Incorporation of Two Bacterial Blight Resistance Genes into the Popular Rice Variety, Ranidhan through Marker-Assisted Breeding
Abstract
1. Introduction
2. Materials and Methods
2.1. Plant Materials Used in the Breeding Program
2.2. DNA Isolation, PCR and Marker Analysis
2.3. Bioassay of Bacterial Blight
2.4. Evaluation of the Genotypes for Various Agro-Morphological Characters
3. Results
3.1. Development of Pyramided Lines Carrying BB Resistance Genes
3.1.1. Validation of the Target Resistance Genesin the Parental Lines
3.1.2. Screening of the BB Resistance Genes in BC1F1Progenies
3.1.3. Screening of the BB Resistance Genes in BC2F1 Progenies
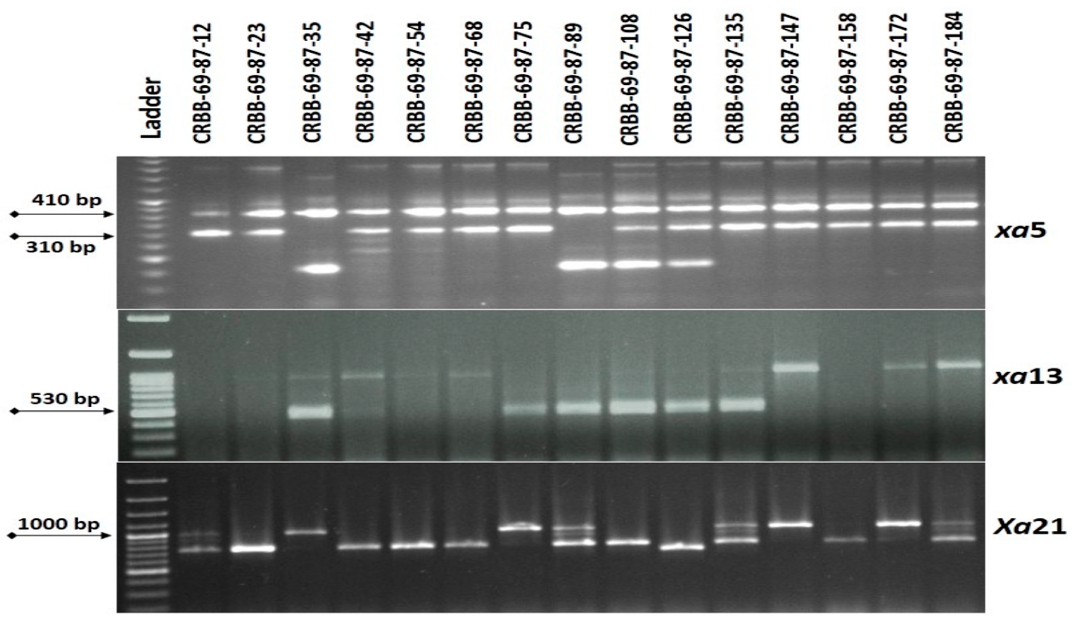
3.1.4. Marker-Assisted Selection in the BC3F1 and BC3F2 Progenies
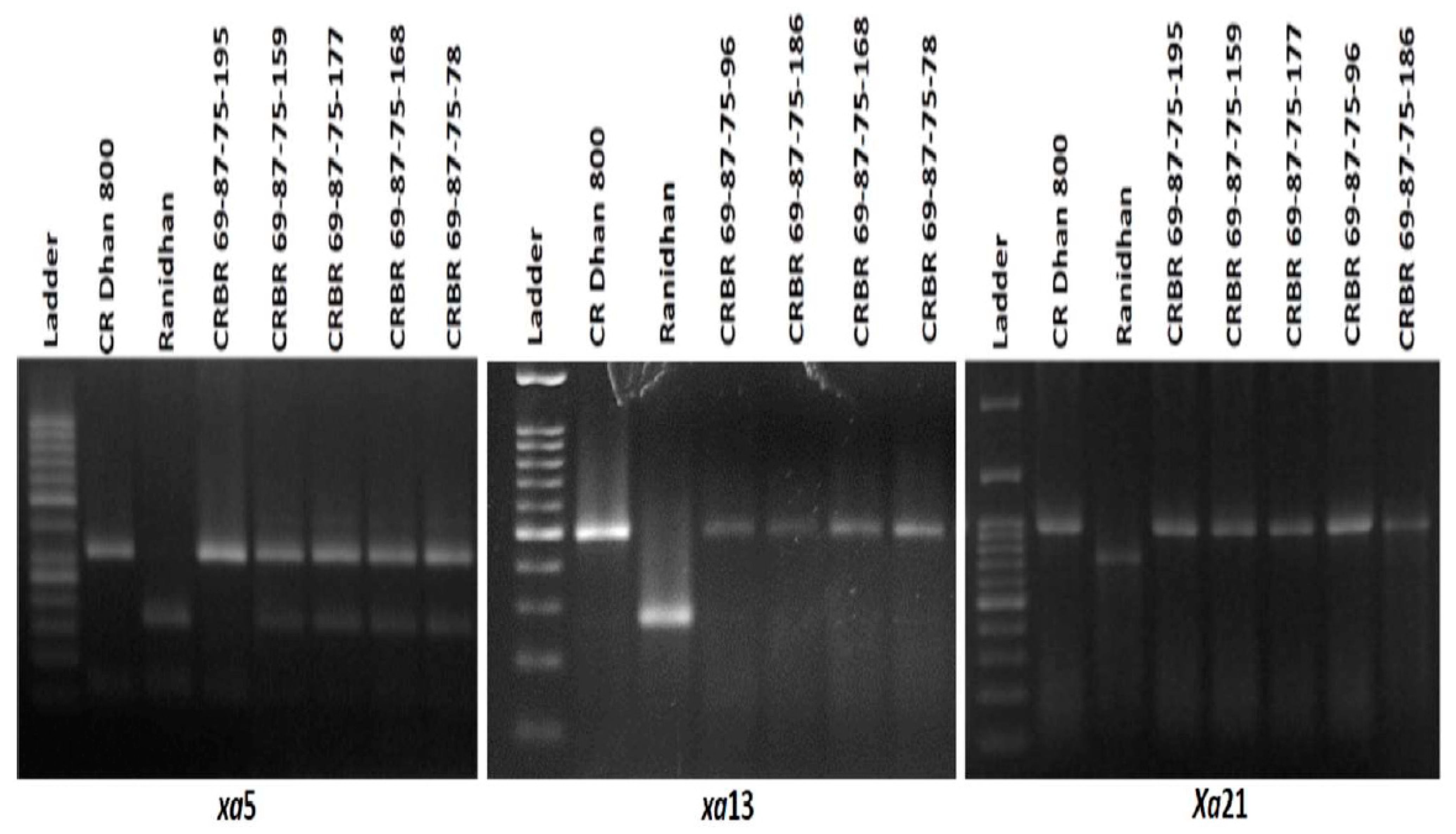
3.2. Bioassay of the Pyramided Lines against Bacterial Blight Pathogens
3.3. Evaluation of the Pyramided Lines for Yield, Agro-Morphologic and Grain Quality Traits
4. Discussion
5. Conclusions
Author Contributions
Funding
Institutional Review Board Statement
Informed Consent Statement
Data Availability Statement
Acknowledgments
Conflicts of Interest
Ethics Approval and Consent to Participate
References
- Pandit, E.; Pawar, S.; Barik, S.R.; Mohanty, S.P.; Meher, J.; Pradhan, S.K. Marker-assisted backcross breeding for improvement of submergence tolerance and grain yield in the popular rice variety ‘Maudamani’. Agronomy 2021, 11, 1263. [Google Scholar] [CrossRef]
- Pradhan, S.K.; Pandit, E.; Pawar, S.; Baksh, S.Y.; Mukherjee, A.K.; Mohanty, S.P. Development of flash-flood tolerant and durable bacterial blight resistant versions of mega rice variety ‘Swarna’ through marker-assisted backcross Breeding. Sci. Rep. 2019, 9, 12810. [Google Scholar] [CrossRef]
- Mohapatra, S.; Bastia, A.K.; Meher, J.; Sanghamitra, P.; Pradhan, S.K. Development of submergence tolerant, bacterial blight resistant and high yielding near isogenic lines of popular variety ‘Swarna’ through marker-assisted breeding approach. Front. Plant Sci. 2021. [Google Scholar] [CrossRef] [PubMed]
- Food and Agriculture Organization. Food and Agriculture Organization of the United Nations. Rice Mark. Monit. 2017, 20, 1–38. [Google Scholar]
- Pradhan, S.K.; Barik, S.R.; Sahoo, J.; Pandit, E.; Nayak, D.K.; Pani, D.R.; Anandana, A. Comparison of Sub1 markers and their combinations for submergence tolerance and analysis of adaptation strategies of rice in rainfed lowland ecology. Comptes Rendus Biol. 2015, 338, 650–659. [Google Scholar] [CrossRef] [PubMed]
- Khush, G.S. What it will take to feed 5.0 billion rice consumers in 2030. Plant Mol. Biol. 2005, 59, 1–6. [Google Scholar] [CrossRef] [PubMed]
- Mishra, A.; Barik, S.R.; Pandit, E.; Yadav, S.S.; Das, S.R.; Pradhana, S.K. Genetics, Mechanisms and Deployment of Brown Planthopper Resistance Genes in Rice. Crit. Rev. Plant Sci. 2022, 41, 91–127. [Google Scholar] [CrossRef]
- Ismail, A.M.; Singh, U.S.; Singh, S.; Dar, M.H.; Mackill, D.J. The contribution of submergence-tolerant (Sub1) rice varieties to food security in flood-prone rainfed lowland areas in Asia. Field Crops Res. 2013, 152, 83–93. [Google Scholar] [CrossRef]
- Sonti, R.V. Bacterial leaf blight of rice: New insights from molecular genetics. Curr. Sci. 1998, 74, 206–212. [Google Scholar]
- Khush, G.S.; Mackill, D.J.; Sidhu, G.S. Breeding rice for resistance to bacterial leaf blight. In Bacterial Blight of Rice; IRRI: Manila, Philippines, 1989; pp. 207–217. [Google Scholar]
- Singh, G.P.; Srivastava, M.K.; Singh, R.M.; Singh, R.V. Variation in quantitative and Xanthomonas oryzae. Plant Dis. Rep. 1977, 57, 537–541. [Google Scholar]
- Pradhan, S.K.; Barik, S.R.; Nayak, D.K.; Pradhan, A.; Pandit, E.; Nayak, P.; Das, S.R.; Pathak, H. Genetics, molecular mechanisms and deployment of bacterial blight resistance genes in rice. Crit. Rev. Plant Sci. 2020, 39, 360–385. [Google Scholar] [CrossRef]
- Bhasin, H.; Bhatia, D.; Raghuvanshi, S.; Lore, S.J.; Gurpreet, K.; Sahi, K.G.; Kaur, B.; Vikal, Y.; Singh, K. New PCR-based sequence-tagged site marker for bacterial blight resistance gene Xa38 of rice. Mol. Breed. 2012, 30, 607–611. [Google Scholar] [CrossRef]
- Nayak, D.K.; Pandit, E.; Mohanty, S.; Barik, D.P.; Pradhan, S.K. Marker assisted selection in back cross progenies for transfer of bacterial leaf blight resistance genes into a popular lowland rice cultivar. Agronomy 2015, 52, 163–168. [Google Scholar]
- Pradhan, K.C.; Pandit, E.; Mohanty, S.P.; Moharana, A.; Sanghamitra, P.; Meher, J.; Jena, B.K.; Dash, P.K.; Behera, L.; Mohapatra, P.M.; et al. Development of Broad Spectrum and Durable Bacterial Blight Resistant Variety through Pyramiding of Four Resistance Genes in Rice. Agronomy 2022, 12, 1903. [Google Scholar] [CrossRef]
- Singh, S.; Sidhu, J.S.; Huang, N.; Vikal, Y.; Li, Z.; Brar, D.S.; Dhaliwal, H.S.; Khush, G.S. Pyramiding three bacterial blight resistance genes (xa-5, xa-13 and Xa-21) using marker-assisted selection into indica rice cultivar PR-106. Theor. Appl. Genet. 2001, 102, 1011–1015. [Google Scholar] [CrossRef]
- Huang, N.; Angeles, E.R.; Domingo, J.; Magpantay, G.; Singh, S.; Zhang, G.; Kumaravadevil, N.; Bennett, J.; Khush, G.S. Pyramiding of bacterial blight resistance genes in rice: Marker assisted selection using RFLP and PCR. Theor. Appl. Genet. 1997, 95, 313–320. [Google Scholar] [CrossRef]
- Sanchez, A.C.; Brar, D.S.; Huang, N.; Khush, G.S. Sequence tagged site markers-assisted selection for three bacterial blight resistance genes in rice. Crop Sci. 2000, 40, 792–797. [Google Scholar] [CrossRef]
- Shanti, M.L.; George, M.L.C.; Vera Cruz, C.M.; Bernardo, M.A.; Nelson, R.J.; Leung, H.; Reddy, J.N.; Sridhar, R. Identification of resistance genes effective against bacterial leaf blight pathogen in eastern India. Plant Dis. 2001, 85, 506–512. [Google Scholar] [CrossRef][Green Version]
- Joseph, M.; Gopalakrishnan, S.; Sharma, R.K. Combining bacterial blight resistance and basmati quality characteristics by phenotypic and molecular marker assisted selection in rice. Mol. Breed. 2004, 13, 377–387. [Google Scholar] [CrossRef]
- Pha, P.N.; Lang, N.T. Marker assisted selection in rice breeding for bacterial leaf blight. Omon Rice 2004, 12, 19–26. [Google Scholar]
- Bharat, K.S.; Paulraj, R.S.D.; Brindha, P.V.; Kavitha, S.; Gnanamanickam, S.S. Improvement of bacterial blight resistance in rice cultivars Jyothiand IR50 via marker-assisted backcross breeding. J. Crop Improve. 2008, 21, 101–116. [Google Scholar]
- Perez, L.M.; Redona, E.D.; Mendioro, M.S.; Vera Cruz, C.M.; Leung, H. Introgression of Xa4, Xa7 and Xa21 for resistance to bacterial blight in thermo-sensitivegenetic male sterile rice (Oryza sativa L.) for the development of two-line hybrids. Euphytica 2008, 164, 627–636. [Google Scholar] [CrossRef]
- Sundaram, R.M.; Vishnupriya, M.R.; Biradar, S.K.; Laha, G.S.; Reddy, G.A.; Rani, N.S.; Sarma, N.P.; Sonti, R.V. Marker assisted introgression of bacterial blight resistance in Samba Mahsuri, an elite indica rice variety. Euphytica 2008, 160, 411–422. [Google Scholar] [CrossRef]
- Rajpurohit, D.; Kumar, R.; Kumar, M.; Paul, P.; Awasthi, A.A.; Basha, P.O.; Puri, A.; Jhang, T.; Singh, K.; Dhaliwal, H.S. Pyramiding of two bacterial blight resistance and a semi dwarfing gene in Type 3 Basmati using marker-assisted selection. Euphytica 2011, 178, 111–126. [Google Scholar] [CrossRef]
- Dokku, P.; Das, K.M.; Rao, G.J.N. Pyramiding of four resistance genes of bacterial blight in Tapaswini, an elite rice cultivar, through marker-assisted selection. Euphytica 2013, 192, 87–96. [Google Scholar] [CrossRef]
- Suh, J.P.; Jeung, J.U.; Noh, T.H.; Cho, Y.C.; Park, S.H.; Park, H.S.; Shin, M.S.; Kim, C.K.; Jena, K.K. Development of breeding lines with three pyramided resistance genes that confer broad-spectrum bacterial blight resistance and their molecular analysis in rice. Rice 2013, 6, 5. [Google Scholar] [CrossRef]
- Pradhan, S.K.; Nayak, D.K.; Mohanty, S.; Behera, L.; Barik, S.R.; Pandit, E.; Lenka, S. Pyramiding of three bacterial blight resistance genes for broad-spectrum resistance in deepwater rice variety, Jalmagna. Rice 2015, 8, 19. [Google Scholar] [CrossRef]
- Tyagi, J.P.; Singh, T.; Singh, S.; Nitika, G.; Pradhan, S.K.; Singh, V.P. Identification of rice genotypes with high resistance to bacterial leaf blight caused by Xanthomonas oryzae pv oryzae. Indian J.Agric.Sci. 2010, 80, 63–68. [Google Scholar]
- Mohapatra, S.; Bastia, A.K.; Panda, A.K.; Pradhan, S.K. Marker-assisted selection for transfer of submergence tolerance, bacterial blight resistance and yield enhancement in the rice backcross derivatives. Aust.J.Crop Sci. 2020, 14, 1288–1294. [Google Scholar] [CrossRef]
- Chu, Z.; Fu, B.; Yang, H.; Xu, C.; Li, Z.; Sanchez, A.; Park, Y.J.; Bennetzen, J.L.; Zhang, Q.; Wang, S. Targeting xa13, a recessive gene for bacterial blight resistance in rice. Theor. Appl. Genet. 2006, 112, 455–461. [Google Scholar] [CrossRef]
- Dellaporta, S.L.; Wood, J.; Hicks, J.B. A plant DNA mini preparation: Version II. Plant Mol. Biol. Rep. 1983, 1, 19–21. [Google Scholar] [CrossRef]
- Pradhan, S.K.; Pandit, E.; Pawar, S.; Naveenkumar, R.; Barik, S.R.; Mohanty, S.P.; Nayak, D.K.; Ghritlahre, S.K.; Rao, D.S.; Reddy, J.N.; et al. Linkage disequilibrium mapping for grain Fe and Zn enhancing QTLs useful for nutrient dense rice breeding. BMC Plant Biol. 2020, 20, 57. [Google Scholar] [CrossRef] [PubMed]
- Perrier, X.; Jacquemoud-Collet, J.P. DARwin Software. 2006. Available online: http://darwin.cirad.fr/darwin (accessed on 20 July 2022).
- Singh, S.; Pradhan, S.K.; Singh, A.K.; Singh, O.N. Marker validation in recombinant inbred lines and random varieties of rice for drought tolerance. Aust. J. Crop Sci. 2012, 6, 606–612. [Google Scholar]
- Pandit, E.; Sahoo, A.; Panda, R.K.; Mohanty, D.P.; Pani, D.R.; Anandan, A.; Pradhan, S.K. Survey of rice cultivars and landraces of upland ecology for phosphorous uptake 1 (pup1) QTL using linked and gene specific molecular markers. Oryza 2016, 53, 1–9. [Google Scholar]
- Kauffman, H.E.; Reddy, A.P.K.; Hsien, S.P.Y.; Merca, S.D. An improved technique for evaluating resistance of rice varieties to Xanthomonas oryzae. Plant Dis. Rep. 1973, 57, 537–541. [Google Scholar]
- Amante-Bordeos, A.; Sitch, L.; Nelson, R.; Dalmacio, R.; Oliva, N.; Aswidinnoor, H.; Leung, H. Transfer of bacterial blight and blast resistance from the tetraploid wild rice Oryzaminuta to cultivated rice, Oryzasativa. Theor. Appl. Genet. 1992, 84, 345–354. [Google Scholar] [CrossRef]
- Pandit, E.; Tasleem, S.; Nayak, D.K.; Barik, S.R.; Mohanty, D.P.; Das, S.; Pradhan, S.K. Genome-wide association mapping reveals multiple QTLs governing tolerance response for seedling stage chilling stress in indica rice. Front. Plant Sci. 2017, 8, 552. [Google Scholar] [CrossRef]
- Pandit, E.; Panda, R.K.; Sahoo, A.; Pani, D.R.; Pradhan, S.K. Genetic relationship and structure analyses of root growth angle for improvement of drought avoidance in early and mid-early maturing rice genotypes. Rice Sci. 2020, 27, 124–132. [Google Scholar] [CrossRef]
- Pradhan, S.K.; Pandit, E.; Pawar, S.; Bharati, B.; Chatopadhyay, K.; Singh, S.; Dash, P.; Reddy, J.N. Association mapping reveals multiple QTLs for grain protein content in rice useful for biofortification. Mol. Genet. Genom. 2019, 294, 963–983. [Google Scholar] [CrossRef]
- Pradhan, S.K.; Pandit, E.; Barik, S.R.; Mohanty, S.P.; Nayak, D.K.; Sah, R.P.; Behera, L.; Sanghamitra, P.; Bose, L.K.; Das, S.R. Climate-Smart Rice Breeding: Progress and Challenges for the Rain-fed ecologies in India. In Advances in Rice Breeding: Stress Tolerance, Climate Resilience, Quality and High Yield; Pradhan, S.K., Das, S.R., Patra, B.C., Eds.; ICAR: Odisha, India, 2021; pp. 144–162. Available online: https://icar-nrri.in/wp-content/uploads/2022/05/Book-Advances-in-Rice-Breeding-SKP.pdf (accessed on 12 August 2022).
- Narayanan, N.N.; Baisakh, N.; Oliva, N.P.; Vera-Cruz, C.M.; Gnanamanickam, S.S.; Datta, K.; Datta, S.K. Molecular breeding: Marker-assisted selection combined with biolistic transformation for blast and bacterial blight resistance in indica rice (cv. CO39). Mol. Breed. 2004, 14, 61–71. [Google Scholar] [CrossRef]
- Pradhan, S.K.; Nayak, D.K.; Pandit, E.; Barik, S.R.; Mohanty, S.P.; Anandan, A.; Reddy, J.N. Characterization of morpho-quality traits and validation of bacterial blight resistance in pyramided rice genotypes under various hotspots of India. Aust. J. Crop Sci. 2015, 9, 127–134. [Google Scholar]
- Pradhan, S.K.; Nayak, D.K.; Pandit, E.; Behera, L.; Anandan, A.; Mukherjee, A.K.; Lenka, S.; Barik, D.P. Incorporation of bacterial blight resistance genes into lowland rice cultivar through marker-assisted backcross breeding. Phytopathology 2016, 106, 710–718. [Google Scholar] [CrossRef] [PubMed]






| BB Resistance Gene | Chromosome Number | Marker Used | Primer Sequences Used for the Gene Detection | Expected Band Size (bp) | Marker Type | ||
|---|---|---|---|---|---|---|---|
| Forward (5′–3′) | Reverse (5′–3′) | Reference | |||||
| xa5 | 5 | xa5S (Multiplex) xa5SR/R (Multiplex) | GTCTGGAATTTGCTCGCGTTCG AGCTCGCCATTCAAGTTCTTGAG | TGGTAAAGTAGATACCTTATCAAACTGGA TGACTTGGTTCTCCAAGGCTT | 410 bp, 310 bp, 180 bp | STS | [28,30] |
| xa13 | 8 | RG136 | TCCCAGAAAGCTACTACAGC | GCAGACTCCAGTTTGACTTC | 530 bp, 490 bp | STS | [31] |
| Xa21 | 11 | pTA248 | AGACGCGGAAGGGTGGTTCCCGGA | AGACGCGGTAATCGAAGATGAAA | 1000 bp | STS | [17] |
| Sl. No. | Pyramided Lines/Xoo Strains | Gene Combination | Mean Lesion Length in cm (Mean ± Standard Error) | ||||||||
|---|---|---|---|---|---|---|---|---|---|---|---|
| Xa-17 | Xa-7 | xa-2 | xb-7 | xc-4 | xd-1 | xa-1 | xa-5 | Disease Reaction | |||
| 1 | CRBR 69-87-75-195 | Xa21+xa5 | 4.1 ± 0.54 | 4.2 ± 0.57 | 4.3 ± 0.52 | 4.2 ± 0.70 | 4.3 ± 0.60 | 4.1 ± 0.56 | 4.0 ± 0.80 | 4.2 ± 0.53 | MR |
| 2 | CRBR 69-87-75-159 | Xa21+xa5 | 4.2 ± 0.64 | 3.9 ± 0.81 | 3.9 ± 1.0 | 4.1 ± 0.65 | 4.3 ± 0.60 | 4.2 ± 0.70 | 4.3 ± 053 | 4.1 ± 0.65 | MR |
| 3 | CRBR 69-87-75-177 | Xa21+xa5 | 4.3 ± 0.56 | 4.2 ± 0.64 | 4.1 ± 0.75 | 4.2 ± 0.41 | 4.3 ± 0.55 | 4.2 ± 0.42 | 4.1 ± 0.59 | 4.2 ± 0.65 | MR |
| 4 | CRBR 69-87-75-96 | Xa21+xa13 | 5.2 ± 0.53 | 5.2 ± 0.45 | 5.3 ± 0.50 | 5.4 ± 0.40 | 4.9 ± 0.64 | 4.3 ± 0.45 | 4.9 ± 0.90 | 5.0 ± 0.80 | MR |
| 5 | CRBR 69-87-75-186 | Xa21+xa13 | 4.9 ± 0.72 | 5.1 ± 0.52 | 5.2 ± 0.51 | 5.2 ± 0.54 | 5.1 ± 0.63 | 5.3 ± 0.50 | 5.3 ± 0.38 | 4.9 ± 0.78 | MR |
| 6 | CRBR 69-87-75-168 | xa5+xa13 | 6.3 ± 0.58 | 6.2 ± 063 | 6.1±0.80 | 6.5 ± 0.40 | 6.3 ± 0.59 | 6.3 ± 0.60 | 6.2 ± 0.65 | 6.3 ± 0.57 | MS |
| 7 | CRBR 69-87-75-78 | xa5+xa13 | 6.2 ± 0.65 | 6.4 ± 0.42 | 6.3 ± 0.52 | 6.4 ± 0.47 | 6.1 ± 0.57 | 6.2 ± 0.68 | 6.3 ± 0.57 | 6.3 ± 0.56 | MS |
| 8 | CRBR 69-87-75-114 | xa5 | 7.7 ± 0.45 | 7.8 ± 0.48 | 7.7 ± 0.55 | 7.9 ± 0.43 | 7.7 ± 0.53 | 7.8 ± 0.51 | 7.9 ± 0.49 | 7.7 ± 0.43 | MS |
| 9 | CRBR 69-87-75-51 | xa13 | 8.1 ± 0.53 | 8.3 ± 0.46 | 8.4 ± 0.43 | 8.2 ± 0.58 | 8.1 ± 0.62 | 8.0 ± 0.61 | 8.4 ± 0.47 | 8.3 ± 0.55 | MS |
| 10 | CRBR 69-87-75-132 | Xa21 | 7.2 ± 0.56 | 7.4 ± 0.38 | 7.3 ± 0.63 | 7.5 ± 0.54 | 7.2 ± 0.62 | 7.1 ± 0.52 | 7.2 ± 0.58 | 7.3 ± 0.56 | MS |
| 11 | CR Dhan 800 | xa5+xa13+Xa21 | 2.6 ± 0.35 | 2.5 ± 0.45 | 2.4 ± 0.42 | 2.2 ± 0.48 | 2.2 ± 0.52 | 2.4 ± 0.44 | 2.5 ± 0.38 | 2.2 ± 0.6 | R |
| 12 | Ranidhan | - | 10.6 ± 1.2 | 10.4 ± 1.4 | 10.8 ± 1.1 | 9.5 ± 2.4 | 11.1 ± 0.8 | 9.8 ± 1.6 | 10.2 ± 1.7 | 10.6 ± 1.3 | S |
| Serial Number | Pyramided Lines | Plant Height (cm) | Days to 50% Flowering | Panicles/Plant | Panicle Length (cm) | No of Grains/ Panicle | 1000- Seed Weight(g) | Panicle Weight (g) | Grain Length (mm) | Grain Breadth (mm) | Plot Yield (q/ha) |
|---|---|---|---|---|---|---|---|---|---|---|---|
| 1 | CRBR 69-87-75-195 | 104.2 | 114 | 16 | 29.3 | 150.0 | 21.5 | 3.2 | 5.76 | 2.29 | 62.1 |
| 2 | CRBR 69-87-75-159 | 106.2 | 115 | 17 | 27.7 | 153.3 | 21.7 | 3.3 | 5.68 | 2.34 | 63.8 |
| 3 | CRBR 69-87-75-177 | 105.5 | 113 | 18 | 28.7 | 157.0 | 21.9 | 3.3 | 5.52 | 2.32 | 67.1 |
| 4 | CRBR 69-87-75-96 | 109.2 | 112 | 16 | 27.3 | 153.3 | 21.3 | 3.2 | 5.59 | 2.30 | 63.7 |
| 5 | CRBR 69-87-75-186 | 108.2 | 116 | 17 | 25.7 | 145.0 | 21.0 | 3.1 | 5.53 | 2.29 | 61.6 |
| 6 | CRBR 69-87-75-168 | 107.2 | 115 | 15 | 22.7 | 140.0 | 20.4 | 3.1 | 5.57 | 2.34 | 59.8 |
| 7 | CRBR 69-87-75-78 | 108.5 | 117 | 16 | 23.3 | 143.7 | 20.6 | 2.9 | 5.49 | 2.33 | 60.3 |
| 8 | CRBR 69-87-75-114 | 107.2 | 116 | 15 | 22.7 | 128.3 | 19.4 | 2.6 | 5.36 | 2.34 | 59.5 |
| 9 | CRBR 69-87-75-51 | 107.2 | 115 | 14 | 23.7 | 125.0 | 19.2 | 2.5 | 5.57 | 2.33 | 59.9 |
| 10 | CRBR 69-87-75-132 | 102.5 | 112 | 13 | 25.3 | 130.0 | 19.8 | 2.5 | 5.36 | 2.29 | 57.5 |
| 11 | CR Dhan 800 | 100.5 | 106 | 12 | 26.3 | 125.0 | 20.1 | 2.6 | 5.57 | 2.30 | 59.6 |
| 12 | Ranidhan | 101.5 | 113 | 15 | 25.5 | 137.7 | 19.6 | 2.9 | 5.62 | 2.32 | 58.2 |
| CD5% | 9.34 | 3.20 | 0.96 | 3.25 | 20.34 | 2.67 | 0.47 | 0.26 | 0.08 | 10.6 | |
| CV% | 5.15 | 1.64 | 3.64 | 7.38 | 8.43 | 7.58 | 9.35 | 2.77 | 2.12 | 10.17 |
Publisher’s Note: MDPI stays neutral with regard to jurisdictional claims in published maps and institutional affiliations. |
© 2022 by the authors. Licensee MDPI, Basel, Switzerland. This article is an open access article distributed under the terms and conditions of the Creative Commons Attribution (CC BY) license (https://creativecommons.org/licenses/by/4.0/).
Share and Cite
Pradhan, K.C.; Barik, S.R.; Mohapatra, S.; Nayak, D.K.; Pandit, E.; Jena, B.K.; Sangeeta, S.; Pradhan, A.; Samal, A.; Meher, J.; et al. Incorporation of Two Bacterial Blight Resistance Genes into the Popular Rice Variety, Ranidhan through Marker-Assisted Breeding. Agriculture 2022, 12, 1287. https://doi.org/10.3390/agriculture12091287
Pradhan KC, Barik SR, Mohapatra S, Nayak DK, Pandit E, Jena BK, Sangeeta S, Pradhan A, Samal A, Meher J, et al. Incorporation of Two Bacterial Blight Resistance Genes into the Popular Rice Variety, Ranidhan through Marker-Assisted Breeding. Agriculture. 2022; 12(9):1287. https://doi.org/10.3390/agriculture12091287
Chicago/Turabian StylePradhan, Kartik Chandra, Soumya Ranjan Barik, Shibani Mohapatra, Deepak Kumar Nayak, Elssa Pandit, Binod Kumar Jena, Sushree Sangeeta, Abhijit Pradhan, Abhishek Samal, Jitendiya Meher, and et al. 2022. "Incorporation of Two Bacterial Blight Resistance Genes into the Popular Rice Variety, Ranidhan through Marker-Assisted Breeding" Agriculture 12, no. 9: 1287. https://doi.org/10.3390/agriculture12091287
APA StylePradhan, K. C., Barik, S. R., Mohapatra, S., Nayak, D. K., Pandit, E., Jena, B. K., Sangeeta, S., Pradhan, A., Samal, A., Meher, J., Behera, L., Panigrahi, D., Mukherjee, A. K., & Pradhan, S. K. (2022). Incorporation of Two Bacterial Blight Resistance Genes into the Popular Rice Variety, Ranidhan through Marker-Assisted Breeding. Agriculture, 12(9), 1287. https://doi.org/10.3390/agriculture12091287

