Abstract
Defects in the non-homologous end-joining (NHEJ) DNA repair pathway lead to genomic instability and carcinogenesis. However, the roles of individual NHEJ genes in nasopharyngeal carcinoma (NPC) etiology are not well-understood. The aim of this study was to assess the contribution of NHEJ genotypes, including XRCC4 (rs6869366, rs3734091, rs28360071, rs28360317, rs1805377), XRCC5 (rs828907, rs11685387, rs9288518), XRCC6 (rs5751129, rs2267437, rs132770, rs132774), XRCC7 rs7003908, and Ligase4 rs1805388, to NPC risk, with 208 NPC patients and 416 controls. Genotype–phenotype correlations were also investigated by measuring mRNA and protein expression in adjacent normal tissues and assessing the NHEJ repair capacity in blood lymphocytes from 43 NPC patients. The results showed significant differences in the distributions of variant genotypes at XRCC4 rs3734091, rs28360071, and XRCC6 rs2267437 between the cases and controls. The variant genotypes of these three polymorphisms were associated with significantly increased NPC risks. NPC patients with the risk genotypes at XRCC6 rs2267437 had significantly reduced expression levels of both mRNA and protein, as well as a lower NHEJ repair capacity, than those with the wild-type genotype. In conclusion, XRCC4 rs3734091, rs28360071, and XRCC6 rs2267437 in the NHEJ pathway were associated with NPC susceptibility. XRCC6 rs2267437 can modulate mRNA and protein expression and the NHEJ repair capacity.
1. Introduction
Nasopharyngeal carcinoma (NPC) is a rare type of cancer with a unique geographical and ethnic distribution, occurring primarily in East Asia and Southeast Asia, especially in Southern China. East Asia has by far the highest age-standardized incidence rate of NPC, at 5.61 per 100,000 population, followed by Southeast Asia with 1.95 per 100,000 population. In contrast, central Latin America has a much lower incidence rate of only 0.23 per 100,000 population [1,2]. With the largest population and a high NPC incidence rate, China alone accounts for about 50% of new NPC cases reported worldwide each year, making it a significant healthcare concern [3]. Clinically, NPC is known for its high degree of malignancy and tendency for early lymph node metastasis [4], leading to a poor prognosis [5]. Despite advancements in medical imaging, chemotherapy, and radiotherapy technology, distant metastasis and/or local recurrence still occur in 20–30% of NPC patients, particularly those with advanced disease [4,5,6,7]. Therefore, it is crucial to identify useful biomarkers that can serve as early detection and prediction tools for identifying high-risk individuals.
Low-penetrance susceptibility genes and environmental factors are believed to play an important role in initiating and progressing tumorigenesis. Polymorphic defects in the DNA repair can undermine the network that maintains genomic stability. The most deleterious type of DNA damage is double-strand breaks (DSBs), which can result in the loss of physical integrity and information content in both strands [8]. Two important pathways for repairing DSBs induced by endogenous and exogenous carcinogens are homologous recombination (HR) and non-homologous end-joining (NHEJ). HR involves copying the missing information from an undamaged homologous chromosome during the transition from S to G2 phases of the cell cycle, while NHEJ operates during all phases of the cell cycle. NHEJ processes the broken DNA termini to make them compatible and then seals them by ligation. Notably, NHEJ is the predominant sub-pathway for DSB repair in human cells [9]. Several proteins that play crucial roles in the NHEJ pathway have been identified, including DNA Ligase4, XRCC4, XRCC6 (Ku70), XRCC5 (Ku80), and XRCC7 (DNA-dependent protein kinase, DNA-PK) [10,11]. Whenever a DSB is formed and detected, the heterodimers of Ku80 (XRCC5) and Ku70 (XRCC6) recruit the DNA-PK (XRCC7) core subunit to the DSBs, forming an active DNA-PK complex that is essential for the progression of the NHEJ repair.
An earlier pilot study reported that a single-nucleotide polymorphism (SNP), rs5751129, in the Ku70 promoter region was associated with NPC risk [12]. However, the contributions of SNPs in other essential NHEJ genes to NPC susceptibility are still lacking. In this study, we aimed to investigate the impact of NHEJ genotypes on NPC susceptibility, as well as to examine the correlation between NHEJ genotypes and the mRNA and protein expression levels of NHEJ genes. Moreover, we assessed the NHEJ capacity in NPC patients based on their genotypes. To the best of our knowledge, this is the most comprehensive assessment of the relationship between NHEJ genotypes and NPC susceptibility.
2. Materials and Methods
2.1. Study Population
A total of 208 NPC patients were recruited from the Department of General Surgery at China Medical University Hospital in Taiwan. The patients voluntarily participated, completed a self-administered questionnaire, and provided peripheral blood samples. Non-cancer controls were matched to cases in a 2:1 ratio by gender, age (±5 years), and behavioral habits (smoking, alcohol consumption, and betel quid chewing). The exclusion criteria for controls included previous malignancy, metastasized cancer of other or unknown origin, and any genetic or familial diseases. Information on the history and frequency of smoking habits, alcohol consumption, and betel quid chewing was collected through the same self-reported questionnaire as the cases. “Ever” was defined as more than twice a week for at least one year. These behavioral habits were quantitatively evaluated and classified as categorical variables. The study was approved and supervised by the Institutional Review Board of the China Medical University Hospital (DMR101-IRB1-306).
2.2. Genotyping Methodologies for NHEJ Genes
The genomic DNA of each NPC patient was extracted from the peripheral blood using the QIAamp Blood Mini Kit (Blossom, Taipei, Taiwan) and stored in aliquots, as previously described [13,14]. Table 1 summarizes the information on the polymorphic sites, paired forward and reverse primers, corresponding restriction enzymes, and the resulting contigs after enzyme digestion, as well as published references [12,15,16,17,18,19]. Figure 1 shows the locations of the investigated NHEJ polymorphic sites.
Table 1.
Summary of the polymorphic sites, paired primer sequences, restriction enzymes, and DNA fragments after enzyme digestions for the polymorphic sites.
Figure 1.
Maps of the investigated polymorphic sites in NHEJ genes: (A) XRCC4, (B) XRCC5, (C) XRCC6, (D) XRCC7, and (E) Ligase4.
2.3. mRNA Expressions of XRCC4 and XRCC6 Genes
To assess the correlations between NHEJ putative high-risk genotypes and gene expression, we extracted total RNA from surgically resected adjacent normal tissues of 43 NPC patients using Trizol Reagent (Invitrogen, Carlsbad, CA, USA) and measured XRCC4 and XRCC6 mRNA levels using real-time quantitative RT-PCR, as previously described [12]. GAPDH was used as an internal quantitative control. The forward and reverse primers for the amplification of XRCC4 mRNA were 5′-AGCAGCCGCTATTACCGTATCTT-3′ and 5′-GTGCCAGTGTCATCATCAAATCG-3′, respectively, for XRCC6 mRNA were 5′-CGATAATGAAGGTTCTGGAAG-3′ and 5′-CTGGAAGTGCTTGGTGAG-3′, respectively, and for GAPDH mRNA were 5′-GAAATCCCATCACCATC-TTCCAGG-3′ and 5′-GAGCCCCAGCCTTCTCCATG-3′, respectively. The results were expressed as the mean mRNA expression from triplicate measurements normalized against GAPDH as an internal control, with distilled water serving as a blank control.
2.4. Protein Expressions of XRCC4 and XRCC6 Genes
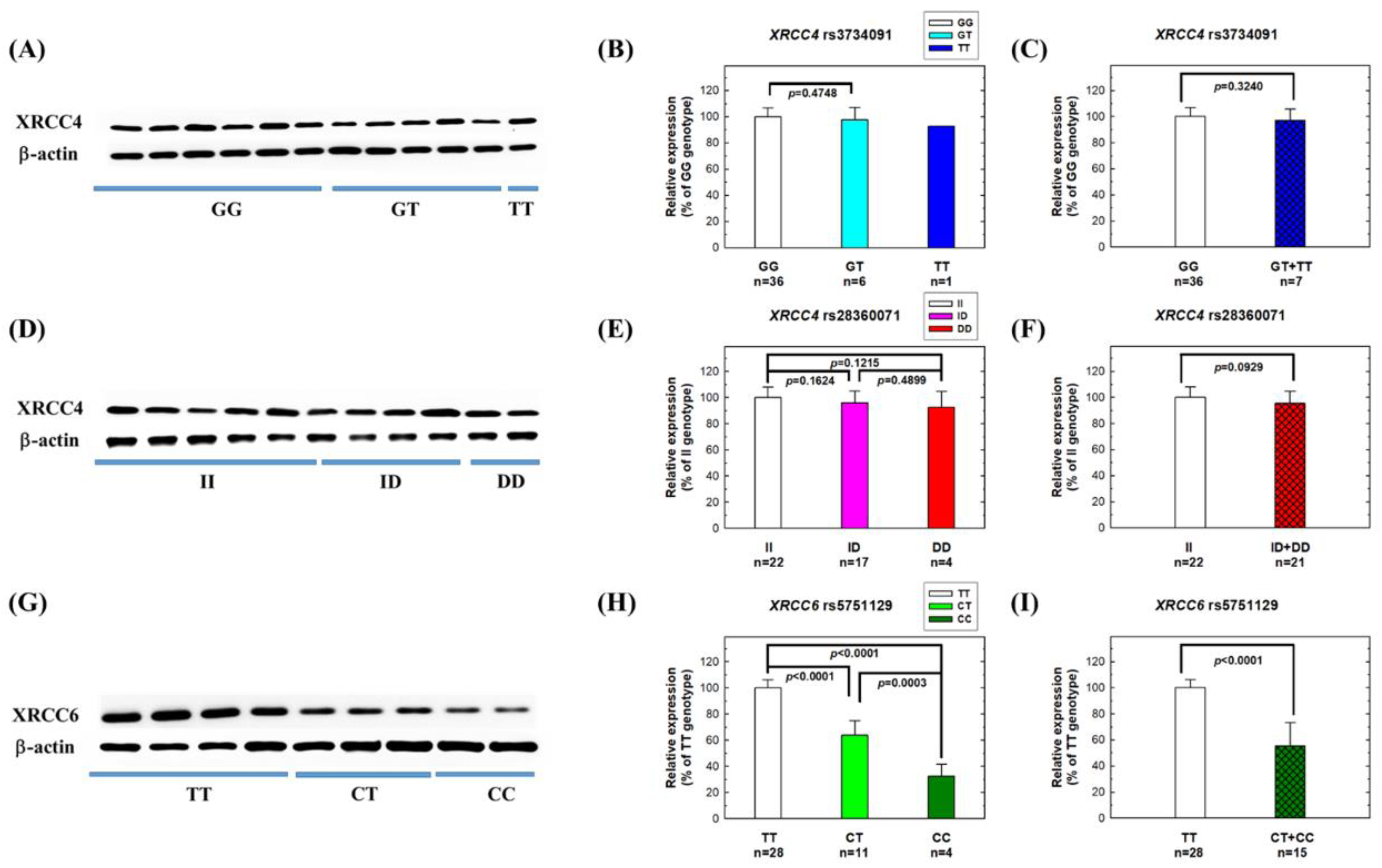
The adjacent normal tissues were homogenized in radio-immunoprecipitation assay (RIPA) lysis buffer obtained from Upstate Biotechnology Inc. (Lake Placid, NY, USA). The homogenates were then centrifuged at 10,000× g for 30 min at 4 °C, and the supernatants were used for Western blotting, as previously published [12]. Briefly, samples were denatured at 95 °C for 10 min and then separated on a 10% sodium dodecyl sulfate polyacrylamide gel electrophoresis (SDS-PAGE) gel. The separated proteins were transferred to a nitrocellulose membrane (BioRad Laboratories, Hercules, CA, USA). The membrane was blocked with 5% non-fat milk and incubated at 4 °C overnight with mouse monoclonal anti-human XRCC4 and XRCC6 antibodies (1:1000; BD Transduction Laboratories; BD Biosciences, Franklin Lakes, NJ, USA). The membrane was then incubated with the corresponding horseradish peroxidase-conjugated goat anti-mouse IgG secondary antibody (Chemicon, Temecula, CA, USA) at room temperature for 1 h. After the reaction with enhanced chemiluminescence (ECL) solution (Amersham, Arlington Heights, IL, USA), the bound antibody was visualized using a chemiluminescence imaging system (Syngene, Cambridge, UK). Finally, the blots were incubated at 56 °C for 18 min in stripping buffer (0.0626 M Tris–HCl, pH 6.7, 2% SDS, 0.1 M mercaptoethanol) and re-probed with a monoclonal mouse anti-beta-actin antibody (Sigma, St. Louis, MO, USA) as the loading control. The optical density of each specific band was measured using a computer-assisted imaging analysis system (GeneTools Match software; Syngene).
2.5. NHEJ Capacity of Peripheral Blood Lymphocytes from NPC Patients
To investigate the potential involvement of NHEJ in NPC development, we assessed the NHEJ capacity of peripheral blood lymphocytes established from the 43 NPC patients and correlated with risk genotypes [20,21]. Briefly, a plasmid pGL3 (Promega, Madison, WI, USA) was linearized using an EcoRI restriction enzyme and used for transfection into lymphocytes with various NHEJ genotypes using Lipofectamine 2000 (Invitrogen). After 48 h, the transfectants were harvested and assayed for luciferase activity, as previously described [20,21].
As for the neutral comet assay, peripheral blood lymphocytes were exposed to 100 μM of H2O2, post-incubated for 30 min or 24 h, trypsinized, washed, and re-suspended in ice-cold phosphate-buffered saline. Then, 10 μL of the cell suspension was embedded in the middle layer of 80–100−100 μL 3-layer low-melting-point agarose, and dried slides that were submersed for 1 h in the ice-cooled lysis buffer (2.5 M NaCl, 100 mM EDTA, 10 mM Tris–HCl, 1% Triton and 1% Na-laurylsarcosine, pH = 7.5). Slides were denatured and equilibrated for 30 min in the running buffer (90 mM Tris, 90 mM boric acid, 2 mM EDTA, pH = 7.5). Following the denaturation step, slides were electrophoresed at 0.8 V/cm for 25 min at 4 °C. Then, the slides were rinsed in ddH2O, fixed in 100% ethanol, and stained with 12.5 μL of 200X SYBR Green I.
The differences between the comet moment for the same patients with 30 min-treated or 24 h-treated H2O2 were calculated. Individual double-strand break repair capacity was defined by the formula: (Comet moment 30 min − Comet moment 24 h)/Comet moment 30 min × 100%. The average for all the wild-type samples was set as 100% of the relative double-strand break repair capacity for the normalized comparisons of various genotypes.
2.6. Statistical Analysis Methodology
To verify that the controls were representative of the general population, the Hardy–Weinberg equilibrium was assessed using the goodness-of-fit test to determine the deviation of the genotype frequencies in the control group. The unpaired Student’s t-test was employed to compare the mean ages between the case and control groups. Pearson’s Chi-square test with Yates’ correction or Fisher’s exact test (when the number was less than 5) was used to compare the distribution of genotypes among subgroups. The comparisons of quantitative mRNA levels, protein levels, and NHEJ capacities between subgroups were performed using the unpaired Student’s t-test. A p-value of less than 0.05 was considered significant for all data. The odds ratios (ORs) and 95% confidence intervals (CIs) for NPC risk associated with genotypes were estimated using logistic regression.
3. Results
3.1. Demographic and Clinical Characteristics of Cases and Controls
Table 2 presents the frequency distributions of selected characteristics for the 208 NPC cases and 416 cancer-free controls. The controls were selected using frequency-matching, resulting in comparable distributions of gender and age between the cases and controls. Furthermore, the cases showed similar rates of smoking (40.9% vs. 38.0%, p = 0.5422), alcohol consumption (45.9% vs. 40.4%, p = 0.2399), and betel quid use (38.6% vs. 37.5%, p = 0.8840) when compared to the cancer-free controls (Table 2).
Table 2.
Distributions of selected characteristics of the cases and controls.
3.2. NPC Risk Associated with Individual NHEJ Genotypes
Table 3 summarizes the distributions of NHEJ genotypes and their associations with NPC risk, including XRCC4 (rs6869366, rs3734091, rs28360071, rs28360317, rs1805377), XRCC5 (rs828907, rs11685387, rs9288518), XRCC6 (rs5751129, rs2267437, rs132770, rs132774), XRCC7 rs7003908, and Ligase4 rs1805388 genotypes, among NPC patients and controls. Significant associations with NPC risk were observed for three polymorphic sites.
Table 3.
Distributions of NHEJ genotypes among the NPC patients and controls and the associations of genotypes with NPC risk.
First, for the XRCC4 rs3734091 SNP, the controls had a frequency of 93.5% for the GG genotype, 6.3% for the GT genotype, and 0.2% for the TT genotype, whereas the NPC patients had a frequency of 87.5% for the GG, 11.1% for the GT, and 1.4% for the TT genotypes, respectively (Table 3). In logistic regression analyses, it was found that carriers of the heterozygous variant GT genotype had a significantly higher risk of NPC (OR = 1.89, 95%CI = 1.05–3.40, p = 0.0303), while the OR for carriers of the homozygous variant TT genotype was 4.27 (p for trend = 0.0465). In the dominant model, carriers of the GT + TT genotypes exhibited over a 2-fold increased risk of NPC (OR = 2.06, 95%CI = 1.17–3.63, p = 0.0170) compared to those with the wild-type GG genotype.
Second, for the XRCC4 rs28360071 insertion/deletion (I/D) polymorphism, the frequency of II, ID, and DD genotypes was 67.3%, 28.6%, and 4.1% among the controls, and 54.8%, 37.0%, and 8.2% among the patients, respectively (Table 3). Carriers of the heterozygous variant ID and the homozygous variant DD genotypes had progressively increased risks of NPC with an OR of 1.59 (95% CI = 1.11–2.28) and 2.46 (95% CI = 1.21–4.98), respectively, compared to those with the wild-type II genotype (p for trend = 0.0045). In the dominant model, individuals carrying the ID + DD genotypes had a 1.7-fold (OR = 1.70, 95%CI = 1.21–2.39, p = 0.003) increased risk of NPC when compared to those with the II genotype.
Third, for the XRCC6 rs5751129 SNP, the frequency of TT, CT, and CC genotypes was 80.5%, 17.6%, and 1.9% among the controls, and 67.8%, 26.4%, and 5.8% among the patients, respectively (p for trend = 0.0006, Table 3). Individuals carrying the heterozygous variant CT and homozygous variant CC genotypes exhibited progressively increased risks of NPC (OR = 1.79 and 3.56, 95% CI = 1.20–2.67 and 1.43–8.91, respectively) (p for trend = 0.0006). In the dominant model, carriers of the CT + CC genotypes had a nearly 2-fold increased risk of NPC (OR = 1.97, 95%CI = 1.35–2.87, p = 0.0006) compared to those with the TT genotype.
3.3. Combined Effects of NHEJ Genotypes on NPC Risk
We then examined the combined effects of the above three risk genotypes on the NPC risk (Table 4). The results showed that individuals carrying one risk genotype had a 2.49-fold increased risk (OR = 2.49, 95% CI = 1.69–3.67), those carrying two risk genotypes had a 1.98-fold increased risk (OR = 1.98, 95% CI = 1.24–3.16), while those carrying all three risk genotypes had a 6.28-fold higher risk of NPC (OR = 6.28, 95% CI = 1.84–21.43), although this risk estimate may be inflated due to the small numbers of subjects.
Table 4.
Combined effects of NHEJ genotypes on NPC risk.
3.4. Genotype–Phenotype Correlation Analyses
Next, we investigated the potential correlations between risk genotypes of XRCC4 and XRCC6 and their corresponding mRNA and protein expression levels. Among the 43 NPC patients, 36 had GG genotypes, 6 had GT genotypes, and only 1 had TT genotypes at XRCC4 rs3734091. There appeared to be reduced XRCC4 mRNA (Figure 2B) and protein (Figure 3C) levels in patients with the risk genotypes (GT + TT), but the difference did not reach statistical difference (p = 0.1159 and 0.3240 for mRNA and protein, respectively), likely due to the small number of variant genotypes. Similarly, for XRCC4 rs3734071, among the 43 NPC patients, 22 had II, 17 had ID, and 4 had DD genotypes, and there was a trend of reduced mRNA and protein expression levels in patients with the risk genotypes (ID + DD) compared to those with the wild-type II genotype (p = 0.1270 for mRNA comparison, Figure 2D, and p = 0.0929 for protein comparison, Figure 3F).
Figure 2.
mRNA expression of XRCC4 and XRCC6 genes in adjacent normal tissues from NPC patients with different genotypes at three polymorphic sites: (A,B) XRCC4 rs3734091, (C,D) XRCC4 rs28360071, and (E,F) XRCC6 rs5751129. The fold changes in expression were normalized using the GAPDH expression levels, and each assay was performed in triplicate.
Figure 3.
Protein expression levels of XRCC4 and XRCC6 in adjacent normal tissues from NPC patients with different genotypes at three polymorphic sites: (A–C) XRCC4 rs3734091, (D–F) XRCC4 rs28360071, and (G–I) XRCC6 rs5751129. Western blot images of proteins in tissues with different genotypes are presented in panels (A,D,G). Panels (B,C,E,F,H,I) show the fold changes of XRCC4 or XRCC6 protein, normalized to β-actin, in different risk genotypes as compared to the wild-type genotypes.
Most notably, for XRCC6 rs5751129, the levels of mRNA and protein were significantly lower in patients carrying one risk allele (CT) (n = 11), and the lowest in patients carrying two risk alleles (CC) (n = 4), compared to those with the wild-type TT genotype (n = 28) (Figure 2E and Figure 3H). When we combined the risk genotypes (CT and CC) and compared them with the wild-type TT genotype, carriers of the risk genotypes had remarkably reduced mRNA and protein levels compared to those with the wild-type genotype (p < 0.0001 for both mRNA and protein, Figure 2F and Figure 3I).
3.5. Effects of Risk XRCC4 and XRCC6 Genotypes on NHEJ Repair Capacity
Finally, we investigated the impact of risk XRCC4 and XRCC6 genotypes on the NHEJ repair capacity using peripheral blood lymphocytes from 43 NPC patients. No significant difference in NHEJ repair capacity was observed for those carrying various genotypes at the XRCC4 rs3734091 or rs28360071 sites (Figure 4A,B). However, individuals with the risk genotypes (CT or CC) at XRCC6 rs5751129 exhibited a significantly lower NHEJ repair capacity than those with the wild-type TT genotype (Figure 4C). No significant associations were observed between XRCC4 genotypes and the DSB repair capacity, as measured by the neutral comet assay, but XRCC6 rs5751129 genotypes were associated with the DSB repair capacity. The variant CT and TT genotypes had a lower DSB repair capacity than the wild-type CC genotype (p = 0.0547 and 0.0450, respectively) (Figure 5).
Figure 4.
NHEJ repair capacity in peripheral blood lymphocytes from NPC patients with different genotypes at three polymorphic sites: (A) XRCC4 rs3734091, (B) XRCC4 rs28360071, and (C) XRCC6 rs5751129. The host-cell reactivation assay was conducted in peripheral blood lymphocytes from NPC patients using a luciferase reporter plasmid.
Figure 5.
NHEJ repair capacity in peripheral blood lymphocytes by using the neutral comet assay from NPC patients with different genotypes at three polymorphic sites: (A) XRCC4 rs3734091, (B) XRCC4 rs28360071, and (C) XRCC6 rs5751129.
4. Discussion
Although NHEJ defects contribute to NPC pathogenesis, there have been few comprehensive evaluations of the NHEJ pathway in NPC patients using clinical samples. Genetic variations in specific NHEJ genes may be associated with altered risks of NPC. In 2015, we first reported the association of XRCC6 rs5751129 with NPC risk in a small pilot study [12]. In that same study, we also measured XRCC6 mRNA and protein expression in 20 clinical samples. In this current study, we recruited a larger population (416 cases and 208 controls) and extended the investigation to 14 polymorphic sites in the 5 most important NHEJ genes. In addition to validating the significant role of XRCC6 rs5751129 genotypes in NPC, we also provided more compelling evidence of the genotype–phenotype correlation for this SNP (Figure 2, Figure 3 and Figure 4). Additionally, we found that XRCC4 rs3734091 or rs28360071 are novel NPC susceptibility loci (Table 3). There was no significant association for the other 11 investigated NHEJ polymorphic sites.
The roles of individual NHEJ genes in NPC etiology are not well-understood. In the current study, we found that at least two genes, XRCC4 and XRCC6, are associated with NPC etiology. Although the impact of rs3734091 and rs28360071 on XRCC4 function in NPC patients is not yet fully understood, our mRNA and protein expression data suggest that these variants may have subtle effects on XRCC4 expression. XRCC4 forms a heterodimer with Ligase4 protein in the final NHEJ rejoining step [22]. XRCC4 enhances Ligase4 activity and acts as a bridge, linking Ligase4 to other NHEJ proteins, such as DNA-PK [23]. XRCC6 protein can form a heterodimer with XRCC5 protein or exist independently [24]. Our phenotypic data indicate that individuals carrying the variant genotypes (CT and CC) at XRCC6 rs5751129, a SNP in the promoter region, had remarkably reduced expression levels of both mRNA and protein, resulting in a significantly lower NHEJ repair capacity, which could explain the increased NPC risk conferred by the variant genotypes. Furthermore, multiple risk alleles in NHEJ genes, such as XRCC4 and XRCC6, can act synergistically to elevate a person’s risk of NPC (Table 4).
The lack of significant associations between NPC risk and other NHEJ genes, such as XRCC5, XRCC7, and Ligase4, does not mean that these genes are not involved in NPC etiology. These SNPs may not affect gene function and there might be other polymorphic sites on these genes that impact NPC risk. Further studies are needed to investigate other polymorphic sites and the biological interactions among the complex NHEJ machinery. On the other hand, although NHEJ is the major and “default” pathway for repairing DSB in mammalian cells, there is cross-talk, competition, and compensation between NHEJ and HR. When NHEJ is inhibited, HR can increase to compensate DSB activity [25]. Therefore, if one of the NHEJ genes has a genetic variant that causes subtle NHEJ function changes, it may not be detectable in our in vitro assays since they are not specifically measuring NHEJ activity. This may explain the lack of significant associations between XRCC4 genotypes and the DNA repair capacity.
No significant interaction was observed between age, gender, smoking, alcohol drinking, and betel quid chewing and NHEJ genotypes on NPC susceptibility (supplementary Tables S1–S3). This could be attributed to the limited sample size and lack of statistical power for the interaction analysis. Additionally, the DNA damages caused by these lifestyle factors are mainly not double-strand breaks and thus are not repaired primarily by the NHEJ pathway.
NHEJ deficiency may not only be involved in NPC etiology but also have important clinical implications. Targeting the DNA repair pathway can enhance the efficacy of DNA-damaging therapy (e.g., chemotherapy and radiotherapy) [26]. In particular, radiotherapy is the primary treatment for patients with NPC, and approximately 20% of patients’ experience treatment failure due to tumor radio-resistance. NHEJ-impaired patients, for example, those with the variant genotypes of XRCC6 rs5751129, may be more sensitive to radiotherapy, and agents and molecules that target NHEJ pathway proteins have been explored to enhance radiosensitivity and suppress radio-resistance [27,28]. Modulating the NHEJ pathway has significant clinical potential in NPC.
The present study has a few limitations. First, the sample size is limited for stratified and interaction analyses, especially for those polymorphisms with low variant genotype frequencies. Additionally, the use of adjacent normal tissues from only 43 NPC patients resulted in very few patients with a homozygous variant genotype, which hindered our ability to detect significant differences in mRNA and protein expressions, as well as NHEJ capacity, among patients with various genotypes. Second, since information on virus infection (e.g., Epstein–Barr virus and human papillomavirus) was not available, we were not able to adjust for this risk factor for NPC. Third, we were not able to assess the prognostic roles of these polymorphisms because the follow-up data on the survival status of NPC patients were insufficient. Finally, the generalizability of our findings to other populations needs to be validated by other populations.
In summary, our results suggested that genetic polymorphisms in XRCC4 and XRCC6 are associated with increased risks of NPC. Furthermore, individuals with lower mRNA and protein levels of XRCC4 and XRCC6 may have a lower NHEJ capacity and a higher risk of developing NPC.
Supplementary Materials
The following supporting information can be downloaded at: https://www.mdpi.com/article/10.3390/biomedicines11061648/s1, Table S1: Associations between XRCC4 rs3734091 genotypes and NPC risk in stratified analyses; Table S2: Associations between XRCC4 rs28360071 genotypes and NPC risk in stratified analyses; Table S3: Associations between XRCC6 rs5751129 genotypes and NPC risk in stratified analyses.
Author Contributions
Conceptualization, J.G., C.-W.T. and D.-T.B.; patient and questionnaire collections, L.-C.S. and C.-L.H.; investigation, W.-S.C., Y.-C.W. and C.-W.T.; data curation, W.-S.C., Y.-C.W. and J.-L.H.; methodology, L.-C.S., C.-L.H. and D.-T.B.; statistics, T.-C.H., J.-L.H. and C.-W.T.; project administration, J.G. and D.-T.B.; supervision, D.-T.B. and C.-W.T.; validation, W.-S.C.; writing—original draft, J.G. and D.-T.B.; writing—review and editing, J.G. and D.-T.B. All authors have read and agreed to the published version of the manuscript.
Funding
This research was primarily funded by Asia University and China Medical University (CMU111-ASIA-01 and DMR-112-130).
Institutional Review Board Statement
The study was conducted in accordance with the Declaration of Helsinki and approved by the Institutional Review Board of China Medical University Hospital (DMR101-IRB1-306).
Informed Consent Statement
Informed consent was obtained from all subjects involved in the study.
Data Availability Statement
The genotyping results and clinical data supporting the findings of this study are available from the corresponding authors upon reasonable requests via email at artbau2@gmail.com.
Acknowledgments
The authors would like to thank the Tissue-Bank of China Medical University Hospital for their excellent technical assistance, as well as all the study participants, doctors, nurses, and colleagues involved in this study. Special thanks are also extended to Yu-Hsin Lin and Yu-Ting Chin for their excellent techniques and efforts.
Conflicts of Interest
The authors declare no conflict of interest.
References
- Bray, F.; Ferlay, J.; Soerjomataram, I.; Siegel, R.L.; Torre, L.A.; Jemal, A. Global cancer statistics 2018: GLOBOCAN estimates of incidence and mortality worldwide for 36 cancers in 185 countries. CA Cancer J. Clin. 2018, 68, 394–424. [Google Scholar] [PubMed]
- Zhang, Y.; Cao, Y.; Luo, L.; Li, J.; Wang, L.; Lu, Y.; Gu, S.; Deng, H.; Shen, Z. The global, regional, and national burden of nasopharyngeal carcinoma and its attributable risk factors in 204 countries and territories, 1990–2019. Acta Otolaryngol. 2022, 142, 590–609. [Google Scholar] [CrossRef] [PubMed]
- Bai, R.; Sun, J.; Xu, Y.; Sun, Z.; Zhao, X. Incidence and mortality trends of nasopharynx cancer from 1990 to 2019 in China: An age-period-cohort analysis. BMC Public Health 2022, 22, 1351. [Google Scholar] [CrossRef] [PubMed]
- Tang, L.; Li, L.; Mao, Y.; Liu, L.; Liang, S.; Chen, Y.; Sun, Y.; Liao, X.; Tian, L.; Lin, A.; et al. Retropharyngeal lymph node metastasis in nasopharyngeal carcinoma detected by magnetic resonance imaging: Prognostic value and staging categories. Cancer 2008, 113, 347–354. [Google Scholar] [CrossRef]
- Li, J.; Jiang, R.; Liu, W.S.; Liu, Q.; Xu, M.; Feng, Q.S.; Chen, L.Z.; Bei, J.X.; Chen, M.Y.; Zeng, Y.X. A large cohort study reveals the association of elevated peripheral blood lymphocyte-to-monocyte ratio with favorable prognosis in nasopharyngeal carcinoma. PLoS ONE 2013, 8, e83069. [Google Scholar] [CrossRef] [PubMed]
- Wei, W.I.; Mok, V.W. The management of neck metastases in nasopharyngeal cancer. Curr. Opin. Otolaryngol. Head Neck Surg. 2007, 15, 99–102. [Google Scholar] [CrossRef]
- Lee, A.W.; Lau, W.H.; Tung, S.Y.; Chua, D.T.; Chappell, R.; Xu, L.; Siu, L.; Sze, W.M.; Leung, T.W.; Sham, J.S.; et al. Preliminary results of a randomized study on therapeutic gain by concurrent chemotherapy for regionally-advanced nasopharyngeal carcinoma: NPC-9901 Trial by the Hong Kong Nasopharyngeal Cancer Study Group. J. Clin. Oncol. 2005, 23, 6966–6975. [Google Scholar] [CrossRef] [PubMed]
- Karran, P. DNA double strand break repair in mammalian cells. Curr. Opin. Genet. Dev. 2000, 10, 144–150. [Google Scholar]
- Valerie, K.; Povirk, L.F. Regulation and mechanisms of mammalian double-strand break repair. Oncogene 2003, 22, 5792–5812. [Google Scholar] [CrossRef]
- Lieber, M.R. The mechanism of double-strand DNA break repair by the nonhomologous DNA end-joining pathway. Annu. Rev. Biochem. 2010, 79, 181–211. [Google Scholar] [CrossRef]
- Sipley, J.D.; Menninger, J.C.; Hartley, K.O.; Ward, D.C.; Jackson, S.P.; Anderson, C.W. Gene for the catalytic subunit of the human DNA-activated protein kinase maps to the site of the XRCC7 gene on chromosome 8. Proc. Natl. Acad. Sci. USA 1995, 92, 7515–7519. [Google Scholar] [CrossRef] [PubMed]
- Huang, C.Y.; Tsai, C.W.; Hsu, C.M.; Shih, L.C.; Chang, W.S.; Shui, H.A.; Bau, D.T. The role of XRCC6/Ku70 in nasopharyngeal carcinoma. Int. J. Oral Maxillofac. Surg. 2015, 44, 1480–1485. [Google Scholar] [CrossRef] [PubMed]
- Shih, L.C.; Tsai, C.W.; Chang, W.S.; Shen, T.C.; Wang, Y.C.; Yang, J.S.; Lin, M.L.; Wang, Z.H.; Bau, D.T. Association of Caspase-8 Genotypes with the Risk for Nasopharyngeal Carcinoma in Taiwan. Anticancer Res. 2020, 40, 5503–5508. [Google Scholar] [CrossRef]
- Yang, M.D.; Lin, K.C.; Lu, M.C.; Jeng, L.B.; Hsiao, C.L.; Yueh, T.C.; Fu, C.K.; Li, H.T.; Yen, S.T.; Lin, C.W.; et al. Contribution of matrix metalloproteinases-1 genotypes to gastric cancer susceptibility in Taiwan. Biomedicine 2017, 7, 10. [Google Scholar] [CrossRef] [PubMed]
- Tseng, H.C.; Tsai, M.H.; Chiu, C.F.; Wang, C.H.; Chang, N.W.; Huang, C.Y.; Tsai, C.W.; Liang, S.Y.; Wang, C.L.; Bau, D.T. Association of XRCC4 codon 247 polymorphism with oral cancer susceptibility in Taiwan. Anticancer Res. 2008, 28, 1687–1691. [Google Scholar] [PubMed]
- Chiu, C.F.; Tsai, M.H.; Tseng, H.C.; Wang, C.L.; Wang, C.H.; Wu, C.N.; Lin, C.C.; Bau, D.T. A novel single nucleotide polymorphism in XRCC4 gene is associated with oral cancer susceptibility in Taiwanese patients. Oral Oncol. 2008, 44, 898–902. [Google Scholar] [CrossRef] [PubMed]
- Hsu, C.F.; Tseng, H.C.; Chiu, C.F.; Liang, S.Y.; Tsai, C.W.; Tsai, M.H.; Bau, D.T. Association between DNA double strand break gene Ku80 polymorphisms and oral cancer susceptibility. Oral Oncol. 2009, 45, 789–793. [Google Scholar] [CrossRef]
- Hsia, T.C.; Chang, W.S.; Chen, W.C.; Liang, S.J.; Tu, C.Y.; Chen, H.J.; Liang, J.A.; Tsai, C.W.; Hsu, C.M.; Tsai, C.H.; et al. Genotype of DNA double-strand break repair gene XRCC7 is associated with lung cancer risk in Taiwan males and smokers. Anticancer Res. 2014, 34, 7001–7005. [Google Scholar]
- Yin, M.; Liao, Z.; Liu, Z.; Wang, L.E.; O’Reilly, M.; Gomez, D.; Li, M.; Komaki, R.; Wei, Q. Genetic variants of the nonhomologous end joining gene LIG4 and severe radiation pneumonitis in nonsmall cell lung cancer patients treated with definitive radiotherapy. Cancer 2012, 118, 528–535. [Google Scholar] [CrossRef]
- Bau, D.T.; Fu, Y.P.; Chen, S.T.; Cheng, T.C.; Yu, J.C.; Wu, P.E.; Shen, C.Y. Breast cancer risk and the DNA double-strand break end-joining capacity of nonhomologous end-joining genes are affected by BRCA1. Cancer Res. 2004, 64, 5013–5019. [Google Scholar] [CrossRef]
- Bau, D.T.; Mau, Y.C.; Ding, S.L.; Wu, P.E.; Shen, C.Y. DNA double-strand break repair capacity and risk of breast cancer. Carcinogenesis 2007, 28, 1726–1730. [Google Scholar] [CrossRef] [PubMed]
- Critchlow, S.E.; Bowater, R.P.; Jackson, S.P. Mammalian DNA double-strand break repair protein XRCC4 interacts with DNA ligase IV. Curr. Biol. 1997, 7, 588–598. [Google Scholar] [CrossRef] [PubMed]
- Leber, R.; Wise, T.W.; Mizuta, R.; Meek, K. The XRCC4 gene product is a target for and interacts with the DNA-dependent protein kinase. J. Biol. Chem. 1998, 273, 1794–1801. [Google Scholar] [CrossRef] [PubMed]
- Wang, J.; Dong, X.; Myung, K.; Hendrickson, E.A.; Reeves, W.H. Identification of two domains of the p70 Ku protein mediating dimerization with p80 and DNA binding. J. Biol. Chem. 1998, 273, 842–848. [Google Scholar] [CrossRef] [PubMed]
- van de Kooij, B.; Kruswick, A.; van Attikum, H.; Yaffe, M.B. Multi-pathway DNA-repair reporters reveal competition between end-joining, single-strand annealing and homologous recombination at Cas9-induced DNA double-strand breaks. Nat. Commun. 2022, 13, 5295. [Google Scholar] [CrossRef]
- Papalouka, C.; Adamaki, M.; Batsaki, P.; Zoumpourlis, P.; Tsintarakis, A.; Goulielmaki, M.; Fortis, S.P.; Baxevanis, C.N.; Zoumpourlis, V. DNA Damage Response Mechanisms in Head and Neck Cancer: Significant Implications for Therapy and Survival. Int. J. Mol. Sci. 2023, 24, 2760. [Google Scholar] [CrossRef]
- Schotz, U.; Balzer, V.; Brandt, F.W.; Ziemann, F.; Subtil, F.S.B.; Rieckmann, T.; Kocher, S.; Engenhart-Cabillic, R.; Dikomey, E.; Wittig, A.; et al. Dual PI3K/mTOR Inhibitor NVP-BEZ235 Enhances Radiosensitivity of Head and Neck Squamous Cell Carcinoma (HNSCC) Cell Lines Due to Suppressed Double-Strand Break (DSB) Repair by Non-Homologous End Joining. Cancers 2020, 12, 467. [Google Scholar] [CrossRef]
- Guo, Z.; Wang, Y.H.; Xu, H.; Yuan, C.S.; Zhou, H.H.; Huang, W.H.; Wang, H.; Zhang, W. LncRNA linc00312 suppresses radiotherapy resistance by targeting DNA-PKcs and impairing DNA damage repair in nasopharyngeal carcinoma. Cell Death Dis. 2021, 12, 69. [Google Scholar] [CrossRef]
Disclaimer/Publisher’s Note: The statements, opinions and data contained in all publications are solely those of the individual author(s) and contributor(s) and not of MDPI and/or the editor(s). MDPI and/or the editor(s) disclaim responsibility for any injury to people or property resulting from any ideas, methods, instructions or products referred to in the content. |
© 2023 by the authors. Licensee MDPI, Basel, Switzerland. This article is an open access article distributed under the terms and conditions of the Creative Commons Attribution (CC BY) license (https://creativecommons.org/licenses/by/4.0/).




