Coronary Artery Aneurysm or Ectasia as a Form of Coronary Artery Remodeling: Etiology, Pathogenesis, Diagnostics, Complications, and Treatment
Abstract
1. Introduction
2. Definition and Clinical Presentation
3. Etiology and Pathogenesis
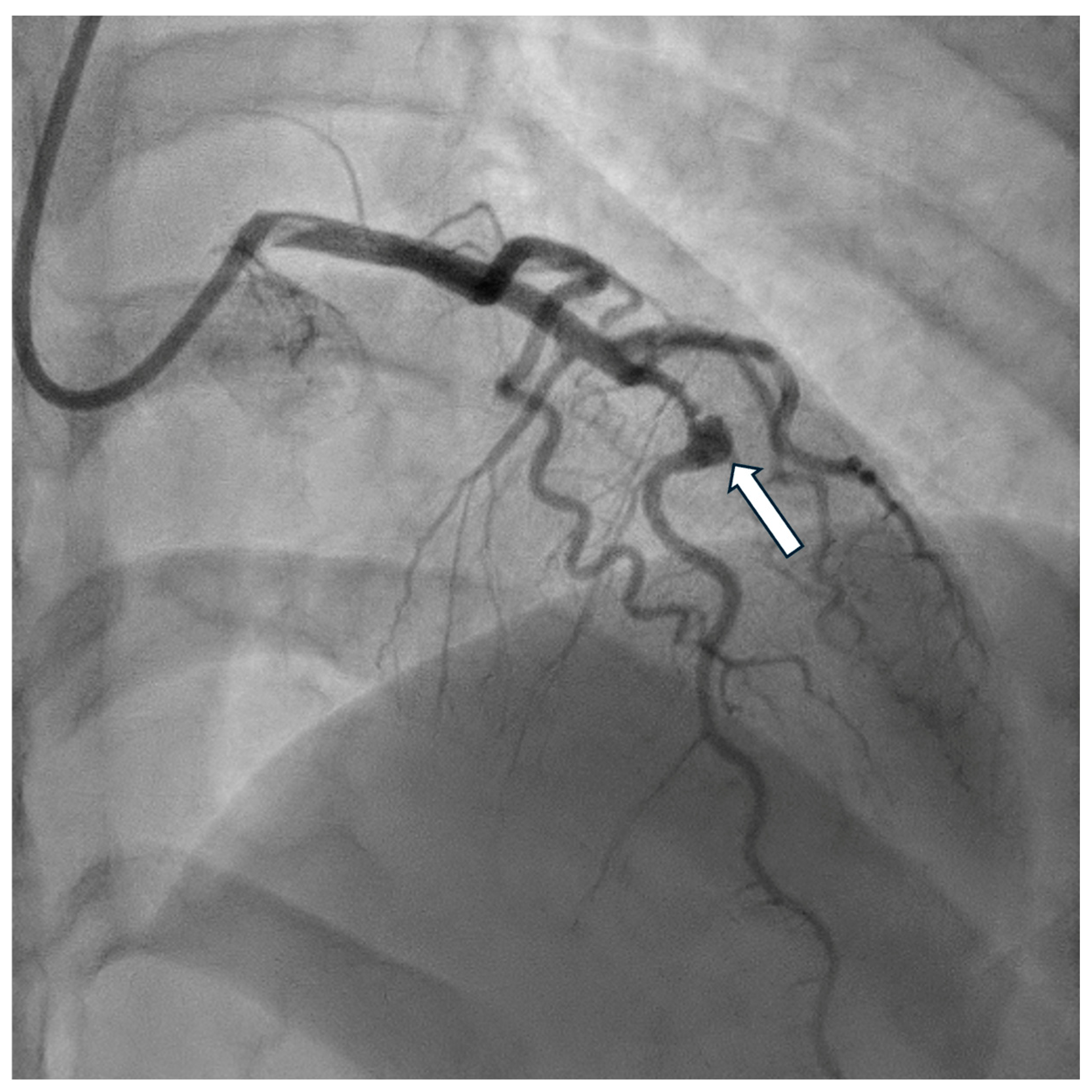
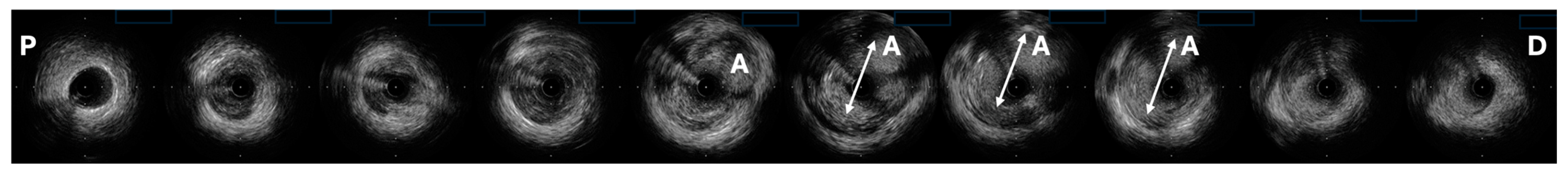
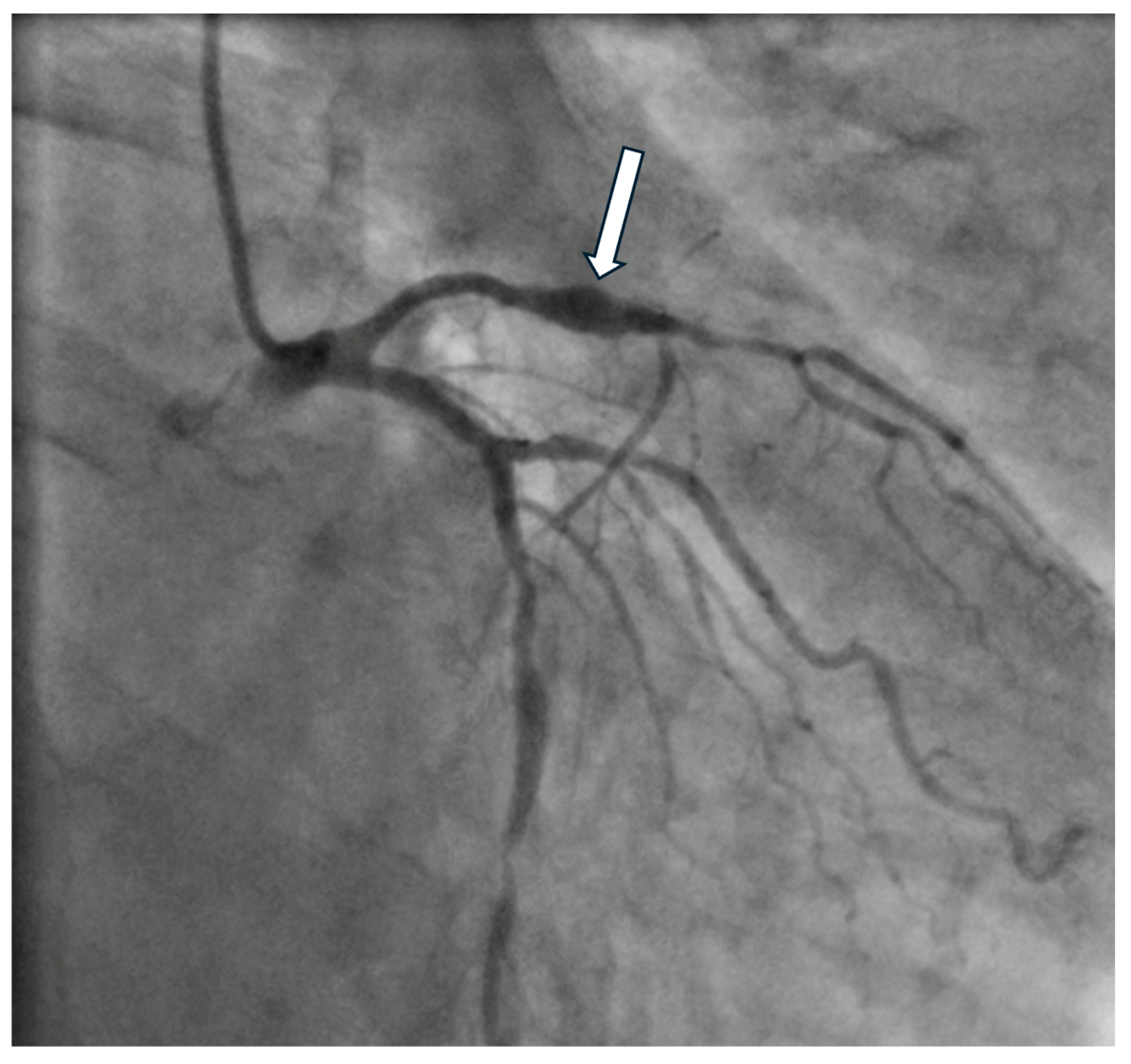
4. Diagnostics
5. Clinical Significance
6. Complications of CAAE
7. Prognosis
8. Treatment
8.1. Conservative Treatment
8.2. Invasive Treatment
9. Conclusions
Author Contributions
Funding
Institutional Review Board Statement
Informed Consent Statement
Data Availability Statement
Conflicts of Interest
References
- Swaye, P.S.; Fisher, L.D.; Litwin, P.; Vignola, P.A.; Judkins, M.P.; Kemp, H.G.; Mudd, J.G.; Gosselin, A.J. Aneurysmal coronary artery disease. Circulation 1983, 67, 134–138. [Google Scholar] [CrossRef]
- Robertson, T.; Fisher, L. Prognostic significance of coronary artery aneurysm and ectasia in the Coronary Artery Surgery Study (CASS) registry. Prog. Clin. Biol. Res. 1987, 250, 325–339. [Google Scholar] [PubMed]
- Markis, J.E.; Joffe, C.; Cohn, P.F.; Feen, D.J.; Herman, M.V.; Gorlin, R. Clinical significance of coronary arterial ectasia. Am. J. Cardiol. 1976, 37, 217–222. [Google Scholar] [CrossRef]
- Hartnell, G.G.; Parnell, B.M.; Pridie, R.B. Coronary artery ectasia. Its prevalence and clinical significance in 4993 patients. Heart 1985, 54, 392–395. [Google Scholar] [CrossRef] [PubMed]
- Demopoulos, V.P.; Olympios, C.D.; Fakiolas, C.N.; Pissimissis, E.G.; Economides, N.M.; Adamopoulou, E.; Foussas, S.G.; Cokkinos, D.V. The natural history of aneurysmal coronary artery disease. Heart 1997, 78, 136–141. [Google Scholar] [CrossRef]
- Syed, M.; Lesch, M. Coronary artery aneurysm: A review. Prog. Cardiovasc. Dis. 1997, 40, 77–84. [Google Scholar] [CrossRef]
- Baman, T.S.; Cole, J.H.; Devireddy, C.M.; Sperling, L.S. Risk factors and outcomes in patients with coronary artery aneurysms. Am. J. Cardiol. 2004, 93, 1549–1551. [Google Scholar] [CrossRef]
- Pham, V.; de Hemptinne, Q.; Grinda, J.-M.; Duboc, D.; Varenne, O.; Picard, F. Giant coronary aneurysms, from diagnosis to treatment: A literature review. Arch. Cardiovasc. Dis. 2019, 113, 59–69. [Google Scholar] [CrossRef] [PubMed]
- Núñez-Gil, I.J.; Cerrato, E.; Bollati, M.; Nombela-Franco, L.; Terol, B.; Alfonso-Rodríguez, E.; Camacho Freire, S.J.; Villablanca, P.A.; Amat Santos, I.J.; de la Torre Hernández, J.M.; et al. Coronary artery aneurysms, insights from the international coronary artery aneurysm registry (CAAR). Int. J. Cardiol. 2020, 299, 49–55. [Google Scholar] [CrossRef]
- Araszkiewicz, A.; Grygier, M.; Lesiak, M.; Grajek, S. Od pozytywnego remodelingu do tętniakowatego poszerzenia tętnic wieńcowych. Czy tętniaki wieńcowe to łagodna forma choroby wieńcowej? From positive remodelling to coronary artery ectasia. Is coronary artery aneurysm a benign form of coronary disease? Kardiol. Pol. 2009, 67, 1390–1395. [Google Scholar] [PubMed]
- Seabra-Gomes, R.; Somerville, J.; Ross, D.N.; Emanuel, R.; Parker, D.J.; Wong, M. Congenital coronary artery aneurysms. Br. Heart J. 1974, 36, 329–335. [Google Scholar] [CrossRef]
- Vieweg, W.V.; Alpert, J.S.; Hagan, A.D. Caliber and distribution of normal coronary arterial anatomy. Cathet Cardiovasc. Diagn. 1976, 2, 269–280. [Google Scholar] [CrossRef]
- Iwańczyk, S.; Lehmann, T.; Pławski, A.; Woźniak, P.; Hertel, A.; Araszkiewicz, A.; Stępień, K.; Krupka, G.; Grygier, M.; Lesiak, M.; et al. Novel genetic variants potentially associated with the pathogenesis of coronary artery aneurysm: Whole-exome sequencing analysis. Hell. J. Cardiol. 2024. [Google Scholar] [CrossRef] [PubMed]
- Pahlavan, P.S.; Niroomand, F. Coronary artery aneurysm: A review. Clin. Cardiol. 2006, 29, 439–443. [Google Scholar] [CrossRef] [PubMed]
- Matrejek, A.; Stępień, K.; Nowak, K.; Iwańczyk, S.; Pollak, A.; Płoski, R.; Miszalski-Jamka, T.; Podolec, M.; Nessler, J.; Zalewski, J. Genetic background assessment with whole exome sequencing in a giant coronary artery ectasia: A pilot study. Kardiologia Polska 2023, 82, 214–216. [Google Scholar] [CrossRef] [PubMed]
- Iwańczyk, S.; Stępień, K.; Woźniak, P.; Araszkiewicz, A.; Podolec, M.; Zalewski, J.; Nessler, J.; Lesiak, M. Coronary Artery Ectasia Database—Poland (CARED-POL). The rationale and design of the multicenter nationwide registry. Kardiologia Polska 2024, 82, 200–202. [Google Scholar] [CrossRef] [PubMed]
- Chmiel, J.; Natorska, J.; Ząbczyk, M.; Musiałek, P. Fibrin clot properties in coronary artery ectatic disease: Pilot data from the CARE-ANEURYSM Study. Kardiologia Polska 2023, 81, 1145–1148. [Google Scholar] [CrossRef]
- Núñez-Gil, I.J.; Nombela-Franco, L.; Bagur, R.; Bollati, M.; Cerrato, E.; Alfonso, E.; Liebetrau, C.; Hernandez, J.M.D.l.T.; Camacho, B.; Mila, R.; et al. Rationale and design of a multicenter, international and collaborative Coronary Artery Aneurysm Registry (CAAR). Clin. Cardiol. 2017, 40, 580–585. [Google Scholar] [CrossRef]
- Lenihan, D.J.; Zeman, H.S.; Collins, G.J. Left main coronary artery aneurysm in association with severe atherosclerosis: A case report and review of the literature. Catheter. Cardiovasc. Diagn. 1991, 23, 28–31. [Google Scholar] [CrossRef]
- Burns, J.C.; Shike, H.; Gordon, J.B.; Malhotra, A.; Schoenwetter, M.; Kawasaki, T. Sequelae of Kawasaki disease in adolescents and young adults. J. Am. Coll. Cardiol. 1996, 28, 253–257. [Google Scholar] [CrossRef]
- Uchida, T.; Inoue, T.; Kamishirado, H.; Nakata, T.; Sakai, Y.; Takayanagi, K.; Morooka, S. Unusual Coronary Artery Aneurysm and Acute Myocardial Infarction in a Middle-Aged Man with Systemic Lupus Erythematosus. Am. J. Med. Sci. 2001, 322, 163–165. [Google Scholar] [CrossRef] [PubMed]
- Glagov, S.; Weisenberg, E.; Zarins, C.K.; Stankunavicius, R.; Kolettis, G.J. Compensatory Enlargement of Human Atherosclerotic Coronary Arteries. New Engl. J. Med. 1987, 316, 1371–1375. [Google Scholar] [CrossRef]
- Schoenhagen, P.; Nissen, S.E.; Tuzcu, E.M. Coronary arterial remodeling: From bench to bedside. Curr. Atheroscler. Rep. 2003, 5, 150–154. [Google Scholar] [CrossRef]
- Sorrell, V.L.; Davis, M.J.; Bove, A.A. Origins of coronary artery ectasia. Lancet 1996, 347, 136–137. [Google Scholar] [CrossRef] [PubMed]
- Kikuta, H.; Sakiyama, Y.; Matsumoto, S.; Hamada, I.; Yazaki, M.; Iwaki, T.; Nakano, M. Detection of Epstein-Barr virus DNA in cardiac and aortic tissues from chronic, active Epstein-Barr virus infection associated with Kawasaki disease-like coronary artery aneurysms. J. Pediatr. 1993, 123, 90–92. [Google Scholar] [CrossRef]
- Akdemir, R.; Ozhan, H.; Gunduz, H.; Erbilen, E.; Yazici, M.; Duran, S.; Orkunoglu, F.; Albayrak, S.; Imirzalioglu, N.; Uyan, C. HLA-DR B1 and DQ B1 polymorphisms in patients with coronary artery ectasia. Acta Cardiol. 2004, 59, 499–502. [Google Scholar] [CrossRef] [PubMed]
- Gülec, S.; Aras, Ö.; Atmaca, Y.; Akyürek, Ö.; Hanson, N.Q.; Sayin, T.; Tsai, M.Y.; Akar, N.; Oral, D. Deletion polymorphism of the angiotensin I converting enzyme gene is a potent risk factor for coronary artery ectasia. Heart 2003, 89, 213–214. [Google Scholar] [CrossRef]
- Turhan, H.; Erbay, A.R.; Yasar, A.S.; Balci, M.; Bicer, A.; Yetkin, E. Comparison of C-reactive protein levels in patients with coronary artery ectasia versus patients with obstructive coronary artery disease. Am. J. Cardiol. 2004, 94, 1303–1306. [Google Scholar] [CrossRef]
- Tokgozoglu, L.; Ergene, O.; Kinay, O.; Nazli, C.; Hascelik, G.; Hoscan, Y. Plasma interleukin-6 levels are increased in coronary artery ectasia. Acta Cardiol. 2004, 59, 515–519. [Google Scholar] [CrossRef]
- Turhan, H.; Erbay, A.R.; Yasar, A.S.; Aksoy, Y.; Bicer, A.; Yetkin, G.; Yetkin, E. Plasma soluble adhesion molecules; intercellular adhesion molecule-1, vascular cell adhesion molecule-1 and E-selectin levels in patients with isolated coronary artery ectasia. Coron. Artery Dis. 2005, 16, 45–50. [Google Scholar] [CrossRef]
- Saglam, M.; Karakaya, O.; Barutcu, I.; Esen, A.M.; Turkmen, M.; Kargin, R.; Esen, O.; Ozdemir, N.; Kaymaz, C. Identifying Cardiovascular Risk Factors in a Patient Population With Coronary Artery Ectasia. Angiology 2007, 58, 698–703. [Google Scholar] [CrossRef]
- Iwańczyk, S.; Borger, M.; Kamiński, M.; Chmara, E.; Cieślewicz, A.; Tykarski, A.; Radziemski, A.; Krasiński, Z.; Lesiak, M.; Araszkiewicz, A. Inflammatory response in patients with coronary artery ectasia and coronary artery disease. Kardiologia Polska 2019, 77, 713–715. [Google Scholar] [CrossRef] [PubMed]
- Chen, J.; Jiang, L.; Yu, X.-H.; Hu, M.; Zhang, Y.-K.; Liu, X.; He, P.; Ouyang, X. Endocan: A Key Player of Cardiovascular Disease. Front. Cardiovasc. Med. 2022, 8, 798699. [Google Scholar] [CrossRef]
- Iwańczyk, S.; Araszkiewicz, A.; Borger, M.; Kamiński, M.; Wrotyński, M.; Chmara, E.; Cieślewicz, A.; Radziemski, A.; Lesiak, M. Endocan expression correlated with total volume of coronary artery dilation in patients with coronary artery ectasia. Adv. Interv. Cardiol. 2020, 16, 294–299. [Google Scholar] [CrossRef]
- Ferroni, P.; Basili, S.; Martini, F.; Cardarello, C.M.; Ceci, F.; Di Franco, M.; Bertazzoni, G.; Gazzaniga, P.P.; Alessandri, C. Serum Metalloproteinase 9 Levels in Patients with Coronary Artery Disease: A Novel Marker of Inflammation. J. Investig. Med. 2003, 51, 295–300. [Google Scholar] [CrossRef]
- Lindsey, M.; Wedin, K.; Brown, M.D.; Keller, C.; Evans, A.J.; Smolen, J.; Burns, A.R.; Rossen, R.D.; Michael, L.; Entman, M. Matrix-Dependent Mechanism of Neutrophil-Mediated Release and Activation of Matrix Metalloproteinase 9 in Myocardial Ischemia/Reperfusion. Circulation 2001, 103, 2181–2187. [Google Scholar] [CrossRef] [PubMed]
- Page-McCaw, A.; Ewald, A.J.; Werb, Z. Matrix metalloproteinases and the regulation of tissue remodelling. Nat. Rev. Mol. Cell Biol. 2007, 8, 221–233. [Google Scholar] [CrossRef]
- Lindsey, M.L.; Escobar, G.P.; Dobrucki, L.W.; Goshorn, D.K.; Bouges, S.; Mingoia, J.T.; McClister, D.M., Jr.; Su, H.; Gannon, J.; MacGillivray, C.; et al. Matrix metalloproteinase-9 gene deletion facilitates angiogenesis after myocardial infarction. Am. J. Physiol. Heart Circ. Physiol. 2006, 290, H232–H239. [Google Scholar] [CrossRef]
- Cabral-Pacheco, G.A.; Garza-Veloz, I.; la Rosa, C.C.-D.; Ramirez-Acuña, J.M.; A. Perez-Romero, B.; Guerrero-Rodriguez, J.F.; Martinez-Avila, N.; Martinez-Fierro, M.L. The Roles of Matrix Metalloproteinases and Their Inhibitors in Human Diseases. Int. J. Mol. Sci. 2020, 21, 9739. [Google Scholar] [CrossRef] [PubMed]
- Iwańczyk, S.; Lehmann, T.; Grygier, M.; Woźniak, P.; Lesiak, M.; Araszkiewicz, A. Serum matrix metalloproteinase-8 level in patients with coronary artery abnormal dilatation. Pol. Arch. Intern. Med. 2022, 132, 16241. [Google Scholar] [CrossRef]
- Finkelstein, A.; Michowitz, Y.; Abashidze, A.; Miller, H.; Keren, G.; George, J. Temporal association between circulating proteolytic, inflammatory and neurohormonal markers in patients with coronary ectasia. Atherosclerosis 2005, 179, 353–359. [Google Scholar] [CrossRef] [PubMed]
- Ercan, E.; Tengiz, I.; Duman, C.; Sekuri, C.; Aliyev, E.; Mutlu, B.; Ercan, H.E.; Akin, M. Decreased Plasminogen Activator Inhibitor-1 Levels in Coronary Artery Aneurysmatic Patients. J. Thromb. Thrombolysis 2004, 17, 207–211. [Google Scholar] [CrossRef] [PubMed]
- Senzaki, H. The pathophysiology of coronary artery aneurysms in Kawasaki disease: Role of matrix metalloproteinases. Arch. Dis. Child. 2006, 91, 847–851. [Google Scholar] [CrossRef]
- Yasar, A.S.; Erbay, A.R.; Ayaz, S.; Turhan, H.; Metin, F.; Ilkay, E.; Sabah, I. Increased platelet activity in patients with isolated coronary artery ectasia. Coron. Artery Dis. 2007, 18, 451–454. [Google Scholar] [CrossRef] [PubMed]
- Lehmann, T.; Cieślewicz, A.; Radziemski, A.; Malesza, K.; Wrotyński, M.; Jagodziński, P.P.; Grygier, M.; Lesiak, M.; Araszkiewicz, A. Circulating microRNAs in patients with aneurysmal dilatation of coronary arteries. Exp. Ther. Med. 2022, 23, 1–13. [Google Scholar] [CrossRef]
- Iwańczyk, S.; Lehmann, T.; Cieślewicz, A.; Malesza, K.; Woźniak, P.; Hertel, A.; Krupka, G.; Jagodziński, P.P.; Grygier, M.; Lesiak, M.; et al. Circulating miRNA-451a and miRNA-328-3p as Potential Markers of Coronary Artery Aneurysmal Disease. Int. J. Mol. Sci. 2023, 24, 5817. [Google Scholar] [CrossRef]
- Yadav, A.; Godasu, G.; Buxi, T.B.S.; Sheth, S. Multiple Artery Aneurysms: Unusual Presentation of IgG4 Vasculopathy. J. Clin. Imaging Sci. 2021, 11, 17. [Google Scholar] [CrossRef]
- Khosroshahi, A.; Wallace, Z.S.; Crowe, J.L.; Akamizu, T.; Azumi, A.; Carruthers, M.N.; Chari, S.T.; Della-Torre, E.; Frulloni, L.; Goto, H.; et al. International Consensus Guidance Statement on the Management and Treatment of IgG4-Related Disease. Arthritis Rheumatol. 2015, 67, 1688–1699. [Google Scholar] [CrossRef]
- Floreani, A.; Okazaki, K.; Uchida, K.; Gershwin, M.E. IgG4-related disease: Changing epidemiology and new thoughts on a multisystem disease. J. Transl. Autoimmun. 2020, 4, 100074. [Google Scholar] [CrossRef]
- Yamamoto, H.; Ito, Y.; Isogai, J.; Ishibashi-Ueda, H.; Nakamura, Y. Immunoglobulin G4-Related Multiple Giant Coronary Artery Aneurysms and a Single Left Gastric Artery Aneurysm. JACC Case Rep. 2020, 2, 769–774. [Google Scholar] [CrossRef]
- Tajima, M.; Nagai, R.; Hiroi, Y. IgG4-Related Cardiovascular Disorders. Int. Heart J. 2014, 55, 287–295. [Google Scholar] [CrossRef] [PubMed]
- Ozawa, M.; Fujinaga, Y.; Asano, J.; Nakamura, A.; Watanabe, T.; Ito, T.; Muraki, T.; Hamano, H.; Kawa, S. Clinical features of IgG4-related periaortitis/periarteritis based on the analysis of 179 patients with IgG4-related disease: A case–control study. Arthritis Res. Ther. 2017, 19, 223. [Google Scholar] [CrossRef]
- Manginas, A.; Cokkinos, D.V. Coronary artery ectasias: Imaging, functional assessment and clinical implications. Eur. Heart J. 2006, 27, 1026–1031. [Google Scholar] [CrossRef]
- Fathelbab, H.; Freire, S.J.C.; Jiménez, J.L.; Piris, R.C.; Menchero, A.E.G.; Garrido, J.R.; Fernández, J.F.D. Detection of spontaneous coronary artery spasm with optical coherence tomography in a patient with acute coronary syndrome. Cardiovasc. Revascularization Med. 2017, 18, 7–9. [Google Scholar] [CrossRef]
- Murthy, P.A.; Mohammed, T.L.; Read, K.; Gilkeson, R.C.; White, C.S. MDCT of coronary artery aneurysms. AJR Am. J. Roentgenol. 2005, 184 (Suppl. 3), S19–S20. [Google Scholar] [CrossRef]
- Johnson, P.T.; Fishman, E.K. CT Angiography of Coronary Artery Aneurysms: Detection, Definition, Causes, and Treatment. Am. J. Roentgenol. 2010, 195, 928–934. [Google Scholar] [CrossRef]
- Iwańczyk, S.; Smukowska-Gorynia, A.; Woźniak, P.; Grygier, M.; Lesiak, M.; Araszkiewicz, A. Invasive assessment of the microvascular coronary circulation in patients with coronary artery aneurysmal disease. Pol. Arch. Intern. Med. 2023, 133, 16392. [Google Scholar] [CrossRef] [PubMed]
- Papadakis, M.C.; Manginas, A.; Cotileas, P.; Demopoulos, V.; Voudris, V.; Pavlides, G.; Foussas, S.G.; Cokkinos, D.V. Documentation of slow coronary flow by the TIMI frame count in patients with coronary ectasia. Am. J. Cardiol. 2001, 88, 1030–1032. [Google Scholar] [CrossRef] [PubMed]
- Gulec, S.; Atmaca, Y.; Kilickap, M.; Akyürek, O.; Aras, O.; Oral, D. Angiographic assessment of myocardial perfusion in patients with isolated coronary artery ectasia. Am. J. Cardiol. 2003, 91, 996–999. [Google Scholar] [CrossRef]
- Akyürek, Ö.; Berkalp, B.; Sayın, T.; Kumbasar, D.; Kervancıoğlu, C.; Oral, D. Altered coronary flow properties in diffuse coronary artery ectasia. Am. Heart J. 2003, 145, 66–72. [Google Scholar] [CrossRef]
- Iwańczyk, S.; Lehmann, T.; Cieślewicz, A.; Radziemski, A.; Malesza, K.; Wrotyński, M.; Jagodziński, P.P.; Grygier, M.; Lesiak, M.; Araszkiewicz, A. Involvement of Angiogenesis in the Pathogenesis of Coronary Aneurysms. Biomedicines 2021, 9, 1269. [Google Scholar] [CrossRef] [PubMed]
- Kawsara, A.; Núñez Gil, I.J.; Alqahtani, F.; Moreland, J.; Rihal, C.S.; Alkhouli, M. Management of Coronary Artery Aneurysms. JACC Cardiovasc. Interv. 2018, 11, 1211–1223. [Google Scholar] [CrossRef] [PubMed]
- Mignosa, C.; Agati, S.; Di Stefano, S.; Pizzimenti, G.; Di Maggio, E.; Salvo, D.; Ciccarello, G. Dysphagia: An unusual presentation of giant aneurysm of the right coronary artery and supravalvular aortic stenosis in Williams syndrome. J. Thorac. Cardiovasc. Surg. 2004, 128, 946–948. [Google Scholar] [CrossRef] [PubMed][Green Version]
- Arslan, F.; Núñez-Gil, I.J.; Rodríguez-Olivares, R.; Cerrato, E.; Bollati, M.; Nombela-Franco, L.; Terol, B.; Alfonso-Rodríguez, E.; Freire, S.J.C.; Villablanca, P.A.; et al. Sex differences in treatment strategy for coronary artery aneurysms: Insights from the international Coronary Artery Aneurysm Registry. Neth. Heart J. 2021, 30, 328–334. [Google Scholar] [CrossRef] [PubMed]
- McCrindle, B.W.; Manlhiot, C.; Newburger, J.W.; Harahsheh, A.S.; Giglia, T.M.; Dallaire, F.; Friedman, K.; Low, T.; Runeckles, K.; Mathew, M.; et al. Medium-Term Complications Associated With Coronary Artery Aneurysms After Kawasaki Disease: A Study From the International Kawasaki Disease Registry. J. Am. Heart Assoc. 2020, 9, e016440. [Google Scholar] [CrossRef]
- Chrissoheris, M.P.; Donohue, T.J.; Young, R.S.K.; Ghantous, A. Coronary artery aneurysms. Cardiol. Rev. 2008, 16, 116–123. [Google Scholar] [CrossRef]
- Matta, A.G.; Yaacoub, N.; Nader, V.; Moussallem, N.; Carrie, D.; Roncalli, J. Coronary artery aneurysm: A review. World. J. Cardiol. 2021, 13, 446. [Google Scholar] [CrossRef]
- Devabhaktuni, S.; Mercedes, A.; Diep, J.; Ahsan, C. Coronary Artery Ectasia-A Review of Current Literature. Curr. Cardiol. Rev. 2016, 12, 318–323. [Google Scholar] [CrossRef]
- Krawczyk, K.; Stepien, K.; Nowak, K.; Nessler, J.; Zalewski, J. ST-segment re-elevation following primary angioplasty in acute myocardial infarction with patent infarct-related artery: Impact on left ventricular function recovery and remodeling. Adv. Interv. Cardiol. 2019, 15, 412–421. [Google Scholar] [CrossRef]
- Stepien, K.; Nowak, K.; Szlosarczyk, B.; Nessler, J.; Zalewski, J. Clinical Characteristics and Long-Term Outcomes of MINOCA Accompanied by Active Cancer: A Retrospective Insight Into a Cardio-Oncology Center Registry. Front. Cardiovasc. Med. 2022, 9, 785246. [Google Scholar] [CrossRef]
- Boles, U.; Zhao, Y.; Rakhit, R.; Shiu, M.F.; Papachristidis, A.; David, S.; Koganti, S.; Gilbert, T.; Henein, M.Y. Patterns of coronary artery ectasia and short-term outcome in acute myocardial infarction. Scand. Cardiovasc. J. 2014, 48, 161–166. [Google Scholar] [CrossRef]
- Zhang, Y.; Huang, Q.-J.; Li, X.-L.; Guo, Y.-L.; Zhu, C.-G.; Wang, X.-W.; Xu, B.; Gao, R.-L.; Li, J.-J. Prognostic Value of Coronary Artery Stenoses, Markis Class, and Ectasia Ratio in Patients with Coronary Artery Ectasia. Cardiology 2015, 131, 251–259. [Google Scholar] [CrossRef]
- Warisawa, T.; Naganuma, T.; Tomizawa, N.; Fujino, Y.; Ishiguro, H.; Tahara, S.; Kurita, N.; Nojo, T.; Nakamura, S.; Nakamura, S. High prevalence of coronary artery events and non-coronary events in patients with coronary artery aneurysm in the observational group. IJC Heart Vasc. 2015, 10, 29–31. [Google Scholar] [CrossRef] [PubMed][Green Version]
- Doi, T.; Kataoka, Y.; Noguchi, T.; Shibata, T.; Nakashima, T.; Kawakami, S.; Nakao, K.; Fujino, M.; Nagai, T.; Kanaya, T.; et al. Coronary Artery Ectasia Predicts Future Cardiac Events in Patients With Acute Myocardial Infarction. Arter. Thromb. Vasc. Biol. 2017, 37, 2350–2355. [Google Scholar] [CrossRef]
- Kunadian, V.; Chieffo, A.; Camici, P.G.; Berry, C.; Escaned, J.; Maas, A.H.E.M.; Prescott, E.; Karam, N.; Appelman, Y.; Fraccaro, C.; et al. An EAPCI Expert Consensus Document on Ischaemia with Non-Obstructive Coronary Arteries in Collaboration with European Society of Cardiology Working Group on Coronary Pathophysiology & Microcirculation Endorsed by Coronary Vasomotor Disorders International Study Group. Eur. Heart. J. 2020, 41, 3504. [Google Scholar] [CrossRef] [PubMed]
- Massaro, M.; Zampolli, A.; Scoditti, E.; Carluccio, M.A.; Storelli, C.; Distante, A.; De Caterina, R. Statins inhibit cyclooxygenase-2 and matrix metalloproteinase-9 in human endothelial cells: Anti-angiogenic actions possibly contributing to plaque stability. Cardiovasc. Res. 2009, 86, 311–320. [Google Scholar] [CrossRef] [PubMed]
- Lee, D.K.; Park, E.J.; Kim, E.K.; Jin, J.; Kim, J.S.; Shin, I.J.; Kim, B.-Y.; Lee, H.; Kim, D.-E. Atorvastatin and Simvastatin, but not Pravastatin, Up-regulate LPS-Induced MMP-9 Expression in Macrophages by Regulating Phosphorylation of ERK and CREB. Cell. Physiol. Biochem. 2012, 30, 499–511. [Google Scholar] [CrossRef]
- Izidoro-Toledo, T.C.; Guimaraes, D.A.; Belo, V.A.; Gerlach, R.F.; Tanus-Santos, J.E. Effects of statins on matrix metalloproteinases and their endogenous inhibitors in human endothelial cells. Naunyn-Schmiedeberg’s Arch. Pharmacol. 2011, 383, 547–554. [Google Scholar] [CrossRef]
- Krüger, D.; Stierle, U.; Herrmann, G.; Simon, R.; Sheikhzadeh, A. Exercise-induced myocardial ischemia in isolated coronary artery ectasias and aneurysms (“dilated coronaropathy”). J. Am. Coll. Cardiol. 1999, 34, 1461–1470. [Google Scholar] [CrossRef]
- Wilson, N.; Heaton, P.; Calder, L.; Nicholson, R.; Stables, S.; Gavin, R. Kawasaki disease with severe cardiac sequelae: Lessons from recent New Zealand experience. J. Paediatr. Child Health 2004, 40, 524–529. [Google Scholar] [CrossRef]
- McCrindle, B.W.; Rowley, A.H.; Newburger, J.W.; Burns, J.C.; Bolger, A.F.; Gewitz, M.; Baker, A.L.; Jackson, M.A.; Takahashi, M.; Shah, P.B.; et al. Diagnosis, Treatment, and Long-Term Management of Kawasaki Disease: A Scientific Statement for Health Professionals from the American Heart Association. Circulation 2017, 135, e927–e999. [Google Scholar] [CrossRef] [PubMed]
- Friedman, K.G.; Gauvreau, K.; Hamaoka-Okamoto, A.; Tang, A.; Berry, E.; Tremoulet, A.H.; Mahavadi, V.S.; Baker, A.; Deferranti, S.D.; Fulton, D.R.; et al. Coronary Artery Aneurysms in Kawasaki Disease: Risk Factors for Progressive Disease and Adverse Cardiac Events in the US Population. J. Am. Heart Assoc. 2016, 5, e003289. [Google Scholar] [CrossRef] [PubMed]
- Suda, K.; Iemura, M.; Nishiono, H.; Teramachi, Y.; Koteda, Y.; Kishimoto, S.; Kudo, Y.; Itoh, S.; Ishii, H.; Ueno, T.; et al. Long-term prognosis of patients with Kawasaki disease complicated by giant coronary aneurysms: A single-institution experience. Circulation. 2011, 123, 1836–1842. [Google Scholar] [CrossRef] [PubMed]
- Bang, J.S.; Kim, G.B.; Kwon, B.S.; Song, M.K.; An, H.S.; Song, Y.W.; Bae, E.J.; Noh, C.I. Long-Term Prognosis for Patients with Kawasaki Disease Complicated by Large Coronary Aneurysm (diameter ≥6 mm). Korean Circ. J. 2017, 47, 516–522. [Google Scholar] [CrossRef]
- Burzotta, F.; Trani, C.; Romagnoli, E.; Mazzari, M.A.; Savino, M.; Schiavoni, G.; Crea, F. Percutaneous Treatment of a Large Coronary Aneurysm Using the Self-Expandable Symbiot PTFE-Covered Stent. Chest 2004, 126, 644–645. [Google Scholar] [CrossRef]
- Briguori, C.; Sarais, C.; Sivieri, G.; Takagi, T.; Di Mario, C.; Colombo, A. Polytetrafluoroethylene-covered stent and coronary artery aneurysms. Catheter. Cardiovasc. Interv. 2002, 55, 326–330. [Google Scholar] [CrossRef]
- Ramirez, F.D.; Hibbert, B.; Simard, T.; Pourdjabbar, A.; Wilson, K.R.; Hibbert, R.; Kazmi, M.; Hawken, S.; Ruel, M.; Labinaz, M.; et al. Natural History and Management of Aortocoronary Saphenous Vein Graft Aneurysms. Circulation 2012, 126, 2248–2256. [Google Scholar] [CrossRef]
- Kuntz, R.E.; Baim, D.S.; Cohen, D.J.; Popma, J.J.; Carrozza, J.P.; Sharma, S.; McCormick, D.J.; Schmidt, D.A.; Lansky, A.J.; Ho, K.K.; et al. A trial comparing rheolytic thrombectomy with intracoronary urokinase for coronary and vein graft thrombus (the Vein Graft AngioJet Study [VeGAS 2]). Am. J. Cardiol. 2002, 89, 326–330. [Google Scholar] [CrossRef]
- Lee, M.S.; Nero, T.; Makkar, R.R.; Wilentz, J.R. Treatment of coronary aneurysm in acute myocardial infarction with AngioJet thrombectomy and JoStent coronary stent graft. J. Invasive. Cardiol. 2004, 16, 294–296. [Google Scholar] [PubMed]
- Giombolini, C.; Notaristefano, S.; Santucci, S.; Notaristefano, F.; Notaristefano, A.; Ambrosio, G. AngioJet thrombectomy for the treatment of coronary artery aneurysm after failed thrombolysis in acute myocardial infarction. Heart. Int. 2006, 2, 94. [Google Scholar] [CrossRef]
- Win, H.K.; Polsani, V.; Chang, S.M.; Kleiman, N.S. Stent-assisted coil embolization of a large fusiform aneurysm of proximal anterior descending artery: Novel treatment for coronary aneurysms. Circ. Cardiovasc. Interv. 2012, 5, e3–e5. [Google Scholar] [CrossRef] [PubMed][Green Version]
- Spiotta, A.M.; Wheeler, A.M.; Smithason, S.; Hui, F.; Moskowitz, S. Comparison of techniques for stent assisted coil embolization of aneurysms. J. Neurointerv. Surg. 2011, 4, 339–344. [Google Scholar] [CrossRef] [PubMed]
- Singh, S.K.; Goyal, T.; Sethi, R.; Chandra, S.; Devenraj, V.; Rajput, N.K.; Kaushal, D.; Tewarson, V.; Gupta, S.; Kumar, S. Surgical treatment for coronary artery aneurysm: A single-centre experience. Interact. Cardiovasc. Thorac. Surg. 2013, 17, 632–636. [Google Scholar] [CrossRef]
- Ercan, E.; Tengiz, I.; Yakut, N.; Gurbuz, A. Large atherosclerotic left main coronary aneurysm: A case report and review of literature. Int. J. Cardiol. 2003, 88, 95–98. [Google Scholar] [CrossRef] [PubMed]
- Harandi, S.; Johnston, S.B.; Wood, R.E.; Roberts, W.C. Operative therapy of coronary arterial aneurysm. Am. J. Cardiol. 1999, 83, 1290–1293. [Google Scholar] [CrossRef]








| Type I | Diffuse ectasia of two or three vessels |
| Type II | Diffuse disease in one vessel and localized disease in another vessel |
| Type III | Diffuse ectasia of one vessel only |
| Type IV | Localized or segmental ectasia |
| True Aneurysm | Preserved Vessel Wall Integrity within Three Layers (Intima, Media, and Adventitia) |
|---|---|
| Pseudoaneurysm | Loss of vessel wall integrity and damage to the adventitia |
| Complex plaque with aneurysmal appearance | Stenoses with ruptured plaques or spontaneous or unhealed dissections |
| Normal segment with aneurysmal appearance | Normal segment adjacent to stenosis |
Disclaimer/Publisher’s Note: The statements, opinions and data contained in all publications are solely those of the individual author(s) and contributor(s) and not of MDPI and/or the editor(s). MDPI and/or the editor(s) disclaim responsibility for any injury to people or property resulting from any ideas, methods, instructions or products referred to in the content. |
© 2024 by the authors. Licensee MDPI, Basel, Switzerland. This article is an open access article distributed under the terms and conditions of the Creative Commons Attribution (CC BY) license (https://creativecommons.org/licenses/by/4.0/).
Share and Cite
Woźniak, P.; Iwańczyk, S.; Błaszyk, M.; Stępień, K.; Lesiak, M.; Mularek-Kubzdela, T.; Araszkiewicz, A. Coronary Artery Aneurysm or Ectasia as a Form of Coronary Artery Remodeling: Etiology, Pathogenesis, Diagnostics, Complications, and Treatment. Biomedicines 2024, 12, 1984. https://doi.org/10.3390/biomedicines12091984
Woźniak P, Iwańczyk S, Błaszyk M, Stępień K, Lesiak M, Mularek-Kubzdela T, Araszkiewicz A. Coronary Artery Aneurysm or Ectasia as a Form of Coronary Artery Remodeling: Etiology, Pathogenesis, Diagnostics, Complications, and Treatment. Biomedicines. 2024; 12(9):1984. https://doi.org/10.3390/biomedicines12091984
Chicago/Turabian StyleWoźniak, Patrycja, Sylwia Iwańczyk, Maciej Błaszyk, Konrad Stępień, Maciej Lesiak, Tatiana Mularek-Kubzdela, and Aleksander Araszkiewicz. 2024. "Coronary Artery Aneurysm or Ectasia as a Form of Coronary Artery Remodeling: Etiology, Pathogenesis, Diagnostics, Complications, and Treatment" Biomedicines 12, no. 9: 1984. https://doi.org/10.3390/biomedicines12091984
APA StyleWoźniak, P., Iwańczyk, S., Błaszyk, M., Stępień, K., Lesiak, M., Mularek-Kubzdela, T., & Araszkiewicz, A. (2024). Coronary Artery Aneurysm or Ectasia as a Form of Coronary Artery Remodeling: Etiology, Pathogenesis, Diagnostics, Complications, and Treatment. Biomedicines, 12(9), 1984. https://doi.org/10.3390/biomedicines12091984

