Chaga Mushroom Triterpenoids Inhibit Dihydrofolate Reductase and Act Synergistically with Conventional Therapies in Breast Cancer
Abstract
1. Introduction
2. Materials and Methods
2.1. Inonotus Obliquus Extract
2.2. Chaga Chemical Characterization
2.3. Cell Cultures
2.4. Cell Viability Assay
2.5. Western Blot Analysis
2.6. Cell Cycle Analysis
2.7. DHFR Enzymatic Assay
2.8. Measurements of Cytokines in Conditioned Medium
2.9. Statistical Analysis
2.10. Molecular Modeling
3. Results and Discussion
3.1. Chemical Characterization of Chaga Extract’s Components
3.2. Digested Chaga Extract Decreased the Cell Viability of Breast Cancer Cells
3.3. Digested Chaga Extract Induced G0/G1 Cell Cycle Arrest in Breast Cancer Cells
3.4. Digested Chaga Extract Decreased DHFR Enzymatic Activity in Breast Cancer Cells
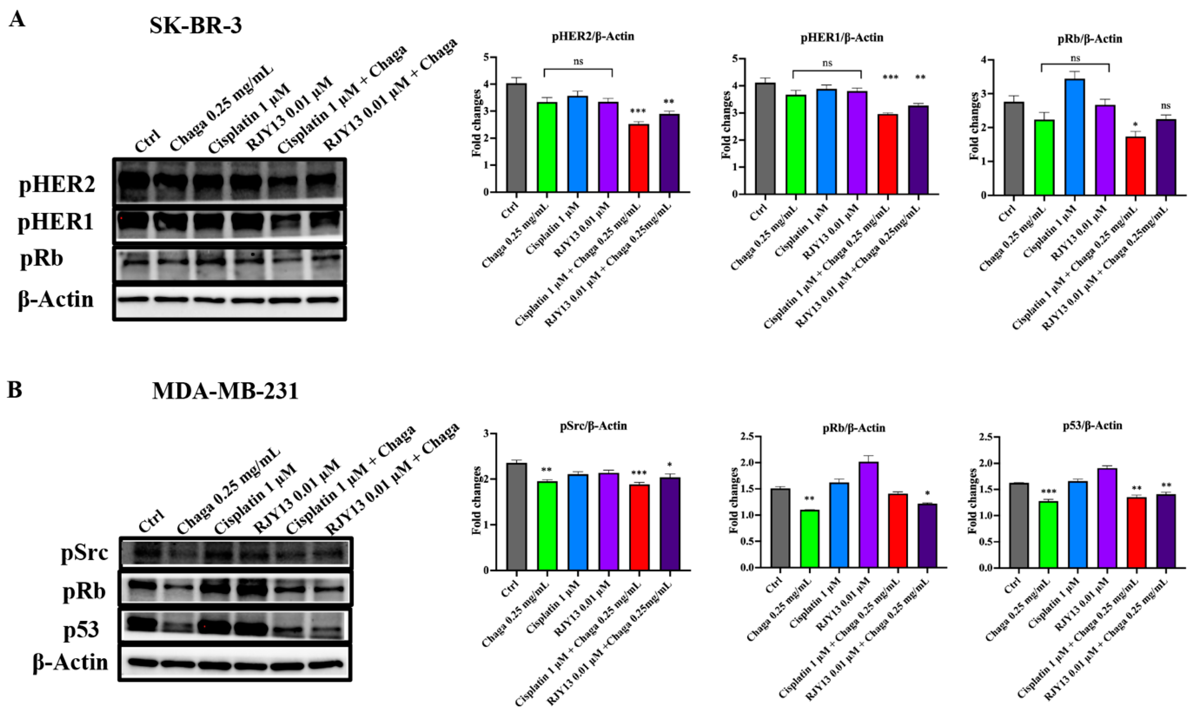
3.5. Digested Chaga Displayed a Synergistic Activity When Combined with Trastuzumab and Cisplatin in Breast Cancer Cells
3.6. Betulinic Acid Exerts Anticancer Effects on SK-BR-3 and MDA-MB-231 Cancer Cells and Impairs DHFR Enzymatic Activity
3.7. Digested Chaga Displayed Immunomodulatory Properties in Breast Cancer Cells
4. Conclusions
Supplementary Materials
Author Contributions
Funding
Institutional Review Board Statement
Informed Consent Statement
Data Availability Statement
Acknowledgments
Conflicts of Interest
References
- Perou, C.M.; Sørlie, T.; Eisen, M.B.; van de Rijn, M.; Jeffrey, S.S.; Rees, C.A.; Pollack, J.R.; Ross, D.T.; Johnsen, H.; Akslen, L.A.; et al. Molecular portraits of human breast tumours. Nature 2000, 406, 747–752. [Google Scholar] [CrossRef] [PubMed]
- Sørlie, T.; Perou, C.M.; Tibshirani, R.; Aas, T.; Geisler, S.; Johnsen, H.; Eisen, M.B.; Hastie, T.; van de Rijn, M.; Jeffrey, S.S.; et al. Gene expression patterns of breast carcinomas distinguish tumor subclasses with clinical implications. Proc. Natl. Acad.Sci. USA 2001, 98, 10869–10874. [Google Scholar] [CrossRef] [PubMed]
- Millar, E.K.; Graham, P.H.; O’Toole, S.A.; McNeil, C.M.; Browne, L.; Morey, A.L.; Eggleton, S.; Beretov, J.; Theocharous, C.; Capp, A.; et al. Prediction of local recurrence, distant metastases, and death after breast-conserving therapy in early-stage invasive breast cancer using a five-biomarker panel. J. Clin. Oncol. 2009, 27, 4701–4708. [Google Scholar] [CrossRef] [PubMed]
- Rexer, B.N.; Arteaga, C.L. Intrinsic and acquired resistance to HER2-targeted therapies in HER2 gene-amplified breast cancer: Mechanisms and clinical implications. Crit. Rev. Oncog. 2012, 17, 1–16. [Google Scholar] [CrossRef] [PubMed]
- Liu, S.H.; Chen, P.S.; Huang, C.C.; Hung, Y.T.; Lee, M.Y.; Lin, W.H.; Lin, Y.C.; Lee, A.Y. Unlocking the Mystery of the Therapeutic Effects of Chinese Medicine on Cancer. Front. Pharmacol. 2021, 11, 601785. [Google Scholar] [CrossRef]
- Wang, J.; Iannarelli, R.; Pucciarelli, S.; Laudadio, E.; Galeazzi, R.; Giangrossi, M.; Falconi, M.; Cui, L.; Navia, A.M.; Buccioni, M.; et al. Acetylshikonin isolated from Lithospermum erythrorhizon roots inhibits dihydrofolate reductase and hampers autochthonous mammary carcinogenesis in Δ16HER2 transgenic mice. Pharmacol. Res. 2020, 161, 105123. [Google Scholar] [CrossRef]
- Xu, J.; Shen, R.; Jiao, Z.; Chen, W.; Peng, D.; Wang, L.; Yu, N.; Peng, C.; Cai, B.; Song, H.; et al. Current Advancements in Antitumor Properties and Mechanisms of Medicinal Components in Edible Mushrooms. Nutrients 2022, 14, 2622. [Google Scholar] [CrossRef]
- Yuan, S.; Gopal, J.V.; Ren, S.; Chen, L.; Liu, L.; Gao, Z. Anticancer fungal natural products: Mechanisms of action and biosynthesis. Eur. J. Med. Chem. 2020, 202, 112502. [Google Scholar] [CrossRef]
- Fordjour, E.; Manful, C.F.; Javed, R.; Galagedara, L.W.; Cuss, C.W.; Cheema, M.; Thomas, R. Chaga mushroom: A super-fungus with countless facets and untapped potential. Front. Pharmacol. 2023, 14, 1273786. [Google Scholar] [CrossRef]
- Szychowski, K.A.; Skóra, B.; Pomianek, T.; Gmiński, J. Inonotus obliquus—From folk medicine to clinical use. J. Tradit. Complement. Med. 2020, 11, 293–302. [Google Scholar] [CrossRef] [PubMed]
- Lu, Y.; Jia, Y.; Xue, Z.; Li, N.; Liu, J.; Chen, H. Recent Developments in Inonotus obliquus (Chaga mushroom) Polysaccharides: Isolation, Structural Characteristics, Biological Activities and Application. Polymers 2021, 13, 1441. [Google Scholar] [CrossRef] [PubMed]
- Plehn, S.; Wagle, S.; Rupasinghe, H.P.V. Chaga mushroom triterpenoids as adjuncts to minimally invasive cancer therapies: A review. Curr. Res. Toxicol. 2023, 5, 100137. [Google Scholar] [CrossRef] [PubMed]
- Chung, M.J.; Chung, C.K.; Jeong, Y.; Ham, S.S. Anticancer activity of subfractions containing pure compounds of Chaga mushroom (Inonotus obliquus) extract in human cancer cells and in Balbc/c mice bearing Sarcoma-180 cells. Nutr. Res. Pract. 2010, 4, 177–182. [Google Scholar] [CrossRef] [PubMed]
- Baek, J.; Roh, H.S.; Baek, K.H.; Lee, S.; Lee, S.; Song, S.S.; Kim, K.H. Bioactivity-based analysis and chemical characterization of cytotoxic constituents from Chaga mushroom (Inonotus obliquus) that induce apoptosis in human lung adenocarcinoma cells. J. Ethnopharmacol. 2018, 224, 63–75. [Google Scholar] [CrossRef]
- Lee, S.H.; Hwang, H.S.; Yun, J.W. Antitumor activity of water extract of a mushroom, Inonotus obliquus, against HT-29 human colon cancer cells. Phytother. Res. 2009, 23, 1784–1789. [Google Scholar] [CrossRef]
- Youn, M.J.; Kim, J.K.; Park, S.Y.; Kim, Y.; Park, C.; Kim, E.S.; Park, K.I.; So, H.S.; Park, R. Potential anticancer properties of the water extract of Inonotus [corrected] obliquus by induction of apoptosis in melanoma B16-F10 cells. J. Ethnopharmacol. 2009, 121, 221–228. [Google Scholar] [CrossRef]
- Youn, M.J.; Kim, J.K.; Park, S.Y.; Kim, Y.; Kim, S.J.; Lee, J.S.; Chai, K.Y.; Kim, H.J.; Cui, M.X.; So, H.S.; et al. Chaga mushroom (Inonotus obliquus) induces G0/G1 arrest and apoptosis in human hepatoma HepG2 cells. World J. Gastroenterol. 2008, 14, 511–517. [Google Scholar] [CrossRef]
- Minekus, M.; Alminger, M.; Alvito, P.; Ballance, S.; Bohn, T.; Bourlieu, C.; Carrière, F.; Boutrou, R.; Corredig, M.; Dupont, D. A standardised static in vitro digestion method suitable for food—An international consensus. Food Funct. 2014, 5, 1113–1124. [Google Scholar] [CrossRef]
- Ratzon, E.; Najajreh, Y.; Salem, R.; Khamaisie, H.; Ruthardt, M.; Mahajna, J. Platinum (IV)-fatty acid conjugates overcome inherently and acquired Cisplatin resistant cancer cell lines: An in-vitro study. BMC Cancer 2016, 16, 140. [Google Scholar] [CrossRef]
- Vistica, V.T.; Skehan, P.; Scudiero, D.; Monks, A.; Pittman, A.; Boyd, M.R. Tetrazolium-based assays for cellular viability: A critical examination of selected parameters affecting formazan production. Cancer Res. 1991, 51, 2515–2520. [Google Scholar]
- Calzetta, L.; Matera, M.G.; Cazzola, M. Pharmacological mechanisms leading to synergy in fixed-dose dual bronchodilator therapy. Curr. Opin. Pharmacol. 2018, 40, 95–103. [Google Scholar] [CrossRef] [PubMed]
- Kalogris, C.; Garulli, C.; Pietrella, L.; Gambini, V.; Pucciarelli, S.; Lucci, C.; Tilio, M.; Zabaleta, M.E.; Bartolacci, C.; Andreani, C.; et al. Sanguinarine suppresses basal-like breast cancer growth through dihydrofolate reductase inhibition. Biochem. Pharmacol. 2014, 90, 226–234. [Google Scholar] [CrossRef] [PubMed]
- Kielkopf, C.L.; Bauer, W.; Urbatsch, I.L. Bradford Assay for Determining Protein Concentration. Cold Spring Harb. Protoc. 2020, 2020, 102269. [Google Scholar] [CrossRef] [PubMed]
- Cody, V.; Luft, J.R.; Pangborn, W. Understanding the role of Leu22 variants in methotrexate resistance: Comparison of wild-type and Leu22Arg variant mouse and human dihydrofolate reductase ternary crystal complexes with methotrexate and NADPH. Acta Crystallogr. D Biol. Crystallogr. 2005, 61, 147–155. [Google Scholar] [CrossRef]
- Molecular Operating Environment (MOE), 2022.02; Chemical Computing Group ULC: Montreal, QC, Canada, 2024.
- Kim, J.H.; Gao, D.; Cho, C.W.; Hwang, I.; Kim, H.M.; Kang, J.S. A Novel Bioanalytical Method for Determination of Inotodiol Isolated from Inonotus obliquus and Its Application to Pharmacokinetic Study. Plants 2021, 10, 1631. [Google Scholar] [CrossRef]
- Sun, Y.; Feng, F.; Nie, B.; Cao, J.; Zhang, F. High throughput identification of pentacyclic triterpenes in Hippophae rhamnoides using multiple neutral loss markers scanning combined with substructure recognition (MNLSR). Talanta 2019, 205, 120011. [Google Scholar] [CrossRef]
- Wagle, S.; Lee, J.A.; Rupasinghe, H.P.V. Synergistic Cytotoxicity of Extracts of Chaga Mushroom and Microalgae against Mammalian Cancer Cells In Vitro. Oxid. Med. Cell Longev. 2024, 2024, 7944378. [Google Scholar] [CrossRef]
- VanArsdale, T.; Boshoff, C.; Arndt, K.T.; Abraham, R.T. Molecular Pathways: Targeting the Cyclin D-CDK4/6 Axis for Cancer Treatment. Clin. Cancer Res. 2015, 21, 2905–2910. [Google Scholar] [CrossRef]
- Girardini, J.E.; Napoli, M.; Piazza, S.; Rustighi, A.; Marotta, C.; Radaelli, E.; Capaci, V.; Jordan, L.; Quinlan, P.; Thompson, A. A Pin1/mutant p53 axis promotes aggressiveness in breast cancer. Cancer Cell. 2011, 20, 79–91. [Google Scholar] [CrossRef]
- Luo, J.; Zou, H.; Guo, Y.; Tong, T.; Ye, L.; Zhu, C.; Deng, L.; Wang, B.; Pan, Y.; Li, P. SRC kinase-mediated signaling pathways and targeted therapies in breast cancer. Breast Cancer Res. 2022, 24, 99. [Google Scholar] [CrossRef]
- Feder, J.N.; Assaraf, Y.G.; Seamer, L.C.; Schimke, R.T. The pattern of dihydrofolate reductase expression through the cell cycle in rodent and human cultured cells. J. Biol. Chem. 1989, 264, 20583–20590. [Google Scholar] [CrossRef] [PubMed]
- Bian, L.; Yu, P.; Wen, J.; Li, N.; Huang, W.; Xie, X.; Ye, F. Survival benefit of platinum-based regimen in early stage triple negative breast cancer: A meta-analysis of randomized controlled trials. NPJ Breast Cancer 2021, 7, 157. [Google Scholar] [CrossRef] [PubMed]
- Lin, S.R.; Chang, C.H.; Hsu, C.F.; Tsai, M.J.; Cheng, H.; Leong, M.K.; Sung, P.J.; Chen, J.C.; Weng, C.F. Natural compounds as potential adjuvants to cancer therapy: Preclinical evidence. Br. J. Pharmacol. 2020, 177, 1409–1423. [Google Scholar] [CrossRef] [PubMed]
- Lou, H.; Li, H.; Zhang, S.; Lu, H.; Chen, Q. A Review on Preparation of Betulinic Acid and Its Biological Activities. Molecules 2021, 26, 5583. [Google Scholar] [CrossRef] [PubMed]
- Taghavi Pourianazar, N.; Gunduz, U. Changes in apoptosis-related gene expression and cytokine release in breast cancer cells treated with CpG-loaded magnetic PAMAM nanoparticles. Int. J. Pharm. 2016, 515, 11–19. [Google Scholar] [CrossRef]
- Hartman, Z.C.; Poage, G.M.; den Hollander, P.; Tsimelzon, A.; Hill, J.; Panupinthu, N.; Zhang, Y.; Mazumdar, A.; Hilsenbeck, S.G.; Mills, G.B.; et al. Growth of triple-negative breast cancer cells relies upon coordinate autocrine expression of the proinflammatory cytokines IL-6 and IL-8. Cancer Res. 2013, 73, 3470–3480. [Google Scholar] [CrossRef]
- Schafer, Z.T.; Brugge, J.S. IL-6 involvement in epithelial cancers. J. Clin. Investig. 2007, 117, 3660–3663. [Google Scholar] [CrossRef]
- Mishra, S.K.; Kang, J.H.; Kim, D.K.; Oh, S.H.; Kim, M.K. Orally administered aqueous extract of Inonotus obliquus ameliorates acute inflammation in dextran sulfate sodium (DSS)-induced colitis in mice. J. Ethnopharmacol. 2012, 143, 524–532. [Google Scholar] [CrossRef]
- Esquivel-Velázquez, M.; Ostoa-Saloma, P.; Palacios-Arreola, M.I.; Nava-Castro, K.E.; Castro, J.I.; Morales-Montor, J. The role of cytokines in breast cancer development and progression. J. Interferon Cytokine Res. 2015, 35, 1–16. [Google Scholar] [CrossRef]
- Teijeira, A.; Garasa, S.; Ochoa, M.C.; Villalba, M.; Olivera, I.; Cirella, A.; Eguren-Santamaria, I.; Berraondo, P.; Schalper, K.A.; de Andrea, C.E.; et al. IL8, Neutrophils, and NETs in a Collusion against Cancer Immunity and Immunotherapy. Clin. Cancer Res. 2021, 27, 2383–2393. [Google Scholar] [CrossRef]
- Matlung, H.L.; Babes, L.; Zhao, X.W.; van Houdt, M.; Treffers, L.W.; van Rees, D.J.; Franke, K.; Schornagel, K.; Verkuijlen, P.; Janssen, H.; et al. Neutrophils Kill Antibody-Opsonized Cancer Cells by Trogoptosis. Cell Rep. 2018, 23, 3946–3959.e6. [Google Scholar] [CrossRef]
- Espinoza, J.A.; Jabeen, S.; Batra, R.; Papaleo, E.; Haakensen, V.; Timmermans Wielenga, V.; Møller Talman, M.L.; Brunner, N.; Børresen-Dale, A.L.; Gromov, P.; et al. Cytokine profiling of tumor interstitial fluid of the breast and its relationship with lymphocyte infiltration and clinicopathological characteristics. Oncoimmunology 2016, 5, e1248015. [Google Scholar] [CrossRef] [PubMed]
- Blomberg, O.S.; Spagnuolo, L.; Garner, H.; Voorwerk, L.; Isaeva, O.I.; van Dyk, E.; Bakker, N.; Chalabi, M.; Klaver, C.; Duijst, M.; et al. IL-5-producing CD4+ T cells and eosinophils cooperate to enhance response to immune checkpoint blockade in breast cancer. Cancer Cell 2023, 41, 106–123.e10. [Google Scholar] [CrossRef] [PubMed]
- Pathak, M.P.; Pathak, K.; Saikia, R.; Gogoi, U.; Ahmad, M.Z.; Patowary, P.; Das, A. Immunomodulatory effect of mushrooms and their bioactive compounds in cancer: A comprehensive review. Biomed. Pharmacother. 2022, 149, 112901. [Google Scholar] [CrossRef] [PubMed]
- Fang, J.; Gao, S.; Islam, R.; Teramoto, Y.; Maeda, H. Extracts of Phellinus linteus, Bamboo (Sasa senanensis) Leaf and Chaga Mushroom (Inonotus obliquus) Exhibit Antitumor Activity through Activating Innate Immunity. Nutrients 2020, 12, 2279. [Google Scholar] [CrossRef]
- Maza, P.; Lee, J.H.; Kim, Y.S.; Sun, G.M.; Sung, Y.J.; Ponomarenko, L.P.; Stonik, V.A.; Ryu, M.; Kwak, J.Y. Inotodiol From Inonotus obliquus Chaga Mushroom Induces Atypical Maturation in Dendritic Cells. Front. Immunol. 2021, 12, 650841. [Google Scholar] [CrossRef]











| RT (min) | m/z | Tentative Identification | Adduct Ion | Chemical Class | 
|---|---|---|---|---|
| 4.17 | 177.0532 | 4-Methoxycinnamic acid | [M-H]− | Phenolic acid | 
| 4.51 | 511.144 | 3-(4-Hydroxy-3-methoxyphenyl)-1,2-propanediol 2-O-(galloyl-glucoside) | [M-H]− | Phenolic acid | 
| 3.38 | 179.0327 | Caffeic acid | [M-H]− | Phenolic acid | 
| 4.68 | 535.1082 | Lyoniresinol 9′-sulfate | [M+Cl]− | Phenolic acid | 
| 4.4 | 539.1753 | Orientaloside | [M-H]− | Phenolic acid | 
| 4.61 | 197.0428 | Syringic acid | [M-H]− | Phenolic acid | 
| 3.88 | 285.0595 | Uralenneoside | [M-H]− | Phenolic acid | 
| 5.14 | 735.213 | Feruloylquinic acid | [2M-H]− | Phenolic acid | 
| 3.91 | 555.1705 | Cassitoroside | [M-H]− | Phenolic acid | 
| 3.25 | 311.0385 | Caftaric acid | [M-H]− | Phenolic acid | 
| 4.99 | 649.2119 | Egonol gentiobioside | [M-H]− | Phenolic acid | 
| 4.49 | 423.1283 | Gibberellin A32 | [M+FA-H]− | Terpene | 
| 6.42 | 533.3084 | Ganoderic acid L | [M-H]− | Terpene | 
| 4.99 | 737.229 | Polyporusterone B/C | [M+FA-H]− | Terpene | 
| 6.96 | 549.3419 | Protobassic acid | [M+FA-H]− | Terpene | 
| 7.71 | 533.3464 | Ganoderiol D | [M+FA-H]− | Terpene | 
| 4.85 | 509.1291 | D-Galactopyranosyl-(1->3)-D-galactopyranosyl-(1->3)-L-arabinose | [M+Cl]− | Carbohydrate | 
| 4.61 | 391.1012 | Galactopinitol A | [M+Cl]− | Carbohydrate | 
| 4.27 | 449.1071 | a-L-Arabinofuranosyl-(1->3)-b-D-xylopyranosyl-(1->4)-D-xylose | [M+Cl]− | Carbohydrate | 
| 3.91 | 449.1068 | a-L-Arabinofuranosyl-(1->3)-[a-L-arabinofuranosyl-(1r5)]-L-arabinose | [M+Cl]− | Carbohydrate | 
| 4.91 | 391.1008 | Galactopinitol B | [M+Cl]− | Carbohydrate | 
| 4.51 | 369.0804 | 5-Hydroxy-6-methoxycoumarin 7-glucoside | [M-H]− | Coumarin | 
| 4.17 | 383.0959 | Eleutheroside B1 | [M-H]− | Coumarin | 
| 4.76 | 537.1604 | Lippioside I | [M-H]− | Iridoid | 
| 4.3 | 553.1552 | Lippioside II | [M-H]− | Iridoid | 
| 4.91 | 421.112 | 2′,4′,3,4,alpha-Pentahydroxydihydrochalcone 3′-C-xyloside | [M-H]− | Chalcone | 
| 3.83 | 273.0381 | 1,3,6-Trihydroxy-5-methoxyxanthone | [M-H]− | Xanthone | 
| 7.66 | 505.3156 | 2-deoxy-20-hydroxy-5alpha-ecdysone 3-acetate | [M-H]− | Ecdysteroid | 
| 7.34 | 549.3422 | Desglucocoroloside | [M+FA-H]− | Cardenolide | 
| 4.02 | 245.0064 | Glucaric acid | [M+Cl]− | Polyol | 
| 3.82 | 251.0531 | Methionyl-Cysteine | [M-H]− | Dipeptide | 
| Disclaimer/Publisher’s Note: The statements, opinions and data contained in all publications are solely those of the individual author(s) and contributor(s) and not of MDPI and/or the editor(s). MDPI and/or the editor(s) disclaim responsibility for any injury to people or property resulting from any ideas, methods, instructions or products referred to in the content. | 
© 2024 by the authors. Licensee MDPI, Basel, Switzerland. This article is an open access article distributed under the terms and conditions of the Creative Commons Attribution (CC BY) license (https://creativecommons.org/licenses/by/4.0/).
Share and Cite
Wang, J.; Beghelli, D.; Amici, A.; Sut, S.; Dall’Acqua, S.; Lupidi, G.; Dal Ben, D.; Bistoni, O.; Tomassoni, D.; Belletti, B.; et al. Chaga Mushroom Triterpenoids Inhibit Dihydrofolate Reductase and Act Synergistically with Conventional Therapies in Breast Cancer. Biomolecules 2024, 14, 1454. https://doi.org/10.3390/biom14111454
Wang J, Beghelli D, Amici A, Sut S, Dall’Acqua S, Lupidi G, Dal Ben D, Bistoni O, Tomassoni D, Belletti B, et al. Chaga Mushroom Triterpenoids Inhibit Dihydrofolate Reductase and Act Synergistically with Conventional Therapies in Breast Cancer. Biomolecules. 2024; 14(11):1454. https://doi.org/10.3390/biom14111454
Chicago/Turabian StyleWang, Junbiao, Daniela Beghelli, Augusto Amici, Stefania Sut, Stefano Dall’Acqua, Giulio Lupidi, Diego Dal Ben, Onelia Bistoni, Daniele Tomassoni, Barbara Belletti, and et al. 2024. "Chaga Mushroom Triterpenoids Inhibit Dihydrofolate Reductase and Act Synergistically with Conventional Therapies in Breast Cancer" Biomolecules 14, no. 11: 1454. https://doi.org/10.3390/biom14111454
APA StyleWang, J., Beghelli, D., Amici, A., Sut, S., Dall’Acqua, S., Lupidi, G., Dal Ben, D., Bistoni, O., Tomassoni, D., Belletti, B., Musa, S., Mahajna, J., Pucciarelli, S., & Marchini, C. (2024). Chaga Mushroom Triterpenoids Inhibit Dihydrofolate Reductase and Act Synergistically with Conventional Therapies in Breast Cancer. Biomolecules, 14(11), 1454. https://doi.org/10.3390/biom14111454
 
        






 
       