Effect of Azithromycin on Proinflammatory Cytokine Production in Gingival Fibroblasts and the Remodeling of Periodontal Tissue
Abstract
1. Introduction
2. Materials and Methods
2.1. Cell Culture
2.2. MTS Assay (Cell Proliferation Assay)
2.3. Reverse Transcription-Polymerase Chain Reaction (RT-PCR)
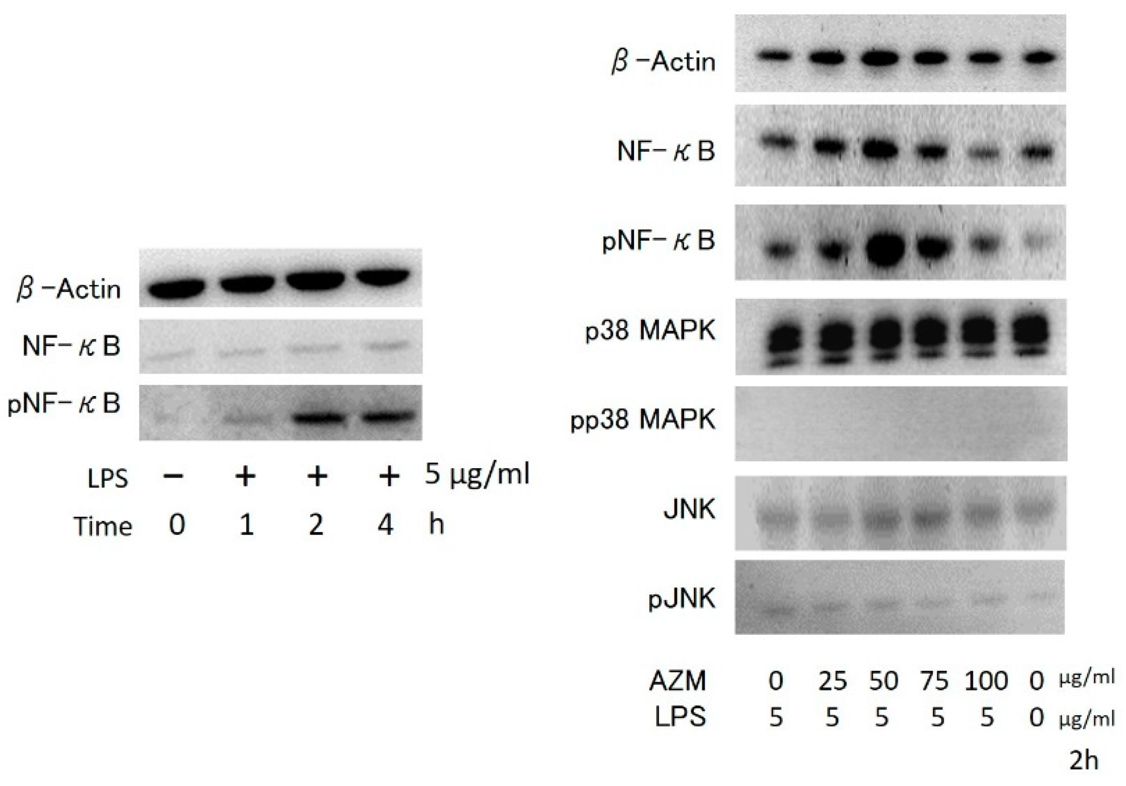
2.4. Western Blotting
2.5. Data Analysis and Statistical Processing
3. Results
3.1. MTS Assay (Cell Proliferation Assay)
3.2. IL-6 and IL-8 Gene Expression
3.3. Western Blotting
3.4. Gene Expression Levels of MMP-1, MMP-2, and Type I-Collagen
4. Discussion
5. Conclusions
Author Contributions
Funding
Informed Consent Statement
Data Availability Statement
Acknowledgments
Conflicts of Interest
References
- Gomi, K.; Yashima, A.; Nagano, T.; Kanazashi, M.; Maeda, N.; Arai, T. Effects of full-mouth scaling and root planing in conjunction with systemically administrated azithromycin. J. Periodontol. 2007, 78, 422–429. [Google Scholar] [CrossRef] [PubMed]
- Gomi, K.; Yashima, A.; Iino, F.; Kanazashi, M.; Nagano, T.; Shibukawa, N.; Ohshima, T.; Maeda, N.; Arai, T. Drug concentration in inflamed periodontal tissues with systemically administrated azithromycin. J. Periodontol. 2007, 78, 918–923. [Google Scholar] [CrossRef] [PubMed]
- Gomi, K.; Matsushima, Y.; Ujiie, Y.; Shirakawa, S.; Nagano, T.; Kanazashi, M.; Yashima, A. Full-mouth scaling and root planning combined with azithromycin to treat peri-implantitis. Aust. Dent. J. 2015, 60, 503–510. [Google Scholar] [CrossRef]
- Yashima, A.; Gomi, K.; Maeda, N.; Arai, T. One-Stage Full-Mouth Versus Partial-Mouth Scaling and Root Planing During the Effective Half-Life of Systemically Administered Azithromycin. J. Periodontol. 2009, 80, 1406–1413. [Google Scholar] [CrossRef] [PubMed]
- Herrera, D.; Alonso, B.; León, R.; Roldán, S.; Sanz, M. Antimicrobial therapy in periodontitis: The use of systemic antimicrobials against the subgingival biofilm. J. Clin. Periodontol. 2008, 35, 45–66. [Google Scholar] [CrossRef] [PubMed]
- Lang, N.P.; Tan, W.C.; Krähenmann, M.A.; Zwahlen, M. A systematic review of the effects of full-mouth debridement with and without antiseptics in patients with chronic periodontitis. J. Clin. Periodontol. 2008, 35, 8–21. [Google Scholar] [CrossRef] [PubMed]
- Gomez, E.; Sanchez-Nunez, M.; Sánchez, J.E.; Corte, C.; Aguado, S.; Portal, C.; Baltar, J.; Alarez-Grande, J. Treatment of cyclosporin-induced gingival hyperplasia with azithromycin. Nephrol. Dial. Transplant. 1997, 12, 2694–2697. [Google Scholar] [CrossRef][Green Version]
- Citterio, F.; Di Pinto, A.; Borzi, M.T.; Scatà, M.C.; Foco, M.; Pozzetto, U.; Castagneto, M. Azithromycin treatment of gingival hyperplasia in kidney transplant recipients is effective and safe. Transplant. Proc. 2001, 33, 2134–2135. [Google Scholar] [CrossRef]
- Tokgoz, B.; Sari, H.I.; Yildiz, O.; Aslan, S.; Sipahioglu, M.; Okten, T.; Oymak, O.; Utas, C. Effects of azithromycin on cyclocporine-induced gingival hyperplasia in renal transplant patients. Transplant. Proc. 2004, 36, 2699–2702. [Google Scholar] [CrossRef]
- Kim, J.-Y.; Park, S.-H.; Cho, K.-S.; Kim, H.-J.; Lee, C.-K.; Park, K.-K.; Choi, S.-H.; Chung, W.-Y. Mechanism of azithromycin treatment on gingival overgrowth. J. Dent. Res. 2008, 87, 1075–1079. [Google Scholar] [CrossRef]
- Yousef, A.A.; Jaffe, A. The Role of Azithromycin in Patients with Cystic Fibrosis. Paediatr. Respir. Rev. 2010, 11, 108–114. [Google Scholar] [CrossRef] [PubMed]
- Schultz, M.J. Macrolide activities beyond their antimicrobial effects: Macrolides in diffuse panbronchiolitis and cystic fibrosis. J. Antimicrob. Chemother. 2004, 54, 21–28. [Google Scholar] [CrossRef] [PubMed]
- Shinkai, M.; Foster, G.H.; Rubin, B.K. Macrolide antibiotics modulate ERK phosphorylation and IL-8 and GM-CSF production by human bronchial epithelial cells. Am. J. Physiol. Lung Cell. Mol. Physiol. 2006, 290, L75–L85. [Google Scholar] [CrossRef] [PubMed]
- Kamemoto, A.; Ara, T.; Hattori, T.; Fujinami, Y.; Imamura, Y.; Wang, P.-L. Macrolide antibiotics like azithromycin increase lipopolysaccharide-induced IL-8 production by human gingival fibroblasts. Eur. J. Med. Res. 2009, 14, 309–314. [Google Scholar] [CrossRef]
- Takada, H.; Mihara, I.; Morisaki, S.; Hamada, S. Induction of interleukin-1 and -6 in human gingival fibroblast cultures stimulated with Bacteroides lipopolysaccharides. Infect. Immun. 1991, 59, 295–301. [Google Scholar] [CrossRef]
- Somerman, M.; Archer, S.; Imm, G.; Foster, R. A Comparative Study of Human Periodontal Ligament Cells and Gingival Fibroblasts in vitro. J. Dent. Res. 1988, 67, 66–70. [Google Scholar] [CrossRef]
- Hirsch, R.; Deng, H.; Laohachai, M.N. Azithromycin in periodontal treatment: More than an antibiotic. J. Periodontal Res. 2012, 47, 137–148. [Google Scholar] [CrossRef]
- Inoue, K.; Kumakura, S.-I.; Uchida, M.; Tsutsui, T. Effects of eight antibacterial agents on cell survival and expression of epithelial-cell- or cell-adhesion-related genes in human gingival epithelial cells. J. Periodontal Res. 2004, 39, 50–58. [Google Scholar] [CrossRef]
- Matsumura, Y.; Mitani, A.; Suga, T.; Kamiya, Y.; Kikuchi, T.; Tanaka, S.; Aino, M.; Noguchi, T. Azitromycin may inhibit interleukin-8 through suppression of Rac1 and a Nuclear Factor-Kappa B pathway in KB cells stimulated with lipopolysaccharide. J. Periodontol. 2011, 82, 1623–1631. [Google Scholar] [CrossRef]
- Doyle, C.J.; Fitzsimmons, T.R.; Marchant, C.; Dharmapatni, A.A.S.S.K.; Hirsch, R.; Bartold, P.M. Azithromycin suppresses P. gingivalis LPS-induced pro-inflammatory cytokine and chemokine production by human gingival fibroblasts in vitro. Clin. Oral Investig. 2015, 19, 221–227. [Google Scholar] [CrossRef]
- Aghai, Z.H.; Kode, A.; Saslow, J.G.; Nakhla, T.; Farhath, S.; Stahl, G.E.; Eydelman, R.; Strande, L.; Leone, P.; Rahman, I. Azithromycin Suppresses Activation of Nuclear Factor-kappa B and Synthesis of Pro-inflammatory Cytokines in Tracheal Aspirate Cells From Premature Infants. Pediatr. Res. 2007, 62, 483–488. [Google Scholar] [CrossRef] [PubMed]
- Choi, E.Y.; Jin, J.Y.; Choi, J.I.; Choi, I.S.; Kim, S.J. Effect of azithromycin on Prevotella intermedia lipopolysaccharide-induced production of interleukin-6 in murine macropahges. Eur. J. Pharmacol. 2014, 729, 10–16. [Google Scholar] [CrossRef] [PubMed]
- Hiwatashi, Y.; Maeda, M.; Fukushima, H.; Onda, K.; Takana, S.; Utsumi, H.; Hirano, T. Azithromycin suppresses proliferation, interleukin production and mitogen-activates protein kinases in human peripheral-blood mononuclear cells stimulated with bacterial super antigen. J. Pharm. Pharmacol. 2011, 63, 1320–1326. [Google Scholar] [CrossRef] [PubMed]
- Miyagawa, T.; Fujita, T.; Yumoto, H.; Yoshimoto, T.; Kajiya, M.; Ouhara, K.; Matsuda, S.; Shiba, H.; Matsuo, T.; Kurihara, H. Azithromycin recovers reductions in barrier function in human gingival epithelial cells stimulated with tumor necrosis factor-α. Arch. Oral Biol. 2016, 62, 64–69. [Google Scholar] [CrossRef] [PubMed]
- Słomka, A.; Urban, S.K.; Lukacs-Kornek, V.; Żekanowska, E.; Kornek, M. Large Extracellular Vesicles: Have We Found the Holy Grail of Inflammation? Front. Immunol. 2018, 9, 2723. [Google Scholar] [CrossRef] [PubMed]
- Wahlstrom, E.; Zamora, J.U.; Teichman, S. Improvement in Cyclosporine-Associated Gingival Hyperplasia with Azithromycin Therapy. N. Engl. J. Med. 1995, 332, 753–754. [Google Scholar] [CrossRef] [PubMed]
- Paik, J.-W.; Kim, C.-S.; Cho, K.-S.; Chai, J.-K.; Kim, C.-K.; Choi, S.-H. Inhibition of Cyclosporin A-Induced Gingival Overgrowth by Azithromycin through Phagocytosis: An In Vivo and In Vitro Study. J. Periodontol. 2004, 75, 380–387. [Google Scholar] [CrossRef]
- Wennstrom, J.L.; Tomasi, C.; Bertelle, A.; Dellasega, E. Full-mouth ultrasonic debridement versus quadrant scaling and root planing as an initial approach in the treatment of chronic periodontitis. J. Clin. Periodontol. 2005, 32, 851–859. [Google Scholar] [CrossRef]
- Gannon, S.C.; Cantley, M.; Haynes, D.R.; Hirsch, R.; Bartold, P.M. Azithromycin suppresses human osteoclast formation and activity in vitro. J. Cell. Physiol. 2013, 228, 1098–1107. [Google Scholar] [CrossRef]
- Morozumi, T.; Yashima, A.; Gomi, K.; Ujiie, Y.; Izumi, K.; Akizuki, T.; Mitanni, K.; Takamatsu, H.; Minabe, M.; Miyauchi, S.; et al. Increased systemic levels of inflammatory mediators following one-stage full-mouth scaling and root planning. J. Periodontal Res. 2018, 53, 536–544. [Google Scholar] [CrossRef]
- Yashima, A.; Morozumi, T.; Yoshie, H.; Hokari, T.; Izumi, Y.; Akizuki, T.; Mizutani, K.; Takamatsu, H.; Minabe, M.; Miyauchi, S.; et al. Biological responses following one-stage full-mouth scaling and root planing with and without azithromycin: Multicenter randomized trial. J. Periodontal Res. 2019, 54, 709–719. [Google Scholar] [CrossRef] [PubMed]











Publisher’s Note: MDPI stays neutral with regard to jurisdictional claims in published maps and institutional affiliations. |
© 2020 by the authors. Licensee MDPI, Basel, Switzerland. This article is an open access article distributed under the terms and conditions of the Creative Commons Attribution (CC BY) license (http://creativecommons.org/licenses/by/4.0/).
Share and Cite
Nagano, T.; Yamaguchi, T.; Kajiyama, S.; Suzuki, T.; Matsushima, Y.; Yashima, A.; Shirakawa, S.; Gomi, K. Effect of Azithromycin on Proinflammatory Cytokine Production in Gingival Fibroblasts and the Remodeling of Periodontal Tissue. J. Clin. Med. 2021, 10, 99. https://doi.org/10.3390/jcm10010099
Nagano T, Yamaguchi T, Kajiyama S, Suzuki T, Matsushima Y, Yashima A, Shirakawa S, Gomi K. Effect of Azithromycin on Proinflammatory Cytokine Production in Gingival Fibroblasts and the Remodeling of Periodontal Tissue. Journal of Clinical Medicine. 2021; 10(1):99. https://doi.org/10.3390/jcm10010099
Chicago/Turabian StyleNagano, Takatoshi, Takao Yamaguchi, Sohtaro Kajiyama, Takuma Suzuki, Yuji Matsushima, Akihiro Yashima, Satoshi Shirakawa, and Kazuhiro Gomi. 2021. "Effect of Azithromycin on Proinflammatory Cytokine Production in Gingival Fibroblasts and the Remodeling of Periodontal Tissue" Journal of Clinical Medicine 10, no. 1: 99. https://doi.org/10.3390/jcm10010099
APA StyleNagano, T., Yamaguchi, T., Kajiyama, S., Suzuki, T., Matsushima, Y., Yashima, A., Shirakawa, S., & Gomi, K. (2021). Effect of Azithromycin on Proinflammatory Cytokine Production in Gingival Fibroblasts and the Remodeling of Periodontal Tissue. Journal of Clinical Medicine, 10(1), 99. https://doi.org/10.3390/jcm10010099
