Abstract
Background: There is a paucity of data concerning the feasibility and value of thoracic aortic stent graft implantation (TEVAR) applications for removing tumors infiltrating the aortic wall. This analysis aimed to demonstrate the feasibility of TEVAR and monitor the perioperative risks of morbidity and mortality. Additionally, a literature review was performed. Methods: A retrospective data analysis was performed on patients who received TEVAR prior to thoracic malignancy resection between January 2010 and April 2024. The primary endpoint was technical success. Results: A total of 15 patients (median age: 67 years; range: 23–75; 66.7% female) received TEVAR prior to thoracic surgery of different tumor entities. In 80% of cases (n = 12), the proximal landing zone was in aortic zone 3. In three cases, the supra-aortic debranching of LSA and/or LCCA via bypass implantation or in situ laser fenestration was necessary. No postoperative endograft-related complications were observed. In eight patients, aortic wall infiltration was confirmed intraoperatively. In total, R0 resection was achieved in seven patients (46.7%). The 30-day mortality rate was 6.7% (n = 1). Technical success was achieved in all patients (100%), while procedural success was achieved in 80% due to incomplete tumor resection in three patients. Conclusions: To the best of our knowledge, this is the largest analysis to date that confirms the results of previous smaller studies. Aortic stent grafting prior to thoracic tumor resection allows for extensive resection while maintaining low morbidity and a low 30-day mortality risk.
1. Introduction
Tumor mass infiltration into the thoracic aorta, originating as a locally advanced tumor from the lung or as lung metastasis, can pose significant intraoperative risks, particularly bleeding complications due to injury to or erosion of the aortic wall [1,2,3,4,5,6,7]. Examining all the stages of lung carcinomas, T4 tumors appear infrequently, constituting approximately 4.4%. The occurrence of lung carcinomas infiltrating the aorta is even more uncommon, making up less than 1% of all T4 tumors [8,9]. These cases are further complicated by the fact that surgery of tumors invading the aorta could lead to incomplete resection margins and even tumor survival [10]. Complete resection may require aortic cross-clamping, possible prosthetic replacement, and extracorporeal circulation techniques to avoid fatal bleeding during surgery, with potentially life-threatening risks [11].
After the pioneering work by Volodos and colleagues in the early 1990s, who introduced the concept of utilizing stent grafts for the endovascular repair of abdominal and thoracic aneurysms, this less invasive approach has now established itself as the primary method for treating aortic pathologies [12]. The first case report on the off-label use of endografts in oncology was published in 2008 by Marulli et al. [13]. Since then, only a handful of studies have reported using TEVAR (thoracic endovascular aortic repair) to aid the en bloc resection of thoracic aortic wall-invading tumors [7,11,13,14,15,16,17,18,19,20,21,22,23]. In cases where the tumor mass is located near the origins of the supra-aortic branches, achieving a secure seal or sufficient safety margin may require additional open or endovascular debranching techniques. These procedures carry additional risks, such as stroke or spinal ischemia. However, limited data are currently available on these outcomes.
This analysis aimed to evaluate the feasibility of employing TEVAR prior to major thoracic cancer surgery, with a focus on the additional risks of perioperative morbidity and mortality.
2. Materials and Methods
All patients with suspected tumor mass infiltration of the aortic wall due to thoracic cancer treated with thoracic aortic stent graft implantation before tumor surgery at the University Hospital Zurich between January 2010 and April 2024 were retrospectively analyzed.
The data were collected from the clinical information system database at the University Hospital Zurich and input to an anonymized and password-protected data file (Excel Microsoft 2016). The clinical data included demographic characteristics, cardiovascular risk profiles, clinical presentation, preoperative and postoperative computed tomography angiography (CTA)-detected morphometric variables, and follow-up data. The institutional ethics committee approved the study protocol; written informed consent was obtained from all patients, or their enrolment was covered by paragraph 34 of the National Federal Human Research Act (BASEC Number 2021-02067). In addition, a literature review was conducted.
2.1. Inclusion and Exclusion Criteria
All patients with suspected tumor mass infiltration of the aortic wall due to thoracic malignancy and treated with thoracic aortic stent graft implantation before tumor surgery were included. Patients who declined further use of their data were excluded.
2.2. Preoperative Staging, Operation Planning, and TEVAR Technique
Preoperative assessment and staging included comprehensive, contrast-enhanced computed tomography (CT) of the chest and abdomen in most cases. Magnetic resonance imaging (MRI) was conducted in situations where there was uncertainty about cardiovascular infiltration or the presence of brain metastasis. Fluorodeoxyglucose-positron emission tomography (FDG-PET) was undertaken where there were doubts about the presence of metastatic lesions or for further clarification of tumor behavior. All the patients were discussed in an interdisciplinary tumor board prior to surgery. In cases where imaging revealed a suspected infiltration of the aortic wall, endovascular lining with TEVAR was planned prior to thoracic surgery.
TEVAR: Usually, femoral access is chosen under intubation anesthesia. After ultrasound-guided retrograde puncture, a large access sheet matching the prosthesis, measured using the preoperative CTA (maximum oversizing of 10%), is inserted via a stiff wire under fluoroscopic control. The corresponding prosthesis is inserted and released after angiography to visualize the supra-aortic branches and celiac trunk. The pathology length to be covered is determined using the vertebral bodies as landmarks to exceed the pathology proximally and distally by at least 2 cm. If this cannot be achieved because the supra-aortic vessels are close to the pathology, debranching must be performed to extend the landing zone, e.g., via the transposition or bypassing of the left subclavian artery.
2.3. Outcome Criteria
The primary outcome was technical success, defined as successful TEVAR without complications such as hemorrhage, stroke, endoleaks, or an inadequate overlap zone regarding the tumor mass (at least 2 cm proximal and distal of the tumor mass) evaluated on postoperative CT images.
The secondary outcome was successful TEVAR and the completion of the planned tumor mass resection without bleeding complications, also reported as procedural success. Additionally, the peri- and postoperative morbidity and mortality were analyzed.
2.4. Statistics
A descriptive data analysis was performed. Data are shown as percentages, medians, and ranges. The results of the study will be reported according to the STROBE guidelines for reporting observational studies [24] (completed checklist see Supplementary Materials). The statistical analysis was conducted using Excel 2016 and IBM SPSS Statistics Version: 29.0.0.0.
3. Results
3.1. Demographics
A total of 15 patients (median age: 67 years; range: 23–75; 66.7% female) were treated at our institution between January 2010 and April 2024. Table 1 and Table 2 present the demographics and comorbidities and the different tumor entities with the corresponding tumor stages, respectively.
Table 1.
Demographics, tumor stage, and comorbidities (N = 15).
Table 2.
Tumor entities with the corresponding tumor stages.
3.2. Treatment
Ten patients were treated with neoadjuvant therapy, including chemotherapy (n = 6) or combined radio–chemotherapy (n = 4). In all patients, it was possible to implant the stent graft with sufficient overlap at the tumor mass level (Table 3). Thirteen of the fifteen patients were treated with a single stent graft, and only two patients received two prostheses to cover the adjacent tumor mass with a sufficient safety margin of at least 2 cm. Most patients (n = 10) received a TAG stent graft from W. L. Gore & Associates, Inc. (Newark, DE, USA) without bare springs. Five patients received stent grafts with bare springs: three Zenith alpha thoracic from Cook Medical (Bloomington, IN, USA) and two Evita (Jotec, Hechingen, Germany). In most cases (12 cases/80%), the proximal landing zone was in aortic arch zone 3. Extension into aortic arch zones 2 and 1 in two cases and one case, respectively, was necessary to have sufficient proximal coverage of the tumor mass. Supra-aortic vessels had to be debranched for this purpose. For zone 2, this was conducted in one case by placing an LSA bypass on the left common carotid artery (LCCA) and in another very recent case via laser in situ fenestration and bridging stent graft implantation. For the patient who required zone 1 debranching, a carotid–carotid–subclavian bypass had to be implanted, which led to LSA and LCCA debranching. This provided a sufficient landing zone to adequately cover the tumor mass. Vascular and thoracic surgeries were performed in a single joint operation in 2 patients and as two-stage procedure in 13 patients.
Table 3.
Treatment (N = 15).
Six patients underwent a left- or right-sided thoracotomy in the fourth or fifth intercostal space. In three patients, access via hemi-clamshell was performed. Nine patients underwent an open approach (thoracotomy n = 6, semi-clamshell n = 3), four patients underwent robotic-assisted thoracoscopic surgery, and one patient had conventional, video-assisted thoracoscopic surgery. In one patient, thoracic surgery could not be performed because the esophageal tumor had progressed further under chemotherapy. Tumor resection was performed either by an anatomical or non-anatomical resection, including wedge resection (n = 2), lobectomies (n = 5), extrapleural pneumonectomies (n = 3), one completion pneumonectomy (n = 1), and one pure pleurectomy (n = 1). In two cases, additional pericardial (n = 3) and diaphragm (n = 1) resections were performed. Furthermore, para-aortal or mediastinal tumor resection (n = 5; n = 1 thymectomy) and one esophagectomy (n = 1) were achieved. Para-aortal resection refers to tumor resections attached to the aorta, without further details on the extent of the resection. In one case, the resection could not be completed due to an inoperable situs. The tumor extended too far centrally, with the infiltration of the ascending aorta and main trunk of the left pulmonary artery. Furthermore, the tumor extended to the carina in the left main bronchus area, which would have resulted in pneumonectomy, and this was not indicated for a bulky stage N2. One patient was operated on twice: the first via RATS and the second via an open approach with the rest-lobectomy of the left upper lobe. A third case only underwent the first step with TEVAR, and no further thoracic surgery was performed due to rapid progression and an advanced tumor burden.
3.3. Outcomes
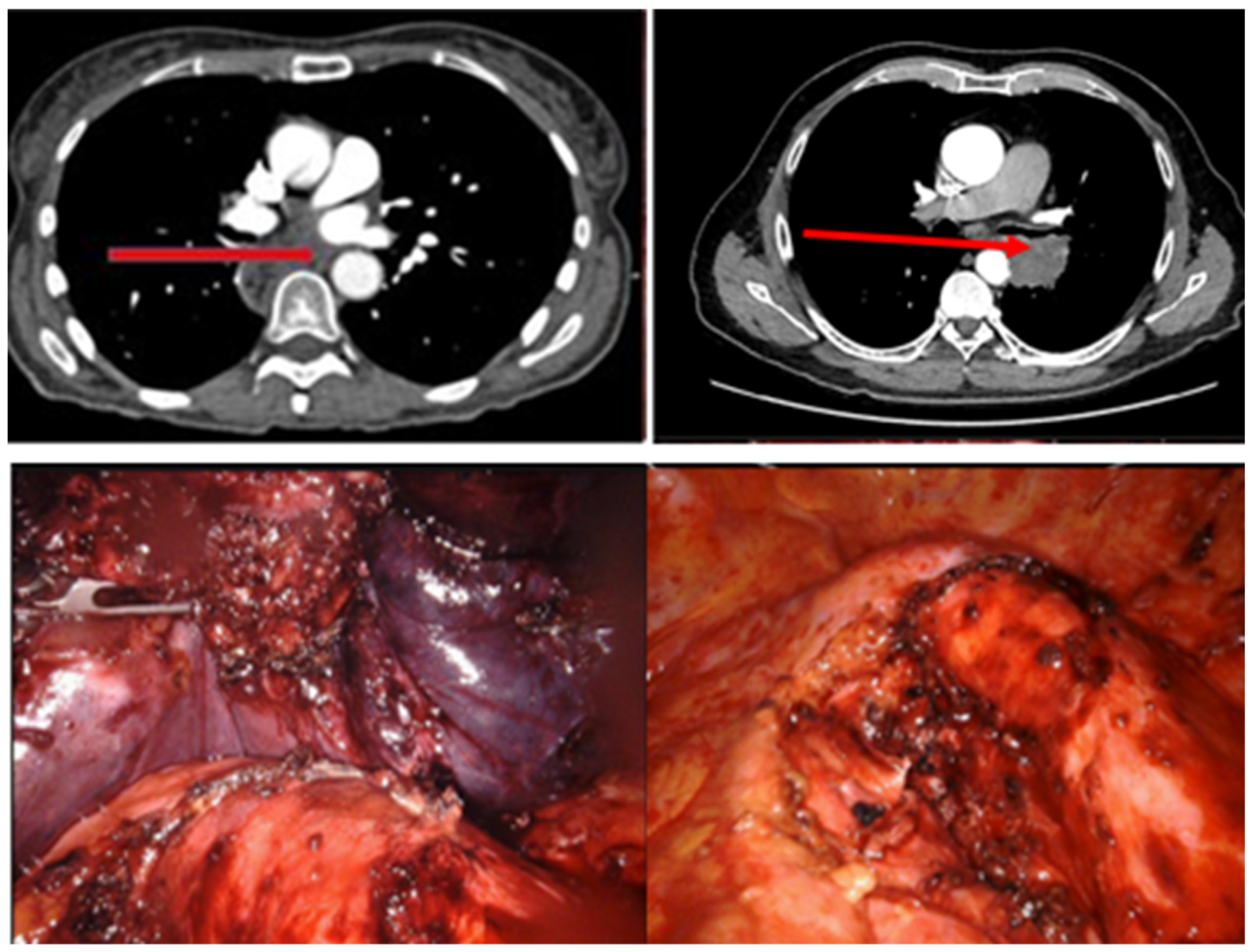
No postoperative endograft-related morbidity was recorded, specifically, no spinal cord ischemia, stroke, postoperative bleeding, access site complications, dissection, or aortic rupture (Table 4). R0 resection was achieved in seven patients. In eight patients, aortic wall infiltration was confirmed intraoperatively, and a partial, non-circumferential resection of the aortic wall was necessary, resulting in R0 not being achieved in all cases (Table 4 and Figure 1).
Table 4.
Outcomes.
Figure 1.
Top: Preoperative CT scan with the tumor mass in the posterior mediastinum with suspected aortic wall infiltration. Bottom: Intraoperative view of the partially resected tumor, including aortic wall.
A systematic lymph node dissection was performed regardless of the type of tumor resection. One patient underwent revision surgery 20 days after the initial thoracic surgery, during which an intrathoracic infection with additional old hematoma was cleared, and an intrathoracic vacuum dressing was placed. This was followed by an eventual vacuum dressing removal a few days later.
The median follow-up time was 15 months (range 0.7–93.5 months). The 30-day mortality rate was 6.7% (n = 1) due to respiratory failure, ARDS, and postoperative empyema. Within the 90-day period, a further two patients (day 49 and day 79) died of cancer-related causes (90-day mortality rate 20%, n = 3). Overall, 53% (n = 8) of the patients died during the observation period. Six of these were clearly attributable to the underlying tumor disease, although in two cases the cause remains unclear. However, a relationship to the TEVAR surgery appeared unlikely. No complication or mortality attributable to the TEVAR procedure was observed in any of the patients during follow-up.
Ultimately, the primary outcome, technical success, was achieved in all the patients (100%). The secondary outcome, procedural success, was achieved in 80% of the patients as tumor resection could not be completed in three patients. Two patients developed postoperative respiratory complications that were unrelated to the aortic tumor resection and, thus, were not included as procedural failure.
4. Discussion
This analysis was able to demonstrate the feasibility of TEVAR without increased risks of perioperative morbidity and mortality. Depending on the tumor infiltration location, in some cases, the stent graft was implanted from the descending aorta into the aortic arch, including supra-aortic vessels, to expand the proximal landing zone by adjunct (e.g., carotid–carotid–subclavian bypass/transposition) or endovascular (e.g., in situ fenestration, etc.) procedures. The preventive measures of these techniques remain uncommon in treating advanced thoracic tumors and are still not widely adopted, contributing to the paucity of available data. Stent graft implantation and proximal landing zone extension with additional debranching operations were proven safe and feasible, with a 100% technical success rate, addressing the issue of increased risks of perioperative morbidity and mortality.
To the best of our knowledge, this is the largest analysis to date. It confirms the results of the previous studies collated from our literature review. None of the published studies reported on more than 10 patients (Table 5) [7,11,14,15,16,17,18,19,20,21,22,23].
Table 5.
Literature review.
Sato et al. reported one complication in stent implantation from a dissection of the external iliac artery, although it caused no further harm [21]. Aortic stent grafting, prior to thoracic tumor resection, has emerged as a crucial technique that enables extensive resection while ensuring low morbidity and a remarkably low 30-day mortality risk, also shown in our cohort. This study supports the findings of earlier studies, emphasizing the efficacy and safety of this approach. No postoperative endograft-related morbidity, spinal cord ischemia, stroke, postoperative bleeding, access site complications, dissection, or aortic rupture were observed. By employing aortic stent grafting, surgeons can effectively navigate the complexities of thoracic tumor resections, offering patients an improved prognosis and quality of life. The positive outcomes observed in this comprehensive analysis further validate the growing recognition of aortic stent grafting as a viable option for surgical interventions in thoracic oncology.
Major lung resection is associated with increased risks of peri- and postoperative morbidity and mortality. In a recently published, large, retrospective analysis of the European Society of Thoracic Surgeons database on 25,983 patients, the incidence of cardiopulmonary complications was analyzed. Stratified by risk probability, in the moderate-risk group, the results were as follows: 21% after lobectomy (294/1435), 29% after bilobectomy (33/112), 22% after pneumonectomy (72/333), and 16% after segmentectomy (22/136) (analysis of variance test, p = 0.07) [25]. Morbidity for major lung resection varies between 27% and 44%, according to the literature, with a mortality rate between 1.4% and 5.4% [26,27] (15, 16). In our study, only one patient died within 30 days due to respiratory failure and ARDS combined with postoperative empyema.
Like Sasahara et al. and D’Andrilli et al., we recommend that thoracic surgical resection of the oncological findings should take place no longer than 7 to 10 days after stent prothesis implantation, as the perivascular inflammatory reaction caused by stent implantation makes it significantly more difficult to perform sufficient perivascular resections. However, in our view, there is no contraindication to performing both procedures within one operation [7,28].
Limitations
The retrospective nature of this analysis is a limitation itself. Even though, to the best of our knowledge, this is the largest study, the data must be viewed with caution due to the small sample size and cannot be generalized. Conducting larger-scale studies would be essential to provide a conclusive recommendation. However, these instances are relatively rare, making it challenging to conduct a comprehensive analysis. The cohort’s size is insufficient to make a definitive statement. Nonetheless, this current analysis can serve as valuable data for potential inclusion in meta-analyses or reviews, offering better insights and treatment recommendations for these exceptional cases characterized by advanced tumor diseases. Larger multi-center studies with a prospective investigation are necessary to provide more robust conclusions.
5. Conclusions
In the seemingly largest analysis to date, the findings of previous studies were validated. Aortic stent grafting before thoracic tumor resection enables extensive resections while ensuring low morbidity and a low risk of 30-day mortality.
Supplementary Materials
The following supporting information can be downloaded at: https://www.mdpi.com/article/10.3390/jcm13195694/s1, Completed STROBE checklist.
Author Contributions
Conceptualization, O.L. and B.R.; methodology, O.L., B.B., D.S., I.S.-O., A.Z. and B.R.; validation, O.L., B.B. and B.R.; formal analysis, O.L., B.B. and B.R.; investigation, O.L., B.B. and B.R.; resources, O.L., B.B., D.S., I.S.-O., A.Z. and B.R.; data curation, O.L., B.B. and B.R.; writing—original draft preparation, O.L., B.B. and B.R.; writing—review and editing, O.L., B.B., D.S., I.S.-O., A.Z. and B.R.; visualization, O.L., B.B. and B.R.; supervision, B.R.; project administration, O.L. and B.R.; funding acquisition, O.L. and B.R. All authors have read and agreed to the published version of the manuscript.
Funding
This research received no external funding.
Institutional Review Board Statement
This study was conducted in accordance with the Declaration of Helsinki and approved by the Cantonal Ethics Committee of Zurich, Switzerland (BASEC Number 2021-02067, approved on 15 July 2022).
Informed Consent Statement
Informed consent was obtained from all subjects involved in this study.
Data Availability Statement
The data underlying this article will be shared upon reasonable request to the corresponding author.
Conflicts of Interest
The authors declare the following potential conflicts of interest concerning the publication of this article’s research, authorship, and/or publication: Benedikt Reutersberg is a proctor for Terumo Aortic and Cook Medical; Alexander Zimmermann is a proctor for Cryolife/JotecArtivion, Terumo Aortic, Cook Medical, Lombard/Endovastec/Microport, and iVascular and is a member of an Advisory Board for Medtronic, Artivion, and iVascular; Isabelle Opitz declares the following potential conflicts of interest: Roche (Institutional Grant), AstraZeneca (Advisory Board), MSD (Advisory Board), BMS (Advisory Board), Medtronic (Institutional Grant and Advisory Board), Intuitive (Proctorship and Speakers Fee), Regeneron (Advisory Board), XVIVO (Institutional Grant) and Siemens (Speakers Fee).
References
- Tsuchiya, R.; Asamura, H.; Kondo, H.; Goya, T.; Naruke, T. Extended Resection of the Left Atrium, Great Vessels, or Both for Lung Cancer. Ann. Thorac. Surg. 1994, 57, 960–965. [Google Scholar] [CrossRef] [PubMed]
- Fukuse, T.; Wada, H.; Hitomi, S. Extended Operation for Non-Small Cell Lung Cancer Invading Great Vessels and Left Atrium. Eur. J. Cardio-Thorac. Surg. Off. J. Eur. Assoc. Cardio-Thorac. Surg. 1997, 11, 664–669. [Google Scholar] [CrossRef]
- Ohta, M.; Hirabayasi, H.; Shiono, H.; Minami, M.; Maeda, H.; Takano, H.; Miyoshi, S.; Matsuda, H. Surgical Resection for Lung Cancer with Infiltration of the Thoracic Aorta. J. Thorac. Cardiovasc. Surg. 2005, 129, 804–808. [Google Scholar] [CrossRef]
- Shiraishi, T.; Shirakusa, T.; Miyoshi, T.; Yamamoto, S.; Hiratsuka, M.; Iwasaki, A.; Kawahara, K. Extended Resection of T4 Lung Cancer with Invasion of the Aorta: Is It Justified? Thorac. Cardiovasc. Surg. 2005, 53, 375–379. [Google Scholar] [CrossRef]
- de Perrot, M.; Fadel, E.; Mussot, S.; de Palma, A.; Chapelier, A.; Dartevelle, P. Resection of Locally Advanced (T4) Non-Small Cell Lung Cancer with Cardiopulmonary Bypass. Ann. Thorac. Surg. 2005, 79, 1691–1696; discussion 1697. [Google Scholar] [CrossRef] [PubMed]
- Wang, X.; Liu, T.; Yin, X. Surgical Treatment of IIIb-T4 Lung Cancer Invading Left Atrium and Great Vessels. Chin. Med. J. (Engl.) 2010, 123, 265–268. [Google Scholar] [PubMed]
- D’Andrilli, A.; Maurizi, G.; Ciccone, A.M.; Ibrahim, M.; Andreetti, C.; De Benedictis, I.; Melina, G.; Venuta, F.; Rendina, E.A. Reconstruction of the Heart and the Aorta for Radical Resection of Lung Cancer. J. Thorac. Cardiovasc. Surg. 2023, 167, 1481–1489. [Google Scholar] [CrossRef]
- Pitz, C.C.M.; Brutel de la Rivière, A.; van Swieten, H.A.; Westermann, C.J.J.; Lammers, J.-W.J.; van den Bosch, J.M.M. Results of Surgical Treatment of T4 Non-Small Cell Lung Cancer. Eur. J. Cardio-Thorac. Surg. Off. J. Eur. Assoc. Cardio-Thorac. Surg. 2003, 24, 1013–1018. [Google Scholar] [CrossRef]
- Irqsusi, M.; Ghazy, T.; Vogt, S.; Mirow, N.; Kirschbaum, A. T4 Lung Carcinoma with Infiltration of the Thoracic Aorta: Indication and Surgical Procedure. Cancers 2023, 15, 4847. [Google Scholar] [CrossRef]
- Smeltzer, M.P.; Lin, C.C.; Kong, F.-M.S.; Jemal, A.; Osarogiagbon, R.U. Survival Impact of Postoperative Therapy Modalities According to Margin Status in Non-Small Cell Lung Cancer Patients in the United States. J. Thorac. Cardiovasc. Surg. 2017, 154, 661–672.e10. [Google Scholar] [CrossRef]
- Marulli, G.; Rea, F.; Zampieri, D.; Antonello, M.; Maurizi, G.; Venuta, F.; Poggi, C.; Rendina, E.A. Safe Resection of the Aortic Wall Infiltrated by Lung Cancer After Placement of an Endoluminal Prosthesis. Ann. Thorac. Surg. 2015, 99, 1768–1773. [Google Scholar] [CrossRef] [PubMed]
- Volodos’, N.; Karpovich, I.P.; Shekhanin, V.E.; Troian, V.; Iakovenko, L. A Case of Distant Transfemoral Endoprosthesis of the Thoracic Artery Using a Self-Fixing Synthetic Prosthesis in Traumatic Aneurysm. Grudn. Khir. 1988, 6, 84–86. [Google Scholar]
- Marulli, G.; Lepidi, S.; Frigatti, P.; Antonello, M.; Grego, F.; Rea, F. Thoracic Aorta Endograft as an Adjunct to Resection of a Locally Invasive Tumor: A New Indication to Endograft. J. Vasc. Surg. 2008, 47, 868–870. [Google Scholar] [CrossRef]
- Roche-Nagle, G.; de Perrot, M.; Waddell, T.K.; Oreopoulos, G.; Rubin, B.B. Neoadjuvant Aortic Endografting. Ann. Vasc. Surg. 2009, 23, 787.e1–787.e5. [Google Scholar] [CrossRef]
- Berna, P.; Bagan, P.; Dominicis, F.D.; Dayen, C.; Douadi, Y.; Riquet, M. Aortic Endostent Followed by Extended Pneumonectomy for T4 Lung Cancer. Ann. Thorac. Surg. 2011, 91, 591–593. [Google Scholar] [CrossRef]
- Collaud, S.; Waddell, T.K.; Yasufuku, K.; Oreopoulos, G.; Rampersaud, R.; Rubin, B.; Roche-Nagle, G.; Keshavjee, S.; Perrot, M. de Thoracic Aortic Endografting Facilitates the Resection of Tumors Infiltrating the Aorta. J. Thorac. Cardiovasc. Surg. 2014, 147, 1178–1182. [Google Scholar] [CrossRef] [PubMed]
- Dejima, H.; Matsutani, N.; Imazuru, T.; Morita, S.; Takahashi, Y.; Shimokawa, T.; Kawamura, M. Combined Aortic Resection and Stent Graft Insertion for Local Recurrence of Metastatic Lung Carcinoma Following Stereotactic Radiotherapy: A Case Report. Ann. Thorac. Cardiovasc. Surg. 2016, 22, 52–56. [Google Scholar] [CrossRef]
- Otani, S.; Tsubochi, H.; Endo, S.; Yuri, K. Endovascular Stent Graft for Surgical Resection of Lung Cancer Invading Aortic Arch: Report of a 79-Year-Old Patient. J. Vis. Surg. 2016, 2, 20. [Google Scholar]
- Mody, G.N.; Janko, M.; Vasudeva, V.; Chi, J.H.; Davidson, M.J.; Swanson, S. Thoracic Endovascular Aortic Stent Graft to Facilitate Aortic Resection During Pneumonectomy and Vertebrectomy for Locally Invasive Lung Cancer. Ann. Thorac. Surg. 2016, 101, 1587–1589. [Google Scholar] [CrossRef]
- Walgram, T.; Attigah, N.; Schwegler, I.; Weber, M.; Dzemali, O.; Berthold, C.; Wagnetz, D.; Carboni, G.L. Off-Label Use of Thoracic Aortic Endovascular Stent Grafts to Simplify Difficult Resections and Procedures in General Thoracic Surgery. Interact. Cardiovasc. Thorac. Surg. 2018, 26, 545–550. [Google Scholar] [CrossRef]
- Sato, S.; Nakamura, A.; Shimizu, Y.; Goto, T.; Kitahara, A.; Koike, T.; Okamoto, T.; Tsuchida, M. Early and Mid-Term Outcomes of Simultaneous Thoracic Endovascular Stent Grafting and Combined Resection of Thoracic Malignancies and the Aortic Wall. Gen. Thorac. Cardiovasc. Surg. 2019, 67, 227–233. [Google Scholar] [CrossRef] [PubMed]
- Di Tommaso, L.; Di Tommaso, E.; Giordano, R.; Mileo, E.; Santini, M.; Pilato, E.; Iannelli, G. Endovascular Surgery of Descending Thoracic Aorta Involved in T4 Lung Tumor. J. Endovasc. Ther. 2023, 30, 84–90. [Google Scholar] [CrossRef] [PubMed]
- Danial, P.; Crawford, S.; Mercier, O.; Mitilian, D.; Girault, A.; Haulon, S.; Fadel, E.; Fabre, D. Primary Thoracic Endografting for T4 Lung Cancer Aortic Involvement. Ann. Thorac. Surg. 2023, 115, 542–546. [Google Scholar] [CrossRef] [PubMed]
- von Elm, E.; Altman, D.G.; Egger, M.; Pocock, S.J.; Gøtzsche, P.C.; Vandenbroucke, J.P. STROBE Initiative Strengthening the Reporting of Observational Studies in Epidemiology (STROBE) Statement: Guidelines for Reporting Observational Studies. BMJ 2007, 335, 806–808. [Google Scholar] [CrossRef] [PubMed]
- Gooseman, M.R.; Falcoz, P.-E.; Decaluwe, H.; Szanto, Z.; Brunelli, A. Morbidity and Mortality of Lung Resection Candidates Defined by the American College of Chest Physicians as “Moderate Risk”: An Analysis from the European Society of Thoracic Surgeons Database. Eur. J. Cardio-Thorac. Surg. Off. J. Eur. Assoc. Cardio-Thorac. Surg. 2021, 60, 91–97. [Google Scholar] [CrossRef]
- Urbach, D.R.; Bell, C.M.; Austin, P.C. Differences in Operative Mortality between High- and Low-Volume Hospitals in Ontario for 5 Major Surgical Procedures: Estimating the Number of Lives Potentially Saved through Regionalization. CMAJ Can. Med. Assoc. J. J. Assoc. Medicale Can. 2003, 168, 1409–1414. [Google Scholar]
- Rosen, J.E.; Hancock, J.G.; Kim, A.W.; Detterbeck, F.C.; Boffa, D.J. Predictors of Mortality after Surgical Management of Lung Cancer in the National Cancer Database. Ann. Thorac. Surg. 2014, 98, 1953–1960. [Google Scholar] [CrossRef]
- Sasahara, H.; Sueyoshi, S.; Tanaka, T.; Fujita, H.; Shirouzu, K. Evaluation of an Aortic Stent Graft for Use in Surgery on Esophageal Cancer Involving the Thoracic Aorta: Experimental Study. Jpn. J. Thorac. Cardiovasc. Surg. Off. Publ. Jpn. Assoc. Thorac. Surg. Nihon Kyobu Geka Gakkai Zasshi 2004, 52, 231–239. [Google Scholar] [CrossRef]
Disclaimer/Publisher’s Note: The statements, opinions and data contained in all publications are solely those of the individual author(s) and contributor(s) and not of MDPI and/or the editor(s). MDPI and/or the editor(s) disclaim responsibility for any injury to people or property resulting from any ideas, methods, instructions or products referred to in the content. |
© 2024 by the authors. Licensee MDPI, Basel, Switzerland. This article is an open access article distributed under the terms and conditions of the Creative Commons Attribution (CC BY) license (https://creativecommons.org/licenses/by/4.0/).
