Abstract
Background/Objectives: Rhinophyma, an advanced form of rosacea, is characterized by significant nasal tissue enlargement and deformation, leading to aesthetic and psychosocial challenges. Traditional treatments are often invasive with variable outcomes, emphasizing the need for improved therapeutic approaches. This study evaluates the efficacy of a dual-laser therapy (CO2 and dye lasers) in treating rhinophyma. An innovative diagnostic algorithm using multispectral imaging guided treatment decisions, while Optical Coherence Tomography (OCT) was utilized to analyze post-treatment vascular and collagen changes. Methods: A prospective study was conducted involving 20 patients with rhinophyma. Multispectral imaging was used to guide the tailored application of CO2 laser, dye laser, or both, depending on the predominant vascular or glandular components in the nasal tissue. Post-treatment analysis employed OCT to assess changes in vascular and collagen density, providing insights into the tissue modifications induced by laser therapy. Results: The treatment significantly reduced vascular density from 35,526.75 to 26,577.55 at 300 microns and from 46,916.25 to 35,509.25 at 500 microns. Collagen density decreased from 81.35 to 66.34. All reductions were statistically significant, with highly significant p-values. These findings highlight the dual-laser therapy’s effectiveness in addressing the pathological features of rhinophyma. Conclusions: Dual-laser therapy guided by multispectral imaging provides a targeted and effective treatment for rhinophyma, addressing its vascular and glandular components. The use of OCT enhances understanding of laser-induced tissue changes and confirms significant reductions in vascular and collagen density. This approach represents a significant advancement in the management of rhinophyma, offering improved precision and therapeutic outcomes.
    1. Introduction
Rhinophyma is a disfiguring dermatological condition characterized by the progressive enlargement and deformation of the nasal tissue, often resulting in a bulbous and erythematous appearance. This condition primarily affects Caucasian men in their fifth to seventh decades of life, although it can also occur in women, typically between the ages of 35 and 50 []. Rhinophyma is considered the end stage in the development of rosacea, a chronic inflammatory skin disorder, and is often associated with hypertrophy of the sebaceous glands, leading to the enlargement of the nose [].
The exact etiology and pathophysiology of rhinophyma are not fully understood, but it is believed to involve vascular instability in the skin, inflammatory processes, and glandular hyperplasia []. Recent studies have further elucidated the pathophysiology of rhinophyma, emphasizing its association with disruption of nasal architecture, airway obstruction, and significant psychosocial morbidity [].
Clinically, rhinophyma presents nasal soft tissue hypertrophy, erythema, telangiectasias, nodules, and lobules, which can cause significant emotional distress and aesthetic discomfort, particularly when the symptoms are extensive or obvious [].
Diagnosis of rhinophyma is primarily based on clinical examination, although in some cases, laboratory tests and biopsies may be necessary to exclude other conditions, such as basal cell carcinoma, which can be masked by the presence of rhinophyma []. The association of alcohol consumption and caffeine intake with skin changes, including rhinophyma, is not fully established, indicating the need for further research into the potential risk factors and triggers for this condition [].
Rhinophyma, characterized by hypertrophic changes to the skin of the nose, presents significant therapeutic challenges. Traditional surgical modalities [], including shave excision [], electrosurgery [], and the use of radiofrequency devices [], have demonstrated efficacy but are limited by their invasiveness and cosmetic outcomes. These techniques, while successfully reducing tissue hypertrophy, often lead to suboptimal aesthetic results and extended recovery periods []. In contrast, the advent of laser therapy, including the use of Erbium:YAG lasers (2940 nm), has revolutionized the management of rhinophyma [,,], offering a less invasive and more precise treatment option. The innovative combination of dye laser (595 nm) and CO2 laser (10,600 nm) therapy represents a significant advancement []. The dye laser, operating at a specific wavelength, specifically targets the vascular components of rhinophyma []. This results in a marked reduction of erythema and telangiectasia, addressing the vascular manifestations of the condition. Concurrently, The CO2 laser, including fractionated approaches, is employed for tissue remodeling and resurfacing [,,]. Its application facilitates precise ablation of hypertrophic tissue, enhancing nasal contour and promoting a more natural appearance. This dual-laser approach not only minimizes bleeding and scarring but also accelerates the recovery process, leading to aesthetically superior outcomes as compared to traditional methods [,,,].
Medical management of rhinophyma traditionally focuses on the underlying rosacea. Therapeutic options include topical and oral antibiotics, anti-inflammatory agents, photoprotection [,], and isotretinoin.
In our investigation, we employ a novel dual-technique approach to study rhinophyma, leveraging the capabilities of multispectral analysis alongside Optical Coherence Tomography (OCT), which are pivotal in the field of clinical biophotonics []. Multispectral analysis, an advanced method that examines the reflection and absorption of light across various wavelengths, is instrumental in deciphering the complex composition of rhinophyma. This technique enables us to detect and differentiate between vascular and fibrous components within the skin, offering a foundational understanding of the condition’s underlying structure [].
Our group has utilized this method to study various dermatological conditions such as alopecia, responses to photodynamic therapy, and the effects of certain anti-inflammatory molecules [,,].
Building upon this, we introduce the use of OCT for the first time in the context of rhinophyma research. OCT is a state-of-the-art, non-invasive imaging technology that provides detailed, high-resolution views of the skin’s layers. Since its introduction to dermatology in 1997, OCT has undergone significant technological advancements, including the development of multi-beam OCT, which have substantially enhanced its imaging quality and diagnostic capabilities. Particularly, the advent of dynamic OCT (D-OCT) allows for the real-time observation of blood flow within the skin, enabling a detailed examination of vascular and collagen changes associated with rhinophyma. This study of 20 patients investigates the impact of laser therapy on rhinophyma, specifically targeting the condition’s vascular and collagen structures. By examining the effects before and after treatment, we aim to gain valuable insights into how laser therapy modifies these key components, potentially allowing for tailored treatments to meet individual patient needs [,].
Our research highlights the profound potential of combining multispectral imaging with OCT in deepening our understanding of rhinophyma. The patients in this study are treated with a dual-laser approach: CO2 laser therapy, which focuses on the fibro-glandular and collagen elements, and dye laser therapy, primarily targeting the vascular component while also playing a role in collagen remodeling. This strategy allows us to meticulously study the changes in rhinophyma’s principal components—vascular and fibro-glandular structures—following the intervention.
The integration of these advanced imaging techniques not only broadens our comprehension of the complex nature of rhinophyma but also sets the stage for the development of more individualized and efficacious treatment methodologies. The aim of this study was to explore the modifications in vascular and collagen structures within rhinophyma tissue following combined CO2 and dye laser therapy, utilizing dynamic OCT.
2. Materials and Methods
2.1. Study Design and Patient Selection
Over the course of one year, a cohort of 20 patients with clinically diagnosed rhinophyma was selected for a prospective study at the Department of Dermatology at La Sapienza University, the Dermatology Unit of the University of Tor Vergata in Rome, and the Dermatology unit of University of Catanzaro, Italy. Ethical approval was granted by the local ethical committee. Detailed histories, including clinical manifestation, prior treatments, lifestyle factors, and informed consent, were obtained from all participants (17 males and 3 females, mean age 48 ± 7.5 years.
2.2. Treatment Protocol
The foundational element of our treatment protocol was the combined utilization of multispectral imaging and Optical Coherence Tomography (OCT) to analyze rhinophyma. Specifically, we employed Dynamic OCT images (VivoSight, Michelson Diagnostics Ltd., Kent, UK) and multispectral analysis as primary investigative tools.
The equipment specifications were as follows: the VivoSight OCT scanner from Michelson Diagnostics is a state-of-the-art multi-beam Swept-Source Frequency Domain OCT system. It operates at a central wavelength of 1305 nm with an A-line rate of 20 kHz, achieving <7.5 µm lateral and <5 µm axial optical resolutions. The system allows for an imaging depth of up to 2 mm in vivo, scanning an area of 36 mm2. We utilized the multi-slice scan mode, which captures 120 B-scans spaced by 50.4 microns, to procure comprehensive cross-sectional and en face OCT skin images.
Furthermore, the Dynamic OCT/speckle variance feature was crucial for visualizing microcirculation and detecting blood vessels by discerning changes between rapidly repeated scans. Multispectral analysis was performed through VISIA® (Canfield Corporation, Parsippany, NJ, USA).
Our treatment algorithm began with an evaluation of the rhinophyma using both multispectral imaging and OCT to assess the dominant tissue components—vascular or glandular. In cases where a vascular component was predominant, initial treatment involved dye laser therapy with optimized settings for vascular tissues (Synchro VasQ—DEKA, Calenzano, Italy; Handpiece Spot Size 12 mm; Fluence 7 J/cm2; Pulse Duration 0.5 ms). Fifteen days post-treatment, OCT and multispectral imaging were repeated to assess the persistence of the vascular component. If vascular presence was still detected, another session of dye laser therapy was conducted; otherwise, we proceeded with CO2 laser ablation (SmartXide2—DEKA, Calenzano, Italy).
Conversely, rhinophyma cases with a minimal vascular component or predominantly glandular characteristics as determined by multispectral imaging and OCT were addressed with CO2 laser therapy. The CO2 laser was operated in freehand mode, enabling precise sculpting of the nasal tissue. Power settings varied from 0.3 to 2.5 W, depending on the extent of hypertrophy. Following the initial ablation of excess glandular tissue, the laser was then switched to fractional mode, primarily applied to areas of healthy skin not affected by glandular hyperplasia, such as the nasal dorsum. This additional step helped refine the nasal contour and achieve a more harmonious appearance. In fractional mode, the settings used were 13 W with a pulse duration of 1200 ms, a spacing of 750 μm, and two spots per treated area. This approach allowed for enhanced precision and cosmetic results, particularly in areas requiring subtle remodeling without extensive tissue removal. After the reduction of glandular tissue, intralesional dye laser therapy was applied if necessary. Post-ablation, intralesional dye laser therapy was applied to enhance the healing process and to treat any remaining vascular components. This was a critical step in controlling potential bleeding associated with the vascularized glandular tissue.
Throughout the procedure, patients were under conscious sedation to ensure comfort, with continuous monitoring of vital signs including ECG and arterial pressure. Local anesthesia was also used to provide direct pain management at the treatment site.
Follow-up visits were scheduled at 3-week intervals, with the average patient requiring three follow-ups. These visits allowed for the assessment of healing and the administration of additional dye laser treatments, if necessary, to ensure proper scar formation and prevent keloidal or fibrotic changes. The treatment protocol was adaptable, with the number of follow-up sessions modified based on each patient’s unique response to the laser therapy and healing process.
This integrative imaging-led approach, which synergizes multispectral analysis with Dynamic OCT, is designed to foster a comprehensive understanding of rhinophyma’s response to laser therapy. Our focus is on the modifications within the vascular and collagen structures. The process not only enhances our knowledge of the pathology but also signifies a leap forward in dermatological treatments, highlighting the importance of precision in therapeutic interventions.
Dynamic OCT Data Analysis
- Vascular density
The measurement of vessel density utilizes horizontal Dynamic OCT (D-OCT) images at two distinct depths beneath the surface of the stratum corneum—specifically, 300 and 500 microns. These depths correspond to the superficial and intermediate layers of the dermis, respectively. The analysis is facilitated by OCT Fitter software version 1.7.0, developed by the University of Modena and Reggio Emilia, Modena, Italy, and further processed using ImageJ software (Image Processing and Analysis in Java, freeware version 2014, Madison, WI, USA). This software quantifies the number of colored pixels within a specified area. To refine the accuracy of the analysis and reduce “background noise”, a color saturation threshold is applied, setting the red at 190. Subsequently, the pixel count within the red spectrum (indicating color intensity ranging from 191 to 255) is determined.
- 2.
- Collagen density
The evaluation of collagen density within the skin utilizes the “OCTAVA” software 1.2, specifically designed by the University of Modena and Reggio Emilia, Italy. This advanced tool facilitates the selection of a “region of interest” (ROI) for detailed analysis. The chosen ROI, defined by a 1.74 × 0.64 mm rectangle, is strategically placed beneath the skin’s junction to avoid areas affected by artifacts or structures that could distort the OCT signal, such as hairs, hair follicles, enlarged vessels, and micro-cysts. Within this carefully demarcated area, the software calculates the dermal density parameter, or collagen density, based on the average pixel brightness. Moreover, the attenuation coefficient, indicative of the tissue’s capacity to reduce laser light penetration, is derived from the variation in stromal brightness across the ROI.
This coefficient is quantified by the slope of the curve showing the progressive change in brightness from the upper to the lower part of the ROI I(z) = I_0 \, e^{-2\alpha z} + C adhering to the specific formula provided. This meticulous approach offers a comprehensive assessment of collagen distribution and density, contributing valuable insights into the structural composition of the dermis.
3. Results
This clinical study aimed to evaluate the efficacy of laser treatment in patients with rhinophyma by analyzing changes in OCT vascular density at 300 and 500 microns, collagen density, and attenuation before and after treatment among a cohort of 20 patients.
3.1. Vascular Density Changes
Our analysis revealed a significant reduction in mean OCT vascular density from pre-treatment to post-treatment. (Table 1, Figure 1, Figure 2 and Figure 3) Specifically, the vascular density decreased from 35,526.75 to 26,577.55 at 300 microns (Figure 4) and from 46,916.25 to 35,509.25 at 500 microns (Figure 5). These reductions were statistically significant, with p-values of 1.03 × 10−14 for the 300-micron measurements and 1.35 × 10−15 for the 500-micron measurements (Figure 2) demonstrating the pronounced effect of the laser treatment on reducing vascular density in patients with rhinophyma.
 
       
    
    Table 1.
    Vascular density pre and post-treatment values.
  
 
      
    
    Figure 1.
      Vertical image captured at the depth of 46 mm displays the pre-treatment condition with evident vascularization, particularly a uniform red vascular blotch in the middle third of the nose’s dorsum. The green line indicates the depth of the skin being analyzed, while the blue symbols mark the area of focus.
  
 
      
    
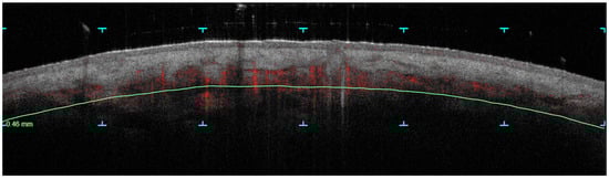
    Figure 2.
      Vertical image captured at the depth of 46 mm. It shows the disappearance of the vascular feature in the post-treatment phase, underscoring the effectiveness of the combined CO2 and dye laser therapy in reducing vascular abnormalities and improving the skin texture and structure in rhinophyma. The green line indicates the depth of the skin being analyzed, while the blue symbols mark the area of focus.
  
 
      
    
    Figure 3.
      Pixel density measurement on horizontal D-OCT 6 × 6 mm image. In this example of pixel density measurement on horizontal D-OCT 6 × 6 mm images, we used the ‘ImageJ’ software, a tool for image processing and analysis in Java, available for free in its 2014 version from the USA. This approach allows for the counting of pixels after reducing ‘background noise’ through a color saturation threshold set at 190 points. Pixel counting is performed by the software using the ‘measure analysis’ command, with outcomes displayed in a results box, which is highlighted here with a red square. Importantly, this image was acquired at a depth of 300 microns, allowing for the clear visualization of vascular structures.
  
 
      
    
    Figure 4.
      D-OCT imaging at a depth of 300 microns. (a) pre laser treatment; (b) post laser treatment.
  
 
      
    
    Figure 5.
      D-OCT imaging at a depth of 500 microns. (a) before laser treatment; (b) post laser treatment.
  
D-OCT imaging at a depth of 300 microns (Figure 4) offers a detailed visualization of the vascular and sebaceous structures in rhinophyma. Figure 4a, captured before treatment, displays a mesh pattern of blood vessels, characteristic of the condition’s vascular component. Additionally, gray structures visible in the image represent the sebaceous component of rhinophyma. Figure 4b, post-dye laser treatment, shows a significant reduction in the vascular mesh pattern, transitioning to an irregular and diffused pattern, indicating a decrease in the vascular component.
D-OCT imaging at a depth of 500 microns (Figure 5 and Figure 6) provides an intricate visualization of the vascular patterns in rhinophyma. In Figure 5a, taken before treatment, the blood vessels exhibit a less regular mesh appearance alongside a branching pattern, underscoring the dense vascularization typical of the condition. Following the application of treatment, Figure 5b reveals a substantial reduction in vascularization. The previously seen mesh and branching patterns are notably diminished, reflecting a significant decrease in the vascular component.
 
      
    
    Figure 6.
      D-OCT imaging at a depth of 500 microns. Pixel density measurement on horizontal D-OCT 6 × 6 mm image pre- (a) and post- (b) dye laser treatment. The figure demonstrates the reduction of vascular patterns following the application of dye laser treatment.
  
3.2. Collagen Density Changes
The study also found a significant decrease in collagen density (Table 2, Figure 7) following the treatment, with mean values dropping from 81.35 to 66.34. This reduction in collagen density was statistically significant, with a p-value of 1.66 × 10–101.66 × 10−10, indicating the laser treatment’s effectiveness in significantly altering the collagen structure within the treated areas.
 
       
    
    Table 2.
    Collagen density and attenuation pre- and post-treatment.
  
 
      
    
    Figure 7.
      Collagen density pre-treatment. Density value: 52.301688. The area within the white rectangle is the one analyzed.
  
3.3. Attenuation Changes
Unlike the significant findings in vascular and collagen densities, the changes in attenuation did not achieve statistical significance. The p-value for attenuation changes was 0.519, suggesting that the laser treatment did not significantly alter the tissue’s optical properties as measured by this parameter. This result indicates that while the laser treatment effectively targets vascular and collagen densities, it does not significantly impact the tissue’s optical attenuation.
These findings confirm the laser therapy’s efficacy in significantly reducing both vascular and collagen densities in rhinophyma, offering significant improvements for patients suffering from this condition. The substantial decreases in vascular and collagen densities, as evidenced by the very low p-values, highlight the treatment’s targeted effects. However, the lack of significant change in attenuation underscores the treatment’s precision, affecting vascular and collagen structures without altering the overall optical properties of the tissue.
The graphs above illustrate the mean values for OCT vascular density at 300 and 500 microns, and collagen density, both pre- and post-laser treatment in patients with rhinophyma. Each graph highlights the statistical significance of the treatment’s effect:
- The Vascular Density at 300 µm and 500 µm shows a notable decrease in mean values from pre-treatment to post-treatment, with the p-values (1.03 × 10–141.03 × 10−14 and 1.35 × 10–151.35 × 10−15, respectively) indicating this reduction is statistically significant.
- The Collagen Density also shows a significant reduction in mean values after treatment, with a p-value of 1.66 × 10–101.66 × 10−10, confirming the treatment’s effectiveness in altering the collagen structure within the pathology site.
These visualizations complement the results section by providing a clear and immediate understanding of the laser treatment’s impact on vascular and collagen densities in rhinophyma patients, supported by the statistical analysis.
In our clinical study, we observed significant reductions of vascular density, clinically (Figure 8 and Figure 9), at multispectral analysis (Figure 10) and in OCT, where vascular density at both 300 and 500 microns and collagen density following laser treatment in patients with rhinophyma. The effect sizes for these changes, calculated using Cohen’s d, were substantial, indicating a large and clinically meaningful impact of the treatment. Specifically, the effect sizes for vascular density changes at 300 and 500 microns were −5.19 and −5.63, respectively, while the effect size for collagen density changes was −2.00. (Figure 3) These results highlight the pronounced efficacy of the laser treatment in modifying tissue characteristics associated with rhinophyma. The large effect sizes underscore the treatment’s capability to significantly reduce vascular and collagen densities, aligning with our objectives to alleviate the symptoms and improve the condition of patients suffering from this disorder.
 
      
    
    Figure 8.
      (a) Vascular rhinophyma at baseline; (b) typical post-PDL purpura after dye laser; (c) rhinophyma after CO2 laser.
  
 
      
    
    Figure 9.
      (a) Vascular rhinophyma before treatment; (b) rhinophyma after laser therapy.
  
 
      
    
    Figure 10.
      Multispectral analysis: (a) vascular rhinophyma at baseline; (b) rhinophyma after dye laser and CO2 laser.
  
4. Discussion
Rhinophyma is a chronic condition that typically arises after a history of rosacea []. Traditional treatments for rosacea do not always prevent the development of rhinophyma. Some studies suggest an increase in nitrogenous compounds following an association with Helicobacter pylori infection, as discussed by Lazaridou et al. []. However, this association remains a hypothesis and has not been definitively proven to prevent rhinophyma.
Surgical interventions have long been a standard approach to managing rhinophyma, with various methods compared over extended periods [,,,]. However, the potential side effects of surgical approaches, including those involving radiofrequency, must be considered. Chen et al. [] highlighted the use of radiofrequency electrosurgery in severe and extensive cases of rhinophyma, demonstrating its effectiveness but also noting the associated risks.
Moreover, a severity index for rhinophyma following surgical intervention has been proposed, as discussed by Wetzig et al. []. This index evaluates patient satisfaction post-surgery but does not provide strong evidence to affirm surgery as the most effective method for treating rhinophyma, particularly because it does not consider a baseline evaluation of rhinophyma’s composition. This is crucial, as rhinophyma can sometimes mask skin cancer, such as basal cell carcinoma, as reported by De Seta et al. [].
In addition to these methods, recent advancements in biophotonic technology have provided an alternative approach for treating rosacea and associated erythema. Biophotonic therapy creates fluorescent light energy (FLE) to induce photobiomodulation, which helps to decrease the inflammatory and erythematous reactions common in rosacea. As Zappia Elena et al. [] describe, this treatment can be used as a standalone therapy targeting multiple features of rosacea or in combination with other methods to enhance the skin’s healing and normalization process. However, while biophotonic therapy may have a role in managing the early stages of rosacea, it is not effective in treating rhinophyma, which requires more aggressive therapeutic approaches.
In contrast, laser treatments, such as fractionated ablative carbon dioxide laser therapy, offer more immediate recovery times []. Patients often experience complete re-epithelialization within a week following the procedure. This is because, during a full ablative CO2 laser treatment, a small amount of glandular tissue is intentionally left intact, which facilitates faster healing. Veniaminova et al. [] describe the mechanisms of sebaceous gland self-renewal and regeneration, which provide durability in response to injury and are crucial for the rapid recovery observed post-laser treatment.
Furthermore, dye laser therapy plays a significant role not only in reducing vascular components but also in enhancing wound healing and collagen modulation. As Amato et al. [] discuss, dye laser treatment releases metalloproteinases that degrade excess collagen and, through selective photothermolysis, stimulate the production of new collagen fibers. This is particularly beneficial for rhinophyma cases with minimal vascular components, where CO2 laser treatment is followed by dye laser application to improve scarring and healing processes.
In conclusion, our study represents a pioneering approach in the treatment of rhinophyma, being the first to integrate dual-laser therapy guided by both multispectral imaging and Optical Coherence Tomography (OCT). Indeed, while other studies, such as the one conducted by Guida et al. [], have monitored laser treatment effects using reflectance confocal microscopy, this method does not analyze the vascular changes and collagen density alterations that OCT can reveal. This highlights the unique advantage of our approach in providing a more comprehensive assessment of the tissue response during and after laser therapy. This innovative combination not only enhances the precision of the treatment but also establishes a new standard for non-invasive monitoring and assessment of therapeutic outcomes. By utilizing these advanced imaging techniques, we can tailor the treatment strategy more effectively to address the unique glandular and vascular components of rhinophyma. The ability to monitor tissue response in real-time with OCT provides unprecedented insights into the structural changes occurring during and after laser therapy, positioning this approach as a significant advancement in the management of this challenging condition.
This study sets a new benchmark in the field, demonstrating that the integration of OCT in conjunction with dual-laser therapy can lead to more effective and personalized treatment protocols. Our findings not only support the efficacy of this approach but also underscore the importance of incorporating advanced diagnostic tools to enhance the precision and outcomes of rhinophyma treatment.
However, our study has certain limitations. The advanced technologies used—OCT, dye laser, and CO2 laser—are not widely available in dermatology departments, even in developed countries, due to their high cost and specialized nature. This affects the generalizability and practical application of our treatment approach, especially since rhinophyma is a rare and benign condition. Investing in such equipment may not be feasible for all institutions.
Moreover, referring patients to distant centers equipped with these technologies can be inconvenient and resource-intensive, which may not be justified given the benign nature of rhinophyma.
Therefore, while our results are promising, further research is needed to explore ways to make this treatment more accessible and cost-effective, thereby extending the benefits to a broader patient population.
Author Contributions
Conceptualization, S.A. and G.C.; methodology, S.A.; software, S.A. and A.C.; validation, S.A., A.C. and G.C.; formal analysis, A.C.; investigation, F.C.; resources, G.S.; data curation, S.A. and A.D.; writing—original draft preparation, S.A.; writing—review and editing, S.A.; visualization, S.P.N.; supervision, G.R.; project administration, S.A.; funding acquisition, G.C. All authors have read and agreed to the published version of the manuscript.
Funding
This research received no external funding.
Institutional Review Board Statement
The study was conducted in accordance with the Declaration of Helsinki, and approved by the Institutional Review Board (or Ethics Committee) of Regione Calabria Comitato Etico Sezione Area Centro (protocol code 374; 17 December 2019).
Informed Consent Statement
Informed consent was obtained from all subjects involved in the study. Written informed consent has been obtained from the patients to publish this paper.
Data Availability Statement
The data supporting the findings of this study are available within the article.
Conflicts of Interest
The authors declare no conflicts of interest.
References
- Kang, J.K.; Lee, J.S.; Choi, J.H.; Shin, M.S.; Yun, B.M. Surgical Treatment of Rhinophyma Using an Ordinary Bur. Arch. Craniofac. Surg. 2020, 21, 264. [Google Scholar] [CrossRef] [PubMed]
- Wolter, A.; Scholz, T.; Liebau, J. Giant Rhinophyma: A Rare Case of Total Nasal Obstruction and Restitutio Ad Integrum. Aesthetic Plast Surg 2017, 41, 905–909. [Google Scholar] [CrossRef] [PubMed]
- Ezra, N.; Greco, J.F.; Haley, J.C.; Chiu, M.W. Gnatophyma and Otophyma. J. Cutan. Med. Surg. 2009, 13, 266–272. [Google Scholar] [CrossRef] [PubMed]
- Chauhan, R.; Loewenstein, S.N.; Hassanein, A.H. Rhinophyma: Prevalence, Severity, Impact and Management. Clin. Cosmet. Investig. Dermatol. 2020, 13, 537–551. [Google Scholar] [CrossRef]
- De Seta, D.; Russo, F.Y.; De Seta, E.; Filipo, R. Basal Cell Carcinoma Masked in Rhinophyma. Wiley Online Libr. Case Rep. Otolaryngol. 2010, 2013, 201024. [Google Scholar] [CrossRef] [PubMed]
- Lazaridou, E.; Korfitis, C.; Kemanetzi, C.; Sotiriou, E.; Apalla, Z.; Vakirlis, E.; Fotiadou, C.; Lallas, A.; Ioannides, D. Rosacea and Helicobacter Pylori: Links and Risks. Clin. Cosmet. Investig. Dermatol. 2017, 10, 305–310. [Google Scholar] [CrossRef] [PubMed]
- Fink, C.; Lackey, J.; Grande, D.J. Rhinophyma: A Treatment Review. Dermatol. Surg. 2018, 44, 275–282. [Google Scholar] [CrossRef]
- Wetzig, T.; Averbeck, M.; Simon, J.; Dermatology, M.K. New Rhinophyma Severity Index and Mid-Term Results Following Shave Excision of Rhinophyma. Dermatology 2013, 227, 31–36. [Google Scholar] [CrossRef] [PubMed]
- Chen, J.; Roushani, J.; Huq, N.S. Radiofrequency Electrosurgery of Severe, Extensive Rhinophyma: A Case Series. Skin Res. Technol. 2023, 29, e13409. [Google Scholar] [CrossRef] [PubMed]
- Arikan, O.K.; Muluk, N.B.; Cirpar, O. Treatment of rhinophyma with radiofrequency: A case report. B-ENT 2010, 6, 209–213. [Google Scholar]
- Amaral, M.T.D.S.S.D.; Haddad, A.; Nahas, F.X.; Juliano, Y.; Ferreira, L.M. Impact of fractional ablative carbon dioxide laser on the treatment of rhinophyma. Aesthetic Surg. J. 2019, 39, NP68–NP75. Available online: https://academic.oup.com/asj/article-abstract/39/4/NP68/5094820?redirectedFrom=fulltext&login=false (accessed on 5 October 2024). [CrossRef]
- Hallock, G.G. Laser Treatment of Rhinophyma. Aesthetic Plast Surg 1988, 12, 171–174. [Google Scholar] [CrossRef] [PubMed]
- Moreira, A.; Leite, I.; Guedes, R.; Baptista, A.; Mota, G. Surgical Treatment of Rhinophyma Using Carbon Dioxide (CO2) Laser and Pulsed Dye Laser (PDL). J. Cosmet. Laser Ther. 2010, 12, 73–76. [Google Scholar] [CrossRef]
- Shapshay, S.M.; Strong, M.S.; Anastasi, G.W.; Vaughan, C.W. Removal of Rhinophyma with the Carbon Dioxide Laser: A Preliminary Report. Arch. Otolaryngol. 1980, 106, 257–259. [Google Scholar] [CrossRef]
- Meesters, A.A.; Van Der Linden, M.M.D.; De Rie, M.A.; Wolkerstorfer, A. Fractionated Carbon Dioxide Laser Therapy as Treatment of Mild Rhinophyma: Report of Three Cases. Dermatol. Ther. 2015, 28, 147–150. [Google Scholar] [CrossRef] [PubMed]
- Graves, L.; Hoopman, J.; Surgery, R.F.-J. Carbon Dioxide Laser Resurfacing for Rhinophyma: A Case Report and Discussion of the Literature; Elsevier: Amsterdam, The Netherlands, 2020. [Google Scholar]
- Ponomarev, I.; Topchiy, S.B.; Klyuchareva, S.V.; Ponomarev, A.E. Rhinophyma Treatment by Copper Vapor Laser with the Computerized Scanner. J. Lasers Med. Sci. 2019, 10, 153. [Google Scholar] [CrossRef]
- Sharma, A.; Kroumpouzos, G.; Kassir, M.; Galadari, H.; Goren, A.; Grabbe, S.; Goldust, M. Rosacea Management: A Comprehensive Review. J. Cosmet. Dermatol. 2022, 21, 1895–1904. [Google Scholar] [CrossRef] [PubMed]
- Badawi, A.F.; Osman, M.; Clinical, A.K. Novel Management of Rhinophyma by Patterned Ablative 2940 nm Erbium: YAG Laser. Cosmet. Investig. Dermatol. 2020, 13, 949–955. [Google Scholar] [CrossRef]
- El-Azhary, R.A.; Roenigk, R.K.; Wang, T.D. Spectrum of results after treatment of rhinophyma with the carbon dioxide laser. Mayo Clin. Proc. 1991, 66, 899–905. [Google Scholar] [CrossRef]
- Drozhdina, M.; Bobro, V. Rhinophyma: Patient management. Vestn. Dermatol. I Venerol. 2021, 98, 64–71. [Google Scholar] [CrossRef]
- Pogorzelska-Dyrbuś, J.; Sosnowski, M.; Szepietowski, J. Rosacea fulminans with rhinophyma and severe eye complications in a young woman treated with isotretinoin. Adv. Dermatol. Allergol. 2021, 38, 903–905. [Google Scholar] [CrossRef]
- Kirillin, M.; Larin, K.; Turchin, I.V.; Tuchin, V.V. Special Section Guest Editorial: Topical Problems of Biophotonics: From Optical Bioimaging to Clinical Biophotonics. J. Biomed. Opt. 2018, 23, 091401. [Google Scholar] [CrossRef]
- Amato, S.; Nisticò, S.; Pellacani, G.; Guida, S.; Rossi, A.; Longo, C.; Berardesca, E.; Cannarozzo, G. Sequential and Combined Efficacious Management of Auricular Keloid: A Novel Treatment Protocol Employing Ablative CO2 and Dye Laser Therapy—An Advanced. Cosmetics 2023, 10, 126. [Google Scholar] [CrossRef]
- Skim, B.; Lee, H.; Woo, S.; Youn, J.; Suh, D. Pilot study on photodynamic therapy for acne using indocyanine green and diode laser. J. Dermatol. 2009, 36, 17–21. [Google Scholar] [CrossRef]
- Husein-ElAhmed, H.; Steinhoff, M. Evaluation of the efficacy of subantimicrobial dose doxycycline in rosacea: A systematic review of clinical trials and meta-analysis. J. Der Dtsch. Dermatol. Ges. 2020, 19, 7–17. [Google Scholar] [CrossRef] [PubMed]
- Hulsbergen Henning, J.P.; Van PhD, M.J.C.G. Rhinophyma Treated by Argon Laser. Lasers Surg. Med. 1983, 2, 211–215. [Google Scholar] [CrossRef]
- Veniaminova, N.A.; Jia, Y.Y.; Hartigan, A.M.; Dlugosz, A.A.; Atwood, S.X.; Wong, S.Y.; Huyge, T.J.; Tsai, S.-Y.; Grachtchouk, M.; Nakagawa, S. Distinct Mechanisms for Sebaceous Gland Self-Renewal and Regeneration Provide Durability in Response to Injury. Cell Rep. 2023, 42, 113121. [Google Scholar] [CrossRef]
- Lazzeri, D.; Larcher, L.; Huemer, G.; Riml, S.; Grasseti, L.; Pantaloni, M.; Li, Q.; Zhang, Y.X.; Spinelli, G.; Agostini, S. Surgical Correction of Rhinophyma: Comparison of Two Methods in a 15-Year-Long Experience; Elsevier: Amsterdam, The Netherlands, 2013. [Google Scholar]
- Kopera, D.; Kerl, H. Carbon Dioxide Laser Treatment of Rhinophyma. J. Dermatol. Treat. 1993, 4, 203–205. [Google Scholar] [CrossRef]
- Haas, A.; Surgery, R.W.-D. Treatment of Massive Rhinophyma with the Carbon Dioxide Laser. Dermatol. Surg. 1990, 16, 645–649. [Google Scholar] [CrossRef] [PubMed]
- Zappia, E.; Marigliano, M.; Amato, S.; Bennardo, L.; Nisticò, S.P. Biophotonic Technology: Treating Rosacea Utilizing Fluorescent Light Energy (FLE). J. Photochem. Photobiol. B 2022, 233, 112500. [Google Scholar] [CrossRef]
- Serowka, K.L.; Saedi, N.; Dover, J.S.; Zachary, C.B. Fractionated Ablative Carbon Dioxide Laser for the Treatment of Rhinophyma. Lasers Surg. Med. 2014, 46, 8–12. [Google Scholar] [CrossRef] [PubMed]
- Amato, S.; Nisticò, S.; Bennardo, L.; Pellacani, G.; Cannarozzo, G. CO2 Laser Frenuloplasty: Advancing Minimally Invasive Techniques for Rapid Healing and Improved Patient Outcomes. Surgeries 2024, 5, 367–376. [Google Scholar] [CrossRef]
- Guida, S.; Longo, C.; Amato, S.; Rossi, A.M.; Manfredini, M.; Ciardo, S.; Spadafora, M.; Nisticò, S.P.; Mercuri, S.R.; Rongioletti, F.; et al. Laser Treatment Monitoring with Reflectance Confocal Microscopy. Medicina 2023, 59, 1039. [Google Scholar] [CrossRef] [PubMed]
| Disclaimer/Publisher’s Note: The statements, opinions and data contained in all publications are solely those of the individual author(s) and contributor(s) and not of MDPI and/or the editor(s). MDPI and/or the editor(s) disclaim responsibility for any injury to people or property resulting from any ideas, methods, instructions or products referred to in the content. | 
© 2024 by the authors. Licensee MDPI, Basel, Switzerland. This article is an open access article distributed under the terms and conditions of the Creative Commons Attribution (CC BY) license (https://creativecommons.org/licenses/by/4.0/).
