Abstract
Chemotherapy, pelvic radiotherapy and ovarian surgery have known gonadotoxic effects that can lead to endocrine dysfunction, cessation of ovarian endocrine activity and early depletion of the ovarian reserve, causing a risk for future fertility problems, even in children. Important determinants of this risk are the patient’s age and ovarian reserve, type of treatment and dose. When the risk of premature ovarian insufficiency is high, fertility preservation strategies must be offered to the patient. Furthermore, fertility preservation may sometimes be needed in conditions other than cancer, such as in non-malignant diseases or in patients seeking fertility preservation for personal reasons. Oocyte and/or embryo vitrification and ovarian tissue cryopreservation are the two methods currently endorsed by the American Society for Reproductive Medicine, yielding encouraging results in terms of pregnancy and live birth rates. The choice of one technique above the other depends mostly on the age and pubertal status of the patient, and personal and medical circumstances. This review focuses on the available fertility preservation techniques, their appropriateness according to patient age and their efficacy in terms of pregnancy and live birth rates.
1. Introduction
Gonadotoxic chemotherapy and pelvic irradiation at reproductive age are known to damage the ovaries, which can lead to endocrine dysfunction, cessation of ovarian endocrine activity and early depletion of the ovarian reserve, with the risk of permanent infertility [1]. Gonadal toxicity has also been reported in children [2,3,4].
The risk of premature ovarian insufficiency (POI) depends on factors such as patient age, the existing ovarian reserve and the type of treatment and dose; and it is higher if alkylating drugs or total body irradiation are used [2]. Premature menopause not only negatively impacts fertility potential, but may also seriously affects health and quality of life, with cardiovascular disease, neurodegenerative conditions and osteoporosis posing a threat [5,6,7]. Quality of life after cancer remission, therefore, needs to be urgently addressed, and fertility preservation represents a key challenge in these women [8].
Techniques for fertility preservation have been developed and give these patients genuine hope of becoming mothers when they have overcome their diseases, including embryo cryopreservation, immature or mature oocyte vitrification and ovarian tissue cryopreservation (OTC). A crucial issue at present is that healthcare workers are not fully aware of the remarkable advances happening in fertility preservation research and their implementations in clinical settings [6]. Meeting the rising demand for fertility preservation is indeed challenging [9], and women for whom fertility preservation is needed are growing in number (Table 1).
Table 1.
Indications for fertility preservation.
Individuals presenting with benign disease or age-related fertility decline do not have the same pressing need as cancer patients. The choice of fertility preservation technique is mainly dictated by the age and pubertal status of the patient, and personal and medical circumstances. Oocyte vitrification yields the best results in adult women with benign diseases, those who wish to preserve their fertility for personal reasons and cancer patients if their therapy can be put on hold; and OTC is best for prepubertal girls and women whose treatment cannot be postponed (Figure 1). Both fertility preservation techniques and results are discussed in this review according to age.
Figure 1.
Oocyte and ovarian tissue cryopreservation as fertility preservation options. Created with BioRender.com (accessed on 23 August 2021).
2. Embryo and Oocyte Cryopreservation
Embryo cryopreservation is an effective technique, but a male partner is needed. This can raise ethical and legal concerns about potential orphan embryos if the patient dies or separates from her partner. Of all fertility preservation strategies, oocyte cryopreservation is the preferred option for postpubertal patients. It is a valid alternative for adult cancer patients, since it guarantees the woman’s autonomy [10]. Moreover, the technique of oocyte vitrification may ensure very high survival rates after warming [11].
Although some authors have reported an impaired ovarian response to controlled stimulation in cancer patients, it remains contentious, and appears to primarily affect specific cancers, such as ovarian malignancies [12] or BRCA mutations [13]. Indeed, recent studies in cancer patients do not confirm this apparently impaired reaction [14].
Before contemplating embryo or oocyte cryopreservation in women with cancer, it must be determined that the fertility preservation option will not delay the start of chemotherapy. While ovarian stimulation can be initiated at any time during the menstrual cycle [15], and luteal phase stimulation is possible with equivalent results in terms of obtained mature oocytes, it is important to leave at least 10 days before the start of the chemotherapy. This random-start ovarian stimulation protocol is now routinely applied for fertility preservation in cancer patients [16].
The success of the technique and live birth rates show strong correlations with age at the time of oocyte cryopreservation, with 35 years appearing to be the cut-off. Indeed, even with the same number of frozen oocytes, the likelihood of a live birth in patients aged over 35 years at the time of oocyte vitrification is significantly diminished [17,18].
Apart from age, the other determinant of cumulative live birth rates is the number of retrieved oocytes, with an ideal range of 10–15. In cancer patients, the quality of frozen oocytes appears to be equivalent to those cryopreserved for age-related fertility decline, but the number of oocytes that these patients can supply is limited due to the need to start gonadotoxic treatment without delay [14]. Since the number of frozen oocytes dictates the later chances of conception, it is vital that the maximum number of oocytes are frozen in the available time. Protocols have even been developed for double stimulation (follicular and luteal phase ovarian stimulation) during the same menstrual cycle, known as DuoStim [19]. The goal is to maximize the number of gametes obtained, improving cumulative live birth rates without postponing cancer therapy [20,21,22].
2.1. Disease-Specific Limitations
It is commonly accepted that alternative controlled ovarian stimulation (COS) protocols should be applied according to the steroid sensitivity of the cancer in question. Indeed, in women with estrogen receptor-positive breast cancer, tamoxifen or letrozole are used in addition to COS to theoretically inhibit breast cancer growth during stimulation [23]. However, no randomized controlled trials support the notion that these alternative COS schedules are superior to standard COS [23]. Recent studies have shown that there may even be a negative effect of letrozole or tamoxifen on fertilization and embryo quality in fertility preservation cycles [24].
One specific benign indication, namely, endometriosis, is somewhat set apart, since the number and quality of the eggs impair the final outcome, hence the cumulative live birth rate [25]. This confirms a detrimental effect of the disease itself on the ovarian reserve, as a detrimental effect of previous ovarian surgery.
2.2. In Vitro Maturation of Oocytes
The goal of obtaining mature metaphase II (MII) oocytes following COS is not always achieved. Studies have been conducted to assess whether oocytes that have been retrieved at immature stages (germinal vesicle (GV) or metaphase I (MI)) can be matured in the IVF laboratory [26]. This process is known as in vitro maturation and has been shown to enhance oocyte and embryo yields in breast cancer patients undergoing COS for fertility preservation purposes [27]. An innovative procedure was recently reported in a woman with breast cancer who did not undergo COS. Follicles were aspirated in the course of the natural cycle, and the oocytes obtained were therefore immature and subjected to in vitro maturation and vitrification. Thereafter, the oocytes were thawed and fertilized, resulting in embryo transfer and a live birth [28]. This technique does not delay the start of chemotherapy and can be applied in patients in whom the use of gonadotropins is contraindicated.
2.3. Combined Ovarian Stimulation and Removal of Ovarian Tissue
Ovarian stimulation with a view to freezing mature oocytes or embryos can be combined with OTC in order to increase the chances of success of fertility restoration after highly gonadotoxic treatment. In such cases, OTC should be performed before COS and oocyte vitrification, as this avoids having to cryopreserve ovarian tissue from blown-up cortex with bleeding corporea lutea. Moreover, freezing tissue before oocyte retrieval does not affect the mean number of retrieved MII oocytes, nor the quality of resulting embryos [29,30]. Nevertheless, COS can be started 1–2 days before OTC. The aim of initiating stimulation as soon as possible is to gain time, which is very precious in patients suffering from malignant diseases.
3. Ovarian Tissue Cryopreservation
OTC is the only available option for fertility preservation in prepubertal patients and adult women in whom gonadotoxic therapy cannot be postponed [1,31,32]. It has the advantage of preserving a large number of follicles at once and does not require any hormonal stimulation. Nonetheless, strict selection criteria must be applied in order to make the most of this technique [33,34].
3.1. Selection Criteria
Patient age at cryopreservation is of utmost importance, since reproductive outcomes are known to decline with age [35]. This was confirmed in a recent study by five leading European centers reporting a series of 285 women who underwent transplantation of frozen-thawed ovarian tissue [36]. They showed that the mean age at cryopreservation in women giving birth after reimplantation of their ovarian tissue (26.9 ± 0.7 years) was significantly lower than in those who did not give birth (29.8 ± 0.4 years). The upper age limit for OTC has been reasonably set at 35 years of age, when the ovarian reserve is still relatively abundant [1,33].
Another crucial criterion to examine is the risk of POI, which should be at least 50%. The risk of developing POI is challenging to predict, as it depends on the type and intensity of treatment received (alkylating agents being the most toxic), and the existing ovarian reserve [32,34,37]. It is therefore generally recommended that ovarian tissue be cryopreserved prior to initiation of chemotherapy in patients over 15 years of age [33]. Nevertheless, some clinical situations prove the exception to the rule, such as patients suffering from acute leukemia in whom OTC cannot be performed before the start of chemotherapy. In these circumstances, recommendations from the European Society of Human Reproduction and Embryology (ESHRE) state that, “Patients who have already received low gonadotoxic treatment or a previous course of chemotherapy can be offered OTC as a fertility preservation option” [38]. This is consistent with recent studies showing that exposure to chemotherapy before OTC does not alter the results of ovarian tissue transplantation in terms of live birth rates [36,37,39,40,41]. However, caution is advised when alkylating agents are administered prior to OTC. Several studies have demonstrated the harmful effects of these agents on reimplantation outcomes [36,37,42].
A further emerging criterion to consider before OTC and transplantation is pelvic radiotherapy. A recent report shed light on the impacts of pelvic radiotherapy on the outcomes of ovarian tissue transplantation [36], where out of 15 women who were given high pelvic radiation doses for anal or cervical cancer, not a single one gave birth. Undoubtedly, live birth rates after ovarian tissue grafting are inversely proportional to the pelvic irradiation dose received. This may be explained by poor vascularization in ovarian transplants due to a fibrotic reaction of irradiated pelvic tissue (including the peritoneum) and irradiation of the uterus [36]. Total body irradiation (12 Gy) in adults leads to a heightened threat of miscarriage, low birth weight and premature birth [43]. Uterine reproductive capacity is more sensitive to radiation during childhood, causing irreversible uterine injury with direct uterine radiation of >25 Gy, making pregnancy inadvisable [43]. In adults, irreversible damage is observed from 45 Gy, which contraindicates pregnancy [43]. Given the poor outcomes of ovarian tissue transplantation and obstetric risks associated with conditions requiring high doses of pelvic radiation (anal, rectal, cervical cancer), OTC and transplantation should be carefully contemplated before proceeding. Reimplanting ovarian tissue in patients who have undergone pelvic radiotherapy is possible, but the radiation dose and zone, along with the disease itself, are factors that must be considered in the decision-making process prior to transplantation.
3.2. Ovarian Tissue Retrieval and Freezing
The amount of tissue needed depends mainly on the risk of POI and the existing ovarian volume. Unilateral oophorectomy only precipitates menopause by 1 to 2 years [44,45], however, ovarian biopsies are often sufficient to preserve fertility [1]. Unilateral ovariectomy is usually performed when pelvic radiotherapy or total body irradiation is planned, and in very young girls, where the size of the ovaries is very small [46,47].
The most widely used cryopreservation technique is the slow-freezing protocol, which has led to almost all live births so far [39,46,48,49,50,51,52,53,54,55,56,57,58,59], except in 2 published cases, where both live births were obtained from vitrified ovarian tissue [60].
3.3. Immature Oocyte Collection during Ovarian Tissue Preparation
OTC can be coupled with collection of immature oocytes at the time of freezing. Immature oocytes can be isolated by puncture from visible antral follicles on the surface of the ovary [61], retrieved from the medium used for ovary preparation [62] or collected from surplus ovarian medullary tissue [63]. The immature oocytes are then matured in vitro, fertilized or not, depending on the partner status of the patient, and subsequently vitrified. Since the first live birth achieved from cryopreserved embryos issued from in vitro-matured oocytes in 2014 [64], there has been a growing interest in the technique [61,62]. Nevertheless, the success rate of in vitro maturation depends on the age of the patient. Indeed, successful in vitro maturation rates were shown to be significantly lower in prepubertal than postpubertal subjects (10.3% versus 28.1%, p = 0.002) [65]. This was confirmed by a second study where success rates hardly reached 15.5% in premenarchal compared to 28.2% in young postmenarchal patients [66]. Another very recent study demonstrated that in vitro maturation rates peaked at 38.3% between the ages of 18 and 24, but dropped dramatically in patients ≤5 or ≥30 years of age (4.6% and 8.9%, respectively) [62]. This approach represents an add-on method to potentially increase the fertility opportunities for cancer patients, especially in young women with cancer where transplantation of cortical tissue may pose a risk of relapse, but the in vitro maturation approach is currently too inefficient to be the only method used for fertility preservation [63].
3.4. Ovarian Tissue Reimplantation
There are two ways of reimplanting ovarian tissue, namely, orthotopic transplantation (inside the peritoneal cavity onto the remaining ovary or into a specially created peritoneal window) and heterotopic transplantation (such as the forearm or abdominal muscle) [32] (Figure 2). Orthotopic transplantation is the procedure that has resulted in all live births to date, and grafting to the forearm has only produced one embryo [67]. If the goal of ovarian tissue transplantation is to achieve a live birth, orthotopic transplantation should be performed. However, if the aim is to restore natural hormone production, heterotopic transplantation is more convenient [68].
Figure 2.
Orthotopic ovarian tissue transplantation in a patient aged 31 years, who underwent OTC prior to gonadotoxic chemotherapy (including cyclophosphamide) for stage IV Hodgkin’s lymphoma (according to the Ann Arbor classification). The procedure is performed by laparoscopy. Ovarian tissue transplantation onto the remaining ovary (A–D): the procedure starts by removing a large piece of ovarian cortex with scissors to expose the medulla with its vascular network, and Interceed® is stitched to the inferior part of the ovary (A,B). Ovarian cortical pieces are then placed on the medulla and covered with Interceed®, the edges of which are fixed with fibrin glue (C,D). Ovarian tissue transplantation inside a peritoneal window (E–G): to create the peritoneal window, an incision is made on the anterior leaf of the broad ligament in a location where a vascular network is visible (retroperitoneal vessels) (E). The fragments are simply placed inside the window and covered with Interceed®, which is fixed with fibrin glue (F,G). (G) shows the result of the two orthotopic transplantation techniques performed side by side.
Recovery of ovarian function after transplantation takes 3.5 to 6.5 months, which is consistent with the time required for folliculogenesis to resume [31,69]. Ovarian function is restored in over 95% of cases, with an average graft lifespan of 4–5 years, and even up to 7 years in some cases [36,46].
Since the first live birth was achieved with this technique in 2004 [48], pregnancies and live births have continued to climb exponentially, reaching well over 200 by now [70]. Published live birth rates around the globe recorded figures of 31% in the Danish group in 2015 [71], 25% in the German FertiPROTEKT network in 2016 [56], 18.2% in the Spanish group in 2018 [72] and 41.6% in a Belgo-Israeli-American case series reported in 2020 [41]. Very recent data from five leading European centers involving 285 patients confirmed an overall pregnancy rate of 38% and a live birth rate of 26% [36].
The main drawback of OTC is the risk of reimplanting malignant cells together with the ovarian tissue [73,74]. Earlier studies showed that the risk is high (>11%) in cases of leukemia, Burkitt lymphoma and neuroblastoma; moderate (0.2–11%) in cervical adenocarcinoma, advanced breast cancer, Ewing sarcoma and non-Hodgkin’s lymphoma; and low (<0.2%) in all other pathologies [73,75,76]. Inducing complete remission through several chemotherapy cycles prior to OTC in cases at high risk of ovarian contamination is reasonable, since it helps to reduce the risk of ovarian metastasis and does not interfere with reproductive outcomes after transplantation [36,37,40,77,78]. To the best of our knowledge, 4 live births have been reported to date in patients transplanted with ovarian tissue cryopreserved at the time of complete remission of their acute leukemia [79,80,81,82]. Nevertheless, excluding the presence of malignant cells by histological, immunohistochemical and molecular analysis was always performed and is highly recommended before contemplating reimplantation [79,80,81,82,83] (Figure 3).
Figure 3.
Screening of minimal disseminated disease in cryopreserved ovarian tissue. HE: hematoxylin and eosin staining; IHC: immunohistochemistry. Created with BioRender.com (accessed on 30 August 2021).
4. How to Preserve Fertility in Children and Adolescents
Owing to improved survival rates in children and adolescents treated for cancer, there will be a growing population of adult survivors of childhood cancer seeking to have children. For this reason, there are concerns about fertility preservation even in children and adolescents. Moreover, indications for fertility preservation other than cancer are also increasing, since a number of non-malignant and chronic diseases require gonadotoxic treatment. It is also proposed in case of diseases associated with a premature decline of the ovarian follicle pool.
OTC and mature oocyte cryopreservation are the main techniques used for fertility preservation in children and adolescents. Although these two methods are validated in adults [84], these same fertility preservation techniques are still a challenge in children and adolescents.
4.1. OTC in Children and Adolescents
This is the only fertility preservation approach that can be applied to girls before puberty and the one most commonly proposed to adolescents. Due to high follicular density in children and adolescents, it is only indicated in case of highly gonadotoxic treatments, including high-dose alkylating agents, pre-allograft and autologous hematopoietic stem cell conditioning, high-dose ovarian radiotherapy and gonadectomy. This strategy may also be implemented in case of non-malignant diseases when highly gonadotoxic therapy is needed, as in allografting of hematopoietic stem cells in sickle cell disease, or when fertility is likely to be prematurely impaired, as in case of Turner syndrome (TS).
The first report on OTC exclusively in children and adolescents was published in 2007 [85]. This was a series of 47 patients with a median age of 5 years (10 months to 15 years) at the time of cryopreservation and all were affected by oncological diseases. Since then, several studies on OTC in children and adolescents have been conducted (Table 2) [4,86,87,88,89,90,91,92,93,94,95,96,97,98,99,100].
Table 2.
Main series for ovarian cortex cryopreservation in children and adolescents reporting 25 or more than 25 patients (for teams publishing several series, only the most recent is considered here).
Age for this approach varied between teams, ranging from 0.3 to 8 years [4,87]. Most patients were suffering from cancerous conditions, with the exception of one series, in which all the subjects had TS [87]. Among malignant diseases, the most frequent were found to be hematological malignancies (acute leukemia or lymphoma) [88,89,90,91,92,95,98,99,100], bone tumors [94], or specific diseases of childhood, such as neuroblastoma [4] or rhabdomyosarcoma [96].
Depending on the series, the percentage of non-malignant pathologies ranged between 5% and 33% [93,95,100]. The most common were TS [87,89,94] and hemoglobinopathies [4,95,96].
OTC can be coupled with freezing of oocytes isolated by puncture from visible antral follicles on the surface of the ovary or retrieved from the medium used for ovary preparation [101]. It was shown that it is possible to collect isolated oocytes even from very young girls [4], but successful in vitro maturation rates were shown to be halved in prepubertal compared to postpubertal subjects [[65,66], see paragraphe 3.3]. This technique does not cause any additional burden and the availability of isolated oocytes may be crucial, especially in case of leukemia where ovarian transplantation may be contraindicated [63].
4.2. Autotransplantation of Cryopreserved Ovarian Cortex from Patients Aged 18 and Under
In 2012, the functionality of cryopreserved ovarian tissue before menarche was demonstrated for the first time. Subcutaneous transplantation of ovarian tissue cryopreserved at the age of 10 years restored ovarian hormone function and induced puberty [102]. This result was confirmed the following year by another team [103].
Frozen-thawed ovarian cortex transplantation is currently the only technique that allows these patients to have children after ovarian tissue banking. Due to a lack of long-term experience and the relatively recent development of the technique, there are still very few data on outcomes of ovarian transplants performed with ovarian tissue from children or adolescents. Table 3 summarizes data on autografts of ovarian cortex cryopreserved before the age of 18 years with the goal of restoring fertility [4,39,40,52,80,82,86,98,104,105,106,107,108,109]. A total of 15 patients were involved. Nine patients had a malignant disease, and the remaining six had non-malignant conditions.
Table 3.
Autologous transplantation of ovarian cortex tissue cryopreserved at the age of 18 years and under.
Five patients had not experienced menarche before OTC [4,39,107,109], and 8 patients had already had chemotherapy. After ovarian tissue retrieval, all patients underwent highly gonadotoxic treatment. In 12 subjects (80%), ovarian function resumed, including in 3 girls who were not pubertal at the time of OTC [4,107,109]. Of the 15 patients, 9 conceived at least once (60%) and 7 gave birth to at least one child (47%), including 2 who were not pubertal at the time of OTC [107], the youngest of whom was only 9 years old [109]. Although the number of patients is still small, rates of recovery of ovarian function, pregnancy and patients giving birth to at least one child are not lower than those obtained from ovarian tissue collected after the age of 18.
4.3. Mature Oocyte Cryopreservation after Controlled Ovarian Stimulation
Post-menarche adolescents may also benefit from mature oocyte freezing. While medically possible, mature oocyte cryopreservation has limitations in adolescents due to the invasive nature of the procedure. This technique should be proposed, depending on the patient’s maturity and virginity status.
Rare cases of ovarian stimulation have been reported in patients under 18 years of age (Table 4) [110,111,112,113,114,115,116,117]. Two patients had not reached menarche by the time of ovarian stimulation [111,116], one of whom was just 7 years of age [116]. In the cases shown in Table 4, diseases which were most prevalent were non-malignant, such as TS [112,117] and sickle cell anemia [113,114]. The number of oocytes retrieved ranged from 4 to 31 [117], and the number of cryopreserved oocytes ranged from 1 to 30 [113]. Despite the issue of virginity, oocytes were collected by a transvaginal procedure in most cases. In a girl aged 7 at the time of ovarian stimulation, oocyte retrieval was done transabdominally. Larger series reporting oocyte cryopreservation in cancer patients have shown that numbers of oocytes collected and numbers of mature oocytes obtained did not differ between patients under 20 years of age and patients over 20 years of age [118], nor between patients aged 13 to 17 years and those aged 18 to 21 years [117]. By contrast, cancellation rates were higher in patients under 20 years of age compared to patients over 20 years of age (10% vs. 6.6%) [118], and as high as 21% in girls aged under 18 years of age [97]. This increased cancellation rate might be attributed to a number of factors that are not necessarily related to a poor ovarian response. Physicians are naturally cautious to avoid complications in adolescents and, given their peripubertal status and maturation degree of folliculogenesis, are aware that possible differences in oocyte maturity and development could impair the response to gonadotropin stimulation [113,118,119]. Moreover, the vast majority of young subjects undergoing COS fall into a specific category of patients who will be or have been exposed to gonadotoxic therapies. Previous studies have revealed lower oocyte yields in oncology patients prior to treatment, likely due to use of lower gonadotropin doses [120,121]. In addition, the ovarian response might be attenuated in cancer patients due to malignancy-induced suppression of the hypothalamic-pituitary-gonadal axis or production of gonadotoxic cytokines [122,123]. Whether or not young patients require higher doses of gonadotropins needs further investigation, but an adolescent’s best interests in terms of efficiency and well-being are paramount.
Table 4.
Documented cases of controlled ovarian stimulation done for fertility preservation in patients ≤18 years of age.
4.4. Use of Cryopreserved Oocytes before the Age of 18
To our knowledge, only the birth of one boy has been reported after the use of oocytes cryopreserved before the age of 18. This was a patient who had 14 oocytes collected and frozen at the age of 17 in the context of a non-malignant pathology [110]. As many publications report lower oocyte quality in adolescents [124], it is important to follow up on outcomes of cryopreserved mature oocyte use in adolescents, to determine whether this technique could be routinely used in this specific population.
4.5. Fertility Preservation in Turner Syndrome
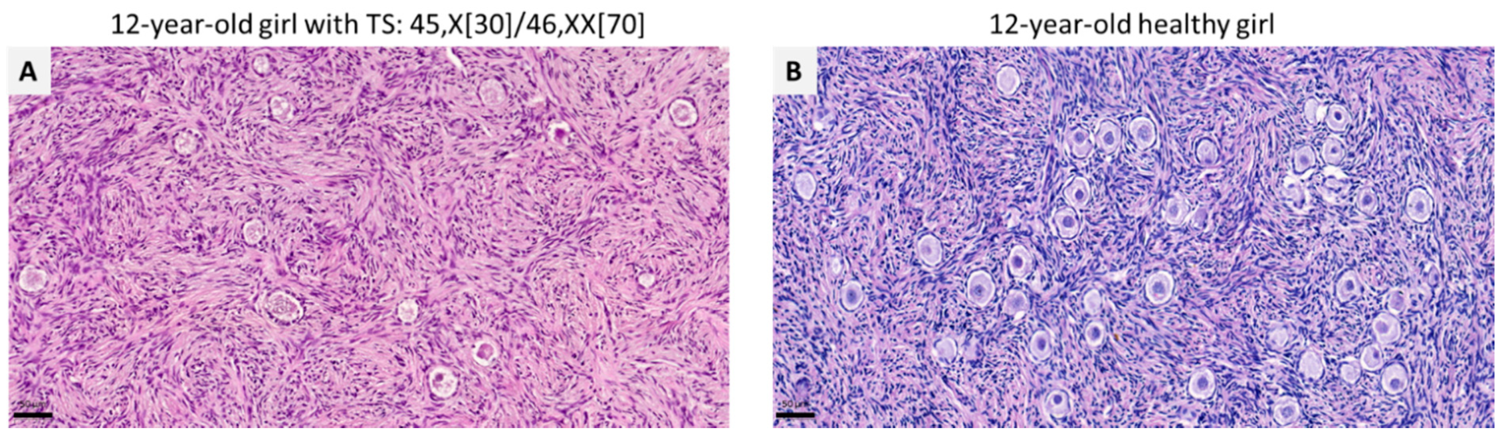
TS, a common chromosomal aberration characterized by total or partial loss of one of the X chromosomes, occurs in 1/2000 to 1/2500 live-born females [125,126], but up to 90% of Turner cases result in miscarriage [127], making its fetal incidence much higher. POI is one of the major concerns for women with TS and their parents. Due to accelerated follicle atresia in TS patients, 80% of adolescent girls undergo POI prior to or around the time of puberty [128], leading to diminution or complete loss of their fertility potential (Figure 4). To address this issue, fertility preservation is indicated in TS patients who wish to have their own genetic offspring in the future by means of oocyte cryopreservation in postpubertal girls, and OTC in prepubertal girls [129,130].
Figure 4.
Representative histological sections of ovarian tissue from a 12-year-old girl with mosaic TS (A) and a healthy girl of the same age (B). Follicle density in ovarian tissue from the TS girl (A) was 872.34 follicles/mm3, and that of her healthy counterpart (B) was 2172.9 follicles/mm3. Scale bar: 50 µm.
The overall incidence of spontaneous puberty in TS is reported to be 5–20% [131,132,133,134]. Mature oocyte vitrification for fertility preservation purposes has been reported in postpubertal girls and adults with TS (age range: 13–28 years) [112,135,136,137,138]. Among these cases, only 2 patients had complete 45,X monosomy, and the remaining subjects were diagnosed with mosaic TS by karyotyping of lymphocytes. Ovarian stimulation resulting in 6 MII oocytes for freezing has also been reported in a 7-year-old girl with mosaic TS despite the inactive hypothalamic-pituitary-ovarian axis [116]. Yields of MII oocytes for freezing appear to be lower in TS girls than in their normal karyotype counterparts. Regarding oocyte quality, recovering a significantly higher number of oocytes than in healthy women would probably make sense, but it requires several stimulation cycles, making it difficult to do in adolescents. Although mature oocyte cryopreservation in TS patients is feasible in practice, there is some uncertainty about this approach. It is unknown whether cryopreserved oocytes from TS girls will lead to successful embryo development or pregnancy. Despite some groups supporting the safety and efficacy of ovarian stimulation in children [112], oocyte pick-up procedures may be technically challenging in these young girls.
Due to various limitations of oocyte freezing, there is no alternative way of protecting future fertility other than OTC in many countries. The possibility of preserving fertility is strongly related to the number and quality of follicles residing within ovarian tissue [139]. A recently published retrospective case-control study of 15 girls and young women aged 5–22 years with TS found evidence of follicles in 60% of biopsies, albeit with a high rate of abnormal morphology [140]. Karyotyping of ovarian cells of small follicles from 5 TS patients also revealed high levels of aneuploidy in granulosa cells, which may have a negative impact on the development of follicles, although the majority of oocytes did show normal X chromosome content [141]. These findings suggest that the benefits of OTC and transplantation may be limited to a highly select group of mosaic TS patients. The first case of OTC in a young girl with mosaic TS was reported in 2008 [142]. This technique is already routinely offered to TS subjects in several countries, but its efficacy remains unknown in this population due to a lack of follow-up data. Indeed, there are no reports of children born to women with TS after autotransplantation of their ovarian tissue [143].
In summary, the risks of POI and infertility in TS patients are significantly high. To maximize the benefits of fertility preservation, TS girls and their parents should be informed and evaluated as soon as possible in childhood, since the ovarian reserve of the vast majority of TS patients may be depleted before adulthood. It appears that indicating OTC in TS girls too soon may be too aggressive, but waiting longer for oocyte cryopreservation may be too late and increase the risk of failure. Choosing the appropriate time for fertility preservation in TS patients remains a challenge that needs regular follow-up and careful analysis.
5. Conclusions
Patients of all ages should be counseled on the risk of iatrogenic POI at the earliest opportunity, and referred to fertility specialists to discuss existing fertility preservation options. Oocyte cryopreservation can be proposed to postpubertal patients when the start of chemotherapy can be postponed by at least 10–12 days. Cumulative live birth rates using cryopreserved oocytes for oncological reasons depend on the age at cryopreservation and the number of oocyte retrieved, which may be limited by the urgent need to initiate gonadotoxic treatment. Regarding oocyte freezing in prepubertal patients, the only case of use reported in the literature does not allow us to draw any conclusions on its effectiveness in this specific population.
OTC can be proposed to both pre- and postpubertal patients and when immediate chemotherapy is required or has already started. Transplantation ensures long-term endocrine function resumption and favorable fertility restoration rates.
In contrast to data obtained in adult patients, use of oocytes or ovarian cortex cryopreserved in childhood or adolescence is still limited due to the young age of patients at the time of fertility preservation. Indeed, most of them are not even of childbearing age yet. What is encouraging, however, is that initial results on use of cryopreserved ovarian tissue in this population do not appear to be inferior to those reported in adult women.
Author Contributions
Writing—original draft preparation, M.-M.D., C.H., T.Y.T.N. and C.P.; writing—review and editing, M.-M.D., C.H. and C.P. All authors have read and agreed to the published version of the manuscript.
Funding
This study was supported by grants from the Fonds National de la Recherche Scientifique de Belgique (Télévie grant 7.4602.18F awarded to C.H., 5/4/150/5 grant to M.-M.D.); the Fonds National de la Recherche Scientifique de Belgique—the Excellence of Science (FNRS-EOS) number 30443682 awarded to M.-M.D. and T.Y.T.N.; FNRS-PDR Convention grant number T.0077.14 awarded to M.-M.D.; the Fonds Spéciaux de Recherche; the Agence de la Biomédecine de France; and private donations (Ferrero, Philippe de Spoelberch, Association Saint Louis).
Data Availability Statement
No new data were created or analyzed in this study. Data sharing is not applicable to this article.
Acknowledgments
The authors thank Mira Hryniuk, BA, for reviewing the English language of the article.
Conflicts of Interest
The authors declare no conflict of interest.
References
- Donnez, J.; Dolmans, M.M. Fertility preservation in women. N. Engl. J. Med. 2017, 377, 1657–1665. [Google Scholar] [CrossRef] [PubMed]
- Wallace, W.H.; Anderson, R.A.; Irvine, D.S. Fertility preservation for young patients with cancer: Who is at risk and what can be offered? Lancet Oncol. 2005, 6, 209–218. [Google Scholar] [CrossRef]
- Jadoul, P.; Anckaert, E.; Dewandeleer, A.; Steffens, M.; Dolmans, M.M.; Vermylen, C.; Smitz, J.; Donnez, J.; Maiter, D. Clinical and biologic evaluation of ovarian function in women treated by bone marrow transplantation for various indications during childhood or adolescence. Fertil. Steril. 2011, 96, 126–133. [Google Scholar] [CrossRef]
- Poirot, C.; Brugieres, L.; Yakouben, K.; Prades-Borio, M.; Marzouk, F.; de Lambert, G.; Pacquement, H.; Bernaudin, F.; Neven, B.; Paye-Jaouen, A.; et al. Ovarian tissue cryopreservation for fertility preservation in 418 girls and adolescents up to 15 years of age facing highly gonadotoxic treatment. Twenty years of experience at a single center. Acta Obstet. Gynecol. Scand. 2019, 98, 630–637. [Google Scholar] [CrossRef]
- De Vos, M.; Devroey, P.; Fauser, B.C. Primary ovarian insufficiency. Lancet 2010, 376, 911–921. [Google Scholar] [CrossRef]
- Dolmans, M.M. Recent advances in fertility preservation and counseling for female cancer patients. Expert Rev. Anticancer Ther. 2018, 18, 115–120. [Google Scholar] [CrossRef] [PubMed]
- Mishra, S.R.; Chung, H.F.; Waller, M.; Mishra, G.D. Duration of estrogen exposure during reproductive years, age at menarche and age at menopause, and risk of cardiovascular disease events, all-cause and cardiovascular mortality: A systematic review and meta-analysis. BJOG 2021, 128, 809–821. [Google Scholar] [CrossRef]
- Letourneau, J.M.; Ebbel, E.E.; Katz, P.P.; Katz, A.; Ai, W.Z.; Chien, A.J.; Melisko, M.E.; Cedars, M.I.; Rosen, M.P. Pretreatment fertility counseling and fertility preservation improve quality of life in reproductive age women with cancer. Cancer 2012, 118, 1710–1717. [Google Scholar] [CrossRef]
- Dolmans, M.M.; Donnez, J.; Cacciottola, L. Fertility Preservation: The Challenge of Freezing and Transplanting Ovarian Tissue. Trends Mol. Med. 2020, 27, 777–791. [Google Scholar] [CrossRef] [PubMed]
- Rienzi, L.; Ubaldi, F.M. Oocyte versus embryo cryopreservation for fertility preservation in cancer patients: Guaranteeing a women’s autonomy. J. Assist. Reprod. Genet. 2015, 32, 1195–1196. [Google Scholar] [CrossRef]
- Cobo, A.; García-Velasco, J.A.; Remohí, J.; Pellicer, A. Oocyte vitrification for fertility preservation for both medical and nonmedical reasons. Fertil. Steril. 2021, 115, 1091–1101. [Google Scholar] [CrossRef]
- von Wolff, M.; Bruckner, T.; Strowitzki, T.; Germeyer, A. Fertility preservation: Ovarian response to freeze oocytes is not affected by different malignant diseases-an analysis of 992 stimulations. J. Assist. Reprod. Genet. 2018, 35, 1713–1719. [Google Scholar] [CrossRef]
- Lambertini, M.; Goldrat, O.; Ferreira, A.R.; Dechene, J.; Azim, H.A., Jr.; Desir, J.; Delbaere, A.; t’Kint de Roodenbeke, M.D.; de Azambuja, E.; Ignatiadis, M.; et al. Reproductive potential and performance of fertility preservation strategies in BRCA-mutated breast cancer patients. Ann. Oncol. 2018, 29, 237–243. [Google Scholar] [CrossRef] [PubMed]
- Cobo, A.; García-Velasco, J.; Domingo, J.; Pellicer, A.; Remohí, J. Elective and Onco-fertility preservation: Factors related to IVF outcomes. Hum. Reprod. 2018, 33, 2222–2231. [Google Scholar] [CrossRef] [PubMed]
- von Wolff, M.; Thaler, C.J.; Frambach, T.; Zeeb, C.; Lawrenz, B.; Popovici, R.M.; Strowitzki, T. Ovarian stimulation to cryopreserve fertilized oocytes in cancer patients can be started in the luteal phase. Fertil. Steril. 2009, 92, 1360–1365. [Google Scholar] [CrossRef] [PubMed]
- Cakmak, H.; Katz, A.; Cedars, M.I.; Rosen, M.P. Effective method for emergency fertility preservation: Random-start controlled ovarian stimulation. Fertil. Steril. 2013, 100, 1673–1680. [Google Scholar] [CrossRef] [PubMed]
- Cobo, A.; García-Velasco, J.A.; Coello, A.; Domingo, J.; Pellicer, A.; Remohí, J. Oocyte vitrification as an efficient option for elective fertility preservation. Fertil. Steril. 2016, 105, 755–764.e8. [Google Scholar] [CrossRef]
- Doyle, J.O.; Richter, K.S.; Lim, J.; Stillman, R.J.; Graham, J.R.; Tucker, M.J. Successful elective and medically indicated oocyte vitrification and warming for autologous in vitro fertilization, with predicted birth probabilities for fertility preservation according to number of cryopreserved oocytes and age at retrieval. Fertil. Steril. 2016, 105, 459–466.e2. [Google Scholar] [CrossRef]
- Ubaldi, F.M.; Capalbo, A.; Vaiarelli, A.; Cimadomo, D.; Colamaria, S.; Alviggi, C.; Trabucco, E.; Venturella, R.; Vajta, G.; Rienzi, L. Follicular versus luteal phase ovarian stimulation during the same menstrual cycle (DuoStim) in a reduced ovarian reserve population results in a similar euploid blastocyst formation rate: New insight in ovarian reserve exploitation. Fertil. Steril. 2016, 105, 1488–1495.e1. [Google Scholar] [CrossRef]
- Tsampras, N.; Gould, D.; Fitzgerald, C.T. Double ovarian stimulation (DuoStim) protocol for fertility preservation in female oncology patients. Hum. Fertil. (Camb.) 2017, 20, 248–253. [Google Scholar] [CrossRef]
- Wald, K.; Cakmak, H.; Mok-Lin, E.; Cedars, M.; Rosen, M.; Letourneau, J. Back-to-back random-start ovarian stimulation prior to chemotherapy to maximize oocyte yield. J. Assist. Reprod. Genet. 2019, 36, 1161–1168. [Google Scholar] [CrossRef]
- Polat, M.; Mumusoglu, S.; Yarali Ozbek, I.; Bozdag, G.; Yarali, H. Double or dual stimulation in poor ovarian responders: Where do we stand? Ther. Adv. Reprod. Health 2021, 15, 26334941211024172. [Google Scholar] [CrossRef] [PubMed]
- Rothé, F.; Lambertini, M.; Goldrat, O.; Maetens, M.; Bareche, Y.; Blanc, J.; Rouas, G.; Larsimont, D.; Sotiriou, C.; Ignatiadis, M.; et al. Circulating Tumor DNA to Interrogate the Safety of Letrozole-Associated Controlled Ovarian Stimulation for Fertility Preservation in Breast Cancer Patients. Front. Oncol. 2021, 11, 686625. [Google Scholar] [CrossRef] [PubMed]
- Shulman, Y.; Almog, B.; Kalma, Y.; Fouks, Y.; Azem, F.; Cohen, Y. Effects of letrozole or tamoxifen coadministered with a standard stimulation protocol on fertility preservation among breast cancer patients. J. Assist. Reprod. Genet. 2021, 38, 743–750. [Google Scholar] [CrossRef] [PubMed]
- Cobo, A.; Giles, J.; Paolelli, S.; Pellicer, A.; Remohí, J.; García-Velasco, J.A. Oocyte vitrification for fertility preservation in women with endometriosis: An observational study. Fertil. Steril. 2020, 113, 836–844. [Google Scholar] [CrossRef]
- Rodriguez-Wallberg, K.A.; Hao, X.; Marklund, A.; Johansen, G.; Borgström, B.; Lundberg, F.E. Hot Topics on Fertility Preservation for Women and Girls-Current Research, Knowledge Gaps, and Future Possibilities. J. Clin. Med. 2021, 10, 1650. [Google Scholar] [CrossRef]
- Oktay, K.; Buyuk, E.; Rodriguez-Wallberg, K.A.; Sahin, G. In vitro maturation improves oocyte or embryo cryopreservation outcome in breast cancer patients undergoing ovarian stimulation for fertility preservation. Reprod. Biomed. Online 2010, 20, 634–638. [Google Scholar] [CrossRef]
- Mayeur, A.; Puy, V.; Windal, V.; Hesters, L.; Gallot, V.; Benoit, A.; Grynberg, M.; Sonigo, C.; Frydman, N. Live birth rate after use of cryopreserved oocytes or embryos at the time of cancer diagnosis in female survivors: A retrospective study of ten years of experience. J. Assist. Reprod. Genet. 2021, 38, 1767–1775. [Google Scholar] [CrossRef] [PubMed]
- Dolmans, M.M.; Marotta, M.L.; Pirard, C.; Donnez, J.; Donnez, O. Ovarian tissue cryopreservation followed by controlled ovarian stimulation and pick-up of mature oocytes does not impair the number or quality of retrieved oocytes. J. Ovarian Res. 2014, 7, 80. [Google Scholar] [CrossRef]
- von Wolff, M.; Germeyer, A.; Liebenthron, J.; Korell, M.; Nawroth, F. Practical recommendations for fertility preservation in women by the FertiPROTEKT network. Part II: Fertility preservation techniques. Arch. Gynecol. Obstet. 2018, 297, 257–267. [Google Scholar] [CrossRef]
- Donnez, J.; Dolmans, M.M. Fertility preservation in women. Nat. Rev. Endocrinol. 2013, 9, 735–749. [Google Scholar] [CrossRef] [PubMed]
- Dolmans, M.M.; Donnez, J. Fertility preservation in women for medical and social reasons: Oocytes vs ovarian tissue. Best Pract. Res. Clin. Obstet. Gynaecol. 2021, 70, 63–80. [Google Scholar] [CrossRef] [PubMed]
- Wallace, W.H.; Smith, A.G.; Kelsey, T.W.; Edgar, A.E.; Anderson, R.A. Fertility preservation for girls and young women with cancer: Population-based validation of criteria for ovarian tissue cryopreservation. Lancet Oncol. 2014, 15, 1129–1136. [Google Scholar] [CrossRef]
- Wallace, W.H.; Kelsey, T.W.; Anderson, R.A. Fertility preservation in pre-pubertal girls with cancer: The role of ovarian tissue cryopreservation. Fertil. Steril. 2016, 105, 6–12. [Google Scholar] [CrossRef] [PubMed]
- Wallace, W.H.; Kelsey, T.W. Human ovarian reserve from conception to the menopause. PLoS ONE 2010, 5, e8772. [Google Scholar] [CrossRef]
- Dolmans, M.M.; von Wolff, M.; Poirot, C.; Diaz-Garcia, C.; Cacciottola, L.; Boissel, N.; Liebenthron, J.; Pellicer, A.; Donnez, J.; Andersen, C.Y. Transplantation of cryopreserved ovarian tissue in a series of 285 women: A review of five leading European centers. Fertil. Steril. 2021, 115, 1102–1115. [Google Scholar] [CrossRef]
- Poirot, C.; Fortin, A.; Dhedin, N.; Brice, P.; Socie, G.; Lacorte, J.M.; Akakpo, J.P.; Genestie, C.; Vernant, J.P.; Leblanc, T.; et al. Post-transplant outcome of ovarian tissue cryopreserved after chemotherapy in hematologic malignancies. Haematologica 2019, 104, e360–e363. [Google Scholar] [CrossRef]
- ESHRE Guideline Group on Female Fertility Preservation; Anderson, R.A.; Amant, F.; Braat, D.; D’Angelo, A.; Chuva de Sousa Lopes, S.M.; Demeestere, I.; Dwek, S.; Frith, L.; Lambertini, M.; et al. ESHRE guideline: Female fertility preservation. Hum. Reprod. Open 2020, 2020, hoaa052. [Google Scholar] [CrossRef]
- Meirow, D.; Ra’anani, H.; Shapira, M.; Brenghausen, M.; Derech Chaim, S.; Aviel-Ronen, S.; Amariglio, N.; Schiff, E.; Orvieto, R.; Dor, J. Transplantations of frozen-thawed ovarian tissue demonstrate high reproductive performance and the need to revise restrictive criteria. Fertil. Steril. 2016, 106, 467–474. [Google Scholar] [CrossRef]
- Poirot, C.; Fortin, A.; Lacorte, J.M.; Akakpo, J.P.; Genestie, C.; Vernant, J.P.; Brice, P.; Morice, P.; Leblanc, T.; Gabarre, J.; et al. CAROLéLISA Cooperative Group. Impact of cancer chemotherapy before ovarian cortex cryopreservation on ovarian tissue transplantation. Hum. Reprod. 2019, 34, 1083–1094. [Google Scholar] [CrossRef]
- Shapira, M.; Dolmans, M.M.; Silber, S.; Meirow, D. Evaluation of ovarian tissue transplantation: Results from three clinical centers. Fertil. Steril. 2020, 114, 388–397. [Google Scholar] [CrossRef] [PubMed]
- Wikander, I.; Lundberg, F.E.; Nilsson, H.; Borgström, B.; Rodriguez-Wallberg, K.A. A Prospective Study on Fertility Preservation in Prepubertal and Adolescent Girls Undergoing Hematological Stem Cell Transplantation. Front. Oncol. 2021, 11, 692834. [Google Scholar] [CrossRef]
- Teh, W.T.; Stern, C.; Chander, S.; Hickey, M. The impact of uterine radiation on subsequent fertility and pregnancy outcomes. BioMed Res. Int. 2014, 2014, 482968. [Google Scholar] [CrossRef] [PubMed]
- Bjelland, E.K.; Wilkosz, P.; Tanbo, T.G.; Eskild, A. Is unilateral oophorectomy associated with age at menopause? A population study (the HUNT2 Survey). Hum. Reprod. 2014, 29, 835–841. [Google Scholar] [CrossRef] [PubMed]
- Wilkosz, P.; Greggains, G.D.; Tanbo, T.G.; Fedorcsak, P. Female reproductive decline is determined by remaining ovarian reserve and age. PLoS ONE 2014, 9, e108343. [Google Scholar] [CrossRef]
- Donnez, J.; Dolmans, M.M. Ovarian cortex transplantation: 60 reported live births brings the success and worldwide expansion of the technique towards routine clinical practice. J. Assist. Reprod. Genet. 2015, 32, 1167–1170. [Google Scholar] [CrossRef]
- Dolmans, M.M.; Manavella, D.D. Recent advances in fertility preservation. J. Obstet. Gynaecol. Res. 2019, 45, 266–279. [Google Scholar] [CrossRef]
- Donnez, J.; Dolmans, M.M.; Demylle, D.; Jadoul, P.; Pirard, C.; Squifflet, J.; Martinez-Madrid, B.; van Langendonckt, A. Livebirth after orthotopic transplantation of cryopreserved ovarian tissue. Lancet 2004, 364, 1405–1410. [Google Scholar] [CrossRef]
- Meirow, D.; Levron, J.; Eldar-Geva, T.; Hardan, I.; Fridman, E.; Zalel, Y.; Schiff, E.; Dor, J. Pregnancy after transplantation of cryopreserved ovarian tissue in a patient with ovarian failure after chemotherapy. N. Engl. J. Med. 2005, 353, 318–321. [Google Scholar] [CrossRef]
- Donnez, J.; Martinez-Madrid, B.; Jadoul, P.; Van Langendonckt, A.; Demylle, D.; Dolmans, M.M. Ovarian tissue cryopreservation and transplantation: A review. Hum. Reprod. Update 2006, 12, 519–535. [Google Scholar] [CrossRef]
- Andersen, C.Y.; Rosendahl, M.; Byskov, A.G.; Loft, A.; Ottosen, C.; Dueholm, M.; Schmidt, K.L.; Andersen, A.N.; Ernst, E. Two successful pregnancies following autotransplantation of frozen/thawed ovarian tissue. Hum. Reprod. 2008, 23, 2266–2272. [Google Scholar] [CrossRef]
- Donnez, J.; Jadoul, P.; Pirard, C.; Hutchings, G.; Demylle, D.; Squifflet, J.; Smitz, J.; Dolmans, M.M. Live birth after transplantation of frozen-thawed ovarian tissue after bilateral oophorectomy for benign disease. Fertil. Steril. 2012, 98, 720–725. [Google Scholar] [CrossRef] [PubMed]
- Dolmans, M.M.; Jadoul, P.; Gilliaux, S.; Amorim, C.A.; Luyckx, V.; Squifflet, J.; Donnez, J.; Van Langendonckt, A. A review of 15 years of ovarian tissue bank activities. J. Assist. Reprod. Genet. 2013, 30, 305–314. [Google Scholar] [CrossRef]
- Donnez, J.; Dolmans, M.M.; Pellicer, A.; Diaz-García, C.; Ernst, E.; Macklon, K.T.; Andersen, C.Y. Fertility preservation for age-related fertility decline. Lancet 2015, 385, 506–507. [Google Scholar] [CrossRef]
- Donnez, J.; Dolmans, M.M.; Diaz, C.; Pellicer, A. Ovarian cortex transplantation: Time to move on from experimental studies to open clinical application. Fertil. Steril. 2015, 104, 1097–1098. [Google Scholar] [CrossRef]
- Van der Ven, H.; Liebenthron, J.; Beckmann, M.; Toth, B.; Korell, M.; Krüssel, J.; Frambach, T.; Kupka, M.; Hohl, M.K.; Winkler-Crepaz, K.; et al. Ninety-five orthotopic transplantations in 74 women of ovarian tissue after cytotoxic treatment in a fertility preservation network: Tissue activity, pregnancy and delivery rates. Hum. Reprod. 2016, 31, 2031–2041. [Google Scholar] [CrossRef]
- Dunlop, C.E.; Brady, B.M.; McLaughlin, M.; Telfer, E.E.; White, J.; Cowie, F.; Zahra, S.; Wallace, W.H.; Anderson, R.A. Re-implantation of cryopreserved ovarian cortex resulting in restoration of ovarian function, natural conception and successful pregnancy after haematopoietic stem cell transplantation for Wilms tumour. J. Assist. Reprod. Genet. 2016, 33, 1615–1620. [Google Scholar] [CrossRef]
- Rodriguez-Wallberg, K.A.; Tanbo, T.; Tinkanen, H.; Thurin-Kjellberg, A.; Nedstrand, E.; Kitlinski, M.L.; Macklon, K.T.; Ernst, E.; Fedder, J.; Tiitinen, A.; et al. Ovarian tissue cryopreservation and transplantation among alternatives for fertility preservation in the Nordic countries—Compilation of 20 years of multicenter experience. Acta Obstet. Gynecol. Scand. 2016, 95, 1015–1026. [Google Scholar] [CrossRef] [PubMed]
- Jensen, A.K.; Macklon, K.T.; Fedder, J.; Ernst, E.; Humaidan, P.; Andersen, C.Y. 86 successful births and 9 ongoing pregnancies worldwide in women transplanted with frozen-thawed ovarian tissue: Focus on birth and perinatal outcome in 40 of these children. J. Assist. Reprod. Genet. 2017, 34, 325–336. [Google Scholar] [CrossRef] [PubMed]
- Suzuki, N.; Yoshioka, N.; Takae, S.; Sugishita, Y.; Tamura, M.; Hashimoto, S.; Morimoto, Y.; Kawamura, K. Successful fertility preservation following ovarian tissue vitrification in patients with primary ovarian insufficiency. Hum. Reprod. 2015, 30, 608–615. [Google Scholar] [CrossRef] [PubMed]
- Segers, I.; Bardhi, E.; Mateizel, I.; Van Moer, E.; Schots, R.; Verheyen, G.; Tournaye, H.; De Vos, M. Live births following fertility preservation using in-vitro maturation of ovarian tissue oocytes. Hum. Reprod. 2020, 35, 2026–2036. [Google Scholar] [CrossRef]
- Karavani, G.; Wasserzug-Pash, P.; Mordechai-Daniel, T.; Bauman, D.; Klutstein, M.; Imbar, T. Age-Dependent in vitro Maturation Efficacy of Human Oocytes—Is There an Optimal Age? Front. Cell Dev. Biol. 2021, 9, 667682. [Google Scholar] [CrossRef] [PubMed]
- Yin, H.; Jiang, H.; Kristensen, S.G.; Andersen, C.Y. Vitrification of in vitro matured oocytes collected from surplus ovarian medulla tissue resulting from fertility preservation of ovarian cortex tissue. J. Assist. Reprod. Genet. 2016, 33, 741–746. [Google Scholar] [CrossRef] [PubMed]
- Prasath, E.B.; Chan, M.L.; Wong, W.H.; Lim, C.J.; Tharmalingam, M.D.; Hendricks, M.; Loh, S.F.; Chia, Y.N. First pregnancy and live birth resulting from cryopreserved embryos obtained from in vitro matured oocytes after oophorectomy in an ovarian cancer patient. Hum. Reprod. 2014, 29, 276–278. [Google Scholar] [CrossRef] [PubMed]
- Fasano, G.; Dechène, J.; Antonacci, R.; Biramane, J.; Vannin, A.S.; Van Langendonckt, A.; Devreker, F.; Demeestere, I. Outcomes of immature oocytes collected from ovarian tissue for cryopreservation in adult and prepubertal patients. Reprod. Biomed. Online 2017, 34, 575–582. [Google Scholar] [CrossRef] [PubMed]
- Karavani, G.; Schachter-Safrai, N.; Revel, A.; Mordechai-Daniel, T.; Bauman, D.; Imbar, T. In vitro maturation rates in young premenarche patients. Fertil. Steril. 2019, 112, 315–322. [Google Scholar] [CrossRef]
- Oktay, K.; Buyuk, E.; Veeck, L.; Zaninovic, N.; Xu, K.; Takeuchi, T.; Opsahl, M.; Rosenwaks, Z. Embryo development after heterotopic transplantation of cryopreserved ovarian tissue. Lancet 2004, 363, 837–840. [Google Scholar] [CrossRef]
- Donnez, J.; Dolmans, M.M. Natural hormone replacement therapy with a functioning ovary after the menopause: Dream or reality? Reprod. Biomed. Online 2018, 37, 359–366. [Google Scholar] [CrossRef]
- Gougeon, A. Dynamics of Follicle Development in the Human Ovary. In Polycystic Ovary Syndrome; Chang, R.J., Ed.; Springer: New York, NY, USA, 1996. [Google Scholar] [CrossRef]
- Dolmans, M.M.; Falcone, T.; Patrizio, P. Importance of patient selection to analyze in vitro fertilization outcome with transplanted cryopreserved ovarian tissue. Fertil. Steril. 2020, 114, 279–280. [Google Scholar] [CrossRef]
- Jensen, A.K.; Kristensen, S.G.; Macklon, K.T.; Jeppesen, J.V.; Fedder, J.; Ernst, E.; Andersen, C.Y. Outcomes of transplantations of cryopreserved ovarian tissue to 41 women in Denmark. Hum. Reprod. 2015, 30, 2838–2845. [Google Scholar] [CrossRef]
- Diaz-Garcia, C.; Domingo, J.; Garcia-Velasco, J.A.; Herraiz, S.; Mirabet, V.; Iniesta, I.; Cobo, A.; Remohí, J.; Pellicer, A. Oocyte vitrification versus ovarian cortex transplantation in fertility preservation for adult women undergoing gonadotoxic treatments: A prospective cohort study. Fertil. Steril. 2018, 109, 478–485.e2. [Google Scholar] [CrossRef] [PubMed]
- Dolmans, M.M.; Luyckx, V.; Donnez, J.; Andersen, C.Y.; Greve, T. Risk of transferring malignant cells with transplanted frozen-thawed ovarian tissue. Fertil. Steril. 2013, 99, 1514–1522. [Google Scholar] [CrossRef] [PubMed]
- Dolmans, M.M.; Amorim, C.A. Fertility preservation: Construction and use of artificial ovaries. Reproduction 2019, 158, F15–F25. [Google Scholar] [CrossRef] [PubMed]
- Dolmans, M.M.; Marinescu, C.; Saussoy, P.; Van Langendonckt, A.; Amorim, C.; Donnez, J. Reimplantation of cryopreserved ovarian tissue from patients with acute lymphoblastic leukemia is potentially unsafe. Blood 2010, 116, 2908–2914. [Google Scholar] [CrossRef]
- Rosendahl, M.; Andersen, M.T.; Ralfkiær, E.; Kjeldsen, L.; Andersen, M.K.; Andersen, C.Y. Evidence of residual disease in cryopreserved ovarian cortex from female patients with leukemia. Fertil. Steril. 2010, 94, 2186–2190. [Google Scholar] [CrossRef]
- Greve, T.; Clasen-Linde, E.; Andersen, M.T.; Andersen, M.K.; Sørensen, S.D.; Rosendahl, M.; Ralfkiaer, E.; Andersen, C.Y. Cryopreserved ovarian cortex from patients with leukemia in complete remission contains no apparent viable malignant cells. Blood 2012, 120, 4311–4316. [Google Scholar] [CrossRef] [PubMed]
- Chevillon, F.; Clappier, E.; Arfeuille, C.; Cayuela, J.M.; Dalle, J.H.; Kim, R.; Caye-Eude, A.; Chalas, C.; Abdo, C.; Drouineaud, V.; et al. Minimal residual disease quantification in ovarian tissue collected in patients in complete remission of acute leukemia. Blood 2021, 137, 1697–1701. [Google Scholar] [CrossRef]
- Shapira, M.; Raanani, H.; Barshack, I.; Amariglio, N.; Derech-Haim, S.; Marciano, M.N.; Schiff, E.; Orvieto, R.; Meirow, D. First delivery in a leukemia survivor after transplantation of cryopreserved ovarian tissue, evaluated for leukemia cells contamination. Fertil. Steril. 2018, 109, 48–53. [Google Scholar] [CrossRef]
- Silber, S.J.; DeRosa, M.; Goldsmith, S.; Fan, Y.; Castleman, L.; Melnick, J. Cryopreservation and transplantation of ovarian tissue: Results from one center in the USA. J. Assist. Reprod. Genet. 2018, 35, 2205–2213. [Google Scholar] [CrossRef]
- Sonmezer, M.; Ozkavukcu, S.; Sukur, Y.E.; Kankaya, D.; Arslan, O. First pregnancy and live birth in Turkey following frozen-thawed ovarian tissue transplantation in a patient with acute lymphoblastic leukemia who underwent cord blood transplantation. J. Assist. Reprod. Genet. 2020, 37, 2033–2043. [Google Scholar] [CrossRef]
- Rodriguez-Wallberg, K.A.; Milenkovic, M.; Papaikonomou, K.; Keros, V.; Gustafsson, B.; Sergouniotis, F.; Wikander, I.; Perot, R.; Borgström, B.; Ljungman, P.; et al. Successful pregnancies after transplantation of ovarian tissue retrieved and cryopreserved at time of childhood acute lymphoblastic leukemia—A case report. Haematologica 2021, 106, 2783–2787. [Google Scholar] [CrossRef] [PubMed]
- Shapira, M.; Raanani, H.; Derech Chaim, S.; Meirow, D. Challenges of fertility preservation in leukemia patients. Minerva Ginecol. 2018, 70, 456–464. [Google Scholar] [CrossRef] [PubMed]
- Practice Committee of the American Society for Reproductive Medicine. Fertility preservation in patients undergoing gonadotoxic therapy or gonadectomy: A committee opinion. Fertil. Steril. 2019, 112, 1022–1033. [Google Scholar] [CrossRef] [PubMed]
- Poirot, C.J.; Martelli, H.; Genestie, C.; Golmard, J.L.; Valteau-Couanet, D.; Helardot, P.; Pacquement, H.; Sauvat, F.; Tabone, M.D.; Philippe-Chomette, P.; et al. Feasibility of ovarian tissue cryopreservation for prepubertal females with cancer. Pediatr. Blood Cancer 2007, 49, 74–78. [Google Scholar] [CrossRef]
- Poirot, C. Ovarian cryopreservation for subsequent transplantation in prepubertal and adolescent girls. In Ovarian Freezing and Transplantation; Oktay, K., Ed.; Elsevier: Cambridge, MA, USA, 2022; in press. [Google Scholar]
- Borgström, B.; Hreinsson, J.; Rasmussen, C.; Sheikhi, M.; Fried, G.; Keros, V.; Fridström, M.; Hovatta, O. Fertility preservation in girls with Turner syndrome: Prognostic signs of the presence of ovarian follicles. J. Clin. Endocrinol. Metab. 2009, 94, 74–80. [Google Scholar] [CrossRef]
- Oktay, K.; Oktem, O. Fertility preservation medicine: A new field in the care of young cancer survivors. Pediatr. Blood Cancer 2009, 53, 267–273. [Google Scholar] [CrossRef]
- Jadoul, P.; Dolmans, M.M.; Donnez, J. Fertility preservation in girls during childhood: Is it feasible, efficient and safe and to whom should it be proposed? Hum. Reprod. Update 2010, 16, 617–630. [Google Scholar] [CrossRef]
- Fabbri, R.; Vicenti, R.; Macciocca, M.; Pasquinelli, G.; Macciocca, M.; Parazza, I.; Paradisi, R.; Battaglia, C.; Venturoli, S. Cryopreservation of ovarian tissue in pediatric patients. Obstet. Gynecol. Int. 2012, 2012, 910698. [Google Scholar] [CrossRef]
- Lima, M.; Gargano, T.; Fabbri, R.; Maffi, M.; Destro, F. Ovarian tissue collection for cryopreservation in pediatric age: Laparoscopic technical tips. J. Pediatr. Adolesc. Gynecol. 2014, 27, 95–97. [Google Scholar] [CrossRef]
- Biasin, E.; Salvagno, F.; Berger, M.; Nesi, F.; Quarello, P.; Vassallo, E.; Evangelista, F.; Marchino, G.L.; Revelli, A.; Benedetto, C.; et al. Ovarian tissue cryopreservation in girls undergoing haematopoietic stem cell transplant: Experience of a single centre. Bone Marrow Transplant. 2015, 50, 1206–1211. [Google Scholar] [CrossRef]
- Abir, R.; Ben-Aharon, I.; Garor, R.; Yaniv, I.; Ash, S.; Stemmer, S.M.; Ben-Haroush, A.; Freud, E.; Kravarusic, D.; Sapir, O.; et al. Cryopreservation of in vitro matured oocytes in addition to ovarian tissue freezing for fertility preservation in paediatric female cancer patients before and after cancer therapy. Hum. Reprod. 2016, 31, 750–762. [Google Scholar] [CrossRef]
- Jensen, A.K.; Rechnitzer, C.; Macklon, K.T.; Ifversen, M.R.; Birkebæk, N.; Clausen, N.; Sørensen, K.; Fedder, J.; Ernst, E.; Andersen, C.Y. Cryopreservation of ovarian tissue for fertility preservation in a large cohort of young girls: Focus on pubertal development. Hum. Reprod. 2017, 32, 154–164. [Google Scholar] [CrossRef] [PubMed]
- Armstrong, A.G.; Kimler, B.F.; Smith, B.M.; Woodruff, T.K.; Pavone, M.E.; Duncan, F.E. Ovarian tissue cryopreservation in young females through the Oncofertility Consortium’s National Physicians Cooperative. Future Oncol. 2018, 14, 363–378. [Google Scholar] [CrossRef] [PubMed]
- Rowell, E.E.; Corkum, K.S.; Lautz, T.B.; Laronda, M.M.; Walz, A.L.; Madonna, M.B.; Lockart, B.A.; Reynolds, M. Laparoscopic unilateral oophorectomy for ovarian tissue cryopreservation in children. J. Pediatr. Surg. 2019, 54, 543–549. [Google Scholar] [CrossRef] [PubMed]
- Rodriguez-Wallberg, K.A.; Marklund, A.; Lundberg, F.; Wikander, I.; Milenkovic, M.; Anastacio, A.; Sergouniotis, F.; Wånggren, K.; Ekengren, J.; Lind, T.; et al. A prospective study of women and girls undergoing fertility preservation due to oncologic and non-oncologic indications in Sweden-Trends in patients’ choices and benefit of the chosen methods after long-term follow up. Acta Obstet. Gynecol. Scand. 2019, 98, 604–615. [Google Scholar] [CrossRef]
- Lotz, L.; Reis Barbosa, P.; Knorr, C.; Hofbeck, L.; Hoffmann, I.; Beckmann, M.W.; Antoniadis, S.; Dittrich, R. The safety and satisfaction of ovarian tissue cryopreservation in prepubertal and adolescent girls. Reprod. Biomed. Online 2020, 40, 547–554. [Google Scholar] [CrossRef]
- Takae, S.; Furuta, S.; Keino, D.; Shiraishi, E.; Iwahata, Y.; Oyama, K.; Iwahata, H.; Nishiya, Y.; Kawaguchi, J.; Obayashi, J.; et al. Surgical management of unilateral oophorectomy for ovarian tissue cryopreservation in high-risk children and adolescents with varied backgrounds. Pediatr. Surg. Int. 2021, 37, 1021–1029. [Google Scholar] [CrossRef]
- Joshi, V.B.; Behl, S.; Pittock, S.T.; Arndt, C.A.S.; Zhao, Y.; Khan, Z.; Granberg, C.F.; Chattha, A. Establishment of a pediatric ovarian and testicular cryopreservation program for malignant and non-malignant conditions: The Mayo Clinic experience. J. Pedriatr. Adolesc. Gynecol. 2021, 34, 673–680. [Google Scholar] [CrossRef]
- Revel, A.; Koler, M.; Simon, A.; Lewin, A.; Laufer, N.; Safran, A. Oocyte collection during cryopreservation of the ovarian cortex. Fertil. Steril. 2003, 79, 1237–1239. [Google Scholar] [CrossRef]
- Poirot, C.; Abirached, F.; Prades, M.; Coussieu, C.; Bernaudin, F.; Piver, P. Induction of puberty by autograft of cryopreserved ovarian tissue. Lancet 2012, 379, 588. [Google Scholar] [CrossRef]
- Ernst, E.; Kjaersgaard, M.; Birkebaek, N.H.; Clausen, N.; Andersen, C.Y. Case report: Stimulation of puberty in a girl with chemo- and radiation therapy induced ovarian failure by transplantation of small part of her frozen/thawed ovarian tissue. Eur. J. Cancer. 2013, 49, 911–914. [Google Scholar] [CrossRef] [PubMed]
- Donnez, J.; Squifflet, J.; Jadoul, P.; Demylle, D.; Cheron, A.C.; Van Langendonckt, A.; Dolmans, M.M. Pregnancy and live birth after autotransplantation of frozen-thawed ovarian tissue in a patient with metastatic disease undergoing chemotherapy and hematopoietic stem cell transplantation. Fertil. Steril. 2011, 95, 1787.e1–1787.e4. [Google Scholar] [CrossRef] [PubMed]
- Stern, C.J.; Toledo, M.G.; Hale, L.G.; Gook, D.A.; Edgar, H.D. The first Australian experience of heterotopic grafting of cryopreserved ovarian tissue: Evidence of establishment of normal ovarian function. Aust. N. Z. J. Obstet. Gynaecol. 2011, 51, 268–271. [Google Scholar] [CrossRef] [PubMed]
- Macklon, K.T.; Jensen, A.K.; Loft, A.; Ernst, E.; Andersen, C.Y. Treatment history and outcome of 24 deliveries worldwide after autotransplantation of cryopreserved ovarian tissue, including two new Danish deliveries years after autotransplantation. J. Assist. Reprod. Genet. 2014, 31, 1557–1564. [Google Scholar] [CrossRef][Green Version]
- Demeestere, I.; Simon, P.; Dedeken, L.; Moffa, F.; Tsépélidis, S.; Brachet, C.; Delbaere, A.; Devreker, F.; Ferster, A. Live birth after autograft of ovarian tissue cryopreserved during childhood. Hum. Reprod. 2015, 30, 2107–2109. [Google Scholar] [CrossRef]
- Póvoa, A.; Xavier, P.; Calejo, L.; Soares, S.; Sousa, M.; Silva, J.; Sousa, S.; Barros, A.; Beires, J. First transplantation of cryopreserved ovarian tissue in Portugal, stored for 10 years: An unexpected indication. Reprod. Biomed. Online 2016, 32, 334–336. [Google Scholar] [CrossRef]
- Matthews, S.J.; Picton, H.; Ernst, E.; Andersen, C.Y. Successful pregnancy in a woman previously suffering from β-Thalassemia following transplantation of ovarian tissue cryopreserved before puberty. Minerva Ginecol. 2018, 70, 432–435. [Google Scholar] [CrossRef]
- Kim, T.J.; Hong, S.W. Successful live birth from vitrified oocytes after 5 years of cryopreservation. J. Assist. Reprod. Genet. 2011, 28, 73–76. [Google Scholar] [CrossRef]
- Reichman, D.E.; Davis, O.K.; Zaninovic, N.; Rosenwaks, Z.; Goldschlag, D.E. Fertility preservation using controlled ovarian hyperstimulation and oocyte cryopreservation in a premenarcheal female with myelodysplastic syndrome. Fertil. Steril. 2012, 5, 1225–1228. [Google Scholar] [CrossRef]
- Oktay, K.; Bedoschi, G. Oocyte cryopreservation for fertility preservation in post-pubertal female children at risk for premature ovarian failure due to accelerated follicle loss in Turner Syndrome or cancer treatments. J. Pediatr. Adolesc. Gynecol. 2014, 27, 342–346. [Google Scholar] [CrossRef]
- Lavery, S.T.; Islam, R.; Hunt, J.; Carby, A.; Anderson, R.A. The medical ant ethical challenges of fertility preservation in teenage girls: A case series of sickle cell anaemia patients prior to bone marrow transplant. Hum. Reprod. 2016, 31, 1501–1507. [Google Scholar] [CrossRef] [PubMed]
- Pecker, L.H.; Maher, J.Y.; Law, J.Y.; Beach, M.C.; Lanzkron, S.; Christianson, M.S. Risks associated with fertility preservation for women with sickle cell anemia. Fertil. Steril. 2018, 110, 720–731. [Google Scholar] [CrossRef] [PubMed]
- Garg, D.; Johnstone, E.B.; Fair, D.B.; Carrell, D.T.; Berga, S.; Letourneau, J.M. Oncofertility conundrum: Discrepancy between anti-müllerian hormone and mature oocyte yield in a peripubertal girl with Hodgkin lymphoma. J. Assist. Reprod. Genet. 2019, 36, 1753–1756. [Google Scholar] [CrossRef] [PubMed]
- Azem, F.; Brener, A.; Malinger, G.; Reches, A.; Many, A.; Yogev, Y.; Lebenthal, Y. Bypassing physiological puberty, a novel procedure of oocyte cryopreservation at age 7: A case report and review of the literature. Fertil. Steril. 2020, 114, 374–377. [Google Scholar] [CrossRef] [PubMed]
- Manuel, S.L.; Moravek, M.B.; Confino, R.; Smith, K.N.; Lawson, A.K.; Klock, S.C.; Pavone, M.E. Ovarain stimulation is a safe and effective fertility preservation option in the adolescent and young adult population. J. Assist. Reprod. Genet. 2020, 37, 699–708. [Google Scholar] [CrossRef] [PubMed]
- Hipp, H.S.; Shandley, L.M.; Schirmer, D.A.; McKenzie, L.; Kawwass, J.F. Oocyte cryopreservation in adolescent women. J. Pediatr. Adolesc. Gynecol. 2019, 32, 377–382. [Google Scholar] [CrossRef]
- Anderson, R.A.; McLaughlin, M.; Wallace, W.H.; Albertini, D.F.; Telfer, E.E. The immature human ovary shows loss of abnormal follicles and increasing follicle developmental competence through childhood and adolescence. Hum. Reprod. 2014, 29, 97–106. [Google Scholar] [CrossRef]
- Garcia-Velasco, J.A.; Domingo, J.; Cobo, A.; Martínez, M.; Carmona, L.; Pellicer, A. Five years’ experience using oocyte vitrification to preserve fertility for medical and nonmedical indications. Fertil. Steril. 2013, 99, 1994–1999. [Google Scholar] [CrossRef]
- Friedler, S.; Koc, O.; Gidoni, Y.; Raziel, A.; Ron-El, R. Ovarian response to stimulation for fertility preservation in women with malignant disease: A systematic review and meta-analysis. Fertil. Steril. 2012, 97, 125–133. [Google Scholar] [CrossRef]
- Lekovich, J.; Lobel, A.; Stewart, J.D.; Pereira, N.; Kligman, I.; Rosenwaks, Z. Female patients with lymphoma demonstrate diminished ovarian reserve even before initiation of chemotherapy when compared with healthy controls and patients with other malignancies. J. Assist. Reprod. Genet. 2016, 33, 657–662. [Google Scholar] [CrossRef]
- Lawrenz, B.; Fehm, T.; von Wolff, M.; Soekler, M.; Huebner, S.; Henes, J.; Henes, M.; Centers of FertiPROTEKT Network. Reduced pretreatment ovarian reserve in premenopausal female patients with Hodgkin lymphoma or non-Hodgkin-lymphoma--evaluation by using antimüllerian hormone and retrieved oocytes. Fertil. Steril. 2012, 98, 141–144. [Google Scholar] [CrossRef] [PubMed]
- Duncan, F.E. Egg Quality during the pubertal Transition-Is Youth all it’s cracked up to be? Front. Endocrinol. 2017, 8, 226. [Google Scholar] [CrossRef] [PubMed]
- Nielsen, J.; Wohlert, M. Chromosome abnormalities found among 34,910 newborn children: Results from a 13-year incidence study in Arhus, Denmark. Hum. Genet. 1991, 87, 81–83. [Google Scholar] [CrossRef] [PubMed]
- Stochholm, K.; Juul, S.; Juel, K.; Naeraa, R.W.; Gravholt, C.H. Prevalence, incidence, diagnostic delay, and mortality in Turner syndrome. J. Clin. Endocrinol. Metab. 2006, 91, 3897–3902. [Google Scholar] [CrossRef] [PubMed]
- Gruchy, N.; Vialard, F.; Blondeel, E.; Le Meur, N.; Joly-Hélas, G.; Chambon, P.; Till, M.; Herbaut-Graux, M.; Vigouroux-Castera, A.; Coussement, A.; et al. Pregnancy outcomes of prenatally diagnosed Turner syndrome: A French multicenter retrospective study including a series of 975 cases. Prenat. Diagn. 2014, 34, 1133–1138. [Google Scholar] [CrossRef]
- Modi, D.N.; Sane, S.; Bhartiya, D. Accelerated germ cell apoptosis in sex chromosome aneuploid fetal human gonads. Mol. Hum. Reprod. 2003, 9, 219–225. [Google Scholar] [CrossRef]
- Grynberg, M.; Bidet, M.; Benard, J.; Poulain, M.; Sonigo, C.; Cédrin-Durnerin, I.; Polak, M. Fertility preservation in Turner syndrome. Fertil. Steril. 2016, 105, 13–19. [Google Scholar] [CrossRef]
- Oktay, K.; Bedoschi, G.; Berkowitz, K.; Bronson, R.; Kashani, B.; McGovern, P.; Pal, L.; Quinn, G.; Rubin, K. Fertility Preservation in Women with Turner Syndrome: A Comprehensive Review and Practical Guidelines. J. Pediatr. Adolesc. Gynecol. 2016, 29, 409–416. [Google Scholar] [CrossRef]
- Pasquino, A.M.; Passeri, F.; Pucarelli, I.; Segni, M.; Municchi, G. Spontaneous pubertal development in Turner’s syndrome. Italian Study Group for Turner’s Syndrome. J. Clin. Endocrinol. Metab. 1997, 82, 1810–1813. [Google Scholar] [CrossRef]
- Hovatta, O. Pregnancies in women with Turner’s syndrome. Ann. Med. 1999, 31, 106–110. [Google Scholar] [CrossRef]
- Bernard, V.; Donadille, B.; Zenaty, D.; Courtillot, C.; Salenave, S.; Brac de la Perrière, A.; Albarel, F.; Fèvre, A.; Kerlan, V.; Brue, T.; et al. Spontaneous fertility and pregnancy outcomes amongst 480 women with Turner syndrome. Hum. Reprod. 2016, 31, 782–788. [Google Scholar] [CrossRef]
- Dabrowski, E.; Jensen, R.; Johnson, E.K.; Habiby, R.L.; Brickman, W.J.; Finlayson, C. Turner Syndrome Systematic Review: Spontaneous Thelarche and Menarche Stratified by Karyotype. Horm. Res. Paediatr. 2019, 92, 143–149. [Google Scholar] [CrossRef] [PubMed]
- El-Shawarby, S.A.; Sharif, F.; Conway, G.; Serhal, P.; Davies, M. Oocyte cryopreservation after controlled ovarian hyperstimulation in mosaic Turner syndrome: Another fertility preservation option in a dedicated UK clinic. BJOG 2010, 117, 234–237. [Google Scholar] [CrossRef] [PubMed]
- Oktay, K.; Rodriguez-Wallberg, K.A.; Sahin, G. Fertility preservation by ovarian stimulation and oocyte cryopreservation in a 14-year-old adolescent with Turner syndrome mosaicism and impending premature ovarian failure. Fertil. Steril. 2010, 94, 753.e15–753.e19. [Google Scholar] [CrossRef] [PubMed]
- Talaulikar, V.S.; Conway, G.S.; Pimblett, A.; Davies, M.C. Outcome of ovarian stimulation for oocyte cryopreservation in women with Turner syndrome. Fertil. Steril. 2019, 111, 505–509. [Google Scholar] [CrossRef]
- Vergier, J.; Bottin, P.; Saias, J.; Reynaud, R.; Guillemain, C.; Courbiere, B. Fertility preservation in Turner syndrome: Karyotype does not predict ovarian response to stimulation. Clin. Endocrinol. 2019, 91, 646–651. [Google Scholar] [CrossRef]
- Dolmans, M.M.; Donnez, J.; Camboni, A.; Demylle, D.; Amorim, C.A.; Van Langendonckt, A.; Pirard, C. IVF outcome in patients with orthotopically transplanted ovarian tissue. Hum. Reprod. 2009, 24, 2778–2787. [Google Scholar] [CrossRef]
- Mamsen, L.S.; Charkiewicz, K.; Anderson, R.A.; Telfer, E.E.; McLaughlin, M.; Kelsey, T.W.; Kristensen, S.G.; Gook, D.A.; Ernst, E.; Andersen, C.Y. Characterization of follicles in girls and young women with Turner syndrome who underwent ovarian tissue cryopreservation. Fertil. Steril. 2019, 111, 1217–1225.e3. [Google Scholar] [CrossRef]
- Peek, R.; Schleedoorn, M.; Smeets, D.; van de Zande, G.; Groenman, F.; Braat, D.; van der Velden, J.; Fleischer, K. Ovarian follicles of young patients with Turner’s syndrome contain normal oocytes but monosomic 45,X granulosa cells. Hum. Reprod. 2019, 34, 1686–1696.e3. [Google Scholar] [CrossRef]
- Huang, J.Y.; Tulandi, T.; Holzer, H.; Lau, N.M.; Macdonald, S.; Tan, S.L.; Chian, R.C. Cryopreservation of ovarian tissue and in vitro matured oocytes in a female with mosaic Turner syndrome: Case Report. Hum. Reprod. 2008, 23, 336–339. [Google Scholar] [CrossRef]
- Schleedoorn, M.; van der Velden, J.; Braat, D.; Beerendonk, I.; van Golde, R.; Peek, R.; Fleischer, K. TurnerFertility trial: PROTOCOL for an observational cohort study to describe the efficacy of ovarian tissue cryopreservation for fertility preservation in females with Turner syndrome. BMJ Open 2019, 9, e030855. [Google Scholar] [CrossRef] [PubMed]
Publisher’s Note: MDPI stays neutral with regard to jurisdictional claims in published maps and institutional affiliations. |
© 2021 by the authors. Licensee MDPI, Basel, Switzerland. This article is an open access article distributed under the terms and conditions of the Creative Commons Attribution (CC BY) license (https://creativecommons.org/licenses/by/4.0/).



