A High-Grade Lachman’s Exam Predicts a Ramp Tear of the Medial Meniscus in Patients with Anterior Cruciate Ligament Tear: A Prospective Clinical and Radiological Evaluation
Abstract
1. Introduction
2. Materials and Methods
2.1. Patient Involvement Statement
2.2. Surgical Technique
2.3. Postoperative Rehabilitation
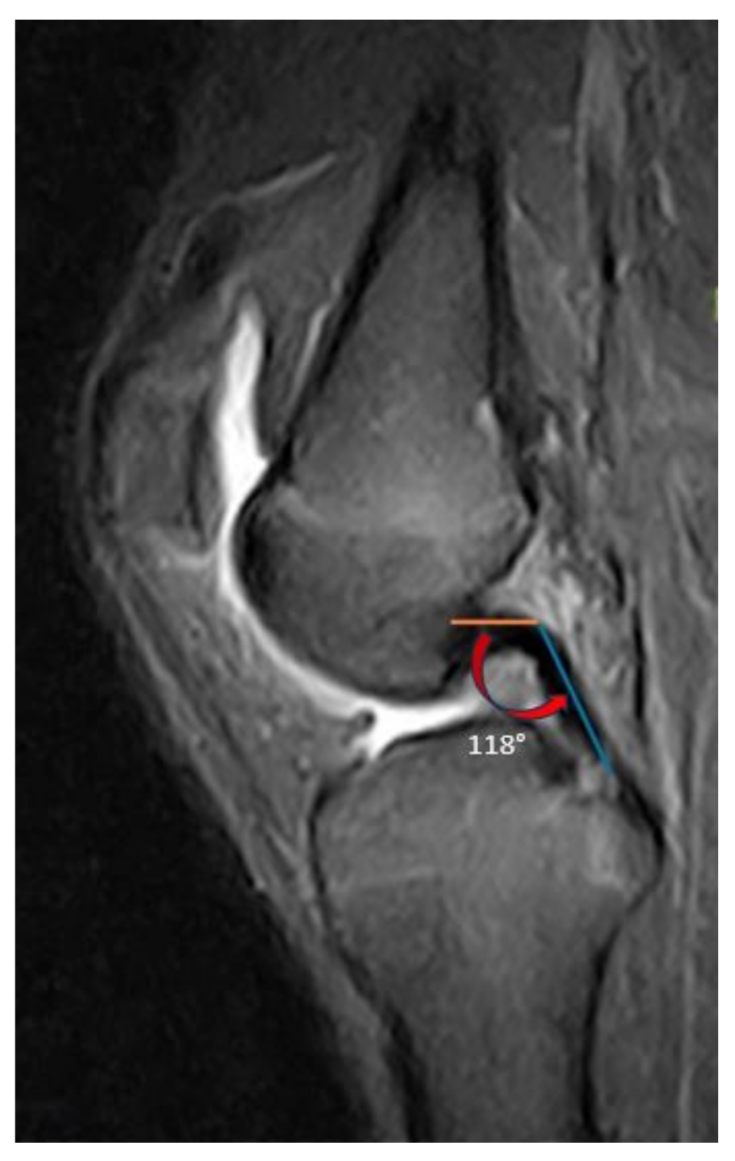
2.4. Radiological Assessment
2.5. Statistical Analysis
3. Results
4. Discussion
5. Conclusions
Author Contributions
Funding
Institutional Review Board Statement
Informed Consent Statement
Data Availability Statement
Conflicts of Interest
References
- Bae, B.S.; Yoo, S.; Lee, S.H. Ramp lesion in anterior cruciate ligament injury: A review of the anatomy, biomechanics, epidemiology, and diagnosis. Knee Surg. Relat. Res. 2023, 35, 23. [Google Scholar] [CrossRef] [PubMed]
- DePhillipo, N.N.; Moatshe, G.; Chahla, J.; Aman, Z.S.; Storaci, H.W.; Morris, E.R.; Robbins, C.M.; Engebretsen, L.; LaPrade, R.F. Quantitative and Qualitative Assessment of the Posterior Medial Meniscus Anatomy: Defining Meniscal Ramp Lesions. Am. J. Sports Med. 2019, 47, 372–378. [Google Scholar] [CrossRef] [PubMed]
- Chahla, J.; Dean, C.S.; Moatshe, G.; Mitchell, J.J.; Cram, T.R.; Yacuzzi, C.; LaPrade, R.F. Meniscal Ramp Lesions: Anatomy, Incidence, Diagnosis, and Treatment. Orthop. J. Sports Med. 2016, 4, 2325967116657815. [Google Scholar] [CrossRef] [PubMed]
- Bumberger, A.; Koller, U.; Hofbauer, M.; Tiefenboeck, T.M.; Hajdu, S.; Windhager, R.; Waldstein, W. Ramp lesions are frequently missed in ACL-deficient knees and should be repaired in case of instability. Knee Surg. Sports Traumatol. Arthrosc. 2020, 28, 840–854. [Google Scholar] [CrossRef] [PubMed]
- Cristiani, R.; van de Bunt, F.; Kvist, J.; Stalman, A. High prevalence of meniscal ramp lesions in anterior cruciate ligament injuries. Knee Surg. Sports Traumatol. Arthrosc. 2023, 31, 316–324. [Google Scholar] [CrossRef] [PubMed]
- Gracia, G.; Cavaignac, M.; Marot, V.; Mouarbes, D.; Laumonerie, P.; Cavaignac, E. Epidemiology of Combined Injuries of the Secondary Stabilizers in ACL-Deficient Knees: Medial Meniscal Ramp Lesion, Lateral Meniscus Root Tear, and ALL Tear: A Prospective Case Series of 602 Patients with ACL Tears From the SANTI Study Group. Am. J. Sports Med. 2022, 50, 1843–1849. [Google Scholar] [CrossRef]
- Magosch, A.; Mouton, C.; Nuhrenborger, C.; Seil, R. Medial meniscus ramp and lateral meniscus posterior root lesions are present in more than a third of primary and revision ACL reconstructions. Knee Surg. Sports Traumatol. Arthrosc. 2021, 29, 3059–3067. [Google Scholar] [CrossRef] [PubMed]
- DePhillipo, N.N.; Cinque, M.E.; Chahla, J.; Geeslin, A.G.; Engebretsen, L.; LaPrade, R.F. Incidence and Detection of Meniscal Ramp Lesions on Magnetic Resonance Imaging in Patients with Anterior Cruciate Ligament Reconstruction. Am. J. Sports Med. 2017, 45, 2233–2237. [Google Scholar] [CrossRef]
- Corona, K.; Cerciello, S.; Vasso, M.; Toro, G.; D’Ambrosi, R.; Pola, E.; Ciolli, G.; Mercurio, M.; Schiavone Panni, A. Age over 50 does not predict results in anterior cruciate ligament reconstruction. Orthop. Rev. 2022, 14, 37310. [Google Scholar] [CrossRef]
- DePhillipo, N.N.; Moatshe, G.; Brady, A.; Chahla, J.; Aman, Z.S.; Dornan, G.J.; Nakama, G.Y.; Engebretsen, L.; LaPrade, R.F. Effect of Meniscocapsular and Meniscotibial Lesions in ACL-Deficient and ACL-Reconstructed Knees: A Biomechanical Study. Am. J. Sports Med. 2018, 46, 2422–2431. [Google Scholar] [CrossRef]
- Li, S.; Qin, Y.; Wang, H.; Qin, Z.; Jiang, L.; Zhu, S.; Zeng, F.; Sun, K.; Wen, J.; Yin, D. Repair of Ramp Lesions of the Medial Meniscus with ACL Reconstruction Can Better Restore Knee Stability: A Cadaveric Study. Orthop. J. Sports Med. 2023, 11. [Google Scholar] [CrossRef]
- DePhillipo, N.N.; Dornan, G.J.; Dekker, T.J.; Aman, Z.S.; Engebretsen, L.; LaPrade, R.F. Clinical Characteristics and Outcomes After Primary ACL Reconstruction and Meniscus Ramp Repair. Orthop. J. Sports Med. 2020, 8. [Google Scholar] [CrossRef] [PubMed]
- Mouton, C.; Magosch, A.; Pape, D.; Hoffmann, A.; Nuhrenborger, C.; Seil, R. Ramp lesions of the medial meniscus are associated with a higher grade of dynamic rotatory laxity in ACL-injured patients in comparison to patients with an isolated injury. Knee Surg. Sports Traumatol. Arthrosc. 2020, 28, 1023–1028. [Google Scholar] [CrossRef] [PubMed]
- Ahn, J.H.; Lee, Y.S.; Yoo, J.C.; Chang, M.J.; Koh, K.H.; Kim, M.H. Clinical and second-look arthroscopic evaluation of repaired medial meniscus in anterior cruciate ligament-reconstructed knees. Am. J. Sports Med. 2010, 38, 472–477. [Google Scholar] [CrossRef] [PubMed]
- D’Ambrosi, R.; Meena, A.; Raj, A.; Giorgino, R.; Ursino, N.; Mangiavini, L.; Karlsson, J. Good results after treatment of RAMP lesions in association with ACL reconstruction: A systematic review. Knee Surg. Sports Traumatol. Arthrosc. 2023, 31, 358–371. [Google Scholar] [CrossRef] [PubMed]
- Rodriguez, A.N.; LaPrade, R.F.; Geeslin, A.G. Combined Meniscus Repair and Anterior Cruciate Ligament Reconstruction. Arthroscopy 2022, 38, 670–672. [Google Scholar] [CrossRef]
- Negrin, R.; Reyes, N.O.; Iniguez, M.; Pellegrini, J.J.; Wainer, M.; Duboy, J. Meniscal Ramp Lesion Repair Using an All-Inside Technique. Arthrosc. Tech. 2018, 7, e265–e270. [Google Scholar] [CrossRef]
- LaPrade, C.M.; Homan, M.D.; Moran, J.; Kennedy, N.I.; LaPrade, R.F. Concurrent Repair of Medial Meniscal Ramp Lesions and Lateral Meniscus Root Tears in Patients Undergoing Anterior Cruciate Ligament Reconstruction: The “New Terrible Triad”. Arthrosc. Tech. 2023, 12, e1565–e1578. [Google Scholar] [CrossRef]
- Balazs, G.C.; Greditzer, H.G.T.; Wang, D.; Marom, N.; Potter, H.G.; Marx, R.G.; Rodeo, S.A.; Williams, R.J., 3rd. Ramp Lesions of the Medial Meniscus in Patients Undergoing Primary and Revision ACL Reconstruction: Prevalence and Risk Factors. Orthop. J. Sports Med. 2019, 7. [Google Scholar] [CrossRef]
- Song, G.Y.; Liu, X.; Zhang, H.; Wang, Q.Q.; Zhang, J.; Li, Y.; Feng, H. Increased Medial Meniscal Slope Is Associated with Greater Risk of Ramp Lesion in Noncontact Anterior Cruciate Ligament Injury. Am. J. Sports Med. 2016, 44, 2039–2046. [Google Scholar] [CrossRef]
- Kellgren, J.H.; Lawrence, J.S. Radiological assessment of osteo-arthrosis. Ann. Rheum. Dis. 1957, 16, 494–502. [Google Scholar] [CrossRef] [PubMed]
- Kohn, M.D.; Sassoon, A.A.; Fernando, N.D. Classifications in Brief: Kellgren-Lawrence Classification of Osteoarthritis. Clin. Orthop. Relat. Res. 2016, 474, 1886–1893. [Google Scholar] [CrossRef] [PubMed]
- Fanelli, D.; Mercurio, M.; Gasparini, G.; Galasso, O. Predictors of Meniscal Allograft Transplantation Outcome: A Systematic Review. J. Knee Surg. 2021, 34, 303–321. [Google Scholar] [CrossRef] [PubMed]
- Dejour, H.; Bonnin, M. Tibial translation after anterior cruciate ligament rupture. Two radiological tests compared. J. Bone Joint Surg. Br. 1994, 76, 745–749. [Google Scholar] [CrossRef] [PubMed]
- Yoon, J.P.; Chang, C.B.; Yoo, J.H.; Kim, S.J.; Choi, J.Y.; Choi, J.A.; Seong, S.C.; Kim, T.K. Correlation of magnetic resonance imaging findings with the chronicity of an anterior cruciate ligament tear. J. Bone Joint Surg. Am. 2010, 92, 353–360. [Google Scholar] [CrossRef]
- Peltier, A.; Lording, T.; Maubisson, L.; Ballis, R.; Neyret, P.; Lustig, S. The role of the meniscotibial ligament in posteromedial rotational knee stability. Knee Surg. Sports Traumatol. Arthrosc. 2015, 23, 2967–2973. [Google Scholar] [CrossRef]
- Kunze, K.N.; Wright-Chisem, J.; Polce, E.M.; DePhillipo, N.N.; LaPrade, R.F.; Chahla, J. Risk Factors for Ramp Lesions of the Medial Meniscus: A Systematic Review and Meta-analysis. Am. J. Sports Med. 2021, 49, 3749–3757. [Google Scholar] [CrossRef]
- Gali, J.C.; Almeida, T.A.; de Moraes Miguel, D.C.; Nassar, S.A.; Filho, J.C.G.; Drain, N.P.; Fu, F.F. The posterior cruciate ligament inclination angle is higher in anterior cruciate ligament insufficiency. Knee Surg. Sports Traumatol. Arthrosc. 2022, 30, 124–130. [Google Scholar] [CrossRef]
- Salmon, L.J.; Heath, E.; Akrawi, H.; Roe, J.P.; Linklater, J.; Pinczewski, L.A. 20-Year Outcomes of Anterior Cruciate Ligament Reconstruction with Hamstring Tendon Autograft: The Catastrophic Effect of Age and Posterior Tibial Slope. Am. J. Sports Med. 2018, 46, 531–543. [Google Scholar] [CrossRef]
- Jiang, J.; Liu, Z.; Wang, X.; Xia, Y.; Wu, M. Increased Posterior Tibial Slope and Meniscal Slope Could Be Risk Factors for Meniscal Injuries: A Systematic Review. Arthroscopy 2022, 38, 2331–2341. [Google Scholar] [CrossRef]
- Kim, S.H.; Seo, H.J.; Seo, D.W.; Kim, K.I.; Lee, S.H. Analysis of Risk Factors for Ramp Lesions Associated with Anterior Cruciate Ligament Injury. Am. J. Sports Med. 2020, 48, 1673–1681. [Google Scholar] [CrossRef] [PubMed]
- Okazaki, Y.; Furumatsu, T.; Hiranaka, T.; Kintaka, K.; Kodama, Y.; Kamatsuki, Y.; Ozaki, T. Steep posterior slope of the medial tibial plateau is associated with ramp lesions of the medial meniscus and a concomitant anterior cruciate ligament injury. Asia Pac. J. Sports Med. Arthrosc. Rehabil. Technol. 2021, 24, 23–28. [Google Scholar] [CrossRef] [PubMed]
- Hoveidaei, A.H.; Sattarpour, R.; Dadgostar, H.; Razi, S.; Razi, M. Unhappy triad of the knee: What are the current concepts and opinions? World J. Orthop. 2023, 14, 268–274. [Google Scholar] [CrossRef] [PubMed]
- Feucht, M.J.; Bigdon, S.; Mehl, J.; Bode, G.; Muller-Lantzsch, C.; Sudkamp, N.P.; Niemeyer, P. Risk factors for posterior lateral meniscus root tears in anterior cruciate ligament injuries. Knee Surg. Sports Traumatol. Arthrosc. 2015, 23, 140–145. [Google Scholar] [CrossRef]
- Praz, C.; Vieira, T.D.; Saithna, A.; Rosentiel, N.; Kandhari, V.; Nogueira, H.; Sonnery-Cottet, B. Risk Factors for Lateral Meniscus Posterior Root Tears in the Anterior Cruciate Ligament-Injured Knee: An Epidemiological Analysis of 3956 Patients from the SANTI Study Group. Am. J. Sports Med. 2019, 47, 598–605. [Google Scholar] [CrossRef]


| Patients (No. = 96) | Mean ± SD (Range) or No. (%) |
|---|---|
| Gender | |
| Male | 84 (87.5%) |
| Female | 12 (12.5%) |
| Age at surgery (years) | 28.6 ± 7.8 (18–49) |
| Dominant limb | 71 (74%) |
| Injury to surgery interval (months) | 9.9 ± 13.7 (0.8–60) |
| Lachman test | |
| Grade 1 | 11 (11.4%) |
| Grade 2 | 76 (79.2%) |
| Grade 3 | 9 (9.4%) |
| Rotatory instability | |
| Grade 1 | 30 (31.2%) |
| Grade 2 | 59 (61.5%) |
| Grade 3 | 7 (7.3%) |
| Posterior tibial slope | 6.7 ± 1.8 (2.5–10.4) |
| PCL buckling angle | 125 ± 12.9 (97–154) |
| Concomitant meniscal lesion | |
| Anterior horn medial meniscus tear | 15 (15.6%) |
| Ramp tear | 33 (34.4%) |
| Lateral meniscus tear | 18 (18.8%) |
| Follow-up (months) | 51.6 ± 14 (40–90) |
| ACL Group | ACL and Ramp Lesion Group | p-Value | 95% CI | SED | |
|---|---|---|---|---|---|
| Mean ± SD (Range) or No. (%) | Mean ± SD (Range) or No. (%) | ||||
| Gender | |||||
| Male | 51 (81%) | 33 (100%) | 0.007 | ||
| Age at surgery (years) | 28.4 ± 8.6 (18–49) | 29 ± 6 (19–47) | 0.722 | −3.933 to 2.733 | 1.679 |
| Dominant limb | 48 (76.2%) | 23 (69.7%) | 0.625 | ||
| Injury to surgery interval (months) | 11.1 ± 14.6 (1–60) | 7.7 ± 12 (0.8–60) | 0.255 | −2.475 to 9.275 | 2.959 |
| Lachman test | |||||
| Grade 1 | 10 (15.9%) | 1 (3%) | 0.091 | ||
| Grade 2 | 49 (77.7%) | 27 (81.8%) | 0.793 | ||
| Grade 3 | 4 (6.3%) | 5 (15.2%) | 0.267 | ||
| Rotatory instability | |||||
| Grade 1 | 21 (33.3%) | 9 (27.3%) | 0.645 | ||
| Grade 2 | 38 (60.3%) | 21 (63.6%) | 0.479 | ||
| Grade 3 | 4 (6.4%) | 3 (9.1%) | 0.689 | ||
| Posterior tibial slope | 6.5 ± 1.7 (3.7–9.7) | 7 ± 1.9 (2.5–10.4) | 0.192 | −1.255 to 0.255 | 0.380 |
| PCL buckling angle | 125.7 ± 12.4 (97–154) | 123.8 ± 13.8 (97.5–144) | 0.495 | −3.601 to 7.401 | 2.771 |
| Concomitant meniscal tears | |||||
| Anterior horn medial meniscus | 12 (19%) | 3 (9.1%) | 0.249 | ||
| Lateral meniscus | 11 (17.5%) | 7 (21.2%) | 0.784 | ||
| Follow-up (months) | 45.9 ± 9.8 (40–90) | 51.6 ± 14 (40–90) | 0.022 | −10.566 to −0.834 | 2.451 |
Disclaimer/Publisher’s Note: The statements, opinions and data contained in all publications are solely those of the individual author(s) and contributor(s) and not of MDPI and/or the editor(s). MDPI and/or the editor(s) disclaim responsibility for any injury to people or property resulting from any ideas, methods, instructions or products referred to in the content. |
© 2024 by the authors. Licensee MDPI, Basel, Switzerland. This article is an open access article distributed under the terms and conditions of the Creative Commons Attribution (CC BY) license (https://creativecommons.org/licenses/by/4.0/).
Share and Cite
Familiari, F.; Tollefson, L.V.; Izzo, A.; Mercurio, M.; LaPrade, R.F.; Di Vico, G. A High-Grade Lachman’s Exam Predicts a Ramp Tear of the Medial Meniscus in Patients with Anterior Cruciate Ligament Tear: A Prospective Clinical and Radiological Evaluation. J. Clin. Med. 2024, 13, 683. https://doi.org/10.3390/jcm13030683
Familiari F, Tollefson LV, Izzo A, Mercurio M, LaPrade RF, Di Vico G. A High-Grade Lachman’s Exam Predicts a Ramp Tear of the Medial Meniscus in Patients with Anterior Cruciate Ligament Tear: A Prospective Clinical and Radiological Evaluation. Journal of Clinical Medicine. 2024; 13(3):683. https://doi.org/10.3390/jcm13030683
Chicago/Turabian StyleFamiliari, Filippo, Luke V. Tollefson, Antonio Izzo, Michele Mercurio, Robert F. LaPrade, and Giovanni Di Vico. 2024. "A High-Grade Lachman’s Exam Predicts a Ramp Tear of the Medial Meniscus in Patients with Anterior Cruciate Ligament Tear: A Prospective Clinical and Radiological Evaluation" Journal of Clinical Medicine 13, no. 3: 683. https://doi.org/10.3390/jcm13030683
APA StyleFamiliari, F., Tollefson, L. V., Izzo, A., Mercurio, M., LaPrade, R. F., & Di Vico, G. (2024). A High-Grade Lachman’s Exam Predicts a Ramp Tear of the Medial Meniscus in Patients with Anterior Cruciate Ligament Tear: A Prospective Clinical and Radiological Evaluation. Journal of Clinical Medicine, 13(3), 683. https://doi.org/10.3390/jcm13030683

