Rapid Identification of Paeoniae Radix and Moutan Radicis Cortex Using a SCAR Marker-Based Conventional PCR Assay
Abstract
1. Introduction
2. Results
2.1. DNA Barcoding Analysis
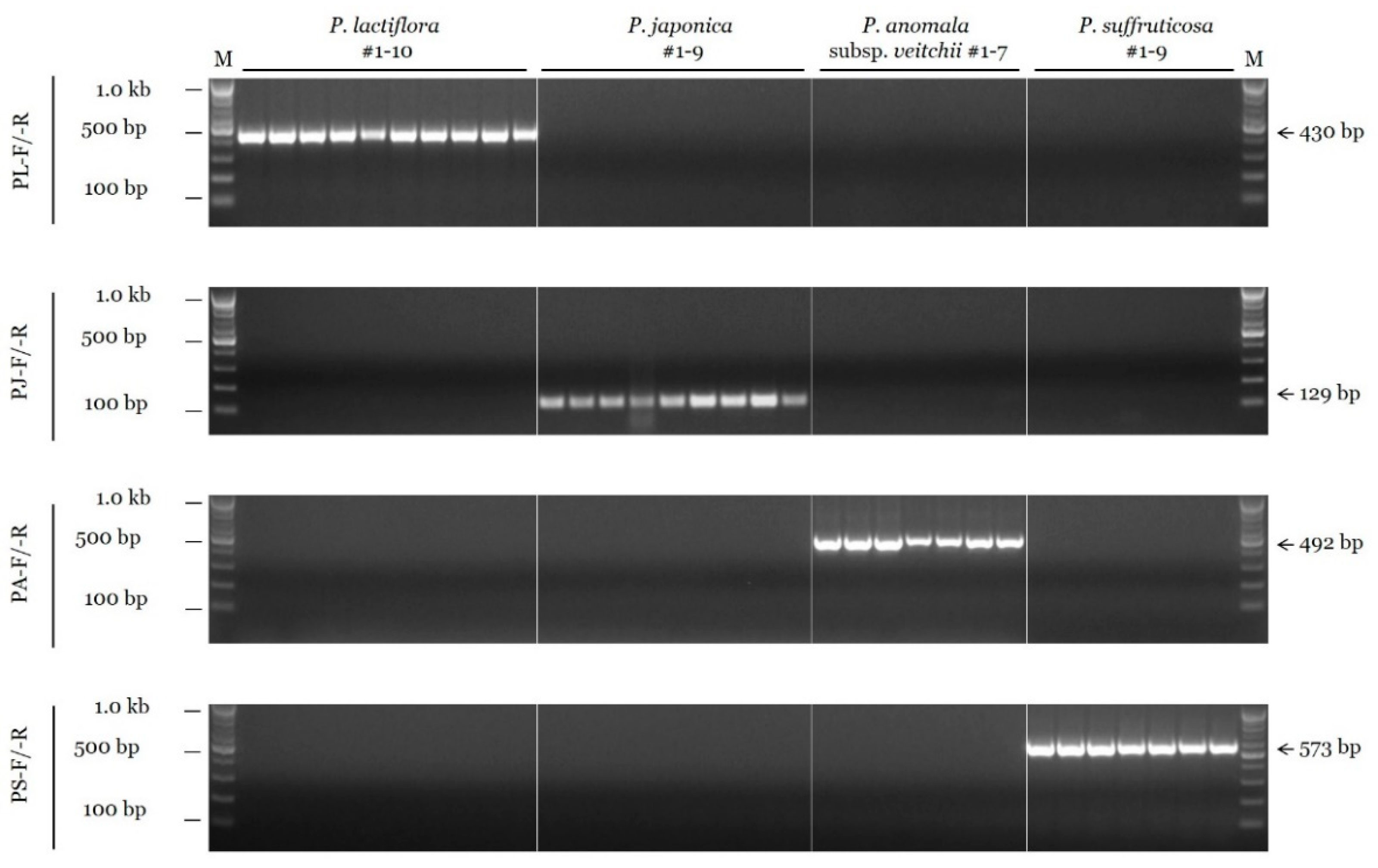
2.2. SCAR Primer Design and PCR Assay Verification
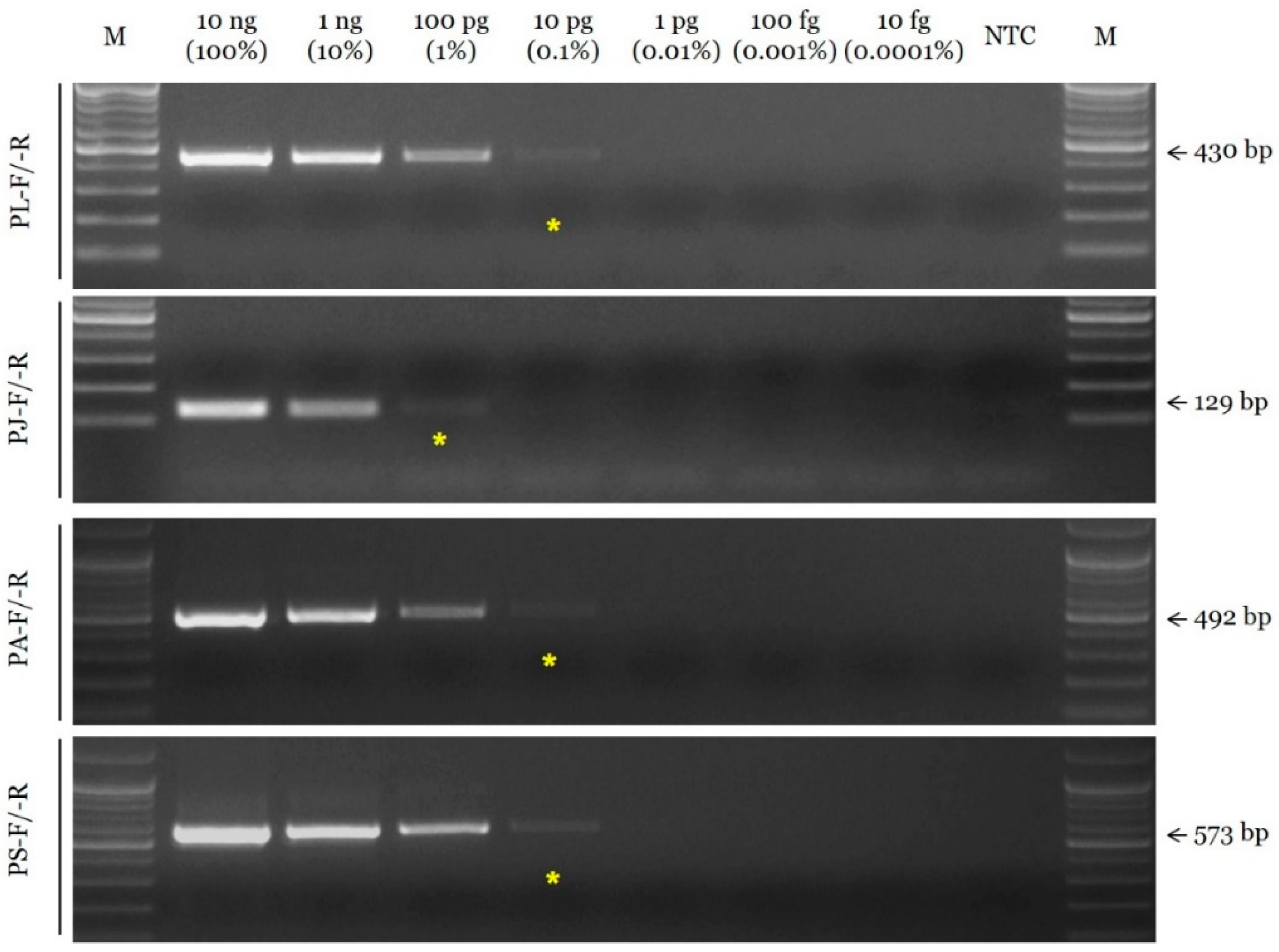
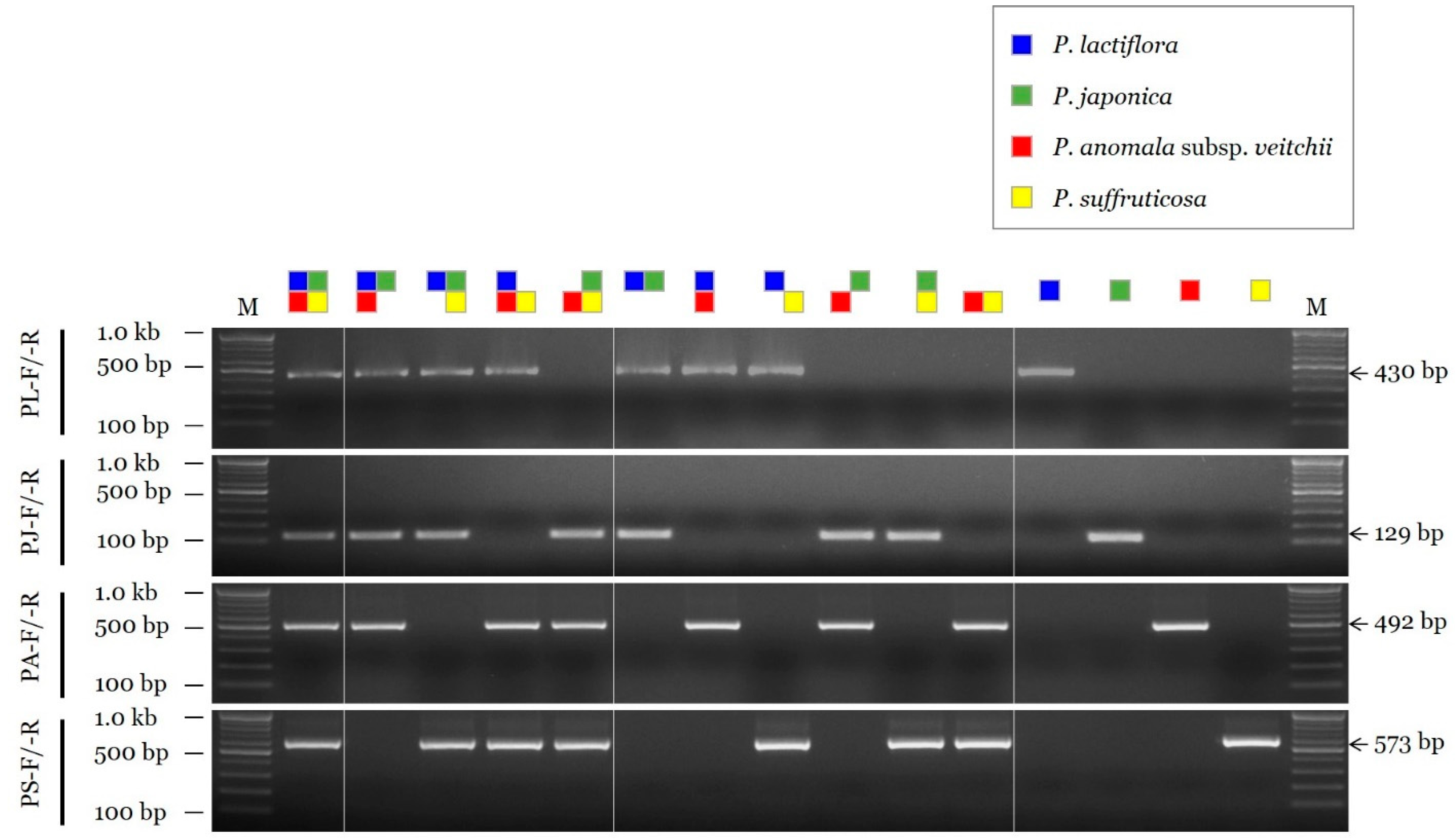
2.3. Sensitivity and Discriminability of SCAR Primers
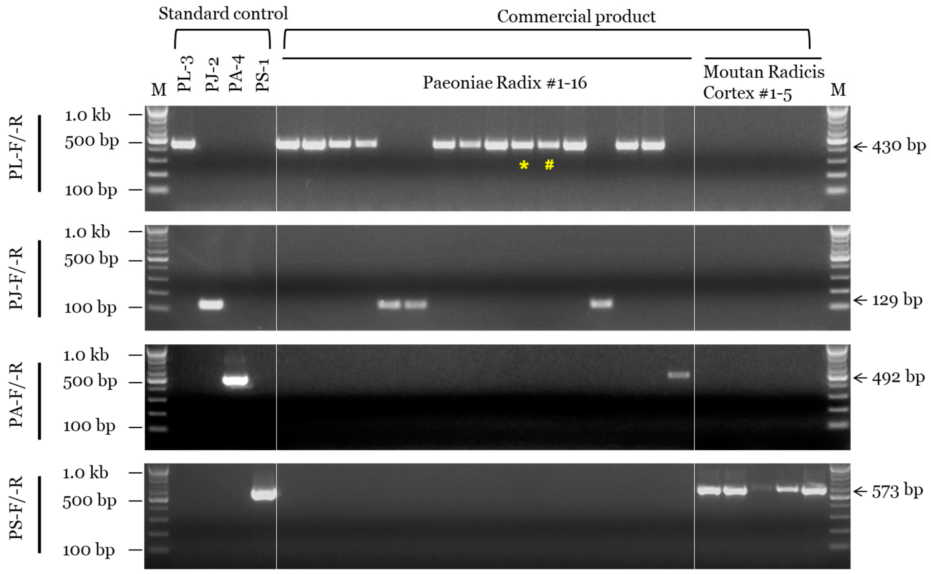
2.4. Monitoring of Commercial PR and MRC Samples
3. Discussion
4. Materials and Methods
4.1. Plant Material and DNA Extraction
4.2. DNA Barcoding Analysis
4.3. SCAR Primer Design and PCR Assay Verification
4.4. Sensitivity and Discriminability of SCAR Primers
4.5. Monitoring of Commercial PR and MRC Samples
Supplementary Materials
Author Contributions
Funding
Data Availability Statement
Conflicts of Interest
References
- Korea Institute of Oriental Medicine. Defining Dictionary for Medicinal Herbs; Hanyak Giwon Sajeon: Naju, Korea, 2022; Available online: https://oasis.kiom.re.kr/herblib/hminfo/hbmcod/hbmcodList.do (accessed on 4 July 2022).
- Li, X.; Wang, Y.; Sun, Q.; Xu, B.; Yu, Y.; Wang, X. Molecularly imprinted solid phase extraction in a syringe filter for determination of triazine herbicides in Radix Paeoniae Alba by ultra-fast liquid chromatography. Talanta 2016, 148, 539–547. [Google Scholar] [CrossRef]
- Korea Institute of Oriental Medicine. Korean Medicinal Materials, 1st ed.; Korea Institute of Oriental Medicine: Daejeon, Korea, 2014; pp. 280–287. [Google Scholar]
- Kim, W.J.; Yang, S.; Choi, G.; Moon, B.C. Peptide nucleic acid based molecular authentication for identification of four medicinal paeonia species using melting array analysis of the internal transcribed spacer 2 region. Molecules 2017, 22, 1922. [Google Scholar] [CrossRef] [PubMed]
- Shi, Y.H.; Zhu, S.; Ge, Y.W.; Toume, K.; Wang, Z.; Batkhuu, J.; Komatsu, K. Characterization and quantification of monoterpenoids in different types of peony root and the related Paeonia species by liquid chromatography coupled with ion trap and time-of-flight mass spectrometry. J. Pharm. Biomed. Anal. 2016, 129, 581–592. [Google Scholar] [CrossRef] [PubMed]
- Kim, J.; Lee, H.; Lee, Y.; Oh, B.G.; Cho, C.; Kim, Y.; Shin, M.; Hong, M.; Jung, S.K.; Bae, H. Inhibition effects of Moutan Cortex Radicis on secretion of eotaxin in A549 human epithelial cells and eosinophil migration. J. Ethnopharmacol. 2007, 114, 186–193. [Google Scholar] [CrossRef]
- Kim, W.J.; Moon, B.C.; Yang, S.; Han, K.S.; Choi, G.; Lee, A.Y. Rapid authentication of the herbal medicine plant species aralia continentalis Kitag. and Angelica biserrata C.Q. Yuan and R.H. Shan Using ITS2 sequences and Multiplex-SCAR markers. Molecules 2016, 21, 270. [Google Scholar] [CrossRef]
- Ameenah, G.-F. Medicinal plants: Traditions of yesterday and drugs of tomorrow. Mol. Asp. Med. 2006, 27, 1–93. [Google Scholar]
- Khalil, A.A.K.; Zeb, F.; Khan, R.; Shah, S.A.; Akkol, E.K.; Khan, I.N.; Khan, J.; Jamal, S.B.; Khuda, F.; Haider, A.; et al. An overview on Rumex dentatus L.: Its functions as a source of nutrient and health-promoting plant. Evid.-Based Complement. Altern. Med. 2022, 2022, 8649119. [Google Scholar] [CrossRef]
- Ko, H.L.; Jung, E.H.; Jung, D.H.; Kim, J.K.; Ku, S.K.; Kim, Y.W.; Kim, S.C.; Zhao, R.; Lee, C.W.; Cho, I.J. Paeonia japonica root extract protects hepatocytes against oxidative stress through inhibition of AMPK-mediated GSK3β. J. Funct. Foods 2016, 20, 303–316. [Google Scholar] [CrossRef]
- Zhao, D.D.; Jiang, L.L.; Li, H.Y.; Yan, P.F.; Zhang, Y.L. Chemical components and pharmacological activities of terpene natural products from the genus Paeonia. Molecules 2016, 21, 1362. [Google Scholar] [CrossRef] [PubMed]
- Nazar, N.; Howard, C.; Slater, A.; Sgamma, T. Challenges in medicinal and aromatic plants DNA barcoding—Lessons from the Lamiaceae. Plants 2022, 11, 137. [Google Scholar] [CrossRef] [PubMed]
- Kim, W.J.; Yang, S.; Choi, G.; Park, I.; Noh, P.; Seo, C.S.; Moon, B.C. Development of conventional PCR and real-time PCR assays to discriminate the origins of Chinese pepper oil and herbal materials from Zanthoxylum. J. Sci. Food Agric. 2019, 99, 2021–2029. [Google Scholar] [CrossRef]
- Chen, S.; Yao, H.; Han, J.; Liu, C.; Song, J.; Shi, L.; Zhu, Y.; Ma, X.; Gao, T.; Pang, X.; et al. Validation of the ITS2 region as a novel DNA barcode for identifying medicinal plant species. PLoS ONE 2010, 5, e8613. [Google Scholar] [CrossRef] [PubMed]
- Noh, P.; Kim, W.J.; Yang, S.; Park, I.; Moon, B.C. Authentication of the herbal medicine Angelicae Dahuricae Radix using an ITS sequence-based multiplex SCAR assay. Molecules 2018, 23, 2134. [Google Scholar] [CrossRef]
- Kim, W.J.; Yang, S.; Choi, G.; Park, I.; Noh, P.; Lee, A.Y.; Kim, H.S.; Moon, B.C. Establishment of conventional PCR and real-time PCR assays for accurate, rapid and quantitative authentication of four mistletoe species. Phytochemistry 2020, 176, 112400. [Google Scholar] [CrossRef] [PubMed]
- Cho, J.; Jeon, S.; Song, S.; Kim, S.; Kim, D.; Jeong, J.; Choi, G.; Lee, S. Identification of toxic herbs using deep learning with focus on the sinomenium acutum, aristolochiae manshuriensis caulis, akebiae caulis. Appl. Sci. 2019, 9, 5456. [Google Scholar] [CrossRef]
- He, C.; Peng, Y.; Xiao, W.; Liu, H.; Xiao, P.G. Determination of chemical variability of phenolic and monoterpene glycosides in the seeds of Paeonia species using HPLC and profiling analysis. Food Chem. 2013, 138, 2108–2114. [Google Scholar] [CrossRef]
- He, C.; Peng, Y.; Zhang, Y.; Xu, L.; Gu, J.; Xiao, P. Phytochemical and biological studies of Paeoniaceae. Chem. Biodivers. 2010, 7, 805–838. [Google Scholar] [CrossRef]
- Moon, B.C.; Choo, B.K.; Cheon, M.S.; Yoon, T.; Ji, Y.; Kim, B.B.; Lee, A.Y.; Kim, H.K. Rapid molecular authentication of three medicinal plant species, Cynanchum wilfordii, Cynanchum auriculatum, and Polygonum multiflorum (Fallopia multiflorum), by the development of RAPD-derived SCAR markers and multiplex-PCR. Plant Biotechnol. Rep. 2010, 4, 1–7. [Google Scholar] [CrossRef]
- Kim, M.K.; Wang, H.; Kim, Y.J.; Sathiyamoorthy, S.; Kwon, W.S.; Yang, D.C. Molecular authentication by multiplex-PCR of three similar medicinal plant species: Cynanchum wilfordii, Cynanchum auriculatum and Polygonum multiflorum (Fallopia multiflorum). J. Med. Plants Res. 2013, 4, 2584–2589. [Google Scholar]
- Noh, P.; Kim, W.J.; Yang, S.; Choi, G.; Moon, B.C. PCR-based rapid diagnostic tools for the authentication of medicinal mistletoe species. Phytomedicine 2021, 91, 153667. [Google Scholar] [CrossRef]
- Kim, W.J.; Yang, S.; Choi, G.; Park, I.; Noh, P.; Kim, M.J.; Moon, B.C. Accurate and rapid identification of longan arillus and litchi semen by a multiplex pcr assay. Plants 2020, 9, 948. [Google Scholar] [CrossRef] [PubMed]
- White, T.J.; Bruns, T.; Lee, S.; Taylor, J. Amplification and direct sequencing of fungal ribosomal RNA Genes for phylogenetics. In PCR Protocols; Academic Press Inc.: Cambridge, MA, USA, 1990; pp. 315–322. [Google Scholar]
- Olmstead, R.G.; Reeves, P.A. Evidence for the polyphyly of the Scrophulariaceae based on chloroplast rbcL and ndhF sequences. Ann. Mo. Bot. Gard. 1995, 82, 176–193. [Google Scholar] [CrossRef]




| Primer Name | Target Species | Primer Sequence (5′→3′) 1 | Amplicon Size (bp) | DNA Barcoding Region Used for SCAR Primers |
|---|---|---|---|---|
| PL-F | P. lactiflora | TTT CTT ATT TTG TGC AGA AGC CC | 430 | rbcL |
| PL-R | ACG ACT TCG GTC TTT TTC AAT AT | |||
| PJ-F | P. japonica | GAA CTT GTA AAA ATG CTC GGT G | 129 | ITS |
| PJ-R | CCG AGA GCA CAC CAG AAG G | |||
| PA-F | P. anomala subsp. veitchii | AAG GCG TGA GCC TCT CCT C | 492 | ITS |
| PA-R | GTT CGT CGC TCG GGG CTG A | |||
| PS-F | P. suffruticosa | CTC CTT CAT CCC ACG TCC CA | 573 | ITS |
| PS-R | TCG TGA CGA TGC TCT GGG GTT |
| Herbal Medicine | Plant Species | DNA Amplification 1 | |||
|---|---|---|---|---|---|
| PL-F/-R | PJ-F/-R | PA-F/-R | PS-F/-R | ||
| Paeoniae Radix | Paeonia lactiflora | + | – | – | – |
| Paeoniae Radix | Paeonia japonica | – | + | – | – |
| Paeoniae Radix | Paeonia anomala subsp. veitchii | – | – | + | – |
| Moutan Radicis Cortex | Paeonia suffruticosa | – | – | – | + |
| Ginseng Radix | Panax ginseng | – | – | – | – |
| Glycyrrhizae Radix et Rhizoma | Glycyrrhiza uralensis | – | – | – | – |
| Cnidii Rhizoma | Cnidium officinale | – | – | – | – |
| Angelicae Gigantis Radix | Angelica gigas | – | – | – | – |
| Schisandra Fruit | Schisandra chinensis | – | – | – | – |
| Zanthoxylum Peel | Zanthoxylum schinifolium | – | – | – | – |
| Aralia Continentalis Root | Aralia continentalis | – | – | – | – |
| Cynanchi Wilfordii Radix | Cynanchum wilfordii | – | – | – | – |
| Angelica Dahurica Root | Angelica dahurica | – | – | – | – |
| Akebia Stem | Akebia quinata | – | – | – | – |
| Visci Ramulus et Folium | Viscum coloratum | – | – | – | – |
| Adenophorae Radix | Adenophora stricta | – | – | – | – |
| Siegesbeckiae Herba | Sigesbeckia orientalis subsp. pubescens | – | – | – | – |
| Rhei Undulatai Rhizoma | Rheum rhabarbarum | – | – | – | – |
| Magnoliae Cortex | Machilus thunbergii | – | – | – | – |
| Scutellariae Radix | Scutellaria baicalensis | – | – | – | – |
| Clematidis Radix | Clematis terniflora var. mandshurica | – | – | – | – |
| Armeniacae Semen | Prunus armeniaca var. ansu | – | – | – | – |
| Trichosanthis Semen | Trichosanthes kirilowii | – | – | – | – |
| Ulmi Cortex | Ulmus macrocarpa | – | – | – | – |
| Prunellae Spica | Prunella vulgaris subsp. asiatica | – | – | – | – |
| Herbal Medicine | Sample No. | Voucher No. | Sample Identity Based on Different Assays 1 | ||
|---|---|---|---|---|---|
| Morphological Assay | SCAR Assay | DNA Barcoding Assay of the ITS Region | |||
| PR | 1 | 2-19-0431 | P. lactiflora | P. lactiflora | P. lactiflora |
| 2 | 2-17-0572 | P. lactiflora | P. lactiflora | P. lactiflora | |
| 3 | 2-17-0358 | P. lactiflora | P. lactiflora | P. lactiflora | |
| 4 | 2-17-0035 | P. lactiflora | P. lactiflora | P. lactiflora | |
| 5 | 2-16-0174 | P. japonica | P. japonica | P. japonica | |
| 6 | 2-16-0124 | P. japonica | P. japonica | P. japonica | |
| 7 | 2-15-0201 | P. lactiflora | P. lactiflora | P. lactiflora | |
| 8 | 2-14-0200 | P. lactiflora | P. lactiflora | P. lactiflora | |
| 9 | 2-14-0017 | P. lactiflora | P. lactiflora | P. lactiflora | |
| 10 | 2-12-0114 | P. japonica | P. lactiflora | P. lactiflora | |
| 11 | 2-12-0105 | P. anomala subsp. veitchii | P. lactiflora | P. lactiflora | |
| 12 | 2-12-0032 | P. lactiflora | P. lactiflora | P. lactiflora | |
| 13 | 2-12-0010 | P. japonica | P. japonica | P. japonica | |
| 14 | 2-11-0130 | P. lactiflora | P. lactiflora | P. lactiflora | |
| 15 | 2-11-0073 | P. lactiflora | P. lactiflora | P. lactiflora | |
| 16 | 2-07-0034 | P. anomala subsp. veitchii | P. anomala subsp. veitchii | P. anomala subsp. veitchii | |
| MRC | 1 | 2-19-0414 | P. suffruticosa | P. suffruticosa | P. suffruticosa |
| 2 | 2-17-0559 | P. suffruticosa | P. suffruticosa | P. suffruticosa | |
| 3 | 2-16-0158 | P. suffruticosa | P. suffruticosa | P. suffruticosa | |
| 4 | 2-16-0138 | P. suffruticosa | P. suffruticosa | P. suffruticosa | |
| 5 | 2-14-0085 | P. suffruticosa | P. suffruticosa | P. suffruticosa | |
Publisher’s Note: MDPI stays neutral with regard to jurisdictional claims in published maps and institutional affiliations. |
© 2022 by the authors. Licensee MDPI, Basel, Switzerland. This article is an open access article distributed under the terms and conditions of the Creative Commons Attribution (CC BY) license (https://creativecommons.org/licenses/by/4.0/).
Share and Cite
Kim, W.J.; Noh, S.; Choi, G.; Moon, B.C. Rapid Identification of Paeoniae Radix and Moutan Radicis Cortex Using a SCAR Marker-Based Conventional PCR Assay. Plants 2022, 11, 2870. https://doi.org/10.3390/plants11212870
Kim WJ, Noh S, Choi G, Moon BC. Rapid Identification of Paeoniae Radix and Moutan Radicis Cortex Using a SCAR Marker-Based Conventional PCR Assay. Plants. 2022; 11(21):2870. https://doi.org/10.3390/plants11212870
Chicago/Turabian StyleKim, Wook Jin, Sumin Noh, Goya Choi, and Byeong Cheol Moon. 2022. "Rapid Identification of Paeoniae Radix and Moutan Radicis Cortex Using a SCAR Marker-Based Conventional PCR Assay" Plants 11, no. 21: 2870. https://doi.org/10.3390/plants11212870
APA StyleKim, W. J., Noh, S., Choi, G., & Moon, B. C. (2022). Rapid Identification of Paeoniae Radix and Moutan Radicis Cortex Using a SCAR Marker-Based Conventional PCR Assay. Plants, 11(21), 2870. https://doi.org/10.3390/plants11212870

