Abstract
Background: There have been no reports of sepsis-induced agranulocytosis causing gingival necrosis in otherwise medically healthy patients to the authors’ best knowledge. Even though there are several case reports of gingival necrosis secondary to medication-induced agranulocytosis, they have not systematically described the natural progression of agranulocytosis-related gingival necrosis. Methods: This paper presents a case report of a 29-year-old female Indian patient with generalised gingival necrosis and constitutive signs of intermittent fever, nausea, and vomiting. She also complained of abdominal pains. Blood counts showed agranulocytosis, and the patient was admitted for a workup of the underlying cause. Parenteral broad-spectrum antibiotics were administered, which brought about clinical resolution. Results: Her gingival necrosis was attributed to sepsis-induced agranulocytosis triggered by Pseudomonas aeruginosa bacteraemia, and upon clinical recovery, spontaneous exfoliation left behind exposed bone. Secondary healing over the exposed alveolar bone was noted after a year-long follow-up, albeit with some residual gingival recession. Conclusions: Oral manifestations of gingival necrosis, when present with concomitant constitutive symptoms, could indicate a serious underlying systemic condition that could be potentially life-threatening if left untreated. Dentists should be cognizant of this possibility so that timely intervention is not delayed.
1. Introduction
Neutrophils are granulocytes that make up 50–70% of the white blood cells in the human body. They mediate inflammatory processes and destroy invading pathogens through phagocytosis, intracellular degradation, granule release, and the formation of neutrophil extracellular traps [1]. Agranulocytosis is a severe form of neutropenia, where the counts of granulocytes are commonly below 0.5 × 109/L [2]. Patients commonly present with fever, malaise, and non-specific pharyngitis, and they may also develop pneumonia and deep infections [3,4]. Common causes of acquired neutropenia or agranulocytosis include malnutrition, infection, bone marrow disorders, autoimmune conditions, hypersplenism, and drugs [3]. Leukocytes, and neutrophils in particular, serve as an important contributor to immunity at the gingival margin [5]. During a neutropenic state, the marginal gingiva is more susceptible to rapidly progressing bacterial challenges that cause cell and connective tissue destruction, especially if mechanical plaque control is inadequate [6,7]. Overgrowth of these commensals can lead to the formation of rampant necrotising gingival lesions and ulcerations in the oral cavity [3,6,7].
Pseudomonas aeruginosa is a gram-negative pathogen that is one of the most common causes of bacteraemia, accounting for up to 5.3% of all bloodstream infections [8], and it has the highest mortality rate of about 26–40% [8,9,10,11]. Infection by Pseudomonas aeruginosa usually occurs in immunocompromised patients and frequently causes nosocomial infections [11,12]. Such infections can cause necrotic lesions in the oral cavity [13,14,15]. However, there have been instances of severe community-acquired Pseudomonas aeruginosa pneumonia resulting in septic shock in immunocompetent patients [16,17,18,19], with resultant neutropenia [20] or even death [16,18,20]. However, oral manifestations are not commonly reported for these cases. Community-acquired pneumonia due to Pseudomonas aeruginosa is rare but can be transmitted to medically healthy individuals [20]. It occurs five times more commonly in developing countries as compared to developed countries [21], and predisposing factors include prolonged antibiotic intake [22], poor dwelling conditions [19], and environmental pollution [21,23]. Transmission may occur through the environment, such as through exposure to contaminated water [16,24], and possibly through person-to-person transmission through droplets and aerosols [25,26].
The aim of this present study is to report a novel case of gingival necrosis associated with sepsis in an otherwise medically healthy patient due to a Pseudomonas aeruginosa infection, in accordance with CARE guidelines (for CAse REports) (https://www.care-statement.org/, accessed on 14 January 2024).
2. Case Presentation
A 29-year-old Indian female presented as an emergency case at the National Dental Centre Singapore in March 2022 complaining of burning pain along her entire gingiva, especially around the upper anterior region. The patient also noticed her gingiva changing colour, and the pain was affecting her sleep for four days. The patient reported no known medical conditions. She was a non-smoker and -drinker and had no history of betel nut consumption or family history of cancer. The patient had not taken any new food or drugs and denied trauma to the area.
The patient reported acute pain along her gingiva around the upper anterior region five days prior and was prescribed Oracort E® (triamcinolone acetonide 0.1%, lidocaine hydrochloride 3%) and Augmentin® (500 mg amoxicillin trihydrate, 125 mg potassium clavulanate) 625 mg twice a day by a medical doctor. The patient noticed that her gingiva, predominantly around the region of her upper right canine to upper left central incisor, developed a purplish patchy appearance, with the central part of the lesion becoming white after two days. She consulted a private dental practitioner for persistent gingival pain and was referred to the Emergency Department of Singapore General Hospital, where she was given intramuscular diclofenac for pain control and referred to our centre for urgent consultation.
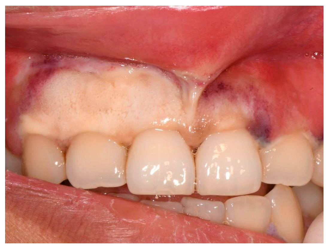
On presentation, the patient reported malaise, odynophagia, abdominal pain, and intermittent nausea and vomiting. Her symptoms started roughly a month before presentation since her return from a developing country and were progressively worsening. At triage, she was noted to be febrile and tachycardic. On examination, we noted bilateral submandibular lymphadenopathy and necrosis of the buccal attached gingiva of the upper anterior region, predominantly from her upper right canine to her upper left central incisor, extending up the upper midline frenum (Figure 1).
Figure 1.
Initial clinical presentation of necrotic buccal attached gingiva (including frenum).
Mixed purple and white necrotic lesions with sloughing were noted around the buccal gingival margins and attached gingiva of all premolars and molars and palatal/lingual gingival margins of all teeth. More photographs are included in the Supplementary Materials (Figure S1). Probing depths were within normal limits, and no mobility or fetid odour was noted. Radiographic examination revealed normal bone levels and no obvious pathology (Figure 2).
Figure 2.
(A) Dental pantomogram taken at initial presentation. (B) Periapical radiograph taken at tooth #11, #12 mild calculus deposits but no radiographic bone loss.
Suspecting an underlying systemic aetiology, the patient was sent for a full blood count, renal panel, liver function test, and human immunodeficiency virus screen, which showed severe leukopenia with 0.19 × 10⁹/L. The numbers for individual types of leukocytes (i.e., neutrophils, lymphocytes, monocytes, eosinophils, basophils) were so low that they could not be quantified (Table 1).
Table 1.
Haematological laboratory values taken at initial presentation. No available readings for leukocyte subtypes. Abbreviations: dL, decilitre; fL, femtolitre; MCH, mean corpuscular haemoglobin; MCHC, mean corpuscular haemoglobin concentration; MCV, mean corpuscular volume; pg, picogram; RBC, red blood cell; WBC, white blood cell. ↓, low count; ↓↓, critically low count.
An emergency referral to the Department of Haematology was made, and the patient started to decompensate when she presented at the Haematology clinic, entering a state of shock, with marked hypotension at 64/45 mmHg and tachycardia at 148 beats/min. Fluid resuscitation was initiated, and a transfer to the medical intensive care unit was carried out. Her blood pressure was fluid responsive, and she was weaned off vasopressor support after a day. Blood cultures were taken, and she was empirically started on intravenous piperacillin/tazobactam 4.5 g six hourly and vancomycin 750 mg 12 hourly. Erect chest radiography and computed tomography of the thoracic/abdomen/pelvis regions showed air-space consolidation in the lower lobes of the lungs, which was suggestive of pneumonia (Supplementary Materials Figures S2 and S3). In addition, the blood cultures reported pansensitive Pseudomonas aeruginosa bacteraemia, and her human immunodeficiency virus screen was negative. This allowed for a diagnosis of community-acquired Pseudomonas aeruginosa pneumonia that led to sepsis and septic shock, resulting in agranulocytosis. No other systemic health conditions such as autoimmune, cardiovascular, or endocrine disease were detected. Vancomycin administration was paused, and the patient improved clinically, consistent with an up-trending white blood cell count over the course of her stay, eventually completing seven days of intravenous piperacillin/tazobactam. She was discharged after a week of inpatient stay and prescribed another week of oral ciprofloxacin, ascorbic acid, and 0.2% chlorhexidine mouthwash and advised for soft diet only.
The patient returned for a dental review a week after discharge on 6 April 2022, with severe pain at her periodontium. Exposed bone was present at the attached gingiva of previously necrotic areas (Figure 3A).
Figure 3.
(A) Two weeks after initial presentation. Exposed bone at the upper anteriors after the necrotic gingiva sloughed off. (B) At nine-month follow-up. Slightly mobile sequestrum (white arrow) at the upper right lateral incisor, which spontaneously exfoliated.
The mucosa around the exposed bone was friable and bled on palpation. No discernible bone loss was noted on radiographic examination.
The patient was advised to avoid brushing her teeth or consuming hard, spicy, or hot food and to continue chlorhexidine mouthwash and analgesics when needed. A week later, the patient no longer had pain but experienced sensitivity due to recession. She was advised to resume toothbrushing and was prescribed vitamin B supplements, iron, and folic acid. Her teeth exhibited normal results on sensibility tests during all reviews, and the sensitivity improved over time. Her oral mucosa continued to heal over the exposed bone over the next eleven months. Professional mechanical plaque control was carried out in July and September 2022 while the patient continued to be on chlorhexidine mouthwash. A localised abscess around the exposed bone around #12 developed at the end of September 2022, which resolved with drainage and saline irrigation. Superficial mobile bony sequestra were noted at the buccal of the upper right lateral incisor and upper right second molar measuring 6 × 8 mm and 7 × 3 mm, respectively (Figure 3B), in December 2022, and they spontaneously exfoliated in February 2023.
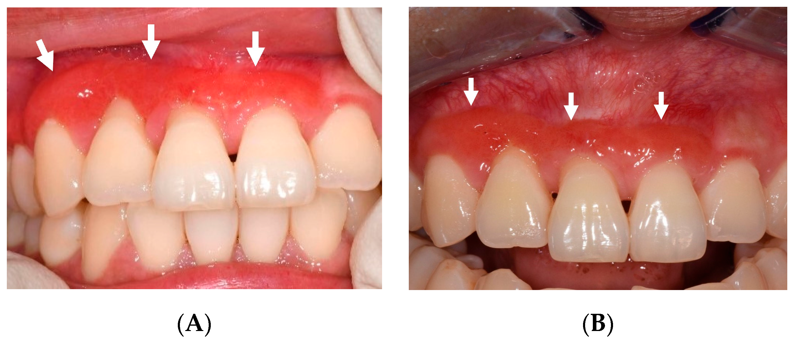
By March 2023, all previously affected areas had fully mucosalised, although the buccal attached gingiva of her upper right first premolar to upper left central incisor remained erythematous and spongy, with no associated deep-probing depths (Figure 4A). Buccal recession around her upper central incisors was observed.
Figure 4.
(A) Twelve-month follow-up showing erythematous and spongy buccal gingiva (white arrows). Buccal gingival recession is evident. (B) Eighteen-month follow-up showing reduction in size of spongy buccal gingiva (white arrows).
Oracort E® (triamcinolone acetonide 0.1%, lidocaine hydrochloride 0.3%) was prescribed, but the patient discontinued use after two days, as she found the texture uncomfortable. The spongy erythematous lesion at the buccal of the upper right canine to upper left central incisor was still present at the 18-month review but had decreased in size (Figure 4B).
Creeping attachment of the previously receded buccal gingiva of the upper right lateral and central incisors was observed despite the remaining presence of black triangles at the area. The lesion was tender to palpation but otherwise asymptomatic. The lesion will be monitored closely at regular reviews. A detailed timeline can be found in Figure 5.
Figure 5.
(A) Timeline of events. (B) Timeline of events (continued).
3. Discussion
Sepsis is a dysregulated host response to infection that results in life-threatening organ dysfunction. Septic shock occurs when a patient with sepsis also has hypotension that persists despite adequate volume resuscitation, and it requires treatment with vasopressors [27]. Leukopenia can also occur during the immunosuppressive phase of sepsis due to reduction in bone marrow production or increased destruction of granulocytes [28,29]. In this report, the patient experienced agranulocytosis due to septic shock induced by Pseudomonas aeruginosa bacteraemic pneumonia and required ionotropic and fluid support. Though extremely rare, we hypothesise that this patient was exposed to contaminated water containing Pseudomonas aeruginosa, which resulted in her developing community-acquired pneumonia and subsequent septic shock [20]. As the oral cavity provides a favourable environment for microorganisms to flourish [30], and as local intra-oral bacterial challenges could not be contained due to her neutropenia, this resulted in rapid cell and connective tissue destruction of her marginal gingiva and alveolar bone exposure [6,7]. Bacteria colonisation on the exposed bone may have stimulated bone necrosis [31,32,33] and, combined with possible low-grade trauma to her upper right anterior region, resulted in a localised abscess and bone sequestrum six months later.
Pseudomonas-induced sepsis may be associated with dermatologic manifestations including cellulitis, ecthyma gangrenosum, and subcutaneous nodules [34,35] and may also present with lesions in the throat and lips [36]. Further characteristics of agranulocytosis-related gingival necrosis are described in Table 2 and Table 3. Agranulocytosis may be triggered by drugs [6,36,37,38,39,40,41,42], and it commonly occurs in immunocompromised patients [13,14,43,44,45,46,47,48,49,50,51]. Common systemic signs include fever, malaise, nausea, vomiting, lymphadenopathy, pharyngitis, dysphagia, sepsis [37,48], and septic shock [13,36,43], and it may result in death [14,44,45,48].
Table 2.
Features of agranulocytosis-related gingival necrosis and their presentation.
Table 3.
Management and outcomes of agranulocytosis-related gingival necrosis.
The patient presented with purple and white necrotic gingiva that exfoliated, leading to bone exposure with eventual localised sequestrum formation. She did not present with any other cutaneous lesions except for the lips. Patients with agranulocytosis may present with pale white necrotic lesions, as a late-stage presentation where the gingiva has already exfoliated [41], or where the necrotic lesions are black or violaceous in colour [43,45]. Oral lesions may also include ulcers or extension of necrosis to the tongue [6,41,48], retromolar pad [48], palate [36,39,40,43,44], floor of the mouth [47,49], lip [39,44], or vestibule [49].
The patient was managed with broad-spectrum antibiotics, and later only with piperacillin/tazobactam. Good oral hygiene was encouraged. Other studies report the use of empirical broad-spectrum antibiotics and/or antifungals [6,36,37,38,39,41,42,44,45,49,50] and substituted them later if cultures were performed [13,14,43,47,51]. Topical treatments include antiseptics [6,13,36,37,38,39,40,46,48,49,50,51], antibiotics [46], or antifungals [39,42,44,46,51] and analgesics [6,42,48] for pain management. Periodontal instrumentation and removal of necrotic tissues, sequestra, and excessively mobile teeth is usually performed when blood counts are deemed safe, and if the zone of necrosis is not too extensive [13,36,37,38,39,40,42,46,49,50]. When possible, drugs that are the suspected cause of decreased blood counts are discontinued or substituted [6,36,37,38,39,40,42,49]. Other treatment modalities include the use of recombinant granulocyte colony-stimulating factor [6,37,43,45,47,49], blood transfusions [40,48,50], policresulen [37], and low-level laser therapy [50]. Complete resolution of gingival healing varies from two days [14] to a year (Table 3).
The spongy appearance of the patient’s anterior maxillary buccal-attached gingiva at the 18-month review is reminiscent of localised spongy gingival hyperplasia, which presents as erythematous, raised areas of attached gingiva [52,53,54,55]. An inflammatory response resulting in hyperplasia has been postulated to be a possible mechanism of pathogenesis [53,56]. The persistent spongy gingival lesion could have been triggered by inflammation due to the extensive necrosis and presence of sequestrum in the area for a prolonged time span. Some cases in the tables above similarly described an irregular granulomatous [36] or a shiny band of erythematous tissue [6,37] that replaced the necrotic gingiva at different time points between 11 days and eight months. Limitations of this report include the unknown source of the patient’s Pseudomonas aeruginosa pneumonia. However, the strength of this report is in the novelty of the presentation of gingival necrosis as an early sign of sepsis related to a Pseudomonas aeruginosa infection in an otherwise medically healthy patient. Regular reviews are planned for this patient.
4. Conclusions
Dentists should be aware and maintain a low threshold for referring patients for a workup and possibly emergent medical management when the oral manifestations of gingival necrosis and ulcerations are accompanied by constitutive changes. Patients that appear toxic should be screened for systemic changes and referred immediately to a tertiary medical care setting for further management.
Emergent care involves assessing the patient for hemodynamic stability and airway security. Close cardiorespiratory monitoring should be initiated even if patients still present as stable on admission, as deterioration in sepsis occurs very quickly. Septic patients often require monitoring and care in an intensive care unit for hemodynamic and ventilatory support. Baseline bloods to establish clinical severity and guide treatment should be obtained as soon as clinically possible, and empiric broad-spectrum antibiotic therapy started. Once emergent care is provided and the patient’s critical condition has been stabilised, further workup to identify the source of infection should be completed, and the infection treated. After medical care has been stepped down, the dentist should help alongside the medical team in providing symptom relief. The patient should be kept on close weekly follow-up with the dentist. The use of topical antiseptics and systemic analgesics should be prescribed, and professional mechanical plaque control should be performed, until all necrotic or ulcerated oral lesions resolve. If there was exposed bone at initial presentation, the site may take an extended period of up to a year to fully heal and may also result in a secondary infection and bone sequestrum, which must be managed with the removal of necrotic tissues and sequestra. Appropriate analgesics and antibiotics should also be prescribed with consultation with the patient’s medical care team as well. The interval between follow-ups can be progressively increased with clinical improvement. The patient should be reviewed until complete resolution is observed.
Supplementary Materials
The following supporting information can be downloaded at: https://www.mdpi.com/article/10.3390/jcm13051285/s1, Figure S1: Initial clinical presentation of the patient’s gingiva undergoing necrosis. Figure S2: Erect anteroposterior chest radiograph. Figure S3: Contrast-enhanced computed tomography scan of the abdomen and pelvis.
Author Contributions
Conceptualisation, J.Y.T. and J.R.H.T.; Methodology, J.Y.T., E.N., G.N.T., A.B.G.T. and J.R.H.T.; Investigation, J.Y.T., E.N., G.N.T., A.B.G.T. and J.R.H.T.; Data curation, J.Y.T. and J.R.H.T.; Writing—original draft preparation, J.Y.T. and J.R.H.T.; Writing—review and editing, J.Y.T., E.N., G.N.T., A.B.G.T. and J.R.H.T.; Supervision, J.R.H.T. All authors have read and agreed to the published version of the manuscript.
Funding
This research received no external funding.
Institutional Review Board Statement
The study was conducted in accordance with the Declaration of Helsinki. This study was registered with the National Dental Centre Singapore Research Register (400/2023). Ethical review and approval were waived for this study.
Informed Consent Statement
Written informed consent has been obtained from the patient to publish this paper.
Data Availability Statement
All data generated or analysed during this study are included in this published article and its Supplementary Information files.
Acknowledgments
We wish to thank the Department of Haematology at Singapore General Hospital for their expertise in co-managing this patient. We also wish to thank all clinicians who have assisted with the follow-up care of this patient at National Dental Centre.
Conflicts of Interest
The authors declare no conflicts of interest.
References
- Burn, G.L.; Foti, A.; Marsman, G.; Patel, D.F.; Zychlinsky, A. The Neutrophil. Immunity 2021, 54, 1377–1391. [Google Scholar] [CrossRef]
- Andrès, E.; Lorenzo Villalba, N.; Zulfiqar, A.-A.; Serraj, K.; Mourot-Cottet, R.; Gottenberg, J.-E. Gottenberg State of Art of Idiosyncratic Drug-Induced Neutropenia or Agranulocytosis, with a Focus on Biotherapies. J. Clin. Med. 2019, 8, 1351. [Google Scholar] [CrossRef]
- Palmblad, J.; Siersma, V.; Lind, B.; Bjerrum, O.W.; Hasselbalch, H.; Andersen, C.L. Age-related Prevalence and Clinical Significance of Neutropenia—Isolated or Combined with Other Cytopenias: Real World Data from 373 820 Primary Care Individuals. Am. J. Hematol. 2020, 95, 521–528. [Google Scholar] [CrossRef]
- Na, S.J.; Oh, D.K.; Park, S.; Lee, Y.J.; Hong, S.-B.; Park, M.-H.; Ko, R.-E.; Lim, C.-M.; Jeon, K. Clinical Characteristics and Outcomes of Neutropenic Sepsis: A Multicenter Cohort Study. Shock 2022, 57, 659–665. [Google Scholar] [CrossRef] [PubMed]
- Chapple, I.L.C.; Hirschfeld, J.; Kantarci, A.; Wilensky, A.; Shapira, L. The Role of the Host—Neutrophil Biology. Periodontol. 2000 2023. [Google Scholar] [CrossRef] [PubMed]
- Chang, Y.-Y.; Tseng, C.-W.; Yuan, K. Severe Gingival Ulceration and Necrosis Caused by an Antithyroid Drug: One Case Report and Proposed Clinical Approach. Clin. Adv. Periodontics 2017, 8, 11–16. [Google Scholar] [CrossRef]
- Uriarte, S.M.; Hajishengallis, G. Neutrophils in the Periodontium: Interactions with Pathogens and Roles in Tissue Homeostasis and Inflammation. Immunol. Rev. 2023, 314, 93–110. [Google Scholar] [CrossRef]
- Diekema, D.J.; Hsueh, P.-R.; Mendes, R.E.; Pfaller, M.A.; Rolston, K.V.; Sader, H.S.; Jones, R.N. The Microbiology of Bloodstream Infection: 20-Year Trends from the SENTRY Antimicrobial Surveillance Program. Antimicrob. Agents Chemother. 2019, 63, e00355-19. [Google Scholar] [CrossRef] [PubMed]
- Zhang, Y.; Li, Y.; Zeng, J.; Chang, Y.; Han, S.; Zhao, J.; Fan, Y.; Xiong, Z.; Zou, X.; Wang, C.; et al. Risk Factors for Mortality of Inpatients with Pseudomonas Aeruginosa Bacteremia in China: Impact of Resistance Profile in the Mortality. Infect. Drug Resist. 2020, 13, 4115–4123. [Google Scholar] [CrossRef]
- Montero, M.M.; López Montesinos, I.; Knobel, H.; Molas, E.; Sorlí, L.; Siverio-Parés, A.; Prim, N.; Segura, C.; Duran-Jordà, X.; Grau, S.; et al. Risk Factors for Mortality among Patients with Pseudomonas Aeruginosa Bloodstream Infections: What Is the Influence of XDR Phenotype on Outcomes? J. Clin. Med. 2020, 9, 514. [Google Scholar] [CrossRef]
- Hernández-Jiménez, P.; López-Medrano, F.; Fernández-Ruiz, M.; Silva, J.T.; Corbella, L.; San-Juan, R.; Lizasoain, M.; Díaz-Regañón, J.; Viedma, E.; Aguado, J.M. Risk Factors and Outcomes for Multidrug Resistant Pseudomonas Aeruginosa Infection in Immunocompromised Patients. Antibiotics 2022, 11, 1459. [Google Scholar] [CrossRef]
- Li, Y.; Roberts, J.A.; Walker, M.M.; Aslan, A.T.; Harris, P.N.A.; Sime, F.B. The Global Epidemiology of Ventilator-Associated Pneumonia Caused by Multi-Drug Resistant Pseudomonas Aeruginosa: A Systematic Review and Meta-Analysis. Int. J. Infect. Dis. 2024, 139, 78–85. [Google Scholar] [CrossRef] [PubMed]
- Souza, L.C.D.; Lopes, F.F.; Bastos, E.G.; Alves, C.M.C. Oral Infection by Pseudomonas Aeruginosa in Patient with Chronic Kidney Disease—A Case Report. J. Bras. Nefrol. 2018, 40, 82–85. [Google Scholar] [CrossRef] [PubMed]
- Barasch, A.; Gordon, S.; Geist, R.Y.; Geist, J.R. Necrotizing Stomatitis: Report of 3 Pseudomonas Aeruginosa–Positive Patients. Oral Surg. Oral Med. Oral Pathol. Oral Radiol. Endodontology 2003, 96, 136–140. [Google Scholar] [CrossRef] [PubMed]
- Eduardo, F.P.; Bezinelli, L.M.; Gobbi, M.F.; Santos, V.M.; Maluf, F.C.; Corrêa, L. Severe Oral Infection Caused by Pseudomonas Aeruginosa Effectively Treated with Methylene Blue-Mediated Photodynamic Inactivation. Photodiagn. Photodyn. Ther. 2019, 26, 284–286. [Google Scholar] [CrossRef] [PubMed]
- Fujiki, Y.; Mato, N.; Watanabe, S.; Shibano, T.; Tonai, K.; Takahashi, K.; Saito, T.; Okuyama, A.; Takigami, A.; Bando, M.; et al. Virulent Pseudomonas Aeruginosa Pneumonia in an Immunocompetent Adult Associated with a Home Whirlpool Bath: A Case Report. Respir. Med. Case Rep. 2022, 38, 101673. [Google Scholar] [CrossRef] [PubMed]
- Barp, N.; Marcacci, M.; Biagioni, E.; Serio, L.; Busani, S.; Ventura, P.; Franceschini, E.; Orlando, G.; Venturelli, C.; Menozzi, I.; et al. A Fatal Case of Pseudomonas Aeruginosa Community-Acquired Pneumonia in an Immunocompetent Patient: Clinical and Molecular Characterization and Literature Review. Microorganisms 2023, 11, 1112. [Google Scholar] [CrossRef] [PubMed]
- de Campos, F.P.F.; Silva, A.F.; de Melo Lopes, A.C.F.M.; Passadore, L.F.; Guida, S.M.; Balabakis, A.J.; dos Santos Martines, J.A. Community-Acquired Pseudomonas Aeruginosa-Pneumonia in a Previously Healthy Man Occupationally Exposed to Metalworking Fluids. Autops. Case Rep. 2014, 4, 31–37. [Google Scholar] [CrossRef][Green Version]
- Wang, T.; Hou, Y.; Wang, R. A Case Report of Community-Acquired Pseudomonas Aeruginosa Pneumonia Complicated with MODS in a Previously Healthy Patient and Related Literature Review. BMC Infect. Dis. 2019, 19, 130. [Google Scholar] [CrossRef]
- Hatchette, T.F.; Gupta, R.; Marrie, T.J. Pseudomonas aeruginosa Community-Acquired Pneumonia in Previously Healthy Adults: Case Report and Review of the Literature. Clin. Infect. Dis. 2000, 31, 1349–1356. [Google Scholar] [CrossRef]
- Kishimbo, P.; Sogone, N.M.; Kalokola, F.; Mshana, S.E. Prevalence of Gram Negative Bacteria Causing Community Acquired Pneumonia among Adults in Mwanza City, Tanzania. Pneumonia 2020, 12, 7. [Google Scholar] [CrossRef]
- Gharabaghi, M.A.; Abdollahi, S.M.M.; Safavi, E.; Abtahi, S.H. Community Acquired Pseudomonas Pneumonia in an Immune Competent Host. Case Rep. 2012, 2012, bcr0120125673. [Google Scholar] [CrossRef]
- Shah, B.; Singh, G.; Naik, M.; Dhobi, G. Bacteriological and Clinical Profile of Community Acquired Pneumonia in Hospitalized Patients. Lung India 2010, 27, 54. [Google Scholar] [CrossRef]
- Vukić Lušić, D.; Maestro, N.; Cenov, A.; Lušić, D.; Smolčić, K.; Tolić, S.; Maestro, D.; Kapetanović, D.; Marinac-Pupavac, S.; Tomić Linšak, D.; et al. Occurrence of P. Aeruginosa in Water Intended for Human Consumption and in Swimming Pool Water. Environments 2021, 8, 132. [Google Scholar] [CrossRef]
- Knibbs, L.D.; Johnson, G.R.; Kidd, T.J.; Cheney, J.; Grimwood, K.; Kattenbelt, J.A.; O’Rourke, P.K.; Ramsay, K.A.; Sly, P.D.; Wainwright, C.E.; et al. Viability of Pseudomonas Aeruginosa in Cough Aerosols Generated by Persons with Cystic Fibrosis. Thorax 2014, 69, 740–745. [Google Scholar] [CrossRef]
- Wood, M.E.; Stockwell, R.E.; Johnson, G.R.; Ramsay, K.A.; Sherrard, L.J.; Kidd, T.J.; Cheney, J.; Ballard, E.L.; O’Rourke, P.; Jabbour, N.; et al. Cystic Fibrosis Pathogens Survive for Extended Periods within Cough-Generated Droplet Nuclei. Thorax 2019, 74, 87–90. [Google Scholar] [CrossRef] [PubMed]
- Guarino, M.; Perna, B.; Cesaro, A.E.; Maritati, M.; Spampinato, M.D.; Contini, C.; De Giorgio, R. 2023 Update on Sepsis and Septic Shock in Adult Patients: Management in the Emergency Department. J. Clin. Med. 2023, 12, 3188. [Google Scholar] [CrossRef] [PubMed]
- Nagaraju, N.; Varma, A.; Taksande, A.; Meshram, R.J. Bone Marrow Changes in Septic Shock: A Comprehensive Review. Cureus 2023, 15, e42517. [Google Scholar] [CrossRef]
- Belok, S.H.; Bosch, N.A.; Klings, E.S.; Walkey, A.J. Evaluation of Leukopenia during Sepsis as a Marker of Sepsis-Defining Organ Dysfunction. PLoS ONE 2021, 16, e0252206. [Google Scholar] [CrossRef] [PubMed]
- Baker, J.L.; Mark Welch, J.L.; Kauffman, K.M.; McLean, J.S.; He, X. The Oral Microbiome: Diversity, Biogeography and Human Health. Nat. Rev. Microbiol. 2024, 22, 89–104. [Google Scholar] [CrossRef] [PubMed]
- Walter, C.; Renné, C. Osteomyelitis, Osteoradionecrosis, and Medication-Related Osteonecrosis of Jaws. In Oral and Maxillofacial Surgery for the Clinician; Bonanthaya, K., Panneerselvam, E., Manuel, S., Kumar, V.V., Rai, A., Eds.; Springer Nature: Singapore, 2021; pp. 461–472. ISBN 9789811513459. [Google Scholar]
- Meghji, S. Surface-Associated Protein from Staphylococcus Aureus Stimulates Osteoclastogenesis: Possible Role in S. Aureus-Induced Bone Pathology. Rheumatology 1998, 37, 1095–1101. [Google Scholar] [CrossRef]
- Fenelon, M.; Gernandt, S.; Aymon, R.; Scolozzi, P. Identifying Risk Factors Associated with Major Complications and Refractory Course in Patients with Osteomyelitis of the Jaw: A Retrospective Study. J. Clin. Med. 2023, 12, 4715. [Google Scholar] [CrossRef]
- Azapağası, E.; Öz, F.N.; Uysal Yazıcı, M.; Ceylan, D.; Ocak, E.; Taşçı Yıldız, Y.; Aytekin, C. Pseudomonas Aeruginosa Sepsis in a Previously Healthy Infant with Subcutaneous Nodules and Mastoid Bone Destruction. J. Pediatr. Intensive Care 2021, 10, 148–151. [Google Scholar] [CrossRef]
- Wu, D.C.; Chan, W.W.; Metelitsa, A.I.; Fiorillo, L.; Lin, A.N. Pseudomonas Skin Infection: Clinical Features, Epidemiology, and Management. Am. J. Clin. Dermatol. 2011, 12, 157–169. [Google Scholar] [CrossRef] [PubMed]
- Hou, G.-L.; Tsai, C.-C. Oral Manifestations of Agranulocytosis Associated with Methimazole Therapy. J. Periodontol. 1988, 59, 244–248. [Google Scholar] [CrossRef] [PubMed]
- Kim, E.-C.; Park, J.B.; Hong, J.-Y.; Kang, K.L. Extensive Gingival Necrosis and Sequestration of the Alveolar Bone Caused by Methimazole-Induced Neutropenia and Three-Year Follow-Up. J. Periodontal Implant. Sci. 2015, 45, 76–80. [Google Scholar] [CrossRef] [PubMed]
- Arora, R.; Sharma, A.; Dimri, D.; Sharma, H. Methimazole-Induced Neutropenic Gingival Ulcerations and Necrosis in a Middle-Aged Female: A Case Report with Clinical Management. J. Midlife Health 2018, 9, 106–109. [Google Scholar] [CrossRef]
- Xing, H.; Guan, X. Necrotizing Gingivostomatitis and Osteonecrosis Associated with Antithyroid Drug Propylthiouracil Therapy. Oral Surg. Oral Med. Oral Pathol. Oral Radiol. 2015, 119, e65–e68. [Google Scholar] [CrossRef] [PubMed]
- Tewari, S.; Tewari, S.; Sharma, R.K.; Abrol, P.; Sen, R. Necrotizing Stomatitis: A Possible Periodontal Manifestation of Deferiprone-Induced Agranulocytosis. Oral Surg. Oral Med. Oral Pathol. Oral Radiol. Endodontology 2009, 108, e13–e19. [Google Scholar] [CrossRef] [PubMed]
- Swenson, H.M.; Redish, C.H.; Manne, M. Agranulocytosis: Two Case Reports. J. Periodontol. 1965, 36, 466–470. [Google Scholar] [CrossRef] [PubMed]
- Ohishi, M.; Oobu, K.; Miyanoshita, Y.; Yamaguchi, K. Acute Gingival Necrosis Caused by Drug-Induced Agranulocytosis. Oral Surg. Oral Med. Oral Pathol. 1988, 66, 194–196. [Google Scholar] [CrossRef]
- Myoken, Y.; Sugata, T.; Kyo, T.; Fujihara, M.; Sugai, M. Pseudomonas-Induced Necrotizing Gingivostomatitis. Oral Surg. Oral Med. Oral Pathol. Oral Radiol. Endodontology 1999, 88, 644–645. [Google Scholar] [CrossRef]
- Myoken, Y.; Sugata, T.; Kyo, T.; Fujihara, M. Oral Fusarium Infection in a Granulocytopenic Patient with Acute Myelogenous Leukemia: A Case Report. J. Oral Pathol. Med. 1995, 24, 237–240. [Google Scholar] [CrossRef]
- Myoken, Y.; Sugata, T.; Fujita, Y.; Asaoku, H.; Fujihara, M.; Mikami, Y. Fatal Necrotizing Stomatitis Due to Trichoderma Longibrachiatum in a Neutropenic Patient with Malignant Lymphoma: A Case Report. Int. J. Oral Maxillofac. Surg. 2002, 31, 688–691. [Google Scholar] [CrossRef] [PubMed]
- Amirisetty, R.; Zade, V.; Boddun, M.; Gupta, R.; Kumari, M.; Suryawanshi, H. Treatment Emergent Agranulocytosis with Skin and Gingival Lesions in a Chronic Lymphocytic Leukemia Patient: A Case Report. J. Clin. Diagn. Res. 2016, 10, ZD13–ZD16. [Google Scholar] [CrossRef] [PubMed]
- Boddu, P.; Chen, P.-L.; Nagarajan, P.; Prieto, V.G.; Won, A.; Chambers, M.; Kornblau, S. Necrotizing Fungal Gingivitis in a Patient with Acute Myelogenous Leukemia: Visible yet Obscure. J. Oral Maxillofac. Surg. Med. Pathol. 2018, 30, 50–54. [Google Scholar] [CrossRef] [PubMed]
- Vučićević Boras, V.; Vidović Juras, D.; Aurer, I.; Bašić-Kinda, S.; Mikulić, M. Gingival Ulcerations in a Patient with Acute Myeloid Leukemia: A Case Report and Literature Review. Acta Clin. Croat. 2019, 58, 556–560. [Google Scholar] [CrossRef] [PubMed]
- Fatahzadeh, M. The Dentist’s Role in the Prevention and Management of Necrotizing Stomatitis in the Immunosuppressed. Quintessence Int. 2018, 49, 399–405. [Google Scholar] [CrossRef]
- Ximenes, I.D.S.; Filho, O.V.D.O.; Malta, C.E.N.; Dantas, T.S.; Alves, A.P.N.N.; Mota, M.R.L.; Sousa, F.B. Dental Infection Associated with Exuberant Gingival Necrosis in a Patient with Paroxysmal Nocturnal Hemoglobinuria: A Case Report. Spec. Care Dent. 2021, 41, 277–281. [Google Scholar] [CrossRef]
- Jandial, A.; Mishra, K.; Panda, A.; Lad, D.; Prakash, G.; Khadwal, A.; Varma, N.; Varma, S.; Malhotra, P. Necrotising Ulcerative Gingivitis: A Rare Manifestation of Pseudomonas Infection. Indian J. Hematol. Blood Transfus. 2018, 34, 578–580. [Google Scholar] [CrossRef]
- Wang, M.Z.; Jordan, R.C. Localized Juvenile Spongiotic Gingival Hyperplasia: A Report of 27 Cases. J. Cutan. Pathol. 2019, 46, 839–843. [Google Scholar] [CrossRef] [PubMed]
- Argyris, P.P.; Nelson, A.C.; Papanakou, S.; Merkourea, S.; Tosios, K.I.; Koutlas, I.G. Localized Juvenile Spongiotic Gingival Hyperplasia Featuring Unusual p16INK4A Labeling and Negative Human Papillomavirus Status by Polymerase Chain Reaction. J. Oral Pathol. Med. 2015, 44, 37–44. [Google Scholar] [CrossRef] [PubMed]
- Siamantas, I.; Kalogirou, E.-M.; Tosios, K.I.; Fourmousis, I.; Sklavounou, A. Spongiotic Gingival Hyperplasia Synchronously Involving Multiple Sites: Case Report and Review of the Literature. Head Neck Pathol. 2018, 12, 517–521. [Google Scholar] [CrossRef] [PubMed]
- Vargo, R.J.; Bilodeau, E.A. Reappraising Localized Juvenile Spongiotic Gingival Hyperplasia. J. Am. Dent. Assoc. 2019, 150, 147–153.e2. [Google Scholar] [CrossRef]
- Solomon, L.W.; Trahan, W.R.; Snow, J.E. Localized Juvenile Spongiotic Gingival Hyperplasia: A Report of 3 Cases. Pediatr. Dent. 2013, 35, 360–363. [Google Scholar]
Disclaimer/Publisher’s Note: The statements, opinions and data contained in all publications are solely those of the individual author(s) and contributor(s) and not of MDPI and/or the editor(s). MDPI and/or the editor(s) disclaim responsibility for any injury to people or property resulting from any ideas, methods, instructions or products referred to in the content. |
© 2024 by the authors. Licensee MDPI, Basel, Switzerland. This article is an open access article distributed under the terms and conditions of the Creative Commons Attribution (CC BY) license (https://creativecommons.org/licenses/by/4.0/).




