The Role of Trans-Oesophageal Echocardiography in the Interventional Cardiology of Adult Congenital Heart Diseases
Abstract
1. Introduction
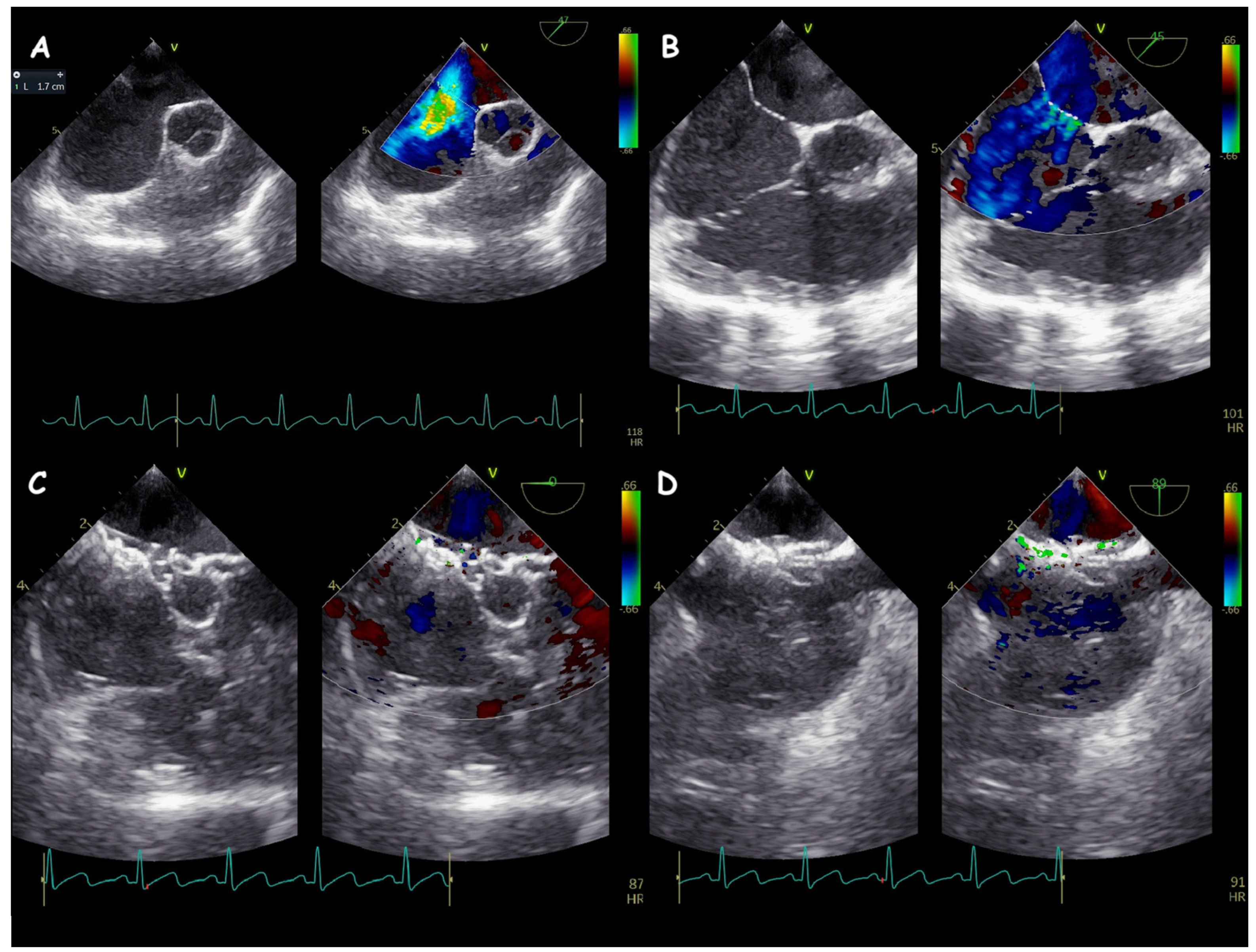
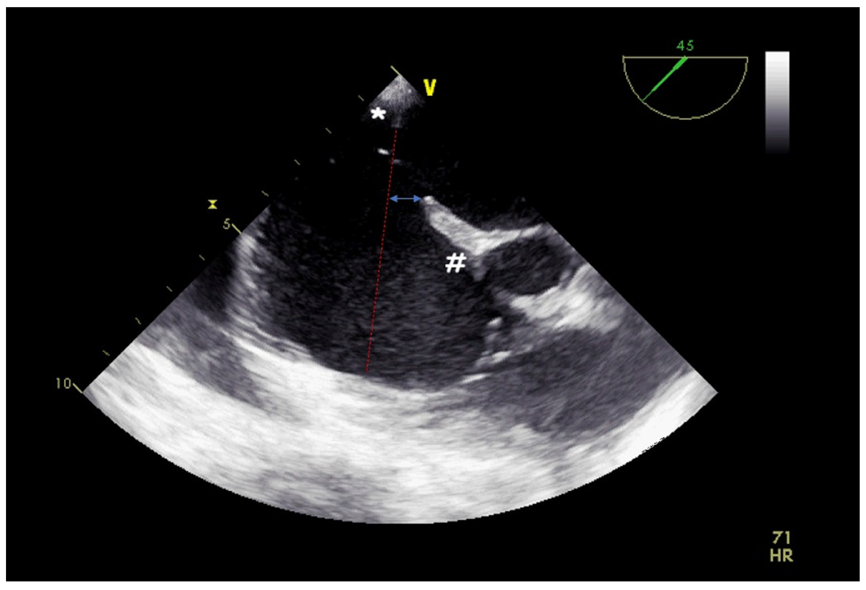
2. Atrial Septal Defect Closure
3. Ventricular Septal Defect Closure
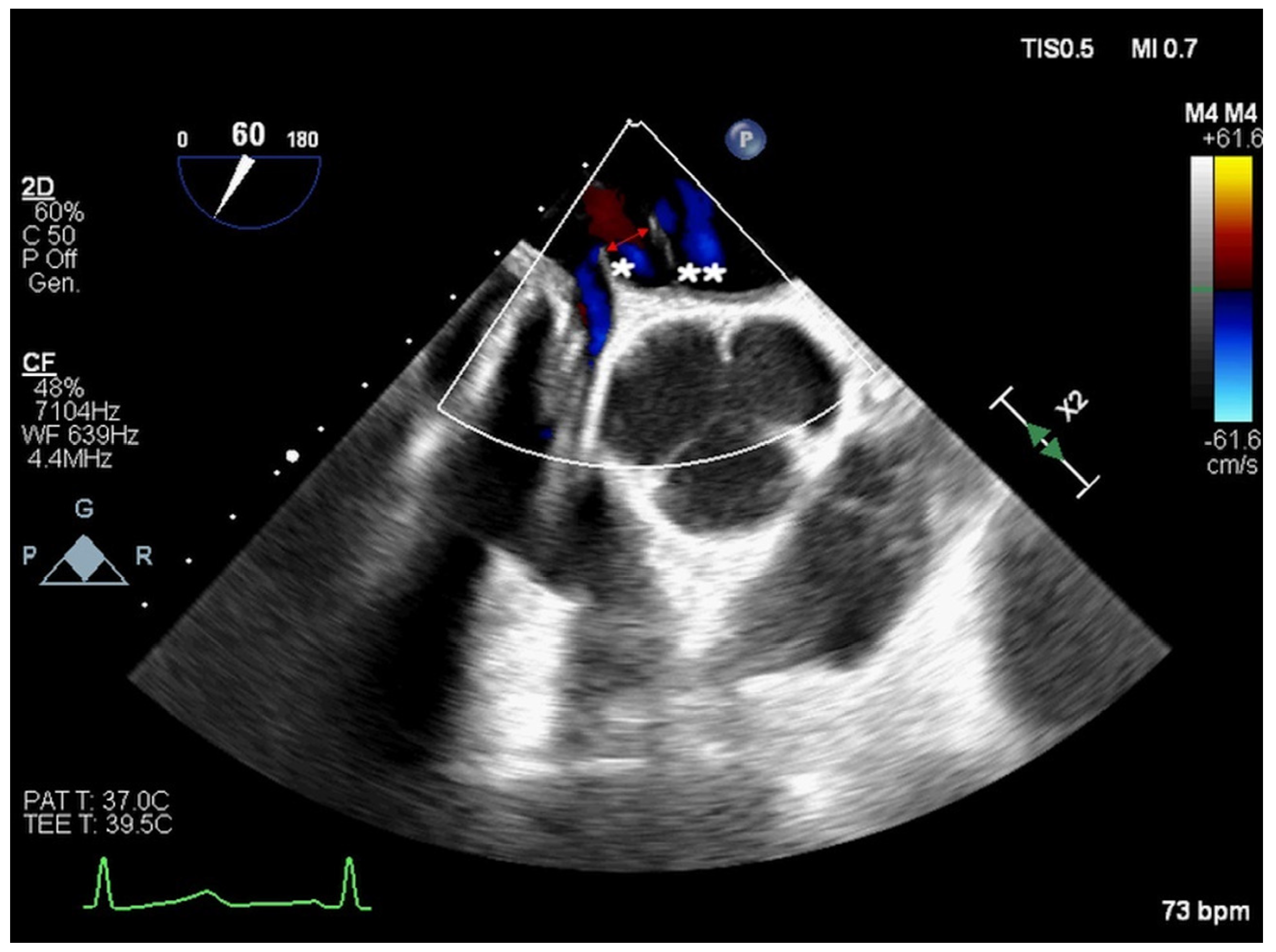
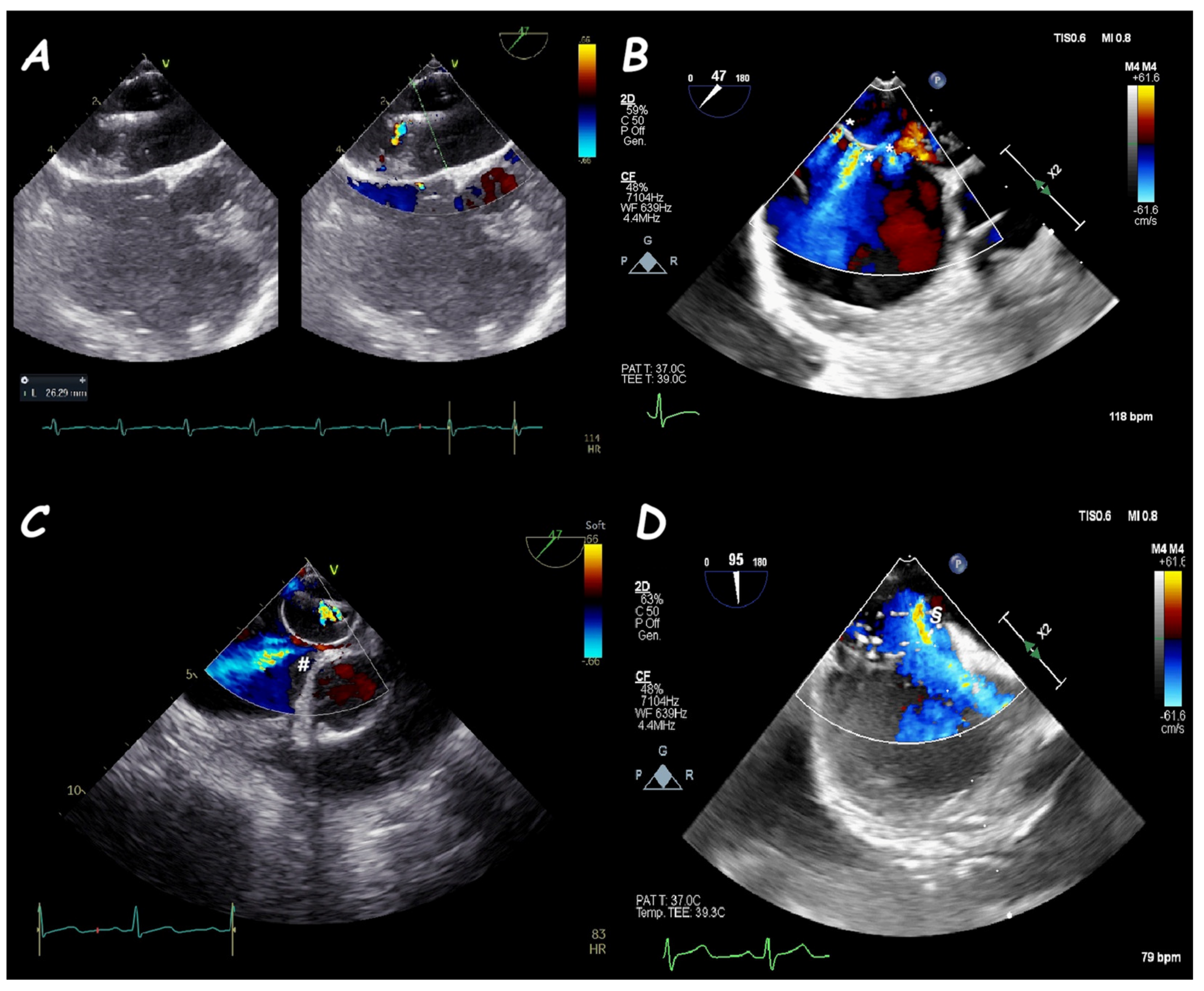
4. Leak Closure of Atrial Switch Operation Baffles
5. Fontan Conduit Fenestration Management
6. Ruptured Sinus of Valsalva Closure
- -
- Type I, between the right coronary sinus and the distal right ventricle outflow tract (RVOT);
- -
- Type II, between the right coronary sinus and the proximal RVOT;
- -
- Type III, between the right coronary sinus and either the inlet of the right ventricle (IIIb or IIIv) or the right atrium (IIIa);
- -
- Type IV, between the no-coronary sinus and the right atrium.
7. Miscellaneous
Author Contributions
Funding
Institutional Review Board Statement
Informed Consent Statement
Data Availability Statement
Conflicts of Interest
References
- Ben, L.; Zhang, Y.; Wang, Y.; Xing, W.; Cai, J.; Han, Y. Efficacy and Safety of Transthoracic Versus Transesophageal Echocardiography for Monitoring Closure of Atrial or Ventricular Septal Defects: A Systematic Review and Meta-Analysis. Echocardiography 2024, 41, e15955. [Google Scholar] [CrossRef] [PubMed]
- Binder, M.S.; Binder, I.E.; Foerst, J.R. Limitations of Percutaneous Closure of a Complex Secundum Atrial Septal Defect. CASE 2022, 6, 233–236. [Google Scholar] [CrossRef] [PubMed]
- Cooke, J.C.; Gelman, J.S.; Harper, R.W. Echocardiologist’s role in the deployment of the Amplatzer septal occlude device in adults. J. Am. Soc. Echocardiogr. 2001, 14, 588–594. [Google Scholar] [CrossRef] [PubMed]
- Crawford, G.B.; Brindis, R.G.; Krucoff, M.W.; Mansalis, B.P.; Carroll, J.D. Percutaneous atrial septal occluder devices and cardiac erosion: A review of the literature. Catheter. Cardiovasc. Interv. 2012, 80, 157–167. [Google Scholar] [CrossRef]
- Takaya, Y.; Akagi, T.; Nakagawa, K.; Nakayama, R.; Miki, T.; Toh, N.; Ito, H. Morphological assessments of deficient posterior-inferior rim for transcatheter closure of atrial septal defect. Catheter. Cardiovasc. Interv. 2021, 97, 135–141. [Google Scholar] [CrossRef]
- McElhinney, D.B.; Quartermain, M.D.; Kenny, D.; Alboliras, E.; Amin, Z. Relative Risk Factors for Cardiac Erosion Following Transcatheter Closure of Atrial Septal Defects: A Case-Control Study. Circulation 2016, 133, 1738–1746. [Google Scholar] [CrossRef]
- Jung, S.Y.; Choi, J.Y. Transcatheter closure of atrial septal defect: Principles and available devices. J. Thorac. Dis. 2018, 10 (Suppl. S24), S2909–S2922. [Google Scholar] [CrossRef]
- Deng, B.; Chen, K.; Huang, T.; Wei, Y.; Liu, Y.; Yang, L.; Qiu, Q.; Zheng, S.; Lv, H.; Wang, P.; et al. Assessment of atrial septal defect using 2D or real-time 3D transesophageal echocardiography and outcomes following transcatheter closure. Ann. Transl. Med. 2021, 9, 1309. [Google Scholar] [CrossRef]
- Farhaj, Z.; Hongxin, L.; Wenbin, G.; Zhang, W.L.; Liang, F.; Zhang, H.Z.; Yuan, G.D.; Zou, C.W. Device closure of diverse layout of multi-hole secundum atrial septal defect: Different techniques and long-term follow-up. J. Cardiothorac. Surg. 2019, 14, 130. [Google Scholar] [CrossRef]
- Mahmoud, H.T.; Gaio, G.; Giordano, M.; Pizzuto, A.; Cuman, M.; Asklany, H.T.; Palladino, M.T.; Russo, M.G.; Santoro, G. Transcatheter closure of fenestrated atrial septal aneurysm: Feasibility and long-term results. J. Cardiovasc. Med. 2022, 23, 49–59. [Google Scholar] [CrossRef]
- Szkutnik, M.; Masura, J.; Bialkowski, J.; Gavora, P.; Banaszak, P.; Kusa, J.; Zembala, M. Transcatheter closure of double atrial septal defects with a single Amplatzer device. Catheter. Cardiovasc. Interv. 2004, 61, 237–241. [Google Scholar] [CrossRef] [PubMed]
- Pearson, A.C.; Nagelhout, D.; Castello, R.; Gomez, C.R.; Labovitz, A.J. Atrial septal aneurysm and stroke: A transesophageal echocardiographic study. J. Am. Coll. Cardiol. 1991, 18, 1223–1229. [Google Scholar] [CrossRef] [PubMed]
- Olivares-Reyes, A.; Chan, S.; Lazar, E.J.; Bandlamudi, K.; Narla, V.; Ong, K. Atrial septal aneurysm: A new classification in two hundred five adults. J. Am. Soc. Echocardiogr. 1997, 10, 644–656. [Google Scholar] [CrossRef] [PubMed]
- Takaya, Y.; Akagi, T.; Nakagawa, K.; Nakayama, R.; Miki, T.; Watanabe, N.; Toh, N.; Ito, H. Clinical Significance of Septal Malalignment for Transcatheter Closure of Atrial Septal Defect. J. Interv. Cardiol. 2020, 2020, 6090612. [Google Scholar] [CrossRef]
- Kijima, Y.; Akagi, T.; Nakagawa, K.; Promphan, W.; Toh, N.; Nakamura, K.; Sano, S.; Ito, H. Cardiac erosion after catheter closure of atrial septal defect: Septal malalignment may be a novel risk factor for erosion. J. Cardiol. Cases. 2014, 9, 134–137. [Google Scholar] [CrossRef]
- Vettukattil, J.J.; Ahmed, Z.; Salmon, A.P.; Mohun, T.; Anderson, R.H. Defects in the oval fossa: Morphologic variations and impact on transcatheter closure. J. Am. Soc. Echocardiogr. 2013, 26, 192–199. [Google Scholar] [CrossRef]
- Montella, A.P.; Petrarcone, C.G.; Giordano, M.; D’Andrea, C.; Oppido, G. Intracardiac total anomalous pulmonary venous return or septum primum malposition? Complete repair in left atrial isomerism. Multimed. Man. Cardiothorac. Surg. 2023, 2023. [Google Scholar] [CrossRef]
- Roberson, D.A.; Javois, A.J.; Cui, W.; Madronero, L.F.; Cuneo, B.F.; Muangmingsuk, S. Double atrial septum with persistent inter-atrial space: Echocardiographic features of a rare atrial septal malformation. J. Am. Soc. Echocardiogr. 2006, 19, 1175–1181. [Google Scholar] [CrossRef]
- Butera, G.; Montinaro, A.; Carminati, M. The “pull-push” technique to deal with a redundant eustachian valve interfering with placement of a PFO occluder. Catheter. Cardiovasc. Interv. 2006, 68, 961–964. [Google Scholar] [CrossRef]
- Hascoet, S.; Hadeed, K.; Marchal, P.; Dulac, Y.; Alacoque, X.; Heitz, F.; Acar, P. The relation between atrial septal defect shape, diameter, and area using three-dimensional transoesophageal echocardiography and balloon sizing during percutaneous closure in children. Eur. Heart J. Cardiovasc. Imaging 2015, 16, 747–755. [Google Scholar] [CrossRef][Green Version]
- Alsaileek, A.A.; Omran, A.; Godman, M.; Najm, H.K. Echocardiographic visualization of laceration of atrial septum during balloon sizing of atrial septal defect. Eur. J. Echocardiogr. 2007, 8, 155–157. [Google Scholar] [CrossRef][Green Version]
- Sivasankaran, S.; Harikrishnan, S.; Narayanan, N.; Jaganmohan, T. Laceration of atrial septum during balloon sizing of atrial septal defect. Eur. J. Echocardiogr. 2007, 8, 89–90. [Google Scholar] [CrossRef] [PubMed][Green Version]
- Narimani, S.; Ayati, A.; Tayebi, A.; Jalai, A.; Amirsardari, Z.; Sahebjam, M.; Zoroufian, A. Three-dimensional transesophageal echocardiography measurements of ASD sizing parameters in comparison to balloon sizing method in percutaneous ASD closure. Echocardiography 2024, 41, e15822. [Google Scholar] [CrossRef] [PubMed]
- Bramlet, M.T.; Hoyer, M.H. Single pediatric center experience with multiple device implantation for complex secundum atrial septal defects. Catheter. Cardiovasc. Interv. 2008, 72, 531–537. [Google Scholar] [CrossRef]
- Butera, G.; Romagnoli, E.; Saliba, Z.; Chessa, M.; Sangiorgi, G.; Giamberti, A.; Cappato, R.; Bussadori, C.; Abella, R.; Pelissero, G.; et al. Percutaneous closure of multiple defects of the atrial septum: Procedural results and long-term follow-up. Catheter. Cardiovasc. Interv. 2010, 76, 121–128. [Google Scholar] [CrossRef] [PubMed]
- Li, P.; Fang, F.; Qiu, X.; Xu, N.; Wang, Y.; Ouyang, W.B.; Zhang, F.W.; Hu, H.B.; Pan, X.B. Personalized Three-Dimensional Printing and Echoguided Procedure Facilitate Single Device Closure for Multiple Atrial Septal Defects. J. Interv. Cardiol. 2020, 2020, 1751025. [Google Scholar] [CrossRef] [PubMed]
- Moore, J.; Hegde, S.; El-Said, H.; Beekman, R., 3rd; Benson, L.; Bergersen, L.; Holzer, R.; Jenkins, K.; Ringel, R.; Rome, J.; et al. Transcatheter device closure of atrial septal defects: A safety review. JACC Cardiovasc. Interv. 2013, 6, 433–442. [Google Scholar] [CrossRef]
- Lopez, L.; Houyel, L.; Colan, S.D.; Anderson, R.H.; Béland, M.J.; Aiello, V.D.; Bailliard, F.; Cohen, M.S.; Jacobs, J.P.; Kurosawa, H.; et al. Classification of Ventricular Septal Defects for the Eleventh Iteration of the International Classification of Diseases-Striving for Consensus: A Report From the International Society for Nomenclature of Paediatric and Congenital Heart Disease. Ann. Thorac. Surg. 2018, 106, 1578–1589. [Google Scholar] [CrossRef]
- Morray, B.H. Ventricular Septal Defect Closure Devices, Techniques, and Outcomes. Interv. Cardiol. Clin. 2019, 8, 1–10. [Google Scholar] [CrossRef]
- Carminati, M.; Butera, G.; Chessa, M.; De Giovanni, J.; Fisher, G.; Gewillig, M.; Peuster, M.; Piechaud, J.F.; Santoro, G.; Sievert, H.; et al. Transcatheter closure of congenital ventricular septal defects: Results of the European Registry. Eur. Heart J. 2007, 28, 2361–2368. [Google Scholar] [CrossRef]
- Hsu, J.H.; Wu, J.R.; Dai, Z.K.; Lee, M.H. Real-time three-dimensional echocardiography provides novel and useful anatomic insights of perimembranous ventricular septal aneurysm. Int. J. Cardiol. 2007, 118, 326–331. [Google Scholar] [CrossRef] [PubMed]
- Bant, A.; Dominguez, C.; Glazier, E.; Saririan, M.; Kaufman, J.; Breburda, C.S. Three-dimensional echocardiographic assessment of a serpiginous ventricular septal defect. J. Am. Soc. Echocardiogr. 2008, 21, e5–e6. [Google Scholar] [CrossRef] [PubMed]
- Sugita, T.; Ueda, Y.; Matsumoto, M.; Ogino, H.; Sakakibara, Y.; Matsuyama, K. Repeated procedure after radical surgery for tetralogy of Fallot. Ann. Thorac. Surg. 2000, 70, 1507–1510. [Google Scholar] [CrossRef] [PubMed]
- Egbe, A.C.; Poterucha, J.T.; Rihal, C.S.; Taggart, N.W.; Cetta, F.; Cabalka, A.K.; Pollak, P.M.; Reeder, G.S.; Hagler, D.J. Transcatheter closure of postmyocardial infarction, iatrogenic, and postoperative ventricular septal defects: The Mayo Clinic experience. Catheter. Cardiovasc. Interv. 2015, 86, 1264–1270. [Google Scholar] [CrossRef]
- Halpern, D.G.; Perk, G.; Ruiz, C.; Marino, N.; Kronzon, I. Percutaneous closure of a post-myocardial infarction ventricular septal defect guided by real-time three-dimensional echocardiography. Eur. J. Echocardiogr. 2009, 10, 569–571. [Google Scholar] [CrossRef][Green Version]
- Kafes, H.; Ozeke, O.; Demirkan, B.; Acar, B.; Aysenur Ekizler, F.; Karabulut, O.; Can Konte, H.; Golbasi, Z.; Tufekcioglu, O.; Lutfi Kisacik, H. Flail Tricuspid Leaflet During the Percutaneous Closure of Post-Myocardial Infarction Ventricular Septal Defect. CASE 2017, 1, 207–209. [Google Scholar] [CrossRef]
- van den Bosch, A.E.; Ten Harkel, D.J.; McGhie, J.S.; Roos-Hesselink, J.W.; Simoons, M.L.; Bogers, A.J.; Meijboom, F.J. Feasibility and accuracy of real-time 3-dimensional echocardiographic assessment of ventricular septal defects. J. Am. Soc. Echocardiogr. 2006, 19, 7–13. [Google Scholar] [CrossRef]
- Baldasare, M.D.; Polyakov, M.; Laub, G.W.; Costic, J.T.; McCormick, D.J.; Goldberg, S. Percutaneous repair of post-myocardial infarction ventricular septal defect: Current approaches and future perspectives. Tex. Heart Inst. J. 2014, 41, 613–619. [Google Scholar] [CrossRef]
- Mahimarangaiah, J.; Subramanian, A.; Kikkeri Hemannasetty, S.; Chandra, S.; Karur, S.; Mandikal Kodandaramasastry, U.; Cholenahally Nanjappa, M. Transcatheter closure of perimembranous ventricular septal defects with ductal occluders. Cardiol. Young 2015, 25, 918–926. [Google Scholar] [CrossRef]
- Tanidir, I.C.; Baspinar, O.; Saygi, M.; Kervancioglu, M.; Guzeltas, A.; Odemis, E. Use of Lifetech Konar-MF, a device for both perimembranous and muscular ventricular septal defects: A multicentre study. Int. J. Cardiol. 2020, 310, 43–50. [Google Scholar] [CrossRef]
- Pérez de Prado, A.; Zunzunegui Martínez, J.L.; Carbonell de Blas, R.; Rodríguez García, M.Á.; Benito González, T.; Fernández Vázquez, F. Effect of Incomplete Closure of a Gerbode Defect With the Nit-Occlud Le VSD Coil: Severe Hemolysis Requiring a Second Procedure. Rev. Esp. Cardiol. 2017, 70, 872–873. [Google Scholar] [CrossRef] [PubMed]
- Mulvaney, S.; Grech, V. Haemolysis after Amplatzer device closure of ventricular septal defect. Images Paediatr. Cardiol. 2007, 9, 4–5. [Google Scholar] [PubMed]
- Mustard, W.T.; Keith, J.D.; Trusler, G.A.; Fowler, R.; Kidd, L. The surgical management of transposition of the great vessels. J. Thorac. Cardiovasc. Surg. 1964, 48, 953–958. [Google Scholar] [CrossRef] [PubMed]
- Balzer, D.T.; Johnson, M.; Sharkey, A.M.; Kort, H. Transcatheter occlusion of baffle leaks following atrial switch procedures for transposition of the great vessels (d-TGV). Catheter. Cardiovasc. Interv. 2004, 61, 259–263. [Google Scholar] [CrossRef] [PubMed]
- Porras, D.; Mitsouras, D.; Steigner, M.; Giannopoulos, A.A.; Kelil, T.; Marshall, A.C.; Menard, M.T. Transcatheter Mustard Revision Using Endovascular Graft Prostheses. Ann. Thorac. Surg. 2017, 103, e509–e512. [Google Scholar] [CrossRef][Green Version]
- Giannakoulas, G.; Thanopoulos, V. Three-dimensional transesophageal echocardiography for guiding percutaneous fontan fenestration closure. Echocardiography 2014, 31, E230–E231. [Google Scholar] [CrossRef]
- Muino, L.; Suys, B.; De Wolf, D. Closure of a lateral baffle leak in a Fontan patient with an amplatzer PDA II AS plug. Acta Cardiol. 2012, 67, 599–602. [Google Scholar] [CrossRef]
- Uberoi, R.; Roberts, P.; Barnes, N.; Wilson, N. Transcatheter closure of total cavopulmonary connection lateral tunnel dehiscence and fenestration using a custom-made, self-expanding stent graft. Cardiovasc. Interv. Radiol. 2009, 32, 385–387. [Google Scholar] [CrossRef]
- Manuri, L.; Calaciura, R.E.; De Zorzi, A.; Oreto, L.; Raponi, M.; Lehner, A.; Haas, N.; Agati, S. Atrial flow regulator for failing Fontan circulation: An initial European experience. Interact. Cardiovasc. Thorac. Surg. 2018, 27, 761–764. [Google Scholar] [CrossRef]
- Sakakibara, S.; Konno, S. Congenital aneurysm of the sinus of Valsalva associated with ventricular septal defect. Anat. Aspects. Am. Heart J. 1968, 75, 595–603. [Google Scholar] [CrossRef]
- Xin-Jin, L.; Xuan, L.; Bo, P.; Hong-Wei, G.; Wei, W.; Shou-Jun, L.; Sheng-Shou, H. Modified Sakakibara classification system for ruptured sinus of Valsalva aneurysm. J. Thorac. Cardiovasc. Surg. 2013, 146, 874–878. [Google Scholar] [CrossRef]
- Liu, S.; Xu, X.; Chen, F.; Zhao, Z.; Zhang, Y.; Wang, C.; Xiang, J.; Wu, G.; Chen, X.; Zhao, X.; et al. Angiographic features of ruptured sinus of Valsalva aneurysm: New classification. J. Cardiol. 2014, 64, 139–144. [Google Scholar] [CrossRef] [PubMed]
- Taguchi, K.; Sasaki, N.; Matsuura, Y.; Uemura, R. Surgical correction of aneurysm of the sinus of Valsalva: A report of forty-five consecutive patients including eight with total replacement of the aortic valve. Am. J. Cardiol. 1969, 23, 180–191. [Google Scholar] [CrossRef]
- Mahimarangaiah, J.; Chandra, S.; Subramanian, A.; Srinivasa, K.H.; Usha, M.K.; Manjunath, C.N. Transcatheter closure of ruptured sinus of Valsalva: Different techniques and mid-term follow-up. Catheter. Cardiovasc. Interv. 2016, 87, 516–522. [Google Scholar] [CrossRef]
- Galeczka, M.; Glowacki, J.; Yashchuk, N.; Ditkivskyy, I.; Rojczyk, D.; Knop, M.; Smerdzinski, S.; Cherpak, B.; Szkutnik, M.; Bialkowski, J.; et al. Medium- and long-term follow-up of transcatheter closure of ruptured sinus of Valsalva aneurysm in Central Europe population. J. Cardiol. 2019, 74, 381–387. [Google Scholar] [CrossRef]
- Faccini, A.; Butera, G. Tricuspid regurgitation as a complication of Edwards Sapien XT valve implantation in pulmonary position a problem to deal with. Catheter. Cardiovasc. Interv. 2018, 91, 927–931. [Google Scholar] [CrossRef] [PubMed]
- Hansen, J.H.; Duong, P.; Jivanji, S.G.M.; Jones, M.; Kabir, S.; Butera, G.; Qureshi, S.A.; Rosenthal, E. Transcatheter Correction of Superior Sinus Venosus Atrial Septal Defects as an Alternative to Surgical Treatment. J. Am. Coll. Cardiol. 2020, 75, 1266–1278. [Google Scholar] [CrossRef] [PubMed]
- Hai-Bo HNaqvi, S.Y.; Kai, Y.; Xiang-Bin, P. Transcatheter closure for baffle leak after Takeuchi repair of anomalous left coronary artery from the pulmonary artery: A case report. Eur. Heart J. Case Rep. 2018, 2, yty028. [Google Scholar]
- Naqvi, S.Y.; Joynt, M.; Prasad, S.; Ling, F. Severe baffle leak after Takeuchi repair successfully treated with coronary bypass and percutaneous baffle closure: A case report. Eur. Heart J. Case Rep. 2021, 5, ytab074. [Google Scholar] [CrossRef]
- Latcu, D.G.; Rinaldi, J.P.; Yaici, K.; Saoudi, N. The use of transesophageal echocardiography to guide the trans-septal puncture. Practical guide, tips and tricks. Ann. Cardiol. Angeiol. 2015, 64, 14–20. [Google Scholar] [CrossRef]
- Nam, H.H.; Herz, C.; Lasso, A.; Drouin, S.; Posada, A.; Morray, B.; O’Byrne, M.L.; Paniagua, B.; Joffe, D.; Mackensen, B.; et al. Simulation of Transcatheter Atrial and Ventricular Septal Defect Device Closure Within Three-Dimensional Echocardiography-Derived Heart Models on Screen and in Virtual Reality. J. Am. Soc. Echocardiogr. 2020, 33, 641–644.e2. [Google Scholar] [CrossRef] [PubMed]
- Naqvi, R.A.; Haider, A.; Kim, H.S.; Jeong, D.; Lee, S.W. Transformative Noise Reduction: Leveraging a Transformer-Based Deep Network for Medical Image Denoising. Mathematics 2024, 12, 2313. [Google Scholar] [CrossRef]
- Abdulrazzaq, M.M.; Ramaha, N.T.A.; Hameed, A.A.; Salman, M.; Yon, D.K.; Fitriyani, N.L.; Syafrudin, M.; Lee, S.W. Consequential Advancements of Self-Supervised Learning (SSL) in Deep Learning Contexts. Mathematics 2024, 12, 758. [Google Scholar] [CrossRef]


















| ASD Closure: Pre-Procedural Assessment | |
|---|---|
| ASD shape | elliptical, round or irregular shapes (star-, reniform- or other irregular shapes), internal seedings |
| ASD size | maximum ASD diameter |
| ASD shunt direction | left-to-right, bidirectional, or right-to-left |
| ASD periorificial rims | adequate (>5 mm), poor (<5 mm), or absent |
| Accessory ASDs | numbers, size, and distance (if present) |
| Atrial septum aneurysm | base width and an aneurysm excursion into the right or left atrium (if present) |
| Misaligned ASD | distance of separation between the septum primum surface and the septum secundum one (if present) |
| Double atrial septum | separation between the left atrial and right atrial rims of the defects (if present) |
| Redundant Eustachian valve | length and excursion (if present) |
| Chiari network | width and extension (if present) |
| VSD Closure: Pre-Procedural Assessment | |
|---|---|
| VSD topography | peri-membranous or muscular VSD (inlet, outlet, or trabecular VSD; doubly committed VSD; malalignment VSD; Gerbode VSD) |
| VSD shunt direction | left-to-right, bidirectional, or right-to-left |
| VSD shape | elliptical, circular, or irregular shapes |
| VSD size | maximum ASD diameter |
| VSD periorificial rims | adequate (>2 mm), poor (<2 mm), or absent |
| Accessory VSDs | numbers, size, and distance (if present) |
| VSD aneurysmal pouch | base width and aneurysmal depth |
Disclaimer/Publisher’s Note: The statements, opinions and data contained in all publications are solely those of the individual author(s) and contributor(s) and not of MDPI and/or the editor(s). MDPI and/or the editor(s) disclaim responsibility for any injury to people or property resulting from any ideas, methods, instructions or products referred to in the content. |
© 2025 by the authors. Licensee MDPI, Basel, Switzerland. This article is an open access article distributed under the terms and conditions of the Creative Commons Attribution (CC BY) license (https://creativecommons.org/licenses/by/4.0/).
Share and Cite
Giordano, M.; Scognamiglio, G.; Gaio, G.; Marzullo, R.; Palma, M.; Barracano, R.; Fusco, F.; Borrelli, N.; Sperlongano, S.; Cimmino, G.; et al. The Role of Trans-Oesophageal Echocardiography in the Interventional Cardiology of Adult Congenital Heart Diseases. J. Clin. Med. 2025, 14, 1049. https://doi.org/10.3390/jcm14041049
Giordano M, Scognamiglio G, Gaio G, Marzullo R, Palma M, Barracano R, Fusco F, Borrelli N, Sperlongano S, Cimmino G, et al. The Role of Trans-Oesophageal Echocardiography in the Interventional Cardiology of Adult Congenital Heart Diseases. Journal of Clinical Medicine. 2025; 14(4):1049. https://doi.org/10.3390/jcm14041049
Chicago/Turabian StyleGiordano, Mario, Giancarlo Scognamiglio, Gianpiero Gaio, Raffaella Marzullo, Michela Palma, Rosaria Barracano, Flavia Fusco, Nunzia Borrelli, Simona Sperlongano, Giovanni Cimmino, and et al. 2025. "The Role of Trans-Oesophageal Echocardiography in the Interventional Cardiology of Adult Congenital Heart Diseases" Journal of Clinical Medicine 14, no. 4: 1049. https://doi.org/10.3390/jcm14041049
APA StyleGiordano, M., Scognamiglio, G., Gaio, G., Marzullo, R., Palma, M., Barracano, R., Fusco, F., Borrelli, N., Sperlongano, S., Cimmino, G., Russo, M. G., & Sarubbi, B. (2025). The Role of Trans-Oesophageal Echocardiography in the Interventional Cardiology of Adult Congenital Heart Diseases. Journal of Clinical Medicine, 14(4), 1049. https://doi.org/10.3390/jcm14041049

