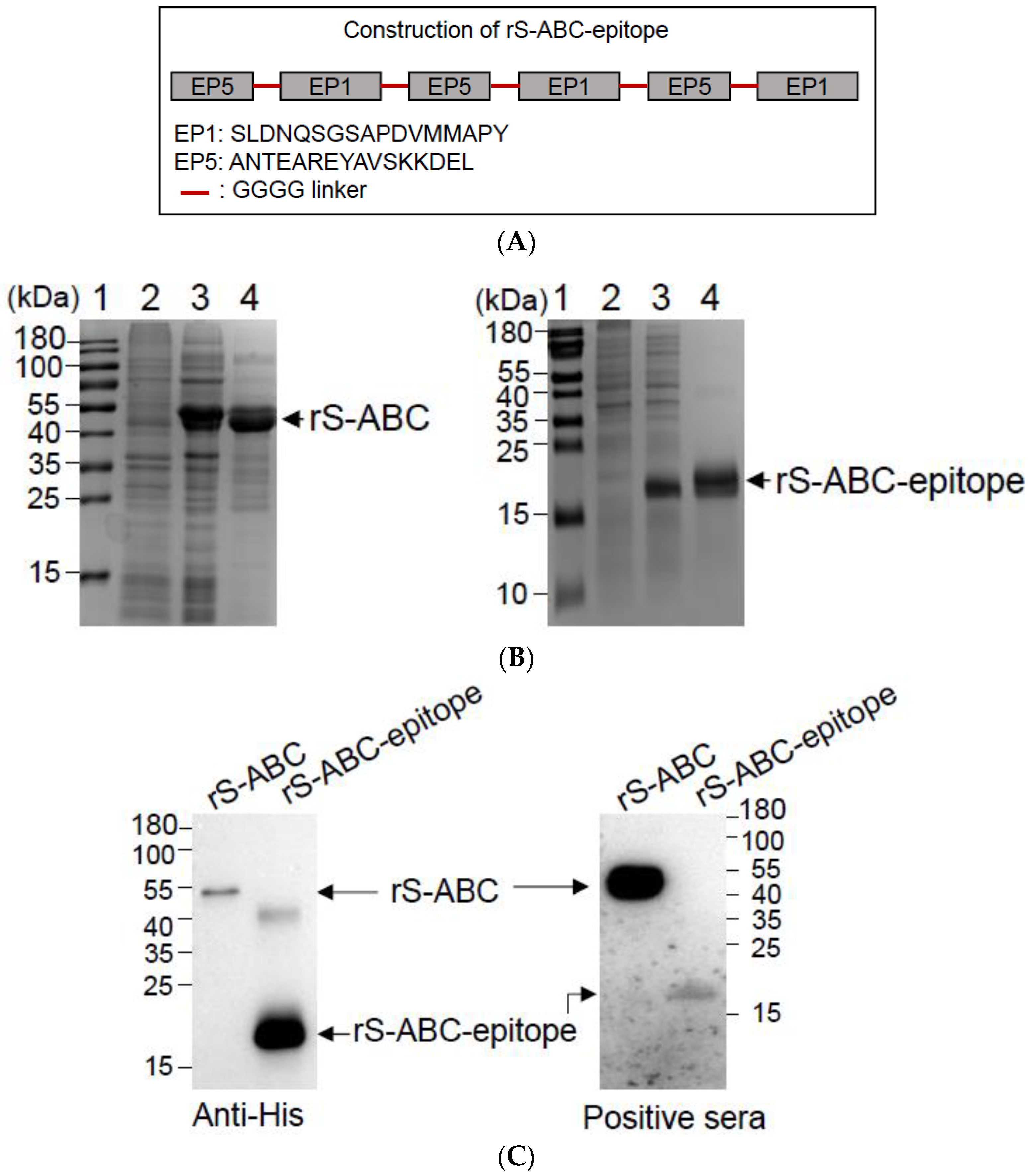
B cell epitope EP1 and EP5 of S-ABC were tandemly connected by a linker of GGGG (Figure 2A) and expressed as a multiple-epitope S-ABC construct (called rS-ABC-epitope). His-tagged rS-ABC (full-length protein) and rS-ABC-epitope were expressed in E. coli and purified by using a Ni–NTA column (Figure 2B). Purified rS-ABC and rS-ABC-epitope expression was confirmed by a Western blot analysis using an anti-His antibody (Figure 2C, Anti-His panel). To examine their ability to be recognized by S. suis-specific sera, the purified rS-ABC and rS-ABC-epitope were examined by a Western blot analysis using the rabbit sera specific to S. suis serotype 2. Although both recombinant proteins were recognized by the rabbit sera, antibody binding to rS-ABC was at a much higher level compared to rS-ABC-epitope, even though a comparison of the anti-His reactivity would indicate a greater relative concentration of the rS-ABC-epitope protein (Figure 2C). Together with earlier work [19], these results indicate that S-ABC induces an antibody response during S. suis infection, which appears to be partially localized to two immunodominant B cell epitopes within the protein, and identifies S-ABC as a potential target for development as a subunit vaccine.
Figure 2.
Construction and expression of rS-ABC and rS-ABC-epitope proteins. (A) Schematic representation of the construction of rS-ABC-epitope. EP1 and EP5 were tandemly connected by GGGG linkers to be expressed as a multiple-epitope protein. (B) Expression and purification of rS-ABC and rS-ABC-epitope proteins. The rS-ABC and rS-ABC-epitope proteins were expressed from E. coli, induced with IPTG, and purified via their His-tag by using a Ni–NTA column. The resulting recombinant proteins were then examined using SDS-PAGE. Lanes: 1, protein marker; 2, uninduced bacterial cells; 3, bacterial cells induced with IPTG; and 4, purified recombinant protein. (C) Antigenic analysis of rS-ABC and rS-ABC-epitope proteins. The rS-ABC and rS-ABC-epitope purified proteins were examined by a Western blot using anti-His antibodies and positive rabbit sera containing antibodies specific to S. suis serotype 2.
3.4. Levels of Antibodies and Cytokines in Immunized Mice
To assess the immunogenicity of the two S-ABC constructs, mice were immunized with either rS-ABC or rS-ABC-epitope protein as outlined in the schematic (Figure 3A). The corresponding anti-rS-ABC or rS-ABC-epitope antibody response was then analyzed at times indicated by an ELISA using rS-ABC or rS-ABC-epitope protein as the antigen. As shown in Figure 3B, high levels of antibodies specific to rS-ABC were detected in rS-ABC-vaccinated mice at 14 days post-primary vaccination, which increased after the boost. In contrast, no antibodies to rS-ABC-epitope were observed in the rS-ABC-epitope vaccinated mice at 14 days post-primary vaccination; rS-ABC-epitope-specific antibodies then increased to only a relatively low level following the day 14 boost (Figure 3B). Interestingly, this result was consistent with the difference in antigenicity observed for the two S-ABC constructs using the S. suis serotype 2-specific rabbit sera (Figure 2C), suggesting differences in both immunogenicity as well as antigenicity.
Figure 3.
Levels of antibodies and cytokines in immunized mice. (A) Schematic representation of vaccination and sample collection. Mice were vaccinated with rS-ABC or rS-ABC-epitope proteins and then boosted at 14 days post-primary vaccination. (B) Levels of antibodies specific to rS-ABC or rS-ABC-epitope were examined with an ELISA in sera collected prior to primary vaccination, boost vaccination, and challenge. (C–E) Levels of IL-4 and IFN-γ in sera (B), lungs (C), and spleen (D) collected at 24 days post-primary vaccination were examined with an ELISA. Statistically significant differences between groups are indicated by asterisks (** p < 0.01).
Th1-type and Th2-type immune responses play an important role in the control of S. suis infection [6]. IFN-γ and IL-4 are critical cytokines involved in the induction of Th1 and Th2 responses, respectively [23,24], and have been used as indicators for these responses in animals in S. suis vaccination studies [15,23,25,26,27]. We therefore examined the induction of IFN-γ and IL-4 in the immunized mice. Sera, lung, and spleen tissues were collected from immunized mice at 10 days post-boost and analyzed for IFN-γ and IL-4 levels with an ELISA. The immunization of mice with rS-ABC or rS-ABC-epitope proteins induced a significantly higher level of both IFN-γ and IL-4 production in the sera, as compared with the PBS control mice (Figure 3C). IFN-γ and IL-4 levels in the different groups paralleled the antibody response seen in Figure 3B, with both IFN-γ and IL-4 being substantially higher in mice immunized with rS-ABC compared to mice receiving rS-ABC-epitope (Figure 3C). Similar differences in IFN-γ and IL-4 induction by the two constructs were observed in the lungs (Figure 3D) and spleen (Figure 3E). Overall, both rS-ABC and rS-ABC-epitope were able to induce antigen-specific antibodies as well as IFN-γ and IL-4 production at multiple tissue sites, but rS-ABC was by far the more immunogenic in all measures of immune response induction.
3.5. Protective Efficacy of rS-ABC and rS-ABC-Epitope
The next series of experiments were designed to determine whether the observed differences in immunogenicity translated to differences in protection using both homologous as well as divergent, heterologous S. suis serotypes. Mice were immunized with rS-ABC or rS-ABC-epitope and challenged with a lethal dose (8 × LD50) of S. suis serotype 2, 7, or 9 (Figure 3A). The survival analysis presented in Figure 4 showed that rS-ABC provided substantial levels of protection (87.5% and 100%) against S. suis serotypes 2 and 9, with protection dropping to 50% for S. suis serotype 7. Consistent with the immunogenicity results, survival in rS-ABC-epitope-vaccinated mice was consistently lower, with levels of protection against the different serotypes ranging from 25% to 37.5% (Figure 4). Overall, these data indicate that rS-ABC was able to provide high levels of protection against S. suis serotype 2 and 9 challenges, and lower levels against S. suis serotype 7 challenges, with the full-length rS-ABC protein being far superior at all levels to the epitope-focused rS-ABC-epitope construct.
Figure 4.
Protective efficacy of rS-ABC and rS-ABC-epitope in mice. Three-week-old BALB/c strain mice (8 mice per group) were vaccinated with rS-ABC or rS-ABC-epitope proteins and boosted at 14 days post-primary vaccination. Mice were challenged with a lethal dose of S. suis serotype 2, 7, or 9 at 10 days post-boost vaccination and monitored for 7 days. Animals succumbed to infection between 12 and 48 h post-challenge, and the survival curves were plotted.
4. Discussion
Subunit vaccines based on well-conserved bacterial surface-associated immunogenic proteins are considered potential universal vaccine candidates with which to confer cross-protection against different S. suis serotypes [5]. In this study, we examined the antigenicity/immunogenicity and protective capacity of S-ABC against S. suis serotypes 2, 7, and 9 in mice.
S-ABC is an immunogenic cell-wall-associated protein that was identified as a potential vaccine candidate by the immunoproteomic analysis of S. suis serotype 2 (ZYS strain) [19]. S-ABC is recognized by both swine sera generated against formaldehyde-inactivated S. suis ZYS strains as well as by convalescent sera from pigs infected in the field by S. suis serotype 2, suggesting that this protein is a potential target for the development of S. suis subunit vaccines [19]. To evaluate this potential, we analyzed the level of amino acid sequence conservation and prevalence of S-ABC across different S. suis strains. Multiple sequence alignment indicated that S-ABC was highly conserved with 97% amino acid sequence identity among 31 S. suis strains, including 24 serotype 2, 2 serotype 7, and 5 serotype 9, which are the predominant serotypes in pig herds [6,9,21]. The high conservation combined with the earlier serological data from pigs supported its potential use as a universal subunit vaccine candidate [19].
To examine this possibility, the S-ABC gene was cloned from the S. suis serotype 2 ZY05719 strain and expressed in E. coli. The rS-ABC was recognized by S. suis serotype 2-specific sera from convalescent rabbits experimentally infected with S. suis serotype 2, indicating that S-ABC was an immunogenic protein during S. suis infection, in agreement with the previous observation from pigs [19]. The immunization of mice with rS-ABC induced high levels of antibody production, which was detectable in the rS-ABC-immunized mice at 14 days post-primary vaccination, and increased after a boost, suggesting that rS-ABC was able to elicit an antigen-specific antibody response in animals. Th1- and Th2-type immunity, and their associated cytokines (IFN-γ and IL-4, respectively), have been shown to contribute to the resistance against S. suis infection [15,23,25,26,27]. Immunized mice with rS-ABC induced high levels of IFN-γ and IL-4 production, suggesting that rS-ABC was able to induce Th1- and Th2-type immune responses that are essential for the restriction of S. suis infection.
To ascertain the functional relevance of the S-ABC immunity induced by vaccination, we challenged the immunized mice with S. suis serotypes 2, 7, and 9 to evaluate the protective efficacy of rS-ABC. S. suis serotype 2 is the most virulent and prevalent serotype in pig and human infection worldwide [6], while S. suis serotypes 7 and 9 are predominant serotypes in pig infection [21]. A survival analysis showed that rS-ABC conferred the immunized mice 87.5% and 100% protection against challenges of S. suis serotype 2 and 9, respectively, suggesting a high cross-protection against S. suis serotype 2 and 9 infection. Lower protection was observed in the mice challenged with S. suis serotype 7, with a protection percentage of 50%. This lower protection against S. suis serotype 7 was probably attributable to the relatively higher virulence of the challenged strain, compared to the challenge strains of S. suis serotypes 2 and 9. Although the challenge doses (8 × LD50) were the same for all strains, the control mice challenged with S. suis serotype 7 died quickly (all control mice died within 36 h post-challenge) as compared to those challenged with S. suis serotypes 2 and 9 (all control mice died within 48 h post-challenge).
Bacterial surface-associated immunogenic proteins are attractive targets for the development of a subunit vaccine against S. suis infection [6,12]. Most of these proteins are important for S. suis biological processes, such as nutrient acquisition, metabolism, adhesion, invasion, and virulence [28]. More than 17 surface-associated immunogenic proteins of S. suis have been identified as potential candidates for the development of subunit vaccines [7,15]. As reviewed in our previous publication [13], proteins such as HtpS and SsPepO, highly conserved in S. suis serotype 2, were shown to be widely distributed and conferred protection against homologous S. suis serotype 2 challenges [29,30]; however, not all surface-associated immunogenic proteins are able to provide high protection against S. suis infection, with Lmb providing lower levels (50%) of protection even against S. suis serotype 2 homologous challenge [31]. Similarly to S-ABC, the enolase protein showed 100%, 80%, and 100% protection against S. suis serotypes 2, 7, and 9, respectively, in mice models [15]; however, even with surface-associated immunogenic proteins known to provide significant protection against S. suis infection, their cross-protective capacity against different S. suis serotypes is rarely investigated. These recent observations, together with our current data, suggest that only a subset of conserved surface-associated immunogenic proteins is suitable for the development of universal subunit vaccines capable of inducing responses against different S. suis serotypes.
It is known that several factors, such as the method of inactivation [8,32], number of vaccine doses [32], and adjuvant used in a formulation [8,13] are important for the protective efficacy of an S. suis vaccine [7]. For example, the enolase protein discussed above is described to be either protective or nonprotective depending on the particular study [33,34]. This difference in protective effect may be attributable to the different adjuvants used in the vaccine formulation; therefore, there may be several ways to improve the cross-protection efficacy of S. suis vaccines. Recently, a live attenuated Salmonella enterica serovar Choleraesuis vector was used to deliver the enolase, resulting in high cross-protection against S. suis serotypes 2, 7, and 9 in mice [15]. This observation suggests a novel way to improve the cross-protection efficacy of universal subunit vaccines against the multiple serotypes of S. suis infection by altering the antigen delivery system.
B cell epitopes are groups of residues on the surface of an antigen that stimulate humoral immune responses. Recent advances in bioinformatics have enabled the design of epitope-based vaccines against the infection of different microbials [35], such as classical swine fever virus [36], Staphylococcus aureus, and the Leishmania parasite [37,38]. In the case of S. suis, a B cell epitope-based subunit vaccine that consisted of a linear array of three epitopes of GAPDH, eight epitopes of MRP, and four epitopes of DLDH showed 90% protection against the challenge of the S. suis serotype 2 HA9801 strain in mice [39]. In the present study, we evaluated the protection capacity of a similar rS-ABC-epitope construct against challenges with S. suis serotype s2, 7, and 9. We observed 25%–37.5% protection against these serotypes, which was remarkably lower than the protection (50%-100%) induced by an intact full-length rS-ABC protein. The level of antigen-specific antibodies and cytokines (IFN-γ and IL-4) induced by rS-ABC-epitopes were also lower than those induced by the full-length version. These data indicate that the intact rS-ABC protein is superior to the multi-epitope rS-ABC-epitope in both the induction of immune responses and protection against S. suis infection. The rS-ABC-epitope was constructed using only the two major immunodominant linear B-cell epitopes of S-ABC. Intact proteins may contain multiple B cell epitopes, including those that are conformational. Additionally, CD4+ T cell epitopes critical for helper function during antibody induction and production are also necessary for robust immunity. The low protection of rS-ABC-epitope may be attributable to the low number of epitopes used and/or a lack of key immunodominant epitopes that were missed in this study. Overall, our data suggest the importance of considering these aspects during antigen design for subunit vaccines based on linear epitope arrays.
5. Conclusions
This study continues our focus on the identification of protein antigen candidates for inclusion in a universal S. suis vaccine [13]. Similar to other identified candidates, S-ABC was highly conserved across S. suis serotypes and strains, with 97% amino acid sequence similarity among the 31 S. suis strains examined. rS-ABC was recognized via the rabbit sera specific to S. suis serotype 2, and was able to elicit antigen-specific antibody responses as well as induce IFN-γ and IL-4 production in multiple tissues. Recombinantly expressed rS-ABC conferred 87.5% and 100% protection against challenges with S. suis serotypes 2 and 9, respectively. This supports S-ABC being a protein candidate with the ability to confer high levels of cross-protection against multiple S. suis serotypes, in this case S. suis serotypes 2 and 9. Medium protection (50%) was observed in the rS-ABC mice in the more aggressive S. suis serotype 7. Interestingly, the full-length S-ABC protein was associated with greater immunogenicity and protection than a construct comprised of a linear B cell epitope array, which is the same observed for PstB but the opposite for a GAPDH-MRP-DLDH epitope construct [13,39]. This suggests that the specific nature of the antigen may make it more or less amenable to use in synthetic poly-epitope antigen arrays. Together, these data suggest that S-ABC is an additional promising target for the development of a universal subunit vaccine against different S. suis serotype infections.
Supplementary Materials
The following supporting information can be downloaded at: https://www.mdpi.com/article/10.3390/vaccines12050544/s1; Figure S1. Multiple-amino-acid sequence alignment of S-ABC from S. suis serotypes 2, 7, and 9. The amino acid variations are indicated by a red box; Figure S2. Antigenicity analysis. (A) Analysis with Protean software of DNAStar package. (B) Analysis with VaxiJen (http://www.ddg-pharmfac.net/vaxijen/VaxiJen/VaxiJen.html (accessed on 20 April 2024)).
Author Contributions
Z.Y. conducted the major experiments, analyzed and interpreted the data, and wrote draft manuscript. R.P. and J.Z. participated in animal experiments. J.S. provided experimental materials and contributed to the bioinformatic analysis. X.M., N.D. and X.Y. helped in the detection of S-ABC prevalence and cytokines. J.W., X.L., K.L. and Y.Q. contributed to the study design and data analysis. M.A.J., M.U., K.S. and H.N. helped in data analysis and revised the manuscript. J.L., B.L. and Z.M. conceptualized and designed the study, and also revised the manuscript. All authors have read and agreed to the published version of the manuscript.
Funding
This research was funded by the National Key Research and Development Program of China (No. 2018YFE0101300) and the Department of Health and Social Care, UK (No. IUK 104985).
Institutional Review Board Statement
Not applicable.
Informed Consent Statement
Not applicable.
Data Availability Statement
The data can be shared up on request.
Conflicts of Interest
Authors Hester Nichols and Michael A. Jarvis were employed by the company The Vaccine Group Ltd. The remaining authors declare that the research was conducted in the absence of any commercial or financial relationships that could be construed as a potential conflict of interest.
References
- Staats, J.J.; Feder, I.; Okwumabua, O.; Chengappa, M.M. Streptococcus Suis: Past and Present. Vet. Res. Commun. 1997, 21, 381–407. [Google Scholar] [CrossRef]
- Vötsch, D.; Willenborg, M.; Weldearegay, Y.B.; Valentin-Weigand, P. Streptococcus Suis—The “Two Faces” of a Pathobiont in the Porcine Respiratory Tract. Front. Microbiol. 2018, 9, 480. [Google Scholar] [CrossRef]
- Gottschalk, M.; Segura, M.; Xu, J. Streptococcus Suis Infections in Humans: The Chinese Experience and the Situation in North America. Anim. Health Res. Rev. 2007, 8, 29–45. [Google Scholar] [CrossRef]
- Gottschalk, M.; Xu, J.; Calzas, C.; Segura, M. Streptococcus Suis: A New Emerging or an Old Neglected Zoonotic Pathogen? Future Microbiol. 2010, 5, 371–391. [Google Scholar] [CrossRef]
- Segura, M.; Aragon, V.; Brockmeier, S.; Gebhart, C.; Greeff, A.; Kerdsin, A.; O’Dea, M.; Okura, M.; Saléry, M.; Schultsz, C.; et al. Update on Streptococcus Suis Research and Prevention in the Era of Antimicrobial Restriction: 4th International Workshop on S. Suis. Pathogens 2020, 9, 374. [Google Scholar] [CrossRef]
- Segura, M. Streptococcus Suis Vaccines: Candidate Antigens and Progress. Expert Rev. Vaccines 2015, 14, 1587–1608. [Google Scholar] [CrossRef]
- Tan, C.; Zhang, A.; Chen, H.; Zhou, R. Recent Proceedings on Prevalence and Pathogenesis of Streptococcus Suis. Curr. Issues Mol. Biol. 2019, 473–520. [Google Scholar] [CrossRef]
- Pallarés, F.J.; Schmitt, C.S.; Roth, J.A.; Evans, R.B.; Kinyon, J.M.; Halbur, P.G. Evaluation of a Ceftiofur-Washed Whole Cell Streptococcus Suis Bacterin in Pigs. Can. J. Vet. Res. 2004, 68, 236–240. [Google Scholar]
- Wei, Z.; Li, R.; Zhang, A.; He, H.; Hua, Y.; Xia, J.; Cai, X.; Chen, H.; Jin, M. Characterization of Streptococcus Suis Isolates from the Diseased Pigs in China between 2003 and 2007. Vet. Microbiol. 2009, 137, 196–201. [Google Scholar] [CrossRef]
- Charland, N.; Jacques, M.; Lacouture, S.; Gottschalk, M. Characterization and Protective Activity of a Monoclonal Antibody against a Capsular Epitope Shared by Streptococcus Suis Serotypes 1, 2 and 1/2. Microbiology 1997, 143, 3607–3614. [Google Scholar] [CrossRef]
- Goyette-Desjardins, G.; Lacouture, S.; Auger, J.-P.; Roy, R.; Gottschalk, M.; Segura, M. Characterization and Protective Activity of Monoclonal Antibodies Directed against Streptococcus Suis Serotype 2 Capsular Polysaccharide Obtained Using a Glycoconjugate. Pathogens 2019, 8, 139. [Google Scholar] [CrossRef]
- Segura, M. Streptococcus Suis Research: Progress and Challenges. Pathogens 2020, 9, 707. [Google Scholar] [CrossRef]
- Yan, Z.; Yao, X.; Pan, R.; Zhang, J.; Ma, X.; Dong, N.; Wei, J.; Liu, K.; Qiu, Y.; Sealey, K.; et al. Subunit Vaccine Targeting Phosphate ABC Transporter ATP-Binding Protein, PstB, Provides Cross-Protection against Streptococcus Suis Serotype 2, 7, and 9 in Mice. Vet Sci. 2023, 10, 48. [Google Scholar] [CrossRef]
- Zhang, A.; Chen, B.; Mu, X.; Li, R.; Zheng, P.; Zhao, Y.; Chen, H.; Jin, M. Identification and Characterization of a Novel Protective Antigen, Enolase of Streptococcus Suis Serotype 2. Vaccine 2009, 27, 1348–1353. [Google Scholar] [CrossRef]
- Li, Y.; Gottschalk, M.; Esgleas, M.; Lacouture, S.; Dubreuil, J.D.; Willson, P.; Harel, J. Immunization with Recombinant Sao Protein Confers Protection against Streptococcus Suis Infection. Clin. Vaccine Immunol. 2007, 14, 937–943. [Google Scholar] [CrossRef]
- Wisselink, H.J.; Vecht, U.; Smith, H.E.; Stockhofe-Zurwieden, N. Protection of Pigs against Challenge with Virulent Streptococcus Suis Serotype 2 Strains by a Muramidase-released Protein and Extracellular Factor Vaccine. Vet. Rec. 2001, 148, 473–477. [Google Scholar] [CrossRef]
- Jiang, X.; Yang, Y.; Zhou, J.; Liu, H.; Liao, X.; Luo, J.; Li, X.; Fang, W. Peptidyl Isomerase PrsA Is Surface-Associated on Streptococcus Suis and Offers Cross-Protection against Serotype 9 Strain. FEMS Microbiol. Lett. 2019, 366, fnz002. [Google Scholar] [CrossRef]
- Li, Q.; Lv, Y.; Li, Y.; Du, Y.; Guo, W.; Chu, D.; Wang, X.; Wang, S.; Shi, H. Live Attenuated Salmonella Enterica Serovar Choleraesuis Vector Delivering a Conserved Surface Protein Enolase Induces High and Broad Protection against Streptococcus Suis Serotypes 2, 7, and 9 in Mice. Vaccine 2020, 38, 6904–6910. [Google Scholar] [CrossRef]
- Zhang, A.; Xie, C.; Chen, H.; Jin, M. Identification of Immunogenic Cell Wall-associated Proteins of Streptococcus Suis Serotype 2. Proteomics 2008, 8, 3506–3515. [Google Scholar] [CrossRef]
- Zhu, Z.; Shi, Z.; Yan, W.; Wei, J.; Shao, D.; Deng, X.; Wang, S.; Li, B.; Tong, G.; Ma, Z. Nonstructural Protein 1 of Influenza A Virus Interacts with Human Guanylate-Binding Protein 1 to Antagonize Antiviral Activity. PLoS ONE 2013, 8, e55920. [Google Scholar] [CrossRef]
- Goyette-Desjardins, G.; Auger, J.-P.; Xu, J.; Segura, M.; Gottschalk, M. Streptococcus Suis, an Important Pig Pathogen and Emerging Zoonotic Agent—An Update on the Worldwide Distribution Based on Serotyping and Sequence Typing. Emerg. Microbes Infect. 2014, 3, 1–20. [Google Scholar] [CrossRef] [PubMed]
- Doytchinova, I.A.; Flower, D.R. VaxiJen: A Server for Prediction of Protective Antigens, Tumour Antigens and Subunit Vaccines. BMC Bioinform. 2007, 8, 4. [Google Scholar] [CrossRef] [PubMed]
- Hsueh, K.-J.; Cheng, L.-T.; Lee, J.-W.; Chung, Y.-C.; Chung, W.-B.; Chu, C.-Y. Immunization with Streptococcus Suis Bacterin plus Recombinant Sao Protein in Sows Conveys Passive Immunity to Their Piglets. BMC Vet. Res. 2016, 13, 15. [Google Scholar] [CrossRef] [PubMed]
- Kak, G.; Raza, M.; Tiwari, B.K. Interferon-Gamma (IFN-γ): Exploring Its Implications in Infectious Diseases. Biomol. Concepts 2018, 9, 64–79. [Google Scholar] [CrossRef] [PubMed]
- Feng, L.; Niu, X.; Mei, W.; Li, W.; Liu, Y.; Willias, S.P.; Yuan, C.; Bei, W.; Wang, X.; Li, J. Immunogenicity and Protective Capacity of EF-Tu and FtsZ of Streptococcus Suis Serotype 2 against Lethal Infection. Vaccine 2018, 36, 2581–2588. [Google Scholar] [CrossRef] [PubMed]
- Guo, G.; Kong, X.; Wang, Z.; Li, M.; Tan, Z.; Zhang, W. Evaluation of the Immunogenicity and Protective Ability of a Pili Subunit, SBP2’, of Streptococcus Suis Serotype 2. Res. Vet. Sci. 2021, 137, 201–207. [Google Scholar] [CrossRef] [PubMed]
- Yi, L.; Du, Y.; Mao, C.; Li, J.; Jin, M.; Sun, L.; Wang, Y. Immunogenicity and Protective Ability of RpoE against Streptococcus Suis Serotype 2. J. Appl. Microbiol. 2021, 130, 1075–1083. [Google Scholar] [CrossRef] [PubMed]
- Dresen, M.; Valentin-Weigand, P.; Berhanu Weldearegay, Y. Role of Metabolic Adaptation of Streptococcus Suis to Host Niches in Bacterial Fitness and Virulence. Pathogens 2023, 12, 541. [Google Scholar] [CrossRef] [PubMed]
- Shao, Z.; Pan, X.; Li, X.; Liu, W.; Han, M.; Wang, C.; Wang, J.; Zheng, F.; Cao, M.; Tang, J. HtpS, a Novel Immunogenic Cell Surface-Exposed Protein of Streptococcus Suis, Confers Protection in Mice: HtpS Confers Protection in Mice. FEMS Microbiol. Lett. 2011, 314, 174–182. [Google Scholar] [CrossRef]
- Li, J.; Xia, J.; Tan, C.; Zhou, Y.; Wang, Y.; Zheng, C.; Chen, H.; Bei, W. Evaluation of the Immunogenicity and the Protective Efficacy of a Novel Identified Immunogenic Protein, SsPepO, of Streptococcus Suis Serotype 2. Vaccine 2011, 29, 6514–6519. [Google Scholar] [CrossRef]
- Zhang, Y.-M.; Shao, Z.-Q.; Wang, J.; Wang, L.; Li, X.; Wang, C.; Tang, J.; Pan, X. Prevalent Distribution and Conservation of Streptococcus Suis Lmb Protein and Its Protective Capacity against the Chinese Highly Virulent Strain Infection. Microbiol. Res. 2014, 169, 395–401. [Google Scholar] [CrossRef] [PubMed]
- Holt, M.E.; Enright, M.R.; Alexander, T.J. Immunisation of pigs with killed cultures of Streptococcus suis type 2. Res. Vet. Sci. 1990, 48, 23–27. [Google Scholar] [CrossRef] [PubMed]
- Esgleas, M.; Dominguez-Punaro, M.D.L.C.; Li, Y.; Harel, J.; Dubreuil, J.D.; Gottschalk, M. Immunization with SsEno Fails to Protect Mice against Challenge with Streptococcus Suis Serotype 2. FEMS Microbiol. Lett. 2009, 294, 82–88. [Google Scholar] [CrossRef] [PubMed]
- Feng, Y.; Pan, X.; Sun, W.; Wang, C.; Zhang, H.; Li, X.; Ma, Y.; Shao, Z.; Ge, J.; Zheng, F.; et al. Streptococcus Suis Enolase Functions as a Protective Antigen Displayed on the Bacterial Cell Surface. J. Infect. Dis. 2009, 200, 1583–1592. [Google Scholar] [CrossRef] [PubMed]
- Sharon, J.; Rynkiewicz, M.J.; Lu, Z.; Yang, C. Discovery of Protective B-Cell Epitopes for Development of Antimicrobial Vaccines and Antibody Therapeutics. Immunology 2014, 142, 1–23. [Google Scholar] [CrossRef] [PubMed]
- Zhou, B.; Liu, K.; Jiang, Y.; Wei, J.-C.; Chen, P.-Y. Multiple Linear B-Cell Epitopes of Classical Swine Fever Virus Glycoprotein E2 Expressed in E. coli as Multiple Epitope Vaccine Induces a Protective Immune Response. Virol. J. 2011, 8, 378. [Google Scholar] [CrossRef] [PubMed]
- Yadav, S.; Prakash, J.; Shukla, H.; Das, K.C.; Tripathi, T.; Dubey, V.K. Design of a Multi-Epitope Subunit Vaccine for Immune-Protection against Leishmania Parasite. Pathog. Glob. Health 2020, 114, 471–481. [Google Scholar] [CrossRef] [PubMed]
- Yang, H.-J.; Zhang, J.-Y.; Wei, C.; Yang, L.-Y.; Zuo, Q.-F.; Zhuang, Y.; Feng, Y.-J.; Srinivas, S.; Zeng, H.; Zou, Q.-M. Immunisation with Immunodominant Linear B Cell Epitopes Vaccine of Manganese Transport Protein C Confers Protection against Staphylococcus Aureus Infection. PLoS ONE 2016, 11, e0149638. [Google Scholar] [CrossRef]
- Kong, L.; Wang, Z.; Sun, J. Tandem protective epitope of Streptococcus suis and the immunoprotective efficacy in mice. J. Shanghai Jiaotong Univ. Agric. Sci. 2019, 37, 1–8. [Google Scholar]
Disclaimer/Publisher’s Note: The statements, opinions and data contained in all publications are solely those of the individual author(s) and contributor(s) and not of MDPI and/or the editor(s). MDPI and/or the editor(s) disclaim responsibility for any injury to people or property resulting from any ideas, methods, instructions or products referred to in the content. |
© 2024 by the authors. Licensee MDPI, Basel, Switzerland. This article is an open access article distributed under the terms and conditions of the Creative Commons Attribution (CC BY) license (https://creativecommons.org/licenses/by/4.0/).



