Oral Lesions as the Primary Manifestations of Behçet’s Disease: The Importance of Interdisciplinary Diagnostics—A Case Report
Abstract
1. Introduction
| Primary Findings | Characteristic Features | 
|---|---|
| Mucocutaneous lesions | Recurrent oral ulcerations. Recurrent genital ulcerations (aphthous, ‘herpetiform’). Cutaneous lesions: papulopustular lesions, nodosum-like lesions, pseudofolliculitis, erythema nodosum, acneiform nodules. Ocular lesions: uveitis, retinal vasculitis, cells in vitreum. Thrombophlebitis. Positive pathergy test. | 
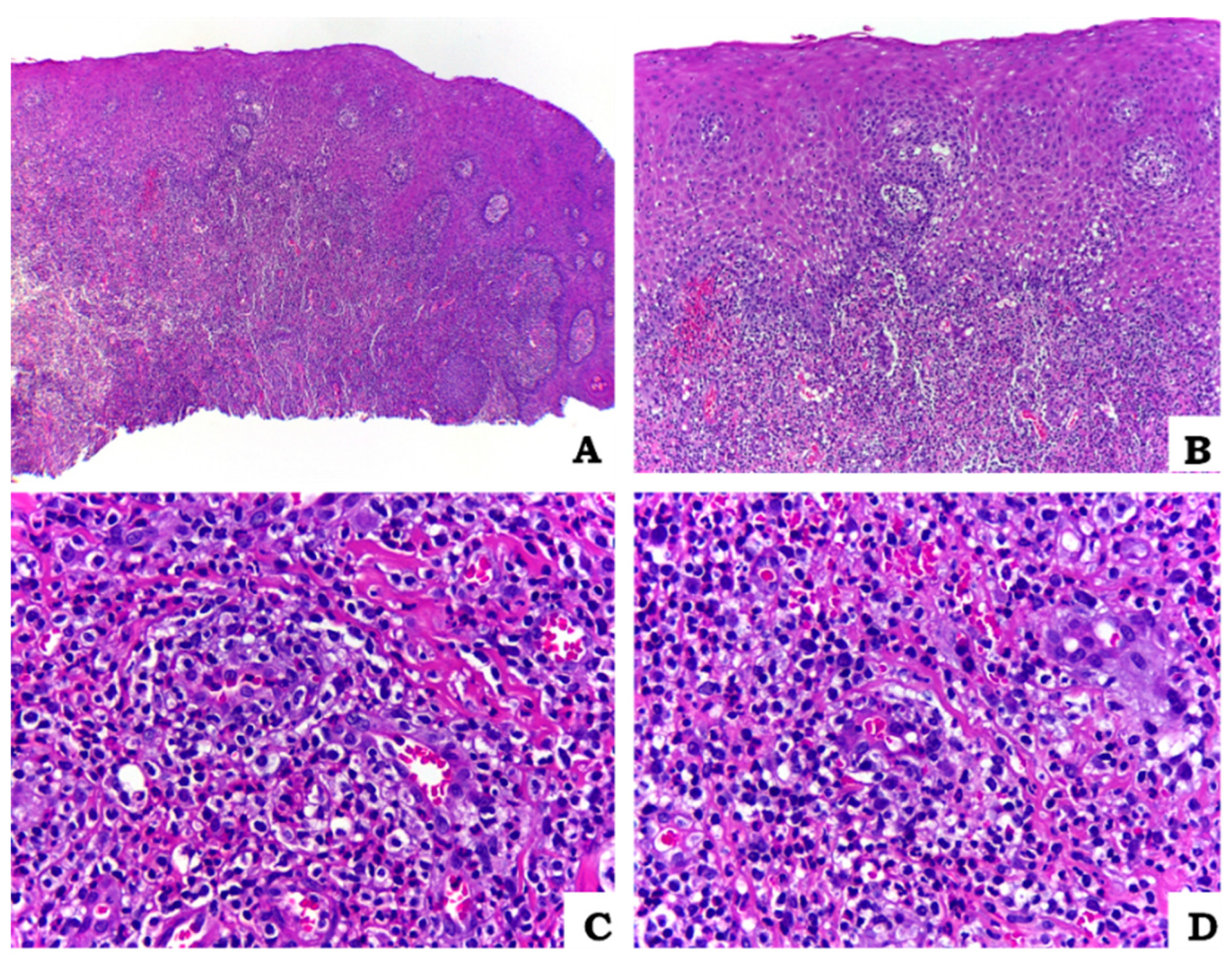
| Histopathological features and findings | Inflammatory infiltration of lymphocytes, macrophages, neutrophils at the base of ulcer, sometimes penetrating epidermidis. Infiltrate in perivascular regions. Neutrophil/lymphocyte exocytosis. Ulceration of epithelium. Inflammatory infiltrate with connective tissue. Vasculitis: neutrophilic vasculitis, lymphocytic vasculitis. Necrobiosis. Basal keratinocyte vacuolization. Oedema in dermis. Areas of microhemorrhages, congested vessels. Granular IgM and C3 deposits in dermoepidermal junction and in perivascular regions. IgM deposits at the vessel’s walls. Perivascular infiltrate of mononuclear cells. Presence of mast cells. Intraepidermal pustules. Spongiosis. | 
2. Patient Information, Oral Manifestations, Diagnosis, and Therapy
2.1. Clinical Findings
2.2. Additional Diagnostic Tests; Histopathological Assessment and HLA Genetic Profiling
2.3. Therapeutic Intervention, Follow-Up and Outcome
3. Discussion
Implications and Future Perspectives
4. Conclusions
Author Contributions
Funding
Institutional Review Board Statement
Informed Consent Statement
Data Availability Statement
Conflicts of Interest
References
- Adil, A.; Goyal, A.; Quint, J.M. Behcet Disease. In StatPearls [Internet]; StatPearls Publishing: Treasure Island, FL, USA, 2022. [Google Scholar]
- Nair, J.R.; Moots, R.J. Behcet’s disease. Clin. Med. 2017, 17, 71–77. [Google Scholar] [CrossRef] [PubMed]
- Behcet, H. Über rezidivierende, aphthöse, durch ein virus verursachte Geschwüre am Mund, am Auge und an den Genitalien. Dermatol. Wochenschr. 1937, 105, 1152–1157. [Google Scholar]
- Ali, S.; Nagieb, C.S.; Fayed, H.L. Effect of Behcet’s disease-associated oral ulcers on oral health related quality of life. Spec. Care. Dentist. 2022, 1–8. [Google Scholar] [CrossRef]
- Davatchi, F.; Chams-Davatchi, C.; Shams, H.; Shahram, F.; Nadji, A.; Akhlaghi, M.; Faezi, T.; Ghodsi, Z.; Sadeghi Abdollahi, B.; Ashofteh, F.; et al. Behcet’s disease: Epidemiology, clinical manifestations, and diagnosis. Expert Rev. Clin. Immunol. 2017, 13, 57–65. [Google Scholar] [CrossRef]
- Greco, A.; De Virgilio, A.; Ralli, M.; Ciofalo, A.; Mancini, P.; Attanasio, G.; de Vincentiis, M.; Lambiase, A. Behçet’s disease: New insights into pathophysiology, clinical features and treatment options. Autoimmun. Rev. 2018, 17, 567–575. [Google Scholar] [CrossRef]
- McGonagle, D.; Aydin, S.Z.; Gül, A.; Mahr, A.; Direskeneli, H. ‘MHC-I-opathy’—Unified concept for spondyloarthritis and Behçet disease. Nat. Rev. Rheumatol. 2015, 11, 731–740. [Google Scholar] [CrossRef]
- Giza, M.; Koftori, D.; Chen, L.; Bowness, P. Is Behçet’s disease a ‘class 1-opathy’? The role of HLA-B*51 in the pathogenesis of Behçet’s disease. Clin. Exp. Immunol. 2018, 191, 11–18. [Google Scholar] [CrossRef]
- Pineton de Chambrun, M.; Wechsler, B.; Geri, G.; Cacoub, P.; Saadoun, D. New insights into the pathogenesis of Behçet’s disease. Autoimmun. Rev. 2012, 11, 687–698. [Google Scholar] [CrossRef] [PubMed]
- Kapsimali, V.D.; Kanakis, M.A.; Vaiopoulos, G.A.; Kaklamanis, P.G. Etiopathogenesis of Behçet’s disease with emphasis on the role of immunological abberations. Clin. Rheumatol. 2010, 29, 1211–1216. [Google Scholar] [CrossRef]
- Rodríguez-Carrio, J.; Nucera, V.; Masala, I.F.; Atzeni, F. Behçet disease: From pathogenesis to novel therapeutic options. Pharmacol. Res. 2021, 167, 105593. [Google Scholar] [CrossRef]
- Hatemi, G.; Seyahi, E.; Fresko, I.; Talarico, R.; Uçar, D.; Hamuryudan, V. Behçet’s syndrome: One year in review 2022. Clin. Exp. Rheumatol. 2022, 40, 1461–1471. [Google Scholar] [CrossRef] [PubMed]
- Takeuchi, M.; Kastner, D.L.; Remmers, E.F. The immunogenetics of Behçet’s disease: A comprehensive review. J. Autoimmun. 2015, 64, 137–148. [Google Scholar] [CrossRef] [PubMed]
- Salmaninejad, A.; Zamani, M.R.; Shabgah, A.G.; Hosseini, S.; Mollaei, F.; Hosseini, N.; Sahebkar, A. Behçet’s disease: An immunogenetic perspective. J. Cell Physiol. 2019, 234, 8055–8074. [Google Scholar] [CrossRef] [PubMed]
- Wakefield, D.; Cunningham, E.T., Jr.; Tugal-Tutkun, I.; Khairallah, M.; Ohno, S.; Zierhut, M. Controversies in Behçet disease. Ocul. Immunol. Inflamm. 2012, 20, 6–11. [Google Scholar] [CrossRef]
- Ni Mhuircheartaigh, O.; Hunt, C.; Huang, J.; Kumar, N.; Matteson, E.L. Diagnostic dilemma in CNS Behcet’s disease. BMJ Case Rep. 2012, 2012, bcr2012006610. [Google Scholar] [CrossRef]
- Skef, W.; Hamilton, M.J.; Arayssi, T. Gastrointestinal Behçet’s disease: A review. World J. Gastroenterol. 2015, 21, 3801–3812. [Google Scholar] [CrossRef]
- Bernabé, E.; Marcenes, W.; Mather, J.; Phillips, C.; Fortune, F. Impact of Behçet’s syndrome on health-related quality of life: Influence of the type and number of symptoms. Rheumatology 2010, 49, 2165–2171. [Google Scholar] [CrossRef]
- Hatemi, G.; Seyahi, E.; Fresko, I.; Talarico, R.; Hamuryudan, V. One year in review 2020: Behçet’s syndrome. Clin. Exp. Rheumatol. 2020, 38, 3–10. [Google Scholar]
- Kiraz, S.; Ertenli, I.; Oztürk, M.A.; Haznedaroğlu, I.C.; Celik, I.; Calgüneri, M. Pathological haemostasis and “prothrombotic state” in Behçet’s disease. Thromb. Res. 2002, 105, 125–133. [Google Scholar] [CrossRef]
- Butta, N.V.; Fernández-Bello, I.; López-Longo, F.J.; Jiménez-Yuste, V. Endothelial Dysfunction and Altered Coagulation As Mediators of Thromboembolism in Behçet Disease. Semin. Thromb. Hemost. 2015, 41, 621–628. [Google Scholar] [CrossRef]
- Yurdakul, S.; Hekim, N.; Soysal, T.; Fresko, I.; Bavunoglu, I.; Ozbakir, F.; Tabak, F.; Melikoglu, M.; Hamuryudan, V.; Yazici, H. Fibrinolytic activity and d-dimer levels in Behçet’s syndrome. Clin. Exp. Rheumatol. 2005, 23 (Suppl. S38), S53–S58. [Google Scholar] [PubMed]
- Demirer, S.; Sengül, N.; Yerdel, M.A.; Tüzüner, A.; Ulus, A.T.; Gürler, A.; Bergqvist, D.; Siegbahn, A.; Karacagil, S. Haemostasis in patients with Behçet’s disease. Eur. J. Vasc. Endovasc. Surg. 2000, 19, 570–574. [Google Scholar] [CrossRef] [PubMed]
- Chambers, J.C.; Haskard, D.O.; Kooner, J.S. Vascular endothelial function and oxidative stress mechanisms in patients with Behçet’s syndrome. J. Am. Coll. Cardiol. 2001, 37, 517–520. [Google Scholar] [CrossRef] [PubMed]
- Ataş, H.; Canpolat, F.; Eskioglu, F. Evaluation of Mean Platelet Volume in Patients with Behcet’s Disease as an Indicator of Vascular Thrombosis. Arch. Iran. Med. 2018, 21, 234–239. [Google Scholar]
- Fernández-Bello, I.; López-Longo, F.J.; Arias-Salgado, E.G.; Jiménez-Yuste, V.; Butta, N.V. Behçet’s disease: New insight into the relationship between procoagulant state, endothelial activation/damage and disease activity. Orphanet J. Rare Dis. 2013, 8, 81. [Google Scholar] [CrossRef]
- Saadoun, D.; Wechsler, B.; Desseaux, K.; Le Thi Huong, D.; Amoura, Z.; Resche-Rigon, M.; Cacoub, P. Mortality in Behçet’s disease. Arthritis Rheum. 2010, 62, 2806–2812. [Google Scholar] [CrossRef]
- Marinho, K.C.T.; Giovani, E.M. The treatment of oral lesions in Behçet’s Syndrome: Case report. Rev. Esp. Cirug. Oral Maxilofac. 2016, 38, 101–104. [Google Scholar] [CrossRef]
- Gündüz, O. Histopathological Evaluation of Behçet’s Disease and Identification of New Skin Lesions. Pathol. Res. Int. 2012, 2012, 209316. [Google Scholar] [CrossRef]
- Calamia, K.T.; Wilson, F.C.; Icen, M.; Crowson, C.S.; Gabriel, S.E.; Kremers, H.M. Epidemiology and clinical characteristics of Behçet’s disease in the US: A population-based study. Arthritis Rheum. 2009, 61, 600–604. [Google Scholar] [CrossRef]
- Thomas, T.; Chandan, J.S.; Subramanian, A.; Gokhale, K.; Gkoutos, G.; Harper, L.; Buckley, C.; Chandratre, P.; Raza, K.; Situnayake, D.; et al. Epidemiology, morbidity and mortality in Behçet’s disease: A cohort study using The Health Improvement Network (THIN). Rheumatology 2020, 59, 2785–2795. [Google Scholar] [CrossRef]
- Mohammad, A.; Mandl, T.; Sturfelt, G.; Segelmark, M. Incidence, prevalence and clinical characteristics of Behcet’s disease in southern Sweden. Rheumatology 2013, 52, 304–310. [Google Scholar] [CrossRef]
- Sachetto, Z.; Mahayri, N.; Ferraz, R.H.; Costallat, L.T.L.; Bertolo, M.B. Behçet’s disease in Brazilian patients: Demographic and clinical features. Rheumatol. Int. 2012, 32, 2063–2067. [Google Scholar] [CrossRef] [PubMed]
- Savey, L.; Resche-Rigon, M.; Wechsler, B.; Comarmond, C.; Piette, J.C.; Cacoub, P.; Saadoun, D. Ethnicity and association with disease manifestations and mortality in Behçet’s disease. Orphanet J. Rare Dis. 2014, 9, 42. [Google Scholar] [CrossRef] [PubMed]
- Saleh, Z.; Arayssi, T. Update on the therapy of Behçet disease. Ther. Adv. Chronic Dis. 2014, 5, 112–134. [Google Scholar] [CrossRef]
- Criteria for Diagnosis of Behçet’s Disease. International Study Group for Behçet’s Disease. Lancet 1990, 335, 1078–1080. [Google Scholar]
- Blake, T.; Pickup, L.; Carruthers, D.; Damato, E.M.; Denniston, A.; Hamburger, J.; Maxton, C.; Mitton, D.; Murray, P.I.; Nightingale, P.; et al. Birmingham Behçet’s service: Classification of disease and application of the 2014 International Criteria for Behçet’s Disease (ICBD) to a UK cohort. BMC Musculoskelet. Disord. 2017, 18, 101. [Google Scholar] [CrossRef] [PubMed]
- Behçet’s UK. How Is Behçet’s Diagnosed? Available online: https://behcetsuk.org/how-is-behcets-diagnosed/ (accessed on 25 August 2022).
- International Team for the Revision of the International Criteria for Behçet’s Disease (ITR-ICBD). The International Criteria for Behçet’s Disease (ICBD): A collaborative study of 27 countries on the sensitivity and specificity of the new criteria. J. Eur. Acad. Dermatol. Venereol. 2014, 28, 338–347. [Google Scholar] [CrossRef] [PubMed]
- Farahangiz, S.; Sarhadi, S.; Safari, A.; Borhani-Haghighi, A. Magnetic resonance imaging findings and outcome of neuro-Behçet’s disease: The predictive factors. Int. J. Rheum. Dis. 2012, 15, e142–e149. [Google Scholar] [CrossRef]
- Davatchi, F. Diagnosis/Classification Criteria for Behcet’s Disease. Pathol. Res. Int. 2012, 2012, 607921. [Google Scholar] [CrossRef]
- Mumcu, G.; Karacayli, Ü.; Yay, M.; Aksoy, A.; Taş, M.N.; Armağan, B.; Sari, A.; Bozca, B.C.; Tekgöz, E.; Karadağ, D.T.; et al. Oral ulcer activity assessment with the composite index according to different treatment modalities in Behçet’s syndrome: A multicentre study. Clin. Exp. Rheumatol. 2019, 37, 98–104. [Google Scholar] [PubMed]
- Parsaei, A.; Moradi, S.; Masoumi, M.; Davatchi, F.; Najafi, A.; Kooshki, A.M.; Hajighadery, A.; Akhlaghi, M.; Faezi, T.; Kavosi, H. Predictive value of erythrocyte sedimentation rate and C-reactive protein in Behcet’s disease activity and manifestations: A cross-sectional study. BMC Rheumatol. 2022, 6, 9. [Google Scholar] [CrossRef] [PubMed]
- Yazici, C.; Köse, K.; Caliş, M.; DemIr, M.; Kirnap, M.; Ateş, F. Increased advanced oxidation protein products in Behçet’s disease: A new activity marker? Br. J. Dermatol. 2004, 151, 105–111. [Google Scholar] [CrossRef] [PubMed]
- Pekiner, F.N.; Aytugar, E.; Demirel, G.Y.; Oǧuz Borahan, M. HLA-A, B (class I) and HLA-DR, DQ (class II) antigens in Turkish patients with recurrent aphthous ulceration and Behçet’s disease. Med. Princ. Pract. 2013, 22, 464–468. [Google Scholar] [CrossRef] [PubMed]
- Yazici, H.; Chamberlain, M.A.; Schreuder, I.; D’Amaro, J.; Muftuoglu, M. HLA antigens in Behçet’s disease: A reappraisal by a comparative study of Turkish and British patients. Ann. Rheum. Dis. 1980, 39, 344–348. [Google Scholar] [CrossRef]
- Kirino, Y.; Bertsias, G.; Ishigatsubo, Y.; Mizuki, N.; Tugal-Tutkun, I.; Seyahi, E.; Ozyazgan, Y.; Sacli, F.S.; Erer, B.; Inoko, H.; et al. Genome-wide association analysis identifies new susceptibility loci for Behçet’s disease and epistasis between HLA-B*51 and ERAP1. Nat. Genet. 2013, 45, 202–207. [Google Scholar] [CrossRef]
- Gül, A.; Uyar, F.A.; Inanc, M.; Ocal, L.; Tugal-Tutkun, I.; Aral, O.; Koniçe, M.; Saruhan-Direskeneli, G. Lack of association of HLA-B*51 with a severe disease course in Behçet’s disease. Rheumatology 2001, 40, 668–672. [Google Scholar] [CrossRef]
- Burillo-Sanz, S.; Montes-Cano, M.-A.; García-Lozano, J.-R.; Olivas-Martínez, I.; Ortego-Centeno, N.; García-Hernández, F.-J.; Espinosa, G.; Graña-Gil, G.; Sánchez-Bursón, J.; Juliá, M.R.; et al. Behçet’s disease and genetic interactions between HLA-B*51 and variants in genes of autoinflammatory syndromes. Sci. Rep. 2019, 9, 2777. [Google Scholar] [CrossRef]
- Ohno, S.; Ohguchim, M.; Hirose, S.; Matsuda, H.; Wakisaka, A.; Aizawa, M. Close association of HLA-Bw51 with Behçet’s disease. Arch Ophthalmol. 1982, 100, 1455–1458. [Google Scholar] [CrossRef]
- Baricordi, O.R.; Sensi, A.; Pivetti-Pezzi, P.; Perrone, S.; Balboni, A.; Catarinelli, G.; Filippi, F.; Melchiorri, L.; Moncada, A.; Mattiuz, P.L. Behcet’s disease associated with HLA-B51 and DRw52 antigens in Italians. Hum. Immunol. 1986, 17, 297–301. [Google Scholar] [CrossRef]
- Chang, H.K.; Kim, J.U.; Cheon, K.S.; Chung, H.R.; Lee, K.W.; Lee, I.H. HLAB51 and its allelic types in association with Behçet’s disease and recurrent aphthous stomatitis in Korea. Clin. Exp. Rheumatol. 2001, 19, 31–35. [Google Scholar]
- Choukri, F.; Chakib, A.; Himmich, H.; Hüe, S.; Caillat-Zucman, S. HLAB*51 and B*15 alleles confer predisposition to Behçet’s disease in Moroccan patients. Hum. Immunol. 2001, 62, 180–185. [Google Scholar] [CrossRef] [PubMed]
- Pirim, I.; Atasoy, M.; Ikbal, M.; Erdem, T.; Aliagaoglu, C. HLA class I and class II genotyping in patients with Behcet’s disease: A regional study of eastern part of Turkey. Tissue Antigens 2004, 64, 293–297. [Google Scholar] [CrossRef] [PubMed]
- Mizuki, N.; Meguro, A.; Tohnai, I.; Gül, A.; Ohno, S.; Mizuki, N. Association of major histocompatibility complex class I chain-related gene A and HLA-B alleles with Behçet’s disease in Turkey. Jpn. J. Ophthalmol. 2007, 51, 431–436. [Google Scholar] [CrossRef] [PubMed]
- de Menthon, M.; Lavalley, M.P.; Maldini, C.; Guillevin, L.; Mahr, A. HLA-B51/B5 and the risk of Behçet’s disease: A systematic review and meta-analysis of case-control genetic association studies. Arthritis Rheum. 2009, 61, 1287–1296. [Google Scholar] [CrossRef] [PubMed]
- Mumcu, G.; Ergun, T.; Inanc, N.; Fresko, I.; Atalay, T.; Hayran, O.; Direskeneli, H. Oral health is impaired in Behçet’s disease and is associated with disease severity. Rheumatology 2004, 43, 1028–1033. [Google Scholar] [CrossRef]
- Karacayli, U.; Mumcu, G.; Simsek, I.; Pay, S.; Köse, O.; Erdem, H.; Direskeneli, H.; Gunaydin, Y.; Dinc, A. The close association between dental and periodontal treatments and oral ulcer course in Behcet’s disease: A prospective clinical study. J. Oral Pathol. Med. 2009, 38, 410–415. [Google Scholar] [CrossRef]
- Yay, M.; Çelik, Z.; Aksoy, A.; Alibaz-Öner, F.; Inanç, N.; Ergun, T.; Direskeneli, H.; Mumcu, G. Oral health is a mediator for disease severity in patients with Behçet’s disease: A multiple mediation analysis study. J. Oral Rehabil. 2019, 46, 349–354. [Google Scholar] [CrossRef]
- Emmi, G.; Bettiol, A.; Silvestri, E.; Di Scala, G.; Becatti, M.; Fiorillo, C.; Prisco, D. Vascular Behçet’s syndrome: An update. Intern. Emerg. Med. 2019, 14, 645–652. [Google Scholar] [CrossRef]
- Alpsoy, E.; Leccese, P.; Emmi, G.; Ohno, S. Treatment of Behçet’s Disease: An Algorithmic Multidisciplinary Approach. Front. Med. 2021, 8, 1–11. [Google Scholar] [CrossRef]
- Ozguler, Y.; Leccese, P.; Christensen, R.; Esatoglu, S.N.; Bang, D.; Bodaghi, B.; Çelik, A.F.; Fortune, F.; Gaudric, J.; Gul, A.; et al. Management of major organ involvement of Behçet’s syndrome: A systematic review for update of the EULAR recommendations. Rheumatology 2018, 57, 2200–2212. [Google Scholar] [CrossRef]
- Hamuryudan, V.; Yurdakul, S.; Rosenkaimer, F.; Yazici, H. Inefficacy of topical alpha interferon in the treatment of oral ulcers of Behçet’s syndrome: A randomized, double blind trial. Br. J. Rheumatol. 1991, 30, 395–396. [Google Scholar] [CrossRef] [PubMed]
- Ergun, T.; Gürbüz, O.; Yurdakul, S.; Hamuryudan, V.; Bekiroglu, N.; Yazici, H. Topical cyclosporine-A for treatment of oral ulcers of Behçet’s syndrome. Int. J. Dermatol. 1997, 36, 720. [Google Scholar] [CrossRef]
- Alpsoy, E.; Er, H.; Durusoy, C.; Yilmaz, E. The use of sucralfate suspension in the treatment of oral and genital ulcerations of Behçet’s disease: A randomised, placebo-controlled and double-blind study. Arch. Dermatol. 1999, 135, 529–532. [Google Scholar] [CrossRef] [PubMed]
- Fani, M.M.; Ebrahimi, H.; Pourshahidi, S.; Aflaki, E.; Shafiee Sarvestani, S. Comparing the effect of phenytoin syrup and triamcinolone acetonide ointment on aphthous ulcers in patients with Behcet’s syndrome. Iran. Red. Crescent Med. J. 2012, 14, 75–78. [Google Scholar]
- Hatemi, G.; Yurttas, B.; Kutlubay, Z.; Cote, T.; Derkunt, S.B.; Yazici, Y.; Yazici, H. Pentoxifylline Gel for Oral Ulcers in Patients with Behçet’s Syndrome. Arthritis Rheumatol. 2019, 71 (Suppl. S10). [Google Scholar]
- Aktulga, E.; Altaç, M.; Müftüoglu, A.; Ozyazgan, Y.; Pazarli, H.; Tüzün, Y.; Yalçin, B.; Yazici, H.; Yurdakul, S. A double blind study of colchicine in Behcet’s disease. Haematologica 1980, 65, 399–402. [Google Scholar]
- Yurdakul, S.; Mat, C.; Tüzün, Y.; Özyazgan, Y.; Hamuryudan, V.; Uysal, Ö.; Şenocak, M.; Yazici, H. A double-blind trial of colchicine in Behcet’s syndrome. Arthritis Rheum. 2001, 44, 2686–2692. [Google Scholar] [CrossRef]
- Davatchi, F.; Sadeghi Abdollahi, B.; Tehrani Banihashemi, A.; Shahram, F.; Nadji, A.; Shams, H.; Chams-Davatchi, C. Colchicine versus placebo in Behçet’s disease: Randomized, double-blind, controlled crossover trial. Mod. Rheumatol. 2009, 19, 542–549. [Google Scholar] [CrossRef]
- Benezra, D.; Cohen, E.; Chajek, T.; Friedman, G.; Pizanti, S.; De Courten, C.; Harris, W. Evaluation of conventional therapy versus cyclosporine A in Behçet’s syndrome. Transplant. Proc. 1988, 20, 136–143. [Google Scholar]
- Masuda, K.; Nakajima, A.; Urayama, A.; Nakae, K.; Kogure, M.; Inaba, G. Double-masked trial of cyclosporin versus colchicine and long-term open study of cyclosporin in Behcet’s disease. Lancet 1989, 333, 1093–1096. [Google Scholar] [CrossRef]
- Hirohata, S.; Suda, H.; Hashimoto, T. Low-dose weekly methotrexate for progressive neuropsychiatric manifestations in Behcet’s disease. J. Neurol. Sci. 1998, 159, 181–185. [Google Scholar] [CrossRef] [PubMed]
- Kikuchi, K.; Aramaki, H.; Hirohata, S. Low dose MTX for progressive neuro-Behcet’s disease. A follow-up study for 4 years. Adv. Exp. Med. Biol. 2003, 528, 575–578. [Google Scholar] [PubMed]
- Hamuryudan, V.; Mat, C.; Saip, S.; Ozyazgan, Y.; Siva, A.; Yurdakul, S.; Zwingenberger, K.; Yazici, H. Thalidomide in the treatment of the mucocutaneous lesions of the Behçet syndrome. A randomized, double-blind, placebo-controlled trial. Ann. Intern. Med. 1998, 128, 443–450. [Google Scholar] [CrossRef] [PubMed]
- Melikoglu, M.; Fresko, I.; Mat, C.; Ozyazgan, Y.; Gogus, F.; Yurdakul, S.; Hamuryudan, V.; Yazici, H. Short-term trial of etanercept in Behcet’s disease: A double blind, placebo controlled study. J. Rheumatol. 2005, 32, 98–105. [Google Scholar] [PubMed]
- Mat, C.; Yurdakul, S.; Ozyazgan, Y.; Uysal, S.; Uysal, O.; Yazici, H. A double-blind trial of depot corticosteroids in Behçet’s syndrome. Rheumatology 2006, 45, 348–352. [Google Scholar] [CrossRef]
- Sharquie, K.E.; Helmi, R.M.; Noiami, A.A.; Al-Hayani, R.K.; Kadhom, M.A. The therapeutic role of isotretinoin in the management of Behçet’s disease: A single-blinded, controlled therapeutic study. J. Drugs Dermatol. 2013, 12, 68–73. [Google Scholar]
- Lightman, S.; Taylor, S.R.J.; Bunce, C.; Longhurst, H.; Lynn, W.; Moots, R.; Stanford, M.; Tomkins-Netzer, O.; Yang, D.; Calder, V.L.; et al. Pegylated interferon-alpha-2b reduces corticosteroid requirement in patients with Behcet’s disease with upregulation of circulating regulatory T cells and reduction of Th17. Ann. Rheum. Dis. 2015, 74, 1138–1144. [Google Scholar] [CrossRef]
- Interlandi, E.; Leccese, P.; Olivieri, I.; Latanza, L. Adalimumab for treatment of severe Behçet’s uveitis: A retrospective long-term follow-up study. Clin. Exp. Rheumatol. 2014, 32 (Suppl. S84), S58–S62. [Google Scholar]
- Nordstrom, E.; Fischer, M. The great masquerader: Behcet’s disease. BMJ Case Rep. 2014, 2014, bcr2013202919. [Google Scholar] [CrossRef]
- Marwaha, S.; Knowles, J.W.; Ashley, E.A. A guide for the diagnosis of rare and undiagnosed disease: Beyond the exome. Genome Med. 2022, 14, 23. [Google Scholar] [CrossRef]
- Bettiol, A.; Emmi, G.; Liying, L.; Sofi, F.; Wallace, G.R. Microbiome in Behcet’s syndrome. Clin. Immunol. 2023, 250, 109304. [Google Scholar] [CrossRef] [PubMed]



| Mucocutaneous Lesion | 
|---|
| Recurrent oral ulceration, at least three episodes over the past 12 months, plus two of the following ‘hallmark’ symptoms: | 
| Recurrent genital ulceration observed by patient or physician Eye inflammation/lesions observed by ophthalmologist Cutaneous lesion observed by physician or post-adolescent patients not receiving corticosteroids treatment Positive pathergy reaction test read by physician at 24 to 48 h | 
| Authors/Year | Study Design | Conclusions | 
|---|---|---|
| Ohno et al., 1982 [50] | Case–control | The study showed that Behçet’s disease is closely associated with HLA-Bw51. Relative risk for HLA-Bw51 was 6.0, and an individual with HLA-Bw51 is considered at greater risk of having Behçet’s disease develop: the risk being six times more than an individual without it. | 
| Baricordi et al., 1986 [51] | Case–control | A significant increase in HLA-B51 (p less than 0.00001) and DRw52 (p = 0.045) with no significant difference between complete and incomplete syndrome was found. The involvement of B51 antigen as the main immunogenetic factor in the disease is suggested by the high value of relative risk (RR = 16.03) | 
| Chang et al., 2001 [52] | Case–control | The prevalence of HLA-B51 in patients with BD was 55.7%, 16.1% in patients with recurrent aphthous stomatitis (RAS), and 15.7% in healthy controls. Compared to patients with RAS or healthy controls, prevalence of HLA-B51 in Korean patients with BD was much higher. | 
| Choukri et al., 2001 [53] | Case–control | The predisposing effect of the B*51 was confirmed (30.2% in patients and 15.3% in controls, OR = 2.39, 95% CI (1.2–4.8), p = 0.015). Moroccan BD group also presented a previously unknown association with HLA-B*15 (25.6% of patients versus 11.7% of controls, OR= 2.59 (1.2–5.5), p = 0.05. | 
| Pirim et al., 2004 [54] | Case–control | The result shows that the HLA-B51 frequency was significantly higher (58.66%) in the patient group, compared to that of the control group (18.51%) (OR = 6.245). | 
| Mizuki et al., 2007 [55] | Case–control | HLA-B*51 was also significantly more frequent in BD patients (81.8%) than in controls (29.2%) (p = 0.0000007). Our results indicate that the major susceptibility gene for BD is HLA-B*51. | 
| Menthon et al., 2009 [56] | Systematic review and meta-analysis | A total of 4800 patients with BD and 16,289 controls from 78 independent studies (published 1975–2007) were selected. The pooled OR of HLA-B51/B5 allele carriers to develop BD compared with noncarriers was 5.78 (95% CI 5.00–6.67). The strength of the association between BD and HLA-B51/B5, and its consistency across populations of various ethnicities, lends further support to this allele being a primary and causal risk determinant for BD. | 
| Sign/Symptom | Points | 
|---|---|
| Ocular lesions | 2 | 
| Genital apthosis | 2 | 
| Oral apthosis | 2 | 
| Skin lesions | 1 | 
| Neurological manifestations | 1 | 
| Vascular manifestations | 1 | 
| Positive pathergy test | 1 * | 
| Oral Ulcers Treatment | Dose/Duration | Results | Authors/Year Study Design | 
|---|---|---|---|
| Interferon alpha vs. Placebo | 1 × 105 U/g three times a day ∥ 24 weeks | No difference between the groups | Hamuryudan et al., 1991–RCT [63] | 
| Cyclosporine vs. Placebo | 70 mg per g of orobase ∥ 8 weeks | No difference between the groups | Ergun et al., 1997–RCT [64] | 
| Sucralfate vs. Placebo | 4 times a day ∥ 3 months | Decreases frequency, healing time and pain of oral ulcers | Alpsoy et al., 1999–RCT [65] | 
| Triamcinolone acetonide vs. Phenytoin | 3 times a day ∥ 1 week | Triamcinolone was more effective than phenytoin | Fani et al., 2012–RCT [66] | 
| Pentoxifylline + Colchicine vs. Colchicine | 1000 mg/d (4 doses) ∥ 14 days | Decrease in duration and pain of oral ulcers in pentoxifylline group | Hatemi et al., 2019–RCT [67] | 
| Systemic Treatment | Dose/Duration | Results | Authors/Year Study Design | 
| Colchicine vs. Placebo | 1 mg/d ∥ 9 months 1–2 mg/d ∥ 2 years 1 mg/d ∥ 4 months | Decreases frequency of erythema nodosum, and effective on arthralgia Reduces the occurrence of genital ulcers, erythema nodosum and arthritis in women, and the occurrence of arthritis in men Improvement of oral ulcers, genital ulcers, erythema nodosum and papulopustular lesions in both genders | Aktulga et al., 1980–RCT [68] Yurdakul et al., 2001–RCT [69] Davatchi et al., 2009–RCT [70] | 
| Cyclosporine vs. conventional treatments (prednisolone, chlorambucil) | 5–10 mg/kg/d ∥ 3 years | Cyclosporine more effective than conventional therapy in ocular disease. Conventional treatments were superior to cyclosporine for the control of skin lesions and arthritis | BenEzra et al., 1988–RCT [71] | 
| Cyclosporine vs. Colchicine | 10 mg/kg/d + 1 mg/d ∥ 4 months | Cyclosporin more effective in treating ocular manifestations, oral ulcers, dermal lesions, and genital ulcers. | Masuda et al., 1989–RCT [72] | 
| Methotrexate | 7.5–12.5 mg/week ∥ 12 months Initial dose of 5.0–7.5 mg/week, increased by 2.5 mg every 2 weeks up to 5.0–15 mg/week ∥ 4 year | Beneficial effect in the treatment of progressive Neuro-Behçet Prevent the progression of the neuropsychiatric manifestations of Neuro-Behçet by markedly decreasing CSF IL-6 levels | Hirohata et al., 1988-Open-label study [73] Kikuchi et al., 2003-Open-label study [74] | 
| Thalidomide vs. Placebo | 300 mg/day ∥ 4 weeks | Effective on oral ulcers, genital ulcers and follicular lesions. | Hamuryudan et al., 1998–RCT [75] | 
| Etanercept vs. Placebo | 25 mg twice a week ∥ 4 weeks | Mean numbers of oral ulcers, nodular lesions, and papulopustular lesions were less in the etanercept group compared to the placebo group at all weekly evaluations, except for the second week for papulopustular lesions | Melikoglu et al., 2005–RCT [76] | 
| Corticosteroids vs. Placebo | 40 mg/every 3 weeks ∥ 27 weeks | No beneficial effect on genital ulcers. Useful in controlling erythema nodosum lesions, especially among the females | Mat et al., 2006–RCT [77] | 
| Isotretinoin vs. Placebo | 20 mg/d ∥ 12 weeks | Improvement in the clinical manifestations index, oral ulcers and skin manifestations parameters | Sharquie et al., 2013–RCT [78] | 
| Interferon-α2b vs. glucocorticoids and immunosuppressives Adalimumab | 0.3 μg/kg/w ∥ 26 weeks 40 mg subcutaneously, once every 2 weeks | Reduction in corticosteroid dose at 1-year, improved quality of life and trend to reduce immunosuppressive agents, with the addition of peginterferon-α-2b to the drug regime in patients with BS with ocular and systemic involvement Adalimumab is very a very effective and safe option for treatment of patients with severe and resistant Behçet’s uveitis, providing an appropriate and long-term control of ocular inflammation. | Lightman et al., 2015–RCT [79] Interlandi et al., 2014–Retrospective follow-up study [80] | 
| Disclaimer/Publisher’s Note: The statements, opinions and data contained in all publications are solely those of the individual author(s) and contributor(s) and not of MDPI and/or the editor(s). MDPI and/or the editor(s) disclaim responsibility for any injury to people or property resulting from any ideas, methods, instructions or products referred to in the content. | 
© 2023 by the authors. Licensee MDPI, Basel, Switzerland. This article is an open access article distributed under the terms and conditions of the Creative Commons Attribution (CC BY) license (https://creativecommons.org/licenses/by/4.0/).
Share and Cite
Soares, A.C.; Pires, F.R.; de Oliveira Quintanilha, N.R.; Santos, L.R.; Amin Dick, T.N.; Dziedzic, A.; Picciani, B.L.S. Oral Lesions as the Primary Manifestations of Behçet’s Disease: The Importance of Interdisciplinary Diagnostics—A Case Report. Biomedicines 2023, 11, 1882. https://doi.org/10.3390/biomedicines11071882
Soares AC, Pires FR, de Oliveira Quintanilha NR, Santos LR, Amin Dick TN, Dziedzic A, Picciani BLS. Oral Lesions as the Primary Manifestations of Behçet’s Disease: The Importance of Interdisciplinary Diagnostics—A Case Report. Biomedicines. 2023; 11(7):1882. https://doi.org/10.3390/biomedicines11071882
Chicago/Turabian StyleSoares, Alvaro Cavalheiro, Fabio Ramoa Pires, Nara Regina de Oliveira Quintanilha, Lilian Rocha Santos, Thaylla Nunez Amin Dick, Arkadiusz Dziedzic, and Bruna Lavinas Sayed Picciani. 2023. "Oral Lesions as the Primary Manifestations of Behçet’s Disease: The Importance of Interdisciplinary Diagnostics—A Case Report" Biomedicines 11, no. 7: 1882. https://doi.org/10.3390/biomedicines11071882
APA StyleSoares, A. C., Pires, F. R., de Oliveira Quintanilha, N. R., Santos, L. R., Amin Dick, T. N., Dziedzic, A., & Picciani, B. L. S. (2023). Oral Lesions as the Primary Manifestations of Behçet’s Disease: The Importance of Interdisciplinary Diagnostics—A Case Report. Biomedicines, 11(7), 1882. https://doi.org/10.3390/biomedicines11071882
 
        





 
       